‫الرحيم‬ ‫الرحمن‬ ‫هللا‬ ‫بسم‬
TIA & Stroke Prevention
By/ Ahmed Hamdy
Undersupervision of /Lobna Ahmed
DEFINITION:
• Time based Definition:
An episode of focal brain Ischemia with symptom resolution within 24
hours.
• But MRI demonstrating relevant ischemic lesions in 30% to 50%
• Most TIAs last only a few minutes
• Current (Tissue based):
A brief episode of neurological dysfunction caused by focal brain or retinal
ischemia, with clinical symptoms typically lasting less than one hour, and
without evidence of acute infarction.
Points in favour of new definition:
• The classic 24-hour definition was misleading in that many patients
with transient <24-hour events actually have associated cerebral
infarction.
• The traditional definition can impede the administration of acute
stroke therapies.
• A 24-hour limit for transiently symptomatic cerebral ischemic was
arbitrary and not reflective of the typical duration of these events.
• The risk of stroke after a TIA is about 15% for first 90 days after.
• And about 7% a year thereafter.
• There is a high risk of stroke in the seven days after TIA, possibly
as high as 10% Specially in fist 48 hours.
• The risk of stroke, heart attack or vascular death is about 10% a
year. This is about seven times the risk in the background
population.
Assessment for TIA:
All patient with suspected TIA should have full
assessment that includes:
1- A detailed History and Neurological examination.
2-.Prognostic tests (ABCD2 score)
3- Investigative tests (blood tests, Brain and Carotid
Imaging and ECG)
Outpatient Versus Inpatient Assessment:
• For stroke prevention, the location of treatment matters less than the
speed of the assessment. However, in most parts of the world, assessing
patients and completing urgent (on the same day, within a few hours)
imaging is most easily done in the emergency department given the easy
access to imaging.
• In clinical settings that do not have access to timely outpatient
neuroimaging, patients are often admitted to the hospital to complete TIA
evaluation and expedite initiation of secondary prevention strategies.
• Some advantages of admitting the patient to the hospital include close
neurologic monitoring and early completion of investigations and
appropriate treatment.
TAKING A HISTORY FROM A PATIENT WITH A
POSSIBLE TIA:
• The diagnosis of TIA remains largely clinical and is based on taking an
accurate history.
• This contributes to the variability in the diagnosis of TIA, with high
rates of disagreement seen even between neurologists.
• As many as 60% of patients referred to a TIA clinic will not have a final
diagnosis of TIA.
• Identification of possible TIA mimics is an important stage in the
assessment of patients with transient neurologic symptoms.
ABCD2 Score:
• High risk (score 6 or 7,
8.1% 2-day risk of
stroke)
• Moderate risk (score 4
or 5, 4.1% 2-day risk of
stroke)
• Low risk (score 0 to 3,
1% 2-day risk of
stroke).
TIA symptoms for diagnosis:
Carotid Territory TIA
should have:
Carotid Territory TIA
should NOT have:
Vertebral Territory TIA
may have:
Focal loss of function
One of:
-unilateral sensory/motor
disturbance
-unilateral visual disturbance
-monocular blindness
(amarosis fugax)
-total aphasia or dysphasia
Loss of consciousness
Dizziness
Generalised weakness
Confusion
Urinary incontinence
Vertigo
Diplopia
Dysphagia
Tinnitus
Loss of balance
Amnesia
Drop attacks
Scintillating scotoma
Sensory symptoms in part of
limb or face
Bilateral motor/sensory loss
Bilateral visual loss
Ataxia
Combination of vertigo,
diplopia & dysarthria
Case:
A 75-year-old man presented to the emergency department after
experiencing a 10-minute episode of right hand weakness 2 hours earlier,
after which he completely returned to normal. He had no significant past
medical history and was on no medications. Neurologic examination was
normal.
IS IT A TIA?
• Urgent brain CT showed a left-sided chronic subdural hematoma.
• Many different mimics of transient ischemic attack exist, as in this case.
Capsular warning syndrome:
• Recurrent stereotyped lacunar transient ischemic attacks
(TIAs).
• This syndrome is associated with a high risk of developing a
completed stroke.
• The presumed mechanism for this syndrome is angiopathy of
a lenticulostriate artery.
• Typically these patients are refractory to conventional forms
of therapy.
INVESTIGATIONS :
• routine blood tests in patients presenting with TIAs as in patients
presenting with ischemic stroke Including:
- Complete blood count
- Chemistry panel
- Basic coagulation studies (PT, aPTT)
• These tests are useful to exclude TIA mimics (eg, hypoglycemia) and
can help identify less common causes of thrombotic events (eg,
polycythemiavera).
• Fasting lipids and glucose need to be assessed as well, but these are
often obtained after the first visit.
Imaging
The goals of the modern neuroimagingevaluation of TIA:
• To obtain evidence of a vascular origin for the symptoms either
directly (evidence of hypoperfusion and/or acute infarction) or
indirectly (identification of a presumptive source such as a large-
vessel stenosis)
• To exclude an alternative non-ischemic origin
• To ascertain the underlying vascular mechanism of the event (eg,
large-vessel atherothrombotic, cardioembolic, small-vessel lacunar),
which, in turn, allows selection of the optimal therapy.
• To identify prognostic outcome categories.
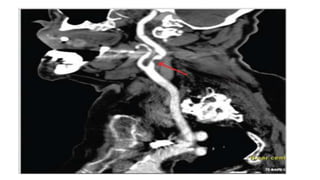
CT/CTA:
• Urgent imaging using CT/CT angiography can identify patients at high risk
for recurrent stroke.
• CTA is a quick and easy addition to the noncontrast CT that is completed on
most patients and provides much more information than a noncontrast CT
alone, with imaging of the intracranial and extracranial vessels.
• The addition of better imaging techniques, such as multiphase CTA and CT
perfusion, provides the ability to identify more distal occlusions than
previously. Evidence of 50% or greater stenosis or occlusion in a symptom
relevant vessel in the intracranial or extracranial circulation puts a patient
at high risk of a recurrent stroke
MRI
• Brain imaging using MRI is a very sensitive way of assessing for brain ischemia.
• Diffusion-weighted imaging (DWI), which shows the abnormal diffusion of water
in the setting of focal brain ischemia, is the most helpful sequence. Up to 50% of
patients clinically diagnosed with a TIA using a time based definition have
evidence of restricted diffusion on an acute MRI scan.
• Most studies of recurrent stroke after TIA have shown an increased risk of short-
term recurrent stroke in the presence of a lesion seen on DWI. However, the
exact magnitude of the risk depends on the population studied.
• Whether the presence or absence of a lesion on DWI changes the longer-term (1-
to 5-year) risk of stroke is less clear.
• The lesion pattern on an MRI can change the vascular localization in up to one-
third of patients. Infarct topography can also be useful to inform stroke
mechanism (eg, involvement of more than one vascular territory being suspicious
for a proximal embolic source such as atrial fibrillation)
Other modalities for imaging cervicocephalic
vessels:
• Magnetic resonance angiography (MRA.
• Carotid duplex ultrasound is an additional noninvasive modality commonly
used to evaluate for hemodynamically significant carotid occlusive disease
at the bifurcation. Identification of high-grade stenosis in the carotid artery
ipsilateral to retinal or hemispheric symptoms may be indicative of stroke
mechanism and near-term stroke risk.
Carotid ultrasound does not adequately evaluate the carotid circulation
beyond the bifurcation (ie, distal cervical and intracranial segments), and
additional vascular imaging modalities may be necessary when the index of
clinical suspicion is high for vertebrobasilar or intracranial occlusive disease.
TREATMENT
Studies have shown up to an 80% reduction in the risk of stroke after
TIA with the early implementation of secondary stroke prevention
strategies Including:
• Revascularization of patients with symptomatic carotid artery stenosis
• Anticoagulation of patients with atrial fibrillation
• Treatment with antiplatelet agent(s)
• Treatment with statins for most patients
• Management of hypertension
• Lifestyle interventions, such as smoking cessation or weight loss.
Case
• A 50-year-old man presented to the emergency department with an episode of left
hemiplegia that lasted 5 minutes. He smoked cigarettes but otherwise had no
significant past medical history. His examination was normal, with blood pressure of
125/75 mm Hg and an ABCD2 (age, blood pressure, clinical features, duration,
presence of diabetes mellitus) score of 2.
• Head CT was normal, but CT angiography showed a high-grade stenosis of the right
internal carotid artery.
• He was started on 81 mg aspirin and 40 mg of simvastatin daily. The patient
underwent right carotid endarterectomy the next day without complication.
• This patient had a transient ischemic attack and was at high risk of early recurrent
stroke, although it was not identified as such by the ABCD2 score. Carotid artery
stenosis is an important cause of a transient ischemic attack with a high risk of
recurrence. Early vascular imaging is required to identify this treatable cause of stroke.
Carotid revascularization should be performed as soon as reasonably possible if the
patient is medically stable.
Stroke Prevention
•Primary Prevention •Secondary Prevention
Primary Prevention:
Secondary Prevention:
• Antithrombotic Treatment
• Hypertension
• Carotid A. Disease
• Dyslipidemia
• Glucose
• Cigarette Smoking
• Alcohol Consumption
• Lifestyle modifications
Antithrombotic Treatment:
ANTIPLATELET THERAPY:
• All patients with TIAs should be on an antiplatelet agent, except for those who are being
anticoagulated for atrial fibrillation. For most patients, it will be a single antiplatelet agent, usually
aspirin monotherapy (81 mg/d to 325 mg/d).
• Other options include 75 mg/d clopidogrel or a combination of 25 mg aspirin and 200 mg
extended-release dipyridamole 2 times a day.
• combination therapy with clopidogrel and aspirin for 90 days.
• The combination of aspirin and clopidogrel, when initiated days to years after a minor stroke or
TIA and continued for 2 to 3 years, increases the risk of hemorrhage relative to either agent alone
and is not recommended for routine long-term secondary prevention after ischemic stroke or
TIA (Class III; Level of Evidence A).
• For patients who have an ischemic stroke or TIA while taking aspirin, there is no evidence that
increasing the dose of aspirin provides additional benefit.
Hypertension:
• Treatment of hypertension is possibly the most important
intervention for secondary prevention of ischemic stroke.
• The prevalence among patients with a recent ischemic stroke is ≈70%.
• Initiation of BP therapy is indicated for previously untreated patients
with ischemic stroke or TIA who, after the first several days, have an
established BP ≥140 mm Hg systolic or ≥90 mm Hg diastolic (Class I;
Level of Evidence B).
• Initiation of therapy for patients with BP <140 mm Hg systolic and <90
mm Hg diastolic is of uncertain benefit (Class IIb; Level of Evidence C)
• Goals for target BP level or reduction from pre-treatment baseline are
uncertain and should be individualized, but it is reasonable to achieve
a systolic pressure <140 mm Hg and a diastolic pressure <90 mm Hg.
• For patients with a recent lacunar stroke, it might be reasonable to
target an SBP of <130 mm Hg.
• The available data indicate that diuretics or the combination of
diuretics and an angiotensin-converting enzyme inhibitor is useful.
• Several lifestyle modifications include salt restriction; weight loss; the
consumption of a diet rich in fruits, vegetables, and low-fat dairy
products; regular aerobic physical activity; and limited alcohol
consumption
Carotid A. Disease
• For patients with recent TIA or ischemic stroke and ipsilateral moderate (50%–69%)
carotid stenosis as documented by catheter-based imaging or non-invasive imaging
with corroboration, CEA is recommended depending on patient-specific factors, such as
age, sex, and comorbidities, if the perioperative morbidity and mortality risk is
estimated to be <6%
• CAS is indicated as an alternative to CEA for symptomatic patients at average or low risk
of complications associated with endovascular intervention when the diameter of the
lumen of the ICA is reduced by >70% by non-invasive imaging or >50% by catheter-
based imaging and the anticipated rate of peri-procedural stroke or death is <6%
Dyslipidaemia:
• Statin therapy with intensive lipid-lowering effects is recommended to
reduce risk of stroke and cardiovascular events among patients with
ischemic stroke or TIA presumed to be of atherosclerotic origin and an LDL-
C level ≥100 mg/dL with or without evidence for other ASCVD.
• Decreasing the statin dose may be considered when 2 consecutive values
of LDL-C are <40 mg/dL.
Glucose:
• After a TIA or ischemic stroke, all patients should probably be
screened for DM with testing of fasting plasma glucose, HbA1c, or an
oral glucose tolerance test. In general, HbA1c may be more accurate
than other screening tests in the immediate post-event period.
Cigarette Smoking
• Healthcare providers should strongly advise every patient with stroke
or TIA who has smoked in the past year to quit (Class I; Level of
Evidence C).
• It is reasonable to advise patients after TIA or ischemic stroke to avoid
environmental (passive) tobacco smoke (Class IIa; Level of Evidence
B).
• Counseling, nicotine products, and oral smoking cessation
medications are effective in helping smokers to quit (Class I; Level of
Evidence A)
Alcohol Consumption
• Patients with ischemic stroke, TIA, or hemorrhagic stroke who are
heavy drinkers should eliminate or reduce their consumption of
alcohol (Class I; Level of Evidence C).
• Light to moderate amounts of alcohol consumption (up to 2 drinks
per day for men and up to 1 drink per day for nonpregnantwomen)
may be reasonable, although nondrinkersshould not be counseledto
start drinking (Class IIb; Level of Evidence B).
Lifestyle:
• Physical Inactivity:
- For patients with ischemic stroke or TIA who are capable of
engaging in physical activity, at least 3 to 4 sessions per week of
moderate-to vigorous-intensity aerobic physical exercise are
reasonable to reduce stroke risk factors.
- Sessions should last an average of 40 minutes.
- Moderate-intensity exercise is typically defined as sufficient to
break a sweat or noticeably raise heart rate.
Lifestyle:
• Nutrition:
• The prevalence of protein-calorie under-nutrition among patients with acute
stroke has been estimated as 8% to 13%.
• Among micronutrients, there is evidence that low serum levels of vitamin D
and low dietary potassium may be associated with increased risk for stroke.
• patients with hyper-homocysteinemia and intermediate vitamin B12 serum
levels may benefit from therapy.
• There is evidence that increased intake of sodium, and possibly calcium
supplementation, may be associated with increased risk for stroke.
• Routine supplementation with a single vitamin or combination of vitamins is
not recommended
Lifestyle:
Obstructive Sleep Apnea (OSA):
• Sleep apnea present in approximately half to three quarters of
patients with stroke or TIA.
• Despite being highly prevalent, and is treated with CPAP
• Sleep apnea have been associated with poor outcomes among
patients with cerebro-vascular disease.
• Routine screening for patients with recent ischemic stroke for OSA is
not recommended
Thank You

TIA and stroke prevention

  • 1.
  • 2.
    TIA & StrokePrevention By/ Ahmed Hamdy Undersupervision of /Lobna Ahmed
  • 3.
    DEFINITION: • Time basedDefinition: An episode of focal brain Ischemia with symptom resolution within 24 hours. • But MRI demonstrating relevant ischemic lesions in 30% to 50% • Most TIAs last only a few minutes • Current (Tissue based): A brief episode of neurological dysfunction caused by focal brain or retinal ischemia, with clinical symptoms typically lasting less than one hour, and without evidence of acute infarction.
  • 4.
    Points in favourof new definition: • The classic 24-hour definition was misleading in that many patients with transient <24-hour events actually have associated cerebral infarction. • The traditional definition can impede the administration of acute stroke therapies. • A 24-hour limit for transiently symptomatic cerebral ischemic was arbitrary and not reflective of the typical duration of these events.
  • 5.
    • The riskof stroke after a TIA is about 15% for first 90 days after. • And about 7% a year thereafter. • There is a high risk of stroke in the seven days after TIA, possibly as high as 10% Specially in fist 48 hours. • The risk of stroke, heart attack or vascular death is about 10% a year. This is about seven times the risk in the background population.
  • 6.
    Assessment for TIA: Allpatient with suspected TIA should have full assessment that includes: 1- A detailed History and Neurological examination. 2-.Prognostic tests (ABCD2 score) 3- Investigative tests (blood tests, Brain and Carotid Imaging and ECG)
  • 7.
    Outpatient Versus InpatientAssessment: • For stroke prevention, the location of treatment matters less than the speed of the assessment. However, in most parts of the world, assessing patients and completing urgent (on the same day, within a few hours) imaging is most easily done in the emergency department given the easy access to imaging. • In clinical settings that do not have access to timely outpatient neuroimaging, patients are often admitted to the hospital to complete TIA evaluation and expedite initiation of secondary prevention strategies. • Some advantages of admitting the patient to the hospital include close neurologic monitoring and early completion of investigations and appropriate treatment.
  • 8.
    TAKING A HISTORYFROM A PATIENT WITH A POSSIBLE TIA: • The diagnosis of TIA remains largely clinical and is based on taking an accurate history. • This contributes to the variability in the diagnosis of TIA, with high rates of disagreement seen even between neurologists. • As many as 60% of patients referred to a TIA clinic will not have a final diagnosis of TIA. • Identification of possible TIA mimics is an important stage in the assessment of patients with transient neurologic symptoms.
  • 9.
    ABCD2 Score: • Highrisk (score 6 or 7, 8.1% 2-day risk of stroke) • Moderate risk (score 4 or 5, 4.1% 2-day risk of stroke) • Low risk (score 0 to 3, 1% 2-day risk of stroke).
  • 10.
    TIA symptoms fordiagnosis: Carotid Territory TIA should have: Carotid Territory TIA should NOT have: Vertebral Territory TIA may have: Focal loss of function One of: -unilateral sensory/motor disturbance -unilateral visual disturbance -monocular blindness (amarosis fugax) -total aphasia or dysphasia Loss of consciousness Dizziness Generalised weakness Confusion Urinary incontinence Vertigo Diplopia Dysphagia Tinnitus Loss of balance Amnesia Drop attacks Scintillating scotoma Sensory symptoms in part of limb or face Bilateral motor/sensory loss Bilateral visual loss Ataxia Combination of vertigo, diplopia & dysarthria
  • 11.
    Case: A 75-year-old manpresented to the emergency department after experiencing a 10-minute episode of right hand weakness 2 hours earlier, after which he completely returned to normal. He had no significant past medical history and was on no medications. Neurologic examination was normal. IS IT A TIA? • Urgent brain CT showed a left-sided chronic subdural hematoma. • Many different mimics of transient ischemic attack exist, as in this case.
  • 13.
    Capsular warning syndrome: •Recurrent stereotyped lacunar transient ischemic attacks (TIAs). • This syndrome is associated with a high risk of developing a completed stroke. • The presumed mechanism for this syndrome is angiopathy of a lenticulostriate artery. • Typically these patients are refractory to conventional forms of therapy.
  • 14.
    INVESTIGATIONS : • routineblood tests in patients presenting with TIAs as in patients presenting with ischemic stroke Including: - Complete blood count - Chemistry panel - Basic coagulation studies (PT, aPTT) • These tests are useful to exclude TIA mimics (eg, hypoglycemia) and can help identify less common causes of thrombotic events (eg, polycythemiavera). • Fasting lipids and glucose need to be assessed as well, but these are often obtained after the first visit.
  • 15.
    Imaging The goals ofthe modern neuroimagingevaluation of TIA: • To obtain evidence of a vascular origin for the symptoms either directly (evidence of hypoperfusion and/or acute infarction) or indirectly (identification of a presumptive source such as a large- vessel stenosis) • To exclude an alternative non-ischemic origin • To ascertain the underlying vascular mechanism of the event (eg, large-vessel atherothrombotic, cardioembolic, small-vessel lacunar), which, in turn, allows selection of the optimal therapy. • To identify prognostic outcome categories.
  • 16.
    CT/CTA: • Urgent imagingusing CT/CT angiography can identify patients at high risk for recurrent stroke. • CTA is a quick and easy addition to the noncontrast CT that is completed on most patients and provides much more information than a noncontrast CT alone, with imaging of the intracranial and extracranial vessels. • The addition of better imaging techniques, such as multiphase CTA and CT perfusion, provides the ability to identify more distal occlusions than previously. Evidence of 50% or greater stenosis or occlusion in a symptom relevant vessel in the intracranial or extracranial circulation puts a patient at high risk of a recurrent stroke
  • 17.
    MRI • Brain imagingusing MRI is a very sensitive way of assessing for brain ischemia. • Diffusion-weighted imaging (DWI), which shows the abnormal diffusion of water in the setting of focal brain ischemia, is the most helpful sequence. Up to 50% of patients clinically diagnosed with a TIA using a time based definition have evidence of restricted diffusion on an acute MRI scan. • Most studies of recurrent stroke after TIA have shown an increased risk of short- term recurrent stroke in the presence of a lesion seen on DWI. However, the exact magnitude of the risk depends on the population studied. • Whether the presence or absence of a lesion on DWI changes the longer-term (1- to 5-year) risk of stroke is less clear. • The lesion pattern on an MRI can change the vascular localization in up to one- third of patients. Infarct topography can also be useful to inform stroke mechanism (eg, involvement of more than one vascular territory being suspicious for a proximal embolic source such as atrial fibrillation)
  • 18.
    Other modalities forimaging cervicocephalic vessels: • Magnetic resonance angiography (MRA. • Carotid duplex ultrasound is an additional noninvasive modality commonly used to evaluate for hemodynamically significant carotid occlusive disease at the bifurcation. Identification of high-grade stenosis in the carotid artery ipsilateral to retinal or hemispheric symptoms may be indicative of stroke mechanism and near-term stroke risk. Carotid ultrasound does not adequately evaluate the carotid circulation beyond the bifurcation (ie, distal cervical and intracranial segments), and additional vascular imaging modalities may be necessary when the index of clinical suspicion is high for vertebrobasilar or intracranial occlusive disease.
  • 20.
    TREATMENT Studies have shownup to an 80% reduction in the risk of stroke after TIA with the early implementation of secondary stroke prevention strategies Including: • Revascularization of patients with symptomatic carotid artery stenosis • Anticoagulation of patients with atrial fibrillation • Treatment with antiplatelet agent(s) • Treatment with statins for most patients • Management of hypertension • Lifestyle interventions, such as smoking cessation or weight loss.
  • 21.
    Case • A 50-year-oldman presented to the emergency department with an episode of left hemiplegia that lasted 5 minutes. He smoked cigarettes but otherwise had no significant past medical history. His examination was normal, with blood pressure of 125/75 mm Hg and an ABCD2 (age, blood pressure, clinical features, duration, presence of diabetes mellitus) score of 2. • Head CT was normal, but CT angiography showed a high-grade stenosis of the right internal carotid artery. • He was started on 81 mg aspirin and 40 mg of simvastatin daily. The patient underwent right carotid endarterectomy the next day without complication. • This patient had a transient ischemic attack and was at high risk of early recurrent stroke, although it was not identified as such by the ABCD2 score. Carotid artery stenosis is an important cause of a transient ischemic attack with a high risk of recurrence. Early vascular imaging is required to identify this treatable cause of stroke. Carotid revascularization should be performed as soon as reasonably possible if the patient is medically stable.
  • 23.
  • 24.
  • 25.
    Secondary Prevention: • AntithromboticTreatment • Hypertension • Carotid A. Disease • Dyslipidemia • Glucose • Cigarette Smoking • Alcohol Consumption • Lifestyle modifications
  • 26.
  • 27.
    ANTIPLATELET THERAPY: • Allpatients with TIAs should be on an antiplatelet agent, except for those who are being anticoagulated for atrial fibrillation. For most patients, it will be a single antiplatelet agent, usually aspirin monotherapy (81 mg/d to 325 mg/d). • Other options include 75 mg/d clopidogrel or a combination of 25 mg aspirin and 200 mg extended-release dipyridamole 2 times a day. • combination therapy with clopidogrel and aspirin for 90 days. • The combination of aspirin and clopidogrel, when initiated days to years after a minor stroke or TIA and continued for 2 to 3 years, increases the risk of hemorrhage relative to either agent alone and is not recommended for routine long-term secondary prevention after ischemic stroke or TIA (Class III; Level of Evidence A). • For patients who have an ischemic stroke or TIA while taking aspirin, there is no evidence that increasing the dose of aspirin provides additional benefit.
  • 31.
    Hypertension: • Treatment ofhypertension is possibly the most important intervention for secondary prevention of ischemic stroke. • The prevalence among patients with a recent ischemic stroke is ≈70%. • Initiation of BP therapy is indicated for previously untreated patients with ischemic stroke or TIA who, after the first several days, have an established BP ≥140 mm Hg systolic or ≥90 mm Hg diastolic (Class I; Level of Evidence B). • Initiation of therapy for patients with BP <140 mm Hg systolic and <90 mm Hg diastolic is of uncertain benefit (Class IIb; Level of Evidence C)
  • 32.
    • Goals fortarget BP level or reduction from pre-treatment baseline are uncertain and should be individualized, but it is reasonable to achieve a systolic pressure <140 mm Hg and a diastolic pressure <90 mm Hg. • For patients with a recent lacunar stroke, it might be reasonable to target an SBP of <130 mm Hg. • The available data indicate that diuretics or the combination of diuretics and an angiotensin-converting enzyme inhibitor is useful. • Several lifestyle modifications include salt restriction; weight loss; the consumption of a diet rich in fruits, vegetables, and low-fat dairy products; regular aerobic physical activity; and limited alcohol consumption
  • 33.
    Carotid A. Disease •For patients with recent TIA or ischemic stroke and ipsilateral moderate (50%–69%) carotid stenosis as documented by catheter-based imaging or non-invasive imaging with corroboration, CEA is recommended depending on patient-specific factors, such as age, sex, and comorbidities, if the perioperative morbidity and mortality risk is estimated to be <6% • CAS is indicated as an alternative to CEA for symptomatic patients at average or low risk of complications associated with endovascular intervention when the diameter of the lumen of the ICA is reduced by >70% by non-invasive imaging or >50% by catheter- based imaging and the anticipated rate of peri-procedural stroke or death is <6%
  • 34.
    Dyslipidaemia: • Statin therapywith intensive lipid-lowering effects is recommended to reduce risk of stroke and cardiovascular events among patients with ischemic stroke or TIA presumed to be of atherosclerotic origin and an LDL- C level ≥100 mg/dL with or without evidence for other ASCVD. • Decreasing the statin dose may be considered when 2 consecutive values of LDL-C are <40 mg/dL.
  • 37.
    Glucose: • After aTIA or ischemic stroke, all patients should probably be screened for DM with testing of fasting plasma glucose, HbA1c, or an oral glucose tolerance test. In general, HbA1c may be more accurate than other screening tests in the immediate post-event period.
  • 38.
    Cigarette Smoking • Healthcareproviders should strongly advise every patient with stroke or TIA who has smoked in the past year to quit (Class I; Level of Evidence C). • It is reasonable to advise patients after TIA or ischemic stroke to avoid environmental (passive) tobacco smoke (Class IIa; Level of Evidence B). • Counseling, nicotine products, and oral smoking cessation medications are effective in helping smokers to quit (Class I; Level of Evidence A)
  • 39.
    Alcohol Consumption • Patientswith ischemic stroke, TIA, or hemorrhagic stroke who are heavy drinkers should eliminate or reduce their consumption of alcohol (Class I; Level of Evidence C). • Light to moderate amounts of alcohol consumption (up to 2 drinks per day for men and up to 1 drink per day for nonpregnantwomen) may be reasonable, although nondrinkersshould not be counseledto start drinking (Class IIb; Level of Evidence B).
  • 40.
    Lifestyle: • Physical Inactivity: -For patients with ischemic stroke or TIA who are capable of engaging in physical activity, at least 3 to 4 sessions per week of moderate-to vigorous-intensity aerobic physical exercise are reasonable to reduce stroke risk factors. - Sessions should last an average of 40 minutes. - Moderate-intensity exercise is typically defined as sufficient to break a sweat or noticeably raise heart rate.
  • 41.
    Lifestyle: • Nutrition: • Theprevalence of protein-calorie under-nutrition among patients with acute stroke has been estimated as 8% to 13%. • Among micronutrients, there is evidence that low serum levels of vitamin D and low dietary potassium may be associated with increased risk for stroke. • patients with hyper-homocysteinemia and intermediate vitamin B12 serum levels may benefit from therapy. • There is evidence that increased intake of sodium, and possibly calcium supplementation, may be associated with increased risk for stroke. • Routine supplementation with a single vitamin or combination of vitamins is not recommended
  • 42.
    Lifestyle: Obstructive Sleep Apnea(OSA): • Sleep apnea present in approximately half to three quarters of patients with stroke or TIA. • Despite being highly prevalent, and is treated with CPAP • Sleep apnea have been associated with poor outcomes among patients with cerebro-vascular disease. • Routine screening for patients with recent ischemic stroke for OSA is not recommended
  • 43.