Чужди тела в бронхите
Основен курс Образна Диагностика
МУ-Варна
Д-р Радослав Георгиев
Епидемиология
•1500-3000сл с възможна причина за смърт в САЩ
•80% педиатрични случаи
•При възрастни- 80% заболявания на хранопровода
•При педиатричните само 10% имат патология на
хранопровода
•м/ж при децата=2/1
•При 1%- се налага операция
Ефекти
• Пълна обструкция на ГДП=смърт!
• Частична на ГДП:
• -хрипове
• -гръдна болка
• -при мукозна травма- кървене
• Обструкция на ДДП:
• -ателектаза
• -пневмония
• -редуцирано дишане
Най-чести тела, обект на аспирация
при децата
• Hot dog(най-честа фатална аспирация)
• Фъстъци(най-честа причина за ДДП
ателектаза)
• Монети
• Кости
• Балони
• Играчки
• Камъчета
• бутони
Foreign Body Aspiration
• Vegetable matter in 70-80%
– Peanuts & other nuts (35%)
– Carrot pieces, beans, sunflower & watermelon
seeds
• Metallic objects
• Plastic objects
• Organic f.b are more liable to evoke
larangospasm, tracheobronchitis and
lung infection. Hence, when patient
presents, often has fever.
• vegitable FB are slippery,hard to grip
and friable. They usually get swollen,
struk at subglottis, may lead to
complete obstruction.
Foreign Body Ingestions :
Most Common Types
ƒ Meat : most common in adults
ƒ Chicken bones : most common cause
of perforation
ƒ Sewing needles
ƒ Safety pins
ƒ Pills
–Doxycycline & AZT can cause esophageal
ulcers if impacted
ƒ Other objects listed on slide # 4
PATHOPHISIOLOGY
• Bronchi – 80-90%
– Right mainstem most common
• Carina
• Less divergent angle
• Greater diameter
• Trachea
• Larynx
• Larger objects, irregular edges
• Conforming objects
• Relevant Anatomy
• Airway foreign bodies can become
lodged in the larynx, trachea, and
bronchus. The size and shape of the
object determine the site of
obstruction.
• large, round, or expandable objects
produce complete obstruction, and
irregularly shaped objects allow air
passage around the object, resulting in
partial obstruction.
TYPES OF OBSTRUCTION.
• 1. check valve: air can be inhaled but not
exhaled.[emphysema].
2. ball valve: air can be exhaled but not
inhaled.[broncho pul segment collapse].
• 3. bypass valve: FB partially obstructs
both in insp. and exp.
4. stop valve: total obstruction, airway
collapse and consolidation.
• Presentation
• In general, aspiration of foreign bodies produces the
following 3 phases:
• Initial phase - Choking and gasping, coughing, or
airway obstruction at the time of aspiration
• Asymptomatic phase - Subsequent lodging of the
object with relaxation of reflexes that often results
in a reduction or cessation of symptoms, lasting
hours to weeks
• Complications phase - Foreign body producing
erosion or obstruction leading to pneumonia,
atelectasis, or abscess
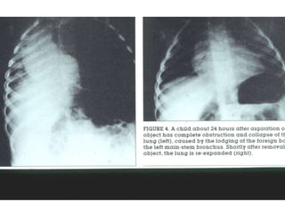
X-RAY FINDINGS
• Obstructive emphysema
• Normal x-ray
• Pneumonitis
• Collapse with mediastinal shift
• Foreign body. If
still a diagnostic delima,CT scan is advised.
Foreign Body Aspiration
Foreign Body Aspiration
Symptoms of Foreign Body Aspiration into
the Tracheobronchial Tree
Respiratory arrest
Stridor
No symptons (up to 40 %)
Classic triad (in 40 %)
wheezing
coughing
dyspnea
Types of Bronchial Obstruction
Bypass valve obstruction
–air passes in and out
–no radiographic changes
–may cause no symptoms
Check valve obstruction
–exhalation around object prevented
–obstructive emphysema results
Stop valve obstruction
–both inspiration and expiration blocked
–distal atelectosis results
–pneumonitis may occur
Check valve obstruction
Stop valve obstruction
Chest X-ray for Aspirated Foreign
Bodies
ƒ Foreign object radiopaque in 6 to 20 %
ƒ CXR normal in 18 to 33 %
ƒ CXR findings:
–obstructive emphysema
–atelectasis
–pneumonia
ƒ Expiratory film enhances CXR yield
Inspiratory film on left, expiratory film on right ; Foreign body in left mainstem
bronchus
Inspiratory film on left, expiratory film on right ; Stop valve obstruction in left
mainstem bronchus
Left X-ray shows air trapping ; right X-ray (different patient) shows atelectasis
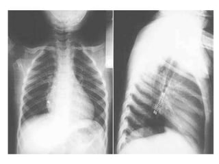
Inspiratory film on left ; expiratory film on right ; foreign body in right
bronchus
Other Studies to Consider to Demonstrate
Aspirated Foreign Bodies
ƒ Fluoroscopy : may enhance yield to 76 %
ƒ Xerotomography
ƒ Computed tomography
ƒ Contrast bronchography : usually not
useful
Management After Diagnosis of
Aspirated Foreign Body
ƒ Bronchoscopy : 99 % success rate
–rigid : often preferred in kids
–flexible
ƒ ventilation more difficult
ƒ can extract more distal objects
ƒ Patient should be observed 12 to 24 hours
post procedure (till CXR normal)
Differential Diagnosis of Partial Airway
Obstruction in Children
ƒ Foreign bodies
ƒ Iatrogenic
–laryngeal nerve paralysis
–tracheal ulceration or
granuloma
–vocal cord granuloma
ƒ Infections
–croup/epigloititis
–diphtheria
–retropharyngeal or
peritonsillar absess
ƒ Neoplasms
–hemangiomas
–angiofibromas
–teratomas
–lymphangiomas
–recurrent respiratory
papillomatosis
ƒ Other
–Lingual thyroid
–Congenital craniofacial
anomalies
–allergic edema
Fatal aspiration of an old Christmas bow button
Фатален случай на аспирация с коедна украса-пластмасов бутон за връх
Fatal laryngeal obstruction from a coin
Фатален слуачй на аспирация на монета и ларингеална обструкция
1. Emergency Treatment for Aspirated
Foreign Bodies
ƒ -Heimlich maneuver
ƒ -Back blows
ƒ -Chest thrusts
–note : none of these should be applied if
patient is able to speak or cough
ƒ -Finger sweep / grasp
–should be done only if object is visible and will
not be wedged deeper
Chest thrusts for
pregnant victims
Foreign Body Aspiration
• General anesthesia
• Spontaneous ventilation
• Laryngoscopes
• Bronchoscopes
• Suction
• Forceps
• Rod-lens telescopes
Благодаря за вниманието !

чужди тела в бронхите

  • 1.
    Чужди тела вбронхите Основен курс Образна Диагностика МУ-Варна Д-р Радослав Георгиев
  • 2.
    Епидемиология •1500-3000сл с възможнапричина за смърт в САЩ •80% педиатрични случаи •При възрастни- 80% заболявания на хранопровода •При педиатричните само 10% имат патология на хранопровода •м/ж при децата=2/1 •При 1%- се налага операция
  • 3.
    Ефекти • Пълна обструкцияна ГДП=смърт! • Частична на ГДП: • -хрипове • -гръдна болка • -при мукозна травма- кървене • Обструкция на ДДП: • -ателектаза • -пневмония • -редуцирано дишане
  • 4.
    Най-чести тела, обектна аспирация при децата • Hot dog(най-честа фатална аспирация) • Фъстъци(най-честа причина за ДДП ателектаза) • Монети • Кости • Балони • Играчки • Камъчета • бутони
  • 6.
    Foreign Body Aspiration •Vegetable matter in 70-80% – Peanuts & other nuts (35%) – Carrot pieces, beans, sunflower & watermelon seeds • Metallic objects • Plastic objects
  • 7.
    • Organic f.bare more liable to evoke larangospasm, tracheobronchitis and lung infection. Hence, when patient presents, often has fever. • vegitable FB are slippery,hard to grip and friable. They usually get swollen, struk at subglottis, may lead to complete obstruction.
  • 8.
    Foreign Body Ingestions: Most Common Types ƒ Meat : most common in adults ƒ Chicken bones : most common cause of perforation ƒ Sewing needles ƒ Safety pins ƒ Pills –Doxycycline & AZT can cause esophageal ulcers if impacted ƒ Other objects listed on slide # 4
  • 9.
    PATHOPHISIOLOGY • Bronchi –80-90% – Right mainstem most common • Carina • Less divergent angle • Greater diameter • Trachea • Larynx • Larger objects, irregular edges • Conforming objects
  • 10.
    • Relevant Anatomy •Airway foreign bodies can become lodged in the larynx, trachea, and bronchus. The size and shape of the object determine the site of obstruction. • large, round, or expandable objects produce complete obstruction, and irregularly shaped objects allow air passage around the object, resulting in partial obstruction.
  • 11.
    TYPES OF OBSTRUCTION. •1. check valve: air can be inhaled but not exhaled.[emphysema]. 2. ball valve: air can be exhaled but not inhaled.[broncho pul segment collapse]. • 3. bypass valve: FB partially obstructs both in insp. and exp. 4. stop valve: total obstruction, airway collapse and consolidation.
  • 12.
    • Presentation • Ingeneral, aspiration of foreign bodies produces the following 3 phases: • Initial phase - Choking and gasping, coughing, or airway obstruction at the time of aspiration • Asymptomatic phase - Subsequent lodging of the object with relaxation of reflexes that often results in a reduction or cessation of symptoms, lasting hours to weeks • Complications phase - Foreign body producing erosion or obstruction leading to pneumonia, atelectasis, or abscess
  • 13.
    X-RAY FINDINGS • Obstructiveemphysema • Normal x-ray • Pneumonitis • Collapse with mediastinal shift • Foreign body. If still a diagnostic delima,CT scan is advised.
  • 15.
  • 16.
  • 17.
    Symptoms of ForeignBody Aspiration into the Tracheobronchial Tree Respiratory arrest Stridor No symptons (up to 40 %) Classic triad (in 40 %) wheezing coughing dyspnea
  • 18.
    Types of BronchialObstruction Bypass valve obstruction –air passes in and out –no radiographic changes –may cause no symptoms Check valve obstruction –exhalation around object prevented –obstructive emphysema results Stop valve obstruction –both inspiration and expiration blocked –distal atelectosis results –pneumonitis may occur
  • 19.
  • 20.
    Chest X-ray forAspirated Foreign Bodies ƒ Foreign object radiopaque in 6 to 20 % ƒ CXR normal in 18 to 33 % ƒ CXR findings: –obstructive emphysema –atelectasis –pneumonia ƒ Expiratory film enhances CXR yield
  • 21.
    Inspiratory film onleft, expiratory film on right ; Foreign body in left mainstem bronchus
  • 22.
    Inspiratory film onleft, expiratory film on right ; Stop valve obstruction in left mainstem bronchus
  • 24.
    Left X-ray showsair trapping ; right X-ray (different patient) shows atelectasis
  • 25.
    Inspiratory film onleft ; expiratory film on right ; foreign body in right bronchus
  • 26.
    Other Studies toConsider to Demonstrate Aspirated Foreign Bodies ƒ Fluoroscopy : may enhance yield to 76 % ƒ Xerotomography ƒ Computed tomography ƒ Contrast bronchography : usually not useful
  • 27.
    Management After Diagnosisof Aspirated Foreign Body ƒ Bronchoscopy : 99 % success rate –rigid : often preferred in kids –flexible ƒ ventilation more difficult ƒ can extract more distal objects ƒ Patient should be observed 12 to 24 hours post procedure (till CXR normal)
  • 28.
    Differential Diagnosis ofPartial Airway Obstruction in Children ƒ Foreign bodies ƒ Iatrogenic –laryngeal nerve paralysis –tracheal ulceration or granuloma –vocal cord granuloma ƒ Infections –croup/epigloititis –diphtheria –retropharyngeal or peritonsillar absess ƒ Neoplasms –hemangiomas –angiofibromas –teratomas –lymphangiomas –recurrent respiratory papillomatosis ƒ Other –Lingual thyroid –Congenital craniofacial anomalies –allergic edema
  • 29.
    Fatal aspiration ofan old Christmas bow button Фатален случай на аспирация с коедна украса-пластмасов бутон за връх
  • 30.
    Fatal laryngeal obstructionfrom a coin Фатален слуачй на аспирация на монета и ларингеална обструкция
  • 31.
    1. Emergency Treatmentfor Aspirated Foreign Bodies ƒ -Heimlich maneuver ƒ -Back blows ƒ -Chest thrusts –note : none of these should be applied if patient is able to speak or cough ƒ -Finger sweep / grasp –should be done only if object is visible and will not be wedged deeper
  • 34.
  • 37.
    Foreign Body Aspiration •General anesthesia • Spontaneous ventilation • Laryngoscopes • Bronchoscopes • Suction • Forceps • Rod-lens telescopes
  • 38.