Challenges in the ManagementChallenges in the Management
of Bone Metastasisof Bone Metastasis
Freih Odeh Abu Hassan
F.R.C.S.(Eng.), F.R.C.S.(Tr.& Orth.)
Professor of Orthopaedics
The University of Jordan
1/14/2011 1Professor Freih AbuHassan -UJ
Why Bone Metastasis ?Why Bone Metastasis ?
1-Commonest type of Skeletal Tumors.
2-One of the Major Medical and Social2 One of the Major Medical and Social
problems in the future.!!!!!
The incidence is likely to increaseThe incidence is likely to increase,
as Ca. patients now survive longer.p g
1/14/2011 2Professor Freih AbuHassan -UJ
3-Long-term survival means3 Long term survival means
Orthopaedic Surgeon must plan for
d bl fi ti f #durable fixation of #.
4- Advances in Chemo R, Radiation R &
reconstructive techniques have improvedreconstructive techniques have improved
the treatment options.
restore function more quickly andrestore function more quickly and
more durably.
1/14/2011 3Professor Freih AbuHassan -UJ
5-Common errors in Dx or surgicalg
management that has adversely affected
f ti i lfunction or survival.
6-These errors often share a common feature:
Rush in judgment and treatment rather
than an informed, methodical evaluation.
1/14/2011 4Professor Freih AbuHassan -UJ
Magnitude of the ProblemMagnitude of the Problem
= Skel. mets varies: 12-70%
= Bone: 3rd most common organ involved
by mets, behind lung and liver.
= In Breast Ca.In Breast Ca.
(it is the 2nd most common site)
1/14/2011 5Professor Freih AbuHassan -UJ
In USAIn USA
= Ca. is the 2nd leading cause of deathCa. is the 2 leading cause of death
= 350,000 people die with bone mets /Y
Roodman .N Engl J Med. 2004g
Annual Dx of 1.2 million new Ca. cases.Annual Dx of 1.2 million new Ca. cases.
@ 30% invasive Ca. (70% Bone Mets)
@ 1 i 9 f ll h d C b t@ 1 in 9 of all women had Ca. breast.
@ 7-10% develop pathological fractures@ p p g
1/14/2011 6Professor Freih AbuHassan -UJ
Common Sequelae ofCommon Sequelae of
Bone Mets.
1-Pain due to PG, Substance P,…due o G, Subs ce ,…
2-Pathological Fracture,
3-Cord & Cauda Equina Syndrome
4 S i l i t bilit4-Spinal instability
5- Hypercalcaemia5- Hypercalcaemia
6-B. M Suppressionpp
1/14/2011 7Professor Freih AbuHassan -UJ
Evaluation and ManagementEvaluation and Management
= History &Examy
= Imaging Techniquesg g q
= Lab. Investigations
=Proper Plan for
Management
1/14/2011 8Professor Freih AbuHassan -UJ
Th i di ti f S f lThe indications for Surgery of long-
bone and Pelvic Girdle metastasesbone and Pelvic Girdle metastases.
= Impending and pathological #
I t t bl i= Intractable pain
P f h i l iPresence of mechanical pain
Patients with a life expectancy
f >6 kof >6 weeks1/14/2011 9Professor Freih AbuHassan -UJ
The goal of SurgeryThe goal of Surgery
Reinforce or replace the affected boneReinforce or replace the affected bone
with a rigid and durable construct.g
Why durable construct?Why durable construct?
Fixation must persist for the life, because
th b i l d i t t ti l ithe bone involved in metastatic lesions
may not heal.y
1/14/2011 10Professor Freih AbuHassan -UJ
Principles of Surgical ManagementPrinciples of Surgical Management
1 P E b li ti f d l1-Preop. Embolization of suspected vascular
lesions e.g Renal ,Thyroid
2-Correction of Hypercalcemia
3 Correct preexisting anemia thrombocytopenia3-Correct preexisting anemia, thrombocytopenia
and coagulopathy.
A id i l i di d fi ld4-Avoid previously irradiated fields and
ensure adequate soft tissue coverage
5-Curettage to remove all gross tumor.
1/14/2011 11Professor Freih AbuHassan -UJ
Surgical MarginsSurgical Margins
Intralesional excision are appropriateIntralesional excision are appropriate
in metastatic skeletal lesions requiring
fixation
Extralesional excision i.e. resectionExtralesional excision i.e. resection
(for a solitary metastatic lesion).
1/14/2011 12Professor Freih AbuHassan -UJ
How to avoid undertreatment ofHow to avoid undertreatment of
pathologic & impending #?pathologic & impending #?
Always ask,y
“Where can I put the
bone cement?”
1/14/2011 13Professor Freih AbuHassan -UJ
1-Upper Extremity Mets
= 20% of bony mets occur in UL.
50% i th h= 50% are in the humerus.
=Disabling as in the lower extremity.s b g s e owe e e y
1/14/2011 14Professor Freih AbuHassan -UJ
Predicting the Risk of Pathological Fracture
Mirels' Scoring System Clin Orthop. 1989
Variable Score
1 2 3
Sit Upper Limb Lower Limb PeriSite Upper Limb Lower Limb Peri-
trochanter
Pain Mild Moderate Severe
Lesion Blastic Mixed Lytic
Size <1/3 1/3-2/3 >2/31/14/2011 15Professor Freih AbuHassan -UJ
33% risk
15% risk
1/14/2011 16Professor Freih AbuHassan -UJ
Problems
= Some patients with an impending fracture
Problems
= Some patients with an impending fracture
may not experience pain.
= Not applicable to the acetabulum and theNot applicable to the acetabulum and the
Vertebrae (Complex Anatomy)
1/14/2011 17Professor Freih AbuHassan -UJ
Humeral Head Mets
H i th l t ith l t= Hemiarthroplasty with long stem or
= Plates with PMMA
Proximal Humerus MetsProximal Humerus Mets
Resection of the proximal humerus &
Endoprosthesis reconstruction
1/14/2011 18Professor Freih AbuHassan -UJ
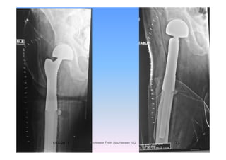
Endoprosthesis
Mets. Renal Cell Ca.
Endoprosthesis
Reconstruction
1/14/2011 19Professor Freih AbuHassan -UJ
M t R l ll d Th id CMets Renal cell and Thyroid Ca.
are the only Solitary Bone Mets forare the only Solitary Bone Mets. for
which resection increase patientp
survival
Lin etal. JBJS-A . 2007
Sampson etal. Cancer. 2007
1/14/2011 20Professor Freih AbuHassan -UJ
Upper Humeral Shaft MetsUpper Humeral Shaft Mets
1= Locked or Cemented IMN
( Flexible IMN, are no longer recommended).
2= Side Plate + Screws & PMMA
N il t Pl t l ltSNails to Plates equal resultS
1/14/2011 21Professor Freih AbuHassan -UJ
(A) inadequate reconstruction
(B) failure of fixation(B) failure of fixation
(C) appropriate reconstruction with cementation.1/14/2011 22Professor Freih AbuHassan -UJ
3= Resection & Shorteningg
if the lesion is < 3 or 4 cm in length.
1/14/2011 23Professor Freih AbuHassan -UJ
Lower Humeral Shaft LesionLower Humeral Shaft Lesion
Dual reconstruction plates with PMMA
N.B: Olecranon osteotomy nonunion
when patients are radiated.
1/14/2011 24Professor Freih AbuHassan -UJ
1/14/2011 25Professor Freih AbuHassan -UJ
E t i l i th j i tExtensive lesions near the joint
Total elbow arthroplastyTotal elbow arthroplasty
1/14/2011 26Professor Freih AbuHassan -UJ
1/14/2011 27Professor Freih AbuHassan -UJ
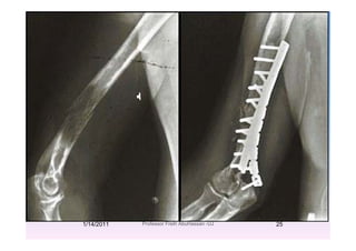
F M tForearm Mets
Plate fixation with PMMA
1/14/2011 28Professor Freih AbuHassan -UJ
2 Spinal Metastases2-Spinal Metastases
= 98% of Spine tumors are mets
V t b l b d ff t d fi t= Vertebral body affected first.
1/14/2011 29Professor Freih AbuHassan -UJ
Indications of SurgeryIndications of Surgery
1. Intractable pain
2. Growing tumor resistant to other2. Growing tumor resistant to other
measures.
3 N t R di ti Th3. No response to Radiation Therapy
4. Spinal instabilityp y
5. Neural compression.
Tomita 2001 McAfee 1989 Siegal 1989Tomita 2001, McAfee 1989, Siegal 1989
1/14/2011 30Professor Freih AbuHassan -UJ
Signs of Spinal instabilitySigns of Spinal instability
i i f i=Transitional deformity
=Vertebral body collapse of >50%Vertebral body collapse of >50%
=Tumor involvement of 2-3 columns
= Involvement of the same column at
> 2 adjacent levels> 2 adjacent levels.
1/14/2011 31Professor Freih AbuHassan -UJ
= Surgery before irradiation
= Irradiation which preceding surgery has a
significantly higher complication rate.1/14/2011 32Professor Freih AbuHassan -UJ
Disadvantages of Laminectomy forDisadvantages of Laminectomy for
Treatment of Spinal Cordeat e t o Sp a Co d
Compression.
= Does not address the ant. pathological process.
= Removal of the post. elements may worsen theRemoval of the post. elements may worsen the
existing instability and deformity
1/14/2011 33Professor Freih AbuHassan -UJ
Ideal Operation for Spinal MetsIdeal Operation for Spinal Mets
R l f th t d fi tiRemoval of the tumor, and fixation
for stabilization.for stabilization.
Holman etal J Neurosurg Spine 2005Holman. etal. J Neurosurg Spine. 2005
1/14/2011 34Professor Freih AbuHassan -UJ
= Anterior approach(thoracotomy) for Th.VAnterior approach(thoracotomy) for Th.V
= Retroperitoneal approach for L. vertebrae
P t l t l h= Posterolateral approach.
= Transpedicular approach
Graham. Etal. Orthopedics. 1997
=Fixation with Cages and Ant. Plates is the
f d h i i ipreferred technique in most instances.
Ci f ti l fi ti i d i bl=Circumferential fixation is advisable
when posterior elements are involved.p
1/14/2011 35Professor Freih AbuHassan -UJ
1/14/2011 36Professor Freih AbuHassan -UJ
Vertebral Body Replacement1/14/2011 37Professor Freih AbuHassan -UJ
T10
T12
550
T12
L1
L2
73-year-old man with T11 Lesion ( Prostate Ca.)1/14/2011 38Professor Freih AbuHassan -UJ
25o25
1/14/2011 39Professor Freih AbuHassan -UJ
VertebroplastyVertebroplasty
Direct injection of PMMA into the vertebral bodyDirect injection of PMMA into the vertebral body
induce immediate stability.
KyphoplastyKyphoplasty
Inflatable balloon to restore the vertebral bodyInflatable balloon to restore the vertebral body
height and correct the kyphotic deformity followed
b th i j ti f PMMAby the injection of PMMA.
1/14/2011 40Professor Freih AbuHassan -UJ
IndicationsIndications
= Spinal mets in poor medical condition or
a short life expectancya short life expectancy
= Intractable pain,
= Spinal instability without a neurological deficit.
Advantages
=Stabilization=Stabilization,
= 45% correction of the kyphosis
di i l i b=Immediate pain control in about 85%
Chen etal Spine. 2007p
1/14/2011 41Professor Freih AbuHassan -UJ
Potential Complications
= Leakage of cement into the spinal canal 10%
E id l i l d i= Epidural spinal cord compression
Singh etal J Bone Joint Surg Br 2006Singh etal. J Bone Joint Surg Br. 2006
1/14/2011 42Professor Freih AbuHassan -UJ
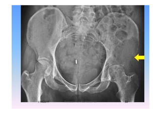
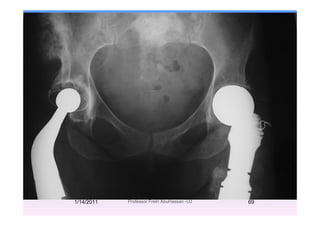
3 Periacetabular lesions3-Periacetabular lesions
T h l i l d h i lifi d thTechnological advances have simplified the
surgical treatment of Pelvic Metastasesg
P t i Ri D iProtrusio Ring Devices,
+/ Flanges Obturator hook+/- Flanges, Obturator hook1/14/2011 43Professor Freih AbuHassan -UJ
Harrington Classification of
Acetabular Bony Defect
Cl IClass I Contained Cavitary defect.
Lateral cortices, Superior walls & Medial, p
walls are intact
Class II Medial wall and Dome involved-
P i h l t b l / i i t tPeripheral acetabulum / rim intact
Class III Defects in both lateral wall and the
Superior corticesSuperior cortices
1/14/2011 44Professor Freih AbuHassan -UJ
Class-I lesion
Conventional Cemented
Acetabular Component.Acetabular Component.
M l T b lMore recently, Trabecular
Metal Acetabular
components esp in patients
treated preop ith pel ictreated preop. with pelvic
radiation
Rose. etal Clin Orthop. 2006
1/14/2011 45Professor Freih AbuHassan -UJ
In Class-I lesion with sufficient bone over
the roof, can be treated with intralesional
Curettage and internal fixation withCurettage and internal fixation with
PMMA
Class-I
1/14/2011 46Professor Freih AbuHassan -UJ
Class-II (loss of Medial structural continuity)(
Protrusio Acetabuli Cup.
1/14/2011 47Professor Freih AbuHassan -UJ
Class-III
All th l t f th t b l itAll three elements of the acetabular cavity are
violated Complex reconstruction of thep
missing cavity with
= Steinmann pinsp
= Mesh
= Special Recon. Ringes
= PMMA= PMMA1/14/2011 48Professor Freih AbuHassan -UJ
Class III 55 Y, Male, RCC
M di l ll i d d h f thMedial wall, superior dome and much of the
acetabular rim have been destroyed
(Preserved femoral head)1/14/2011 49Professor Freih AbuHassan -UJ
AP Lat.1/14/2011 50Professor Freih AbuHassan -UJ
Class III
A 59 ld f lA 59 year-old female
Breast Ca.
1/14/2011 51Professor Freih AbuHassan -UJ
1/14/2011 52Professor Freih AbuHassan -UJ
1/14/2011 53Professor Freih AbuHassan -UJ
S ddl P th iSaddle Prosthesis
1/14/2011 54Professor Freih AbuHassan -UJ
Kitagawa. J Orthop Surg. 20061/14/2011 55Professor Freih AbuHassan -UJ
4-Lower Extremities
MetastasisMetastasis
1/14/2011 56Professor Freih AbuHassan -UJ
Harrington’s Definition of anHarrington s Definition of an
impending path. # of a long bonep g p g
= Cortical bone destruction of 50%Cortical bone destruction of 50%
= lesion of 2.5 cm in the proximal part of the
ffemur
= Pathological avulsion # of the lesser trochanter,
= Persistence of pain despite radiation therapy.
Harrington. Instr Course Lect. 1986
1/14/2011 57Professor Freih AbuHassan -UJ
Neck femur
If destruction is limited to the
f l k h dfemoral neck or head
C t d H i th l t= Cemented Hemi arthroplasty
= Cemented Total Hip replacementCemented Total Hip replacement.
1/14/2011 58Professor Freih AbuHassan -UJ
Long Stem Cementedg
Hemiarthroplasty
1/14/2011 59Professor Freih AbuHassan -UJ
i fTrochanteric fractures
May require cemented arthroplastyMay require cemented arthroplasty
if there is significant destruction ofif there is significant destruction of
bone.
1/14/2011 60Professor Freih AbuHassan -UJ
C t d IMNCemented IMN
1/14/2011 61Professor Freih AbuHassan -UJ
O l d i DHS ldOnlay devices e.g DHS are seldom
indicated in pathological #indicated in pathological #
high rate of mechanical failurehigh rate of mechanical failure
(breakage or cutting-out of the
screws)
1/14/2011 62Professor Freih AbuHassan -UJ
1/14/2011 63Professor Freih AbuHassan -UJ
Subtrochanteric fractureSubtrochanteric fracture
Reconstruction nail with locking
l th f l kscrews along the femoral neck.
reduces the risk of subsequent NOF fracturereduces the risk of subsequent NOF fracture
if th f t f il t it i tiif the fracture fails to unite, persisting
pain may result in revision surgery orpain may result in revision surgery or
even Proximal Femoral Replacement.p
1/14/2011 64Professor Freih AbuHassan -UJ
Renal Cell Ca
1/14/2011 65Professor Freih AbuHassan -UJ
Needs ProximalNeeds Proximal
Femoral Replacement
1/14/2011 66Professor Freih AbuHassan -UJ
Metastatic Sq.CC
1/14/2011 67Professor Freih AbuHassan -UJ
Endoprosthetic SurgeryEndoprosthetic Surgery
E t i d t ti f j l bExtensive destruction of major long bones,
particularly in the metaphyseal regionp y p y g
(hip, knee,)
Custom or modular endoprosthesesp
(‘megaprostheses’)
1/14/2011 68Professor Freih AbuHassan -UJ
1/14/2011 69Professor Freih AbuHassan -UJ
70 Y ld l C l C70 Y old male, Colon Cancer1/14/2011 70Professor Freih AbuHassan -UJ
Extensive bone destruction and soft tissue mass
1/14/2011 71Professor Freih AbuHassan -UJ
17 ti17cm resection1/14/2011 72Professor Freih AbuHassan -UJ
1/14/2011 73Professor Freih AbuHassan -UJ
Histopathology
Chondrosarcoma
High gradeg g
1/14/2011 74Professor Freih AbuHassan -UJ
Operation for long bone metastases
= Adequate exposure of the tumor site
p g
q p
= Large cortical window
=Tumor removal with curets and a high-speed burr.g p
=Introduction of an IMNIntroduction of an IMN
=Proper positioning and length are verified,
=The nail is partially withdrawn=The nail is partially withdrawn
=The entire tumor cavity is filled with PMMA
=The nail is then pushed back into the medullary canal
d fi d ith i t l kiand fixed with interlocking screws
1/14/2011 75Professor Freih AbuHassan -UJ
Supracondylar Femoral metsSupracondylar Femoral mets
Metastatic lesions of the distal femoral diaphysis &Metastatic lesions of the distal femoral diaphysis &
condyles are best treated by medial and lateral
Zickel rods with PMMAZickel rods with PMMA.
Large distal femoral metaph seal lesionsLarge distal femoral metaphyseal lesions,
especially those associated with intra-p y
articular extension and/or large soft-tissue
components Custom or modular distalcomponents, Custom or modular distal
femoral endoprosthetic replacement.
1/14/2011 76Professor Freih AbuHassan -UJ
1/14/2011 77Professor Freih AbuHassan -UJ
MetastaticMetastatic
lung Ca.
1/14/2011 78Professor Freih AbuHassan -UJ
78-year-old woman with metastatic Renal Ca.
T t d b tt d PMMATreated by curettage and PMMA .
1/14/2011 79Professor Freih AbuHassan -UJ
G l P t ti CGeneral Postoperative Care
RehabilitationRehabilitation
= If stability OK FWB and ROM exercises to
the adjacent joints
= Early discharge enhance the patient’s moraley g p
and minimize the interruption of an ongoing
oncological program of treatmentoncological program of treatment.
Frassica. Clin Orthop Relat Res. 2003
1/14/2011 80Professor Freih AbuHassan -UJ
P i t t R bPoints to Remember
1= Detailed preoperative evaluation
2= Curettage to remove all gross disease.
3=Use immediate rigid fixation consisting of3 Use immediate rigid fixation consisting of
PMMA or Cemented Prosthetic
R lReplacement.
4= Adjuvant RadioR + - ChemR after 2W
1/14/2011 81Professor Freih AbuHassan -UJ
5- ORIF of mets # around the hip, with
trauma implants e.g DHS, (loadsharingtrauma implants e.g DHS, (loadsharing
rather than loadbearing) is not good
Pathological # will not unite breakageg g
of the implant or cutting out of the fixation
screwsscrews.
6-Preop. embolization if needed.
1/14/2011 82Professor Freih AbuHassan -UJ
7- Fixation of a solitary lesion as a metastatic7 Fixation of a solitary lesion as a metastatic
deposit or fracture but without prior confirmation of
didisease.
If the lesion proves to be a primary
sarcoma dissimination of tumour tosarcoma dissimination of tumour to
medulla and soft tissue renderingg
limb salvage surgery impossible.
1/14/2011 83Professor Freih AbuHassan -UJ
Multidisciplinary Care TeamMultidisciplinary Care Team
1-Oncologist
2-Pathologist
3-Radiologist3 Radiologist
4-Cancer nurse
6 i i i6-Rehabilitation
5-Pain Specialist5 Spec s
7-Radiotherapist
8 O th di S8-Orthopaedic Surgeon
9-Palliative Care Specialistsp
1/14/2011 84Professor Freih AbuHassan -UJ
Can we prevent Bone Metastasis?Can we prevent Bone Metastasis?
BisphosphonatesBisphosphonates
Th ld t d d th f B tThe gold standard therapy for Breast
Cancer with bone metastases
Effective for reducing Skeletal complications
Cancer with bone metastases
=Bone pain
=Pathological fracture=Pathological fracture
=Bone surgeryg y
=Hypercalcemia.1/14/2011 85Professor Freih AbuHassan -UJ
Actions of Bisphosphonates
1- Potent inhibitors of osteoclastic bone resorption
2 Bi d t h d tit t l ( ti it f2- Bind to hydroxyapatite crystals (active sites of
bone remodeling)
3- Inhibit osteoclast-mediated bone resorption
4- Cause osteoclast apoptosis, thereby inhibitingp p , y g
bone loss
5-Has antineoplastic effects5-Has antineoplastic effects.
Bickels. JBJS. 2009
1/14/2011 86Professor Freih AbuHassan -UJ
JUSTJUST
Diabetic
CenterCenter
JORDAN UNIVERSITYJORDAN UNIVERSITY
MotahKHCC
1/14/2011 87Professor Freih AbuHassan -UJ
Reminder
Limb Salvage Clinic KHCC
Reminder
Limb Salvage Clinic KHCC
Sunday 10.00 amy
Advanced Ped OrthopaedicAdvanced Ped. Orthopaedic
Course
-Call for Jordanian Speakers
-CTEV Workshop registration
1/14/2011 88Professor Freih AbuHassan -UJ
Thank YouThank You
1/14/2011 89Professor Freih AbuHassan -UJ

- اورام العظام الخبيثه Bone metastasis-البروفيسور فريح ابوحسان - استشاري اورام العظام في الاردن

  • 1.
    Challenges in theManagementChallenges in the Management of Bone Metastasisof Bone Metastasis Freih Odeh Abu Hassan F.R.C.S.(Eng.), F.R.C.S.(Tr.& Orth.) Professor of Orthopaedics The University of Jordan 1/14/2011 1Professor Freih AbuHassan -UJ
  • 2.
    Why Bone Metastasis?Why Bone Metastasis ? 1-Commonest type of Skeletal Tumors. 2-One of the Major Medical and Social2 One of the Major Medical and Social problems in the future.!!!!! The incidence is likely to increaseThe incidence is likely to increase, as Ca. patients now survive longer.p g 1/14/2011 2Professor Freih AbuHassan -UJ
  • 3.
    3-Long-term survival means3Long term survival means Orthopaedic Surgeon must plan for d bl fi ti f #durable fixation of #. 4- Advances in Chemo R, Radiation R & reconstructive techniques have improvedreconstructive techniques have improved the treatment options. restore function more quickly andrestore function more quickly and more durably. 1/14/2011 3Professor Freih AbuHassan -UJ
  • 4.
    5-Common errors inDx or surgicalg management that has adversely affected f ti i lfunction or survival. 6-These errors often share a common feature: Rush in judgment and treatment rather than an informed, methodical evaluation. 1/14/2011 4Professor Freih AbuHassan -UJ
  • 5.
    Magnitude of theProblemMagnitude of the Problem = Skel. mets varies: 12-70% = Bone: 3rd most common organ involved by mets, behind lung and liver. = In Breast Ca.In Breast Ca. (it is the 2nd most common site) 1/14/2011 5Professor Freih AbuHassan -UJ
  • 6.
    In USAIn USA =Ca. is the 2nd leading cause of deathCa. is the 2 leading cause of death = 350,000 people die with bone mets /Y Roodman .N Engl J Med. 2004g Annual Dx of 1.2 million new Ca. cases.Annual Dx of 1.2 million new Ca. cases. @ 30% invasive Ca. (70% Bone Mets) @ 1 i 9 f ll h d C b t@ 1 in 9 of all women had Ca. breast. @ 7-10% develop pathological fractures@ p p g 1/14/2011 6Professor Freih AbuHassan -UJ
  • 7.
    Common Sequelae ofCommonSequelae of Bone Mets. 1-Pain due to PG, Substance P,…due o G, Subs ce ,… 2-Pathological Fracture, 3-Cord & Cauda Equina Syndrome 4 S i l i t bilit4-Spinal instability 5- Hypercalcaemia5- Hypercalcaemia 6-B. M Suppressionpp 1/14/2011 7Professor Freih AbuHassan -UJ
  • 8.
    Evaluation and ManagementEvaluationand Management = History &Examy = Imaging Techniquesg g q = Lab. Investigations =Proper Plan for Management 1/14/2011 8Professor Freih AbuHassan -UJ
  • 9.
    Th i diti f S f lThe indications for Surgery of long- bone and Pelvic Girdle metastasesbone and Pelvic Girdle metastases. = Impending and pathological # I t t bl i= Intractable pain P f h i l iPresence of mechanical pain Patients with a life expectancy f >6 kof >6 weeks1/14/2011 9Professor Freih AbuHassan -UJ
  • 10.
    The goal ofSurgeryThe goal of Surgery Reinforce or replace the affected boneReinforce or replace the affected bone with a rigid and durable construct.g Why durable construct?Why durable construct? Fixation must persist for the life, because th b i l d i t t ti l ithe bone involved in metastatic lesions may not heal.y 1/14/2011 10Professor Freih AbuHassan -UJ
  • 11.
    Principles of SurgicalManagementPrinciples of Surgical Management 1 P E b li ti f d l1-Preop. Embolization of suspected vascular lesions e.g Renal ,Thyroid 2-Correction of Hypercalcemia 3 Correct preexisting anemia thrombocytopenia3-Correct preexisting anemia, thrombocytopenia and coagulopathy. A id i l i di d fi ld4-Avoid previously irradiated fields and ensure adequate soft tissue coverage 5-Curettage to remove all gross tumor. 1/14/2011 11Professor Freih AbuHassan -UJ
  • 12.
    Surgical MarginsSurgical Margins Intralesionalexcision are appropriateIntralesional excision are appropriate in metastatic skeletal lesions requiring fixation Extralesional excision i.e. resectionExtralesional excision i.e. resection (for a solitary metastatic lesion). 1/14/2011 12Professor Freih AbuHassan -UJ
  • 13.
    How to avoidundertreatment ofHow to avoid undertreatment of pathologic & impending #?pathologic & impending #? Always ask,y “Where can I put the bone cement?” 1/14/2011 13Professor Freih AbuHassan -UJ
  • 14.
    1-Upper Extremity Mets =20% of bony mets occur in UL. 50% i th h= 50% are in the humerus. =Disabling as in the lower extremity.s b g s e owe e e y 1/14/2011 14Professor Freih AbuHassan -UJ
  • 15.
    Predicting the Riskof Pathological Fracture Mirels' Scoring System Clin Orthop. 1989 Variable Score 1 2 3 Sit Upper Limb Lower Limb PeriSite Upper Limb Lower Limb Peri- trochanter Pain Mild Moderate Severe Lesion Blastic Mixed Lytic Size <1/3 1/3-2/3 >2/31/14/2011 15Professor Freih AbuHassan -UJ
  • 16.
    33% risk 15% risk 1/14/201116Professor Freih AbuHassan -UJ
  • 17.
    Problems = Some patientswith an impending fracture Problems = Some patients with an impending fracture may not experience pain. = Not applicable to the acetabulum and theNot applicable to the acetabulum and the Vertebrae (Complex Anatomy) 1/14/2011 17Professor Freih AbuHassan -UJ
  • 18.
    Humeral Head Mets Hi th l t ith l t= Hemiarthroplasty with long stem or = Plates with PMMA Proximal Humerus MetsProximal Humerus Mets Resection of the proximal humerus & Endoprosthesis reconstruction 1/14/2011 18Professor Freih AbuHassan -UJ
  • 19.
    Endoprosthesis Mets. Renal CellCa. Endoprosthesis Reconstruction 1/14/2011 19Professor Freih AbuHassan -UJ
  • 20.
    M t Rl ll d Th id CMets Renal cell and Thyroid Ca. are the only Solitary Bone Mets forare the only Solitary Bone Mets. for which resection increase patientp survival Lin etal. JBJS-A . 2007 Sampson etal. Cancer. 2007 1/14/2011 20Professor Freih AbuHassan -UJ
  • 21.
    Upper Humeral ShaftMetsUpper Humeral Shaft Mets 1= Locked or Cemented IMN ( Flexible IMN, are no longer recommended). 2= Side Plate + Screws & PMMA N il t Pl t l ltSNails to Plates equal resultS 1/14/2011 21Professor Freih AbuHassan -UJ
  • 22.
    (A) inadequate reconstruction (B)failure of fixation(B) failure of fixation (C) appropriate reconstruction with cementation.1/14/2011 22Professor Freih AbuHassan -UJ
  • 23.
    3= Resection &Shorteningg if the lesion is < 3 or 4 cm in length. 1/14/2011 23Professor Freih AbuHassan -UJ
  • 24.
    Lower Humeral ShaftLesionLower Humeral Shaft Lesion Dual reconstruction plates with PMMA N.B: Olecranon osteotomy nonunion when patients are radiated. 1/14/2011 24Professor Freih AbuHassan -UJ
  • 25.
  • 26.
    E t il i th j i tExtensive lesions near the joint Total elbow arthroplastyTotal elbow arthroplasty 1/14/2011 26Professor Freih AbuHassan -UJ
  • 27.
  • 28.
    F M tForearmMets Plate fixation with PMMA 1/14/2011 28Professor Freih AbuHassan -UJ
  • 29.
    2 Spinal Metastases2-SpinalMetastases = 98% of Spine tumors are mets V t b l b d ff t d fi t= Vertebral body affected first. 1/14/2011 29Professor Freih AbuHassan -UJ
  • 30.
    Indications of SurgeryIndicationsof Surgery 1. Intractable pain 2. Growing tumor resistant to other2. Growing tumor resistant to other measures. 3 N t R di ti Th3. No response to Radiation Therapy 4. Spinal instabilityp y 5. Neural compression. Tomita 2001 McAfee 1989 Siegal 1989Tomita 2001, McAfee 1989, Siegal 1989 1/14/2011 30Professor Freih AbuHassan -UJ
  • 31.
    Signs of SpinalinstabilitySigns of Spinal instability i i f i=Transitional deformity =Vertebral body collapse of >50%Vertebral body collapse of >50% =Tumor involvement of 2-3 columns = Involvement of the same column at > 2 adjacent levels> 2 adjacent levels. 1/14/2011 31Professor Freih AbuHassan -UJ
  • 32.
    = Surgery beforeirradiation = Irradiation which preceding surgery has a significantly higher complication rate.1/14/2011 32Professor Freih AbuHassan -UJ
  • 33.
    Disadvantages of LaminectomyforDisadvantages of Laminectomy for Treatment of Spinal Cordeat e t o Sp a Co d Compression. = Does not address the ant. pathological process. = Removal of the post. elements may worsen theRemoval of the post. elements may worsen the existing instability and deformity 1/14/2011 33Professor Freih AbuHassan -UJ
  • 34.
    Ideal Operation forSpinal MetsIdeal Operation for Spinal Mets R l f th t d fi tiRemoval of the tumor, and fixation for stabilization.for stabilization. Holman etal J Neurosurg Spine 2005Holman. etal. J Neurosurg Spine. 2005 1/14/2011 34Professor Freih AbuHassan -UJ
  • 35.
    = Anterior approach(thoracotomy)for Th.VAnterior approach(thoracotomy) for Th.V = Retroperitoneal approach for L. vertebrae P t l t l h= Posterolateral approach. = Transpedicular approach Graham. Etal. Orthopedics. 1997 =Fixation with Cages and Ant. Plates is the f d h i i ipreferred technique in most instances. Ci f ti l fi ti i d i bl=Circumferential fixation is advisable when posterior elements are involved.p 1/14/2011 35Professor Freih AbuHassan -UJ
  • 36.
  • 37.
    Vertebral Body Replacement1/14/201137Professor Freih AbuHassan -UJ
  • 38.
    T10 T12 550 T12 L1 L2 73-year-old man withT11 Lesion ( Prostate Ca.)1/14/2011 38Professor Freih AbuHassan -UJ
  • 39.
  • 40.
    VertebroplastyVertebroplasty Direct injection ofPMMA into the vertebral bodyDirect injection of PMMA into the vertebral body induce immediate stability. KyphoplastyKyphoplasty Inflatable balloon to restore the vertebral bodyInflatable balloon to restore the vertebral body height and correct the kyphotic deformity followed b th i j ti f PMMAby the injection of PMMA. 1/14/2011 40Professor Freih AbuHassan -UJ
  • 41.
    IndicationsIndications = Spinal metsin poor medical condition or a short life expectancya short life expectancy = Intractable pain, = Spinal instability without a neurological deficit. Advantages =Stabilization=Stabilization, = 45% correction of the kyphosis di i l i b=Immediate pain control in about 85% Chen etal Spine. 2007p 1/14/2011 41Professor Freih AbuHassan -UJ
  • 42.
    Potential Complications = Leakageof cement into the spinal canal 10% E id l i l d i= Epidural spinal cord compression Singh etal J Bone Joint Surg Br 2006Singh etal. J Bone Joint Surg Br. 2006 1/14/2011 42Professor Freih AbuHassan -UJ
  • 43.
    3 Periacetabular lesions3-Periacetabularlesions T h l i l d h i lifi d thTechnological advances have simplified the surgical treatment of Pelvic Metastasesg P t i Ri D iProtrusio Ring Devices, +/ Flanges Obturator hook+/- Flanges, Obturator hook1/14/2011 43Professor Freih AbuHassan -UJ
  • 44.
    Harrington Classification of AcetabularBony Defect Cl IClass I Contained Cavitary defect. Lateral cortices, Superior walls & Medial, p walls are intact Class II Medial wall and Dome involved- P i h l t b l / i i t tPeripheral acetabulum / rim intact Class III Defects in both lateral wall and the Superior corticesSuperior cortices 1/14/2011 44Professor Freih AbuHassan -UJ
  • 45.
    Class-I lesion Conventional Cemented AcetabularComponent.Acetabular Component. M l T b lMore recently, Trabecular Metal Acetabular components esp in patients treated preop ith pel ictreated preop. with pelvic radiation Rose. etal Clin Orthop. 2006 1/14/2011 45Professor Freih AbuHassan -UJ
  • 46.
    In Class-I lesionwith sufficient bone over the roof, can be treated with intralesional Curettage and internal fixation withCurettage and internal fixation with PMMA Class-I 1/14/2011 46Professor Freih AbuHassan -UJ
  • 47.
    Class-II (loss ofMedial structural continuity)( Protrusio Acetabuli Cup. 1/14/2011 47Professor Freih AbuHassan -UJ
  • 48.
    Class-III All th lt f th t b l itAll three elements of the acetabular cavity are violated Complex reconstruction of thep missing cavity with = Steinmann pinsp = Mesh = Special Recon. Ringes = PMMA= PMMA1/14/2011 48Professor Freih AbuHassan -UJ
  • 49.
    Class III 55Y, Male, RCC M di l ll i d d h f thMedial wall, superior dome and much of the acetabular rim have been destroyed (Preserved femoral head)1/14/2011 49Professor Freih AbuHassan -UJ
  • 50.
    AP Lat.1/14/2011 50ProfessorFreih AbuHassan -UJ
  • 51.
    Class III A 59ld f lA 59 year-old female Breast Ca. 1/14/2011 51Professor Freih AbuHassan -UJ
  • 52.
  • 53.
  • 54.
    S ddl Pth iSaddle Prosthesis 1/14/2011 54Professor Freih AbuHassan -UJ
  • 55.
    Kitagawa. J OrthopSurg. 20061/14/2011 55Professor Freih AbuHassan -UJ
  • 56.
  • 57.
    Harrington’s Definition ofanHarrington s Definition of an impending path. # of a long bonep g p g = Cortical bone destruction of 50%Cortical bone destruction of 50% = lesion of 2.5 cm in the proximal part of the ffemur = Pathological avulsion # of the lesser trochanter, = Persistence of pain despite radiation therapy. Harrington. Instr Course Lect. 1986 1/14/2011 57Professor Freih AbuHassan -UJ
  • 58.
    Neck femur If destructionis limited to the f l k h dfemoral neck or head C t d H i th l t= Cemented Hemi arthroplasty = Cemented Total Hip replacementCemented Total Hip replacement. 1/14/2011 58Professor Freih AbuHassan -UJ
  • 59.
    Long Stem Cementedg Hemiarthroplasty 1/14/201159Professor Freih AbuHassan -UJ
  • 60.
    i fTrochanteric fractures Mayrequire cemented arthroplastyMay require cemented arthroplasty if there is significant destruction ofif there is significant destruction of bone. 1/14/2011 60Professor Freih AbuHassan -UJ
  • 61.
    C t dIMNCemented IMN 1/14/2011 61Professor Freih AbuHassan -UJ
  • 62.
    O l di DHS ldOnlay devices e.g DHS are seldom indicated in pathological #indicated in pathological # high rate of mechanical failurehigh rate of mechanical failure (breakage or cutting-out of the screws) 1/14/2011 62Professor Freih AbuHassan -UJ
  • 63.
  • 64.
    Subtrochanteric fractureSubtrochanteric fracture Reconstructionnail with locking l th f l kscrews along the femoral neck. reduces the risk of subsequent NOF fracturereduces the risk of subsequent NOF fracture if th f t f il t it i tiif the fracture fails to unite, persisting pain may result in revision surgery orpain may result in revision surgery or even Proximal Femoral Replacement.p 1/14/2011 64Professor Freih AbuHassan -UJ
  • 65.
    Renal Cell Ca 1/14/201165Professor Freih AbuHassan -UJ
  • 66.
    Needs ProximalNeeds Proximal FemoralReplacement 1/14/2011 66Professor Freih AbuHassan -UJ
  • 67.
  • 68.
    Endoprosthetic SurgeryEndoprosthetic Surgery Et i d t ti f j l bExtensive destruction of major long bones, particularly in the metaphyseal regionp y p y g (hip, knee,) Custom or modular endoprosthesesp (‘megaprostheses’) 1/14/2011 68Professor Freih AbuHassan -UJ
  • 69.
  • 70.
    70 Y ldl C l C70 Y old male, Colon Cancer1/14/2011 70Professor Freih AbuHassan -UJ
  • 71.
    Extensive bone destructionand soft tissue mass 1/14/2011 71Professor Freih AbuHassan -UJ
  • 72.
    17 ti17cm resection1/14/201172Professor Freih AbuHassan -UJ
  • 73.
  • 74.
  • 75.
    Operation for longbone metastases = Adequate exposure of the tumor site p g q p = Large cortical window =Tumor removal with curets and a high-speed burr.g p =Introduction of an IMNIntroduction of an IMN =Proper positioning and length are verified, =The nail is partially withdrawn=The nail is partially withdrawn =The entire tumor cavity is filled with PMMA =The nail is then pushed back into the medullary canal d fi d ith i t l kiand fixed with interlocking screws 1/14/2011 75Professor Freih AbuHassan -UJ
  • 76.
    Supracondylar Femoral metsSupracondylarFemoral mets Metastatic lesions of the distal femoral diaphysis &Metastatic lesions of the distal femoral diaphysis & condyles are best treated by medial and lateral Zickel rods with PMMAZickel rods with PMMA. Large distal femoral metaph seal lesionsLarge distal femoral metaphyseal lesions, especially those associated with intra-p y articular extension and/or large soft-tissue components Custom or modular distalcomponents, Custom or modular distal femoral endoprosthetic replacement. 1/14/2011 76Professor Freih AbuHassan -UJ
  • 77.
  • 78.
  • 79.
    78-year-old woman withmetastatic Renal Ca. T t d b tt d PMMATreated by curettage and PMMA . 1/14/2011 79Professor Freih AbuHassan -UJ
  • 80.
    G l Pt ti CGeneral Postoperative Care RehabilitationRehabilitation = If stability OK FWB and ROM exercises to the adjacent joints = Early discharge enhance the patient’s moraley g p and minimize the interruption of an ongoing oncological program of treatmentoncological program of treatment. Frassica. Clin Orthop Relat Res. 2003 1/14/2011 80Professor Freih AbuHassan -UJ
  • 81.
    P i tt R bPoints to Remember 1= Detailed preoperative evaluation 2= Curettage to remove all gross disease. 3=Use immediate rigid fixation consisting of3 Use immediate rigid fixation consisting of PMMA or Cemented Prosthetic R lReplacement. 4= Adjuvant RadioR + - ChemR after 2W 1/14/2011 81Professor Freih AbuHassan -UJ
  • 82.
    5- ORIF ofmets # around the hip, with trauma implants e.g DHS, (loadsharingtrauma implants e.g DHS, (loadsharing rather than loadbearing) is not good Pathological # will not unite breakageg g of the implant or cutting out of the fixation screwsscrews. 6-Preop. embolization if needed. 1/14/2011 82Professor Freih AbuHassan -UJ
  • 83.
    7- Fixation ofa solitary lesion as a metastatic7 Fixation of a solitary lesion as a metastatic deposit or fracture but without prior confirmation of didisease. If the lesion proves to be a primary sarcoma dissimination of tumour tosarcoma dissimination of tumour to medulla and soft tissue renderingg limb salvage surgery impossible. 1/14/2011 83Professor Freih AbuHassan -UJ
  • 84.
    Multidisciplinary Care TeamMultidisciplinaryCare Team 1-Oncologist 2-Pathologist 3-Radiologist3 Radiologist 4-Cancer nurse 6 i i i6-Rehabilitation 5-Pain Specialist5 Spec s 7-Radiotherapist 8 O th di S8-Orthopaedic Surgeon 9-Palliative Care Specialistsp 1/14/2011 84Professor Freih AbuHassan -UJ
  • 85.
    Can we preventBone Metastasis?Can we prevent Bone Metastasis? BisphosphonatesBisphosphonates Th ld t d d th f B tThe gold standard therapy for Breast Cancer with bone metastases Effective for reducing Skeletal complications Cancer with bone metastases =Bone pain =Pathological fracture=Pathological fracture =Bone surgeryg y =Hypercalcemia.1/14/2011 85Professor Freih AbuHassan -UJ
  • 86.
    Actions of Bisphosphonates 1-Potent inhibitors of osteoclastic bone resorption 2 Bi d t h d tit t l ( ti it f2- Bind to hydroxyapatite crystals (active sites of bone remodeling) 3- Inhibit osteoclast-mediated bone resorption 4- Cause osteoclast apoptosis, thereby inhibitingp p , y g bone loss 5-Has antineoplastic effects5-Has antineoplastic effects. Bickels. JBJS. 2009 1/14/2011 86Professor Freih AbuHassan -UJ
  • 87.
  • 88.
    Reminder Limb Salvage ClinicKHCC Reminder Limb Salvage Clinic KHCC Sunday 10.00 amy Advanced Ped OrthopaedicAdvanced Ped. Orthopaedic Course -Call for Jordanian Speakers -CTEV Workshop registration 1/14/2011 88Professor Freih AbuHassan -UJ
  • 89.
    Thank YouThank You 1/14/201189Professor Freih AbuHassan -UJ