Introduction to pathology
Dr. Biniam Tsegaye (MD)
Pathologist
1
Introducing the department
2
• Office No.13, ground
• 4 pathologist (1 Abroad for
study)
• Biniam Tsegaye
• Hadas W/zgina
• Sara Kiros
• Melisachew Mulatu
• 3 residents
• 2 GP’s
• 8 histotechnologist
3
PATHOLOGY
• Pathos (suffering)
• Logos (study)
4
• Scientific study of diseases
• Scientific study of structural and functional changes of cells, tissues and
organs that underlie diseases
• A bridging discipline that connects basic sciences with clinical medicine
5
Tree of medicine
6
General
• Cell injury, adaptation & cell death
• Inflammation
• Tissue repair
• Hemodynamic disorders
• Immunopathology neoplasia
• Genetic & pediatric disease
• Environmental & nutritional disease
• Infectious disease
Systemic
• Ds of blood vessels
• Ds of Heart
• Ds Hematopoietic & lymphoid
• Ds of Respiratory
• Ds of Kidney & its collecting system
• The Oral cavity & GI tract
• The Liver, GB & biliary tract
• The Pancreas
• The Male genital system
• The Female genital system & Breast
• The Endocrine system
• The Musculoskeletal system
• The Skin
• The Nervous system
•Traditionally classified in two
1. General pathology
2. Systemic pathology
7
History
Hippocrates(460–370? BC)
Cornelius Celsus (about 30BC–38 AD).
- He wrote De Re Medicina in eight
volumes.
- Book III contains the classic definition of
inflammation:
“Notae vero inflammationis sunt
quatuor, rubor et tumor, cum calore et
dolore”
Galen (129– 201 AD) - he is by many considered as the greatest medical
figure of that time.
- „Crab-like‟ growth of cancer John Hunter (1728–1793) was not just one of
them; he was an extraordinary one.
- He also was author of “Venereal Disease”
(1786) and of “Treatise on the Blood,
Inflammation and Gunshot Wounds”
Batista Morgagni (1682–1771) modern
medicine and pathology.
- It became generally accepted that
diseases were organ based
Thomas Hodgkin (1798–1866)
Rudolph L.K. Virchow (1821–1902)-
father of pathology
8
What is a Disease?
• A disease is a physical or functional disorder of normal body systems that places an
individual at increased risk of adverse consequences
• Diseases are diagnosed by physicians or other health care providers through a
combination of tools
• When a disease is diagnosed, treatment is given to prevent or ameliorate
complications and to improve prognosis
9
The core aspects of diseases in pathology
• Pathology gives explanations of a disease by studying the following four aspects of
the disease
1. Etiology
2. Pathogenesis
3. Morphologic changes
4. Functional derangements and clinical significance
10
Etiology
• Cause of disease
• Primary Vs. Secondary (idiopathic)
• Understanding of the etiology is important for
– Disease diagnosis
– Disease treatment
– Prediction of prognosis
11
• There are two major classes of etiologic factors:
1. Genetic /intrinsic
2. Acquired
– Infectious, nutritional, chemical, physical, hypersensitivity reactions
Genetic + Acquired
(multifactorial)
12
Pathogenesis
• Mechanism of disease development
• Sequence of events starting from initial stimulus(etiology) to final disease expression
• Pathogenesis leads to morphologic changes
13
Morphologic changes
• The morphologic changes refer to the structural alterations in cells or tissues that occur
following the pathogenetic mechanisms
• The structural changes in the organ can be seen with the naked eye or they may only be seen under
the microscope. Those changes that can be seen with the naked eye are called gross morphologic
changes & those that are seen under the microscope are called microscopic changes
• Both the gross & the microscopic morphologic changes may only be seen in that disease, i.e. they
may be specific to that disease…
• Therefore, such morphologic changes can be used by the pathologist to identify (i.e. to diagnose)
the disease.
14
15
16
17
18
Clinical significance
• Functional consequences and functional derangements as a result of
morphologic changes
• The morphologic changes in the organ influence the normal function of
the organ
• By doing so, they determine the clinical features (symptoms and signs),
course, and prognosis of the disease
19
20
Lung,
pneumonia
Liver,
metastasis
What could be
the
manifestations?
Try this
TUBERCULOSIS HIV/AIDS
- Etiology
- Pathogenesis
- Morphologic changes
- Clinical significance
21
Diagnostic techniques used in pathology
• The pathologist uses the following techniques to diagnose diseases:
1. Cytopathology
2. Histopathology
3. Hematopathology
4. Immunohistochemistry
5. Microbiological examination
6. Biochemical examination
7. Cytogenetics
8. Molecular techniques
9. Autopsy
22
Cytopathological techniques
• Cytopathology is the study of cells from various body sites to determine the cause or nature of
disease
• Advantages of cytologic examination
Compared to histopathological technique is
1. Cheap
2. Takes less time
3. Needs no anesthesia to take specimens
4. It is complementary to histopathological examination.
23
Applications of Cytopathology:
• The main applications of cytology include the following:
1. Screening for the early detection of asymptomatic cancer
• The examination of scrapings from cervix for early detection and prevention of cervical cancer.
2. Diagnosis of symptomatic cancer
• Cytopathology may be used alone or in conjunction with other modalities to diagnose tumors
revealed by physical or radiological examinations.
3. Surveillance of patients treated for cancer
• For some types of cancers, cytology is the most feasible method of surveillance to detect recurrence.
The best example is periodic urine cytology to monitor the recurrence of cancer of the urinary tract.
24
25
Cytopathology methods
• There are different cytopathologic methods including:
1. Fine-needle aspiration cytology (FNAC)
2. Exfoliative cytology
3. Abrasive cytology
26
1. Fine-needle aspiration cytology (FNAC)
• In FNAC, cells are obtained by aspirating the diseased organ using a very thin needle under
negative pressure.
• Virtually any organ or tissue can be sampled by fine-needle aspiration.
• The aspirated cells are then stained & are studied under the microscope.
• Superficial organs (e.g. thyroid, breast, lymph nodes, skin and soft tissues) can be easily
aspirated.
• Deep organs, such as the lung, mediastinum, liver, pancreas, kidney, adrenal gland, and
retroperitoneum are aspirated with guidance by fluoroscopy, ultrasound or CT scan.
• FNAC is cheap, fast, & accurate in diagnosing many diseases.
27
Diffuse goiter
28
Procedure
• Informed consent
• Take important history
• Proper positioning of patient
• Exact location of lesion
• Select FNAC technique
• Take sample
• Smear preparation
• Assess sample adequacy….. on site evaluation
• Fixation
– Air drying
– Alcohol fixation
• Staining
– Romanowsky staining
– Pap staining
• Microscopy
29
FNAC
• Informed consent
• Nature of procedure
• Purpose
• Risk and complication
• Benefits
• Alternatives
• Tell patient about
– Pain during and after procedure w/c usually does not need analgesic
– Bleeding…rarely
– Injury to nearest organs
– Possibility of repeat FNA
– Possibility of Biopsy
– FNA is not therapeutic
30
31
Patient sent with the diagnosis of lymphoma,
but FNAC reveals inflamed salivary gland
Exact location
Size, consistency, single/multiple,
relation to nearby structures
Insert needle, Create negative
pressure, Number of passes, and Cut
32
Palpate….location
size, consistency, relation to other structures
33
Patient positioning….thyroid
Supine position with extended neck
34
35
36
37
FNAC clinic
• Examination coach
• Good air conditioning
• Good light
• Microscope
• Sink…with appropriate water supply and drainage system
• Instrument trolley
• Examination tray for instruments
38
39
FNAC clinic materials
• Syringe
• Syringe holder???
• Needles of various caliber
• Gloves….disposable and surgical
• Alcohol, iodine—antiseptics
• Cotton, gauze……swab
• Slides…frosted and non frosted
• Pencil…..labeling
• Protective mask and Apron
• Anesthetic drugs…2% lidocaine w/out adrenaline
• Safety box
40
Image guided….
• CT guided FNA…high diagnostic accuracy and less complication
• U/S guided FNA….Non palpable, multiple, small lesions of thyroid,
breast and also intraabdominal masses
• Endoscopy guided ultrasound FNAC (EUS-FNAC)…mediastinum, bile
duct, hypopharynx, rectum, duodenum, pancreas…..
41
42
Air drying fixation
• Immediate fixation is mandatory
• Put the smear in open air for about 5min
• Followed by Romanowsky stain
• If not well fixed (not dry well)….thick smear, less time
– Air drying artifact….microscope (enlarged nuclei with fuzzy cell boundaries)
– False positive or false negative results
43
Air dried smear with MGG stain, Small cell carcinoma of lung
44
Alcohol fixation
• Wet fixation
• Spray fixative or dipping the slide in 95% ethyl alcohol
• Then followed by Pap staining
• Immediate fixation is crucial
• Delayed fixation….cellular distortion and poor preservation of nuclear detail
• Choice of fixative depends upon the local policy of the laboratory.
45
Alcohol fixation…..Pap staining, Small cell carcinoma of lung
46
Stains
• Papanicolaou stain
–Dr. George papanicolaou----father of cytopathology
–Pap stain in alcohol fixed slides
–Shows nuclear details very well
–Uses standard nuclear staining (Hematoxylin)
–Two counterstains of cytoplasm…OG-6, EA
–Outcome of this stain…crisp nuclear detail and transparency
of the cytoplasm
47
Pap staining of cervical epithelium
48
Romanowsky stains
• Important in air dried slides
• Are mixtures of eosin and methylene blue
• Show cytoplasmic details and cell outline better than Pap
• Show extracellular materials better
• Are metachromatic, unlike Pap
1. Wright’s stain
2. Giemsa stain
3. Wright’s Giemsa stain
4. May Grunwald Giemsa stain /MGG stain
5. Diff Quick stain…..for rapid staining and assessing adequacy of material
49
Diff Quick stain
50
NHL Pap stain
51
MGG stain of the above NHL case
52
Metastatic clear cell carcinoma of kidney
a. Pap stain
b. MGG stain
53
Stromal component is best identified using Romanowsky stain
Epimyoepithelial carcinoma of the parotid
54
Special stains
• Periodic acid Schiff…PAS….Glycogen
• PAS distase (PAS-d) and Alcian blue…..mucins
• Methenamine silver (Grocott)……detection of fungi
• Ziehl Nielsen stain….AFB
• Perls stain….detection of hemosiderin
55
56
Ascitic fluid…malignant
positive for PAS-d stain… adenocarcinoma
57
58
2. Exfoliative cytology
• Refers to the examination of cells that are shed spontaneously into body
fluids or secretions.
Sputum
Cerebrospinal fluid
Urine
Effusions in body cavities ( pleura, pericardium, peritoneum )
Nipple discharge
Vaginal discharge
59
Ascitic fluid……40/M
sheets of lymphocytes
60
Ascitic fluid…..50/F
61
Pleural fluid…..45/M
sheets of neutrophils
62
Pleural fluid…..50/M
Sheets of eosinophils
63
3. Abrasive cytology
• Cells are dislodged by various tools from body surfaces (skin, mucous membranes,
and serous membranes).
• Cells may be dislodged by
• Scraping
• Swabbing
• Endoscopic brushing of mucosal surfaces
• Washing (lavage of mucosal surfaces)
• E.g. preparation of cervical smears with small brush to detect cancer of the uterine
cervix at early stages.
• Such cervical smears, also called Pap smears
• Barr body test
64
Pap staining of cervical epithelium
65
Barr bodies represent the inactive X chromosome and
are normally found only in female somatic cells.
Barr Bodies
66
A woman with the
chromosome
constitution 47, XXX
should have 2 Barr
bodies in each cell.
XXY individuals are
male, but have a
Barr body.
 XO individuals are
female but have no
Barr bodies.
67
Dora Ratjen ,November 20, 1918 Bremen ,Germany - April 22,
2008) was a German athlete who competed for Germany in the
Women's High Jump at the 1936 Summer Olympics at Berlin ,
finishing fourth, but was later discovered to be male .
68
Stella Walsh won a silver medal at the
1936 Olympics - but was later found to be a
man
Stella Walsh was killed in a random act
of violence in 1968. As part of a routine autopsy,
coroners discovered that Stella was a
masculine pseudohermaphrodite (mosaicism)
69
800m gold medal in Berli 2009
Semenya (south Africa) told to take
gender test
Reports in two newspapers in September said the results of the tests
showed Semenya has both male and female characteristics. The IAAF
has declined to confirm those reports.
70
71
Histopathological techniques
• Studies tissues under the microscope
• The pathologist looks for abnormal structures in the tissue
• Tissues for histopathological examination are obtained by biopsy
• Biopsy is a tissue sample from a living person to identify the disease
• Biopsy can be either incisional or excisional
• Once the tissue is removed from the patient, it has to be immediately
fixedby putting it into adequate amount of 10% formaldehyde
(10% formalin) before sending it to the pathology laboratory.
72
Steps in histopathological study
1. Excisional or incisional biopsy
2. Put specimen in 10% formalin
3. Macroscopic examination
 Specimen contains
 Measurement
 Cut surface
 Take tissue bits with size of 1*1.5cm and 2-3mm in thickness
 Tissue bits are put in plastic or steel cassettes
 Cassette labeling
73
5. Tissue processing
6. Embedding
7. Preparation of tissue block
8. Tissue is then sectioned- microtome machine
9. Tissue staining e.g. Hematoxylin/Eosin
10. Microscopic examination
11. Reporting
74
75
76
77
78
79
80
81
82
Tissue processing
• Sequential step which involves
1. Fixation
2. Dehydration
3. Clearing
4. Infiltration
• Tissue processing enables tissues to be embedded in to
mediums such as wax and cut in to thin sections
83
84
Tissue
processor
After processing?
• Embedding- processed tissue will be embedded in paraffin/wax
• Cool the paraffin in the cooling plate
• Detach the embedding mold from the cassette
• Now the cassette contain tissue with paraffin- tissue block
• Sectioning using microtome machine
• Sectioned tissue is put in a water bath
• Sectioned tissue is transferred from water bath to slides
• Slides are put in the oven of embedding center
• Tissue staining
85
Put the tissue in an embedding mold
86
Apply melted wax over the mold
Put tissue over the wax
put a cassette over the tissue and wax
Apply melted wax over the cassette
87
Put mold and cassette over a cooling plate
Detach the mold from the cassette
Cassette with tissue= tissue block
88
Sectioning using microtome
89
Transfer the section in to water bath
Then transfer the section in to a slide from the water bath
90
Put the slide in the oven of the embedding center
91
Slide staining
92
Routine histology stain is
Hematoxyline and Eosin
abbreviated as H&E.
Histological stains
• Staining-identification of different tissue components by their
color reactions.
• Three types
1. Vital staining- staining of living tissue by injecting staining
solution in to the animal body i.e. research purpose
2. Routine staining- staining of various tissue components with
little differentiation except between nucleus and cytoplasm
3. Special staining-
 More limited
 Selective staining
 Demonstration of special features such as bacteria, fungi,
particular cell products, microscopic intercellular
structures.
 DNA staining- Feulgen stain 93
Hematological examination
• This is a method by which abnormalities of the
cells of the blood and their precursors in the bone
marrow are investigated to diagnose the different
kinds of anemia & leukemia
• Peripheral blood smear or Bone marrow aspiration
94
Plasma cell….eccentrically located nucleus and perinuclear halo
95
Metamyelocyte…
96
Bands
97
Peripheral blood….neutrophils
98
Bone marrow aspiration
99
Peripheral blood…CML
100
Bone marrow aspiration…MDS
101
Peripheral blood
102
Peripheral blood
103
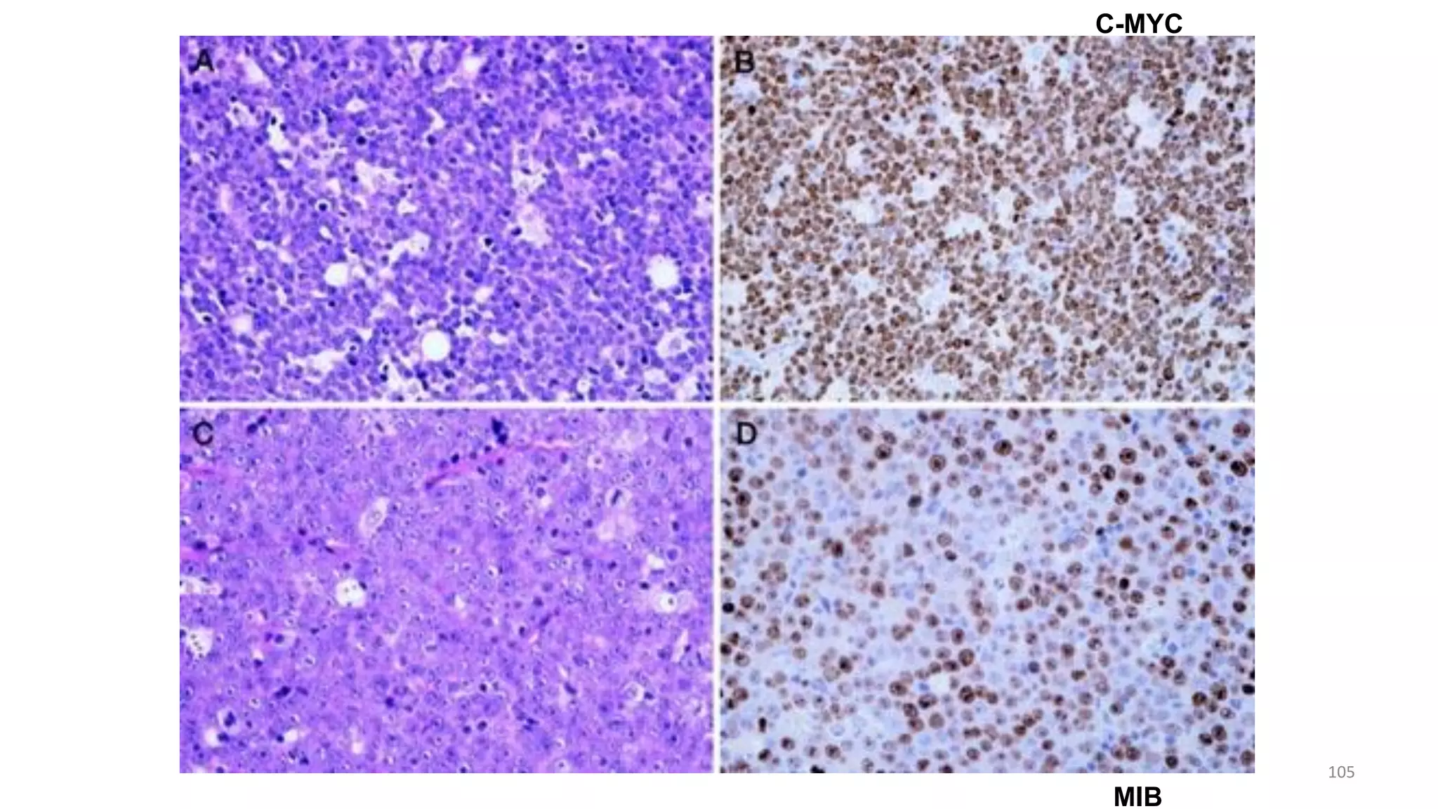
Immunohisto/ cytochemistry
• This is a method is used to detect a specific
antigen in the tissue /cells in order to identify the
type of disease.
104
105
C-MYC
MIB
Cervical lymph node FNA /34 M
HX of melanoma
DDX….????? melanoma
106
Microbiological examination
• This is a method by which body fluids, excised
tissue, etc. are examined by microscopical, cultural
and serological techniques to identify micro-
organisms responsible for many diseases.
• AFB staining of pleural fluid…microscopy
• Culture…culture from LN
• Serology……HIV
107
Biochemical examination
• This is a method by which the metabolic
disturbances of disease are investigated by assay
of various normal and abnormal compounds in the
blood, urine, etc.
• For example, in diabetes mellitus, biochemical
investigation provides the best means of diagnosis
and is of greatest value in the control of the
disease
108
Clinical genetics (cytogenetics)
• This is a method in which inherited chromosomal
abnormalities in the germ cells or acquired
chromosomal abnormalities in somatic cells are
investigated using the techniques of molecular biology.
109
Molecular techniques
• Different molecular techniques such as fluorescent in situ
hybridization, Southern blot, etc... can be used to detect
genetic diseases.
110
Autopsy
• Autopsy is examination of the dead body to identify the cause
of death
• This can be for forensic or clinical purposes
1. Eliminate suspicion
2. Provide reassurance to families
3. Substitute facts for conjecture
4. Construct a better defense
5. Reduce the number of claims
6. Improve the quality of care
111
What is a Disease?
• A disease is a physical or functional disorder of normal body systems
that places an individual at increased risk of adverse consequences
• Diseases are diagnosed by physicians or other health care providers
through a combination of tools
• When a disease is diagnosed, treatment is given to prevent or
ameliorate complications and to improve prognosis
112
The causes of disease
• Diseases can be caused by either
1. Environmental factors
2. Genetic factors
3. Combination of the two
113
• Environmental causes of disease are many and are classified into:
1. Physical agents
2. Chemicals
3. Nutritional deficiencies & excesses
4. Infections & infestations
5. Immunological factors
Hypersensitivity reaction, Immunodeficiency,
Autoimmunity
6. Psychogenic factors
114
Genetic Factors
• These are hereditary factors that are
inherited genetically from parents.
115
Course of disease
• The course of a disease in the absence of any intervention is called the
natural history of the disease. The different stages in the natural history
of disease include:
 Exposure
 Latency period between exposure and biological onset of disease
 Biological onset of disease; this marks the initiation of the
disease process, however, without any sign or symptom.
Following biological onset of disease, it may remain asymptomatic or
subclinical (i.e. without any clinical manifestations), or may lead to overt
clinical disease.
116
 Incubation (induction) period refers to
variable period of time without any obvious signs or
symptoms from the time of exposure.
 Clinical onset of the disease, when the signs
and
symptoms of the disease become apparent. The
expression
of the disease may be variable in severity or in
terms of
range of manifestations.
117
Outcome and consequences of disease
• Following clinical onset, disease may follow any of the following trends:
1. Resolution can occur leaving no sequelae
2. The disease can settle down, but sequelae are left
3. It may result in death
118
Clinical death
• Clinical death is the reversible transmission between life and biologic death.
• Clinical death is defined as the period of respiratory, circulatory and brain arrest
during which initiation of resuscitation can lead to recovery.
Signs indicating clinical death are
 patient is without pulse or blood pressure
 completely unresponsive to the most painful stimulus.
 Pupils are widely dilated
 Some reflex reactions to external stimulation are preserved. For example, during
intubations, respiration may be restored in response to stimulation of the receptors
of the superior laryngeal nerve, the nucleus of which is located in the medulla
oblongata near the respiratory center.
 Recovery can occur with resuscitation. 119
Biological death
• Biological death (sure sign of death), which sets in after
clinical death, is an irreversible state of cellular
destruction.
• It manifests with irreversible cessation of circulatory
and respiratory functions, or irreversible cessation of all
functions of the entire brain, including brain stem.
120
Pathologist
• A person, MD study pathology
• What we do currently?
Cytopathology Biopsy AutopsyHematopathology
121
THANK YOU
122

1.path intro

  • 1.
    Introduction to pathology Dr.Biniam Tsegaye (MD) Pathologist 1
  • 2.
  • 3.
    • Office No.13,ground • 4 pathologist (1 Abroad for study) • Biniam Tsegaye • Hadas W/zgina • Sara Kiros • Melisachew Mulatu • 3 residents • 2 GP’s • 8 histotechnologist 3
  • 4.
  • 5.
    • Scientific studyof diseases • Scientific study of structural and functional changes of cells, tissues and organs that underlie diseases • A bridging discipline that connects basic sciences with clinical medicine 5
  • 6.
  • 7.
    General • Cell injury,adaptation & cell death • Inflammation • Tissue repair • Hemodynamic disorders • Immunopathology neoplasia • Genetic & pediatric disease • Environmental & nutritional disease • Infectious disease Systemic • Ds of blood vessels • Ds of Heart • Ds Hematopoietic & lymphoid • Ds of Respiratory • Ds of Kidney & its collecting system • The Oral cavity & GI tract • The Liver, GB & biliary tract • The Pancreas • The Male genital system • The Female genital system & Breast • The Endocrine system • The Musculoskeletal system • The Skin • The Nervous system •Traditionally classified in two 1. General pathology 2. Systemic pathology 7
  • 8.
    History Hippocrates(460–370? BC) Cornelius Celsus(about 30BC–38 AD). - He wrote De Re Medicina in eight volumes. - Book III contains the classic definition of inflammation: “Notae vero inflammationis sunt quatuor, rubor et tumor, cum calore et dolore” Galen (129– 201 AD) - he is by many considered as the greatest medical figure of that time. - „Crab-like‟ growth of cancer John Hunter (1728–1793) was not just one of them; he was an extraordinary one. - He also was author of “Venereal Disease” (1786) and of “Treatise on the Blood, Inflammation and Gunshot Wounds” Batista Morgagni (1682–1771) modern medicine and pathology. - It became generally accepted that diseases were organ based Thomas Hodgkin (1798–1866) Rudolph L.K. Virchow (1821–1902)- father of pathology 8
  • 9.
    What is aDisease? • A disease is a physical or functional disorder of normal body systems that places an individual at increased risk of adverse consequences • Diseases are diagnosed by physicians or other health care providers through a combination of tools • When a disease is diagnosed, treatment is given to prevent or ameliorate complications and to improve prognosis 9
  • 10.
    The core aspectsof diseases in pathology • Pathology gives explanations of a disease by studying the following four aspects of the disease 1. Etiology 2. Pathogenesis 3. Morphologic changes 4. Functional derangements and clinical significance 10
  • 11.
    Etiology • Cause ofdisease • Primary Vs. Secondary (idiopathic) • Understanding of the etiology is important for – Disease diagnosis – Disease treatment – Prediction of prognosis 11
  • 12.
    • There aretwo major classes of etiologic factors: 1. Genetic /intrinsic 2. Acquired – Infectious, nutritional, chemical, physical, hypersensitivity reactions Genetic + Acquired (multifactorial) 12
  • 13.
    Pathogenesis • Mechanism ofdisease development • Sequence of events starting from initial stimulus(etiology) to final disease expression • Pathogenesis leads to morphologic changes 13
  • 14.
    Morphologic changes • Themorphologic changes refer to the structural alterations in cells or tissues that occur following the pathogenetic mechanisms • The structural changes in the organ can be seen with the naked eye or they may only be seen under the microscope. Those changes that can be seen with the naked eye are called gross morphologic changes & those that are seen under the microscope are called microscopic changes • Both the gross & the microscopic morphologic changes may only be seen in that disease, i.e. they may be specific to that disease… • Therefore, such morphologic changes can be used by the pathologist to identify (i.e. to diagnose) the disease. 14
  • 15.
  • 16.
  • 17.
  • 18.
  • 19.
    Clinical significance • Functionalconsequences and functional derangements as a result of morphologic changes • The morphologic changes in the organ influence the normal function of the organ • By doing so, they determine the clinical features (symptoms and signs), course, and prognosis of the disease 19
  • 20.
  • 21.
    Try this TUBERCULOSIS HIV/AIDS -Etiology - Pathogenesis - Morphologic changes - Clinical significance 21
  • 22.
    Diagnostic techniques usedin pathology • The pathologist uses the following techniques to diagnose diseases: 1. Cytopathology 2. Histopathology 3. Hematopathology 4. Immunohistochemistry 5. Microbiological examination 6. Biochemical examination 7. Cytogenetics 8. Molecular techniques 9. Autopsy 22
  • 23.
    Cytopathological techniques • Cytopathologyis the study of cells from various body sites to determine the cause or nature of disease • Advantages of cytologic examination Compared to histopathological technique is 1. Cheap 2. Takes less time 3. Needs no anesthesia to take specimens 4. It is complementary to histopathological examination. 23
  • 24.
    Applications of Cytopathology: •The main applications of cytology include the following: 1. Screening for the early detection of asymptomatic cancer • The examination of scrapings from cervix for early detection and prevention of cervical cancer. 2. Diagnosis of symptomatic cancer • Cytopathology may be used alone or in conjunction with other modalities to diagnose tumors revealed by physical or radiological examinations. 3. Surveillance of patients treated for cancer • For some types of cancers, cytology is the most feasible method of surveillance to detect recurrence. The best example is periodic urine cytology to monitor the recurrence of cancer of the urinary tract. 24
  • 25.
  • 26.
    Cytopathology methods • Thereare different cytopathologic methods including: 1. Fine-needle aspiration cytology (FNAC) 2. Exfoliative cytology 3. Abrasive cytology 26
  • 27.
    1. Fine-needle aspirationcytology (FNAC) • In FNAC, cells are obtained by aspirating the diseased organ using a very thin needle under negative pressure. • Virtually any organ or tissue can be sampled by fine-needle aspiration. • The aspirated cells are then stained & are studied under the microscope. • Superficial organs (e.g. thyroid, breast, lymph nodes, skin and soft tissues) can be easily aspirated. • Deep organs, such as the lung, mediastinum, liver, pancreas, kidney, adrenal gland, and retroperitoneum are aspirated with guidance by fluoroscopy, ultrasound or CT scan. • FNAC is cheap, fast, & accurate in diagnosing many diseases. 27
  • 28.
  • 29.
    Procedure • Informed consent •Take important history • Proper positioning of patient • Exact location of lesion • Select FNAC technique • Take sample • Smear preparation • Assess sample adequacy….. on site evaluation • Fixation – Air drying – Alcohol fixation • Staining – Romanowsky staining – Pap staining • Microscopy 29
  • 30.
    FNAC • Informed consent •Nature of procedure • Purpose • Risk and complication • Benefits • Alternatives • Tell patient about – Pain during and after procedure w/c usually does not need analgesic – Bleeding…rarely – Injury to nearest organs – Possibility of repeat FNA – Possibility of Biopsy – FNA is not therapeutic 30
  • 31.
  • 32.
    Patient sent withthe diagnosis of lymphoma, but FNAC reveals inflamed salivary gland Exact location Size, consistency, single/multiple, relation to nearby structures Insert needle, Create negative pressure, Number of passes, and Cut 32
  • 33.
  • 34.
  • 35.
  • 36.
  • 37.
  • 38.
    FNAC clinic • Examinationcoach • Good air conditioning • Good light • Microscope • Sink…with appropriate water supply and drainage system • Instrument trolley • Examination tray for instruments 38
  • 39.
  • 40.
    FNAC clinic materials •Syringe • Syringe holder??? • Needles of various caliber • Gloves….disposable and surgical • Alcohol, iodine—antiseptics • Cotton, gauze……swab • Slides…frosted and non frosted • Pencil…..labeling • Protective mask and Apron • Anesthetic drugs…2% lidocaine w/out adrenaline • Safety box 40
  • 41.
    Image guided…. • CTguided FNA…high diagnostic accuracy and less complication • U/S guided FNA….Non palpable, multiple, small lesions of thyroid, breast and also intraabdominal masses • Endoscopy guided ultrasound FNAC (EUS-FNAC)…mediastinum, bile duct, hypopharynx, rectum, duodenum, pancreas….. 41
  • 42.
  • 43.
    Air drying fixation •Immediate fixation is mandatory • Put the smear in open air for about 5min • Followed by Romanowsky stain • If not well fixed (not dry well)….thick smear, less time – Air drying artifact….microscope (enlarged nuclei with fuzzy cell boundaries) – False positive or false negative results 43
  • 44.
    Air dried smearwith MGG stain, Small cell carcinoma of lung 44
  • 45.
    Alcohol fixation • Wetfixation • Spray fixative or dipping the slide in 95% ethyl alcohol • Then followed by Pap staining • Immediate fixation is crucial • Delayed fixation….cellular distortion and poor preservation of nuclear detail • Choice of fixative depends upon the local policy of the laboratory. 45
  • 46.
    Alcohol fixation…..Pap staining,Small cell carcinoma of lung 46
  • 47.
    Stains • Papanicolaou stain –Dr.George papanicolaou----father of cytopathology –Pap stain in alcohol fixed slides –Shows nuclear details very well –Uses standard nuclear staining (Hematoxylin) –Two counterstains of cytoplasm…OG-6, EA –Outcome of this stain…crisp nuclear detail and transparency of the cytoplasm 47
  • 48.
    Pap staining ofcervical epithelium 48
  • 49.
    Romanowsky stains • Importantin air dried slides • Are mixtures of eosin and methylene blue • Show cytoplasmic details and cell outline better than Pap • Show extracellular materials better • Are metachromatic, unlike Pap 1. Wright’s stain 2. Giemsa stain 3. Wright’s Giemsa stain 4. May Grunwald Giemsa stain /MGG stain 5. Diff Quick stain…..for rapid staining and assessing adequacy of material 49
  • 50.
  • 51.
  • 52.
    MGG stain ofthe above NHL case 52
  • 53.
    Metastatic clear cellcarcinoma of kidney a. Pap stain b. MGG stain 53
  • 54.
    Stromal component isbest identified using Romanowsky stain Epimyoepithelial carcinoma of the parotid 54
  • 55.
    Special stains • Periodicacid Schiff…PAS….Glycogen • PAS distase (PAS-d) and Alcian blue…..mucins • Methenamine silver (Grocott)……detection of fungi • Ziehl Nielsen stain….AFB • Perls stain….detection of hemosiderin 55
  • 56.
  • 57.
    Ascitic fluid…malignant positive forPAS-d stain… adenocarcinoma 57
  • 58.
  • 59.
    2. Exfoliative cytology •Refers to the examination of cells that are shed spontaneously into body fluids or secretions. Sputum Cerebrospinal fluid Urine Effusions in body cavities ( pleura, pericardium, peritoneum ) Nipple discharge Vaginal discharge 59
  • 60.
  • 61.
  • 62.
  • 63.
  • 64.
    3. Abrasive cytology •Cells are dislodged by various tools from body surfaces (skin, mucous membranes, and serous membranes). • Cells may be dislodged by • Scraping • Swabbing • Endoscopic brushing of mucosal surfaces • Washing (lavage of mucosal surfaces) • E.g. preparation of cervical smears with small brush to detect cancer of the uterine cervix at early stages. • Such cervical smears, also called Pap smears • Barr body test 64
  • 65.
    Pap staining ofcervical epithelium 65
  • 66.
    Barr bodies representthe inactive X chromosome and are normally found only in female somatic cells. Barr Bodies 66
  • 67.
    A woman withthe chromosome constitution 47, XXX should have 2 Barr bodies in each cell. XXY individuals are male, but have a Barr body.  XO individuals are female but have no Barr bodies. 67
  • 68.
    Dora Ratjen ,November20, 1918 Bremen ,Germany - April 22, 2008) was a German athlete who competed for Germany in the Women's High Jump at the 1936 Summer Olympics at Berlin , finishing fourth, but was later discovered to be male . 68
  • 69.
    Stella Walsh wona silver medal at the 1936 Olympics - but was later found to be a man Stella Walsh was killed in a random act of violence in 1968. As part of a routine autopsy, coroners discovered that Stella was a masculine pseudohermaphrodite (mosaicism) 69
  • 70.
    800m gold medalin Berli 2009 Semenya (south Africa) told to take gender test Reports in two newspapers in September said the results of the tests showed Semenya has both male and female characteristics. The IAAF has declined to confirm those reports. 70
  • 71.
  • 72.
    Histopathological techniques • Studiestissues under the microscope • The pathologist looks for abnormal structures in the tissue • Tissues for histopathological examination are obtained by biopsy • Biopsy is a tissue sample from a living person to identify the disease • Biopsy can be either incisional or excisional • Once the tissue is removed from the patient, it has to be immediately fixedby putting it into adequate amount of 10% formaldehyde (10% formalin) before sending it to the pathology laboratory. 72
  • 73.
    Steps in histopathologicalstudy 1. Excisional or incisional biopsy 2. Put specimen in 10% formalin 3. Macroscopic examination  Specimen contains  Measurement  Cut surface  Take tissue bits with size of 1*1.5cm and 2-3mm in thickness  Tissue bits are put in plastic or steel cassettes  Cassette labeling 73
  • 74.
    5. Tissue processing 6.Embedding 7. Preparation of tissue block 8. Tissue is then sectioned- microtome machine 9. Tissue staining e.g. Hematoxylin/Eosin 10. Microscopic examination 11. Reporting 74
  • 75.
  • 76.
  • 77.
  • 78.
  • 79.
  • 80.
  • 81.
  • 82.
  • 83.
    Tissue processing • Sequentialstep which involves 1. Fixation 2. Dehydration 3. Clearing 4. Infiltration • Tissue processing enables tissues to be embedded in to mediums such as wax and cut in to thin sections 83
  • 84.
  • 85.
    After processing? • Embedding-processed tissue will be embedded in paraffin/wax • Cool the paraffin in the cooling plate • Detach the embedding mold from the cassette • Now the cassette contain tissue with paraffin- tissue block • Sectioning using microtome machine • Sectioned tissue is put in a water bath • Sectioned tissue is transferred from water bath to slides • Slides are put in the oven of embedding center • Tissue staining 85
  • 86.
    Put the tissuein an embedding mold 86
  • 87.
    Apply melted waxover the mold Put tissue over the wax put a cassette over the tissue and wax Apply melted wax over the cassette 87
  • 88.
    Put mold andcassette over a cooling plate Detach the mold from the cassette Cassette with tissue= tissue block 88
  • 89.
  • 90.
    Transfer the sectionin to water bath Then transfer the section in to a slide from the water bath 90
  • 91.
    Put the slidein the oven of the embedding center 91
  • 92.
    Slide staining 92 Routine histologystain is Hematoxyline and Eosin abbreviated as H&E.
  • 93.
    Histological stains • Staining-identificationof different tissue components by their color reactions. • Three types 1. Vital staining- staining of living tissue by injecting staining solution in to the animal body i.e. research purpose 2. Routine staining- staining of various tissue components with little differentiation except between nucleus and cytoplasm 3. Special staining-  More limited  Selective staining  Demonstration of special features such as bacteria, fungi, particular cell products, microscopic intercellular structures.  DNA staining- Feulgen stain 93
  • 94.
    Hematological examination • Thisis a method by which abnormalities of the cells of the blood and their precursors in the bone marrow are investigated to diagnose the different kinds of anemia & leukemia • Peripheral blood smear or Bone marrow aspiration 94
  • 95.
    Plasma cell….eccentrically locatednucleus and perinuclear halo 95
  • 96.
  • 97.
  • 98.
  • 99.
  • 100.
  • 101.
  • 102.
  • 103.
  • 104.
    Immunohisto/ cytochemistry • Thisis a method is used to detect a specific antigen in the tissue /cells in order to identify the type of disease. 104
  • 105.
  • 106.
    Cervical lymph nodeFNA /34 M HX of melanoma DDX….????? melanoma 106
  • 107.
    Microbiological examination • Thisis a method by which body fluids, excised tissue, etc. are examined by microscopical, cultural and serological techniques to identify micro- organisms responsible for many diseases. • AFB staining of pleural fluid…microscopy • Culture…culture from LN • Serology……HIV 107
  • 108.
    Biochemical examination • Thisis a method by which the metabolic disturbances of disease are investigated by assay of various normal and abnormal compounds in the blood, urine, etc. • For example, in diabetes mellitus, biochemical investigation provides the best means of diagnosis and is of greatest value in the control of the disease 108
  • 109.
    Clinical genetics (cytogenetics) •This is a method in which inherited chromosomal abnormalities in the germ cells or acquired chromosomal abnormalities in somatic cells are investigated using the techniques of molecular biology. 109
  • 110.
    Molecular techniques • Differentmolecular techniques such as fluorescent in situ hybridization, Southern blot, etc... can be used to detect genetic diseases. 110
  • 111.
    Autopsy • Autopsy isexamination of the dead body to identify the cause of death • This can be for forensic or clinical purposes 1. Eliminate suspicion 2. Provide reassurance to families 3. Substitute facts for conjecture 4. Construct a better defense 5. Reduce the number of claims 6. Improve the quality of care 111
  • 112.
    What is aDisease? • A disease is a physical or functional disorder of normal body systems that places an individual at increased risk of adverse consequences • Diseases are diagnosed by physicians or other health care providers through a combination of tools • When a disease is diagnosed, treatment is given to prevent or ameliorate complications and to improve prognosis 112
  • 113.
    The causes ofdisease • Diseases can be caused by either 1. Environmental factors 2. Genetic factors 3. Combination of the two 113
  • 114.
    • Environmental causesof disease are many and are classified into: 1. Physical agents 2. Chemicals 3. Nutritional deficiencies & excesses 4. Infections & infestations 5. Immunological factors Hypersensitivity reaction, Immunodeficiency, Autoimmunity 6. Psychogenic factors 114
  • 115.
    Genetic Factors • Theseare hereditary factors that are inherited genetically from parents. 115
  • 116.
    Course of disease •The course of a disease in the absence of any intervention is called the natural history of the disease. The different stages in the natural history of disease include:  Exposure  Latency period between exposure and biological onset of disease  Biological onset of disease; this marks the initiation of the disease process, however, without any sign or symptom. Following biological onset of disease, it may remain asymptomatic or subclinical (i.e. without any clinical manifestations), or may lead to overt clinical disease. 116
  • 117.
     Incubation (induction)period refers to variable period of time without any obvious signs or symptoms from the time of exposure.  Clinical onset of the disease, when the signs and symptoms of the disease become apparent. The expression of the disease may be variable in severity or in terms of range of manifestations. 117
  • 118.
    Outcome and consequencesof disease • Following clinical onset, disease may follow any of the following trends: 1. Resolution can occur leaving no sequelae 2. The disease can settle down, but sequelae are left 3. It may result in death 118
  • 119.
    Clinical death • Clinicaldeath is the reversible transmission between life and biologic death. • Clinical death is defined as the period of respiratory, circulatory and brain arrest during which initiation of resuscitation can lead to recovery. Signs indicating clinical death are  patient is without pulse or blood pressure  completely unresponsive to the most painful stimulus.  Pupils are widely dilated  Some reflex reactions to external stimulation are preserved. For example, during intubations, respiration may be restored in response to stimulation of the receptors of the superior laryngeal nerve, the nucleus of which is located in the medulla oblongata near the respiratory center.  Recovery can occur with resuscitation. 119
  • 120.
    Biological death • Biologicaldeath (sure sign of death), which sets in after clinical death, is an irreversible state of cellular destruction. • It manifests with irreversible cessation of circulatory and respiratory functions, or irreversible cessation of all functions of the entire brain, including brain stem. 120
  • 121.
    Pathologist • A person,MD study pathology • What we do currently? Cytopathology Biopsy AutopsyHematopathology 121
  • 122.