Chest X-Rays Of The Week
Michael Gibbs, MD, FACEP, FAAEM
Professor And Chair
Department of Emergency Medicine
Carolinas Medical Center & Levine Children’s Hospital
Vice President of Research
Atrium Health
Chest X-Ray Mastery Project
April 1st 2019
Disclosures
 This ongoing chest X-ray interpretation series is proudly sponsored by the
Emergency Medicine Residency Program at Carolinas Medical Center.
 The goal is to promote widespread mastery of CXR interpretation.
 There is no personal health information [PHI] within, and ages have been
changed to protect patient confidentiality.
Process
 Many are contributing: Emergency Medicine, Fellows from the Center For
Advanced Practice, Trauma & Acute Care Surgery, SHVI, and Medical
Critical Care. Slides are shared with all contributors.
 Cases submitted this week will be distributed next week.
 When reviewing the presentation, the 1st image will show a chest X-ray
without identifiers and the 2nd image will reveal the diagnosis.
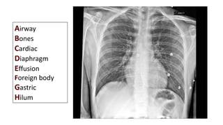
It’s All About The Anatomy!
Airway
Bones
Cardiac
Diaphragm
Effusion
Foreign body
Gastric
Hilum
13 Month Old
Being Treated For
Pneumonia In
The Setting Of
Recent Influenza
Now With More
Dyspnea
13 Month Old
Being Treated For
Pneumonia In
The Setting Of
Recent Influenza
Now With More
Dyspnea
Parapneumonic Effusion With Shift
Parapneumonic Effusion With Shift
500 cc Of
Purulent
Chest Tube
Output
13 Month Old
Being Treated For
Pneumonia In
The Setting Of
Recent Influenza
Now With More
Dyspnea
21 Year Old On A
Motorcycle That
Collided Head-On
With A Car
21 Year Old On A
Motorcycle That
Collided Head-On
With A Car
Wide Mediastinum
And Loss Of The
Aortopulmonary
Window
Traumatic Aortic Disruption
21 Year Old On A Motorcycle That Collided Head-On With A Car
Prior CXR Now
Traumatic Aortic Disruption
21 Year Old On A Motorcycle That Collided Head-On With A Car
Traumatic Aortic Disruption
21 Year Old On A Motorcycle That Collided Head-On With A Car
Traumatic Aortic Disruption
21 Year Old On A Motorcycle That Collided Head-On With A Car
Traumatic Aortic Disruption
21 Year Old On A Motorcycle That Collided Head-On With A Car
Traumatic Aortic Disruption
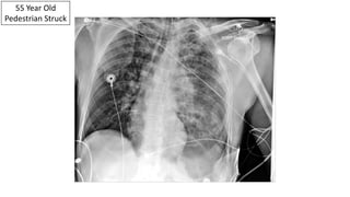
55 Year Old
Pedestrian Struck
55 Year Old
Pedestrian Struck
Wide Mediastinum
Tracheal Deviation
And Loss Of The
Aortopulmonary
Window
Traumatic Aortic Disruption & Multiple Rib Fractures
55 Year Old Pedestrian Struck
55 Year Old Pedestrian Struck
Traumatic Aortic Disruption
55 Year Old Pedestrian Struck
Traumatic Aortic Disruption
Successfully
Deployed TEVAR
55 Year Old Pedestrian Struck
55 Year Old
Pedestrian Struck
Multiple Posterior Rib Fractures
55 Year Old
Pedestrian Struck
Multiple Posterior Rib Fractures
*
*
*
*
*
*
*
TAD Chest X-Ray Findings
1. Wide mediastinum
2. Abnormal aortic contour
3. Loss of the aortopulmonary window
4. Tracheal deviation
5. Depressed left mainstem
6. Apical cap
7. Deviated nasogastric tube
8. Widened paratracheal stripe
Right Upper Lobe Pneumonia
Cough, Fever, Dyspnea
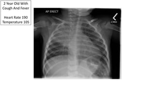
2 Year Old With
Cough And Fever
Heart Rate 190
Temperature 105
2 Year Old With
Cough And Fever
Heart Rate 190
Temperature 105
Right Upper Lobe Pneumonia
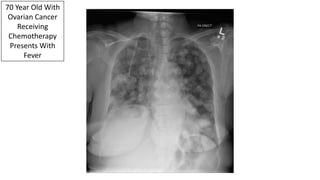
70 Year Old With
Ovarian Cancer
Receiving
Chemotherapy
Presents With
Fever
70 Year Old With
Ovarian Cancer
Receiving
Chemotherapy
Presents With
Fever
Diffuse Pulmonary Metastatic Disease
70 Year Old With
Ovarian Cancer
Receiving
Chemotherapy
Presents With
Fever
Diffuse Pulmonary Metastatic Disease
65 Year Old With
Hypertension
Presents To The
ED With Chest
Pain
65 Year Old With
Hypertension
Presents To The
ED With Chest
Pain
Wide
Mediastinum
Type A Aortic Dissection
65 Year Old With Hypertension Presents With Chest Pain
Type A Aortic Dissection
Comprehensive English language MEDLINE literature review from 1966 to 2000. Thirteen studies
permitted the analysis of 1337 chest X-rays.
 90% of patient with aortic dissection had at least one CXR abnormal finding
 The absence of a wide mediastinum had a [-] LR of 0.3 (95% CI: 0.2 – 0.4)
The absence of a wide mediastinum on chest X-Ray had a
negative likelihood ratio ranging from 0.14 to 0.60, making
this a finding decreases the risk of aortic dissection
Evidence-based review of nine studies between 1986 and 2013, [n=2,400]. The prevalence or aortic
dissection ranged form 21% to 76%.
2018
2018
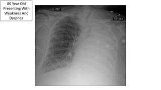
80 Year Old
Presenting With
Weakness And
Dyspnea
80 Year Old
Presenting With
Weakness And
Dyspnea
Left Mainstem Obstruction: Neoplasm Vs. Mucous Plug
80 Year Old
Presenting With
Weakness And
Dyspnea
Bronchoscopy Reveal A Mucous Plug
Summary Of Diagnoses This Week
• Parapneumonic effusion
• Traumatic aortic disruption
• Right upper lobe pneumonia
• Diffuse pulmonary metastatic disease
• Type A aortic dissection
• Left mainstem bronchus obstruction due to a mucous plug
See You Next Week!

Dr. Michael Gibbs's CMC X Ray Mastery Project - Week #8 Cases

  • 1.
    Chest X-Rays OfThe Week Michael Gibbs, MD, FACEP, FAAEM Professor And Chair Department of Emergency Medicine Carolinas Medical Center & Levine Children’s Hospital Vice President of Research Atrium Health Chest X-Ray Mastery Project April 1st 2019
  • 2.
    Disclosures  This ongoingchest X-ray interpretation series is proudly sponsored by the Emergency Medicine Residency Program at Carolinas Medical Center.  The goal is to promote widespread mastery of CXR interpretation.  There is no personal health information [PHI] within, and ages have been changed to protect patient confidentiality.
  • 3.
    Process  Many arecontributing: Emergency Medicine, Fellows from the Center For Advanced Practice, Trauma & Acute Care Surgery, SHVI, and Medical Critical Care. Slides are shared with all contributors.  Cases submitted this week will be distributed next week.  When reviewing the presentation, the 1st image will show a chest X-ray without identifiers and the 2nd image will reveal the diagnosis.
  • 4.
    It’s All AboutThe Anatomy!
  • 5.
  • 6.
    13 Month Old BeingTreated For Pneumonia In The Setting Of Recent Influenza Now With More Dyspnea
  • 7.
    13 Month Old BeingTreated For Pneumonia In The Setting Of Recent Influenza Now With More Dyspnea Parapneumonic Effusion With Shift
  • 8.
    Parapneumonic Effusion WithShift 500 cc Of Purulent Chest Tube Output 13 Month Old Being Treated For Pneumonia In The Setting Of Recent Influenza Now With More Dyspnea
  • 9.
    21 Year OldOn A Motorcycle That Collided Head-On With A Car
  • 10.
    21 Year OldOn A Motorcycle That Collided Head-On With A Car Wide Mediastinum And Loss Of The Aortopulmonary Window Traumatic Aortic Disruption
  • 11.
    21 Year OldOn A Motorcycle That Collided Head-On With A Car Prior CXR Now Traumatic Aortic Disruption
  • 12.
    21 Year OldOn A Motorcycle That Collided Head-On With A Car Traumatic Aortic Disruption
  • 13.
    21 Year OldOn A Motorcycle That Collided Head-On With A Car Traumatic Aortic Disruption
  • 14.
    21 Year OldOn A Motorcycle That Collided Head-On With A Car Traumatic Aortic Disruption
  • 15.
    21 Year OldOn A Motorcycle That Collided Head-On With A Car Traumatic Aortic Disruption
  • 16.
  • 17.
    55 Year Old PedestrianStruck Wide Mediastinum Tracheal Deviation And Loss Of The Aortopulmonary Window Traumatic Aortic Disruption & Multiple Rib Fractures
  • 18.
    55 Year OldPedestrian Struck
  • 19.
    55 Year OldPedestrian Struck Traumatic Aortic Disruption
  • 20.
    55 Year OldPedestrian Struck
  • 21.
    Traumatic Aortic Disruption Successfully DeployedTEVAR 55 Year Old Pedestrian Struck
  • 22.
    55 Year Old PedestrianStruck Multiple Posterior Rib Fractures
  • 23.
    55 Year Old PedestrianStruck Multiple Posterior Rib Fractures * * * * * * *
  • 24.
    TAD Chest X-RayFindings 1. Wide mediastinum 2. Abnormal aortic contour 3. Loss of the aortopulmonary window 4. Tracheal deviation 5. Depressed left mainstem 6. Apical cap 7. Deviated nasogastric tube 8. Widened paratracheal stripe
  • 25.
    Right Upper LobePneumonia Cough, Fever, Dyspnea
  • 26.
    2 Year OldWith Cough And Fever Heart Rate 190 Temperature 105
  • 27.
    2 Year OldWith Cough And Fever Heart Rate 190 Temperature 105 Right Upper Lobe Pneumonia
  • 28.
    70 Year OldWith Ovarian Cancer Receiving Chemotherapy Presents With Fever
  • 29.
    70 Year OldWith Ovarian Cancer Receiving Chemotherapy Presents With Fever Diffuse Pulmonary Metastatic Disease
  • 30.
    70 Year OldWith Ovarian Cancer Receiving Chemotherapy Presents With Fever Diffuse Pulmonary Metastatic Disease
  • 31.
    65 Year OldWith Hypertension Presents To The ED With Chest Pain
  • 32.
    65 Year OldWith Hypertension Presents To The ED With Chest Pain Wide Mediastinum Type A Aortic Dissection
  • 33.
    65 Year OldWith Hypertension Presents With Chest Pain Type A Aortic Dissection
  • 34.
    Comprehensive English languageMEDLINE literature review from 1966 to 2000. Thirteen studies permitted the analysis of 1337 chest X-rays.  90% of patient with aortic dissection had at least one CXR abnormal finding  The absence of a wide mediastinum had a [-] LR of 0.3 (95% CI: 0.2 – 0.4)
  • 36.
    The absence ofa wide mediastinum on chest X-Ray had a negative likelihood ratio ranging from 0.14 to 0.60, making this a finding decreases the risk of aortic dissection Evidence-based review of nine studies between 1986 and 2013, [n=2,400]. The prevalence or aortic dissection ranged form 21% to 76%. 2018
  • 37.
  • 38.
    80 Year Old PresentingWith Weakness And Dyspnea
  • 39.
    80 Year Old PresentingWith Weakness And Dyspnea Left Mainstem Obstruction: Neoplasm Vs. Mucous Plug
  • 40.
    80 Year Old PresentingWith Weakness And Dyspnea Bronchoscopy Reveal A Mucous Plug
  • 41.
    Summary Of DiagnosesThis Week • Parapneumonic effusion • Traumatic aortic disruption • Right upper lobe pneumonia • Diffuse pulmonary metastatic disease • Type A aortic dissection • Left mainstem bronchus obstruction due to a mucous plug
  • 42.