Multidisciplinary Orthodontic
treatment
Case report
Dr Sylvain Chamberland
D.M.D., Cert. Ortho. M.Sc.

slideshare.net/sylvainchamberland
©sylvainchamberland.com
•Class III
•Mutilated dentition
HeAr030909
©sylvainchamberland.com
•Tx Plan?
©sylvainchamberland.com
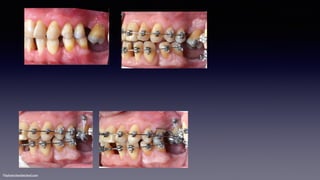
At baseline
•Vector TAS mesio buccal + Palatal of 26
✦ Intrusion of 26
•Melsen TAD at #36 site
✦ Protraction of 38
HeAr280909
©sylvainchamberland.com
At 21 weeks
•Mx: .016 cnt. #26 engaged
•Md: .020 x .020 cnt. 

Passive elastomeric chain 38-TAD
HeAr280909
HeAr230210
©sylvainchamberland.com
At 44 weeks
•Reassessment of bracket position, arch coordination
•Models to assess fitting of the 

occlusion for the surgery
HeAr050810
©sylvainchamberland.com
At 68 weeks
•Prior to surgery 

(planned in April)
•Dental arches are coordinated
HeAr050810
HeAr170111
©sylvainchamberland.com
•Prior to surgery and bone grafting
•#38 protracted + uprighted
•Orthodontic decompensation achieved
HeAr170111
©sylvainchamberland.com
At 85 weeks
•2-3 weeks post-surgery
•Autogenous bone graft from right oblique mandibular line to the
upper right & left mx edentulous site + resorbable collagen 

membrane Bio-Guide
•Le Fort 1
✦ Advancement 4 mm
✦ Inferior repositioning 2 mm
•Genioplasty: chin to the right 4 mm
HeAr160511
©sylvainchamberland.com
•At 111 weeks, Strauman implant
✓ #14: 4,1 X 12 mm bone level
✓ #16: 4,8 X 12 mm bone level
✓ #24: 4,1 X 14 mm bone level
✓ #36: 4,8 X 8 mm tissu level WNI
•Debonding Jan 2012
HeAr061211 115 weeks
©sylvainchamberland.com
At 125 weeks
•Debonding
✦ Mx removable retainer
HeAr061211 115 weeks
HeAr210112
©sylvainchamberland.com
•Final restauration in place
•Total tx time 128 weeks
HeAr120312
©sylvainchamberland.com
•Forward +
downward mvt of
the maxilla
•Posterior rotation of
md
©sylvainchamberland.com
Follow up at 2 years post tx
HeAr 080514
©sylvainchamberland.com
•Se.Ca
©sylvainchamberland.com
•Class II mutilated dentition
•Vertical bite collapse
•Impacted 33, 35
SeCa2111-8
©sylvainchamberland.com
•Tx Plan?
©sylvainchamberland.com
•Diagnostic wax set up
©sylvainchamberland.com
•TAD site 46 and 36
•Wire is engage into TAD
SeCa020609
©sylvainchamberland.com
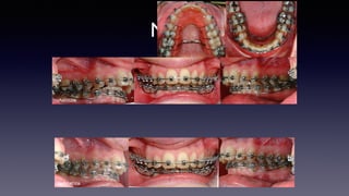
At 34 weeks
•Mx: .020 xé-25 niti
•Md: .016 cnt attached to TADs
•17x25 Niti intrusive arch 

attached to 33, 43, 31-41
SeCa051009
©sylvainchamberland.com
At 116 weeks
•Oh! By the way I have to use a CPAP.
✦ Hein! You didn’t tell.
•I thought it was not important
•Ms: 20x25 SS reverse curve
✦ 19x15 TMA root spring
SeCa260411
©sylvainchamberland.com
•Class I relationship is achieved!
•Vertical dimension was maintained
SeCa140812
©sylvainchamberland.com
•Prior to surgery
•Root parallelism is fair
•33 & 35 are erupted
•#47 is uprighted
SeCa1003
SeCa140812
183 weeks
©sylvainchamberland.com
•Le Fort 1
✦ Mx advancement 10 mm
✦ Bone graft form iliac crest
•BSSO
✦ Advancement 12 mm
✦ Advancement of genial process
©sylvainchamberland.com
•Bone graft from iliac crest to increase thickness of the edentulous
ridge
SeCa141112
©sylvainchamberland.com
©sylvainchamberland.com
•Brackets are bonded to partial denture
SeCa190312
©sylvainchamberland.com
•Strauman implant
✦ #12-22: Bone level 4,1 X 10 mm Zirconium type
✦ #37: 4,8 X 6 mm WNI
✦ #44: 3,3 X 6 mm Zirconium
•Implant 44 failed and has been replaced
SeCa220513
©sylvainchamberland.com
•Temporary bridge....
SeCa150717
©sylvainchamberland.com
•The patient delayed the restoration 46, 44
•Will likely be done in 2015…
SeCa041213
©sylvainchamberland.com
•Ma. He.
©sylvainchamberland.com
•Class II div 2
MaHe220611
©sylvainchamberland.com
•Internal root resorption of #46
©sylvainchamberland.com
•Hopeless #46
©sylvainchamberland.com
At 61 weeks
•Removal of RPE
•End of Twin Force Bite Corrector
•#47 is protracted
MaHe031012
©sylvainchamberland.com
At 96 weeks
•Class I relationship is achieved
MaHe040613
©sylvainchamberland.com
©sylvainchamberland.com
•Na.Pa.
©sylvainchamberland.com
Class II div 1
NaPa081105
©sylvainchamberland.com
•Short face syndrome
•Hypodivergent
©sylvainchamberland.com
Mechanotherapy
•Anterior bite plane
•Intrusive arch + lingual arch
NaPa010206
NP_3
NaPa010206
NaPa140306
©sylvainchamberland.com
•When posturing in class I a
posterior open bite is
created
•This allow clockwise rotation
of the distal segment when
the BSSO is done
•This reduce slightly the
advancement of the chin
©sylvainchamberland.com
•Face height increased
•Class I relationship is
achieved
NaPa310507
©sylvainchamberland.com
2 y Follow up
•Incisor display improved
•Self esteem improved
NaPa030909
©sylvainchamberland.com
•Cl.Pe.
©sylvainchamberland.com
•Class I
•Mutilated dentition
•Wear sleep apnea device > 2 years
ClPe140512
©sylvainchamberland.com
Narval
TAP
©sylvainchamberland.com
•Horizontal bone loss in the maxilla
•Apical granuloma #42
©sylvainchamberland.com
•Retrognatic maxilla and mandible
•Mx incisors retroclination
•Md incisors proclination
©sylvainchamberland.com
Tx plan
•Apectomy #42
•Perio evaluation and clearance
•Alleviate dental compensation
•Arch coordination
•Orthognatic surgery: maxillo-mandibular advancement
©sylvainchamberland.com
•Lingual button + elastomeric
chain to help derotation
•Mx + Md: .016 supercable™
ClPe120612
©sylvainchamberland.com
At 15 weeks
•Md: 16x22 cnt
•Mx: ∆EC. .016 sc™
ClPe240912
©sylvainchamberland.com
At 75 weeks
•Mx: EC 14-24. active coil 14-17, 24-27.
✓ ART auxilliary since 6 weeks to be
maintained
•Md: 21x21x20x58 mm enmasse ret
✓ Cl III elastics
ClPe201113
©sylvainchamberland.com
At 100 weeks
•Class I relationship…
•Mx: space open for implants
•Md: space closed
ClPe140514
©sylvainchamberland.com
•1/-SN: torque improved 72° to 88°
•/1-MP: retroclined 107° to 85°
•Occlusal plane improved
©sylvainchamberland.com
•Le Fort 1: 10 mm advancement, 2 mm inferior repositioning at PNS
•OSMB: advancement + counterclockwise rotation
•Genioplasty: advancement 6 mm
©sylvainchamberland.com
•Iliac bone graft between Mx bone cuts 

and implant sites.
•Note healing of 42 apex
•No more snoring, no more apnea
ClPe160914
©sylvainchamberland.com
137 semaines
•Dépose des appareils (31 mois)
ClPe260115
©sylvainchamberland.com
©sylvainchamberland.com
•Ke. Bi.-Du.
©sylvainchamberland.com
•Class II div 1
•Missing 17, 26, 35, 45
KeBiDu080609
©sylvainchamberland.com
•Hyperdivergent
•Retrognathic mandible
•AP chin deficiency + vertical excess
•Cant of occlusal plane
©sylvainchamberland.com
•Tx plan
✦ Visual Treatment Objective

is mandatory
©sylvainchamberland.com
Mechanotherapy
•Tx initiated: sept 2012
•Mx: TPA to derotate and upright #26 

(asymmetric mesial out activation)
✦ 32 weeks of TPA
©sylvainchamberland.com
At 47 weeks
•Dental arches are pretty much
coordinated
•Md space closure to obtain
optimal width of a premolar
KeBiDu080813
©sylvainchamberland.com
Pearl
•Identify the error
©sylvainchamberland.com
•Lip incompetency at repose
•Retrognathic mandible
•Lower incisors could be more upright but space for implant 35, 45 was needed
©sylvainchamberland.com
3D Surgical Planning
©sylvainchamberland.com
3D Surgical Planning
©sylvainchamberland.com
•At 64 weeks: Surgery
•Le Fort 1
✦ Rigid fixation
©sylvainchamberland.com
•BSSO / OSMB
•Note good fitting of the occlusion perop
©sylvainchamberland.com
•Genioplasty
•Bone graft at edentulous site
©sylvainchamberland.com
At 66 weeks (2 weeks post op)
•Change arch wire + ∆ elastics
•A good presurgical orthodontic preparation permits a nice post
surgical occlusion
KeBiDu171213
©sylvainchamberland.com
Tx time: 83 weeks
•Class I relationship
•Posterior segment to
maintain root parallelism

& avoid extrusion
KeBiDu300414
©sylvainchamberland.com
•Conterclockwise rotation of the maxilla and mandible
helped to maximize mandibular advancement
•But lower incisors proclination reduced md advancement,
hence symphysis needed more advancement
©sylvainchamberland.com
©sylvainchamberland.com
•Restauration implantoportée 36 et 46
•Recommandation d’une greffe gingivale au buccal
de 31, 41
KeBiDu181214
©sylvainchamberland.com
•Proéminence radiculaire inférieure peut expliquer le problème
mucogingival observé
©sylvainchamberland.com
•Pa.Pl
©sylvainchamberland.com
•Class I, open bite
•Severe ALD
•Bimaxillary protrusion
PaPl150512
©sylvainchamberland.com
•Lip incompetency at repose
•Gummy smile at full smile
•~Normal incisor showing at
repose
©sylvainchamberland.com
Tx plan
•Extraction?
•Orthognathic surgery?
•Or ??
©sylvainchamberland.com
At 13 weeks
•Tx initiated Feb.2013. TADs placed 6 weeks later.
•TPA .032 x .032 SS + paramedian TADs (Elinks)
•Buccal TADs between 15-16, 25-26 (EC)
•Buccal TADs between 36-37, 46-47 (lig. tie)
PaPl 160513
©sylvainchamberland.com
At 40 weeks
•At 25 weeks the TPA was replaced because it impinged into
the palate
•At 22 weeks: Bonded .032 x .032 SS lingual arch
✦ Posterior inferior teeth are intruded with ∆ EC
•At 40 weeks, buccal EC is removed
PaPl 211113 .Md:020 x.025 SW
.Mx:020 x.025 SW
©sylvainchamberland.com
At 40 weeks
•Overbite improved
•Still bimax protrusion
•Need maximum retraction
Initial
PaPl 211113
©sylvainchamberland.com
At 48 weeks
•Posterior openbite is obtained
•Incisors retraction is going on with maximum
anchorage
•Note the absence of the lingual arch wich which will
cause expansion of the molars (adverse side effect)
PaPl 160114
©sylvainchamberland.com
At 54 weeks
•Tads placed anteriorly to intrude upper incisors
•Palatal lingual ligature to maintain intrusion
•Lower incisors are still retracting
•Mx midline need shifting to the left
PaPl 270214
©sylvainchamberland.com
Repose Smile
©sylvainchamberland.com
At 71 weeks
•20x25sw U & L
•Stop intruding lower teeth
•Continue upper intrusion
PaPl 230614
©sylvainchamberland.com
At 86 weeks
•Removal of the TPA and intrusive links
•2 TADs were lost or removed
PaPl 091014
©sylvainchamberland.com
©sylvainchamberland.com
•FMA decrease 4°
•/1-MP decrease 10°
✦ /1-APg decreased 3 mm
✦ /1 intrusion 2 mm
•Significant upper molar intrusion & upper incisor intrusion
©sylvainchamberland.com
•Significant profile improvement
•Competent lip at repose
•Improved smile display
PaPl 150512
Initial
PaPl 091014
Progress
©sylvainchamberland.com
•À 88 semaines











•À 93 semaines
✦ Finition
PaPl080115
PaPl151214
©sylvainchamberland.com
•Li.Nda.
©sylvainchamberland.com
•Class I, open bite
LiNda 040214
©sylvainchamberland.com
•Severe bimaxillary protrusion
•Anterior vertical excess
•Lip incompetency
•Dégagement des dents inférieures lors du
sourire
©sylvainchamberland.com
At 13 weeks
•Tx initiated February 25
✦ Mx: 3 segments
•At 13 weeks
✦ Mx:Tomas Pin EP 8 mm + .020x.020 cuniti
✦ Md: Tomas Pin EP 6 mm + .020x.020 cuniti
LiNda 270514
©sylvainchamberland.com
At 19 weeks
•Mx: .020x.020 Cuniti
•Md: .020 x .025 SS
✦ Retighten lower right pin
LiNda 270514
LiNda080714
Retighten
©sylvainchamberland.com
At 25 weeks
•Mx: .021x.021x.020x55 mm + Elinks #4 6-P
•Md: .021x.021x.020x58 mm + E #4
✦ Replaced lower right pin
LiNda080714
LiNda190814
©sylvainchamberland.com
At 31 weeks
• Mx: ∆ Elinks #4 6-P et E3 palatins
• Md: E5 attached to /7s
✦ LR pin loose, lig. tie on both lower pin
• Note posterior open bite
LiNda190814
LiNda290914
©sylvainchamberland.com
LiNda290914
À 37 semaines
• Mx: ∆ Elinks #4 6-P
• Md: E5 attached to /7s
✦ resserrer TAD inf droit, E4 TAD-2e
PmI
• Notez béance postérieure
LiNda121114
©sylvainchamberland.com
À 42 semaines
• Mx: ∆ Elinks #5 7-P
• Md: ∆ E5 to /7s
LiNda121114
LiNda171214
©sylvainchamberland.com
•Intrusion postérieure
supérieure et inférieure
•Autorotation antérieure et
supérieure
©sylvainchamberland.com
•Amélioration du profil
•Persistence d’une contraction du mentionnier
•Léger excès vertical de la symphyse
©sylvainchamberland.com
•Progrès à 42 semaines 











•Initial
©sylvainchamberland.com
•On continue la rétraction et
l’intrusion
•Remarquer les 7s…
LaMaNda260115
©sylvainchamberland.com
•Ch.Ol.Ga.
©sylvainchamberland.com
•Classe I
•Béance antérieure
•DDM inférieure
ChOlGa220514
©sylvainchamberland.com
•Hyperdivergence squelettique
•Microrami
©sylvainchamberland.com
•Résorption condylienne ou 

arthrose
©sylvainchamberland.com
ChOlGa030914
Mx: 3 segments .020x.020 cnt. Tomas Pin SD 6 mm, Elinks E3 P-4

Md: 2 segments .020x.020 cnt. Tomas Pin EP 6 mm, Hamac elastic
ChOlGa221014
Mx: 3 segments .020x.025niti. ∆ E3 P-4.
Md: ∆ Hamac
7 weeks later
©sylvainchamberland.com
•Vector TAS 6 & 8 mm paramedian (out of stock of Tomas Pin
•TPA .032x.032SS. Elinks E6. Md: lingual arch .032x.032TMA
ChOlGa030914
ChOlGa221014
•∆ E links E6. ∆ Hamac
©sylvainchamberland.com
À 26 semaines
•Fermeture significative de la béance antérieure
•Prêt pour exo des 4s
ChOlGa060115
©sylvainchamberland.com
•Amélioration du scellement
labial
•Rotation antihoraire du plan
occlusal
•Biproalvéolie: Exo des 4s
nécessaires
©sylvainchamberland.com
•Amélioration du scellement
labial
•Rotation antihoraire du plan
occlusal
•Biproalvéolie: Exo des 4s
nécessaires
©sylvainchamberland.com
•Intrusion postérieure supérieure et
inférieure
•Autorotation antérieure du plan
mandibulaire
©sylvainchamberland.com
What does literature say?
•Intrusion of the maxillary posterior teeth can give satisfactory
correction of moderately severe anterior open bites, with elimination
of 5 to 6 mm of open bite, but 0.5 to 1.5 mm of reeruption of these
teeth is likely to occur.
•Controlling the vertical position of the mandibular molars so that
they do not erupt as the maxillary teeth are intruded is important in
obtaining a decrease in face height.
Scheffler, Nicole R. et al. Outcomes and stability in patients with anterior open bite and long anterior face height treated
with temporary anchorage devices and a maxillary intrusion splint, AJODO, Volume 146 , Issue 5 , 594 - 602
©Dr Sylvain Chamberland
•Mx: 60% des patients ont une
intrusion de 2 à 4 mm T1-T2





•Md: Extrusion occurs during
post intrusion of mx teeth.
Percent with change in the maxillary first molar distance
from the palatal plane.
Note that 60% of the patients had the molar intruded 2 to 4 mm during the
splint therapy for intrusion (T1-T2), but only 1 patient had greater than 4 mm
of intrusion. During the postintrusion orthodontic treatment, only 2 patients
(7%) had 2 to 4 mm of reeruption of the maxillary molars; during the first
posttreatment year (T3-T4), 3 patients (11%) had 2 to 4 mm of downward
movement, most likely caused by continued vertical growth. From the end of
treatment to the more than 2-year recall, 4 patients (16%) had 2 to 4 mm of
downward movement, which was also largely due to vertical growth.
Percent with change in the mandibular first molar
distance from the mandibular plane.
During splint therapy(T1-T2), 2 patients had greater than 4 mm of
eruption of the mandibular first molars (7%), and 1 (3%) had 2 to 4 mm
of eruption. During postintrusion orthodontics (T2-T3), 5 (17%) had 2 to
4 mm of eruption. During the first posttreatment year (T3-T4), 5 (19%)
had an eruption of 2 to 4 mm, but 1 patient had an eruption of 2 to 4
mm. During the second posttreatment year, 4 (16%) had 2 to 4 mm of
eruption, and 1 had 2 to 4 mm of intrusion.
©sylvainchamberland.com
About TADs
•I have tried Aarhus system
✦ Sterilisation tray, driver not easy to unlock from the screw.
•I have tried Vector TAS
✦ Triangular head is fine. 

Lack of different component for different mechanics
©sylvainchamberland.com
About TADs
•I know use Tomas Pin
✦ Individual dispenser. Head is used for different system
©sylvainchamberland.com
•#47 Molar Uprithing spring
•#26 TMA root spring
©sylvainchamberland.com
©sylvainchamberland.com
•Tomas Pin 6 mm pour renforcer l’ancrage
✦ Elinks attaché sur les potences
•Évolution 12 semaines
AmCo12-08-14
AmCo29-10-14
©sylvainchamberland.com
•Évolution 18 semaines
✦ Rétraction antérieure maximisée
AmCo12-08-14AmCo29-10-14
AmCo10-12-14
©sylvainchamberland.com
•Tomas Pin SD 8 mm
CIARLANTINI R., MELSEN B., Miniscrew-Retained Pontics
in Growing Patients:A Biological Approach, JCO october 2012
©sylvainchamberland.com
©sylvainchamberland.com
•Shorter length of 12 could be explain by the long
cantilever arm, but i am not sure.
©sylvainchamberland.com
6 Months Follow up
•No inflammation. Esthetic is good despite a too short incisal edge
©sylvainchamberland.com
Cope J., McFadden D.,Temporary replacement of missing maxillary lateral incisors with orthodontic miniscrew implants in
growing patients: rationale, clinical technique, and long-term results, Journal of Orthodontics, Vol. 41, 2014, S62–S74
©sylvainchamberland.com
•Kokich was opposed of such approach because he pretend that it would
impaired vertical growth of the crest.
•Cope et Wilmes ne semblent pas s’en inquiéter.
•Melsen a démontré qu’un TAD perpendiculaire maintient le volume BL de la crête
•Qui dit vrai?
Case 1. A. 14-year-old male patient with missing upper lateral incisors after orthodontic space
opening. B. Mini-implants (2mm Å~ 13mm) inserted in lateral incisor spaces. C. Temporary crowns bonded
to resin abutments with composite.
Mini-Implant-Supported Temporary Pontics, WILMES B,NIENKEMPER M, RENGER S, DRESCHER D,© 2014 JCO, July VOLUME XLVIII NUMBER 7; 422-9
Thanks for your attention

Mulitidisciplinary orthodontic treatment case report