Embed presentation
Downloaded 516 times





























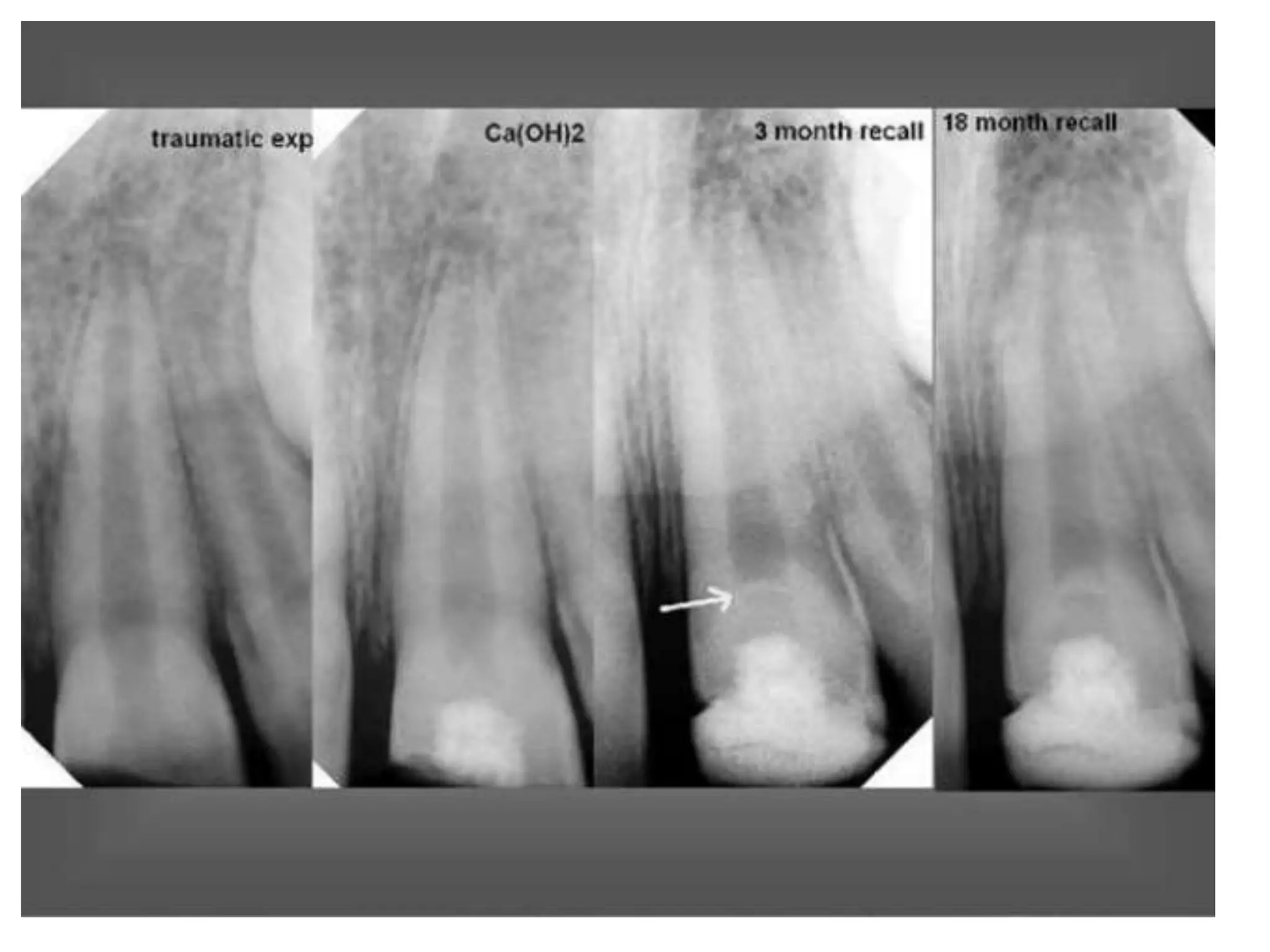
Apexogenesis and apexification are treatments relevant to the trauma of maxillary central incisors, which are frequently injured in children. The highest instance of such trauma is observed between the ages of 8 and 10. There is an exploration of new strategies for treating teeth with an open apex.



























