Obstetrical
Ultrasound
Overview & First
Trimester
DR. JURY D. SHIRA,
PGT DMRD(NBE), DEPARTMENT OF RADIOLOGY, CIVIL HOSPITAL, SHILLONG
DATED: 3RD
MAY 2025
Ultrasound in
Ultrasonography
 In physics, the term "ultrasound" applies to
all acoustic energy (longitudinal,
mechanical wave) with a frequency
above the audible range of human
hearing. The audible range of sound is 20
hertz-20 kilohertz. Ultrasound is frequency
greater than 20 kilohertz.
Ultrasound Technology
 Principle of SONAR, used by bats and ships
 Generation of high-frequency sound waves
through a transducer
 Pulsed sound waves penetrate till structures
of different tissues densities is reached
 Reflected energy to the transducer is
amplified and displayed on a screen
 Detection of breathing, cardiac actions and
vessel pulsations
Obstetrical Ultrasound
 Introduced in the late 1950’s
ultrasonography is a safe, non-
invasive, accurate and cost-
effective means to investigate the
fetus
 Computer generated system that
uses sound waves integrated
through real time scanners placed
in contact with a gel medium to
the maternal abdomen
 The information from different
reflections are reconstructed to
provide a continuous picture of
the moving fetus on the monitor
screen
Risks and Side-effects
 Ultrasonography is generally considered a
"safe" imaging modality. However slight
detrimental effects have been occasionally
observed (see below). Diagnostic ultrasound
studies of the fetus are generally considered
to be safe during pregnancy. This diagnostic
procedure should be performed only when
there is a valid medical indication, and the
lowest possible ultrasonic exposure setting
should be used to gain the necessary
diagnostic information under the "as low as
reasonably achievable" or ALARA principle.
 World Health Organizations technical report
series 875(1998).supports that ultrasound is
harmless: "Diagnostic ultrasound is
recognized as a safe, effective, and highly
flexible imaging modality capable of
providing clinically relevant information
about most parts of the body in a rapid and
cost-effective fashion". Although there is no
evidence ultrasound could be harmful for
the fetus, US Food and Drug Administration
views promotion, selling, or leasing of
ultrasound equipment for making
"keepsake fetal videos" to be an
unapproved use of a medical device.
 Studies on the safety of ultrasound
A study at the Yale School of Medicine
found a correlation between prolonged
and frequent use of ultrasound and
abnormal neuronal migration in mice. A
meta-analysis of several ultrasonography
studies found no statistically significant
harmful effects from ultrasonography but
mentioned that there was a lack of data
on long-term substantive outcomes such
as neurodevelopment.
Types of Ultrasonography
Trans Abdominal
Ultrasonography
(TAS)
Trans Vaginal
Ultrasonography
(TVS)
Doppler Ultrasound Tissue Harmonic
Imaging (THI)
Three-dimensional
Ultrasound (3-D
USG
Trans Abdominal Ultrasound
(TAS)
• Major technique for imaging in 2nd
and 3rd
trimester
• Patient to have full bladder because
– Pushes the uterus out of the pelvis
– Provides an acoustic window
– Displaces pelvic bowel loop superiorly
• Real-time ultrasound equipment includes:
– Sector transducers, when access is limited
– Linear curved array transducers, for less distortion and
greater field of view
Trans Vaginal Ultrasound
(TVS)
 Method of choice for
 Monitoring infertility disorders
 Diagnosis of ectopic pregnancy
 Differentiation of normal and abnormal 1st
trimester pregnancy
 Diagnosis of congenital anomalies in 2nd
trimester
 Patient to have empty bladder because
 Uterus will be pushed posteriorly out of the field
of view of the transducer
Trans Vaginal Ultrasound (TVS)
cont
• Specially designed high frequency transducers
• Higher resolution images
• Favorable for obese patients or in early stage of
pregnancy
• Limitations include
– Reduced beam penetration
– More invasive nature of the technique
Doppler Ultrasonography
• Most widely employed for detection of:
– Fetal cardiac pulsation
– Pulsation in various fetal blood vessels
• Doppler waveform for useful information about
intra-uterine growth retardation
• Use remains controversial due to increased power
Tissue Harmonic Imaging
(THI)
 Processing of lower amplitude, higher frequency
waveforms accompanying fundamental frequency
 Lesser clutter and scatter
 Better visualization of fetal structure
Three-dimensional USG (3-
D)
 3-Dimensional “cleaner” image of the scanning
 Transducer captures series of images
 3-D processing done by Computer
 Significant improvement in identifying
 Cleft lips
 Spina bifida
 Polydactyl
WHO CAN PERFORM
OBSTETRIC
ULTRASONOGRAPHY?
A) The following qualified persons may
perform USG as far the provisions of the
Schedule i/ii/iii of IMC Act 1956 and
PCPNDT Act 1994
I. Radiologist with MD, DNB and DMRD
qualifications
II. Obstetric & Gynaecology
Specialist(MS/DNB/DGO) with 4 week of training
and 6months of experiences
III. Medical Officer(MBBS) with 6 months of training
in obstetric USG as mandate by PCPNDT Act 1994
PC-PNDT
Act 1994
 Pre-Conception and Pre-Natal Diagnostic Techniques
(Prohibition of Sex Selection) Act, 1994 an Act of the
Parliament of India enacted to stop female foeticides and
arrest the declining sex ratio in India. The act banned
prenatal sex determination.
Main provisions in the act are:-
1. The Act provides for the prohibition of sex selection, before or
after conception.
2. It regulates the use of pre-natal diagnostic techniques, like
ultrasound machine by allowing them their use only to
detect :- genetic abnormalities, metabolic disorders,
chromosomal abnormalities, certain congenital
malformations, haemoglobinopathies, Sex linked disorders.
3. No laboratory or centre or clinic will conduct any test including
ultrasonography for the purpose of determining the sex of
the foetus.
4. No person, including the one who is conducting the procedure
as per the law, will communicate the sex of the foetus to the
pregnant woman or her relatives by words, signs or any
other method.
5. Any person who puts an advertisement for pre-natal and pre-
conception sex determination facilities in the form of a notice,
circular, label, wrapper or any document, or advertises through
interior or other media in electronic or print form or engages in
any visible representation made by means of hoarding, wall
painting, signal, light, sound, can be imprisoned for up to three
years and fined Rs. 10,000.
INDICATIONS
Indications for
Ultrasonography
in Third Trimester
 Fetal growth monitoring
 Estimation of fetal weight
 Evaluation of fetal wellbeing
 Biophysical Profile
 Placenta position
 Amniotic fluid index
 Presentation and lie
 Follow up of anomalities in second
trimester
 Post dated(placental aging, fluid
and fetal status)
Post Partum
Indication of
Ultrasonography
PPH & Retained products of conception
Uterine rupture or dehiscene
Endometritis
Pelvic abscess
Bladder Injury
Ovarian vein thrombosis
Lochia abnormalities
CS scar evaluation
FIRST
TRIMESTER
PREGNANCY
First Trimester USG
• 0-4.3 weeks: no ultrasound findings
• 4.3-5.0 weeks:
• possible small gestational sac
• possible double decidual sac sign (DDSS)
• possible intradecidual sac sign (IDSS)
• 5.1-5.5 weeks:
• ​
gestational sac should be visible by this time
• 5.5-6.0 weeks
• yolk sac should be visible by this time
• gestational sac should be ~6 mm in diameter
• Double bleb sign
• Diamond ring sign(6weeks)
• >6.0 weeks
• fetal pole may be identifiable on endovaginal
ultrasound (1-2 mm)
• fetal heart rate (FHR) should be ~100-115 bpm
• gestational sac should be ~10 mm in diameter
• 6.5 weeks
• crown rump length (CRL) should be ~5 mm
• 7-8 weeks
• CRL is between 11-16 mm
• cephalad and caudal poles can be identified
• 8-9 weeks
• CRL is between 17-23 mm
• limb buds appear
• head can be seen as separate from the body
• 9-10 weeks
• CRL is between 23-32 mm
• fetal heart rate 170-180 bpm
• fetal movement can be seen
• a round hypoechoic structure in the fetal brain
represents a developing
embryonic/fetal rhombencephalon
11 weeks:
nuchal translucency may begin to be seen
Gestational Sac
USG
• Round or oval with
regular margin
• Eccentric toward one
side of endometrium
• May show yolksac or
embryo inside
• Wall is thick with
echogenic rim
• Intrauterine pregnancy
Double Decidual Sac Sign
PGS: Fluid filled
collection within the
uterus, often mistaken
for a GS
USG:
• Irregular shaped with pointed
edges and/or filled with
debris(beaking).
• Centrally located in endometrial
cavity
• Usually empty.
• Absent of double decidual sac
• Wall is thin
• Often seen in ectopic
pregnancy
Fetal Heart Rate on USG
 Visible heart activity: 43 days (6.1w)
 Normal heart rate at 6 weeks: 90-110 bpm
 At 8-9 weeks if nl heartbeat: 140-170bpm
 At 9 weeks:140-195 bpm(average=170)
 At 5-8 weeks a FHR <90 bpm is associated with a
high risk of miscarriage
USG Features and
Gestational Age in weeks
NUCHAL TRANSLUCENCY
 Fluid filled space in the back of the foetal neck.
 Its measurement is used in the screening of the
chromosomal abnormalities in the first trimester
 Ideal time for measuring NT is between 11 weeks
to 13weeks 6days of gestation (CRL between 45
to 84mm)
 Can be scan using TAS & TVS
 Fluid filled anechoic space at the back of the
foetal neck
 Normal NT measurement <2mm
NUCHAL TRANSLUCENCY MEASUREMENT
Measurement of Nuchal Translucency
Nuchal
Translucency
Evaluation of Uterus and Adnexal
structures
Uterus and cervical plug
COMMON
CONDITIONS IN
FIRST TRIMESTER
PREGNANCY
Obtetrica
l
perspecti
ve:
 Pregnancy losses
Threatened abortion, inevitable
abortion, incomplete abortion,
complete abortion, missed abortion,
septic abortion
 Ectopic Pregnancy
 Molar Pregnancy
 Hyperemesis gravidarum
 Early Pregnancy bleeding
 Chromosomal Abnormalities
 Structural Abnormalities
 Multiple Pregnancy
Sonologic
al
Perspectiv
e
 Early Pregnancy Failure
 Ectopic Pregnancy
 Molar Pregnancy
 Subchorionic Haemorrhage
 Multifetal pregnancy
 Foetal Anomalies
 Cervical Insufficiency
Early Pregnancy Failure
CRL>/=7MM WITH NO FOETAL HEART BEAT OR MEAN SAC DIAMETER >/=25MM
WITH NO EMBRYO
Ectopic Pregnancy:
 Implantation of fertilised
ovum outside of the
uterine cavity
 Risk of 1-2% of all the
pregnancy. The risk as
high as 18% first trimester
pregnancies with
bleeding
Locations:
 Tubal ectopic: 93-97%
(ampulla 65%, Isthmus
11%, fimbria 10%,
interstitial 3%)
 Ovarian ectopic: 0.5-1%
 Cervical ectopic: <1%
 Abdominal ectopic:
1.4%
 Scar(CS):Rare
USG of Ectopic Pregnancy
 Empty uterine cavity or no evidence of
intrauterine pregnancy(exception: heterotopic
pregnancy)
 Pseudogestational sac/decidual sac may be
seen in 10-20% of EP
 Thick echogenic endometrium
 Tube and ovary: simple adnexal cyst, complex
extraadnexal cyst/mass, solid hyperechoic
mass(not specific), tubal ring sign, ring of fire sign
 Peritoneal cavity: Free pelvic
fluid/hemoperitoneum in pouch of Douglas, free
fluid in hepatorenal recess/Morison’s pouch
RING
OF FIRE
TUBAL
RING
SIGN
MOLAR PREGNANCY:
The most common forms of
gestational trophoblastic
disease
 Types: Partial and Complete
 Partial: associated with abnormal
foetus/with foetal demise
 Complete: associated with
complete absence of foetus
Partial
Molar
Pregnancy
Greatly enlarged
placenta relative
to the size of the
uterine cavity
Cystic spaces
within the
placenta
Amniotic cavity
either empty or
contains
amorphous small
foetal echoes
which may be
surrounded by
thick rim of
pacental echoes
Colour doppler
may show high
velocity and low
impedance flow
Partial Molar
Pregnancy
Complete
Molar
Pregnancy
 Enlarged uterus
 Intrauterine mass with multiple
cystic spaces without any
associated of foetal part or foetal
echoes often refer to as
“snowstorm” or “bunch of
grapes” appearance
 Colour doppler shows high
velocity with low impedance flow
COMPLETE MOLAR
PREGNANCY
SUBCHORIONIC HAEMORRHAGE
 Perigestational haemorrhage and blood
collection outsidre the gestational sac that
accumulates between the uterine wall and the
chorionic membrane in pregnancy
 Frequent cause of bleeding in first trimester and
second trimester
 Causes: Trauma, maternal conditions(clotting
disorders, hypertension, hormonal changes,
infections/inflamations, previous H/O SCH
SCH:
HYPOECHOIC AREA
BETWEEN THE
GESTATIONAL SAC AND
UTERINE WALL
Grading of
Subchorionic
Haemorrhaage:
SMALL: <20% of the size of
gestational sac
Medium: 20-50% of the size of
gestational sac
Large: >50% of the size of
gestational sac (higher risk of
complications such as
miscarriage)
HYPOECHOIC CRESCENT SHAPED FLUID COLLECTION ADJACENT TO THE
GESTATIONAL SAC
SCH >50%
of GS size
Acute SCH
appears
hyperechoic
and may
cause difficulty
to differentiate
from the
adjacent
chorion
Hypoechoic
fluid collection
adjacent to
gestational
sac
with lack of
blood flow on
colour doppler
SCH can
be
septated
MULTIFETAL PREGNANCY
 Pregnancies with more than one fetus have
become an increasingly common
 Most multifetal pregnancies are twins
 The rate of twins occurring naturally is 1 in 80 births
 Multifetal pregnancies have higher rates of periatal
morbidity and mortality than singletons
 • Chorionicity is the major determining feature for
the inherent unique complications faced by multiple
gestations
 Fetal growth differences and congenital
malformations are increased in all types of multiple
gestations
 In monochorionic twins with a single demise, there
is a high risk of severe cerebral and other injuries in
the survivor
 Sonography permits the diagnosis of syndromes
unique to monochorionic twins, including twin-
twin transfusion syndrome, twin anemia
polycythemia sequence, twin reversed arterial
perfusion sequence, and conjoined twin
ZYGOSITY/CHORIONICITY
 Twins are either dizygotic or
monozygotic
 Approximately two-thirds are
dizygotic and one-third are
monozygotic
 Dizygotic twins occur when two
separate ova are fertilized by two
separate sperm
 Monozygotic twins occur when a
single ovum is fertilized by a single
sperm
 Dizygotic twins are always
dichorionic diamniotic, meaning
that each twin has its own
placenta (chorion), amnion and
amniotic fluid
There are three possible variations of
chorionicity for monozygotic twins,
who are genetically identical i.e.
-dichorionic
diamniotic
-monochorionic
diamniotic
-monochorionic
monoamniotic
USG
Fig: Line diagram of first-trimester pregnancies. Blue, Embryo;
brown, amnion; green, chorion; small black, yolk sac.
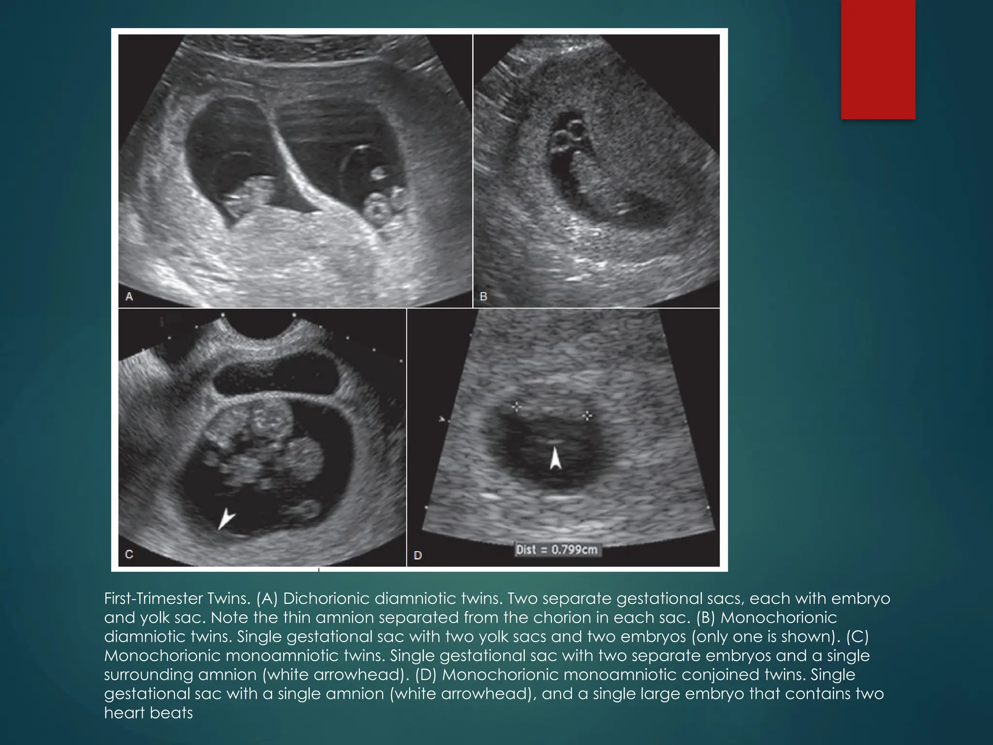
First-Trimester Twins. (A) Dichorionic diamniotic twins. Two separate gestational sacs, each with embryo
and yolk sac. Note the thin amnion separated from the chorion in each sac. (B) Monochorionic
diamniotic twins. Single gestational sac with two yolk sacs and two embryos (only one is shown). (C)
Monochorionic monoamniotic twins. Single gestational sac with two separate embryos and a single
surrounding amnion (white arrowhead). (D) Monochorionic monoamniotic conjoined twins. Single
gestational sac with a single amnion (white arrowhead), and a single large embryo that contains two
heart beats
COMPLICATIONS OF MULTIFETAL
PREGNANCY IN FIRST TRIMESTER
 Vanishing twin syndrome
 Twin-twin transfusion syndrome
 Conjoined twin
 Discordant growth
 Miscarriage(higher risk than singleton)
 SCH
 Chromosomal Anomalies(higher risk than
singleton)
CONJOINED TWIN
 Occurs when monozygotic twin embryo fails to
fully separate after the day 14 post fertilization
 Later the split, more fused the bodies will be
 Conjoined twins can be diagnosed in the late first
trimester; however, a detailed survey will be
required by 18 to 20 weeks gestation for the most
accurate evaluation of the degree of visceral
and vascular sharing
Fig: Picture shows conjoined of twin in the thorax
and abdomen
REFERENCES
1. Diagnostic ultrasound 5th
edition by
Carol Rumack Chapter 28 & 30
2. Textbook of ultrasound in obstetric
and gynaecology: practical
approach 1edition by Alfred
Abuhamad,MD Chapter 4
3. http://radiopaedia/articles/
4. http://nhmmeghalaya.nic.in/pcpndt
5. www.youtube.com/drsamimaginglibr
ary
THANK
YOU

Ultra Sonographic procedures in obstetrics.

  • 1.
    Obstetrical Ultrasound Overview & First Trimester DR.JURY D. SHIRA, PGT DMRD(NBE), DEPARTMENT OF RADIOLOGY, CIVIL HOSPITAL, SHILLONG DATED: 3RD MAY 2025
  • 2.
    Ultrasound in Ultrasonography  Inphysics, the term "ultrasound" applies to all acoustic energy (longitudinal, mechanical wave) with a frequency above the audible range of human hearing. The audible range of sound is 20 hertz-20 kilohertz. Ultrasound is frequency greater than 20 kilohertz.
  • 3.
    Ultrasound Technology  Principleof SONAR, used by bats and ships  Generation of high-frequency sound waves through a transducer  Pulsed sound waves penetrate till structures of different tissues densities is reached  Reflected energy to the transducer is amplified and displayed on a screen  Detection of breathing, cardiac actions and vessel pulsations
  • 4.
    Obstetrical Ultrasound  Introducedin the late 1950’s ultrasonography is a safe, non- invasive, accurate and cost- effective means to investigate the fetus  Computer generated system that uses sound waves integrated through real time scanners placed in contact with a gel medium to the maternal abdomen  The information from different reflections are reconstructed to provide a continuous picture of the moving fetus on the monitor screen
  • 5.
    Risks and Side-effects Ultrasonography is generally considered a "safe" imaging modality. However slight detrimental effects have been occasionally observed (see below). Diagnostic ultrasound studies of the fetus are generally considered to be safe during pregnancy. This diagnostic procedure should be performed only when there is a valid medical indication, and the lowest possible ultrasonic exposure setting should be used to gain the necessary diagnostic information under the "as low as reasonably achievable" or ALARA principle.
  • 6.
     World HealthOrganizations technical report series 875(1998).supports that ultrasound is harmless: "Diagnostic ultrasound is recognized as a safe, effective, and highly flexible imaging modality capable of providing clinically relevant information about most parts of the body in a rapid and cost-effective fashion". Although there is no evidence ultrasound could be harmful for the fetus, US Food and Drug Administration views promotion, selling, or leasing of ultrasound equipment for making "keepsake fetal videos" to be an unapproved use of a medical device.
  • 7.
     Studies onthe safety of ultrasound A study at the Yale School of Medicine found a correlation between prolonged and frequent use of ultrasound and abnormal neuronal migration in mice. A meta-analysis of several ultrasonography studies found no statistically significant harmful effects from ultrasonography but mentioned that there was a lack of data on long-term substantive outcomes such as neurodevelopment.
  • 8.
    Types of Ultrasonography TransAbdominal Ultrasonography (TAS) Trans Vaginal Ultrasonography (TVS) Doppler Ultrasound Tissue Harmonic Imaging (THI) Three-dimensional Ultrasound (3-D USG
  • 9.
    Trans Abdominal Ultrasound (TAS) •Major technique for imaging in 2nd and 3rd trimester • Patient to have full bladder because – Pushes the uterus out of the pelvis – Provides an acoustic window – Displaces pelvic bowel loop superiorly • Real-time ultrasound equipment includes: – Sector transducers, when access is limited – Linear curved array transducers, for less distortion and greater field of view
  • 11.
    Trans Vaginal Ultrasound (TVS) Method of choice for  Monitoring infertility disorders  Diagnosis of ectopic pregnancy  Differentiation of normal and abnormal 1st trimester pregnancy  Diagnosis of congenital anomalies in 2nd trimester  Patient to have empty bladder because  Uterus will be pushed posteriorly out of the field of view of the transducer
  • 12.
    Trans Vaginal Ultrasound(TVS) cont • Specially designed high frequency transducers • Higher resolution images • Favorable for obese patients or in early stage of pregnancy • Limitations include – Reduced beam penetration – More invasive nature of the technique
  • 14.
    Doppler Ultrasonography • Mostwidely employed for detection of: – Fetal cardiac pulsation – Pulsation in various fetal blood vessels • Doppler waveform for useful information about intra-uterine growth retardation • Use remains controversial due to increased power
  • 16.
    Tissue Harmonic Imaging (THI) Processing of lower amplitude, higher frequency waveforms accompanying fundamental frequency  Lesser clutter and scatter  Better visualization of fetal structure
  • 17.
    Three-dimensional USG (3- D) 3-Dimensional “cleaner” image of the scanning  Transducer captures series of images  3-D processing done by Computer  Significant improvement in identifying  Cleft lips  Spina bifida  Polydactyl
  • 19.
  • 20.
    A) The followingqualified persons may perform USG as far the provisions of the Schedule i/ii/iii of IMC Act 1956 and PCPNDT Act 1994 I. Radiologist with MD, DNB and DMRD qualifications II. Obstetric & Gynaecology Specialist(MS/DNB/DGO) with 4 week of training and 6months of experiences III. Medical Officer(MBBS) with 6 months of training in obstetric USG as mandate by PCPNDT Act 1994
  • 21.
    PC-PNDT Act 1994  Pre-Conceptionand Pre-Natal Diagnostic Techniques (Prohibition of Sex Selection) Act, 1994 an Act of the Parliament of India enacted to stop female foeticides and arrest the declining sex ratio in India. The act banned prenatal sex determination. Main provisions in the act are:- 1. The Act provides for the prohibition of sex selection, before or after conception. 2. It regulates the use of pre-natal diagnostic techniques, like ultrasound machine by allowing them their use only to detect :- genetic abnormalities, metabolic disorders, chromosomal abnormalities, certain congenital malformations, haemoglobinopathies, Sex linked disorders. 3. No laboratory or centre or clinic will conduct any test including ultrasonography for the purpose of determining the sex of the foetus. 4. No person, including the one who is conducting the procedure as per the law, will communicate the sex of the foetus to the pregnant woman or her relatives by words, signs or any other method. 5. Any person who puts an advertisement for pre-natal and pre- conception sex determination facilities in the form of a notice, circular, label, wrapper or any document, or advertises through interior or other media in electronic or print form or engages in any visible representation made by means of hoarding, wall painting, signal, light, sound, can be imprisoned for up to three years and fined Rs. 10,000.
  • 22.
  • 25.
    Indications for Ultrasonography in ThirdTrimester  Fetal growth monitoring  Estimation of fetal weight  Evaluation of fetal wellbeing  Biophysical Profile  Placenta position  Amniotic fluid index  Presentation and lie  Follow up of anomalities in second trimester  Post dated(placental aging, fluid and fetal status)
  • 26.
    Post Partum Indication of Ultrasonography PPH& Retained products of conception Uterine rupture or dehiscene Endometritis Pelvic abscess Bladder Injury Ovarian vein thrombosis Lochia abnormalities CS scar evaluation
  • 27.
  • 28.
    First Trimester USG •0-4.3 weeks: no ultrasound findings • 4.3-5.0 weeks: • possible small gestational sac • possible double decidual sac sign (DDSS) • possible intradecidual sac sign (IDSS) • 5.1-5.5 weeks: • ​ gestational sac should be visible by this time • 5.5-6.0 weeks • yolk sac should be visible by this time • gestational sac should be ~6 mm in diameter • Double bleb sign • Diamond ring sign(6weeks)
  • 29.
    • >6.0 weeks •fetal pole may be identifiable on endovaginal ultrasound (1-2 mm) • fetal heart rate (FHR) should be ~100-115 bpm • gestational sac should be ~10 mm in diameter • 6.5 weeks • crown rump length (CRL) should be ~5 mm • 7-8 weeks • CRL is between 11-16 mm • cephalad and caudal poles can be identified
  • 30.
    • 8-9 weeks •CRL is between 17-23 mm • limb buds appear • head can be seen as separate from the body • 9-10 weeks • CRL is between 23-32 mm • fetal heart rate 170-180 bpm • fetal movement can be seen • a round hypoechoic structure in the fetal brain represents a developing embryonic/fetal rhombencephalon 11 weeks: nuchal translucency may begin to be seen
  • 31.
    Gestational Sac USG • Roundor oval with regular margin • Eccentric toward one side of endometrium • May show yolksac or embryo inside • Wall is thick with echogenic rim • Intrauterine pregnancy
  • 32.
  • 34.
    PGS: Fluid filled collectionwithin the uterus, often mistaken for a GS USG: • Irregular shaped with pointed edges and/or filled with debris(beaking). • Centrally located in endometrial cavity • Usually empty. • Absent of double decidual sac • Wall is thin • Often seen in ectopic pregnancy
  • 35.
    Fetal Heart Rateon USG  Visible heart activity: 43 days (6.1w)  Normal heart rate at 6 weeks: 90-110 bpm  At 8-9 weeks if nl heartbeat: 140-170bpm  At 9 weeks:140-195 bpm(average=170)  At 5-8 weeks a FHR <90 bpm is associated with a high risk of miscarriage
  • 38.
  • 44.
    NUCHAL TRANSLUCENCY  Fluidfilled space in the back of the foetal neck.  Its measurement is used in the screening of the chromosomal abnormalities in the first trimester  Ideal time for measuring NT is between 11 weeks to 13weeks 6days of gestation (CRL between 45 to 84mm)  Can be scan using TAS & TVS  Fluid filled anechoic space at the back of the foetal neck  Normal NT measurement <2mm
  • 45.
  • 46.
    Measurement of NuchalTranslucency Nuchal Translucency
  • 47.
    Evaluation of Uterusand Adnexal structures Uterus and cervical plug
  • 48.
  • 49.
    Obtetrica l perspecti ve:  Pregnancy losses Threatenedabortion, inevitable abortion, incomplete abortion, complete abortion, missed abortion, septic abortion  Ectopic Pregnancy  Molar Pregnancy  Hyperemesis gravidarum  Early Pregnancy bleeding  Chromosomal Abnormalities  Structural Abnormalities  Multiple Pregnancy
  • 50.
    Sonologic al Perspectiv e  Early PregnancyFailure  Ectopic Pregnancy  Molar Pregnancy  Subchorionic Haemorrhage  Multifetal pregnancy  Foetal Anomalies  Cervical Insufficiency
  • 51.
    Early Pregnancy Failure CRL>/=7MMWITH NO FOETAL HEART BEAT OR MEAN SAC DIAMETER >/=25MM WITH NO EMBRYO
  • 52.
    Ectopic Pregnancy:  Implantationof fertilised ovum outside of the uterine cavity  Risk of 1-2% of all the pregnancy. The risk as high as 18% first trimester pregnancies with bleeding Locations:  Tubal ectopic: 93-97% (ampulla 65%, Isthmus 11%, fimbria 10%, interstitial 3%)  Ovarian ectopic: 0.5-1%  Cervical ectopic: <1%  Abdominal ectopic: 1.4%  Scar(CS):Rare
  • 54.
    USG of EctopicPregnancy  Empty uterine cavity or no evidence of intrauterine pregnancy(exception: heterotopic pregnancy)  Pseudogestational sac/decidual sac may be seen in 10-20% of EP  Thick echogenic endometrium  Tube and ovary: simple adnexal cyst, complex extraadnexal cyst/mass, solid hyperechoic mass(not specific), tubal ring sign, ring of fire sign  Peritoneal cavity: Free pelvic fluid/hemoperitoneum in pouch of Douglas, free fluid in hepatorenal recess/Morison’s pouch
  • 56.
  • 57.
  • 58.
    MOLAR PREGNANCY: The mostcommon forms of gestational trophoblastic disease  Types: Partial and Complete  Partial: associated with abnormal foetus/with foetal demise  Complete: associated with complete absence of foetus
  • 59.
    Partial Molar Pregnancy Greatly enlarged placenta relative tothe size of the uterine cavity Cystic spaces within the placenta Amniotic cavity either empty or contains amorphous small foetal echoes which may be surrounded by thick rim of pacental echoes Colour doppler may show high velocity and low impedance flow
  • 60.
  • 61.
    Complete Molar Pregnancy  Enlarged uterus Intrauterine mass with multiple cystic spaces without any associated of foetal part or foetal echoes often refer to as “snowstorm” or “bunch of grapes” appearance  Colour doppler shows high velocity with low impedance flow
  • 62.
  • 63.
    SUBCHORIONIC HAEMORRHAGE  Perigestationalhaemorrhage and blood collection outsidre the gestational sac that accumulates between the uterine wall and the chorionic membrane in pregnancy  Frequent cause of bleeding in first trimester and second trimester  Causes: Trauma, maternal conditions(clotting disorders, hypertension, hormonal changes, infections/inflamations, previous H/O SCH
  • 64.
  • 65.
    Grading of Subchorionic Haemorrhaage: SMALL: <20%of the size of gestational sac Medium: 20-50% of the size of gestational sac Large: >50% of the size of gestational sac (higher risk of complications such as miscarriage)
  • 66.
    HYPOECHOIC CRESCENT SHAPEDFLUID COLLECTION ADJACENT TO THE GESTATIONAL SAC
  • 67.
  • 68.
    Acute SCH appears hyperechoic and may causedifficulty to differentiate from the adjacent chorion
  • 69.
  • 70.
  • 71.
    MULTIFETAL PREGNANCY  Pregnancieswith more than one fetus have become an increasingly common  Most multifetal pregnancies are twins  The rate of twins occurring naturally is 1 in 80 births  Multifetal pregnancies have higher rates of periatal morbidity and mortality than singletons  • Chorionicity is the major determining feature for the inherent unique complications faced by multiple gestations  Fetal growth differences and congenital malformations are increased in all types of multiple gestations
  • 72.
     In monochorionictwins with a single demise, there is a high risk of severe cerebral and other injuries in the survivor  Sonography permits the diagnosis of syndromes unique to monochorionic twins, including twin- twin transfusion syndrome, twin anemia polycythemia sequence, twin reversed arterial perfusion sequence, and conjoined twin
  • 73.
    ZYGOSITY/CHORIONICITY  Twins areeither dizygotic or monozygotic  Approximately two-thirds are dizygotic and one-third are monozygotic  Dizygotic twins occur when two separate ova are fertilized by two separate sperm  Monozygotic twins occur when a single ovum is fertilized by a single sperm  Dizygotic twins are always dichorionic diamniotic, meaning that each twin has its own placenta (chorion), amnion and amniotic fluid
  • 74.
    There are threepossible variations of chorionicity for monozygotic twins, who are genetically identical i.e. -dichorionic diamniotic -monochorionic diamniotic -monochorionic monoamniotic
  • 75.
  • 76.
    Fig: Line diagramof first-trimester pregnancies. Blue, Embryo; brown, amnion; green, chorion; small black, yolk sac.
  • 77.
    First-Trimester Twins. (A)Dichorionic diamniotic twins. Two separate gestational sacs, each with embryo and yolk sac. Note the thin amnion separated from the chorion in each sac. (B) Monochorionic diamniotic twins. Single gestational sac with two yolk sacs and two embryos (only one is shown). (C) Monochorionic monoamniotic twins. Single gestational sac with two separate embryos and a single surrounding amnion (white arrowhead). (D) Monochorionic monoamniotic conjoined twins. Single gestational sac with a single amnion (white arrowhead), and a single large embryo that contains two heart beats
  • 78.
    COMPLICATIONS OF MULTIFETAL PREGNANCYIN FIRST TRIMESTER  Vanishing twin syndrome  Twin-twin transfusion syndrome  Conjoined twin  Discordant growth  Miscarriage(higher risk than singleton)  SCH  Chromosomal Anomalies(higher risk than singleton)
  • 79.
    CONJOINED TWIN  Occurswhen monozygotic twin embryo fails to fully separate after the day 14 post fertilization  Later the split, more fused the bodies will be  Conjoined twins can be diagnosed in the late first trimester; however, a detailed survey will be required by 18 to 20 weeks gestation for the most accurate evaluation of the degree of visceral and vascular sharing
  • 80.
    Fig: Picture showsconjoined of twin in the thorax and abdomen
  • 81.
    REFERENCES 1. Diagnostic ultrasound5th edition by Carol Rumack Chapter 28 & 30 2. Textbook of ultrasound in obstetric and gynaecology: practical approach 1edition by Alfred Abuhamad,MD Chapter 4 3. http://radiopaedia/articles/ 4. http://nhmmeghalaya.nic.in/pcpndt 5. www.youtube.com/drsamimaginglibr ary
  • 82.