Plaque control
contents
 Introduction
 Mechanical plaque control
◦ Tooth brushes
◦ Dentifrices
◦ Disclosing agents
◦ Dental floss
◦ Interdental cleaning aids
◦ Brushing techniques
 Chemical plaque control
 Age specific guidelines
 Conclusion
 References.
Introduction
 The natural physiologic forces that
clean the oral cavity are inefficient in
removing dental plaque.
 So, removal of plaque either by means of
mechanical or chemotherapeutic agent is
necessary.
Plaque control
Mechanical
• Tooth brush
• Dental floss
• Oral irrigators
• Tongue scrapers
• Gauze
Chemotherapeutic
• Antiseptics
• Antibiotics
• Enzymes
• Plaque modifying agents
• Sugar substitutes
• Plaque attachment interferin
Mechanical plaque control
3000BC •Egyptians and Arabs used small branches.
619-907AD •Chinese invent bristle tooth brush
1600AD •Europeans replace wild bore hair with horse hair
1780AD •Mass production of manual tooth brush by William Addis
Some ancient tooth brushes
1938 •First nylon bristles introduced
1954
• 1st
electric tooth
brush “
Broxodont” was
invented in
Switzerland
Manual toothbrush design
Lateral profile of the brush
 Convex
 Concave
 Flat
 Multileveled( scalloped or rippled)
bristles
 Artificial filaments made up of nylon are
used.
 Advantages of nylon:
Bristle shapes
 “Round –ending”:
 Tooth brush wear
Some other shapes…
Handel designs
ADA specifications
 Length : 1 to 1.25 inches
 Width: 5/16 to 3/8 inch
 Surface area: 2.54 to 3.2 cm2
 No. of rows- 2 to 4 rows of bristles
 No. of tufts- 5 to 12 per row
 No. of bristles: 80 to 85 per tuft
Diameter for bristles:
 soft - 0.007 inch
 Medium-0.12 inch
 hard -0.014 inch
Bass’s recommendation
 Straight handle
 Nylon bristles 0.007 inch( 0.2 mm) in
diameter
 0.0406 inch (10.43 mm) long, with
rounded ends
 Average 3 rows of tufts
 Evenly spaced tufts per row
 80 to 86 bristles per tuft
For children,
 Brush is smaller
 Thinner ( 0.005 inch or 0.1 mm) bristle
 And shorter ( 0.344 inch or 8.7 mm)
bristle
 Smaller head with thicker handle.
Powered tooth brush
 First introduced in 1954
 Recommended for individual lacking motor
skill
 Handicapped patients
 Patients with orthodontic appliances
 Whosoever wants to use
 Motions in powered brush
◦ Back & forth- reciprocal motion
◦ Arcuate, up & down motion
◦ Elliptical, combination
Characteristic Manual Powered
Brushing duration 20-40 sec 1-3 min
Teeth brushed at a
time
multiple One/ multiple
Brush head motion Cross & multiple minimal
Brush head speed Zero 1000s/min
Brush head strokes 40-100/min 10-40/min
Brush head load 150-1000 grams 50-250 grams
Sonicare ( Philips oral health care)
and Braun Oral B Kids( OralB)
 They use sonic technology using acoustic
energy.
 Has electromagnetic device that runs the
bristles.
 261 Hz or 31,320 Hz brush strokes per
minute.
Classification of tooth brushing technique
Based on the pattern of motion when brushing
Roll : Rolling stroke
Modified Stillman
Vibratory : Stillman Bass, Charters
Circular : Fones
Vertical : Leonard
Horizontal : Scrub
Techniques of tooth brushing
Method Bristle
placement
Motion Advantages
SCRUB Horizontal on
Gingival margin
Scrub in
anterior-
posterior
direction
keeping brush
horizontal
Easy to learn
Method Bristle
placement
Motion Advantages
BASS Apical towards
gingival sulcus,
45˚ to tooth
surface
Short back &
forth vibratory
motion while
bristles remain
in the sulcus
•Removes
plaque from
gingival sulcus
•Good gingival
stimulation
Method Bristle
placement
Motion Advantages/
Disadvantages
CHARTRS Coronally, 45˚
sides of the
bristles half on
teeth half on
gingiva
Vibrated gently
back & forth a
millimeter with
apical movements
towards gingival
margin
•Hard to learn
•Clears
interproximmaly
•Gingival
stimulation
Method Bristle
placement
Motion Advantages
FONES Perpendicular to
tooth
Teeth in occlusion,
move brush in
rotary motion in
both arches &
gingival margin.
•Easy to learn
•Interproximal
area not cleaned
•May cause trauma
Method Bristle
placement
Motion Advantages
ROLL Apically parallel
to the tooth ,
then over tooth
surface
Rolling of head
over both arches
in rotary
motion over
both arches and
gingival margin
•Easy to learn
•Good gingival
stimulation
Method Bristle
placement
Motion Advantages
STILLMAN’S Apically at an oblique
angle to long axis of
the tooth ending on
gingiva & sulcus
Slight rotary motion
with bristle end
stationary
•Excellent gingival
stimulation
•Moderate dexterity
required
•Moderate
interproximal cleaning
Method Bristle
placement
Motion Advantages
MODIFIED
STILLMAN’S
Pointing apically at
angle of 45˚to the
tooth
Apical pressure also
vibrate brush and
move occlusally
Good gingival
stimulation
Cleans interproximal
area
Systematic approach to tooth brushing
Rugg-Gunn & Macgrgor
 Studied uninstructed videotaped tooth
brushing behavior of 3 age group
 5 years
 11 years
 18 -22 years
Conclusions were….
 Area brushed
◦ 25% by 5 year old
◦ 50% by 11 year old
◦ 67% by 18-22 year old
 more time spent in brushing lower than
upper teeth
 Contra lateral side was brushed more in
children
 Less than 10% time was spent in brushing
lingual areas
 Most commonly used stroke:
◦ horizontal stroke in children
◦ Vertical stroke in adults
Das UM, Singhal P( 2009)
 Tooth brushing skills for the children aged 3-
11 years
 Group I: 3–5 years
 Group II: 6–8 years
 Group III: 9-11 years
 The mean brushing time
 for 3- to 5-year age group- 45 seconds
 For 6- to 8:years age : 48 seconds
 For 9- to 11 years age : 87 seconds
 Total mean brushing time was of 60.29 seconds
Duration of brushing
 Study by Hodges& colleges, 84 children(5-
15year old) were studied
 For brushing duration of 30, 60, 120, 180
seconds.
 Result: 1 min provided greatest plaque
removal.
 Ashley P.(2001)
 Recommends 3 minutes duration for
brushing.
Frequency of brushing
 Jenkins suggested tooth brushing before
meal is optimal.
 Saliva natural buffer against acids
Kallar S, Pandit Ik( 2011)
 Compared manual verses powered tooth brush
under supervised and unsupervised condition
in 200 children.
 Results:
 Powered supervised> power
unsupervised>manual supervised> manual
unsupervised
Ganesh M, Shah S(2012)
 Compared effectiveness of a musical
toothbrush for dental plaque removal
 Result: Musical tooth brush is more
 effective initially but as the time period
increases both tooth brushes give almost
similar results.
Three headed tooth brush
Kiche MS( 2002)
 Compared three-headed versus a
conventional toothbrush
 Result: No significant difference was
found
Modification of tooth brush for disabled
child
Dentrifrices
 It is used along with tooth brush to remove
plaque.
 Used both for preventive and therapeutic
purpose.
composition
Component % added use example
Detergent 1.2% •To lower the
surface
tension
•Emulsifies
debris for
easy removal
by tooth
brush
•Contributes
to foaming
action
Sodium
Lauryl Sulfate
Component % added use example
Abrasive 20-40% Cleaning &
polishing
Calcium
carbonate,
calcium
pyrophosphat
e, bicalcium
phoshate
Component % added use example
Binders 1-2% To prevent
separation
of solid &
liquid
components
.
Contributes
to stability
Magnesium
aluminium
silicate,
Colloidal
silica
Component % added use example
Humectant 20-40% Added to
retain moisure
Prevents
hardening
Glycerine,
Sorbitol
Preservative 1% To prevent
microbial
growth
Prolong shelf
life
Alcohols,
formaldehyde,
dichlorinated
phinols
Component % added use example
Flavoring
Agent
1-15% To make
dentrifrice
desirable
Peppermint,
cinnamon,
menthol
Therapeutic
agent
For anticaries
activity
Fluoride
Coloring
agent
2-3% Added for
attractiveness
Therapeutic dentrifrices
 Tooth paste is used as delivery system for certain
agents.
 E.g. anticaries activity by Sodium fluoride(NaF)
0.22%( 1100ppm),
 Sodium monofluorophosphate( Na2PO4F2)
0.76% at level of 1,000ppm
Stannous fluoride(SnF2) 0.4% at level of 1,000 ppm.
Fluoride content in kids tooth paste
Name content Fluoride conce.
Cheeriogel Sodium monofluoro
phoshate- 0.35% w/w
458 ppm
Bubble Sodium monofluoro
phoshate- 0.35% w/w
Xylitol
500 ppm
kidodent Sodium monofluoro
phoshate- 0.38% w/w
Xylitol
500 ppm
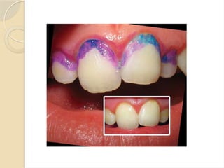
Disclosing agent
It is a preparation that is used to identify bacterial plaque
deposits.
Uses:
 Patient education
 Self assessment by patient
 Evaluation of effectiveness of plaque control programs
 Assessment of clinician
 Recording of plaque indices
 In research
Name Preparation
Skinner Solution Diluted tincture of iodine-21
ml
Water- 15ml
Iodine preparation Iodine ccrystals-3.3mg
Potassium iodide-1g
Glycerine 16ml
Mercurochrome preparation Mercurochrome 1.5mg
Water 30ml
Oil of peppermint
Name Preparation
Easlick’s disclosing solution Bismark brown 3 g
Ethyle alcohol 10 ml
Glycerine 120 ml
Erythrosine FD & C Red No.3 : 15mg
Soodium Chloride
Calciul stearate
Soluble saccharine
white oil
Flavouring agent
Name Preparation
Two tone Dye
( Block et al)
FD & C Green No.3
FD & C Red No.3
Name Preparation
Plak Light system Sodium Fluorosciene
Glycerine
FD & C yellw No.8
GCTri Plaque ID Gel™
 Contains sucrose and pigments (blue and
red).
DENTAL FLOSS
 Levi Spear Parmly (1790 – 1859),“the father”
of oral hygiene and the inventor of dental floss
 In 1882 Codman & Shurtuff made first
commercial floss made up of silk.
 Later in 1948, Bass recommended that nylon
floss is superior to silk
Types of floss
 Twisted & non twisted
 Banded and non banded
 Thin, tape, and meshwork
 Microfilament and multifilament
 Flavored and unflavored
 medicated
Material used….
 Usually made up of Nylon
 But, can also be made with Teflon material( Glide,
W L Gore & associates)
 Advantages:
◦ less coefficient of friction than nylon
◦ So, easy to pass through contacts
◦ Does not shred
According to ADA specification
 Type 1- un-bonded dental floss composed
of yarn having no additives
 Type II-bonded dental floss composed of
yarn having no additives other than binding
agent or agent for cosmetic performance
 Type III-bonded or un-bonded having drug
for therapeutic usage
Technique
 Start with 12 to 18 inches piece of floss.
 Spool
Method
 Loop
Method
 Pass it gently through each contact area with a
firm back-and-forth motion.
 Once the floss is apical to the contact area
between the teeth,
 wrap the floss around the proximal surface of
one tooth.
 Move the floss firmly along the tooth up to the
contact area and gently down into the sulcus
again,
 repeating this up-and-down stroke several times.
 Continue through the whole dentition,
including the distal surface of the last
tooth in each quadrant.
 When the working portion of the floss
becomes soiled or begins to shred, move
to a fresh portion of floss.
Flossing aids
 Floss holder
 Floss threaded or super floss
 Helps to negotiate floss under archwires
Gauze or dental wash cloths
Finger brush
KNITINGYARN & GAUZE STRIP
Indications for use
 For tooth surfaces adjacent to wide proximal
spaces, dental floss is too narrow and does not
remove plaque efficiently.
 For mesial and distal abutments of fixed partial
dentures and under pontics,
 For isolated teeth, teeth separated by a diastema
and distal surfaces of most posterior teeth.
INTERDENTAL BRUSHES
 It is Small insert brushes with
reusable handle
 Soft nylon filaments are twisted
into fine stainless steel wire
FLOSS PROXA BRUSH
 Indications for use
 For open inter dental areas
 For exposed bifurcations and trifurcations
 Around implants
SINGLE-TUFT BRUSH [End-tuft, Unituft]
 Description
 The single tuft, or group of small tufts,
 3 to 6 mm in diameter and
 may be flat or tapered
 The handle may be straight or contra angled.
INTERDENTALTIP
design
 Conical or pyramidal flexible rubber
or plastic tip is attached to plastic handle.
indication
 Increasing epithelial keratinisation of
interdental tissue thus facilitating vascular
flow to the underlying connective tissue.
 Enhancing physiological contours of the
interdental region.
TOOTHPICK IN HOLDER
 A round toothpick is inserted into a plastic
handle with contra- angled ends for
adaptation to the facial, lingual or palatal
surfaces.
 Indications for use
 For plaque removal at and just under the gingival
margin,
 for interdental cleaning, particularly for concave
proximal tooth surfaces
 and for exposed furcation area.
 Orthodontic patient
BASSWOOD INTERDENTAL CLEANER
 Description
 The bass wood cleaner is a 2- inch
long, wooden device known commercially
as the Stim-U- dent interdental cleaner.
 It is triangular in cross section.
Wooden tip
Indications for use
 For cleaning proximal tooth surfaces, where
the tooth surfaces are exposed and
interdental gingiva missing.
 Space must be adequate; otherwise the
gingival tissue can be traumatized.
Oral irrigators…
 It is the targeted application of a pulsated
or steady stream of water of other irrigant.
 It cleans more effectively than tooth brush
and mouth rinse.
 Used for cleaning inaccessible areas like
periodontal pockets, around fixed
prosthesis, orthodontic appliances.
It is delivered by…
 Power driven devices:
◦ Generates intermittent or pulsating jet of fluid.
◦ Adjustable dial for regulation of pressure is
provided.
 Non power driven
◦ Attached to house hold water supply
◦ No control over water pressure
◦ And no pulsatile water jet.
Tongue scrappers
 Flat flexible plastic sticks
 Used to remove bacterial coating from
rough dorsal surface of tongue.
CHEMICAL PLAQUE CONTROL
- Antiseptics
- Antibiotics
- Enzymes
- Plaque modifying agents
- Sugar substitutes
- Plaque attachment interference agents
 Positively charged organic molecule
Quarternary ammonium compounds – cetylpyridinium chloride
Pyrimidines – Hexedine
Bis – Biguanides – Chlorhexidine, alexidine.
 Non – charged phenolic agents: Listerine (thymol, eucalyptol,
menthol and methylsalicylate), triclosan, phenol and thymol.
 Oxygenating agents: Peroxides and perborate
 Bis-pyridines: Octenidine
 Halogen: Iodine, iodophores and fluoride
 Heavy metal salts: Silver, mercury pinc, copper and tin
ANTISEPTICS
ANTIBIOTICS
Nidamycin, kanamycin sulfate, tetracycline Hcl and
Vancomycin Hcl.
ENZYMES
Mucinases, pancreatin, fungal enzymes and protease
PLAQUE MODIFYING AGENTS
Urea peroxide
SUGAR SUBSTITUTES
Xylitol, mannitol
.
PLAQUE ATTACHMENT INTERFERENCE AGENTS
Sodium polyvinylphosphonic acid, perflouroalkyl
Van der Ouderaa (1991)
 Specificity only for the pathogenic bacteria
 Substantivity, the ability to attach and be
retained by oral surface and then be
released over time without loss of potency.
 Chemical stability during storage.
 Absence of adverse reactions, such as staining
or mucosal interaction.
 Toxicological safety
 Ecological safety so as not to adversely alter
the microbiotic flora
 Ease of use
DELIVERYVEHICLE OF ANTI
PLAQUE AGENTS
 Mouthwashes
 Dentifrices
 gels,
 irrigators,
 floss,
 chewing gum,
 lozenges and
 capsules
Antiseptics..
Chlorhexidine
 It is cationic bi-sguinide with broad spectrum
antimicrobial activity.
 It is recognized as primary agent for plaque
control
 Clinical efficacy is well known to the profession.
Indications of CHX
 Martin Addy & John M Moran( 1997)
1. As adjuant ot mechanical plaque control
2. Secondary prevention following surgical
procedures
3. Patient with intermaxillary fixation.
4. For physically and mentally hadicapped
5. In medically compromised patients.
6. In high risk patients
7. . In patients suffering from minor
recurrent apthous ulcer
8.Patients undergoing fixed orthodontic
therapy.
9. In implant dentistry
10. In long standing hospital patients
11.To limit operatory comtamination
Mechanism of action
Substantivity
 Chlorhexidine binds to different surfaces of oral
cavity.
 It bind through anionic glycoproteins and
phosphoprotiens in pellicle.
 Once it binds a sustained release over time is
observed over 12 to 24 hours
Lang et al studied effectiveness of Chlorhexidine in
158 school children,
 Group A- rinsed with a 0.2% solution of
chlorhexidine digluconate (CHX) six times weekly.
 Group B – rinsed with 0.2% CHX two times weekly
 Group C – rinsed with o.1% CHX six times weekly
Group D – rinsed six times weekly with a placebo
solution
 They found use of 0.2% Chlorhexidine is
beneficial in reducing gingivitis.
 Chlorhexidine sprays: because of its ease
of administration,
◦ It is useful in disabled children.
◦ Immuno compromised patients
Disadvantages
 Staining of teeth
 Impaired taste sensation
 Increased supragingival calculus formation
 Rarely epithelial desquamation
Essential oils
LISTERINE
 Contains:
◦ Phenol related essential oils
◦ Thymol
◦ Eucolyptol
◦ Menthol
◦ Methyle salicylate.
 Effective in the concentration of 20-34%
 Mechanism of action: cell wall disruption
and inhibition of bacterial enzymes
 Disadvantages: contains highest alcohol
content.
Mc kenzie et al, (1992)
 compared the effect of CH and Listerine
in a group of mentally handicapped adults.
 They found that Listerine and CH had no
significant difference on plaque formation,
 and resulted in a similar degree of
improvement in gingival condition after
one year’s use.
TRICLOSAN
 is a non-ionic phenolic agent with
hydrophobic and hydrophilic properties,
 a broad spectrum of antimicrobial activity
and low toxicity..
Mechanism of action
 adsorb to lipids of the bacterial
membrane,
 thus affecting mechanisms of transport
 cause leakage of intra cellular
components and cell lysis
 studies with triclosan have demonstrated
only moderate effects on plaque formation (;
Cummins, 1991; Jenkins et al, 1991).
 Triclosan also has anti-inflammatory
properties which could contribute along with
its antiplaque action to its inhibitory effect on
gingivitis (Barkvoll and Rolla, 1994).
Quarternary ammonium compounds
Cetyle pyridinium chloride – o.o5%
They also bind to oral tissue but to lesser
extent.
Mechanism of action: rupture of cell wall
Disadvantages: yellow brownish
discoloration
Burning sensation
Occasional desquamation of epthelium
Herbal extracts
Sanguinarine
 Used both in mouth rinse and tooth paste
 It is an alcoholic extract from bloodroot plant
Sanguinalia Canadenses.
 It contains sanguinarine extract 0.03%
0.2% zinc chloride
 17 to 24% plaque reduction is seen.
 Adverse effect: burning sensation
Use of probiotic mouth rinse
 Harini PM,Anegundi RT
 Studied plaque inhibitory efficacy of probiotic rinses
with chlorhexidine
 In 45 children aged 6-8 yers
 Results: probiotic was effective in reducing gingivitis
compared to control.
Guidelines for home oral hygiene
Includes
 Prenatal counseling
 The infant(0-1 year)
 The toddler( 1-3 year old)
 Pre-schooler (3-6 year old)
 School aged children (6-12 year old)
 Adolescent( 12-19 year old)
Prenatal counseling
1. The best time to begin counselling parents and
establishing a child’s dental preventive program actually
starts before the birth
2. Advantages: during this period expecting parents are
more open to the preventive recommendations.
3. counselling them on their own oral hygiene and effect
they have on child as role model should be stressed.
Infants(0 to 1 year old)
 What time to
begin?
 What position?
 Frequency?
 what material to
use?
 Child first visit to dentist
◦ Should be established by 12 months of age.
◦ In case of any emergency, this visit can be
sooner.
◦ Helps the child to familiarize with dental
environment
Instructions to be given.
 Oral hygiene practices.
 Infant dental examination
 Fluoride status review
 Dietary issues
 Anticipatory guidance
 Caries risk assessment
Toddler( 1 to 3 years old)
1. introduction of the toothbrush should
be done.
2. Also, at around the age of 2 years the
use of dentifrice can begin.(“ Smear”)
3. Parent should be the primary caregiver.
4. Flossing can be done.
 Position of the child.
Preschooler( 3 to 6 year old)
 Parent should be primary caregiver
 Use of only pea sized toothpaste.
 Flossing is necessary.
 Position of the
child:
School aged children( 6 to 12 years old)
 Child begins to assume more
responsibilities for oral hygiene.
 Parents can switch to active supervision.
 Use of disclosing agent is helpful.
 Fluoridated dentifrices should be used.
 Fluoridated gels and rinses for high risk
children.
 Use of chemical plaque control agents.
 early orthodontic treatment is usually
done during this age.
Adolescent( 12 to 19 year old)
 adolescent patient usually has developed the
adequate skills.
 compliance is a major problem during this
age period.
 In addition, poor dietary habits and pubertal
hormonal changes increase the adolescent’s
risk for caries and gingival inflammation.
Griffin and Goepford (1991)
 motivating an adolescent to assume
responsibility for personal oral hygiene may
be complicated by
◦ reactions of rebellion against external authority
and
◦ some incapacity to appreciate long-term
consequences.
Therefore,
 it is important for practitioners and parent to
continually help and guide the adolescent as
they progress through this difficult stage.
 Stressing their increased responsibility as young
adults without appearing authoritarian can aid
them in accepting their new role.
CONCLUSION
 Many clinical trials have shown that plaque
removal is effective in reducing caries and
gingivitis.
 A clean tooth will not decay and the best
method of prevention of gingivitis and
periodontal disease is to maintain plaque free
tooth surfaces.
References:
1. Ralph e mc donald, david r.Avery. Dentistry for the child
and adolescent; 9th
edition., Mosby Publication 2008; 254-67
2. Carranza and newman. Clinical peridontology, 10th
edition.
Elsivier publication; 1190-2032
3. Das um, singhal p.Tooth brushing skills for the children aged
3-11 years. J indian soc pedod prevent dent 2009;2: 13-21
4. Ashley P.Toothbrushing: why, when and how? Dent Update.
2001;28:36-40.
5.Asadoorian J. CDHA Position Paper onTooth Brushing CJDH. 2006;
40(5): 232-248.
6. Kallar S, Pandit Ik. Plaque removal efficacy of powered and manual
tooth brushes under supervised and unsupervised condition:A clinical
comparative study, Jisppd 2011: 3:232-43
7. Ganesh M, Shah S, Parikh D, Choudhary P, BhaskarV.The effectiveness
of a musical toothbrush for dental plaque removal:A comparative
study; Jisspd2012:2:38-43
8. M.S. Kiche, s.A. Fayle, m.E.J. Curzon A clinical trial comparing the
effectiveness of a three-headed versus a conventional toothbrush for
oral hygiene in children. European journal of paediatric dentistry 2002;
1:32-41
9. Harris NO, Godoy FG. Primary Preventive dentistry. Ed 6.
Upper saddle river, New Jersey. 2004;93-107
10. Rao A. principles and practice of pedodontics. Ed 2. Jaypee
publications 2008: New Delhi 227-321
11. Harini PM,Anegundi RT. Efficacy of probiotic and
chlorhexidine rinses:Ashort term clinical study;
JISPPD:2010:3:179-82
12. Pinkham JR. Peediatric dentistry . Infancy through
Adolescence. Ed 4. Saunders Publications. Miisouri 2004:
313-23

plaque control in pediatric dentistry.pptx

  • 1.
  • 2.
    contents  Introduction  Mechanicalplaque control ◦ Tooth brushes ◦ Dentifrices ◦ Disclosing agents ◦ Dental floss ◦ Interdental cleaning aids ◦ Brushing techniques  Chemical plaque control  Age specific guidelines  Conclusion  References.
  • 3.
    Introduction  The naturalphysiologic forces that clean the oral cavity are inefficient in removing dental plaque.  So, removal of plaque either by means of mechanical or chemotherapeutic agent is necessary.
  • 4.
    Plaque control Mechanical • Toothbrush • Dental floss • Oral irrigators • Tongue scrapers • Gauze Chemotherapeutic • Antiseptics • Antibiotics • Enzymes • Plaque modifying agents • Sugar substitutes • Plaque attachment interferin
  • 5.
    Mechanical plaque control 3000BC•Egyptians and Arabs used small branches. 619-907AD •Chinese invent bristle tooth brush 1600AD •Europeans replace wild bore hair with horse hair 1780AD •Mass production of manual tooth brush by William Addis
  • 6.
  • 7.
    1938 •First nylonbristles introduced 1954 • 1st electric tooth brush “ Broxodont” was invented in Switzerland
  • 8.
  • 9.
    Lateral profile ofthe brush  Convex  Concave  Flat  Multileveled( scalloped or rippled)
  • 10.
    bristles  Artificial filamentsmade up of nylon are used.  Advantages of nylon:
  • 11.
  • 12.
  • 13.
  • 14.
  • 15.
    ADA specifications  Length: 1 to 1.25 inches  Width: 5/16 to 3/8 inch  Surface area: 2.54 to 3.2 cm2  No. of rows- 2 to 4 rows of bristles  No. of tufts- 5 to 12 per row  No. of bristles: 80 to 85 per tuft
  • 16.
    Diameter for bristles: soft - 0.007 inch  Medium-0.12 inch  hard -0.014 inch
  • 17.
    Bass’s recommendation  Straighthandle  Nylon bristles 0.007 inch( 0.2 mm) in diameter  0.0406 inch (10.43 mm) long, with rounded ends  Average 3 rows of tufts  Evenly spaced tufts per row  80 to 86 bristles per tuft
  • 18.
    For children,  Brushis smaller  Thinner ( 0.005 inch or 0.1 mm) bristle  And shorter ( 0.344 inch or 8.7 mm) bristle  Smaller head with thicker handle.
  • 19.
    Powered tooth brush First introduced in 1954  Recommended for individual lacking motor skill  Handicapped patients  Patients with orthodontic appliances  Whosoever wants to use
  • 20.
     Motions inpowered brush ◦ Back & forth- reciprocal motion ◦ Arcuate, up & down motion ◦ Elliptical, combination
  • 22.
    Characteristic Manual Powered Brushingduration 20-40 sec 1-3 min Teeth brushed at a time multiple One/ multiple Brush head motion Cross & multiple minimal Brush head speed Zero 1000s/min Brush head strokes 40-100/min 10-40/min Brush head load 150-1000 grams 50-250 grams
  • 23.
    Sonicare ( Philipsoral health care) and Braun Oral B Kids( OralB)  They use sonic technology using acoustic energy.  Has electromagnetic device that runs the bristles.  261 Hz or 31,320 Hz brush strokes per minute.
  • 24.
    Classification of toothbrushing technique Based on the pattern of motion when brushing Roll : Rolling stroke Modified Stillman Vibratory : Stillman Bass, Charters Circular : Fones Vertical : Leonard Horizontal : Scrub
  • 25.
    Techniques of toothbrushing Method Bristle placement Motion Advantages SCRUB Horizontal on Gingival margin Scrub in anterior- posterior direction keeping brush horizontal Easy to learn
  • 26.
    Method Bristle placement Motion Advantages BASSApical towards gingival sulcus, 45˚ to tooth surface Short back & forth vibratory motion while bristles remain in the sulcus •Removes plaque from gingival sulcus •Good gingival stimulation
  • 27.
    Method Bristle placement Motion Advantages/ Disadvantages CHARTRSCoronally, 45˚ sides of the bristles half on teeth half on gingiva Vibrated gently back & forth a millimeter with apical movements towards gingival margin •Hard to learn •Clears interproximmaly •Gingival stimulation
  • 28.
    Method Bristle placement Motion Advantages FONESPerpendicular to tooth Teeth in occlusion, move brush in rotary motion in both arches & gingival margin. •Easy to learn •Interproximal area not cleaned •May cause trauma
  • 29.
    Method Bristle placement Motion Advantages ROLLApically parallel to the tooth , then over tooth surface Rolling of head over both arches in rotary motion over both arches and gingival margin •Easy to learn •Good gingival stimulation
  • 30.
    Method Bristle placement Motion Advantages STILLMAN’SApically at an oblique angle to long axis of the tooth ending on gingiva & sulcus Slight rotary motion with bristle end stationary •Excellent gingival stimulation •Moderate dexterity required •Moderate interproximal cleaning
  • 31.
    Method Bristle placement Motion Advantages MODIFIED STILLMAN’S Pointingapically at angle of 45˚to the tooth Apical pressure also vibrate brush and move occlusally Good gingival stimulation Cleans interproximal area
  • 32.
    Systematic approach totooth brushing
  • 34.
    Rugg-Gunn & Macgrgor Studied uninstructed videotaped tooth brushing behavior of 3 age group  5 years  11 years  18 -22 years
  • 35.
    Conclusions were….  Areabrushed ◦ 25% by 5 year old ◦ 50% by 11 year old ◦ 67% by 18-22 year old  more time spent in brushing lower than upper teeth  Contra lateral side was brushed more in children
  • 36.
     Less than10% time was spent in brushing lingual areas  Most commonly used stroke: ◦ horizontal stroke in children ◦ Vertical stroke in adults
  • 37.
    Das UM, SinghalP( 2009)  Tooth brushing skills for the children aged 3- 11 years  Group I: 3–5 years  Group II: 6–8 years  Group III: 9-11 years
  • 39.
     The meanbrushing time  for 3- to 5-year age group- 45 seconds  For 6- to 8:years age : 48 seconds  For 9- to 11 years age : 87 seconds  Total mean brushing time was of 60.29 seconds
  • 40.
    Duration of brushing Study by Hodges& colleges, 84 children(5- 15year old) were studied  For brushing duration of 30, 60, 120, 180 seconds.  Result: 1 min provided greatest plaque removal.
  • 41.
     Ashley P.(2001) Recommends 3 minutes duration for brushing.
  • 42.
    Frequency of brushing Jenkins suggested tooth brushing before meal is optimal.  Saliva natural buffer against acids
  • 43.
    Kallar S, PanditIk( 2011)  Compared manual verses powered tooth brush under supervised and unsupervised condition in 200 children.  Results:  Powered supervised> power unsupervised>manual supervised> manual unsupervised
  • 44.
    Ganesh M, ShahS(2012)  Compared effectiveness of a musical toothbrush for dental plaque removal
  • 45.
     Result: Musicaltooth brush is more  effective initially but as the time period increases both tooth brushes give almost similar results.
  • 46.
    Three headed toothbrush Kiche MS( 2002)  Compared three-headed versus a conventional toothbrush  Result: No significant difference was found
  • 47.
    Modification of toothbrush for disabled child
  • 51.
    Dentrifrices  It isused along with tooth brush to remove plaque.  Used both for preventive and therapeutic purpose.
  • 52.
    composition Component % addeduse example Detergent 1.2% •To lower the surface tension •Emulsifies debris for easy removal by tooth brush •Contributes to foaming action Sodium Lauryl Sulfate
  • 53.
    Component % addeduse example Abrasive 20-40% Cleaning & polishing Calcium carbonate, calcium pyrophosphat e, bicalcium phoshate
  • 54.
    Component % addeduse example Binders 1-2% To prevent separation of solid & liquid components . Contributes to stability Magnesium aluminium silicate, Colloidal silica
  • 55.
    Component % addeduse example Humectant 20-40% Added to retain moisure Prevents hardening Glycerine, Sorbitol Preservative 1% To prevent microbial growth Prolong shelf life Alcohols, formaldehyde, dichlorinated phinols
  • 56.
    Component % addeduse example Flavoring Agent 1-15% To make dentrifrice desirable Peppermint, cinnamon, menthol Therapeutic agent For anticaries activity Fluoride Coloring agent 2-3% Added for attractiveness
  • 57.
    Therapeutic dentrifrices  Toothpaste is used as delivery system for certain agents.  E.g. anticaries activity by Sodium fluoride(NaF) 0.22%( 1100ppm),  Sodium monofluorophosphate( Na2PO4F2) 0.76% at level of 1,000ppm Stannous fluoride(SnF2) 0.4% at level of 1,000 ppm.
  • 58.
    Fluoride content inkids tooth paste Name content Fluoride conce. Cheeriogel Sodium monofluoro phoshate- 0.35% w/w 458 ppm Bubble Sodium monofluoro phoshate- 0.35% w/w Xylitol 500 ppm kidodent Sodium monofluoro phoshate- 0.38% w/w Xylitol 500 ppm
  • 59.
    Disclosing agent It isa preparation that is used to identify bacterial plaque deposits. Uses:  Patient education  Self assessment by patient  Evaluation of effectiveness of plaque control programs  Assessment of clinician  Recording of plaque indices  In research
  • 60.
    Name Preparation Skinner SolutionDiluted tincture of iodine-21 ml Water- 15ml Iodine preparation Iodine ccrystals-3.3mg Potassium iodide-1g Glycerine 16ml Mercurochrome preparation Mercurochrome 1.5mg Water 30ml Oil of peppermint
  • 61.
    Name Preparation Easlick’s disclosingsolution Bismark brown 3 g Ethyle alcohol 10 ml Glycerine 120 ml Erythrosine FD & C Red No.3 : 15mg Soodium Chloride Calciul stearate Soluble saccharine white oil Flavouring agent
  • 62.
    Name Preparation Two toneDye ( Block et al) FD & C Green No.3 FD & C Red No.3
  • 63.
    Name Preparation Plak Lightsystem Sodium Fluorosciene Glycerine FD & C yellw No.8
  • 64.
    GCTri Plaque IDGel™  Contains sucrose and pigments (blue and red).
  • 68.
    DENTAL FLOSS  LeviSpear Parmly (1790 – 1859),“the father” of oral hygiene and the inventor of dental floss  In 1882 Codman & Shurtuff made first commercial floss made up of silk.  Later in 1948, Bass recommended that nylon floss is superior to silk
  • 69.
    Types of floss Twisted & non twisted  Banded and non banded  Thin, tape, and meshwork  Microfilament and multifilament  Flavored and unflavored  medicated
  • 70.
    Material used….  Usuallymade up of Nylon  But, can also be made with Teflon material( Glide, W L Gore & associates)  Advantages: ◦ less coefficient of friction than nylon ◦ So, easy to pass through contacts ◦ Does not shred
  • 71.
    According to ADAspecification  Type 1- un-bonded dental floss composed of yarn having no additives  Type II-bonded dental floss composed of yarn having no additives other than binding agent or agent for cosmetic performance  Type III-bonded or un-bonded having drug for therapeutic usage
  • 72.
    Technique  Start with12 to 18 inches piece of floss.  Spool Method  Loop Method
  • 73.
     Pass itgently through each contact area with a firm back-and-forth motion.
  • 74.
     Once thefloss is apical to the contact area between the teeth,  wrap the floss around the proximal surface of one tooth.
  • 75.
     Move thefloss firmly along the tooth up to the contact area and gently down into the sulcus again,  repeating this up-and-down stroke several times.
  • 76.
     Continue throughthe whole dentition, including the distal surface of the last tooth in each quadrant.  When the working portion of the floss becomes soiled or begins to shred, move to a fresh portion of floss.
  • 77.
  • 78.
     Floss threadedor super floss  Helps to negotiate floss under archwires
  • 79.
    Gauze or dentalwash cloths
  • 80.
  • 81.
    KNITINGYARN & GAUZESTRIP Indications for use  For tooth surfaces adjacent to wide proximal spaces, dental floss is too narrow and does not remove plaque efficiently.  For mesial and distal abutments of fixed partial dentures and under pontics,  For isolated teeth, teeth separated by a diastema and distal surfaces of most posterior teeth.
  • 82.
    INTERDENTAL BRUSHES  Itis Small insert brushes with reusable handle  Soft nylon filaments are twisted into fine stainless steel wire
  • 83.
  • 84.
     Indications foruse  For open inter dental areas  For exposed bifurcations and trifurcations  Around implants
  • 85.
    SINGLE-TUFT BRUSH [End-tuft,Unituft]  Description  The single tuft, or group of small tufts,  3 to 6 mm in diameter and  may be flat or tapered  The handle may be straight or contra angled.
  • 87.
    INTERDENTALTIP design  Conical orpyramidal flexible rubber or plastic tip is attached to plastic handle.
  • 88.
    indication  Increasing epithelialkeratinisation of interdental tissue thus facilitating vascular flow to the underlying connective tissue.  Enhancing physiological contours of the interdental region.
  • 89.
    TOOTHPICK IN HOLDER A round toothpick is inserted into a plastic handle with contra- angled ends for adaptation to the facial, lingual or palatal surfaces.
  • 90.
     Indications foruse  For plaque removal at and just under the gingival margin,  for interdental cleaning, particularly for concave proximal tooth surfaces  and for exposed furcation area.  Orthodontic patient
  • 91.
    BASSWOOD INTERDENTAL CLEANER Description  The bass wood cleaner is a 2- inch long, wooden device known commercially as the Stim-U- dent interdental cleaner.  It is triangular in cross section.
  • 92.
  • 93.
    Indications for use For cleaning proximal tooth surfaces, where the tooth surfaces are exposed and interdental gingiva missing.  Space must be adequate; otherwise the gingival tissue can be traumatized.
  • 94.
    Oral irrigators…  Itis the targeted application of a pulsated or steady stream of water of other irrigant.  It cleans more effectively than tooth brush and mouth rinse.  Used for cleaning inaccessible areas like periodontal pockets, around fixed prosthesis, orthodontic appliances.
  • 95.
    It is deliveredby…  Power driven devices: ◦ Generates intermittent or pulsating jet of fluid. ◦ Adjustable dial for regulation of pressure is provided.  Non power driven ◦ Attached to house hold water supply ◦ No control over water pressure ◦ And no pulsatile water jet.
  • 97.
    Tongue scrappers  Flatflexible plastic sticks  Used to remove bacterial coating from rough dorsal surface of tongue.
  • 98.
    CHEMICAL PLAQUE CONTROL -Antiseptics - Antibiotics - Enzymes - Plaque modifying agents - Sugar substitutes - Plaque attachment interference agents
  • 99.
     Positively chargedorganic molecule Quarternary ammonium compounds – cetylpyridinium chloride Pyrimidines – Hexedine Bis – Biguanides – Chlorhexidine, alexidine.  Non – charged phenolic agents: Listerine (thymol, eucalyptol, menthol and methylsalicylate), triclosan, phenol and thymol.  Oxygenating agents: Peroxides and perborate  Bis-pyridines: Octenidine  Halogen: Iodine, iodophores and fluoride  Heavy metal salts: Silver, mercury pinc, copper and tin ANTISEPTICS
  • 100.
    ANTIBIOTICS Nidamycin, kanamycin sulfate,tetracycline Hcl and Vancomycin Hcl. ENZYMES Mucinases, pancreatin, fungal enzymes and protease PLAQUE MODIFYING AGENTS Urea peroxide SUGAR SUBSTITUTES Xylitol, mannitol . PLAQUE ATTACHMENT INTERFERENCE AGENTS Sodium polyvinylphosphonic acid, perflouroalkyl
  • 101.
    Van der Ouderaa(1991)  Specificity only for the pathogenic bacteria  Substantivity, the ability to attach and be retained by oral surface and then be released over time without loss of potency.  Chemical stability during storage.
  • 102.
     Absence ofadverse reactions, such as staining or mucosal interaction.  Toxicological safety  Ecological safety so as not to adversely alter the microbiotic flora  Ease of use
  • 103.
    DELIVERYVEHICLE OF ANTI PLAQUEAGENTS  Mouthwashes  Dentifrices  gels,  irrigators,  floss,  chewing gum,  lozenges and  capsules
  • 104.
    Antiseptics.. Chlorhexidine  It iscationic bi-sguinide with broad spectrum antimicrobial activity.  It is recognized as primary agent for plaque control  Clinical efficacy is well known to the profession.
  • 105.
    Indications of CHX Martin Addy & John M Moran( 1997) 1. As adjuant ot mechanical plaque control 2. Secondary prevention following surgical procedures 3. Patient with intermaxillary fixation. 4. For physically and mentally hadicapped
  • 106.
    5. In medicallycompromised patients. 6. In high risk patients 7. . In patients suffering from minor recurrent apthous ulcer 8.Patients undergoing fixed orthodontic therapy.
  • 107.
    9. In implantdentistry 10. In long standing hospital patients 11.To limit operatory comtamination
  • 108.
  • 109.
    Substantivity  Chlorhexidine bindsto different surfaces of oral cavity.  It bind through anionic glycoproteins and phosphoprotiens in pellicle.  Once it binds a sustained release over time is observed over 12 to 24 hours
  • 110.
    Lang et alstudied effectiveness of Chlorhexidine in 158 school children,  Group A- rinsed with a 0.2% solution of chlorhexidine digluconate (CHX) six times weekly.  Group B – rinsed with 0.2% CHX two times weekly  Group C – rinsed with o.1% CHX six times weekly Group D – rinsed six times weekly with a placebo solution
  • 111.
     They founduse of 0.2% Chlorhexidine is beneficial in reducing gingivitis.
  • 112.
     Chlorhexidine sprays:because of its ease of administration, ◦ It is useful in disabled children. ◦ Immuno compromised patients
  • 113.
    Disadvantages  Staining ofteeth  Impaired taste sensation  Increased supragingival calculus formation  Rarely epithelial desquamation
  • 114.
    Essential oils LISTERINE  Contains: ◦Phenol related essential oils ◦ Thymol ◦ Eucolyptol ◦ Menthol ◦ Methyle salicylate.
  • 115.
     Effective inthe concentration of 20-34%  Mechanism of action: cell wall disruption and inhibition of bacterial enzymes  Disadvantages: contains highest alcohol content.
  • 116.
    Mc kenzie etal, (1992)  compared the effect of CH and Listerine in a group of mentally handicapped adults.  They found that Listerine and CH had no significant difference on plaque formation,  and resulted in a similar degree of improvement in gingival condition after one year’s use.
  • 117.
    TRICLOSAN  is anon-ionic phenolic agent with hydrophobic and hydrophilic properties,  a broad spectrum of antimicrobial activity and low toxicity..
  • 118.
    Mechanism of action adsorb to lipids of the bacterial membrane,  thus affecting mechanisms of transport  cause leakage of intra cellular components and cell lysis
  • 119.
     studies withtriclosan have demonstrated only moderate effects on plaque formation (; Cummins, 1991; Jenkins et al, 1991).  Triclosan also has anti-inflammatory properties which could contribute along with its antiplaque action to its inhibitory effect on gingivitis (Barkvoll and Rolla, 1994).
  • 120.
    Quarternary ammonium compounds Cetylepyridinium chloride – o.o5% They also bind to oral tissue but to lesser extent. Mechanism of action: rupture of cell wall Disadvantages: yellow brownish discoloration Burning sensation Occasional desquamation of epthelium
  • 121.
    Herbal extracts Sanguinarine  Usedboth in mouth rinse and tooth paste  It is an alcoholic extract from bloodroot plant Sanguinalia Canadenses.  It contains sanguinarine extract 0.03% 0.2% zinc chloride  17 to 24% plaque reduction is seen.  Adverse effect: burning sensation
  • 122.
    Use of probioticmouth rinse  Harini PM,Anegundi RT  Studied plaque inhibitory efficacy of probiotic rinses with chlorhexidine  In 45 children aged 6-8 yers  Results: probiotic was effective in reducing gingivitis compared to control.
  • 123.
    Guidelines for homeoral hygiene Includes  Prenatal counseling  The infant(0-1 year)  The toddler( 1-3 year old)  Pre-schooler (3-6 year old)  School aged children (6-12 year old)  Adolescent( 12-19 year old)
  • 124.
    Prenatal counseling 1. Thebest time to begin counselling parents and establishing a child’s dental preventive program actually starts before the birth 2. Advantages: during this period expecting parents are more open to the preventive recommendations. 3. counselling them on their own oral hygiene and effect they have on child as role model should be stressed.
  • 125.
    Infants(0 to 1year old)  What time to begin?  What position?  Frequency?  what material to use?
  • 126.
     Child firstvisit to dentist ◦ Should be established by 12 months of age. ◦ In case of any emergency, this visit can be sooner. ◦ Helps the child to familiarize with dental environment
  • 127.
    Instructions to begiven.  Oral hygiene practices.  Infant dental examination  Fluoride status review  Dietary issues  Anticipatory guidance  Caries risk assessment
  • 128.
    Toddler( 1 to3 years old) 1. introduction of the toothbrush should be done. 2. Also, at around the age of 2 years the use of dentifrice can begin.(“ Smear”) 3. Parent should be the primary caregiver. 4. Flossing can be done.
  • 129.
     Position ofthe child.
  • 132.
    Preschooler( 3 to6 year old)  Parent should be primary caregiver  Use of only pea sized toothpaste.  Flossing is necessary.
  • 133.
     Position ofthe child:
  • 134.
    School aged children(6 to 12 years old)  Child begins to assume more responsibilities for oral hygiene.  Parents can switch to active supervision.
  • 135.
     Use ofdisclosing agent is helpful.  Fluoridated dentifrices should be used.  Fluoridated gels and rinses for high risk children.  Use of chemical plaque control agents.  early orthodontic treatment is usually done during this age.
  • 136.
    Adolescent( 12 to19 year old)  adolescent patient usually has developed the adequate skills.  compliance is a major problem during this age period.  In addition, poor dietary habits and pubertal hormonal changes increase the adolescent’s risk for caries and gingival inflammation.
  • 137.
    Griffin and Goepford(1991)  motivating an adolescent to assume responsibility for personal oral hygiene may be complicated by ◦ reactions of rebellion against external authority and ◦ some incapacity to appreciate long-term consequences.
  • 138.
    Therefore,  it isimportant for practitioners and parent to continually help and guide the adolescent as they progress through this difficult stage.  Stressing their increased responsibility as young adults without appearing authoritarian can aid them in accepting their new role.
  • 139.
    CONCLUSION  Many clinicaltrials have shown that plaque removal is effective in reducing caries and gingivitis.  A clean tooth will not decay and the best method of prevention of gingivitis and periodontal disease is to maintain plaque free tooth surfaces.
  • 140.
    References: 1. Ralph emc donald, david r.Avery. Dentistry for the child and adolescent; 9th edition., Mosby Publication 2008; 254-67 2. Carranza and newman. Clinical peridontology, 10th edition. Elsivier publication; 1190-2032 3. Das um, singhal p.Tooth brushing skills for the children aged 3-11 years. J indian soc pedod prevent dent 2009;2: 13-21 4. Ashley P.Toothbrushing: why, when and how? Dent Update. 2001;28:36-40.
  • 141.
    5.Asadoorian J. CDHAPosition Paper onTooth Brushing CJDH. 2006; 40(5): 232-248. 6. Kallar S, Pandit Ik. Plaque removal efficacy of powered and manual tooth brushes under supervised and unsupervised condition:A clinical comparative study, Jisppd 2011: 3:232-43 7. Ganesh M, Shah S, Parikh D, Choudhary P, BhaskarV.The effectiveness of a musical toothbrush for dental plaque removal:A comparative study; Jisspd2012:2:38-43 8. M.S. Kiche, s.A. Fayle, m.E.J. Curzon A clinical trial comparing the effectiveness of a three-headed versus a conventional toothbrush for oral hygiene in children. European journal of paediatric dentistry 2002; 1:32-41
  • 142.
    9. Harris NO,Godoy FG. Primary Preventive dentistry. Ed 6. Upper saddle river, New Jersey. 2004;93-107 10. Rao A. principles and practice of pedodontics. Ed 2. Jaypee publications 2008: New Delhi 227-321 11. Harini PM,Anegundi RT. Efficacy of probiotic and chlorhexidine rinses:Ashort term clinical study; JISPPD:2010:3:179-82 12. Pinkham JR. Peediatric dentistry . Infancy through Adolescence. Ed 4. Saunders Publications. Miisouri 2004: 313-23

Editor's Notes

  • #5 Arabs-arak tree roots called siwak Chnese are credited for inventing tooth brush with handle during tang Dynasty.
  • #7 Also bone handle was replaced with celluloid material Swedish clockmaker Frederick Wilhelm Tornberg
  • #9 Head, shank and Handle; head- toe at extreme end and heal towards handle.
  • #10 Convex for lingual surface Concave for facial suface Multilevel better than others
  • #12 Originally bristles were cut bluntly- were sharp In 1948- Bass recommended tapered rounded bristles
  • #20 Hawthorn effect
  • #23 Hawthorn effect- Kerlinger
  • #40 Most preferred grip type was distal (64 %), followed by power (42%) and oblique grips (33%). T Spoon grip was uncommon (2.2%)
  • #43 The optimal force has been found to be between 300 to 400 g.
  • #46 30 60 days significant, 90 days not significant.
  • #49 Tongue blade- mouth prop, couches
  • #64 Thick plaque blue
  • #128 Dental home and anticipatory guidance definition
  • #137 Fei and colleges..Hawthorn effect