Embed presentation
Download as PPSX, PPTX





























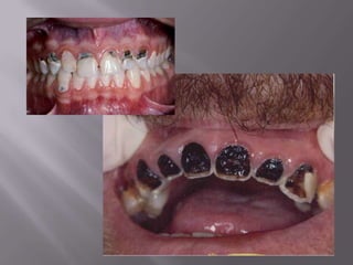
This document discusses the negative physical and psychological effects of meth use through images and text. It shows "before and after" photos of meth users with signs of aging, sores, and injuries. The text warns that meth use can lead to infections, violence, child abuse or neglect from home meth labs, and innocent children being exposed or testing positive for meth. The overall message is that meth ruins lives and families, while choosing life and avoiding meth is the better option.




























