Embed presentation
Download as PPS, PPTX

















































































































































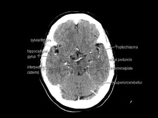
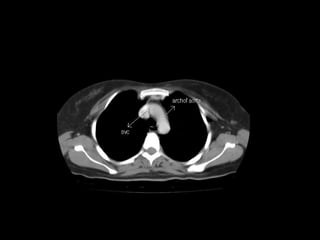
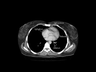
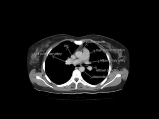
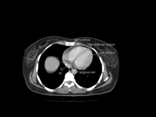
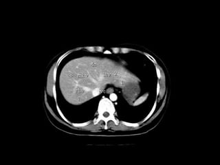
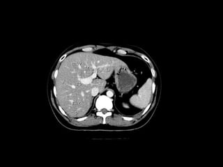
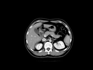
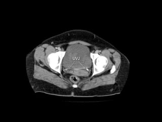
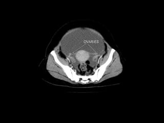
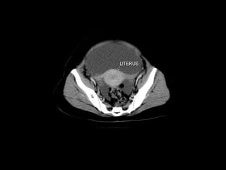
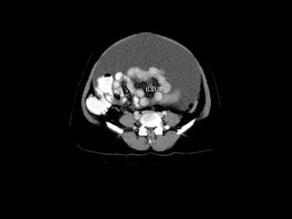
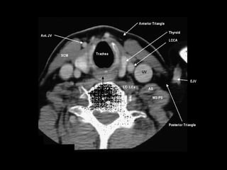
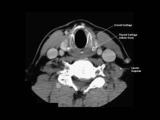
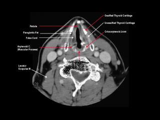
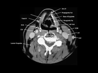
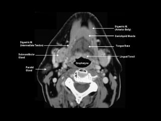
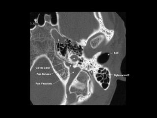
Radiographers use medical imaging equipment like X-rays and MRIs to produce images of patients' internal structures and organs. They are responsible for positioning patients, operating scanning machines, and ensuring quality images. Radiographers must have strong attention to detail, excellent communication skills, and the ability to work well under pressure to accurately capture anatomical features and diagnose any abnormalities.
















































































































































