FUNGAL SINUSITIS
Presenter: Dr raj pushkar
Moderator:-Dr jasmeet kaur
INTRODUCTION
• 400,000 known fungal species of which 400 are human pathogens and 50 of
which cause systemic or CNS infection
• Fungi are normally found everywhere in nature as spores, and most people have
fungal colonization in the nasal cavity
• Most common route of FRS : inhalation of spores
• Clinical presentation, imaging features, and treatment differ based on type of
fungal sinusitis
INVASIVE
ACUTE FULMINANT FRS
GRANULOMATOUS FRS
CHRONIC FRS
NON INVASIVE
SAPROPHYTIC
FUNGAL BALL
ALLERGIC FRS
Non Invasive FRS
1. Saprophytic fungal infection
• Refers to visible fungal colonisation of
mucus crust seen in nose and PNS on
nasoendoscopy
• Asymptomatic ; foul smelling odour
• May be precursor to fungal ball if
untreated
• Rx- Endoscopic cleaning of infected
crust with or without continued
irrigation with saline water
Mechanism
Dysfunction in:mucociliary transportation from
surgery
Nasal crust formation
Platform for fungal growth opens
2. Fungal ball
• Dense accumulation of extramucosal fungal hyphae usually within one sinus
Most common
Sinus: Maxillary
Organism: Aspergillus
Immunocompetant,middle
aged and elderly females with
h/o previous dental procedure
esp dental fillings
Diagnosis
• Non specific chronic inflammation of the sinus in the
absence of eosinophil predominance, granuloma and
allergic mucin
• Microscopy: Accumulation of fungal hyphae without
evidence of tissue fungal invasion
• Radiology: Sinus opacification with areas of hyper
attenuation, cheesy or clay like debri within the sinus
Treatment
• Wide opening of involved sinus and complete removal of fungal debri f/b
regular surveillance
• Antifungal medications usually unnecessary
• Reccurence is rare
HISTORY
• In 1983 : term ‘Allergic Aspergillus sinusitis’ was proposed by Katzenstein et al.
( due to histological similarity with ABPA) - described the thick, inspissated
mucoid material containing fungal hyphae in both the sinuses and the bronchi as
- Allergic mucin
3. ALLERGICFUNGAL RHINOSINUSITIS
Mycology
Common organism implicated:
• Aspergillus
• Curvularia
• Alternaria
• Bipolaris
• Fusarium
Epidemiology
• Most common among adolescents and young immunocompetent adults : mean
age - 21-33 years
• Higher male : female ratio - 1.5-2.6 : 1
• Warm and humid areas
• Low socioeconomic status
• Prevalence of FRS amongst CRS patients who undergo Sx - 12-47% : 56-77%
have AFRS
Pathophysiology Fungi enters nose
and sinuses
Type 1 and 3
hypersensitivity
response(1>3)
Inflammatory
reactions
Trapped fungi
continues
immune system
stimulation
• Production of allergic mucin
• Stasis of secretion
• Obstruction of sinus ostia
Explained by many theories
1. Manning et al -
Immunological theory
2. Panikou et al - Eosinophilic theory
• Eosinophilic chemotaxis in response to extra mucosal fungi - hallmark of
inflammatory reaction in AFRs
• Introduced the term: Eosinophilic fungal rhinosinusitis
Eosinophilic mucin
3. Ferguson
• In 2000
Fungal Sinusitis
AFRS Non allergic FRS
Aka eosinophilic mucin RS
Histology similar to AFRS but
without presence of fungi
PATHOPHYSIOLOGY OF AFRS
Diagnosis
DIAGNOSTIC CRITERIA : BENT AND KUHN DIAGNOSTIC CRITERIA
• All major criteria necessarytodefine AFRSwhile minor criteria are considered
supporting features
• An elevated IgEtests may not always be present in all AFRS patients
ST. PAULS SINUS CENTRE CRITERIA
Clinical Presentation
• Often symptoms are subtle and similar to that of chronic sinusitis with nasal polyposis
• Long standing history gradual nasal obstruction (often neglected for a period of years
until complete obstruction
• Usually U/L thick or crusty semisolid nasal discharge
• Facial dysmorphia usually proptosis
• On nasoendoscopy-
 U/L or B/L nasal polyp
 Inspissated thick greenish brown peanut butter like mucus
CLINICAL FINDINGS WITH HIGH INDEX OF SUSPICION
• Nasal polyposis if u/l
• Young age
• Classical radiological finding – double density sign in CT
• Thick sticky yellowish brown or green mucus
• Proptosis in a case of nasal polyposis
• Signs of allergic rhinitis but not responding to antihistamines , intranasal steroids
Investigations
1. Immunological test
• Total serum IgE : usually elevated; often ranging between 50->1000IU/ml,
averaging 550 IU/ml
• Antigen specific IgE- for both fungal and other inhalants by in vitro ( Rapid Ag
test) or in vivo (skin prick test)
2. Histology-Pathology
• Hallmark of AFRS - Presence of allergic mucin
• Gross : Thick tenacious, viscous, yellow to brown to dark green- ‘Peanut butter’
or ‘axle grease’
• Histology :
Eosinophilic mucin with
• Necrotic degranulated eosinophils
• Charcot Leiden crystals
• Inflammatory cells
• Fungal hyphae (often found only with GMS stain)
3. Fungal Culture : Supporting evidence
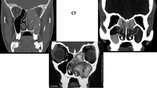
4. Imaging
• CT
NCCT is the imaging of choice
 Opacification of the nasal cavity and one or more paranasal sinuses
 The sinuses are typically opacified by centrally (often serpiginous ) hyperdense
material with a peripheral rim of hypodense mucosa.
 Erosion of bone (skull base and orbit) is seen in 20 - 60% of cases
• MRI
Hypointensity on T1WI and T2WI is the most common finding.
Indications of MRI :
1. When diagnosis is uncertain
2. When there is rare intracranial or intraorbital complication
CT
• MRI
Management
Surgical management
• Surgery is the fist line of treatment
• Meticulous and complete ESS is the gold standard
• FESS with IGS is preferred
• Aim : Complete removal of allergic mucin, polyp and fungal debris to decrease
the antigenic load
• Surgery helps in
• Re-establishing ventilation
• Removes antigenic stimulation for AFRS
• Provides access for surveillance, clinical debridement and application of topical
medication
• Meticulous irrigation may be employed to flush out all debri after sinuses have
been opened by widening their ostia
• Principle of mucosal preservation should be followed
Endoscopic staging of mucosal disease
post surgery
MEDICAL MANAGEMENT
Systemic medications
1. Corticosteroids :
• Useful in perioperative period of patients with AFRS
• Pre operative period : helps to reduce intra-op bleeding and size of polyp
• Post operative period : Minimum 6 month of normal mucosa while on steroid in
order to slowly discontinue . Prevents recurrence
• Use should be limited to perioperative period and acute exacerbations ( to
suppress growth of recurrent polyp)
2. Antifungals
• For patients with recalcitrant AFRS
• Used as steroid sparing medications
• Oral Itraconazole 200-400mg daily
• Elevated liver enzymes , CCF, nausea, rash, headache, malaise, fatigue and
edema
Topical medications
1. Corticosteroids
• Used as standard Rx for patients with
AFRS
• Most effective in postoperative period
• Benefit: Ability toachieve highest drug
concentration in target area without
undesirable systemic side effects
Standard topical nasal steroids are
Mometasone furoate
Fluticasone propionate
Fluticasone furoate
Budesonide
Flumisolide
Non standard Topical nasal steroids
• Budesonide : As drops; atomised sprays or through low volume saline rinses
• Intranasal dexamethasone ophthalmic drops (0.01%)
• Prednisolone ophthalmic drop (1%)
• Ciprofloxacin/dexamethasone otic drops
• Adv: Can deliver higher volume and/or high concentration of steroids to sino nasal
cavity
• Disadv: Systemic side effects and suppression of HPA axis
• Mucosal atomisation device (MAD) helps to deliver low volume high concentration
steroid into frontal recess and sinuses
• Position : Head hanging posture (Mygind position) to target frontal recess areas
• Should stay in this position for 4 – 5 min
2. Antifungals
• Topical antifungals have been deemed ineffective
• Some studies show recurrence rate as :
Fluconazole nasal spray < Oral itraconazole + topical fluconazole
< Fluconazole nasal irrigation < oral itraconazole
3. Immunotherapy
• To reduce the production of allergen specific IgE and to increase the production
of IgG4 blocking antibodies
• Most of the studies showed improvement in clinical outcomes with no major
systemic reactions or worsening of disease
• Disadv :
• works only in conjunction with surgery or other modalities of treatment
• May not be successful in the presence of fungal antigen load not addressed
by surgery – may worsen the disease
Adjunctive treatment
Manuka Honey
• Manuka ( Leptospermum scoparium) honey from New Zealand is the most therapeutically
potent honey
• Principal active agent : Methylgloxal
• Effective in eradicating MSSA, MRSA and P
A biofilms
• Concentration – 0.9 – 1.8 mg/ml ; diluted as 15g in 1L
• MOA :
• High glucose content of honey provide energy for phagocytes
• Acidic pH directly kill the organisms
• By production of inhibin
Future Treatment Strategy
Anti Immunoglobulin (IgE) therapy
• Biologic agents are upcoming group of adjunctive therapies in managent of AFRS
• Only one agent has been studied in use of AFRS – OMALIZUMB
• Specific action at the receptor level – reduce systemic side effects
• Slows down and may even reverse the inflammatory process
Invasive FRS
1. Acute (fulminant) Invasive FRS
• Life threatening - most lethal form of fungal sinusitis - Mortality 50-80%
• Rapid hyphal invasion of sinus: Time course<4 weeks
• Causative organism : Aspergillus and Mucorales (Rhizopus, Rhizomucor, mucor)
• Immunocompromised patients are more susceptible
 Uncontrolled DM
 AIDS
 Iatrogenic immunosuppression
 Organ transplantation
 Hematological Malignancy
Clinical features
• Immunocompromised patients - Pyrexia of
unknown origin for 48 hrs despite of broad
spectrum IV antibiotics
• Fever, cough, headache, crusting of nasal
mucosa and epistaxis
• Pain, tenderness and pressure in the sinus area
• Anaestesia of face or nose – early sign
• Painless necrotic nasal septal ulcer - eschar
• Intraorbital, intracranial and
maxillofacial extension is common
• Proptosis
• Visual disturbances
• Hypertelorism
• Headache
• Mental status changes
• Seizures
• Neurological deficits
• Coma
• Maxillofacial soft tissue
swelling
• Angioinvasion and haematogenous
dissemination common
Diagnosis
DNE: Alteration In mucosal appearance such as
discoloration, granulation and ulceration- most
consistent physical finding
- crusting, whitish discoloration or black discoloration
with eschar formation
- Granulation or ulceration of nasal mucosa : MT >
Septum > Palate and IT
Histological feature: - Mycotic infiltration of blood
vessels, Vasculitis with thrombosis , tissue
infarction, hemorrhage and a/c neutrophilic
infiltrate
CT Scan- IOC
• Focal bony erosion
• Lack of expansion of sinuses
• Limited sinus disease- more disease
outside sinus
• Mucosal thickening:
hypoattenuating
• Nasal septal ulceration
• Fat stranding outside the sinus perimeter
 intraorbital fat
 periantral fat
 nasolacrimal duct
 lacrimal sac
 masticator space
 pterygopalatinefossa
MRI
• Better for evaluating intracranial and intraorbital extension
• Evaluate for inflammatory change in orbital fat and extraocular muscles
• Obliteration of periantral fat is a subtle sign of extension
• Leptomeningeal enhancement progressing to cerebritis and abscess
Treatment
Therapy of invasive FRS requires
1. Reversal of the underlying predisposing condition- most important
2. Appropriate systemic antifungal
3. Surgical debridement
• It slows prognosis of disease
• Reduces fungal load
• Provides specimen for culture
5. Mx include endoscopic debridement, often on multiple successive occasion,
combined with both systemic and topical antifungal therapies based on the
sensitivity of fungus isolated
6. Before definite organism identified- empirical Rx- Broad-spectrum antifungal
IV Amphotericin B is given
7. Once specific organism identified- Triazole
ANTIFUNGALAGENTS
AMPHOTERICIN B
• From Streptomyces nodosus
• Poorly absorbed orally –IV route
• MOA – binds toergosterole in the cell membrane of fungus
increases the permeability of cell membrane
cell contents leak out
death of cell
• Drug formulations
1. Amphotericin Bdeoxycholate(DOC)
• Insoluble in water – so complexing it with bile salt deoxycholate
• Prior to starting the drug patient should be hydrated with 500 ml – 1L of normal saline
• A test dose should be administered by diluting 1mg of the drug in 50-100 ml of 5%
Dextrose given slowly IV over 20 min
• 2 ways to administer the drug
 Start with a low dose , titrate gradually till maximum dose is achieved
 Start with a standard dose and maintain the same till a total cumulative dose is achieved
• Std Dose : 0.25 – 1 mg/kg/day, in a single dose, diluted in 5% dextrose as slow
IV
• Bottle and Tubing should be protected from light
• Max daily dose – 1.2mg/kg in adults and 1.5 mg/kg in children
2. Lipid based formulations
• Using lipid carriers
• Adv – selective delivery into RES and lesser degree to lungs
better side effect profile
• Although dose related efficacy may be less the fact that higherdoses can be used
makes them more efficacious
1. LIPOSOMAL AMPHOTERICIN B – 1-5 mg/kg
2. AMPHOTERICIN B LIPID COMPLEX – 5 mg/kg
3. AMPHOTERICIN B CHOLESTEROL SULPHATE COMPLEX – 3 to 5 mg/kg
ITRACONAZOLE 100 mg 1-2 po bid with
meals
Active against many
dematiaceous fungi;
variably active against
Aspergillus
species; not active against
Zygomycetes
Best absorbed in acidic
stomach; co-administer
with cola or cranberry
juice; if used long term,
liver function must be
monitored
POSACONAZOLE Oral suspension of 40
mg/mL; dosage is 400 mg
bid, given
with fatty foods to enhance
absorption
Indicated for the treatment
of a broad range of
invasive fungal infections,
including Zygomycetes,
Fusarium, and
Aspergillus, in patients who
have refractory infections
or cannot tolerate other
antifungal therapies
Safety in patients younger
than 18 years not
assessed; use with caution
with other drugs
metabolized through the
cytochrome-P3A4 system
TERBINAFINE 250 mg po qd Variable in vivo anti-
fungal activity;
utilized chiefly for
dermatophytosis
Not effective in a
randomized controlled
trial
against noninvasive
chronic rhinosinusitis
VORICONAZOLE 200 mg bid po 1 hour
before or after meals; IV
formulation given as
loading dose,
followed by 4 mg/kg bid
Indicated for treatment of
a broad range
of fungal pathogens
Liver function and
creatinine must be
monitored; unusual
adverse effect is visual
disturbance
2. Chronic granulomatous invasive fungal sinusitis
• Primary paranasal granuloma and indolent fungal sinusitis
• Primarily found in Africa (Sudan) and Southeast Asia, only few case reports in US
• Immunocompetent
• Caused by Aspergillus flavus
• Characterized by non-caseating granulomas in the tissues
• Chronic indolent course similar to chronic invasive fungal sinusitis
• Considered by some as same entity as chronic invasive fungal sinusitis
• Imaging characteristics are similar to those of chronic invasive fungal sinusitis
• Often resembles a mass/neoplasms
• Treatment is surgical debridement and systemic antifungals
2. Chronic Invasive FRS
• Slowly destructive disease
• Time course >12 weeks
Granulomatous variant: Aspergillus flavus
Tissue invasion and granulomatous reaction with non caseating granuloma
Invasive variant: Aspergillus fumigatus
Vascular invasion and disease accumulation of fungal hyphae in sinus
Clinical feature
• Most commonly involved- ethmoid and sphenoid
• Usually in immunocompetant
• H/O of chronic RS with symptoms of PNS pain, nasal discharge, epistaxis, nasal polyposis
and fever
• Maxillofacial soft tissue swelling
• Palatal erosions
• Proptosis with orbital apex syndrome
• Diminished vision
• Headache, seizure, decreased mental status
Diagnosis
CT
•CT usually shows homogeneous opacification of the affected sinus(es)
Other suggestive features include:
• Relativelack of expansion of sinuses
• Mottled lucencies or irregular bone destruction may be seen
• Bone erosion localized to the area of extrasinus extension
• Extra sinus component of the disease more prominent than the intrasinus component
• There may also be sclerotic changes in the bony walls of the affected sinuses representing
chronic disease
MRI
Decreased intensity in T1 and markedly decreased intensity in T2 weighted image
THANK YOU

fungal sinusitis.pptx

  • 1.
    FUNGAL SINUSITIS Presenter: Drraj pushkar Moderator:-Dr jasmeet kaur
  • 2.
    INTRODUCTION • 400,000 knownfungal species of which 400 are human pathogens and 50 of which cause systemic or CNS infection • Fungi are normally found everywhere in nature as spores, and most people have fungal colonization in the nasal cavity • Most common route of FRS : inhalation of spores • Clinical presentation, imaging features, and treatment differ based on type of fungal sinusitis
  • 3.
    INVASIVE ACUTE FULMINANT FRS GRANULOMATOUSFRS CHRONIC FRS NON INVASIVE SAPROPHYTIC FUNGAL BALL ALLERGIC FRS
  • 4.
    Non Invasive FRS 1.Saprophytic fungal infection • Refers to visible fungal colonisation of mucus crust seen in nose and PNS on nasoendoscopy • Asymptomatic ; foul smelling odour • May be precursor to fungal ball if untreated • Rx- Endoscopic cleaning of infected crust with or without continued irrigation with saline water Mechanism Dysfunction in:mucociliary transportation from surgery Nasal crust formation Platform for fungal growth opens
  • 6.
    2. Fungal ball •Dense accumulation of extramucosal fungal hyphae usually within one sinus Most common Sinus: Maxillary Organism: Aspergillus Immunocompetant,middle aged and elderly females with h/o previous dental procedure esp dental fillings
  • 7.
    Diagnosis • Non specificchronic inflammation of the sinus in the absence of eosinophil predominance, granuloma and allergic mucin • Microscopy: Accumulation of fungal hyphae without evidence of tissue fungal invasion • Radiology: Sinus opacification with areas of hyper attenuation, cheesy or clay like debri within the sinus
  • 9.
    Treatment • Wide openingof involved sinus and complete removal of fungal debri f/b regular surveillance • Antifungal medications usually unnecessary • Reccurence is rare
  • 10.
    HISTORY • In 1983: term ‘Allergic Aspergillus sinusitis’ was proposed by Katzenstein et al. ( due to histological similarity with ABPA) - described the thick, inspissated mucoid material containing fungal hyphae in both the sinuses and the bronchi as - Allergic mucin 3. ALLERGICFUNGAL RHINOSINUSITIS
  • 11.
    Mycology Common organism implicated: •Aspergillus • Curvularia • Alternaria • Bipolaris • Fusarium
  • 12.
    Epidemiology • Most commonamong adolescents and young immunocompetent adults : mean age - 21-33 years • Higher male : female ratio - 1.5-2.6 : 1 • Warm and humid areas • Low socioeconomic status • Prevalence of FRS amongst CRS patients who undergo Sx - 12-47% : 56-77% have AFRS
  • 13.
    Pathophysiology Fungi entersnose and sinuses Type 1 and 3 hypersensitivity response(1>3) Inflammatory reactions Trapped fungi continues immune system stimulation • Production of allergic mucin • Stasis of secretion • Obstruction of sinus ostia Explained by many theories 1. Manning et al - Immunological theory
  • 14.
    2. Panikou etal - Eosinophilic theory • Eosinophilic chemotaxis in response to extra mucosal fungi - hallmark of inflammatory reaction in AFRs • Introduced the term: Eosinophilic fungal rhinosinusitis Eosinophilic mucin
  • 15.
    3. Ferguson • In2000 Fungal Sinusitis AFRS Non allergic FRS Aka eosinophilic mucin RS Histology similar to AFRS but without presence of fungi
  • 16.
  • 17.
    Diagnosis DIAGNOSTIC CRITERIA :BENT AND KUHN DIAGNOSTIC CRITERIA
  • 18.
    • All majorcriteria necessarytodefine AFRSwhile minor criteria are considered supporting features • An elevated IgEtests may not always be present in all AFRS patients ST. PAULS SINUS CENTRE CRITERIA
  • 19.
    Clinical Presentation • Oftensymptoms are subtle and similar to that of chronic sinusitis with nasal polyposis • Long standing history gradual nasal obstruction (often neglected for a period of years until complete obstruction • Usually U/L thick or crusty semisolid nasal discharge • Facial dysmorphia usually proptosis • On nasoendoscopy-  U/L or B/L nasal polyp  Inspissated thick greenish brown peanut butter like mucus
  • 20.
    CLINICAL FINDINGS WITHHIGH INDEX OF SUSPICION • Nasal polyposis if u/l • Young age • Classical radiological finding – double density sign in CT • Thick sticky yellowish brown or green mucus • Proptosis in a case of nasal polyposis • Signs of allergic rhinitis but not responding to antihistamines , intranasal steroids
  • 21.
    Investigations 1. Immunological test •Total serum IgE : usually elevated; often ranging between 50->1000IU/ml, averaging 550 IU/ml • Antigen specific IgE- for both fungal and other inhalants by in vitro ( Rapid Ag test) or in vivo (skin prick test)
  • 22.
    2. Histology-Pathology • Hallmarkof AFRS - Presence of allergic mucin • Gross : Thick tenacious, viscous, yellow to brown to dark green- ‘Peanut butter’ or ‘axle grease’
  • 23.
    • Histology : Eosinophilicmucin with • Necrotic degranulated eosinophils • Charcot Leiden crystals • Inflammatory cells • Fungal hyphae (often found only with GMS stain)
  • 27.
    3. Fungal Culture: Supporting evidence 4. Imaging • CT NCCT is the imaging of choice  Opacification of the nasal cavity and one or more paranasal sinuses  The sinuses are typically opacified by centrally (often serpiginous ) hyperdense material with a peripheral rim of hypodense mucosa.  Erosion of bone (skull base and orbit) is seen in 20 - 60% of cases • MRI Hypointensity on T1WI and T2WI is the most common finding. Indications of MRI : 1. When diagnosis is uncertain 2. When there is rare intracranial or intraorbital complication
  • 28.
  • 29.
  • 30.
  • 31.
    Surgical management • Surgeryis the fist line of treatment • Meticulous and complete ESS is the gold standard • FESS with IGS is preferred • Aim : Complete removal of allergic mucin, polyp and fungal debris to decrease the antigenic load
  • 32.
    • Surgery helpsin • Re-establishing ventilation • Removes antigenic stimulation for AFRS • Provides access for surveillance, clinical debridement and application of topical medication • Meticulous irrigation may be employed to flush out all debri after sinuses have been opened by widening their ostia • Principle of mucosal preservation should be followed
  • 33.
    Endoscopic staging ofmucosal disease post surgery
  • 34.
    MEDICAL MANAGEMENT Systemic medications 1.Corticosteroids : • Useful in perioperative period of patients with AFRS • Pre operative period : helps to reduce intra-op bleeding and size of polyp • Post operative period : Minimum 6 month of normal mucosa while on steroid in order to slowly discontinue . Prevents recurrence • Use should be limited to perioperative period and acute exacerbations ( to suppress growth of recurrent polyp)
  • 35.
    2. Antifungals • Forpatients with recalcitrant AFRS • Used as steroid sparing medications • Oral Itraconazole 200-400mg daily • Elevated liver enzymes , CCF, nausea, rash, headache, malaise, fatigue and edema
  • 36.
    Topical medications 1. Corticosteroids •Used as standard Rx for patients with AFRS • Most effective in postoperative period • Benefit: Ability toachieve highest drug concentration in target area without undesirable systemic side effects Standard topical nasal steroids are Mometasone furoate Fluticasone propionate Fluticasone furoate Budesonide Flumisolide
  • 37.
    Non standard Topicalnasal steroids • Budesonide : As drops; atomised sprays or through low volume saline rinses • Intranasal dexamethasone ophthalmic drops (0.01%) • Prednisolone ophthalmic drop (1%) • Ciprofloxacin/dexamethasone otic drops • Adv: Can deliver higher volume and/or high concentration of steroids to sino nasal cavity • Disadv: Systemic side effects and suppression of HPA axis
  • 38.
    • Mucosal atomisationdevice (MAD) helps to deliver low volume high concentration steroid into frontal recess and sinuses • Position : Head hanging posture (Mygind position) to target frontal recess areas • Should stay in this position for 4 – 5 min
  • 39.
    2. Antifungals • Topicalantifungals have been deemed ineffective • Some studies show recurrence rate as : Fluconazole nasal spray < Oral itraconazole + topical fluconazole < Fluconazole nasal irrigation < oral itraconazole
  • 40.
    3. Immunotherapy • Toreduce the production of allergen specific IgE and to increase the production of IgG4 blocking antibodies • Most of the studies showed improvement in clinical outcomes with no major systemic reactions or worsening of disease • Disadv : • works only in conjunction with surgery or other modalities of treatment • May not be successful in the presence of fungal antigen load not addressed by surgery – may worsen the disease
  • 41.
    Adjunctive treatment Manuka Honey •Manuka ( Leptospermum scoparium) honey from New Zealand is the most therapeutically potent honey • Principal active agent : Methylgloxal • Effective in eradicating MSSA, MRSA and P A biofilms • Concentration – 0.9 – 1.8 mg/ml ; diluted as 15g in 1L • MOA : • High glucose content of honey provide energy for phagocytes • Acidic pH directly kill the organisms • By production of inhibin
  • 42.
    Future Treatment Strategy AntiImmunoglobulin (IgE) therapy • Biologic agents are upcoming group of adjunctive therapies in managent of AFRS • Only one agent has been studied in use of AFRS – OMALIZUMB • Specific action at the receptor level – reduce systemic side effects • Slows down and may even reverse the inflammatory process
  • 43.
    Invasive FRS 1. Acute(fulminant) Invasive FRS • Life threatening - most lethal form of fungal sinusitis - Mortality 50-80% • Rapid hyphal invasion of sinus: Time course<4 weeks • Causative organism : Aspergillus and Mucorales (Rhizopus, Rhizomucor, mucor) • Immunocompromised patients are more susceptible  Uncontrolled DM  AIDS  Iatrogenic immunosuppression  Organ transplantation  Hematological Malignancy
  • 45.
    Clinical features • Immunocompromisedpatients - Pyrexia of unknown origin for 48 hrs despite of broad spectrum IV antibiotics • Fever, cough, headache, crusting of nasal mucosa and epistaxis • Pain, tenderness and pressure in the sinus area • Anaestesia of face or nose – early sign • Painless necrotic nasal septal ulcer - eschar
  • 46.
    • Intraorbital, intracranialand maxillofacial extension is common • Proptosis • Visual disturbances • Hypertelorism • Headache • Mental status changes • Seizures • Neurological deficits • Coma • Maxillofacial soft tissue swelling • Angioinvasion and haematogenous dissemination common
  • 47.
    Diagnosis DNE: Alteration Inmucosal appearance such as discoloration, granulation and ulceration- most consistent physical finding - crusting, whitish discoloration or black discoloration with eschar formation - Granulation or ulceration of nasal mucosa : MT > Septum > Palate and IT Histological feature: - Mycotic infiltration of blood vessels, Vasculitis with thrombosis , tissue infarction, hemorrhage and a/c neutrophilic infiltrate
  • 48.
    CT Scan- IOC •Focal bony erosion • Lack of expansion of sinuses • Limited sinus disease- more disease outside sinus • Mucosal thickening: hypoattenuating • Nasal septal ulceration • Fat stranding outside the sinus perimeter  intraorbital fat  periantral fat  nasolacrimal duct  lacrimal sac  masticator space  pterygopalatinefossa
  • 50.
    MRI • Better forevaluating intracranial and intraorbital extension • Evaluate for inflammatory change in orbital fat and extraocular muscles • Obliteration of periantral fat is a subtle sign of extension • Leptomeningeal enhancement progressing to cerebritis and abscess
  • 53.
    Treatment Therapy of invasiveFRS requires 1. Reversal of the underlying predisposing condition- most important 2. Appropriate systemic antifungal 3. Surgical debridement • It slows prognosis of disease • Reduces fungal load • Provides specimen for culture
  • 54.
    5. Mx includeendoscopic debridement, often on multiple successive occasion, combined with both systemic and topical antifungal therapies based on the sensitivity of fungus isolated 6. Before definite organism identified- empirical Rx- Broad-spectrum antifungal IV Amphotericin B is given 7. Once specific organism identified- Triazole
  • 55.
    ANTIFUNGALAGENTS AMPHOTERICIN B • FromStreptomyces nodosus • Poorly absorbed orally –IV route • MOA – binds toergosterole in the cell membrane of fungus increases the permeability of cell membrane cell contents leak out death of cell
  • 56.
    • Drug formulations 1.Amphotericin Bdeoxycholate(DOC) • Insoluble in water – so complexing it with bile salt deoxycholate • Prior to starting the drug patient should be hydrated with 500 ml – 1L of normal saline • A test dose should be administered by diluting 1mg of the drug in 50-100 ml of 5% Dextrose given slowly IV over 20 min • 2 ways to administer the drug  Start with a low dose , titrate gradually till maximum dose is achieved  Start with a standard dose and maintain the same till a total cumulative dose is achieved
  • 57.
    • Std Dose: 0.25 – 1 mg/kg/day, in a single dose, diluted in 5% dextrose as slow IV • Bottle and Tubing should be protected from light • Max daily dose – 1.2mg/kg in adults and 1.5 mg/kg in children
  • 58.
    2. Lipid basedformulations • Using lipid carriers • Adv – selective delivery into RES and lesser degree to lungs better side effect profile • Although dose related efficacy may be less the fact that higherdoses can be used makes them more efficacious 1. LIPOSOMAL AMPHOTERICIN B – 1-5 mg/kg 2. AMPHOTERICIN B LIPID COMPLEX – 5 mg/kg 3. AMPHOTERICIN B CHOLESTEROL SULPHATE COMPLEX – 3 to 5 mg/kg
  • 59.
    ITRACONAZOLE 100 mg1-2 po bid with meals Active against many dematiaceous fungi; variably active against Aspergillus species; not active against Zygomycetes Best absorbed in acidic stomach; co-administer with cola or cranberry juice; if used long term, liver function must be monitored POSACONAZOLE Oral suspension of 40 mg/mL; dosage is 400 mg bid, given with fatty foods to enhance absorption Indicated for the treatment of a broad range of invasive fungal infections, including Zygomycetes, Fusarium, and Aspergillus, in patients who have refractory infections or cannot tolerate other antifungal therapies Safety in patients younger than 18 years not assessed; use with caution with other drugs metabolized through the cytochrome-P3A4 system
  • 60.
    TERBINAFINE 250 mgpo qd Variable in vivo anti- fungal activity; utilized chiefly for dermatophytosis Not effective in a randomized controlled trial against noninvasive chronic rhinosinusitis VORICONAZOLE 200 mg bid po 1 hour before or after meals; IV formulation given as loading dose, followed by 4 mg/kg bid Indicated for treatment of a broad range of fungal pathogens Liver function and creatinine must be monitored; unusual adverse effect is visual disturbance
  • 61.
    2. Chronic granulomatousinvasive fungal sinusitis • Primary paranasal granuloma and indolent fungal sinusitis • Primarily found in Africa (Sudan) and Southeast Asia, only few case reports in US • Immunocompetent • Caused by Aspergillus flavus • Characterized by non-caseating granulomas in the tissues
  • 62.
    • Chronic indolentcourse similar to chronic invasive fungal sinusitis • Considered by some as same entity as chronic invasive fungal sinusitis • Imaging characteristics are similar to those of chronic invasive fungal sinusitis • Often resembles a mass/neoplasms • Treatment is surgical debridement and systemic antifungals
  • 63.
    2. Chronic InvasiveFRS • Slowly destructive disease • Time course >12 weeks Granulomatous variant: Aspergillus flavus Tissue invasion and granulomatous reaction with non caseating granuloma Invasive variant: Aspergillus fumigatus Vascular invasion and disease accumulation of fungal hyphae in sinus
  • 64.
    Clinical feature • Mostcommonly involved- ethmoid and sphenoid • Usually in immunocompetant • H/O of chronic RS with symptoms of PNS pain, nasal discharge, epistaxis, nasal polyposis and fever • Maxillofacial soft tissue swelling • Palatal erosions • Proptosis with orbital apex syndrome • Diminished vision • Headache, seizure, decreased mental status
  • 65.
    Diagnosis CT •CT usually showshomogeneous opacification of the affected sinus(es) Other suggestive features include: • Relativelack of expansion of sinuses • Mottled lucencies or irregular bone destruction may be seen • Bone erosion localized to the area of extrasinus extension • Extra sinus component of the disease more prominent than the intrasinus component • There may also be sclerotic changes in the bony walls of the affected sinuses representing chronic disease
  • 66.
    MRI Decreased intensity inT1 and markedly decreased intensity in T2 weighted image
  • 67.