Dento-alveolar
Infections
Dr/ Hamed Gad
Objectives
 Deferential diagnosis of pulpal and
periapical infection.
 Stages of periapical infection.
 Different types of fascial space infection.
 Management.
 Complications.
An infection involves the invasion and
proliferation of microbes or physical and chemical
factors, heat, and irradiation.
Inflammationis the localized reaction of
vascular and connective tissue of the body to an
irritant, resulting in the development of an
exudates rich in proteins and cells.
 So the inflammation is consider a
protective and aims to limiting or
eliminating the irritant with various
procedures while the mechanism of tissue
repair is triggered.
Type of irritant
1. Microbes,
2. physical
3. chemical factors,
4. heat,
5. irradiation.
Signs & symptom of inflammation
1. Redness.
2. Heat.
3. Swelling or edema.
4. Pain.
5. loss of function.
Stages of inflammation
1- vascular phase
2- Cellular phase
3- Reparative Phase
Bacteriology of oral cavity
 The oral cavity provide an optimum
environment for microorganisms.
1- Moisture
2-Warmth
3-Protected crypts
Progression of odontogenic infections
 Early infection is often initiated by high-virulence aerobic
organisms (commonly streptococci), which cause
cellulitis, followed by mixed aerobic and anaerobic
infections.
 As the infections become more chronic (abscess stage),
the anaerobic bacteria predominate, and eventually the
infection becomes exclusively anaerobic.
 So TTT------------
Microbiology of odontogenic infection
I- Aerobic bacteria
GRAM SRAIN TYPE
Gram postive cocci Streptococcus
Staphylococcus
Gram negative cocci Neisseria Spp
Gram postive rods Corynebacterium spp
Gram negative rods Haemophilus spp
Microbiology of odontogenic infection
I- Anaerobic bacteria
GRAM SRAIN TYPE
Gram postive cocci Pepto-Streptococcus
Gram negative cocci veillonella Spp
Gram postive rods Eubacterium spp
Lactobacillus
actinomyses
Gram negative rods Bacteroides
Fusobacterium
Streptococci favor spreading
of infection
 This due to:
1. it produce fibrinolysin enzyme
2. Low chemotactic effect on
leukocytes
3. It grow in chains
Staphylococcus favor localization
of infection
 This due to:
1. it produce coagulase enzyme
2. High chemotactic effect on
leukocytes
3. It grow in colonies
 Most odontogenic infections are the
result of bacteria, which normally
colonize the bacterial plaque, tongue,
saliva, and gingival sulcus.
 When caries is present,
Streptococcus mutans is the
predominant microorganism.
 When gingivitis is present, Gram-
negative anaerobic rods prevail,
(Bacteroides intermedius) being the
most common pathogen.
 When periodontitis is present,
Anaerobic Gram-negative microorganisms
prevail Bacteroides gingivalis) as the
most common pathogen.
 In suppurative odontogenic infections (e.g.,
periapical abscesses) or in infections of the deep
fascial spaces, there is usually polymicrobial flora,
with melaninogen Bacteroides, Fusobacterium
nucleatum, as well as the species
Peptostreptococcus, Actinomyces, and
Streptococcus as the most common microbes.
1. Diffuse,
2. reddened,
3. soft or hard
swelling.
Cellulitis
Abscess
 Focal accumulation
of pus.
 May have
spontaneous
drainage intraorally
or extraorally.
Etiology of odontogenic infections
1. Non-vital teeth
2. Pericoronitis (due to a semi-impacted
mandibular tooth)
3. Tooth extractions
4. Infected cysts.
5. Postoperative trauma
6. Infection as a result of local anesthesia.
Dento-alveolar
abscess
1- acute dento-
alveolar abscess
2- chronic dento-
alveolar abscess
acute dento-alveolar
abscess
 Acute dento-alveolar
abscess of early
stage
 Acute dento-alveolar
abscess of late stage
Acute dento-
alveolar abscess of
early stage
Acute dentoalveolar abscess of early
stage
 Clinical pictures:
 1- Extrusion of the tooth out of its
socket.
 2- Tenderness: on percussion of the
involved tooth
 3- sharp , shooting and throbbing pain
 4-lymphadinitis & General features
Radiographic picture
Treatment of Acute dento-alveolar
abscess of early stage
 Prophylactic antibiotics
 Surgical treatment: pulp
extirpation-extraction
 Anti-infalmmatory-
Analgesics
 Rest on the bed & high
protein diet
Indication of extraction of the tooth
in ADAA
1. Healthy patients
2. Deciduous tooth
3. More than grade II
mobility
4. Accessible tooth for
extraction
5. pain control
Fate of ADAA infection
1.Resolve of abscess
2.Develop to ADAA in
late stage
3.Chronic status
II
Acute dento-
alveolar abscess
in late stage
Spread of infection
 Though the lymph tissue
 Through the veins
 Through the tissue continuity
Factors governing the spread of
infection from early stage to late stage
1- Virulence and numbers of the invading
microorganisms
2- Host defense
3- Position of tooth in the alveolus
4- Relation of the root apices to the muscle
attachments
5- Organization of the cervical fascia
1- Virulence of the invading
microorganisms
Virulence means all characteristics of the
microbe that are injurious to the host
which include:
1. Degree of invasiveness
2. Bacterial toxins and enzymes
2- Host defense
1. Age of the patients
2. Medical status
3. Nutrition
4. Immuno-suppression diseases or
medication
3- Anatomical location of the tooth in the
alveolus
4- Relation of the root apices to the
muscle attachments
4- Relation of the root apices to
the muscle attachments
six possible 1ry spaces
locations:
1. vestibular abscess
2. buccal space
3. palatal abscess
4. sublingual space
5. submandibular space
6. maxillary sinus
According to roots position and muscles
attachment
5- Organization of the cervical fascia “facial spaces
“
The fascia are continuous layers of connective tissue consisting of
The superficial cervical fascia The
deep cervical fasciae
 The superficial cervical
fascia (tela subcutanae).
 It is a layer of loose C. T.
located directly beneath the
skin.
 Is a continuous sheet extend
from the head & neck into
the regions of the thorax,
shoulders & axillae.
superficial fascial layer enclose:
1. 1- Platysma
2- Muscles of Facial expression
The deep Cervical Fascia
 1- Superficial Layer
 2- Middle Layer
 3- Deep Layer
Fascial spaces
Fascial spaces are fascia-lined areas
that can be eroded or distended
by purulent exudates.
The danger space
Also called space 4 of
Grodinsky , it is the
potential space
between alar and
prevertebral fascia.
Its superior limit is
the skull base, and it
extends inferiorly
into the posterior
mediastinum.
Superficial layer
Middle layer
Deep layer
principles of management of
fascial space infection infections
Following factors should be taken into
consideration for management of odontogenic
infections
I
1. Determine the severity of infection.
2. Evaluate host defenses.
3. Indications for hospitalization.
II
4. Treat surgically.
5. Support medically.
6. Choose and prescribe antibiotic therapy.
7. Administer the antibiotic properly.
III
8. Evaluate the patient frequently.
Following factors should be taken into
consideration for management of odontogenic
infections
I
1. Determine the severity of infection.
2. Evaluate host defenses.
3. Indications for hospitalization.
Following factors should be taken into
consideration for management of odontogenic
infections
II
4. Treat surgically.
5. Support medically.
6. principle for antibiotic therapy.
7. Administer the antibiotic properly.
Following factors should be taken into
consideration for management of odontogenic
infections
III
8. Evaluate the patient frequently.
A- Determining the severity of
infection
1. Anatomic location.
2. Rate of progression.
3. Airway compromise.
B- Evaluate host defenses.
1. Age
2. Disease related
3. Defective immune system related
4. Drug related
C- indications for hospitalization
1. Temperature > 101°F (38.3°C)
2. Threat to the airway or vital structures
3. Infection in high severity anatomic spaces
4. Need for general anesthesia
5. Need for inpatient control of systemic disease
Objective of surgical drainage
1. Drain pus from tissue spaces
2. Relives tissue pressure.
D- Treat surgically
 Extirpation of the necrotic tooth pulp
 Soft tissue incision
Establishment of Drainage
Drainage, con’t
Drainage, con’t
Incision for temporal
Submandibular,
Submental,
Incision for retropharyngeal, lateral
pharyngeal spaces
Incision for retropharyngeal,
lateral pharyngeal spaces,carotid
sheath
E-Support medically.
1. Hydration
2. Nutrition
3. Control of fever
principle for antibiotic therapy
1. Identification of causative organism
2. Determination of antibiotic sensitivity
3. Use of narrow spectrum antibiotic
4. Use of least toxic antibiotic
5. Patient drug history
6. Use of bactericidal rather than bacteriostatic antibiotic
7. Cost of antibiotic
Odontogenic infections caused
by:
1. mixed flora 70%
2. aerobic flora 5%
3. anaerobic flora 25%
determination of antibiotic
culture sensitivity indications:
1. If patient has received treatment for 3 days
without improvement
2. Post operative wound infection
3. Recurrent infection
4. Chronic specific and none specific
infection
USE OF NARROW SPECTRUM
ANTIBIOTICS
When a broad spectrum antibiotic is used, many
different bacteria, present in body are exposed to
antibiotic.
However if narrow spectrum antibiotic is used fewer
organisms have opportunity to become resistant
as they are not even partially sensitive
USE OF LEAST TOXIC ANTIBIOTIC
Antibiotics are used to kill bacteria but some antibiotics may injure
human cells. At times these drugs may be used but in most of
situations, less toxic drugs that are equally effective may be
used. Treatment with less toxic drug may be prolonged. Hence,
clinician should continuously monitor for signs of toxicity &
instruct patient to look for & report them as well
Use of bactericidal rather than
bacteriostatic antibiotic
Advantages of bactericidal antibiotics are:
1. Less reliance on host resistance
2. Killing of bacteria by antibiotic itself
3. Greater flexibility with dosage
intervals
4. Faster results than bacteriostatic
BACTERICIDAL
ANTIBIOTICS
BACTERIOSTATI
C ANTIBIOTICS
Penicillins Tetracyclines
Cephalosporins Arithromycin
Aminoglycosides Clarithromycin
Vancomycin Azithromycin
Fluoroquinolones Clindamycin
Metronidazole Sulfa
Imipenem
COST OF DRUG
It is difficult to place price tag on health, but
surgeon should consider the cost of antibiotic
prescribed.
In some situations more expensive drug may be
drug of choice.
But in some situations there is substantial
difference in the antibiotics of equal efficacy.
Principles of antibiotic
administration
1. Proper dosage
2. Proper time interval
3. Consistency in route of administration
4. Combination antibiotic therapy
PROPER DOSAGE
- The goal of any drug therapy should be to prescribe /
administer sufficient amounts to achieve the desired
therapeutic effect but not enough to cause injury to the
host.
- For therapeutic purposes the peak concentration of the
antibiotic at the site of infection should be 3-4 times the
MIC.
PROPER DOSAGE
Sufficient antibiotic must be given to reach
therapeutic levels, because sub- therapeutic levels
may mask the infection and suppress the clinical
manifestations without actually killing the
bacteria.
Subtherapeutic doses may cause the recurrence of
infection once the drug is discontinued.
DRUG T1/2(hr) USUALADULT
DODAGE
PEDIATRIC
DOSAGE
Penicillin G 0.5 600,000-1,200,000
U 4hrly
100,000U/Kg/day
in 3 doses
Penicillin V 1.0 500mg qid 50mg/Kg/d in 3-4
D
Amoxycillin 1.0 250-500mg tds 25mg/Kg/d in 3 D
Ampicillin 0.7 250-500mg qid 100mg/kg/d in 4 D
Oxacillin 0.5 500-1000mg 6hrly 50-100mg/Kg/d 4
D
Dicloxacillin 0.5 250-500mg qid 12.5-50mg/Kg/d 4
D
Cefotaxim 0.7 1-2g 8-12hrly
Cephalexin 0.7 500-1000mg qid 25-50mg/Kg/d 4D
Metronidazole 8 400mg tds 30-40mg/Kg/d
Clindamycin 4 150-450mg 6hrly 10-20mg/Kg/d 3-
4D
PROPER TIME INTERVAL
Each antibiotic has established plasma
half life (t1/2), during which half of the
absorbed dose is excreted.
As most of the antibiotics are eliminated
by kidneys, in patients with pre
existing renal diseases longer interval
between doses is maintained.
indications of combination therapy
1. When it is necessary to increase the antibacterial spectrum
in the patient with life threatening sepsis of unknown
cause.
2. When increased bactericidal effect against a specific
organism is desired
3. In prevention of rapid emergence of resistant bacteria.
4. Empiric treatment of certain odontogenic infections
 Penicillin
 it is considered an antibiotic of choice for the treatment of
odontogenic infections.
 Penicillin inhibits synthesis of the cell wall.
 The semisynthetic derivatives(amoxicillin-ampicillen) is
effective against aerobic Gram-positive rods and
anaerobic Gram-positive and -negative cocci. as well as
anaerobic G –ve rods and relatively effective against
aerobic Gram-negative rods.
The recommended dose administration is 500–1000
mg every 6–8 h for ampicillin, and 500 mg every 8
h for amoxicillin.
combinations of semisynthetic penicillins with various 􀁂-
lactamase inhibitors
1. Ampicillin with sulbactam
2. Amoxicillin with clavulanic acid,
They may be administered orally, and the recommended
doses are 375–750 mg every 12 h for ampicillin/sulbactam,
and 625 mg every 8 h for amoxicillin/ clavulanic acid.
It is worth noting that penicillins are not
contraindicated during pregnancy, and are
classed as relatively safe drugs (category B
according to the FDA categorization1)
 The most common and most serious adverse
reactions to penicillins are hypersensitivity
reactions 3–5% of the population).
Cephalosporins
The mechanism of action of cephalosporins, regardless of generation, is
the same as that of penicillin. As far as antimicrobial effectiveness is
concerned, orally administered first-generation cephalosporins
(cefalexin and cefadroxil) are not advantageous compared to
penicillin or ampicillin, while orally administered second-generation
cephalosporins (cefaclor, cefatrizine, loracarbef, cefprozil and
cefuroxime) are characterized by resistance to 􀁂-lactamases, which
neutralize ampicillin, and may be used as alternative drugs if there is
no response to penicillin.
Cephalosporins are considered relatively safe
drugs during pregnancy (category B
according to FDA categorization) and their
dose needs to be decreased only in case of
advanced renal failure.
Macrolides
Their antimicrobial spectrum includes Gram-positive aerobic and
anaerobic cocci of the mouth, while Gram-negative aerobes and
anaerobes are resistant.
As such, they are a good alternative solution for treatment of odontogenic
infections without complications of mild and intermediate severity in
patients allergic to lactams.
Erythromycin and azithromycin are considered relatively safe drugs for
pregnant patients (category B according to FDA categorization
Clindamycin
effectiveness against the most frequent pathogens in
odontogenic infections, such as Gram-positive
aerobic and anaerobic cocci and Gram negative
anaerobic rods.
Clindamycin is not effective against Gram-negative
aerobic rods.
The recommended dose for oral administration is 300
mg every 8 h, which does not need to be adjusted
even in end-stage renal failure.
The most serious and common side-effect of clindamycin is
antibiotic-associated diarrhea (0.3–21%) and an even more
severe diarrheal state, pseudomembranous colitis (1.9–10%).
Clindamycin belongs to category B according to the FDA
categorization for pregnancy and has been extensively used
during pregnancy. Even so, there are no controlled studies
concerning its safety in humans.
metronidazole
Mainly metronidazole and ornidazole belong to the group of
nitroimidazole drugs, whose mechanism of action has not
been fully clarified even today.
They are drugs with rapid bactericidal action principally
against Gram-negative anaerobes, a slightly more
restricted bactericidal action against Gram-positive
anaerobes (microaerophilic
The usual dose for oral administration is 500 mg every 8 h for
metronidazole, and 500 mg every 12 h for ornidazole.
Pregnancy is not a contraindication for
administration (category B of FDA
categorization), but nitroimidazoles must be
avoided during the first trimester, while the
dose must be decreased to half the normal
dose only in cases of severe renal failure.
Microbiology of odontogenic infection
I- Aerobic bacteria
GRAM SRAIN TYPE
Gram postive cocci Streptococcus
Staphylococcus
Macrolides
Clindamycin
Gram negative cocci Neisseria Spp PENICILLEN------
Gram postive rods Corynebacterium spp
PENICILLEN
Gram negative rods Haemophilus spp
PENICILLEN
Clindamycin
Microbiology of odontogenic infection
I- Anaerobic bacteria
GRAM SRAIN TYPE
Gram postive cocci Pepto-Streptococcus
Macrolides
Clindamycin
Gram negative cocci veillonella Spp
Gram postive rods Eubacterium spp
Lactobacillus
Actinomyses PENICILLEN
Gram negative rods Bacteroides
Fusobacterium
PENICILLEN
metronidazole
Antibiotic Therapy
 Removal of the cause, drainage, and
supportive care more important than
antibiotic therapy.
 Infections are cured by the patient’s
defenses, not antibiotics.
Antibiotic therapy
 Oral infections are typically polymicrobial.
 Antibiotic effectiveness dependent upon adequate
tissue (not serum) concentration for an
appropriate amount of time.
 Antibiotics should be prescribed for at least one
week
Antibiotic therapy
 Penicillin (bacteriocidal) drug of choice for treatment of
odontogenic infections (5% incident of allergy).
 Clindamycin (batericiodal) 1st line after penicillin; effective
against anaerobes; stop taking at first sign of diarrhea.
 Cephalosporin (slightly broader spectrum and bacteriocidal);
cautious use in penicillin-allergic patients → cross-sensitivity; if
history of anaphylaxis to penicillin, do not use.
Antibiotic therapy
 Erythromycin (bacteriostatic) good 2nd line drug
after penicillin; use enteric-coated to reduce GI upset.
 Metronidazole (bacteriocidal) excellent against
anaerobes only.
 Augmentin (amoxicillin + clavulanic acid) kills
penicillinase-producing bacteria that interferes with
amoxicillin; expensive.
H- EVALUATE THE PATIENT
FREQUENTLY
1. Subjective sense of feeling better
2. Objective signs of improvement
3. Review culture & sensitivity reports
4. Reevaluate host responses if
necessary
Examples of fascial
spaces
 Abscess of Base of
Upper Lip
 Etiology. It is usually caused by
infected root canals of maxillary
anterior teeth.
 Clinical Presentation.
 swelling and protrusion of the
upper lip,
 diffuse spreading and obliteration
of the depth of the mucolabial fold
Treatment
• incision for drainage:
• is made at the mucolabial fold parallel to
the alveolar process.
•A hemostat is then inserted inside the
cavity, which reaches bone, aiming for the
apex of the responsible tooth, facilitating
the evacuation of pus.
•A rubber drain is placed until the clinical
symptoms of the infection subside .
Canine Space
•Canine Space infection
•Clinical Presentation.
This is characterized :
edema localized in the infraorbital region,
• obliteration of the nasolabial fold and
somewhat of the mucolabial fold.
•the skin becomes taut and shiny due to
suppuration, while its color is reddish
Buccal Space infection
Submental Abscess
Etiology.
- mandibular anterior
teeth
- - spread of infection
from other anatomic
spaces (mental,
sublingual,
Submental Abscess
Clinical Presentation.
- indurated and painful
submental edema,
which later may
fluctuate or may even
spread as far as the
hyoid bone.
Submental Abscess
Sublingual Abscess
There are two sublingual spaces
above the mylohyoid muscle, to
the right and left of the midline.
These spaces are divided by
dense fascia. Abscesses formed in
these spaces are known as
sublingual abscesses.
.
Etiology.
 the mandibular anterior teeth, premolars and the first
molar, whose apices are found above the attachment of
the mylohyoid muscle.
 Also, infection may spread to this space from other
bordering spaces with which it communicates
(submandibular, submental, lateral pharyngeal).
 Treatment. I&D
 intraoral incision, laterally, and
along Wharton’s duct and the
lingual nerve.
 In order to locate the pus, a
hemostat is used to explore the
space inferiorly, in an
anteroposterior direction and
beneath the gland.
 After drainage is complete, a
rubber drain is placed.
Etiology. Infection of this space may
originate from
the mandibular second and third
molars, if their apices are found
beneath the attachment of the
mylohyoid muscle. It may also be
the result of spread of infection
from the sublingual or submental
spaces.
Sub-mandibular Abscess
 Clinical Presentation. The infection
presents asmoderate
 swelling at the submandibular area,
which spreads, creating greater edema
that is indurated and redness of the
overlying skin.
 Also, the angle of the mandible is
obliterated, while pain during palpation
and moderate trismus due to
involvement of the medial pterygoid
muscle are observed as well.
A hemostat is inserted into the cavity of the
abscess to explore the space and an
attempt is made to communicate with
the infected spaces.
Blunt dissection must be performed along
the medial surface of the mandibular
bone also, because pus is often located in
this area as well. After drainage, a
rubber drain is placed.
- Masticator space infection
a- Submasseteric Abscess
Etiology. Infection of this space
originates in the mandibular
third molars (pericoronitis)
Pathway of spread from masseteric
space infection
 Clinical Presentation. It is
characterized by a firm
 edema that is painful to pressure in the
region of the masseter muscle.
 Severe trismus and an inability to
palpate the angle of the mandible are
observed.
 Intraorally, there is edema present at
the retromolar area and at the anterior
border of the ramus.
 This abscess rarely fluctuates, while it
may present generalized symptoms.
Treatment.
Treatment of this abscess is basically intraorally.
with an incision that begins at the coronoid process and runs
along the anterior border of the ramus towards the
mucobuccal fold, approximately as far as the second molar.
Extraorally on the skin, beneath the angle of the mandible . In
both cases, a hemostat is inserted, which proceeds as far as
the center of suppuration and until it comes into contact with
bone.
Because access is distant from the purulent accumulation, often
it is difficult to drain the area well, resulting in frequent
Masticator space infection
b- Temporal Abscess
Anatomic Location.
A-The superficial temporal space is
bounded laterally by the temporal
fascia and medially by the
temporalis muscle
B- the deep temporal space is found
between the medial surface of the
temporalis muscle and the temporal
bone
Temporal Space infection
Clinical Presentation. It is
characterized by painful edema of
the temporal fascia, trismus (the
temporalis and medial pterygoid
muscles are involved), and pain
during palpation of the edema.
 Etiology. Infection of the temporal space is
caused by the spread of infection from the
infratemporal space, with which it
communicates.
 Treatment. The incision for drainage is
performed horizontally, at the margin of
the scalp hair and approximately 3 cm
above the zygomatic arch. It then
continues carefully between the two
layers of the temporal fascia as far as the
temporalis muscle. A curved hemostat is
used to drain the abscess.
 Masticator space infection
 C- Pterygomandibular Space
An abscess of this space is caused mainly by infection of
mandibular third molars or the result of an inferior
alveolar nerve block, if the penetration site of the needle
is infected (pericoronitis).
 Clinical Presentation.
 Severe trismus and slight extraoral edema beneath the
angle of the mandible are observed.
 Intraorally, edema of the soft palate of the affected side
is present, as is displacement of the uvula and lateral
pharyngeal wall, while there is difficulty in swallowing.
Right pterygomandibular
space abscess. Note the
swelling of the anterior
tonsillar pillar and the
deviation of the
edematous uvula to the
opposite side.
Treatment.
The abscess is drained, permitting
the evacuation of pus along the
shaft of the instrument.
 Lateral Pharyngeal
Abscess

Lateral Pharyngeal (parapharyngeal)
Space
• Contents :
• Int. carotid a.
•Int. jugular v.
•Deep cervical lymph
nodes
•Nerve IX, X, XI, XII
•Sympathetic chain
Left lateral pharyngeal space
abscess. Note the swelling just
anterior to the sternocleidomastoid
muscle above the level of the hyoid
bone and the deviation of the head
toward the right shoulder, in an
attempt to place the upper airway
directly over the deviated trachea
Incision for temporal &
submassetric space
Submandibular, submasseteric,
pterygomandibular
Submental,
Sublingual
Incision for retropharyngeal,
lateral pharyngeal spaces
Incision for retropharyngeal,
lateral pharyngeal
Upper Canine
 Canine space Buccal space
Pterygomandibular space
Submandibular space
Lateral pharyngeal space
Retropharyngeal space
Superior mediastinum
Upper Molars
 Buccal space infratmporal
space
Temporal space
Ptergomandibular space
Submandibular space Lateral
pharyngeal space
Lower premolars
Sublingual space
Submandibular space
Lateral pharyngeal space
Retropharyngeal space
Superior mediastinum
Lower 1st +2nd molars
Buccal space Pterygomandibular
space
Submandibular space molar
Lateral pharyngeal space
Retropharyngeal space
Lower 3 rd molar
Pterygomandibular space
Submandibular space Lateral
pharyngeal space
Retropharyngeal space Superior
mediastinum
 Complications of odontogenic
infections
1- Ludwig's angina
Ludwig's angina is
bilateral, brawny,
induration of the
submandibular,
sublingual, and
submental spaces.
Ludwig’s angina with bilateral involvement
of sublingual and submandibular spaces
 The principles of treatment of
Ludwig's angina are early diagnosis,
surgical intervention, and definitive
airway management.
 After securing an airway, surgical
drainage of each individual space
should begin even before fluctuance
becomes palpable externally.
Clinical Presentation. The middle
third of the tongue is elevated
towards the palate, while the
anterior portion projects out
of the mouth.The posterior
portion displaces the
edematous epiglottis
posteriorly, resulting in
obstruction of the airway.
The incisions must be bilateral,
extraoral, parallel, and medial to the
inferior border of the mandible, at
the premolar and molar region , and
intraoral, parallel to the ducts of the
submandibular glands.
2- Cavernous sinus thrombosis
It is an uncommon but potentially lethal
extension of odontogenic infection.
An orofacial infection can reach the
cavernous sinus through two routes: an
anterior route via the angular and inferior
ophthalmic veins, and a posterior route via
the transverse facial vein and the pterygoid
. Cavernous sinus thrombosis
The first clinical signs of cavernous sinus
thrombosis include vascular congestion in
periorbital, scleral, and retinal veins.
Other clinical signs include periorbital edema,
proptosis, thrombosis of the retinal vein, ptosis,
dilated pupils, absent corneal reflex, and
supraorbital sensory deficits.
3- Cervicofacial necrotizing
fasciitis?
 Cervicofacial necrotizing fasciitis is a very aggressive
infection of the skin and superficial fascia of the head and
neck and is commonly seen in diabetic and
immunocompromised patients.
 It carries a mortality rate of 30%-50% from sepsis of the
dead tissue in the affected area.
Necrotizing
fasciitis. Large
granulating skin
defect
extending from
the inferior
border of the
mandible to the
clavicle, 2
weeks
After
débridement.
THANK YOU
THANK YOU

Infection okkkkkkkk

  • 1.
  • 2.
    Objectives  Deferential diagnosisof pulpal and periapical infection.  Stages of periapical infection.  Different types of fascial space infection.  Management.  Complications.
  • 3.
    An infection involvesthe invasion and proliferation of microbes or physical and chemical factors, heat, and irradiation. Inflammationis the localized reaction of vascular and connective tissue of the body to an irritant, resulting in the development of an exudates rich in proteins and cells.
  • 4.
     So theinflammation is consider a protective and aims to limiting or eliminating the irritant with various procedures while the mechanism of tissue repair is triggered.
  • 5.
    Type of irritant 1.Microbes, 2. physical 3. chemical factors, 4. heat, 5. irradiation.
  • 6.
    Signs & symptomof inflammation 1. Redness. 2. Heat. 3. Swelling or edema. 4. Pain. 5. loss of function.
  • 7.
    Stages of inflammation 1-vascular phase 2- Cellular phase 3- Reparative Phase
  • 8.
    Bacteriology of oralcavity  The oral cavity provide an optimum environment for microorganisms. 1- Moisture 2-Warmth 3-Protected crypts
  • 9.
    Progression of odontogenicinfections  Early infection is often initiated by high-virulence aerobic organisms (commonly streptococci), which cause cellulitis, followed by mixed aerobic and anaerobic infections.  As the infections become more chronic (abscess stage), the anaerobic bacteria predominate, and eventually the infection becomes exclusively anaerobic.  So TTT------------
  • 10.
    Microbiology of odontogenicinfection I- Aerobic bacteria GRAM SRAIN TYPE Gram postive cocci Streptococcus Staphylococcus Gram negative cocci Neisseria Spp Gram postive rods Corynebacterium spp Gram negative rods Haemophilus spp
  • 11.
    Microbiology of odontogenicinfection I- Anaerobic bacteria GRAM SRAIN TYPE Gram postive cocci Pepto-Streptococcus Gram negative cocci veillonella Spp Gram postive rods Eubacterium spp Lactobacillus actinomyses Gram negative rods Bacteroides Fusobacterium
  • 12.
    Streptococci favor spreading ofinfection  This due to: 1. it produce fibrinolysin enzyme 2. Low chemotactic effect on leukocytes 3. It grow in chains
  • 13.
    Staphylococcus favor localization ofinfection  This due to: 1. it produce coagulase enzyme 2. High chemotactic effect on leukocytes 3. It grow in colonies
  • 14.
     Most odontogenicinfections are the result of bacteria, which normally colonize the bacterial plaque, tongue, saliva, and gingival sulcus.
  • 15.
     When cariesis present, Streptococcus mutans is the predominant microorganism.
  • 16.
     When gingivitisis present, Gram- negative anaerobic rods prevail, (Bacteroides intermedius) being the most common pathogen.
  • 17.
     When periodontitisis present, Anaerobic Gram-negative microorganisms prevail Bacteroides gingivalis) as the most common pathogen.
  • 18.
     In suppurativeodontogenic infections (e.g., periapical abscesses) or in infections of the deep fascial spaces, there is usually polymicrobial flora, with melaninogen Bacteroides, Fusobacterium nucleatum, as well as the species Peptostreptococcus, Actinomyces, and Streptococcus as the most common microbes.
  • 19.
    1. Diffuse, 2. reddened, 3.soft or hard swelling. Cellulitis
  • 20.
    Abscess  Focal accumulation ofpus.  May have spontaneous drainage intraorally or extraorally.
  • 22.
    Etiology of odontogenicinfections 1. Non-vital teeth 2. Pericoronitis (due to a semi-impacted mandibular tooth) 3. Tooth extractions 4. Infected cysts. 5. Postoperative trauma 6. Infection as a result of local anesthesia.
  • 23.
    Dento-alveolar abscess 1- acute dento- alveolarabscess 2- chronic dento- alveolar abscess
  • 24.
    acute dento-alveolar abscess  Acutedento-alveolar abscess of early stage  Acute dento-alveolar abscess of late stage
  • 25.
  • 26.
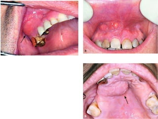
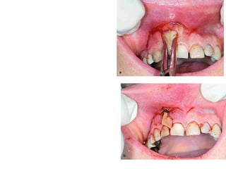
    Acute dentoalveolar abscessof early stage  Clinical pictures:  1- Extrusion of the tooth out of its socket.  2- Tenderness: on percussion of the involved tooth  3- sharp , shooting and throbbing pain  4-lymphadinitis & General features
  • 27.
  • 28.
    Treatment of Acutedento-alveolar abscess of early stage  Prophylactic antibiotics  Surgical treatment: pulp extirpation-extraction  Anti-infalmmatory- Analgesics  Rest on the bed & high protein diet
  • 29.
    Indication of extractionof the tooth in ADAA 1. Healthy patients 2. Deciduous tooth 3. More than grade II mobility 4. Accessible tooth for extraction 5. pain control
  • 30.
    Fate of ADAAinfection 1.Resolve of abscess 2.Develop to ADAA in late stage 3.Chronic status
  • 31.
  • 32.
    Spread of infection Though the lymph tissue  Through the veins  Through the tissue continuity
  • 33.
    Factors governing thespread of infection from early stage to late stage 1- Virulence and numbers of the invading microorganisms 2- Host defense 3- Position of tooth in the alveolus 4- Relation of the root apices to the muscle attachments 5- Organization of the cervical fascia
  • 34.
    1- Virulence ofthe invading microorganisms Virulence means all characteristics of the microbe that are injurious to the host which include: 1. Degree of invasiveness 2. Bacterial toxins and enzymes
  • 35.
    2- Host defense 1.Age of the patients 2. Medical status 3. Nutrition 4. Immuno-suppression diseases or medication
  • 36.
    3- Anatomical locationof the tooth in the alveolus
  • 37.
    4- Relation ofthe root apices to the muscle attachments
  • 38.
    4- Relation ofthe root apices to the muscle attachments
  • 39.
    six possible 1ryspaces locations: 1. vestibular abscess 2. buccal space 3. palatal abscess 4. sublingual space 5. submandibular space 6. maxillary sinus According to roots position and muscles attachment
  • 40.
    5- Organization ofthe cervical fascia “facial spaces “ The fascia are continuous layers of connective tissue consisting of The superficial cervical fascia The deep cervical fasciae
  • 41.
     The superficialcervical fascia (tela subcutanae).  It is a layer of loose C. T. located directly beneath the skin.  Is a continuous sheet extend from the head & neck into the regions of the thorax, shoulders & axillae.
  • 42.
    superficial fascial layerenclose: 1. 1- Platysma 2- Muscles of Facial expression
  • 43.
    The deep CervicalFascia  1- Superficial Layer  2- Middle Layer  3- Deep Layer
  • 45.
    Fascial spaces Fascial spacesare fascia-lined areas that can be eroded or distended by purulent exudates.
  • 48.
    The danger space Alsocalled space 4 of Grodinsky , it is the potential space between alar and prevertebral fascia. Its superior limit is the skull base, and it extends inferiorly into the posterior mediastinum.
  • 49.
  • 55.
    principles of managementof fascial space infection infections
  • 56.
    Following factors shouldbe taken into consideration for management of odontogenic infections I 1. Determine the severity of infection. 2. Evaluate host defenses. 3. Indications for hospitalization. II 4. Treat surgically. 5. Support medically. 6. Choose and prescribe antibiotic therapy. 7. Administer the antibiotic properly. III 8. Evaluate the patient frequently.
  • 57.
    Following factors shouldbe taken into consideration for management of odontogenic infections I 1. Determine the severity of infection. 2. Evaluate host defenses. 3. Indications for hospitalization.
  • 58.
    Following factors shouldbe taken into consideration for management of odontogenic infections II 4. Treat surgically. 5. Support medically. 6. principle for antibiotic therapy. 7. Administer the antibiotic properly.
  • 59.
    Following factors shouldbe taken into consideration for management of odontogenic infections III 8. Evaluate the patient frequently.
  • 60.
    A- Determining theseverity of infection 1. Anatomic location. 2. Rate of progression. 3. Airway compromise.
  • 61.
    B- Evaluate hostdefenses. 1. Age 2. Disease related 3. Defective immune system related 4. Drug related
  • 62.
    C- indications forhospitalization 1. Temperature > 101°F (38.3°C) 2. Threat to the airway or vital structures 3. Infection in high severity anatomic spaces 4. Need for general anesthesia 5. Need for inpatient control of systemic disease
  • 63.
    Objective of surgicaldrainage 1. Drain pus from tissue spaces 2. Relives tissue pressure.
  • 64.
    D- Treat surgically Extirpation of the necrotic tooth pulp  Soft tissue incision
  • 66.
  • 67.
  • 68.
  • 71.
    Incision for temporal Submandibular, Submental, Incisionfor retropharyngeal, lateral pharyngeal spaces Incision for retropharyngeal, lateral pharyngeal spaces,carotid sheath
  • 72.
    E-Support medically. 1. Hydration 2.Nutrition 3. Control of fever
  • 73.
    principle for antibiotictherapy 1. Identification of causative organism 2. Determination of antibiotic sensitivity 3. Use of narrow spectrum antibiotic 4. Use of least toxic antibiotic 5. Patient drug history 6. Use of bactericidal rather than bacteriostatic antibiotic 7. Cost of antibiotic
  • 74.
    Odontogenic infections caused by: 1.mixed flora 70% 2. aerobic flora 5% 3. anaerobic flora 25%
  • 75.
    determination of antibiotic culturesensitivity indications: 1. If patient has received treatment for 3 days without improvement 2. Post operative wound infection 3. Recurrent infection 4. Chronic specific and none specific infection
  • 76.
    USE OF NARROWSPECTRUM ANTIBIOTICS When a broad spectrum antibiotic is used, many different bacteria, present in body are exposed to antibiotic. However if narrow spectrum antibiotic is used fewer organisms have opportunity to become resistant as they are not even partially sensitive
  • 77.
    USE OF LEASTTOXIC ANTIBIOTIC Antibiotics are used to kill bacteria but some antibiotics may injure human cells. At times these drugs may be used but in most of situations, less toxic drugs that are equally effective may be used. Treatment with less toxic drug may be prolonged. Hence, clinician should continuously monitor for signs of toxicity & instruct patient to look for & report them as well
  • 78.
    Use of bactericidalrather than bacteriostatic antibiotic Advantages of bactericidal antibiotics are: 1. Less reliance on host resistance 2. Killing of bacteria by antibiotic itself 3. Greater flexibility with dosage intervals 4. Faster results than bacteriostatic
  • 79.
    BACTERICIDAL ANTIBIOTICS BACTERIOSTATI C ANTIBIOTICS Penicillins Tetracyclines CephalosporinsArithromycin Aminoglycosides Clarithromycin Vancomycin Azithromycin Fluoroquinolones Clindamycin Metronidazole Sulfa Imipenem
  • 80.
    COST OF DRUG Itis difficult to place price tag on health, but surgeon should consider the cost of antibiotic prescribed. In some situations more expensive drug may be drug of choice. But in some situations there is substantial difference in the antibiotics of equal efficacy.
  • 81.
    Principles of antibiotic administration 1.Proper dosage 2. Proper time interval 3. Consistency in route of administration 4. Combination antibiotic therapy
  • 82.
    PROPER DOSAGE - Thegoal of any drug therapy should be to prescribe / administer sufficient amounts to achieve the desired therapeutic effect but not enough to cause injury to the host. - For therapeutic purposes the peak concentration of the antibiotic at the site of infection should be 3-4 times the MIC.
  • 83.
    PROPER DOSAGE Sufficient antibioticmust be given to reach therapeutic levels, because sub- therapeutic levels may mask the infection and suppress the clinical manifestations without actually killing the bacteria. Subtherapeutic doses may cause the recurrence of infection once the drug is discontinued.
  • 84.
    DRUG T1/2(hr) USUALADULT DODAGE PEDIATRIC DOSAGE PenicillinG 0.5 600,000-1,200,000 U 4hrly 100,000U/Kg/day in 3 doses Penicillin V 1.0 500mg qid 50mg/Kg/d in 3-4 D Amoxycillin 1.0 250-500mg tds 25mg/Kg/d in 3 D Ampicillin 0.7 250-500mg qid 100mg/kg/d in 4 D Oxacillin 0.5 500-1000mg 6hrly 50-100mg/Kg/d 4 D Dicloxacillin 0.5 250-500mg qid 12.5-50mg/Kg/d 4 D Cefotaxim 0.7 1-2g 8-12hrly Cephalexin 0.7 500-1000mg qid 25-50mg/Kg/d 4D Metronidazole 8 400mg tds 30-40mg/Kg/d Clindamycin 4 150-450mg 6hrly 10-20mg/Kg/d 3- 4D
  • 85.
    PROPER TIME INTERVAL Eachantibiotic has established plasma half life (t1/2), during which half of the absorbed dose is excreted.
  • 86.
    As most ofthe antibiotics are eliminated by kidneys, in patients with pre existing renal diseases longer interval between doses is maintained.
  • 87.
    indications of combinationtherapy 1. When it is necessary to increase the antibacterial spectrum in the patient with life threatening sepsis of unknown cause. 2. When increased bactericidal effect against a specific organism is desired 3. In prevention of rapid emergence of resistant bacteria. 4. Empiric treatment of certain odontogenic infections
  • 88.
     Penicillin  itis considered an antibiotic of choice for the treatment of odontogenic infections.  Penicillin inhibits synthesis of the cell wall.  The semisynthetic derivatives(amoxicillin-ampicillen) is effective against aerobic Gram-positive rods and anaerobic Gram-positive and -negative cocci. as well as anaerobic G –ve rods and relatively effective against aerobic Gram-negative rods.
  • 89.
    The recommended doseadministration is 500–1000 mg every 6–8 h for ampicillin, and 500 mg every 8 h for amoxicillin.
  • 90.
    combinations of semisyntheticpenicillins with various 􀁂- lactamase inhibitors 1. Ampicillin with sulbactam 2. Amoxicillin with clavulanic acid, They may be administered orally, and the recommended doses are 375–750 mg every 12 h for ampicillin/sulbactam, and 625 mg every 8 h for amoxicillin/ clavulanic acid.
  • 91.
    It is worthnoting that penicillins are not contraindicated during pregnancy, and are classed as relatively safe drugs (category B according to the FDA categorization1)  The most common and most serious adverse reactions to penicillins are hypersensitivity reactions 3–5% of the population).
  • 92.
    Cephalosporins The mechanism ofaction of cephalosporins, regardless of generation, is the same as that of penicillin. As far as antimicrobial effectiveness is concerned, orally administered first-generation cephalosporins (cefalexin and cefadroxil) are not advantageous compared to penicillin or ampicillin, while orally administered second-generation cephalosporins (cefaclor, cefatrizine, loracarbef, cefprozil and cefuroxime) are characterized by resistance to 􀁂-lactamases, which neutralize ampicillin, and may be used as alternative drugs if there is no response to penicillin.
  • 93.
    Cephalosporins are consideredrelatively safe drugs during pregnancy (category B according to FDA categorization) and their dose needs to be decreased only in case of advanced renal failure.
  • 94.
    Macrolides Their antimicrobial spectrumincludes Gram-positive aerobic and anaerobic cocci of the mouth, while Gram-negative aerobes and anaerobes are resistant. As such, they are a good alternative solution for treatment of odontogenic infections without complications of mild and intermediate severity in patients allergic to lactams. Erythromycin and azithromycin are considered relatively safe drugs for pregnant patients (category B according to FDA categorization
  • 95.
    Clindamycin effectiveness against themost frequent pathogens in odontogenic infections, such as Gram-positive aerobic and anaerobic cocci and Gram negative anaerobic rods. Clindamycin is not effective against Gram-negative aerobic rods. The recommended dose for oral administration is 300 mg every 8 h, which does not need to be adjusted even in end-stage renal failure.
  • 96.
    The most seriousand common side-effect of clindamycin is antibiotic-associated diarrhea (0.3–21%) and an even more severe diarrheal state, pseudomembranous colitis (1.9–10%). Clindamycin belongs to category B according to the FDA categorization for pregnancy and has been extensively used during pregnancy. Even so, there are no controlled studies concerning its safety in humans.
  • 97.
    metronidazole Mainly metronidazole andornidazole belong to the group of nitroimidazole drugs, whose mechanism of action has not been fully clarified even today. They are drugs with rapid bactericidal action principally against Gram-negative anaerobes, a slightly more restricted bactericidal action against Gram-positive anaerobes (microaerophilic The usual dose for oral administration is 500 mg every 8 h for metronidazole, and 500 mg every 12 h for ornidazole.
  • 98.
    Pregnancy is nota contraindication for administration (category B of FDA categorization), but nitroimidazoles must be avoided during the first trimester, while the dose must be decreased to half the normal dose only in cases of severe renal failure.
  • 99.
    Microbiology of odontogenicinfection I- Aerobic bacteria GRAM SRAIN TYPE Gram postive cocci Streptococcus Staphylococcus Macrolides Clindamycin Gram negative cocci Neisseria Spp PENICILLEN------ Gram postive rods Corynebacterium spp PENICILLEN Gram negative rods Haemophilus spp PENICILLEN Clindamycin
  • 100.
    Microbiology of odontogenicinfection I- Anaerobic bacteria GRAM SRAIN TYPE Gram postive cocci Pepto-Streptococcus Macrolides Clindamycin Gram negative cocci veillonella Spp Gram postive rods Eubacterium spp Lactobacillus Actinomyses PENICILLEN Gram negative rods Bacteroides Fusobacterium PENICILLEN metronidazole
  • 101.
    Antibiotic Therapy  Removalof the cause, drainage, and supportive care more important than antibiotic therapy.  Infections are cured by the patient’s defenses, not antibiotics.
  • 102.
    Antibiotic therapy  Oralinfections are typically polymicrobial.  Antibiotic effectiveness dependent upon adequate tissue (not serum) concentration for an appropriate amount of time.  Antibiotics should be prescribed for at least one week
  • 103.
    Antibiotic therapy  Penicillin(bacteriocidal) drug of choice for treatment of odontogenic infections (5% incident of allergy).  Clindamycin (batericiodal) 1st line after penicillin; effective against anaerobes; stop taking at first sign of diarrhea.  Cephalosporin (slightly broader spectrum and bacteriocidal); cautious use in penicillin-allergic patients → cross-sensitivity; if history of anaphylaxis to penicillin, do not use.
  • 104.
    Antibiotic therapy  Erythromycin(bacteriostatic) good 2nd line drug after penicillin; use enteric-coated to reduce GI upset.  Metronidazole (bacteriocidal) excellent against anaerobes only.  Augmentin (amoxicillin + clavulanic acid) kills penicillinase-producing bacteria that interferes with amoxicillin; expensive.
  • 105.
    H- EVALUATE THEPATIENT FREQUENTLY 1. Subjective sense of feeling better 2. Objective signs of improvement 3. Review culture & sensitivity reports 4. Reevaluate host responses if necessary
  • 106.
  • 107.
     Abscess ofBase of Upper Lip  Etiology. It is usually caused by infected root canals of maxillary anterior teeth.  Clinical Presentation.  swelling and protrusion of the upper lip,  diffuse spreading and obliteration of the depth of the mucolabial fold
  • 109.
    Treatment • incision fordrainage: • is made at the mucolabial fold parallel to the alveolar process. •A hemostat is then inserted inside the cavity, which reaches bone, aiming for the apex of the responsible tooth, facilitating the evacuation of pus. •A rubber drain is placed until the clinical symptoms of the infection subside .
  • 110.
  • 111.
    •Canine Space infection •ClinicalPresentation. This is characterized : edema localized in the infraorbital region, • obliteration of the nasolabial fold and somewhat of the mucolabial fold. •the skin becomes taut and shiny due to suppuration, while its color is reddish
  • 113.
  • 114.
    Submental Abscess Etiology. - mandibularanterior teeth - - spread of infection from other anatomic spaces (mental, sublingual,
  • 115.
    Submental Abscess Clinical Presentation. -indurated and painful submental edema, which later may fluctuate or may even spread as far as the hyoid bone.
  • 117.
  • 118.
    Sublingual Abscess There aretwo sublingual spaces above the mylohyoid muscle, to the right and left of the midline. These spaces are divided by dense fascia. Abscesses formed in these spaces are known as sublingual abscesses. .
  • 119.
    Etiology.  the mandibularanterior teeth, premolars and the first molar, whose apices are found above the attachment of the mylohyoid muscle.  Also, infection may spread to this space from other bordering spaces with which it communicates (submandibular, submental, lateral pharyngeal).
  • 120.
     Treatment. I&D intraoral incision, laterally, and along Wharton’s duct and the lingual nerve.  In order to locate the pus, a hemostat is used to explore the space inferiorly, in an anteroposterior direction and beneath the gland.  After drainage is complete, a rubber drain is placed.
  • 121.
    Etiology. Infection ofthis space may originate from the mandibular second and third molars, if their apices are found beneath the attachment of the mylohyoid muscle. It may also be the result of spread of infection from the sublingual or submental spaces. Sub-mandibular Abscess
  • 122.
     Clinical Presentation.The infection presents asmoderate  swelling at the submandibular area, which spreads, creating greater edema that is indurated and redness of the overlying skin.  Also, the angle of the mandible is obliterated, while pain during palpation and moderate trismus due to involvement of the medial pterygoid muscle are observed as well.
  • 124.
    A hemostat isinserted into the cavity of the abscess to explore the space and an attempt is made to communicate with the infected spaces. Blunt dissection must be performed along the medial surface of the mandibular bone also, because pus is often located in this area as well. After drainage, a rubber drain is placed.
  • 125.
    - Masticator spaceinfection a- Submasseteric Abscess Etiology. Infection of this space originates in the mandibular third molars (pericoronitis)
  • 126.
    Pathway of spreadfrom masseteric space infection
  • 127.
     Clinical Presentation.It is characterized by a firm  edema that is painful to pressure in the region of the masseter muscle.  Severe trismus and an inability to palpate the angle of the mandible are observed.  Intraorally, there is edema present at the retromolar area and at the anterior border of the ramus.  This abscess rarely fluctuates, while it may present generalized symptoms.
  • 128.
    Treatment. Treatment of thisabscess is basically intraorally. with an incision that begins at the coronoid process and runs along the anterior border of the ramus towards the mucobuccal fold, approximately as far as the second molar. Extraorally on the skin, beneath the angle of the mandible . In both cases, a hemostat is inserted, which proceeds as far as the center of suppuration and until it comes into contact with bone. Because access is distant from the purulent accumulation, often it is difficult to drain the area well, resulting in frequent
  • 129.
    Masticator space infection b-Temporal Abscess Anatomic Location. A-The superficial temporal space is bounded laterally by the temporal fascia and medially by the temporalis muscle B- the deep temporal space is found between the medial surface of the temporalis muscle and the temporal bone
  • 130.
    Temporal Space infection ClinicalPresentation. It is characterized by painful edema of the temporal fascia, trismus (the temporalis and medial pterygoid muscles are involved), and pain during palpation of the edema.
  • 131.
     Etiology. Infectionof the temporal space is caused by the spread of infection from the infratemporal space, with which it communicates.
  • 132.
     Treatment. Theincision for drainage is performed horizontally, at the margin of the scalp hair and approximately 3 cm above the zygomatic arch. It then continues carefully between the two layers of the temporal fascia as far as the temporalis muscle. A curved hemostat is used to drain the abscess.
  • 133.
     Masticator spaceinfection  C- Pterygomandibular Space An abscess of this space is caused mainly by infection of mandibular third molars or the result of an inferior alveolar nerve block, if the penetration site of the needle is infected (pericoronitis).  Clinical Presentation.  Severe trismus and slight extraoral edema beneath the angle of the mandible are observed.  Intraorally, edema of the soft palate of the affected side is present, as is displacement of the uvula and lateral pharyngeal wall, while there is difficulty in swallowing.
  • 134.
    Right pterygomandibular space abscess.Note the swelling of the anterior tonsillar pillar and the deviation of the edematous uvula to the opposite side.
  • 135.
    Treatment. The abscess isdrained, permitting the evacuation of pus along the shaft of the instrument.
  • 136.
  • 137.
    Lateral Pharyngeal (parapharyngeal) Space •Contents : • Int. carotid a. •Int. jugular v. •Deep cervical lymph nodes •Nerve IX, X, XI, XII •Sympathetic chain
  • 138.
    Left lateral pharyngealspace abscess. Note the swelling just anterior to the sternocleidomastoid muscle above the level of the hyoid bone and the deviation of the head toward the right shoulder, in an attempt to place the upper airway directly over the deviated trachea
  • 140.
    Incision for temporal& submassetric space Submandibular, submasseteric, pterygomandibular Submental, Sublingual Incision for retropharyngeal, lateral pharyngeal spaces Incision for retropharyngeal, lateral pharyngeal
  • 141.
    Upper Canine  Caninespace Buccal space Pterygomandibular space Submandibular space Lateral pharyngeal space Retropharyngeal space Superior mediastinum
  • 142.
    Upper Molars  Buccalspace infratmporal space Temporal space Ptergomandibular space Submandibular space Lateral pharyngeal space
  • 143.
    Lower premolars Sublingual space Submandibularspace Lateral pharyngeal space Retropharyngeal space Superior mediastinum
  • 144.
    Lower 1st +2ndmolars Buccal space Pterygomandibular space Submandibular space molar Lateral pharyngeal space Retropharyngeal space
  • 145.
    Lower 3 rdmolar Pterygomandibular space Submandibular space Lateral pharyngeal space Retropharyngeal space Superior mediastinum
  • 146.
     Complications ofodontogenic infections
  • 147.
    1- Ludwig's angina Ludwig'sangina is bilateral, brawny, induration of the submandibular, sublingual, and submental spaces.
  • 148.
    Ludwig’s angina withbilateral involvement of sublingual and submandibular spaces
  • 149.
     The principlesof treatment of Ludwig's angina are early diagnosis, surgical intervention, and definitive airway management.  After securing an airway, surgical drainage of each individual space should begin even before fluctuance becomes palpable externally.
  • 150.
    Clinical Presentation. Themiddle third of the tongue is elevated towards the palate, while the anterior portion projects out of the mouth.The posterior portion displaces the edematous epiglottis posteriorly, resulting in obstruction of the airway.
  • 151.
    The incisions mustbe bilateral, extraoral, parallel, and medial to the inferior border of the mandible, at the premolar and molar region , and intraoral, parallel to the ducts of the submandibular glands.
  • 152.
    2- Cavernous sinusthrombosis It is an uncommon but potentially lethal extension of odontogenic infection. An orofacial infection can reach the cavernous sinus through two routes: an anterior route via the angular and inferior ophthalmic veins, and a posterior route via the transverse facial vein and the pterygoid
  • 154.
    . Cavernous sinusthrombosis The first clinical signs of cavernous sinus thrombosis include vascular congestion in periorbital, scleral, and retinal veins. Other clinical signs include periorbital edema, proptosis, thrombosis of the retinal vein, ptosis, dilated pupils, absent corneal reflex, and supraorbital sensory deficits.
  • 155.
    3- Cervicofacial necrotizing fasciitis? Cervicofacial necrotizing fasciitis is a very aggressive infection of the skin and superficial fascia of the head and neck and is commonly seen in diabetic and immunocompromised patients.  It carries a mortality rate of 30%-50% from sepsis of the dead tissue in the affected area.
  • 156.
    Necrotizing fasciitis. Large granulating skin defect extendingfrom the inferior border of the mandible to the clavicle, 2 weeks After débridement.
  • 158.

Editor's Notes

  • #19 In suppurative odontogenic infections (e.g., periapical abscesses) or in infections of the deep fascial spaces, there is usually polymicrobial flora, with melaninogen Bacteroides, Fusobacterium nucleatum, as well as the species Peptostreptococcus, Actinomyces, and Streptococcus as the most common microbes.
  • #20  Diffuse, reddened, soft or hard swelling that is tender to palpation. Inflammatory response not yet forming a true abscess.
  • #21 As inflammatory response matures, may develop a focal accumulation of pus. May have spontaneous drainage intraorally or extraorally.
  • #28 in the acute phase, no signs are observedat the bone (which may be observed 8–10 days later), unless there is recurrence of a chronic abscess, where upon osteolysis is observed. Radiographic verification of a deeply carious tooth or restoration very close to the pulp, as well as thickening of the periodontal ligament, are data that indicate the causative tooth.
  • #37 Whether the pus spreads buccally, palatally or lingually depends mainly on the position of the tooth in the dental arch, the thickness of the bone, and the distance it must travel. Whether the pus spreads buccally, palatally or lingually depends mainly on the position of the tooth in the dental arch, the thickness of the bone, and the distance it must travel. For example: The palatal roots of the posterior teeth and the maxillary lateral incisor are considered responsible for the palatal spread of pus, while the mandibular third molar and sometimes the mandibular second molar are considered responsible for the lingual spread of infection. Inflammation may even spread into the maxillary sinus when the apices of posterior teeth are found inside or close to the floor of the antrum.
  • #38 Relation of the root apices to the muscle attachments In the maxilla, the attachment of the buccinator muscle is significant. When the apices of the maxillary premolars and molars are found beneath the attachment of the buccinator muscle, the pus spreads intraorally; however, if the apices are found above its attachment, infection spreads upwards and extraorally. Exactly the same phenomenon is observed in the mandible as in the maxilla if the apices are found above or below the attachment of the buccinator muscle Spread of pus depending on the length of root and attachment of buccinator muscle. a Apex above attachment: accumulation of pus in the buccal space. b Apex beneath the buccinator muscle: intraoral pathway towards the mucobuccal fold
  • #43 In its deeper portion it contains the platysma muscle while more superficially it contains the muscles of facial expressions. Nerves vessels, lymphatic and fat deposits are found throughout.
  • #61 Three major factors must be considered in determining the severity of an infection of the head and neck: Anatomic location, Rate of progression, Airway compromise.
  • #62 Malnutrition syndrome, often as a result of Chronic alcoholism - Poorly controlled diabetes - Patient’s with malignancy & leukemia’s are more likely to be infected. - A.I.D.S. - Multiple myeloma - Whole body radiation Congenital defects such as agammaglobulinemia Patients with these conditions may be unable to fight successfully against invading bacteria. Cytotoxic drugs : patients may have increased susceptibility to infections for upto 1 yr after the course of cancericidal drugs Immunosuppressive drugs : - glucocorticoids - azathioprine - cyclosporine - steroids
  • #64 The objective of surgical drainage is to drain pus from tissue spaces & to insert drain so that more pus do not accumulate in these spaces. This procedure removes infected pus relives tissue pressure. In many odontogenic infections drainage can be accomplished by extracting offending tooth. Surgical drainage also plays important role In patients with cellulitis without pus formation. The purpose is to release pressure & thereby increase vascular flow. In most patients with moderate to severe cellulitis incision & exploration almost reveal some areas of abscess formation. Hence surgical intervention is must in both with chronic abscess with pus formation & acute indurated cellulitis.
  • #65 Surgical treatment may range from something as simple as the opening of a tooth and extirpation of the necrotic tooth pulp to treatment as complex as the wide incision of soft tissue in the sub-mandibular and neck regions for a severe infection.
  • #73 Fever below 103°F (39.4°C) is probably beneficial. Above 103°F, however, fever can become destructive by increasing metabolic and cardiovascular demands beyond physiologic reserve capacity. Daily sensible fluid loss, consisting primarily of sweat, is increased by 250 mL per degree of fever. Insensible fluid loss, consisting mainly of evaporation from lungs and skin, is increased by 50 to 75 mL per degree of fever per day. Fever also increases metabolic demand by 5 to 8% per degree of fever per day. Therefore, it may be necessary to supplement the infected patient’s oral intake
  • #75 ODONTOGENIC INFECTIONS Caused by MIXED flora =approx 70% - Fusobacterium + S. milleri Caused by AEROBIC flora = approx 5% - Streptococcus milleri, S. sanguais - S. salivarius, S. mutans Caused by ANAEROBIC flora = approx 25% - Prevotella melaninogenica, P.intermedia - P.oralis, P.denticola, fusobacterium According to studies bacteria found in well circumscribed non-advancing abscess are almost anaerobic bacteria only. Microbiology of cellulitis type infections, that do not have abscess formation, show almost exclusively aerobic bacteria. So, it seems that early infections that present as a cellulitis without abscess formation are most likely caused by aerobic bacteria. As infection becomes more severe, microbiology becomes of mixed type. If infection process is controlled by host’s defenses, aerobic bacteria no longer survive & only anaerobic bacteria are found.
  • #86  Usual dosage interval for therapeutic use is four times the t1/2
  • #95 The high cost of newer macrolides compared to erythromycin must be noted, without a substantial difference in effectiveness against oral pathogens. Gastrointestinal disturbances (nausea, vomiting, abdominal cramping, diarrhea) are the most common side-effects of erythromycin. Newer macrolides are advantageous compared to erythromycin in that they are better tolerated and may be administered, due to their longer half-life, every 12 or 24 h instead of every 6 h.
  • #112 which spreads towards the medial canthus of the eye, lower eyelid, and side of the nose as far as the corner of the mouth. The edema at the infraorbital region is painful during palpation, and later on
  • #117 Submental Abscess Treatment. After local anesthesia is performed around the abscess an incision on the skin is made beneath the chin, in a horizontal direction and parallel to the anterior border of the chin. The pus is then drained in the same way as in the other cases.
  • #119 Sublingual Abscess There are two sublingual spaces above the mylohyoid muscle, to the right and left of the midline. These spaces are divided by dense fascia. Abscesses formed in these spaces are known as sublingual abscesses. .
  • #120 Etiology. The teeth that are most commonly responsible for infection of the sublingual space are the mandibular anterior teeth, premolars and the first molar, whose apices are found above the attachment of the mylohyoid muscle. Also, infection may spread to this space from other bordering spaces with which it communicates (submandibular, submental, lateral pharyngeal).
  • #121 Treatment. I&D The incision for drainage is performed intraorally, laterally, and along Wharton’s duct and the lingual nerve. In order to locate the pus, a hemostat is used to explore the space inferiorly, in an anteroposterior direction and beneath the gland. After drainage is complete, a rubber drain is placed.
  • #128 Clinical Presentation. It is characterized by a firm edema that is painful to pressure in the region of the masseter muscle, which extends from the posterior border of the ramus of the mandible as far as the anterior border of the masseter muscle. Also, severe trismus and an inability to palpate the angle of the mandible are observed. Intraorally, there is edema present at the retromolar area and at the anterior border of the ramus. This abscess rarely fluctuates, while it may present generalized symptoms.
  • #156 What is cervicofacial necrotizing fasciitis?