‘A new target to reduce
Helicobacter pylori infection.’
Alexia Bosancic
Bachelor of Biomedical Science
This thesis has been submitted in partial fulfilment of the requirements
for the degree of Bachelor of Health and Medical Science (Honours)
School of Medicine
Deakin Univeristy
Supervisor: Dr Melanie Thomson
Co-Supervisors: Dr Tamsyn Crowley and Dr Sarah Shigdar
October 2016
II
Deakin Univeristy
Faculty of Health, Medicine, Nursing and Behavioural Science
School of Medicine
Student’s certifications
I am the author of thesis entitled:
A new target to reduce Helicobacter pylori infection
Submitted for the degree of:
Bachelor of Health and Medical Science (Honours)
And I agree to grant the Honours coordinators of the School of Medicine
permission to make this thesis available for loan or photocopying, in
whole and in part.
Signed: Alexia Bosancic Date: 10/10/2016
Name: Alexia Bosancic
Student ID Number: 213285304
Word Count: 12, 091
III
Acknowledgements
First and foremost, I would like to thank my supervisor Dr Melanie Thompson, for
giving me this opportunity. Throughout this entire year, you have incessantly
encouraged and supported me during all the highs and the lows. In this short amount
of time, you have taught me a lifetime worth of knowledge and never once doubted
my intelligence and capabilities. I’m excited to see what the future holds as this
chapter closes and the next with you has my lifelong mentor.
Additionally, I would like to thank my co-supervisors, Dr Tamsyn Crowley and Dr
Sarah Shigdar for assisting me through this project and providing knowledge within
your fields.
Thank you to Associate Professor Richard Ferrero (Hudson Institute) for proving the
Hp-SS1 WT samples, Dr Henry Windle (Trinity College, Dublin) for providing the
plasmid constructs and Teisa Holani for constructing the IROMP mutants.
Thank you to the GCEID team, Jason Hodge, Carly Botheras, Saad Maymand, Darcie
Cooper and Christine Roder for all the encouragement and help throughout the entire
year.
Thank you to my mother, Edita who was my focal motivation for applying to
undertake this project and complete honours. Since I was little I have watched you
suffer from gastric ulcer diseased caused by a refractory strain of Hp and wanted to
find a cure.
IV
Although I didn’t get too close, I hope I have contributed to maybe one day
eradicating this infection. You have been my rock and couldn’t have got this far
without you. Thank you for dealing my mood swings and stress and never giving up
on me.
Thank you to my dad, Peter and my sister, Xenia. The support and assistance you
have provided with every respect I required to complete my thesis is immeasurable
and I will forever be grateful to you both.
Thank you to my best friend Sam, for making sure I would take regularly breaks and
consoling me throughout my meltdowns. You have continuously encouraged me
throughout this year and have had a major influence on my success of this degree. I
am so grateful for you and your family.
Finally, I would like to thank my boyfriend Dylan. As I have been more than
intolerable this year with all the pressure of honours, I am grateful you were there
beside me throughout one of the most challenging years. You are one of the reasons I
stayed motivated and put everything into this, even in times of doubt. Thank-you for
everything.
V
Table of contents
Acknowledgements III	
Table of contents V	
List of figures VIII	
List of tables X	
List of abbreviations XI	
Abstract 2	
Chapter 1 : Introduction 5	
1.1. Clinical Significance 5	
1.2. Prevalence and epidemiology 7	
1.3	 Helicobacter pylori: The microbiology 9	
1.4. Current Treatments and Failures 12	
1. 4. 1 The misuse of antibiotics and the spread of resistant pathogens 13	
1. 4. 2 Overcoming the ‘superbug’ 15	
1. 5 Aptamers 17	
1. 5. 1 The current clinical uses of aptamers 19	
1. 5. 2 New uses – Antimicrobial aptamers? 22	
1. 6 Rationale and aims 23	
Chapter 2 : Materials and Methods 26	
2.1 Computational analysis of the iron regulating proteins of Hp–SS1 and the
Helicobacter species. 26	
2.1.1 Phylogenetic investigation of iron regulating proteins of Hp-SS1 and the
Helicobacter species 26	
2.1.2 Sequence alignments of the IROMPs and related regulatory proteins 27	
2.1.3 Visualisation of phylogenetic tree 28	
2.1.4 Identification of protein-protein interactions 29	
2.1.5 Generation of sequence logo 29	
2.2 Bacterial Strains and routine cultures 30	
2.2.1 Preparation of 10% HB + CAB + Dent 31	
2.3 Hp-SS1 – Rapid diagnostic test: Stuart’s Urease Reagent 32	
2.3.1 Preparation of Stuarts urease reagent 32	
2.3.2. Urease test 33
VI
2.4 Purification of Hp-SS1 WT and mutant DNA 33	
2.5 Quantification and assessment of DNA concentration 34	
2.6 Selection of Kanamycin resistance 34	
2.6.1 Concentration calculation for 25μg/mL Kan in 500mL of media 35	
2.6.2 Preparation of 10% HB + Dent + 25μg/mL Kan 35	
2.7 Confirmation of Helicobacter genus 35	
2.7.1 Calculations for 100μM oligonucleotide stocks 35	
2.7.2 Preparation of primer stocks (100μM) 36	
2.7.3 Oligonucleotides used to detect the Helicobacter genus 36	
2.8 Confirmation of fecA1, fecA2 and frpB1 KanR
mutant knockouts 36	
2.8.1 Oligonucleotides used to detect ΔIROMP knockouts 37	
2.9 Polymerase Chain Reaction (PCR) 37	
2.10 Separation of PCR products via gel electrophoresis 38	
2.10.1 Preparation of 5M NaOH 38	
2.10.2 Preparation of 0.5M EDTA (pH 8.0) 38	
2.10.3 Preparation of 5X Tris Base/Boric Acid/ EDTA (TBE) 39	
2.10.4 Preparation and dilution calculation for 5X TBE to 0.5X TBE 39	
2.10.5 Preparation of 1% Agarose gel 40	
2.10.6 Separation and analyses of Hp-SS1 DNA 40	
2.11 Natural Transformation of Hp-SS1 42	
2.11.1 ΔIROMP-interrupted gene plasmids of Hp-SS1 42	
2.11.2 Dilution calculation for 7% FBS for 500mL media 42	
2.11.3 Preparation of BB + 7% FBS 43	
2.11.4 Preparation of 50mg/mL Kanamycin (1000X) 43	
2.11.5 Calculations for 50mg/mL to 25μg/mL Kanamycin 43	
2.11.6 Preparation of 10% HB + 25μg/mL Kan 44	
2.11.7 Liquid method of natural transformation 44	
2.12 Preparation for SELEX 46	
2.12.1 Generation of the randomised library and primers 46	
Chapter 3 : Results 47	
3.1 Shared functions, co-occurrence and conserved elements amongst the
Helicobacter species and of the Hp-SS1 IROMPs in question 47	
3.1.1 Phylogenetic analysis of iron regulating proteins in Proteobacteria and
most common to the Helicobacter species 47	
3.1.2 Protein-protein interactions of the IROMPs of Hp-SS1 regulated by the
fur gene 55	
3.2 Isolation of Hp-SS1 WT and ΔIROMP clones 62
VII
3.3 PCR confirmation of Hp-SS1 ΔIROMP clones 64	
3.3.1 Confirmation of the Helicobacter species 64	
3.3.2 Expected and resulting products of the isolated HpSS1 WT and
ΔIROMP clones 66	
3.4 Natural transformation of Hp-SS1 74	
3.5 Preparation for the SELEX technique 75	
3.5.1 Generation of randomised library and primers 75	
Chapter 4 : Discussion 76	
4.1 Interpretation of the results with the association of the literature 76	
4.2 Strengths and Limitations 89	
4.3 Clinical Relevance 90	
4.4 Future Direction 91	
4.5 Conclusions 92	
References 93
VIII
List of figures
Figure 1.1 The localisation of Hp. 5	
Figure 1.2 Adapted from Peek (2008) demonstrating the variation of
clinical outcomes dependent on the colonisation of Hp and its location
within the gastric mucosa3
. 6	
Figure 1.3 The global prevalence of Hp infection (%), adapted from the
reflux centre (2015) 7
. 8	
Figure 1.4 A depiction of the spiral-shaped pathogen, Helicobacter
pylori. 9	
Figure 1.5 The expression of IROMPs in varying conditions of iron,
regulated by fur. 11	
Figure 1.6 The current therapy for Hp eradication. 12	
Figure 1.7 The acquirement, misuse and the spread of antibiotic
resistance, adapted from centres for disease control and prevention
(2015). 14	
Figure 1.8 The schematic representation of aptamer drug conjugation
(ApDC), adapted from Sun et al (2014). 18	
Figure 2.1 Expected PCR results, demonstrating the order and content of
each reaction. 41	
Figure 2.2 Liquid method of natural transofmration of Hp–SS1 WT. 45	
Figure 3.1 Phylum to genus analysis of common iron-regulating proteins.
48	
Figure 3.2 Sequence alignment of the Ferric uptake regulator (fur)
amongst the Helicobacter species. 50	
Figure 3.3 The phylogenetic tree to scale (0.1), revealing the branch
lengths or genetic distance of the Helicobacter species fur gene. 52	
Figure 3.4 Phylogenetic analysis revealing the bootstrap levels between
each node of the differing 24 Helicobacter fur genes. 54
IX
Figure 3.5 The essential interactions between the proteins expressed that
function in iron homeostasis and are further regulated by fur. 56	
Figure 3.6 The protein-protein interactions of the target IROMPs of Hp
J99. 59	
Figure 3.7 Analysis of the promoter regions of fecA1, fecA2, frpB1 and
fur genes specific to Hp. 60	
Figure 3.8 PCR amplification of Hp-SS1 WT and ΔIROMP KanR
knockouts displayed on 1% agarose gel. 65	
Figure 3.9 Insertion via homologous recombination of the KanR
resistance cassette (aphA3 gene) into fecA1 of Hp-SS1. 67	
Figure 3.10 Insertion via homologous recombination of the KanR
resistance cassette (aphA3 gene) into fecA2 of Hp-SS1. 69	
Figure 3.11 Insertion via homologous recombination of the KanR
resistance cassette (aphA3 gene) into frpB1 of Hp-SS1. 71	
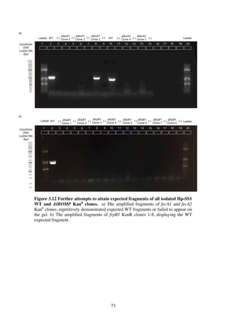
Figure 3.12 Further attempts to attain expected fragments of all isolated
Hp-SS1 WT and ΔIROMP KanR
clones. 73	
Figure 4.1 The consequences of single and double crossover events due to
errors in homologous recombination (HR). 85	
Figure 4.2 A schematic of the cell-SELEX method to target fecA1, fecA2
and frpB1 of Hp-SS1 88
X
List of tables
Table 1.1 The various uses of aptamers 21	
Table 2.1 List of genes analysed in this study. 26	
Table 2.2 List of Helicobacter species evaluated in this study 28	
Table 2.3 List of reagents supplemented with the weights (g) to yield a
final volume of 500mLs Stuart’s urease reagent. 32	
Table 2.4 Genus-specific 16S rRNA oligonucleotides used in this
experiment. 36	
Table 2.5 Gene-specific oligonucleotides used in this study. 37	
Table 2.6 Hp-SS1 ΔIROMP–interrupted gene plasmids used in this study.
42	
Table 3.1 Complimentary data derived from the interactions of the iron
regulating proteins of Hp-J99, indicating the confidence of each
connection. 57	
Table 3.2 Results from selective cultures of Hp-SS1 WT and ΔIROMP
clones attained throughout this investigation. 63	
Table 3.3 Results of natural transformation of Hp-SS1 via the liquid
method. 74	
Table 3.4 Forward and reverse primers randomly generated and selected
for the SELEX technique. 75
XI
List of abbreviations
°C
Δ
AGS
ApDC
BB
BLAST
Bp
C1
C2
C19H14O5S
CAB
CAS9
CH4N2O
CO2
CRISPR
DNA
DSB
dsDNA
EDTA
EMBL-EBI
ENA
FBS
Fur
g
Degrees Celsius
Mutant
Atmosphere Generation System
Aptamer-drug conjugation
Brucella Broth
Basic Local Alignment Search Tool
Base pairs
Concentration 1
Concentration 2
Phenol Red
Columbia Agar Base
CRISPR-associated protein-9 nuclease
Urea
Carbon Dioxide
Clustered Regularly Interspaced Short Palindromic Repeats
Deoxyribonucleic Acid
Double strand break
Double stranded DNA
Ethylenediaminetetraacetic Acid
European Molecular Biology Laboratory- European Bioinformatics
Institute
European nucleotide archive
Foetal Bovine Serum
Ferric uptake regulator
Gram
XII
g (RCF)
GI
H2O
HBA
HB
Hons
Hp
HPLC
Hp-SS1
HR
IDA
IROMPs
iTOL
KanR
L
mg/mL
MHB
MIC
MIT
mL
MRSA
N2
Na2HPO4
NaH2PO4
NaN3
NaOH
Relative centrifugal force
Water
Gastrointestinal
Horse blood agar
defibrinated Horse blood
Honours
Helicobacter pylori
High-performance liquid chromatography
Helicobacter pylori- Sydney Strain 1
Homologous recombination
Iron deficiency anaemia
Iron-responsive Outer Membrane Proteins
Interactive Tree of Life
Kanamycin Resistant
Litre
Milligrams per millilitre
Mueller-Hinton Broth
Minimum inhibitory concentration
Massachusetts Institute of Technology
Millilitre
Methicillin resistant Staphylococcus aureus
Nitrogen gas
Sodium phosphate dibasic
Sodium phosphate monobasic
Sodium azide
Sodium Hydroxide
1
NCBI
NGS
ng/μL
nM
O2
OD600nm
OMP
PCR
pH
PPI
Refseq
rpm
rRNA
SELEX
TBE
Tm
μg
μg/mL
μM
μL
V
V1
V2
vol/vol
wt/vol
WT
X
National Centre for Biotechnology Information
Next generation sequencing
Nanograms per microliter
Nanometer
Oxygen
Optical density measured at a wavelength of 600nm
Outer membrane protein
Polymerase Chain Reaction
Potential of Hydrogen
Proton pump inhibitor
Reference Sequence
Revolutions per minute
Ribosomal Ribonucleic Acid
Systemic evolution of ligands by exponential enrichment
Tris base/ Boric acid/ EDTA
Melting temperature
Microgram
Micrograms per microliter
Micromolar
Microlitre
Volts
Volume 1
Volume 2
Volume per volume
Weight per volume
Wild-type
Times
2
Abstract
Helicobacter pylori (Hp) infection is prevalent in 50% of the global population and is
deemed one of the leading causes of gastrointestinal disorders. Low socioeconomic
regions with poor sanitation, crowded living conditions and limited access to health
care facilities are risk factors that correlate to the incidence of Hp, infecting up to
80% of those living in developing countries.
Hp infection leads to gastritis and a fraction of those colonised will later develop
peptic ulcer disease, Mucosa Associated Lymphoid Tissue (MALT) lymphoma or
gastric cancer. Certain virulence factors, such as the Cag pathogenicity island (Cag
PAI) carried by certain strains of Hp have been correlated to the increased risk of
developing gastric cancer.
In the post-antibiotic era, common antimicrobial treatments are failing due to the
emergence of ‘Superbugs’ that carry genes that enable them to resist the action of
certain antibiotics. Hp has acquired such resistance to three of the commonly used
antibiotics, leading to refractory infections. This has minimised success rates of
eradication, causing more severe patient outcomes, urging the development of a novel
therapy.
3
One opportunity to develop a novel treatment to aid H. pylori eradication involves a
more direct alternative, targeting outer membrane virulence factors, while causing
minimal or no side effects. Aptamers are single stranded DNA or RNA molecules
that can assume a variation of structures due to their propensity to form hairpin loops
and helices, and once modified, will bind to proteins and peptides with a high affinity
and specificity. Furthermore, these molecules can be intercalated or functionalised
with a therapeutic agent, to be internalised or delivered to the diseased cell.
The Iron Responsive Outer Membrane Proteins (IROMPs) of H. pylori in particular
fecA1, fecA2 and frpB, are essential virulence factors required for iron acquisition
and persistence within the human host.
The key principle of this project was to identify a protein essential to Hp that would
be suitable for as target for aptamer based therapies. Aim 1 was to analyze the
IROMPs and other major proteins of iron-regulation within the Proteobacteria’s and
more specifically, Hp. Using a bioinformatics approach, the phylogenetic analysis of
key proteins in iron-regulation demonstrated a large portion of those common
amongst the phyla. The IROMPs of interest were confirmed to be specific to Hp and
were implicated in fur-dependent regulation, the central control of this process. In
turn, inhibiting these proteins could cause detriment to Hp.
Aim 2 involved the verification of the IROMP-interrupted kanamycin resistant
clones, required for negative selection of SELEX. Confirmation of these knockouts
could not be obtained, requiring further experimentation.
4
Aim 3 involved the SELEX technique to derive an aptamer that selects for fecA1,
fecA2 and frpB1 in Hp. As major component of this method could not be obtained
within the time frame the process could not be ensued.
Due to the major role of the IROMPs in maintaining a functional level of iron within
this cell, displayed qualities suitable for this targeted therapy. In turn, this study
demonstrated a ‘proof of principle’, an accurate process to identify outer membrane
virulence proteins in other disease-causing pathogens to derive specific aptamers that
potentially, can form the basis of novel antimicrobials.
5
Chapter 1 : Introduction
1.1. Clinical Significance
Helicobacter pylori (Hp) is a leading cause of gastrointestinal disorders due to its
localisation within the mucosal later of the gastric epithelium1
(Figure 1.1). Virulence
factors of Hp are comprised of cunning mechanisms that aid Hp to persist within the
host. For example, urease, an enzyme secreted by Hp that breaks down urea to
ammonia, forming a protective barrier from the harsh environment of the stomach1
.
Figure 1.1 The localisation of Hp. As Hp colonises the mucosal layer of the gastric
epithelium, causing inflammation weakening the mucosa of the stomach,
predisposing into various clinical outcomes, like ulcers.
6
The association between Hp and gastrointestinal disorders is indicative of its clinical
significance, as severe conditions i.e. gastric and duodenal ulcers, gastric cancer and
mucosa-associated lymphoid tissue (MALT) lymphoma, can be secondary to the
presence of this pathogen. In addition, the pathophysiology is dependant on the
positioning within the stomach2
.
Figure 1.2 Adapted from Peek (2008) demonstrating the variation of clinical
outcomes dependent on the colonisation of Hp and its location within the gastric
mucosa3
. a) An antral predominant infection induces gastritis of lower part of
stomach causing the hyper secretion of acid that result in site-specific ulceration. b)
The body predominant infection produces inflammation of the mucosal lining of the
entire stomach causing gastric atrophies that can lead to more severe clinical
outcomes e.g. cancers.
Colonisation with Hp may be asymptomatic or lead to varying degrees of dyspepsia2
.
Chronic infection can progress to atrophic gastritis or inflammation of the stomach2
,
in addition to, iron-deficiency and anaemia4
.
7
Further complications arise from damage to the gastric epithelium that may cause
bleeding, peritonitis and leakage of the stomach contents2
. The over secretion of acid
is characteristic to an antral-predominant infection of Hp (Figure 1.1a) thus,
prompting conditions of pre-pyloric and duodenal ulceration2
. The colonisation of the
entire body of the stomach (Figure 1.1b) instigates gastric atrophy that can later lead
to ulceration, adenocarcinomas and (MALT) lymphoma2
. The world health
organisation (WHO) has identified Hp as a ‘group 1 (definite carcinogen)’5
and
accordingly, the occurrence of severe ailments progressing to gastric cancers indicate
the need for eradication from the human host.
1.2. Prevalence and epidemiology
While Hp infects more than 50% of the population, the incidence varies on a global
scale6
(Figure 1.2).
The infection is common however, more prevalent within developing countries6
.
Previous studies suggest that the infection is acquired in childhood or early in life6
.
The correlation between Hp and socio-economic status is a determinant of the risk of
infection. In developing countries, carriage is associated with low income,
overcrowded & rural living conditions, poor sanitation and minimal access to health
care8
. In westernised or developed countries, the improved standard of living
contributes to the decreased incidence of Hp infection however, in isolated areas of
increased prevalence, immigration is thought to be responsible8
.
8
Figure 1.3 The global prevalence of Hp infection (%), adapted from the reflux
centre (2015)7
. The incidence of Hp increases in developing countries, as up to 80%
of those living in regions of low socio-economic status, e.g. parts of Africa and Asia
are infected. In developed countries such as, Australia, approximately 50% of the
population is infected with Hp.
Recent epidemiologic studies have provided evidence of increased Hp prevalence
amongst Australia’s indigenous population9
. The infection is as common in these
individuals as it is in developing countries as they reside in remote parts of Australia9
.
The investigation found that 91% of the indigenous population were carrying Hp and
the cause of this rate is most likely as of their location, low-socio-economic status and
poor sanitary conditions9
.
Interpersonal contact is presumed to be the route of spread although; the transmission
remains unknown6
.
9
1.3 Helicobacter pylori: The microbiology
Helicobacter pylori (Hp) is a gram-negative bacterium that is further classified as a
curved rod10
. A spiral or helical form is characteristic to the organism, including 5-8
polar-sheathed flagella found at one end11-12
. H. pylori is microaerophillic,
necessitating a reduced amount of oxygen than found in the atmosphere for growth10
.
Various enzymes such as, Hydrogenase, Urease, Catalase and Oxidase facilitate Hp
colonisation in the harsh environment of the gastric epithelium10
. Following secretion,
these virulence factors promote an array of functions that range from, the colonisation,
damage to the gastric epithelium and the provision of crucial metabolic substrates13
.
Figure 1.4 A depiction of the spiral-shaped pathogen, Helicobacter pylori. The 5-
8 clusters of polar-sheathed flagella provide motility, and aids colonisation within the
mucosal layer of the gastric epithelium14
.
Some strains contain additional virulence factors and are more likely to cause severe
clinical outcomes15
. The Vacuolating cytotoxin A (VacA) is a key protein that is
internalised into host cells, accumulating large vesicles16
.
10
In addition, the Cag pathogenicity island (Cag PAI), a well-defined virulence
determinant, functions to encode the Cytotoxin-associated gene A (CagA) as well as,
the type IV secretion apparatus which when assembled, facilitates injection of CagA
toxins into host cells17
. Subsequently, these molecules are causative of actin
remodelling, Interleukin-8 (IL-8) driven inflammation and host cell growth/apoptosis
inhibition, which helps Hp evade the host immune systems to aid persistence17
.
Other virulence factors that have been identified in Hp are the collection of outer
membrane proteins (OMPs), adapting independently within the host in response to
changes in iron levels18
. The Iron-responsive outer membrane proteins (IROMPs) are
a central focus of analysis for this project, in particular, the fecA1, fecA2 and frpB1.
As it is known, iron is crucial to all living beings, essentially operating as a co-factor
for many enzymatic activities and catalysing electron transport processes19
. Iron is
complexed into various forms, to prevent it reacting within the body creating
damaging free radicals and oxidative stress, necessitating the ligand range of different
types of IROMP’s20
. In Hp, the Ferric uptake regulator (Fur) protein is the central
switch in gene expression, balancing the intracellular iron concentration21
. Depending
on iron availability, Fur controls the transcription of IROMPs specific to their role in
iron acquisition21
. Moreover, such proteins attain iron from distinctive sources that are
demonstrated via the transport of Ferric citrate by FecA1/2 and the utilisation of
haemoglobin by FrpB121
. The transfer of Ferrous iron by FeoB is an exception to this
family of proteins due to their significant mechanism. This form of iron can freely
pass into the cell, however, requires transport via FeoB through the cytoplasmic
membrane21
.
11
Figure 1.5 The expression of IROMPs in varying conditions of iron, regulated by
fur. a) Adapted from van Villet et al (2002). In conditions of increased iron
availability, ironbound fur (holo-fur) binds to the ‘fur box’ promoter region, blocking RNA
polymerase (RNAP) from initiating the transcription of fecA1, fecA2 and frpB1. In
conditions of low iron availability, iron-poor fur (apo-fur) is disintegrated from its dimer
configuration, allowing RNAP to bind the promoter region and begin the transcription of
fecA1, fecA2 and frpB119
. b) Adapted from Andrews et al (2003), demonstrating the
expression of IROMPS in corresponding situations, regulated by Fur22
. When iron levels
are sufficient or high, minimal IROMPS are expressed on the surface of the plasma
membrane. In opposing conditions, numerous IROMPS are located on the outer membrane
as fecA1, fecA2 and frpB1 are transcribed as required22
.
In iron-replete conditions (Figure 1.4), fewer IROMPs are expressed23
. This results in
the partial repression of iron uptake, as less IROMPs are transcribed, saving energy23
.
In iron-restricted states, all IROMPs are expressed including FeoB23
. An intense
upsurge of transcriptional rates of these genes and associated proteins ensues, so that
iron from diverse sources is imported into the cell23
. This complex process
constitutes the iron homeostasis system in Hp, to the detriment of the host, during
acquisition.
12
1.4. Current Treatments and Failures
The guidelines of eradication of Hp consist of a multi-drug therapy that follows a
strict combination regimen25
. A first to third line scheme is suggested, contingent on
the number of eradication failures, allowing HP to persist as a refractory disease. The
initial or first line treatments involve binary triple therapy options (Figure 1.5.)
including, a proton pump inhibitor (PPI) that suppresses acid production and two
alternative antibiotics that depend on allergy to β-lactam medications25
.
Figure 1.6 The current therapy for Hp eradication. Adapted from Pinion (2011),
detailing the first, second and third line strategies including multi-drug regimens of
antibiotics, a proton-pump inhibitor (PPI) and in some cases Bismuth26
.
If eradication is ineffective, the second-line is employed. This management option
contains a triple combination, however a quadruple therapy is generally advised in
response to the failure of the first line (Figure 1.5)25
. The quadruple therapy
comprises a proton-pump inhibitor (PPI), two alternative antimicrobials in addition to
Bismuth, a metal that acts as an antacid25
.
13
A second incidence of failure minimises the possibility of eradicating Hp and may
lead to multi-drug resistant strains existing within the host. A third line alternative is
offered (Figure 1.5), involving ‘empirical rescue therapy’ that is, a specific
antimicrobial-based treatment formulated once ineffective combinations are
identified27
.
Hp has developed resistance to key treatment antibiotics, such as Clarithromycin,
Metronidazole & Amoxicillin27
. In 2002, the Helicobacter pylori Antimicrobial
Resistance Monitoring program (HARP) study, revealed the percentage of resistant
strains to the corresponding antibiotics mentioned as 12.9%, 25.1% and 0.9% in
which a yearly increase is still being reported27
. The concern is shown in more current
figures, observing 56.6% of clarithromycin resistant-strains and 59.2% for
metronidazole28
. The rising prevalence of Hp infection in addition to the varying
success of multi-drug therapies that can lead to treatment failures urges the need for
novel antimicrobials.
1. 4. 1 The misuse of antibiotics and the spread of resistant pathogens
Currently, antibiotic resistance is a major problem for eradication of bacterial disease
due to the continuous rise in treatment failure and hence, disease prevalence29
.
Antibiotic resistance is regarded a ‘severe public health problem’ due to the absence
of treatment alternatives, in the drug discovery pipeline30
. This impending public
health crisis may take treatments for infectious diseases back to a pre-antibiotic era,
limiting treatment options for other diseases like cancer and orthopaedic issues.
14
Resistance in bacteria can be an innately occurring and attribute to acquisition by
other strains via exchange of genetic material or via mutation (Figure 1.6a). This
provides an evolutionary advantage to the resistant pathogen over susceptible
strains during the spread of disease (Figure 1.6b) 31
.
Figure 1.7 The acquirement, misuse and the spread of antibiotic resistance,
adapted from centres for disease control and prevention (2015). a) Broad-
spectrum therapies, i.e. antibiotics, used to eradicate the infecting pathogen can abolish
the protective microbiota within the gut. In the presence of resistant strains that
outcompete the good bacteria, continue to proliferate and spread resistance genes,
producing new refractory strains. b) The misuse of antibiotics in agriculture and
medicine facilitate the spread of resistant pathogens throughout the general public.
15
The leading cause of antibiotic resistance in bacteria is misuse, i.e. for viral infections,
in human medicine and agriculture31
. The compliance and duration of the course of
antibiotic treatment is another factor that contributes to this problem.
1. 4. 2 Overcoming the ‘superbug’
In the post-antibiotic era, limited options exist to overcome the increasing prevalence
of Hp to resist treatment. In 2011, the second and third line treatments were
introduced as alternative measures however, Hp continued to become increasingly
resistant to antibiotics that were once considered definitively curative32
.
Newer therapeutics have since been proposed. One suggested treatment involves
sequential and salvage therapies, using a defined regimen of various antibiotics
administered at precise intervals (hour/day/weeks) to minimise insufficient durations
of the treatment course29
. Although this measure weakens the contribution to
resistance, again, some individuals fail to respond to this treatment and only effectual
in patients carrying clarithromycin-resistant strains and has limited efficacy data29
.
In 2014, Markus Gerhard from the Technical University of Munich proposed the first
vaccination against Hp that theoretically had the potential to overcome antibiotic
resistance33
. The rationale for the vaccine arose from the comprehension of the
relationship between Hp and the human host33
. Knowledge of the defence mechanisms
of Hp indicated the application of the inactivated form of gamma-glutamyl
transpeptidase to overcome these microbial evasion strategies33
. Typically, the protein
promotes the blockade of the T-cell response of the host immune defence, upon
activation33
.
16
In the application of immunisation, the deactivated form prompts an immune response
that disables the evasion strategies of Hp33
. Hypothetically this vaccine is capable
however, due to insufficient funding and limited evidence and investigation in support
of the introduction to this novel therapeutic, the vaccine is some way from clinical use
in humans. Several previous attempts to make a sterilising vaccine for Hp have failed22
.
Bio prospecting or the application of plant derivatives as curatives has also been
suggested as treatment alternatives to Hp eradication. Previous studies proposed the
combination of Catechins, attained from a plant-source and sialic acid, a component of
milk34
. The grouping is reported to reverse cell injury and improve the restoration
system through the autophagy pathway34
. Insufficient information is available on these
constituents regarding side effects, efficacy and the therapeutic response hence these
sources are far from a potential therapy. Another similar study, explores natural
resources such as plants, probiotics and nutraceuticals as a new treatment option35
. The
investigation reveals the inefficacy of this alternative, as it simply reduces bacterial
levels permitting colonisation and internal destruction35
.
Several antibiotic based therapies and regimens are constantly introduced, maintaining
their position as the primary first line treatment in eradication therapy of Hp. These
treatments have several integral complications, including the constant evolution of
antibiotic resistance and the correlated unfavourable effects, the possibility of re-
infection and the increasing expense of antibiotic therapy35
.
Our gut bacteria that lives in a commensal relationship with the host, is also
eradicated with the misuse of antibiotics, creating a route of infection for
opportunistic pathogens35
.
17
As part of the GI ecosystem, bile acid modifying microbes usually hinder the
proliferation of detrimental bacteria’s (such as Clostridium difficile), are eradicated
by antibiotics and permits spore germination of these bacterial pathogens35
. The
problem of antibiotics is their lack of specificity as they target a cell wall common to
various microbes35
. Along with antibiotic resistance and the absence of beneficial
bacteria, more of these ‘Superbugs’ are outcompeting the normal flora further
spreading resistance into the community35
.
These factors provide an emphasis on the demand for a novel eradication therapy,
exposing the gap in the literature that requires urgent action.
1. 5 Aptamers
Aptamers were invented in the 1990’s and the potential of these molecules were
recognised in 2007. Aptamers are synthetically produced, single-stranded DNA or
RNA molecules that can bind to pre-elected targets i.e. proteins and peptides, with
high affinity and specificity36
. These molecules can further take the form of numerous
structures to produce helices and single-stranded loops that demonstrate the
adaptability in binding to assorted targets36
. The key attribute of these molecules is
their increased target selectivity37
. Furthermore, Aptamer’s interrelate and bind to
their targets via physical recognition37
. The Systematic Evolution of Ligands by
Exponential Enrichment (SELEX) is the process by which aptamer’s are formulated,
as the nucleic acid strands begin as a random pool and during successive sequences
are enriched throughout the iterative selection procedure37
.
18
A primary practice involving these molecules is the Aptamer-Drug conjugation
(ApDC) that enables the covalent or non-covalent conjugation of aptamer sequences
directly with their pre-selected drug treatment (Figure 1.7.) 37
. This results in
enhanced efficacy of the therapeutic agent to target a precise location or protein on or
within a cell37
.
Figure 1.8 The schematic representation of aptamer drug conjugation (ApDC),
adapted from Sun et al (2014). Aptamers are able to be covalently or non-covalent
conjugated to a drug to directly be delivered to the diseased cell, enhancing the
efficacy of these treatments.
The current gold standard small molecule therapy for many different diseases like
cancers and autoimmune disorders, are antibody-based therapeutics37
. Although they
are highly specific and recognised as non-foreign to the host, various disadvantages
of these biologically derived molecules are displayed.
19
The prospective immunogenicity and high cost of these therapeutics limit the clinical
applicability of this therapy as it can lead to allergies or immune inactivation in the
host, favouring the use of aptamers37
.
1. 5. 1 The current clinical uses of aptamers
Various aptamers have been introduced into the clinic for applications in conditions
of macular degeneration, coronary artery bypass graft surgery and for several types of
cancer38
. This small molecule therapy has also sparked therapeutic interest in treating
Human Immunodeficiency Virus (HIV), immune modulation, haematology,
Alzheimer’s disease and Diabetes37
.
Research into this relatively novel therapeutic concept has inspired further
investigation into their diverse capabilities as highly specific therapeutic molecules
(Table 1.1.) 38
. In particular, aptamers have gained serious momentum in cancer
therapies38
. Current investigation has displayed the capacity of aptamer’s to
accurately differentiate between distinctive types/sub-types of cancer cells38
. This
high-recognition specificity has attributed to the early diagnosis of differential forms
of tumours that decreases the risk of metastatic disease38
.
Aptamers have also demonstrated a targeted response to a wide-range of receptors
that can be extensively modified for diagnosis of diseases and delivery of curative
moieties into various types of cells38
.
20
Macugen or Pegaptanib sodium is the first aptamer approved by the U.S. FDA that
targets the Vascular Endothelial Growth Factor (VEGF) in macular degeneration and
diabetic retinopathy and has remained a highly effective treatment and motivation of
other targeted therapies38
. As underlined in Table 1.1, these small molecules can be
chemically synthesised to formulate an applicable application to a broad range of
disorders. The increasing versatility demonstrates the capacity to apply these
molecules to diagnostic measures, biosensors and targeted treatments, conveying a
positive direction in therapeutic research.
21
Table 1.1 The various uses of aptamers adapted from Shigdar et al (2010) 40
.
The ability of these aptamers to be functionalised to target a diseased cell or part of
provides vast potential for novel therapies of human disease.
22
1. 5. 2 New uses – Antimicrobial aptamers?
The growing concern of antibiotic resistance in bacteria is adding momentum to
research for clinical applications of aptamers as a novel antimicrobial.
Aptamers in the microbial field remains highly new as limited research on these
molecules and their action on bacterial cells have been undertaken.
Of the few relevant studies in the literature, aptamers have displayed the ability to
recognise Methicillin-Resistant Staphylococcus aureus (MRSA) strains40
. This is
achieved through identification of membrane structures by the molecule, enabling the
eradication with strain-specific antibiotics40
.
In addition, investigation on Salmonella choleraesuis displayed the exciting ability of
target-specific aptamer’s controlling the formation and promoting antibiotics to direct
an inhibitory effect on biofilms41
. The aptamer was selected to target the flagella of
S. choleraesuis to supress immediate biofilm development41
. These flagella are
required for this formation and once inhibited antibiotic treatments became more
effective41
.
Supplementary bacterial inquiries of significance regarding the application of
aptamer’s have been undertaken on Salmonella typhimurium, Staphylococcus aureus,
Group A Streptococcus and Escherichia coli42
. These studies have provided strong
evidence on biosensing capabilities to detect pathogens and toxins42
.
23
Since the use of aptamer’s and their respective analyses has mainly remained a focus
on mammalian cells, the practice of these molecules as a novel therapeutic target for
Hp is yet to be attempted. Most aptamers that have been studied for bacterial
eradication have been more directed to biosensing and inhibitors of virulence factors
that enhance the efficacy of antibiotics. Subsequent research has yet to test for
aptamers that directly kill bacteria with or without a conjugated payload, hence this is
a first attempt in the area of microbiology.
1. 6 Rationale and aims
The infection of Hp is estimated to effect 50% of Australia, in addition to, 91% of the
indigenous population9
. This infection is significantly associated to gastrointestinal
disorders causing gastritis, gastric atrophy, peptic ulcers and rare forms of cancer.
The emergence of antibiotic resistance has contributed to the diminishing effects of
typical antibacterials. Hp has acquired resistance to all three commonly used
antibiotics with rates of up to 60% of resistant strains, reporting a yearly increase. Not
only does this urge the need for a novel therapy but one that can overcome antibiotic
resistance with a more direct effect. The use of aptamers display highly desirable
qualities, as they can be functionalised to bind to specific cells, obstructing essential
processes. Given that aptamer-based therapies for bacterial infections have yet to be
investigated, this demonstrates the significance of this project.
24
The rationale of this project is based upon the following:
• The projected rates of Hp resistant strains is set to increase yearly, causing an
upsurge in more serious clinical outcomes, an effective antimicrobial is
urgently required.
• Due to the limitations of broad-spectrum therapies causing detriment to the
microbiota of the gut, analysis of the targeted therapies to demonstrate this
therapeutic would be more efficacious.
• The process of iron homeostasis has been demonstrated to aid in Hp
colonisation and in particular, a select group of proteins that function in iron-
acquisition.
• The IROMPs fecA1, fecA2 and frpB1 that have demonstrated to be essential
to Hp, are expressed in iron depleted levels, attaining differing sources of
iron, and in the process of obstructing one or all, could prevent further
colonisation.
• Aptamers have demonstrated highly advantages qualities and therapeutic
efficacy, especially in the field of cancer. As it is yet to be tried within the
microbial field and has presented increasing potential, it could form the basis
of generating new antimicrobials.
This reasoning has lead to following research question that is reflected by the aims of
this project:
Hypothesis - Can the IROMPs (fecA1, fecA2 and frpB1) of Hp be used as a suitable
target for aptamer based therapies?
25
Aim 1 - To investigate the iron responsive outer membrane proteins (ΔIROMPs)
(ΔfecA1, ΔfecA2 and ΔfrpB1) of Hp and the Helicobacter species in silico.
Aim 2 - To validate the insertional mutagenesis of the ΔIROMP proteins (ΔfecA1,
ΔfecA2 and ΔfrpB1) of Hp-SS1.
Aim 3 - To generate an aptamer with a high binding affinity and specificity for the
ΔIROMP’s of Hp-SS1 using the SELEX method.
26
Chapter 2 : Materials and Methods
2.1 Computational analysis of the iron regulating proteins of
Hp–SS1 and the Helicobacter species.
2.1.1 Phylogenetic investigation of iron regulating proteins of Hp-
SS1 and the Helicobacter species
To identify the gene orthologs that retained the function of iron regulation in
Proteobacteria and further sub-groups, the NCBI reference sequence (refseq)
protein annotations, as mentioned in Table 2.1, were run against the protein
clusters43
database (https://www.ncbi.nlm.nih.gov/proteinclusters). The
analysis provided the homogeny and separation between the proteins in
question, by measuring the maximum alignment of comparable sequences,
calculated by the Basic Local Alignment Search Tool (BLAST). Each of the
outputs were collated manually to compare the range of iron-regulating genes
amongst the phyla, and confirm those specific to Hp.
Table 2.1 List of genes analysed in this study. The corresponding
identifiers were generated by the ENA and NCBI reference sequence
databases.
27
2.1.2 Sequence alignments of the IROMPs and related regulatory
proteins
The Ferric uptake regulator (fur) (HPG27_401) sequence derived from
H.pylori G27 in the FASTA format was run against the 23 Helicobacter
species as listed in Table 2.2, in the protein database of Ensembl bacteria44
(http://bacteria.ensembl.org/index.html), developed by the European Molecular
Biology Laboratory- European Bioinformatics Institute (EMBL-EBI). To
generate the multiple sequence alignments, the resulting 24 FASTA sequences
and the IROMP’s of interest (fecA1, fecA2 and frpB1) in addition to fur, were
submitted to Clustal Omega45
(http://www.ebi.ac.uk/Tools/msa/clustalo/). The
output data was visualised with Jalview 246
, for interactive editing, annotation
of multiple sequence alignments and detection of the conserved 7-1-7 motif,
identified as the ‘fur box’ (TAATAATnATTATTA).
28
Table 2.2 List of Helicobacter species evaluated in this study
retrieved from the ENA.
2.1.3 Visualisation of phylogenetic tree
The output data in FASTA format was uploaded to the Clustal W2-phlogeny
web tool, and the results were visualised using the interactive Tree of Life
(iTOL) v3.2.447
(http://itol.embl.de/) to observe the genetic distances of the
ortholog fur genes amongst the 24 species of Helicobacter, described in Table
2.2. The fur protein of Neisseria meningitidis (AAF40662), also a global
regulator of IROMPs in this species, was included as the output group for a
point of comparison and reference to generate accurate conclusions.
29
A subsequent tree was derived from the output data and visualised with
iTOL, to identify the bootstrap values (0-100%) or the level of confidence,
where a score of 100% is representative of well-supported data as the node
appeared in all bootstrap replicates.
2.1.4 Identification of protein-protein interactions
The functional interactions of the proteins in Table 2.1 were submitted to
String v10.048
(http://string-db.org/), a database of known and projected
protein-protein interactions produced from supplementary aggregated data.
The output image specified node connections based on gene fusions,
neighbourhoods, co-occurrence, textmining, co-expression, homology, curated
databanks and experimentally determined products. The table generated,
detailed the queried interactions, annotated with scores that indicated a
confidence rating (i.e. 0-1), where a score of 1 is of the maximum confidence.
2.1.5 Generation of sequence logo
The output data in FASTA format was uploaded to WebLogo 349
(http://weblogo.threeplusone.com/create.cgi) to generate a graphical depiction
of the specified multiple sequence alignment (fecA1, fecA2, frpB1 and fur). A
‘stack’ of symbols (A, T, G, C) in each position of the sequence with differing
heights defined the frequency of conservation and further highlighted the
consensus sequence.
30
2.2 Bacterial Strains and routine cultures
The subtype used in this study is a mouse-colonising strain that originated from a
42-year-old woman of Greek descent. The H. pylori Sydney Strain 1 (Hp-SS1)
was initially described by Lee et al. (1997), providing a standardised mouse model
for therapeutic development, complex screening and analyses of pathogenesis50
.
The Hp-SS1 wild-type (WT) samples were donated by Associate Professor
Richard Ferrero in addition, the ΔIROMP mutant kanamycin resistant (KanR
)
clones, were provided Dr Melanie Thomson (School of Medicine, Deakin
University) and constructed by Teisa Holani (Hons 2012). Long-term storage
conditions included stocks of Hp-SS1 in 20-30% (wt/vol) glycerol (Biochemicals,
Gymea, NSW) and Mueller-Hinton broth (MHB) (Bacto Laboratories Pty. Ltd.,
Liverpool, NSW), stored at -80°C. Frozen stocks of Hp-SS1 and mutant KanR
clones were inoculated onto horse blood agar (HBA) that contained: Columbia
agar base (CAB) (Oxoid, Ltd, Basingstoke, England) including 10% (vol/vol)
defibrinated horse blood (HB) (Serum Australis Pty. Ltd. for Oxoid Australia Pty.
Ltd., Manilla, NSW) in addition to, the selective supplement, Dent (5.0mg
Vancomycin, 2.5mg Cefsulodin, 2.5mg Trimethoprim, 2.5 Amphotericin B)
(Oxoid, Ltd) and incubated for 10-12 days at 37°C. Hp-SS1 and mutant ΔfecA1,
ΔfecA2 and ΔfrpB1 clones were routinely cultured in three separate technical
replicates.
Experimentation including the application of Hp-SS1 WT and KanR
mutants was
conducted in the Class II Biosafety Cabinet (LAF Technologies, Pty, Ltd.,
Bayswater North, Victoria) to ensure maximum safety and sterility.
31
To mimic the microaerophillic condition, all solid and liquid cultures of Hp-SS1
were cultivated in the atmosphere generation system (AGS), producing a low
oxygen environment by converting oxygen to carbon dioxide simultaneously. The
AGS includes a sealed AneroJar®
and a CampyGen®
sachet (5% 02, 85% N2, 10%
CO2) generating a final concentration of 5% 02, (Oxoid, Ltd, Basingstoke,
England) that was replaced upon exposure to additional 02 or every 2-3 days as
required. Furthermore, all cultures were incubated in a still air, thermostatically
controlled incubator (Labec Incubator, Laboratory Equipment Pty. Ltd.,
Marrickville, NSW) at 37°C.
2.2.1 Preparation of 10% HB + CAB + Dent
The selective media, referred to as 10% HB + Dent, provided optimal growth
conditions for the cultivation of Hp-SS1 WT and KanR
mutant clones. The
preparation comprised of CAB with 10% (vol/vol) HB and supplemented with
Dent. CAB in addition to, other media bases, were sterilised in the Pratika B20
(20L) basic autoclave (Siltex Australia, East Bentleigh, VIC) including 30 minutes
of optimisation and 5 minutes of drying time at 110°C. As recommended for the
primary isolation of Hp, CAB was utilised as a base for blood-containing media.
The HB provides essential nutrients and serum factors such as iron, supplying the
complex growth requirements of Hp and its fastidious classification. The Dent
supplement includes various antibiotics that Hp is resistant to, inhibiting the
growth of other microbes and antifungals, such as amphotericin, limiting potential
contamination whilst directly selecting for Hp.
32
Following the protocols by Oxoid (Catalogue number: CM0331), the media was
prepared, poured and dried in the Fumehood: Laminar flow workstation (AES
Environmental, Pty, Ltd., Minto, NSW) to maintain a controlled and sterile
environment.
2.3 Hp-SS1 – Rapid diagnostic test: Stuart’s Urease Reagent
2.3.1 Preparation of Stuarts urease reagent
Preparation of the urease solution included the addition of the specified reagents
listed in Table. 2.3, to 500mL of Milli-Q water (Merck Millipore, Bayswater,
VIC). The mixture was filter sterilised by the Nalgene filtration product (Thermo
Fisher Scientific Inc., Waltham, USA) and paired with the rocker 300DC vacuum
(Rocker Scientific Co., Ltd., New Taipei City, Taiwan) to separate solid particles
and maintain sterility. The solution was stored at 4°C and concealed in aluminium
foil as the dim conditions inhibit spontaneous reactivity to light.
Table 2.3 List of reagents supplemented with the weights (g) to yield a final
volume of 500mLs Stuart’s urease reagent.
33
2.3.2. Urease test
The urease test is a rapid diagnostic method utilised to differentiate Hp, on the
basis of urease production. Prior to and following the conclusion of each
experiment, a urease test was undertaken to detect the presence of the urease
enzyme, an essential virulence factor for Hp. A positive result was used as an
indirect indicator that the cultured organism was likely to be Hp.
Urease Test: 1-2 colonies of Hp-SS1 WT or mutant clones were resuspended in
200μL of Stuart’s urease reagent51
. An instant colour variation from yellow
(negative) to bright pink/purple (positive), indicative of the breakdown of urea to
ammonia and carbon dioxide, confirmed the production of urease and hence, likely
the presence of Hp-SS1.
2.4 Purification of Hp-SS1 WT and mutant DNA
To attain DNA in a purified form, the DNA from the isolated colonies were
extracted and stored for long-term use. The DNeasy blood and tissue kit (50)
(Qiagen, Hilden, Germany) was used to purify the DNA of Hp-SS1 and mutant
clones, as per the Quick start- DNA extraction protocol (Catalogue number:
69504) stated by the manufacturer. The purified stocks were stored in labelled
eppendorf tubes at -20°C.
34
2.5 Quantification and assessment of DNA concentration
Nanodrop spectroscopy was utilised prior to the commencement of an experiment,
to identify the concentration in addition to, the purity of DNA that was extracted.
The Nanodrop detects the DNA concentration and calculates the absorbance
reading by utilising the 0.2nm pathlength (260/280nm ratio).
To measure the concentration of each purified Hp-SS1 sample, the ND_1000
Nanodrop spectrophotometer (NanoDrop Technologies Inc., Wilmington, USA)
was blanked using 1.7μL of nuclease-free water (Promega, Madison, USA) to
obtain a reading of 0ng/μL. The process was repeated using 1.7μL of each Hp-SS1
sample, cleaning the pedestal in-between readings. The Nanodrop connected to a
desktop computer that included the complimentary software, ND_1000: V3.81
provided the DNA concentrations.
2.6 Selection of Kanamycin resistance
To confirm the insertion of the kanamycin resistance cassette, Kanamycin was
supplemented to the media at a final concentration of 25μg/mL. Confirmation of
KanR
was confirmed if Hp-SS1 was cultivated on the media. Hp-SS1 from the
second culture was re-inoculated on the 10% HB + Dent + 25μg/mL Kan plates
and incubated at 37°C.
35
2.6.1 Concentration calculation for 25μg/mL Kan in 500mL of media
The concentration of the stock solution of Kanamycin required a dilution of
10ng/mL to 25μg/mL for 500mL of media. The calculations were as follows:
C1V1 = C2V2
25μg/mL x 500mL = 10,000μg/mL x V2
V2= 12,500/10,000 = 1.25mL
2.6.2 Preparation of 10% HB + Dent + 25μg/mL Kan
The 10% HB + Dent + 25μg/mL Kan was produced as per the instructions for
‘2.2.1 Preparation of 10% HB + CAB + Dent’, with the addition of 1.25mL
(25μg/mL) of Kanamycin.
2.7 Confirmation of Helicobacter genus
As all Helicobacter species possess a common 16S rRNA gene sequence, a set of
genus specific oligo’s, as described in Table 2.4, were utilised to detect the
conserved fragment as observed in Figure 2.1.C.
2.7.1 Calculations for 100μM oligonucleotide stocks
As the oligonucleotide stocks were received in their dehydrated form, Milli-q
water was added according to the nmoles in each tube. The calculations were as
follows:
Forward = 10 x 31.2μM = 312μL
Reverse = 10 x 36.7μM = 367μL
36
2.7.2 Preparation of primer stocks (100μM)
To the dehydrated forward and reverse oligonucleotides, 312μL and 367μL of
nuclease-free water (Promega, Madison, USA) were added, respectively. The
contents were vortexed thoroughly to ensure the oligo’s were completely
dissolved. The 100μM forward and reverse stocks were stored at -20°C.
2.7.3 Oligonucleotides used to detect the Helicobacter genus
The 16S rRNA oligonucleotides as described in Table 2.4, designed by Dr Waleed
Abu Al-Soud (Molecular Biology, University of Copenhagen, Denmark) et al,
were obtained from Sigma-Aldrich Co. (Missouri, USA) and used as the target
template for analysis.
Table 2.4 Genus-specific 16S rRNA oligonucleotides used in this experiment.
2.8 Confirmation of fecA1, fecA2 and frpB1 KanR
mutant
knockouts
The original cloning oligonucleotides constructed and donated by Dr Henry
Windle (School of Medicine, Trinity College, Dublin) were used to confirm the
insertion of KanR
cassettes within the putative ΔIROMP’s in question via PCR.
37
2.8.1 Oligonucleotides used to detect ΔIROMP knockouts
The oligonucleotides as described in Table 2.5, were obtained from Integrated
DNA technologies (IDT) Inc., (Iowa, USA) and used for further inquiry.
Table 2.5 Gene-specific oligonucleotides used in this study.
2.9 Polymerase Chain Reaction (PCR)
The DNA of Hp-SS1 WT and ΔIROMP knockouts were amplified using PCR in
25μL final reactions, succeeding numerous optimisations. The reactions included:
1μL of the applicable forward and reverse oligonucleotides detailed in Table 2.4
and 2.5, 8.5μL nuclease-free water (Promega, Madison, USA), 12.5μL GoTaq®
Green Master Mix (Promega, USA) and 2μL of Hp-SS1 DNA template. The
negative control was prepared with 10.5μL nuclease-free water, substituting the
addition of DNA to attain an equivalent reaction volume. The reactions were
amplified by the Applied Biosystems™ ProFlex™ PCR system (Life
Technologies Corporation, California, USA) following a set of standard
parameters for each PCR cycle.
38
The amplification conditions included: an initial denaturation cycle at 94°C for 5
minutes, following 35 cycles of additional denaturation at 94°C for 30 seconds,
annealing at 55°C for 30 seconds and extension at 72°C for 30 seconds. An
extension cycle at 72°C for 10 minutes finalised the reaction. The PCR samples
were stored at 4°C.
2.10 Separation of PCR products via gel electrophoresis
Gel electrophoresis was used to separate and analyse the relative size of Hp-SS1
WT and ΔIROMP mutant DNA.
2.10.1 Preparation of 5M NaOH
To prepare 200mL stock solution of 5M NaOH, 40g of NaOH (Sigma-Aldrich
Co., Castle Hill, NSW) was added to 200mL Milli-q water and stirred thoroughly
until the contents were dissolved. The solution was stored at room temperature.
2.10.2 Preparation of 0.5M EDTA (pH 8.0)
To prepare 1L of 0.5 EDTA (pH 8.0), 186.1g EDTA Disodium salt dihydrate
(AMRESCO Inc., Ohio, USA) was added to 800mL of Milli-q. While agitating the
contents with a magnetic stirrer and measuring the pH, NaOH was added in
minimal volumes and repeated until the solution reached a volume of
approximately 1L or a pH of 8.0. The solution was stored at room temperature.
39
2.10.3 Preparation of 5X Tris Base/Boric Acid/ EDTA (TBE)
To prepare a 1L solution of 5X TBE, 54g Tris, Ultra Pure base (Astral Scientific
Pty. Ltd., Taren Point, NSW), 27.5g Boric acid (G-Biosciences for Geno
Technology Inc., Saint Louis, USA) and 20mL of the pre-made 0.5M EDTA was
added to 800mL of Milli-q water. Once the contents were completely dissolved,
200mL of Milli-q water was added to adjust the final volume to 1L. The solution
was stored at room temperature.
2.10.4 Preparation and dilution calculation for 5X TBE to 0.5X TBE
TBE was diluted from 5X to 0.5X, for the preparation of 1% agarose in addition to
the subcell for gel electrophoresis. The calculations were as follows:
C1V1 = C2V2
0.5 x 1000mL = 5 X V2
V2 = 500/5 = 100mL
To prepare a 1L solution of 0.5X TBE, 100mL pre-made 5X TBE is added to
900mL of Milli-q water. The solution is stored at room temperature.
40
2.10.5 Preparation of 1% Agarose gel
To prepare 1% Agarose gel, 1g Agarose (Bio-Rad laboratories Inc., California,
USA) was added to 100mL of pre-made 5X TBE buffer and microwaved for 2
minutes at 80°C to dissolve the contents. 10μL SYBR®
Safe DNA gel stain
(Invitrogen for Thermo Fischer Scientific Inc., Waltham, USA) was added to the
agarose solution and poured into a gel tray that contained a 20-well comb. The
agarose was left to solidify for approximately 10-15 minutes. The tray including
the gel were positioned into the Subcell GT (Bio-Rad laboratories Inc., California,
USA), and filled with 0.5X TBE to the maximum point indicator of the cell. The
comb was removed to reveal the wells.
2.10.6 Separation and analyses of Hp-SS1 DNA
The PCR reactions were separated via gel electrophoresis on a 1% Agarose gel in
0.5X TBE buffer. Each well included: 8μL PCR reaction and 2μL 6X DNA
loading dye (Thermo Fischer Scientific Inc., Waltham, USA) for both positive and
negative samples, as specified in Figure 2.1. To determine the size of the
fragments, the first and last well included: 8μL GeneRuler DNA ladder mix
(50μg) (Thermo Fischer Scientific Inc., USA) and 2μL 6X DNA loading dye
(Thermo Fischer Scientific Inc., USA). The samples were loaded and separated at
100V for 30-45 minutes. The gels were visualised using the ChemiDoc-It imaging
system (UVP, LLC., California, USA) and the VisionWorks™ LS analysis
software (UVP, LLC., USA).
41
Figure 2.1 Expected PCR results, demonstrating the order and
content of each reaction. a. The visualised fecA1 and fecA2 products, b.
displayed the corresponding frpB1 products and c. presented the genus
confirmation of all isolated WT and mutants.
42
2.11 Natural Transformation of Hp-SS1
As H. pylori is a naturally competent bacterium, possessing the ability to absorb
extracellular DNA from its surroundings, the ΔIROMP-interrupted gene plasmids
as detailed in Table 2.6, were intended to be retained via homologous
recombination to produce a stable genomic mutation.
2.11.1 ΔIROMP-interrupted gene plasmids of Hp-SS1
The ΔIROMP-interrupted gene plasmids as described in Table 2.6, were provided
by Dr Melanie Thomson (School of Medicine, Deakin University) and constructed
by Teisa Holani (Hons 2012) 53
via the liquid method of natural transformation.
Table 2.6 Hp-SS1 ΔIROMP–interrupted gene plasmids used in this study.
2.11.2 Dilution calculation for 7% FBS for 500mL media
The preparation of FBS was diluted from 100% stock to 7% for 500mL of media.
The calculations were as follows:
C1V1 = C2V2
7% x 500mL = 100% x V2
V2 = 3500/100 = 35mL
43
2.11.3 Preparation of BB + 7% FBS
To prepare 500mL of BB + 7% FBS, 14g Brucella broth (BB) (BD: Bacto
Laboratories, Pty. Ltd., Mount Pritchard, NSW) was added to 465mL Milli-q
water and autoclaved at 110°C for 35 minutes. Once the broth cooled, 35mL (7%)
HyClone®
Foetal bovine serum (FBS) (Thermo Fischer Scientific Inc., Waltham,
USA) was added and then stirred. The broth was stored at 4°C.
2.11.4 Preparation of 50mg/mL Kanamycin (1000X)
To prepare 10mL 50mg/mL Kanamycin stock, 0.5g Kanamycin sulfate (Bio Basic
Inc., Markham, Canada) was added to 10mL Milli-q water. The contents were
stirred to dissolve the Kanamycin. The stock solution was stored in 1mL aliquots
at -20°C.
2.11.5 Calculations for 50mg/mL to 25μg/mL Kanamycin
The stock concentration of Kanamycin required a dilution of 50mg/mL to
25μg/mL for 500mL of media. The calculations were as follows:
C1 V2 = C1 V2
25μg/mL x 500mL = 50,000μg/mL x V2
V2 = 12,500/50,000 =0.25mL
44
2.11.6 Preparation of 10% HB + 25μg/mL Kan
The 10% HB + 25μg/mL Kan was prepared as per the instructions for ‘2.2.1
Preparation of 10% HB + CAB + Dent’ minus the selective supplement, Dent and
the addition of 0.25mL (25/μg/mL) Kanamycin.
2.11.7 Liquid method of natural transformation
Natural transformation as depicted in Figure 2.2, commenced with 2 x Hp-SS1
WT + BB + 7% FBS cultures, including solution 1, where the tip inoculated with
Hp-SS1 was discarded and solution 2, incubated with the tip. At 0 hours, utilising
the WPA CO8000 cell density meter (Biochrom Ltd., Cambridge, UK) the OD600nm
was measured, reading 0.01 and 0.04 respectively, then incubated overnight at
37°C on 140rpm. At 16 hours the OD600nm absorbance reading was measured and
the bacteria appeared to be in the log phase of growth, 10 x 1.25mL (5 x solution 1
and 5 x solution 2) was centrifuged at 4300g for 5 minutes. The supernatant was
removed and the pellet was resuspended in 20μL from the 5 plasmid stocks as
described in Table 2.6, in both solution 1 and 2, and incubated a 37°C for 30
minutes. The suspensions were plated onto 10% HB + Dent plates to select for Hp-
SS1 and incubated for 24 hours at 37°C. The plates were scraped and re-inoculated
onto 10% HB + 25μg/mL Kan and incubated at 37°C for 5 days, to select for the
Hp-SS1 ΔIROMP mutant knockouts.
45
Figure2.2LiquidmethodofnaturaltransofmrationofHp–SS1WT.
Thetimelinepresentstheapproximatedurationsofeachsectionofthemethod.
Intotal,12-14dayswasrequiredtoeffectivelycompletethisprocedureand
visualisetheresultingtransformedmutants.
46
2.12 Preparation for SELEX
2.12.1 Generation of the randomised library and primers
Two random sequences of 20bp were produced using the random DNA sequence
generator (http://www.faculty.ucr.edu/~mmaduro/random.htm). To evaluate the
melting temperature (Tm), GC content and length, the primers were submitted to
the ThermoFisher Scientific multiple primer analyser
(https://www.thermofisher.com/au/en/home/brands/thermo-scientific/molecular-
biology/molecular-biology-learning-center/molecular-biology-resource-
library/thermo-scientific-web-tools/multiple-primer-analyzer.html), confirming
that the two sequences possessed a Tm of approximately 52°C, allowing a
difference of 0.5-1°C. The MFEprimer-2.0: Dimerchecker
(http://biocompute.bmi.ac.cn/CZlab/MFEprimer-2.0/index.cgi/check_dimer) was
used to confirm there were no primer dimers between the two generated
sequences. These primers supplemented with high-performance liquid
chromatography (HPLC) purification and were sent to GeneWorks (Thebarton,
SA) to produce the randomised library, based on the two 20bp sequences.
47
Chapter 3 : Results
Aim 1: To investigate the iron responsive outer membrane proteins
(ΔIROMPs) (ΔfecA1, ΔfecA2 and ΔfrpB1) of Hp and the
Helicobacter species in silico.
3.1 Shared functions, co-occurrence and conserved elements
amongst the Helicobacter species and of the Hp-SS1 IROMPs in
question
3.1.1 Phylogenetic analysis of iron regulating proteins in
Proteobacteria and most common to the Helicobacter species
To assess and re-confirm the significance of iron-regulating proteins amongst the
Proteobacteria and further sub-groups, a general phylogenetic inquiry was
undertaken.
The process of iron-regulation and the key proteins involved, were analysed
against related taxonomic groups to distinguish the genes conserved further
down the lineage and closer to Hp. The protein clusters database provided a set
of proteins within Proteobacteria, previously allocated to a specialised group of
iron-regulating genes that were conserved throughout various taxonomic groups.
As revealed in Figure 3.1, feoB, tolB, exbD and exbB were present in most of the
genealogy, involving various transporter and translocation functions in iron-
regulation.
48
The fur protein, displayed conservation through the Helicobacteraceae family and
at the species level, IROMPs and siderophore-mediated transporters were tightly
conserved.
Figure 3.1 Phylum to genus analysis of common iron-regulating proteins. The
IROMPs of interest, fecA1, fecA2 and frpB1 demonstrated conservation within the
Helicobacter species and maintained the projected notion of occurrence in Hp. The
elemental key regulator reported to function in the expression and repression of
certain iron-acquisition proteins in varying conditions of iron availability was
conserved within the Helicobacteraceae family, supporting this role in Hp.
49
The IROMPs fecA1, fecA2 and frpB1 amongst other outer membrane transporter
proteins, included a portion of those specific to the Helicobacter species, as
demonstrated in Figure 3.1. The verification of the incidence of the IROMPs of
interest in Hp ensued further analysis to utilise these proteins as a suitable target.
As the fur protein had been experimentally reported to repress siderophore
synthesis and through the utilisation of ferrous iron (Fe2+
), act as a co-repressor,
the conservation of fur in the Helicobacter species was additionally explored to
assess it’s potential as therapeutic target.
The sequence alignment of each species-specific fur protein as displayed in Figure
3.2, produced increasing evidence of their ancestral derivation. The alignment,
generated by Clustal omega, demonstrated multiple analogous configurations,
contributing to an estimated frequency of more than 50% similarity, revealing
highly conserved regions. The relative sizes of the 24 individual fur proteins,
demonstrated a common origin that ranged from a small-scale of 390bp, 450bp,
453bp (Hp-fur), 456bp, 459bp, 462bp and 480bp, with a maximum variation of
90bp that were viewed external to the conserved areas. This motivated further
phylogenetic analysis, to determine the distance values between each fur gene of
the differing species of Helicobacter.
50
Figure3.2SequencealignmentoftheFerricuptakeregulator(fur)amongsttheHelicobacterspecies.
GeneratedwithClustalomegaandvisualisedwithJalview2,thehighlyconservedproteinexposedvarioussequence
similaritieswithinthedistinctiveorganisms,confirmingtheancestrallineageandmaintainingitsfunctionasaglobal
regulatorofiron.
51
Following the analysis of the conserved regions of fur, a phylogenetic evaluation
was undertaken to determine the evolutionary relationship amongst the 24 proteins
of each Helicobacter species. In addition, the figure produced and visualised by
iTOL, aimed to verify the genetic distances between these fur genes.
The sequence alignment was uploaded to Clustal W2, providing a representative
figure of the common ancestors of the descendants in question. A node represented
each species and the genetic distances of the 24 Helicobacter fur proteins by
branches, connecting node-node or node-tip. A reference group or outgroup was
included as the comparative control, which satisfied the specific parameters.
Neisseria meningitidis (N. meningitidis) was included due to its evolutionary
relation to the ingroup, arising from the same phyla of the Proteobacteria’s
however, diverging from the Betaproteobacteria class. As fur was specifically
being investigated, an additional motive for selecting N. meningitidis as the point of
reference was due to their utilisation of fur, as the global regulator of iron.
The output data derived presented a parsimonious relationship between the
Helicobacter species as observed in Figure 3.3. The phylogenetic tree was rooted at
N. meningitidis to display the derivation of this ancestor in addition to, the branch
lengths or values that were assumed proportional to the number of nucleotide
substitutions per site. As revealed in Figure 3.3, the fur genes of the
individual Helicobacter species displayed minimal to no variation e.g. H. bilis and
H. trogontum, demonstrating rapid speciation of this species.
52
Figure3.3Thephylogenetictreetoscale(0.1),revealingthebranchlengthsorgeneticdistanceoftheHelicobacterspeciesfurgene.
Thebranchvaluesindicatethenumberofsubstitutionspersite(i.e.0.1aminoacidsubstitutionspersequenceposition)representedbythescalebar.Theextentofgenetic
variationwasfurtherobservedbythelengthofthebranches,asthelengthierbranchesimpliedmoredivergencehasoccurred,asdisplayedbytheoutgroup(N.meningitidis).
Asexpected,theHelicobacterspecieswerefarmorecloselypresented,observinglittletonochangeinvariousdaughterlinesduetorapidspeciation.Theparsimony,an
optimalparameter,wasdemonstratedastherewerefewevolutionarydeviationsforallsequencestooriginatefromacommonancestor.Furthermore,thebranchlengthswere
scoredbetween0-1,where0ismostsignificantandanyvaluegreaterthan0.8541isassumedaninfinitedistance.
53
To further validate this information, a subsequent phylogenetic analysis was
produced to identify the bootstrap values or the level of confidence between each
node and ultimately exclude the fur gene as a potential target.
The confidence intervals were obtained by running an analysis of the output data
against a random sub-set data, via the ClustalW2 web tool. Visualised using iTOL,
the values derived were representative of the percentage of bootstrap replicates in
which that particular node had appeared. A value of 100% demonstrated a well-
supported node, as it had emerged within all replicates. Furthermore, a bootstrap
value of ≥95% suggested that the topology of such node could be considered
‘correct’.
As observed in Figure 3.4, the majority of nodes displayed an indefinite support for
the previous distance values derived by the Clustal W2 web tool. As most of the
daughter lineages displayed values of more than 95%, it could be established that
theses scores were highly supported and were in fact precisely related due to rapid
speciation. The outgroup, in addition to some species of Helicobacter e.g. H.
winghamensis & H. apodemus, demonstrated lower values, as they failed to appear
more readily within the bootstrap replicates. This could further be clarified by their
increased sequence variation of the individual fur proteins, demonstrating a broader
evolutionary time scale of derivation. Furthermore, as the two subsequent
phylogenetic analyses provided minimal variation of the fur gene amongst the
differing Helicobacter species, it could thus be excluded as a potential target to
minimise the probability of potential off-target effects, as it was not specific to only
H. pylori.
54
Figure 3.4 Phylogenetic analysis revealing the bootstrap levels between each
node of the differing 24 Helicobacter fur genes. The phylogenetic tree
demonstrated more than 50% of nodes that further presented almost indefinite
support of the previous distance data derived. A confidence value of ≥95% was
assumed to demonstrate well-supported data as they appeared with high frequency
amongst the bootstrap replicates analysis derived from the Clustal W2 web tool.
Scores that displayed percentages of ≤95% represented less confidence, in which
these values were only observed in daughter lineages and the output group due to
their increased variation genetically.
55
3.1.2 Protein-protein interactions of the IROMPs of Hp-SS1 regulated
by the fur gene
The succeeding portion of the investigation was to focus on the outer membrane
proteins of Hp, and their interactions with the global regulator of iron, fur.
A query of the major proteins that function in iron homeostasis within Hp and their
corresponding interactions regulated via fur was undertaken utilising the String 2.0
web tool. The documented proteins of the H. pylori strain J99 (NCBI I.D: 85963),
that is, the human version of the mouse-adapted strain of Hp utilised throughout this
experiment, were uploaded to the String 2.0 database. This generated an illustration
of the known connections amongst these proteins, that was ultimately based on the
fundamental evidence of such interactions available, the confirmation of BLAST
hits by means of homology, the information collated from these entries and the
networks centred on their interactions and scores.
As observed in Figure 3.5, the notion that fur is the global regulator of iron is
maintained by its position within this depiction in addition to, the ample connections
of other genes functioning in iron homeostasis. As the genes that were located on
the outer membrane of Hp were of interest, fecA1, fecA2 and frpB1 were specifically
investigated within this figure. The three IROMPs, displayed connections of gene
co-occurrence, gene neighbourhood, co-expression, textmining and had been
experimentally determined, which was additionally verified by Figure 3.5 and the
associated legend. These were essential attributes to identify a suitable target, as if
one or all of these were therapeutically hindered, it would disrupt the process of
iron-acquisition that is vital to Hp, leading to eradication of this infection.
56
Figure 3.5 The essential interactions between the proteins expressed that
function in iron homeostasis and are further regulated by fur. The illustration
derived by the String 2.0 web database, supported the notion of fur as the global
regulator of iron in Hp. Furthermore, the outer membrane proteins that function in
iron-acquisition, fecA1, fecA2 and frpB1 demonstrated highly favourable attributes
of gene neighbourhood, gene co-occurrence, co-expression and textmining, revealed
by the corresponding figure legend and colour-coded connections.
The validity of this illustration was complimented by tabulated data of scores of
confidence between each protein-protein interaction.
57
Table 3.1 Complimentary data derived from the interactions of the iron
regulating proteins of Hp-J99, indicating the confidence of each connection. The
levels of confidence generated by the String 2.0 database from the evidence available
regarding the corresponding protein interactions provided support of such connections.
The confidence values ranged from 0-1, where a score of 1 was recognised as the
highest support for these interactions. Values of ≥0.700 were considered of high
confidence, which was revealed in more than 50% of queried connections.
58
These scores, as detailed in Table 3.1, were not indicative of strength or specificity
of each queried connection however, they signified a measure of confidence e.g. the
probability of an interaction to be supported, given the evidence available to the
String database. The values ranged between 0-1, where a score of 1 denoted the
highest level of confidence thus, values ≤0.500 were considered of no significance
between the associated connections.
As exposed in Table 3.1, 75% of these connections displayed values of varying
significance (≥0.600) where, 50% of these values were considered of high-
maximum confidence. Amongst these values, were the connections between the
IROMPs of interest, which are displayed in bold in Table 3.1, supporting their
interactions and motivating further inquiry.
An individual analysis utilising the String 2.0 database, provided a subsequent
illustration of only the IROMPs of interest to further assess their distinct
connections.
As presented in Figure 3.6, the IROMPs in question in addition to their associated
connections displayed textmining and gene co-occurrence. This further validated the
conception of targeting these outer membrane proteins as to obstruct iron-
acquisition thus, inhibiting further colonisation of Hp. As it had been previously
explored that these particular iron-acquisition proteins were essential to the
colonisation of Hp and demonstrated within the Mongolian gerbil model, this notion
was further authenticated bioinformatically.
59
Figure 3.6 The protein-protein interactions of the target IROMPs of Hp J99.
The subsequent analysis derived from the String 2.0 web tool further validated a
strong association between the IROMPs of interest, demonstrating favourable
attributes e.g. gene co-occurrence and textmining, to be therapeutically targeted.
Previous analyses of the specified IROMPs, fecA1, fecA2 and frpB1, stated the
presence of a ‘fur box’ promoter region, required for fur to bind and impede the
expression of these iron-acquisition proteins. Derived from the extensive analysis of
the promoters of these genes, the reported ‘fur box’ was expected to expose a core
sequence encompassing a specific 7-1-7 motif with a dyad symmetry. Pich et al,
recently demonstrated that iron-bound fur (holo-fur) binds with high affinity to a
palindromic repeat (5’-TAATAATnATTATTA-3’) located in proximity of the -35
and -10 promoter elements, which further revealed fur-dependant repression of the
IROMPs of interest.
To confirm this notion, a sequence alignment was generated via Clustal Omega, of
the three IROMPs in addition to the fur gene specific to Hp. The data visualised
with Jalview, presented the expected ‘fur box’ consensus, as detected in Figure 3.7.
60
Figure 3.7 Analysis of the promoter regions of fecA1, fecA2, frpB1 and fur
genes specific to Hp. a) The sequence alignment computed by Clustal Omega,
revealed the presence of the ‘fur box’ consensus sequence within the IROMPs of
interest and fur, indicated by arrows, within the expected -35 and -10 promoter
elements displayed within boxes. The fundamental site for fur-dependant regulation
and more specifically, the repression of these iron-acquisition genes was identified,
demonstrating the importance of these IROMPs as potential targets. b) The
sequence logo generated by Weblogo 3 of the subsequent alignment, exposed
differing stacks of bases, at varying heights depicting the frequency of each (the
taller the base, the more frequently observed or conserved), displaying the predicted
endogenous 7-1-7 motif required for holo-fur dependent regulation that further
validated the anticipated occurrence.
61
As observed in Figure 3.7a, analysis of the promoter regions of the three IROMPs and
the fur gene specific to Hp, demonstrated the presence of the imperfect 7-1-7 inverted
repeat, highlighted by arrows. The expected consensus sequence was identified 35bp
upstream of the transcriptional promoter sites and the expected -10 elements, which
were indicated by boxes. This investigation provided confirmation of fur-dependent
regulation amongst the IROMPs in addition to, the self-regulation of fur, as it
possessed the required endogenous repeat.
The secondary analysis of the sequence logo generated via the Weblogo 3 tool,
complimented the previous inquiry, as the projected 7-1-7 motif was observed within
Figure 3.7b. The logo included stacks of varying heights that demonstrated the
frequency of these bases, revealing the 5’-TAATAATnATTATTA-3’ sequence
reported as the ‘fur box’. This further validated the presence of the required ‘fur box’
promoter region required for fur-dependant regulation. In addition, this evidence
reinforced the significance of the IROMPs, fecA1, fecA2 and frpB1 as they were
regulated by fur and if therapeutically targeted would impede iron-acquisition that
would ultimately be detrimental to Hp.
62
Aim 2: To validate the insertional mutagenesis of the ΔIROMP proteins
(ΔfecA1, ΔfecA2 and ΔfrpB1) of Hp-SS1.
3.2 Isolation of Hp-SS1 WT and ΔIROMP clones
To ensue further analysis and confirm the insertion of the KanR
cassette (aphA3 gene)
within the specified IROMPs, it was necessary to isolate the Hp-SS1 WT and mutant
IROMP clones.
The samples were isolated from frozen stocks onto 10% HB + Dent and incubated
within an AGS at 37°C for 10-12 days to attain optimal growth. As observed in Table
3.2 accompanied by a descriptive legend, the Hp-SS1 WT displayed heavy
colonisation, in addition to, differing levels of growth observed from the various
clones of the individual IROMP mutants. The growth attained was sufficient to ensue
further analyses.
63
Table 3.2 Results from selective cultures of Hp-SS1 WT and ΔIROMP clones
attained throughout this investigation.
Legend: - 0 colonies + 1-20 colonies
++ 21-40 colonies +++ 41-60 colonies
++++ 61-80 colonies +++++ 81-≥100 colonies
* Fungal contamination
64
The three ΔIROMPs and their respective clones that displayed growth, were re-
inoculated onto 10% HB + Dent + 25μg/mL Kan, to investigate the insertion of the
KanR
cassette. The ΔIROMP clones, fecA1 clones 2, 3 and 5, fecA2 clones 3 and 4,
and frpB1 clones 1-8 all displayed comparative levels of growth on the selective
media including Kanamycin. This suggested the insertion of the KanR
cassette,
ensuing definitive analyses.
Each sample that obtained colonisation of the Hp-SS1 WT and ΔIROMPs were
purified using the DNeasy blood and tissue kit, to extract their genomic DNA for the
assessment of DNA quality and for the analysis of the projected WT and mutant
clones.
3.3 PCR confirmation of Hp-SS1 ΔIROMP clones
3.3.1 Confirmation of the Helicobacter species
To ascertain a genus-level confirmation, the WT and mutant clones were verified via
PCR and visualised on a 1% agarose gel.
The genomic DNA (gDNA) of the respective WT and ΔIROMP clones were amplified
by the 16s rRNA genus specific primers, H276F and H676R to observe an expected
fragment of 376bp (Appendix 1).
The WT and mutant IROMPs that were successfully isolated and purified were
detected at the expected fragment of 376bp, displaying optimal concentrations of DNA
for further experimentation, as displayed in Figure 3.8.
65
Figure 3.8 PCR amplification of Hp-SS1 WT and ΔIROMP KanR
knockouts
displayed on 1% agarose gel. The samples that displayed sufficient colonisation
were isolated and purified to attain pure gDNA. The purified products were amplified
using 16s rRNA oligonucleotides, H276F and H676R to visualise an expected
fragment at 376bp. The samples displayed the anticipated 376bp fragments with
optimal DNA concentrations. The ΔfrpB1 clone 2 failed to be detected, in addition to
ΔfecA2 clone 5, displaying a faint band however, within the expected 376bp region
and could still be confirmed as the Helicobacter species.
The ΔfrpB1 clone 2 failed to be detected and this sample could not be confirmed as
belonging to the Helicobacter species (Figure 3.8). The ΔfecA1 clone 5 displayed a
faint band however; it was still visible at the expected 376bp fragment and confirmed
to be of the Helicobacter species (Figure 3.8). As these samples were the only
Helicobacter species to be tested within this lab, it was further concluded that they
were in fact Hp-SS1.
66
3.3.2 Expected and resulting products of the isolated HpSS1 WT and
ΔIROMP clones
The cloning primers described in Table 2.5 used to amplify a short strand of the
2304bp WT fecA1 gene, expecting a fragment of 1159bp (1403bp-244bp), as observed
in Figure 3.9a. With the insertion of the 1597bp KanR
cassette, the ΔfecA1 clones were
predicted to generate a band of 2756bp (1159+1597), indicative of successful
transformation, as displayed in Figure 3.9b.
The corresponding experimentation produced the expected 1159bp fragment for the
WT fecA1 sample, which was confirmatory of Hp (Figure 3.9c) The isolated ΔfecA1
KanR
clones 2, 3 and 5 failed to appear at the expected 2756 bp fragment thus, the
insertion of the KanR
cassette could not be detected within this gene (Figure 3.9c). In
addition the ΔfecA1 clone 2 displayed a band of 1159bp, characteristic of the WT. This
result was unexpected due the colonisation of Hp on plates including Kanamycin,
suggesting the insertion of the KanR
cassette.
67
Figure 3.9 Insertion via homologous recombination of the KanR
resistance cassette
(aphA3 gene) into fecA1 of Hp-SS1. a) Expected fragment of WT fecA1. The cloning
primers amplified a short strand of the 2304bp fecA1 gene, expecting a confirmatory
fragment of 1159bp (1403bp-244bp) to appear on the gel. b) Expected fragment of the
ΔfecA1 clones. The insertion of the 1597bp KanR
cassette, anticipated the appearance
of a 2756bp fragment (1159+1597), validating the successful process of homologous
recombination required for negative selection within the SELEX technique. c) PCR
amplification of the isolated Hp-SS1 WT and fecA1 KanR
clones 2, 3 and 5 displayed
on 1% agarose via gel electrophoresis. The WT sample visualised in well 2 of the gel,
displayed the predicted 1159bp. The ΔfecA1 clone 2 unexpectedly appeared as a WT
(1159bp). In addition, ΔfecA1 clones 3 and 5 failed to appear on the gel thus, all fecA1
mutants failed to detect the expected fragment of 2756bp.
68
The cloning primers previously mentioned, that were utilised to attain a restricted
fragment of the 2364bp fecA2 gene of Hp-SS1, was expected to display a 1045bp band
(1235bp-190bp) within the gel (Figure 3.10a). Following the insertion of the 1597bp
KanR
cassette, the ΔIROMP indicative of the successful homologous recombination
was anticipated to display a band of 2642bp (1045bp+1597bp) on the gel (Figure
3.10b).
The resulting analysis, confirmed the presence of the fecA2 gene of Hp-SS1, as it
displayed a band of 1045bp as expected (Figure 3.10c). The isolated ΔfecA2 KanR
clones 3 and 4 could not be detected on the gel, although they successful colonised on
media containing Kanamycin. Again, the respective ΔIROMP KanR
clones could not
be included within the SELEX technique as the negative selection, as the location of
the cassette remained unknown.
69
Figure 3.10 Insertion via homologous recombination of the KanR
resistance
cassette (aphA3 gene) into fecA2 of Hp-SS1. a) Expected fragments for WT fecA2.
The cloning primers were expected to produce a 1045bp fragment indicative of the
2364bp WT fecA2 gene (1235bp-190bp). b) Expected fragment of the ΔfecA2 clones.
Following the insertion of the 1597bp KanR
cassette, an alternative fragment of
2642bp (1045bp+1597bp) was expected, representative of the interrupted ΔfecA2
clones. c) PCR amplification of the isolated Hp-SS1 WT and fecA2 KanR
clones 3
and 4 displayed on a 1% agarose via gel electrophoresis. The WT fecA2 was observed
at the appropriate size within the gel, displaying a fragment of 1045bp
(1235bp+190bp). The ΔfecA2 KanR
clones 3 and 4 failed to display a fragment of
2642bp (1045bp+1597bp) and the insertion of the KanR
cassettes could not be
verified.
70
The gene specific primers of Hp were utilised to attain a fragment of 1077bp
(1396bp-319bp) indicative of the 2376bp frpB1 gene (Figure 3.11a). Following the
insertion of the 1597bp KanR
cassette, the ΔfrpB1 clones were predicated to observe a
band of 2674bp (1077bp+1597bp), representative of the successful process of
homologous recombination (Figure 3.11b).
The respective analysis provided the confirmation of the WT frpB1 gene, which
displayed the expected 1077bp fragment (3.11c). The ΔfrpB1 KanR
clones 1-8 did not
appear on the gel and therefore, the insertion of the aphA3 gene could not be detected
(Figure 3.11c).
71
Figure 3.11 Insertion via homologous recombination of the KanR
resistance
cassette (aphA3 gene) into frpB1 of Hp-SS1. a) Expected fragments of WT frpB1.
The respective cloning primers were utilised to produce a fragment of 1077bp
(1396bp-319bp), indicative of the 2376bp WT frpB1 gene. b) Expected fragment of
the ΔfrpB1 KanR
clones. Following the insertion of the 1597bp KanR
cassette, a
fragment of 2674bp (1077bp+1597bp) was expected to be observed and indicative of
natural transformation. c) PCR amplification of the isolated Hp-SS1 WT and frpB1
KanR
clones 1-8 displayed on 1% agarose via gel electrophoresis. The WT frpB1 gene
displayed the appropriate fragment of 1077bp. The ΔfrpB1 KanR
clones 1-8 could not
be detected as no bands appeared within the applicable lanes of the gel.
72
Subsequent analysis of varied PCR parameters and reaction combinations were
undertaken to detect the insertion of the KanR
cassette within the differing ΔIROMP
clones.
As observed in Figure 3.12, the succeeding attempts to amplify and visualise the
expected fragments indicative of the insertion of the KanR
cassette within these genes
had failed. The identical patterns continued to appear within each gel attempted of
differing PCR parameters and reaction combinations. The Hp-SS1 WT IROMPs
continued to display their respective fragments of the expected sizes (Figure 3.12a +
b). The ΔIROMP KanR
clones failed to be detected within each attempt (Figure 3.12a
+b).
73
Figure 3.12 Further attempts to attain expected fragments of all isolated Hp-SS1
WT and ΔIROMP KanR
clones. a) The amplified fragments of fecA1 and fecA2
KanR
clones, repetitively demonstrated expected WT fragments or failed to appear on
the gel. b) The amplified fragments of frpB1 KanR clones 1-8, displaying the WT
expected fragment.
74
3.4 Natural transformation of Hp-SS1
The Hp-SS1 insertion of aphA3 within Hp-SS1 WT IROMPs was attempted to attain
negative selection for SELEX, via homologous recombination of natural
transformation.
As observed in Table 3.3 complimented by a descriptive legend, the attempt to re-
produce these clones had failed, as no growth was observed within the selective
media including Kanamycin plates. This hindered further progression of deriving the
IROMP-specific aptamers.
Table 3.3 Results of natural transformation of Hp-SS1 via the
liquid method. The attempt to re-produce the IROMP KanR
knockouts
failed, as no growth was observed on the selective media.
Legend: - 0 colonies + 1-20 colonies
++ 21-40 colonies +++ 41-60 colonies
++++ 61-80 colonies +++++ 81-≥100 colonies
* Fungal contamination
75
Aim 3: To generate an aptamer with a high binding affinity and
specificity for the ΔIROMP’s of Hp-SS1 using the SELEX method.
3.5 Preparation for the SELEX technique
3.5.1 Generation of randomised library and primers
The primers consisting of two randomly generated 20bp sequences were attained as
observed in Table 3.4. The primers were produced with HPLC purification that
provided approximately 85% purity, that is optimal for the SELEX technique. In
addition, the melting temperatures were required to be at approximately 52°C with
0.5-1°C of variation, as attained with these primers (Table 3.4).
The randomise library was produced based on these primers (Table 3.4), generated by
GeneWorks.
Table 3.4 Forward and reverse primers randomly generated and selected
for the SELEX technique.
As the insertion of aphA3 within fecA1, fecA2 and frpB1 could not be detected, the
process of SELEX was hindered due to the absence of negative selection.
76
Chapter 4 : Discussion
4.1 Interpretation of the results with the association of the literature
As the primary aim of this project was to identify a suitable target for aptamer-based
therapies, the detailed analysis based on previous experimentation and the findings of
these, were of increasing significance. The phylum to genus analysis of the reported
genes that function in iron homeostasis in Hp motivated the exclusion of exbB, exbD,
feoB and tolB as potential targets of this highly selective therapy (Figure 3.1). The
novel therapeutic could cause more detriment to the human microbiome if genes that
were readily observed throughout differing species were targeted54
. Yao et al (2016)
recently demonstrated that not only do broad-spectrum antibiotics eradicate the
infecting pathogen, they additionally decimate the beneficial bacteria of the gut
microbiome, developing a variety of immune and metabolic disorders54
. The use of
broad-spectrum antibiotics for gastrointestinal infections early in childhood has
furthermore been associated to changes of the microbiome that have been identified
as short-term risk factors of secondary infection, in addition to, obesity and celiac
disease within the long term or later in life54
. This evidence motivated the selection of
a more highly conserved virulence factor of Hp.
As fur is the global regulator of iron, an essential process of Hp, a comprehensive
investigation of this gene was ensued. Theoretically, to target a key protein of iron
regulation, a process essential for colonisation would present desired effects. The
analysis of fur, displayed conservation throughout the Helicobacteraceae family, in
addition to, all 24 differing species of Helicobacter.
77
The genus-specific investigation demonstrated more than 50% of conserved bases
within the divergent fur genes (Figure 3.2) and almost no variation between them
(Figure 3.3) suggestive of rapid speciation. This promptly disqualified fur as a
potential therapeutic target with the addition of supplementary information.
The frequency of the fur gene within all Helicobacter species was not the only motive
for exclusion. Current treatments for infectious diseases are failing due to antibiotic
resistance and additionally causing detriment to beneficial bacteria that once had a
protective function within the gut. As current literature regarding the investigation of
novel antibacterial therapies has swayed toward alternatives to antibiotics, such as,
the aforementioned-targeted therapies55
, the concept of internalising therapy within
the cell of Hp became far more complex when additionally explored. There are
currently numerous complications within target-based screening processes. The
understanding of physical-chemical features of cell permeability remains inadequate.
Further research is necessitated to identify such characteristics of functional
properties within therapeutic molecules that possess the ability to penetrate and
accumulate within the cells of pathogenic bacteria56
. As targeted therapies have only
been proposed as of late due to the increasing prevalence of antibiotic resistance,
minimal information and investigation has been pursued57
. Two independent teams
led by Luciano Marraffini from The Rockefeller University and Timothy Lu from the
Massachusetts Institute of Technology (MIT) both employed by CRISPR (Clustered
Regularly Interspaced Short Palindromic Repeats) have developed a new method to
re-sensitise resistant strains of bacteria to typical antibiotics57
.
78
As most antibacterial compounds being developed are solely concentrated on gram-
positive bacteria, the gram-negative pathogens continue to be exceedingly under-
addressed, motivating this novel therapeutic57
.
The CRISPR-associated protein-9 nuclease (Cas9) functions to cleave double-
stranded DNA (dsDNA) at the specific site of acquired or mutated sequences causing
resistance thus, activating the double strand break (DSB) of the repair machinery57
.
This causes chromosomal degradation, leading to bacterial cell death, restoring
susceptibility of the once efficacious antibiotic57
. Further investigation of this
development displayed numerous limitations, as only a limited number of cells were
successfully destroyed in addition to, issues of cellular internalisation57
. This lead to
the notion of targeting genetic material, e.g. sequence-specific regions of virulence
proteins, that are expressed on the outer membrane of bacterial cells.
Typical virulence factors that increase colonisation and persistence of the host
include, adhesion, invasion, immune response inhibitors and toxins found on the
outer membrane of the pathogen58
. As previously mentioned, the process of iron
homeostasis is of major importance to all-living organisms and bacteria is no
exception. Due to Hp’s need to regulate sufficient levels of iron, this process has been
implicated in causing further detriment to the infected host via the process of iron-
acquisition facilitated by outer membrane proteins. Flores (2014) demonstrated that
infection of Hp caused the redistribution of free iron to the gastric epithelium, the site
of colonisation, producing Iron deficiency anaemia (IDA) within the host59
. In
addition, the frpB1 outer membrane protein (OMP) of Hp, displayed over expression
on the cells surface when haem was the only obtainable source of iron60
.
79
This identified the presence of motifs required to bind haemoglobin or haem60
,
supporting Hp as a cause of IDA. This ensued further investigation of three particular
OMP’s fecA1, fecA2 and frpB1, previously implicated in iron-acquisition processes
and demonstrated to be essential for the colonisation of Hp.
As the presence of these IROMPs were exclusive to Hp, their interaction with fur was
explored to determine the effect on the pathogen, when targeted specifically. The
illustration of the combined interactions of the iron-regulating proteins, confirmed
previous analyses of fur functioning as the master regulator of gene expression
(Figure 3.5 and Table 3.1). In particular, the string analysis displayed the connection
of gene co-occurrence, co-expression and neighbourhood between the three IROMPs
of interest, in addition to, increasing scores of confidence supporting this data,
indicative of a process maintained by complex regulatory mechanisms. The specific
string investigation of fecA1, fecA2 and frpB1 further verified co-occurrence of these
genes (Figure 3.6). Pich and Merrell (2013) demonstrated the significance of iron-
related processes and the resultant ability of Hp colonisation in the presence and
absence of the three IROMPs60
. Additionally, they exposed several-fur regulated
genes including fecA1, fecA2 and frpB1 that were essential for colonisation within
the Mongolian gerbil model of Hp infection60
, the gold standard for human gastric
disease61
. This was established via the generation of a defective or mutant fur,
demonstrating that colonisation was not affected by a single gene, but by the
deregulation of the subsequent fur-regulated loci of these IROMPs60
. This concept
remained the centre of the succeeding portion of investigation, to observe these fur-
dependant regions within the three IROMPs.
80
The sequence alignment of the promoter regions of fur, fecA1, fecA2 and frpB1
confirmed the presence of this regulatory-region known as the ‘fur box’, contingent
for the repression of these particular IROMPs (Figure 3.7). Pich et al (2012)
identified the core sequence (5’-TAATAATnATTATTA-3’) of the ‘fur box’ and
demonstrated the defects in colonisation of Hp, due to the loss of fur regulation of the
aforementioned IROMPs62
. An imperfect 7-1-7 motif was identified within two
highly conserved regions (Figure 3.7), the first located roughly 35bp upstream of the
transcriptional promoter site and the second, in the capacity of the expected -10
elements, previously proposed by Delany et al (2002)63
. This core sequence is of
preeminent significance, as it has been implicated as the site of gene expression in
varying levels of iron availability. In conditions of high iron, fur is arranged in a
dimer configuration and loaded with iron (holo-fur), binding to the core sequence and
obstructing transcription of the IROMPs63
. Alternatively, when the levels are scarce
and iron is absent from fur, the dimer configuration is dilapidated, permitting RNA
polymerase to cohere to this region, initiating transcription of these genes63
. In
addition, the presence of the ‘fur box’ within the fur gene exposes the capacity of
self-regulation in differing conditions of iron, controlling the expression of fur-
dependent genes as necessitated64
. The specified IROMPs are transcribed for the
acquisition of free iron from various sources65
. The fecA1 and fecA2 genes transport
iron (III)-dicitrate66
and the frpB1 gene binds haem66
, demonstrating the capacity to
acquire variable sources of iron and underpinning the importance of maintaining iron
homeostasis within Hp. This process evidently validates the significance of iron-
regulation exposed by these intricate mechanisms that respond to the cellular stress of
opposing levels iron availability.
81
The specified IROMPs have an immeasurable function in the survival of Hp and
retain advantageous parameters, e.g. positioned on the outer membrane and are vital
to persist, for selective therapies. This demonstrates the potential of restoring the
microbiome, overcoming antibiotic resistance and most importantly, eradicating the
infection of Hp.
Once the target was selected, the subsequent phase was to isolate and confirm the
KanR
knockouts of the pre-elected genes of Hp for negative selection of the SELEX
technique. The isolation of Hp-SS1 demonstrated substantial growth of the WT and
various ΔIROMP KanR
clones however, a large portion of the ΔfecA1 and ΔfecA2
clones failed to grow (Table 3.2). As they were constructed in 2012, the leading
factor of weakened viability was most likely the cause of improper laboratory
practices such as, permitting the frozen stocks to thaw, which is detrimental to such
samples. The isolation of each sample would have been an ideal outcome but
conversely, a sufficient number of clones were attained to progress.
The isolated ΔIROMP KanR
clones were re-inoculated onto selective media including
Kanamycin to evaluate the insertion of the KanR
cassettes. Each sample resulted in
comparable growth to the initial isolation (Table 3.2), supporting the insertion of the
KanR
cassette within the specified genes of interest.
The genus-specific confirmation of the isolated Hp-SS1 WT and mutants was used as
a diagnostic measure to ensure the experimentation of Hp, avoiding contaminants and
negative influences.
82
Once purified, the reactions including the 16s rRNA forward and reverse primers, in
addition to, the corresponding DNA templates, confirmed the presence of
Helicobacter species. The analysis aimed to detect a 376bp fragment, indicative of
Helicobacter and as the only bacteria of this genus utilised within this particular lab,
could further be verified as Hp.
As observed in Figure 3.8, most of samples displayed the expected 376bp band
within the gel, supporting the incidence of the Helicobacter species and more
specifically Hp. Moreover, the ΔfecA1 clone 5 displayed a faint appearance, though
the 376bp fragment could still be detected. In addition, ΔfrpB1 clone 2 appeared
absent within the gel, leading to the investigation of the source contributing to these
results. Analysis of PCR components causative of faint or lacking bands provided
logical explanations. Lee at al (2012) defined the optimal procedures of gel
electrophoresis underpinning errors within laboratory procedures that contribute to
this display67
. In addition, the appearance of faint or absent bands was causative of
insufficient quality and concentrations of DNA67
, which remained consistent with
ΔfrpB1 clone 2, as nominal growth was observed and purified from this sample. The
ΔfecA1 clone 5 displayed substantial growth and thus, inconsistent with this
conception however, coherent with DNA degradation, causative of the faint
appearance as reported by Lee68
. As these variables contributed to only a small
percentage of the samples, the confirmation of the insertion of the KanR
cassette was
pursued.
83
The utilisation of gene-specific cloning primers facilitated the investigation and
visualisation of particular fragments, indicative of WT or mutant Hp. The amplified
products of Hp-SS1 fecA1, fecA2 and frpB1 WT’s, displayed the expected
confirmatory fragments of 1159bp, 1045bp and 1077bp, respectively (Figures 3.9,
3.10 and 3.11). The interruption of ΔfecA1, ΔfecA2 and ΔfrpB1 clones with the
1597bp KanR
or aphA3 cassette, estimated affirmative fragments of 2756bp, 2642bp
and 2674bp within the corresponding gels (Figure 3.9b, 3.10b and 3.11b).
Unfortunately, the mutants remained absent on the gel and consequently, the insertion
of the KanR
cassette failed to be detected within these genes (Figure 3.9c, 3.10c and
3.11c). Surprisingly, ΔfecA1 clone 2 appeared as a WT, presenting a band of 1159bp
(Figure 3.9c). Due to this technical irregularity and resultant failures, numerous
attempts to alter PCR parameters and reactions were undertaken to obtain
confirmation of these mutants. Each attempt displayed patterns identical to the
fragments previously attained (Figure 3.12a+b). The purified DNA products had
demonstrated sufficient DNA concentrations within the majority of these samples
(Figure 3.8). In addition, the isolates displayed the capacity to grow on the selective
media that included Kanamycin and unexpectedly, ΔfecA1 clone 2 was confirmed to
be a WT (Figure 3.9c). This excluded the possibility of experimental inaccuracies and
sparked a comprehensive inquest to identify probable explanations such as, errors in
homologous recombination or naturally occurring Kanamycin resistance.
A review of the literature confirmed the absence of evidence and accounts of
naturally occurring Kanamycin resistance in Hp and consequently, errors within the
process of homologous recombination (HR) remained the most feasible
rationalisation.
84
Several studies have demonstrated this notion, ascertaining the propensity of
homologous recombination to be flawed. Guirouilh-Barbat et al (2014) detailed the
potential faults and consequences of homologous recombination, a process that was
once considered error-free69
. DNA replication during homologous transformation can
promote the expression of gene conversion due to genetic mutations that cause re-
arrangements, such as, deletions and translocations69
. As observed in Figure 4.1,
double crossovers of the donor fragment including homologous regions for site-
specific transformation, can result in alternative outcomes. In this scenario, the
replication of the resistance cassette within the fecA1 gene is the expected result
(Figure 4.1a), as the newly transformed gene remains functional. Mutations arising
during homologous recombination may appear functional as the required region is
replicated however, this can give rise to different sites as the cassette has been
transcribed within another portion of the gene (Figure 4.1b). This causes the loss of
primer binding sites and during confirmatory analysis can appear as though the
transformation was unsuccessful69
. Single crossover events not only transform the
selected region but the entire sequence of the remaining plasmid (Figure 4.1c+d)
within the site of the chosen gene. This produces an extensive fragment and thus,
incapable of displaying a fragment on the gel due to its size69
. Although the view
concerning the success rate of homologous recombination remains divided within the
literature, new evidence of errors arising within this process frequently reappears.
The most simplistic explanation for the failure to detect these knockouts may be
determined by the construction of the plasmids utilised for natural transofmration
(Table 2.6) prior to homologous recombination. During the generation of the original
plasmid construct, the primer site was most likely lost due to corruption or removal
arising from various mutations previously mentioned.
85
Preceding efforts to detect the insertion of the KanR
cassettes within fecA1, fecA2
and frpB1 utilising identical plasmid constructs, displayed likewise complications and
remained unverified62
. The precise location of the transformed KanR
cassette needs to
be identified to attain the confirmation of this process. A secondary attempt to attain
negative selection for the SELEX technique was ensued.
Figure 4.1 The consequences of single and double crossover events due to errors
in homologous recombination (HR). a) The expected double crossover event. The
functional double crossover during HR produces the insertion of the resistance
cassette within the site-selected region of fecA1. b) The occurrence of mutations
during the double crossover event. This displays the expected sequence and acquires
the associated resistance however, complicates detection of the specified insertion in
fecA1 due to such factors of gene conversion and loss of primer sites. c) Single
crossover event of the homologous region 1 (HR1). This results in the transcription of
the resistance cassette and the remainder of the plasmid, complicating detection of
this process. d) The single crossover event of the homologous region 2 (HR2). The
consequences display identical complications to the single crossover of HR1
however, the sequence is transcribed from HR2 following the remainder of the
plasmid.
86
The attempt to re-produce the IROMP KanR
mutants for negative selection was a
failure (Table 3.3). Following the liquid method of natural transformation and
sufficient intervals of optimal incubation conditions, growth of Hp-SS1 mutant
IROMPS on selective media including Kanamycin, was deficient (Table 3.3). This
motivated the analysis of the natural ability of DNA uptake in Hp. Natural
competence of some bacteria is the capacity to actively transport foreign DNA into
the cell that is naturally transformed, altering the genotype70
. The review of
corresponding literature identified Hp as one of these competent pathogens, as the
occurrence of transformation is common71
. Mell and Redfield (2014) proposed
complications of DNA uptake within gram-negative bacteria due to the transportation
of rigid and highly charged dsDNA70
. Currently, DNA uptake and the detailed
mechanics of this process is highly limited and poorly defined72
. In addition,
numerous analyses of the action of natural selection in regards to natural competence
remain divisive. Moore et al (2014) demonstrated that the transformation efficiency
in Hp is highly variable73
. Although this pathogen has been identified as naturally
competent, Hp is selective in DNA uptake and transformation. The transformation
efficiency is low in the presence of increasing lengths and decreasing similarity of
DNA sequences, in addition to, the initial growth phases of Hp and in deficient levels
of CO2
73
. Due to the variable nature of natural transformation in Hp, the failure of re-
producing these knockouts could have been causative of the suggested loss of primer
binding sites within the construction of the plasmids. These constructions including
the KanR
cassette could have caused elongation or disruption, loosing similarity of the
sequence, obstructing this process. Alternatively, the attempt of HR via natural
transformation during premature growth phases, in addition to, insufficient conditions
of CO2
caused by a defective AGS system could have caused the observed failure.
87
Although resolutions arose from this analysis, the IROMP KanR
mutants required for
negative selection were unobtainable due to time constraints. Consequently, the
SELEX method to derive the IROMP-specific aptamers could not be pursued.
Preparation for the initial starting point of the SELEX method included the selection
of two 20bp randomly generated primers, as observed in Table 3.4. In addition, these
sequences formed the basis of the randomised DNA library, generated by
GeneWorks. The cell-SELEX method consists of succeeding rounds of target
binding, selection and amplification, demonstrating the significance of all portions of
this process (Figure 4.2). As aptamer-based therapies are readily being investigated
for various human diseases, the generation of the randomised library and primers
have presented major significance. Recent analyses have demonstrated the limitations
of library designs, lacking certain parameters and in turn, yielding non-specific
aptamers74
. The initial library of primers usually consists of 10-15
-1016
random
sequences75
. Since the randomised library is so large, in many cases, it entirely
saturates the significant sequence area75
. The binding positions of transcription factors
are typically <20bp long, each occupying sequence variants in which this protein is
able to bind is exemplified in a large number within the randomised library75
.
Consequences arise that can generally be neglected in SELEX, for example, loss of
sequence variants due to chance fluctuations known as stochastic effects75
.
Accordingly, these effects are not readily being taken into consideration during
numerical simulations, in addition to, theoretical models of the cell-SELEX method75
.
Optimal parameters have been proposed to improve binding factors, as synthetic
randomly generated libraries are incompetent in reaching prerequisite qualities76
.
88
Figure 4.2 A schematic of the cell-SELEX method to target fecA1, fecA2 and
frpB1 of Hp-SS1 adapted from Wu et al (2015). The randomised library is
incubated with selected IROMPs and the resulting bound or unbound sequences are
divided. The bound aptamers are retained for negative selection. Sequences that are
bound to the control cells are washed or removed, attaining aptamers specific to the
targeted IROMPs that are further amplified. One round of SELEX includes target
binding, selection and amplification and several rounds are repeated. The final round
of SELEX and the resulting aptamers are sequenced and monitored for therapeutic
validation.
The design should consist of an equal distribution of all four bases78
. This is based on
the understanding of short motifs within the aptamer, normally mediating cohesion to
the target molecule78
. The incidence of an equal distribution of motifs has provided
evidence that it increases the sequence area, producing a higher possibility of
deriving an aptamer with the desired binding properties78
.
89
Recently, Blind and Blank (2014) have provided the advantages of using next
generation sequencing (NGS) and bioinformatics techniques to help monitor and
optimise the generation of the randomised libraries78
. Furthermore, a wide range of
applications have been proposed due to the limitations of SELEX, e.g. High-fidelity
SELEX74
, minimal primer and primer-free SELEX79
and the addition of primer
purifications prior to the generation of randomised libraries. These processes aim to
minimise the loss of desired aptamer properties to produce highly specific
therapeutics. The oligonucleotides derived in this study for SELEX (Table 3.4) were
supplemented with HPLC purification to eliminate truncated synthesis products and
enhance purity80
. The generated library based on these primers did not undertake such
testing due to time constraints and if utilised in succeeding experimentation will need
to be further explored.
4.2 Strengths and Limitations
Most of the available mouse models of Hp infection have demonstrated variable-poor
colonisation66
. Currently, the only strain that presents high-colonising ability is Hp-
SS166
and was appropriately utilised throughout this investigation. The majority of
significant research experiments have employed Hp-SS1 to mimic the colonisation
and pathogenesis of the human variation. This motivated the subsequent investigation
to eradicate Hp infection with precision, excluding possibilities of failure,
misrepresentation and inaccurate research findings.
90
The major limitation of this study was the inability to confirm the insertion of the
KanR
cassette within the IROMPs of interest and the succeeding failure to re-produce
them. As a major component of the cell-SELEX method could not be obtained
within the time frame of the project, the generation of high affinity aptamers could
not be ensued. Negative selection includes a cell line minus the target markers that
contributes to the specificity arising from this process80
. Aptamers that show high
affinity and bind to these negative cell lines are extracted, deriving only the ones that
demonstrate desired qualities81
. If this process is completed without negative
selection, a high probability of deriving non-specific aptamers would result.
As this method is expensive and time consuming, to incorporate a negative cell line
that essentially presents a 50% chance of carrying the KanR
cassette within the
IROMPS, would be impractical. This formed the rationalisation behind withdrawing
further experimentation.
4.3 Clinical Relevance
As Hp continues to evolve producing more severe clinical outcomes and refractory
strains, this potential therapy demonstrates a highly efficacious method of
eradication. This study has verified the importance of iron-regulation and the
associated outer membrane virulence factors, detailing the impairment of Hp to
colonise if the IROMPs were therapeutically targeted. In addition, it has offered an
alternative approach to generate new therapies for other infections caused by strain-
resistant bacteria, e.g. Methicillin resistant Staphylococcus aureus (MRSA). The
increasing advantages of aptamer-based therapies have motivated their production for
all sorts of human disease and particularly for cancers.
91
This ideal therapy remains inadequate within the microbial field aside from few
inquiries based on bio-sensing abilities. This project has filled the gap within the
literature of targeting essential proteins via aptamer-based therapies that increasingly
demonstrate advantages due to their highly selective qualities.
4.4 Future Direction
Short-term directions include the processes of obtaining essential components to
ultimately derive these aptamers. The re-production and validation of the IROMP-
interrupted KanR
clones is required for negative selection to progress further. In
addition, an alternative direction would be to undertake whole genome sequencing for
the unconfirmed knockouts to eliminate the generation of new primers and verify the
insertion and location of the KanR
cassette. Once negative selection is obtained, the
process of cell-SELEX would be ensued to derive the aptamers specific to fecA1,
fecA2 and frpB1 in Hp-SS1.
Long-term objectives are focused around the therapeutic abilities of the derived
aptamers. As Hp colonises the acidic conditions of the stomach, the stability of these
aptamers including their capacity to remain functional in comparable states will need
to be assessed using minimum inhibitory concentration (MIC) assays that include
hydrochloric acid. Depending on the functionality of these aptamers within acidic
conditions, an investigation is required to assess the therapeutic action of these
molecules. This exploration will determine if the aptamer has the ability to directly
impede the iron-acquisition process of the IROMPs or if they will need to be
conjugated to a drug, e.g. antibiotics, to aid in this process via MIC assays.
92
4.5 Conclusions
This study aimed to ensue a detailed investigation of potential therapeutic targets and
in particular the IROMPs of Hp to derive an effective therapy using aptamers. The
process of iron-acquisition mediated by fecA1, fecA2 and frpB1 confirmed to be a
major component within iron homeostasis. In addition, these IROMPs were shown to
be essential for the colonisation of Hp and if targeted would demonstrate an assured
therapeutic effect.
The current need for targeted therapies for infections like Hp that have emerged due
to the misuse of antibiotics and the spread of resistant stains was the key motivator of
this study. Not only did it provide a promising therapeutic conception for the
eradication of Hp infection, it also formed a proof of principle. This process could
potentially direct the production of targeted therapies using aptamers for other
refractory infections. The function and efficacy of aptamer-based therapies could
potentially replace antibiotics and overcome resistance as demonstrated with the
eradication of Hp infection.
93
References
1. McColl KEL. Helicobacter pylori infection. N Engl J Med. 2010 Apr 29;
362(17): 1597-1604.
2. DiMarino MC. MSD Manuals: Helicobacter pylori infection [Internet].
[Kenilworth]: Merck & Co; c2016.
3. Peek RM. Helicobacter pylori infection and disease: from humans to animal
models. Dis Models & Mechs. 2008 Jul 01; 1(1): 50-55.
4. Monzon H, Forne M, Esteve M, Rosinach M, Loras C, Espinos JC, et al.
Helicobacter pylori infection as a cause of iron deficiency anemia of
unknown origin. World J Gastroenterol. 2013 Jul 14; 19(26): 4166-4171.
5. Asaka M, Sepulveda AR, Sugiyama T, Graham DV. Helicobacter pylori:
Physiology & Genetics. 1st ed. Washington (DC): ASM Press; 2001. Chapter
40, Gastric Cancer; p.560.
6. Eusebi LH, Zagari RM, Bazzoli F. Epidemiology of Helicobacter pylori
infection. Helicobacter. 2014 Sep; 19(1): 1-5.
7. The Helicobacter Foundation: Epidemiology [Internet]. [Perth]: The
Helicobacter Foundation; c2014.
8. Talley NJ. Reflux centre: Helicobacter pylori gastritis [Internet]. [Belgrade]:
Reflux centre; c2015.
9. Helicobacter pylori infection in Indigenous Australians: a serious health
issue? Med J Aust. 2005; 182(5): 205-206.
10. Mehmood A, Akram M, Ahmed A, Usmanghani K, Hannan A, Mohiuddin E,
et al. Helicobacter pylori: An introduction. IJABPT. 2010 Dec; 1(3): 1337-
1348.
94
11. O’Rourke J, Bode G. Helicobacter pylori: Physiology & Genetics. 1st ed.
Washington (DC): ASM Press; 2001. Chapter 6, Morphology &
Ultrastructure; p. 140.
12. Moran P. Microbial Glycobiology: Structures, relevance & applications. 1st ed.
Sydney: Elsevier; 2009. Chapter 2, Flagellar glycan structures; p.135.
13. Nilius M, Malfertheiner P. Helicobacter pylori enzymes. Ailment Pharmacol
Ther. 1996 Apr; 10(1): 65-71.
14. MedicineNet [Internet]. Georgia: WebMD; c2015. Available from:
http://www.medicinenet.com/helicobacter_pylori/page3.htm
15. Shiota S, Suzuki R, Yamaoka Y. The significance of virulence factors in
Helicobacter pylori. J Digest Dis. 2013 Jul; 14(7): 341-349.
16. Palframan SL, Kwok T, Gabriel K. Vacuolating cytotoxin A (VacA), a key
toxin for Helicobacter pylori pathogenesis. Front Cell Infect Microbiol. 2012
Jul; 12(2): 92.
17. Yong X, Tang B, Li B, Xie R, Hu C, Luo G, et al. Helicobacter pylori
virulence factor CagA promotes tumorigenesis of gastric cancer via multiple
signalling pathways. Cell Com Sig. 2015 Jul 11; 13(30): 111-134.
18. Oleastro M, Menard A. The role of Helicobacter pylori outer membrane
proteins in adherence & pathogenesis. Biol (Basel). 2013 Sep; 2(3): 1110-
1134.
19. van Villet AHM, Stoof J, Vlasblom R, Wainwright SA, Hughes NJ, Kelly DJ,
et al. The role of the Ferric Uptake Regulator (Fur) in regulation of
Helicobacter pylori iron uptake. Helicobacter. 2002; 7(4): 237-244.
20. Melanie Thomson (Personal Communication) 2016.
95
21. Pich OQ, Merrell DS. The ferric uptake regulator of Helicobacter pylori: a
critical player in the battle for iron & colonisation of the stomach. Future
Microbiol. 2013; 8(6): 1-135.
22. Andrews SC, Robinson AK, Rodriguez-Quinones F. Bacterial iron
homeostasis. FEMS Micro Rev. 2003 June 01; 27(2-3): 215-237.
23. Haley KP, Gaddy J. Metalloregulation of Helicobacter pylori physiology &
pathogenesis. Front Microbiol. 2015 Sep 02; 2(6): 911.
24. McColl KEL. Helicobacter pylori infection. N Engl J Med. 2010 Apr 29;
362(17): 1597-1604.
25. DiMarino MC. MSD Manuals: Helicobacter pylori infection [Internet].
[Kenilworth]: Merck & Co; c2016.
26. Pinjon E. MIMS Ireland: Eradication of Helicobacter pylori [Internet].
[Dublin]: MPI Media LTD; c2011.
27. Gisbert JP. Rescue Therapy for Helicobacter pylori Infection 2012. Gastro
Research Prac. 2012; 20(1): 1-12.
28. Boltin D, Ben-Zvi H, Perets TT, Kamenestsky Z, Samra Z, Dickman R, et al.
Trends in Secondary Antibiotic Resistance of Helicobacter pylori from 2007
to 2014: Has the Tide Turned? J Clin Microbiol. 2015 Feb; 52(2): 522-527.
29. Yaxley J, Chakravarty B. Helicobacter pylori eradication- an update on the
latest therapies. AFP. 2014 May; 43(5): 301-305.
30. World Health Organisation: Antibiotic Resistance Fact Sheet 194 [Internet].
[Geneva]: World Health Organisation; c2016. Available from:
http://www.who.int/mediacentre/factsheets/fs194/en/
31. Hawkey PM. The origins and molecular basis of antibiotic resistance. BMJ.
1998 Sep 5; 317(7159): 657-660.
96
32. Chuah Sk, Tsay FW, Hsu P, Wu DC. A new look at anti-Helicobacter pylori
therapy. World J Gastroenterol. 2011 Sep 21; 17(35): 3971- 3975.
33. Technologist: Towards the first Helicobacter pylori vaccine? [Internet].
[Brussels]:EuroTech Universities; c2014. Available from:
http://www.technologist.eu/towards-thefirst-helicobacter-pylori-vaccine/
34. Yang JC, Chien CT. A new approach for the prevention and treatment of
Helicobacter pylori infection via upregulation of autophagy and
downregulation of apoptosis.Autophagy. 2009 Apr 01; 5(3): 413-414.
35. Ayala G, Escobedo-Hinojosa WI, Cruz-Herrera CF, Romero I. Exploring
alternative treatments for Helicobacter pylori infection. World J
Gastroenterol. 2014 Feb 14; 20(6): 1450-1469.
36. Theriot CM, Young VB, Bowman AA. Antibiotic-Induced Alterations of the
Gut Microbiota Alter Secondary Bile Acid Production and Allow for
Clostridium difficile Spore Germination and Outgrowth in the Large Intestine.
mSphere. 2016 Jan 06; 1(1): 1-16.
37. Base pair technologies: What is an aptamer? [Internet]. [Pearland]: Base pair
technologies; c2016. Available from: http://www.basepairbio.com/research-
andpublications/what-is-an-aptamer-2/
38. Sun H, Zhu X, Lu PY, Rosato RR, Tan W, Zu Y. Oligonucleotide Aptamers:
New Tools for Targeted Cancer Therapy. Mol Ther Nucleic Acids. 2014 Aug
05; 3(182): 2078-2099.
39. Pei X, Zhang J, Liu J. Clinical applications of nucleic acid aptamers in cancer.
Mol Clin Oncol. 2014 May; 2(3): 341-348.
97
40. Shigdar S, Luczo J, Wei MQ, Bell R, Danks A, Liu K, et al. Aptamer
Therapeutics: The 21st Century’s magic bullet of Nanomedicine. Open Conf
Proc J. 2010; 1(1): 118-124.
41. Ng EWM, Shima DT, Calias P, Cunningham ET, Gyer Dr. Pegaptanib, a
targeted anti-VEGF aptamer for ocular vascular disease. Nature Rev Drug
Dis. 2006 Feb; 5(1): 123-132.
42. Turek D, Van Simaeys D, Johnson J, Ocsoy I, Tan W. Molecular recognition
of live methicillin-resistant Staphylococcus aureus cells using DNA aptamers.
World J Transl Med. 2013 Dec 21; 2(3): 67-74.
43. Tatusova T, Zaslavsky L, Fedorov B, Haddad D, Vatsan A, Ako-Adjei D, et
al. The NCBI Handbook [Internet]. 2nd edition. Bethesda (MD): National
Center for Biotechnology Information (US); 2014. Protein Clusters. [Cited
2016 Sep 17]. Available from:
http://www.ncbi.nlm.nih.gov/books/NBK242632/
44. Kersey PJ, Allen JE, Armean I, Boddu S, Bolt BJ, Carvalho-Silva D, et al.
Ensembl Genomes 2016: more genomes, more complexity. Nucl. Acids Res.
2016 Jan 04; 44(1): 574-580.
45. Sievers F, Wilm A, Dineen D, Gibson TJ, Karplus K, Li W, et al. Fast,
scalable generation of high-quality protein multiple sequence alignments
using Clustal omega. Mol Syst Biol. 2001; 7(539): 1-59.
46. Waterhouse AM, Procter JB, Martin DMA, Clamp M, Barton GJ. Jalview
version 2- A multiple sequence alignment editor and analysis workbench.
Bioinformatics. 2009 16 Jan; 25(9): 1189-1191.
98
47. Letunic I, Bork P. Interactive tree of life (iTOL) v3: an online tool for the
display and annotation of phylogenetic and other trees. Nucl. Acids Res. 2016
08 Jul; 44(1): 242-245.
48. Szklarozyk D, Franceschini A, Wyder S, Forslund K, Heller D, Huerta-Cupas
J, et al. String v10: Protein-protein interaction networks, integrated over the
tree of life. Nucl. Acids Res. 2015 Jan; 43(1): 447-452.
49. Crooks GE, Hon G, Chandonia JM, Brenner SE. WebLogo: A sequence logo
generator. Genome Research. 2004 Jan 06; 14(1): 1188-1190.
50. Lee A, O’Rourke J, De Ungria MC, Robertson B, Daskalopoulos G, Dixon
MF. A standardized mouse model of Helicobacter pylori infection:
introducing the Sydney strain. Gastroenterology. 1997 Apr 11; 2(4): 1386-
1397.
51. Stuart CA, Van Stratum E, Rustigian R. Further Studies on Urease Production
by Proteus and Related Organisms. J. Bacteriol. 1945 May; 49(5): 437-444.
52. Holani TVO. Any old iron? Novel host iron sources utilised by the human
pathogen Helicobacter pylori. (Unpublished) 2012; 1-91.
53. Yao J, Carter RA, Vuagniaux G, Barbier M, Rosch JW, Rock CO. A
pathogen-selective antibiotic minimizes disturbance to the microbiome.
Antimicrob. Agents Chemother. 2016 Jul 9; 60(7): 4264-4273.
54. Nigam A, Gupta D, Sharma A. Treatment of infectious disease: Beyond
antibiotics. Microb research. 2014 Feb 09; 169(10): 643-651.
99
55. Committee on new directions in the study of antimicrobial therapeutics: New
classes of antimicrobials [Internet]. 2st
edition. Washington (DC): National
Academies Press (US); 2006. Treating infectious diseases in a microbial
world: Challenges for the development of new antimicrobials-rethinking the
approaches. [Cited 2016 Oct 07]. Available from:
https://www.ncbi.nlm.nih.gov/books/NBK19843/
56. Yacoby I, Benhar I. Targeted antibacterial therapy. Infect Disord Drug
Targets. 2007 Sep; 7(3): 221-229.
57. Parmley S. Programmable sensitivity. SciBX. 2014 Oct 23; 7(41): 1198-1202.
58. Ribet D. How bacterial pathogens colonize their hosts and invade deeper
tissues. Microbes & Infect. 2015 Mar; 17(3): 173-183.
59. Flores S. The effect of Helicobacter pylori on cellular iron homeostasis
(Thesis, Doctor of Philosophy). New Zealand: University of Otago; 2014.
Retrieved from: http://hdl.handle.net/10523/5081
60. Carrizo-Chavez MA, Cruz-Castaneda A, Olivares-Trejo JDE. The frpB1 gene
of Helicobacter pylori is regulated by iron and encodes a membrane protein
capable of binding haem and haemoglobin. FEBS lett. 2012 Mar 23; 586(6):
875-879.
61. Pich OQ, Merrell DS. The ferric uptake regulator of Helicobacter pylori: a
critical player in the battle for iron and colonization of the stomach. Future
Microbiol. 2013 Jun; 8(6): 725-738.
62. Liang J, Ducatelle R, Pasmans F, Smet A, Haesebrouck F, Flahou B.
Multilocus Sequence Typing of the Porcine and Human Gastric Pathogen
Helicobacter suis. J. Clin. Microbiol. 2013 Mar 09; 51(3): 920-926.
100
63. Pich OQ, Carpenter BM, Gilbreath JJ, Merrell DS. Detailed analysis of
Helicobacter pylori fur-regulated promoters reveals a fur box core sequence
and novel fur-regulated genes. Mol Microbiol. 2012 May 14; 84(5): 921-941.
64. Delany I, Spohn G, Pacheco AB, Ieva R, Alaimo C, Rappuoli R, et al.
Autoregulation of Helicobacter pylori Fur revealed by functional analysis of
the iron-binding site. Mol Microbiol. 2002 Nov; 46(4): 1107–1122.
65. Haley KP, Gaddy JA. Metalloregulation of Helicobacter pylori physiology
and pathogenesis. Front Microbiol. 2015 Sep 02; 6(1): 911-915.
66. Tsugawa H, Suzuki H, Matsuzaki J, Hirata K, Hibi T. FecA1, a bacterial iron
transporter, determines the survival of Helicobacter pylori in the stomach.
Free Radic Biol Med. 2012 Mar 15; 52(6): 1003-1010.
67. Lee PY, Costumbrado J, Hsu CY, Kim YH. Agarose gel electrophoresis for
the separation of DNA fragments. J. Vis. Exp. 2012 Apr 20; 60(1): 3923-
3929.
68. Guirouilh-Barbat J, Lambert S, Bertrand P, Lopez BS. Is homologous
recombination really an error-free process? Front Genet. 2014 Jun 11; 5(1):
175-177.
69. Mell JC, Redfield RJ. Natural competence and the evolution of DNA uptake
specificity. J Bacteriol. 2014 Apr; 196(8): 1471-1483.
70. Noto JM, Peek RM. Genetic manipulation of a naturally competent bacterium,
Helicobacter pylori. Methods Mol Biol. 2012 Dec 14; 921(1): 51-59.
71. Zhang XS, Blaser MJ. Natural transformation of an engineered Helicobacter
pylori strain deficient in type II restriction endonucleases. J Bacteriol. 2012
Jul; 194(13): 3407- 3416.
101
72. Moore ME, Lam A, Bhatnagar S, Solnick JV. Environmental determinants of
transformation efficiency in Helicobacter pylori. J Bacteriol. 2014 Jan;
196(2): 337-344.
73. Ouellet E, Foley JH, Conway EM, Haynes C. Hi-Fi SELEX: A high-fidelity
digital-PCR based therapeutic aptamer discovery platform. Biotechnology and
Bioengineering. 2015 Aug 09; 112(8): 1506-1522.
74. Djordjevic M, Sengupta AM. Quantitative modeling and data analysis of
SELEX experiments. Phys. Biol. 2005 Dec 16; 3(1): 13-28.
75. Zimmermann B, Bilusic I, Lorenz C, Schroeder R. Genomic-SELEX: A
discovery tool for genomic aptamers. Methods. 2010 Oct; 52(2): 125-132.
76. Wu X, Zhao Z, Bai H, Fu T, Yang C, Hu X. DNA aptamer selected against
Pancreatic Ductal Adenocarcinoma for in vivo imaging and clinical tissue
recognition. Theranostics. 2015; 5(9): 985-994.
77. Blind M, Blank M. Aptamer selection technology and recent advances. Mol
Ther Nucleic Acids. 2015 Jan 13; 4(1): 223-227.
78. Pan W, Xin P, Clawson GA. Minimal primer and primer-free SELEX
protocols for selection of aptamers from random DNA libraries.
Biotechniques. 2008 Mar; 44(3): 351-360.
79. Idtdna.com: When is it important to get HPLC purification? [Internet]. Iowa:
Integrated DNA technologies Inc.; c2016 [Cited 9 Oct 2016]. Available from:
https://www.idtdna.com/pages/decoded/decoded-articles/ask-alex/ask-
alex/2011/09/27/when-is-it-important-to-get-hplc-purification-
80. Lakhin AV, Tarantul VZ, Gening LV. Aptamer: Problems, Solutions and
prospects. Acta Naturae. 2012 Dec; 5(4): 34-43.

HMH402 Alexia Bosancic Final thesis pdf

  • 1.
    ‘A new targetto reduce Helicobacter pylori infection.’ Alexia Bosancic Bachelor of Biomedical Science This thesis has been submitted in partial fulfilment of the requirements for the degree of Bachelor of Health and Medical Science (Honours) School of Medicine Deakin Univeristy Supervisor: Dr Melanie Thomson Co-Supervisors: Dr Tamsyn Crowley and Dr Sarah Shigdar October 2016
  • 2.
    II Deakin Univeristy Faculty ofHealth, Medicine, Nursing and Behavioural Science School of Medicine Student’s certifications I am the author of thesis entitled: A new target to reduce Helicobacter pylori infection Submitted for the degree of: Bachelor of Health and Medical Science (Honours) And I agree to grant the Honours coordinators of the School of Medicine permission to make this thesis available for loan or photocopying, in whole and in part. Signed: Alexia Bosancic Date: 10/10/2016 Name: Alexia Bosancic Student ID Number: 213285304 Word Count: 12, 091
  • 3.
    III Acknowledgements First and foremost,I would like to thank my supervisor Dr Melanie Thompson, for giving me this opportunity. Throughout this entire year, you have incessantly encouraged and supported me during all the highs and the lows. In this short amount of time, you have taught me a lifetime worth of knowledge and never once doubted my intelligence and capabilities. I’m excited to see what the future holds as this chapter closes and the next with you has my lifelong mentor. Additionally, I would like to thank my co-supervisors, Dr Tamsyn Crowley and Dr Sarah Shigdar for assisting me through this project and providing knowledge within your fields. Thank you to Associate Professor Richard Ferrero (Hudson Institute) for proving the Hp-SS1 WT samples, Dr Henry Windle (Trinity College, Dublin) for providing the plasmid constructs and Teisa Holani for constructing the IROMP mutants. Thank you to the GCEID team, Jason Hodge, Carly Botheras, Saad Maymand, Darcie Cooper and Christine Roder for all the encouragement and help throughout the entire year. Thank you to my mother, Edita who was my focal motivation for applying to undertake this project and complete honours. Since I was little I have watched you suffer from gastric ulcer diseased caused by a refractory strain of Hp and wanted to find a cure.
  • 4.
    IV Although I didn’tget too close, I hope I have contributed to maybe one day eradicating this infection. You have been my rock and couldn’t have got this far without you. Thank you for dealing my mood swings and stress and never giving up on me. Thank you to my dad, Peter and my sister, Xenia. The support and assistance you have provided with every respect I required to complete my thesis is immeasurable and I will forever be grateful to you both. Thank you to my best friend Sam, for making sure I would take regularly breaks and consoling me throughout my meltdowns. You have continuously encouraged me throughout this year and have had a major influence on my success of this degree. I am so grateful for you and your family. Finally, I would like to thank my boyfriend Dylan. As I have been more than intolerable this year with all the pressure of honours, I am grateful you were there beside me throughout one of the most challenging years. You are one of the reasons I stayed motivated and put everything into this, even in times of doubt. Thank-you for everything.
  • 5.
    V Table of contents AcknowledgementsIII Table of contents V List of figures VIII List of tables X List of abbreviations XI Abstract 2 Chapter 1 : Introduction 5 1.1. Clinical Significance 5 1.2. Prevalence and epidemiology 7 1.3 Helicobacter pylori: The microbiology 9 1.4. Current Treatments and Failures 12 1. 4. 1 The misuse of antibiotics and the spread of resistant pathogens 13 1. 4. 2 Overcoming the ‘superbug’ 15 1. 5 Aptamers 17 1. 5. 1 The current clinical uses of aptamers 19 1. 5. 2 New uses – Antimicrobial aptamers? 22 1. 6 Rationale and aims 23 Chapter 2 : Materials and Methods 26 2.1 Computational analysis of the iron regulating proteins of Hp–SS1 and the Helicobacter species. 26 2.1.1 Phylogenetic investigation of iron regulating proteins of Hp-SS1 and the Helicobacter species 26 2.1.2 Sequence alignments of the IROMPs and related regulatory proteins 27 2.1.3 Visualisation of phylogenetic tree 28 2.1.4 Identification of protein-protein interactions 29 2.1.5 Generation of sequence logo 29 2.2 Bacterial Strains and routine cultures 30 2.2.1 Preparation of 10% HB + CAB + Dent 31 2.3 Hp-SS1 – Rapid diagnostic test: Stuart’s Urease Reagent 32 2.3.1 Preparation of Stuarts urease reagent 32 2.3.2. Urease test 33
  • 6.
    VI 2.4 Purification ofHp-SS1 WT and mutant DNA 33 2.5 Quantification and assessment of DNA concentration 34 2.6 Selection of Kanamycin resistance 34 2.6.1 Concentration calculation for 25μg/mL Kan in 500mL of media 35 2.6.2 Preparation of 10% HB + Dent + 25μg/mL Kan 35 2.7 Confirmation of Helicobacter genus 35 2.7.1 Calculations for 100μM oligonucleotide stocks 35 2.7.2 Preparation of primer stocks (100μM) 36 2.7.3 Oligonucleotides used to detect the Helicobacter genus 36 2.8 Confirmation of fecA1, fecA2 and frpB1 KanR mutant knockouts 36 2.8.1 Oligonucleotides used to detect ΔIROMP knockouts 37 2.9 Polymerase Chain Reaction (PCR) 37 2.10 Separation of PCR products via gel electrophoresis 38 2.10.1 Preparation of 5M NaOH 38 2.10.2 Preparation of 0.5M EDTA (pH 8.0) 38 2.10.3 Preparation of 5X Tris Base/Boric Acid/ EDTA (TBE) 39 2.10.4 Preparation and dilution calculation for 5X TBE to 0.5X TBE 39 2.10.5 Preparation of 1% Agarose gel 40 2.10.6 Separation and analyses of Hp-SS1 DNA 40 2.11 Natural Transformation of Hp-SS1 42 2.11.1 ΔIROMP-interrupted gene plasmids of Hp-SS1 42 2.11.2 Dilution calculation for 7% FBS for 500mL media 42 2.11.3 Preparation of BB + 7% FBS 43 2.11.4 Preparation of 50mg/mL Kanamycin (1000X) 43 2.11.5 Calculations for 50mg/mL to 25μg/mL Kanamycin 43 2.11.6 Preparation of 10% HB + 25μg/mL Kan 44 2.11.7 Liquid method of natural transformation 44 2.12 Preparation for SELEX 46 2.12.1 Generation of the randomised library and primers 46 Chapter 3 : Results 47 3.1 Shared functions, co-occurrence and conserved elements amongst the Helicobacter species and of the Hp-SS1 IROMPs in question 47 3.1.1 Phylogenetic analysis of iron regulating proteins in Proteobacteria and most common to the Helicobacter species 47 3.1.2 Protein-protein interactions of the IROMPs of Hp-SS1 regulated by the fur gene 55 3.2 Isolation of Hp-SS1 WT and ΔIROMP clones 62
  • 7.
    VII 3.3 PCR confirmationof Hp-SS1 ΔIROMP clones 64 3.3.1 Confirmation of the Helicobacter species 64 3.3.2 Expected and resulting products of the isolated HpSS1 WT and ΔIROMP clones 66 3.4 Natural transformation of Hp-SS1 74 3.5 Preparation for the SELEX technique 75 3.5.1 Generation of randomised library and primers 75 Chapter 4 : Discussion 76 4.1 Interpretation of the results with the association of the literature 76 4.2 Strengths and Limitations 89 4.3 Clinical Relevance 90 4.4 Future Direction 91 4.5 Conclusions 92 References 93
  • 8.
    VIII List of figures Figure1.1 The localisation of Hp. 5 Figure 1.2 Adapted from Peek (2008) demonstrating the variation of clinical outcomes dependent on the colonisation of Hp and its location within the gastric mucosa3 . 6 Figure 1.3 The global prevalence of Hp infection (%), adapted from the reflux centre (2015) 7 . 8 Figure 1.4 A depiction of the spiral-shaped pathogen, Helicobacter pylori. 9 Figure 1.5 The expression of IROMPs in varying conditions of iron, regulated by fur. 11 Figure 1.6 The current therapy for Hp eradication. 12 Figure 1.7 The acquirement, misuse and the spread of antibiotic resistance, adapted from centres for disease control and prevention (2015). 14 Figure 1.8 The schematic representation of aptamer drug conjugation (ApDC), adapted from Sun et al (2014). 18 Figure 2.1 Expected PCR results, demonstrating the order and content of each reaction. 41 Figure 2.2 Liquid method of natural transofmration of Hp–SS1 WT. 45 Figure 3.1 Phylum to genus analysis of common iron-regulating proteins. 48 Figure 3.2 Sequence alignment of the Ferric uptake regulator (fur) amongst the Helicobacter species. 50 Figure 3.3 The phylogenetic tree to scale (0.1), revealing the branch lengths or genetic distance of the Helicobacter species fur gene. 52 Figure 3.4 Phylogenetic analysis revealing the bootstrap levels between each node of the differing 24 Helicobacter fur genes. 54
  • 9.
    IX Figure 3.5 Theessential interactions between the proteins expressed that function in iron homeostasis and are further regulated by fur. 56 Figure 3.6 The protein-protein interactions of the target IROMPs of Hp J99. 59 Figure 3.7 Analysis of the promoter regions of fecA1, fecA2, frpB1 and fur genes specific to Hp. 60 Figure 3.8 PCR amplification of Hp-SS1 WT and ΔIROMP KanR knockouts displayed on 1% agarose gel. 65 Figure 3.9 Insertion via homologous recombination of the KanR resistance cassette (aphA3 gene) into fecA1 of Hp-SS1. 67 Figure 3.10 Insertion via homologous recombination of the KanR resistance cassette (aphA3 gene) into fecA2 of Hp-SS1. 69 Figure 3.11 Insertion via homologous recombination of the KanR resistance cassette (aphA3 gene) into frpB1 of Hp-SS1. 71 Figure 3.12 Further attempts to attain expected fragments of all isolated Hp-SS1 WT and ΔIROMP KanR clones. 73 Figure 4.1 The consequences of single and double crossover events due to errors in homologous recombination (HR). 85 Figure 4.2 A schematic of the cell-SELEX method to target fecA1, fecA2 and frpB1 of Hp-SS1 88
  • 10.
    X List of tables Table1.1 The various uses of aptamers 21 Table 2.1 List of genes analysed in this study. 26 Table 2.2 List of Helicobacter species evaluated in this study 28 Table 2.3 List of reagents supplemented with the weights (g) to yield a final volume of 500mLs Stuart’s urease reagent. 32 Table 2.4 Genus-specific 16S rRNA oligonucleotides used in this experiment. 36 Table 2.5 Gene-specific oligonucleotides used in this study. 37 Table 2.6 Hp-SS1 ΔIROMP–interrupted gene plasmids used in this study. 42 Table 3.1 Complimentary data derived from the interactions of the iron regulating proteins of Hp-J99, indicating the confidence of each connection. 57 Table 3.2 Results from selective cultures of Hp-SS1 WT and ΔIROMP clones attained throughout this investigation. 63 Table 3.3 Results of natural transformation of Hp-SS1 via the liquid method. 74 Table 3.4 Forward and reverse primers randomly generated and selected for the SELEX technique. 75
  • 11.
    XI List of abbreviations °C Δ AGS ApDC BB BLAST Bp C1 C2 C19H14O5S CAB CAS9 CH4N2O CO2 CRISPR DNA DSB dsDNA EDTA EMBL-EBI ENA FBS Fur g DegreesCelsius Mutant Atmosphere Generation System Aptamer-drug conjugation Brucella Broth Basic Local Alignment Search Tool Base pairs Concentration 1 Concentration 2 Phenol Red Columbia Agar Base CRISPR-associated protein-9 nuclease Urea Carbon Dioxide Clustered Regularly Interspaced Short Palindromic Repeats Deoxyribonucleic Acid Double strand break Double stranded DNA Ethylenediaminetetraacetic Acid European Molecular Biology Laboratory- European Bioinformatics Institute European nucleotide archive Foetal Bovine Serum Ferric uptake regulator Gram
  • 12.
    XII g (RCF) GI H2O HBA HB Hons Hp HPLC Hp-SS1 HR IDA IROMPs iTOL KanR L mg/mL MHB MIC MIT mL MRSA N2 Na2HPO4 NaH2PO4 NaN3 NaOH Relative centrifugalforce Water Gastrointestinal Horse blood agar defibrinated Horse blood Honours Helicobacter pylori High-performance liquid chromatography Helicobacter pylori- Sydney Strain 1 Homologous recombination Iron deficiency anaemia Iron-responsive Outer Membrane Proteins Interactive Tree of Life Kanamycin Resistant Litre Milligrams per millilitre Mueller-Hinton Broth Minimum inhibitory concentration Massachusetts Institute of Technology Millilitre Methicillin resistant Staphylococcus aureus Nitrogen gas Sodium phosphate dibasic Sodium phosphate monobasic Sodium azide Sodium Hydroxide
  • 13.
    1 NCBI NGS ng/μL nM O2 OD600nm OMP PCR pH PPI Refseq rpm rRNA SELEX TBE Tm μg μg/mL μM μL V V1 V2 vol/vol wt/vol WT X National Centre forBiotechnology Information Next generation sequencing Nanograms per microliter Nanometer Oxygen Optical density measured at a wavelength of 600nm Outer membrane protein Polymerase Chain Reaction Potential of Hydrogen Proton pump inhibitor Reference Sequence Revolutions per minute Ribosomal Ribonucleic Acid Systemic evolution of ligands by exponential enrichment Tris base/ Boric acid/ EDTA Melting temperature Microgram Micrograms per microliter Micromolar Microlitre Volts Volume 1 Volume 2 Volume per volume Weight per volume Wild-type Times
  • 14.
    2 Abstract Helicobacter pylori (Hp)infection is prevalent in 50% of the global population and is deemed one of the leading causes of gastrointestinal disorders. Low socioeconomic regions with poor sanitation, crowded living conditions and limited access to health care facilities are risk factors that correlate to the incidence of Hp, infecting up to 80% of those living in developing countries. Hp infection leads to gastritis and a fraction of those colonised will later develop peptic ulcer disease, Mucosa Associated Lymphoid Tissue (MALT) lymphoma or gastric cancer. Certain virulence factors, such as the Cag pathogenicity island (Cag PAI) carried by certain strains of Hp have been correlated to the increased risk of developing gastric cancer. In the post-antibiotic era, common antimicrobial treatments are failing due to the emergence of ‘Superbugs’ that carry genes that enable them to resist the action of certain antibiotics. Hp has acquired such resistance to three of the commonly used antibiotics, leading to refractory infections. This has minimised success rates of eradication, causing more severe patient outcomes, urging the development of a novel therapy.
  • 15.
    3 One opportunity todevelop a novel treatment to aid H. pylori eradication involves a more direct alternative, targeting outer membrane virulence factors, while causing minimal or no side effects. Aptamers are single stranded DNA or RNA molecules that can assume a variation of structures due to their propensity to form hairpin loops and helices, and once modified, will bind to proteins and peptides with a high affinity and specificity. Furthermore, these molecules can be intercalated or functionalised with a therapeutic agent, to be internalised or delivered to the diseased cell. The Iron Responsive Outer Membrane Proteins (IROMPs) of H. pylori in particular fecA1, fecA2 and frpB, are essential virulence factors required for iron acquisition and persistence within the human host. The key principle of this project was to identify a protein essential to Hp that would be suitable for as target for aptamer based therapies. Aim 1 was to analyze the IROMPs and other major proteins of iron-regulation within the Proteobacteria’s and more specifically, Hp. Using a bioinformatics approach, the phylogenetic analysis of key proteins in iron-regulation demonstrated a large portion of those common amongst the phyla. The IROMPs of interest were confirmed to be specific to Hp and were implicated in fur-dependent regulation, the central control of this process. In turn, inhibiting these proteins could cause detriment to Hp. Aim 2 involved the verification of the IROMP-interrupted kanamycin resistant clones, required for negative selection of SELEX. Confirmation of these knockouts could not be obtained, requiring further experimentation.
  • 16.
    4 Aim 3 involvedthe SELEX technique to derive an aptamer that selects for fecA1, fecA2 and frpB1 in Hp. As major component of this method could not be obtained within the time frame the process could not be ensued. Due to the major role of the IROMPs in maintaining a functional level of iron within this cell, displayed qualities suitable for this targeted therapy. In turn, this study demonstrated a ‘proof of principle’, an accurate process to identify outer membrane virulence proteins in other disease-causing pathogens to derive specific aptamers that potentially, can form the basis of novel antimicrobials.
  • 17.
    5 Chapter 1 :Introduction 1.1. Clinical Significance Helicobacter pylori (Hp) is a leading cause of gastrointestinal disorders due to its localisation within the mucosal later of the gastric epithelium1 (Figure 1.1). Virulence factors of Hp are comprised of cunning mechanisms that aid Hp to persist within the host. For example, urease, an enzyme secreted by Hp that breaks down urea to ammonia, forming a protective barrier from the harsh environment of the stomach1 . Figure 1.1 The localisation of Hp. As Hp colonises the mucosal layer of the gastric epithelium, causing inflammation weakening the mucosa of the stomach, predisposing into various clinical outcomes, like ulcers.
  • 18.
    6 The association betweenHp and gastrointestinal disorders is indicative of its clinical significance, as severe conditions i.e. gastric and duodenal ulcers, gastric cancer and mucosa-associated lymphoid tissue (MALT) lymphoma, can be secondary to the presence of this pathogen. In addition, the pathophysiology is dependant on the positioning within the stomach2 . Figure 1.2 Adapted from Peek (2008) demonstrating the variation of clinical outcomes dependent on the colonisation of Hp and its location within the gastric mucosa3 . a) An antral predominant infection induces gastritis of lower part of stomach causing the hyper secretion of acid that result in site-specific ulceration. b) The body predominant infection produces inflammation of the mucosal lining of the entire stomach causing gastric atrophies that can lead to more severe clinical outcomes e.g. cancers. Colonisation with Hp may be asymptomatic or lead to varying degrees of dyspepsia2 . Chronic infection can progress to atrophic gastritis or inflammation of the stomach2 , in addition to, iron-deficiency and anaemia4 .
  • 19.
    7 Further complications arisefrom damage to the gastric epithelium that may cause bleeding, peritonitis and leakage of the stomach contents2 . The over secretion of acid is characteristic to an antral-predominant infection of Hp (Figure 1.1a) thus, prompting conditions of pre-pyloric and duodenal ulceration2 . The colonisation of the entire body of the stomach (Figure 1.1b) instigates gastric atrophy that can later lead to ulceration, adenocarcinomas and (MALT) lymphoma2 . The world health organisation (WHO) has identified Hp as a ‘group 1 (definite carcinogen)’5 and accordingly, the occurrence of severe ailments progressing to gastric cancers indicate the need for eradication from the human host. 1.2. Prevalence and epidemiology While Hp infects more than 50% of the population, the incidence varies on a global scale6 (Figure 1.2). The infection is common however, more prevalent within developing countries6 . Previous studies suggest that the infection is acquired in childhood or early in life6 . The correlation between Hp and socio-economic status is a determinant of the risk of infection. In developing countries, carriage is associated with low income, overcrowded & rural living conditions, poor sanitation and minimal access to health care8 . In westernised or developed countries, the improved standard of living contributes to the decreased incidence of Hp infection however, in isolated areas of increased prevalence, immigration is thought to be responsible8 .
  • 20.
    8 Figure 1.3 Theglobal prevalence of Hp infection (%), adapted from the reflux centre (2015)7 . The incidence of Hp increases in developing countries, as up to 80% of those living in regions of low socio-economic status, e.g. parts of Africa and Asia are infected. In developed countries such as, Australia, approximately 50% of the population is infected with Hp. Recent epidemiologic studies have provided evidence of increased Hp prevalence amongst Australia’s indigenous population9 . The infection is as common in these individuals as it is in developing countries as they reside in remote parts of Australia9 . The investigation found that 91% of the indigenous population were carrying Hp and the cause of this rate is most likely as of their location, low-socio-economic status and poor sanitary conditions9 . Interpersonal contact is presumed to be the route of spread although; the transmission remains unknown6 .
  • 21.
    9 1.3 Helicobacter pylori:The microbiology Helicobacter pylori (Hp) is a gram-negative bacterium that is further classified as a curved rod10 . A spiral or helical form is characteristic to the organism, including 5-8 polar-sheathed flagella found at one end11-12 . H. pylori is microaerophillic, necessitating a reduced amount of oxygen than found in the atmosphere for growth10 . Various enzymes such as, Hydrogenase, Urease, Catalase and Oxidase facilitate Hp colonisation in the harsh environment of the gastric epithelium10 . Following secretion, these virulence factors promote an array of functions that range from, the colonisation, damage to the gastric epithelium and the provision of crucial metabolic substrates13 . Figure 1.4 A depiction of the spiral-shaped pathogen, Helicobacter pylori. The 5- 8 clusters of polar-sheathed flagella provide motility, and aids colonisation within the mucosal layer of the gastric epithelium14 . Some strains contain additional virulence factors and are more likely to cause severe clinical outcomes15 . The Vacuolating cytotoxin A (VacA) is a key protein that is internalised into host cells, accumulating large vesicles16 .
  • 22.
    10 In addition, theCag pathogenicity island (Cag PAI), a well-defined virulence determinant, functions to encode the Cytotoxin-associated gene A (CagA) as well as, the type IV secretion apparatus which when assembled, facilitates injection of CagA toxins into host cells17 . Subsequently, these molecules are causative of actin remodelling, Interleukin-8 (IL-8) driven inflammation and host cell growth/apoptosis inhibition, which helps Hp evade the host immune systems to aid persistence17 . Other virulence factors that have been identified in Hp are the collection of outer membrane proteins (OMPs), adapting independently within the host in response to changes in iron levels18 . The Iron-responsive outer membrane proteins (IROMPs) are a central focus of analysis for this project, in particular, the fecA1, fecA2 and frpB1. As it is known, iron is crucial to all living beings, essentially operating as a co-factor for many enzymatic activities and catalysing electron transport processes19 . Iron is complexed into various forms, to prevent it reacting within the body creating damaging free radicals and oxidative stress, necessitating the ligand range of different types of IROMP’s20 . In Hp, the Ferric uptake regulator (Fur) protein is the central switch in gene expression, balancing the intracellular iron concentration21 . Depending on iron availability, Fur controls the transcription of IROMPs specific to their role in iron acquisition21 . Moreover, such proteins attain iron from distinctive sources that are demonstrated via the transport of Ferric citrate by FecA1/2 and the utilisation of haemoglobin by FrpB121 . The transfer of Ferrous iron by FeoB is an exception to this family of proteins due to their significant mechanism. This form of iron can freely pass into the cell, however, requires transport via FeoB through the cytoplasmic membrane21 .
  • 23.
    11 Figure 1.5 Theexpression of IROMPs in varying conditions of iron, regulated by fur. a) Adapted from van Villet et al (2002). In conditions of increased iron availability, ironbound fur (holo-fur) binds to the ‘fur box’ promoter region, blocking RNA polymerase (RNAP) from initiating the transcription of fecA1, fecA2 and frpB1. In conditions of low iron availability, iron-poor fur (apo-fur) is disintegrated from its dimer configuration, allowing RNAP to bind the promoter region and begin the transcription of fecA1, fecA2 and frpB119 . b) Adapted from Andrews et al (2003), demonstrating the expression of IROMPS in corresponding situations, regulated by Fur22 . When iron levels are sufficient or high, minimal IROMPS are expressed on the surface of the plasma membrane. In opposing conditions, numerous IROMPS are located on the outer membrane as fecA1, fecA2 and frpB1 are transcribed as required22 . In iron-replete conditions (Figure 1.4), fewer IROMPs are expressed23 . This results in the partial repression of iron uptake, as less IROMPs are transcribed, saving energy23 . In iron-restricted states, all IROMPs are expressed including FeoB23 . An intense upsurge of transcriptional rates of these genes and associated proteins ensues, so that iron from diverse sources is imported into the cell23 . This complex process constitutes the iron homeostasis system in Hp, to the detriment of the host, during acquisition.
  • 24.
    12 1.4. Current Treatmentsand Failures The guidelines of eradication of Hp consist of a multi-drug therapy that follows a strict combination regimen25 . A first to third line scheme is suggested, contingent on the number of eradication failures, allowing HP to persist as a refractory disease. The initial or first line treatments involve binary triple therapy options (Figure 1.5.) including, a proton pump inhibitor (PPI) that suppresses acid production and two alternative antibiotics that depend on allergy to β-lactam medications25 . Figure 1.6 The current therapy for Hp eradication. Adapted from Pinion (2011), detailing the first, second and third line strategies including multi-drug regimens of antibiotics, a proton-pump inhibitor (PPI) and in some cases Bismuth26 . If eradication is ineffective, the second-line is employed. This management option contains a triple combination, however a quadruple therapy is generally advised in response to the failure of the first line (Figure 1.5)25 . The quadruple therapy comprises a proton-pump inhibitor (PPI), two alternative antimicrobials in addition to Bismuth, a metal that acts as an antacid25 .
  • 25.
    13 A second incidenceof failure minimises the possibility of eradicating Hp and may lead to multi-drug resistant strains existing within the host. A third line alternative is offered (Figure 1.5), involving ‘empirical rescue therapy’ that is, a specific antimicrobial-based treatment formulated once ineffective combinations are identified27 . Hp has developed resistance to key treatment antibiotics, such as Clarithromycin, Metronidazole & Amoxicillin27 . In 2002, the Helicobacter pylori Antimicrobial Resistance Monitoring program (HARP) study, revealed the percentage of resistant strains to the corresponding antibiotics mentioned as 12.9%, 25.1% and 0.9% in which a yearly increase is still being reported27 . The concern is shown in more current figures, observing 56.6% of clarithromycin resistant-strains and 59.2% for metronidazole28 . The rising prevalence of Hp infection in addition to the varying success of multi-drug therapies that can lead to treatment failures urges the need for novel antimicrobials. 1. 4. 1 The misuse of antibiotics and the spread of resistant pathogens Currently, antibiotic resistance is a major problem for eradication of bacterial disease due to the continuous rise in treatment failure and hence, disease prevalence29 . Antibiotic resistance is regarded a ‘severe public health problem’ due to the absence of treatment alternatives, in the drug discovery pipeline30 . This impending public health crisis may take treatments for infectious diseases back to a pre-antibiotic era, limiting treatment options for other diseases like cancer and orthopaedic issues.
  • 26.
    14 Resistance in bacteriacan be an innately occurring and attribute to acquisition by other strains via exchange of genetic material or via mutation (Figure 1.6a). This provides an evolutionary advantage to the resistant pathogen over susceptible strains during the spread of disease (Figure 1.6b) 31 . Figure 1.7 The acquirement, misuse and the spread of antibiotic resistance, adapted from centres for disease control and prevention (2015). a) Broad- spectrum therapies, i.e. antibiotics, used to eradicate the infecting pathogen can abolish the protective microbiota within the gut. In the presence of resistant strains that outcompete the good bacteria, continue to proliferate and spread resistance genes, producing new refractory strains. b) The misuse of antibiotics in agriculture and medicine facilitate the spread of resistant pathogens throughout the general public.
  • 27.
    15 The leading causeof antibiotic resistance in bacteria is misuse, i.e. for viral infections, in human medicine and agriculture31 . The compliance and duration of the course of antibiotic treatment is another factor that contributes to this problem. 1. 4. 2 Overcoming the ‘superbug’ In the post-antibiotic era, limited options exist to overcome the increasing prevalence of Hp to resist treatment. In 2011, the second and third line treatments were introduced as alternative measures however, Hp continued to become increasingly resistant to antibiotics that were once considered definitively curative32 . Newer therapeutics have since been proposed. One suggested treatment involves sequential and salvage therapies, using a defined regimen of various antibiotics administered at precise intervals (hour/day/weeks) to minimise insufficient durations of the treatment course29 . Although this measure weakens the contribution to resistance, again, some individuals fail to respond to this treatment and only effectual in patients carrying clarithromycin-resistant strains and has limited efficacy data29 . In 2014, Markus Gerhard from the Technical University of Munich proposed the first vaccination against Hp that theoretically had the potential to overcome antibiotic resistance33 . The rationale for the vaccine arose from the comprehension of the relationship between Hp and the human host33 . Knowledge of the defence mechanisms of Hp indicated the application of the inactivated form of gamma-glutamyl transpeptidase to overcome these microbial evasion strategies33 . Typically, the protein promotes the blockade of the T-cell response of the host immune defence, upon activation33 .
  • 28.
    16 In the applicationof immunisation, the deactivated form prompts an immune response that disables the evasion strategies of Hp33 . Hypothetically this vaccine is capable however, due to insufficient funding and limited evidence and investigation in support of the introduction to this novel therapeutic, the vaccine is some way from clinical use in humans. Several previous attempts to make a sterilising vaccine for Hp have failed22 . Bio prospecting or the application of plant derivatives as curatives has also been suggested as treatment alternatives to Hp eradication. Previous studies proposed the combination of Catechins, attained from a plant-source and sialic acid, a component of milk34 . The grouping is reported to reverse cell injury and improve the restoration system through the autophagy pathway34 . Insufficient information is available on these constituents regarding side effects, efficacy and the therapeutic response hence these sources are far from a potential therapy. Another similar study, explores natural resources such as plants, probiotics and nutraceuticals as a new treatment option35 . The investigation reveals the inefficacy of this alternative, as it simply reduces bacterial levels permitting colonisation and internal destruction35 . Several antibiotic based therapies and regimens are constantly introduced, maintaining their position as the primary first line treatment in eradication therapy of Hp. These treatments have several integral complications, including the constant evolution of antibiotic resistance and the correlated unfavourable effects, the possibility of re- infection and the increasing expense of antibiotic therapy35 . Our gut bacteria that lives in a commensal relationship with the host, is also eradicated with the misuse of antibiotics, creating a route of infection for opportunistic pathogens35 .
  • 29.
    17 As part ofthe GI ecosystem, bile acid modifying microbes usually hinder the proliferation of detrimental bacteria’s (such as Clostridium difficile), are eradicated by antibiotics and permits spore germination of these bacterial pathogens35 . The problem of antibiotics is their lack of specificity as they target a cell wall common to various microbes35 . Along with antibiotic resistance and the absence of beneficial bacteria, more of these ‘Superbugs’ are outcompeting the normal flora further spreading resistance into the community35 . These factors provide an emphasis on the demand for a novel eradication therapy, exposing the gap in the literature that requires urgent action. 1. 5 Aptamers Aptamers were invented in the 1990’s and the potential of these molecules were recognised in 2007. Aptamers are synthetically produced, single-stranded DNA or RNA molecules that can bind to pre-elected targets i.e. proteins and peptides, with high affinity and specificity36 . These molecules can further take the form of numerous structures to produce helices and single-stranded loops that demonstrate the adaptability in binding to assorted targets36 . The key attribute of these molecules is their increased target selectivity37 . Furthermore, Aptamer’s interrelate and bind to their targets via physical recognition37 . The Systematic Evolution of Ligands by Exponential Enrichment (SELEX) is the process by which aptamer’s are formulated, as the nucleic acid strands begin as a random pool and during successive sequences are enriched throughout the iterative selection procedure37 .
  • 30.
    18 A primary practiceinvolving these molecules is the Aptamer-Drug conjugation (ApDC) that enables the covalent or non-covalent conjugation of aptamer sequences directly with their pre-selected drug treatment (Figure 1.7.) 37 . This results in enhanced efficacy of the therapeutic agent to target a precise location or protein on or within a cell37 . Figure 1.8 The schematic representation of aptamer drug conjugation (ApDC), adapted from Sun et al (2014). Aptamers are able to be covalently or non-covalent conjugated to a drug to directly be delivered to the diseased cell, enhancing the efficacy of these treatments. The current gold standard small molecule therapy for many different diseases like cancers and autoimmune disorders, are antibody-based therapeutics37 . Although they are highly specific and recognised as non-foreign to the host, various disadvantages of these biologically derived molecules are displayed.
  • 31.
    19 The prospective immunogenicityand high cost of these therapeutics limit the clinical applicability of this therapy as it can lead to allergies or immune inactivation in the host, favouring the use of aptamers37 . 1. 5. 1 The current clinical uses of aptamers Various aptamers have been introduced into the clinic for applications in conditions of macular degeneration, coronary artery bypass graft surgery and for several types of cancer38 . This small molecule therapy has also sparked therapeutic interest in treating Human Immunodeficiency Virus (HIV), immune modulation, haematology, Alzheimer’s disease and Diabetes37 . Research into this relatively novel therapeutic concept has inspired further investigation into their diverse capabilities as highly specific therapeutic molecules (Table 1.1.) 38 . In particular, aptamers have gained serious momentum in cancer therapies38 . Current investigation has displayed the capacity of aptamer’s to accurately differentiate between distinctive types/sub-types of cancer cells38 . This high-recognition specificity has attributed to the early diagnosis of differential forms of tumours that decreases the risk of metastatic disease38 . Aptamers have also demonstrated a targeted response to a wide-range of receptors that can be extensively modified for diagnosis of diseases and delivery of curative moieties into various types of cells38 .
  • 32.
    20 Macugen or Pegaptanibsodium is the first aptamer approved by the U.S. FDA that targets the Vascular Endothelial Growth Factor (VEGF) in macular degeneration and diabetic retinopathy and has remained a highly effective treatment and motivation of other targeted therapies38 . As underlined in Table 1.1, these small molecules can be chemically synthesised to formulate an applicable application to a broad range of disorders. The increasing versatility demonstrates the capacity to apply these molecules to diagnostic measures, biosensors and targeted treatments, conveying a positive direction in therapeutic research.
  • 33.
    21 Table 1.1 Thevarious uses of aptamers adapted from Shigdar et al (2010) 40 . The ability of these aptamers to be functionalised to target a diseased cell or part of provides vast potential for novel therapies of human disease.
  • 34.
    22 1. 5. 2New uses – Antimicrobial aptamers? The growing concern of antibiotic resistance in bacteria is adding momentum to research for clinical applications of aptamers as a novel antimicrobial. Aptamers in the microbial field remains highly new as limited research on these molecules and their action on bacterial cells have been undertaken. Of the few relevant studies in the literature, aptamers have displayed the ability to recognise Methicillin-Resistant Staphylococcus aureus (MRSA) strains40 . This is achieved through identification of membrane structures by the molecule, enabling the eradication with strain-specific antibiotics40 . In addition, investigation on Salmonella choleraesuis displayed the exciting ability of target-specific aptamer’s controlling the formation and promoting antibiotics to direct an inhibitory effect on biofilms41 . The aptamer was selected to target the flagella of S. choleraesuis to supress immediate biofilm development41 . These flagella are required for this formation and once inhibited antibiotic treatments became more effective41 . Supplementary bacterial inquiries of significance regarding the application of aptamer’s have been undertaken on Salmonella typhimurium, Staphylococcus aureus, Group A Streptococcus and Escherichia coli42 . These studies have provided strong evidence on biosensing capabilities to detect pathogens and toxins42 .
  • 35.
    23 Since the useof aptamer’s and their respective analyses has mainly remained a focus on mammalian cells, the practice of these molecules as a novel therapeutic target for Hp is yet to be attempted. Most aptamers that have been studied for bacterial eradication have been more directed to biosensing and inhibitors of virulence factors that enhance the efficacy of antibiotics. Subsequent research has yet to test for aptamers that directly kill bacteria with or without a conjugated payload, hence this is a first attempt in the area of microbiology. 1. 6 Rationale and aims The infection of Hp is estimated to effect 50% of Australia, in addition to, 91% of the indigenous population9 . This infection is significantly associated to gastrointestinal disorders causing gastritis, gastric atrophy, peptic ulcers and rare forms of cancer. The emergence of antibiotic resistance has contributed to the diminishing effects of typical antibacterials. Hp has acquired resistance to all three commonly used antibiotics with rates of up to 60% of resistant strains, reporting a yearly increase. Not only does this urge the need for a novel therapy but one that can overcome antibiotic resistance with a more direct effect. The use of aptamers display highly desirable qualities, as they can be functionalised to bind to specific cells, obstructing essential processes. Given that aptamer-based therapies for bacterial infections have yet to be investigated, this demonstrates the significance of this project.
  • 36.
    24 The rationale ofthis project is based upon the following: • The projected rates of Hp resistant strains is set to increase yearly, causing an upsurge in more serious clinical outcomes, an effective antimicrobial is urgently required. • Due to the limitations of broad-spectrum therapies causing detriment to the microbiota of the gut, analysis of the targeted therapies to demonstrate this therapeutic would be more efficacious. • The process of iron homeostasis has been demonstrated to aid in Hp colonisation and in particular, a select group of proteins that function in iron- acquisition. • The IROMPs fecA1, fecA2 and frpB1 that have demonstrated to be essential to Hp, are expressed in iron depleted levels, attaining differing sources of iron, and in the process of obstructing one or all, could prevent further colonisation. • Aptamers have demonstrated highly advantages qualities and therapeutic efficacy, especially in the field of cancer. As it is yet to be tried within the microbial field and has presented increasing potential, it could form the basis of generating new antimicrobials. This reasoning has lead to following research question that is reflected by the aims of this project: Hypothesis - Can the IROMPs (fecA1, fecA2 and frpB1) of Hp be used as a suitable target for aptamer based therapies?
  • 37.
    25 Aim 1 -To investigate the iron responsive outer membrane proteins (ΔIROMPs) (ΔfecA1, ΔfecA2 and ΔfrpB1) of Hp and the Helicobacter species in silico. Aim 2 - To validate the insertional mutagenesis of the ΔIROMP proteins (ΔfecA1, ΔfecA2 and ΔfrpB1) of Hp-SS1. Aim 3 - To generate an aptamer with a high binding affinity and specificity for the ΔIROMP’s of Hp-SS1 using the SELEX method.
  • 38.
    26 Chapter 2 :Materials and Methods 2.1 Computational analysis of the iron regulating proteins of Hp–SS1 and the Helicobacter species. 2.1.1 Phylogenetic investigation of iron regulating proteins of Hp- SS1 and the Helicobacter species To identify the gene orthologs that retained the function of iron regulation in Proteobacteria and further sub-groups, the NCBI reference sequence (refseq) protein annotations, as mentioned in Table 2.1, were run against the protein clusters43 database (https://www.ncbi.nlm.nih.gov/proteinclusters). The analysis provided the homogeny and separation between the proteins in question, by measuring the maximum alignment of comparable sequences, calculated by the Basic Local Alignment Search Tool (BLAST). Each of the outputs were collated manually to compare the range of iron-regulating genes amongst the phyla, and confirm those specific to Hp. Table 2.1 List of genes analysed in this study. The corresponding identifiers were generated by the ENA and NCBI reference sequence databases.
  • 39.
    27 2.1.2 Sequence alignmentsof the IROMPs and related regulatory proteins The Ferric uptake regulator (fur) (HPG27_401) sequence derived from H.pylori G27 in the FASTA format was run against the 23 Helicobacter species as listed in Table 2.2, in the protein database of Ensembl bacteria44 (http://bacteria.ensembl.org/index.html), developed by the European Molecular Biology Laboratory- European Bioinformatics Institute (EMBL-EBI). To generate the multiple sequence alignments, the resulting 24 FASTA sequences and the IROMP’s of interest (fecA1, fecA2 and frpB1) in addition to fur, were submitted to Clustal Omega45 (http://www.ebi.ac.uk/Tools/msa/clustalo/). The output data was visualised with Jalview 246 , for interactive editing, annotation of multiple sequence alignments and detection of the conserved 7-1-7 motif, identified as the ‘fur box’ (TAATAATnATTATTA).
  • 40.
    28 Table 2.2 Listof Helicobacter species evaluated in this study retrieved from the ENA. 2.1.3 Visualisation of phylogenetic tree The output data in FASTA format was uploaded to the Clustal W2-phlogeny web tool, and the results were visualised using the interactive Tree of Life (iTOL) v3.2.447 (http://itol.embl.de/) to observe the genetic distances of the ortholog fur genes amongst the 24 species of Helicobacter, described in Table 2.2. The fur protein of Neisseria meningitidis (AAF40662), also a global regulator of IROMPs in this species, was included as the output group for a point of comparison and reference to generate accurate conclusions.
  • 41.
    29 A subsequent treewas derived from the output data and visualised with iTOL, to identify the bootstrap values (0-100%) or the level of confidence, where a score of 100% is representative of well-supported data as the node appeared in all bootstrap replicates. 2.1.4 Identification of protein-protein interactions The functional interactions of the proteins in Table 2.1 were submitted to String v10.048 (http://string-db.org/), a database of known and projected protein-protein interactions produced from supplementary aggregated data. The output image specified node connections based on gene fusions, neighbourhoods, co-occurrence, textmining, co-expression, homology, curated databanks and experimentally determined products. The table generated, detailed the queried interactions, annotated with scores that indicated a confidence rating (i.e. 0-1), where a score of 1 is of the maximum confidence. 2.1.5 Generation of sequence logo The output data in FASTA format was uploaded to WebLogo 349 (http://weblogo.threeplusone.com/create.cgi) to generate a graphical depiction of the specified multiple sequence alignment (fecA1, fecA2, frpB1 and fur). A ‘stack’ of symbols (A, T, G, C) in each position of the sequence with differing heights defined the frequency of conservation and further highlighted the consensus sequence.
  • 42.
    30 2.2 Bacterial Strainsand routine cultures The subtype used in this study is a mouse-colonising strain that originated from a 42-year-old woman of Greek descent. The H. pylori Sydney Strain 1 (Hp-SS1) was initially described by Lee et al. (1997), providing a standardised mouse model for therapeutic development, complex screening and analyses of pathogenesis50 . The Hp-SS1 wild-type (WT) samples were donated by Associate Professor Richard Ferrero in addition, the ΔIROMP mutant kanamycin resistant (KanR ) clones, were provided Dr Melanie Thomson (School of Medicine, Deakin University) and constructed by Teisa Holani (Hons 2012). Long-term storage conditions included stocks of Hp-SS1 in 20-30% (wt/vol) glycerol (Biochemicals, Gymea, NSW) and Mueller-Hinton broth (MHB) (Bacto Laboratories Pty. Ltd., Liverpool, NSW), stored at -80°C. Frozen stocks of Hp-SS1 and mutant KanR clones were inoculated onto horse blood agar (HBA) that contained: Columbia agar base (CAB) (Oxoid, Ltd, Basingstoke, England) including 10% (vol/vol) defibrinated horse blood (HB) (Serum Australis Pty. Ltd. for Oxoid Australia Pty. Ltd., Manilla, NSW) in addition to, the selective supplement, Dent (5.0mg Vancomycin, 2.5mg Cefsulodin, 2.5mg Trimethoprim, 2.5 Amphotericin B) (Oxoid, Ltd) and incubated for 10-12 days at 37°C. Hp-SS1 and mutant ΔfecA1, ΔfecA2 and ΔfrpB1 clones were routinely cultured in three separate technical replicates. Experimentation including the application of Hp-SS1 WT and KanR mutants was conducted in the Class II Biosafety Cabinet (LAF Technologies, Pty, Ltd., Bayswater North, Victoria) to ensure maximum safety and sterility.
  • 43.
    31 To mimic themicroaerophillic condition, all solid and liquid cultures of Hp-SS1 were cultivated in the atmosphere generation system (AGS), producing a low oxygen environment by converting oxygen to carbon dioxide simultaneously. The AGS includes a sealed AneroJar® and a CampyGen® sachet (5% 02, 85% N2, 10% CO2) generating a final concentration of 5% 02, (Oxoid, Ltd, Basingstoke, England) that was replaced upon exposure to additional 02 or every 2-3 days as required. Furthermore, all cultures were incubated in a still air, thermostatically controlled incubator (Labec Incubator, Laboratory Equipment Pty. Ltd., Marrickville, NSW) at 37°C. 2.2.1 Preparation of 10% HB + CAB + Dent The selective media, referred to as 10% HB + Dent, provided optimal growth conditions for the cultivation of Hp-SS1 WT and KanR mutant clones. The preparation comprised of CAB with 10% (vol/vol) HB and supplemented with Dent. CAB in addition to, other media bases, were sterilised in the Pratika B20 (20L) basic autoclave (Siltex Australia, East Bentleigh, VIC) including 30 minutes of optimisation and 5 minutes of drying time at 110°C. As recommended for the primary isolation of Hp, CAB was utilised as a base for blood-containing media. The HB provides essential nutrients and serum factors such as iron, supplying the complex growth requirements of Hp and its fastidious classification. The Dent supplement includes various antibiotics that Hp is resistant to, inhibiting the growth of other microbes and antifungals, such as amphotericin, limiting potential contamination whilst directly selecting for Hp.
  • 44.
    32 Following the protocolsby Oxoid (Catalogue number: CM0331), the media was prepared, poured and dried in the Fumehood: Laminar flow workstation (AES Environmental, Pty, Ltd., Minto, NSW) to maintain a controlled and sterile environment. 2.3 Hp-SS1 – Rapid diagnostic test: Stuart’s Urease Reagent 2.3.1 Preparation of Stuarts urease reagent Preparation of the urease solution included the addition of the specified reagents listed in Table. 2.3, to 500mL of Milli-Q water (Merck Millipore, Bayswater, VIC). The mixture was filter sterilised by the Nalgene filtration product (Thermo Fisher Scientific Inc., Waltham, USA) and paired with the rocker 300DC vacuum (Rocker Scientific Co., Ltd., New Taipei City, Taiwan) to separate solid particles and maintain sterility. The solution was stored at 4°C and concealed in aluminium foil as the dim conditions inhibit spontaneous reactivity to light. Table 2.3 List of reagents supplemented with the weights (g) to yield a final volume of 500mLs Stuart’s urease reagent.
  • 45.
    33 2.3.2. Urease test Theurease test is a rapid diagnostic method utilised to differentiate Hp, on the basis of urease production. Prior to and following the conclusion of each experiment, a urease test was undertaken to detect the presence of the urease enzyme, an essential virulence factor for Hp. A positive result was used as an indirect indicator that the cultured organism was likely to be Hp. Urease Test: 1-2 colonies of Hp-SS1 WT or mutant clones were resuspended in 200μL of Stuart’s urease reagent51 . An instant colour variation from yellow (negative) to bright pink/purple (positive), indicative of the breakdown of urea to ammonia and carbon dioxide, confirmed the production of urease and hence, likely the presence of Hp-SS1. 2.4 Purification of Hp-SS1 WT and mutant DNA To attain DNA in a purified form, the DNA from the isolated colonies were extracted and stored for long-term use. The DNeasy blood and tissue kit (50) (Qiagen, Hilden, Germany) was used to purify the DNA of Hp-SS1 and mutant clones, as per the Quick start- DNA extraction protocol (Catalogue number: 69504) stated by the manufacturer. The purified stocks were stored in labelled eppendorf tubes at -20°C.
  • 46.
    34 2.5 Quantification andassessment of DNA concentration Nanodrop spectroscopy was utilised prior to the commencement of an experiment, to identify the concentration in addition to, the purity of DNA that was extracted. The Nanodrop detects the DNA concentration and calculates the absorbance reading by utilising the 0.2nm pathlength (260/280nm ratio). To measure the concentration of each purified Hp-SS1 sample, the ND_1000 Nanodrop spectrophotometer (NanoDrop Technologies Inc., Wilmington, USA) was blanked using 1.7μL of nuclease-free water (Promega, Madison, USA) to obtain a reading of 0ng/μL. The process was repeated using 1.7μL of each Hp-SS1 sample, cleaning the pedestal in-between readings. The Nanodrop connected to a desktop computer that included the complimentary software, ND_1000: V3.81 provided the DNA concentrations. 2.6 Selection of Kanamycin resistance To confirm the insertion of the kanamycin resistance cassette, Kanamycin was supplemented to the media at a final concentration of 25μg/mL. Confirmation of KanR was confirmed if Hp-SS1 was cultivated on the media. Hp-SS1 from the second culture was re-inoculated on the 10% HB + Dent + 25μg/mL Kan plates and incubated at 37°C.
  • 47.
    35 2.6.1 Concentration calculationfor 25μg/mL Kan in 500mL of media The concentration of the stock solution of Kanamycin required a dilution of 10ng/mL to 25μg/mL for 500mL of media. The calculations were as follows: C1V1 = C2V2 25μg/mL x 500mL = 10,000μg/mL x V2 V2= 12,500/10,000 = 1.25mL 2.6.2 Preparation of 10% HB + Dent + 25μg/mL Kan The 10% HB + Dent + 25μg/mL Kan was produced as per the instructions for ‘2.2.1 Preparation of 10% HB + CAB + Dent’, with the addition of 1.25mL (25μg/mL) of Kanamycin. 2.7 Confirmation of Helicobacter genus As all Helicobacter species possess a common 16S rRNA gene sequence, a set of genus specific oligo’s, as described in Table 2.4, were utilised to detect the conserved fragment as observed in Figure 2.1.C. 2.7.1 Calculations for 100μM oligonucleotide stocks As the oligonucleotide stocks were received in their dehydrated form, Milli-q water was added according to the nmoles in each tube. The calculations were as follows: Forward = 10 x 31.2μM = 312μL Reverse = 10 x 36.7μM = 367μL
  • 48.
    36 2.7.2 Preparation ofprimer stocks (100μM) To the dehydrated forward and reverse oligonucleotides, 312μL and 367μL of nuclease-free water (Promega, Madison, USA) were added, respectively. The contents were vortexed thoroughly to ensure the oligo’s were completely dissolved. The 100μM forward and reverse stocks were stored at -20°C. 2.7.3 Oligonucleotides used to detect the Helicobacter genus The 16S rRNA oligonucleotides as described in Table 2.4, designed by Dr Waleed Abu Al-Soud (Molecular Biology, University of Copenhagen, Denmark) et al, were obtained from Sigma-Aldrich Co. (Missouri, USA) and used as the target template for analysis. Table 2.4 Genus-specific 16S rRNA oligonucleotides used in this experiment. 2.8 Confirmation of fecA1, fecA2 and frpB1 KanR mutant knockouts The original cloning oligonucleotides constructed and donated by Dr Henry Windle (School of Medicine, Trinity College, Dublin) were used to confirm the insertion of KanR cassettes within the putative ΔIROMP’s in question via PCR.
  • 49.
    37 2.8.1 Oligonucleotides usedto detect ΔIROMP knockouts The oligonucleotides as described in Table 2.5, were obtained from Integrated DNA technologies (IDT) Inc., (Iowa, USA) and used for further inquiry. Table 2.5 Gene-specific oligonucleotides used in this study. 2.9 Polymerase Chain Reaction (PCR) The DNA of Hp-SS1 WT and ΔIROMP knockouts were amplified using PCR in 25μL final reactions, succeeding numerous optimisations. The reactions included: 1μL of the applicable forward and reverse oligonucleotides detailed in Table 2.4 and 2.5, 8.5μL nuclease-free water (Promega, Madison, USA), 12.5μL GoTaq® Green Master Mix (Promega, USA) and 2μL of Hp-SS1 DNA template. The negative control was prepared with 10.5μL nuclease-free water, substituting the addition of DNA to attain an equivalent reaction volume. The reactions were amplified by the Applied Biosystems™ ProFlex™ PCR system (Life Technologies Corporation, California, USA) following a set of standard parameters for each PCR cycle.
  • 50.
    38 The amplification conditionsincluded: an initial denaturation cycle at 94°C for 5 minutes, following 35 cycles of additional denaturation at 94°C for 30 seconds, annealing at 55°C for 30 seconds and extension at 72°C for 30 seconds. An extension cycle at 72°C for 10 minutes finalised the reaction. The PCR samples were stored at 4°C. 2.10 Separation of PCR products via gel electrophoresis Gel electrophoresis was used to separate and analyse the relative size of Hp-SS1 WT and ΔIROMP mutant DNA. 2.10.1 Preparation of 5M NaOH To prepare 200mL stock solution of 5M NaOH, 40g of NaOH (Sigma-Aldrich Co., Castle Hill, NSW) was added to 200mL Milli-q water and stirred thoroughly until the contents were dissolved. The solution was stored at room temperature. 2.10.2 Preparation of 0.5M EDTA (pH 8.0) To prepare 1L of 0.5 EDTA (pH 8.0), 186.1g EDTA Disodium salt dihydrate (AMRESCO Inc., Ohio, USA) was added to 800mL of Milli-q. While agitating the contents with a magnetic stirrer and measuring the pH, NaOH was added in minimal volumes and repeated until the solution reached a volume of approximately 1L or a pH of 8.0. The solution was stored at room temperature.
  • 51.
    39 2.10.3 Preparation of5X Tris Base/Boric Acid/ EDTA (TBE) To prepare a 1L solution of 5X TBE, 54g Tris, Ultra Pure base (Astral Scientific Pty. Ltd., Taren Point, NSW), 27.5g Boric acid (G-Biosciences for Geno Technology Inc., Saint Louis, USA) and 20mL of the pre-made 0.5M EDTA was added to 800mL of Milli-q water. Once the contents were completely dissolved, 200mL of Milli-q water was added to adjust the final volume to 1L. The solution was stored at room temperature. 2.10.4 Preparation and dilution calculation for 5X TBE to 0.5X TBE TBE was diluted from 5X to 0.5X, for the preparation of 1% agarose in addition to the subcell for gel electrophoresis. The calculations were as follows: C1V1 = C2V2 0.5 x 1000mL = 5 X V2 V2 = 500/5 = 100mL To prepare a 1L solution of 0.5X TBE, 100mL pre-made 5X TBE is added to 900mL of Milli-q water. The solution is stored at room temperature.
  • 52.
    40 2.10.5 Preparation of1% Agarose gel To prepare 1% Agarose gel, 1g Agarose (Bio-Rad laboratories Inc., California, USA) was added to 100mL of pre-made 5X TBE buffer and microwaved for 2 minutes at 80°C to dissolve the contents. 10μL SYBR® Safe DNA gel stain (Invitrogen for Thermo Fischer Scientific Inc., Waltham, USA) was added to the agarose solution and poured into a gel tray that contained a 20-well comb. The agarose was left to solidify for approximately 10-15 minutes. The tray including the gel were positioned into the Subcell GT (Bio-Rad laboratories Inc., California, USA), and filled with 0.5X TBE to the maximum point indicator of the cell. The comb was removed to reveal the wells. 2.10.6 Separation and analyses of Hp-SS1 DNA The PCR reactions were separated via gel electrophoresis on a 1% Agarose gel in 0.5X TBE buffer. Each well included: 8μL PCR reaction and 2μL 6X DNA loading dye (Thermo Fischer Scientific Inc., Waltham, USA) for both positive and negative samples, as specified in Figure 2.1. To determine the size of the fragments, the first and last well included: 8μL GeneRuler DNA ladder mix (50μg) (Thermo Fischer Scientific Inc., USA) and 2μL 6X DNA loading dye (Thermo Fischer Scientific Inc., USA). The samples were loaded and separated at 100V for 30-45 minutes. The gels were visualised using the ChemiDoc-It imaging system (UVP, LLC., California, USA) and the VisionWorks™ LS analysis software (UVP, LLC., USA).
  • 53.
    41 Figure 2.1 ExpectedPCR results, demonstrating the order and content of each reaction. a. The visualised fecA1 and fecA2 products, b. displayed the corresponding frpB1 products and c. presented the genus confirmation of all isolated WT and mutants.
  • 54.
    42 2.11 Natural Transformationof Hp-SS1 As H. pylori is a naturally competent bacterium, possessing the ability to absorb extracellular DNA from its surroundings, the ΔIROMP-interrupted gene plasmids as detailed in Table 2.6, were intended to be retained via homologous recombination to produce a stable genomic mutation. 2.11.1 ΔIROMP-interrupted gene plasmids of Hp-SS1 The ΔIROMP-interrupted gene plasmids as described in Table 2.6, were provided by Dr Melanie Thomson (School of Medicine, Deakin University) and constructed by Teisa Holani (Hons 2012) 53 via the liquid method of natural transformation. Table 2.6 Hp-SS1 ΔIROMP–interrupted gene plasmids used in this study. 2.11.2 Dilution calculation for 7% FBS for 500mL media The preparation of FBS was diluted from 100% stock to 7% for 500mL of media. The calculations were as follows: C1V1 = C2V2 7% x 500mL = 100% x V2 V2 = 3500/100 = 35mL
  • 55.
    43 2.11.3 Preparation ofBB + 7% FBS To prepare 500mL of BB + 7% FBS, 14g Brucella broth (BB) (BD: Bacto Laboratories, Pty. Ltd., Mount Pritchard, NSW) was added to 465mL Milli-q water and autoclaved at 110°C for 35 minutes. Once the broth cooled, 35mL (7%) HyClone® Foetal bovine serum (FBS) (Thermo Fischer Scientific Inc., Waltham, USA) was added and then stirred. The broth was stored at 4°C. 2.11.4 Preparation of 50mg/mL Kanamycin (1000X) To prepare 10mL 50mg/mL Kanamycin stock, 0.5g Kanamycin sulfate (Bio Basic Inc., Markham, Canada) was added to 10mL Milli-q water. The contents were stirred to dissolve the Kanamycin. The stock solution was stored in 1mL aliquots at -20°C. 2.11.5 Calculations for 50mg/mL to 25μg/mL Kanamycin The stock concentration of Kanamycin required a dilution of 50mg/mL to 25μg/mL for 500mL of media. The calculations were as follows: C1 V2 = C1 V2 25μg/mL x 500mL = 50,000μg/mL x V2 V2 = 12,500/50,000 =0.25mL
  • 56.
    44 2.11.6 Preparation of10% HB + 25μg/mL Kan The 10% HB + 25μg/mL Kan was prepared as per the instructions for ‘2.2.1 Preparation of 10% HB + CAB + Dent’ minus the selective supplement, Dent and the addition of 0.25mL (25/μg/mL) Kanamycin. 2.11.7 Liquid method of natural transformation Natural transformation as depicted in Figure 2.2, commenced with 2 x Hp-SS1 WT + BB + 7% FBS cultures, including solution 1, where the tip inoculated with Hp-SS1 was discarded and solution 2, incubated with the tip. At 0 hours, utilising the WPA CO8000 cell density meter (Biochrom Ltd., Cambridge, UK) the OD600nm was measured, reading 0.01 and 0.04 respectively, then incubated overnight at 37°C on 140rpm. At 16 hours the OD600nm absorbance reading was measured and the bacteria appeared to be in the log phase of growth, 10 x 1.25mL (5 x solution 1 and 5 x solution 2) was centrifuged at 4300g for 5 minutes. The supernatant was removed and the pellet was resuspended in 20μL from the 5 plasmid stocks as described in Table 2.6, in both solution 1 and 2, and incubated a 37°C for 30 minutes. The suspensions were plated onto 10% HB + Dent plates to select for Hp- SS1 and incubated for 24 hours at 37°C. The plates were scraped and re-inoculated onto 10% HB + 25μg/mL Kan and incubated at 37°C for 5 days, to select for the Hp-SS1 ΔIROMP mutant knockouts.
  • 57.
  • 58.
    46 2.12 Preparation forSELEX 2.12.1 Generation of the randomised library and primers Two random sequences of 20bp were produced using the random DNA sequence generator (http://www.faculty.ucr.edu/~mmaduro/random.htm). To evaluate the melting temperature (Tm), GC content and length, the primers were submitted to the ThermoFisher Scientific multiple primer analyser (https://www.thermofisher.com/au/en/home/brands/thermo-scientific/molecular- biology/molecular-biology-learning-center/molecular-biology-resource- library/thermo-scientific-web-tools/multiple-primer-analyzer.html), confirming that the two sequences possessed a Tm of approximately 52°C, allowing a difference of 0.5-1°C. The MFEprimer-2.0: Dimerchecker (http://biocompute.bmi.ac.cn/CZlab/MFEprimer-2.0/index.cgi/check_dimer) was used to confirm there were no primer dimers between the two generated sequences. These primers supplemented with high-performance liquid chromatography (HPLC) purification and were sent to GeneWorks (Thebarton, SA) to produce the randomised library, based on the two 20bp sequences.
  • 59.
    47 Chapter 3 :Results Aim 1: To investigate the iron responsive outer membrane proteins (ΔIROMPs) (ΔfecA1, ΔfecA2 and ΔfrpB1) of Hp and the Helicobacter species in silico. 3.1 Shared functions, co-occurrence and conserved elements amongst the Helicobacter species and of the Hp-SS1 IROMPs in question 3.1.1 Phylogenetic analysis of iron regulating proteins in Proteobacteria and most common to the Helicobacter species To assess and re-confirm the significance of iron-regulating proteins amongst the Proteobacteria and further sub-groups, a general phylogenetic inquiry was undertaken. The process of iron-regulation and the key proteins involved, were analysed against related taxonomic groups to distinguish the genes conserved further down the lineage and closer to Hp. The protein clusters database provided a set of proteins within Proteobacteria, previously allocated to a specialised group of iron-regulating genes that were conserved throughout various taxonomic groups. As revealed in Figure 3.1, feoB, tolB, exbD and exbB were present in most of the genealogy, involving various transporter and translocation functions in iron- regulation.
  • 60.
    48 The fur protein,displayed conservation through the Helicobacteraceae family and at the species level, IROMPs and siderophore-mediated transporters were tightly conserved. Figure 3.1 Phylum to genus analysis of common iron-regulating proteins. The IROMPs of interest, fecA1, fecA2 and frpB1 demonstrated conservation within the Helicobacter species and maintained the projected notion of occurrence in Hp. The elemental key regulator reported to function in the expression and repression of certain iron-acquisition proteins in varying conditions of iron availability was conserved within the Helicobacteraceae family, supporting this role in Hp.
  • 61.
    49 The IROMPs fecA1,fecA2 and frpB1 amongst other outer membrane transporter proteins, included a portion of those specific to the Helicobacter species, as demonstrated in Figure 3.1. The verification of the incidence of the IROMPs of interest in Hp ensued further analysis to utilise these proteins as a suitable target. As the fur protein had been experimentally reported to repress siderophore synthesis and through the utilisation of ferrous iron (Fe2+ ), act as a co-repressor, the conservation of fur in the Helicobacter species was additionally explored to assess it’s potential as therapeutic target. The sequence alignment of each species-specific fur protein as displayed in Figure 3.2, produced increasing evidence of their ancestral derivation. The alignment, generated by Clustal omega, demonstrated multiple analogous configurations, contributing to an estimated frequency of more than 50% similarity, revealing highly conserved regions. The relative sizes of the 24 individual fur proteins, demonstrated a common origin that ranged from a small-scale of 390bp, 450bp, 453bp (Hp-fur), 456bp, 459bp, 462bp and 480bp, with a maximum variation of 90bp that were viewed external to the conserved areas. This motivated further phylogenetic analysis, to determine the distance values between each fur gene of the differing species of Helicobacter.
  • 62.
  • 63.
    51 Following the analysisof the conserved regions of fur, a phylogenetic evaluation was undertaken to determine the evolutionary relationship amongst the 24 proteins of each Helicobacter species. In addition, the figure produced and visualised by iTOL, aimed to verify the genetic distances between these fur genes. The sequence alignment was uploaded to Clustal W2, providing a representative figure of the common ancestors of the descendants in question. A node represented each species and the genetic distances of the 24 Helicobacter fur proteins by branches, connecting node-node or node-tip. A reference group or outgroup was included as the comparative control, which satisfied the specific parameters. Neisseria meningitidis (N. meningitidis) was included due to its evolutionary relation to the ingroup, arising from the same phyla of the Proteobacteria’s however, diverging from the Betaproteobacteria class. As fur was specifically being investigated, an additional motive for selecting N. meningitidis as the point of reference was due to their utilisation of fur, as the global regulator of iron. The output data derived presented a parsimonious relationship between the Helicobacter species as observed in Figure 3.3. The phylogenetic tree was rooted at N. meningitidis to display the derivation of this ancestor in addition to, the branch lengths or values that were assumed proportional to the number of nucleotide substitutions per site. As revealed in Figure 3.3, the fur genes of the individual Helicobacter species displayed minimal to no variation e.g. H. bilis and H. trogontum, demonstrating rapid speciation of this species.
  • 64.
    52 Figure3.3Thephylogenetictreetoscale(0.1),revealingthebranchlengthsorgeneticdistanceoftheHelicobacterspeciesfurgene. Thebranchvaluesindicatethenumberofsubstitutionspersite(i.e.0.1aminoacidsubstitutionspersequenceposition)representedbythescalebar.Theextentofgenetic variationwasfurtherobservedbythelengthofthebranches,asthelengthierbranchesimpliedmoredivergencehasoccurred,asdisplayedbytheoutgroup(N.meningitidis). Asexpected,theHelicobacterspecieswerefarmorecloselypresented,observinglittletonochangeinvariousdaughterlinesduetorapidspeciation.Theparsimony,an optimalparameter,wasdemonstratedastherewerefewevolutionarydeviationsforallsequencestooriginatefromacommonancestor.Furthermore,thebranchlengthswere scoredbetween0-1,where0ismostsignificantandanyvaluegreaterthan0.8541isassumedaninfinitedistance.
  • 65.
    53 To further validatethis information, a subsequent phylogenetic analysis was produced to identify the bootstrap values or the level of confidence between each node and ultimately exclude the fur gene as a potential target. The confidence intervals were obtained by running an analysis of the output data against a random sub-set data, via the ClustalW2 web tool. Visualised using iTOL, the values derived were representative of the percentage of bootstrap replicates in which that particular node had appeared. A value of 100% demonstrated a well- supported node, as it had emerged within all replicates. Furthermore, a bootstrap value of ≥95% suggested that the topology of such node could be considered ‘correct’. As observed in Figure 3.4, the majority of nodes displayed an indefinite support for the previous distance values derived by the Clustal W2 web tool. As most of the daughter lineages displayed values of more than 95%, it could be established that theses scores were highly supported and were in fact precisely related due to rapid speciation. The outgroup, in addition to some species of Helicobacter e.g. H. winghamensis & H. apodemus, demonstrated lower values, as they failed to appear more readily within the bootstrap replicates. This could further be clarified by their increased sequence variation of the individual fur proteins, demonstrating a broader evolutionary time scale of derivation. Furthermore, as the two subsequent phylogenetic analyses provided minimal variation of the fur gene amongst the differing Helicobacter species, it could thus be excluded as a potential target to minimise the probability of potential off-target effects, as it was not specific to only H. pylori.
  • 66.
    54 Figure 3.4 Phylogeneticanalysis revealing the bootstrap levels between each node of the differing 24 Helicobacter fur genes. The phylogenetic tree demonstrated more than 50% of nodes that further presented almost indefinite support of the previous distance data derived. A confidence value of ≥95% was assumed to demonstrate well-supported data as they appeared with high frequency amongst the bootstrap replicates analysis derived from the Clustal W2 web tool. Scores that displayed percentages of ≤95% represented less confidence, in which these values were only observed in daughter lineages and the output group due to their increased variation genetically.
  • 67.
    55 3.1.2 Protein-protein interactionsof the IROMPs of Hp-SS1 regulated by the fur gene The succeeding portion of the investigation was to focus on the outer membrane proteins of Hp, and their interactions with the global regulator of iron, fur. A query of the major proteins that function in iron homeostasis within Hp and their corresponding interactions regulated via fur was undertaken utilising the String 2.0 web tool. The documented proteins of the H. pylori strain J99 (NCBI I.D: 85963), that is, the human version of the mouse-adapted strain of Hp utilised throughout this experiment, were uploaded to the String 2.0 database. This generated an illustration of the known connections amongst these proteins, that was ultimately based on the fundamental evidence of such interactions available, the confirmation of BLAST hits by means of homology, the information collated from these entries and the networks centred on their interactions and scores. As observed in Figure 3.5, the notion that fur is the global regulator of iron is maintained by its position within this depiction in addition to, the ample connections of other genes functioning in iron homeostasis. As the genes that were located on the outer membrane of Hp were of interest, fecA1, fecA2 and frpB1 were specifically investigated within this figure. The three IROMPs, displayed connections of gene co-occurrence, gene neighbourhood, co-expression, textmining and had been experimentally determined, which was additionally verified by Figure 3.5 and the associated legend. These were essential attributes to identify a suitable target, as if one or all of these were therapeutically hindered, it would disrupt the process of iron-acquisition that is vital to Hp, leading to eradication of this infection.
  • 68.
    56 Figure 3.5 Theessential interactions between the proteins expressed that function in iron homeostasis and are further regulated by fur. The illustration derived by the String 2.0 web database, supported the notion of fur as the global regulator of iron in Hp. Furthermore, the outer membrane proteins that function in iron-acquisition, fecA1, fecA2 and frpB1 demonstrated highly favourable attributes of gene neighbourhood, gene co-occurrence, co-expression and textmining, revealed by the corresponding figure legend and colour-coded connections. The validity of this illustration was complimented by tabulated data of scores of confidence between each protein-protein interaction.
  • 69.
    57 Table 3.1 Complimentarydata derived from the interactions of the iron regulating proteins of Hp-J99, indicating the confidence of each connection. The levels of confidence generated by the String 2.0 database from the evidence available regarding the corresponding protein interactions provided support of such connections. The confidence values ranged from 0-1, where a score of 1 was recognised as the highest support for these interactions. Values of ≥0.700 were considered of high confidence, which was revealed in more than 50% of queried connections.
  • 70.
    58 These scores, asdetailed in Table 3.1, were not indicative of strength or specificity of each queried connection however, they signified a measure of confidence e.g. the probability of an interaction to be supported, given the evidence available to the String database. The values ranged between 0-1, where a score of 1 denoted the highest level of confidence thus, values ≤0.500 were considered of no significance between the associated connections. As exposed in Table 3.1, 75% of these connections displayed values of varying significance (≥0.600) where, 50% of these values were considered of high- maximum confidence. Amongst these values, were the connections between the IROMPs of interest, which are displayed in bold in Table 3.1, supporting their interactions and motivating further inquiry. An individual analysis utilising the String 2.0 database, provided a subsequent illustration of only the IROMPs of interest to further assess their distinct connections. As presented in Figure 3.6, the IROMPs in question in addition to their associated connections displayed textmining and gene co-occurrence. This further validated the conception of targeting these outer membrane proteins as to obstruct iron- acquisition thus, inhibiting further colonisation of Hp. As it had been previously explored that these particular iron-acquisition proteins were essential to the colonisation of Hp and demonstrated within the Mongolian gerbil model, this notion was further authenticated bioinformatically.
  • 71.
    59 Figure 3.6 Theprotein-protein interactions of the target IROMPs of Hp J99. The subsequent analysis derived from the String 2.0 web tool further validated a strong association between the IROMPs of interest, demonstrating favourable attributes e.g. gene co-occurrence and textmining, to be therapeutically targeted. Previous analyses of the specified IROMPs, fecA1, fecA2 and frpB1, stated the presence of a ‘fur box’ promoter region, required for fur to bind and impede the expression of these iron-acquisition proteins. Derived from the extensive analysis of the promoters of these genes, the reported ‘fur box’ was expected to expose a core sequence encompassing a specific 7-1-7 motif with a dyad symmetry. Pich et al, recently demonstrated that iron-bound fur (holo-fur) binds with high affinity to a palindromic repeat (5’-TAATAATnATTATTA-3’) located in proximity of the -35 and -10 promoter elements, which further revealed fur-dependant repression of the IROMPs of interest. To confirm this notion, a sequence alignment was generated via Clustal Omega, of the three IROMPs in addition to the fur gene specific to Hp. The data visualised with Jalview, presented the expected ‘fur box’ consensus, as detected in Figure 3.7.
  • 72.
    60 Figure 3.7 Analysisof the promoter regions of fecA1, fecA2, frpB1 and fur genes specific to Hp. a) The sequence alignment computed by Clustal Omega, revealed the presence of the ‘fur box’ consensus sequence within the IROMPs of interest and fur, indicated by arrows, within the expected -35 and -10 promoter elements displayed within boxes. The fundamental site for fur-dependant regulation and more specifically, the repression of these iron-acquisition genes was identified, demonstrating the importance of these IROMPs as potential targets. b) The sequence logo generated by Weblogo 3 of the subsequent alignment, exposed differing stacks of bases, at varying heights depicting the frequency of each (the taller the base, the more frequently observed or conserved), displaying the predicted endogenous 7-1-7 motif required for holo-fur dependent regulation that further validated the anticipated occurrence.
  • 73.
    61 As observed inFigure 3.7a, analysis of the promoter regions of the three IROMPs and the fur gene specific to Hp, demonstrated the presence of the imperfect 7-1-7 inverted repeat, highlighted by arrows. The expected consensus sequence was identified 35bp upstream of the transcriptional promoter sites and the expected -10 elements, which were indicated by boxes. This investigation provided confirmation of fur-dependent regulation amongst the IROMPs in addition to, the self-regulation of fur, as it possessed the required endogenous repeat. The secondary analysis of the sequence logo generated via the Weblogo 3 tool, complimented the previous inquiry, as the projected 7-1-7 motif was observed within Figure 3.7b. The logo included stacks of varying heights that demonstrated the frequency of these bases, revealing the 5’-TAATAATnATTATTA-3’ sequence reported as the ‘fur box’. This further validated the presence of the required ‘fur box’ promoter region required for fur-dependant regulation. In addition, this evidence reinforced the significance of the IROMPs, fecA1, fecA2 and frpB1 as they were regulated by fur and if therapeutically targeted would impede iron-acquisition that would ultimately be detrimental to Hp.
  • 74.
    62 Aim 2: Tovalidate the insertional mutagenesis of the ΔIROMP proteins (ΔfecA1, ΔfecA2 and ΔfrpB1) of Hp-SS1. 3.2 Isolation of Hp-SS1 WT and ΔIROMP clones To ensue further analysis and confirm the insertion of the KanR cassette (aphA3 gene) within the specified IROMPs, it was necessary to isolate the Hp-SS1 WT and mutant IROMP clones. The samples were isolated from frozen stocks onto 10% HB + Dent and incubated within an AGS at 37°C for 10-12 days to attain optimal growth. As observed in Table 3.2 accompanied by a descriptive legend, the Hp-SS1 WT displayed heavy colonisation, in addition to, differing levels of growth observed from the various clones of the individual IROMP mutants. The growth attained was sufficient to ensue further analyses.
  • 75.
    63 Table 3.2 Resultsfrom selective cultures of Hp-SS1 WT and ΔIROMP clones attained throughout this investigation. Legend: - 0 colonies + 1-20 colonies ++ 21-40 colonies +++ 41-60 colonies ++++ 61-80 colonies +++++ 81-≥100 colonies * Fungal contamination
  • 76.
    64 The three ΔIROMPsand their respective clones that displayed growth, were re- inoculated onto 10% HB + Dent + 25μg/mL Kan, to investigate the insertion of the KanR cassette. The ΔIROMP clones, fecA1 clones 2, 3 and 5, fecA2 clones 3 and 4, and frpB1 clones 1-8 all displayed comparative levels of growth on the selective media including Kanamycin. This suggested the insertion of the KanR cassette, ensuing definitive analyses. Each sample that obtained colonisation of the Hp-SS1 WT and ΔIROMPs were purified using the DNeasy blood and tissue kit, to extract their genomic DNA for the assessment of DNA quality and for the analysis of the projected WT and mutant clones. 3.3 PCR confirmation of Hp-SS1 ΔIROMP clones 3.3.1 Confirmation of the Helicobacter species To ascertain a genus-level confirmation, the WT and mutant clones were verified via PCR and visualised on a 1% agarose gel. The genomic DNA (gDNA) of the respective WT and ΔIROMP clones were amplified by the 16s rRNA genus specific primers, H276F and H676R to observe an expected fragment of 376bp (Appendix 1). The WT and mutant IROMPs that were successfully isolated and purified were detected at the expected fragment of 376bp, displaying optimal concentrations of DNA for further experimentation, as displayed in Figure 3.8.
  • 77.
    65 Figure 3.8 PCRamplification of Hp-SS1 WT and ΔIROMP KanR knockouts displayed on 1% agarose gel. The samples that displayed sufficient colonisation were isolated and purified to attain pure gDNA. The purified products were amplified using 16s rRNA oligonucleotides, H276F and H676R to visualise an expected fragment at 376bp. The samples displayed the anticipated 376bp fragments with optimal DNA concentrations. The ΔfrpB1 clone 2 failed to be detected, in addition to ΔfecA2 clone 5, displaying a faint band however, within the expected 376bp region and could still be confirmed as the Helicobacter species. The ΔfrpB1 clone 2 failed to be detected and this sample could not be confirmed as belonging to the Helicobacter species (Figure 3.8). The ΔfecA1 clone 5 displayed a faint band however; it was still visible at the expected 376bp fragment and confirmed to be of the Helicobacter species (Figure 3.8). As these samples were the only Helicobacter species to be tested within this lab, it was further concluded that they were in fact Hp-SS1.
  • 78.
    66 3.3.2 Expected andresulting products of the isolated HpSS1 WT and ΔIROMP clones The cloning primers described in Table 2.5 used to amplify a short strand of the 2304bp WT fecA1 gene, expecting a fragment of 1159bp (1403bp-244bp), as observed in Figure 3.9a. With the insertion of the 1597bp KanR cassette, the ΔfecA1 clones were predicted to generate a band of 2756bp (1159+1597), indicative of successful transformation, as displayed in Figure 3.9b. The corresponding experimentation produced the expected 1159bp fragment for the WT fecA1 sample, which was confirmatory of Hp (Figure 3.9c) The isolated ΔfecA1 KanR clones 2, 3 and 5 failed to appear at the expected 2756 bp fragment thus, the insertion of the KanR cassette could not be detected within this gene (Figure 3.9c). In addition the ΔfecA1 clone 2 displayed a band of 1159bp, characteristic of the WT. This result was unexpected due the colonisation of Hp on plates including Kanamycin, suggesting the insertion of the KanR cassette.
  • 79.
    67 Figure 3.9 Insertionvia homologous recombination of the KanR resistance cassette (aphA3 gene) into fecA1 of Hp-SS1. a) Expected fragment of WT fecA1. The cloning primers amplified a short strand of the 2304bp fecA1 gene, expecting a confirmatory fragment of 1159bp (1403bp-244bp) to appear on the gel. b) Expected fragment of the ΔfecA1 clones. The insertion of the 1597bp KanR cassette, anticipated the appearance of a 2756bp fragment (1159+1597), validating the successful process of homologous recombination required for negative selection within the SELEX technique. c) PCR amplification of the isolated Hp-SS1 WT and fecA1 KanR clones 2, 3 and 5 displayed on 1% agarose via gel electrophoresis. The WT sample visualised in well 2 of the gel, displayed the predicted 1159bp. The ΔfecA1 clone 2 unexpectedly appeared as a WT (1159bp). In addition, ΔfecA1 clones 3 and 5 failed to appear on the gel thus, all fecA1 mutants failed to detect the expected fragment of 2756bp.
  • 80.
    68 The cloning primerspreviously mentioned, that were utilised to attain a restricted fragment of the 2364bp fecA2 gene of Hp-SS1, was expected to display a 1045bp band (1235bp-190bp) within the gel (Figure 3.10a). Following the insertion of the 1597bp KanR cassette, the ΔIROMP indicative of the successful homologous recombination was anticipated to display a band of 2642bp (1045bp+1597bp) on the gel (Figure 3.10b). The resulting analysis, confirmed the presence of the fecA2 gene of Hp-SS1, as it displayed a band of 1045bp as expected (Figure 3.10c). The isolated ΔfecA2 KanR clones 3 and 4 could not be detected on the gel, although they successful colonised on media containing Kanamycin. Again, the respective ΔIROMP KanR clones could not be included within the SELEX technique as the negative selection, as the location of the cassette remained unknown.
  • 81.
    69 Figure 3.10 Insertionvia homologous recombination of the KanR resistance cassette (aphA3 gene) into fecA2 of Hp-SS1. a) Expected fragments for WT fecA2. The cloning primers were expected to produce a 1045bp fragment indicative of the 2364bp WT fecA2 gene (1235bp-190bp). b) Expected fragment of the ΔfecA2 clones. Following the insertion of the 1597bp KanR cassette, an alternative fragment of 2642bp (1045bp+1597bp) was expected, representative of the interrupted ΔfecA2 clones. c) PCR amplification of the isolated Hp-SS1 WT and fecA2 KanR clones 3 and 4 displayed on a 1% agarose via gel electrophoresis. The WT fecA2 was observed at the appropriate size within the gel, displaying a fragment of 1045bp (1235bp+190bp). The ΔfecA2 KanR clones 3 and 4 failed to display a fragment of 2642bp (1045bp+1597bp) and the insertion of the KanR cassettes could not be verified.
  • 82.
    70 The gene specificprimers of Hp were utilised to attain a fragment of 1077bp (1396bp-319bp) indicative of the 2376bp frpB1 gene (Figure 3.11a). Following the insertion of the 1597bp KanR cassette, the ΔfrpB1 clones were predicated to observe a band of 2674bp (1077bp+1597bp), representative of the successful process of homologous recombination (Figure 3.11b). The respective analysis provided the confirmation of the WT frpB1 gene, which displayed the expected 1077bp fragment (3.11c). The ΔfrpB1 KanR clones 1-8 did not appear on the gel and therefore, the insertion of the aphA3 gene could not be detected (Figure 3.11c).
  • 83.
    71 Figure 3.11 Insertionvia homologous recombination of the KanR resistance cassette (aphA3 gene) into frpB1 of Hp-SS1. a) Expected fragments of WT frpB1. The respective cloning primers were utilised to produce a fragment of 1077bp (1396bp-319bp), indicative of the 2376bp WT frpB1 gene. b) Expected fragment of the ΔfrpB1 KanR clones. Following the insertion of the 1597bp KanR cassette, a fragment of 2674bp (1077bp+1597bp) was expected to be observed and indicative of natural transformation. c) PCR amplification of the isolated Hp-SS1 WT and frpB1 KanR clones 1-8 displayed on 1% agarose via gel electrophoresis. The WT frpB1 gene displayed the appropriate fragment of 1077bp. The ΔfrpB1 KanR clones 1-8 could not be detected as no bands appeared within the applicable lanes of the gel.
  • 84.
    72 Subsequent analysis ofvaried PCR parameters and reaction combinations were undertaken to detect the insertion of the KanR cassette within the differing ΔIROMP clones. As observed in Figure 3.12, the succeeding attempts to amplify and visualise the expected fragments indicative of the insertion of the KanR cassette within these genes had failed. The identical patterns continued to appear within each gel attempted of differing PCR parameters and reaction combinations. The Hp-SS1 WT IROMPs continued to display their respective fragments of the expected sizes (Figure 3.12a + b). The ΔIROMP KanR clones failed to be detected within each attempt (Figure 3.12a +b).
  • 85.
    73 Figure 3.12 Furtherattempts to attain expected fragments of all isolated Hp-SS1 WT and ΔIROMP KanR clones. a) The amplified fragments of fecA1 and fecA2 KanR clones, repetitively demonstrated expected WT fragments or failed to appear on the gel. b) The amplified fragments of frpB1 KanR clones 1-8, displaying the WT expected fragment.
  • 86.
    74 3.4 Natural transformationof Hp-SS1 The Hp-SS1 insertion of aphA3 within Hp-SS1 WT IROMPs was attempted to attain negative selection for SELEX, via homologous recombination of natural transformation. As observed in Table 3.3 complimented by a descriptive legend, the attempt to re- produce these clones had failed, as no growth was observed within the selective media including Kanamycin plates. This hindered further progression of deriving the IROMP-specific aptamers. Table 3.3 Results of natural transformation of Hp-SS1 via the liquid method. The attempt to re-produce the IROMP KanR knockouts failed, as no growth was observed on the selective media. Legend: - 0 colonies + 1-20 colonies ++ 21-40 colonies +++ 41-60 colonies ++++ 61-80 colonies +++++ 81-≥100 colonies * Fungal contamination
  • 87.
    75 Aim 3: Togenerate an aptamer with a high binding affinity and specificity for the ΔIROMP’s of Hp-SS1 using the SELEX method. 3.5 Preparation for the SELEX technique 3.5.1 Generation of randomised library and primers The primers consisting of two randomly generated 20bp sequences were attained as observed in Table 3.4. The primers were produced with HPLC purification that provided approximately 85% purity, that is optimal for the SELEX technique. In addition, the melting temperatures were required to be at approximately 52°C with 0.5-1°C of variation, as attained with these primers (Table 3.4). The randomise library was produced based on these primers (Table 3.4), generated by GeneWorks. Table 3.4 Forward and reverse primers randomly generated and selected for the SELEX technique. As the insertion of aphA3 within fecA1, fecA2 and frpB1 could not be detected, the process of SELEX was hindered due to the absence of negative selection.
  • 88.
    76 Chapter 4 :Discussion 4.1 Interpretation of the results with the association of the literature As the primary aim of this project was to identify a suitable target for aptamer-based therapies, the detailed analysis based on previous experimentation and the findings of these, were of increasing significance. The phylum to genus analysis of the reported genes that function in iron homeostasis in Hp motivated the exclusion of exbB, exbD, feoB and tolB as potential targets of this highly selective therapy (Figure 3.1). The novel therapeutic could cause more detriment to the human microbiome if genes that were readily observed throughout differing species were targeted54 . Yao et al (2016) recently demonstrated that not only do broad-spectrum antibiotics eradicate the infecting pathogen, they additionally decimate the beneficial bacteria of the gut microbiome, developing a variety of immune and metabolic disorders54 . The use of broad-spectrum antibiotics for gastrointestinal infections early in childhood has furthermore been associated to changes of the microbiome that have been identified as short-term risk factors of secondary infection, in addition to, obesity and celiac disease within the long term or later in life54 . This evidence motivated the selection of a more highly conserved virulence factor of Hp. As fur is the global regulator of iron, an essential process of Hp, a comprehensive investigation of this gene was ensued. Theoretically, to target a key protein of iron regulation, a process essential for colonisation would present desired effects. The analysis of fur, displayed conservation throughout the Helicobacteraceae family, in addition to, all 24 differing species of Helicobacter.
  • 89.
    77 The genus-specific investigationdemonstrated more than 50% of conserved bases within the divergent fur genes (Figure 3.2) and almost no variation between them (Figure 3.3) suggestive of rapid speciation. This promptly disqualified fur as a potential therapeutic target with the addition of supplementary information. The frequency of the fur gene within all Helicobacter species was not the only motive for exclusion. Current treatments for infectious diseases are failing due to antibiotic resistance and additionally causing detriment to beneficial bacteria that once had a protective function within the gut. As current literature regarding the investigation of novel antibacterial therapies has swayed toward alternatives to antibiotics, such as, the aforementioned-targeted therapies55 , the concept of internalising therapy within the cell of Hp became far more complex when additionally explored. There are currently numerous complications within target-based screening processes. The understanding of physical-chemical features of cell permeability remains inadequate. Further research is necessitated to identify such characteristics of functional properties within therapeutic molecules that possess the ability to penetrate and accumulate within the cells of pathogenic bacteria56 . As targeted therapies have only been proposed as of late due to the increasing prevalence of antibiotic resistance, minimal information and investigation has been pursued57 . Two independent teams led by Luciano Marraffini from The Rockefeller University and Timothy Lu from the Massachusetts Institute of Technology (MIT) both employed by CRISPR (Clustered Regularly Interspaced Short Palindromic Repeats) have developed a new method to re-sensitise resistant strains of bacteria to typical antibiotics57 .
  • 90.
    78 As most antibacterialcompounds being developed are solely concentrated on gram- positive bacteria, the gram-negative pathogens continue to be exceedingly under- addressed, motivating this novel therapeutic57 . The CRISPR-associated protein-9 nuclease (Cas9) functions to cleave double- stranded DNA (dsDNA) at the specific site of acquired or mutated sequences causing resistance thus, activating the double strand break (DSB) of the repair machinery57 . This causes chromosomal degradation, leading to bacterial cell death, restoring susceptibility of the once efficacious antibiotic57 . Further investigation of this development displayed numerous limitations, as only a limited number of cells were successfully destroyed in addition to, issues of cellular internalisation57 . This lead to the notion of targeting genetic material, e.g. sequence-specific regions of virulence proteins, that are expressed on the outer membrane of bacterial cells. Typical virulence factors that increase colonisation and persistence of the host include, adhesion, invasion, immune response inhibitors and toxins found on the outer membrane of the pathogen58 . As previously mentioned, the process of iron homeostasis is of major importance to all-living organisms and bacteria is no exception. Due to Hp’s need to regulate sufficient levels of iron, this process has been implicated in causing further detriment to the infected host via the process of iron- acquisition facilitated by outer membrane proteins. Flores (2014) demonstrated that infection of Hp caused the redistribution of free iron to the gastric epithelium, the site of colonisation, producing Iron deficiency anaemia (IDA) within the host59 . In addition, the frpB1 outer membrane protein (OMP) of Hp, displayed over expression on the cells surface when haem was the only obtainable source of iron60 .
  • 91.
    79 This identified thepresence of motifs required to bind haemoglobin or haem60 , supporting Hp as a cause of IDA. This ensued further investigation of three particular OMP’s fecA1, fecA2 and frpB1, previously implicated in iron-acquisition processes and demonstrated to be essential for the colonisation of Hp. As the presence of these IROMPs were exclusive to Hp, their interaction with fur was explored to determine the effect on the pathogen, when targeted specifically. The illustration of the combined interactions of the iron-regulating proteins, confirmed previous analyses of fur functioning as the master regulator of gene expression (Figure 3.5 and Table 3.1). In particular, the string analysis displayed the connection of gene co-occurrence, co-expression and neighbourhood between the three IROMPs of interest, in addition to, increasing scores of confidence supporting this data, indicative of a process maintained by complex regulatory mechanisms. The specific string investigation of fecA1, fecA2 and frpB1 further verified co-occurrence of these genes (Figure 3.6). Pich and Merrell (2013) demonstrated the significance of iron- related processes and the resultant ability of Hp colonisation in the presence and absence of the three IROMPs60 . Additionally, they exposed several-fur regulated genes including fecA1, fecA2 and frpB1 that were essential for colonisation within the Mongolian gerbil model of Hp infection60 , the gold standard for human gastric disease61 . This was established via the generation of a defective or mutant fur, demonstrating that colonisation was not affected by a single gene, but by the deregulation of the subsequent fur-regulated loci of these IROMPs60 . This concept remained the centre of the succeeding portion of investigation, to observe these fur- dependant regions within the three IROMPs.
  • 92.
    80 The sequence alignmentof the promoter regions of fur, fecA1, fecA2 and frpB1 confirmed the presence of this regulatory-region known as the ‘fur box’, contingent for the repression of these particular IROMPs (Figure 3.7). Pich et al (2012) identified the core sequence (5’-TAATAATnATTATTA-3’) of the ‘fur box’ and demonstrated the defects in colonisation of Hp, due to the loss of fur regulation of the aforementioned IROMPs62 . An imperfect 7-1-7 motif was identified within two highly conserved regions (Figure 3.7), the first located roughly 35bp upstream of the transcriptional promoter site and the second, in the capacity of the expected -10 elements, previously proposed by Delany et al (2002)63 . This core sequence is of preeminent significance, as it has been implicated as the site of gene expression in varying levels of iron availability. In conditions of high iron, fur is arranged in a dimer configuration and loaded with iron (holo-fur), binding to the core sequence and obstructing transcription of the IROMPs63 . Alternatively, when the levels are scarce and iron is absent from fur, the dimer configuration is dilapidated, permitting RNA polymerase to cohere to this region, initiating transcription of these genes63 . In addition, the presence of the ‘fur box’ within the fur gene exposes the capacity of self-regulation in differing conditions of iron, controlling the expression of fur- dependent genes as necessitated64 . The specified IROMPs are transcribed for the acquisition of free iron from various sources65 . The fecA1 and fecA2 genes transport iron (III)-dicitrate66 and the frpB1 gene binds haem66 , demonstrating the capacity to acquire variable sources of iron and underpinning the importance of maintaining iron homeostasis within Hp. This process evidently validates the significance of iron- regulation exposed by these intricate mechanisms that respond to the cellular stress of opposing levels iron availability.
  • 93.
    81 The specified IROMPshave an immeasurable function in the survival of Hp and retain advantageous parameters, e.g. positioned on the outer membrane and are vital to persist, for selective therapies. This demonstrates the potential of restoring the microbiome, overcoming antibiotic resistance and most importantly, eradicating the infection of Hp. Once the target was selected, the subsequent phase was to isolate and confirm the KanR knockouts of the pre-elected genes of Hp for negative selection of the SELEX technique. The isolation of Hp-SS1 demonstrated substantial growth of the WT and various ΔIROMP KanR clones however, a large portion of the ΔfecA1 and ΔfecA2 clones failed to grow (Table 3.2). As they were constructed in 2012, the leading factor of weakened viability was most likely the cause of improper laboratory practices such as, permitting the frozen stocks to thaw, which is detrimental to such samples. The isolation of each sample would have been an ideal outcome but conversely, a sufficient number of clones were attained to progress. The isolated ΔIROMP KanR clones were re-inoculated onto selective media including Kanamycin to evaluate the insertion of the KanR cassettes. Each sample resulted in comparable growth to the initial isolation (Table 3.2), supporting the insertion of the KanR cassette within the specified genes of interest. The genus-specific confirmation of the isolated Hp-SS1 WT and mutants was used as a diagnostic measure to ensure the experimentation of Hp, avoiding contaminants and negative influences.
  • 94.
    82 Once purified, thereactions including the 16s rRNA forward and reverse primers, in addition to, the corresponding DNA templates, confirmed the presence of Helicobacter species. The analysis aimed to detect a 376bp fragment, indicative of Helicobacter and as the only bacteria of this genus utilised within this particular lab, could further be verified as Hp. As observed in Figure 3.8, most of samples displayed the expected 376bp band within the gel, supporting the incidence of the Helicobacter species and more specifically Hp. Moreover, the ΔfecA1 clone 5 displayed a faint appearance, though the 376bp fragment could still be detected. In addition, ΔfrpB1 clone 2 appeared absent within the gel, leading to the investigation of the source contributing to these results. Analysis of PCR components causative of faint or lacking bands provided logical explanations. Lee at al (2012) defined the optimal procedures of gel electrophoresis underpinning errors within laboratory procedures that contribute to this display67 . In addition, the appearance of faint or absent bands was causative of insufficient quality and concentrations of DNA67 , which remained consistent with ΔfrpB1 clone 2, as nominal growth was observed and purified from this sample. The ΔfecA1 clone 5 displayed substantial growth and thus, inconsistent with this conception however, coherent with DNA degradation, causative of the faint appearance as reported by Lee68 . As these variables contributed to only a small percentage of the samples, the confirmation of the insertion of the KanR cassette was pursued.
  • 95.
    83 The utilisation ofgene-specific cloning primers facilitated the investigation and visualisation of particular fragments, indicative of WT or mutant Hp. The amplified products of Hp-SS1 fecA1, fecA2 and frpB1 WT’s, displayed the expected confirmatory fragments of 1159bp, 1045bp and 1077bp, respectively (Figures 3.9, 3.10 and 3.11). The interruption of ΔfecA1, ΔfecA2 and ΔfrpB1 clones with the 1597bp KanR or aphA3 cassette, estimated affirmative fragments of 2756bp, 2642bp and 2674bp within the corresponding gels (Figure 3.9b, 3.10b and 3.11b). Unfortunately, the mutants remained absent on the gel and consequently, the insertion of the KanR cassette failed to be detected within these genes (Figure 3.9c, 3.10c and 3.11c). Surprisingly, ΔfecA1 clone 2 appeared as a WT, presenting a band of 1159bp (Figure 3.9c). Due to this technical irregularity and resultant failures, numerous attempts to alter PCR parameters and reactions were undertaken to obtain confirmation of these mutants. Each attempt displayed patterns identical to the fragments previously attained (Figure 3.12a+b). The purified DNA products had demonstrated sufficient DNA concentrations within the majority of these samples (Figure 3.8). In addition, the isolates displayed the capacity to grow on the selective media that included Kanamycin and unexpectedly, ΔfecA1 clone 2 was confirmed to be a WT (Figure 3.9c). This excluded the possibility of experimental inaccuracies and sparked a comprehensive inquest to identify probable explanations such as, errors in homologous recombination or naturally occurring Kanamycin resistance. A review of the literature confirmed the absence of evidence and accounts of naturally occurring Kanamycin resistance in Hp and consequently, errors within the process of homologous recombination (HR) remained the most feasible rationalisation.
  • 96.
    84 Several studies havedemonstrated this notion, ascertaining the propensity of homologous recombination to be flawed. Guirouilh-Barbat et al (2014) detailed the potential faults and consequences of homologous recombination, a process that was once considered error-free69 . DNA replication during homologous transformation can promote the expression of gene conversion due to genetic mutations that cause re- arrangements, such as, deletions and translocations69 . As observed in Figure 4.1, double crossovers of the donor fragment including homologous regions for site- specific transformation, can result in alternative outcomes. In this scenario, the replication of the resistance cassette within the fecA1 gene is the expected result (Figure 4.1a), as the newly transformed gene remains functional. Mutations arising during homologous recombination may appear functional as the required region is replicated however, this can give rise to different sites as the cassette has been transcribed within another portion of the gene (Figure 4.1b). This causes the loss of primer binding sites and during confirmatory analysis can appear as though the transformation was unsuccessful69 . Single crossover events not only transform the selected region but the entire sequence of the remaining plasmid (Figure 4.1c+d) within the site of the chosen gene. This produces an extensive fragment and thus, incapable of displaying a fragment on the gel due to its size69 . Although the view concerning the success rate of homologous recombination remains divided within the literature, new evidence of errors arising within this process frequently reappears. The most simplistic explanation for the failure to detect these knockouts may be determined by the construction of the plasmids utilised for natural transofmration (Table 2.6) prior to homologous recombination. During the generation of the original plasmid construct, the primer site was most likely lost due to corruption or removal arising from various mutations previously mentioned.
  • 97.
    85 Preceding efforts todetect the insertion of the KanR cassettes within fecA1, fecA2 and frpB1 utilising identical plasmid constructs, displayed likewise complications and remained unverified62 . The precise location of the transformed KanR cassette needs to be identified to attain the confirmation of this process. A secondary attempt to attain negative selection for the SELEX technique was ensued. Figure 4.1 The consequences of single and double crossover events due to errors in homologous recombination (HR). a) The expected double crossover event. The functional double crossover during HR produces the insertion of the resistance cassette within the site-selected region of fecA1. b) The occurrence of mutations during the double crossover event. This displays the expected sequence and acquires the associated resistance however, complicates detection of the specified insertion in fecA1 due to such factors of gene conversion and loss of primer sites. c) Single crossover event of the homologous region 1 (HR1). This results in the transcription of the resistance cassette and the remainder of the plasmid, complicating detection of this process. d) The single crossover event of the homologous region 2 (HR2). The consequences display identical complications to the single crossover of HR1 however, the sequence is transcribed from HR2 following the remainder of the plasmid.
  • 98.
    86 The attempt tore-produce the IROMP KanR mutants for negative selection was a failure (Table 3.3). Following the liquid method of natural transformation and sufficient intervals of optimal incubation conditions, growth of Hp-SS1 mutant IROMPS on selective media including Kanamycin, was deficient (Table 3.3). This motivated the analysis of the natural ability of DNA uptake in Hp. Natural competence of some bacteria is the capacity to actively transport foreign DNA into the cell that is naturally transformed, altering the genotype70 . The review of corresponding literature identified Hp as one of these competent pathogens, as the occurrence of transformation is common71 . Mell and Redfield (2014) proposed complications of DNA uptake within gram-negative bacteria due to the transportation of rigid and highly charged dsDNA70 . Currently, DNA uptake and the detailed mechanics of this process is highly limited and poorly defined72 . In addition, numerous analyses of the action of natural selection in regards to natural competence remain divisive. Moore et al (2014) demonstrated that the transformation efficiency in Hp is highly variable73 . Although this pathogen has been identified as naturally competent, Hp is selective in DNA uptake and transformation. The transformation efficiency is low in the presence of increasing lengths and decreasing similarity of DNA sequences, in addition to, the initial growth phases of Hp and in deficient levels of CO2 73 . Due to the variable nature of natural transformation in Hp, the failure of re- producing these knockouts could have been causative of the suggested loss of primer binding sites within the construction of the plasmids. These constructions including the KanR cassette could have caused elongation or disruption, loosing similarity of the sequence, obstructing this process. Alternatively, the attempt of HR via natural transformation during premature growth phases, in addition to, insufficient conditions of CO2 caused by a defective AGS system could have caused the observed failure.
  • 99.
    87 Although resolutions arosefrom this analysis, the IROMP KanR mutants required for negative selection were unobtainable due to time constraints. Consequently, the SELEX method to derive the IROMP-specific aptamers could not be pursued. Preparation for the initial starting point of the SELEX method included the selection of two 20bp randomly generated primers, as observed in Table 3.4. In addition, these sequences formed the basis of the randomised DNA library, generated by GeneWorks. The cell-SELEX method consists of succeeding rounds of target binding, selection and amplification, demonstrating the significance of all portions of this process (Figure 4.2). As aptamer-based therapies are readily being investigated for various human diseases, the generation of the randomised library and primers have presented major significance. Recent analyses have demonstrated the limitations of library designs, lacking certain parameters and in turn, yielding non-specific aptamers74 . The initial library of primers usually consists of 10-15 -1016 random sequences75 . Since the randomised library is so large, in many cases, it entirely saturates the significant sequence area75 . The binding positions of transcription factors are typically <20bp long, each occupying sequence variants in which this protein is able to bind is exemplified in a large number within the randomised library75 . Consequences arise that can generally be neglected in SELEX, for example, loss of sequence variants due to chance fluctuations known as stochastic effects75 . Accordingly, these effects are not readily being taken into consideration during numerical simulations, in addition to, theoretical models of the cell-SELEX method75 . Optimal parameters have been proposed to improve binding factors, as synthetic randomly generated libraries are incompetent in reaching prerequisite qualities76 .
  • 100.
    88 Figure 4.2 Aschematic of the cell-SELEX method to target fecA1, fecA2 and frpB1 of Hp-SS1 adapted from Wu et al (2015). The randomised library is incubated with selected IROMPs and the resulting bound or unbound sequences are divided. The bound aptamers are retained for negative selection. Sequences that are bound to the control cells are washed or removed, attaining aptamers specific to the targeted IROMPs that are further amplified. One round of SELEX includes target binding, selection and amplification and several rounds are repeated. The final round of SELEX and the resulting aptamers are sequenced and monitored for therapeutic validation. The design should consist of an equal distribution of all four bases78 . This is based on the understanding of short motifs within the aptamer, normally mediating cohesion to the target molecule78 . The incidence of an equal distribution of motifs has provided evidence that it increases the sequence area, producing a higher possibility of deriving an aptamer with the desired binding properties78 .
  • 101.
    89 Recently, Blind andBlank (2014) have provided the advantages of using next generation sequencing (NGS) and bioinformatics techniques to help monitor and optimise the generation of the randomised libraries78 . Furthermore, a wide range of applications have been proposed due to the limitations of SELEX, e.g. High-fidelity SELEX74 , minimal primer and primer-free SELEX79 and the addition of primer purifications prior to the generation of randomised libraries. These processes aim to minimise the loss of desired aptamer properties to produce highly specific therapeutics. The oligonucleotides derived in this study for SELEX (Table 3.4) were supplemented with HPLC purification to eliminate truncated synthesis products and enhance purity80 . The generated library based on these primers did not undertake such testing due to time constraints and if utilised in succeeding experimentation will need to be further explored. 4.2 Strengths and Limitations Most of the available mouse models of Hp infection have demonstrated variable-poor colonisation66 . Currently, the only strain that presents high-colonising ability is Hp- SS166 and was appropriately utilised throughout this investigation. The majority of significant research experiments have employed Hp-SS1 to mimic the colonisation and pathogenesis of the human variation. This motivated the subsequent investigation to eradicate Hp infection with precision, excluding possibilities of failure, misrepresentation and inaccurate research findings.
  • 102.
    90 The major limitationof this study was the inability to confirm the insertion of the KanR cassette within the IROMPs of interest and the succeeding failure to re-produce them. As a major component of the cell-SELEX method could not be obtained within the time frame of the project, the generation of high affinity aptamers could not be ensued. Negative selection includes a cell line minus the target markers that contributes to the specificity arising from this process80 . Aptamers that show high affinity and bind to these negative cell lines are extracted, deriving only the ones that demonstrate desired qualities81 . If this process is completed without negative selection, a high probability of deriving non-specific aptamers would result. As this method is expensive and time consuming, to incorporate a negative cell line that essentially presents a 50% chance of carrying the KanR cassette within the IROMPS, would be impractical. This formed the rationalisation behind withdrawing further experimentation. 4.3 Clinical Relevance As Hp continues to evolve producing more severe clinical outcomes and refractory strains, this potential therapy demonstrates a highly efficacious method of eradication. This study has verified the importance of iron-regulation and the associated outer membrane virulence factors, detailing the impairment of Hp to colonise if the IROMPs were therapeutically targeted. In addition, it has offered an alternative approach to generate new therapies for other infections caused by strain- resistant bacteria, e.g. Methicillin resistant Staphylococcus aureus (MRSA). The increasing advantages of aptamer-based therapies have motivated their production for all sorts of human disease and particularly for cancers.
  • 103.
    91 This ideal therapyremains inadequate within the microbial field aside from few inquiries based on bio-sensing abilities. This project has filled the gap within the literature of targeting essential proteins via aptamer-based therapies that increasingly demonstrate advantages due to their highly selective qualities. 4.4 Future Direction Short-term directions include the processes of obtaining essential components to ultimately derive these aptamers. The re-production and validation of the IROMP- interrupted KanR clones is required for negative selection to progress further. In addition, an alternative direction would be to undertake whole genome sequencing for the unconfirmed knockouts to eliminate the generation of new primers and verify the insertion and location of the KanR cassette. Once negative selection is obtained, the process of cell-SELEX would be ensued to derive the aptamers specific to fecA1, fecA2 and frpB1 in Hp-SS1. Long-term objectives are focused around the therapeutic abilities of the derived aptamers. As Hp colonises the acidic conditions of the stomach, the stability of these aptamers including their capacity to remain functional in comparable states will need to be assessed using minimum inhibitory concentration (MIC) assays that include hydrochloric acid. Depending on the functionality of these aptamers within acidic conditions, an investigation is required to assess the therapeutic action of these molecules. This exploration will determine if the aptamer has the ability to directly impede the iron-acquisition process of the IROMPs or if they will need to be conjugated to a drug, e.g. antibiotics, to aid in this process via MIC assays.
  • 104.
    92 4.5 Conclusions This studyaimed to ensue a detailed investigation of potential therapeutic targets and in particular the IROMPs of Hp to derive an effective therapy using aptamers. The process of iron-acquisition mediated by fecA1, fecA2 and frpB1 confirmed to be a major component within iron homeostasis. In addition, these IROMPs were shown to be essential for the colonisation of Hp and if targeted would demonstrate an assured therapeutic effect. The current need for targeted therapies for infections like Hp that have emerged due to the misuse of antibiotics and the spread of resistant stains was the key motivator of this study. Not only did it provide a promising therapeutic conception for the eradication of Hp infection, it also formed a proof of principle. This process could potentially direct the production of targeted therapies using aptamers for other refractory infections. The function and efficacy of aptamer-based therapies could potentially replace antibiotics and overcome resistance as demonstrated with the eradication of Hp infection.
  • 105.
    93 References 1. McColl KEL.Helicobacter pylori infection. N Engl J Med. 2010 Apr 29; 362(17): 1597-1604. 2. DiMarino MC. MSD Manuals: Helicobacter pylori infection [Internet]. [Kenilworth]: Merck & Co; c2016. 3. Peek RM. Helicobacter pylori infection and disease: from humans to animal models. Dis Models & Mechs. 2008 Jul 01; 1(1): 50-55. 4. Monzon H, Forne M, Esteve M, Rosinach M, Loras C, Espinos JC, et al. Helicobacter pylori infection as a cause of iron deficiency anemia of unknown origin. World J Gastroenterol. 2013 Jul 14; 19(26): 4166-4171. 5. Asaka M, Sepulveda AR, Sugiyama T, Graham DV. Helicobacter pylori: Physiology & Genetics. 1st ed. Washington (DC): ASM Press; 2001. Chapter 40, Gastric Cancer; p.560. 6. Eusebi LH, Zagari RM, Bazzoli F. Epidemiology of Helicobacter pylori infection. Helicobacter. 2014 Sep; 19(1): 1-5. 7. The Helicobacter Foundation: Epidemiology [Internet]. [Perth]: The Helicobacter Foundation; c2014. 8. Talley NJ. Reflux centre: Helicobacter pylori gastritis [Internet]. [Belgrade]: Reflux centre; c2015. 9. Helicobacter pylori infection in Indigenous Australians: a serious health issue? Med J Aust. 2005; 182(5): 205-206. 10. Mehmood A, Akram M, Ahmed A, Usmanghani K, Hannan A, Mohiuddin E, et al. Helicobacter pylori: An introduction. IJABPT. 2010 Dec; 1(3): 1337- 1348.
  • 106.
    94 11. O’Rourke J,Bode G. Helicobacter pylori: Physiology & Genetics. 1st ed. Washington (DC): ASM Press; 2001. Chapter 6, Morphology & Ultrastructure; p. 140. 12. Moran P. Microbial Glycobiology: Structures, relevance & applications. 1st ed. Sydney: Elsevier; 2009. Chapter 2, Flagellar glycan structures; p.135. 13. Nilius M, Malfertheiner P. Helicobacter pylori enzymes. Ailment Pharmacol Ther. 1996 Apr; 10(1): 65-71. 14. MedicineNet [Internet]. Georgia: WebMD; c2015. Available from: http://www.medicinenet.com/helicobacter_pylori/page3.htm 15. Shiota S, Suzuki R, Yamaoka Y. The significance of virulence factors in Helicobacter pylori. J Digest Dis. 2013 Jul; 14(7): 341-349. 16. Palframan SL, Kwok T, Gabriel K. Vacuolating cytotoxin A (VacA), a key toxin for Helicobacter pylori pathogenesis. Front Cell Infect Microbiol. 2012 Jul; 12(2): 92. 17. Yong X, Tang B, Li B, Xie R, Hu C, Luo G, et al. Helicobacter pylori virulence factor CagA promotes tumorigenesis of gastric cancer via multiple signalling pathways. Cell Com Sig. 2015 Jul 11; 13(30): 111-134. 18. Oleastro M, Menard A. The role of Helicobacter pylori outer membrane proteins in adherence & pathogenesis. Biol (Basel). 2013 Sep; 2(3): 1110- 1134. 19. van Villet AHM, Stoof J, Vlasblom R, Wainwright SA, Hughes NJ, Kelly DJ, et al. The role of the Ferric Uptake Regulator (Fur) in regulation of Helicobacter pylori iron uptake. Helicobacter. 2002; 7(4): 237-244. 20. Melanie Thomson (Personal Communication) 2016.
  • 107.
    95 21. Pich OQ,Merrell DS. The ferric uptake regulator of Helicobacter pylori: a critical player in the battle for iron & colonisation of the stomach. Future Microbiol. 2013; 8(6): 1-135. 22. Andrews SC, Robinson AK, Rodriguez-Quinones F. Bacterial iron homeostasis. FEMS Micro Rev. 2003 June 01; 27(2-3): 215-237. 23. Haley KP, Gaddy J. Metalloregulation of Helicobacter pylori physiology & pathogenesis. Front Microbiol. 2015 Sep 02; 2(6): 911. 24. McColl KEL. Helicobacter pylori infection. N Engl J Med. 2010 Apr 29; 362(17): 1597-1604. 25. DiMarino MC. MSD Manuals: Helicobacter pylori infection [Internet]. [Kenilworth]: Merck & Co; c2016. 26. Pinjon E. MIMS Ireland: Eradication of Helicobacter pylori [Internet]. [Dublin]: MPI Media LTD; c2011. 27. Gisbert JP. Rescue Therapy for Helicobacter pylori Infection 2012. Gastro Research Prac. 2012; 20(1): 1-12. 28. Boltin D, Ben-Zvi H, Perets TT, Kamenestsky Z, Samra Z, Dickman R, et al. Trends in Secondary Antibiotic Resistance of Helicobacter pylori from 2007 to 2014: Has the Tide Turned? J Clin Microbiol. 2015 Feb; 52(2): 522-527. 29. Yaxley J, Chakravarty B. Helicobacter pylori eradication- an update on the latest therapies. AFP. 2014 May; 43(5): 301-305. 30. World Health Organisation: Antibiotic Resistance Fact Sheet 194 [Internet]. [Geneva]: World Health Organisation; c2016. Available from: http://www.who.int/mediacentre/factsheets/fs194/en/ 31. Hawkey PM. The origins and molecular basis of antibiotic resistance. BMJ. 1998 Sep 5; 317(7159): 657-660.
  • 108.
    96 32. Chuah Sk,Tsay FW, Hsu P, Wu DC. A new look at anti-Helicobacter pylori therapy. World J Gastroenterol. 2011 Sep 21; 17(35): 3971- 3975. 33. Technologist: Towards the first Helicobacter pylori vaccine? [Internet]. [Brussels]:EuroTech Universities; c2014. Available from: http://www.technologist.eu/towards-thefirst-helicobacter-pylori-vaccine/ 34. Yang JC, Chien CT. A new approach for the prevention and treatment of Helicobacter pylori infection via upregulation of autophagy and downregulation of apoptosis.Autophagy. 2009 Apr 01; 5(3): 413-414. 35. Ayala G, Escobedo-Hinojosa WI, Cruz-Herrera CF, Romero I. Exploring alternative treatments for Helicobacter pylori infection. World J Gastroenterol. 2014 Feb 14; 20(6): 1450-1469. 36. Theriot CM, Young VB, Bowman AA. Antibiotic-Induced Alterations of the Gut Microbiota Alter Secondary Bile Acid Production and Allow for Clostridium difficile Spore Germination and Outgrowth in the Large Intestine. mSphere. 2016 Jan 06; 1(1): 1-16. 37. Base pair technologies: What is an aptamer? [Internet]. [Pearland]: Base pair technologies; c2016. Available from: http://www.basepairbio.com/research- andpublications/what-is-an-aptamer-2/ 38. Sun H, Zhu X, Lu PY, Rosato RR, Tan W, Zu Y. Oligonucleotide Aptamers: New Tools for Targeted Cancer Therapy. Mol Ther Nucleic Acids. 2014 Aug 05; 3(182): 2078-2099. 39. Pei X, Zhang J, Liu J. Clinical applications of nucleic acid aptamers in cancer. Mol Clin Oncol. 2014 May; 2(3): 341-348.
  • 109.
    97 40. Shigdar S,Luczo J, Wei MQ, Bell R, Danks A, Liu K, et al. Aptamer Therapeutics: The 21st Century’s magic bullet of Nanomedicine. Open Conf Proc J. 2010; 1(1): 118-124. 41. Ng EWM, Shima DT, Calias P, Cunningham ET, Gyer Dr. Pegaptanib, a targeted anti-VEGF aptamer for ocular vascular disease. Nature Rev Drug Dis. 2006 Feb; 5(1): 123-132. 42. Turek D, Van Simaeys D, Johnson J, Ocsoy I, Tan W. Molecular recognition of live methicillin-resistant Staphylococcus aureus cells using DNA aptamers. World J Transl Med. 2013 Dec 21; 2(3): 67-74. 43. Tatusova T, Zaslavsky L, Fedorov B, Haddad D, Vatsan A, Ako-Adjei D, et al. The NCBI Handbook [Internet]. 2nd edition. Bethesda (MD): National Center for Biotechnology Information (US); 2014. Protein Clusters. [Cited 2016 Sep 17]. Available from: http://www.ncbi.nlm.nih.gov/books/NBK242632/ 44. Kersey PJ, Allen JE, Armean I, Boddu S, Bolt BJ, Carvalho-Silva D, et al. Ensembl Genomes 2016: more genomes, more complexity. Nucl. Acids Res. 2016 Jan 04; 44(1): 574-580. 45. Sievers F, Wilm A, Dineen D, Gibson TJ, Karplus K, Li W, et al. Fast, scalable generation of high-quality protein multiple sequence alignments using Clustal omega. Mol Syst Biol. 2001; 7(539): 1-59. 46. Waterhouse AM, Procter JB, Martin DMA, Clamp M, Barton GJ. Jalview version 2- A multiple sequence alignment editor and analysis workbench. Bioinformatics. 2009 16 Jan; 25(9): 1189-1191.
  • 110.
    98 47. Letunic I,Bork P. Interactive tree of life (iTOL) v3: an online tool for the display and annotation of phylogenetic and other trees. Nucl. Acids Res. 2016 08 Jul; 44(1): 242-245. 48. Szklarozyk D, Franceschini A, Wyder S, Forslund K, Heller D, Huerta-Cupas J, et al. String v10: Protein-protein interaction networks, integrated over the tree of life. Nucl. Acids Res. 2015 Jan; 43(1): 447-452. 49. Crooks GE, Hon G, Chandonia JM, Brenner SE. WebLogo: A sequence logo generator. Genome Research. 2004 Jan 06; 14(1): 1188-1190. 50. Lee A, O’Rourke J, De Ungria MC, Robertson B, Daskalopoulos G, Dixon MF. A standardized mouse model of Helicobacter pylori infection: introducing the Sydney strain. Gastroenterology. 1997 Apr 11; 2(4): 1386- 1397. 51. Stuart CA, Van Stratum E, Rustigian R. Further Studies on Urease Production by Proteus and Related Organisms. J. Bacteriol. 1945 May; 49(5): 437-444. 52. Holani TVO. Any old iron? Novel host iron sources utilised by the human pathogen Helicobacter pylori. (Unpublished) 2012; 1-91. 53. Yao J, Carter RA, Vuagniaux G, Barbier M, Rosch JW, Rock CO. A pathogen-selective antibiotic minimizes disturbance to the microbiome. Antimicrob. Agents Chemother. 2016 Jul 9; 60(7): 4264-4273. 54. Nigam A, Gupta D, Sharma A. Treatment of infectious disease: Beyond antibiotics. Microb research. 2014 Feb 09; 169(10): 643-651.
  • 111.
    99 55. Committee onnew directions in the study of antimicrobial therapeutics: New classes of antimicrobials [Internet]. 2st edition. Washington (DC): National Academies Press (US); 2006. Treating infectious diseases in a microbial world: Challenges for the development of new antimicrobials-rethinking the approaches. [Cited 2016 Oct 07]. Available from: https://www.ncbi.nlm.nih.gov/books/NBK19843/ 56. Yacoby I, Benhar I. Targeted antibacterial therapy. Infect Disord Drug Targets. 2007 Sep; 7(3): 221-229. 57. Parmley S. Programmable sensitivity. SciBX. 2014 Oct 23; 7(41): 1198-1202. 58. Ribet D. How bacterial pathogens colonize their hosts and invade deeper tissues. Microbes & Infect. 2015 Mar; 17(3): 173-183. 59. Flores S. The effect of Helicobacter pylori on cellular iron homeostasis (Thesis, Doctor of Philosophy). New Zealand: University of Otago; 2014. Retrieved from: http://hdl.handle.net/10523/5081 60. Carrizo-Chavez MA, Cruz-Castaneda A, Olivares-Trejo JDE. The frpB1 gene of Helicobacter pylori is regulated by iron and encodes a membrane protein capable of binding haem and haemoglobin. FEBS lett. 2012 Mar 23; 586(6): 875-879. 61. Pich OQ, Merrell DS. The ferric uptake regulator of Helicobacter pylori: a critical player in the battle for iron and colonization of the stomach. Future Microbiol. 2013 Jun; 8(6): 725-738. 62. Liang J, Ducatelle R, Pasmans F, Smet A, Haesebrouck F, Flahou B. Multilocus Sequence Typing of the Porcine and Human Gastric Pathogen Helicobacter suis. J. Clin. Microbiol. 2013 Mar 09; 51(3): 920-926.
  • 112.
    100 63. Pich OQ,Carpenter BM, Gilbreath JJ, Merrell DS. Detailed analysis of Helicobacter pylori fur-regulated promoters reveals a fur box core sequence and novel fur-regulated genes. Mol Microbiol. 2012 May 14; 84(5): 921-941. 64. Delany I, Spohn G, Pacheco AB, Ieva R, Alaimo C, Rappuoli R, et al. Autoregulation of Helicobacter pylori Fur revealed by functional analysis of the iron-binding site. Mol Microbiol. 2002 Nov; 46(4): 1107–1122. 65. Haley KP, Gaddy JA. Metalloregulation of Helicobacter pylori physiology and pathogenesis. Front Microbiol. 2015 Sep 02; 6(1): 911-915. 66. Tsugawa H, Suzuki H, Matsuzaki J, Hirata K, Hibi T. FecA1, a bacterial iron transporter, determines the survival of Helicobacter pylori in the stomach. Free Radic Biol Med. 2012 Mar 15; 52(6): 1003-1010. 67. Lee PY, Costumbrado J, Hsu CY, Kim YH. Agarose gel electrophoresis for the separation of DNA fragments. J. Vis. Exp. 2012 Apr 20; 60(1): 3923- 3929. 68. Guirouilh-Barbat J, Lambert S, Bertrand P, Lopez BS. Is homologous recombination really an error-free process? Front Genet. 2014 Jun 11; 5(1): 175-177. 69. Mell JC, Redfield RJ. Natural competence and the evolution of DNA uptake specificity. J Bacteriol. 2014 Apr; 196(8): 1471-1483. 70. Noto JM, Peek RM. Genetic manipulation of a naturally competent bacterium, Helicobacter pylori. Methods Mol Biol. 2012 Dec 14; 921(1): 51-59. 71. Zhang XS, Blaser MJ. Natural transformation of an engineered Helicobacter pylori strain deficient in type II restriction endonucleases. J Bacteriol. 2012 Jul; 194(13): 3407- 3416.
  • 113.
    101 72. Moore ME,Lam A, Bhatnagar S, Solnick JV. Environmental determinants of transformation efficiency in Helicobacter pylori. J Bacteriol. 2014 Jan; 196(2): 337-344. 73. Ouellet E, Foley JH, Conway EM, Haynes C. Hi-Fi SELEX: A high-fidelity digital-PCR based therapeutic aptamer discovery platform. Biotechnology and Bioengineering. 2015 Aug 09; 112(8): 1506-1522. 74. Djordjevic M, Sengupta AM. Quantitative modeling and data analysis of SELEX experiments. Phys. Biol. 2005 Dec 16; 3(1): 13-28. 75. Zimmermann B, Bilusic I, Lorenz C, Schroeder R. Genomic-SELEX: A discovery tool for genomic aptamers. Methods. 2010 Oct; 52(2): 125-132. 76. Wu X, Zhao Z, Bai H, Fu T, Yang C, Hu X. DNA aptamer selected against Pancreatic Ductal Adenocarcinoma for in vivo imaging and clinical tissue recognition. Theranostics. 2015; 5(9): 985-994. 77. Blind M, Blank M. Aptamer selection technology and recent advances. Mol Ther Nucleic Acids. 2015 Jan 13; 4(1): 223-227. 78. Pan W, Xin P, Clawson GA. Minimal primer and primer-free SELEX protocols for selection of aptamers from random DNA libraries. Biotechniques. 2008 Mar; 44(3): 351-360. 79. Idtdna.com: When is it important to get HPLC purification? [Internet]. Iowa: Integrated DNA technologies Inc.; c2016 [Cited 9 Oct 2016]. Available from: https://www.idtdna.com/pages/decoded/decoded-articles/ask-alex/ask- alex/2011/09/27/when-is-it-important-to-get-hplc-purification- 80. Lakhin AV, Tarantul VZ, Gening LV. Aptamer: Problems, Solutions and prospects. Acta Naturae. 2012 Dec; 5(4): 34-43.