By
Shokry Alemam, MD
Ahmed Elaghoury, MD
ECP Jeddah, Dec 2015
CASE
PRESENTATION
Ms S is a 32 year old female patient, single,
unemployed, educated till 3rd
year of
secondary school.
Presented for the first time to my clinic 2 years
ago by:
Hearing voices threatening her, thinking that
her maid will hurt her and watches her (as
voices tell her), disturbed sleep in the form of
difficulty to fall asleep, and frequent wakening
up.
Her sister reported that Ms S had many
bouts of agitation, social withdrawal, with
inappropriate behaviors, neglected self
hygiene, and bouts of disorientation to
time, and place.
All these symptoms started 17 years ago by
insidious onset, and progressive course, with
no specific precipitating or relieving factors.
She sought medical advice 17 years ago and
was diagnosed as schizoaffective, and in
another hospital as schizophrenia and her last
medications before presenting to our clinic
were, Prozac 20 mg, Risperdal consta 50 mg
IM every 2 weeks, Topamax 100 mg daily,
lamictal 100 mg BID.
• No past medical history.
• Positive family history as her cousin
(maternal) has similar presentation.
• Premorbid personality, she was introverted,
socially retarded, and poor school
performance.
By examination, Ms S was obese, with
psychomotor slowing, staring look, poor
concentration, coherent speech of decreased
volume and pressure, euthymic mood and
blunt affect, concrete thinking with poverty of
thoughts, delusion of reference and
persecution, poor insight and judgment, no
suicidal thoughts, plans or intent.
What is your provisional
diagnosis?
A)Schizophrenia.
B)Bipolar disorder.
C)Schizophreniform.
D)Psychotic disorder,
unspecified.
E)Non of the above.
She was diagnosed as schizophrenia
The plan was to continue on
Risperidone LAI 50 mg/ 2 weeks
Fluoxetine 20 mg
Topiramate 100 mg
Start risperidone 3 mg PO nocturnal
But
The next visit after 2 months, the patient reported
that she developed galactorrhea with no
improvement of her symptoms, so the plan was to
D/C risperidone tablets and start quetiapine 200 mg
and abilify 10 mg
“The difference between a good
neuropsychiatrist and a mediocre
one is a good history”
(David, 2009)
PSYCHOSIS: key concepts
• Psychosis / Psychotic ds
• Organic (Symptomatic) Vs Functional
(Nonorganic)
• Primary (Idiopathic) Vs Secondary
• Independent vs Comorbid
• Meaningful connections
Sachdev PS & Keshavan MS (2010). Secondary Schizophrenia, 1St Ed. New York, NY: Cambridge University Press.
Oyebode F (2015). Sims' symptoms in the mind: Textbook of descriptive psychopathology, 5th ed. Saunders Elsevier
ICD 10 (1992)
DSM 5 (2013)
Hierarchy vs Comorbidity
Katona C at al (2016). Psychiatry at a glance, 6th ed. John Wiley & Sons Ltd
Liddle et al 1987
Cowen P et al (2012). Shorter Oxford Textbook of Psychiatry, 6th ed. Oxford, Oxford University Press.
After 4 months the patient still the same
regarding delusions and hallucinations with
severe irritability, and started to complain
of dry mouth, abdominal pain, and poor
appetite.
So, what is your next plan of
management?
A)Continue the same medications.
B)Discontinue some medications.
C)Adjustment of doses.
D)Add on new medications.
The plan was to D/C topiramate and
fluoxetine and start haloperidol 5 mg BID
and benztropine 2 mg BID
RFT, HbA1c were done and were normal
After 4 months no improvement, and the
patient still complaining of dry mouth,
abdominal pain, and developed hirsutism
and skin pigmentation in her back, legs,
and arms, smelling bad odor and stopped
haloperidol by herself,
so we started olanzapine 15 mg nocte, and
trifluperazine 5 mg BID
•All the endocrine profile was investigated with
RFT, LFT, CBC, glucose profile, and
electrolyte profile, and all the results were
normal.
•The final medications she was on were
Aripiprazole 30 mg, Risperidone LAI 50 mg/ 2
weeks, Olanzapine 15 mg, Metformin 500
BID, Benztropine 1 mg BID, and
Trifluperazine 5 mg BID
And the patient showed no
Mind-Body dualism ?!
Sharpe M & Walker J: Ch 5.1 Mind-body dualism, psychiatry, and medicine. In: Gelder MG et al (2009). New Oxford Textbook of Psychiatry,
2nd ed. Oxford, Oxford University Press
Geddes J et al (2012). Psychiatry, 4th ed. Oxford, Oxford University Press
Biopsychosocial formulation, 3Ps
Sharpe M & Walker J: Ch 5.1 Mind-body dualism, psychiatry, and medicine. In: Gelder MG et al (2009). New Oxford Textbook of Psychiatry,
2nd ed. Oxford, Oxford University Press
Beck BJ et al: Ch 21 Mental Disorders Due to Another Medical Condition. In:Stern T et al (2016). Massachusetts General Hospital
Comprehensive Clinical Psychiatry, 2nd. Elsevier
Beck BJ et al: Ch 21 Mental Disorders Due to Another Medical Condition. In:Stern T et al (2016). Massachusetts General Hospital
Comprehensive Clinical Psychiatry, 2nd. Elsevier
DD of psychosis
1. Another medical conditions
2. Drugs / substances
3. Other mental ds
Depending on the previous data and
findings, what may be the possible
diagnosis?
A)Resistant schizophrenia.
B)Substance induced psychosis.
C)Secondary psychosis.
D)Non of the above.
The next step was to reevaluate the case
discovering the detailed history of the previous
15 years which revealed:
•The patient developed galactorrhea twice
before once she took risperidone tablets
either with or without risperidone LAI
•She showed some improvement on
Valproate 500 BID mg and Quetiapine 900
mg by improvement of concentration only in
2003.
• She did pituitary MRI and was free
• CT brain with contrast which showed
venous malformation at right side of
cerebellum ( not clinically significant) in
3/2011
• In 7/2011 she was referred to do MRI due to
possible complex partial seizures, which
showed decreased volume of right
hippocampus, and right mesial
temporal sclerosis
• EEG was done and was unremarkable.
•By further history of possible complex
partial seizures, the mother reported
that it is always present and happens
many times per day.
•The next step was to wash out all the
antipsychotics and keep patient only on
clonazepam with close observation and
do MRI, CT, and EEG again.
True or False?
•Recent reviews show that chronic
interictal psychosis is schizophrenia-like
with frequent negative symptoms
Psychiatric aspects of epilepsy
• Epilepsy is the “bridge” between
psychiatry and neurology
• Related to seizure (ictus): peri ictal /
inter ictal
• Related to psychosocial factors
• Related to shared pathology
Laura M: Ch 7 Epilepsy. In: Lyketsos CG et al (2008). Psychiatric aspects of neurologic diseases : practical approaches to patient care. Oxford,
Oxford University Press
Psychosis and epilepsy
• Strong association, but in various forms.
• Ictal / Peri-ictal psychosis: status, rare
• Post-ictal psychosis (PIP): single / recurrent
• Inter-ictal psychosis: brief (BIP) / chronic (CIP)
• Bimodal psychosis in some pts: PIP - FN - BIP
Sachdev PS & Keshavan MS (2010). Secondary Schizophrenia, 1St Ed. New York, NY: Cambridge University Press.
● FN: Forced Normalization
Salzberg M. Ch 13: Mood state, anxiety, and psychosis in epilepsy. In:Erik K St et al (2015). Epilepsy and the Interictal State: Co-Morbidities
and Quality of Life, 1st ed. John Wiley & Sons, Ltd
Chronic inter-ictal psychosis, CIP
• Chronic inter-ictal psychosis:
schizophrenia-like psychosis with few
differences
• Affect: preserved / swing, Visual hall, less
negative sx
• Forced normalization (FN) / Alternating
psychosis: paradoxical, spurious, & may be
false in few pts
• AED induced psychosis: VGB, TPM, LEV, ……
• Antipsychotic induced seizures
• Post lobectomy psychosisSalzberg M. Ch 13: Mood state, anxiety, and psychosis in epilepsy. In:Erik K St et al (2015). Epilepsy and the Interictal State: Co-Morbidities
and Quality of Life, 1st ed. John Wiley & Sons, Ltd
•The investigations confirmed the
previous findings through MRI brain only
•On the clinical base the patient is much
improved on clonazepam with better
concentration, activity, sleep, and less
delusions and hallucinations.
• After confirmation of diagnosis of
mesial temporal sclerosis and complex
partial seizures, we increased the dose
of clonazepam to 3 mg at bedtime, and
started on carbamazepine 200 mg at
bedtime.
•After 2 weeks of improvement the patient
showed racing thoughts, hyperactivity,
delusion of grandiosity, disinhibition,
aggressive behavior, olfactory hallucinations,
but sleeps well, so we decided to decrease
the dose of Clonazepam gradually, and up
titrating of oxcarbazepine to 600 mg BID, and
start Quetiapine gradually till the dose of
1000 mg daily.
WHAT HAPPENED?
WHY THIS PATIENT IS
RESISTANT TO MEDICATIONS?
WHAT ARE THE POSSIBLE
TREATMENTS OF SUCH A
PATIENT
MESIAL TEMPORAL
SCLEROSIS
• Mesial temporal sclerosis is the commonest cause
of partial complex seizures.
• The etiology of this condition is controversial, but it
is postulated that both acquired and developmental
processes may be involved. Familial cases have
also been reported.
• Magnetic resonance imaging (MRI) is the imaging
investigation of choice for the diagnosis and has
been shown to be highly sensitive and specific(1)
1. Marchetti RL, Tavares AG, Gronich G, et al. Complete remission of epileptic psychosis after
temporal lobectomy: case report. Arq Neuropsiquiatr 2001 Sep;59:802–805
Lee TC et al (2015). Netter’s correlative imaging neuroanatomy. Philadelphia, PA, Elsevier Saunders
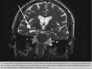
T2 weighted MRI. This image demonstrates an abnormality in the right mesial temporal lobe. It is shrunken and malformed
with enlargement of the temporal horn of the lateral ventricle. There is also a small area of abnormal high T2 signal within
the right hippocampus. The left hippocampus is relatively normal.
The T1 weighted image demonstrates the lesion with somewhat better anatomical detail
From patient’s record
•Mesial temporal sclerosis is the most
common pathologic entity associated with
refractory temporal lobe epilepsy (TLE); it is
seen in as many as 60% to 80% of cases.(2)
2. Bronen RA, Fulbright RK, Spencer DD, et al. Refractory epilepsy: comparison of MR imaging, CT, and histopathologic findings in 117 patients. Radiology
1996;201:97–105
•medical treatment is successful in 25% of
cases, whilst anterior temporal
lobectomy (Tailored resection strategies
including selective amygdala-
hippocampectomy are established ) is
effective in 70 - 95% of patients, with up to
80% postoperative seizure freedom within
the first 2 years.(6)
6. von Lehe M, Lutz M, Kral T, Schramm J, Elger CE, Clus- mann H (2006) Correlation of health-related quality of life after surgery for mesial temporal lobe epilepsy with two sei- zure outcome scales.
Epilepsy Behav 9:73–82
Take-home messages
• Psychosis is a trans-cutting clinical presentation
through medical and mental conditions.
• Schizophrenia is a diagnosis of exclusion after
full medical and psychiatric assessment.
• Epilepsy is strongly associated with mental
disorders.
• Psychosis in epileptic pts is around 4%
• Psychosis has different forms with epilepsy
• Mesial temporal sclerosis is a common
pathology in intractable epilepsy and resistance
to psychotropic medications
Thank you

Case presentation

  • 1.
    By Shokry Alemam, MD AhmedElaghoury, MD ECP Jeddah, Dec 2015 CASE PRESENTATION
  • 2.
    Ms S isa 32 year old female patient, single, unemployed, educated till 3rd year of secondary school. Presented for the first time to my clinic 2 years ago by: Hearing voices threatening her, thinking that her maid will hurt her and watches her (as voices tell her), disturbed sleep in the form of difficulty to fall asleep, and frequent wakening up.
  • 3.
    Her sister reportedthat Ms S had many bouts of agitation, social withdrawal, with inappropriate behaviors, neglected self hygiene, and bouts of disorientation to time, and place.
  • 4.
    All these symptomsstarted 17 years ago by insidious onset, and progressive course, with no specific precipitating or relieving factors. She sought medical advice 17 years ago and was diagnosed as schizoaffective, and in another hospital as schizophrenia and her last medications before presenting to our clinic were, Prozac 20 mg, Risperdal consta 50 mg IM every 2 weeks, Topamax 100 mg daily, lamictal 100 mg BID.
  • 5.
    • No pastmedical history. • Positive family history as her cousin (maternal) has similar presentation. • Premorbid personality, she was introverted, socially retarded, and poor school performance.
  • 6.
    By examination, MsS was obese, with psychomotor slowing, staring look, poor concentration, coherent speech of decreased volume and pressure, euthymic mood and blunt affect, concrete thinking with poverty of thoughts, delusion of reference and persecution, poor insight and judgment, no suicidal thoughts, plans or intent.
  • 7.
    What is yourprovisional diagnosis? A)Schizophrenia. B)Bipolar disorder. C)Schizophreniform. D)Psychotic disorder, unspecified. E)Non of the above.
  • 8.
    She was diagnosedas schizophrenia The plan was to continue on Risperidone LAI 50 mg/ 2 weeks Fluoxetine 20 mg Topiramate 100 mg Start risperidone 3 mg PO nocturnal But The next visit after 2 months, the patient reported that she developed galactorrhea with no improvement of her symptoms, so the plan was to D/C risperidone tablets and start quetiapine 200 mg and abilify 10 mg
  • 9.
    “The difference betweena good neuropsychiatrist and a mediocre one is a good history” (David, 2009)
  • 10.
    PSYCHOSIS: key concepts •Psychosis / Psychotic ds • Organic (Symptomatic) Vs Functional (Nonorganic) • Primary (Idiopathic) Vs Secondary • Independent vs Comorbid • Meaningful connections Sachdev PS & Keshavan MS (2010). Secondary Schizophrenia, 1St Ed. New York, NY: Cambridge University Press. Oyebode F (2015). Sims' symptoms in the mind: Textbook of descriptive psychopathology, 5th ed. Saunders Elsevier ICD 10 (1992) DSM 5 (2013)
  • 11.
    Hierarchy vs Comorbidity KatonaC at al (2016). Psychiatry at a glance, 6th ed. John Wiley & Sons Ltd
  • 12.
    Liddle et al1987 Cowen P et al (2012). Shorter Oxford Textbook of Psychiatry, 6th ed. Oxford, Oxford University Press.
  • 13.
    After 4 monthsthe patient still the same regarding delusions and hallucinations with severe irritability, and started to complain of dry mouth, abdominal pain, and poor appetite. So, what is your next plan of management? A)Continue the same medications. B)Discontinue some medications. C)Adjustment of doses. D)Add on new medications.
  • 14.
    The plan wasto D/C topiramate and fluoxetine and start haloperidol 5 mg BID and benztropine 2 mg BID RFT, HbA1c were done and were normal
  • 15.
    After 4 monthsno improvement, and the patient still complaining of dry mouth, abdominal pain, and developed hirsutism and skin pigmentation in her back, legs, and arms, smelling bad odor and stopped haloperidol by herself, so we started olanzapine 15 mg nocte, and trifluperazine 5 mg BID
  • 16.
    •All the endocrineprofile was investigated with RFT, LFT, CBC, glucose profile, and electrolyte profile, and all the results were normal. •The final medications she was on were Aripiprazole 30 mg, Risperidone LAI 50 mg/ 2 weeks, Olanzapine 15 mg, Metformin 500 BID, Benztropine 1 mg BID, and Trifluperazine 5 mg BID And the patient showed no
  • 17.
    Mind-Body dualism ?! SharpeM & Walker J: Ch 5.1 Mind-body dualism, psychiatry, and medicine. In: Gelder MG et al (2009). New Oxford Textbook of Psychiatry, 2nd ed. Oxford, Oxford University Press
  • 18.
    Geddes J etal (2012). Psychiatry, 4th ed. Oxford, Oxford University Press
  • 19.
    Biopsychosocial formulation, 3Ps SharpeM & Walker J: Ch 5.1 Mind-body dualism, psychiatry, and medicine. In: Gelder MG et al (2009). New Oxford Textbook of Psychiatry, 2nd ed. Oxford, Oxford University Press
  • 20.
    Beck BJ etal: Ch 21 Mental Disorders Due to Another Medical Condition. In:Stern T et al (2016). Massachusetts General Hospital Comprehensive Clinical Psychiatry, 2nd. Elsevier
  • 21.
    Beck BJ etal: Ch 21 Mental Disorders Due to Another Medical Condition. In:Stern T et al (2016). Massachusetts General Hospital Comprehensive Clinical Psychiatry, 2nd. Elsevier
  • 22.
    DD of psychosis 1.Another medical conditions 2. Drugs / substances 3. Other mental ds
  • 23.
    Depending on theprevious data and findings, what may be the possible diagnosis? A)Resistant schizophrenia. B)Substance induced psychosis. C)Secondary psychosis. D)Non of the above.
  • 24.
    The next stepwas to reevaluate the case discovering the detailed history of the previous 15 years which revealed: •The patient developed galactorrhea twice before once she took risperidone tablets either with or without risperidone LAI •She showed some improvement on Valproate 500 BID mg and Quetiapine 900 mg by improvement of concentration only in 2003.
  • 25.
    • She didpituitary MRI and was free • CT brain with contrast which showed venous malformation at right side of cerebellum ( not clinically significant) in 3/2011 • In 7/2011 she was referred to do MRI due to possible complex partial seizures, which showed decreased volume of right hippocampus, and right mesial temporal sclerosis • EEG was done and was unremarkable.
  • 26.
    •By further historyof possible complex partial seizures, the mother reported that it is always present and happens many times per day. •The next step was to wash out all the antipsychotics and keep patient only on clonazepam with close observation and do MRI, CT, and EEG again.
  • 27.
    True or False? •Recentreviews show that chronic interictal psychosis is schizophrenia-like with frequent negative symptoms
  • 28.
    Psychiatric aspects ofepilepsy • Epilepsy is the “bridge” between psychiatry and neurology • Related to seizure (ictus): peri ictal / inter ictal • Related to psychosocial factors • Related to shared pathology
  • 29.
    Laura M: Ch7 Epilepsy. In: Lyketsos CG et al (2008). Psychiatric aspects of neurologic diseases : practical approaches to patient care. Oxford, Oxford University Press
  • 30.
    Psychosis and epilepsy •Strong association, but in various forms. • Ictal / Peri-ictal psychosis: status, rare • Post-ictal psychosis (PIP): single / recurrent • Inter-ictal psychosis: brief (BIP) / chronic (CIP) • Bimodal psychosis in some pts: PIP - FN - BIP Sachdev PS & Keshavan MS (2010). Secondary Schizophrenia, 1St Ed. New York, NY: Cambridge University Press. ● FN: Forced Normalization Salzberg M. Ch 13: Mood state, anxiety, and psychosis in epilepsy. In:Erik K St et al (2015). Epilepsy and the Interictal State: Co-Morbidities and Quality of Life, 1st ed. John Wiley & Sons, Ltd
  • 31.
    Chronic inter-ictal psychosis,CIP • Chronic inter-ictal psychosis: schizophrenia-like psychosis with few differences • Affect: preserved / swing, Visual hall, less negative sx • Forced normalization (FN) / Alternating psychosis: paradoxical, spurious, & may be false in few pts • AED induced psychosis: VGB, TPM, LEV, …… • Antipsychotic induced seizures • Post lobectomy psychosisSalzberg M. Ch 13: Mood state, anxiety, and psychosis in epilepsy. In:Erik K St et al (2015). Epilepsy and the Interictal State: Co-Morbidities and Quality of Life, 1st ed. John Wiley & Sons, Ltd
  • 32.
    •The investigations confirmedthe previous findings through MRI brain only •On the clinical base the patient is much improved on clonazepam with better concentration, activity, sleep, and less delusions and hallucinations.
  • 33.
    • After confirmationof diagnosis of mesial temporal sclerosis and complex partial seizures, we increased the dose of clonazepam to 3 mg at bedtime, and started on carbamazepine 200 mg at bedtime.
  • 34.
    •After 2 weeksof improvement the patient showed racing thoughts, hyperactivity, delusion of grandiosity, disinhibition, aggressive behavior, olfactory hallucinations, but sleeps well, so we decided to decrease the dose of Clonazepam gradually, and up titrating of oxcarbazepine to 600 mg BID, and start Quetiapine gradually till the dose of 1000 mg daily.
  • 35.
    WHAT HAPPENED? WHY THISPATIENT IS RESISTANT TO MEDICATIONS? WHAT ARE THE POSSIBLE TREATMENTS OF SUCH A PATIENT
  • 36.
  • 37.
    • Mesial temporalsclerosis is the commonest cause of partial complex seizures. • The etiology of this condition is controversial, but it is postulated that both acquired and developmental processes may be involved. Familial cases have also been reported. • Magnetic resonance imaging (MRI) is the imaging investigation of choice for the diagnosis and has been shown to be highly sensitive and specific(1) 1. Marchetti RL, Tavares AG, Gronich G, et al. Complete remission of epileptic psychosis after temporal lobectomy: case report. Arq Neuropsiquiatr 2001 Sep;59:802–805
  • 38.
    Lee TC etal (2015). Netter’s correlative imaging neuroanatomy. Philadelphia, PA, Elsevier Saunders
  • 39.
    T2 weighted MRI.This image demonstrates an abnormality in the right mesial temporal lobe. It is shrunken and malformed with enlargement of the temporal horn of the lateral ventricle. There is also a small area of abnormal high T2 signal within the right hippocampus. The left hippocampus is relatively normal.
  • 40.
    The T1 weightedimage demonstrates the lesion with somewhat better anatomical detail
  • 41.
  • 42.
    •Mesial temporal sclerosisis the most common pathologic entity associated with refractory temporal lobe epilepsy (TLE); it is seen in as many as 60% to 80% of cases.(2) 2. Bronen RA, Fulbright RK, Spencer DD, et al. Refractory epilepsy: comparison of MR imaging, CT, and histopathologic findings in 117 patients. Radiology 1996;201:97–105
  • 43.
    •medical treatment issuccessful in 25% of cases, whilst anterior temporal lobectomy (Tailored resection strategies including selective amygdala- hippocampectomy are established ) is effective in 70 - 95% of patients, with up to 80% postoperative seizure freedom within the first 2 years.(6) 6. von Lehe M, Lutz M, Kral T, Schramm J, Elger CE, Clus- mann H (2006) Correlation of health-related quality of life after surgery for mesial temporal lobe epilepsy with two sei- zure outcome scales. Epilepsy Behav 9:73–82
  • 44.
    Take-home messages • Psychosisis a trans-cutting clinical presentation through medical and mental conditions. • Schizophrenia is a diagnosis of exclusion after full medical and psychiatric assessment. • Epilepsy is strongly associated with mental disorders. • Psychosis in epileptic pts is around 4% • Psychosis has different forms with epilepsy • Mesial temporal sclerosis is a common pathology in intractable epilepsy and resistance to psychotropic medications
  • 45.