Embed presentation
Downloaded 18 times







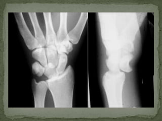
A 65-year-old female presented to the emergency department with right hand pain after falling down stairs. On examination, she had swelling of the right hand with limited motion of the wrist and hand. She was diagnosed with a lunate dislocation of the right wrist which requires emergent orthopedic consultation and may need to be repositioned in the emergency department or operating room. Complications are common after a lunate dislocation such as arthritis and wrist instability.






