MINIMALLY INVASIVE
SURGICAL MANAGEMENT
OF DIABETIC FOOT
(The Charcot Foot)
PROF. SALAH EL-NOUR, F.R.C.S.
DEPARTMENT OF ORTHOPEDICS
SECURITY FORCES HOSPITAL PROGRAM
MIS
Diabetes Mellitus
EPIDEMIOLOGY
 800,000 new cases / year (USA)
 10,000,000 people currently diagnosed
 5,000,000 Potential
 Leading cause of lower extremity amputations
(LEA) in both the U.S.A. & Europe
 50% of all non-traumatic LEA occur in people with
diabetes = 56,000 cases / year
 20% of all diabetic patients will develop a
significant ulcer = 1,500,000 cases
MIS
Diabetes Mellitus
THE COST of CARE - $$$$$$$$
 2005 = $120,000,000,000 (billion!)
 Hospital related care = $44.1 Billion
 Ulcer Care = $4,595 / ulcer
 $28,000 more for next 2 years of care
 1999 – 800,000 prevalent ulcers @ $5,457 /
patient = $5 Billion
 Cost of LEA = $20,00 - $40,000
ECONOMICS:
MIS
AETIOLOGY
 ENDOCRINE
 VASCULAR
small & large vessels (Arteriosclerosis, Microangiopathy, V. Nervousa
 NEURAL
Central & Peripheral Nervous System
Segmental Demylination
Degeneration of Sensory Fibers
Neurodystrophic changes
 BONE
Vascular & Neural element
Osteopathic lesion
Charcot Arthropathy
Infection
 MUSCLOSKELETAL
Ulceration, Charcot Arthropathy, Infection
MIS
ULCER FORMATION
 Callosity, Dryness
 Breakage
 Cavity Contamination
 Blockage Spread
 Pressure Point
 Trophic Changes
 Perforating Planter Ulcer
MIS
DEEP
HOSPITALIZE
IV ANTIBIOTICS
SURGICAL CARE
(Local & Causes)
SUPERFICIAL
OUT- PATIENT
ANTIBIOTICS, REST,
CARE
IMPROVED 48 - 72
HRS.
NOT
IMPROVED
DIABETIC FOOT INFECTION
PROTECTION
CONTACT PLASTER,
AFO, DIABETIC SHOES
Aim: Plantigrade stable, shoeable foot
MIS
FACTORS CAUSING AND PROMOTING
ULCERATION & INFECTIONS
INFECTION
GOOD
FOOTCARE
ULCERATION
PROMOTE
HEALING
 Mechanical
 Vascular
 Hematological
 Immunological
 Bacteriological
 Chemotaxis & Phagocytosis
MIS
LOAD DISTRIBUTION & PRESSURE POINTS
MIS
Patterns of Bone &Joint Destruction
(Ulcers & Charcot)
 Forefoot: MTP, IP
 Lisfranc:
 Chopart: TN-, CC- joint
 Ankle joint
 Calcaneus
MIS
Surgical Management of Diabetic Foot
 Prophylactic surgery: (MIS)
 Soft tissue release (ETA, G.Recession)
 T. Achillis lengthening ( 80% for foot, 10% hind
foot ulcer healing)
 Osteotomis and fusion
 Limb salvage procedure (Vascular)
MIS
Lengthening of Achilles
Tendon
 aim: pressure release
on midfoot
 technic: gastrocnemius
resection
 G. Release, ETA
 Load Mid & Fore foot
 Prerequisite for Ulcer Prevention & Healing
MIS
Exostosectomy
 remove plantar bony
prominences
 produce a plantigrade
foot - to give the
shoemaker a chance
Internal decubitus
Exostectomy
M/L Incision, Plantigrade surface
Contact Cast, AFO, >> Chance Shoemaker
MIS
Diabetic Charcot Arthropathy
THE SEQUENCE OF EVENTS
 Maintain Suspicion Index  Recognize at risk patient
 A Swollen Foot -------- MISDIAGNOSIS
 Deformity of the Foot
 Foot Ulceration(s)
 Infection / Osteomyelitis / Disintegration
 Partial / Complete Amputation
 Dilemma: Progressive, Non Infective Destructive
Process Associated with Neuropathy
MIS
Natural History of Charcot Foot
 Stage of acute, destructive period
 Stage of coalescence: destruction, healing
 Stage of reconstruction: further repair and
remodelling of bone, restore stability
Charcot joints 1966 Springfield III
STAGES:
MIS
MIS
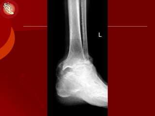
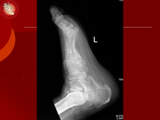
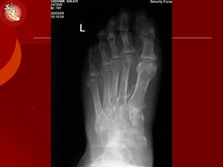
2007
Diabetic Charcot Arthropathy
Case Presentation
MIS
Stage 0 Charcot Foot
LONG TERM TREATMENT
 Custom Bracing
 Custom Orthotic Devices
 Custom Shoes
 Periodic Monitoring
 Serial Radiographs
 Prophylactic Bracing of
Contralateral Limb
 Further Patient & Family
Education
MIS
The Charcot Joint
 Deformily 
 Instability 
 Pain 
 Prophylactic Surgery?
 Anthrodesis (Regidity)
MIS
MIS
MIS
MIS
Diabetic Charcot Arthropathy
RELOCATION ARTHRODESIS
MIS
Thank You
MIS

Diabetic Foot 2008.ppt

  • 1.
    MINIMALLY INVASIVE SURGICAL MANAGEMENT OFDIABETIC FOOT (The Charcot Foot) PROF. SALAH EL-NOUR, F.R.C.S. DEPARTMENT OF ORTHOPEDICS SECURITY FORCES HOSPITAL PROGRAM MIS
  • 2.
    Diabetes Mellitus EPIDEMIOLOGY  800,000new cases / year (USA)  10,000,000 people currently diagnosed  5,000,000 Potential  Leading cause of lower extremity amputations (LEA) in both the U.S.A. & Europe  50% of all non-traumatic LEA occur in people with diabetes = 56,000 cases / year  20% of all diabetic patients will develop a significant ulcer = 1,500,000 cases MIS
  • 3.
    Diabetes Mellitus THE COSTof CARE - $$$$$$$$  2005 = $120,000,000,000 (billion!)  Hospital related care = $44.1 Billion  Ulcer Care = $4,595 / ulcer  $28,000 more for next 2 years of care  1999 – 800,000 prevalent ulcers @ $5,457 / patient = $5 Billion  Cost of LEA = $20,00 - $40,000 ECONOMICS: MIS
  • 4.
    AETIOLOGY  ENDOCRINE  VASCULAR small& large vessels (Arteriosclerosis, Microangiopathy, V. Nervousa  NEURAL Central & Peripheral Nervous System Segmental Demylination Degeneration of Sensory Fibers Neurodystrophic changes  BONE Vascular & Neural element Osteopathic lesion Charcot Arthropathy Infection  MUSCLOSKELETAL Ulceration, Charcot Arthropathy, Infection MIS
  • 5.
    ULCER FORMATION  Callosity,Dryness  Breakage  Cavity Contamination  Blockage Spread  Pressure Point  Trophic Changes  Perforating Planter Ulcer
  • 6.
  • 7.
    DEEP HOSPITALIZE IV ANTIBIOTICS SURGICAL CARE (Local& Causes) SUPERFICIAL OUT- PATIENT ANTIBIOTICS, REST, CARE IMPROVED 48 - 72 HRS. NOT IMPROVED DIABETIC FOOT INFECTION PROTECTION CONTACT PLASTER, AFO, DIABETIC SHOES Aim: Plantigrade stable, shoeable foot MIS
  • 8.
    FACTORS CAUSING ANDPROMOTING ULCERATION & INFECTIONS INFECTION GOOD FOOTCARE ULCERATION PROMOTE HEALING  Mechanical  Vascular  Hematological  Immunological  Bacteriological  Chemotaxis & Phagocytosis MIS
  • 9.
    LOAD DISTRIBUTION &PRESSURE POINTS MIS
  • 10.
    Patterns of Bone&Joint Destruction (Ulcers & Charcot)  Forefoot: MTP, IP  Lisfranc:  Chopart: TN-, CC- joint  Ankle joint  Calcaneus MIS
  • 11.
    Surgical Management ofDiabetic Foot  Prophylactic surgery: (MIS)  Soft tissue release (ETA, G.Recession)  T. Achillis lengthening ( 80% for foot, 10% hind foot ulcer healing)  Osteotomis and fusion  Limb salvage procedure (Vascular) MIS
  • 13.
    Lengthening of Achilles Tendon aim: pressure release on midfoot  technic: gastrocnemius resection  G. Release, ETA  Load Mid & Fore foot  Prerequisite for Ulcer Prevention & Healing MIS
  • 14.
    Exostosectomy  remove plantarbony prominences  produce a plantigrade foot - to give the shoemaker a chance Internal decubitus Exostectomy M/L Incision, Plantigrade surface Contact Cast, AFO, >> Chance Shoemaker MIS
  • 15.
    Diabetic Charcot Arthropathy THESEQUENCE OF EVENTS  Maintain Suspicion Index  Recognize at risk patient  A Swollen Foot -------- MISDIAGNOSIS  Deformity of the Foot  Foot Ulceration(s)  Infection / Osteomyelitis / Disintegration  Partial / Complete Amputation  Dilemma: Progressive, Non Infective Destructive Process Associated with Neuropathy MIS
  • 16.
    Natural History ofCharcot Foot  Stage of acute, destructive period  Stage of coalescence: destruction, healing  Stage of reconstruction: further repair and remodelling of bone, restore stability Charcot joints 1966 Springfield III STAGES: MIS
  • 17.
  • 18.
  • 20.
    Stage 0 CharcotFoot LONG TERM TREATMENT  Custom Bracing  Custom Orthotic Devices  Custom Shoes  Periodic Monitoring  Serial Radiographs  Prophylactic Bracing of Contralateral Limb  Further Patient & Family Education MIS
  • 21.
    The Charcot Joint Deformily   Instability   Pain   Prophylactic Surgery?  Anthrodesis (Regidity) MIS
  • 26.
  • 28.
  • 29.
  • 30.
  • 31.