Median Arcuate Ligament Syndromedrwalidagmy
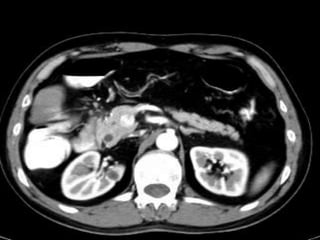
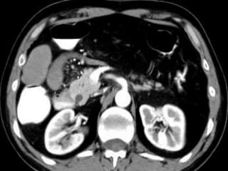
61 years old man with epigastric pain and vomiting
The median arcuate ligament is a fibrous arch unites the diaphragmatic crura .
in some people, the ligament inserts low or celiac art originate high.
young patients (20–40 y), F : M  CT angiograms:            focal narrowing in the proximal celiac axis.             inspiration and expiration          2ry signs poststenotic dilatation and collaterals.ttt   : surgery.
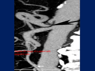
 angulations and narrowing of the proximal celiac axis. Sagittal 3D image of a patient with epigastric pain
Sagittal (MIP) of a patient with recurrent abdominal pain reveals focal calcified plaque.
Prostglandin induced hyperostosisdrwalidagmy
Caffey disease(ICH)AD  .subperiosteal bone formationbefore 6 months, M:f  1:1General hyperirritability, fever and anorexia, painful, firm soft-tissue swelling.PGETTT infants with cyanotic heart disease cortical hyperostosis that mimics ICH. PGE serum levels elevated Indomethacin.
 DD  - Physiological in infant not more than 4 m.   - trauma.   - Hypervitaminosis A.   - scurvy   - prostaglandin E1 and E2 administration , 42% of infants for more than 30 days; this increases to 100% in more than 60 days.8   - infection (including syphilis)   - metastatic neuroblastoma.
Thank you

Med arcuate lig syndrome1

  • 1.
    Median Arcuate LigamentSyndromedrwalidagmy
  • 2.
    61 years oldman with epigastric pain and vomiting
  • 7.
    The median arcuateligament is a fibrous arch unites the diaphragmatic crura .
  • 8.
    in some people,the ligament inserts low or celiac art originate high.
  • 9.
    young patients (20–40y), F : M  CT angiograms: focal narrowing in the proximal celiac axis. inspiration and expiration 2ry signs poststenotic dilatation and collaterals.ttt : surgery.
  • 10.
     angulations and narrowingof the proximal celiac axis. Sagittal 3D image of a patient with epigastric pain
  • 11.
    Sagittal (MIP) ofa patient with recurrent abdominal pain reveals focal calcified plaque.
  • 12.
  • 18.
    Caffey disease(ICH)AD  .subperiostealbone formationbefore 6 months, M:f 1:1General hyperirritability, fever and anorexia, painful, firm soft-tissue swelling.PGETTT infants with cyanotic heart disease cortical hyperostosis that mimics ICH. PGE serum levels elevated Indomethacin.
  • 19.
     DD -Physiological in infant not more than 4 m. - trauma. - Hypervitaminosis A. - scurvy - prostaglandin E1 and E2 administration , 42% of infants for more than 30 days; this increases to 100% in more than 60 days.8 - infection (including syphilis) - metastatic neuroblastoma.
  • 20.