NEET PG FEB 2023
Q. A 30 year old male presents with flaccid bullae on an erythematous base and erosions
over the oral mucous membrane. The blisters developed painful erosions on rupture.
What would be the most likely finding on an immunofluorescent examination of the skin
biopsy of this patient?
a. Linear IgA deposition in dermoepidermal junction
b. Linear IgG deposition in dermoepidermal junction
c. Fish net IgG deposition in epidermis
d. Granular deposits of IgA in dermal papillae
Q. Patient presented with around 10-20 b/l but asymmetrical erythematous infiltrated
plaques as shown in the IMAGE. Lessions are of varied size and bizarre shapes with
irregular borders and have geographic appearance. Diagnosis?
a. TT
b. BT
c. BB
d. LL
Inverted Saucer
Q. Fifteen year old girl presented with history of hair loss since last 2weeks as shown in
IMAGE. Patient is otherwise well. On closer examination of the site revelled multiple
broken hair follicles. Diagnosis?
a. Trichotillomania showing characteristic hair of various lengths
b. Pseudopelade of Brocq showing footprints in the snow pattern
c. Alopecia areata showing exclaimation mark hair
d. Ludwig type of androgenic alopecia showing miniature hair
Q. Patient presented with the following lesion. This is characteristic of which disease?
a. Pustular psoriasis
b. Dermatomyositis
c. guttate psoriasis
d. scleroderma
Q. Identify the phenomenon shown in the image:
a. Isomorphic phenomenon
b. Reverse isomorphic
c. Gottron’s papule
d. Nikolsky sign
Q. Which cell is not present in the shown layer:
a. Keratinocyte
b. Merkel cell
c. Melanocyte
d. Langerhans cells
Q. A man is having multiple, painful, non indurated, undermined, ulcer with sloughed
edges over glans which occurred 5 days after sexual exposure; most likely finding is
a. School of fish appearance on grams stain
b. spiral organisms on dark ground microscopy
c. Multinucleate giant cells on Tzank smear
d. Groove sign on inguinal examination
Q. A 26 year old male came to OPD with a belly button rash. It is slightly itchy and
uncomfortable in wearing pants. What is the potential agent for the same?
a. Chromium allergy
b. Nickel allergy
c. Potassium Di chromate allergy
d. PPD allergy
Allergens Sources
Nickel, cobalt Artificial jewellery, jean buttons
Chromium Cement, Painting
Potassium dichromate Leather, detergents, paint
Epoxy resins, phenols Plastics
Parthenium Plants
Propylene glycol Cosmetics, medicaments
PPD Hair dyes
Neomycin, gentamycin Topical medications
PTBP Bindi
Q. A 12-year-old male who is a kidney transplant recipient presents with multiple brown
keratotic papules are seen on the forehead and scalp. Which of the following is the
common cause?
a. HPV subtype 6,11
b. HPV subtype 2,4
c. HPV subtype 3,10
d. HPV subtype 16,18
Q. The test shown in the Image is an example for?
a. Type 1 hypersensitivity
b. Type 2 hypersensitivity
c. Type 3 hypersensitivity
d. Type 4 hypersensitivity
Q. A child is a known case of asthma well controlled on medication. he came to the OPD
and physician noticed an important clinical sign in patient. What is it?
a. Head light sign
b. Dennie Morgan fold
c. Hertoghe’s sign
d. Keratoconus
Asthma
Allergic
Rhinitis
(Hay fever)
Atopic
Dermatitis
Q. A 28-year-old female complaints that in the previous 3–4 years all his toe nails have
changed in colour. In addition, the rate of nail growth has slowed enormously. No other
complaints are there. What treatment should be recommended for the most likely
diagnosis?
a. Topical mild steroids
b. Topical terbinafine for 4 weeks
c. Oral terbinafine for 6 weeks
d. Oral terbinafine for 3 months
Q. Tuberculids are type of cutaneous tb .Which of the following statement is incorrect for
the same?
a. Low CMI so Mantoux is negative
b. No AFB on culture from skin biopsy sample .
c. Focus of TB infection is elsewhere
d. Responds positively to ATT
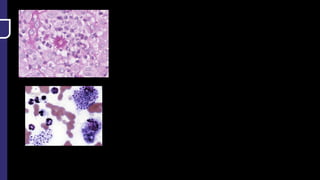
Q. A farmer from UP came to the OPD with ulcerating nodules on hand with pus
discharge from the same. It slowly progressing and worsening. On examination regional
lymphadenopathy is seen. The doctor ordered HPE with below finding .
Diagnosis is?
a. Fish tank granuloma
b. Leishmaniasis
c. Sporotrichosis
d. Sarcoidosis
Q. A 50 year old male presents with a solitary ulcer over face since 2 months. On
examination a solitary ulcer with beaded margin with telangiectasias seen over right
cheek as shown in Image, diagnosis?
a. Squamous cell carcinoma
b. Basal cell carcinoma
c. Malignant melanoma
d. Keratoacanthoma
THANK YOU

Derma-NEETPGMarathon-DrKhushbu High Yield Derma

  • 1.
  • 2.
    Q. A 30year old male presents with flaccid bullae on an erythematous base and erosions over the oral mucous membrane. The blisters developed painful erosions on rupture. What would be the most likely finding on an immunofluorescent examination of the skin biopsy of this patient? a. Linear IgA deposition in dermoepidermal junction b. Linear IgG deposition in dermoepidermal junction c. Fish net IgG deposition in epidermis d. Granular deposits of IgA in dermal papillae
  • 6.
    Q. Patient presentedwith around 10-20 b/l but asymmetrical erythematous infiltrated plaques as shown in the IMAGE. Lessions are of varied size and bizarre shapes with irregular borders and have geographic appearance. Diagnosis? a. TT b. BT c. BB d. LL
  • 9.
  • 11.
    Q. Fifteen yearold girl presented with history of hair loss since last 2weeks as shown in IMAGE. Patient is otherwise well. On closer examination of the site revelled multiple broken hair follicles. Diagnosis? a. Trichotillomania showing characteristic hair of various lengths b. Pseudopelade of Brocq showing footprints in the snow pattern c. Alopecia areata showing exclaimation mark hair d. Ludwig type of androgenic alopecia showing miniature hair
  • 14.
    Q. Patient presentedwith the following lesion. This is characteristic of which disease? a. Pustular psoriasis b. Dermatomyositis c. guttate psoriasis d. scleroderma
  • 17.
    Q. Identify thephenomenon shown in the image: a. Isomorphic phenomenon b. Reverse isomorphic c. Gottron’s papule d. Nikolsky sign
  • 20.
    Q. Which cellis not present in the shown layer: a. Keratinocyte b. Merkel cell c. Melanocyte d. Langerhans cells
  • 23.
    Q. A manis having multiple, painful, non indurated, undermined, ulcer with sloughed edges over glans which occurred 5 days after sexual exposure; most likely finding is a. School of fish appearance on grams stain b. spiral organisms on dark ground microscopy c. Multinucleate giant cells on Tzank smear d. Groove sign on inguinal examination
  • 30.
    Q. A 26year old male came to OPD with a belly button rash. It is slightly itchy and uncomfortable in wearing pants. What is the potential agent for the same? a. Chromium allergy b. Nickel allergy c. Potassium Di chromate allergy d. PPD allergy
  • 32.
    Allergens Sources Nickel, cobaltArtificial jewellery, jean buttons Chromium Cement, Painting Potassium dichromate Leather, detergents, paint Epoxy resins, phenols Plastics Parthenium Plants Propylene glycol Cosmetics, medicaments PPD Hair dyes Neomycin, gentamycin Topical medications PTBP Bindi
  • 34.
    Q. A 12-year-oldmale who is a kidney transplant recipient presents with multiple brown keratotic papules are seen on the forehead and scalp. Which of the following is the common cause? a. HPV subtype 6,11 b. HPV subtype 2,4 c. HPV subtype 3,10 d. HPV subtype 16,18
  • 37.
    Q. The testshown in the Image is an example for? a. Type 1 hypersensitivity b. Type 2 hypersensitivity c. Type 3 hypersensitivity d. Type 4 hypersensitivity
  • 40.
    Q. A childis a known case of asthma well controlled on medication. he came to the OPD and physician noticed an important clinical sign in patient. What is it? a. Head light sign b. Dennie Morgan fold c. Hertoghe’s sign d. Keratoconus
  • 41.
  • 48.
    Q. A 28-year-oldfemale complaints that in the previous 3–4 years all his toe nails have changed in colour. In addition, the rate of nail growth has slowed enormously. No other complaints are there. What treatment should be recommended for the most likely diagnosis? a. Topical mild steroids b. Topical terbinafine for 4 weeks c. Oral terbinafine for 6 weeks d. Oral terbinafine for 3 months
  • 52.
    Q. Tuberculids aretype of cutaneous tb .Which of the following statement is incorrect for the same? a. Low CMI so Mantoux is negative b. No AFB on culture from skin biopsy sample . c. Focus of TB infection is elsewhere d. Responds positively to ATT
  • 58.
    Q. A farmerfrom UP came to the OPD with ulcerating nodules on hand with pus discharge from the same. It slowly progressing and worsening. On examination regional lymphadenopathy is seen. The doctor ordered HPE with below finding . Diagnosis is? a. Fish tank granuloma b. Leishmaniasis c. Sporotrichosis d. Sarcoidosis
  • 62.
    Q. A 50year old male presents with a solitary ulcer over face since 2 months. On examination a solitary ulcer with beaded margin with telangiectasias seen over right cheek as shown in Image, diagnosis? a. Squamous cell carcinoma b. Basal cell carcinoma c. Malignant melanoma d. Keratoacanthoma
  • 67.