The Normal Chest X-Ray
Introduction
• Most of the chest x-rays you will see
will be normal
• In order to recognise abnormality, you
need to know what a normal CXR looks
like
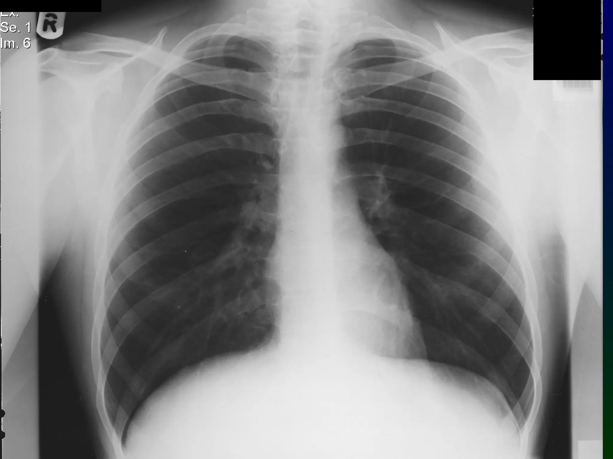
The CXR on the next slide is normal. How
would you interpret it?
General Principles
• Have a systematic approach
• Interpret the CXR in conjunction with
the clinical findings
• Always compare with previous CXR if
available to assess for change
• Ask yourself “does my interpretation
make sense?”
•Name/marker/rotation/
penetration
•Lines/metal work
•Heart
•Mediastinum
•Lungs
•Zones
(upper/middle/lower)
•Bones
•Diaphragm
•Soft Tissues
Systematic Approach
•Name/marker/rotation/
penetration
Systematic Approach
clavicles equidistant
from spinous
processes of thoracic
spine
can just see lower
thoracic spine
•Lines/metal work
Systematic Approach
Look for:
•Sternal wires (implies
previous thoracic
surgery)
•Tip of endotracheal
tube (2cm above
carina)
•Lines/metal work
Systematic Approach
Tip of central venous
lines at origin of
superior vena cava. See
tubes and lines
presentation.
•Heart
Systematic Approach
•Occupies up to 50% of
the maximum internal
thoracic diameter on a
standard PA erect view
•Cannot comment on
heart size on AP view
because of magnification
of heart
•Mediastinum
Systematic Approach
•Hilar vascular
structures should be
crisply defined
•No widening of
mediastinum
•Trachea should be
central
•Lungs
Systematic Approach
upper zone
lower zone
middle zone
•Compare upper, mid
and lower zones
•Look between ribs for
lung detail
•Remember to look
“behind” the heart
•Bones
Systematic Approach
•Look at each rib in turn
•Clavicles
•Scapulae and humeri if
visible
•Lower cervical and
thoracic spine
•Diaphragm
Systematic Approach
•Both diaphragms
should form a sharp
margin with the lateral
chest wall
•Both diaphragm
contours should be
clearly visible medially
to the spine
Position of stomach
gas bubble (not
present on this CXR)
•Soft Tissues
Systematic Approach
•Supraclavicular fossae
(enlarged nodes)
•Lateral chest wall
(surgical emphysema)
•Under diaphragm
(pneumoperitoneum)
How would you summarise this?
“This is an erect chest X-Ray of an adult male. The
heart is not enlarged, the mediastinal contours are
normal and the lungs are clear”
Take Home Points
• Be systematic
• Review with history and physical
examination in mind

normal chest radiohgraphy interpretation .ppt