Download free for 30 days
Sign in
Upload
Language (EN)
Support
Business
Mobile
Social Media
Marketing
Technology
Art & Photos
Career
Design
Education
Presentations & Public Speaking
Government & Nonprofit
Healthcare
Internet
Law
Leadership & Management
Automotive
Engineering
Software
Recruiting & HR
Retail
Sales
Services
Science
Small Business & Entrepreneurship
Food
Environment
Economy & Finance
Data & Analytics
Investor Relations
Sports
Spiritual
News & Politics
Travel
Self Improvement
Real Estate
Entertainment & Humor
Health & Medicine
Devices & Hardware
Lifestyle
Change Language
Language
English
Español
Português
Français
Deutsche
Cancel
Save
Submit search
EN
Uploaded by
Professor Yasser Metwally
3,575 views
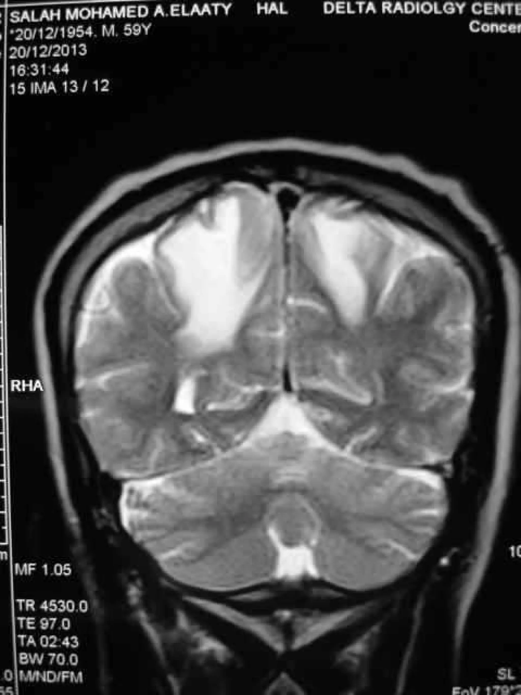
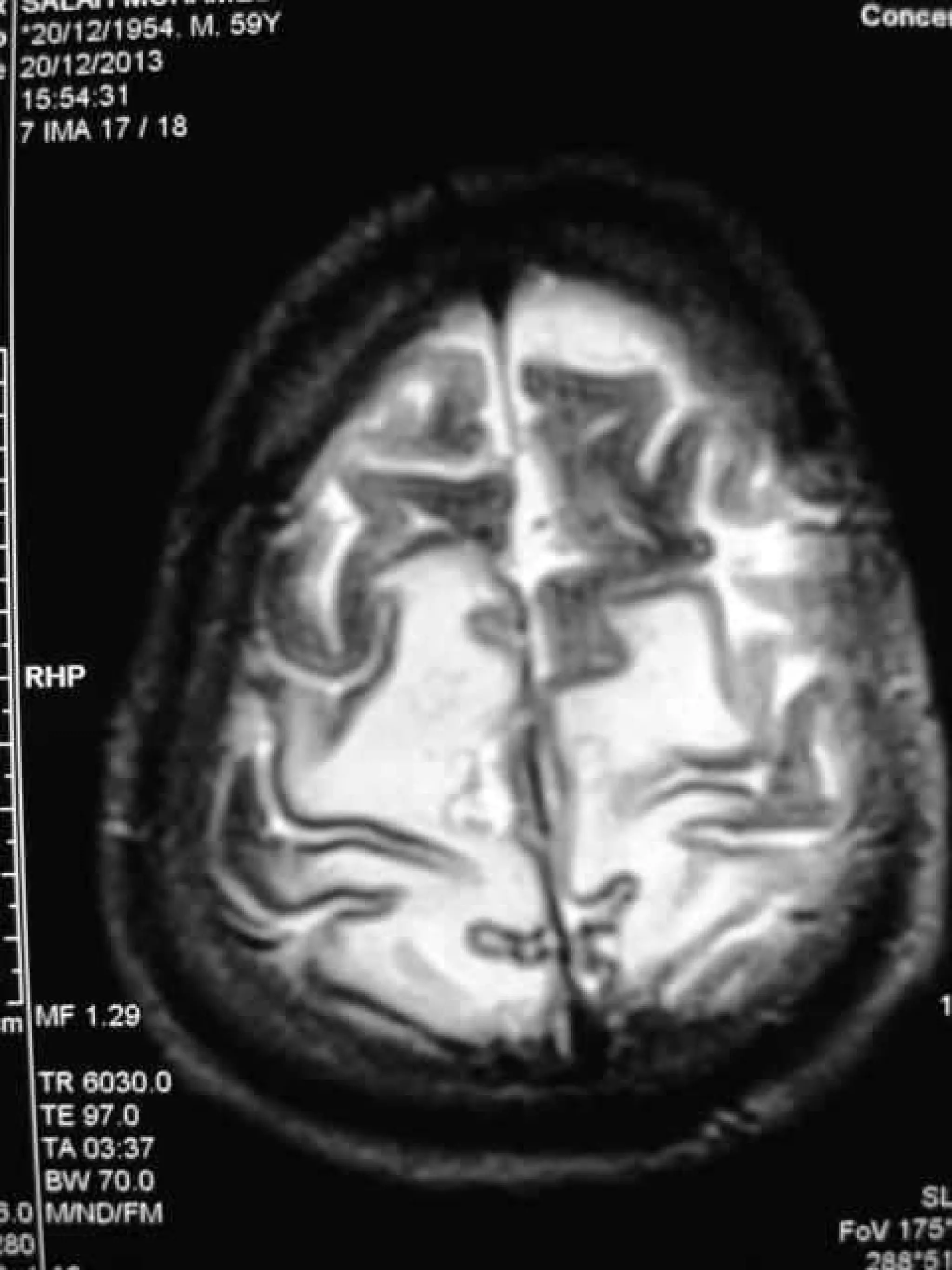
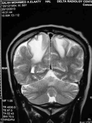
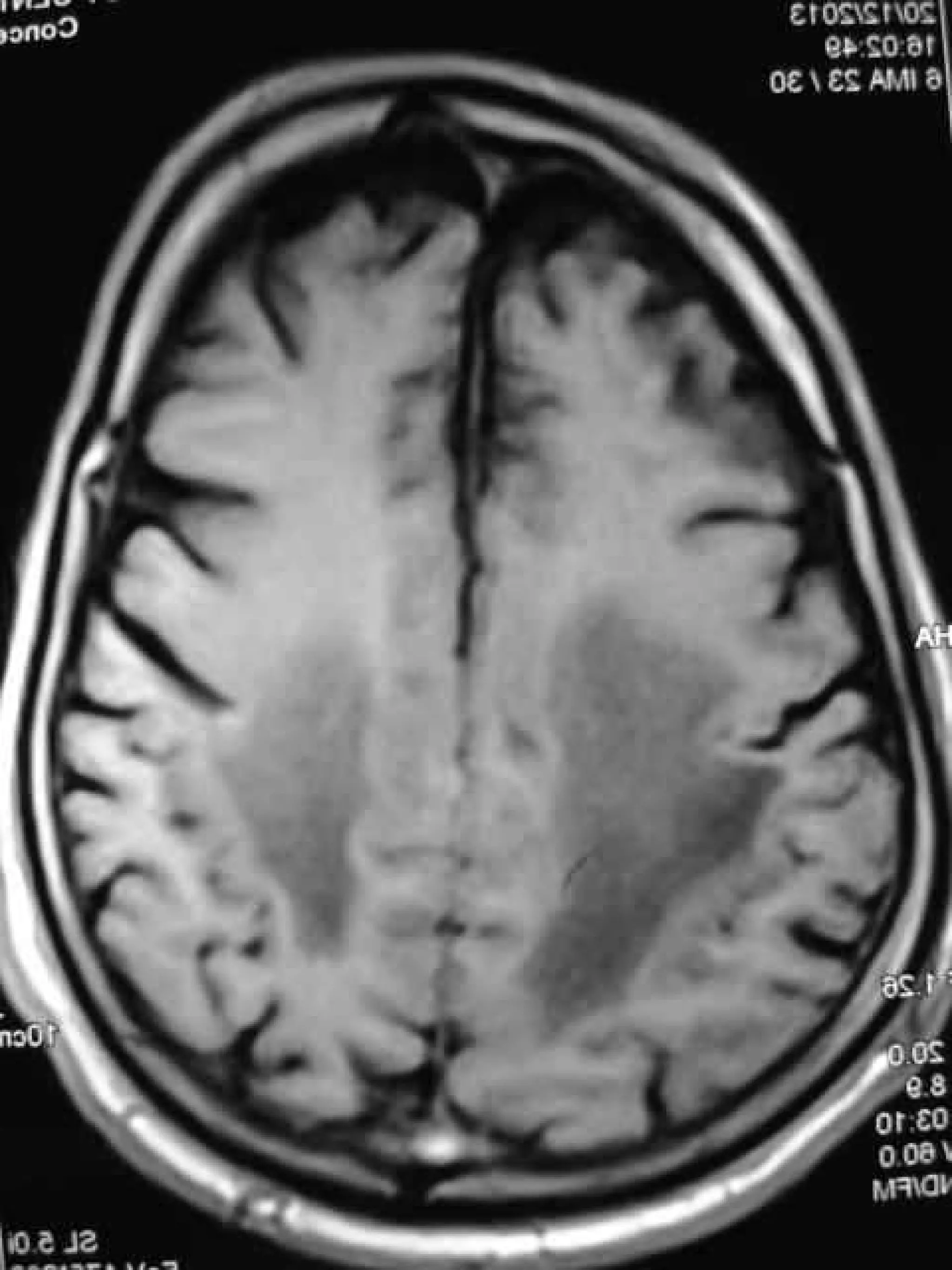
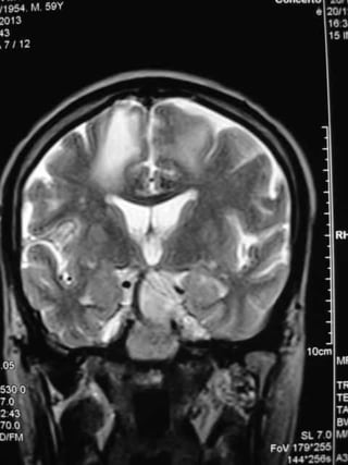
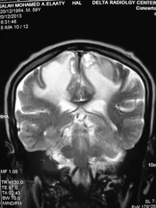
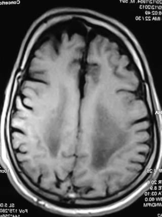
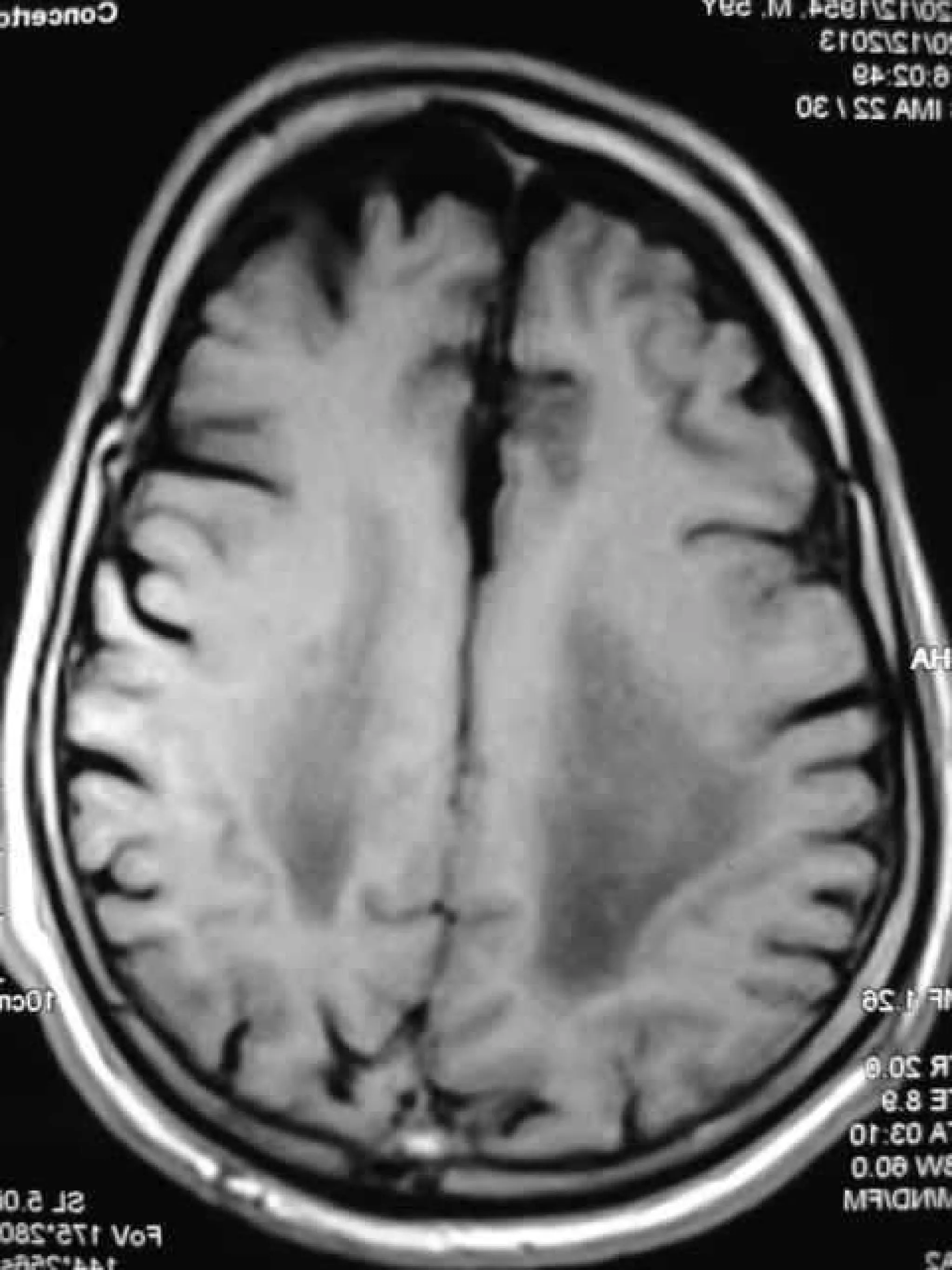
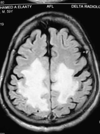
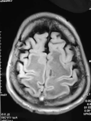
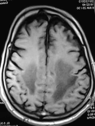
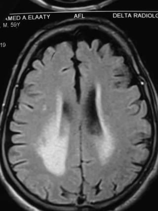
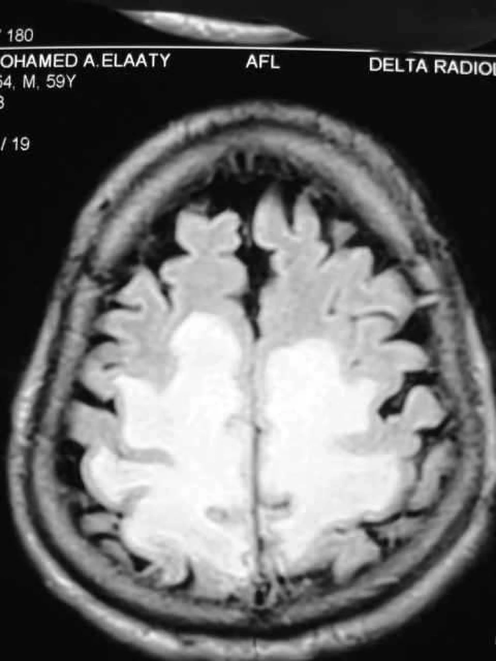
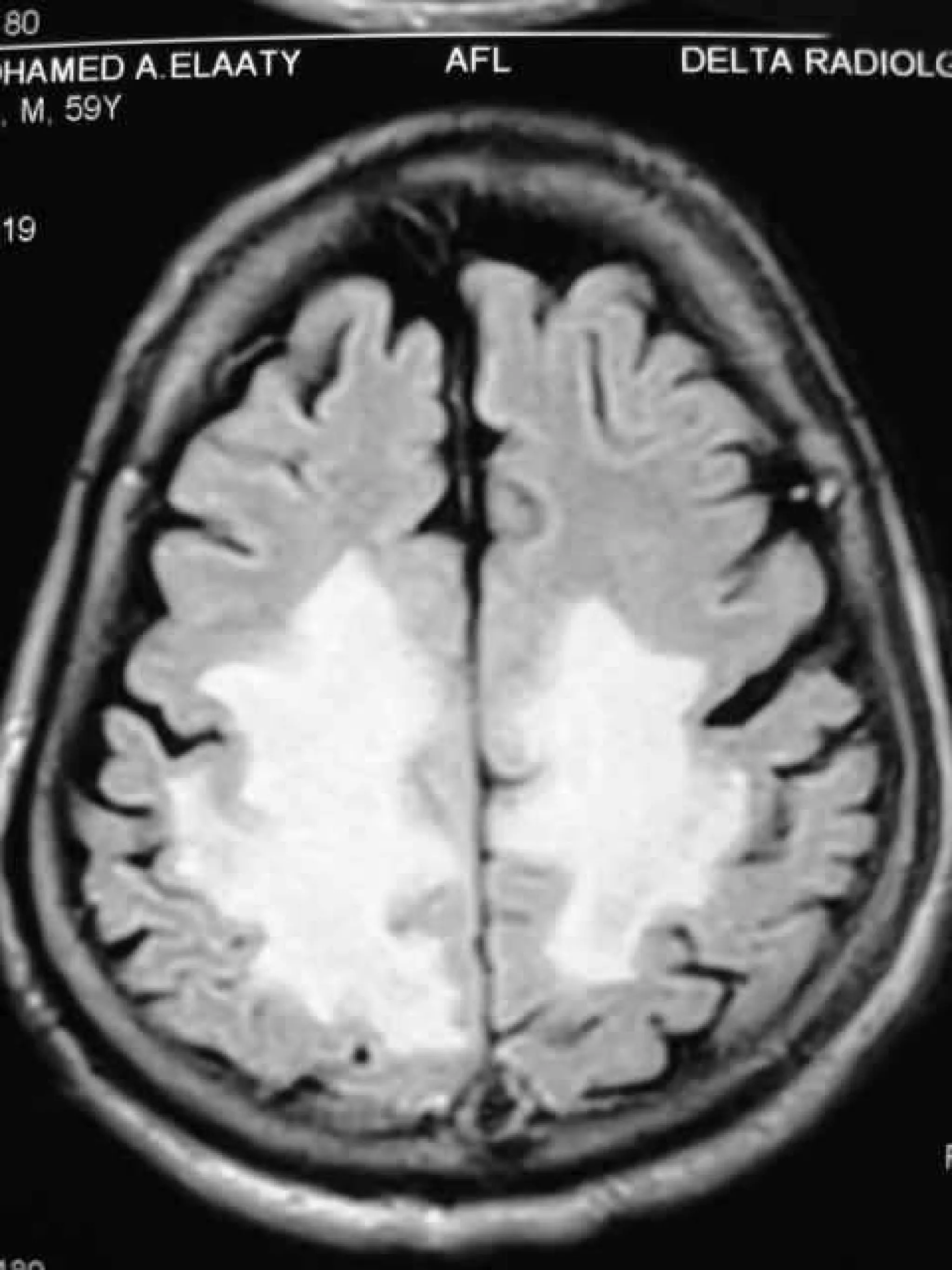
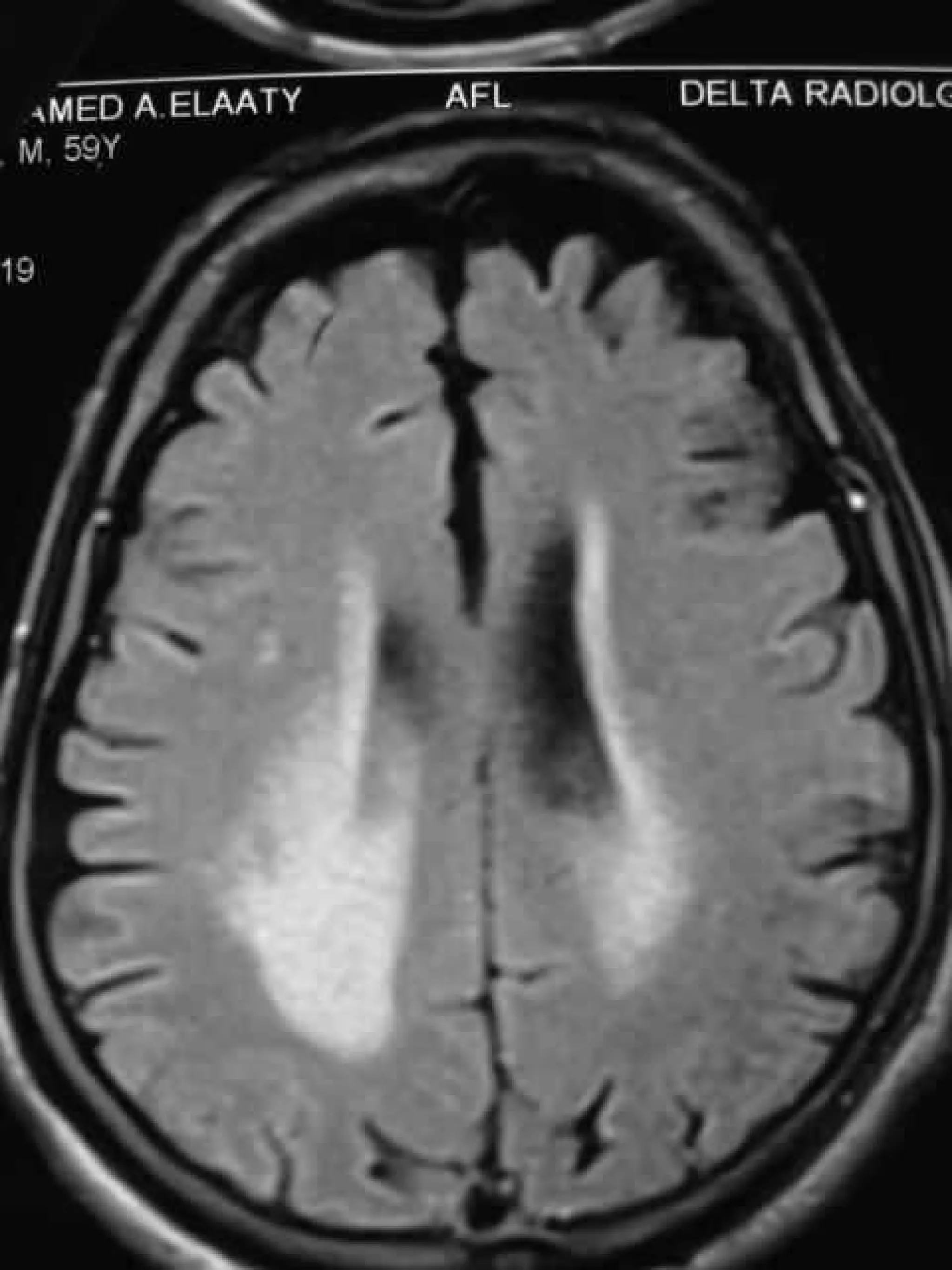
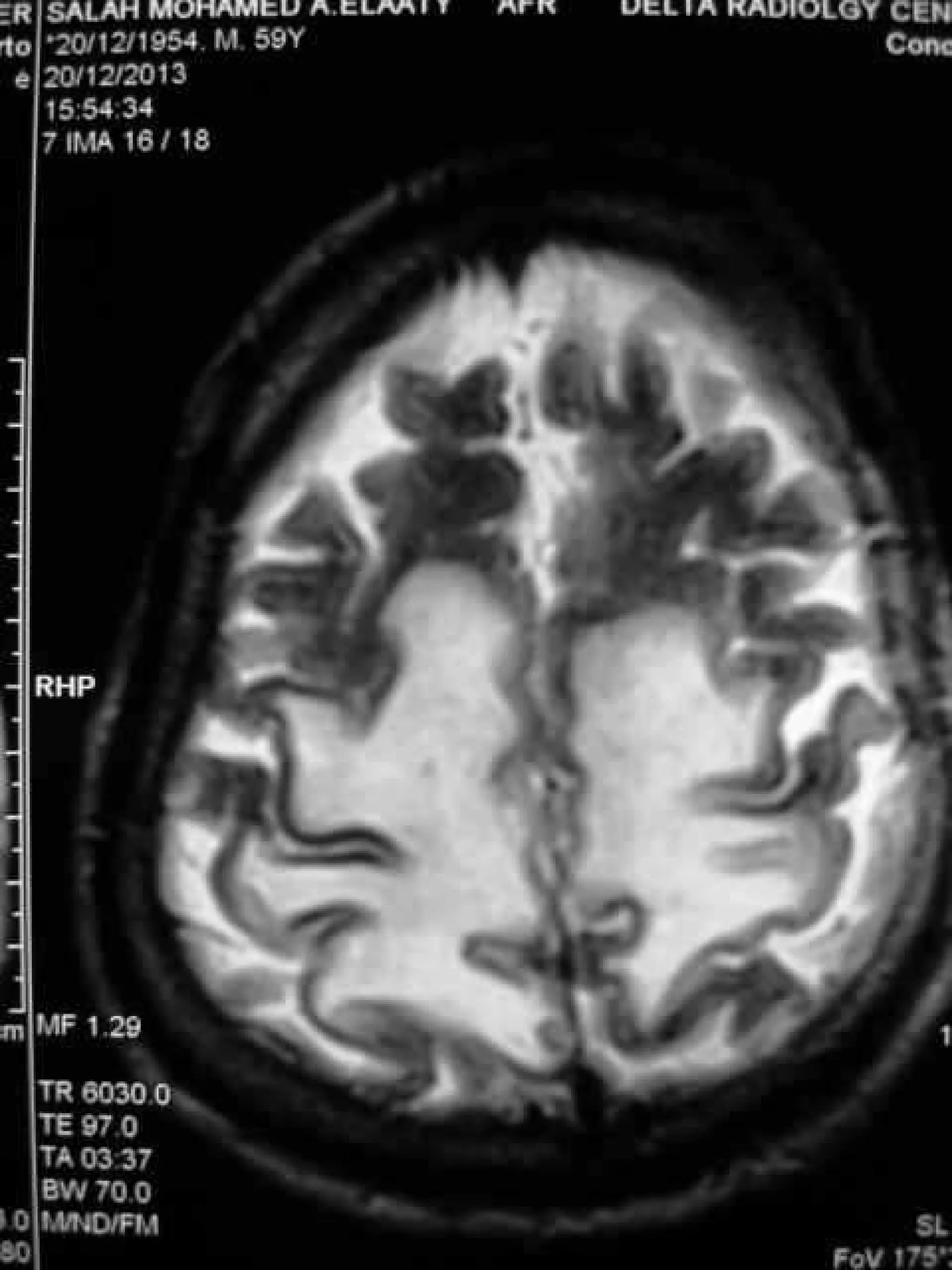
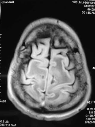
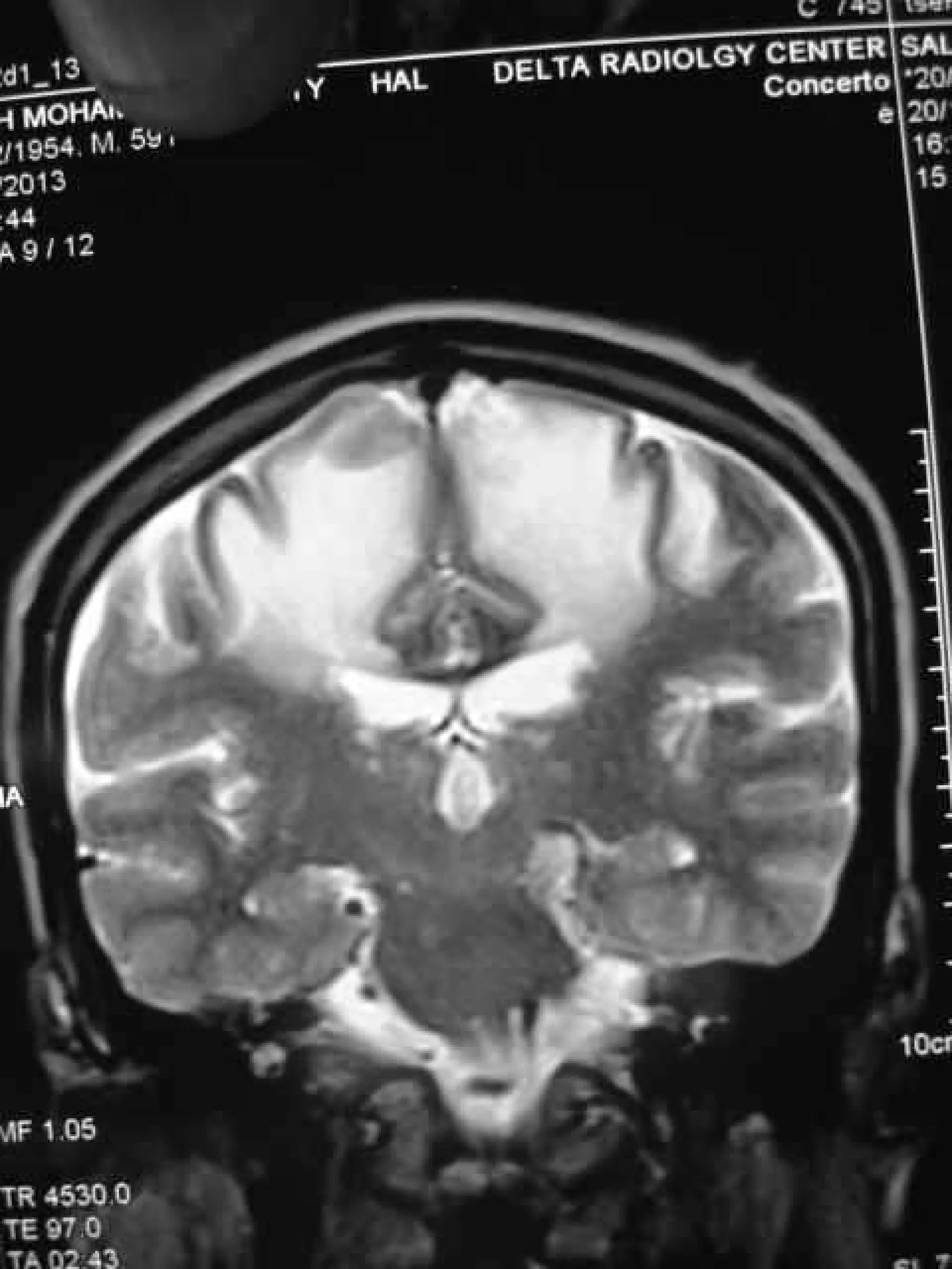
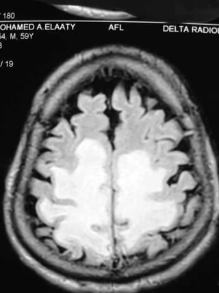
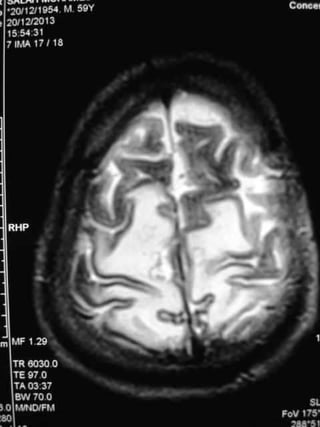
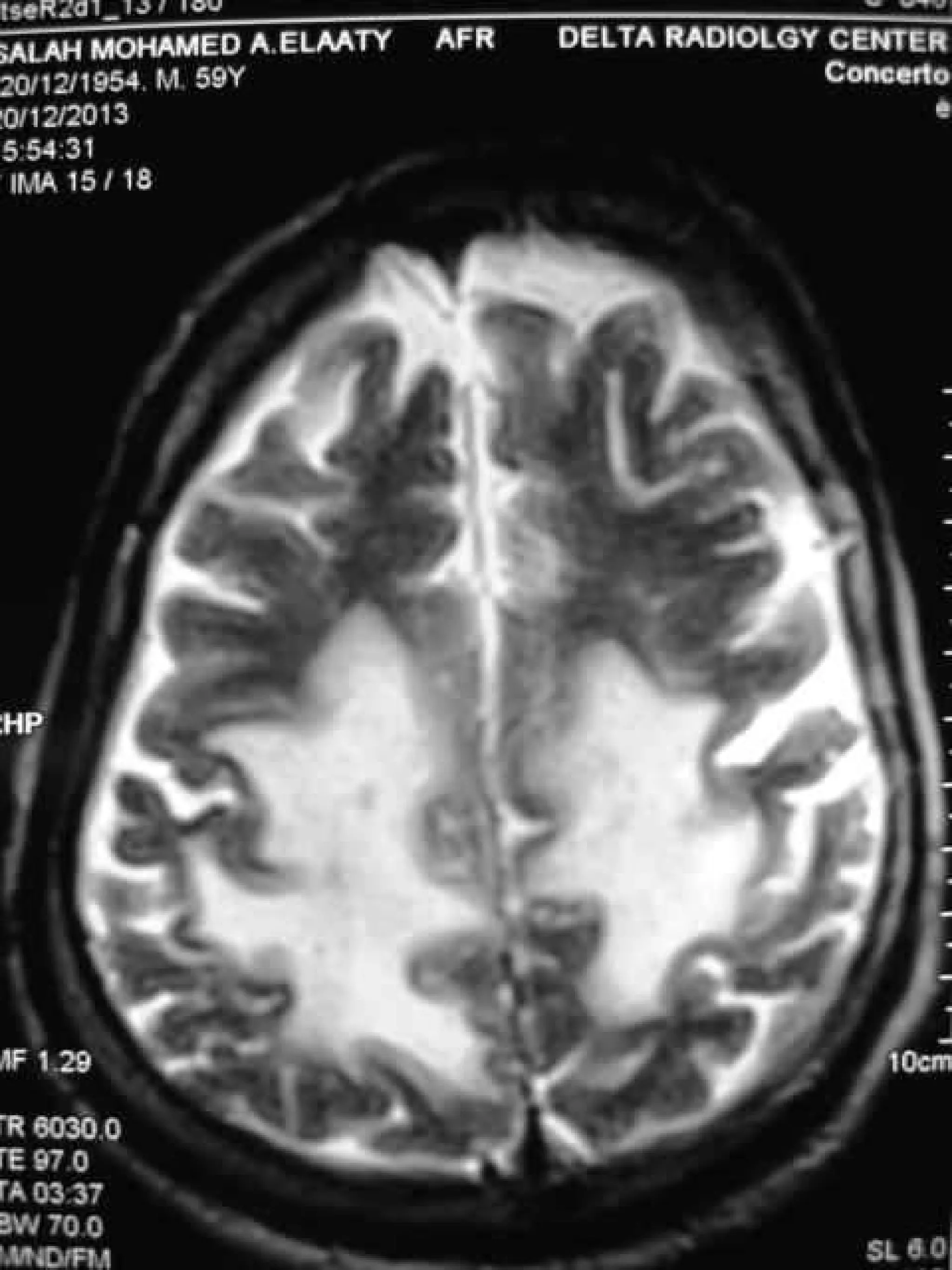
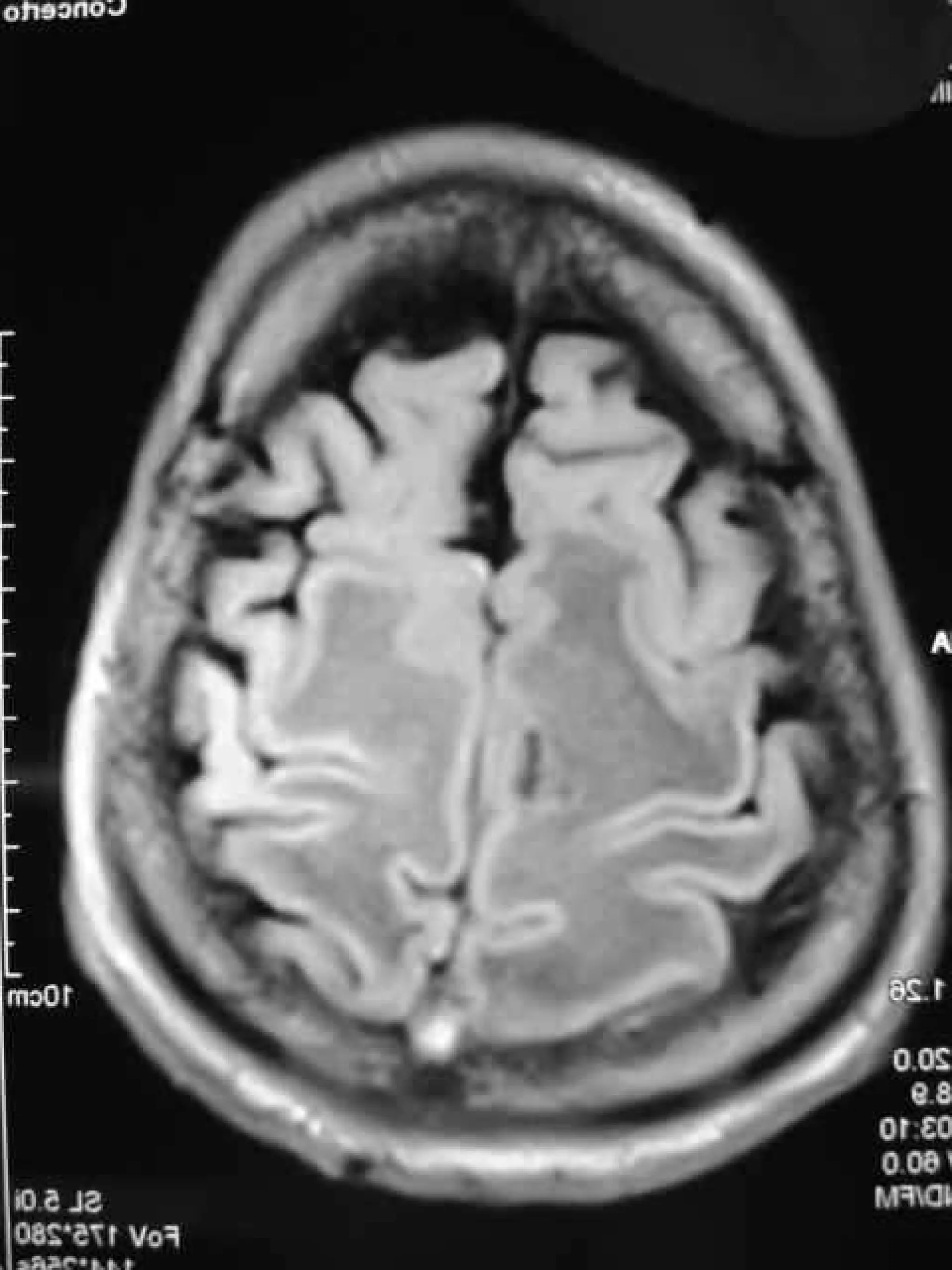
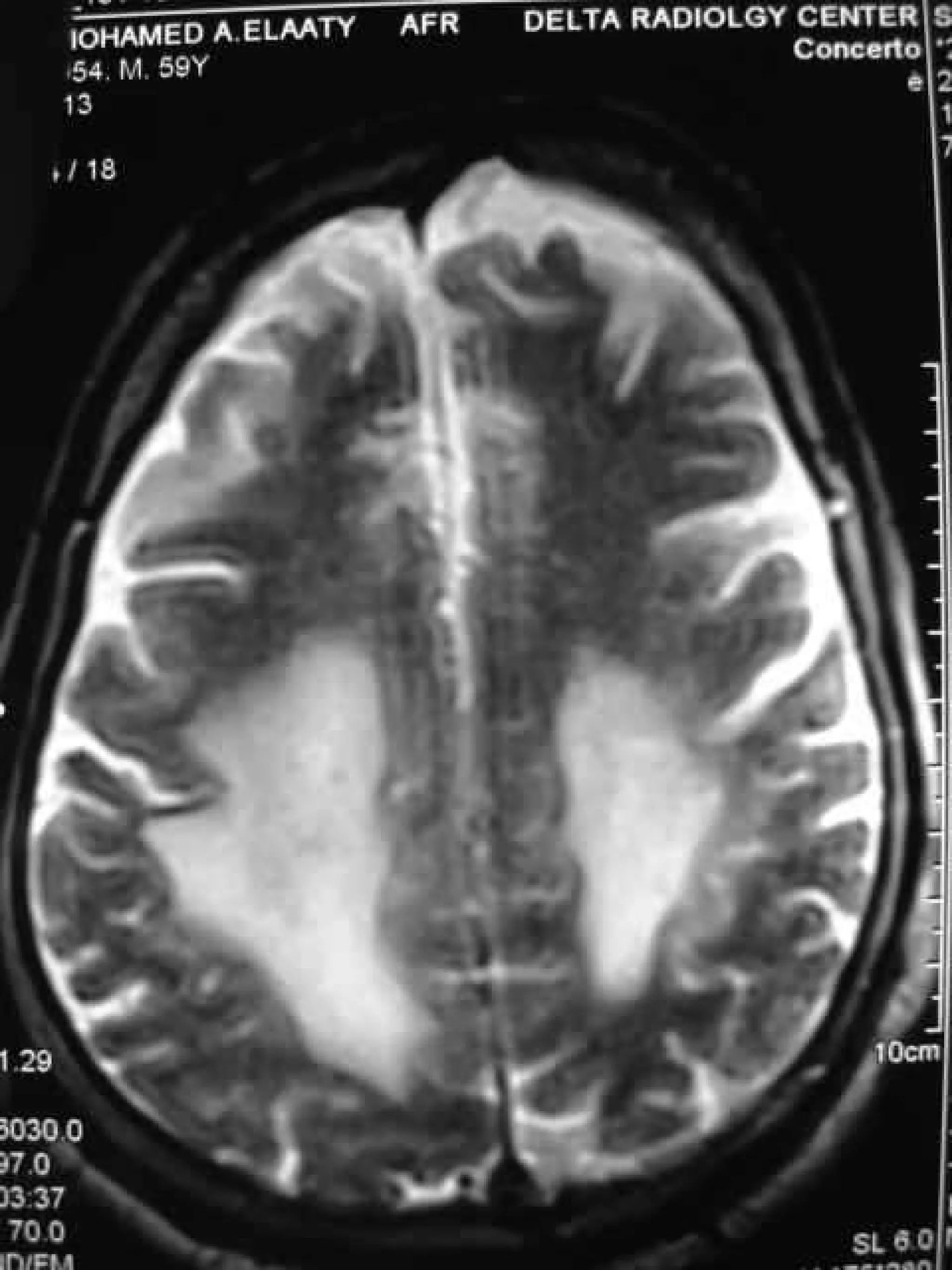
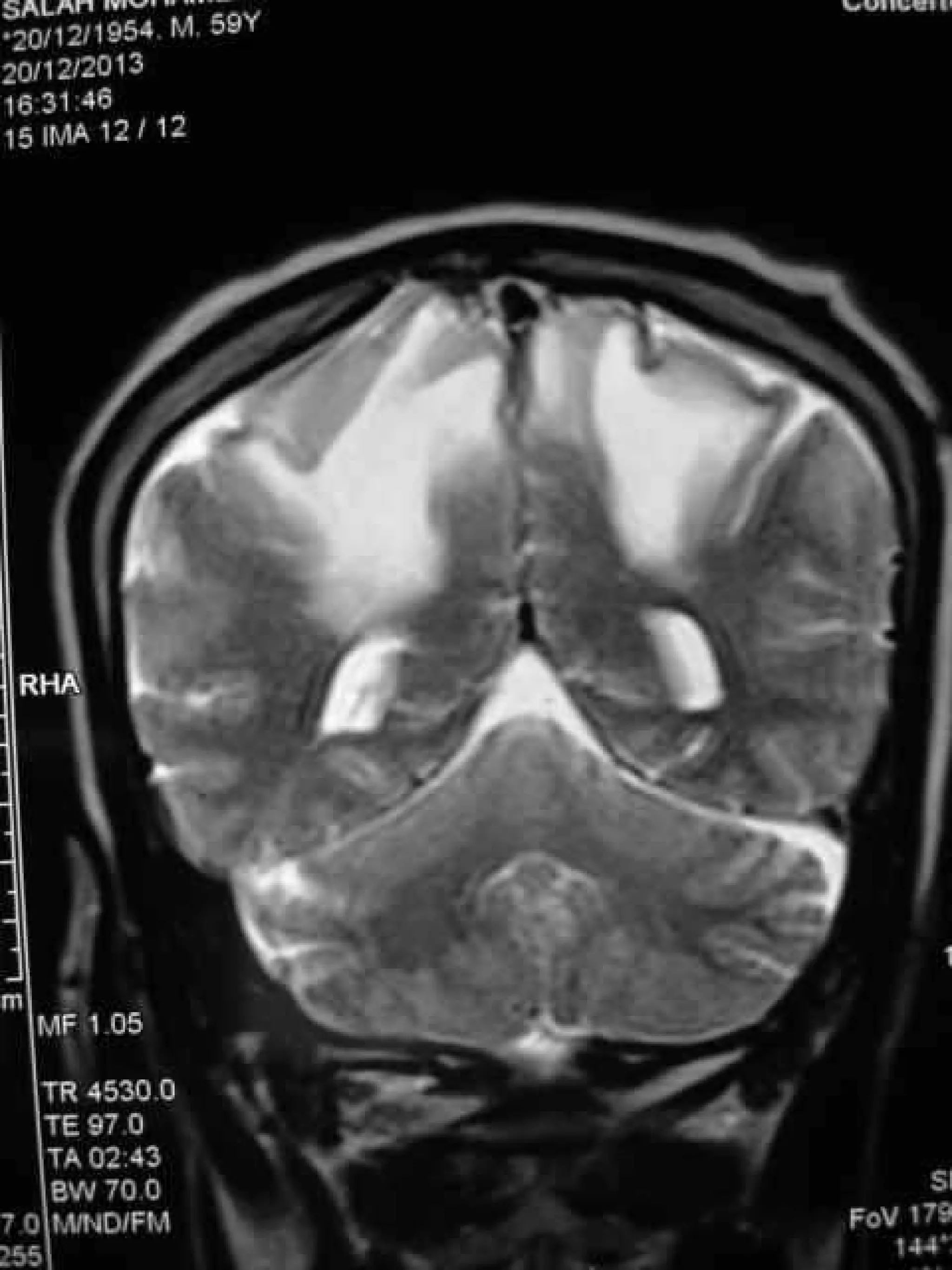
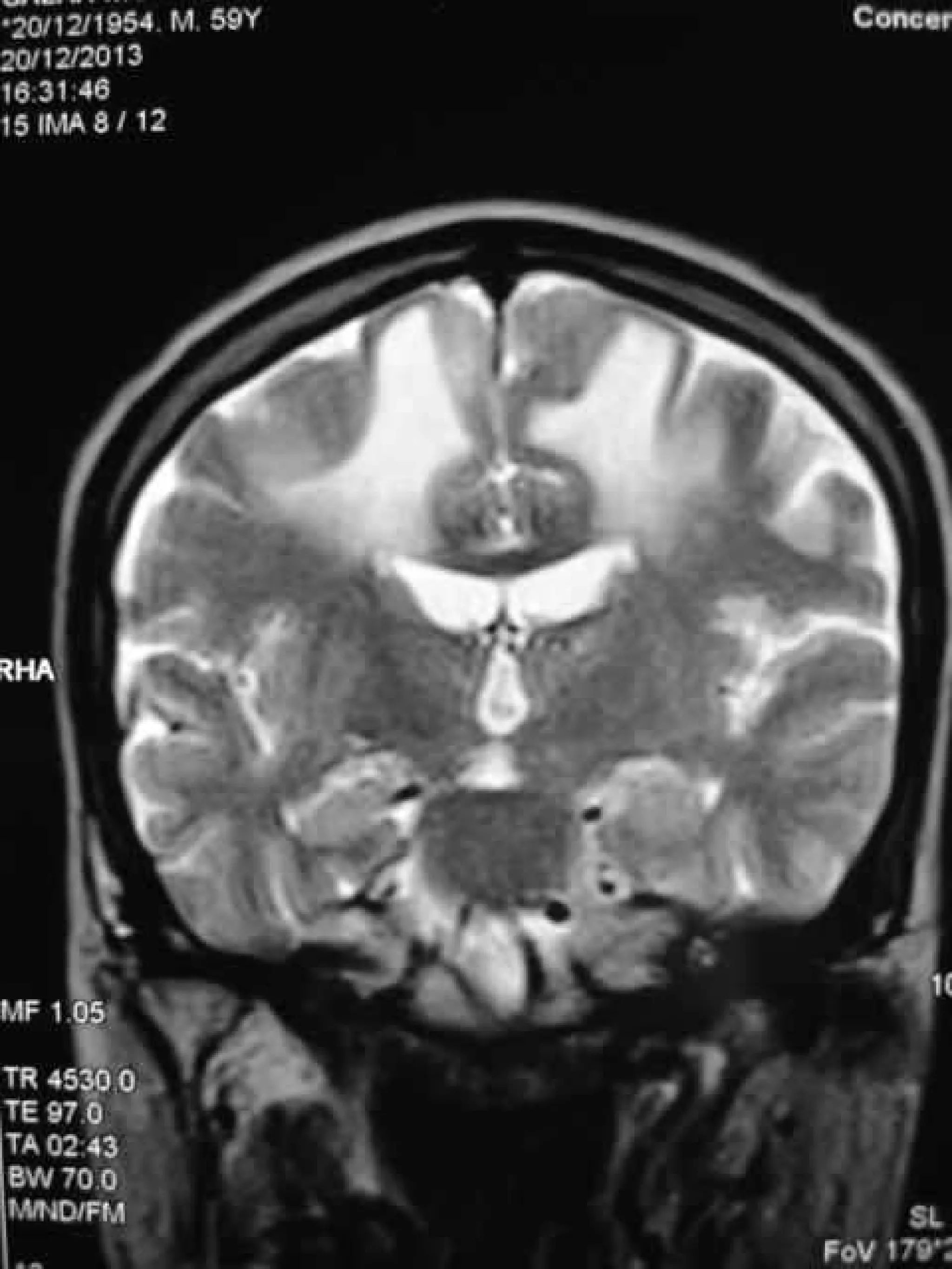
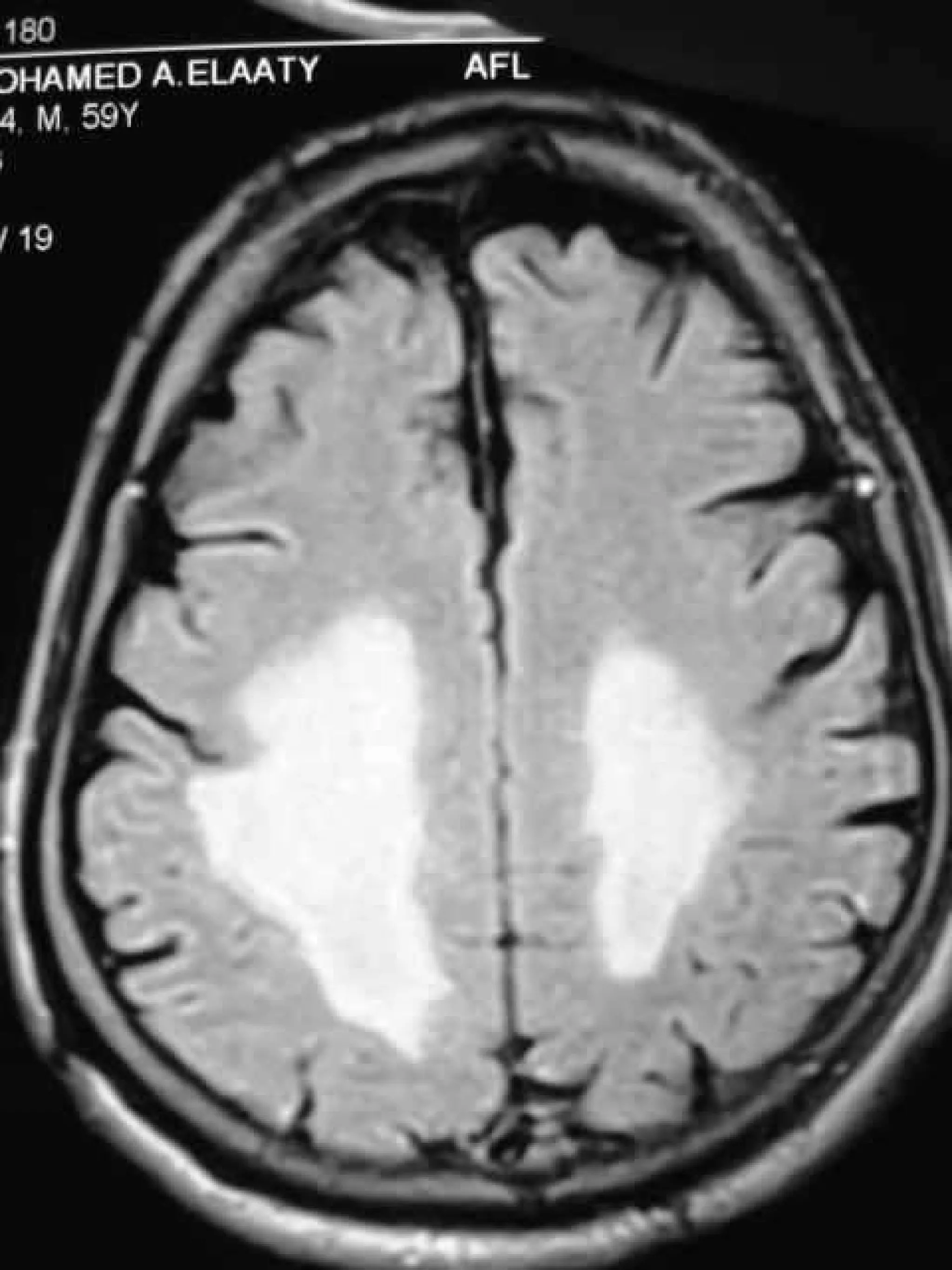
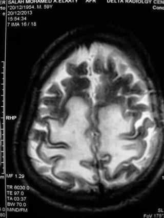
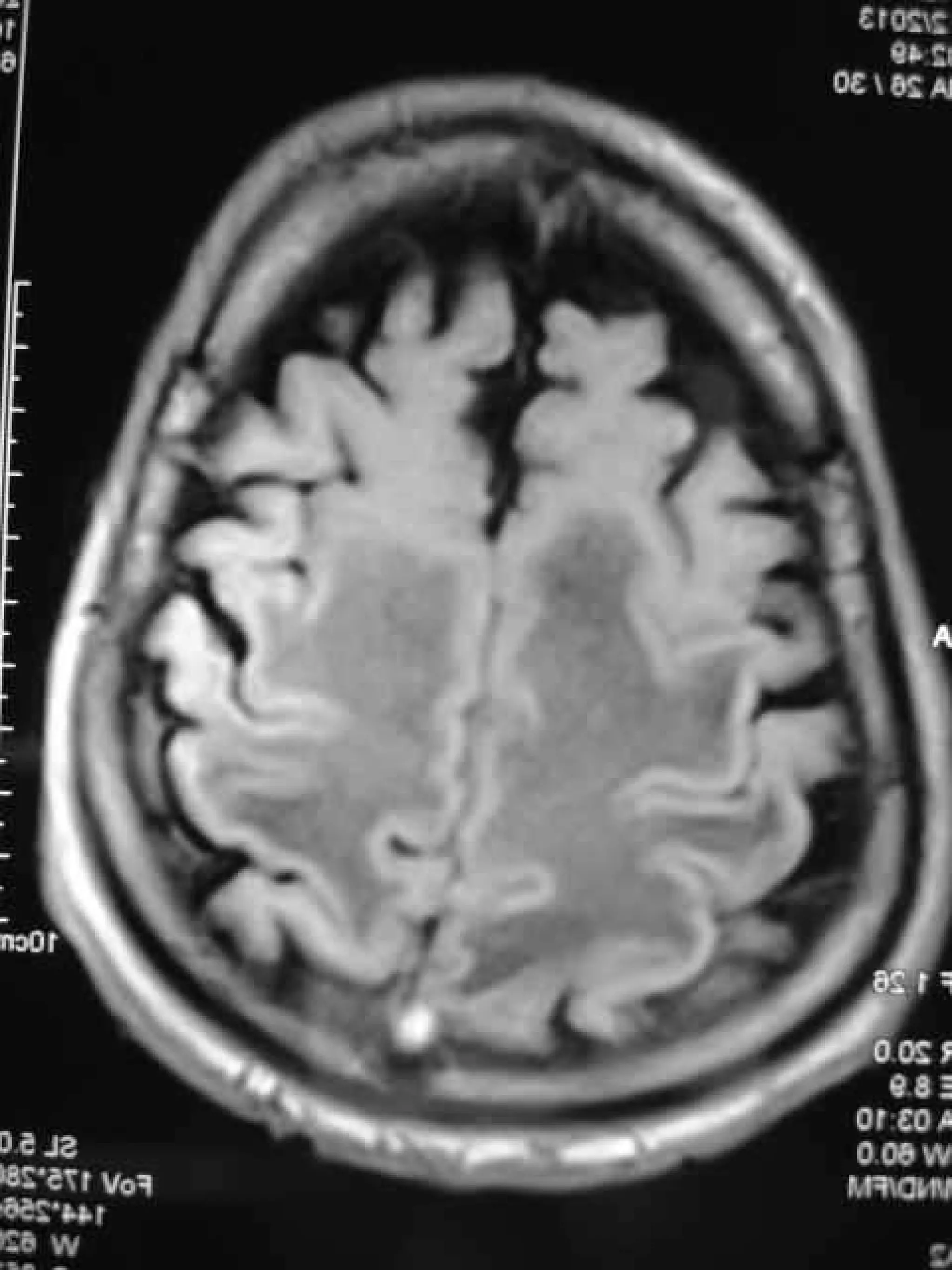
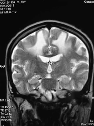
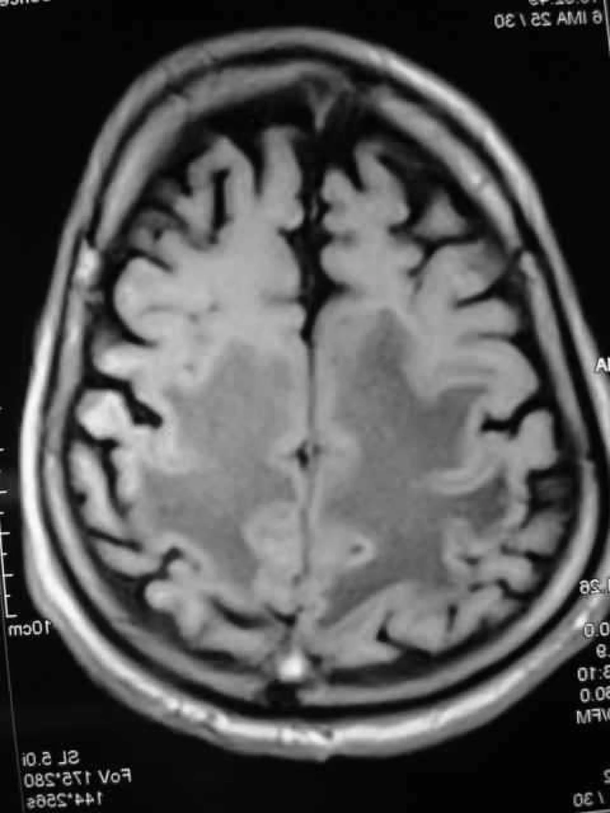
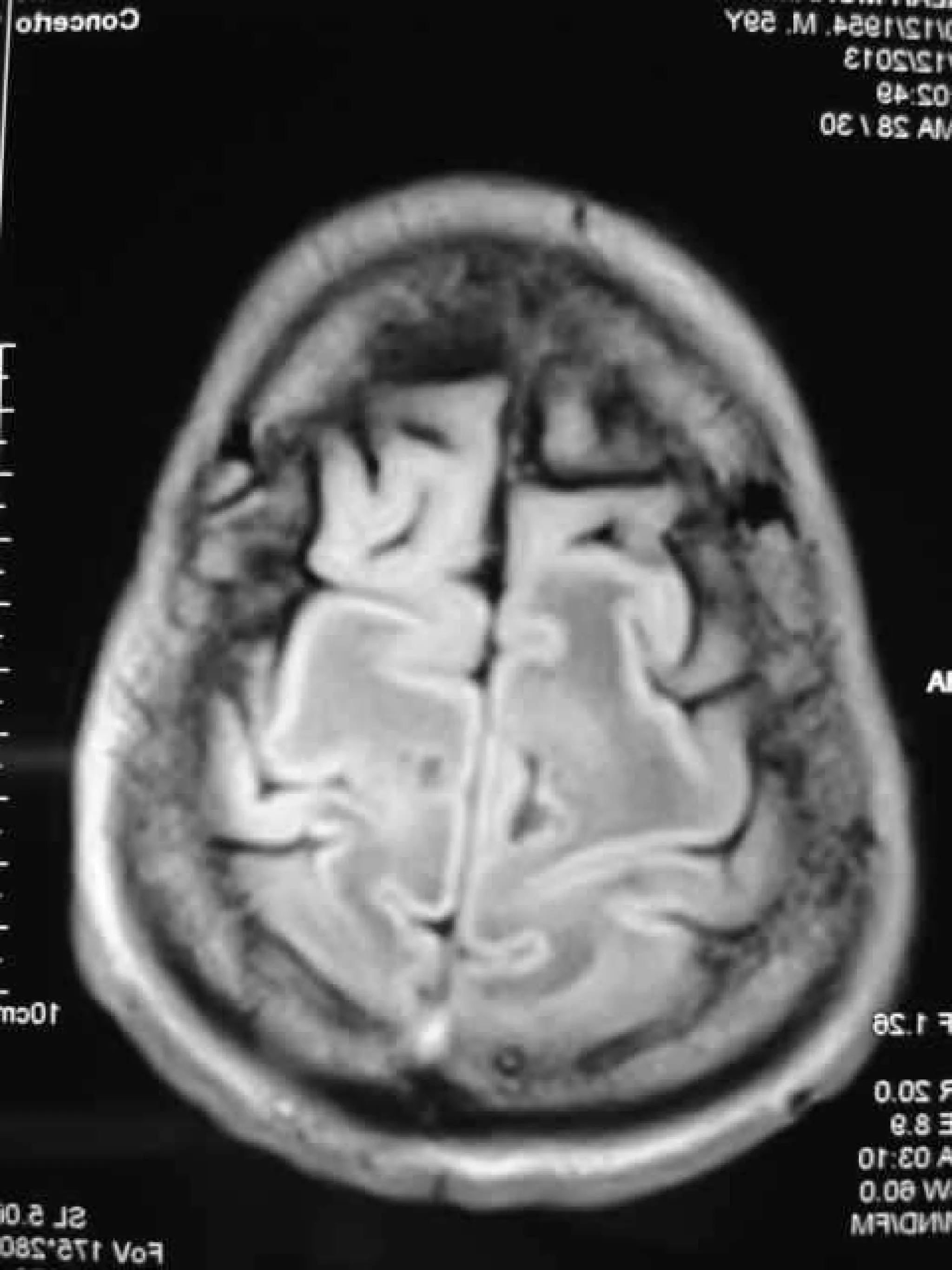
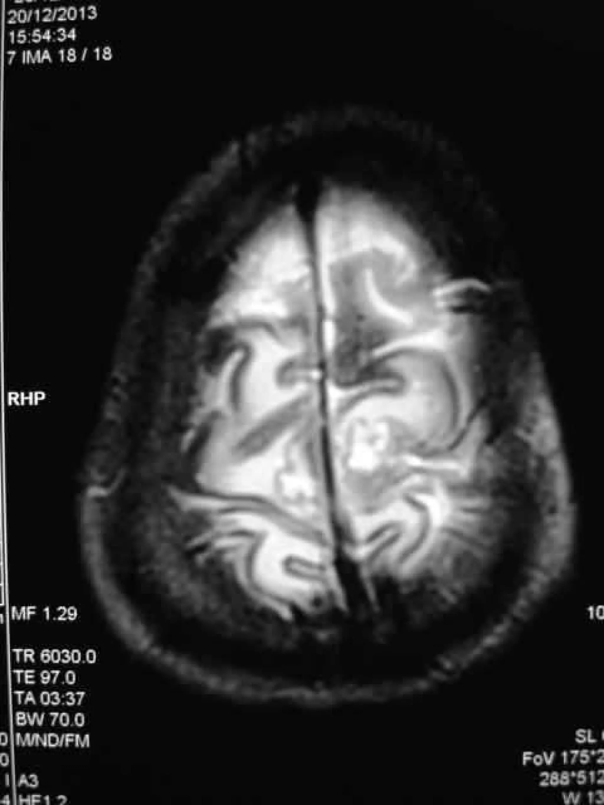
Progressive multifocal leukoencephalopathy
Progressive multifocal leukoencephalopathy
Health & Medicine
◦
Read more
1
Save
Share
Embed
Embed presentation
Download
Downloaded 21 times
1
/ 25
2
/ 25
3
/ 25
4
/ 25
5
/ 25
6
/ 25
7
/ 25
8
/ 25
9
/ 25
10
/ 25
11
/ 25
12
/ 25
13
/ 25
14
/ 25
15
/ 25
16
/ 25
17
/ 25
18
/ 25
19
/ 25
20
/ 25
21
/ 25
22
/ 25
23
/ 25
24
/ 25
25
/ 25
More Related Content
PDF
Radiological pathology of cerebral microbleeds
by
Professor Yasser Metwally
PDF
Radiological pathology of cortical laminar necrosis
by
Professor Yasser Metwally
PDF
Progressive multifocal leukoencephalopathy
by
Professor Yasser Metwally
PDF
Radiological pathology of cerebrovascular disorders
by
Professor Yasser Metwally
PDF
Issues in radiological pathology: Radiological pathology of watershed infarct...
by
Professor Yasser Metwally
PDF
Radiological pathology of spontaneous cerebral hemorrhage
by
Professor Yasser Metwally
PDF
Radiological pathology of cerebral amyloid angiography
by
Professor Yasser Metwally
PDF
The Egyptian Zoo in Cairo 2015
by
Professor Yasser Metwally
Radiological pathology of cerebral microbleeds
by
Professor Yasser Metwally
Radiological pathology of cortical laminar necrosis
by
Professor Yasser Metwally
Progressive multifocal leukoencephalopathy
by
Professor Yasser Metwally
Radiological pathology of cerebrovascular disorders
by
Professor Yasser Metwally
Issues in radiological pathology: Radiological pathology of watershed infarct...
by
Professor Yasser Metwally
Radiological pathology of spontaneous cerebral hemorrhage
by
Professor Yasser Metwally
Radiological pathology of cerebral amyloid angiography
by
Professor Yasser Metwally
The Egyptian Zoo in Cairo 2015
by
Professor Yasser Metwally
More from Professor Yasser Metwally
PDF
End of the great nile river in Ras Elbar
by
Professor Yasser Metwally
PDF
The Lion and The tiger in Egypt
by
Professor Yasser Metwally
PDF
The monkeys in Egypt
by
Professor Yasser Metwally
PDF
The Snake, the Scorpion, the turtle in Egypt
by
Professor Yasser Metwally
PDF
The Egyptian Parrot
by
Professor Yasser Metwally
PDF
The Egyptian Deer
by
Professor Yasser Metwally
PDF
The Egyptian Pelican
by
Professor Yasser Metwally
PDF
The Flamingo bird in Egypt
by
Professor Yasser Metwally
PDF
Egyptian Cats
by
Professor Yasser Metwally
PDF
Radiological pathology of epileptic disorders
by
Professor Yasser Metwally
PDF
The Egyptian Zoo in Cairo
by
Professor Yasser Metwally
PDF
Neurological examination PDF manual
by
Professor Yasser Metwally
PDF
Fundus examination
by
Professor Yasser Metwally
PDF
Microvascular Diseases of the Brain: An Update
by
Professor Yasser Metwally
PDF
Pathology/pathogenesis of lumbar disc degeneration
by
Professor Yasser Metwally
PDF
Colossi of Memnon...Luxor city
by
Professor Yasser Metwally
PDF
Egyptian Girl
by
Professor Yasser Metwally
PDF
Battle of Kadish...Ramsis the great
by
Professor Yasser Metwally
PDF
Husbands and wifes in ancient Egypt
by
Professor Yasser Metwally
PDF
Queen Hashepsut...Queen of Egypt
by
Professor Yasser Metwally
End of the great nile river in Ras Elbar
by
Professor Yasser Metwally
The Lion and The tiger in Egypt
by
Professor Yasser Metwally
The monkeys in Egypt
by
Professor Yasser Metwally
The Snake, the Scorpion, the turtle in Egypt
by
Professor Yasser Metwally
The Egyptian Parrot
by
Professor Yasser Metwally
The Egyptian Deer
by
Professor Yasser Metwally
The Egyptian Pelican
by
Professor Yasser Metwally
The Flamingo bird in Egypt
by
Professor Yasser Metwally
Egyptian Cats
by
Professor Yasser Metwally
Radiological pathology of epileptic disorders
by
Professor Yasser Metwally
The Egyptian Zoo in Cairo
by
Professor Yasser Metwally
Neurological examination PDF manual
by
Professor Yasser Metwally
Fundus examination
by
Professor Yasser Metwally
Microvascular Diseases of the Brain: An Update
by
Professor Yasser Metwally
Pathology/pathogenesis of lumbar disc degeneration
by
Professor Yasser Metwally
Colossi of Memnon...Luxor city
by
Professor Yasser Metwally
Egyptian Girl
by
Professor Yasser Metwally
Battle of Kadish...Ramsis the great
by
Professor Yasser Metwally
Husbands and wifes in ancient Egypt
by
Professor Yasser Metwally
Queen Hashepsut...Queen of Egypt
by
Professor Yasser Metwally
Recently uploaded
PPTX
adrenaldiseases.faciomaxillarysurgery.pptx
by
Dr Kingshika Joylin
PPTX
HD catheters, what do we need to know 2025 updated.pptx
by
JAFAR ALSAID
PPTX
Foundations of Pharmaceutical Quality Assurance and Quality Management System...
by
Dr. Smita Kumbhar
PPTX
MEDICAL RESEARCH UNIT_III_RESEARCH METHODOLOGY & BIOSTATISTICS.pptx
by
DHANASHREE KOLHEKAR
DOCX
Notes for chemistry of Carbohydrates, lipids, amino acids & proteins chemistry
by
Dr. Santhosh Kumar. N
PDF
Schlosser Hemsley et al RPM Systematic Review ASHA 2025
by
Bronwyn Hemsley
PPTX
Full Endoscopic Interlaminar Lumbar Discectomy
by
Ntambi Rogers
PDF
Partograph: It is a composite graphical recording of cervical dilatation and ...
by
MayuriGamit2
PPTX
Apporach to lung biopsy [Auto-saved].pptx latest
by
RayAdhikariRatnesh
PDF
Lenvatinib Tablets: Uses, Benefits, Diseases Treated & Availability in the Ph...
by
LetsMeds
PPTX
Human Digestive System (AOTT): Structure, Functions & Digestion.pptx
by
BALAJI SOMA
PPT
Next-Generation Solutions to Optimize Glioma Care: Applying The Latest Eviden...
by
PVI, PeerView Institute for Medical Education
PDF
ICL Implantation: A Lifetime of Clear, Sharp Vision
by
Dr Chameen Samarawickrama
PDF
Microencapsulation and their Application in Novel Drug Delivery
by
GOKULAKRISHNAN S
PPTX
CELL PHYSIOLOGY: STRUCTURE AND FUNCTIONS
by
DR.P.S SUDHAKAR
PPTX
Sahil Srivastava ppt on Moringa Oleifera.pptx
by
Sahil Srivastava
PPTX
Emerging Targets in NSCLC beyond EGFR, ALK & ROS .pptx
by
SumitKumar452
PPTX
composition, functions of Extra cellular matrix. ECM Proteins, glycoproteins ...
by
Dr. Santhosh Kumar. N
PPTX
Surgery instruments for MBBS Students, pptx
by
cbmesurgery
PPTX
2025 APVRS-PAO Diplopia After Cataract & Retina Surgery.pptx
by
Alvina Pauline Santiago, MD
adrenaldiseases.faciomaxillarysurgery.pptx
by
Dr Kingshika Joylin
HD catheters, what do we need to know 2025 updated.pptx
by
JAFAR ALSAID
Foundations of Pharmaceutical Quality Assurance and Quality Management System...
by
Dr. Smita Kumbhar
MEDICAL RESEARCH UNIT_III_RESEARCH METHODOLOGY & BIOSTATISTICS.pptx
by
DHANASHREE KOLHEKAR
Notes for chemistry of Carbohydrates, lipids, amino acids & proteins chemistry
by
Dr. Santhosh Kumar. N
Schlosser Hemsley et al RPM Systematic Review ASHA 2025
by
Bronwyn Hemsley
Full Endoscopic Interlaminar Lumbar Discectomy
by
Ntambi Rogers
Partograph: It is a composite graphical recording of cervical dilatation and ...
by
MayuriGamit2
Apporach to lung biopsy [Auto-saved].pptx latest
by
RayAdhikariRatnesh
Lenvatinib Tablets: Uses, Benefits, Diseases Treated & Availability in the Ph...
by
LetsMeds
Human Digestive System (AOTT): Structure, Functions & Digestion.pptx
by
BALAJI SOMA
Next-Generation Solutions to Optimize Glioma Care: Applying The Latest Eviden...
by
PVI, PeerView Institute for Medical Education
ICL Implantation: A Lifetime of Clear, Sharp Vision
by
Dr Chameen Samarawickrama
Microencapsulation and their Application in Novel Drug Delivery
by
GOKULAKRISHNAN S
CELL PHYSIOLOGY: STRUCTURE AND FUNCTIONS
by
DR.P.S SUDHAKAR
Sahil Srivastava ppt on Moringa Oleifera.pptx
by
Sahil Srivastava
Emerging Targets in NSCLC beyond EGFR, ALK & ROS .pptx
by
SumitKumar452
composition, functions of Extra cellular matrix. ECM Proteins, glycoproteins ...
by
Dr. Santhosh Kumar. N
Surgery instruments for MBBS Students, pptx
by
cbmesurgery
2025 APVRS-PAO Diplopia After Cataract & Retina Surgery.pptx
by
Alvina Pauline Santiago, MD
Download