Mastication and Deglutition
Reflex
Learning objectives
• Define Mastication
• Explain the process of mastication reflex
• Discuss Deglutition and its reflex
• Define Peristalsis
• Role of lower esophageal sphincter
Mastication-Chewing
Deglutition-Swallowing
• Hunger
• Appetite
Ingestion of food
• Mastication
• Deglutition
Mastication
• First step in digestion of food
Process involved in food preparation
• Chewing food- Role of teeth and muscles of
jaw
• Mixing of food with saliva
Note movement of jaw
Role of teeth in mastication
Chewing- mechanical breakdown of food
• Incisors
• Molars
Muscles of mastication
All are supplied by trigeminal nerve
• Mandibular division of 5th cranial nerve has
nuclei in pons
Mastication reflex
• Rhythmical automatic movements
• Opening and closing of jaw
Significance of chewing
• Breaks food to smaller pieces
• More pieces more surface for digestive
enzymes
• Provides easiness for the food passage from
stomach to small intestine
Deglutition
• Swallowing
• Passage of food
from mouth to
esophagus
• Mouth Pharynx
Esophagus
3 phases
• Oral
• Pharyngeal
• Esophageal
Oral phase
• Voluntary phase
• Food is prepared for swallowing
• Tongue plays major role
• Food is rolled posteriorly into pharynx
Pharyngeal phase
• Involuntary
• Soft palate moves upward
• Epiglottis moves backward
• Vocal cord approximates
Upper esophageal sphincter muscles relaxes
• Bolus of food is
moved to
esophagus via
constriction of
pharyngeal
constrictor muscles
Esophageal stage of swallowing
• Passage of food from
Pharynx to Stomach
Peristalsis
• 2 types of peristalsis
1. Primary peristalsis
2. Secondary peristalsis
Pharyngeal muscles are striated
Esophagus muscles
• Superior 1/3rd
striated
skeletal
• Inferior 2/3rd
non striated
smooth
Receptive relaxation of stomach
• Stomach relaxes to receive food from
esophagus
• Wave of peristalsis is preceded by wave of
inhibition
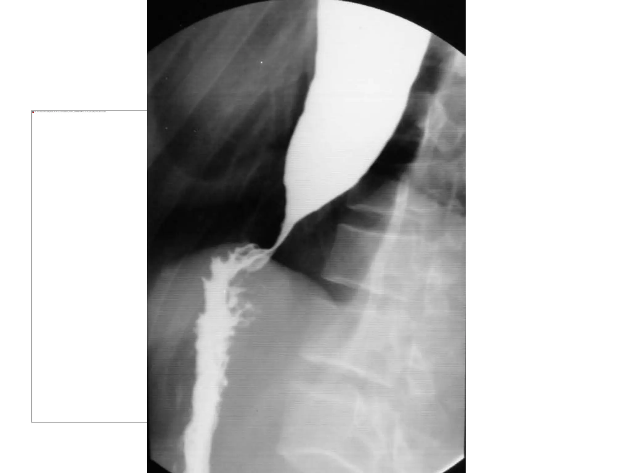
Lower esophageal sphincter
Role of lower esophageal sphincter
• Helps prevent
reflux of
stomach acid
into
esophagus
Neurogenic control of swallowing
Disorders of swallowing
• Dysphagia
• Achalasia
Dysphagia
• Difficulty in swallowing
• Damage to nerve (V, IX and X)
• Damage to swallowing center
Diseases that affect swallowing
• Poliomyelitis
• Encephalitis
• Mysthenia gravis
• Botulinism
Results in choking
Achalasia
• Loss of inhibitory neurons in myenteric plexus
• Esophageal stasis leads to infection of
esophagus
Treatment
• Dilation
• Antispasmodic drug

Physiology Of GIT Mastication and Deglutition reflex.pptx

Editor's Notes

  • #15 The nociceptive, or flexor, reflex is a polysynaptic reflex to noxious stimuli and is therefore considered to be protective. Examples in the large limbs include the withdrawal of a hand as it touches a hot object. In the masticatory system, this reflex becomes active when a hard object is suddenly encountered during mastication—for example when, in eating a cherry pie, you unexpectedly encounter a cherry pit (Figure 2-7). The suddenly increased chewing force placed on the tooth instantly overloads the periodontal structures, producing a noxious stimulus. The primary afferent nerve fibers carry this information to the trigeminal spinal tract nucleus, where they synapse with interneurons. These interneurons travel to the trigeminal motor nucleus. The motor response that occurs during this reflex is more complicated than the myotatic reflex in that the activity of several muscle groups must be coordinated to carry out the desired motor response.9,10 Not only must the elevator muscles be inhibited to prevent further jaw closure on the hard object but the jaw opening muscles must be activated to bring the teeth away from potential damage.11,12 As the afferent information from the sensory receptors reaches the interneurons, two distinct actions occur. Excitatory interneurons leading to the efferent neurons in the trigeminal motor nucleus of the jaw-opening muscles are stimulated. This action causes these muscles to contract. At the same time, the afferent fibers stimulate inhibitory interneurons, which causes the jaw-elevating muscles to relax. The overall result is that the jaw quickly drops and the teeth are pulled away from the object causing the noxious stimulus. This process, called antagonistic inhibition, occurs in many nociceptive reflex actions throughout the body.