Vasoformative tumors
Contents
• Introduction
• Classification
• Benign tumors
• Malignant tumors
• Vascular Malformations
• Summary and conclusion
• References
• DIVIDED INTO TWO MAIN GROUPS: TUMORS AND
MALFORMATIONS.
• LARGE AND COMPLEX GROUP OF LESIONS.
• THESE CLINICAL ENTITIES ARE EXTREMELY DIFFERENT.
• BUT OFTEN CONFUSED, AS EVIDENCED BY THE HISTORY AND
MEDICAL LITERATURE.
Web Site: www.makboul.com
• The term hemangioma refers to the common tumor of
infancy that has a proliferative endothelium.
• Exhibits rapid postnatal growth and slow regression during
childhood; this tumor never appears in an adolescent or
adult.
• Whereas vascular malformations are comprised of
abnormally formed channels.
• That are lined by stable endothelium, present at birth,
never regress and often expand.
HISTORY
• The word “birthmark” was one of the first ways used to
described vascular anomalies,.
• Based on the folk belief that a mother’s emotions can leave
an imprint on her unborn fetus.
• In the late 1860s, Dugas and Fisher disproved this belief and
concluded that birthmarks were malformations resulting from
flawed embryologic development.
• Around the mid- 19th century, Virchow proposed a
histopathologic classification based on the size and
appearance of the vessels.
• Then in 1982, thanks to technologic advances Mulliken and
Glowacki classified them based on histology, biology, and
clinical presentation.
• They divided vascular anomalies into two major categories:
tumors and malformations.
• In 1996, the International Society for the Study of Vascular
Anomalies (ISSVA) adopted and modified Mulliken and
Glowacki’s original classification.
• This classification system is now widely accepted to properly
diagnose and manage vascular anomalies
CLASSIFICATIONS
Journal of Oral and Maxillofacial Pathology: Vol. 18 Supplement 1 September 2014
Heamangiomas
• All vascular tumors (except congenital hemangiomas) are
not clinically present at birth.
• Have a period of rapid growth, and spontaneously involute
(except noninvoluting congenital hemangiomas [nich]).
• A malformation is characterized as an error in
development of vascular embryologic tissue.
• Vascular malformations can be capillary, venous, lymphatic,
and/or arterial in nature.
• The term hemangioma has traditionally been used to describe
a variety of developmental vascular anomalies
• In recent years, great progress has been made in the
classification and understanding of these vascular lesions.
• Currently, hemangiomas are considered to be benign tumors
of infancy.
• That are characterized by a rapid growth phase with
endothelial cell proliferation, followed by gradual involution.
Seminars in Plastic Surgery Vol. 28 No. 2/2014
PATHOGENESIS
Clinical presentation
• Most common tumor of infancy (10%)
• Slight female predominance
• 60% arise in head and neck – cosmetic concerns followed by the
trunk (25%) and the extremities (15%).
• Which are grouped into Infantile Hemangiomas (IHs) and
Congenital Hemangiomas (CHs)
• Eighty percent of hemangiomas occur as single lesions, but 20% of
affected patient s will have multiple tumors.
Infant with two red, nodular masses
on the tragus, posterior scalp and neck strawberry hemangioma
Neville 2nd edition
Juvenile hemangioma
• The juvenile hemangioma is a form of capillary hemangioma
which occurs during infancy at a rate of about 1 in every 200
live births.
• About one-fifth of the cases are multiple.
• During the early stage it may resemble a common birthmark
in that it is a flat, red lesion that intensifies in color when the
infant strains or cries.
• With time it acquires an elevated, protruding appearance that
distinguishes it from birthmarks and has earned it the fanciful
designation of strawberry nevus .
• DEEPLY situated lesions impart little color to the
overlying skin.
• Consequently may be misdiagnosed preoperatively.
• These tumors may be located on any body surface but
are most common in the region of the head and neck.
• Particularly the parotid, where they seemingly follow the
distribution of cutaneous nerves and arteries
Clinical appearance of juvenile hemangioma
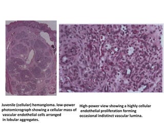
Juvenile (cellular) hemangioma. low-power
photomicrograph showing a cellular mass of
vascular endothelial cells arranged
in lobular aggregates.
High-power view showing a highly cellular
endothelial proliferation forming
occasional indistinct vascular lumina.
Capillary (lobular) hemangioma
• Capillary hemangiomas usually appear during the first few
years of life and are located in the skin or subcutaneous
tissue.
• Rare cases are familial; linkage analysis has localized the
mutation to chromosome 5 although the candidate gene has
not been identified.
• Typically elevated and red to purple in color, they are
composed of a proliferation of capillary-sized vessels lined by
flattened endothelium,
Histopathology
• Congenital hemangiomas have been classified
microscopically as capillary hemangiomas or cavernous
hemangiomas.
• Depending on whether the microscopic size of the
capillaries is small or large, respectively.
• The vascular spaces are lined by endothelium without
muscular support.
• Clinically, no significant difference is noted between
capillary and cavernous hemangiomas (Regezi 3rd edition)
Capillary hemangioma consisting of small vessels lined by flattened mature endothelium
Soft tissue tumors
Capillary heamangioma with large blood vesels
The natural history of Hemangioma is characterized by three
phases:
• Proliferating Phase
• Involuting Phase
• Involuted Phase
Web Site: www.makboul.com
Proliferating Phase
• Hemangioma grows rapidly during the first 6
to 8 months of infancy, the skin becomes
raised, bosselated, and a vivid crimson color.
• Palpation at this stage reveals a tense and
noncompressible mass.
Web Site: www.makboul.com
Web Site: www.makboul.com
Involuting Phase
• Hemangioma reaches its peak before the first year;
and for a time thereafter, growth is proportionate to
that of the child.
• The first signs of the involuting phase appear as the
crimson color fades to a dull purplish color, the skin
gradually pales, and the tumor feels less tense.
• The involuting phase continues until the child is 5 to
10 years of age.
Web Site: www.makboul.com
Involuted Phase
• Regression is complete in 50% of children by age 5 years and
in 70% by age 7 years, with continued improvement until age
10 to 12 years.
• The hemangioma may persist in the form of residual tumor,
loose skin, telangiectasias, or scarring.
Web Site: www.makboul.com
Hemangiomas can be superficial, deep, or
visceral in location
• Superficial lesions: often exhibit the classic crimson color of
the so-called strawberry hemangioma.
• Deep lesions: Are those within the deep dermis or
subcutaneous tissues.
• Often present as pale blue or purple masses that may be
confused with venous malformations.
• Visceral lesions: Are not apparent on physical examination,
and in 50% of cases, there are no accompanying cutaneous
hemangiomas.
• In this setting, their presence may only be suggested by
physiologic findings such as hepatomegaly, congestive heart
failure, or stridor.
CONGENITAL HEMANGIOMAS
• Although congenital hemangiomas (chs) and ihs grossly
appear very similar, they are histopathologically,
pathogenetically, and immunophenotypically distinct.
• Congenital hemangiomas in general have no gender
preference.
• Are fully developed at birth, and test negative for the
immunohistochemical marker glut 1.
• Congenital hemangiomas exhibit proportional growth, are
usually solitary, and more commonly present on the
extremities.
• Congenital hemangiomas undergo the proliferative phase in
utero, which makes it possible to be diagnosed with prenatal
imaging.
• They are separated into two main types: rapidly involuting
congenital hemangiomas (RICHs) and non involuting
congenital hemangiomas (NICHs)
Rapidly Involuting Congenital
Hemangioma
• Rapidly involuting congenital hemangiomas undergo rapid
proliferation in utero and are grossly visible at birth.
• They usually start involuting weeks after birth and fully
involute around 2 years of age.
• They present as a raised, violaceous tumor with ectatic veins
surrounded by a pale rim of vasoconstriction.
• Histologically, variable-sized lobular capillaries with prominent
endothelial cells are seen.
• Involution usually starts just after birth centrally and
progresses toward the periphery, leaving behind a region of
thin atrophied skin with little subcutaneous fat.
• Lesions can be excised if they do not completely involute
Noninvoluting Congenital Hemangioma
• Noninvoluting congenital hemangiomas always appear fully
formed at birth as a solitary tumor and are more common in
males).
• They demonstrate proportional growth with the child and will
never involute.
• Typical lesions are round, average from 5 to 10 cm in
diameter, with coarse overlying telangiectasias.
• Most are warm to palpation with a component of fast arterial
flow that can demonstrated by Doppler US.
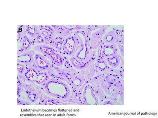
Histopathology of a proliferating infantile hemangioma with plump endothelial cells in the dermis
Medscape. com
Endothelium becomes flattened and
resembles that seen in adult forms American journal of pathology
• Interlobular areas contain dilated dysplastic veins.
• Surgical excision is treatment of choice since they are solitary
and do not involute
Journal of Oral and Maxillofacial Pathology: Vol. 18 Supplement 1 September 2014
Complications
• Complications occur in about 20% of hemangiomas.
• The most common problem is ulceration which may occur
with or without secondary infection.
• Although hemorrhage may be noted.
• Significant blood loss does not usually occur.
• Hemangiomas that occur in crucial areas can be associated
with significant morbidity.
• Periocular tumors often result in amblyopia (dimness of
vision) strabismus or astigmatism.
• Patients with multiple cutaneous hemangiomas or large facial
hemangiomas are at increased risk tor concomitant visceral
hemangiomas.
• Tumors in the neck and laryngeal region can lead to airway
obstruction.
• Congestive Heart Failure : usually occurs in one of two
settings: diffuse neonatal hemangiomatosis or large visceral
hemangiomas
Web Site: www.makboul.com
DIAGNOSTIC IMAGING
Hemangiomas are readily distinguished from other tumors by:
– Ultrasonography (US)
– Computerized tomography (CT)
– Magnetic resonance imaging (MRI)
– Arteriography
Vascular malformations
• Vascular malformations are present at birth and unlike
hemangiomas, do not go through a “rapid proliferative
phase” and they do not “involute”.
• They grow commensurately with the patient.
• Vascular malformations may be capillary, venous, arterial, or
combinations of these.
• Approximately 31% of these malformations are found in the
head and neck region
• Vascular malformations are congenital morphogenic
anomalies.
• Various vessels that can present at any age.
• They are subdivided into 2 categories:
• (1) slow- or low-flow and (2) fast- or high-flow malformations.
• Low-flow malformations contain combinations of capillary,
venous, and lymphatic components
Clinical presentation
• In many cases, the diagnosis of a vascular malformation can
be made from the patient’s history.
• Although present at birth, these lesions are often not
identified immediately.
• But only later on when the lesion enlarges enough to be
clinically identifiable.
Photograph shows skin involvement with red
discoloration and enlargement of underlying
soft tissues
• Venous malformations are
bluish, soft and easily
compressible, and
auscultation reveals no
bruits.
• These malformations can
vary from superficial,
localized.
Oral Manifestations
• In the oral cavity, these can present at any site.
• Most commonly occur on anterior two-thirds of the tongue,
palate, and gingival and buccal mucosa.
• Vascular malformations may be associated with underlying
disease or systemic anomalies.
Associated Syndromes
• Bonnet-Dechaume-Blanc syndrome or Wyburn-Mason
syndrome.
• Parkes-Weber syndrome.
• Capillary malformation-AVM syndrome.
• Cobb syndrome.
Arterio-venous malformations
• High-flow lesions
 Result from persistent direct arterial and venous
communication.
 Although they are present from birth, may not become
noticeable until later in childhood or adulthood.
 A palpable thrill or bruit often is noticeable because of the
fast vascular flow through these lesions.
High-flow vascular malformation of the lower lip
Intra-bony vascular malformations
• “lntrabony“ hemangiomas”
• May occur and probably represent either venousor arterio-
venous malformations.
• In the jaws, such lesions are detected most often in patients
between 10 and 20 years of age.
• They are considerably more common in females than males
and occur twice as often in the mandible as the maxilla.
• The radiographic appearance of intrabony vascular
malformations is variable.
• Most commonly, the lesion shows a multilocular radiolucent
defect.
• The individual loculations may be small (honeycomb
appearance) or large (soap bubble appearance).
• In other cases, the lesion may present as an ill-defined
radiolucent area or a well defined cyst like radiolucency
Intrabony venous malformation . Well
circumscribed radiolucency that contains
fine trabeculations.
Lymphangioma
• Lymphatic malformations have the propensity to enlarge
more than any other vascular malformation.
• They occur most commonly in the neck and axilla (55% to
95%).
Lymphangioma. Vesicle- like appearance of a tumor of the right lateral tongue.
•
Lesion of the tongue showing dilated
lymphatic vessels beneath the epithelium
and in the deeper connective tissues.
High-power photomicrograph showing
dilated, lymph-filled vessels immediately
below the atrophic surface epithelium.
Malignant tumors
• Angiosarcoma
• Extremely rare (50% in head
and neck)
• Prognosis on tumor size,
grade.
• Radiation minimally
effective.
• Poor survival
The images show abundant small blood vessels lined
by large atypical endothelial cells
Kaposi’s Sarcoma
• Viral-induced
• Four entities:
• Classic
• Endemic
• Immunosuppressed
• AIDS-related
• Surgery or combination of
• Radiation therapy and
• Chemotherapy
Plaques on ala and tip of nose
An HIV-positive patient presented with an Intraoral Kaposi’s sarcoma
lesion with an overlying candidiasis infection.
Early lesion of Kaposi sarcoma illustrating irregular proliferation of
miniature vessels .
Hemangiopericytoma
Pericytes of Zimmerman
• 25% in head and neck.
• Surgical treatment.
• Grade important on
prognosis.
• Radiation or chemotherapy
for selected cases
Heamangiopericytoma on buccal vestibule
Staghorn blood vessels with surrounding pericytes
Hemangioendothelioma
• Group of vascular
neoplasms that may be
considered benign as well
as malignant.
Budding, hobnail-like endothelial cells visible.
Refrences
• Kaul A, Gupta A, Singh S, Gupta G. Oral hemangioma simulating gingivitis. Univ Res J Dent
2014;4:175-8.
• Dasgupta, R, and Fishman S. "ISSVA classification." In Seminars in pediatric surgery, 2014;
23(4),158-61. WB Saunders. DOI: 10.1053/j.sempedsurg.2014.06.016
• Neville BW, Damm DD, Allen CM, Bouquot JE. Oral and Maxillofacial Pathology3th ed. India:
Elsevier; 2009.
• Rajendran R, Shivpathasundaram S. Shefars text book of oral pathology. Fifth ed: Elsevier
publications.
• Enzinger and Weiss's. Soft tissue tumors. 5th edition. Elsvier: 2008. p 825-903.
• Krishnan M, Kumar K S, Sowmiya T. Hemangiopericytoma - The need for a protocol-based
treatment plan. Indian J Dent Res 2011;22:497.

Vasoformative tumor

  • 1.
  • 2.
    Contents • Introduction • Classification •Benign tumors • Malignant tumors • Vascular Malformations • Summary and conclusion • References
  • 3.
    • DIVIDED INTOTWO MAIN GROUPS: TUMORS AND MALFORMATIONS. • LARGE AND COMPLEX GROUP OF LESIONS. • THESE CLINICAL ENTITIES ARE EXTREMELY DIFFERENT. • BUT OFTEN CONFUSED, AS EVIDENCED BY THE HISTORY AND MEDICAL LITERATURE.
  • 4.
    Web Site: www.makboul.com •The term hemangioma refers to the common tumor of infancy that has a proliferative endothelium. • Exhibits rapid postnatal growth and slow regression during childhood; this tumor never appears in an adolescent or adult. • Whereas vascular malformations are comprised of abnormally formed channels. • That are lined by stable endothelium, present at birth, never regress and often expand.
  • 5.
    HISTORY • The word“birthmark” was one of the first ways used to described vascular anomalies,. • Based on the folk belief that a mother’s emotions can leave an imprint on her unborn fetus. • In the late 1860s, Dugas and Fisher disproved this belief and concluded that birthmarks were malformations resulting from flawed embryologic development. • Around the mid- 19th century, Virchow proposed a histopathologic classification based on the size and appearance of the vessels.
  • 6.
    • Then in1982, thanks to technologic advances Mulliken and Glowacki classified them based on histology, biology, and clinical presentation. • They divided vascular anomalies into two major categories: tumors and malformations. • In 1996, the International Society for the Study of Vascular Anomalies (ISSVA) adopted and modified Mulliken and Glowacki’s original classification. • This classification system is now widely accepted to properly diagnose and manage vascular anomalies
  • 7.
  • 8.
    Journal of Oraland Maxillofacial Pathology: Vol. 18 Supplement 1 September 2014
  • 10.
    Heamangiomas • All vasculartumors (except congenital hemangiomas) are not clinically present at birth. • Have a period of rapid growth, and spontaneously involute (except noninvoluting congenital hemangiomas [nich]). • A malformation is characterized as an error in development of vascular embryologic tissue. • Vascular malformations can be capillary, venous, lymphatic, and/or arterial in nature.
  • 11.
    • The termhemangioma has traditionally been used to describe a variety of developmental vascular anomalies • In recent years, great progress has been made in the classification and understanding of these vascular lesions. • Currently, hemangiomas are considered to be benign tumors of infancy. • That are characterized by a rapid growth phase with endothelial cell proliferation, followed by gradual involution. Seminars in Plastic Surgery Vol. 28 No. 2/2014
  • 13.
  • 14.
    Clinical presentation • Mostcommon tumor of infancy (10%) • Slight female predominance • 60% arise in head and neck – cosmetic concerns followed by the trunk (25%) and the extremities (15%). • Which are grouped into Infantile Hemangiomas (IHs) and Congenital Hemangiomas (CHs) • Eighty percent of hemangiomas occur as single lesions, but 20% of affected patient s will have multiple tumors.
  • 15.
    Infant with twored, nodular masses on the tragus, posterior scalp and neck strawberry hemangioma Neville 2nd edition
  • 16.
    Juvenile hemangioma • Thejuvenile hemangioma is a form of capillary hemangioma which occurs during infancy at a rate of about 1 in every 200 live births. • About one-fifth of the cases are multiple. • During the early stage it may resemble a common birthmark in that it is a flat, red lesion that intensifies in color when the infant strains or cries. • With time it acquires an elevated, protruding appearance that distinguishes it from birthmarks and has earned it the fanciful designation of strawberry nevus .
  • 17.
    • DEEPLY situatedlesions impart little color to the overlying skin. • Consequently may be misdiagnosed preoperatively. • These tumors may be located on any body surface but are most common in the region of the head and neck. • Particularly the parotid, where they seemingly follow the distribution of cutaneous nerves and arteries
  • 18.
    Clinical appearance ofjuvenile hemangioma
  • 19.
    Juvenile (cellular) hemangioma.low-power photomicrograph showing a cellular mass of vascular endothelial cells arranged in lobular aggregates. High-power view showing a highly cellular endothelial proliferation forming occasional indistinct vascular lumina.
  • 20.
    Capillary (lobular) hemangioma •Capillary hemangiomas usually appear during the first few years of life and are located in the skin or subcutaneous tissue. • Rare cases are familial; linkage analysis has localized the mutation to chromosome 5 although the candidate gene has not been identified. • Typically elevated and red to purple in color, they are composed of a proliferation of capillary-sized vessels lined by flattened endothelium,
  • 21.
    Histopathology • Congenital hemangiomashave been classified microscopically as capillary hemangiomas or cavernous hemangiomas. • Depending on whether the microscopic size of the capillaries is small or large, respectively. • The vascular spaces are lined by endothelium without muscular support. • Clinically, no significant difference is noted between capillary and cavernous hemangiomas (Regezi 3rd edition)
  • 22.
    Capillary hemangioma consistingof small vessels lined by flattened mature endothelium Soft tissue tumors
  • 23.
    Capillary heamangioma withlarge blood vesels
  • 24.
    The natural historyof Hemangioma is characterized by three phases: • Proliferating Phase • Involuting Phase • Involuted Phase
  • 25.
    Web Site: www.makboul.com ProliferatingPhase • Hemangioma grows rapidly during the first 6 to 8 months of infancy, the skin becomes raised, bosselated, and a vivid crimson color. • Palpation at this stage reveals a tense and noncompressible mass.
  • 26.
  • 27.
    Web Site: www.makboul.com InvolutingPhase • Hemangioma reaches its peak before the first year; and for a time thereafter, growth is proportionate to that of the child. • The first signs of the involuting phase appear as the crimson color fades to a dull purplish color, the skin gradually pales, and the tumor feels less tense. • The involuting phase continues until the child is 5 to 10 years of age.
  • 28.
    Web Site: www.makboul.com InvolutedPhase • Regression is complete in 50% of children by age 5 years and in 70% by age 7 years, with continued improvement until age 10 to 12 years. • The hemangioma may persist in the form of residual tumor, loose skin, telangiectasias, or scarring.
  • 29.
    Web Site: www.makboul.com Hemangiomascan be superficial, deep, or visceral in location • Superficial lesions: often exhibit the classic crimson color of the so-called strawberry hemangioma. • Deep lesions: Are those within the deep dermis or subcutaneous tissues. • Often present as pale blue or purple masses that may be confused with venous malformations. • Visceral lesions: Are not apparent on physical examination, and in 50% of cases, there are no accompanying cutaneous hemangiomas. • In this setting, their presence may only be suggested by physiologic findings such as hepatomegaly, congestive heart failure, or stridor.
  • 30.
    CONGENITAL HEMANGIOMAS • Althoughcongenital hemangiomas (chs) and ihs grossly appear very similar, they are histopathologically, pathogenetically, and immunophenotypically distinct. • Congenital hemangiomas in general have no gender preference. • Are fully developed at birth, and test negative for the immunohistochemical marker glut 1. • Congenital hemangiomas exhibit proportional growth, are usually solitary, and more commonly present on the extremities.
  • 31.
    • Congenital hemangiomasundergo the proliferative phase in utero, which makes it possible to be diagnosed with prenatal imaging. • They are separated into two main types: rapidly involuting congenital hemangiomas (RICHs) and non involuting congenital hemangiomas (NICHs)
  • 32.
    Rapidly Involuting Congenital Hemangioma •Rapidly involuting congenital hemangiomas undergo rapid proliferation in utero and are grossly visible at birth. • They usually start involuting weeks after birth and fully involute around 2 years of age. • They present as a raised, violaceous tumor with ectatic veins surrounded by a pale rim of vasoconstriction. • Histologically, variable-sized lobular capillaries with prominent endothelial cells are seen.
  • 33.
    • Involution usuallystarts just after birth centrally and progresses toward the periphery, leaving behind a region of thin atrophied skin with little subcutaneous fat. • Lesions can be excised if they do not completely involute
  • 34.
    Noninvoluting Congenital Hemangioma •Noninvoluting congenital hemangiomas always appear fully formed at birth as a solitary tumor and are more common in males). • They demonstrate proportional growth with the child and will never involute. • Typical lesions are round, average from 5 to 10 cm in diameter, with coarse overlying telangiectasias. • Most are warm to palpation with a component of fast arterial flow that can demonstrated by Doppler US.
  • 35.
    Histopathology of aproliferating infantile hemangioma with plump endothelial cells in the dermis Medscape. com
  • 36.
    Endothelium becomes flattenedand resembles that seen in adult forms American journal of pathology
  • 37.
    • Interlobular areascontain dilated dysplastic veins. • Surgical excision is treatment of choice since they are solitary and do not involute
  • 38.
    Journal of Oraland Maxillofacial Pathology: Vol. 18 Supplement 1 September 2014
  • 39.
    Complications • Complications occurin about 20% of hemangiomas. • The most common problem is ulceration which may occur with or without secondary infection. • Although hemorrhage may be noted. • Significant blood loss does not usually occur. • Hemangiomas that occur in crucial areas can be associated with significant morbidity.
  • 40.
    • Periocular tumorsoften result in amblyopia (dimness of vision) strabismus or astigmatism. • Patients with multiple cutaneous hemangiomas or large facial hemangiomas are at increased risk tor concomitant visceral hemangiomas. • Tumors in the neck and laryngeal region can lead to airway obstruction. • Congestive Heart Failure : usually occurs in one of two settings: diffuse neonatal hemangiomatosis or large visceral hemangiomas
  • 41.
    Web Site: www.makboul.com DIAGNOSTICIMAGING Hemangiomas are readily distinguished from other tumors by: – Ultrasonography (US) – Computerized tomography (CT) – Magnetic resonance imaging (MRI) – Arteriography
  • 42.
    Vascular malformations • Vascularmalformations are present at birth and unlike hemangiomas, do not go through a “rapid proliferative phase” and they do not “involute”. • They grow commensurately with the patient. • Vascular malformations may be capillary, venous, arterial, or combinations of these. • Approximately 31% of these malformations are found in the head and neck region
  • 43.
    • Vascular malformationsare congenital morphogenic anomalies. • Various vessels that can present at any age. • They are subdivided into 2 categories: • (1) slow- or low-flow and (2) fast- or high-flow malformations. • Low-flow malformations contain combinations of capillary, venous, and lymphatic components
  • 44.
    Clinical presentation • Inmany cases, the diagnosis of a vascular malformation can be made from the patient’s history. • Although present at birth, these lesions are often not identified immediately. • But only later on when the lesion enlarges enough to be clinically identifiable.
  • 45.
    Photograph shows skininvolvement with red discoloration and enlargement of underlying soft tissues
  • 46.
    • Venous malformationsare bluish, soft and easily compressible, and auscultation reveals no bruits. • These malformations can vary from superficial, localized.
  • 47.
    Oral Manifestations • Inthe oral cavity, these can present at any site. • Most commonly occur on anterior two-thirds of the tongue, palate, and gingival and buccal mucosa. • Vascular malformations may be associated with underlying disease or systemic anomalies.
  • 48.
    Associated Syndromes • Bonnet-Dechaume-Blancsyndrome or Wyburn-Mason syndrome. • Parkes-Weber syndrome. • Capillary malformation-AVM syndrome. • Cobb syndrome.
  • 49.
    Arterio-venous malformations • High-flowlesions  Result from persistent direct arterial and venous communication.  Although they are present from birth, may not become noticeable until later in childhood or adulthood.  A palpable thrill or bruit often is noticeable because of the fast vascular flow through these lesions.
  • 50.
  • 51.
    Intra-bony vascular malformations •“lntrabony“ hemangiomas” • May occur and probably represent either venousor arterio- venous malformations. • In the jaws, such lesions are detected most often in patients between 10 and 20 years of age. • They are considerably more common in females than males and occur twice as often in the mandible as the maxilla.
  • 52.
    • The radiographicappearance of intrabony vascular malformations is variable. • Most commonly, the lesion shows a multilocular radiolucent defect. • The individual loculations may be small (honeycomb appearance) or large (soap bubble appearance). • In other cases, the lesion may present as an ill-defined radiolucent area or a well defined cyst like radiolucency
  • 53.
    Intrabony venous malformation. Well circumscribed radiolucency that contains fine trabeculations.
  • 54.
    Lymphangioma • Lymphatic malformationshave the propensity to enlarge more than any other vascular malformation. • They occur most commonly in the neck and axilla (55% to 95%).
  • 55.
    Lymphangioma. Vesicle- likeappearance of a tumor of the right lateral tongue.
  • 56.
    • Lesion of thetongue showing dilated lymphatic vessels beneath the epithelium and in the deeper connective tissues. High-power photomicrograph showing dilated, lymph-filled vessels immediately below the atrophic surface epithelium.
  • 57.
    Malignant tumors • Angiosarcoma •Extremely rare (50% in head and neck) • Prognosis on tumor size, grade. • Radiation minimally effective. • Poor survival The images show abundant small blood vessels lined by large atypical endothelial cells
  • 58.
    Kaposi’s Sarcoma • Viral-induced •Four entities: • Classic • Endemic • Immunosuppressed • AIDS-related • Surgery or combination of • Radiation therapy and • Chemotherapy Plaques on ala and tip of nose
  • 59.
    An HIV-positive patientpresented with an Intraoral Kaposi’s sarcoma lesion with an overlying candidiasis infection.
  • 60.
    Early lesion ofKaposi sarcoma illustrating irregular proliferation of miniature vessels .
  • 61.
    Hemangiopericytoma Pericytes of Zimmerman •25% in head and neck. • Surgical treatment. • Grade important on prognosis. • Radiation or chemotherapy for selected cases Heamangiopericytoma on buccal vestibule
  • 62.
    Staghorn blood vesselswith surrounding pericytes
  • 63.
    Hemangioendothelioma • Group ofvascular neoplasms that may be considered benign as well as malignant. Budding, hobnail-like endothelial cells visible.
  • 64.
    Refrences • Kaul A,Gupta A, Singh S, Gupta G. Oral hemangioma simulating gingivitis. Univ Res J Dent 2014;4:175-8. • Dasgupta, R, and Fishman S. "ISSVA classification." In Seminars in pediatric surgery, 2014; 23(4),158-61. WB Saunders. DOI: 10.1053/j.sempedsurg.2014.06.016 • Neville BW, Damm DD, Allen CM, Bouquot JE. Oral and Maxillofacial Pathology3th ed. India: Elsevier; 2009. • Rajendran R, Shivpathasundaram S. Shefars text book of oral pathology. Fifth ed: Elsevier publications. • Enzinger and Weiss's. Soft tissue tumors. 5th edition. Elsvier: 2008. p 825-903. • Krishnan M, Kumar K S, Sowmiya T. Hemangiopericytoma - The need for a protocol-based treatment plan. Indian J Dent Res 2011;22:497.