DevelopmentalDevelopmental
Dysplasia of the HipDysplasia of the Hip
Dr.HARDIK S PAWARDr.HARDIK S PAWAR
DEPARTMENT OF ORTHOPAEDICSDEPARTMENT OF ORTHOPAEDICS
CARE HOSPITALSCARE HOSPITALS
OverviewOverview
 IntroductionIntroduction
 Normal Development of the HipNormal Development of the Hip
 Etiology and PathoanatomyEtiology and Pathoanatomy
 Epidemiology and DiagnosisEpidemiology and Diagnosis
 TreatmentTreatment
 ComplicationsComplications
IntroductionIntroduction
 Developmental Dysplasia of the HipDevelopmental Dysplasia of the Hip
 Intracapsular displacementIntracapsular displacement
 SubluxationSubluxation
 Dislocation-usually posterosuperior (reducibleDislocation-usually posterosuperior (reducible
vs irreducible)vs irreducible)
 DysplasiaDysplasia
 Before, during or just after birthBefore, during or just after birth
HISTORYHISTORY
 Chapple and davidson – 1941Chapple and davidson – 1941
 Muller and seddon – 1953Muller and seddon – 1953
 AR hodgson - 1959AR hodgson - 1959
 Wilkinson - 1963Wilkinson - 1963
EPIDEMIOLOGYEPIDEMIOLOGY
 1/1,000 born with dislocated hip1/1,000 born with dislocated hip
 10/10,000 born with subluxation or dysplasia10/10,000 born with subluxation or dysplasia
 5:1 Female:Male child5:1 Female:Male child
 Left 60% (left occiput ant), Right 20%, both 20%Left 60% (left occiput ant), Right 20%, both 20%
 Risk FactorsRisk Factors
 Family history (6% one affected child, 12% oneFamily history (6% one affected child, 12% one
affected parent, 36% one child + one parent)affected parent, 36% one child + one parent)
 OligohydramniosOligohydramnios
 Breech (sustained hamstring forces)Breech (sustained hamstring forces)
 Native Americans (swaddling cultures)Native Americans (swaddling cultures)
 Torticollis or LE deformityTorticollis or LE deformity
Normal DevelopmentNormal Development
 EmbryonicEmbryonic
 7-87-8thth
th week - acetabulum and head formedth week - acetabulum and head formed
from same primitive mesenchymal cellsfrom same primitive mesenchymal cells
 11th week - complete devlopement of hip11th week - complete devlopement of hip
 Prox fem ossific nucleus - 4-7 monthsProx fem ossific nucleus - 4-7 months
 Hip at risk of dislocation at 4 period :Hip at risk of dislocation at 4 period :
at 12at 12thth
weekweek
at 18at 18thth
weekweek
final 4 weeksfinal 4 weeks
post natal periodpost natal period
Normal HipNormal Hip
GARDES OF DDHGARDES OF DDH
Grade 1 : subluxtable hip
Grade 2 : dislocatable
Grade 3 : severe
PathologyPathology
 Ranges from mild dysplasia --> frankRanges from mild dysplasia --> frank
dislocationdislocation
 Bony changes soft tissue chagesBony changes soft tissue chages
 Acetabulum capsuleAcetabulum capsule
 Head musclesHead muscles
 Femoral NeckFemoral Neck
 PelvisPelvis
PathoanatomyPathoanatomy
 Soft tissue changesSoft tissue changes
 Usually secondary to prolonged subluxation orUsually secondary to prolonged subluxation or
dislocationdislocation
 IntraarticularIntraarticular
 LabrumLabrum
 Inverted + adherent to capsule (closed reduction withInverted + adherent to capsule (closed reduction with
inverted labruminverted labrum assoc with increased Avascular Necrosis)assoc with increased Avascular Necrosis)
 Ligamentum teresLigamentum teres
 Hypertrophied + lengthenedHypertrophied + lengthened
 PulvinarPulvinar
 Fibrofatty tissue migrating into acetabulumFibrofatty tissue migrating into acetabulum
PathoanatomyPathoanatomy
 Soft Tissue (Intraarticular)Soft Tissue (Intraarticular)
 Transverse acetabular ligamentTransverse acetabular ligament
 ContractedContracted
 LimbusLimbus
 Fibrous tissue formed from capsular tissueFibrous tissue formed from capsular tissue
interposed between everted labrum and acetabularinterposed between everted labrum and acetabular
rimrim
 ExtraarticularExtraarticular
 Tight adductors (adductor longus)Tight adductors (adductor longus)
 IliopsoasIliopsoas
Tough Reductions…Tough Reductions…
 Obstacles to reductionObstacles to reduction
 ExtraarticularExtraarticular
 Tight iliopsoas andTight iliopsoas and
adductorsadductors
 IntraarticularIntraarticular
 LabrumLabrum
 Ligamentum teresLigamentum teres
 Transverse acetabularTransverse acetabular
ligamentligament
 PulvinarPulvinar
 Redundant capsuleRedundant capsule
(hourglass)(hourglass)
 +/- limbus+/- limbus
Etiology and EpidemiologyEtiology and Epidemiology
 MultifactorialMultifactorial
 Genetics and SyndromesGenetics and Syndromes
 Ehler’s DanlosEhler’s Danlos
 ArthrogryposisArthrogryposis
 Larsen’s syndromeLarsen’s syndrome
 Intrauterine environmental factorsIntrauterine environmental factors
 TeratogensTeratogens
 Positioning (oligohydramnios)Positioning (oligohydramnios)
 Neurologic DisordersNeurologic Disorders
 Spina Bifida ,CP , polio , myelomonigoceleSpina Bifida ,CP , polio , myelomonigocele
DiagnosisDiagnosis
 Newborn screeningNewborn screening
 Ortolani’s and Barlow’s maneuvers with aOrtolani’s and Barlow’s maneuvers with a
thorough history and physicalthorough history and physical
 Warm, quiet environment with removal ofWarm, quiet environment with removal of
diaperdiaper
 Head to toe exam to detect any associatedHead to toe exam to detect any associated
conditons (Torticollis, Ligamentous Laxityconditons (Torticollis, Ligamentous Laxity
etc.)etc.)
 Baseline Neuro and Spine ExamBaseline Neuro and Spine Exam
DiagnosisDiagnosis
 Key physical findingsKey physical findings
 AsymmetryAsymmetry
 Limb length- GaleazziLimb length- Galeazzi
 Telsescopic testTelsescopic test
 Limited AbductionLimited Abduction
 Skin foldsSkin folds
 LimpLimp
 TrendelenbergTrendelenberg
 Waddilng gait /Waddilng gait /
hyperlordosis - bilateralhyperlordosis - bilateral
involvementinvolvement
 Vascular sign of narathVascular sign of narath
Clinical Features : NeonatesClinical Features : Neonates
Delicate “clunk” thatDelicate “clunk” that
is palpable but notis palpable but not
audibleaudible
Repeat sequence 4-5Repeat sequence 4-5
times to be certain oftimes to be certain of
findingsfindings
If both signs negativeIf both signs negative
but pt is high risk :but pt is high risk :
follow up is essentialfollow up is essential
Clinical features : InfantsClinical features : Infants
Progression fromProgression from
instability to dislocationinstability to dislocation
is gradual processis gradual process
In some within a fewIn some within a few
weeksweeks
others the hipothers the hip
dislocation remainsdislocation remains
reducible up to 5 or 6reducible up to 5 or 6
months of age.months of age.
When the hip no longerWhen the hip no longer
reducible, specificreducible, specific
physical findingsphysical findings
appearappear
Limitation of AbductionLimitation of Abduction
MOST RELIABLE SIGNMOST RELIABLE SIGN
Galeazzi’s SignGaleazzi’s Sign
Asymmetric gluteal, thigh, labialAsymmetric gluteal, thigh, labial
foldsfolds
TelescopyTelescopy
Klisic’s TestKlisic’s Test
Walking child:Walking child:
LLDLLD
↓↓AbductionAbduction
Tip-toe-walkingTip-toe-walking
Trendelenberg gaitTrendelenberg gait
Waddling [B/L]Waddling [B/L]
↑↑lumbar lordosislumbar lordosis
Clinical Features : WalkingClinical Features : Walking
ChildChild
 Trendelenburg's signTrendelenburg's sign
 Trendelenburg gaitTrendelenburg gait
Clinical Features : NeonatesClinical Features : Neonates
BARLOW’S TEST (BARLOW’S TEST ( bahar lobahar lo))
Clinical Features : NeonatesClinical Features : Neonates
BARLOW’S TEST (BARLOW’S TEST ( bahar lobahar lo))
Clinical Features : NeonatesClinical Features : Neonates
ORTOLANI SIGNORTOLANI SIGN
Clinical Features : NeonatesClinical Features : Neonates
ORTOLANI SIGNORTOLANI SIGN
Ortolani’s ManeuverOrtolani’s Maneuver
Barlow’s ManeuverBarlow’s Maneuver
DiagnosisDiagnosis
 Some cases still missedSome cases still missed
 At risk groups should be further screenedAt risk groups should be further screened
 AAPAAP
 Recs further imaging (e.g. US) if exam isRecs further imaging (e.g. US) if exam is
“inconclusive” AND“inconclusive” AND
 First degree relative + femaleFirst degree relative + female
 BreechBreech
 Positive provocative maneuver (Ortolani or Barlow)Positive provocative maneuver (Ortolani or Barlow)
 Referral to OrthopaedistReferral to Orthopaedist
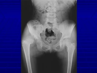
ImagingImaging
 X-raysX-rays
 Femoral head ossification centerFemoral head ossification center
 4 -7 months4 -7 months
 UltrasoundUltrasound
 Operator dependentOperator dependent
 CTCT
 MRIMRI
 ArthrogramsArthrograms
 Open vs closed reductionOpen vs closed reduction
ImagingImaging
 RadiographsRadiographs
ImagingImaging
 RadiographsRadiographs
ImagingImaging
 RadiographsRadiographs
ImagingImaging
 RadiographsRadiographs
ImagingImaging
 Acetabular IndexAcetabular Index
ImagingImaging
 Acetabular IndexAcetabular Index
ImagingImaging
 Acetabular IndexAcetabular Index
< 30° wnl
ImagingImaging
ImagingImaging
ImagingImaging
ImagingImaging
RadiographsRadiographs
Newborns 27.5 degrees
6 months 23.5 degrees
2 years 20 degrees
Centre – Edge Angle WibergCentre – Edge Angle Wiberg
6 – 13 years >19
degrees
>14 years > 25
degrees
ANDREN-von ROSENANDREN-von ROSEN
LINELINE
AP X-ray: hip in 45AP X-ray: hip in 45°abduction and IR°abduction and IR
Describes the longitudinal relationship betweenDescribes the longitudinal relationship between
long axis of femur and acetabulumlong axis of femur and acetabulum
Tear dropTear drop
AP X-rayAP X-ray
Lateral:wall ofLateral:wall of
acetabulumacetabulum
Medial:lesser pelvisMedial:lesser pelvis
Inferior :acetabularInferior :acetabular
notchnotch
Appears between 6-23Appears between 6-23
momo
[delayed in DDH][delayed in DDH]
Radiographs SummaryRadiographs Summary
 Femoral head appears 4 - 7 monthsFemoral head appears 4 - 7 months
 Shenton’s lineShenton’s line
 Perkin’s and Hilgenreiner’s linesPerkin’s and Hilgenreiner’s lines
 Inferomedial quadrantInferomedial quadrant
 Center Edge Angle (< 20 abnormal)Center Edge Angle (< 20 abnormal)
 Acetabular indexAcetabular index
 Normal < 30 (Weintroub et al)Normal < 30 (Weintroub et al)
 Tear drop*Tear drop*
 Abnormal widening in DDHAbnormal widening in DDH
*may be only sign in mild subluxation*may be only sign in mild subluxation
ImagingImaging
 UltrasoundUltrasound
 Introduced in 1978 for eval of DDHIntroduced in 1978 for eval of DDH
 Operator dependentOperator dependent
 Useful in confirming subluxation, identifyingUseful in confirming subluxation, identifying
dysplasia of cartilaginous acetabulum,dysplasia of cartilaginous acetabulum,
documenting reducibilitydocumenting reducibility
 Prox Femoral Ossification Center interferesProx Femoral Ossification Center interferes
 Requires a window in spica cast (avoid)Requires a window in spica cast (avoid)
UltrasoundUltrasound
Femoral head
Abductors
Ilium
UltrasoundUltrasound
Femoral head
Abductors
Ilium
UltrasoundUltrasound
Femoral head
Abductors
Ilium
UltrasoundUltrasound
Femoral head
Abductors
Ilium
UltrasoundUltrasound
Graf’s alpha
angle
UltrasoundUltrasound
Graf’s alpha
angle
>60° = normal
*line w/ ilium
bisects head 50/50
UltrasonographyUltrasonography
 lpha angle measures bony acetabuluBetalpha angle measures bony acetabuluBeta
angle measures cartilagenous acetabulumangle measures cartilagenous acetabulum
UltrasonographyUltrasonography
 Harcke & Kumar technique:Harcke & Kumar technique:
 Dynamic examination with stress views thatDynamic examination with stress views that
mirror Barlow’s & Ortolani’s maneuvermirror Barlow’s & Ortolani’s maneuver
Graf classification
ArthrogramArthrogram
Severin [1941]Severin [1941]
Normal appearance:Normal appearance:
LABRUM:LABRUM:
*Thorn over the*Thorn over the
femoral headfemoral head
*A recess of joint*A recess of joint
capsule overlies thecapsule overlies the
thornthorn
Arthrogram in DDHArthrogram in DDH
SUBLUXATED HIP DISLOCATED HIP
Imaging ToolsImaging Tools
 CT scan:CT scan:
 Single section CT as check filmsSingle section CT as check films
 Neglected C.D.H.Neglected C.D.H.
 Adolescent and adultAdolescent and adult
 MRI:MRI:
 Equivalent to arthrographyEquivalent to arthrography
Natural HistoryNatural History
 NewbornNewborn VariableVariable
 > 6 months> 6 months more aggressive tx requiredmore aggressive tx required
due to more extensive pathology anddue to more extensive pathology and
decreased potential for acetabulardecreased potential for acetabular
remodelingremodeling
 Abnormal Gait, Decreased Abduction andAbnormal Gait, Decreased Abduction and
Strength, Increased DJDStrength, Increased DJD
 Unilateral worse than BilateralUnilateral worse than Bilateral
 Subluxation worse than DysplasiaSubluxation worse than Dysplasia
Treatment OptionsTreatment Options
 Age of patient at presentationAge of patient at presentation
 Family factorsFamily factors
 Reducibility of hipReducibility of hip
 Stability after reductionStability after reduction
 Amount of acetabular dysplasiaAmount of acetabular dysplasia
Birth to Six MonthsBirth to Six Months
 Triple-diaper techniqueTriple-diaper technique
 Prevents hip adductionPrevents hip adduction
 ““Success” no different in someSuccess” no different in some
untreated hipsuntreated hips
 Pavilk harness (1944)Pavilk harness (1944)
 Experienced staff*Experienced staff*
 Very successfulVery successful
 Allows free movement withinAllows free movement within
confines of restraintsconfines of restraints
*posterior straps for preventing add. NOT producing abd.
Birth to Six MonthsBirth to Six Months
 Pavlik harnessPavlik harness
 IndicationsIndications
 Fully reducible hip*Fully reducible hip*
 Child not attempting to standChild not attempting to stand
 FamilyFamily
• Close regular follow-up (every 1-2 weeks)Close regular follow-up (every 1-2 weeks)
• For imaging and adjustmentsFor imaging and adjustments
• DurationDuration
• Childs age at hip stability + 3 monthsChilds age at hip stability + 3 months
Pavlik HarnessPavlik Harness
 FailuresFailures
 Poor parent compliancePoor parent compliance
 Improper use by the physicianImproper use by the physician
 Inadequate initial reductionInadequate initial reduction
 Failure to recognize persistent dislocationFailure to recognize persistent dislocation
 Viere et al 1990Viere et al 1990
 Bilateral dislocationBilateral dislocation
 Absent Ortolani’s signAbsent Ortolani’s sign
 > 7weeks of age> 7weeks of age
Pavlik HarnessPavlik Harness
 ComplicationsComplications
 Avascular necrosisAvascular necrosis
 Forced hip abductionForced hip abduction
 Safe zone (abd/adduction and flexion/extension)Safe zone (abd/adduction and flexion/extension)
 Femoral nerve palsyFemoral nerve palsy
 HyperflexionHyperflexion
*Be aware of Pavlik Harness Disease*Be aware of Pavlik Harness Disease
*Follow until skeletal maturity*Follow until skeletal maturity
Birth - Six monthsBirth - Six months
 Closed reduction + SpicaClosed reduction + Spica
 Failure after 3 weeks of Pavlik trialFailure after 3 weeks of Pavlik trial
Birth - Six monthsBirth - Six months
 Closed reductionClosed reduction
 General anesthesiaGeneral anesthesia
 ArthrogramArthrogram
 Safe zone - avoid AVNSafe zone - avoid AVN
 +/- adductor tenotomy+/- adductor tenotomy
 Open reduction if concentric reduction notOpen reduction if concentric reduction not
possiblepossible
 Usually teratogenic hips in this age groupUsually teratogenic hips in this age group
Open reductionOpen reduction
Unable to achieveUnable to achieve
closed reductionclosed reduction
Widening of the jointWidening of the joint
spacespace
Unstable reductionsUnstable reductions
Loss of reduction onLoss of reduction on
follow upfollow up
Advanced ageAdvanced age
Open ReductionOpen Reduction
 Medial approachMedial approach
 Pectineus / adductor longus + brevisPectineus / adductor longus + brevis
 Cannot address simeoultaneous bony workCannot address simeoultaneous bony work
 Antero -lateralAntero -lateral
 Smith-petersonSmith-peterson
 Sartorius / Tensor Fascia lataSartorius / Tensor Fascia lata
ApproachApproach
MedialMedial
Minimal dissectionMinimal dissection
ObstructionsObstructions
encountered directlyencountered directly
BUT..BUT..
Limited viewLimited view
MFCA violationMFCA violation
No capsulorrhaphyNo capsulorrhaphy
Secondary proceduresSecondary procedures
AnterolateralAnterolateral
Better exposureBetter exposure
CapsulorrhaphyCapsulorrhaphy
Pelvic osteotomyPelvic osteotomy
possiblepossible
BUT..BUT..
Blood lossBlood loss
Iliac crest apophysisIliac crest apophysis
and abductors damageand abductors damage
Stiffness of hipStiffness of hip
Open ReductionOpen Reduction
Open Reduction with FemoralOpen Reduction with Femoral
derotation osteotomyderotation osteotomy
 Pressure leads to risk of AVNPressure leads to risk of AVN
 Better results than preoperative traction in olderBetter results than preoperative traction in older
children with less morbiditychildren with less morbidity
When to do??When to do??
 Anticipated increased pressure on reduced femurAnticipated increased pressure on reduced femur
headhead
 Recommended in child > 2yrs.Recommended in child > 2yrs.
 distract the joint few millimeter per operativelydistract the joint few millimeter per operatively
 Judge the tightness of soft tissues after reductionJudge the tightness of soft tissues after reduction
 irreducible dislocationirreducible dislocation
Derotational femoral shorteningDerotational femoral shortening
osteotomyosteotomy
2 Years of Age and Older2 Years of Age and Older
 For child 2 -3 years of age, during openFor child 2 -3 years of age, during open
reduction acetabular coverage ifreduction acetabular coverage if
insufficient warrants reorientationinsufficient warrants reorientation
osteotomyosteotomy
 If coxa valga with excessive anteversion,If coxa valga with excessive anteversion,
VDRO may be done.VDRO may be done.
 Children > 3 years usually need anChildren > 3 years usually need an
osteotomyosteotomy
Bilateral untreated dislocation upto 5Bilateral untreated dislocation upto 5
years:years:
Open reduction with femoral shorteningOpen reduction with femoral shortening
with salter / pemberton osteotomy withwith salter / pemberton osteotomy with
gap of 5-6 weeks.gap of 5-6 weeks.
Bilateral untreated subluxation upto 5-6Bilateral untreated subluxation upto 5-6
years:years:
Open reduction + salter osteotomy.Open reduction + salter osteotomy.
6 months - 4 years6 months - 4 years
 Present a more difficult problemPresent a more difficult problem
 Prolonged dislocationProlonged dislocation
 Contracted soft tissuesContracted soft tissues
 6 - 18 months6 - 18 months
 Closed reduction +/- adductor tenotomyClosed reduction +/- adductor tenotomy
 Spica in human position of 100 degrees of flexion andSpica in human position of 100 degrees of flexion and
about 55 degrees abduction (3 months)about 55 degrees abduction (3 months)
 Abduction Orthosis 4 wks full time/4 wks nighttimeAbduction Orthosis 4 wks full time/4 wks nighttime
 Open reduction (if closed fails)Open reduction (if closed fails)
 CapsulorraphyCapsulorraphy
 CT scanCT scan
 Spica for 6 wks followed by PTSpica for 6 wks followed by PT
6 months - 4 years6 months - 4 years
 18 months - 4 years18 months - 4 years
 Closed reductionClosed reduction
 Reducibile - check arthrogram andReducibile - check arthrogram and medial dye poolmedial dye pool
 Irreducible - Open reductionIrreducible - Open reduction
 Open redcutionOpen redcution
 Tight - femoral shorteningTight - femoral shortening
 Stable - +/- pelvic osteotomyStable - +/- pelvic osteotomy
Femoral osteotomyFemoral osteotomy
 Schoenecker + Strecker 1984Schoenecker + Strecker 1984
 Traction vs. Femoral shorteningTraction vs. Femoral shortening
 56% AVN in traction group56% AVN in traction group
 0% AVN in femoral shortening0% AVN in femoral shortening
Residual DysplasiaResidual Dysplasia
Pelvic OsteotomyPelvic Osteotomy
 Persistent instability + dysplasia afterPersistent instability + dysplasia after
open reduction + femoral shorteningopen reduction + femoral shortening
 Requires concentric reduction of aRequires concentric reduction of a
reasonably spherical femoral headreasonably spherical femoral head
Salter OsteotomySalter Osteotomy
Acetabular Reorientation-Acetabular Reorientation-
Innominate OsteotomyInnominate Osteotomy
 Articular hyaline cartilage over femur headArticular hyaline cartilage over femur head
 Types:Types:
 SSalter’salter’s (innominate)(innominate)
 SSutherland’s (double innominate)utherland’s (double innominate)
Salter’s OsteotomySalter’s Osteotomy
Redirects the entire acetabulumRedirects the entire acetabulum
Roof “covers” the femoral head anteriorlyRoof “covers” the femoral head anteriorly
and superiorlyand superiorly
Hinge at pubic symphysisHinge at pubic symphysis
Pre-requisitesPre-requisites
Congrous Concentric reductionCongrous Concentric reduction
No ContracturesNo Contractures
Salter’s osteotomy
Salter’s osteotomy
K. E. 21 - 12 - 1999
Salter & femoral osteotomySalter & femoral osteotomy
Salter OsteotomySalter Osteotomy
Sutherland’s OsteotomySutherland’s Osteotomy
1. Can be done for older
child
2. Allows medial
displacement
Peri-acetabular OstetomiesPeri-acetabular Ostetomies
 Provide greater correction of acetabular indexProvide greater correction of acetabular index
 Reduce volume of hip jointReduce volume of hip joint
 Possibility of growth disturbancesPossibility of growth disturbances
TypesTypes
 PPemberton’semberton’s
 DDial (Eppright)ial (Eppright)
 WWagneragner
 DDega’sega’s
 GGanz osteotomy (Bernese)anz osteotomy (Bernese)
 Dega’sDega’s
Pemberton’s OsteotomyPemberton’s Osteotomy
Pemberton’s OsteotomyPemberton’s Osteotomy
•Volume changing
•Hinges on triradiate
•Requires remodeling of
“new” incongruity
•Provides more anterolatera
coverage
Dial osteotomyDial osteotomy
Dega’s OsteotomyDega’s Osteotomy
1. Incomplete
2. Variable hinge
3. Allows anterio
lateral & poste
coverage
Ganz OsteotomyGanz Osteotomy
Larger corrections all dire
Blood supply preserved
Shape of true pelvis unalt
Technically demanding
Triple OsteotomiesTriple Osteotomies
Indication :Indication :
Adolescent requiring more than 25°Adolescent requiring more than 25°
correctioncorrection
Pre-requisite:Pre-requisite:
Functional range of motionFunctional range of motion
only mild subluxation acceptableonly mild subluxation acceptable
Types:Types:
 Steel (Inferior)Steel (Inferior)
 Tonnis (Posterior)Tonnis (Posterior)
 Tachdjian - subinguinal adductorTachdjian - subinguinal adductor
Triple OsteotomiesTriple Osteotomies
STEEL TONNIS TACHDJIAN’S
Salvage or Shelf proceduresSalvage or Shelf procedures
 ChiariChiari
 Requires capsular metaplasiaRequires capsular metaplasia
 Pain - main indicationPain - main indication
 Treatment of chronic hip pain in adolescentsTreatment of chronic hip pain in adolescents
Chiari OsteotomyChiari Osteotomy
Chiari OsteotomyChiari Osteotomy
Chiari OsteotomyChiari Osteotomy
Chiari OsteotomyChiari Osteotomy
Chiari OsteotomyChiari Osteotomy
Chiari osteotomyChiari osteotomy
Shelf ProcedureShelf Procedure
Adolescent and young adult(olderAdolescent and young adult(older
then 8-10 yearsthen 8-10 years
If femoral head cannot be repositionedIf femoral head cannot be repositioned
distally to the level of acetabulum :distally to the level of acetabulum :
Salvage proceduresSalvage procedures
Degenertive arthritis and enough pain andDegenertive arthritis and enough pain and
limitation of movements – reconstructivelimitation of movements – reconstructive
operation (total hip replacement)operation (total hip replacement)
Arthodesis – rarely done, contraindiactedArthodesis – rarely done, contraindiacted
for bilateral dislocationfor bilateral dislocation
Schanz
osteotomy
Very late
salvage
Radical salvageRadical salvage
 FusionFusion
 ReplacementReplacement
 ExcisionExcision
Hip arthrodesisHip arthrodesis
Consider forConsider for::
i. Young malei. Young male
ii. Unilateralii. Unilateral
iii. Infectioniii. Infection
Joint replacementJoint replacement
Consider for:Consider for:
 Severe arthritisSevere arthritis
 Failed “Failed “
conservative”conservative”
Rx.Rx.
 BilateralBilateral
diseasedisease
Severe arthritisSevere arthritis
DDHDDH
AVNAVN
OAOA
End-stage O.A.End-stage O.A.
THR outcomes in DDHTHR outcomes in DDH
Charnley cemented hips:Charnley cemented hips:
5 of 38 loose at 11 years5 of 38 loose at 11 years
Bobak, Wroblewski et al 2000Bobak, Wroblewski et al 2000
Harris uncemented hips:Harris uncemented hips:
20% loose at 7 years20% loose at 7 years
46% loose at 12 years46% loose at 12 years
Jasty, Anderson, Harris, 1999Jasty, Anderson, Harris, 1999
complicationcomplication
Avascular NecrosisAvascular Necrosis
 Most commonMost common
 Not part of the natural history of DDHNot part of the natural history of DDH
 IatrogenicIatrogenic
 Etiology unknownEtiology unknown
 Femoral head compressionFemoral head compression
 Injury to blood supplyInjury to blood supply
 Excessive abductionExcessive abduction
 Sullivan et al 1997Sullivan et al 1997
 SigSig ↓↓ blood flow w/ increasing abd angleblood flow w/ increasing abd angle
TX SummaryTX Summary
 Best if treated before 6 weeks of ageBest if treated before 6 weeks of age
 0 - 6 months of age0 - 6 months of age
 PavlikPavlik
 6 - 18 months6 - 18 months
 Closed vs open reduction and spicaClosed vs open reduction and spica
 18 - 48 months18 - 48 months
 ClosedClosed
 Open +/- osteotomiesOpen +/- osteotomies
SummarySummary
 Femoral shortening better than tractionFemoral shortening better than traction
 Pelvic osteotomiesPelvic osteotomies
 Dega, PembertonDega, Pemberton
 Salter, triple innominate, GanzSalter, triple innominate, Ganz
 ChiariChiari
QuestionsQuestions
Thank YouThank You

developemental dysplasia of hip

  • 1.
    DevelopmentalDevelopmental Dysplasia of theHipDysplasia of the Hip Dr.HARDIK S PAWARDr.HARDIK S PAWAR DEPARTMENT OF ORTHOPAEDICSDEPARTMENT OF ORTHOPAEDICS CARE HOSPITALSCARE HOSPITALS
  • 2.
    OverviewOverview  IntroductionIntroduction  NormalDevelopment of the HipNormal Development of the Hip  Etiology and PathoanatomyEtiology and Pathoanatomy  Epidemiology and DiagnosisEpidemiology and Diagnosis  TreatmentTreatment  ComplicationsComplications
  • 3.
    IntroductionIntroduction  Developmental Dysplasiaof the HipDevelopmental Dysplasia of the Hip  Intracapsular displacementIntracapsular displacement  SubluxationSubluxation  Dislocation-usually posterosuperior (reducibleDislocation-usually posterosuperior (reducible vs irreducible)vs irreducible)  DysplasiaDysplasia  Before, during or just after birthBefore, during or just after birth
  • 4.
    HISTORYHISTORY  Chapple anddavidson – 1941Chapple and davidson – 1941  Muller and seddon – 1953Muller and seddon – 1953  AR hodgson - 1959AR hodgson - 1959  Wilkinson - 1963Wilkinson - 1963
  • 5.
    EPIDEMIOLOGYEPIDEMIOLOGY  1/1,000 bornwith dislocated hip1/1,000 born with dislocated hip  10/10,000 born with subluxation or dysplasia10/10,000 born with subluxation or dysplasia  5:1 Female:Male child5:1 Female:Male child  Left 60% (left occiput ant), Right 20%, both 20%Left 60% (left occiput ant), Right 20%, both 20%  Risk FactorsRisk Factors  Family history (6% one affected child, 12% oneFamily history (6% one affected child, 12% one affected parent, 36% one child + one parent)affected parent, 36% one child + one parent)  OligohydramniosOligohydramnios  Breech (sustained hamstring forces)Breech (sustained hamstring forces)  Native Americans (swaddling cultures)Native Americans (swaddling cultures)  Torticollis or LE deformityTorticollis or LE deformity
  • 6.
    Normal DevelopmentNormal Development EmbryonicEmbryonic  7-87-8thth th week - acetabulum and head formedth week - acetabulum and head formed from same primitive mesenchymal cellsfrom same primitive mesenchymal cells  11th week - complete devlopement of hip11th week - complete devlopement of hip  Prox fem ossific nucleus - 4-7 monthsProx fem ossific nucleus - 4-7 months  Hip at risk of dislocation at 4 period :Hip at risk of dislocation at 4 period : at 12at 12thth weekweek at 18at 18thth weekweek final 4 weeksfinal 4 weeks post natal periodpost natal period
  • 7.
  • 8.
    GARDES OF DDHGARDESOF DDH Grade 1 : subluxtable hip Grade 2 : dislocatable Grade 3 : severe
  • 9.
    PathologyPathology  Ranges frommild dysplasia --> frankRanges from mild dysplasia --> frank dislocationdislocation  Bony changes soft tissue chagesBony changes soft tissue chages  Acetabulum capsuleAcetabulum capsule  Head musclesHead muscles  Femoral NeckFemoral Neck  PelvisPelvis
  • 10.
    PathoanatomyPathoanatomy  Soft tissuechangesSoft tissue changes  Usually secondary to prolonged subluxation orUsually secondary to prolonged subluxation or dislocationdislocation  IntraarticularIntraarticular  LabrumLabrum  Inverted + adherent to capsule (closed reduction withInverted + adherent to capsule (closed reduction with inverted labruminverted labrum assoc with increased Avascular Necrosis)assoc with increased Avascular Necrosis)  Ligamentum teresLigamentum teres  Hypertrophied + lengthenedHypertrophied + lengthened  PulvinarPulvinar  Fibrofatty tissue migrating into acetabulumFibrofatty tissue migrating into acetabulum
  • 11.
    PathoanatomyPathoanatomy  Soft Tissue(Intraarticular)Soft Tissue (Intraarticular)  Transverse acetabular ligamentTransverse acetabular ligament  ContractedContracted  LimbusLimbus  Fibrous tissue formed from capsular tissueFibrous tissue formed from capsular tissue interposed between everted labrum and acetabularinterposed between everted labrum and acetabular rimrim  ExtraarticularExtraarticular  Tight adductors (adductor longus)Tight adductors (adductor longus)  IliopsoasIliopsoas
  • 12.
    Tough Reductions…Tough Reductions… Obstacles to reductionObstacles to reduction  ExtraarticularExtraarticular  Tight iliopsoas andTight iliopsoas and adductorsadductors  IntraarticularIntraarticular  LabrumLabrum  Ligamentum teresLigamentum teres  Transverse acetabularTransverse acetabular ligamentligament  PulvinarPulvinar  Redundant capsuleRedundant capsule (hourglass)(hourglass)  +/- limbus+/- limbus
  • 13.
    Etiology and EpidemiologyEtiologyand Epidemiology  MultifactorialMultifactorial  Genetics and SyndromesGenetics and Syndromes  Ehler’s DanlosEhler’s Danlos  ArthrogryposisArthrogryposis  Larsen’s syndromeLarsen’s syndrome  Intrauterine environmental factorsIntrauterine environmental factors  TeratogensTeratogens  Positioning (oligohydramnios)Positioning (oligohydramnios)  Neurologic DisordersNeurologic Disorders  Spina Bifida ,CP , polio , myelomonigoceleSpina Bifida ,CP , polio , myelomonigocele
  • 14.
    DiagnosisDiagnosis  Newborn screeningNewbornscreening  Ortolani’s and Barlow’s maneuvers with aOrtolani’s and Barlow’s maneuvers with a thorough history and physicalthorough history and physical  Warm, quiet environment with removal ofWarm, quiet environment with removal of diaperdiaper  Head to toe exam to detect any associatedHead to toe exam to detect any associated conditons (Torticollis, Ligamentous Laxityconditons (Torticollis, Ligamentous Laxity etc.)etc.)  Baseline Neuro and Spine ExamBaseline Neuro and Spine Exam
  • 15.
    DiagnosisDiagnosis  Key physicalfindingsKey physical findings  AsymmetryAsymmetry  Limb length- GaleazziLimb length- Galeazzi  Telsescopic testTelsescopic test  Limited AbductionLimited Abduction  Skin foldsSkin folds  LimpLimp  TrendelenbergTrendelenberg  Waddilng gait /Waddilng gait / hyperlordosis - bilateralhyperlordosis - bilateral involvementinvolvement  Vascular sign of narathVascular sign of narath
  • 16.
    Clinical Features :NeonatesClinical Features : Neonates Delicate “clunk” thatDelicate “clunk” that is palpable but notis palpable but not audibleaudible Repeat sequence 4-5Repeat sequence 4-5 times to be certain oftimes to be certain of findingsfindings If both signs negativeIf both signs negative but pt is high risk :but pt is high risk : follow up is essentialfollow up is essential
  • 17.
    Clinical features :InfantsClinical features : Infants Progression fromProgression from instability to dislocationinstability to dislocation is gradual processis gradual process In some within a fewIn some within a few weeksweeks others the hipothers the hip dislocation remainsdislocation remains reducible up to 5 or 6reducible up to 5 or 6 months of age.months of age. When the hip no longerWhen the hip no longer reducible, specificreducible, specific physical findingsphysical findings appearappear
  • 18.
    Limitation of AbductionLimitationof Abduction MOST RELIABLE SIGNMOST RELIABLE SIGN
  • 19.
  • 20.
    Asymmetric gluteal, thigh,labialAsymmetric gluteal, thigh, labial foldsfolds
  • 21.
  • 22.
  • 23.
    Walking child:Walking child: LLDLLD ↓↓AbductionAbduction Tip-toe-walkingTip-toe-walking TrendelenberggaitTrendelenberg gait Waddling [B/L]Waddling [B/L] ↑↑lumbar lordosislumbar lordosis
  • 24.
    Clinical Features :WalkingClinical Features : Walking ChildChild  Trendelenburg's signTrendelenburg's sign  Trendelenburg gaitTrendelenburg gait
  • 25.
    Clinical Features :NeonatesClinical Features : Neonates BARLOW’S TEST (BARLOW’S TEST ( bahar lobahar lo))
  • 26.
    Clinical Features :NeonatesClinical Features : Neonates BARLOW’S TEST (BARLOW’S TEST ( bahar lobahar lo))
  • 27.
    Clinical Features :NeonatesClinical Features : Neonates ORTOLANI SIGNORTOLANI SIGN
  • 28.
    Clinical Features :NeonatesClinical Features : Neonates ORTOLANI SIGNORTOLANI SIGN
  • 29.
  • 30.
  • 31.
    DiagnosisDiagnosis  Some casesstill missedSome cases still missed  At risk groups should be further screenedAt risk groups should be further screened  AAPAAP  Recs further imaging (e.g. US) if exam isRecs further imaging (e.g. US) if exam is “inconclusive” AND“inconclusive” AND  First degree relative + femaleFirst degree relative + female  BreechBreech  Positive provocative maneuver (Ortolani or Barlow)Positive provocative maneuver (Ortolani or Barlow)  Referral to OrthopaedistReferral to Orthopaedist
  • 32.
    ImagingImaging  X-raysX-rays  Femoralhead ossification centerFemoral head ossification center  4 -7 months4 -7 months  UltrasoundUltrasound  Operator dependentOperator dependent  CTCT  MRIMRI  ArthrogramsArthrograms  Open vs closed reductionOpen vs closed reduction
  • 33.
  • 34.
  • 35.
  • 36.
  • 37.
  • 38.
  • 39.
  • 40.
  • 41.
  • 42.
  • 43.
  • 44.
    RadiographsRadiographs Newborns 27.5 degrees 6months 23.5 degrees 2 years 20 degrees
  • 45.
    Centre – EdgeAngle WibergCentre – Edge Angle Wiberg 6 – 13 years >19 degrees >14 years > 25 degrees
  • 46.
    ANDREN-von ROSENANDREN-von ROSEN LINELINE APX-ray: hip in 45AP X-ray: hip in 45°abduction and IR°abduction and IR Describes the longitudinal relationship betweenDescribes the longitudinal relationship between long axis of femur and acetabulumlong axis of femur and acetabulum
  • 47.
    Tear dropTear drop APX-rayAP X-ray Lateral:wall ofLateral:wall of acetabulumacetabulum Medial:lesser pelvisMedial:lesser pelvis Inferior :acetabularInferior :acetabular notchnotch Appears between 6-23Appears between 6-23 momo [delayed in DDH][delayed in DDH]
  • 48.
    Radiographs SummaryRadiographs Summary Femoral head appears 4 - 7 monthsFemoral head appears 4 - 7 months  Shenton’s lineShenton’s line  Perkin’s and Hilgenreiner’s linesPerkin’s and Hilgenreiner’s lines  Inferomedial quadrantInferomedial quadrant  Center Edge Angle (< 20 abnormal)Center Edge Angle (< 20 abnormal)  Acetabular indexAcetabular index  Normal < 30 (Weintroub et al)Normal < 30 (Weintroub et al)  Tear drop*Tear drop*  Abnormal widening in DDHAbnormal widening in DDH *may be only sign in mild subluxation*may be only sign in mild subluxation
  • 49.
    ImagingImaging  UltrasoundUltrasound  Introducedin 1978 for eval of DDHIntroduced in 1978 for eval of DDH  Operator dependentOperator dependent  Useful in confirming subluxation, identifyingUseful in confirming subluxation, identifying dysplasia of cartilaginous acetabulum,dysplasia of cartilaginous acetabulum, documenting reducibilitydocumenting reducibility  Prox Femoral Ossification Center interferesProx Femoral Ossification Center interferes  Requires a window in spica cast (avoid)Requires a window in spica cast (avoid)
  • 50.
  • 51.
  • 52.
  • 53.
  • 54.
  • 55.
    UltrasoundUltrasound Graf’s alpha angle >60° =normal *line w/ ilium bisects head 50/50
  • 56.
    UltrasonographyUltrasonography  lpha anglemeasures bony acetabuluBetalpha angle measures bony acetabuluBeta angle measures cartilagenous acetabulumangle measures cartilagenous acetabulum
  • 57.
    UltrasonographyUltrasonography  Harcke &Kumar technique:Harcke & Kumar technique:  Dynamic examination with stress views thatDynamic examination with stress views that mirror Barlow’s & Ortolani’s maneuvermirror Barlow’s & Ortolani’s maneuver Graf classification
  • 58.
    ArthrogramArthrogram Severin [1941]Severin [1941] Normalappearance:Normal appearance: LABRUM:LABRUM: *Thorn over the*Thorn over the femoral headfemoral head *A recess of joint*A recess of joint capsule overlies thecapsule overlies the thornthorn
  • 59.
    Arthrogram in DDHArthrogramin DDH SUBLUXATED HIP DISLOCATED HIP
  • 60.
    Imaging ToolsImaging Tools CT scan:CT scan:  Single section CT as check filmsSingle section CT as check films  Neglected C.D.H.Neglected C.D.H.  Adolescent and adultAdolescent and adult  MRI:MRI:  Equivalent to arthrographyEquivalent to arthrography
  • 61.
    Natural HistoryNatural History NewbornNewborn VariableVariable  > 6 months> 6 months more aggressive tx requiredmore aggressive tx required due to more extensive pathology anddue to more extensive pathology and decreased potential for acetabulardecreased potential for acetabular remodelingremodeling  Abnormal Gait, Decreased Abduction andAbnormal Gait, Decreased Abduction and Strength, Increased DJDStrength, Increased DJD  Unilateral worse than BilateralUnilateral worse than Bilateral  Subluxation worse than DysplasiaSubluxation worse than Dysplasia
  • 62.
    Treatment OptionsTreatment Options Age of patient at presentationAge of patient at presentation  Family factorsFamily factors  Reducibility of hipReducibility of hip  Stability after reductionStability after reduction  Amount of acetabular dysplasiaAmount of acetabular dysplasia
  • 64.
    Birth to SixMonthsBirth to Six Months  Triple-diaper techniqueTriple-diaper technique  Prevents hip adductionPrevents hip adduction  ““Success” no different in someSuccess” no different in some untreated hipsuntreated hips  Pavilk harness (1944)Pavilk harness (1944)  Experienced staff*Experienced staff*  Very successfulVery successful  Allows free movement withinAllows free movement within confines of restraintsconfines of restraints *posterior straps for preventing add. NOT producing abd.
  • 65.
    Birth to SixMonthsBirth to Six Months  Pavlik harnessPavlik harness  IndicationsIndications  Fully reducible hip*Fully reducible hip*  Child not attempting to standChild not attempting to stand  FamilyFamily • Close regular follow-up (every 1-2 weeks)Close regular follow-up (every 1-2 weeks) • For imaging and adjustmentsFor imaging and adjustments • DurationDuration • Childs age at hip stability + 3 monthsChilds age at hip stability + 3 months
  • 66.
    Pavlik HarnessPavlik Harness FailuresFailures  Poor parent compliancePoor parent compliance  Improper use by the physicianImproper use by the physician  Inadequate initial reductionInadequate initial reduction  Failure to recognize persistent dislocationFailure to recognize persistent dislocation  Viere et al 1990Viere et al 1990  Bilateral dislocationBilateral dislocation  Absent Ortolani’s signAbsent Ortolani’s sign  > 7weeks of age> 7weeks of age
  • 67.
    Pavlik HarnessPavlik Harness ComplicationsComplications  Avascular necrosisAvascular necrosis  Forced hip abductionForced hip abduction  Safe zone (abd/adduction and flexion/extension)Safe zone (abd/adduction and flexion/extension)  Femoral nerve palsyFemoral nerve palsy  HyperflexionHyperflexion *Be aware of Pavlik Harness Disease*Be aware of Pavlik Harness Disease *Follow until skeletal maturity*Follow until skeletal maturity
  • 68.
    Birth - SixmonthsBirth - Six months  Closed reduction + SpicaClosed reduction + Spica  Failure after 3 weeks of Pavlik trialFailure after 3 weeks of Pavlik trial
  • 69.
    Birth - SixmonthsBirth - Six months  Closed reductionClosed reduction  General anesthesiaGeneral anesthesia  ArthrogramArthrogram  Safe zone - avoid AVNSafe zone - avoid AVN  +/- adductor tenotomy+/- adductor tenotomy  Open reduction if concentric reduction notOpen reduction if concentric reduction not possiblepossible  Usually teratogenic hips in this age groupUsually teratogenic hips in this age group
  • 70.
    Open reductionOpen reduction Unableto achieveUnable to achieve closed reductionclosed reduction Widening of the jointWidening of the joint spacespace Unstable reductionsUnstable reductions Loss of reduction onLoss of reduction on follow upfollow up Advanced ageAdvanced age
  • 71.
    Open ReductionOpen Reduction Medial approachMedial approach  Pectineus / adductor longus + brevisPectineus / adductor longus + brevis  Cannot address simeoultaneous bony workCannot address simeoultaneous bony work  Antero -lateralAntero -lateral  Smith-petersonSmith-peterson  Sartorius / Tensor Fascia lataSartorius / Tensor Fascia lata
  • 72.
    ApproachApproach MedialMedial Minimal dissectionMinimal dissection ObstructionsObstructions encountereddirectlyencountered directly BUT..BUT.. Limited viewLimited view MFCA violationMFCA violation No capsulorrhaphyNo capsulorrhaphy Secondary proceduresSecondary procedures AnterolateralAnterolateral Better exposureBetter exposure CapsulorrhaphyCapsulorrhaphy Pelvic osteotomyPelvic osteotomy possiblepossible BUT..BUT.. Blood lossBlood loss Iliac crest apophysisIliac crest apophysis and abductors damageand abductors damage Stiffness of hipStiffness of hip
  • 73.
  • 74.
    Open Reduction withFemoralOpen Reduction with Femoral derotation osteotomyderotation osteotomy  Pressure leads to risk of AVNPressure leads to risk of AVN  Better results than preoperative traction in olderBetter results than preoperative traction in older children with less morbiditychildren with less morbidity When to do??When to do??  Anticipated increased pressure on reduced femurAnticipated increased pressure on reduced femur headhead  Recommended in child > 2yrs.Recommended in child > 2yrs.  distract the joint few millimeter per operativelydistract the joint few millimeter per operatively  Judge the tightness of soft tissues after reductionJudge the tightness of soft tissues after reduction  irreducible dislocationirreducible dislocation
  • 76.
    Derotational femoral shorteningDerotationalfemoral shortening osteotomyosteotomy
  • 77.
    2 Years ofAge and Older2 Years of Age and Older  For child 2 -3 years of age, during openFor child 2 -3 years of age, during open reduction acetabular coverage ifreduction acetabular coverage if insufficient warrants reorientationinsufficient warrants reorientation osteotomyosteotomy  If coxa valga with excessive anteversion,If coxa valga with excessive anteversion, VDRO may be done.VDRO may be done.  Children > 3 years usually need anChildren > 3 years usually need an osteotomyosteotomy
  • 78.
    Bilateral untreated dislocationupto 5Bilateral untreated dislocation upto 5 years:years: Open reduction with femoral shorteningOpen reduction with femoral shortening with salter / pemberton osteotomy withwith salter / pemberton osteotomy with gap of 5-6 weeks.gap of 5-6 weeks. Bilateral untreated subluxation upto 5-6Bilateral untreated subluxation upto 5-6 years:years: Open reduction + salter osteotomy.Open reduction + salter osteotomy.
  • 79.
    6 months -4 years6 months - 4 years  Present a more difficult problemPresent a more difficult problem  Prolonged dislocationProlonged dislocation  Contracted soft tissuesContracted soft tissues  6 - 18 months6 - 18 months  Closed reduction +/- adductor tenotomyClosed reduction +/- adductor tenotomy  Spica in human position of 100 degrees of flexion andSpica in human position of 100 degrees of flexion and about 55 degrees abduction (3 months)about 55 degrees abduction (3 months)  Abduction Orthosis 4 wks full time/4 wks nighttimeAbduction Orthosis 4 wks full time/4 wks nighttime  Open reduction (if closed fails)Open reduction (if closed fails)  CapsulorraphyCapsulorraphy  CT scanCT scan  Spica for 6 wks followed by PTSpica for 6 wks followed by PT
  • 80.
    6 months -4 years6 months - 4 years  18 months - 4 years18 months - 4 years  Closed reductionClosed reduction  Reducibile - check arthrogram andReducibile - check arthrogram and medial dye poolmedial dye pool  Irreducible - Open reductionIrreducible - Open reduction  Open redcutionOpen redcution  Tight - femoral shorteningTight - femoral shortening  Stable - +/- pelvic osteotomyStable - +/- pelvic osteotomy
  • 83.
    Femoral osteotomyFemoral osteotomy Schoenecker + Strecker 1984Schoenecker + Strecker 1984  Traction vs. Femoral shorteningTraction vs. Femoral shortening  56% AVN in traction group56% AVN in traction group  0% AVN in femoral shortening0% AVN in femoral shortening
  • 84.
  • 85.
    Pelvic OsteotomyPelvic Osteotomy Persistent instability + dysplasia afterPersistent instability + dysplasia after open reduction + femoral shorteningopen reduction + femoral shortening  Requires concentric reduction of aRequires concentric reduction of a reasonably spherical femoral headreasonably spherical femoral head
  • 86.
  • 87.
    Acetabular Reorientation-Acetabular Reorientation- InnominateOsteotomyInnominate Osteotomy  Articular hyaline cartilage over femur headArticular hyaline cartilage over femur head  Types:Types:  SSalter’salter’s (innominate)(innominate)  SSutherland’s (double innominate)utherland’s (double innominate)
  • 88.
    Salter’s OsteotomySalter’s Osteotomy Redirectsthe entire acetabulumRedirects the entire acetabulum Roof “covers” the femoral head anteriorlyRoof “covers” the femoral head anteriorly and superiorlyand superiorly Hinge at pubic symphysisHinge at pubic symphysis Pre-requisitesPre-requisites Congrous Concentric reductionCongrous Concentric reduction No ContracturesNo Contractures
  • 89.
  • 90.
  • 91.
    K. E. 21- 12 - 1999 Salter & femoral osteotomySalter & femoral osteotomy
  • 92.
  • 93.
    Sutherland’s OsteotomySutherland’s Osteotomy 1.Can be done for older child 2. Allows medial displacement
  • 94.
    Peri-acetabular OstetomiesPeri-acetabular Ostetomies Provide greater correction of acetabular indexProvide greater correction of acetabular index  Reduce volume of hip jointReduce volume of hip joint  Possibility of growth disturbancesPossibility of growth disturbances TypesTypes  PPemberton’semberton’s  DDial (Eppright)ial (Eppright)  WWagneragner  DDega’sega’s  GGanz osteotomy (Bernese)anz osteotomy (Bernese)
  • 95.
  • 96.
  • 97.
    Pemberton’s OsteotomyPemberton’s Osteotomy •Volumechanging •Hinges on triradiate •Requires remodeling of “new” incongruity •Provides more anterolatera coverage
  • 98.
  • 99.
    Dega’s OsteotomyDega’s Osteotomy 1.Incomplete 2. Variable hinge 3. Allows anterio lateral & poste coverage
  • 100.
    Ganz OsteotomyGanz Osteotomy Largercorrections all dire Blood supply preserved Shape of true pelvis unalt Technically demanding
  • 101.
    Triple OsteotomiesTriple Osteotomies Indication:Indication : Adolescent requiring more than 25°Adolescent requiring more than 25° correctioncorrection Pre-requisite:Pre-requisite: Functional range of motionFunctional range of motion only mild subluxation acceptableonly mild subluxation acceptable Types:Types:  Steel (Inferior)Steel (Inferior)  Tonnis (Posterior)Tonnis (Posterior)  Tachdjian - subinguinal adductorTachdjian - subinguinal adductor
  • 102.
  • 103.
    Salvage or ShelfproceduresSalvage or Shelf procedures  ChiariChiari  Requires capsular metaplasiaRequires capsular metaplasia  Pain - main indicationPain - main indication  Treatment of chronic hip pain in adolescentsTreatment of chronic hip pain in adolescents
  • 104.
  • 105.
  • 106.
  • 107.
  • 108.
  • 109.
  • 110.
  • 112.
    Adolescent and youngadult(olderAdolescent and young adult(older then 8-10 yearsthen 8-10 years If femoral head cannot be repositionedIf femoral head cannot be repositioned distally to the level of acetabulum :distally to the level of acetabulum : Salvage proceduresSalvage procedures Degenertive arthritis and enough pain andDegenertive arthritis and enough pain and limitation of movements – reconstructivelimitation of movements – reconstructive operation (total hip replacement)operation (total hip replacement) Arthodesis – rarely done, contraindiactedArthodesis – rarely done, contraindiacted for bilateral dislocationfor bilateral dislocation
  • 113.
  • 114.
    Radical salvageRadical salvage FusionFusion  ReplacementReplacement  ExcisionExcision
  • 115.
    Hip arthrodesisHip arthrodesis ConsiderforConsider for:: i. Young malei. Young male ii. Unilateralii. Unilateral iii. Infectioniii. Infection
  • 116.
    Joint replacementJoint replacement Considerfor:Consider for:  Severe arthritisSevere arthritis  Failed “Failed “ conservative”conservative” Rx.Rx.  BilateralBilateral diseasedisease
  • 117.
  • 118.
  • 119.
    THR outcomes inDDHTHR outcomes in DDH Charnley cemented hips:Charnley cemented hips: 5 of 38 loose at 11 years5 of 38 loose at 11 years Bobak, Wroblewski et al 2000Bobak, Wroblewski et al 2000 Harris uncemented hips:Harris uncemented hips: 20% loose at 7 years20% loose at 7 years 46% loose at 12 years46% loose at 12 years Jasty, Anderson, Harris, 1999Jasty, Anderson, Harris, 1999
  • 120.
  • 121.
    Avascular NecrosisAvascular Necrosis Most commonMost common  Not part of the natural history of DDHNot part of the natural history of DDH  IatrogenicIatrogenic  Etiology unknownEtiology unknown  Femoral head compressionFemoral head compression  Injury to blood supplyInjury to blood supply  Excessive abductionExcessive abduction  Sullivan et al 1997Sullivan et al 1997  SigSig ↓↓ blood flow w/ increasing abd angleblood flow w/ increasing abd angle
  • 122.
    TX SummaryTX Summary Best if treated before 6 weeks of ageBest if treated before 6 weeks of age  0 - 6 months of age0 - 6 months of age  PavlikPavlik  6 - 18 months6 - 18 months  Closed vs open reduction and spicaClosed vs open reduction and spica  18 - 48 months18 - 48 months  ClosedClosed  Open +/- osteotomiesOpen +/- osteotomies
  • 123.
    SummarySummary  Femoral shorteningbetter than tractionFemoral shortening better than traction  Pelvic osteotomiesPelvic osteotomies  Dega, PembertonDega, Pemberton  Salter, triple innominate, GanzSalter, triple innominate, Ganz  ChiariChiari
  • 124.
  • 129.