Chest X-Rays Of The Week
Michael Gibbs, MD, FACEP, FAAEM
Professor And Chair
Department of Emergency Medicine
Carolinas Medical Center & Levine Children’s Hospital
Vice President of Research
Atrium Health
CMC X-Ray Mastery Series
February 18th 2019
Disclosures
ď‚§ This ongoing chest X-ray interpretation series is proudly sponsored by the
Emergency Medicine Residency Program at Carolinas Medical Center.
ď‚§ The goal is to promote widespread mastery of CXR interpretation.
ď‚§ There is no personal health information [PHI] within and ages have been
changed to protect patient confidentiality.
Process
ď‚§ Many are contributing: Emergency Medicine, Fellows from the Center For
Advanced Practice, Trauma & Acute Care Surgery, SHVI, and Medical
Critical Care. Slides are shared with all contributors.
ď‚§ Cases submitted this week be distributed next week.
ď‚§ The 1st image will show a chest X-ray without identifiers and the 2nd image
will reveal the diagnoses.
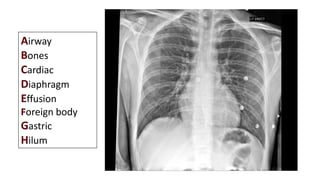
It’s All About The Anatomy!
Airway
Bones
Cardiac
Diaphragm
Effusion
Foreign body
Gastric
Hilum
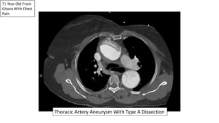
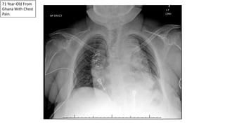
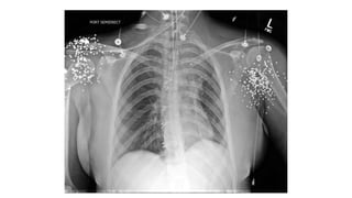
71 Year-Old From
Ghana With Chest
Pain.
71 Year-Old From
Ghana With Chest
Pain.
Thoracic Artery Aneurysm With Type A Dissection
71 Year-Old From
Ghana With Chest
Pain.
Thoracic Artery Aneurysm With Type A Dissection
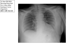
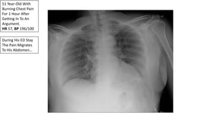
51 Year-Old With
Burning Chest Pain
For 1 Hour After
Getting In To An
Argument.
HR 57, BP 196/100
51 Year-Old With
Burning Chest Pain
For 1 Hour After
Getting In To An
Argument.
HR 57, BP 196/100
During His ED Stay
The Pain Migrates
To His Abdomen…
Aortic Dissection
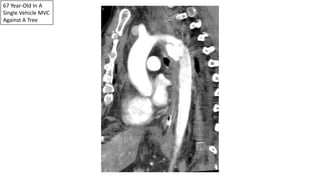
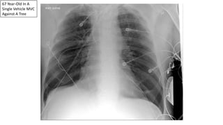
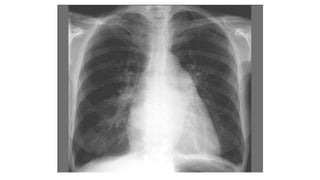
67 Year-Old In A
Single Vehicle MVC
Against A Tree
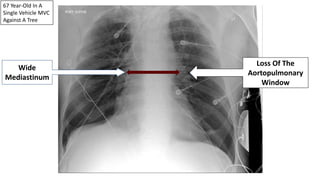
67 Year-Old In A
Single Vehicle MVC
Against A Tree
Wide
Mediastinum
Loss Of The
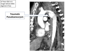
Aortopulmonary
Window
67 Year-Old In A
Single Vehicle MVC
Against A Tree
67 Year-Old In A
Single Vehicle MVC
Against A Tree
Traumatic
Pseudoaneurysm
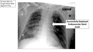
67 Year-Old In A
Single Vehicle MVC
Against A Tree
67 Year-Old In A
Single Vehicle MVC
Against A Tree
Successfully Deployed
Endovascular Stent
Graft
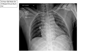
33 Year-Old Male On
A Moped Struck By A
Car
33 Year-Old Male On
A Moped Struck By A
Car
Wide
Mediastinum
Traumatic Aortic Disruption
33 Year-Old Male On
A Moped Struck By A
Car
Traumatic Aortic Disruption
2 Month-Old With
Respiratory
Distress.
2 Month-Old With
Respiratory
Distress.
Diaphragmatic Hernia
Bowel In
The Chest
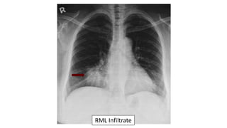
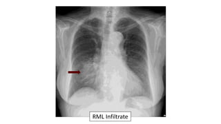
57 year old with cough
and shortness of
breath.
The CXR demonstrates:
a. Pulmonary edema
b. RLL pneumonia
c. RML pneumonia
d. Pulmonary embolus
e. Lung cancer
57 year old with cough
and shortness of
breath.
The CXR demonstrates:
a. Pulmonary edema
b. RLL pneumonia
c. RML pneumonia
d. Pulmonary embolus
e. Lung cancer
RML pneumonia:
ď‚§ Blurred right heart border
ď‚§ Lateral diaphragm clear
ď‚§ Often seen best on the lateral
RML Infiltrate
RML Infiltrate
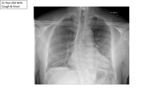
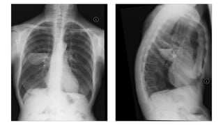
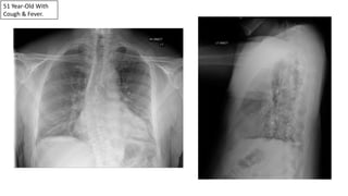
51 Year-Old With
Cough & Fever.
51 Year-Old With
Cough & Fever.
Pneumonias Can Be Subtle On The PA View Alone.
51 Year-Old With
Cough & Fever.
51 Year-Old With
Cough & Fever.
Retrocardiac LLL Pneumonia On The Lateral View
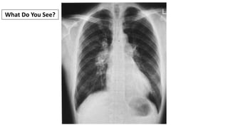
What Do You See?
What Do You See?
Pulmonary Arterial Hypertension
Enlarged Right
Pulmonary Artery
Enlarged Left
Pulmonary Artery
Valvular Heart Disease
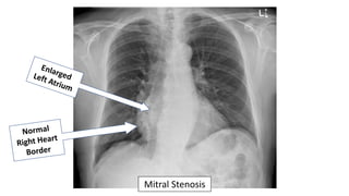
Which cardiac chamber is enlarged in patients with significant chronic
mitral stenosis?
• Right atrium
• Right ventricle
• Left atrium
• Left ventricle
Valvular Heart Disease
Which cardiac chamber is enlarged in patients with significant chronic
mitral stenosis?
• Right atrium
• Right ventricle
• Left atrium
• Left ventricle
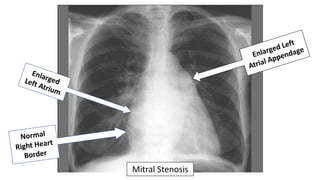
Mitral Stenosis
Mitral Stenosis
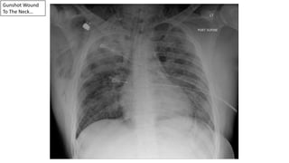
What Are You Worried About?
No Pulse
Left Arm!
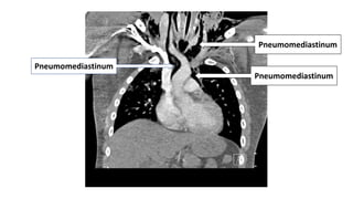
Gunshot Wound
To The Neck…
Gunshot Wound
To The Neck…
Injury To The Trachea & Esophagus
Pneumomediastinum
Pneumomediastinum
Pneumomediastinum
Pneumomediastinum
33 Year-Old With
Chest Pain
Situs Inversus
Heart & Stomach Both On The Wrong Side
Dextrocardia
Heart On The Wrong Side, Stomach On The Correct Side
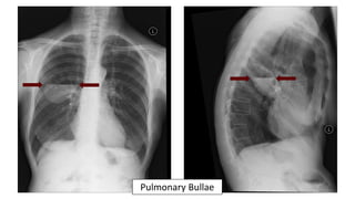
Pulmonary Bullae
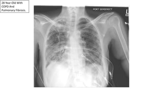
28 Year-Old With
COPD And
Pulmonary Fibrosis.
28 Year-Old With
COPD And
Pulmonary Fibrosis.
Recurrent Left Apical Pneumothorax
Summary Of Diagnoses This Week
• Aortic dissection
• Traumatic aortic disruption
• Right middle lobe pneumonia
• Various cases of pneumonia
• Pulmonary artery hypertension
• Left atrial enlargement from mitral stenosis
• Shot gun blast – pulseless left arm
• Pneumomediastinum/pneumopericardium
• Situs inversus & dextrocardia
• Pulmonary bullae
• Recurrent left apical pneumothorax
See You Next Week!

Dr. Michael Gibbs's CMC X-Ray Mastery Project - Week #2 Cases