Embed presentation
Download to read offline





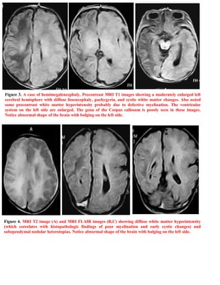
A 6-month-old male patient presented with several issues including macrocephaly, west syndrome, and right-sided hemiplegia. An MRI revealed hemimegalencephaly, shown through an enlarged left cerebral hemisphere with lissencephaly, pachygyria, and cystic white matter changes. The document discusses the case of hemimegalencephaly through several MRI images and focuses on abnormal brain shape and signals correlated to poor myelination and cystic changes.



