PLANIFICACION 
PREOPERATORIA DE CADERA 
Dr. Adolfo Zapién Soto R4 ORTOPEDIA 
Hospital General Dr. Rubén Leñero
PPLLAANNIIFFIICCAACCIIOONN PPRREEOOPPEERRAATTOORRIIAA 
 CCoonnssiissttee eenn rreeccoonnoocceerr ccoonn aannttiicciippaacciióónn llaass 
ccoonnttiinnggeenncciiaass qquuee ppuueeddeenn pprreesseennttaarrssee dduurraannttee eell 
pprroocceeddiimmiieennttoo qquuiirrúúrrggiiccoo,, ccoonn eell oobbjjeettoo ddee 
pprreevveenniirrllaass yy eevviittaarrllaass..
CCoonnssttiittuuyyeenntteess ddee llaa ppllaanniiffiiccaacciióónn 
 PPllaanniiffiiccaacciióónn mmeeddiiccaa 
 PPllaanniiffiiccaacciióónn ggeeoommééttrriiccaa 
 PPllaanniiffiiccaacciióónn ddee llaa ttééccnniiccaa qquuiirrúúrrggiiccaa 
 PPllaanniiffiiccaacciióónn tteeccnnoollóóggiiccaa
PPllaanniiffiiccaacciióónn mmeeddiiccaa 
TToommaa eenn ccoonnssiiddeerraacciióónn ttooddooss llooss ffaaccttoorreess qquuee 
aaffeeccttaann eell eessttaaddoo ddeell ppaacciieennttee 
 RRiieessggoo qquuiirrúúrrggiiccoo 
 HHaabbiilliiddaadd ddeell cciirruujjaannoo 
 CCaalliiddaadd ddee llaass iinnssttaallaacciioonneess yy rreeccuurrssooss ddiissppoonniibblleess
PPllaanniiffiiccaacciióónn mmeeddiiccaa 
 EEddaadd ddeell ppaacciieennttee 
 HHoommbbrreess >>6655 aaññooss == cceemmeennttaaddaa 
 MMuujjeerreess >>5500 aaññooss == cceemmeennttaaddaa 
 ÍÍnnddiiccee ddee ssiinngghh 
 44 oo mmaass == nnoo cceemmeennttaaddaa 
 33 oo mmeennooss == cceemmeennttaaddaa 
 ÍÍnnddiiccee ccoorrttiiccooddiiaaffiissaarriioo 
 MMaayyoorr ddee 00..4400 == nnoo cceemmeennttaaddaa 
 MMeennoorr ddee 00..3399== cceemmeennttaaddaa
CCeemmeennttaaddaa oo nnoo cceemmeennttaaddaa 
 DDeennssiittoommeettrrííaa óósseeaa 
 MMaass ddee 22..55 ddeessvviiaacciioonneess eessttáánnddaarr == cceemmeennttaaddaa 
 ZZoonnaass ddee GGrruueenn 
 55 oo mmeennooss ppuunnttooss == cceemmeennttaaddaa 
 EEnnffeerrmmeeddaaddeess ccoonnccoommiittaanntteess 
oo uussoo ddee ffáárrmmaaccooss
PPllaanniiffiiccaacciióónn ggeeoommééttrriiccaa 
 EEll oobbjjeettiivvoo eess llooggrraarr llaa mmaayyoorr lloonnggeevviiddaadd ppoossiibbllee 
ddee llaa pprróótteessiiss 
 EEssttaabbiilliiddaadd pprriimmaarriiaa 
 CCoorrrreeccttaa ccoonncciilliiaacciióónn eennttrree pprróótteessiiss yy hhuueessoo 
 EEssttaabbiilliiddaadd sseeccuunnddaarriiaa 
 AAttrriibbuuttooss aannaattóómmiiccooss 
 AAttrriibbuuttooss ggeeoommééttrriiccooss
PPllaanniiffiiccaacciióónn ggeeoommééttrriiccaa 
AAttrriibbuuttooss aannaattóómmiiccooss 
 AAPP 
 PPoossiicciióónn eessppaacciiaall ddeell cceennttrroo ddee rroottaacciióónn ddee 
ccaaddeerraa 
 PPoossiicciióónn ddeell cceennttrroo ddee llaa ccaabbeezzaa ccoonn 
rreessppeeccttoo aa llaa ppuunnttaa ddeell ttrrooccáánntteerr mmaayyoorr 
((VVoossss)) 
 BBrraazzoo ddee ppaallaannccaa llaarrggoo ddee llaa bbaallaannzzaa ddee 
PPaauuwweellss 
 BBrraazzoo ddee ppaallaannccaa ccoorrttoo ddee llaa bbaallaannzzaa ddee 
PPaauuwweellss 
 GGrraaddoo ddee iinncclliinnaacciióónn ddeell ccuueelllloo ffeemmoorraall 
 LLoonnggiittuudd ddee eexxttrreemmiiddaaddeess 
 LLaatteerraall 
 AAnntteevveerrssiioonn ddeell ccuueelllloo 
ffeemmoorraall 
 NNiivveell ddeell ááppeexx ddee llaa 
ccuurrvvaattuurraa eennddoossttiiccaa 
vveennttrraall 
 AAmmpplliittuudd ddeell ccaannaall 
mmeedduullaarr
PPllaanniiffiiccaacciióónn ggeeoommééttrriiccaa 
AAttrriibbuuttooss ggeeoommééttrriiccooss 
 FFoorrmmaa ggeeoommééttrriiccaa bbáássiiccaa 
 CCaarraacctteerrííssttiiccaass ddeell rraaddiioo ddee ccuurrvvaattuurraa 
mmeettaaffiissaarriiaa mmeeddiiaall 
 PPoossiicciióónn ddee ssuuss cceennttrrooss ddee rroottaacciióónn 
 DDiissttaanncciiaa eennttrree eell cceennttrroo ddee rroottaacciióónn yy 
eell eejjee lloonnggiittuuddiinnaall ddeell iimmppllaannttee ((ooffffsseett)) 
 LLoonnggiittuudd ddee llaa pprróótteessiiss
PPllaanniiffiiccaacciióónn ggeeoommééttrriiccaa 
 CCoonncciilliiaa llooss aattrriibbuuttooss ggeeoommééttrriiccooss yy aannaattóómmiiccooss 
 SSeelleecccciióónn ggeeoommééttrriiccaa ddee llooss iimmppllaanntteess 
 RReeccoonnoocciimmiieennttoo ddee llaa ffoorrmmaa bbáássiiccaa ddeell fféémmuurr 
 PPrreevveenncciióónn ddee ddiissccrreeppaanncciiaa ddee eexxttrreemmiiddaaddeess 
 IIddeennttiiffiiccaacciióónn ddee ffoorrmmaa yy ppoossiicciióónn ddeell aacceettáábbuulloo 
 CCaarraacctteerrííssttiiccaass 
 AAnngguulloo cceerrvviiccooddiiaaffiissaarriioo 
 OOffffsseett 
 RRaaddiioo ddee ccuurrvvaattuurraa mmeeddiiaall 
 FFoorrmmaa ggeeoommééttrriiccaa qquuee ccooiinncciiddaa mmaass ccoonn eell fféémmuurr
BBaallaannzzaa ddee ppaauuwweellss 
 EEss eell eeqquuiilliibbrriioo eennttrree eell cceennttrroo ddee ggrraavveeddaadd ddeell 
ccuueerrppoo eenn aappooyyoo mmoonnooppooddaalliiccoo yy llaa ffuueerrzzaa ddee llooss 
mmúússccuullooss aabbdduuccttoorreess ddee llaa ccaaddeerraa 
 AA mmaayyoorr áánngguulloo mmeennoorr ffuueerrzzaa rreessuullttaannttee yy vviicceevveerrssaa
DDiissttaanncciiaa ddee VVoossss 
 EEss eell ddeessppllaazzaammiieennttoo ddiissttaall oo 
pprrooxxiimmaall ddeell fféémmuurr 
 AAuummeennttaa oo ddiissmmiinnuuyyee llaa pprreessiióónn 
aarrttiiccuullaarr
EESSTTAABBIILLIILLDDAADD AACCEETTAABBUULLAARR 
 LLaa iinncclliinnaacciióónn aacceettaabbuullaarr eessttaabblleeccee llaa ccoonntteenncciióónn 
oo eexxppuullssiióónn ddee llaa ccaabbeezzaa ffeemmoorraall 
 AA nniivveell ddeell aacceettáábbuulloo ssee eejjeerrcceenn vvaarriiaass ffuueerrzzaass 
vveeccttoorriiaalleess qquuee ssee ddiirriiggeenn aall cceennttrroo ddee llaa ccaabbeezzaa 
ffeemmoorraall 
 FFuueerrzzaa oobblliiccuuaa 
 FFuueerrzzaa vveerrttiiccaall 
 FFuueerrzzaa hhoorriizzoonnttaall
EESSTTAABBIILLIILLDDAADD AACCEETTAABBUULLAARR 
 SSoobbrree eell aacceettáábbuulloo ssee eejjeerrcceenn 44 
ffuueerrzzaass pprriinncciippaalleess 
 FFuueerrzzaa ccooaappttaannttee 
 FFuueerrzzaa ccoonnttrraarreessuullttaannttee ddeell vveeccttoorr 
ddee ccaarrggaa 
 FFuueerrzzaa ddee llaa mmuussccuullaattuurraa aabbdduuccttoorraa 
 FFuueerrzzaa cciizzaallllaannttee
EESSTTAABBIILLIIDDAADD AACCEETTAABBUULLAARR 
 LLaa ppoossiicciióónn qquuee eeqquuiilliibbrraa mmeejjoorr aannaattoommííaa,, 
ddiisseeññoo,, ttééccnniiccaa yy bbiioommeeccáánniiccaa eess aa 4400°° ddee 
iinncclliinnaacciióónn aacceettaabbuullaarr
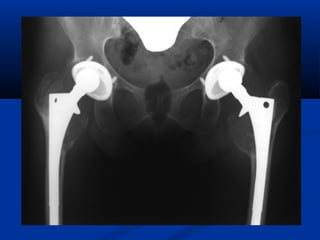
RRAADDIIOOGGRRAAFFIIAASS 
 AAPP ddee ppeellvviiss ccoonn ccaaddeerraass ccoonn rroottaacciióónn 
iinntteerrnnaa 155°° 
 RRaaddiiooggrraaffííaa llaatteerraall ddee ffaallssoo ppeerrffiill 
 PPeerrmmiittee vvaalloorraarr ppoossiicciióónn,, ttaammaaññoo yy ttiippoo 
ddee aacceettáábbuulloo 
 PPeerrmmiittee vviissuuaalliizzaarr llaa ccuurrvvaattuurraa ddeell fféémmuurr 
 SSeelleecccciióónn lloonnggiittuudd ddeell iimmppllaannttee 
 AAmmpplliittuudd ddeell ttúúnneell mmeedduullaarr
ppllaannttiillllaass 
 LLaa ccoonncciilliiaacciióónn ddee llaa ppllaannttiillllaa ccoonn eell hhuueessoo 
ddeebbee ddee tteenneerr:: 
 FFoorrmmaa ggeeoommééttrriiccaa ddeell iimmppllaannttee lloo mmaass cceerrccaannaa aall 
hhuueessoo 
 RRaaddiioo ddee ccuurrvvaattuurraa mmeeddiiaall iigguuaall eennttrree iimmppllaannttee yy 
hhuueessoo 
 CCeennttrroo ddee rroottaacciióónn lloo mmaass cceerrccaannoo aall cceennttrroo ddee llaa 
ccaabbeezzaa ffeemmoorraall ((66mmmm))
AAcceettáábbuulloo:: TTaammaaññoo ee iinncclliinnaacciióónn 
AAPP DDEE PPEELLVVIISS 
 BBoorrddee aacceettaabbuullaarr ssuuppeerroo eexxtteerrnnoo 
 GGoottaa ddee llaaggrriimmaa 
 CCeennttrroo ddee rroottaacciióónn ddee llaa ccaabbeezzaa ffeemmoorraall 
 LLíínneeaa ttaannggeennttee aa llaass ttuubbeerroossiiddaaddeess iissqquuiiááttiiccaass 
 LLíínneeaa aa 4400°° ddeell bboorrddee ssuuppeerroo eexxtteerrnnoo ddeell aacceettáábbuulloo
d Centro dee rroottaacciióónn ccaabbeezzaa ffeemmoorraall 
MMeeddiiaannttee 
 CCíírrccuullooss ccoonnccéénnttrriiccooss mmoossee 
 ttrriiaanngguullaacciióónn
AAcceettáábbuulloo:: TTaammaaññoo ee iinncclliinnaacciióónn 
 SSee ccoollooccaa llaa ppllaannttiillllaa ddee uunn 
aacceettáábbuulloo qquuee tteennggaa eell 
ttaammaaññoo ccoorrrreessppoonnddiieennttee aall 
aacceettáábbuulloo ddeell ppaacciieennttee 
 MMeeddiiaallmmeennttee aa nniivveell ddeell 
bboorrddee eexxtteerrnnoo ddee llaa ggoottaa ee 
iinnffeerriioorrmmeennttee eenn eell ffoonnddoo 
ddee llaa ggoottaa
TTAAMMAAÑÑOO DDEE LLAA PPRROOTTEESSIISS 
 LLooccaalliizzaarr cceennttrroo ddee 
rroottaacciióónn ddee llaa ccaabbeezzaa 
ffeemmoorraall 
 CCoollooccaarr llaa ppllaannttiillllaa ddee llaa 
pprróótteessiiss yy sseelleecccciioonnaarr eell 
ttaammaaññoo qquuee ssee aajjuussttee 
mmeejjoorr 
 MMiiddiieennddoo llaa ppoorrcciióónn mmaass 
aannggoossttaa ddeell ccaannaall mmeedduullaarr
ZZoonnaass ddee GGrruueenn 
 SSiirrvveenn ppaarraa vvaalloorraarr llooss ppuunnttooss ddee aappooyyoo ddee llaa pprróótteessiiss 
ccoonn eell fféémmuurr pprrooxxiimmaall 
 LLaass zzoonnaass iinnddiiccaaddaass ppaarraa eell aappooyyoo ssoonn llaa zzoonnaa 22,,33,,55,,66,,77 
 PPuunnttuuaacciióónn ((1100 eexxcceelleennttee,, 8--99 aacceeppttaabbllee)) 
 22 ssiinn eessppaacciioo --11 eessppaacciioo mmeennoorr ddee 22mmmm 
 00 eessppaacciioo mmaayyoorr ddee 22mmmm
PPuunnttooss ddee rreeffeerreenncciiaa 
SSiirrvveenn 
 llooccaalliizzaarr eell nniivveell ddee 
oosstteeoottoommííaa 
 LLooccaalliizzaarr llooss ssiittiiooss 
aannaattóómmiiccooss ppaarraa ddeecciiddiirr llaa 
pprrooffuunnddiiddaadd ddee iinnsseerrcciióónn ddeell 
iimmppllaannttee yy eell ttiippoo ddee ccuueelllloo 
 PPuunnttaa ddeell ttrrooccáánntteerr mmaayyoorr 
 PPaarrttee ssuuppeerriioorr ddeell ttrrooccáánntteerr 
mmeennoorr 
 SSee rreeccoommiieennddaa uunnaa 
iinncclliinnaacciióónn ddee 5500°° aa ppaarrttiirr ddee 
llaa bbaassee ssuuppeerriioorr ddeell ccuueelllloo 
ffeemmoorraall aa nniivveell ddeell ttrrooccáánntteerr 
mmaayyoorr
PPllaannoo llaatteerraall 
SSiirrvvee ppaarraa vvaalloorraarr 
 IInnccuurrvvaacciioonn vveennttrraall ffeemmoorraall 
EEvviittaa llaa sseelleecccciióónn ddee vváássttaaggooss ddeemmaassiiaaddoo llaarrggooss 
 AAmmpplliittuudd ddeell ccaannaall ffeemmoorraall 
VVaalloorraarr llaa ccoollooccaacciióónn ddee vváássttaaggoo cceemmeennttaaddoo oo nnoo cceemmeennttaaddoo
Planificación de llaa ttééccnniiccaa qquuiirrúúrrggiiccaa 
 CCoonnoocciimmiieennttoo ddee llaa ttééccnniiccaa,, iinnssttrruummeennttaall ee 
iimmppllaanntteess
Planificación de llaa ttééccnniiccaa qquuiirrúúrrggiiccaa 
 EEssttrraatteeggiiaass ppaarraa ddeecciiddiirr 
 AAbboorrddaajjee 
 NNeecceessiiddaadd ddee aabboorrddaajjeess aaddiicciioonnaalleess 
 RReesseecccciioonn ddee oosstteeooffiittooss 
 SSii eexxiissttee ddiiffiiccuullttaadd eenn llaa ttééccnniiccaa ppoorr ddeeffoorrmmiiddaaddeess 
pprreeeexxiisstteenntteess 
 AAnntteevveerrssiioonn ee iinncclliinnaacciióónn ddeell aacceettáábbuulloo 
 AAlltteerraacciioonneess ddeell eejjee aannaattóómmiiccoo yy ffiissiioollóóggiiccoo
PPllaanniiffiiccaacciióónn tteeccnnoollóóggiiccaa 
RReeccuurrssooss tteeccnnoollóóggiiccooss ccoonn qquuee ssee ccuueennttaa oo nnoo ppaarraa 
ffaacciilliittaarr llaa ttééccnniiccaa yy mmeejjoorraarr llooss rreessuullttaaddooss 
 SSeelleecccciioonnaarr llooss iimmppllaanntteess sseeggúúnn rreeqquuiissiittooss ffuunncciioonnaalleess 
 PPoossiibbiilliiddaadd ddee rreeaalliizzaarr ccaammbbiioo ddee ttééccnniiccaa 
 IInnssttrruummeennttooss eessppeecciiaalleess 
 IImmppllaanntteess aalltteerrnnaattiivvooss 
 PPoossiibbiilliiddaadd ddee rreeccoonnssttrruucccciioonn ddee ddeeffeeccttooss óósseeooss 
 AAuuxxiilliiaarreess ppaarraa llaa eessttaabbiilliiddaadd 
 PPoossiibbiilliiddaadd ddee rreeccuuppeerraacciióónn ssaanngguuíínneeaa
GGRRAACCIIAASS

Planificacion preoperatoria de cadera

  • 1.
    PLANIFICACION PREOPERATORIA DECADERA Dr. Adolfo Zapién Soto R4 ORTOPEDIA Hospital General Dr. Rubén Leñero
  • 2.
    PPLLAANNIIFFIICCAACCIIOONN PPRREEOOPPEERRAATTOORRIIAA CCoonnssiissttee eenn rreeccoonnoocceerr ccoonn aannttiicciippaacciióónn llaass ccoonnttiinnggeenncciiaass qquuee ppuueeddeenn pprreesseennttaarrssee dduurraannttee eell pprroocceeddiimmiieennttoo qquuiirrúúrrggiiccoo,, ccoonn eell oobbjjeettoo ddee pprreevveenniirrllaass yy eevviittaarrllaass..
  • 3.
    CCoonnssttiittuuyyeenntteess ddee llaappllaanniiffiiccaacciióónn  PPllaanniiffiiccaacciióónn mmeeddiiccaa  PPllaanniiffiiccaacciióónn ggeeoommééttrriiccaa  PPllaanniiffiiccaacciióónn ddee llaa ttééccnniiccaa qquuiirrúúrrggiiccaa  PPllaanniiffiiccaacciióónn tteeccnnoollóóggiiccaa
  • 4.
    PPllaanniiffiiccaacciióónn mmeeddiiccaa TToommaaeenn ccoonnssiiddeerraacciióónn ttooddooss llooss ffaaccttoorreess qquuee aaffeeccttaann eell eessttaaddoo ddeell ppaacciieennttee  RRiieessggoo qquuiirrúúrrggiiccoo  HHaabbiilliiddaadd ddeell cciirruujjaannoo  CCaalliiddaadd ddee llaass iinnssttaallaacciioonneess yy rreeccuurrssooss ddiissppoonniibblleess
  • 5.
    PPllaanniiffiiccaacciióónn mmeeddiiccaa EEddaadd ddeell ppaacciieennttee  HHoommbbrreess >>6655 aaññooss == cceemmeennttaaddaa  MMuujjeerreess >>5500 aaññooss == cceemmeennttaaddaa  ÍÍnnddiiccee ddee ssiinngghh  44 oo mmaass == nnoo cceemmeennttaaddaa  33 oo mmeennooss == cceemmeennttaaddaa  ÍÍnnddiiccee ccoorrttiiccooddiiaaffiissaarriioo  MMaayyoorr ddee 00..4400 == nnoo cceemmeennttaaddaa  MMeennoorr ddee 00..3399== cceemmeennttaaddaa
  • 6.
    CCeemmeennttaaddaa oo nnoocceemmeennttaaddaa  DDeennssiittoommeettrrííaa óósseeaa  MMaass ddee 22..55 ddeessvviiaacciioonneess eessttáánnddaarr == cceemmeennttaaddaa  ZZoonnaass ddee GGrruueenn  55 oo mmeennooss ppuunnttooss == cceemmeennttaaddaa  EEnnffeerrmmeeddaaddeess ccoonnccoommiittaanntteess oo uussoo ddee ffáárrmmaaccooss
  • 7.
    PPllaanniiffiiccaacciióónn ggeeoommééttrriiccaa EEll oobbjjeettiivvoo eess llooggrraarr llaa mmaayyoorr lloonnggeevviiddaadd ppoossiibbllee ddee llaa pprróótteessiiss  EEssttaabbiilliiddaadd pprriimmaarriiaa  CCoorrrreeccttaa ccoonncciilliiaacciióónn eennttrree pprróótteessiiss yy hhuueessoo  EEssttaabbiilliiddaadd sseeccuunnddaarriiaa  AAttrriibbuuttooss aannaattóómmiiccooss  AAttrriibbuuttooss ggeeoommééttrriiccooss
  • 8.
    PPllaanniiffiiccaacciióónn ggeeoommééttrriiccaa AAttrriibbuuttoossaannaattóómmiiccooss  AAPP  PPoossiicciióónn eessppaacciiaall ddeell cceennttrroo ddee rroottaacciióónn ddee ccaaddeerraa  PPoossiicciióónn ddeell cceennttrroo ddee llaa ccaabbeezzaa ccoonn rreessppeeccttoo aa llaa ppuunnttaa ddeell ttrrooccáánntteerr mmaayyoorr ((VVoossss))  BBrraazzoo ddee ppaallaannccaa llaarrggoo ddee llaa bbaallaannzzaa ddee PPaauuwweellss  BBrraazzoo ddee ppaallaannccaa ccoorrttoo ddee llaa bbaallaannzzaa ddee PPaauuwweellss  GGrraaddoo ddee iinncclliinnaacciióónn ddeell ccuueelllloo ffeemmoorraall  LLoonnggiittuudd ddee eexxttrreemmiiddaaddeess  LLaatteerraall  AAnntteevveerrssiioonn ddeell ccuueelllloo ffeemmoorraall  NNiivveell ddeell ááppeexx ddee llaa ccuurrvvaattuurraa eennddoossttiiccaa vveennttrraall  AAmmpplliittuudd ddeell ccaannaall mmeedduullaarr
  • 9.
    PPllaanniiffiiccaacciióónn ggeeoommééttrriiccaa AAttrriibbuuttoossggeeoommééttrriiccooss  FFoorrmmaa ggeeoommééttrriiccaa bbáássiiccaa  CCaarraacctteerrííssttiiccaass ddeell rraaddiioo ddee ccuurrvvaattuurraa mmeettaaffiissaarriiaa mmeeddiiaall  PPoossiicciióónn ddee ssuuss cceennttrrooss ddee rroottaacciióónn  DDiissttaanncciiaa eennttrree eell cceennttrroo ddee rroottaacciióónn yy eell eejjee lloonnggiittuuddiinnaall ddeell iimmppllaannttee ((ooffffsseett))  LLoonnggiittuudd ddee llaa pprróótteessiiss
  • 10.
    PPllaanniiffiiccaacciióónn ggeeoommééttrriiccaa CCoonncciilliiaa llooss aattrriibbuuttooss ggeeoommééttrriiccooss yy aannaattóómmiiccooss  SSeelleecccciióónn ggeeoommééttrriiccaa ddee llooss iimmppllaanntteess  RReeccoonnoocciimmiieennttoo ddee llaa ffoorrmmaa bbáássiiccaa ddeell fféémmuurr  PPrreevveenncciióónn ddee ddiissccrreeppaanncciiaa ddee eexxttrreemmiiddaaddeess  IIddeennttiiffiiccaacciióónn ddee ffoorrmmaa yy ppoossiicciióónn ddeell aacceettáábbuulloo  CCaarraacctteerrííssttiiccaass  AAnngguulloo cceerrvviiccooddiiaaffiissaarriioo  OOffffsseett  RRaaddiioo ddee ccuurrvvaattuurraa mmeeddiiaall  FFoorrmmaa ggeeoommééttrriiccaa qquuee ccooiinncciiddaa mmaass ccoonn eell fféémmuurr
  • 11.
    BBaallaannzzaa ddee ppaauuwweellss  EEss eell eeqquuiilliibbrriioo eennttrree eell cceennttrroo ddee ggrraavveeddaadd ddeell ccuueerrppoo eenn aappooyyoo mmoonnooppooddaalliiccoo yy llaa ffuueerrzzaa ddee llooss mmúússccuullooss aabbdduuccttoorreess ddee llaa ccaaddeerraa  AA mmaayyoorr áánngguulloo mmeennoorr ffuueerrzzaa rreessuullttaannttee yy vviicceevveerrssaa
  • 12.
    DDiissttaanncciiaa ddee VVoossss  EEss eell ddeessppllaazzaammiieennttoo ddiissttaall oo pprrooxxiimmaall ddeell fféémmuurr  AAuummeennttaa oo ddiissmmiinnuuyyee llaa pprreessiióónn aarrttiiccuullaarr
  • 13.
    EESSTTAABBIILLIILLDDAADD AACCEETTAABBUULLAARR LLaa iinncclliinnaacciióónn aacceettaabbuullaarr eessttaabblleeccee llaa ccoonntteenncciióónn oo eexxppuullssiióónn ddee llaa ccaabbeezzaa ffeemmoorraall  AA nniivveell ddeell aacceettáábbuulloo ssee eejjeerrcceenn vvaarriiaass ffuueerrzzaass vveeccttoorriiaalleess qquuee ssee ddiirriiggeenn aall cceennttrroo ddee llaa ccaabbeezzaa ffeemmoorraall  FFuueerrzzaa oobblliiccuuaa  FFuueerrzzaa vveerrttiiccaall  FFuueerrzzaa hhoorriizzoonnttaall
  • 14.
    EESSTTAABBIILLIILLDDAADD AACCEETTAABBUULLAARR SSoobbrree eell aacceettáábbuulloo ssee eejjeerrcceenn 44 ffuueerrzzaass pprriinncciippaalleess  FFuueerrzzaa ccooaappttaannttee  FFuueerrzzaa ccoonnttrraarreessuullttaannttee ddeell vveeccttoorr ddee ccaarrggaa  FFuueerrzzaa ddee llaa mmuussccuullaattuurraa aabbdduuccttoorraa  FFuueerrzzaa cciizzaallllaannttee
  • 15.
    EESSTTAABBIILLIIDDAADD AACCEETTAABBUULLAARR LLaa ppoossiicciióónn qquuee eeqquuiilliibbrraa mmeejjoorr aannaattoommííaa,, ddiisseeññoo,, ttééccnniiccaa yy bbiioommeeccáánniiccaa eess aa 4400°° ddee iinncclliinnaacciióónn aacceettaabbuullaarr
  • 16.
    RRAADDIIOOGGRRAAFFIIAASS  AAPPddee ppeellvviiss ccoonn ccaaddeerraass ccoonn rroottaacciióónn iinntteerrnnaa 155°°  RRaaddiiooggrraaffííaa llaatteerraall ddee ffaallssoo ppeerrffiill  PPeerrmmiittee vvaalloorraarr ppoossiicciióónn,, ttaammaaññoo yy ttiippoo ddee aacceettáábbuulloo  PPeerrmmiittee vviissuuaalliizzaarr llaa ccuurrvvaattuurraa ddeell fféémmuurr  SSeelleecccciióónn lloonnggiittuudd ddeell iimmppllaannttee  AAmmpplliittuudd ddeell ttúúnneell mmeedduullaarr
  • 17.
    ppllaannttiillllaass  LLaaccoonncciilliiaacciióónn ddee llaa ppllaannttiillllaa ccoonn eell hhuueessoo ddeebbee ddee tteenneerr::  FFoorrmmaa ggeeoommééttrriiccaa ddeell iimmppllaannttee lloo mmaass cceerrccaannaa aall hhuueessoo  RRaaddiioo ddee ccuurrvvaattuurraa mmeeddiiaall iigguuaall eennttrree iimmppllaannttee yy hhuueessoo  CCeennttrroo ddee rroottaacciióónn lloo mmaass cceerrccaannoo aall cceennttrroo ddee llaa ccaabbeezzaa ffeemmoorraall ((66mmmm))
  • 18.
    AAcceettáábbuulloo:: TTaammaaññoo eeiinncclliinnaacciióónn AAPP DDEE PPEELLVVIISS  BBoorrddee aacceettaabbuullaarr ssuuppeerroo eexxtteerrnnoo  GGoottaa ddee llaaggrriimmaa  CCeennttrroo ddee rroottaacciióónn ddee llaa ccaabbeezzaa ffeemmoorraall  LLíínneeaa ttaannggeennttee aa llaass ttuubbeerroossiiddaaddeess iissqquuiiááttiiccaass  LLíínneeaa aa 4400°° ddeell bboorrddee ssuuppeerroo eexxtteerrnnoo ddeell aacceettáábbuulloo
  • 19.
    d Centro deerroottaacciióónn ccaabbeezzaa ffeemmoorraall MMeeddiiaannttee  CCíírrccuullooss ccoonnccéénnttrriiccooss mmoossee  ttrriiaanngguullaacciióónn
  • 20.
    AAcceettáábbuulloo:: TTaammaaññoo eeiinncclliinnaacciióónn  SSee ccoollooccaa llaa ppllaannttiillllaa ddee uunn aacceettáábbuulloo qquuee tteennggaa eell ttaammaaññoo ccoorrrreessppoonnddiieennttee aall aacceettáábbuulloo ddeell ppaacciieennttee  MMeeddiiaallmmeennttee aa nniivveell ddeell bboorrddee eexxtteerrnnoo ddee llaa ggoottaa ee iinnffeerriioorrmmeennttee eenn eell ffoonnddoo ddee llaa ggoottaa
  • 21.
    TTAAMMAAÑÑOO DDEE LLAAPPRROOTTEESSIISS  LLooccaalliizzaarr cceennttrroo ddee rroottaacciióónn ddee llaa ccaabbeezzaa ffeemmoorraall  CCoollooccaarr llaa ppllaannttiillllaa ddee llaa pprróótteessiiss yy sseelleecccciioonnaarr eell ttaammaaññoo qquuee ssee aajjuussttee mmeejjoorr  MMiiddiieennddoo llaa ppoorrcciióónn mmaass aannggoossttaa ddeell ccaannaall mmeedduullaarr
  • 22.
    ZZoonnaass ddee GGrruueenn  SSiirrvveenn ppaarraa vvaalloorraarr llooss ppuunnttooss ddee aappooyyoo ddee llaa pprróótteessiiss ccoonn eell fféémmuurr pprrooxxiimmaall  LLaass zzoonnaass iinnddiiccaaddaass ppaarraa eell aappooyyoo ssoonn llaa zzoonnaa 22,,33,,55,,66,,77  PPuunnttuuaacciióónn ((1100 eexxcceelleennttee,, 8--99 aacceeppttaabbllee))  22 ssiinn eessppaacciioo --11 eessppaacciioo mmeennoorr ddee 22mmmm  00 eessppaacciioo mmaayyoorr ddee 22mmmm
  • 23.
    PPuunnttooss ddee rreeffeerreenncciiaa SSiirrvveenn  llooccaalliizzaarr eell nniivveell ddee oosstteeoottoommííaa  LLooccaalliizzaarr llooss ssiittiiooss aannaattóómmiiccooss ppaarraa ddeecciiddiirr llaa pprrooffuunnddiiddaadd ddee iinnsseerrcciióónn ddeell iimmppllaannttee yy eell ttiippoo ddee ccuueelllloo  PPuunnttaa ddeell ttrrooccáánntteerr mmaayyoorr  PPaarrttee ssuuppeerriioorr ddeell ttrrooccáánntteerr mmeennoorr  SSee rreeccoommiieennddaa uunnaa iinncclliinnaacciióónn ddee 5500°° aa ppaarrttiirr ddee llaa bbaassee ssuuppeerriioorr ddeell ccuueelllloo ffeemmoorraall aa nniivveell ddeell ttrrooccáánntteerr mmaayyoorr
  • 24.
    PPllaannoo llaatteerraall SSiirrvveeppaarraa vvaalloorraarr  IInnccuurrvvaacciioonn vveennttrraall ffeemmoorraall EEvviittaa llaa sseelleecccciióónn ddee vváássttaaggooss ddeemmaassiiaaddoo llaarrggooss  AAmmpplliittuudd ddeell ccaannaall ffeemmoorraall VVaalloorraarr llaa ccoollooccaacciióónn ddee vváássttaaggoo cceemmeennttaaddoo oo nnoo cceemmeennttaaddoo
  • 25.
    Planificación de llaattééccnniiccaa qquuiirrúúrrggiiccaa  CCoonnoocciimmiieennttoo ddee llaa ttééccnniiccaa,, iinnssttrruummeennttaall ee iimmppllaanntteess
  • 26.
    Planificación de llaattééccnniiccaa qquuiirrúúrrggiiccaa  EEssttrraatteeggiiaass ppaarraa ddeecciiddiirr  AAbboorrddaajjee  NNeecceessiiddaadd ddee aabboorrddaajjeess aaddiicciioonnaalleess  RReesseecccciioonn ddee oosstteeooffiittooss  SSii eexxiissttee ddiiffiiccuullttaadd eenn llaa ttééccnniiccaa ppoorr ddeeffoorrmmiiddaaddeess pprreeeexxiisstteenntteess  AAnntteevveerrssiioonn ee iinncclliinnaacciióónn ddeell aacceettáábbuulloo  AAlltteerraacciioonneess ddeell eejjee aannaattóómmiiccoo yy ffiissiioollóóggiiccoo
  • 27.
    PPllaanniiffiiccaacciióónn tteeccnnoollóóggiiccaa RReeccuurrssoosstteeccnnoollóóggiiccooss ccoonn qquuee ssee ccuueennttaa oo nnoo ppaarraa ffaacciilliittaarr llaa ttééccnniiccaa yy mmeejjoorraarr llooss rreessuullttaaddooss  SSeelleecccciioonnaarr llooss iimmppllaanntteess sseeggúúnn rreeqquuiissiittooss ffuunncciioonnaalleess  PPoossiibbiilliiddaadd ddee rreeaalliizzaarr ccaammbbiioo ddee ttééccnniiccaa  IInnssttrruummeennttooss eessppeecciiaalleess  IImmppllaanntteess aalltteerrnnaattiivvooss  PPoossiibbiilliiddaadd ddee rreeccoonnssttrruucccciioonn ddee ddeeffeeccttooss óósseeooss  AAuuxxiilliiaarreess ppaarraa llaa eessttaabbiilliiddaadd  PPoossiibbiilliiddaadd ddee rreeccuuppeerraacciióónn ssaanngguuíínneeaa
  • 29.