ORIGEN I EVOLUCIÓ DE LA
       CÈL·LULA
ORIGEN I EVOLUCIÓ DE LA CÈL·LULA

  Fa més de 3.500 milions d’anys en la Terra primitiva

     Evolució química en condicions prebiòtiques

                Biomolècules


Teories de l’origen de la vida (A.I. Oparin i J.B. Haldans)

La vida s’origina espontàniament a la Terra primitiva. Condicions
geològiques i atmosfèriques permeten la formació de molècules
orgàniques molt variades d'importància biològica. En mars arcaics es
formaven moltes molècules orgàniques (brou primordial)
Primers sistemes macromoleculars amb capacitat per créixer i
autoreplicar-se.
ORIGEN I EVOLUCIÓ DE LA CÈL·LULA


ARN   →

ADN   →



      PROTOCÈL·LULES (fa uns 3.000 milions d’anys)

             Àcid nuclèic
             S'aïllaven del medi a través d’una membrana
             Intercanviaven matèria i energia amb el medi
ORIGEN I EVOLUCIÓ DE LA CÈL·LULA

TEORIA ENDOSIMBIÒTICA
                                Origen de las cèl·lules eucariotes




                                   Lynn Margulis




                        la cèl·lula procariota, que augmenta de
                        volum es transforma en eurcariota per
                        la    incorporació,     per    endocitosi
                        d’organismes procariotes
ORIGEN I EVOLUCIÓ DE LA CÈL·LULA

  TEORIA ENDOSIMBIÒTICA




  Cèl·lules eucariotes s’originen a partir d’una primitiva cèl·lula procariota
que en un moment donat englobaria a altres cèl·lules procariotes,
establint-se entre elles una relació endosimbiont



   Segons aquesta teoria, tant flagels, mitocondris com cloroplasts eren
organismes independents, que en un determinat moment van penetrar per
endocitosi en l’interior d’altres cèl·lules procariotes que havien perdut la
paret cel·lular, formant una associació, que amb el temps es va consolidar
al fins a ser permanent
ORIGEN I EVOLUCIÓ DE LA CÈL·LULA
                                   Avalada pels següents fets:
 TEORIA ENDOSIMBIÒTICA

Tant mitocondris com cloroplasts
Tenen ADN del tipus de les cèl·lules procariotes (bicatenari
circular no unit a proteïnes)

Els seus ribosomes són iguals que en cèl·lules procariotes (70 S)

Procedeixen d’altres orgànuls preexistents

Tenen doble membrana, que representaria la membrana de la
pròpia cèl·lula hospedadora, que englobaria a aquests simbionts

La membrana interna dels mitocondris té un tipus de fosfolípid,
que s’ha trobat únicament en la membrana d’organismes
procariotes
ORIGEN I EVOLUCIÓ DE LA CÈL·LULA


HETERÒTROF
  Organismes que obtenen l'energia a partir de la matèria orgànica


AUTÒTROF
  Organismes que fabriquen el seu propi aliment, converteixen
   energia de fonts inorgàniques en dos formes


• Fotosíntesi: és la conversió de l'energia lluminosa en els enllaços
C-C dels glúcids
• Quimiosíntesi: és la captura de l'energia alliberada per certes
reaccions químiques
DESCOBRIMENT DE LA
     CÈL·LULA
DESCOBRIMENT DE LA CÈL·LULA




               Utilitza la paraula "cèl·lula“, a la seva obra Micrographia
            (1665), per referir-se a petites cavitats invisibles del suro on
            hi havien viscuts cèl·lules.



Robert Hooke (1635-1703)
DESCOBRIMENT DE LA CÈL·LULA


                  Glòbuls vermells de la sang
                  Éssers unicel·lulars, protozous d'una bassa
                  Bacteris, en concret els de la seva boca
                  Espermatozous

                  Als qual anomenava animaliculs

Antoni van Leeuwenhoek (1632-1723),
DESCOBRIMENT DE LA CÈL·LULA



                    Observacions sobre el desenvolupament embriològic
                 de les plantes. Arriba a la conclusió que la cèl·lula era
                 l'estructura fonamental de les plantes


Mathias Jacob Schleiden 1804-1881



   Posa de manifest que, en els animals, la cèl·lula
també era la unitat vital. Va donar una interpretació de
la fisiologia a partir de la cèl·lula considerant-la, a més
d’unitat estructural, unitat funcional dels éssers vius


                                               Theodor Schwann 1810-1882
DESCOBRIMENT DE LA CÈL·LULA


                Estableix la teoria que les cèl·lules s'originen a partir
                d'altres cèl·lules preexistents.

                Les cèl·lules eren les unitats capacitades per
                desenvolupar tant la vida com la malaltia. És el primer
                en oferir una interpretació cel·lular de la patologia

Rudolph Virchow 1821-1902




                En qualsevol lloc on s'origini una cèl·lula hi
                ha d'haver existir prèviament una cèl·lula

                            omnis cellula e cèl·lula
DESCOBRIMENT DE LA CÈL·LULA



                 Finals segle XIX, Camilo Golgi i
                 Santiago Ramón Cajal van demostrar
                 que el sistema nerviós també estava
                 constituït per cèl·lules

Santiago Ramon y Cajal                         Camillo Golgi (1843-1926)
(1852-1934)
DESCOBRIMENT DE LA CÈL·LULA


 Nova ciència emergent, la Biologia Cel·lular
  Meitat del XX


   La utilització del microscopi electrònic
combinat      amb      les     tècniques    de
fraccionament      cel·lular    va     permetre
aprofundir en el coneixent de la
subestructura i la fisiologia cel·lular
DESCOBRIMENT DE LA CÈL·LULA


                         La Teoria Cel·lular
1. La cèl·lula és la unitat morfològica dels éssers vius
      Tots els éssers vius estan formats per una o més cèl·lules

2. La cèl·lula és la unitat fisiològica dels éssers vius
      Les reaccions químiques dels éssers vius (els processos d’obtenció
      d'energia i les reaccions de biosíntesi, tenen lloc a l’interior de la
      cèl·lula

3. La cèl·lula és la unitat genètica dels éssers vius
      Tota cèl·lula prové d’una altra cèl·lula ja existent. Contenen el
      material hereditari, que transmeten de cèl·lula mare a cèl·lules filles

4. La cèl·lula és la unitat vital dels éssers vius
      És la entitat més petita que compleix les funcions vitals
DESCOBRIMENT DE LA CÈL·LULA


                La Teoria Cel·lular

• Tot ésser viu està format per una o més cèl·lules
• La cèl·lula és l’estructura més petita que està
  viva
• La cèl·lula és la unitat funcional anatòmica i
  fisiològica dels éssers vius
• Tota cèl·lula procedeix d’una altra cèl·lula
  preexistent
• El material hereditari passa de cèl·lules mare a
  cèl·lules filles
DIVERSITAT CEL·LULAR
DIVERSITAT CEL·LULAR

             Formes de les cèl·lules   Cúbiques
Esfèriques

              la     forma      ve
              determinada      pel
              lloc que ocupa en
              l'ésser viu on es
              troba, o bé per la
              funció que hi fa

Allargades                             Estrellades
DIVERSITAT CEL·LULAR
Una micra es la mil·lèsima part d’un mil·límetre (10-3 mil·límetres), és a dir, la
milionèsima part d’un metro (10-6 metres)

      Cèl·lules                              Mida
      Bacteris                               1-5 micres (1-5 · 10-3mm)
      Glòbuls vermells                       7 micres (7·10-3mm)
      Cèl. nervioses humanes                 160 micres (1'6 · 10-1mm)
      Ameba (protozou)                          1 mm
      Alga acetabulària                         10 cm
      Neurones de balena                        30 m
ESTRUCTURA CEL·LULAR
ESTRUCTURA CEL·LULAR




Totes les cèl·lules tenen la mateixa composició química:

                    Glúcids

                    Lípids

                    Proteïnes
ESTRUCTURA CEL·LULAR

               Totes les cèl·lules tenen una estructura comuna:
Membrana:


Citoplasma:




Material genètic:




Orgànuls cel·lulars:
ESTRUCTURA CEL·LULAR




Les cèl·lules les podem classificar en dos grans grups



           CÈL·LULES PROCARIOTES


           CÈL·LULES EUCARIOTES
ESTRUCTURA CEL·LULAR


  La característica pròpia és que posseeixen un nucli amb membrana
nuclear ben diferenciat del citoplasma, dins el nucli trobem la cromatina
que forma els cromosomes.

   Formen part de tots els protozous (unicel·lulars), fongs, animal i vegetals
(pluricel·lulars)


  Orgànuls:
     Nucli
     Aparell de golgi
     Ribosomes
     Mitocondris
     Lisosomes
     Reticle endoplasmàtic
ESTRUCTURA CEL·LULAR
ORGÀNULS CEL·LULARS



   Petits òrgans d'estructura i mida diversa que realitzen funcions ben
 especialitzades (cèl·lula eucariota)


    Totes les cèl·lules contenen totes les classes d'orgànuls cel·lulars,
 tot i que hi ha petites diferències entre les cèl·lules animals i cèl·lules
 vegetals
LA MEMBRANA PLASMÀTICA
ESTRUCTURA CEL·LULAR
MEMBRANA CEL·LULAR


   Envolta prima que rodeja la cèl·lula i la separa de
   medi extern

   No es visible al microscopi òptic

   Forma Part d’un sistema de membranes de
   composició, estructura i característiques bàsiques
   comunes:
ESTRUCTURA CEL·LULAR
MEMBRANA CEL·LULAR


   Composició química de la membrana

   • Bicapa lipídica
   • Proteïnes
   • Glúcids
ESTRUCTURA CEL·LULAR
MEMBRANA CEL·LULAR

 • Bicapa lipídica.
    • Els lípids (40%) es disposen en forma de bicapa. Caps
      hidrofílics situat cap a l’exterior (medis hídrics). Cues
      hidrofòbiques enfrontades en l’interior de la doble
      capa. És fluida.
ESTRUCTURA CEL·LULAR
MEMBRANA CEL·LULAR
  LÍPIDS
   • Fosfolípids
   • Esfingolípids
   • Colesterol
ESTRUCTURA CEL·LULAR
MEMBRANA CEL·LULAR

• Proteïnes

  – Proteïnes integrals, intrínseques o transmembrana


  – Proteïnes perifèriques o extrínseques
ESTRUCTURA CEL·LULAR
MEMBRANA CEL·LULAR

• Glúcids
  – Proteïnes i lípids poden estar units a cadenes
    glucídiques (oligosacàrids) formen glucoproteïnes i
    glucolípids de membrana, només en la cara externa.
    Formen el glucocàlix (funció receptora)
ESTRUCTURA CEL·LULAR
MEMBRANA CEL·LULAR
ESTRUCTURA CEL·LULAR
MEMBRANA CEL·LULAR

                                  PROPIETATS
 Asimetria




 Especificitat funcional
ESTRUCTURA CEL·LULAR
MEMBRANA CEL·LULAR

  Fluïdesa                                  PROPIETATS
   Es deu a que els fosfolípids poden desplaçar-se
ESTRUCTURA CEL·LULAR
MEMBRANA CEL·LULAR

  Permeabilitat selectiva                   PROPIETATS
   És impermeable a molècules hidròfiles, polars o amb
   càrrega elèctrica i permeable a molècules lipòfiles
ESTRUCTURA CEL·LULAR
MEMBRANA CEL·LULAR

 Mecanismes de transport transmembrana
ESTRUCTURA CEL·LULAR
 MEMBRANA CEL·LULAR

                                                        FUNCIONS


  Separa a la cèl·lula del medi extern

  Controla l’intercanvi de substàncies amb l’exterior

   Control i conservació del gradient electroquímic entre fora i dins de
la cèl·lula

  Intercanvi de senyals entre el medi extern i el medi cel·lular
EL CITOPLASMA
ESTRUCTURA CEL·LULAR
CITOPLASMA


• Part de la cèl·lula que es troba entre el nucli
  cel·lular i la membrana plasmàtica.
  – Format per:
     • Una emulsió coloidal molt fina d'aspecte granulós,
        – Al citosol o hialoplasma tenen lloc molts dels processos
          metabòlics de les cèl·lules(glucòlisi o síntesi de proteïnes).
     • Una diversitat d'orgànuls cel·lulars que desenvolupen
       diferents funcions.
• S'hi troben dissolts diversos nutrients que
  han aconseguit atravessar la membrana
  cel·lular
ESTRUCTURA CEL·LULAR
CITOPLASMA


 • Composició química
EL CITOESQUELET
ESTRUCTURA CEL·LULAR
CITOESQUELET




 •   Xarxa de fibres que recorren el citosol
 •   Donen forma a la cèl·lula
 •   Distribueixen orgànuls
 •   Permeten el moviment cel·lular
ESTRUCTURA CEL·LULAR
CITOESQUELET




       • Microfilaments
       • Microtúbuls
       • Filaments intermedis
ESTRUCTURA CEL·LULAR
CITOESQUELET



 • MICROFILAMENTS
    – Diàmetre 8 nm
    – Proteïnes globulars i fibroses
      • Actina
      • Miosina
ESTRUCTURA CEL·LULAR
CITOESQUELET

 •   Estructures filamentoses, diàmetre inferior al dels microtúbuls. Els
     més abundants són els microfilaments d’actina.

 •   Els microfilaments d’actina estan formats majoritàriament per actina,
     una proteïna globular que, en polimeritzar, dóna origen a una
     cadena; dos d’aquestes cadenes enrotllades entre sí formen una
     hèlix, el microfilament

 •   Els microfilaments de miosina estan formats per miosina, una
     proteïna fibrosa. Dos cadenes polipeptídiques s’enrotllen entre sí,
     formant la tropomiosina. Vàries unitats de tropomiosina poden
     formar un filament dens.

 •   Actina i miosina poden interaccionar per donar origen a citomúsculs
     contràctils
ESTRUCTURA CEL·LULAR
CITOESQUELET


• Mantenir la forma cel·lular, densa xarxa de filaments
  d’actina que manté la forma o la canvia, estabilitzant
  certes zones especialitzades de la membrana, com ara els
  microvil·li

• Participen en la formació de vesícules d’endocitosi

• Permeten la contracció de les fibres musculars

• Facilitar la emissió de pseudopodis, que permeten el
  desplaçament cel·lular i la fagocitosi

• Els filaments d’actina poden formar feixos contràctils, com
  l’anell contràctil que permet la citodièresi al final de la
  mitosi
ESTRUCTURA CEL·LULAR
CITOESQUELET

• MICROTÚBULS:
  – Cilindres llargs i buits formats per la proteïna
    tubulina. Més rigida que els filaments d'actina.
  – Són llargs i rectes i disposen d'un extrem unit a un
    centre organitzador de microtúbuls (MTOC)
    anomenat centrosoma.
  – Es consideren els organitzadors primaris del
    citoesquelet.
ESTRUCTURA CEL·LULAR
CITOESQUELET


• Estructures microtubulars:
  – Cilis: invaginacions primes amb un feix de microtúbuls
    al seu interior. La seva principal funció és el moviment,
    desplaçar fluids sobre la superfície cel·lular o propulsar
    cèl·lules aïllades a través d'un líquid.

  – Flagells: únic és molt semblant als cilis en quant a
    ultraestructura interna. Normalment els flagells són
    molt més llargs, propaguen ones sinusoïdals.

  – Fus mitòtic: responsable d'organitzar els cromosomes
    durant la divisió cel·lular
ESTRUCTURA CEL·LULAR
CITOESQUELET


• FILAMENTS INTERMEDIS
   – Fibres proteiques resistent
   – Entramat de cordes de 8-10 nm
   – Formen un cistell que rodeja el nucli i s’estén
     cap a la perifèria cel·lular
   – Són abundants en:
      • Epitelis
      • Axons
      • Cèl·lules musculars llises
ESTRUCTURA CEL·LULAR
CITOESQUELET




• Formats per 4 polipèptids fibrosos
   – Tipus I → família queratines
   – Tipus II
   – Tipus III → neurofilaments
   – Tipus IV
• Es sobreposen formant filaments
• Funció:
   – Suport mecànic
   – Resistència
ESTRUCTURA CEL·LULAR
CITOESQUELET
EL NUCLI
ESTRUCTURA CEL·LULAR
NUCLI

                                               CARACTERÍSTIQUES

   Protegeix el material genètic dels enzims citoplasmàtics

   Orgànul més gran de la cèl·lula

   Conté els factors hereditaris que determinen l'estructura i funcionament
 de cada cèl·lula i de la globalitat de l'ésser viu



  Característic de les cèl·lules eucariotes
ESTRUCTURA CEL·LULAR
NUCLI

                                                          FUNCIÓ



  El nucli està envoltat per una
  membrana nuclear




Durant la interfase
a l'interior hi podem trobar la cromatina, el nuclèol i
el nucleoplasma
ESTRUCTURA CEL·LULAR
NUCLI



  MEMBRANA NUCLEAR

  Doble membrana que separa el nucleoplasma del citoplasma
        Perforada pels porus nuclears (transport actiu de molècules
         entre el núcli i el citoplasma
        Membrana externa connectada directament amb el R.E. i té
         ribosomes
ESTRUCTURA CEL·LULAR
NUCLI


  CROMATINA

Formada per (ADN + HISTONES). Entramat d’estructura fibrilar

      Eucromatina. Zones on la cromatina està poc condensada facilitar
   la transcripció

    Heterocromatina. Zones on la cromatina està més condensada,
   més empaquetada. L’ ADN no se transcriu

Funcions:
   Expressió de la informació genètica (síntesi d’ARN)
   Conservar i transmetre la informació genètica, replicació de l’ADN
s’originen dos brins iguals o cromátides
ESTRUCTURA CEL·LULAR
NUCLI

 NUCLEOL
  Orgànul no membranós que es troba en el nucleoplasma.


  Síntesi de ARNr i acoblament del ribosomes
ESTRUCTURA CEL·LULAR
NUCLI

  NUCLEOPLASMA O CARIOPLASMA

   Medi intern del nucli, on es troben els components nuclears
       Dissolució coloïdal que conté nombroses substàncies
    (glúcids, àcid fosfòric, bases nitrogenades, enzims, etc.)
L’APARELL DE GOLGI
ESTRUCTURA CEL·LULAR
APARELL DE GOLGI

                                               CARACTERÍSTIQUES


   Conjunt d'orgànuls situats prop del nucli en les cèl·lules animals i en
algunes de vegetals

  Descobridor, Camil Golgi, neuròleg italià, el 1898

  Estructures en forma de sacs aplanats anomenats dictiosomes

  Desprèn unes petites bossetes plenes de substàncies que poden ser
de dos tipus:
    • Lisosomes (substàncies digestives)
    • Vesícules de secreció (aboquen el seu contingut a l'exterior)
ESTRUCTURA CEL·LULAR
APARELL DE GOLGI
ESTRUCTURA CEL·LULAR
APARELL DE GOLGI

                                                               FUNCIÓ

   Organitza la circulació de molècules dins la cèl·lula:

     Transport
     Maduració
                        de proteïnes procedents del reticle endoplasmàtic
     Acumulació
     Secreció


   Sintetitza substàncies que formaran part de la membrana plasmàtica

   Síntesi de glúcids de la paret cel·lular en cèl·lules vegetals
ELS RIBOSOMES
ESTRUCTURA CEL·LULAR
APARELL DE GOLGI

                                              CARACTERÍSTIQUES

  Orgànuls cel·lulars amb forma de petits granets poden trobar-se lliures
pel citoplasma o bé enganxats en el reticle endoplasmàtic rugós RER

   Constituïts per dues subunitats corpusculars unides fortament, una
d'elles formada per Àcid Ribonuclèic (ARN) i l'altra per proteïnes (80S)



   Se'ls troba en gran quantitat en
totes les cèl·lules
ESTRUCTURA CEL·LULAR
RIBOSOMES

                                         FUNCIÓ

   Síntesi de proteïnes de la cèl·lula
ELS MITOCONDRIS
ESTRUCTURA CEL·LULAR
MITOCONDRI



  Forma allargada, com un bastonet
  Repartits per tot el citoplasma
  Nombre alt en general, pot variar entre cèl·lules
  Envoltats per dues membranes, l'exterior és llisa i la interior té
nombrosos plecs anomenats crestes.
ESTRUCTURA CEL·LULAR
MITOCONDRI

  Espai interior, anomenat matriu, ple d'un líquid amb
nombroses substàncies dissoltes


  Tenen un Àcid desoxiribonucleic (ADN) propi, diferent del
que hi ha al nucli
ESTRUCTURA CEL·LULAR
MITOCONDRI

                                                               FUNCIÓ
  Realitzen un conjunt de processos químics anomenats respiració
cel·lular, amb la qual es proporciona a la cèl·lula l'energia necessària per a
realitzar totes les seves activitats
ELS LISOSOMES
ESTRUCTURA CEL·LULAR
LISOSOMA

   Vesícules envoltades per una membrana que es formen a partir de
plecs més o menys esfèrics que es desprenen de l'aparell de Golgi
   Són petites bossetes o vesícules que contenen substàncies que
intervenen en la digestió dels compostos que entren a la cèl·lula, i també
intervenen en la destrucció dels orgànuls cel·lulars que van envellint


  Destrucció dels bacteris que fagociten els glòbuls blancs
ESTRUCTURA CEL·LULAR
LISOSOMA
EL RETICLE ENDOPLASMÀTIC
ESTRUCTURA CEL·LULAR
RETICLE ENDOPLASMÀTIC

 Conjunt de cavitats aplanades, conductes i làmines limitats per una
membrana, delimita un espai intern anomenat lumen del RE


  Una part del RE rugós continua amb la membrana externa del nucli
mentre que una altra part es comunica dinàmicament amb l'aparell de
Golgi, a través de vesícules transportadores


  Pot presentar dos aspectes: llis i rugós
   • RER: conté ribosomes associats a la cara externa de la seva
   membrana
   • REL: no té ribosomes, constituït per una sèrie de túbuls fins, molt
   sovint ramificats
ESTRUCTURA CEL·LULAR
RETICLE ENDOPLASMÀTIC
ESTRUCTURA CEL·LULAR
RETICLE ENDOPLASMÀTIC

  Intervé en la síntesi de proteïnes i lípids


  Emmagatzema i transporta certes substàncies tant endògenes com
exògenes d'un punt a un altre de la cèl·lula
2 La Cel Lula

2 La Cel Lula

  • 1.
    ORIGEN I EVOLUCIÓDE LA CÈL·LULA
  • 2.
    ORIGEN I EVOLUCIÓDE LA CÈL·LULA Fa més de 3.500 milions d’anys en la Terra primitiva Evolució química en condicions prebiòtiques Biomolècules Teories de l’origen de la vida (A.I. Oparin i J.B. Haldans) La vida s’origina espontàniament a la Terra primitiva. Condicions geològiques i atmosfèriques permeten la formació de molècules orgàniques molt variades d'importància biològica. En mars arcaics es formaven moltes molècules orgàniques (brou primordial) Primers sistemes macromoleculars amb capacitat per créixer i autoreplicar-se.
  • 3.
    ORIGEN I EVOLUCIÓDE LA CÈL·LULA ARN → ADN → PROTOCÈL·LULES (fa uns 3.000 milions d’anys) Àcid nuclèic S'aïllaven del medi a través d’una membrana Intercanviaven matèria i energia amb el medi
  • 5.
    ORIGEN I EVOLUCIÓDE LA CÈL·LULA TEORIA ENDOSIMBIÒTICA Origen de las cèl·lules eucariotes Lynn Margulis la cèl·lula procariota, que augmenta de volum es transforma en eurcariota per la incorporació, per endocitosi d’organismes procariotes
  • 6.
    ORIGEN I EVOLUCIÓDE LA CÈL·LULA TEORIA ENDOSIMBIÒTICA Cèl·lules eucariotes s’originen a partir d’una primitiva cèl·lula procariota que en un moment donat englobaria a altres cèl·lules procariotes, establint-se entre elles una relació endosimbiont Segons aquesta teoria, tant flagels, mitocondris com cloroplasts eren organismes independents, que en un determinat moment van penetrar per endocitosi en l’interior d’altres cèl·lules procariotes que havien perdut la paret cel·lular, formant una associació, que amb el temps es va consolidar al fins a ser permanent
  • 7.
    ORIGEN I EVOLUCIÓDE LA CÈL·LULA Avalada pels següents fets: TEORIA ENDOSIMBIÒTICA Tant mitocondris com cloroplasts Tenen ADN del tipus de les cèl·lules procariotes (bicatenari circular no unit a proteïnes) Els seus ribosomes són iguals que en cèl·lules procariotes (70 S) Procedeixen d’altres orgànuls preexistents Tenen doble membrana, que representaria la membrana de la pròpia cèl·lula hospedadora, que englobaria a aquests simbionts La membrana interna dels mitocondris té un tipus de fosfolípid, que s’ha trobat únicament en la membrana d’organismes procariotes
  • 8.
    ORIGEN I EVOLUCIÓDE LA CÈL·LULA HETERÒTROF Organismes que obtenen l'energia a partir de la matèria orgànica AUTÒTROF Organismes que fabriquen el seu propi aliment, converteixen energia de fonts inorgàniques en dos formes • Fotosíntesi: és la conversió de l'energia lluminosa en els enllaços C-C dels glúcids • Quimiosíntesi: és la captura de l'energia alliberada per certes reaccions químiques
  • 9.
  • 10.
    DESCOBRIMENT DE LACÈL·LULA Utilitza la paraula "cèl·lula“, a la seva obra Micrographia (1665), per referir-se a petites cavitats invisibles del suro on hi havien viscuts cèl·lules. Robert Hooke (1635-1703)
  • 11.
    DESCOBRIMENT DE LACÈL·LULA Glòbuls vermells de la sang Éssers unicel·lulars, protozous d'una bassa Bacteris, en concret els de la seva boca Espermatozous Als qual anomenava animaliculs Antoni van Leeuwenhoek (1632-1723),
  • 12.
    DESCOBRIMENT DE LACÈL·LULA Observacions sobre el desenvolupament embriològic de les plantes. Arriba a la conclusió que la cèl·lula era l'estructura fonamental de les plantes Mathias Jacob Schleiden 1804-1881 Posa de manifest que, en els animals, la cèl·lula també era la unitat vital. Va donar una interpretació de la fisiologia a partir de la cèl·lula considerant-la, a més d’unitat estructural, unitat funcional dels éssers vius Theodor Schwann 1810-1882
  • 13.
    DESCOBRIMENT DE LACÈL·LULA Estableix la teoria que les cèl·lules s'originen a partir d'altres cèl·lules preexistents. Les cèl·lules eren les unitats capacitades per desenvolupar tant la vida com la malaltia. És el primer en oferir una interpretació cel·lular de la patologia Rudolph Virchow 1821-1902 En qualsevol lloc on s'origini una cèl·lula hi ha d'haver existir prèviament una cèl·lula omnis cellula e cèl·lula
  • 14.
    DESCOBRIMENT DE LACÈL·LULA Finals segle XIX, Camilo Golgi i Santiago Ramón Cajal van demostrar que el sistema nerviós també estava constituït per cèl·lules Santiago Ramon y Cajal Camillo Golgi (1843-1926) (1852-1934)
  • 15.
    DESCOBRIMENT DE LACÈL·LULA Nova ciència emergent, la Biologia Cel·lular Meitat del XX La utilització del microscopi electrònic combinat amb les tècniques de fraccionament cel·lular va permetre aprofundir en el coneixent de la subestructura i la fisiologia cel·lular
  • 16.
    DESCOBRIMENT DE LACÈL·LULA La Teoria Cel·lular 1. La cèl·lula és la unitat morfològica dels éssers vius Tots els éssers vius estan formats per una o més cèl·lules 2. La cèl·lula és la unitat fisiològica dels éssers vius Les reaccions químiques dels éssers vius (els processos d’obtenció d'energia i les reaccions de biosíntesi, tenen lloc a l’interior de la cèl·lula 3. La cèl·lula és la unitat genètica dels éssers vius Tota cèl·lula prové d’una altra cèl·lula ja existent. Contenen el material hereditari, que transmeten de cèl·lula mare a cèl·lules filles 4. La cèl·lula és la unitat vital dels éssers vius És la entitat més petita que compleix les funcions vitals
  • 17.
    DESCOBRIMENT DE LACÈL·LULA La Teoria Cel·lular • Tot ésser viu està format per una o més cèl·lules • La cèl·lula és l’estructura més petita que està viva • La cèl·lula és la unitat funcional anatòmica i fisiològica dels éssers vius • Tota cèl·lula procedeix d’una altra cèl·lula preexistent • El material hereditari passa de cèl·lules mare a cèl·lules filles
  • 18.
  • 19.
    DIVERSITAT CEL·LULAR Formes de les cèl·lules Cúbiques Esfèriques la forma ve determinada pel lloc que ocupa en l'ésser viu on es troba, o bé per la funció que hi fa Allargades Estrellades
  • 20.
    DIVERSITAT CEL·LULAR Una micraes la mil·lèsima part d’un mil·límetre (10-3 mil·límetres), és a dir, la milionèsima part d’un metro (10-6 metres) Cèl·lules Mida Bacteris 1-5 micres (1-5 · 10-3mm) Glòbuls vermells 7 micres (7·10-3mm) Cèl. nervioses humanes 160 micres (1'6 · 10-1mm) Ameba (protozou) 1 mm Alga acetabulària 10 cm Neurones de balena 30 m
  • 21.
  • 22.
    ESTRUCTURA CEL·LULAR Totes lescèl·lules tenen la mateixa composició química: Glúcids Lípids Proteïnes
  • 23.
    ESTRUCTURA CEL·LULAR Totes les cèl·lules tenen una estructura comuna: Membrana: Citoplasma: Material genètic: Orgànuls cel·lulars:
  • 24.
    ESTRUCTURA CEL·LULAR Les cèl·lulesles podem classificar en dos grans grups CÈL·LULES PROCARIOTES CÈL·LULES EUCARIOTES
  • 25.
    ESTRUCTURA CEL·LULAR La característica pròpia és que posseeixen un nucli amb membrana nuclear ben diferenciat del citoplasma, dins el nucli trobem la cromatina que forma els cromosomes. Formen part de tots els protozous (unicel·lulars), fongs, animal i vegetals (pluricel·lulars) Orgànuls: Nucli Aparell de golgi Ribosomes Mitocondris Lisosomes Reticle endoplasmàtic
  • 26.
    ESTRUCTURA CEL·LULAR ORGÀNULS CEL·LULARS Petits òrgans d'estructura i mida diversa que realitzen funcions ben especialitzades (cèl·lula eucariota) Totes les cèl·lules contenen totes les classes d'orgànuls cel·lulars, tot i que hi ha petites diferències entre les cèl·lules animals i cèl·lules vegetals
  • 27.
  • 28.
    ESTRUCTURA CEL·LULAR MEMBRANA CEL·LULAR Envolta prima que rodeja la cèl·lula i la separa de medi extern No es visible al microscopi òptic Forma Part d’un sistema de membranes de composició, estructura i característiques bàsiques comunes:
  • 29.
    ESTRUCTURA CEL·LULAR MEMBRANA CEL·LULAR Composició química de la membrana • Bicapa lipídica • Proteïnes • Glúcids
  • 30.
    ESTRUCTURA CEL·LULAR MEMBRANA CEL·LULAR • Bicapa lipídica. • Els lípids (40%) es disposen en forma de bicapa. Caps hidrofílics situat cap a l’exterior (medis hídrics). Cues hidrofòbiques enfrontades en l’interior de la doble capa. És fluida.
  • 31.
    ESTRUCTURA CEL·LULAR MEMBRANA CEL·LULAR LÍPIDS • Fosfolípids • Esfingolípids • Colesterol
  • 33.
    ESTRUCTURA CEL·LULAR MEMBRANA CEL·LULAR •Proteïnes – Proteïnes integrals, intrínseques o transmembrana – Proteïnes perifèriques o extrínseques
  • 34.
    ESTRUCTURA CEL·LULAR MEMBRANA CEL·LULAR •Glúcids – Proteïnes i lípids poden estar units a cadenes glucídiques (oligosacàrids) formen glucoproteïnes i glucolípids de membrana, només en la cara externa. Formen el glucocàlix (funció receptora)
  • 35.
  • 36.
    ESTRUCTURA CEL·LULAR MEMBRANA CEL·LULAR PROPIETATS Asimetria Especificitat funcional
  • 37.
    ESTRUCTURA CEL·LULAR MEMBRANA CEL·LULAR Fluïdesa PROPIETATS Es deu a que els fosfolípids poden desplaçar-se
  • 38.
    ESTRUCTURA CEL·LULAR MEMBRANA CEL·LULAR Permeabilitat selectiva PROPIETATS És impermeable a molècules hidròfiles, polars o amb càrrega elèctrica i permeable a molècules lipòfiles
  • 39.
    ESTRUCTURA CEL·LULAR MEMBRANA CEL·LULAR Mecanismes de transport transmembrana
  • 40.
    ESTRUCTURA CEL·LULAR MEMBRANACEL·LULAR FUNCIONS Separa a la cèl·lula del medi extern Controla l’intercanvi de substàncies amb l’exterior Control i conservació del gradient electroquímic entre fora i dins de la cèl·lula Intercanvi de senyals entre el medi extern i el medi cel·lular
  • 41.
  • 42.
    ESTRUCTURA CEL·LULAR CITOPLASMA • Partde la cèl·lula que es troba entre el nucli cel·lular i la membrana plasmàtica. – Format per: • Una emulsió coloidal molt fina d'aspecte granulós, – Al citosol o hialoplasma tenen lloc molts dels processos metabòlics de les cèl·lules(glucòlisi o síntesi de proteïnes). • Una diversitat d'orgànuls cel·lulars que desenvolupen diferents funcions. • S'hi troben dissolts diversos nutrients que han aconseguit atravessar la membrana cel·lular
  • 44.
  • 45.
  • 46.
    ESTRUCTURA CEL·LULAR CITOESQUELET • Xarxa de fibres que recorren el citosol • Donen forma a la cèl·lula • Distribueixen orgànuls • Permeten el moviment cel·lular
  • 47.
    ESTRUCTURA CEL·LULAR CITOESQUELET • Microfilaments • Microtúbuls • Filaments intermedis
  • 52.
    ESTRUCTURA CEL·LULAR CITOESQUELET •MICROFILAMENTS – Diàmetre 8 nm – Proteïnes globulars i fibroses • Actina • Miosina
  • 53.
    ESTRUCTURA CEL·LULAR CITOESQUELET • Estructures filamentoses, diàmetre inferior al dels microtúbuls. Els més abundants són els microfilaments d’actina. • Els microfilaments d’actina estan formats majoritàriament per actina, una proteïna globular que, en polimeritzar, dóna origen a una cadena; dos d’aquestes cadenes enrotllades entre sí formen una hèlix, el microfilament • Els microfilaments de miosina estan formats per miosina, una proteïna fibrosa. Dos cadenes polipeptídiques s’enrotllen entre sí, formant la tropomiosina. Vàries unitats de tropomiosina poden formar un filament dens. • Actina i miosina poden interaccionar per donar origen a citomúsculs contràctils
  • 55.
    ESTRUCTURA CEL·LULAR CITOESQUELET • Mantenirla forma cel·lular, densa xarxa de filaments d’actina que manté la forma o la canvia, estabilitzant certes zones especialitzades de la membrana, com ara els microvil·li • Participen en la formació de vesícules d’endocitosi • Permeten la contracció de les fibres musculars • Facilitar la emissió de pseudopodis, que permeten el desplaçament cel·lular i la fagocitosi • Els filaments d’actina poden formar feixos contràctils, com l’anell contràctil que permet la citodièresi al final de la mitosi
  • 57.
    ESTRUCTURA CEL·LULAR CITOESQUELET • MICROTÚBULS: – Cilindres llargs i buits formats per la proteïna tubulina. Més rigida que els filaments d'actina. – Són llargs i rectes i disposen d'un extrem unit a un centre organitzador de microtúbuls (MTOC) anomenat centrosoma. – Es consideren els organitzadors primaris del citoesquelet.
  • 59.
    ESTRUCTURA CEL·LULAR CITOESQUELET • Estructuresmicrotubulars: – Cilis: invaginacions primes amb un feix de microtúbuls al seu interior. La seva principal funció és el moviment, desplaçar fluids sobre la superfície cel·lular o propulsar cèl·lules aïllades a través d'un líquid. – Flagells: únic és molt semblant als cilis en quant a ultraestructura interna. Normalment els flagells són molt més llargs, propaguen ones sinusoïdals. – Fus mitòtic: responsable d'organitzar els cromosomes durant la divisió cel·lular
  • 60.
    ESTRUCTURA CEL·LULAR CITOESQUELET • FILAMENTSINTERMEDIS – Fibres proteiques resistent – Entramat de cordes de 8-10 nm – Formen un cistell que rodeja el nucli i s’estén cap a la perifèria cel·lular – Són abundants en: • Epitelis • Axons • Cèl·lules musculars llises
  • 61.
    ESTRUCTURA CEL·LULAR CITOESQUELET • Formatsper 4 polipèptids fibrosos – Tipus I → família queratines – Tipus II – Tipus III → neurofilaments – Tipus IV • Es sobreposen formant filaments • Funció: – Suport mecànic – Resistència
  • 65.
  • 66.
  • 67.
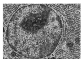
    ESTRUCTURA CEL·LULAR NUCLI CARACTERÍSTIQUES Protegeix el material genètic dels enzims citoplasmàtics Orgànul més gran de la cèl·lula Conté els factors hereditaris que determinen l'estructura i funcionament de cada cèl·lula i de la globalitat de l'ésser viu Característic de les cèl·lules eucariotes
  • 69.
    ESTRUCTURA CEL·LULAR NUCLI FUNCIÓ El nucli està envoltat per una membrana nuclear Durant la interfase a l'interior hi podem trobar la cromatina, el nuclèol i el nucleoplasma
  • 70.
    ESTRUCTURA CEL·LULAR NUCLI MEMBRANA NUCLEAR Doble membrana que separa el nucleoplasma del citoplasma Perforada pels porus nuclears (transport actiu de molècules entre el núcli i el citoplasma Membrana externa connectada directament amb el R.E. i té ribosomes
  • 71.
    ESTRUCTURA CEL·LULAR NUCLI CROMATINA Formada per (ADN + HISTONES). Entramat d’estructura fibrilar Eucromatina. Zones on la cromatina està poc condensada facilitar la transcripció Heterocromatina. Zones on la cromatina està més condensada, més empaquetada. L’ ADN no se transcriu Funcions: Expressió de la informació genètica (síntesi d’ARN) Conservar i transmetre la informació genètica, replicació de l’ADN s’originen dos brins iguals o cromátides
  • 72.
    ESTRUCTURA CEL·LULAR NUCLI NUCLEOL Orgànul no membranós que es troba en el nucleoplasma. Síntesi de ARNr i acoblament del ribosomes
  • 73.
    ESTRUCTURA CEL·LULAR NUCLI NUCLEOPLASMA O CARIOPLASMA Medi intern del nucli, on es troben els components nuclears Dissolució coloïdal que conté nombroses substàncies (glúcids, àcid fosfòric, bases nitrogenades, enzims, etc.)
  • 74.
  • 75.
    ESTRUCTURA CEL·LULAR APARELL DEGOLGI CARACTERÍSTIQUES Conjunt d'orgànuls situats prop del nucli en les cèl·lules animals i en algunes de vegetals Descobridor, Camil Golgi, neuròleg italià, el 1898 Estructures en forma de sacs aplanats anomenats dictiosomes Desprèn unes petites bossetes plenes de substàncies que poden ser de dos tipus: • Lisosomes (substàncies digestives) • Vesícules de secreció (aboquen el seu contingut a l'exterior)
  • 76.
  • 77.
    ESTRUCTURA CEL·LULAR APARELL DEGOLGI FUNCIÓ Organitza la circulació de molècules dins la cèl·lula: Transport Maduració de proteïnes procedents del reticle endoplasmàtic Acumulació Secreció Sintetitza substàncies que formaran part de la membrana plasmàtica Síntesi de glúcids de la paret cel·lular en cèl·lules vegetals
  • 78.
  • 79.
    ESTRUCTURA CEL·LULAR APARELL DEGOLGI CARACTERÍSTIQUES Orgànuls cel·lulars amb forma de petits granets poden trobar-se lliures pel citoplasma o bé enganxats en el reticle endoplasmàtic rugós RER Constituïts per dues subunitats corpusculars unides fortament, una d'elles formada per Àcid Ribonuclèic (ARN) i l'altra per proteïnes (80S) Se'ls troba en gran quantitat en totes les cèl·lules
  • 80.
    ESTRUCTURA CEL·LULAR RIBOSOMES FUNCIÓ Síntesi de proteïnes de la cèl·lula
  • 81.
  • 82.
    ESTRUCTURA CEL·LULAR MITOCONDRI Forma allargada, com un bastonet Repartits per tot el citoplasma Nombre alt en general, pot variar entre cèl·lules Envoltats per dues membranes, l'exterior és llisa i la interior té nombrosos plecs anomenats crestes.
  • 83.
    ESTRUCTURA CEL·LULAR MITOCONDRI Espai interior, anomenat matriu, ple d'un líquid amb nombroses substàncies dissoltes Tenen un Àcid desoxiribonucleic (ADN) propi, diferent del que hi ha al nucli
  • 84.
    ESTRUCTURA CEL·LULAR MITOCONDRI FUNCIÓ Realitzen un conjunt de processos químics anomenats respiració cel·lular, amb la qual es proporciona a la cèl·lula l'energia necessària per a realitzar totes les seves activitats
  • 85.
  • 86.
    ESTRUCTURA CEL·LULAR LISOSOMA Vesícules envoltades per una membrana que es formen a partir de plecs més o menys esfèrics que es desprenen de l'aparell de Golgi Són petites bossetes o vesícules que contenen substàncies que intervenen en la digestió dels compostos que entren a la cèl·lula, i també intervenen en la destrucció dels orgànuls cel·lulars que van envellint Destrucció dels bacteris que fagociten els glòbuls blancs
  • 87.
  • 88.
  • 89.
    ESTRUCTURA CEL·LULAR RETICLE ENDOPLASMÀTIC Conjunt de cavitats aplanades, conductes i làmines limitats per una membrana, delimita un espai intern anomenat lumen del RE Una part del RE rugós continua amb la membrana externa del nucli mentre que una altra part es comunica dinàmicament amb l'aparell de Golgi, a través de vesícules transportadores Pot presentar dos aspectes: llis i rugós • RER: conté ribosomes associats a la cara externa de la seva membrana • REL: no té ribosomes, constituït per una sèrie de túbuls fins, molt sovint ramificats
  • 90.
  • 91.
    ESTRUCTURA CEL·LULAR RETICLE ENDOPLASMÀTIC Intervé en la síntesi de proteïnes i lípids Emmagatzema i transporta certes substàncies tant endògenes com exògenes d'un punt a un altre de la cèl·lula