Chronic obstructive
pulmonary disease (COPD)
Amsalu Bitew
( Internist , PCCM Fellow )
May/ 2022
Outline
DEFINITIONS
EPIDEMIOLOGY
PATHOGENESIS
PATHOLOGY
PATHOPHYSILOGY
CLINICAL CHARACTERIZATION
DIAGNOSIS
ASSESSMENT OF SEVERITY & STAGING
DIFFERENTIAL DIAGNOSIS
PRINCIPLES OF MANAGEMENT
DEFINITONS
COPD- A disease that is characterized by persistent respiratory
symptoms and airflow limitation that is due to airway and/or
alveolar abnormalities usually caused by significant exposure to
noxious particles or gases and influenced by host factors
including abnormal lung development.
Chronic bronchitis — it is defined as a chronic productive
cough for three months in each of two successive years in a
patient in whom other causes of chronic cough (eg,
bronchiectasis) have been excluded.
DEFINITONS
Emphysema — It is a pathological term that describes some of
the structural changes that include abnormal and permanent
enlargement of the airspaces distal to the terminal bronchioles
that is accompanied by destruction of the airspace walls, without
obvious fibrosis (ie, there is no fibrosis visible to the naked eye).
Asthma — It is a chronic inflammatory disorder of the airways
associated with variable & reversible airway responsiveness that
leads to recurrent episodes of wheezing, breathlessness, chest
tightness, and coughing, particularly at night or in the early
morning.
DEFINITIONS
EPIDEMIOLOGY
- Third leading cause of death in the world
- Estimated 384 million cases of COPD globally with estimated
prevalence of 12%
-More than 3 million people died of COPD in 2016 accounting for 6%
of all deaths globally
-Burden is projected to increase because of continued exposure to
COPD risk factors and aging of the population
- Prevalence of COPD is higher in smokers and ex-smokers compared
to non-smokers
-Higher in ≥ 40year group compared to those < 40 years of age
-Higher in men than in women
PATHOGENESIS OF COPD
PATHOGENESIS OF COPD
• Cellular responses- activation of Macrophages & epithelial cells
- recruitment of neutrophils & CD8+ T lymph
- B lymphocyte activation
● Release of CYTOKINES AND CHEMOKINES
-interferon (IFN)-γ, CCR5, and CXCR3, monokine induced by interferon
gamma (MIG), and IP-10,TNF-α , IL-1β
● Inflammation, Airway Remodeling,and Airflow Limitation
● Mucus hyper secretion
● A protease/antiprotease imbalance
● Increased oxidative stress
PATHOLOGIC CHANGES IN COPD
Pathophysiology
• The major physiologic abnormality is a decreased maximum expiratory flow resulting from
-Loss of lung elasticity.
-Increase in airway resistance in small airways
• The major site of airflow limitation in COPD occurs in the small conducting airways less than 2
mm in diameter resulting from inflammation and airway thickening.
Pathophysiology
RISK FACTORS
RISK FACTORS
• GENETICS - A significant familial risk of airflow limitation has been observed in smoking
siblings of patients. Deficiency of A1AT, a major circulating inhibitor of serine proteases, is
the best documented genetic risk factor.
• SMOKING - Globally, cigarette smoking is the most commonly encountered risk factor for
COPD. The crucial factor seems to be the amount smoked and the extent of inhalation.
• OTHER ENVIRONMENTAL FACTORS - occupational exposures
- Biomass fuel exposure (smoke from wood,
animal dung, crop residues, and coal )
• INFECTIONS AND EXACERBATIONS- severe childhood respiratory infection has
been associated with reduced lung function and increased respiratory symptoms in adulthood.
Tuberculosis has been shown to be a risk factor for COPD,
RISK FACTORS
• ASTHMA AND BRONCHIAL HYPERREACTIVITY- different studies showed a significant
increment of COPD in asthmatics & individuals with bronchial hyperreactivity.
• OTHERS
CLINICAL CHARACTERIZATION
OF COPD
• HISTORY (symptoms) - cough, sputum production, and exertional dyspnea
- wheezing
- chest tightness
- variability/episodic events
•PHYSICAL FINDINGS- normal at early stage
- cachexia , “tripod” position
- barrel chest , Hoover’s sign
- poor diaphragmatic excursion
- hyper resonance
- decreased breath sounds / expiratory wheeze / basal crackles
- cyanosis / yellow staining on the fingers
CLINICAL CHARACTERIZATION
OF COPD
• LABORATORY FINDINGS- elevated hematocrit level
- elevated serum bicarbonate level
- Arterial blood gases may demonstrate resting or exertional
hypoxemia, hypercapnia & acidemia
- low α1AT levels with genotyping
• PULMONARY FUNCTION TESTS- spirometry
- peak expiratory flow
- lung volumes
- diffusion capacity
- arterial blood gas analysis
CLINICAL CHARACTERIZATION
OF COPD
• Spirometry is “the gold standard”—most reproducible, standardized, objective way of
measuring airflow limitation
• Expiratory airflow limitation is the hallmark physiologic change of COPD;FEV1, FVC,
FEV1/FVC all decreased
CHANGES IN LUNG VOLUMES
CLINICAL CHARACTERIZATION
OF COPD
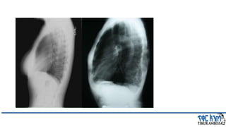
• IMAGING – Though it is usually done to exclude other differential diagnoses &
complications, the following findings might be detected ;
- normal
- rapidly tapering vascular shadows
- increased radiolucency of the lungs
- flat diaphragm
- long ,narrow heart shadow
- bullae
- cysts / typical emphysematous changes
DIAGNOSIS
ASSESSMENT OF SEVERITY AND STAGING OF COPD
Comorbidities in COPD
DIFFERENTIAL DIAGNOSIS
COPD MANAGEMENT
• Four components
- Assess and monitor disease
- Reduce risk factors
- Manage stable COPD
Education
Pharmacologic
Nonpharmacologic
- Manage exacerbations
THANK YOU

COPD.pptx

  • 1.
    Chronic obstructive pulmonary disease(COPD) Amsalu Bitew ( Internist , PCCM Fellow ) May/ 2022
  • 2.
  • 3.
    DEFINITONS COPD- A diseasethat is characterized by persistent respiratory symptoms and airflow limitation that is due to airway and/or alveolar abnormalities usually caused by significant exposure to noxious particles or gases and influenced by host factors including abnormal lung development. Chronic bronchitis — it is defined as a chronic productive cough for three months in each of two successive years in a patient in whom other causes of chronic cough (eg, bronchiectasis) have been excluded.
  • 4.
    DEFINITONS Emphysema — Itis a pathological term that describes some of the structural changes that include abnormal and permanent enlargement of the airspaces distal to the terminal bronchioles that is accompanied by destruction of the airspace walls, without obvious fibrosis (ie, there is no fibrosis visible to the naked eye). Asthma — It is a chronic inflammatory disorder of the airways associated with variable & reversible airway responsiveness that leads to recurrent episodes of wheezing, breathlessness, chest tightness, and coughing, particularly at night or in the early morning.
  • 5.
  • 6.
    EPIDEMIOLOGY - Third leadingcause of death in the world - Estimated 384 million cases of COPD globally with estimated prevalence of 12% -More than 3 million people died of COPD in 2016 accounting for 6% of all deaths globally -Burden is projected to increase because of continued exposure to COPD risk factors and aging of the population - Prevalence of COPD is higher in smokers and ex-smokers compared to non-smokers -Higher in ≥ 40year group compared to those < 40 years of age -Higher in men than in women
  • 7.
  • 8.
    PATHOGENESIS OF COPD •Cellular responses- activation of Macrophages & epithelial cells - recruitment of neutrophils & CD8+ T lymph - B lymphocyte activation ● Release of CYTOKINES AND CHEMOKINES -interferon (IFN)-γ, CCR5, and CXCR3, monokine induced by interferon gamma (MIG), and IP-10,TNF-α , IL-1β ● Inflammation, Airway Remodeling,and Airflow Limitation ● Mucus hyper secretion ● A protease/antiprotease imbalance ● Increased oxidative stress
  • 9.
  • 12.
    Pathophysiology • The majorphysiologic abnormality is a decreased maximum expiratory flow resulting from -Loss of lung elasticity. -Increase in airway resistance in small airways • The major site of airflow limitation in COPD occurs in the small conducting airways less than 2 mm in diameter resulting from inflammation and airway thickening.
  • 13.
  • 14.
  • 15.
    RISK FACTORS • GENETICS- A significant familial risk of airflow limitation has been observed in smoking siblings of patients. Deficiency of A1AT, a major circulating inhibitor of serine proteases, is the best documented genetic risk factor. • SMOKING - Globally, cigarette smoking is the most commonly encountered risk factor for COPD. The crucial factor seems to be the amount smoked and the extent of inhalation. • OTHER ENVIRONMENTAL FACTORS - occupational exposures - Biomass fuel exposure (smoke from wood, animal dung, crop residues, and coal ) • INFECTIONS AND EXACERBATIONS- severe childhood respiratory infection has been associated with reduced lung function and increased respiratory symptoms in adulthood. Tuberculosis has been shown to be a risk factor for COPD,
  • 16.
    RISK FACTORS • ASTHMAAND BRONCHIAL HYPERREACTIVITY- different studies showed a significant increment of COPD in asthmatics & individuals with bronchial hyperreactivity. • OTHERS
  • 17.
    CLINICAL CHARACTERIZATION OF COPD •HISTORY (symptoms) - cough, sputum production, and exertional dyspnea - wheezing - chest tightness - variability/episodic events •PHYSICAL FINDINGS- normal at early stage - cachexia , “tripod” position - barrel chest , Hoover’s sign - poor diaphragmatic excursion - hyper resonance - decreased breath sounds / expiratory wheeze / basal crackles - cyanosis / yellow staining on the fingers
  • 18.
    CLINICAL CHARACTERIZATION OF COPD •LABORATORY FINDINGS- elevated hematocrit level - elevated serum bicarbonate level - Arterial blood gases may demonstrate resting or exertional hypoxemia, hypercapnia & acidemia - low α1AT levels with genotyping • PULMONARY FUNCTION TESTS- spirometry - peak expiratory flow - lung volumes - diffusion capacity - arterial blood gas analysis
  • 19.
    CLINICAL CHARACTERIZATION OF COPD •Spirometry is “the gold standard”—most reproducible, standardized, objective way of measuring airflow limitation • Expiratory airflow limitation is the hallmark physiologic change of COPD;FEV1, FVC, FEV1/FVC all decreased
  • 21.
  • 22.
    CLINICAL CHARACTERIZATION OF COPD •IMAGING – Though it is usually done to exclude other differential diagnoses & complications, the following findings might be detected ; - normal - rapidly tapering vascular shadows - increased radiolucency of the lungs - flat diaphragm - long ,narrow heart shadow - bullae - cysts / typical emphysematous changes
  • 25.
  • 26.
    ASSESSMENT OF SEVERITYAND STAGING OF COPD
  • 30.
  • 33.
  • 34.
    COPD MANAGEMENT • Fourcomponents - Assess and monitor disease - Reduce risk factors - Manage stable COPD Education Pharmacologic Nonpharmacologic - Manage exacerbations
  • 35.