Embed presentation
Download to read offline


















































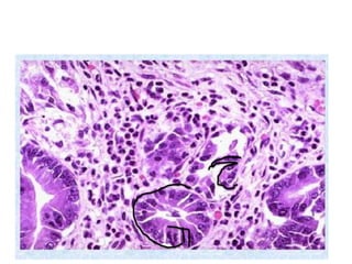
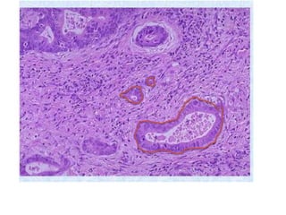
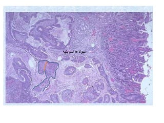
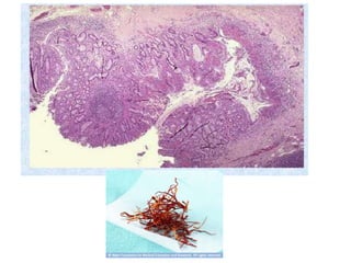
The document summarizes key aspects of liver and gallbladder anatomy and histology. It notes that hepatocytes in the liver have abundant mitochondria and are surrounded by peri-sinusoidal spaces filled with microvilli. The gallbladder stores and concentrates bile produced by the liver through absorption and secretion. The gallbladder can become inflamed or damaged due to blockage and accumulation over time.

















































