SPEAKER:
NUR HANISAH BINTI ZAINOREN
SERIAL NO. 55
MATRIC NO. 62
Leprosy
• Synonym: Hansen’s disease
• Is a chronic infectious disease that primarily affects the
peripheral nerves, skin and mucous membrane.
• Caused by Mycobacterium leprae
– Slender rod-shaped bacilli
– Cannot be grown on artificial culture media/cell culture
*The ability for Mycobacterium leprae to survive and cause damage
within humans is poorly understood.
History
• M. leprae, discovered by G.A. Hansen in Norway in 1873
• One of the oldest known diseases
• It is attributed to poor hygiene and unsanitary conditions
• Leprosy is endemic in tropical countries with hot and moist
climate
• Patient suffer not only from the primary affect of disease
but also from the social discrimination, sadly compounded
by inappropriate term ‘leper’ for one who afflicted with
that disease
Symptoms
• Skin lesions that are lighter than normal skin color
– Lesions have decreased sensation to touch, heat, or pain
• Numbness
• Sensory loss
– People with long-term leprosy may lose the use of their hands or feet due to
repeated injury because they lack feeling in those areas.
• Amputation
– A patient with leprosy can lose the feeling in his hands suddenly during a lepra
reaction, so that he complains of an immediate numbness, or so slowly that
he hardly notices it. When this happens, neglected bruises, blisters, and cuts
cause scars that progressively destroy the pulps of his fingers.
Mode of Transmission
• Air-borne transmission
– Through inhalation of the bacilli
• Direct contact
– with leprosy patient who shed numerous bacilli from
damaged skin, nasal secretions, mucous membrane of
mouth & hair follicles
• Materno-foetal transmission across the placenta
• Transmission from milk of leprosy patient to infant
*Leprosy is not highly infectious. It is transmitted via droplets, from the
nose and mouth, during close and frequent contacts with untreated cases.
Classification
• The disease has been first divided into two poles. They are:
1- Tuberculoid leprosy (T.T.)
• Has maximal capacity to mount an immunological response against
M. leprae
2- Lepromatous leprosy (L.L.)
• Has least capacity to mount an immunological response against M.
leprae
However, the majority of leprosy cases have more variable
immune resistance and do not fall into either of the two
poles.
Ridley-Jopling Classification
• based on clinico-pathological spectrum
T.T. B.T. B.B. B.L. L.L.
POLAR GROUP POLAR GROUP
BORDERLINE GROUP
Ctd.
• These are then classified into:
3- Borderline leprosy (B.L.)
• This exactly falls mid way between the two poles
4- Borderline Tuberculoid leprosy (B.T.)
• Tend to be more towards T.T.
• Immune status is between B.B. and T.T.
5- Borderline Lepromatous leprosy (B.L.)
• Tend to be more towards L.L.
• Immune status is between B.B. and L.L.
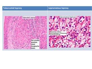
Differences
Lepromatous Leprosy (LL)
• Disfigurement is there
– Leonine facies
– Claw-shaped hands
– Pendulous ear lobes
– Saddle nose
• Suppressed (low resistance)
Tuberculoid Leprosy (TT)
• Well demarcated, dry patch
• Minimal disfigurement
– No leonine facies
– No claw-shaped hands
– No pendulous ear lobes
• Good immune response
(high resistance)
Tuberculoid leprosy Lepromatous leprosy
Treatment
• Multiple drug therapy for 12 – months is key to treatment,
this is carried out by WHO guideline using.
1- Rifampicin
2- Dapsone
3- Clofazimine
• During treatment, patient may develop acute manifestation,
which controlled by steroids
• Surgical treatment is indicated in advance stage of disease for
functional disability of limbs, cosmetic disfigurement of face
and visual problems.
• Surgical reconstruction requires the expertise of hand
surgeon, orthopedic surgeon and plastic surgeon.
References
• AK Mandal, Shramana Choudhury, Textbook of
Pathology For MBBS, Volume I, Avichal Publishing
Company, 2010.
• http://bacteria.emedtv.com/mycobacterium-
leprae/mycobacterium-leprae.html
• http://www.cdc.gov/nczved/divisions/dfbmd/dis
eases/hansens_disease/technical.html/#transmis
sion
Thank You

leprosy-150208042659-conversion-gate01.pdf

  • 1.
    SPEAKER: NUR HANISAH BINTIZAINOREN SERIAL NO. 55 MATRIC NO. 62
  • 2.
    Leprosy • Synonym: Hansen’sdisease • Is a chronic infectious disease that primarily affects the peripheral nerves, skin and mucous membrane. • Caused by Mycobacterium leprae – Slender rod-shaped bacilli – Cannot be grown on artificial culture media/cell culture *The ability for Mycobacterium leprae to survive and cause damage within humans is poorly understood.
  • 4.
    History • M. leprae,discovered by G.A. Hansen in Norway in 1873 • One of the oldest known diseases • It is attributed to poor hygiene and unsanitary conditions • Leprosy is endemic in tropical countries with hot and moist climate • Patient suffer not only from the primary affect of disease but also from the social discrimination, sadly compounded by inappropriate term ‘leper’ for one who afflicted with that disease
  • 5.
    Symptoms • Skin lesionsthat are lighter than normal skin color – Lesions have decreased sensation to touch, heat, or pain • Numbness • Sensory loss – People with long-term leprosy may lose the use of their hands or feet due to repeated injury because they lack feeling in those areas. • Amputation – A patient with leprosy can lose the feeling in his hands suddenly during a lepra reaction, so that he complains of an immediate numbness, or so slowly that he hardly notices it. When this happens, neglected bruises, blisters, and cuts cause scars that progressively destroy the pulps of his fingers.
  • 6.
    Mode of Transmission •Air-borne transmission – Through inhalation of the bacilli • Direct contact – with leprosy patient who shed numerous bacilli from damaged skin, nasal secretions, mucous membrane of mouth & hair follicles • Materno-foetal transmission across the placenta • Transmission from milk of leprosy patient to infant *Leprosy is not highly infectious. It is transmitted via droplets, from the nose and mouth, during close and frequent contacts with untreated cases.
  • 7.
    Classification • The diseasehas been first divided into two poles. They are: 1- Tuberculoid leprosy (T.T.) • Has maximal capacity to mount an immunological response against M. leprae 2- Lepromatous leprosy (L.L.) • Has least capacity to mount an immunological response against M. leprae However, the majority of leprosy cases have more variable immune resistance and do not fall into either of the two poles.
  • 8.
    Ridley-Jopling Classification • basedon clinico-pathological spectrum T.T. B.T. B.B. B.L. L.L. POLAR GROUP POLAR GROUP BORDERLINE GROUP
  • 9.
    Ctd. • These arethen classified into: 3- Borderline leprosy (B.L.) • This exactly falls mid way between the two poles 4- Borderline Tuberculoid leprosy (B.T.) • Tend to be more towards T.T. • Immune status is between B.B. and T.T. 5- Borderline Lepromatous leprosy (B.L.) • Tend to be more towards L.L. • Immune status is between B.B. and L.L.
  • 10.
    Differences Lepromatous Leprosy (LL) •Disfigurement is there – Leonine facies – Claw-shaped hands – Pendulous ear lobes – Saddle nose • Suppressed (low resistance) Tuberculoid Leprosy (TT) • Well demarcated, dry patch • Minimal disfigurement – No leonine facies – No claw-shaped hands – No pendulous ear lobes • Good immune response (high resistance)
  • 11.
  • 12.
    Treatment • Multiple drugtherapy for 12 – months is key to treatment, this is carried out by WHO guideline using. 1- Rifampicin 2- Dapsone 3- Clofazimine • During treatment, patient may develop acute manifestation, which controlled by steroids • Surgical treatment is indicated in advance stage of disease for functional disability of limbs, cosmetic disfigurement of face and visual problems. • Surgical reconstruction requires the expertise of hand surgeon, orthopedic surgeon and plastic surgeon.
  • 15.
    References • AK Mandal,Shramana Choudhury, Textbook of Pathology For MBBS, Volume I, Avichal Publishing Company, 2010. • http://bacteria.emedtv.com/mycobacterium- leprae/mycobacterium-leprae.html • http://www.cdc.gov/nczved/divisions/dfbmd/dis eases/hansens_disease/technical.html/#transmis sion
  • 16.