Generalised and specialised
Connective tissue
Dr kiryowa Haruna
Outline of presentation
• Definition of connective tissue
• Functions of connective tissue
• Composition of CT
• Classification of CT
• Types of CT
Definition
• A group of tissues that provide metabolic and
structural support to other tissues
• In simplest form, it provides a biological
packaging btn other tissues
• Fxns include providing a media for exchange
of nutrients, metabolites and waste products
• Others include tensile strength as in bones,
muscles, tendons and cartilages
Types of CT
• In its simplest form, it is called loose
areolar tissue and acts as a biological
packing material between cells and
different tissues
• More dense forms are for tensile strength
as in tendons and ligaments
• More rigid forms occur in bones and
cartilage
Functions of CT
• White adipose tissue: synthesis and
metabolism of fat
• Brown adipose tissue: temp. regulation
• Media for exchange of materials between
cells and tissues
• Tensile strength
• Defence
• Tissue repair
Composition of CT
• Cells: adipocytes, fibroblasts, defence
cells
• Extracellular material: ground substance,
fibres and glycoproteins
Cells of CT
• Adipocytes: Storage and metabolism of fat
• Fibroblasts: synthesis of fibres, repair and
maintainance of extracellular material
• Defence cells: mast cells, tissue
macrophages and some white blood cells
True Connective Tissue
Cells
Fibroblasts: Secrete both fibers and ground
substance of the matrix (wandering)
Macrophages: Phagocytes that develop from
Monocytes (wandering or fixed)
Plasma Cells: Antibody secreting cells that
develop from B Lymphocytes (wandering)
Mast Cells: Produce histamine that help dilate
small blood vessels in reaction to injury
(wandering)
Adipocytes: Fat cells that store triglycerides,
support, protect and insulate (fixed)
Fibers of CT
• Collagen type i
• Collagen type ii
• Collagen type iii: reticulin
• Collagen type iv
• Collagen type vii
• Elastin
Collagen
• Collagen; most abundant type of fibres in
C.T
• For tensile strength
• Secreted as tropocollagen which
polymerises to form collagen
• 11 Types occur
• Type 1: occurs in fibrous C.T of skin
dermis, tendons , ligaments and bone
fxn: for greater tensile strength
• Type 2: found in hyaline cartilage. Has fine
fibrils interspersed in ground substance
• Type 3: found in CT type called reticulin.
Has high affinity for silver salts.forms a fine
branching mesh work in highly cellular
organs like liver, spleen, bone marrow and
thymus
• Type 4: doesn’t form fibrils but a mesh work
of fibres as in basement membrane
• Type 7: forms anchoring fibers that link to
basement membranes
Elastin
• Rubber like material arranged as fibres;
Occirs in skin, lung tissue, and blood vessels
• Fxn: confers properties of stretching and
elastic recoil
• Synthesized as tropoelastin by fibroblasts
and plumerises to form elastin
• Deposition of elastin requires presence of a
structural glycoprotein fibrillin
Structural glycoprotiens
• Composed of protein bound to branched
polysaccharides molecules
Two types
• Fibril forming molecules: fibrillin and
fibronectin. These are a constituent of elastin
• Non filamentous proteins: laminin, entactin,
tenasin. Act as links between cells and
extracellular material.
• Fibrillin: found in mesangium of kidney and
elastin
• Fibronectin: controls deposition of collagen
and binding of cells to extracellular material,
also forms cytoskeleton
• Laminin: found in basement membranes.
For cell adhesion and forms links btn cell
membrane and other constituents of
extracellular matrix
• Enactin: binds laminin to type 4 collagen in
basement membranes
• Tenactin: binds integrins and is important
in the embryo in control of nerve cell
growth
Ground substance
• Gel like and is responsible for turbidity
• Consists of long unbranched polysaccharide
chains of seven types
• Polysaccharides composed of repeating units
of disaccharide molecules
• Disaccharides made of a uronic acid and an
amino sugar hence called glucosaminoglycans
• Commonest GAG is hyarulonic acid, the only
P.S with no sulfate gr
• Other GAG include; Chondrotin 4
phosphate, C-6-P, Dermatan sulfate,
Heparan sulfate, heparin sulfate, Keratan
sulfate
• These are all collectively called
proteoglycans
• Hence glycosaminoglycans are composed
of HA and proteoglycans.
Fibers of CT
TYPES OF CONNECTIVE TISSUE
1. True Connective Tissue
a. Loose Connective Tissue
b. Dense Connective Tissue
2. Supportive Connective Tissue
a. Cartilage
b. Bone
5. Liquid Connective Tissue
a. Blood
True or Proper Connective
Tissue
1. Loose Connective Tissue:
a. Areolar tissue
Widely distributed under
epithelia
b. Adipose tissue
Hypodermis, within abdomen,
breasts
c. Reticular connective tissue
Lymphoid organs such as lymph
nodes
LOOSE Connective Tissue:
1. Areolar CT
– consists of all 3 types of fibers,
several types of cells, and semi-fluid
ground substance
– found in subcutaneous layer and
mucous membranes, and around
blood vessels, nerves and organs
– function = strength, support and
elasticity
LOOSE Connective Tissue:
2. Adipose tissue
– consists of adipocytes; "signet ring"
appearing fat cells. They store energy in
the form of triglycerides (lipids).
– found in subcutaneous layer, around
organs and in the yellow marrow of long
bones
– function = supports, protects and
insulates, and serves as an energy
reserve
• White adipose tissue: found in well
nourished adults forming 25% of total
weight in females and 20% in adult males.
A source of energy, insulator and shock
absorber
• Brown adipose tissue: occurs in
hibernating animals and babies. Main
function is temperature regulation.
LOOSE Connective Tissue:
3. Reticular CT
– Consists of fine interlacing reticular
fibers and reticular cells
– Found in liver, spleen and lymph
nodes
– Function = forms the framework
(stroma) of organs and binds together
smooth muscle tissue cells
True or Proper Connective
Tissue
2. Dense Connective Tissue:
a. Dense regular connective
tissue
Tendons and ligaments
b. Dense irregular
connective tissue
Dermis of skin, submucosa of
digestive tract
Dense Connective Tissue:
• contains more numerous and
thicker fibers and far fewer cells than
loose CT
1. dense regular Connective Tissue
– consists of bundles of collagen fibers and
fibroblasts
– forms tendons, ligaments and aponeuroses
– Function = provide strong attachment
between various structures
Dense Connective Tissue:
2. Dense Irregular CT
– consists of randomly-arranged collagen
fibers and a few fibroblasts
– Found in fasciae, dermis of skin, joint
capsules, and heart valves
– Function = provide strength
Supportive Connective Tissue:
CARTILAGE:
– Jelly-like matrix (chondroitin sulfate)
containing collagen and elastic fibers and
chondrocytes surrounded by a membrane
called the perichondrium.
– Unlike other CT, cartilage has NO blood vessels
or nerves except in the perichondrium.
– The strength of cartilage is due to collagen
fibers and the resilience is due to the presence
of chondroitin sulfate.
– Chondrocytes occur within spaces in the
matrix called lacunae.
Supportive Connective
Tissue
1. Hyaline cartilage
2. Fibrocartilage
3. Elastic cartilage
Supportive Connective Tissue:
1. Hyaline Cartilage (most abundant
type)
– fine collagen fibers embedded in a gel-type
matrix. Occasional chondrocytes inside
lacunae.
– Found in embryonic skeleton, at the ends of
long bones, in the noseynx and larynx and
tracheal rings.
– Function= flexible, provides support, allows
movement at joints
Supportive Connective Tissue:
2. Fibrocartilage
• Has features intermediate between dense
CT and cartilage
• contains bundles of collagen in the matrix
that are usually more visible under
microscopy.
• Found in the pubic symphysis,
intervertebral discs, joint capsules, tendons
and menisci of the knee.
• Function = support and fusion, and absorbs
shocks.
Supportive Connective Tissue:
3. Elastic Cartilage
– threadlike network of elastic fibers within
the matrix.
– found in external ear, auditory tubes,
epiglottis.
– function = gives support, maintains shape,
allows flexibility
Bone Tissue
• A specialised type of connective tissue in
which the extracellular matrix is
mineralised
• Type of supportive connective tissue
together with cartilage
• Same compostion like connective tissue,
ie cells and extracellular matrix.
Bone Tissue: Supportive Connective
Tissue
Cells
Extracellular Matrix
Cells of Bone Tissue
Bone Tissue: Supportive
Connective Tissue
Extracellular Matrix
25% Water
25% Protein or organic matrix
95% Collagen Fibers
5% Chondroitin Sulfate
50% Crystalized Mineral Salts
Hydroxyapatite
(Calcium Phosphate)
Other substances: Lead, Gold,
Two Kinds of Bone
Compact Bone
Spongy Bone
Compact Bone
• Compact bone is arranged in units called
osteons or Haversian systems.
• Osteons (Haversian canal) contain blood
vessels, lymphatic vessels, nerves
• Surrounding this canal are concentric rings
of osteocytes along with the calcified matrix.
• Osteons are aligned in the same direction
along lines of stress. These lines can slowly
change as the stresses on the bone changes.
Histology of Bone Tissue
The Trabeculae of Spongy Bone
• Latticework of thin plates of bone called trabeculae
oriented along lines of stress
• Spaces in between these struts are filled with red
marrow where blood cells develop
• Found in ends of long bones and inside flat bones such
as the hipbones, sternum, sides of skull, and ribs.
No true Osteons.
Spongy Bone
• Spongy (cancellous) bone does not
contain osteons. It consists of trabeculae
surrounding many red marrow filled
spaces (Figure 6.3b).
• It forms most of the structure of short, flat,
and irregular bones, and the epiphyses of
long bones.
• Spongy bone tissue is light and supports
and protects the red bone marrow.
Blood
Blood is specialized connective tissue
composed of a cells suspended in a fluid
medium known as plasma. Functions
include defence, transport of
gases,hormones transport of nutrients and
waste products, heamostasis and
homeostasis.
Composition of blood
• Plasma:55%
• Cells:45%.The percentage of cells in blood
is defined as heamatocrit and normal
heamatocrit is 0.45. it is decresed in
conditions like aneamia.
Thrombocytopeania and increased in
infections.
• An adult human being has about 5 liters of
blood, an eqiuvalent of 8% of the total
weight.
• Ph of blood is 7.35 – 7.45
• Temperature is 38 degrees cent
• Viscocity is 4.5 to 5.5
Constituents of plasma by
proportion
• Water: 92%
• Plasma proteins: 7%
• Gases: 0.3%
• Ions: 0.6%
• Nutrients: 0.3%
• Waste products: 0.1%
• Clotting factors: less than 0.1%
Plasma proteins
• Constitute 7 – 9% of plasma.
• Three types: albumin, Fibrinogen and
globulins
• Albumin:( 60 – 80%) smallest in size.
Produced by the liver and serve to
maintain the osmotic pressure of blood.
• Fibrinogen (4%):produced by the liver and
play a role in blood clotting.
• Globulins 38%: three types namely alpha,
beta and gamma globulins
• Alpha and beta globulins are produced by
the liver and serve as carriers for drugs,
hormones, lipids and lipid soluble vitamis
in the body.
• Gamma globulins are produced by plasma
cells and are known as antibodies.
Blood cells
• Form 45% of blood
• Three types:red blood cells, white blood
cells and platelets
• Red blood cells are the most abundant,
4.3 to 5.2 million in adult females and 5.1
to 5.8 million in adult males
• White blood cells are about 5000 to 9000
Erythrocytes
• Most abundant cells in blood.
• Responsible for the red colour of blood.
• Flattened biconcave discs, 7.2
micrometers in diameter and 2.2
micrometers thick.
• Shape allows them to pass through even
the smallest cappillaries.
• Mature cells lack a nucleus and
mitochondria and are destroyed in liver,
spleen and bone marrow.
• Immature red blood cells are known as
reticulocytes and have a nucleus.
• Constitute less than 1% of circulating
erythrocytes.
• Can be increased in accelerated
heamolysis.
Leucocytes
Also known as white blood cells
Two main types: granulocytes and
agranulocytes
Play a role in defence
Total is 5000 – 7000 cell per cubic mm of
blood.
Granulocytes
Also known as polymorhonuclear leucocytes
because they have a mutlilobbed nucleus.
Contain granules that take up three different
types of stains.
Three types namely
a) neutrophils
b) basophils
c) eosinophils.
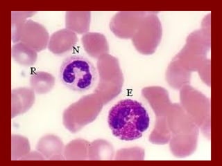
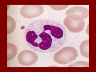
Neutrophils

Constitute 40 – 75% of all circulating blood
cells.

About 12 – 14 micrometres in diameter

Have 3 – 5 lobbed nucleus

The nucleus of females has a
characteristic bar body

Are highly phagocytic and play a role in
bacterial infections.
• Have three types of granules
• Primary granules: contain
myleperoxidases and lysosomal enzymes
• Secondary granules: contain inflammatory
mediators and complement activators
• Teritary granules: contain gelatinases
Eosinophils

Constitute 1 – 6% of all circulating
leucocytes

Have a bilobbed nucleus that stains pink

12 – 17 micrometrs in diameter

Play a role in parasitic infections and
allergies

Their granules contain histaminase,
peroxidases and lysosomal enzymes
Basophils

Have a bilobbed nucleus with a cytoplasm
that stains blue

Less than 1% of total circulating
leucocytes

Size 14 – 16 micrometers in diameter.

Play a role in phagocytosis

Their granules contain histamine
Agranulocytes

Also known as mononuclear leucocytes

Have granules hence agranulocytes is a
misnomer

Two types namely lymphocytes and
monocytes.
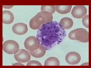
Monocytes

Constitute 2 – 10% of all circulating
leucocytes

Largest of all leucocytes: 16 – 20
micrometers in diameter

Have a single lobbed nucleus that is bean
shaped

Are highly phagocytic.
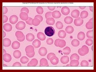
Lymphocytes

Smallest of all leucocytes

Second most abundant leucocytes(20 –
50%)

Two types, b- lymphocytes that mature in
the bone marrow and t – lymphocytes that
mature in the thymus.

B cells proliferate to become plasma cells
that produce antibodies

T cells are three types; cytotoxic, natural
killer and t helper cells
Platelets

Smallest of all blood cells, 1.5- 3.5
micrometers

Biconvex, oval or spherical

150,000 – 400,000 cells per mm cubed

Play a role in blood clotting by
a) aggregation
b) secreting coagulation factors

Providing a surface for adherence of
clotting factors
THE END

Generalized and specialized connective tissue

  • 1.
  • 2.
    Outline of presentation •Definition of connective tissue • Functions of connective tissue • Composition of CT • Classification of CT • Types of CT
  • 3.
    Definition • A groupof tissues that provide metabolic and structural support to other tissues • In simplest form, it provides a biological packaging btn other tissues • Fxns include providing a media for exchange of nutrients, metabolites and waste products • Others include tensile strength as in bones, muscles, tendons and cartilages
  • 4.
    Types of CT •In its simplest form, it is called loose areolar tissue and acts as a biological packing material between cells and different tissues • More dense forms are for tensile strength as in tendons and ligaments • More rigid forms occur in bones and cartilage
  • 5.
    Functions of CT •White adipose tissue: synthesis and metabolism of fat • Brown adipose tissue: temp. regulation • Media for exchange of materials between cells and tissues • Tensile strength • Defence • Tissue repair
  • 6.
    Composition of CT •Cells: adipocytes, fibroblasts, defence cells • Extracellular material: ground substance, fibres and glycoproteins
  • 7.
    Cells of CT •Adipocytes: Storage and metabolism of fat • Fibroblasts: synthesis of fibres, repair and maintainance of extracellular material • Defence cells: mast cells, tissue macrophages and some white blood cells
  • 8.
    True Connective Tissue Cells Fibroblasts:Secrete both fibers and ground substance of the matrix (wandering) Macrophages: Phagocytes that develop from Monocytes (wandering or fixed) Plasma Cells: Antibody secreting cells that develop from B Lymphocytes (wandering) Mast Cells: Produce histamine that help dilate small blood vessels in reaction to injury (wandering) Adipocytes: Fat cells that store triglycerides, support, protect and insulate (fixed)
  • 11.
    Fibers of CT •Collagen type i • Collagen type ii • Collagen type iii: reticulin • Collagen type iv • Collagen type vii • Elastin
  • 12.
    Collagen • Collagen; mostabundant type of fibres in C.T • For tensile strength • Secreted as tropocollagen which polymerises to form collagen • 11 Types occur
  • 13.
    • Type 1:occurs in fibrous C.T of skin dermis, tendons , ligaments and bone fxn: for greater tensile strength • Type 2: found in hyaline cartilage. Has fine fibrils interspersed in ground substance
  • 14.
    • Type 3:found in CT type called reticulin. Has high affinity for silver salts.forms a fine branching mesh work in highly cellular organs like liver, spleen, bone marrow and thymus • Type 4: doesn’t form fibrils but a mesh work of fibres as in basement membrane • Type 7: forms anchoring fibers that link to basement membranes
  • 15.
    Elastin • Rubber likematerial arranged as fibres; Occirs in skin, lung tissue, and blood vessels • Fxn: confers properties of stretching and elastic recoil • Synthesized as tropoelastin by fibroblasts and plumerises to form elastin • Deposition of elastin requires presence of a structural glycoprotein fibrillin
  • 16.
    Structural glycoprotiens • Composedof protein bound to branched polysaccharides molecules Two types • Fibril forming molecules: fibrillin and fibronectin. These are a constituent of elastin • Non filamentous proteins: laminin, entactin, tenasin. Act as links between cells and extracellular material.
  • 17.
    • Fibrillin: foundin mesangium of kidney and elastin • Fibronectin: controls deposition of collagen and binding of cells to extracellular material, also forms cytoskeleton • Laminin: found in basement membranes. For cell adhesion and forms links btn cell membrane and other constituents of extracellular matrix
  • 18.
    • Enactin: bindslaminin to type 4 collagen in basement membranes • Tenactin: binds integrins and is important in the embryo in control of nerve cell growth
  • 19.
    Ground substance • Gellike and is responsible for turbidity • Consists of long unbranched polysaccharide chains of seven types • Polysaccharides composed of repeating units of disaccharide molecules • Disaccharides made of a uronic acid and an amino sugar hence called glucosaminoglycans • Commonest GAG is hyarulonic acid, the only P.S with no sulfate gr
  • 20.
    • Other GAGinclude; Chondrotin 4 phosphate, C-6-P, Dermatan sulfate, Heparan sulfate, heparin sulfate, Keratan sulfate • These are all collectively called proteoglycans • Hence glycosaminoglycans are composed of HA and proteoglycans.
  • 22.
  • 25.
    TYPES OF CONNECTIVETISSUE 1. True Connective Tissue a. Loose Connective Tissue b. Dense Connective Tissue 2. Supportive Connective Tissue a. Cartilage b. Bone 5. Liquid Connective Tissue a. Blood
  • 26.
    True or ProperConnective Tissue 1. Loose Connective Tissue: a. Areolar tissue Widely distributed under epithelia b. Adipose tissue Hypodermis, within abdomen, breasts c. Reticular connective tissue Lymphoid organs such as lymph nodes
  • 27.
    LOOSE Connective Tissue: 1.Areolar CT – consists of all 3 types of fibers, several types of cells, and semi-fluid ground substance – found in subcutaneous layer and mucous membranes, and around blood vessels, nerves and organs – function = strength, support and elasticity
  • 29.
    LOOSE Connective Tissue: 2.Adipose tissue – consists of adipocytes; "signet ring" appearing fat cells. They store energy in the form of triglycerides (lipids). – found in subcutaneous layer, around organs and in the yellow marrow of long bones – function = supports, protects and insulates, and serves as an energy reserve
  • 30.
    • White adiposetissue: found in well nourished adults forming 25% of total weight in females and 20% in adult males. A source of energy, insulator and shock absorber • Brown adipose tissue: occurs in hibernating animals and babies. Main function is temperature regulation.
  • 33.
    LOOSE Connective Tissue: 3.Reticular CT – Consists of fine interlacing reticular fibers and reticular cells – Found in liver, spleen and lymph nodes – Function = forms the framework (stroma) of organs and binds together smooth muscle tissue cells
  • 36.
    True or ProperConnective Tissue 2. Dense Connective Tissue: a. Dense regular connective tissue Tendons and ligaments b. Dense irregular connective tissue Dermis of skin, submucosa of digestive tract
  • 37.
    Dense Connective Tissue: •contains more numerous and thicker fibers and far fewer cells than loose CT 1. dense regular Connective Tissue – consists of bundles of collagen fibers and fibroblasts – forms tendons, ligaments and aponeuroses – Function = provide strong attachment between various structures
  • 40.
    Dense Connective Tissue: 2.Dense Irregular CT – consists of randomly-arranged collagen fibers and a few fibroblasts – Found in fasciae, dermis of skin, joint capsules, and heart valves – Function = provide strength
  • 42.
    Supportive Connective Tissue: CARTILAGE: –Jelly-like matrix (chondroitin sulfate) containing collagen and elastic fibers and chondrocytes surrounded by a membrane called the perichondrium. – Unlike other CT, cartilage has NO blood vessels or nerves except in the perichondrium. – The strength of cartilage is due to collagen fibers and the resilience is due to the presence of chondroitin sulfate. – Chondrocytes occur within spaces in the matrix called lacunae.
  • 43.
    Supportive Connective Tissue 1. Hyalinecartilage 2. Fibrocartilage 3. Elastic cartilage
  • 44.
    Supportive Connective Tissue: 1.Hyaline Cartilage (most abundant type) – fine collagen fibers embedded in a gel-type matrix. Occasional chondrocytes inside lacunae. – Found in embryonic skeleton, at the ends of long bones, in the noseynx and larynx and tracheal rings. – Function= flexible, provides support, allows movement at joints
  • 47.
    Supportive Connective Tissue: 2.Fibrocartilage • Has features intermediate between dense CT and cartilage • contains bundles of collagen in the matrix that are usually more visible under microscopy. • Found in the pubic symphysis, intervertebral discs, joint capsules, tendons and menisci of the knee. • Function = support and fusion, and absorbs shocks.
  • 51.
    Supportive Connective Tissue: 3.Elastic Cartilage – threadlike network of elastic fibers within the matrix. – found in external ear, auditory tubes, epiglottis. – function = gives support, maintains shape, allows flexibility
  • 54.
    Bone Tissue • Aspecialised type of connective tissue in which the extracellular matrix is mineralised • Type of supportive connective tissue together with cartilage • Same compostion like connective tissue, ie cells and extracellular matrix.
  • 55.
    Bone Tissue: SupportiveConnective Tissue Cells Extracellular Matrix
  • 56.
  • 57.
    Bone Tissue: Supportive ConnectiveTissue Extracellular Matrix 25% Water 25% Protein or organic matrix 95% Collagen Fibers 5% Chondroitin Sulfate 50% Crystalized Mineral Salts Hydroxyapatite (Calcium Phosphate) Other substances: Lead, Gold,
  • 58.
    Two Kinds ofBone Compact Bone Spongy Bone
  • 59.
    Compact Bone • Compactbone is arranged in units called osteons or Haversian systems. • Osteons (Haversian canal) contain blood vessels, lymphatic vessels, nerves • Surrounding this canal are concentric rings of osteocytes along with the calcified matrix. • Osteons are aligned in the same direction along lines of stress. These lines can slowly change as the stresses on the bone changes.
  • 60.
  • 63.
    The Trabeculae ofSpongy Bone • Latticework of thin plates of bone called trabeculae oriented along lines of stress • Spaces in between these struts are filled with red marrow where blood cells develop • Found in ends of long bones and inside flat bones such as the hipbones, sternum, sides of skull, and ribs. No true Osteons.
  • 64.
    Spongy Bone • Spongy(cancellous) bone does not contain osteons. It consists of trabeculae surrounding many red marrow filled spaces (Figure 6.3b). • It forms most of the structure of short, flat, and irregular bones, and the epiphyses of long bones. • Spongy bone tissue is light and supports and protects the red bone marrow.
  • 65.
    Blood Blood is specializedconnective tissue composed of a cells suspended in a fluid medium known as plasma. Functions include defence, transport of gases,hormones transport of nutrients and waste products, heamostasis and homeostasis.
  • 66.
    Composition of blood •Plasma:55% • Cells:45%.The percentage of cells in blood is defined as heamatocrit and normal heamatocrit is 0.45. it is decresed in conditions like aneamia. Thrombocytopeania and increased in infections.
  • 67.
    • An adulthuman being has about 5 liters of blood, an eqiuvalent of 8% of the total weight. • Ph of blood is 7.35 – 7.45 • Temperature is 38 degrees cent • Viscocity is 4.5 to 5.5
  • 68.
    Constituents of plasmaby proportion • Water: 92% • Plasma proteins: 7% • Gases: 0.3% • Ions: 0.6% • Nutrients: 0.3% • Waste products: 0.1% • Clotting factors: less than 0.1%
  • 69.
    Plasma proteins • Constitute7 – 9% of plasma. • Three types: albumin, Fibrinogen and globulins • Albumin:( 60 – 80%) smallest in size. Produced by the liver and serve to maintain the osmotic pressure of blood. • Fibrinogen (4%):produced by the liver and play a role in blood clotting.
  • 70.
    • Globulins 38%:three types namely alpha, beta and gamma globulins • Alpha and beta globulins are produced by the liver and serve as carriers for drugs, hormones, lipids and lipid soluble vitamis in the body. • Gamma globulins are produced by plasma cells and are known as antibodies.
  • 71.
    Blood cells • Form45% of blood • Three types:red blood cells, white blood cells and platelets • Red blood cells are the most abundant, 4.3 to 5.2 million in adult females and 5.1 to 5.8 million in adult males • White blood cells are about 5000 to 9000
  • 72.
    Erythrocytes • Most abundantcells in blood. • Responsible for the red colour of blood. • Flattened biconcave discs, 7.2 micrometers in diameter and 2.2 micrometers thick. • Shape allows them to pass through even the smallest cappillaries. • Mature cells lack a nucleus and mitochondria and are destroyed in liver, spleen and bone marrow.
  • 73.
    • Immature redblood cells are known as reticulocytes and have a nucleus. • Constitute less than 1% of circulating erythrocytes. • Can be increased in accelerated heamolysis.
  • 75.
    Leucocytes Also known aswhite blood cells Two main types: granulocytes and agranulocytes Play a role in defence Total is 5000 – 7000 cell per cubic mm of blood.
  • 76.
    Granulocytes Also known aspolymorhonuclear leucocytes because they have a mutlilobbed nucleus. Contain granules that take up three different types of stains. Three types namely a) neutrophils b) basophils c) eosinophils.
  • 77.
    Neutrophils  Constitute 40 –75% of all circulating blood cells.  About 12 – 14 micrometres in diameter  Have 3 – 5 lobbed nucleus  The nucleus of females has a characteristic bar body  Are highly phagocytic and play a role in bacterial infections.
  • 78.
    • Have threetypes of granules • Primary granules: contain myleperoxidases and lysosomal enzymes • Secondary granules: contain inflammatory mediators and complement activators • Teritary granules: contain gelatinases
  • 80.
    Eosinophils  Constitute 1 –6% of all circulating leucocytes  Have a bilobbed nucleus that stains pink  12 – 17 micrometrs in diameter  Play a role in parasitic infections and allergies  Their granules contain histaminase, peroxidases and lysosomal enzymes
  • 82.
    Basophils  Have a bilobbednucleus with a cytoplasm that stains blue  Less than 1% of total circulating leucocytes  Size 14 – 16 micrometers in diameter.  Play a role in phagocytosis  Their granules contain histamine
  • 84.
    Agranulocytes  Also known asmononuclear leucocytes  Have granules hence agranulocytes is a misnomer  Two types namely lymphocytes and monocytes.
  • 85.
    Monocytes  Constitute 2 –10% of all circulating leucocytes  Largest of all leucocytes: 16 – 20 micrometers in diameter  Have a single lobbed nucleus that is bean shaped  Are highly phagocytic.
  • 87.
    Lymphocytes  Smallest of allleucocytes  Second most abundant leucocytes(20 – 50%)  Two types, b- lymphocytes that mature in the bone marrow and t – lymphocytes that mature in the thymus.  B cells proliferate to become plasma cells that produce antibodies  T cells are three types; cytotoxic, natural killer and t helper cells
  • 89.
    Platelets  Smallest of allblood cells, 1.5- 3.5 micrometers  Biconvex, oval or spherical  150,000 – 400,000 cells per mm cubed  Play a role in blood clotting by a) aggregation b) secreting coagulation factors  Providing a surface for adherence of clotting factors
  • 91.