Chest X-Ray in ICU setting
Presentor- Dr. SourabhArora
DNB Trainee
Moderator- Dr.Aparimita Gogoi
Senior Consultant
Lines and Tubes
Central Venous Catheters
To measure right atrial pressure
Fluid infusion/ nutrition
Drug/ Contrast administration
Position:- Superior Vena Cava/ Cavoaortal
junction
PICC
Tunneled: Hickman
Non tunneled: Vascath
Implantable port: Port a Cath
Into IJV
Into RV
Arterial puncture Via ASD into LA In azygous vein
Complications:-
Pneumothorax
Hemothorax
Infusothorax
Arrhythmia
Infection
Arterial placement
Venous perforation
Swan- Ganz Catheter
To monitor pulmonary arterial/ capillary wedge
pressure
Right heart pressures
Cardiac Vs Non-cardiac pulmonary edema
Position:- Main or Lobar pulmonary artery
In the pulmonary artery
In the left pulmonary artery
In right pulmonary artery
Wedge shaped opacity C/L lung collapse
Nasogastric Tube
Gastric decompression/ aspiration
Nutrition
Position:- >10cm beyond GE Junction
High in oesophagus
Inside Tracheo bronchial tree
Nasoenteric Tube
Nutriton
Position:- 2nd part of duodenum
Complete malposition, tube coiling, pulmonary
laceration, pulmonary contusion, pneumothorax and
hydropneumothorax.
Complications:- Pharyngeal, esophageal or gastric
perforation
Pneumomediastinum Pneumoperitoneum
Intercostal Drainage Tube
To drain- Pneumothorax- Tip pointing apically
Pleural effusion- Tip in posteroinferior
Side holes should be medial to inner margin
Position:- In the pleural space
Not in lung/
fi
ssure/ subcutaneous plane
Inadvertent placement in extra pleural space
Complications:- Intra parenchymal positioning
Pulmonary lacerations, hematoma, infarction, bronchopleural
fi
stula
Ineffective drainage: tube kinking, blood clot, pus, debris
Malposition of ICDT Kinking
Endotracheal tube
Assisted ventilation
Too high- ineffective ventilation
Too low- selective bronchial intubation
Consequently, segmental or complete collapse of C/L lung
Position:-5-7cm above carina
Dynamic
Flexion- 2cm Descent
Extension- 2cm Ascent
Double lumen ETT- ventilate one lung
Right main bronchus At carina
Complications:-
Esophageal intubation- Right posterior oblique view
Over in
fl
ation unto 1.5x— Rupture/ Tracheomalacia/Tracheal
stenosis
Subcutaneous emphysema, pneumomediastinum, pneumothorax
PPV- Barotrauma
Aspiration pneumonia, nosocomial infection, intratracheal clots/
mucus plugging
Esophageal intubation
Tip too high
at the level of thoracic inlet
Tracheostomy tube
Assisted ventilation
Long term intubation
Small amount of subcutaneous emphysema,
pneumomediastinum
Tracheal stenosis due to granulation tissue and
fi
brosis
Cardiac Pacemaker
Single lead- RV
Double leads- RV + RA
Triple leads- RV+ RA+ LV
Fracture of the lead
Correct placement
Tip displaced slightly downwards
Intra Aortic Balloon Pump
Patients with cariogenic shock
Ejection fraction <20%
Position- metallic tip in AP window
Distal to left subclavian artery
In
fl
ate- diastole
De
fl
ate- systole
Increases coronary
fl
ow
Decreases after load
Correct placement
Too high position Too low position
Automated Implantable Cardiac De
fi
brilator
Monitor and correct an abnormal heart rhythm and
arrhythmia.
Perma-cath/ Chemo port
Tube/ Line Desired Position
Central Venous catheter/
PICC
Tip in Superior Vena Cava
Swan-Ganz Catheter Tip in proximal R / L Pulmonary artery
Nasogastric Tube 10cm distal to GE Jn / Upto antrum
Nasoenteric Tube Tip in 2nd part of duodenum
ICDT Anterosuperior for PTX; Posteroinferior for effusion
Endotracheal Tube Tip 5+/- 2cm from carina
Tracheostomy Tube 3cm from carina
Pacemaker RA/ RV/ LV
IABP AP window
AICD One lead in SVC; other in R ventricle
Lungs Pathology
Pneumothorax
Clearly de
fi
ned line.
Upper part of the line is curved at lung
apex.
Absence of lung markings.
Erect xray in full expiration
CT- Best modality
Supine:-
Hyperleucent upper quadrant of
abdomen
Lateral costophrenic angle…
Deep Sulcus Sign
Sharply outlined dome of
diaphragm
Inspiratory View Complete collapse
Expiratory View
(a). Esophageal rupture
(b). Tracheal rupture Measuring size
Skin fold/ wrinkle Large bulla
Tension Pneumothorax
Total collapse of right lung
Venous return is reduced
Dome of diaphragm is
fl
attened/ depressed
Heart/ mediastinum—? Shift
Urgent cannulation- Triangle of safety
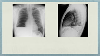
Hydro-pneumothorax
Pleural effusion and hydrothorax
After- Thoracocentesis
Bronchopleural
fi
stula
Oesophagopleural
fi
stula
Diffrentials:-
Pyopneumothorax
Hemopneumothorax
Pulmonary abscess
Traumatic pneumatocele
Soft tissue abscess
Pneumomediastinum
Causes- Alveolar rupture due to mechanical
ventilation
Thoracic trauma
Tracheal/ Bronchial rupture
Extra thoracic sites:-
Vascular sheath in the neck
Retropharyngeal space
Submandibular space
Retropharyngeal space
(a). Continuous diaphragm sign
(b). Halo of air surrounding heart
(c). Pneumopericardium
(a). Pneumothorax (b). Pneumomediastinum
Surgical Emphysema
Tracheobronchial tree perforation
Pockets of air seen as dark areas
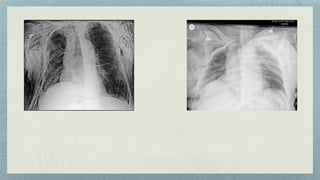
Pleural effusion
Large amount of
fl
uid is displaced in supine
No meniscus, only veil like opacity
Types:-
Lamellar- Linear opacity, paralleling lung surface
Encysted- Loculation within a
fi
ssure
Subpulmomary- Pooling within the pleural surface
below the lung
Meniscus Sign Subpulmonic effusion
Loculated effusion Before drainage After drainage
Aspiration pneumonia
Airway plugging
Chemical pneumonitis- Mendelson syndrome
Recumbent Position:-
Posterior segments of upper lobe
Superior segments of lower lobe
Erect position:-
Bilateral basal segments, middle and lingula.
Differential diagnosis, airspace opacity:-
Pulmonary edema
Infectious pneumonia
Primary/ secondary malignancy
Posterior segments of upper lobe
Superior segments of lower lobe
Pulmonary edema
Abnormal accumulation of
fl
uid in extravascular space
Types:- Cardiogenic and Non-cardiogenic
Peribronchial cuf
fi
ng and parahilar haze
Air space opaci
fi
cation in Batwing distribution
ABCDE
Alveolar opaci
fi
cation
Batwinging
Cardiomegaly
Diffuse interstitial thickening
Effusions
Kerley B lines
Frontal View Lateral
Stag’s Antler sign
Thank You

Chest X-ray in ICU setting and common pathologies.pdf