PATHOLOGICAL CALCIFICATION
Dr Payal Desai
PATHOLOGICAL CALCIFICATION
•It is abnormal tissue deposition of calcium salts ,
together with small amounts of Iron, Magnesium &
other mineral salts.
2 Types
•Dystrophic calcification
•Metastatic calcification
•It is local, deposition of calcium in dead &
degenerating cells .
•calcium metabolism and serum calcium are normal.
DYSTROPHIC CALCIFICATION
Calcification in Dead cells-
1. Necrosis-caseous , liquefactive and fat necrosis
2. Infarcts
3. Thrombi
4. Hematomas
5 dead parasites
Calcification in degenerated tissue-
1. Dense old scars
2. Atheromas
3. Stroma of tumors -Fibroid , Ca. breast , thyroid tumors
4. Monckenberg’s Sclerosis
5. Cyst walls
6. Old age- cartilage
Pathogenesis
a)Intiation phase
b)Propagation phase
Initiation phase (Enucleation phase)
Intracellular
• Deposition first occurs in mitochondria of dying cells.
Extracellular
• Deposition occurs in phospholipids of membrane bound
vesicles.
• Calcium is concentrated in these vesicles by process of
membrane facilitated calcification.
Steps of initiation phase-
• Calcium binds to the phospholipids present in the plasma
membrane/organellae membrane.
• Phosphatases which are present in membrane generate phosphate
group to which calcium binds
• This cycle of calcium and phosphate binding is repeated , so calcium
phosphate is deposited near membrane ( Micro crystal formation ).
Propagation Phase
The same cycle repeats to form more crystals ,which
can then propagate and perforate the membrane
Propagation depends on-
• Concentration of Ca & Po4
• Presence of inhibitors and other proteins in extra
cellular space, such as connective tissue matrix
proteins.
Calcification occurring in normal tissues.
Serum calcium levels are raised.
 It occurs due to hypercalcemia secondary to
disturbance in calcium metabolism.
Metastatic calcification
Pathogenesis of metastatic calcification-
Increased serum calcium
excessive binding of inorganic phosphate
precipitation of calcium phosphates.
1. Increased secretion of Parathyroid hormone  increased bone
resorption.
Eg..Parathyroid tumors and ectopic PTH secretion.
2. Destruction of bone tissue  multiple myeloma, diffuse skeletal
metastasis, prolonged immobilization.
3. Vitamin D related disorders  Vitamin D intoxication, William
syndrome.
4. Chronic renal failure.
5. Other  Aluminum intoxication, Milk alkali syndrome, Excessive intake
of antacids.
Causes of Metastatic calcification
Sites of Metastatic calcification
• Gastric mucosa – Acid secreting fundal glands
• Kidney ( Nephrocalcinosis ) – Basement membrane of tubular
epithelium
• Lungs – Alveolar walls
• Systemic arteries – Internal elastic lamina
• Pulmonary veins
• Cornea
MORPHOLOGY OF CALCIFICATION
(same for dystrophic and metastatic)
Morphology- same for dystrophic and metastatic
• Gross – Fine white granules or clumps, and often felt as
gritty deposits.
Microscopy
• Basophilic amorphous granular appearance, sometimes
clumped. It can be intracellular /extra cellular/ both.
• Sometimes a single necrotic cell constitute the seed of
the crystal that may become encrusted by minerals in
progressive layers or laminations called Psammoma
bodies.
• Eg Meningioma, papillary carcinoma of thyroid and
papillary serous cystadenoma of ovary.
Monckeberg’s Sclerosis
• Dystrophic calcification in the tunica media of large and medium
sized muscular arteries
• Site: Extremeties & genital tract
• Commonly seen in elderly (degenerative process)
• Little or no significance
Morphology
• Gross: thickened vessel, palpated clinically, lumen patent
• Microscopy:
- Deposition of basophilic calcium salts in form of granules
- Smooth muscle replaced by acellular hyalinized fibrous tissue
- Lumen normal, filled with red blood cells
- Tunica intima and adventitia spared
Path calcification for mbbs 2nd year pathology
Path calcification for mbbs 2nd year pathology
Path calcification for mbbs 2nd year pathology
Path calcification for mbbs 2nd year pathology

Path calcification for mbbs 2nd year pathology

  • 1.
  • 2.
    PATHOLOGICAL CALCIFICATION •It isabnormal tissue deposition of calcium salts , together with small amounts of Iron, Magnesium & other mineral salts. 2 Types •Dystrophic calcification •Metastatic calcification
  • 3.
    •It is local,deposition of calcium in dead & degenerating cells . •calcium metabolism and serum calcium are normal. DYSTROPHIC CALCIFICATION
  • 4.
    Calcification in Deadcells- 1. Necrosis-caseous , liquefactive and fat necrosis 2. Infarcts 3. Thrombi 4. Hematomas 5 dead parasites Calcification in degenerated tissue- 1. Dense old scars 2. Atheromas 3. Stroma of tumors -Fibroid , Ca. breast , thyroid tumors 4. Monckenberg’s Sclerosis 5. Cyst walls 6. Old age- cartilage
  • 5.
  • 6.
    Initiation phase (Enucleationphase) Intracellular • Deposition first occurs in mitochondria of dying cells. Extracellular • Deposition occurs in phospholipids of membrane bound vesicles. • Calcium is concentrated in these vesicles by process of membrane facilitated calcification.
  • 7.
    Steps of initiationphase- • Calcium binds to the phospholipids present in the plasma membrane/organellae membrane. • Phosphatases which are present in membrane generate phosphate group to which calcium binds • This cycle of calcium and phosphate binding is repeated , so calcium phosphate is deposited near membrane ( Micro crystal formation ).
  • 8.
    Propagation Phase The samecycle repeats to form more crystals ,which can then propagate and perforate the membrane Propagation depends on- • Concentration of Ca & Po4 • Presence of inhibitors and other proteins in extra cellular space, such as connective tissue matrix proteins.
  • 9.
    Calcification occurring innormal tissues. Serum calcium levels are raised.  It occurs due to hypercalcemia secondary to disturbance in calcium metabolism. Metastatic calcification
  • 10.
    Pathogenesis of metastaticcalcification- Increased serum calcium excessive binding of inorganic phosphate precipitation of calcium phosphates.
  • 11.
    1. Increased secretionof Parathyroid hormone  increased bone resorption. Eg..Parathyroid tumors and ectopic PTH secretion. 2. Destruction of bone tissue  multiple myeloma, diffuse skeletal metastasis, prolonged immobilization. 3. Vitamin D related disorders  Vitamin D intoxication, William syndrome. 4. Chronic renal failure. 5. Other  Aluminum intoxication, Milk alkali syndrome, Excessive intake of antacids. Causes of Metastatic calcification
  • 12.
    Sites of Metastaticcalcification • Gastric mucosa – Acid secreting fundal glands • Kidney ( Nephrocalcinosis ) – Basement membrane of tubular epithelium • Lungs – Alveolar walls • Systemic arteries – Internal elastic lamina • Pulmonary veins • Cornea
  • 13.
    MORPHOLOGY OF CALCIFICATION (samefor dystrophic and metastatic)
  • 14.
    Morphology- same fordystrophic and metastatic • Gross – Fine white granules or clumps, and often felt as gritty deposits.
  • 15.
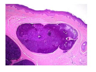
    Microscopy • Basophilic amorphousgranular appearance, sometimes clumped. It can be intracellular /extra cellular/ both. • Sometimes a single necrotic cell constitute the seed of the crystal that may become encrusted by minerals in progressive layers or laminations called Psammoma bodies. • Eg Meningioma, papillary carcinoma of thyroid and papillary serous cystadenoma of ovary.
  • 19.
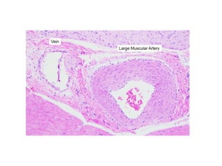
    Monckeberg’s Sclerosis • Dystrophiccalcification in the tunica media of large and medium sized muscular arteries • Site: Extremeties & genital tract • Commonly seen in elderly (degenerative process) • Little or no significance
  • 20.
    Morphology • Gross: thickenedvessel, palpated clinically, lumen patent • Microscopy: - Deposition of basophilic calcium salts in form of granules - Smooth muscle replaced by acellular hyalinized fibrous tissue - Lumen normal, filled with red blood cells - Tunica intima and adventitia spared