Embed presentation
Download to read offline










































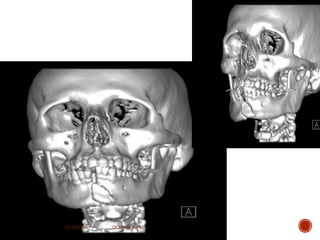
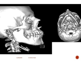
This document discusses the anatomy, blood supply, muscles, fractures, symptoms, and treatment of mandibular fractures. It provides details on the types of fractures, classification systems, clinical signs, imaging modalities, and management approaches. Radiographic images are included to demonstrate examples of mandibular fractures.









































