NASAL POLYPOSIS
DR.MARJAN
RHINOSINUSITIS-
defined as group of disorders characterised by inflammation of
mucosa of nose & paranasal sinuses.
Classifies as CRSsNP annd CRSwNP
• 2 major + 1 minor symptom
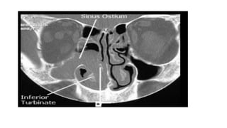
• Morphologically nasal polyps are oedematous
grape like protrusions most often originating
in the upper part of the nose around the
osteomeatal complex on the lateral wall.
• The surface epithelium tends to be smooth
and consists of pale translucent tissue which
distinguishes them from the more vascular
mucosa of the nasal cavity.
• Polyps can vary in size and can be a bilateral
condition.
.
DEFINITION
Nasal polyps are defined as ‘chronic rhinosinusitis with nasal polyps’ (CRSwNP)
European guidelines define these conditions clinically as:
• inflammation of the nose & PNS associated with 2 / more symptoms, one of which should be
nasal blockage/ obstruction/ congestion or nasal discharge:
❍ +/− facial pain/pressure
❍ reduction or loss of smell
and either
• endoscopic evidence of ❍ polyps and/or ❍ mucopurulent discharge from the MM or oedema,
mucosal obstruction primarily in the middle meatus
and/or
• CT changes:
❍ mucosal changes within the osteomeatal complex
INCIDENCE AND PREVALANCE
• In normal population the prevalence is between 1- 4% in adults and 0.1% in children.
• Nasal polyps are more common in males (2–4:1).
• No racial predilection.
• Incidence declines after 60 years of age.
• Certain systemic diseases carry a higher incidence of nasal polyps.
ETIOLOGY AND PATHOGENESIS
• Polyps arise in the presence of inflammation.
• May be initiated by a number of factors,
resulting in dysregulated interaction between
the sinus epithelium and the lymphoid
system.
• Histologically- loose connective tissue,
inflammatory cells and fluid, and are usually
covered by pseudostratified, columnar, ciliated
epithelium
• Polyps form when oedematous connective
tissue stroma ruptures and herniates through
the basement membrane.
• Bacteria, fungi, allergens, and superantigens,atopy, mucociary dysfuction,
environmental irritants, acquired sinonasal obstruction( OMC), osteitis, genetic
and epigenetic variation of host.
• May be initiated by a number of factors, resulting in dysregulated interaction
between the sinus epithelium and the lymphoid system
BACTERIA
• nasal cavity - diverse flora, consisting mostly of aerobic and anaerobic bacteria.
• Gram-positive -- streptococci, coagulase-negative staphylococci, and Staphylococcus
aureus
• gram-negative organisms such as Moraxella catarrhalis, Haemophilus influenzae,
Prevotella species, Enterobacter species, and Pseudomonas species.
• Staph aureus- most frequently described
can reside within the nasal epithelial cells and form surface biofilms, produce
superantigenic exotoxins
Biofilms are highly organised structures with encasement of bacteria in a self developed
extracellular matrix of polysacchrides that protects it against host defence & antibiotics
• Superantigenic exotoxins --> unlike conventional antigens, do not need processing.
• They induce the activation of numerous T-cell clones and a massive secretion of
cytokines, and therefore have the ability to activate as much as 20% of the body’s T
cells, compared with only 0.001–0.0001% for regular antigens.
• characteristic inflammatory response with TH2 inflammation, eosinophilic
recruitment, local polyconal IgE production & polyp formation.--> CRwNP
• Clinically, cases of nasal polyps with the presence of biofilms-- severe form of the
disease and worse postoperative outcome.
• Staph aureus & Pseudomonas aeuroginosa worse prognosis
VIRUSES
Latent/ chonic viral infections may predispose, as they break upper airway
epithelium
TOXINS AND ALLERGENS
• Increased CRS in factory workers & certain craft & related trade workers
(Cigarette smoke)
↓
breaks sinonasal epithelial barrier by production of reactive O2 &N species,
mucocilillary dysfunction & proinflammatory cytokine induction
Severe perennial AR
HOST FACTORS
1. ANATOMY-
acq obstruction of OMC, traumatic or infectious--> CRSwNP
2. MECHANICAL BARRIER-
mucocillary clearance and apical junctional complex- 1st line of defence
In CRSwNP-->
There is altered level of adhesion-complex proteins &
low levels of intrinsic protective antiprotease activity
Mucocilliary dysfn- CRSsNP
Porous barrier- CRSwNP
• c. INNATE IMMUNITY
• Epithelial cells envrn stimuli breach mechanical barrier
↓
sinonasal ECs & PRRs (pattern recognising proteins) eg: TLR
initiates innate response
↓
damage associated molecules(combined signals from Foreign material &
cellular damage)
↓
host defence molecules, cytoines & chemokines
i. Classic taste recetors(PRRs)--> detects microbes-- variation --> CRS
ii. Decresed exprssn of of host defence mechaniisms
iii. Dereased S100 protein family members(antimicrobial, epithelial barrier
function, wound healing)
iv. PLUNC protein decreased(upper airway antimicrobial protein against biofilm)
v. STAT 3 (TF) & IL22 R deficiency- esp in CRSwNP
Effector cells - esp eosinophils & mast cells- associated with tissue
damage and repair process.
• Dendritic cells and innate lymphocytes respond to epithelial cytokines
and environmental stimuli & thus bridge the gap between innate and
adaptive cells.
• Dendritc cells activate both innate and adaptive immunity via
antigen capture, presentation to APCs & secretion of soluble
inflammatory mediators
Tissue remodelling
• Modifications of normal composition & structural organisation of tissues-->
fibrosis,epithelial organisation, BM thickening, globet cell hyperplasia,
subepithelial edema & inflammatory cell infilterates.
• IN CRS- ECM - areas of edema in CRSwNP
fibrosis in CRSsNP
Low levels of TGF b with increased tissue edema---in CRwNP
excessive fibrin deposition, fluid retention
high levels of TGF b(increased collagen formation)--in CRSsNP
Osteopontin (OPN), periostin(OSF-2) - bone remodelling & TH2 airway inflammationis
high in CRSwNP
Theories of etiology and pathogenesis
• Fungal theory(Alternaria)
• Leukotriene hypothesis- defects in eicosanoid pathway,↑proinflammatory & ↓
antinflammatory PG(PGE2)- but only explains a subset (aspirin sensitive & aspirin
tolerant CRSwNP)
• Staphylococcal superantigen hypothesis- but demonstrated only in half
• Immune barrier hypothesis - decreased STAT 3
• Biofilm hypothesis- sequester staphlococci, wich permits secretion of
superantigens that trigger TH2 skewing & eosinophilic polyposis
ASSOCIATED DISEASES
• The prevalence of CRSwNP is 4% of the general population
• 7% in patients with asthma.
• 30–60% in patients with aspirin exacerbated respiratory disease (AERD)
• Chronic inflammation and allergic fungal sinusitis - potential risk factors for nasal
polyps, and the association between genetic variations and chronic rhinosinusitis
suggests that genetic polymorphisms could be related to nasal polyps
development
Asthma
• Upper and lower airways are lined by the same pseudostratified ciliated columnar
epithelium.
• Increased risk in presence and severity
• Of patients with late-onset asthma, 10–15% develop nasal polyps, with patients
generally developing asthma first, then polyps within 9–13 years.
• This occurs faster in aspirin-induced asthma, 2 years from the onset.
• Asthma and nasal polyps- same basic features of eosinophilia, mucus cell
hyperplasia, edema, thickened basal membrane and increased pro-
inflammatory mediators, for example cysteine leukotrienes.
• improvement in lower airway disease is observed when nasal polyps are
effectively treated.
Aspirin-exacerbated respiratory disease (AERD, Samter’s Triad)
• Bronchial asthma, nasal polyposis and aspirin sensitivity
• First described by Wimal in 1922 and then recognized as a triad of clinical
manifestations by Samter 1967.
• Prevalence-- 0.3% in the general population and between 5 and 10% of the
adult asthmatic population.
• This increases over 40 years of age, and these patients are normally non-
atopic.
• The currently accepted pathophysiology inhibition of cycle-oxygenase in the
arachidonic acid pathway.
• By blocking cycle-oxygenase, the arachidonic acid is shunted into lipoxygenase
and there is an increased production of leukotrienes.
• The subsequent decreased prostaglandin E2 leads to mast cell instability with
release of histamine.
• The combination of increased histamine vascular permeability, leakage from the
vascular system and oedema
• It is thought that this cycle of inflammation and oedema results in
the formation of polyps.
• The nasal polyps associated with AERD/Samter’s Triad are often very
extensive, with significantly higher radiological CT scores than non-
AERD patients with nasal polyps
• They can be difficult to treat and have a higher rate of recurrence..
Allergic fungal rhinosinusitis
• First reported in 1976
• It is a type 1 hypersensitivity reaction to fungal antigens in which patients usually
present with unilateral or bilateral nasal polyps.
• 80% of patients with fungal sinusitis have nasal polyps.
• Theories on pathogenesis include hypersensitivity and T-cell mediated reactions as
well as a humoral immune response.
• Treatment is largely surgical, with a strong role for oral corticosteroids and an
emerging role for immunotherapy.
• Antifungals, both systemic and topical, currently have a limited role in treatment,
although this area needs further study.
• In 1994, Bent and Kuhn published their diagnostic
criteria centred on the histologic, radiographic, and
immunologic characteristics of the disease
• Patients must meet all the major criteria for
diagnosis, while the minor criteria serve to support
the diagnosis
• The major criteria include a history of type I
hypersensitivity by history, skin testing, or in vitro
testing; nasal polyposis; characteristic computed
tomography (CT) scan findings with soft tissue
differential densities; the presence of eosinophilic
mucin without fungal invasion into the sinus tissue;
and a positive fungal stain of sinus contents removed
at the time of surgery.
• The minor criteria include a history of asthma,
unilateral predominance of disease, radiographic
evidence of bone erosion, fungal cultures, presence
of Charcot-Leyden crystals in surgical specimens, and
serum eosinophilia.
• A wide variety of fungi have been isolated from the sinuses of
patients with chronic rhinosinusitis in almost 100% of patients, both
controls and CRS patients.
• Therefore the only features that appear to be unique to AFRS are type
1 hypersensitivity and the characteristic CT findings.
Cystic fibrosis
• Cystic fibrosis (CF) is an autosomal recessive disorder caused by mutations of a gene
on chromosome 7.
• The gene prevalence is approximately 1:25 in the Caucasian population
• CF patients have thick, tenacious mucus secondary to a mutation in the CF
transmembrane conductance regulator chloride channel that affects mucociliary
transport.
• Although the majority of CF patients do not report sinonasal symptoms, CRS is
prevalent, with nasal polyps present in up to 86% of patients.
• In CF CRS, inflammation is neutrophil driven with IL-8 being the primary
cytokine.
• Sinus cultures typically grow Staphlococcus aureus or Pseudomonas
aeruginosa.
• Examination of CF patients with nasal polyps -- B/L polyposis with thick
rhinorrhoea and facial deformities such as hypertelorism.
• In addition to nasal polyps, CT scan findings include hypoplasia of the frontal
or sphenoid sinuses as well as demineralization and medial displacement of
the uncinate process
• Mucocele formation is not uncommon in CF, and therefore the presence of
mucoceles in a child should raise suspicion for CF.
Primary ciliary dyskinesia
• Primary ciliary dyskinesia (PCD) is a rare autosomal recessive disease in which
abnormal or absent beating of cilia hinders normal mucociliary clearance.
• The commonest presentations are in the upper and/or lower respiratory tracts,
with mucus retention and recurrent infection leading to nasal polyposis and/or
bronchiectasis.
• Kartagener’s syndrome is a clinical variant of PCD and is a triad of chronic
sinusitis, bronchiectasis and situs inversus.
• 27% of patients with Kartagener’s syndrome have nasal polyps
Young’s syndrome
• Young’s syndrome is a rare disease with 3 components:
obstructive azoospermia, bronchiectasis and sinus disease.
• Prevalence-unknown.
• In the 1980s,-one in 500 males and was described as being
more common than cystic fibrosis.
• But,in the last 20 years- only a handful of cases
• A reduction in the use of mercury in Europe and the USA
• Mercury exposure in childhood-- only etiological factor
identified.
• Mercury inhibits enzymes containing sulphydryl by reacting
with thiols to form mercaptides.
• Mercaptides are thought to inhibit glycolysis, which is
necessary for the normal function and energy supply of
sperm and cilia.
EGPA (Churg Strauss)
• Previously known as Churg Strauss syndrome
• Eosinophilic granulomatosis with Polyangiitis (EGPA).
• It is a systemic small-vessel vasculitis associated with asthma and eosinophilia, 3
phases
prodromic, allergic phase characterized by asthma and rhinosinusitis,
eosinophilic phase hallmarked by peripheral eosinophilia and organ involvement
vasculitic phase with clinical manifestations due to small-vessel vasculitis.
• These phases partially overlap and may not appear in such a defined order
• Asthma and rhinosinusitis only rarely arise after the vasculitic manifestations.
Criteria for classification from the American College of Rheumatology consist of the following
asthma
eosinophilia of >10% in peripheral blood
paranasal sinusitis
pulmonary infiltrates, sometimes transient
histologic evidence of vasculitis with extravascular eosinophils
mononeuritis multiplex or polyneuropathy
 if ≥4 criteria are present, sensitivity is 85%, and specificity is 99.7%
• Suspect EGPA in a patient with adult-onset asthma and a history of rhinosinusitis, who
develops pronounced eosinophilia and lung infiltrates.
• Eosinophilia may occur in asthmatic patients, but is mild (<10%); lung infiltrates due to
bronchial plugging by mucus and superimposed infection may complicate asthma, but they
are uncommon.
• Nasal polyps affect approximately 50% of patients with EGPA and consistently recur after
surgery in patients not receiving immunosuppressive therapy
GENETICS
• Exact genetics- remain unclear.
• Associations between chronic rhinosinusitis and polymorphisms in over 30 genes
have been published
• Studies of monozygotic twins have not shown both siblings to always develop
polyps, indicating that environmental factors are also likely to play a role in the
development of nasal polyps.
CLINICAL PRESENTATION
• Presentation is variable, depends on the extent of the disease.
• Small polyps- identified incidentally.
• Larger polyps may cause significant symptoms.
• Symptoms- persistant progressive over months to years,
mild nasal congestion with watery rhinorrhoea to a persistent nasal obstruction
associated with hyposmia or anosmia, with thick post nasal discharge and occasional
headaches.
• Epistaxis, not seen.
• Massive polyps or a single large polyp -
- chronic mouth breathing and
obstructive sleep symptoms.
• Rarely, proptosis, hypertelorism and
diplopia can result from alterations in
the craniofacial structure.
• As they are slow-growing nature,
massive polyposis does not cause
neurological symptoms or pain, even
if they extend into the intracranial
cavity .
DIAGNOSIS
• Anterior rhinoscopy is the first
step to diagnosis, but is
inadequate alone and cannot
exclude polyps.
• Nasal endoscopy after topical
decongestant is needed for
diagnosis, as well as identifying
discharge, crusting or scarring
secondary to previous surgery.
• Plain sinus radiographs are insensitive and should not be used to
diagnose polyps.
• CT scanning with coronal sections is the investigation of choice for
assessing the extent of the disease and detailing the anatomy
before surgery.
• MRI- helpful to differentiate from tumour, or if intracranial
extension of disease is suspected.
• History for features of systemic disease should be taken, including
lower airway symptoms, and tests for factors associated with nasal
polyps can be performed.
• The effects of treatment on nasal obstruction and polyp masses can
be documented objectively via nasal inspiratory peak flow,
rhinomanometry, acoustic rhinometry, olfactory tests and symptom
scoring.
CLASSIFICATION
• Endoscopic and CT-based staging systems are used to determine
the extent of disease within the nose and sinuses, and facilitate
both medical communication and evaluation of therapeutic
responses.
• The clinical staging system and endoscopic scoring systems are
based on the assumption that the polyp grows from the middle
meatus down towards the floor of the nose.
• The Lund–Mackay system gives a
score of 0–2 depending on the
absence, partial or complete
opacification of each sinus system
and of the osteomeatal complex on
computed tomography scanning.
•
• A maximum score of 12 per side can
be achieved
• The Lund-Mackay score increases
with increasing grade of polyposis
• The radiological staging system includes all sinuses and the
osteomeatal complex bilaterally. Various radiological staging systems
have been described.
MANAGEMENT
• Treatment aims to eliminate symptoms and nasal polyps, re-
establish nasal breathing and olfaction, prevent recurrence and
improve patients’ quality of life.
• Treatment can be divided into medical and surgical.
Medical
• All patients should have a trial of medical therapy first, unless histology is required.
• Medical treatment consists mainly of topical and systemic corticosteroids,--> affect
eosinophil function directly by reducing both eosinophil viability and activation, and
indirectly by reducing the secretion of haemotactic cytokines by nasal mucosa and
polyp epithelial cells.
• Intranasal corticosteroids (INCS)-->improves nasal airflow, reducing polyp size and
decreasing rate of recurrence.
• The effect on sense of smell is poor when compared to systemic steroids, which may
be due to the sprays being unable to reach the olfactory mucosa because of oedema.
• Nasal drops are more effective than sprays, +ve effect on sense of smell,
• But are relatively potent topical steroids, not for longer than 2 months at one time unless under
specialist supervision, or for longer than 4 months in one 12-month period, as they can be
absorbed systemically.
• Larger polyps may require systemic corticosteroids, for example prednisolone 0.5 mg/kg each
morning for 5–10 days.
• Maintenance therapy with topical corticosteroid spray is recommended as these may have lower
bioavailability than drops and are less likely to be administered incorrectly
• It is recommended that patients are started on sprays, drops or systemic steroids depending on
their initial presentation and examination findings.
• Antihistamines only help if allergy is present, and leukotriene inhibitors may help patients with
coexisting asthma and/or aspirin sensitivity.
• S/E intranasal corticosteroids-- irritation and epistaxis.
• Potential adverse events on long term are effects on growth, ocular
effects, effects on bone and effects on the hypothalamic pituitary-
adrenal axis.
• Measurement of salivary cortisol is a useful, non-invasive and
economical test for monitoring patients using intranasal corticosteroids.
• There is evidence that a 3-month course of a macrolide antibiotic can
help nasal polyps.
• Macrolides have been shown to increase mucociliary transport, reduce
goblet cell secretion and cause accelerated apoptosis of neutrophils,
all of which would reduce the symptoms of chronic inflammation.
• acute cardiac toxicity is an increasingly recognized potential adverse effect
• macrolide class of antibiotics are known to interfere with the delayed rectifier
potassium current, which results in accumulation of potassium ions in cardiac
myocytes and thereby delays cardiac repolarization.
• prolongation of the QT interval, this mechanism is thought to underlie an
increase in the risk of torsade de pointes, a potentially fatal arrhythmia, with
macrolides.
• A recently published large cohort study has found a significantly increased risk of
cardiac death associated with clarithromycin.
• No increased risk was seen with roxithromycin.
• Nasal douching provides symptomatic benefit, and should be used with sterilized
or distilled water to avoid contamination.
CHART
SURGERY
• for patients who have failed to respond to maximal medical treatment and for
those with complications.
• Functional endoscopic sinus surgery aims to improve sinus ventilation and
drainage as well as removing polyps.
• The extent of surgery varies with the extent of disease, the surgeon’s individual
practice and available technology.
• More precise clearance of the inflammatory change than conventional surgery.
• It may be associated with fewer complications and lower recurrence rates.
• Patients being treated for polyp disease derive the greatest benefit from functional
endoscopic sinus surgery, and those whose main preoperative symptom is nasal
obstruction or headache report higher benefit.
• Coexistent asthma, allergic rhinitis or aspirin intolerance does not decrease the benefit of
sinus surgery in patients with polyps.
• Postoperatively, patients should be treated with nasal douching and intranasal or
systemic corticosteroids, and compliance with this treatment will influence the long term
efficacy of surgery.
• There is good evidence that postoperative use of topical nasal steroids reduce the rate of
polyp recurrence.
ANTROCHOANAL POLYP = KILLIAN POLYP
DEFINITION
• Antrochoanal polyp is a benign solitary polypoidal lesion arising from
the maxillary sinus antrum causing opacification and enlargement of
antrum radiologically without any evidence of bone destruction.
• It exits the antrum through the accessory ostium reaches the nasal
cavity, expands posteriorly to exit through the choana into the post
nasal space.
• It is dumb bell shaped with 3 components- antral(thin stalk),
choanal(round globular), nasal (fat from side to side)
• Seen in children and adults
ETIOPATHOGENESIS
Nasal allergy coupled with infection
• PROETZ THEORY :
faulty development of the max sinus ostium, large in the patients. Hypertrophied nasal
mucosa of the antrum sprouts out through this. Growth of polyp is due to venous obstruction.
• Bernoullis phenomenon
Pr drop next to a constriction causes a suction effect pulling the
sinus mucosa into the nose.
• Mucopolysacchride changes:
Jackson postulated changes in the mucopolysacchrides of the ground substance
Mill's theory:
AC polyp may be maxillary mucoceles which could be caused due to
obtruction of mucinous changes
Ewing's theory:
Anomaly during max sinus devpt, could leave a mucosal fold close to
ostium. This fold could later be aspirated into the sinus cavity due to
effects of inspired air causing the development of AC polyp
Infections
Vasomotor imbalance theory
HISTOLOGY
Respiratory epithelium over normal BM.
The interstitial layer is grossly edematous, with no eosinophils, but
other inflammatory cells.
Clinical presentation
• U/L nasal obstrn
• U/L nasal discharge- mucid
• Headache
• Sleep apnoea
• Rhinolalia clauda( hyponasality)
Management
Investigations:
Xray PNS:opacity of involved antrum, globular swelling in post nasal
space. Column of air behing the polyp
CT PNS
Examiantion
Ant Rhinoscopy: may or may not be
seen.
• Smooth greyish glistening mass
covered with mucoid discharge
• Soft, insensitive to touch , can be
moved up and down with a probe.
Posterior Rhinoscopy: Globular mas
filling choana
Nasal endoscope
DD
treatment
• transnasal avulsion
• Cald wel Luc approach
• Endoscopic sinus surgery
• THANK YOU

Nasal Polyposis.

  • 1.
  • 2.
    RHINOSINUSITIS- defined as groupof disorders characterised by inflammation of mucosa of nose & paranasal sinuses. Classifies as CRSsNP annd CRSwNP
  • 3.
    • 2 major+ 1 minor symptom
  • 4.
    • Morphologically nasalpolyps are oedematous grape like protrusions most often originating in the upper part of the nose around the osteomeatal complex on the lateral wall. • The surface epithelium tends to be smooth and consists of pale translucent tissue which distinguishes them from the more vascular mucosa of the nasal cavity. • Polyps can vary in size and can be a bilateral condition. .
  • 5.
    DEFINITION Nasal polyps aredefined as ‘chronic rhinosinusitis with nasal polyps’ (CRSwNP) European guidelines define these conditions clinically as: • inflammation of the nose & PNS associated with 2 / more symptoms, one of which should be nasal blockage/ obstruction/ congestion or nasal discharge: ❍ +/− facial pain/pressure ❍ reduction or loss of smell and either • endoscopic evidence of ❍ polyps and/or ❍ mucopurulent discharge from the MM or oedema, mucosal obstruction primarily in the middle meatus and/or • CT changes: ❍ mucosal changes within the osteomeatal complex
  • 6.
    INCIDENCE AND PREVALANCE •In normal population the prevalence is between 1- 4% in adults and 0.1% in children. • Nasal polyps are more common in males (2–4:1). • No racial predilection. • Incidence declines after 60 years of age. • Certain systemic diseases carry a higher incidence of nasal polyps.
  • 7.
    ETIOLOGY AND PATHOGENESIS •Polyps arise in the presence of inflammation. • May be initiated by a number of factors, resulting in dysregulated interaction between the sinus epithelium and the lymphoid system. • Histologically- loose connective tissue, inflammatory cells and fluid, and are usually covered by pseudostratified, columnar, ciliated epithelium • Polyps form when oedematous connective tissue stroma ruptures and herniates through the basement membrane.
  • 8.
    • Bacteria, fungi,allergens, and superantigens,atopy, mucociary dysfuction, environmental irritants, acquired sinonasal obstruction( OMC), osteitis, genetic and epigenetic variation of host. • May be initiated by a number of factors, resulting in dysregulated interaction between the sinus epithelium and the lymphoid system
  • 9.
    BACTERIA • nasal cavity- diverse flora, consisting mostly of aerobic and anaerobic bacteria. • Gram-positive -- streptococci, coagulase-negative staphylococci, and Staphylococcus aureus • gram-negative organisms such as Moraxella catarrhalis, Haemophilus influenzae, Prevotella species, Enterobacter species, and Pseudomonas species. • Staph aureus- most frequently described can reside within the nasal epithelial cells and form surface biofilms, produce superantigenic exotoxins Biofilms are highly organised structures with encasement of bacteria in a self developed extracellular matrix of polysacchrides that protects it against host defence & antibiotics
  • 10.
    • Superantigenic exotoxins--> unlike conventional antigens, do not need processing. • They induce the activation of numerous T-cell clones and a massive secretion of cytokines, and therefore have the ability to activate as much as 20% of the body’s T cells, compared with only 0.001–0.0001% for regular antigens. • characteristic inflammatory response with TH2 inflammation, eosinophilic recruitment, local polyconal IgE production & polyp formation.--> CRwNP • Clinically, cases of nasal polyps with the presence of biofilms-- severe form of the disease and worse postoperative outcome. • Staph aureus & Pseudomonas aeuroginosa worse prognosis
  • 11.
    VIRUSES Latent/ chonic viralinfections may predispose, as they break upper airway epithelium
  • 12.
    TOXINS AND ALLERGENS •Increased CRS in factory workers & certain craft & related trade workers (Cigarette smoke) ↓ breaks sinonasal epithelial barrier by production of reactive O2 &N species, mucocilillary dysfunction & proinflammatory cytokine induction Severe perennial AR
  • 13.
    HOST FACTORS 1. ANATOMY- acqobstruction of OMC, traumatic or infectious--> CRSwNP 2. MECHANICAL BARRIER- mucocillary clearance and apical junctional complex- 1st line of defence In CRSwNP--> There is altered level of adhesion-complex proteins & low levels of intrinsic protective antiprotease activity Mucocilliary dysfn- CRSsNP Porous barrier- CRSwNP
  • 14.
    • c. INNATEIMMUNITY • Epithelial cells envrn stimuli breach mechanical barrier ↓ sinonasal ECs & PRRs (pattern recognising proteins) eg: TLR initiates innate response ↓ damage associated molecules(combined signals from Foreign material & cellular damage) ↓ host defence molecules, cytoines & chemokines
  • 15.
    i. Classic tasterecetors(PRRs)--> detects microbes-- variation --> CRS ii. Decresed exprssn of of host defence mechaniisms iii. Dereased S100 protein family members(antimicrobial, epithelial barrier function, wound healing) iv. PLUNC protein decreased(upper airway antimicrobial protein against biofilm) v. STAT 3 (TF) & IL22 R deficiency- esp in CRSwNP
  • 16.
    Effector cells -esp eosinophils & mast cells- associated with tissue damage and repair process. • Dendritic cells and innate lymphocytes respond to epithelial cytokines and environmental stimuli & thus bridge the gap between innate and adaptive cells. • Dendritc cells activate both innate and adaptive immunity via antigen capture, presentation to APCs & secretion of soluble inflammatory mediators
  • 19.
    Tissue remodelling • Modificationsof normal composition & structural organisation of tissues--> fibrosis,epithelial organisation, BM thickening, globet cell hyperplasia, subepithelial edema & inflammatory cell infilterates. • IN CRS- ECM - areas of edema in CRSwNP fibrosis in CRSsNP Low levels of TGF b with increased tissue edema---in CRwNP excessive fibrin deposition, fluid retention high levels of TGF b(increased collagen formation)--in CRSsNP Osteopontin (OPN), periostin(OSF-2) - bone remodelling & TH2 airway inflammationis high in CRSwNP
  • 20.
    Theories of etiologyand pathogenesis • Fungal theory(Alternaria) • Leukotriene hypothesis- defects in eicosanoid pathway,↑proinflammatory & ↓ antinflammatory PG(PGE2)- but only explains a subset (aspirin sensitive & aspirin tolerant CRSwNP) • Staphylococcal superantigen hypothesis- but demonstrated only in half • Immune barrier hypothesis - decreased STAT 3 • Biofilm hypothesis- sequester staphlococci, wich permits secretion of superantigens that trigger TH2 skewing & eosinophilic polyposis
  • 21.
    ASSOCIATED DISEASES • Theprevalence of CRSwNP is 4% of the general population • 7% in patients with asthma. • 30–60% in patients with aspirin exacerbated respiratory disease (AERD) • Chronic inflammation and allergic fungal sinusitis - potential risk factors for nasal polyps, and the association between genetic variations and chronic rhinosinusitis suggests that genetic polymorphisms could be related to nasal polyps development
  • 22.
    Asthma • Upper andlower airways are lined by the same pseudostratified ciliated columnar epithelium. • Increased risk in presence and severity • Of patients with late-onset asthma, 10–15% develop nasal polyps, with patients generally developing asthma first, then polyps within 9–13 years. • This occurs faster in aspirin-induced asthma, 2 years from the onset. • Asthma and nasal polyps- same basic features of eosinophilia, mucus cell hyperplasia, edema, thickened basal membrane and increased pro- inflammatory mediators, for example cysteine leukotrienes. • improvement in lower airway disease is observed when nasal polyps are effectively treated.
  • 23.
    Aspirin-exacerbated respiratory disease(AERD, Samter’s Triad) • Bronchial asthma, nasal polyposis and aspirin sensitivity • First described by Wimal in 1922 and then recognized as a triad of clinical manifestations by Samter 1967. • Prevalence-- 0.3% in the general population and between 5 and 10% of the adult asthmatic population. • This increases over 40 years of age, and these patients are normally non- atopic.
  • 24.
    • The currentlyaccepted pathophysiology inhibition of cycle-oxygenase in the arachidonic acid pathway. • By blocking cycle-oxygenase, the arachidonic acid is shunted into lipoxygenase and there is an increased production of leukotrienes. • The subsequent decreased prostaglandin E2 leads to mast cell instability with release of histamine. • The combination of increased histamine vascular permeability, leakage from the vascular system and oedema
  • 25.
    • It isthought that this cycle of inflammation and oedema results in the formation of polyps. • The nasal polyps associated with AERD/Samter’s Triad are often very extensive, with significantly higher radiological CT scores than non- AERD patients with nasal polyps • They can be difficult to treat and have a higher rate of recurrence..
  • 26.
    Allergic fungal rhinosinusitis •First reported in 1976 • It is a type 1 hypersensitivity reaction to fungal antigens in which patients usually present with unilateral or bilateral nasal polyps. • 80% of patients with fungal sinusitis have nasal polyps. • Theories on pathogenesis include hypersensitivity and T-cell mediated reactions as well as a humoral immune response. • Treatment is largely surgical, with a strong role for oral corticosteroids and an emerging role for immunotherapy. • Antifungals, both systemic and topical, currently have a limited role in treatment, although this area needs further study.
  • 27.
    • In 1994,Bent and Kuhn published their diagnostic criteria centred on the histologic, radiographic, and immunologic characteristics of the disease • Patients must meet all the major criteria for diagnosis, while the minor criteria serve to support the diagnosis • The major criteria include a history of type I hypersensitivity by history, skin testing, or in vitro testing; nasal polyposis; characteristic computed tomography (CT) scan findings with soft tissue differential densities; the presence of eosinophilic mucin without fungal invasion into the sinus tissue; and a positive fungal stain of sinus contents removed at the time of surgery. • The minor criteria include a history of asthma, unilateral predominance of disease, radiographic evidence of bone erosion, fungal cultures, presence of Charcot-Leyden crystals in surgical specimens, and serum eosinophilia.
  • 28.
    • A widevariety of fungi have been isolated from the sinuses of patients with chronic rhinosinusitis in almost 100% of patients, both controls and CRS patients. • Therefore the only features that appear to be unique to AFRS are type 1 hypersensitivity and the characteristic CT findings.
  • 29.
    Cystic fibrosis • Cysticfibrosis (CF) is an autosomal recessive disorder caused by mutations of a gene on chromosome 7. • The gene prevalence is approximately 1:25 in the Caucasian population • CF patients have thick, tenacious mucus secondary to a mutation in the CF transmembrane conductance regulator chloride channel that affects mucociliary transport. • Although the majority of CF patients do not report sinonasal symptoms, CRS is prevalent, with nasal polyps present in up to 86% of patients.
  • 30.
    • In CFCRS, inflammation is neutrophil driven with IL-8 being the primary cytokine. • Sinus cultures typically grow Staphlococcus aureus or Pseudomonas aeruginosa. • Examination of CF patients with nasal polyps -- B/L polyposis with thick rhinorrhoea and facial deformities such as hypertelorism. • In addition to nasal polyps, CT scan findings include hypoplasia of the frontal or sphenoid sinuses as well as demineralization and medial displacement of the uncinate process • Mucocele formation is not uncommon in CF, and therefore the presence of mucoceles in a child should raise suspicion for CF.
  • 31.
    Primary ciliary dyskinesia •Primary ciliary dyskinesia (PCD) is a rare autosomal recessive disease in which abnormal or absent beating of cilia hinders normal mucociliary clearance. • The commonest presentations are in the upper and/or lower respiratory tracts, with mucus retention and recurrent infection leading to nasal polyposis and/or bronchiectasis. • Kartagener’s syndrome is a clinical variant of PCD and is a triad of chronic sinusitis, bronchiectasis and situs inversus. • 27% of patients with Kartagener’s syndrome have nasal polyps
  • 32.
    Young’s syndrome • Young’ssyndrome is a rare disease with 3 components: obstructive azoospermia, bronchiectasis and sinus disease. • Prevalence-unknown. • In the 1980s,-one in 500 males and was described as being more common than cystic fibrosis. • But,in the last 20 years- only a handful of cases • A reduction in the use of mercury in Europe and the USA • Mercury exposure in childhood-- only etiological factor identified. • Mercury inhibits enzymes containing sulphydryl by reacting with thiols to form mercaptides. • Mercaptides are thought to inhibit glycolysis, which is necessary for the normal function and energy supply of sperm and cilia.
  • 33.
    EGPA (Churg Strauss) •Previously known as Churg Strauss syndrome • Eosinophilic granulomatosis with Polyangiitis (EGPA). • It is a systemic small-vessel vasculitis associated with asthma and eosinophilia, 3 phases prodromic, allergic phase characterized by asthma and rhinosinusitis, eosinophilic phase hallmarked by peripheral eosinophilia and organ involvement vasculitic phase with clinical manifestations due to small-vessel vasculitis. • These phases partially overlap and may not appear in such a defined order • Asthma and rhinosinusitis only rarely arise after the vasculitic manifestations.
  • 34.
    Criteria for classificationfrom the American College of Rheumatology consist of the following asthma eosinophilia of >10% in peripheral blood paranasal sinusitis pulmonary infiltrates, sometimes transient histologic evidence of vasculitis with extravascular eosinophils mononeuritis multiplex or polyneuropathy  if ≥4 criteria are present, sensitivity is 85%, and specificity is 99.7% • Suspect EGPA in a patient with adult-onset asthma and a history of rhinosinusitis, who develops pronounced eosinophilia and lung infiltrates. • Eosinophilia may occur in asthmatic patients, but is mild (<10%); lung infiltrates due to bronchial plugging by mucus and superimposed infection may complicate asthma, but they are uncommon. • Nasal polyps affect approximately 50% of patients with EGPA and consistently recur after surgery in patients not receiving immunosuppressive therapy
  • 35.
    GENETICS • Exact genetics-remain unclear. • Associations between chronic rhinosinusitis and polymorphisms in over 30 genes have been published • Studies of monozygotic twins have not shown both siblings to always develop polyps, indicating that environmental factors are also likely to play a role in the development of nasal polyps.
  • 36.
    CLINICAL PRESENTATION • Presentationis variable, depends on the extent of the disease. • Small polyps- identified incidentally. • Larger polyps may cause significant symptoms. • Symptoms- persistant progressive over months to years, mild nasal congestion with watery rhinorrhoea to a persistent nasal obstruction associated with hyposmia or anosmia, with thick post nasal discharge and occasional headaches.
  • 37.
    • Epistaxis, notseen. • Massive polyps or a single large polyp - - chronic mouth breathing and obstructive sleep symptoms. • Rarely, proptosis, hypertelorism and diplopia can result from alterations in the craniofacial structure. • As they are slow-growing nature, massive polyposis does not cause neurological symptoms or pain, even if they extend into the intracranial cavity .
  • 38.
    DIAGNOSIS • Anterior rhinoscopyis the first step to diagnosis, but is inadequate alone and cannot exclude polyps. • Nasal endoscopy after topical decongestant is needed for diagnosis, as well as identifying discharge, crusting or scarring secondary to previous surgery.
  • 39.
    • Plain sinusradiographs are insensitive and should not be used to diagnose polyps. • CT scanning with coronal sections is the investigation of choice for assessing the extent of the disease and detailing the anatomy before surgery. • MRI- helpful to differentiate from tumour, or if intracranial extension of disease is suspected. • History for features of systemic disease should be taken, including lower airway symptoms, and tests for factors associated with nasal polyps can be performed. • The effects of treatment on nasal obstruction and polyp masses can be documented objectively via nasal inspiratory peak flow, rhinomanometry, acoustic rhinometry, olfactory tests and symptom scoring.
  • 40.
    CLASSIFICATION • Endoscopic andCT-based staging systems are used to determine the extent of disease within the nose and sinuses, and facilitate both medical communication and evaluation of therapeutic responses. • The clinical staging system and endoscopic scoring systems are based on the assumption that the polyp grows from the middle meatus down towards the floor of the nose.
  • 41.
    • The Lund–Mackaysystem gives a score of 0–2 depending on the absence, partial or complete opacification of each sinus system and of the osteomeatal complex on computed tomography scanning. • • A maximum score of 12 per side can be achieved • The Lund-Mackay score increases with increasing grade of polyposis
  • 42.
    • The radiologicalstaging system includes all sinuses and the osteomeatal complex bilaterally. Various radiological staging systems have been described.
  • 43.
    MANAGEMENT • Treatment aimsto eliminate symptoms and nasal polyps, re- establish nasal breathing and olfaction, prevent recurrence and improve patients’ quality of life. • Treatment can be divided into medical and surgical.
  • 44.
    Medical • All patientsshould have a trial of medical therapy first, unless histology is required. • Medical treatment consists mainly of topical and systemic corticosteroids,--> affect eosinophil function directly by reducing both eosinophil viability and activation, and indirectly by reducing the secretion of haemotactic cytokines by nasal mucosa and polyp epithelial cells. • Intranasal corticosteroids (INCS)-->improves nasal airflow, reducing polyp size and decreasing rate of recurrence. • The effect on sense of smell is poor when compared to systemic steroids, which may be due to the sprays being unable to reach the olfactory mucosa because of oedema.
  • 45.
    • Nasal dropsare more effective than sprays, +ve effect on sense of smell, • But are relatively potent topical steroids, not for longer than 2 months at one time unless under specialist supervision, or for longer than 4 months in one 12-month period, as they can be absorbed systemically. • Larger polyps may require systemic corticosteroids, for example prednisolone 0.5 mg/kg each morning for 5–10 days. • Maintenance therapy with topical corticosteroid spray is recommended as these may have lower bioavailability than drops and are less likely to be administered incorrectly • It is recommended that patients are started on sprays, drops or systemic steroids depending on their initial presentation and examination findings. • Antihistamines only help if allergy is present, and leukotriene inhibitors may help patients with coexisting asthma and/or aspirin sensitivity.
  • 46.
    • S/E intranasalcorticosteroids-- irritation and epistaxis. • Potential adverse events on long term are effects on growth, ocular effects, effects on bone and effects on the hypothalamic pituitary- adrenal axis. • Measurement of salivary cortisol is a useful, non-invasive and economical test for monitoring patients using intranasal corticosteroids. • There is evidence that a 3-month course of a macrolide antibiotic can help nasal polyps. • Macrolides have been shown to increase mucociliary transport, reduce goblet cell secretion and cause accelerated apoptosis of neutrophils, all of which would reduce the symptoms of chronic inflammation.
  • 47.
    • acute cardiactoxicity is an increasingly recognized potential adverse effect • macrolide class of antibiotics are known to interfere with the delayed rectifier potassium current, which results in accumulation of potassium ions in cardiac myocytes and thereby delays cardiac repolarization. • prolongation of the QT interval, this mechanism is thought to underlie an increase in the risk of torsade de pointes, a potentially fatal arrhythmia, with macrolides. • A recently published large cohort study has found a significantly increased risk of cardiac death associated with clarithromycin. • No increased risk was seen with roxithromycin. • Nasal douching provides symptomatic benefit, and should be used with sterilized or distilled water to avoid contamination.
  • 49.
  • 50.
    SURGERY • for patientswho have failed to respond to maximal medical treatment and for those with complications. • Functional endoscopic sinus surgery aims to improve sinus ventilation and drainage as well as removing polyps. • The extent of surgery varies with the extent of disease, the surgeon’s individual practice and available technology. • More precise clearance of the inflammatory change than conventional surgery. • It may be associated with fewer complications and lower recurrence rates.
  • 51.
    • Patients beingtreated for polyp disease derive the greatest benefit from functional endoscopic sinus surgery, and those whose main preoperative symptom is nasal obstruction or headache report higher benefit. • Coexistent asthma, allergic rhinitis or aspirin intolerance does not decrease the benefit of sinus surgery in patients with polyps. • Postoperatively, patients should be treated with nasal douching and intranasal or systemic corticosteroids, and compliance with this treatment will influence the long term efficacy of surgery. • There is good evidence that postoperative use of topical nasal steroids reduce the rate of polyp recurrence.
  • 52.
    ANTROCHOANAL POLYP =KILLIAN POLYP DEFINITION • Antrochoanal polyp is a benign solitary polypoidal lesion arising from the maxillary sinus antrum causing opacification and enlargement of antrum radiologically without any evidence of bone destruction. • It exits the antrum through the accessory ostium reaches the nasal cavity, expands posteriorly to exit through the choana into the post nasal space. • It is dumb bell shaped with 3 components- antral(thin stalk), choanal(round globular), nasal (fat from side to side) • Seen in children and adults
  • 53.
    ETIOPATHOGENESIS Nasal allergy coupledwith infection • PROETZ THEORY : faulty development of the max sinus ostium, large in the patients. Hypertrophied nasal mucosa of the antrum sprouts out through this. Growth of polyp is due to venous obstruction. • Bernoullis phenomenon Pr drop next to a constriction causes a suction effect pulling the sinus mucosa into the nose. • Mucopolysacchride changes: Jackson postulated changes in the mucopolysacchrides of the ground substance
  • 54.
    Mill's theory: AC polypmay be maxillary mucoceles which could be caused due to obtruction of mucinous changes Ewing's theory: Anomaly during max sinus devpt, could leave a mucosal fold close to ostium. This fold could later be aspirated into the sinus cavity due to effects of inspired air causing the development of AC polyp Infections Vasomotor imbalance theory
  • 55.
    HISTOLOGY Respiratory epithelium overnormal BM. The interstitial layer is grossly edematous, with no eosinophils, but other inflammatory cells.
  • 56.
    Clinical presentation • U/Lnasal obstrn • U/L nasal discharge- mucid • Headache • Sleep apnoea • Rhinolalia clauda( hyponasality)
  • 57.
    Management Investigations: Xray PNS:opacity ofinvolved antrum, globular swelling in post nasal space. Column of air behing the polyp CT PNS
  • 58.
    Examiantion Ant Rhinoscopy: mayor may not be seen. • Smooth greyish glistening mass covered with mucoid discharge • Soft, insensitive to touch , can be moved up and down with a probe. Posterior Rhinoscopy: Globular mas filling choana Nasal endoscope
  • 60.
  • 61.
    treatment • transnasal avulsion •Cald wel Luc approach • Endoscopic sinus surgery
  • 63.