HYPERPARATHYROIDISM
Anatomy
• Four very small brownish red structures about 5mm x3mm x1mm
that are flattened and ovoid and lie in the posterior aspect of the
thyroid gland.
• Occasionally, the inferior pair maybe situated in the mediastinum
• As many as 12 glands maybe present
Histology
• Upto 10 years of age, the glands are composed of uniform type of
cells densely packed as continuous mass or anastomosing cords.
These cells are designated as chief or principal cells.
• At the age of puberty, oxyphil cells appear
PHYSIOLOGY
The parathyroid gland secretes parathyroid hormone
• It maintains serum calcium level. When serum calcium is low, as from
dietary lack , the normal level is restored by dissolution and
osteoclasis of bone. The low serum calcium causes parathyroid
hyperplasia. Conversely when serum calcium is high, parathyroid
hypoplasia results; the excess is excreted in urine or deposited in
bone. Absorption by the gut is reduced
• It lowers the serum phosphorus level. PTH encourages excretion of
phosphorus by inhibiting renal tubal reabsorption of phosphorus
PHYSIOLOGY CONTINUED
• Promotes tubular reabsorption of calcium
• It acts with Vit D to promote intestinal absorption of calcium
• Encourages glomerular filtration of calcium and phosphate ions
• Inhibits calcifying effect of Vit D
• Increases solubility of calcium and phosphorus,maintaining these
substances in ionic form
• Parathyroid hormone related protein- paracrine factor responsible for
hypercalcemia of malignancy
Normal values of serum calcium and
phosphorus
Infants Children Adults
Calcium (mg/dl) 10.5-12 10-11.5 9.5-10.5
Phosphorus (mg/dl) 4.0-7.0 4.5-5.5 3.2-4.3
• Low serum calcium, high phosphorus secondary hyperplasia
• High serum calcium, low phosphorusprimary parathyrou adenoma
or hyperplasia
Relation of kidney function to secondary
hyperparathyroidism
• Normal kidneys can eliminate phosphorus easily. When non
functioning glomeruli form a barrier to passage of phosphorus, the
hyperphosphatemia urges parathyroids to excrete it, causing
excessive secretion of PTH
• Excess PTH increases the rate of bone absorption with consequent
rise of calcium and Ph in the bloodstream. Since these elements not
excreted by kidneys, they are deposited throughout the soft tissues-
multiple renal staghorn calculi, metastatic pathological calcification
which includes walls of blood vessels
• The large bowel excretes the excess of calcium and phosphorus
although not adequately.
• This results in renal rickets in child and renal osteomalacia in adults.
In children the changes are influenced by the presence of actively
growing epiphyseal cartilage plates. These plates and osteoid tissue
become excessively wide and irregular. This is high phosphorus rickets
in contrast to the usual normal or low phosphorus rickets caused by
deficiency of Vit D
Main features of secondary HPT
• Marked renal insufficiency of long duration
• Phosphate retention with high serum phosphorus
• Slight reduction of calcium
• Marked acidosis
• Metastatic calcium deposits near joints
• Monckeberg sclerosis
• Osteitis Fibrosa Generalisata
• Enlargement of parathyroid tissue
Treatment
• Lowering phosphorus intake, reducing its absorption by aluminium
hydroxide and of directing efforts towards kidney disease
• When kidney disease is tubular, loss of calcium is excessive and large
quantities of calcium and Vit D must be administered
Primary Hyperparathyroidism
• Aka Osteitis Fibrosa Cystica, Von recklinghausens disease,
parathyrotoxicosis
• Excessive secretion of PTH causes marked increase in osteoclasts,
rapid resorption of the bone, decrease of osteoblasts and fibrous
replacement of marrow.
• Both calcium and phosphorus thrown into the bloodstream; although
both are excreted mainly in kidneys, Ph is excreted more readily than
calcium—blood calcium level elevated and phosphorus level is
lowered
• The Alkaline phosphatase (ALP) elevated-compensatory effort at
restoring the normal bone
Pathology
• Most frequently , an adenoma measuring upto 6 cm (normal is 25
mg) in diameter is situated in one of the glands. Composed of mainly
principal cells. The cells tend to form acini, cords and patternless
masses
• Hyperplasia can be due to secondary causes such as renal defect or it
can be due to hereditary causes such as Multiple Endocrine Neoplasia
(MEN) syndromes.
Skeletal changes
• Diffuse bone resorption-large numbers of multi-nucleated osteoclasts
are observed in Howship’s lacunae, haversian canals are enlarged,
cortices are transformed to paper thin cancellous bone
• Deformities- long bones bend under the stress of weightbearing.
Intervertebral discs become ballooned as they indent on soft
vertebral bodies forming the codfish spine
• Pathological fractures
• Marrow fibrosis-replacement of marrow elements may cause anemia
Skeletal changes continued
• Brown tumors- localized accumulation of haemorrhage and blood
pigments and reactive masses of osteoclasts in a spindle cell stroma.
Well circumscribed brown area of soft consistency situated where
bone resorption has been thorough. Healing may occur by fibrous
tissue replacement or the center may liquefy and a bone cyst
remains.
• Mutiple bone cysts: unilocular or multilocular; they expand the cortex
leaving a paper thin covering and are often the site for pathologic
fractures. The walls are composed of dense fibrous tissue and the
contents are serous fluid and fibrin
• After parathyroidectomy, osteoclasts become sparse and osteoblastic
activity becomes pronounced. Cortices thicken. Brown tumors
disappear and are replaced by bone or become converted into cysts.
The smaller cysts usually disappear, larger ones persist. Skeletal
deformities generally remain. Fibrous marrow replaced by lamellar
bone, marrow elements are slowly restored and the blood picture
removed.
Clinical Picture
• F>M. middle aged women. Exists for many years in subclinical state
(Asymptomatic)
• Severe pain and tenderness in lower limbs and back
• Generalized muscle weakness and hypotonia
• Pathologic fractures and delayed union
• deformity of limbs and spine
• Polyuria and polydipsia. Consequence of hyperphosphaturia
• Gastrointestinal manifestations include vague abdominal complaints,
disorder of stomach and pancreas
• Renal calculi: Nephrocalcinosis, renal colic, UTIs, uremia
• Neuropsychiatric manifestations- depression and mood swings
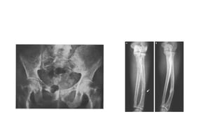
Xray findings
• Early findings consist of generalized deossification.
• The trabeculae become thinned out and disappear and cortices are
narrowed
• As disease progresses, cysts appear throughout skeleton, bending
deformities develop and renal calculi are observed.
• Skull displays diffuse osteoporosis – ‘Pinhead Stippling’
• Vertebrae are porotic and deeply indented by ballooned discs.
Collapse is frequent. ‘Rugger Jersey spine’
• Dental films reveal dimineralization of mandible and disappearance of
lamina dura and epulis tumors
Lab findings
• Hypercalcemia
• Hypophosphatemia
• High ALP
• Hypercalciuria
• hyperphosphaturia
Differential diagnosis
• Hypercalcemia is a characteristic feature of sarcoidosis and vit D
intoxication. Both conditions display excessive absorption of dietary
calcium and high renal calcium clearance. These abnormalities are
corrected by administration of cortisone. In contrast, cortisone has no
effect on the hypercalcemia of HPT.
Diagnosis
• Detecting elevated level of immunoreactive parathormone- PTH
immunometric assays combined with simultaneous blood calcium
measurement
• Phosphate excretion test- delineate borderline case of
hyperparathyroidism
• Phosphorus Loading- certain cases of HPT show normal Ph excretion
usually due to poor intake or deficient absorption. Administering oral
load of phosphorus (2-3g over 3 days), increased phosphaturia and
diminished tubular resorption can be brought out
• Cortisone suppression test: the administration of steroids will not
affect the hypercalcemia of hyperparathyroidism. In contrast the
hypercalcemia of sarcoidosis, thyrotoxicosis, multiple myeloma,
hypervitaminosis D are reduced.
• Isotope studies. Selenomethionine (75Se) parathyroid scan can detect
abnormal parathyroid tissue
• Radioimmunoassay- serum level of PTH can be estimated indirectly
by using antibodies prepared against either bovine or porcine PTH.
Second generation assays have one antiboduy against carboxy
terminal of PTH and the other radio labelled or enzyme labelled
antibody is directed against amino terminal of PTH. More specific!
Treatment
• Treatment of choice is Parathyroidectomy
• Neck and mediastinum should be explored. 25% of tumors are
located in the mediastinum.
• Preoperative calcium administration avoided for fear of acute
parathyroid intoxication.
• In presence of normal renal function and normal ALP levels (minimal
bone involvement), the tumor should be removed completely
• For hyperplasia, three glands and a portion of the fourth are
removed.
• In presence of kidney damage, surgical resection should be
conservative because some of the parathyroid hypertrophy is on a
compensatory basis
• In the scenario of elevated ALP and bony lesions, large quantities of
calcium and phosphorus leave the bloodstream rapidly after
parathyroidectomy. Consequently, the bloodstream is at a dangerous
hypocalcemic tetany level. It is necessary to administer sufficient
quantity of these minerals until the gradually lowering ALP level
indicates that the bone needs have been satisfied.
• When ALP level is high and bone lesions are extensive, it is best to
remove only a portion of the hyperfunctioning parathyroid tissue
Thank you

hyperparathyroidism.pptx

  • 1.
  • 2.
    Anatomy • Four verysmall brownish red structures about 5mm x3mm x1mm that are flattened and ovoid and lie in the posterior aspect of the thyroid gland. • Occasionally, the inferior pair maybe situated in the mediastinum • As many as 12 glands maybe present
  • 4.
    Histology • Upto 10years of age, the glands are composed of uniform type of cells densely packed as continuous mass or anastomosing cords. These cells are designated as chief or principal cells. • At the age of puberty, oxyphil cells appear
  • 5.
    PHYSIOLOGY The parathyroid glandsecretes parathyroid hormone • It maintains serum calcium level. When serum calcium is low, as from dietary lack , the normal level is restored by dissolution and osteoclasis of bone. The low serum calcium causes parathyroid hyperplasia. Conversely when serum calcium is high, parathyroid hypoplasia results; the excess is excreted in urine or deposited in bone. Absorption by the gut is reduced • It lowers the serum phosphorus level. PTH encourages excretion of phosphorus by inhibiting renal tubal reabsorption of phosphorus
  • 6.
    PHYSIOLOGY CONTINUED • Promotestubular reabsorption of calcium • It acts with Vit D to promote intestinal absorption of calcium • Encourages glomerular filtration of calcium and phosphate ions • Inhibits calcifying effect of Vit D • Increases solubility of calcium and phosphorus,maintaining these substances in ionic form • Parathyroid hormone related protein- paracrine factor responsible for hypercalcemia of malignancy
  • 7.
    Normal values ofserum calcium and phosphorus Infants Children Adults Calcium (mg/dl) 10.5-12 10-11.5 9.5-10.5 Phosphorus (mg/dl) 4.0-7.0 4.5-5.5 3.2-4.3
  • 8.
    • Low serumcalcium, high phosphorus secondary hyperplasia • High serum calcium, low phosphorusprimary parathyrou adenoma or hyperplasia
  • 9.
    Relation of kidneyfunction to secondary hyperparathyroidism • Normal kidneys can eliminate phosphorus easily. When non functioning glomeruli form a barrier to passage of phosphorus, the hyperphosphatemia urges parathyroids to excrete it, causing excessive secretion of PTH • Excess PTH increases the rate of bone absorption with consequent rise of calcium and Ph in the bloodstream. Since these elements not excreted by kidneys, they are deposited throughout the soft tissues- multiple renal staghorn calculi, metastatic pathological calcification which includes walls of blood vessels • The large bowel excretes the excess of calcium and phosphorus although not adequately.
  • 10.
    • This resultsin renal rickets in child and renal osteomalacia in adults. In children the changes are influenced by the presence of actively growing epiphyseal cartilage plates. These plates and osteoid tissue become excessively wide and irregular. This is high phosphorus rickets in contrast to the usual normal or low phosphorus rickets caused by deficiency of Vit D
  • 11.
    Main features ofsecondary HPT • Marked renal insufficiency of long duration • Phosphate retention with high serum phosphorus • Slight reduction of calcium • Marked acidosis • Metastatic calcium deposits near joints • Monckeberg sclerosis • Osteitis Fibrosa Generalisata • Enlargement of parathyroid tissue
  • 12.
    Treatment • Lowering phosphorusintake, reducing its absorption by aluminium hydroxide and of directing efforts towards kidney disease • When kidney disease is tubular, loss of calcium is excessive and large quantities of calcium and Vit D must be administered
  • 13.
    Primary Hyperparathyroidism • AkaOsteitis Fibrosa Cystica, Von recklinghausens disease, parathyrotoxicosis • Excessive secretion of PTH causes marked increase in osteoclasts, rapid resorption of the bone, decrease of osteoblasts and fibrous replacement of marrow. • Both calcium and phosphorus thrown into the bloodstream; although both are excreted mainly in kidneys, Ph is excreted more readily than calcium—blood calcium level elevated and phosphorus level is lowered • The Alkaline phosphatase (ALP) elevated-compensatory effort at restoring the normal bone
  • 14.
    Pathology • Most frequently, an adenoma measuring upto 6 cm (normal is 25 mg) in diameter is situated in one of the glands. Composed of mainly principal cells. The cells tend to form acini, cords and patternless masses • Hyperplasia can be due to secondary causes such as renal defect or it can be due to hereditary causes such as Multiple Endocrine Neoplasia (MEN) syndromes.
  • 15.
    Skeletal changes • Diffusebone resorption-large numbers of multi-nucleated osteoclasts are observed in Howship’s lacunae, haversian canals are enlarged, cortices are transformed to paper thin cancellous bone • Deformities- long bones bend under the stress of weightbearing. Intervertebral discs become ballooned as they indent on soft vertebral bodies forming the codfish spine • Pathological fractures • Marrow fibrosis-replacement of marrow elements may cause anemia
  • 16.
    Skeletal changes continued •Brown tumors- localized accumulation of haemorrhage and blood pigments and reactive masses of osteoclasts in a spindle cell stroma. Well circumscribed brown area of soft consistency situated where bone resorption has been thorough. Healing may occur by fibrous tissue replacement or the center may liquefy and a bone cyst remains. • Mutiple bone cysts: unilocular or multilocular; they expand the cortex leaving a paper thin covering and are often the site for pathologic fractures. The walls are composed of dense fibrous tissue and the contents are serous fluid and fibrin
  • 17.
    • After parathyroidectomy,osteoclasts become sparse and osteoblastic activity becomes pronounced. Cortices thicken. Brown tumors disappear and are replaced by bone or become converted into cysts. The smaller cysts usually disappear, larger ones persist. Skeletal deformities generally remain. Fibrous marrow replaced by lamellar bone, marrow elements are slowly restored and the blood picture removed.
  • 18.
    Clinical Picture • F>M.middle aged women. Exists for many years in subclinical state (Asymptomatic) • Severe pain and tenderness in lower limbs and back • Generalized muscle weakness and hypotonia • Pathologic fractures and delayed union • deformity of limbs and spine • Polyuria and polydipsia. Consequence of hyperphosphaturia
  • 19.
    • Gastrointestinal manifestationsinclude vague abdominal complaints, disorder of stomach and pancreas • Renal calculi: Nephrocalcinosis, renal colic, UTIs, uremia • Neuropsychiatric manifestations- depression and mood swings
  • 20.
    Xray findings • Earlyfindings consist of generalized deossification. • The trabeculae become thinned out and disappear and cortices are narrowed • As disease progresses, cysts appear throughout skeleton, bending deformities develop and renal calculi are observed. • Skull displays diffuse osteoporosis – ‘Pinhead Stippling’ • Vertebrae are porotic and deeply indented by ballooned discs. Collapse is frequent. ‘Rugger Jersey spine’ • Dental films reveal dimineralization of mandible and disappearance of lamina dura and epulis tumors
  • 23.
    Lab findings • Hypercalcemia •Hypophosphatemia • High ALP • Hypercalciuria • hyperphosphaturia
  • 24.
    Differential diagnosis • Hypercalcemiais a characteristic feature of sarcoidosis and vit D intoxication. Both conditions display excessive absorption of dietary calcium and high renal calcium clearance. These abnormalities are corrected by administration of cortisone. In contrast, cortisone has no effect on the hypercalcemia of HPT.
  • 25.
    Diagnosis • Detecting elevatedlevel of immunoreactive parathormone- PTH immunometric assays combined with simultaneous blood calcium measurement • Phosphate excretion test- delineate borderline case of hyperparathyroidism • Phosphorus Loading- certain cases of HPT show normal Ph excretion usually due to poor intake or deficient absorption. Administering oral load of phosphorus (2-3g over 3 days), increased phosphaturia and diminished tubular resorption can be brought out
  • 26.
    • Cortisone suppressiontest: the administration of steroids will not affect the hypercalcemia of hyperparathyroidism. In contrast the hypercalcemia of sarcoidosis, thyrotoxicosis, multiple myeloma, hypervitaminosis D are reduced. • Isotope studies. Selenomethionine (75Se) parathyroid scan can detect abnormal parathyroid tissue • Radioimmunoassay- serum level of PTH can be estimated indirectly by using antibodies prepared against either bovine or porcine PTH. Second generation assays have one antiboduy against carboxy terminal of PTH and the other radio labelled or enzyme labelled antibody is directed against amino terminal of PTH. More specific!
  • 27.
    Treatment • Treatment ofchoice is Parathyroidectomy • Neck and mediastinum should be explored. 25% of tumors are located in the mediastinum. • Preoperative calcium administration avoided for fear of acute parathyroid intoxication. • In presence of normal renal function and normal ALP levels (minimal bone involvement), the tumor should be removed completely • For hyperplasia, three glands and a portion of the fourth are removed.
  • 28.
    • In presenceof kidney damage, surgical resection should be conservative because some of the parathyroid hypertrophy is on a compensatory basis • In the scenario of elevated ALP and bony lesions, large quantities of calcium and phosphorus leave the bloodstream rapidly after parathyroidectomy. Consequently, the bloodstream is at a dangerous hypocalcemic tetany level. It is necessary to administer sufficient quantity of these minerals until the gradually lowering ALP level indicates that the bone needs have been satisfied. • When ALP level is high and bone lesions are extensive, it is best to remove only a portion of the hyperfunctioning parathyroid tissue
  • 29.