From mCherry to mOrange
The little promoter that could
GENE MANIPULATION: CHANGING BOTH THE EXPRESSION AND THE COLOUR OF A GENE ENCODING THE
POPULAR FLUORESCENT PROTEIN, MCHERRY
CANADA, 2016–2017
WRITTEN BY
ELIJAH WILLIE 301193627 WEDNESDAY 12-C
Simon Fraser University
Burnaby
EW
2016
FACULTY OF MOLECULAR BIOLOGY AND BIOCHEMISTRY
1 Introduction
Recombinant DNA technology, or the art of fusing together DNA molecules from two different
species has over the last five decades become an innovative method for advancement in science,
medicine, agriculture, and industry. In the span of five weeks, we will be appealing to methods
of recombinant DNA technology by using restriction digestions, promoter swap, and site directed
mutagenesis to not only change the expression level of the mCherry protein, but also the color of
its expression. This may not be as extravagant or intricate as those done in science and medicine,
but it does however make use of the same techniques.
2 Materials and Methods
The materials and methods were followed as described in the MBB 308 fall 2016 laboratory man-
ual (1, pp 33-41, 43-46, 48-49, 52-56, 57-58). The QIAprep Spin Miniprep Kit was used for
purification during the course of this experiment. Nano Drop readings were taken throughout this
experiment for quantification of DNA concentration as well as protein, and salt contamination.
• Bacterial Inoculation and Colony PCR
Bacterial colonies were streaked on LB-amp plates( 100 µg ml−1
ampicillin) and inoculated
the day before. A colony PCR reaction was setup the day of for a single colony of the
inoculated bacteria using HePP primer (10 µM), M31F-21 primer (10 µM), and Taq enzyme
(5 U). This reaction was run on the thermocycler with an initial denaturing temperature of
95 ◦
C, then for 25 cycles with 95 ◦
C for 30 seconds, 50 ◦
C, and 72 ◦
C for 50 seconds. The
low expression pJ014 plasmid was purified, and Nano Drop readings were taken for the PCR
product and the purified plasmid product.
• Purification and Double Digestion
The colony PCR product from the previous week was purified, and Nano Drop readings were
taken. A double digest reaction was set-up for both the colony PCR product and the purified
plasmid using restriction enzymes EcoRI (10 U for plasmid and 40 U for PCR), and XhoI
(10 U for plasmid, and 40 U for PCR). Samples of both the double digested and undigested
PCR product and pJ014 plasmid were run on a 0.1% agarose gel for analysis of the success
1
of the digestion reactions.
• Dephosphorylation of plasmid and old insert
The PCR double digest product from the previous week was purified, and Nano Drop readings
were taken. A dephosphorylation reaction for the double digested pJ014 plasmid, and a
negative control was performed using antartic phosphatase (5 U). A ligation reaction was then
set-up for the dephosphorylated and digested pJ014 plasmid using T4 DNA Ligase (2.5 U).
The resulting ligation reaction and negative control were transformed into NEBα chemically
competent cells.
• Site Directed Mutagenesis of mCherry
A purified pJT1 purified plasmid was obtained, and using engineered primers MCF (5 µM)
and MCR (5 µM), a PCR reaction for this plasmid was set up using Phusion enzyme (1 U).
This reaction was run on the thermocycler with an initial denaturing temperature of 98 ◦
C
for 30 seconds, then for 19 cycles with the following settings, 98 ◦
C for 15 seconds, 60 ◦
C
for 30 seconds, and 68 ◦
C for 198 seconds. DpnI restriction enzyme (10 U) was added to
the PCR reaction after completion, then immediately incubated (37 ◦
C) for 30 minutes. After
incubation, 2.5 µl of the this reaction was transformed into NEBα competent cells.
• Fluorescent Characterization of mCherry and mutants
One of each mCherry, mOrange, and white colony were inoculated a day before. On the day
of, the inoculated colonies were microcentrifuged (16249 RCF for 1 minute) to pellet the
cells. The pellet fluorescence were then visualized. Flourescence values for the supernatant
were computed using the UV-vis feature of the Nano Drop and also by using the fluorescent
plate reader.
3 Results
In an effort to purify a plasmid containing the low expression mCherry promoter and to amplify
a plasmid containing the mCherry high expression promoter. Low expression mCherry colonies
2
were grown, and single colony was selected and PCR was performed on this colony. A plas-
mid containing the high expression mCherry promoter was also obtained and purified. Table 1
summarizes the readings for the Nano Drop for both the colony PCR product and the purified
plasmid. After performing colony PCR, the concentration of the DNA product was determined
to be 43.4 ng µl−1
.This PCR product DNA concentration was measured again following a double
digestion reaction, and it was measured to be 8.44 ng µl−1
. The plasmid was also purified, and it’s
DNA concentration was measured to be 98 ng µl−1
. I was instructed to use a partner’s purified PCR
double digest sample because my values were not satisfactory. These values are shown in Table 1.
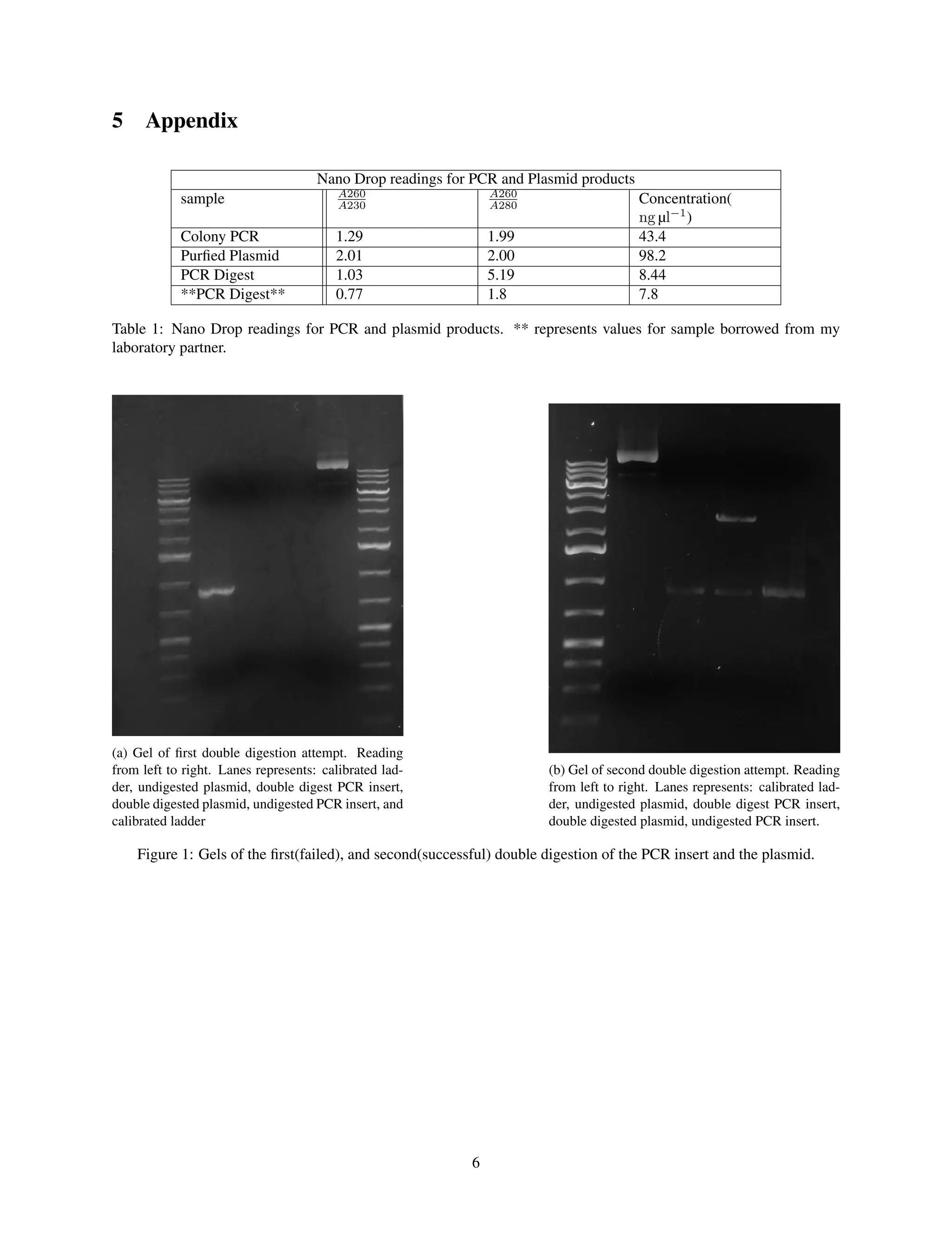
A 0.1% agarose gel was run to visualize the success of the double digestion reactions for both the
purified PCR product, and the purified plasmid. After the first gel showed no enzyme activity (no
bands in digested plamid and PCR lanes of Figure 1a), the double digestion reactions were redone
and a second gel was run. This gel showed enzyme activity which can be seen by bands in Figure
1b. After the double digestion, dephosphorylation of the plasmid, and ligation reactions, the result-
ing products were transformed into NEBα chemically competent cell (for the negative control as
well). Figure 2 shows growth of the NEBα competent cells. 50 µl and 200 µl aliqouts were plated
for overnight growth and the results are shown in Figure 2. We can see that there is approximately
four times as many colonies for Figure 2a, as compared to Figured 2b. The majority of these
colonies are strongly expressing the mCherry gene, which suggests that the promoter swap was
successful. Site directed mutagenesis was used to induce a mutation in the mCherry gene, thereby
changing it from mCherry to mOrange (Figure 8). Figure 3a, and 3b shows the results of the site
directed mutagenesis reaction after transforming 50 µl, and 200 µl aliquots into NEBα competent
cells. Unlike the the case for the mCherry high expression, we do not see four times more colonies
in the 200 µl aliquout, as compared to the 50 µl aliquot. Also, we do not see any orange colonies
in any of the plates, which indicates an efficiency rate of 0 for the mOrange expression compared
to the mCherry expression. An orange colony from a partner who had successful colonies, a white
colony for negative control, and a pink colony from the previous week transformed plates were
inoculated and pelleted. Figure 4b shows florescence of the pellets after they were visualized in
a dark room using ultraviolet light. Figure 5 shows plots of the fluorescence emission values for
3
mOrange, and mCherry supernatants after absorbance at 560 and 500 nm respectively. We see
much better emission values for mOrange at 500 nm than at 560 nm. This is due to mOrange
having better fluorescence characteristics at 500 nm than at 560 nm (Figure 9). We also see that
mCherry have decent emission values at both 560 and 500 nm as shown by multiple peaks for
mCherry in Figures 5a and 5b. Figure 6 shows the Nano Drop UV-vis readings for mCherry and
mOrange for a range of wavelengths. This method is not as effective as using the fluorescent plate
reader since we are only interested in absorbance at 500 and 560 nm.
4 Discussion
This experiment was divided into two parts. Firstly, we changed the expression of the mCherry
protein, by changing its promoter from low expression to high expression. Secondly, we induced
a mutation in the mCherry gene thus changing its expression from mCherry to mOrange. The ac-
curacy of the first part of the experiment was heavily dependent on the success of PCR reactions
and the digestion reactions. If the PCR reactions fail thus resulting in very low yield of the high
expression insert, we would expect a very low yield in mCherry colonies after the cells were trans-
formed. However, from Figure 2a, and 2b, we see that the majority of the colonies are expressing
the mCherry protein. This also implies that digestion reactions were successful for both the high
expression insert and the plasmid containing the low expression insert. To ensure that this part
of the experiment worked, a gel was run for visualization. Double digestion reaction for for the
PCR and plasmid reactions had to be redone since the appropriate lanes didn’t appear in the gel.
(Figure 1a). This was most likely due to the absence restriction enzymes in the reactions. After
doing the digestion reactions for a second time, and visualizing using a gel, we see the required
bands in the gel signifying that the digestion reactions were successful (Figure 1b). Figures 2a, and
2b show the results of the second part of the experiment. This part of the experiment was mostly
unsuccessful due to the lack of orange colonies in Figures 2a, and 2b. The lack of orange colonies
can be attributed to the inefficiency PCR reaction used to induce the mutation into the mCherry
gene. Since the mCherry gene was not successfully mutated to express the mOrange gene, we
4
see only pink colonies. Also, noting that we only observe a few number of colonies implies that
the DpnI digestion reaction was successful. DpnI digests methlylated DNA, and the original
mCherry plasmid was methlylated, it is logical to assume that DpnI digested most of the mCherry
plasmid. The remaining mCherry plasmid that was not digested was then transformed into NEBα
competent cells, and thus we see only very few pink colonies in Figures 3a, and 3b. An mOrange
colony was obtained from a partner, and its fluorescence was characterized along with an mCherry
colony, and a white colony from the negative control. Figures 4a, and 4b show the samples before
and after they were pelleted and their fluorescence visualized using under ultraviolet lighting. We
see little to no fluorescence for the mOrange and mCherry pellet (Figure 4b). This is most likely
due to the colonies having very low expression for the respective proteins. Further analysis of the
proteins using their supernatants using the UV-vis feature of the Nano Drop was used to charac-
terize absorbance of mCherry and mOrange at both a variety of wavelengths ranging between 220
to 750 nm. We were interested in the absorbance values for 500 and 560 nm. This doesn’t quite
show a reasonable view of the actual absorbance values, so a fluorescent plate reader was used to
better quantify these absorbance values. Figures 5a, 5b show plots of emission values mCherry and
mOrange at 560 and 500 nm respectively. We see more emission peaks that are sharp for mCherry
and mOrange at 500 nm (Figure 5b). However for 560 nm, we see a broader emission peak for
mCherry, and a very low peak for mOrange. This discrepancy can be attributed to mOrange hav-
ing a better emission rate at 500 nm as compared to 560 nm (Figure 9).
This experiment was for the most parts a success. Changing the mCherry promoter from low ex-
pression to high expression was a success, and inducing a mutation that changed the expression
from mCherry to mOrange didn’t prove to be too successful. Maybe better attention could have
been paid, and better techniques used during the course of the experiments to ensure quality re-
sults. This experiment, though minimal in its significance has brought to light the importance of
recombinant DNA technology in modern science. This experiment has also shown the fact that
making a change at a small scale can have a grand impact on how the whole function. Further
research might be geared towards manipulating other regions of the mCherry gene to qualitatively
analyze the types of mutants possible.
5
5 Appendix
Nano Drop readings for PCR and Plasmid products
sample A260
A230
A260
A280 Concentration(
ng µl−1
)
Colony PCR 1.29 1.99 43.4
Purfied Plasmid 2.01 2.00 98.2
PCR Digest 1.03 5.19 8.44
**PCR Digest** 0.77 1.8 7.8
Table 1: Nano Drop readings for PCR and plasmid products. ** represents values for sample borrowed from my
laboratory partner.
(a) Gel of first double digestion attempt. Reading
from left to right. Lanes represents: calibrated lad-
der, undigested plasmid, double digest PCR insert,
double digested plasmid, undigested PCR insert, and
calibrated ladder
(b) Gel of second double digestion attempt. Reading
from left to right. Lanes represents: calibrated lad-
der, undigested plasmid, double digest PCR insert,
double digested plasmid, undigested PCR insert.
Figure 1: Gels of the first(failed), and second(successful) double digestion of the PCR insert and the plasmid.
6
(a) 50 µl of ligation reaction transformed into NEBα competent cells
(b) 200 µl of ligation reaction transformed into NEBα competent cells
Figure 2: Cultures with mCherry after changing the mCherry promoter from low expression to high expression.
7
(a) 50 µl of ligation reaction transformed into NEBα com-
petent cells
(b) 200 µl of ligation reaction transformed into NEBα com-
petent cells
Figure 3: Cultures of mOrange after aliqouts from the site directed mutagenesis reactions were transformed into NEBα
competent cells.
(a) Inoculated colonies of mCherry, mOrange, and negative
control read from left to right.
(b) Fluorescence of pellets. Ideal samples are at the
top. The bottom, left to right is the negative control,
mCherry, and mOrange.
Figure 4: Inoculated colonies and fluorescence characterization of pellets
8
(a) Plot of mCherry and mOrange at 500 nm. Blue curve is mCherry, and orange curve is mOrange.
(b) Plots of mCherry and mOrange at 500 nm. Blue curve is mOrange, and orange curve is mCherry.
Figure 5: Plots of mCherry and mOrange without noise. Noise was removed by subtracting the negative control values
from both the mCherry and mOrange values. Negative emission values were set to zero
9
(a) UV-vis graph for mCherry using the Nano Drop
(b) UV-vis graph for mOrange using the Nano Drop
Figure 6: UV-vis plots for mCherry and mOrange. The area between the black and blue vertical lines is of interest.
10
Figure 7: Sequence in the insert region of the plamid pJ014: Blue highlight: High expression primer hybridization
region. Purple: XhoI restriction site, red: EcoRIrestriction site. Yellow: M135-21 hybridization region. Underlined
regions are the -35 and -10 promoter boxes together with the Shine-Dalgarno (SD) sequence and start codon (ATG)
Figure 8: AUG to ACU mutation: Mutation introduced by engineered primers to transform old insert (top), to new
insert (bottom). This mutation changes the protein expression from mCherry to mOrange. Mutation is shown in blue.
11
Figure 9: Excitation and emission spectra for new RFP variants. Spectra are normalized to the excitation and emission
peak for each protein. (a,b) Excitation (a) and emission (b) curves are shown as solid or dashed lines for monomeric
variants and as dotted line for dTomato and tdTomato, with colors corresponding to the color of each variant. (c,d)
Purified proteins (from left to right, mHoneydew, mBanana, mOrange, tdTomato, mTangerine, mStrawberry, and
mCherry) are shown in visible light (c) and fluorescence (d). The fluorescence image is a composite of several images
with excitation ranging from 480 to 560 nm
12
• Primers Sequence
M31F-21: TGTAAAACGA CGGCCAGT
HePP: CATTAG GCACCTCGAG CTTTACACTT TATGCTTCCG GCTCGTATGTTGT-
GTGGAATTGTG
MCF: CCT GTC CCC TCA GTT CAC TTA CGG CTC CAA
MCR: GCC TTG GAG CCG TAA GTG AAC TGA GGG GAC
• Restriction Enzymes Sites
XhoI: : 5’...G/AATTC....3’
EcoRI: : 5’...C/TCGAG....3’
DpnI: : Cuts methylated DNA
• Materials acquisition
All enzymes used during the course of this experiment was acquired by the teaching staff
from the New England Biolabs (https://www.neb.ca/)
• Figures acquisition
Figures 7, 8, and 9 were all acquired from the MBB 308 2016 teaching slides.
13
References
[1] Z. Ding, B. Honda, A. Kim, J. Lum, S. MacLean, F. Pio, D. Sinclair, M. Syrzycka, P.J. Unrau,
S. Vlachos and S. Wang. Fall 2016 MBB308-3 Molecular Biology and Biochemistry Labora-
tory Manual. Department of Molecular Biology and Biochemistry. Simon Fraser University,
Burnaby, BC 2016.
14

Molecular_bilogy_lab_report_1

  • 1.
    From mCherry tomOrange The little promoter that could GENE MANIPULATION: CHANGING BOTH THE EXPRESSION AND THE COLOUR OF A GENE ENCODING THE POPULAR FLUORESCENT PROTEIN, MCHERRY CANADA, 2016–2017 WRITTEN BY ELIJAH WILLIE 301193627 WEDNESDAY 12-C Simon Fraser University Burnaby EW 2016 FACULTY OF MOLECULAR BIOLOGY AND BIOCHEMISTRY
  • 2.
    1 Introduction Recombinant DNAtechnology, or the art of fusing together DNA molecules from two different species has over the last five decades become an innovative method for advancement in science, medicine, agriculture, and industry. In the span of five weeks, we will be appealing to methods of recombinant DNA technology by using restriction digestions, promoter swap, and site directed mutagenesis to not only change the expression level of the mCherry protein, but also the color of its expression. This may not be as extravagant or intricate as those done in science and medicine, but it does however make use of the same techniques. 2 Materials and Methods The materials and methods were followed as described in the MBB 308 fall 2016 laboratory man- ual (1, pp 33-41, 43-46, 48-49, 52-56, 57-58). The QIAprep Spin Miniprep Kit was used for purification during the course of this experiment. Nano Drop readings were taken throughout this experiment for quantification of DNA concentration as well as protein, and salt contamination. • Bacterial Inoculation and Colony PCR Bacterial colonies were streaked on LB-amp plates( 100 µg ml−1 ampicillin) and inoculated the day before. A colony PCR reaction was setup the day of for a single colony of the inoculated bacteria using HePP primer (10 µM), M31F-21 primer (10 µM), and Taq enzyme (5 U). This reaction was run on the thermocycler with an initial denaturing temperature of 95 ◦ C, then for 25 cycles with 95 ◦ C for 30 seconds, 50 ◦ C, and 72 ◦ C for 50 seconds. The low expression pJ014 plasmid was purified, and Nano Drop readings were taken for the PCR product and the purified plasmid product. • Purification and Double Digestion The colony PCR product from the previous week was purified, and Nano Drop readings were taken. A double digest reaction was set-up for both the colony PCR product and the purified plasmid using restriction enzymes EcoRI (10 U for plasmid and 40 U for PCR), and XhoI (10 U for plasmid, and 40 U for PCR). Samples of both the double digested and undigested PCR product and pJ014 plasmid were run on a 0.1% agarose gel for analysis of the success 1
  • 3.
    of the digestionreactions. • Dephosphorylation of plasmid and old insert The PCR double digest product from the previous week was purified, and Nano Drop readings were taken. A dephosphorylation reaction for the double digested pJ014 plasmid, and a negative control was performed using antartic phosphatase (5 U). A ligation reaction was then set-up for the dephosphorylated and digested pJ014 plasmid using T4 DNA Ligase (2.5 U). The resulting ligation reaction and negative control were transformed into NEBα chemically competent cells. • Site Directed Mutagenesis of mCherry A purified pJT1 purified plasmid was obtained, and using engineered primers MCF (5 µM) and MCR (5 µM), a PCR reaction for this plasmid was set up using Phusion enzyme (1 U). This reaction was run on the thermocycler with an initial denaturing temperature of 98 ◦ C for 30 seconds, then for 19 cycles with the following settings, 98 ◦ C for 15 seconds, 60 ◦ C for 30 seconds, and 68 ◦ C for 198 seconds. DpnI restriction enzyme (10 U) was added to the PCR reaction after completion, then immediately incubated (37 ◦ C) for 30 minutes. After incubation, 2.5 µl of the this reaction was transformed into NEBα competent cells. • Fluorescent Characterization of mCherry and mutants One of each mCherry, mOrange, and white colony were inoculated a day before. On the day of, the inoculated colonies were microcentrifuged (16249 RCF for 1 minute) to pellet the cells. The pellet fluorescence were then visualized. Flourescence values for the supernatant were computed using the UV-vis feature of the Nano Drop and also by using the fluorescent plate reader. 3 Results In an effort to purify a plasmid containing the low expression mCherry promoter and to amplify a plasmid containing the mCherry high expression promoter. Low expression mCherry colonies 2
  • 4.
    were grown, andsingle colony was selected and PCR was performed on this colony. A plas- mid containing the high expression mCherry promoter was also obtained and purified. Table 1 summarizes the readings for the Nano Drop for both the colony PCR product and the purified plasmid. After performing colony PCR, the concentration of the DNA product was determined to be 43.4 ng µl−1 .This PCR product DNA concentration was measured again following a double digestion reaction, and it was measured to be 8.44 ng µl−1 . The plasmid was also purified, and it’s DNA concentration was measured to be 98 ng µl−1 . I was instructed to use a partner’s purified PCR double digest sample because my values were not satisfactory. These values are shown in Table 1. A 0.1% agarose gel was run to visualize the success of the double digestion reactions for both the purified PCR product, and the purified plasmid. After the first gel showed no enzyme activity (no bands in digested plamid and PCR lanes of Figure 1a), the double digestion reactions were redone and a second gel was run. This gel showed enzyme activity which can be seen by bands in Figure 1b. After the double digestion, dephosphorylation of the plasmid, and ligation reactions, the result- ing products were transformed into NEBα chemically competent cell (for the negative control as well). Figure 2 shows growth of the NEBα competent cells. 50 µl and 200 µl aliqouts were plated for overnight growth and the results are shown in Figure 2. We can see that there is approximately four times as many colonies for Figure 2a, as compared to Figured 2b. The majority of these colonies are strongly expressing the mCherry gene, which suggests that the promoter swap was successful. Site directed mutagenesis was used to induce a mutation in the mCherry gene, thereby changing it from mCherry to mOrange (Figure 8). Figure 3a, and 3b shows the results of the site directed mutagenesis reaction after transforming 50 µl, and 200 µl aliquots into NEBα competent cells. Unlike the the case for the mCherry high expression, we do not see four times more colonies in the 200 µl aliquout, as compared to the 50 µl aliquot. Also, we do not see any orange colonies in any of the plates, which indicates an efficiency rate of 0 for the mOrange expression compared to the mCherry expression. An orange colony from a partner who had successful colonies, a white colony for negative control, and a pink colony from the previous week transformed plates were inoculated and pelleted. Figure 4b shows florescence of the pellets after they were visualized in a dark room using ultraviolet light. Figure 5 shows plots of the fluorescence emission values for 3
  • 5.
    mOrange, and mCherrysupernatants after absorbance at 560 and 500 nm respectively. We see much better emission values for mOrange at 500 nm than at 560 nm. This is due to mOrange having better fluorescence characteristics at 500 nm than at 560 nm (Figure 9). We also see that mCherry have decent emission values at both 560 and 500 nm as shown by multiple peaks for mCherry in Figures 5a and 5b. Figure 6 shows the Nano Drop UV-vis readings for mCherry and mOrange for a range of wavelengths. This method is not as effective as using the fluorescent plate reader since we are only interested in absorbance at 500 and 560 nm. 4 Discussion This experiment was divided into two parts. Firstly, we changed the expression of the mCherry protein, by changing its promoter from low expression to high expression. Secondly, we induced a mutation in the mCherry gene thus changing its expression from mCherry to mOrange. The ac- curacy of the first part of the experiment was heavily dependent on the success of PCR reactions and the digestion reactions. If the PCR reactions fail thus resulting in very low yield of the high expression insert, we would expect a very low yield in mCherry colonies after the cells were trans- formed. However, from Figure 2a, and 2b, we see that the majority of the colonies are expressing the mCherry protein. This also implies that digestion reactions were successful for both the high expression insert and the plasmid containing the low expression insert. To ensure that this part of the experiment worked, a gel was run for visualization. Double digestion reaction for for the PCR and plasmid reactions had to be redone since the appropriate lanes didn’t appear in the gel. (Figure 1a). This was most likely due to the absence restriction enzymes in the reactions. After doing the digestion reactions for a second time, and visualizing using a gel, we see the required bands in the gel signifying that the digestion reactions were successful (Figure 1b). Figures 2a, and 2b show the results of the second part of the experiment. This part of the experiment was mostly unsuccessful due to the lack of orange colonies in Figures 2a, and 2b. The lack of orange colonies can be attributed to the inefficiency PCR reaction used to induce the mutation into the mCherry gene. Since the mCherry gene was not successfully mutated to express the mOrange gene, we 4
  • 6.
    see only pinkcolonies. Also, noting that we only observe a few number of colonies implies that the DpnI digestion reaction was successful. DpnI digests methlylated DNA, and the original mCherry plasmid was methlylated, it is logical to assume that DpnI digested most of the mCherry plasmid. The remaining mCherry plasmid that was not digested was then transformed into NEBα competent cells, and thus we see only very few pink colonies in Figures 3a, and 3b. An mOrange colony was obtained from a partner, and its fluorescence was characterized along with an mCherry colony, and a white colony from the negative control. Figures 4a, and 4b show the samples before and after they were pelleted and their fluorescence visualized using under ultraviolet lighting. We see little to no fluorescence for the mOrange and mCherry pellet (Figure 4b). This is most likely due to the colonies having very low expression for the respective proteins. Further analysis of the proteins using their supernatants using the UV-vis feature of the Nano Drop was used to charac- terize absorbance of mCherry and mOrange at both a variety of wavelengths ranging between 220 to 750 nm. We were interested in the absorbance values for 500 and 560 nm. This doesn’t quite show a reasonable view of the actual absorbance values, so a fluorescent plate reader was used to better quantify these absorbance values. Figures 5a, 5b show plots of emission values mCherry and mOrange at 560 and 500 nm respectively. We see more emission peaks that are sharp for mCherry and mOrange at 500 nm (Figure 5b). However for 560 nm, we see a broader emission peak for mCherry, and a very low peak for mOrange. This discrepancy can be attributed to mOrange hav- ing a better emission rate at 500 nm as compared to 560 nm (Figure 9). This experiment was for the most parts a success. Changing the mCherry promoter from low ex- pression to high expression was a success, and inducing a mutation that changed the expression from mCherry to mOrange didn’t prove to be too successful. Maybe better attention could have been paid, and better techniques used during the course of the experiments to ensure quality re- sults. This experiment, though minimal in its significance has brought to light the importance of recombinant DNA technology in modern science. This experiment has also shown the fact that making a change at a small scale can have a grand impact on how the whole function. Further research might be geared towards manipulating other regions of the mCherry gene to qualitatively analyze the types of mutants possible. 5
  • 7.
    5 Appendix Nano Dropreadings for PCR and Plasmid products sample A260 A230 A260 A280 Concentration( ng µl−1 ) Colony PCR 1.29 1.99 43.4 Purfied Plasmid 2.01 2.00 98.2 PCR Digest 1.03 5.19 8.44 **PCR Digest** 0.77 1.8 7.8 Table 1: Nano Drop readings for PCR and plasmid products. ** represents values for sample borrowed from my laboratory partner. (a) Gel of first double digestion attempt. Reading from left to right. Lanes represents: calibrated lad- der, undigested plasmid, double digest PCR insert, double digested plasmid, undigested PCR insert, and calibrated ladder (b) Gel of second double digestion attempt. Reading from left to right. Lanes represents: calibrated lad- der, undigested plasmid, double digest PCR insert, double digested plasmid, undigested PCR insert. Figure 1: Gels of the first(failed), and second(successful) double digestion of the PCR insert and the plasmid. 6
  • 8.
    (a) 50 µlof ligation reaction transformed into NEBα competent cells (b) 200 µl of ligation reaction transformed into NEBα competent cells Figure 2: Cultures with mCherry after changing the mCherry promoter from low expression to high expression. 7
  • 9.
    (a) 50 µlof ligation reaction transformed into NEBα com- petent cells (b) 200 µl of ligation reaction transformed into NEBα com- petent cells Figure 3: Cultures of mOrange after aliqouts from the site directed mutagenesis reactions were transformed into NEBα competent cells. (a) Inoculated colonies of mCherry, mOrange, and negative control read from left to right. (b) Fluorescence of pellets. Ideal samples are at the top. The bottom, left to right is the negative control, mCherry, and mOrange. Figure 4: Inoculated colonies and fluorescence characterization of pellets 8
  • 10.
    (a) Plot ofmCherry and mOrange at 500 nm. Blue curve is mCherry, and orange curve is mOrange. (b) Plots of mCherry and mOrange at 500 nm. Blue curve is mOrange, and orange curve is mCherry. Figure 5: Plots of mCherry and mOrange without noise. Noise was removed by subtracting the negative control values from both the mCherry and mOrange values. Negative emission values were set to zero 9
  • 11.
    (a) UV-vis graphfor mCherry using the Nano Drop (b) UV-vis graph for mOrange using the Nano Drop Figure 6: UV-vis plots for mCherry and mOrange. The area between the black and blue vertical lines is of interest. 10
  • 12.
    Figure 7: Sequencein the insert region of the plamid pJ014: Blue highlight: High expression primer hybridization region. Purple: XhoI restriction site, red: EcoRIrestriction site. Yellow: M135-21 hybridization region. Underlined regions are the -35 and -10 promoter boxes together with the Shine-Dalgarno (SD) sequence and start codon (ATG) Figure 8: AUG to ACU mutation: Mutation introduced by engineered primers to transform old insert (top), to new insert (bottom). This mutation changes the protein expression from mCherry to mOrange. Mutation is shown in blue. 11
  • 13.
    Figure 9: Excitationand emission spectra for new RFP variants. Spectra are normalized to the excitation and emission peak for each protein. (a,b) Excitation (a) and emission (b) curves are shown as solid or dashed lines for monomeric variants and as dotted line for dTomato and tdTomato, with colors corresponding to the color of each variant. (c,d) Purified proteins (from left to right, mHoneydew, mBanana, mOrange, tdTomato, mTangerine, mStrawberry, and mCherry) are shown in visible light (c) and fluorescence (d). The fluorescence image is a composite of several images with excitation ranging from 480 to 560 nm 12
  • 14.
    • Primers Sequence M31F-21:TGTAAAACGA CGGCCAGT HePP: CATTAG GCACCTCGAG CTTTACACTT TATGCTTCCG GCTCGTATGTTGT- GTGGAATTGTG MCF: CCT GTC CCC TCA GTT CAC TTA CGG CTC CAA MCR: GCC TTG GAG CCG TAA GTG AAC TGA GGG GAC • Restriction Enzymes Sites XhoI: : 5’...G/AATTC....3’ EcoRI: : 5’...C/TCGAG....3’ DpnI: : Cuts methylated DNA • Materials acquisition All enzymes used during the course of this experiment was acquired by the teaching staff from the New England Biolabs (https://www.neb.ca/) • Figures acquisition Figures 7, 8, and 9 were all acquired from the MBB 308 2016 teaching slides. 13
  • 15.
    References [1] Z. Ding,B. Honda, A. Kim, J. Lum, S. MacLean, F. Pio, D. Sinclair, M. Syrzycka, P.J. Unrau, S. Vlachos and S. Wang. Fall 2016 MBB308-3 Molecular Biology and Biochemistry Labora- tory Manual. Department of Molecular Biology and Biochemistry. Simon Fraser University, Burnaby, BC 2016. 14