Embed presentation
Download to read offline












































































































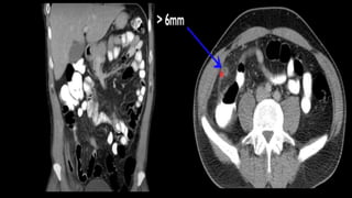
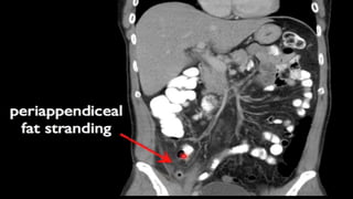
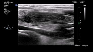
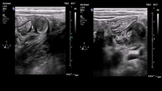
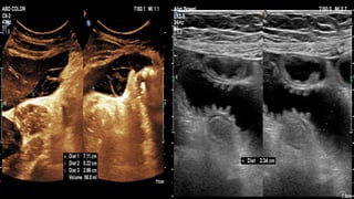
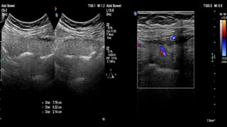
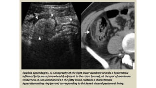
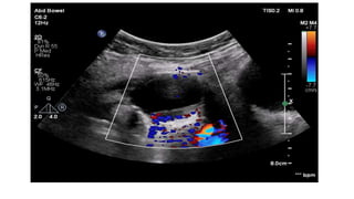
This document discusses the evaluation of right lower abdominal pain and lists appendicitis as a key cause. It notes that other potential causes include hemorrhagic cysts, heterotrophic pregnancy, salpingitis with pyosalpinx, funiculitis, and torsion of an undescended testis. The document was presented by Dr. A.S.M. Sufian of Cumilla Medical College Hospital and thanks the audience for their patience and listening.











































































































