‫بزرگ‬ ‫عروق‬ ‫و‬ ‫قلب‬ ‫گرافی‬
Dr Bigdelu
MUMS
•
‫گام‬
‫دوازده‬ ‫های‬
‫سینه‬ ‫قفسه‬ ‫گرافی‬ ‫تفسیر‬ ‫در‬ ‫گانه‬
•
‫بیمار‬ ‫نام‬
•
‫تاریخ‬
•
‫بیمار‬ ‫سن‬ ‫و‬ ‫جنس‬
•
‫فیلم‬ ‫نوع‬
•
‫سینه‬ ‫قفسه‬ ‫رادیوگرافی‬ ‫در‬ ‫مارکر‬ ‫دیدن‬
•
‫کیفیت‬ ‫کنترل‬
(
exposure
‫حرکت‬ ،
‫دم‬ ‫میزان‬ ،‫بیمار‬ ‫چرخش‬ ‫و‬
)
•
‫قلب‬
•
‫ریه‬ ‫فیلد‬
•
‫ها‬ ‫گرافی‬ ‫انواع‬
•
1
-
‫رخ‬
•
2
-
‫نیمرخ‬
•
3
-
‫دکوبیتوس‬
•
‫معیارهای‬
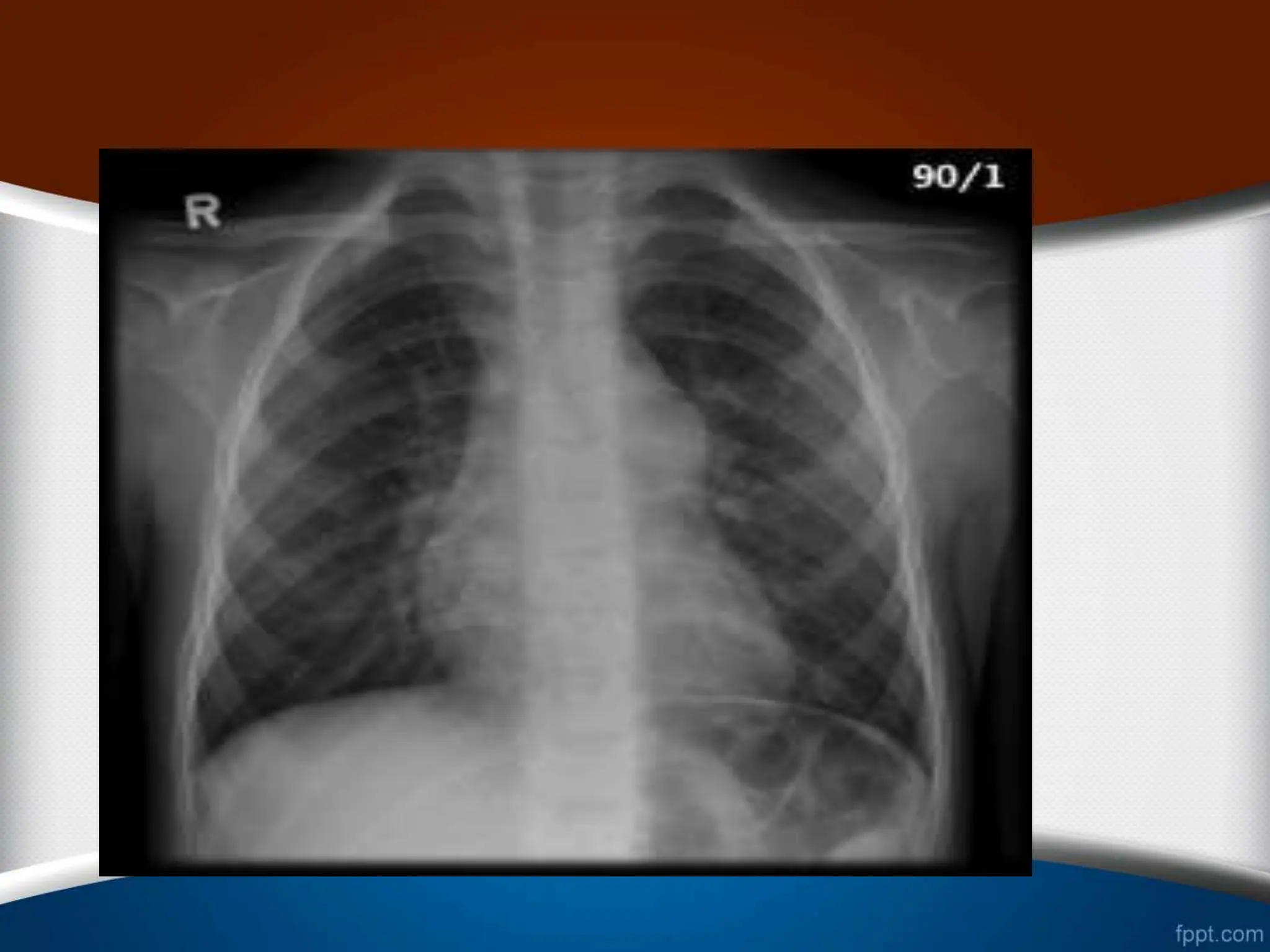
AP or PA
•
1
-
‫رادیوگرافی‬ ‫در‬
PA
‫رؤیت‬ ‫قابل‬ ‫چپ‬ ‫دیافراگم‬ ‫زیر‬ ‫و‬ ‫فوندوس‬ ‫ناحیه‬ ‫در‬ ‫معده‬ ‫گاز‬ ً‫ال‬‫معمو‬
‫است‬
(
‫است‬ ‫شده‬ ‫گرفته‬ ‫ایستاده‬ ‫حالت‬ ‫در‬ ‫عکس‬ ‫این‬ ‫که‬ ‫چرا‬
)
‫گرافی‬ ‫در‬ ‫که‬ ‫صورتی‬ ‫در‬
AP
‫که‬
‫می‬ ‫گرفته‬ ‫خوابیده‬ ‫حالت‬ ‫به‬ ً‫ال‬‫معمو‬
‫نمی‬ ‫رؤیت‬ ‫گاز‬ ‫این‬ ‫شود‬
‫شود‬
.
•
2
-
‫گرافی‬ ‫در‬
PA
‫می‬ ‫رؤیت‬ ‫کالویکل‬ ‫باالی‬ ‫در‬ ‫ریه‬ ‫قله‬ ‫تصویر‬
‫در‬ ‫که‬ ‫حالی‬ ‫در‬ ،‫شود‬
AP
‫قابل‬
‫نمی‬ ‫رؤیت‬
‫باشد‬
.
•
3
-
‫کالویکل‬
‫درگرافی‬ ‫ها‬
PA
‫تح‬ ‫دیستال‬ ‫در‬ ‫و‬ ‫دارند‬ ‫باال‬ ‫سمت‬ ‫به‬ ‫تقعر‬ ‫پروگزیمال‬ ‫قسمت‬ ‫در‬
‫دب‬
‫گرافی‬ ‫در‬ ‫که‬ ‫حالی‬ ‫در‬ ‫دارند‬ ‫باال‬ ‫به‬ ‫رو‬
AP
‫نیست‬ ‫گونه‬ ‫این‬
.
•
4
-
‫فیلم‬ ‫در‬ ‫اسکاپوال‬
PA
‫است‬ ‫دور‬ ‫ریه‬ ‫فیلد‬ ‫از‬
.
•
5
-
‫گرافی‬ ‫در‬
AP
‫اشعه‬ ‫تیوب‬ ‫و‬ ‫شده‬ ‫گرفته‬ ‫پرتابل‬ ‫صورت‬ ‫به‬ ً‫ال‬‫معمو‬ ‫که‬
X
‫نزدیک‬ ‫بیمار‬ ‫به‬
‫تر‬
‫حاشیه‬ ،‫است‬
‫هستند‬ ‫محوتر‬ ‫ها‬
.
•
6
-
‫گرافی‬ ‫در‬
AP
‫مهره‬ ‫انتهای‬ ‫صفحه‬
‫گرافی‬ ‫در‬ ‫که‬ ‫حالی‬ ‫در‬ ‫هستند‬ ‫مشخص‬ ‫واضح‬ ‫طور‬ ‫به‬ ‫ها‬
PA
‫دارند‬ ‫المینیت‬ ‫حالت‬
.
‫کیفیت‬ ‫کنترل‬
.1
‫حرکت‬
.2
‫بیمار‬ ‫چرخش‬
.3
‫دم‬ ‫میزان‬
.4
Exposure
Exposure ‫قرار‬ ‫اشعه‬ ‫معرض‬ ‫در‬ ‫میزان‬ ‫یا‬
‫گرفتن‬
1
-
‫دنده‬ ‫و‬ ‫ریوی‬ ‫عروق‬ ،‫فقرات‬ ‫ستون‬ ‫مشاهده‬
‫نشان‬ ‫قلب‬ ‫پشت‬ ‫از‬ ‫ها‬
‫ه‬
‫است‬ ‫اشعه‬ ‫میزان‬ ‫بودن‬ ‫مناسب‬
.
2
-
‫ریوی‬ ‫عروق‬ ‫اما‬ ،‫شود‬ ‫مشاهده‬ ‫فقرات‬ ‫ستون‬ ‫فقط‬ ‫که‬ ‫صورتی‬ ‫در‬
‫است‬ ‫تاریک‬ ‫فیلم‬ ‫نشود‬ ‫مشاهده‬
.
(Over exposure)
3
-
‫سفی‬ ‫خیلی‬ ‫فیلم‬ ،‫نشود‬ ‫مشاهده‬ ‫فقرات‬ ‫ستون‬ ‫که‬ ‫صورتی‬ ‫در‬
‫د‬
‫است‬
.
(Under exposure)
4
-
‫به‬ ‫را‬ ‫ها‬ ‫مهره‬ ‫بین‬ ‫فضای‬ ‫نباید‬ ‫مناسب‬ ‫اشعه‬ ‫میزان‬ ‫در‬
‫کرد‬ ‫مشاهده‬ ‫وضوح‬
.
5
-
‫تا‬ ‫ریه‬ ‫عروقی‬ ‫طرح‬
‫نزدیک‬
‫شود‬ ‫رؤیت‬ ‫ریه‬ ‫محیط‬ ‫به‬
exposure ‫مناسب‬
Over exposure
•
1
-
‫مهره‬ ‫بین‬ ‫فضاهای‬
‫می‬ ‫دیده‬ ‫وضوح‬ ‫به‬ ‫ها‬
‫شود‬
.
•
2
-
CXR
‫می‬ ‫نظر‬ ‫به‬ ‫تر‬ ‫سیاه‬
‫رسد‬
.
•
3
-
‫می‬ ‫محو‬ ‫عروقی‬ ‫مارکرهای‬
‫شود‬
.
•
4
-
‫تفسیرمی‬ ‫خون‬ ‫کم‬ ‫غلط‬ ‫به‬ ‫ریه‬
‫شود‬
.
Under exposure
1
-
‫دنده‬
‫مهره‬ ‫و‬ ‫ها‬
‫نمی‬ ‫رؤیت‬ ‫پشت‬ ‫از‬ ‫ها‬
‫شود‬
.
2
-
CXR
‫می‬ ‫نظر‬ ‫به‬ ‫سفیدتر‬
‫رسد‬
.
3
-
‫ریه‬ ‫قواعد‬ ‫در‬ ‫کاذب‬ ‫کدورت‬ ‫یک‬ ‫ایجاد‬
‫محو‬ ‫به‬ ‫منجر‬ ‫که‬ ‫ها‬
‫می‬ ‫دیافراگم‬ ‫شدن‬
‫شود‬
.
4
-
‫ری‬ ‫اشتباه‬ ‫به‬ ‫است‬ ‫ممکن‬ ‫که‬ ‫عروقی‬ ‫مارکرهای‬ ‫افزایش‬
‫ه‬
-
‫شود‬ ‫تفسیر‬ ‫خون‬ ‫پر‬ ‫ها‬
.
‫چرخش‬ –Rotation
•
‫حاشیه‬ ‫و‬ ‫کند‬ ‫پیدا‬ ‫تغییر‬ ‫قلب‬ ‫کلی‬ ‫شکل‬
‫نامنظم‬ ‫را‬ ‫قلب‬ ‫های‬
‫کند‬
.
(Abnormal configuration)
•
‫دهد‬ ‫قرار‬ ‫تأثیر‬ ‫تحت‬ ‫را‬ ‫ریه‬ ‫عروقی‬ ‫طرح‬
.
‫طرح‬ ‫که‬ ‫طور‬ ‫به‬
‫نزدیک‬ ‫اشعه‬ ‫به‬ ‫که‬ ‫سمتی‬ ‫در‬ ‫عروقی‬
‫در‬ ‫و‬ ‫کمتر‬ ‫است‬ ‫تر‬
‫شود‬ ‫دیده‬ ‫بیشتر‬ ‫است‬ ‫دورتر‬ ‫اشعه‬ ‫از‬ ‫که‬ ‫سمتی‬
.
•
‫زوایای‬ ‫شدن‬ ‫محو‬ ‫به‬ ‫منجر‬ ‫است‬ ‫ممکن‬ ‫بیمار‬ ‫چرخش‬
‫خانم‬ ‫در‬ ً‫ا‬‫مخصوص‬ ‫کوستوفرنیک‬
‫ها‬
(
‫افزایش‬ ‫خاطر‬ ‫به‬
‫پستان‬ ‫بافت‬ ‫دانسیته‬
)
‫اشتبا‬ ‫به‬ ‫است‬ ‫ممکن‬ ‫که‬ ‫شود‬
‫مطرح‬ ‫ه‬
‫یا‬ ‫و‬ ‫مایع‬ ‫تجمع‬ ‫جمله‬ ‫از‬ ‫پاتولوژی‬ ‫از‬ ‫مواردی‬ ‫شدن‬
‫سازد‬ ‫مطرح‬ ‫را‬ ‫منطقه‬ ‫این‬ ‫فضاگیر‬ ‫ضایعات‬
.
‫چپ‬ ‫به‬ ‫چرخش‬
.1
‫بزرگتر‬ ‫قلب‬
.2
‫خونتر‬ ‫کم‬ ‫چپ‬ ‫ریه‬ ‫فیلد‬
‫راست‬ ‫به‬ ‫چرخش‬
.1
‫کوچکتر‬ ‫قلب‬
.2
‫خونتر‬ ‫کم‬ ‫راست‬ ‫ریه‬ ‫فیلد‬
‫چپ‬ ‫به‬ ‫چرخش‬ ‫راست‬ ‫به‬ ‫چرخش‬
‫دم‬ ‫میزان‬
•
1
-
‫مشاهده‬
9
‫تا‬
12
‫یا‬ ‫خلفی‬ ‫دنده‬
6
‫در‬ ‫قدامی‬ ‫دنده‬
CXR
‫فرونتال‬
PA
‫میدکالویکول‬ ‫خط‬ ‫در‬
.
•
2
-
‫زاویه‬ ‫از‬ ‫اگر‬
‫خط‬ ‫کاردیوفرنیک‬ ‫به‬ ‫کوستوفرنیک‬ ‫ی‬
‫ی‬
‫فاص‬ ‫باشد‬ ‫شده‬ ‫انجام‬ ‫عمیق‬ ‫دم‬ ‫که‬ ‫صورتی‬ ‫در‬ ‫بکشیم‬
‫بین‬ ‫له‬
‫از‬ ‫بیشتر‬ ‫باید‬ ‫دیافراگم‬ ‫و‬ ‫خط‬ ‫این‬
1.5
‫سانتی‬
‫باشد‬ ‫متر‬
.
•
3
-
‫باشد‬ ‫شده‬ ‫پوشیده‬ ‫دیافراگم‬ ‫توسط‬ ‫قلب‬ ‫کناره‬
.
•
‫تفسیر‬ ‫نباشد‬ ‫عمیق‬ ‫دم‬ ‫در‬ ‫رادیوگرافی‬ ‫اگر‬
CXR
‫دچار‬
‫از‬ ‫عبارتند‬ ‫که‬ ‫شود‬ ‫می‬ ‫اشکاالتی‬
:
•
1
-
‫ب‬ ‫دیافراگم‬ ‫اینکه‬ ‫دلیل‬ ‫به‬ ‫قلب‬ ‫سایه‬ ‫کاذب‬ ‫بزرگی‬
‫آمده‬ ‫اال‬
‫می‬ ‫قرار‬ ‫تر‬ ‫افقی‬ ‫وضعیت‬ ‫در‬ ‫قلب‬ ‫و‬
‫گیرد‬
.
•
2
-
‫ریه‬ ‫قواعد‬ ‫در‬ ‫کدورت‬ ‫بروز‬
‫مارکرهای‬ ‫شدن‬ ‫محو‬ ‫و‬ ‫ها‬
‫است‬ ‫ممکن‬ ‫مشکل‬ ‫این‬ ‫که‬ ‫ریه‬ ‫تحتانی‬ ‫نواحی‬ ‫عروقی‬
‫پنهان‬ ‫دید‬ ‫از‬ ‫و‬ ‫پوشانده‬ ‫را‬ ‫ریه‬ ‫قاعده‬ ‫احتمالی‬ ‫ضایعات‬
‫بماند‬
.
‫قلب‬ ‫های‬ ‫حاشیه‬
‫قلب‬ ‫های‬ ‫حاشیه‬
‫ترمینولوژی‬ ‫چند‬
.1
‫راست‬ ‫کاردیوفرنیک‬ ‫زاویه‬
.2
‫دیافراگم‬ ‫به‬ ‫نسبت‬ ‫قلب‬ ‫نوک‬ ‫موقعیت‬
‫راست‬ ‫کاردیوفرنیک‬ ‫زاویه‬
•
‫از‬ ‫کمتر‬ ‫و‬ ‫حاده‬ ‫زاویه‬ ‫این‬ ‫نرمال‬ ‫حالت‬ ‫در‬
45
‫است‬ ‫درجه‬
‫تأث‬ ‫تحت‬ ‫زاویه‬ ‫این‬ ‫مختلف‬ ‫های‬ ‫پاتولوژی‬ ‫بنابر‬ ‫ولی‬
‫قرار‬ ‫یر‬
‫گیرد‬ ‫می‬
.
•
a
.
‫راست‬ ‫دهلیز‬ ‫بزرگی‬
•
b
‫ها‬ ‫پریکاردوکیست‬ ‫و‬ ‫ریه‬ ‫های‬ ‫پاتولوژی‬
‫دیافراگم‬ ‫به‬ ‫نسبت‬ ‫قلب‬ ‫نوک‬ ‫موقعیت‬
•
‫حدود‬ ‫قلب‬ ‫آپکس‬ ‫یا‬ ‫قلب‬ ‫نوک‬ ،‫نرمال‬ ‫حالت‬ ‫در‬
1.5
‫تا‬
2
‫است‬ ‫گرفته‬ ‫قرار‬ ‫دیافراگم‬ ‫زیر‬ ‫متر‬ ‫سانتی‬
.
•
‫بزرگی‬ ‫نفع‬ ‫به‬ ‫پایین‬ ‫سمت‬ ‫به‬ ‫قلب‬ ‫آپکس‬ ‫جایجایی‬
‫چپ‬ ‫بطن‬
‫باشد‬ ‫می‬
.
•
‫هیپرتروف‬ ‫ی‬ ‫نشانه‬ ‫باال‬ ‫سمت‬ ‫به‬ ‫قلب‬ ‫آپکس‬ ‫جابجایی‬
‫ی‬
‫باشد‬ ‫می‬ ‫راست‬ ‫بطن‬ ‫اتساع‬ ‫یا‬ ‫چپ‬ ‫بطن‬ ‫کانستریک‬
‫قلب‬ ‫ی‬ ‫اندازه‬
•
‫کاردیوتوراسیک‬ ‫نسبت‬ ‫نرمال‬ ‫حالت‬ ‫در‬
(
CTR
)
‫افراد‬ ‫در‬
‫از‬ ‫کمتر‬ ‫بالغ‬
50
%
‫است‬
.
‫این‬ ‫مسن‬ ‫افراد‬ ‫و‬ ‫کودکان‬ ‫در‬
‫نسبت‬
‫تا‬
55
%
‫باشد‬ ‫می‬ ‫قبول‬ ‫قابل‬ ‫هم‬
.
•
•
)
‫قلبی‬ ‫خارجی‬ ‫علل‬
A
:
CXR
‫یا‬ ‫پرتابل‬ ‫حالت‬ ‫در‬
AP
‫از‬ ‫فیلم‬ ‫حالت‬ ‫این‬ ‫در‬ ‫که‬ ‫شود‬ ‫گرفته‬
‫باعث‬ ‫و‬ ‫شود‬ ‫می‬ ‫نزدیک‬ ‫اشعه‬ ‫تیوب‬ ‫به‬ ‫بیمار‬ ‫و‬ ‫شده‬ ‫دور‬ ‫قلب‬
‫شود‬ ‫دیده‬ ‫تر‬ ‫بزرگ‬ ‫کاذب‬ ‫طور‬ ‫به‬ ‫قلب‬ ‫شود‬ ‫می‬
.
B
.
‫ب‬ ‫شود‬ ‫دیافراگم‬ ‫رفتن‬ ‫باال‬ ‫سبب‬ ‫که‬ ‫عاملی‬ ‫هر‬ ‫و‬ ‫آسیت‬ ،‫چاقی‬
‫اعث‬
‫شود‬ ‫می‬ ‫قلب‬ ‫کاذب‬ ‫بزرگی‬
.
C
.
‫سینه‬ ‫قفسه‬ ‫بودن‬ ‫غیرطبیعی‬
.
‫خلفی‬ ‫قدامی‬ ‫قطر‬ ‫که‬ ‫عاملی‬ ‫هر‬
‫قفسه‬
‫شود‬ ‫می‬ ‫باعث‬ ‫دهد‬ ‫کاهش‬ ‫را‬ ‫سینه‬
CTR
‫افزایش‬ ‫کاذب‬ ‫طور‬ ‫به‬
‫یابد‬
•
‫قلبی‬ ‫داخل‬ ‫علل‬
a
.
‫پریکارد‬ ‫افیوژن‬
b
.
‫ابشتین‬ ‫آنومالی‬
c
.
‫دیال‬ ‫کاردیومیوپاتی‬ ‫زمینه‬ ‫در‬ ‫قلب‬ ‫حفرات‬ ‫تمام‬ ‫همزمان‬ ‫بزرگی‬
‫ته‬
(
DCM
)
Dilated Cardiomyopathy
‫چپ‬ ‫بطن‬ ‫بزرگی‬
•
‫اکسنتریک‬ ‫هیپرتروفی‬
•
‫کانسنتریک‬ ‫هیپرتروفی‬
•
-
‫شکل‬ ‫کروی‬ ‫بزرگی‬
‫راست‬ ‫بطن‬ ‫بزرگی‬
•
‫گرافی‬ ‫در‬ ‫هم‬ ‫مورد‬ ‫این‬ ‫در‬
PA
‫نوک‬ ‫شدن‬ ‫گرد‬ ‫سینه‬ ‫قفسه‬
‫دی‬ ‫دیافراگم‬ ‫باالی‬ ‫طرف‬ ‫به‬ ‫آن‬ ‫جایی‬ ‫جابه‬ ‫با‬ ‫همراه‬ ‫قلب‬
‫ده‬
‫شود‬ ‫می‬
.
•
ً‫ال‬‫معمو‬ ‫راست‬ ‫بطن‬ ‫شدید‬ ‫بزرگی‬ ‫در‬
CTR
‫یافته‬ ‫افزایش‬
‫است‬
.
‫بطن‬ ‫یا‬ ‫و‬ ‫چپ‬ ‫بطن‬ ‫بزرگی‬ ‫از‬ ‫ناشی‬ ‫کاردیومگالی‬ ‫علت‬ ‫افتراق‬
‫راست‬
•
‫کننده‬ ‫کمک‬ ‫قلبی‬ ‫بیماری‬ ‫سابقه‬ ‫و‬ ‫حال‬ ‫شرح‬ ‫به‬ ‫توجه‬
‫است‬
.
‫پولمونر‬ ‫تنه‬ ‫اتساع‬ ‫و‬ ‫ریوی‬ ‫قلبی‬ ‫بیماری‬ ‫مثال‬ ‫برای‬
‫به‬ ‫شک‬
‫آئو‬ ‫اتساع‬ ‫طرفی‬ ‫از‬ ‫و‬ ‫افزاید‬ ‫می‬ ‫را‬ ‫راست‬ ‫بطن‬ ‫بزرگی‬
‫رت‬
‫م‬ ‫افزایش‬ ‫را‬ ‫چپ‬ ‫بطن‬ ‫بزرگی‬ ‫وجود‬ ‫احتمال‬ ‫نیز‬ ‫صعودی‬
‫ی‬
‫دهد‬
•
‫است‬ ‫کننده‬ ‫کمک‬ ‫نیز‬ ‫لترال‬ ‫رادیوگرافی‬ ‫از‬ ‫استفاده‬
.
‫در‬
‫بزرگی‬ ‫موارد‬
LV
‫در‬ ‫و‬ ‫رتروکاردیاک‬ ‫فضای‬ ‫شدن‬ ‫پر‬ ،
‫بزرگی‬ ‫موارد‬
RV
‫بی‬ ‫به‬ ‫رترواسترنال‬ ‫فضای‬ ‫شدن‬ ‫پر‬ ،
‫ش‬
‫از‬
30
%
‫تا‬
50
%
‫شود‬ ‫می‬ ‫دیده‬
.
‫چپ‬ ‫دهلیز‬ ‫بزرگی‬
‫چپ‬ ‫دهلیز‬ ‫بزرگی‬
‫چپ‬ ‫دهلیز‬ ‫بزرگی‬
‫چپ‬ ‫دهلیز‬ ‫بزرگی‬
‫راست‬ ‫دهلیز‬ ‫بزرگی‬
.1
‫از‬ ‫بیشتر‬ ‫قلب‬ ‫راست‬ ‫ی‬ ‫کناره‬ ‫افزایش‬
25
%
‫قلب‬ ‫عرضی‬ ‫دیامتر‬
.2
‫راست‬ ‫کاردیوفرنیک‬ ‫ی‬ ‫زاویه‬ ‫شدن‬ ‫باز‬
(
‫منفرجه‬ ‫یا‬ ‫قائمه‬
)
.3
‫از‬ ‫بیشتر‬ ‫وسط‬ ‫خط‬ ‫از‬ ‫راست‬ ‫دهلیز‬ ‫ی‬ ‫حاشیه‬ ‫بین‬ ‫ی‬ ‫فاصله‬
5.5
‫از‬ ‫بیشتر‬ ‫ها‬ ‫مهره‬ ‫ستون‬ ‫راست‬ ‫حاشیه‬ ‫از‬ ‫و‬ ‫متر‬ ‫سانتی‬
2.5
‫متر‬ ‫سانتی‬
.
.4
‫می‬ ‫تشکیل‬ ‫را‬ ‫توراکس‬ ‫همی‬ ‫سوم‬ ‫یک‬ ‫از‬ ‫بیشتر‬ ‫راست‬ ‫دهلیز‬
‫دهد‬
.
.5
‫راست‬ ‫دهلیز‬ ‫و‬ ‫صعودی‬ ‫آئورت‬ ‫و‬ ‫راست‬ ‫دهلیز‬ ‫بین‬ ‫ی‬ ‫زاویه‬
‫شود‬ ‫می‬ ‫واضح‬
.
>5.5cm
>2.5cm
>25%
>1/3
‫راست‬ ‫دهلیز‬ ‫بزرگی‬
‫صعودی‬ ‫آئورت‬ ‫دیالتاسیون‬
•
‫قرار‬ ‫قلب‬ ‫حاشیه‬ ‫راست‬ ‫سمت‬ ‫در‬ ‫آئورت‬ ‫صعودی‬ ‫قسمت‬
‫به‬ ‫باید‬ ‫باشد‬ ‫برجسته‬ ‫حاشیه‬ ‫این‬ ‫که‬ ‫صورتی‬ ‫در‬ ‫دارد‬
‫فکر‬
‫باشیم‬ ‫دیالته‬ ‫صعودی‬ ‫آئورت‬
.
•
‫ه‬ ‫بیماری‬ ‫نفع‬ ‫به‬ ‫قلب‬ ‫راست‬ ‫حاشیه‬ ‫در‬ ‫صعودی‬ ‫آئورت‬
‫ای‬
‫است‬ ‫زیر‬
:
• Congenitally corrected transposition of great
arteries
• Double outlet right ventricle
• Double outlet left ventricle
• Aortic stenosis
• Hypertension
• Aging
‫پولمونری‬ ‫شریان‬
‫اصلی‬ ‫پولمونر‬ ‫شریان‬
(
MPA
)
‫زیر‬ ‫در‬
Aortic Knob
‫و‬ ‫دارد‬ ‫قرار‬
‫شود‬ ‫می‬ ‫تقسیم‬ ‫چپ‬ ‫و‬ ‫راست‬ ‫شاخه‬ ‫دو‬ ‫به‬
.
‫چپ‬ ‫پولمونر‬ ‫شریان‬
(
LPA
)
‫خلف‬ ‫قسمت‬ ‫در‬
MPA
‫در‬ ‫و‬ ‫دارد‬ ‫قرار‬
CXR
‫پولمونر‬ ‫راست‬ ‫شاخه‬ ‫ولی‬ ‫باشد‬ ‫نمی‬ ‫رویت‬ ‫قابل‬ ‫نرمال‬
(
RPA
)
‫نی‬ ‫موارد‬ ‫در‬ ‫و‬ ‫باشد‬ ‫می‬ ‫رویت‬ ‫قابل‬ ‫قلب‬ ‫راست‬ ‫کناره‬ ‫در‬
‫از‬
‫بررس‬ ‫پولمونر‬ ‫راست‬ ‫شاخه‬ ‫پولمونر‬ ‫هاي‬ ‫شاخه‬ ‫گیري‬ ‫اندازه‬ ‫به‬
‫ي‬
‫شود‬ ‫مي‬
.
‫قلب‬ ‫های‬ ‫حاشیه‬
‫قلب‬ ‫های‬ ‫حاشیه‬
‫پولمونری‬ ‫شریان‬
‫اصلی‬ ‫پولمونر‬ ‫شریان‬
(
MPA
)
‫زیر‬ ‫در‬
Aortic Knob
‫و‬ ‫دارد‬ ‫قرار‬
‫شود‬ ‫می‬ ‫تقسیم‬ ‫چپ‬ ‫و‬ ‫راست‬ ‫شاخه‬ ‫دو‬ ‫به‬
.
‫چپ‬ ‫پولمونر‬ ‫شریان‬
(
LPA
)
‫خلف‬ ‫قسمت‬ ‫در‬
MPA
‫در‬ ‫و‬ ‫دارد‬ ‫قرار‬
CXR
‫پولمونر‬ ‫راست‬ ‫شاخه‬ ‫ولی‬ ‫باشد‬ ‫نمی‬ ‫رویت‬ ‫قابل‬ ‫نرمال‬
(
RPA
)
‫نی‬ ‫موارد‬ ‫در‬ ‫و‬ ‫باشد‬ ‫می‬ ‫رویت‬ ‫قابل‬ ‫قلب‬ ‫راست‬ ‫کناره‬ ‫در‬
‫از‬
‫بررس‬ ‫پولمونر‬ ‫راست‬ ‫شاخه‬ ‫پولمونر‬ ‫هاي‬ ‫شاخه‬ ‫گیري‬ ‫اندازه‬ ‫به‬
‫ي‬
‫شود‬ ‫مي‬
.
‫بررسی‬ ‫قابل‬ ‫کلی‬ ‫دسته‬ ‫دو‬ ‫در‬ ‫پولمونر‬ ‫اصلی‬ ‫تنه‬ ‫اختالالت‬
‫هستند‬
.
‫عبارتنداز‬ ‫دسته‬ ‫دو‬ ‫این‬
:
.1
‫برجسته‬ ‫پولمونر‬ ‫اصلي‬ ‫تنه‬
.2
‫نرمال‬ ‫از‬ ‫تر‬ ‫کوچک‬ ‫پولمونر‬ ‫اصلي‬ ‫تنه‬
‫برجسته‬ ‫پولمونر‬ ‫اصلي‬ ‫تنه‬
•
‫از‬ ‫بیشتر‬ ‫مماس‬ ‫خارجي‬ ‫خط‬ ‫از‬ ‫پولمونر‬ ‫اصلي‬ ‫تنه‬ ‫فاصله‬ ‫كه‬ ‫است‬ ‫زماني‬
15
‫باشد‬ ‫متر‬ ‫میلي‬
.
‫علل‬
:
.1
‫ریوي‬ ‫شریان‬ ‫فشار‬ ‫افزایش‬
.2
‫ریوي‬ ‫خون‬ ‫جریان‬ ‫افزایش‬
.3
‫پولمونر‬ ‫شریان‬ ‫آنوریسم‬
(
‫پو‬ ‫شریان‬ ‫ایدیوپاتیك‬ ‫اتساع‬،‫مارفان‬ ‫سندروم‬
‫لمونر‬
(
.4
‫پولمونر‬ ‫دریچه‬ ‫تنگي‬ ‫از‬ ‫بعد‬ ‫اتساع‬
.5
‫شوند‬ ‫مي‬ ‫قلب‬ ‫چرخش‬ ‫باعث‬ ‫كه‬ ‫تكنیكي‬ ‫اشكاالت‬
.
.6
‫ق‬ ‫چرخش‬ ‫به‬ ‫منجر‬ ‫كه‬ ‫چپ‬ ‫ریه‬ ‫تحتاني‬ ‫لوب‬ ‫وكالپس‬ ‫توراكس‬ ‫ابنورمالیتي‬
‫لب‬
‫میشوند‬
.
.7
‫شود‬ ‫دیده‬ ‫خانمها‬ ‫در‬ ‫خصوص‬ ‫به‬ ‫جوان‬ ‫افراد‬ ‫در‬ ‫است‬ ‫ممكن‬ ‫مواردي‬ ‫در‬
.
‫ریوی‬ ‫عروق‬ ‫طرح‬
1
.
‫نرمال‬
2
.
Pulmonary Venous Hypertension
(Post Capillary Pulmonary
Hypertension)
3
.
Pulmonary Atrial Hypertension (Pre
capillary Pulmonary Hypertension)
4
.
Increased Flow
5
.
Decreased Flow
‫ریوی‬ ‫عروق‬ ‫بررسی‬ ‫پارامترهای‬
.1
‫پولمونر‬ ‫راست‬ ‫نزولی‬ ‫شریان‬ ‫گیری‬ ‫اندازه‬
.2
‫محیط‬ ‫به‬ ‫مرکز‬ ‫از‬ ‫ریه‬ ‫عروق‬ ‫طرح‬ ‫انتشار‬
.3
‫قاعده‬ ‫طرف‬ ‫به‬ ‫قله‬ ‫از‬ ‫آن‬ ‫انتشار‬
‫ریوی‬ ‫عروق‬ ‫نرمال‬ ‫طرح‬
.1
RDPA
‫از‬ ‫کمتر‬ ‫نرمال‬ ‫خانم‬ ‫فرد‬ ‫در‬
16
‫آقای‬ ‫در‬ ‫و‬ ‫متر‬ ‫میلی‬
‫از‬ ‫کمتر‬ ‫نرمال‬
18
‫متر‬ ‫میلی‬
.2
‫در‬
1/3
‫رادیوگرافی‬ ‫در‬ ‫نرمال‬ ‫فرد‬ ‫یک‬ ‫در‬ ‫ریه‬ ‫محیط‬
PA
‫طرح‬
‫شود‬ ‫نمی‬ ‫دیده‬ ‫عروقی‬
.
.3
‫شریان‬ ‫سایز‬ ‫نسبت‬
(
A
)
‫برونش‬ ‫به‬
(
B
)
‫یعنی‬
A/B
‫ریه‬ ‫قله‬ ‫در‬
‫های‬
85
%
‫نسبت‬ ‫این‬ ‫ریه‬ ‫ی‬ ‫قاعده‬ ‫در‬ ‫و‬ ‫یک‬ ‫ریه‬ ‫ناف‬ ‫در‬ ‫و‬
35/1
‫است‬
‫یا‬ ‫ریوی‬ ‫وریدی‬ ‫هیپرتانسیون‬
Post Capillary Pulmonary Hypertension - Pulmonary
venous hyper tension
1
.
‫خون‬ ‫جریان‬ ‫مجدد‬ ‫توزیع‬ ‫اول‬ ‫مرحله‬
•
‫که‬ ‫حالتی‬ ‫در‬
Redistribution
‫نسبت‬ ‫دهد‬ ‫می‬ ‫رخ‬
A/B
‫ج‬ ‫بهترین‬ ‫و‬ ‫یابد‬ ‫می‬ ‫افزایش‬ ‫میانی‬ ‫و‬ ‫فوقانی‬ ‫لوب‬ ‫در‬
‫برای‬ ‫ا‬
‫است‬ ‫ریه‬ ‫ناف‬ ‫اطراف‬ ‫ی‬ ‫ناحیه‬ ‫آن‬ ‫ی‬ ‫مشاهده‬
.
•
‫سفالیزاسیون‬
•
2
.
‫اینترستیسیل‬ ‫ادم‬
•
‫م‬ ‫برونکیال‬ ‫پری‬ ‫اینترلوبوالر‬ ‫فضای‬ ‫به‬ ‫مایع‬ ‫نشت‬
‫شخص‬
‫شود‬ ‫می‬
.
‫اینترلوبوالر‬ ‫فضاهای‬ ‫به‬ ‫مایع‬ ‫این‬ ‫که‬ ‫وقتی‬
‫عنوان‬ ‫تحت‬ ‫کند‬ ‫می‬ ‫نشت‬ ‫محیطی‬
‫کرلی‬ ‫خطوط‬
B
‫مشخص‬
‫شود‬ ‫می‬
.
•
Kerley B
:
‫کرلی‬ ‫خطوط‬ ‫واقع‬ ‫در‬
B
‫تا‬ ‫یک‬ ‫افقی‬ ‫خطوط‬
2
‫ی‬ ‫زاویه‬ ‫نزدیک‬ ‫و‬ ‫ریه‬ ‫محیط‬ ‫در‬ ‫متر‬ ‫سانتی‬
‫هستند‬ ‫عمود‬ ‫پلور‬ ‫به‬ ‫که‬ ‫باشند‬ ‫می‬ ‫کوستوفرنیک‬
-
•
‫پر‬ ‫ی‬ ‫ناحیه‬ ‫در‬ ‫بافتی‬ ‫بین‬ ‫فضای‬ ‫به‬ ‫مایع‬ ‫که‬ ‫وقتی‬
‫ی‬
‫افزایش‬ ‫صورت‬ ‫به‬ ،‫کند‬ ‫می‬ ‫نشت‬ ‫برونکووسکوالر‬
ً‫ا‬‫اصطالح‬ ‫که‬ ‫شود‬ ‫می‬ ‫دیده‬ ‫برونکیال‬ ‫ی‬ ‫دیواره‬ ‫ضخامت‬
Peri bronchial
‫گویند‬ ‫می‬
.
•
‫از‬ ‫عروق‬ ‫تمایز‬ ‫رفتن‬ ‫بین‬ ‫از‬ ‫باعث‬ ‫نشت‬ ‫این‬ ‫طور‬ ‫همین‬
‫که‬ ‫شود‬ ‫می‬ ‫آن‬ ‫اطراف‬
Peri hilar haze
‫گویند‬ ‫می‬
•
3
.
‫آلوئوالر‬ ‫ادم‬
•
‫بی‬ ‫مایع‬ ‫نشت‬ ،‫گویند‬ ‫می‬ ‫آلوئوالر‬ ‫ادم‬ ‫که‬ ‫سوم‬ ‫مرحله‬ ‫در‬
‫ن‬
‫ش‬ ‫تخلیه‬ ‫لنفاوی‬ ‫درناژ‬ ‫افزایش‬ ‫با‬ ‫تواند‬ ‫نمی‬ ‫بافتی‬
‫ود‬
.
‫مایع‬ ‫لذا‬
‫و‬ ‫کند‬ ‫می‬ ‫ایجاد‬ ‫آلوئوالر‬ ‫ادم‬ ‫و‬ ‫کند‬ ‫می‬ ‫نشت‬ ‫ها‬ ‫آلوئول‬ ‫در‬
‫آمدن‬ ‫وجود‬ ‫به‬ ‫باعث‬ ‫پلور‬ ‫فضای‬ ‫به‬ ‫آن‬ ‫نشت‬ ‫طرفی‬ ‫از‬
‫شود‬ ‫می‬ ‫پلور‬ ‫افیوژن‬
‫ریوی‬ ‫خون‬ ‫جریان‬ ‫افزایش‬
•
‫از‬ ‫بیشتر‬ ‫راست‬ ‫پولمونر‬ ‫شریان‬ ‫دیامتر‬
17
‫متراست‬ ‫میلي‬
.
•
‫است‬ ‫ریه‬ ‫قله‬ ‫از‬ ‫بیشتر‬ ‫ریه‬ ‫قاعده‬ ‫در‬ ‫عروق‬ ‫دیامتر‬
.
•
‫محی‬ ‫به‬ ‫مرکز‬ ‫قسمت‬ ‫از‬ ‫را‬ ‫ریه‬ ‫عروقي‬ ‫دیامتر‬ ‫تدریجي‬ ‫افزایش‬
‫ط‬
‫شود‬ ‫می‬ ‫مشاهده‬
.
•
‫قسمت‬ ‫در‬ ‫چه‬ ،‫فوقاني‬ ‫قسمت‬ ‫در‬ ‫چه‬ ‫ریه‬ ‫تمام‬ ‫در‬ ‫عروقي‬ ‫دیامتر‬
‫بیشتر‬ ‫طبیعي‬ ‫حالت‬ ‫به‬ ‫نسبت‬ ‫محیط‬ ‫و‬ ‫مرکزي‬ ‫یا‬ ‫و‬ ‫تحتاني‬
‫است‬
.
‫با‬
‫افزایش‬ ‫پولمونر‬ ‫عروقي‬ ‫بستر‬ ‫در‬ ‫ریه‬ ‫فلوي‬ ‫اینکه‬ ‫به‬ ‫توجه‬
‫است‬ ‫یافته‬
‫نر‬ ‫افراد‬ ‫به‬ ‫نسبت‬ ‫بیشتر‬ ‫را‬ ‫عروقي‬ ‫طرح‬ ‫افزایش‬ ‫نتیجه‬ ‫در‬
‫مي‬ ‫مال‬
‫بینیم‬
.
‫ریه‬ ‫فلوي‬ ‫افزایش‬
•
‫دارد‬ ‫زیادي‬ ‫اي‬ ‫ذخیره‬ ‫ظرفیت‬ ‫ریه‬ ‫عروقي‬ ‫بستر‬
.
‫ضرور‬ ‫درموارد‬
‫ي‬
‫خوني‬ ‫جریان‬ ‫طبیعي‬ ‫حالت‬ ‫در‬ ‫كه‬ ‫عروقي‬ ‫ریه‬ ‫فلوي‬ ‫وافزایش‬
‫شوند‬ ‫مي‬ ‫ودیده‬ ‫كرده‬ ‫پیدا‬ ‫دیامتر‬ ‫افزایش‬ ‫اند‬ ‫نداشته‬
.
‫ات‬ ‫وضمنآ‬
‫ساع‬
‫داریم‬ ‫را‬ ‫ریه‬ ‫عروق‬ ‫تمام‬
(
redistribution
.)
•
‫در‬ ‫اولیه‬ ‫مراحل‬ ‫در‬
redistribution
‫قله‬ ‫در‬ ‫را‬ ‫ریه‬ ‫فلوي‬ ‫افزایش‬
‫ح‬ ‫این‬ ‫به‬ ‫شود‬ ‫مي‬ ‫ریه‬ ‫قله‬ ‫و‬ ‫قاعده‬ ‫فلوي‬ ‫برابري‬ ‫باعث‬ ‫كه‬ ‫داریم‬
‫الت‬
equalization
‫شود‬ ‫مي‬ ‫كفته‬
.
•
)
‫داریم‬ ‫نرمال‬ ‫از‬ ‫بیشتر‬ ‫را‬ ‫ریه‬ ‫عروق‬ ‫دیامتر‬ ‫افزایش‬
(.
‫ا‬
‫ندازه‬
‫از‬ ‫بیشتر‬ ‫راست‬ ‫پولمونر‬ ‫شریان‬
17
‫متر‬ ‫میلي‬
)
•
2
)
‫نرمال‬ ‫از‬ ‫زیادتر‬ ‫تحتاني‬ ‫قسمت‬ ‫در‬ ‫ریه‬ ‫عروق‬ ‫دیامتر‬
‫و‬
‫داریم‬ ‫ریه‬ ‫قله‬ ‫در‬ ‫را‬ ‫عروق‬ ‫طرح‬ ‫افزایش‬ ‫همزمان‬ ‫طرفي‬ ‫از‬
‫را‬ ‫ریه‬ ‫وقاعده‬ ‫قله‬ ‫خون‬ ‫فلوي‬ ‫برابري‬ ‫حالت‬ ‫این‬ ‫در‬ ‫كه‬
‫داریم‬
(
equalization
.)
• 3
)
‫ریه‬ ‫محیط‬ ‫تا‬ ‫گاهي‬ ‫ریه‬ ‫عروقي‬ ‫طرح‬ ‫موارد‬ ‫این‬ ‫در‬
(
‫در‬ ‫حتي‬
3/1
‫محیطي‬
)
‫باشد‬ ‫مي‬ ‫مشاهده‬ ‫قابل‬
‫ریوی‬ ‫شریان‬ ‫فشار‬ ‫افزایش‬
•
‫است‬ ‫طوري‬ ‫محیط‬ ‫به‬ ‫مرکز‬ ‫قسمت‬ ‫از‬ ‫را‬ ‫ریه‬ ‫عروقي‬ ‫طرح‬ ‫تغییر‬
‫خ‬ ‫بر‬ ‫و‬ ‫شده‬ ‫باریک‬ ‫کامال‬ ‫پریفر‬ ‫قسمت‬ ‫در‬ ‫عروقي‬ ‫دیامتر‬ ‫که‬
‫آن‬ ‫الف‬
‫باشد‬ ‫مي‬ ‫معمول‬ ‫از‬ ‫بیشتر‬ ‫مرکز‬ ‫قسمت‬ ‫در‬ ‫عروق‬ ‫دیامتر‬
.
‫این‬
‫طور‬ ‫به‬ ‫مرکزي‬ ‫بزرگ‬ ‫عروق‬ ‫دیامتر‬ ‫از‬ ‫که‬ ‫را‬ ‫عروقي‬ ‫انتشار‬
‫بینیم‬ ‫مي‬ ‫مالحظه‬ ‫قابل‬ ‫طور‬ ‫به‬ ‫را‬ ‫عروقي‬ ‫دیامتر‬ ‫کاهش‬ ‫ناگهان‬
Pruning
‫گوئیم‬ ‫مي‬
.
•
‫از‬ ‫بیشتر‬ ‫راست‬ ‫پولمونر‬ ‫شریان‬ ‫دیامتر‬
17
‫است‬ ‫متر‬ ‫میلي‬
.
•
‫است‬ ‫ریه‬ ‫قله‬ ‫از‬ ‫بیشتر‬ ‫ریه‬ ‫قاعده‬ ‫در‬ ‫عروق‬ ‫دیامتر‬
‫ریه‬ ‫فلوي‬ ‫كاهش‬
1
)
‫یابد‬ ‫مي‬ ‫كاهش‬ ‫ریه‬ ‫عروق‬ ‫دیامتر‬ ‫موارد‬ ‫این‬ ‫در‬
(
‫شریان‬ ‫اندازه‬
‫است‬ ‫طبیعي‬ ‫از‬ ‫كمتر‬ ‫پولمونر‬
)
‫قسمت‬ ‫در‬ ‫را‬ ‫عروقي‬ ‫طرح‬ ‫گاهي‬ ‫و‬
‫بینیم‬ ‫نمي‬ ‫نیز‬ ‫ریه‬ ‫تحتاني‬
.
2
)
‫از‬ ‫بیشتر‬ ‫در‬ ‫ریه‬ ‫عروقي‬ ‫طرح‬
1/3
‫شود‬ ‫نمي‬ ‫دیده‬ ‫محیط‬
.
3
) tapering ‫افتد‬ ‫مي‬ ‫اتفاق‬ ‫سریعتر‬ ‫خیلي‬ ‫مركزي‬ ‫قسمت‬ ‫از‬ ‫عروقي‬
.
4
)
‫پولمونر‬ ‫اصلي‬ ‫تنه‬ ‫شدن‬ ‫كوچك‬
(
‫خارجي‬ ‫خط‬ ‫از‬ ‫پولمونر‬ ‫تنه‬ ‫فاصله‬
‫از‬ ‫بیشتر‬
15
‫متر‬ ‫میلي‬
)
CXR - new.ppt

CXR - new.ppt

  • 1.
    ‫بزرگ‬ ‫عروق‬ ‫و‬‫قلب‬ ‫گرافی‬ Dr Bigdelu MUMS
  • 2.
    • ‫گام‬ ‫دوازده‬ ‫های‬ ‫سینه‬ ‫قفسه‬‫گرافی‬ ‫تفسیر‬ ‫در‬ ‫گانه‬ • ‫بیمار‬ ‫نام‬ • ‫تاریخ‬ • ‫بیمار‬ ‫سن‬ ‫و‬ ‫جنس‬ • ‫فیلم‬ ‫نوع‬ • ‫سینه‬ ‫قفسه‬ ‫رادیوگرافی‬ ‫در‬ ‫مارکر‬ ‫دیدن‬ • ‫کیفیت‬ ‫کنترل‬ ( exposure ‫حرکت‬ ، ‫دم‬ ‫میزان‬ ،‫بیمار‬ ‫چرخش‬ ‫و‬ ) • ‫قلب‬ • ‫ریه‬ ‫فیلد‬
  • 3.
  • 6.
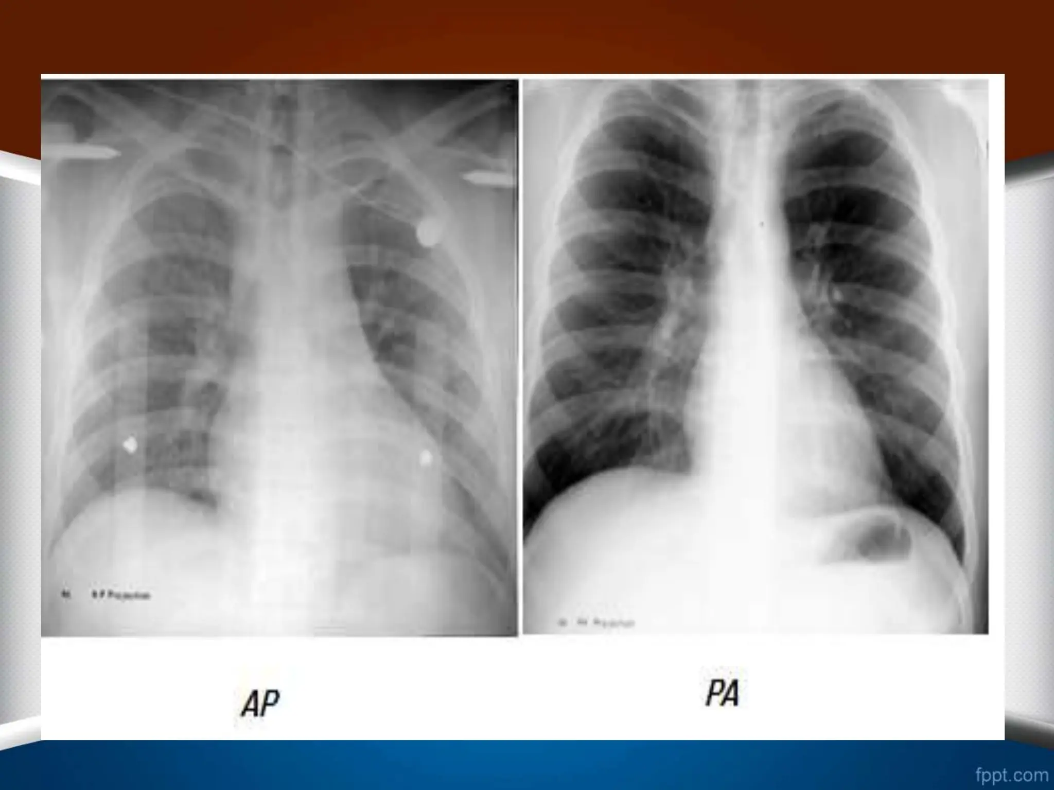
    • ‫معیارهای‬ AP or PA • 1 - ‫رادیوگرافی‬‫در‬ PA ‫رؤیت‬ ‫قابل‬ ‫چپ‬ ‫دیافراگم‬ ‫زیر‬ ‫و‬ ‫فوندوس‬ ‫ناحیه‬ ‫در‬ ‫معده‬ ‫گاز‬ ً‫ال‬‫معمو‬ ‫است‬ ( ‫است‬ ‫شده‬ ‫گرفته‬ ‫ایستاده‬ ‫حالت‬ ‫در‬ ‫عکس‬ ‫این‬ ‫که‬ ‫چرا‬ ) ‫گرافی‬ ‫در‬ ‫که‬ ‫صورتی‬ ‫در‬ AP ‫که‬ ‫می‬ ‫گرفته‬ ‫خوابیده‬ ‫حالت‬ ‫به‬ ً‫ال‬‫معمو‬ ‫نمی‬ ‫رؤیت‬ ‫گاز‬ ‫این‬ ‫شود‬ ‫شود‬ . • 2 - ‫گرافی‬ ‫در‬ PA ‫می‬ ‫رؤیت‬ ‫کالویکل‬ ‫باالی‬ ‫در‬ ‫ریه‬ ‫قله‬ ‫تصویر‬ ‫در‬ ‫که‬ ‫حالی‬ ‫در‬ ،‫شود‬ AP ‫قابل‬ ‫نمی‬ ‫رؤیت‬ ‫باشد‬ . • 3 - ‫کالویکل‬ ‫درگرافی‬ ‫ها‬ PA ‫تح‬ ‫دیستال‬ ‫در‬ ‫و‬ ‫دارند‬ ‫باال‬ ‫سمت‬ ‫به‬ ‫تقعر‬ ‫پروگزیمال‬ ‫قسمت‬ ‫در‬ ‫دب‬ ‫گرافی‬ ‫در‬ ‫که‬ ‫حالی‬ ‫در‬ ‫دارند‬ ‫باال‬ ‫به‬ ‫رو‬ AP ‫نیست‬ ‫گونه‬ ‫این‬ . • 4 - ‫فیلم‬ ‫در‬ ‫اسکاپوال‬ PA ‫است‬ ‫دور‬ ‫ریه‬ ‫فیلد‬ ‫از‬ . • 5 - ‫گرافی‬ ‫در‬ AP ‫اشعه‬ ‫تیوب‬ ‫و‬ ‫شده‬ ‫گرفته‬ ‫پرتابل‬ ‫صورت‬ ‫به‬ ً‫ال‬‫معمو‬ ‫که‬ X ‫نزدیک‬ ‫بیمار‬ ‫به‬ ‫تر‬ ‫حاشیه‬ ،‫است‬ ‫هستند‬ ‫محوتر‬ ‫ها‬ . • 6 - ‫گرافی‬ ‫در‬ AP ‫مهره‬ ‫انتهای‬ ‫صفحه‬ ‫گرافی‬ ‫در‬ ‫که‬ ‫حالی‬ ‫در‬ ‫هستند‬ ‫مشخص‬ ‫واضح‬ ‫طور‬ ‫به‬ ‫ها‬ PA ‫دارند‬ ‫المینیت‬ ‫حالت‬ .
  • 8.
  • 9.
    Exposure ‫قرار‬ ‫اشعه‬‫معرض‬ ‫در‬ ‫میزان‬ ‫یا‬ ‫گرفتن‬ 1 - ‫دنده‬ ‫و‬ ‫ریوی‬ ‫عروق‬ ،‫فقرات‬ ‫ستون‬ ‫مشاهده‬ ‫نشان‬ ‫قلب‬ ‫پشت‬ ‫از‬ ‫ها‬ ‫ه‬ ‫است‬ ‫اشعه‬ ‫میزان‬ ‫بودن‬ ‫مناسب‬ . 2 - ‫ریوی‬ ‫عروق‬ ‫اما‬ ،‫شود‬ ‫مشاهده‬ ‫فقرات‬ ‫ستون‬ ‫فقط‬ ‫که‬ ‫صورتی‬ ‫در‬ ‫است‬ ‫تاریک‬ ‫فیلم‬ ‫نشود‬ ‫مشاهده‬ . (Over exposure) 3 - ‫سفی‬ ‫خیلی‬ ‫فیلم‬ ،‫نشود‬ ‫مشاهده‬ ‫فقرات‬ ‫ستون‬ ‫که‬ ‫صورتی‬ ‫در‬ ‫د‬ ‫است‬ . (Under exposure) 4 - ‫به‬ ‫را‬ ‫ها‬ ‫مهره‬ ‫بین‬ ‫فضای‬ ‫نباید‬ ‫مناسب‬ ‫اشعه‬ ‫میزان‬ ‫در‬ ‫کرد‬ ‫مشاهده‬ ‫وضوح‬ . 5 - ‫تا‬ ‫ریه‬ ‫عروقی‬ ‫طرح‬ ‫نزدیک‬ ‫شود‬ ‫رؤیت‬ ‫ریه‬ ‫محیط‬ ‫به‬
  • 10.
  • 11.
    Over exposure • 1 - ‫مهره‬ ‫بین‬‫فضاهای‬ ‫می‬ ‫دیده‬ ‫وضوح‬ ‫به‬ ‫ها‬ ‫شود‬ . • 2 - CXR ‫می‬ ‫نظر‬ ‫به‬ ‫تر‬ ‫سیاه‬ ‫رسد‬ . • 3 - ‫می‬ ‫محو‬ ‫عروقی‬ ‫مارکرهای‬ ‫شود‬ . • 4 - ‫تفسیرمی‬ ‫خون‬ ‫کم‬ ‫غلط‬ ‫به‬ ‫ریه‬ ‫شود‬ .
  • 14.
    Under exposure 1 - ‫دنده‬ ‫مهره‬ ‫و‬‫ها‬ ‫نمی‬ ‫رؤیت‬ ‫پشت‬ ‫از‬ ‫ها‬ ‫شود‬ . 2 - CXR ‫می‬ ‫نظر‬ ‫به‬ ‫سفیدتر‬ ‫رسد‬ . 3 - ‫ریه‬ ‫قواعد‬ ‫در‬ ‫کاذب‬ ‫کدورت‬ ‫یک‬ ‫ایجاد‬ ‫محو‬ ‫به‬ ‫منجر‬ ‫که‬ ‫ها‬ ‫می‬ ‫دیافراگم‬ ‫شدن‬ ‫شود‬ . 4 - ‫ری‬ ‫اشتباه‬ ‫به‬ ‫است‬ ‫ممکن‬ ‫که‬ ‫عروقی‬ ‫مارکرهای‬ ‫افزایش‬ ‫ه‬ - ‫شود‬ ‫تفسیر‬ ‫خون‬ ‫پر‬ ‫ها‬ .
  • 16.
    ‫چرخش‬ –Rotation • ‫حاشیه‬ ‫و‬‫کند‬ ‫پیدا‬ ‫تغییر‬ ‫قلب‬ ‫کلی‬ ‫شکل‬ ‫نامنظم‬ ‫را‬ ‫قلب‬ ‫های‬ ‫کند‬ . (Abnormal configuration) • ‫دهد‬ ‫قرار‬ ‫تأثیر‬ ‫تحت‬ ‫را‬ ‫ریه‬ ‫عروقی‬ ‫طرح‬ . ‫طرح‬ ‫که‬ ‫طور‬ ‫به‬ ‫نزدیک‬ ‫اشعه‬ ‫به‬ ‫که‬ ‫سمتی‬ ‫در‬ ‫عروقی‬ ‫در‬ ‫و‬ ‫کمتر‬ ‫است‬ ‫تر‬ ‫شود‬ ‫دیده‬ ‫بیشتر‬ ‫است‬ ‫دورتر‬ ‫اشعه‬ ‫از‬ ‫که‬ ‫سمتی‬ . • ‫زوایای‬ ‫شدن‬ ‫محو‬ ‫به‬ ‫منجر‬ ‫است‬ ‫ممکن‬ ‫بیمار‬ ‫چرخش‬ ‫خانم‬ ‫در‬ ً‫ا‬‫مخصوص‬ ‫کوستوفرنیک‬ ‫ها‬ ( ‫افزایش‬ ‫خاطر‬ ‫به‬ ‫پستان‬ ‫بافت‬ ‫دانسیته‬ ) ‫اشتبا‬ ‫به‬ ‫است‬ ‫ممکن‬ ‫که‬ ‫شود‬ ‫مطرح‬ ‫ه‬ ‫یا‬ ‫و‬ ‫مایع‬ ‫تجمع‬ ‫جمله‬ ‫از‬ ‫پاتولوژی‬ ‫از‬ ‫مواردی‬ ‫شدن‬ ‫سازد‬ ‫مطرح‬ ‫را‬ ‫منطقه‬ ‫این‬ ‫فضاگیر‬ ‫ضایعات‬ .
  • 19.
    ‫چپ‬ ‫به‬ ‫چرخش‬ .1 ‫بزرگتر‬‫قلب‬ .2 ‫خونتر‬ ‫کم‬ ‫چپ‬ ‫ریه‬ ‫فیلد‬ ‫راست‬ ‫به‬ ‫چرخش‬ .1 ‫کوچکتر‬ ‫قلب‬ .2 ‫خونتر‬ ‫کم‬ ‫راست‬ ‫ریه‬ ‫فیلد‬
  • 20.
    ‫چپ‬ ‫به‬ ‫چرخش‬‫راست‬ ‫به‬ ‫چرخش‬
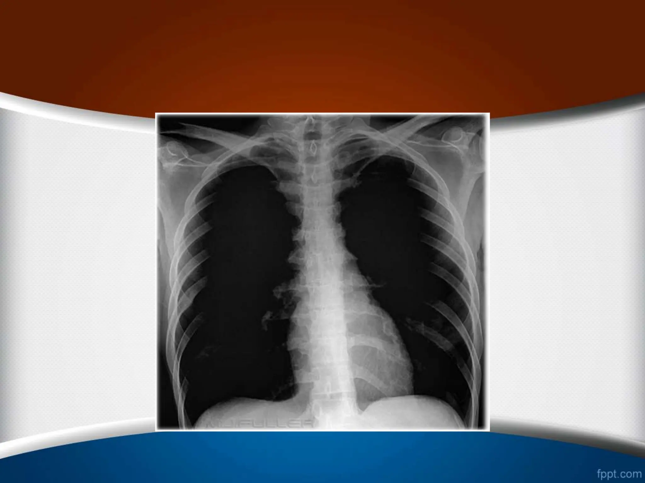
  • 21.
    ‫دم‬ ‫میزان‬ • 1 - ‫مشاهده‬ 9 ‫تا‬ 12 ‫یا‬ ‫خلفی‬‫دنده‬ 6 ‫در‬ ‫قدامی‬ ‫دنده‬ CXR ‫فرونتال‬ PA ‫میدکالویکول‬ ‫خط‬ ‫در‬ . • 2 - ‫زاویه‬ ‫از‬ ‫اگر‬ ‫خط‬ ‫کاردیوفرنیک‬ ‫به‬ ‫کوستوفرنیک‬ ‫ی‬ ‫ی‬ ‫فاص‬ ‫باشد‬ ‫شده‬ ‫انجام‬ ‫عمیق‬ ‫دم‬ ‫که‬ ‫صورتی‬ ‫در‬ ‫بکشیم‬ ‫بین‬ ‫له‬ ‫از‬ ‫بیشتر‬ ‫باید‬ ‫دیافراگم‬ ‫و‬ ‫خط‬ ‫این‬ 1.5 ‫سانتی‬ ‫باشد‬ ‫متر‬ . • 3 - ‫باشد‬ ‫شده‬ ‫پوشیده‬ ‫دیافراگم‬ ‫توسط‬ ‫قلب‬ ‫کناره‬ .
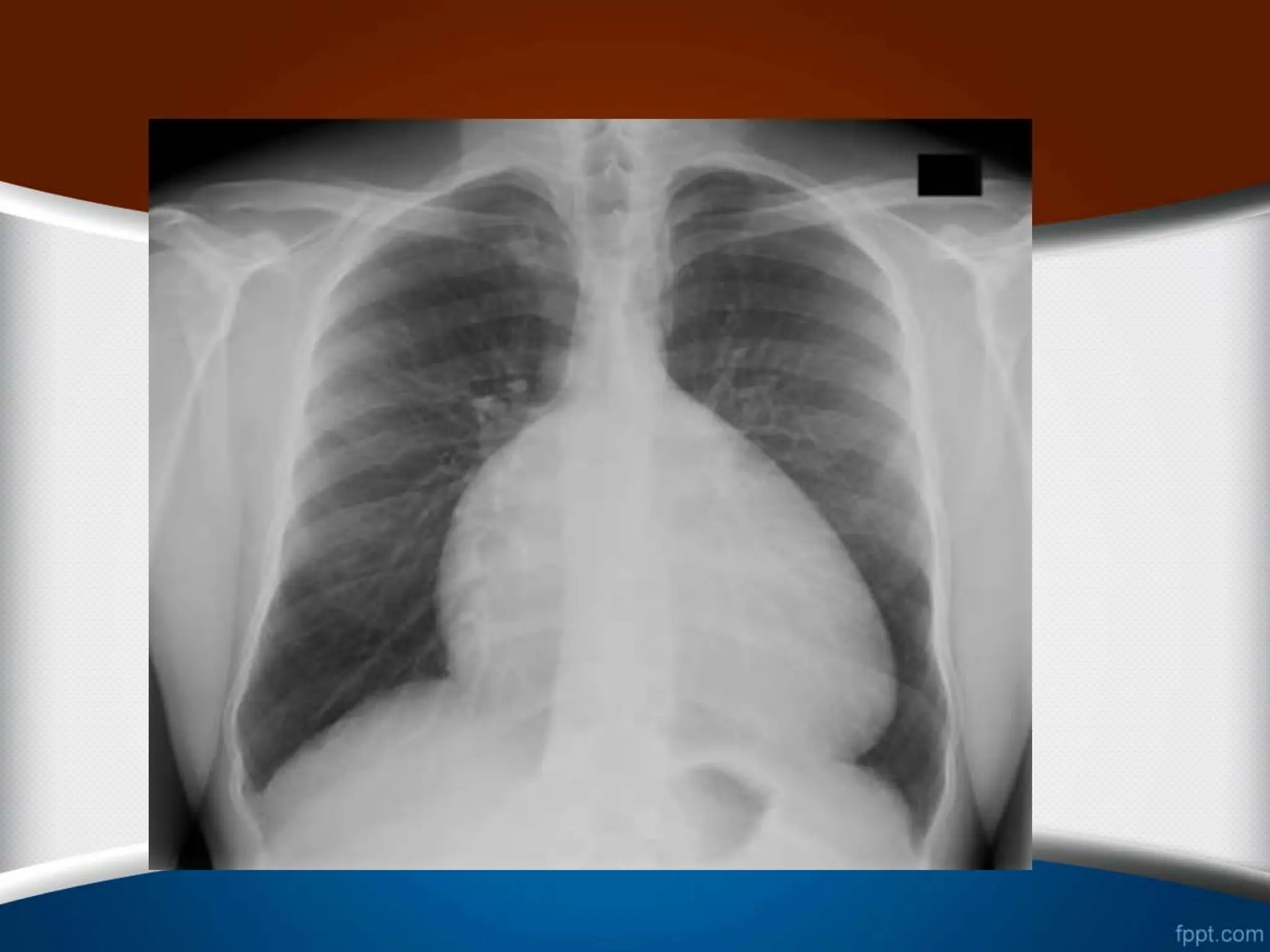
  • 24.
    • ‫تفسیر‬ ‫نباشد‬ ‫عمیق‬‫دم‬ ‫در‬ ‫رادیوگرافی‬ ‫اگر‬ CXR ‫دچار‬ ‫از‬ ‫عبارتند‬ ‫که‬ ‫شود‬ ‫می‬ ‫اشکاالتی‬ : • 1 - ‫ب‬ ‫دیافراگم‬ ‫اینکه‬ ‫دلیل‬ ‫به‬ ‫قلب‬ ‫سایه‬ ‫کاذب‬ ‫بزرگی‬ ‫آمده‬ ‫اال‬ ‫می‬ ‫قرار‬ ‫تر‬ ‫افقی‬ ‫وضعیت‬ ‫در‬ ‫قلب‬ ‫و‬ ‫گیرد‬ . • 2 - ‫ریه‬ ‫قواعد‬ ‫در‬ ‫کدورت‬ ‫بروز‬ ‫مارکرهای‬ ‫شدن‬ ‫محو‬ ‫و‬ ‫ها‬ ‫است‬ ‫ممکن‬ ‫مشکل‬ ‫این‬ ‫که‬ ‫ریه‬ ‫تحتانی‬ ‫نواحی‬ ‫عروقی‬ ‫پنهان‬ ‫دید‬ ‫از‬ ‫و‬ ‫پوشانده‬ ‫را‬ ‫ریه‬ ‫قاعده‬ ‫احتمالی‬ ‫ضایعات‬ ‫بماند‬ .
  • 25.
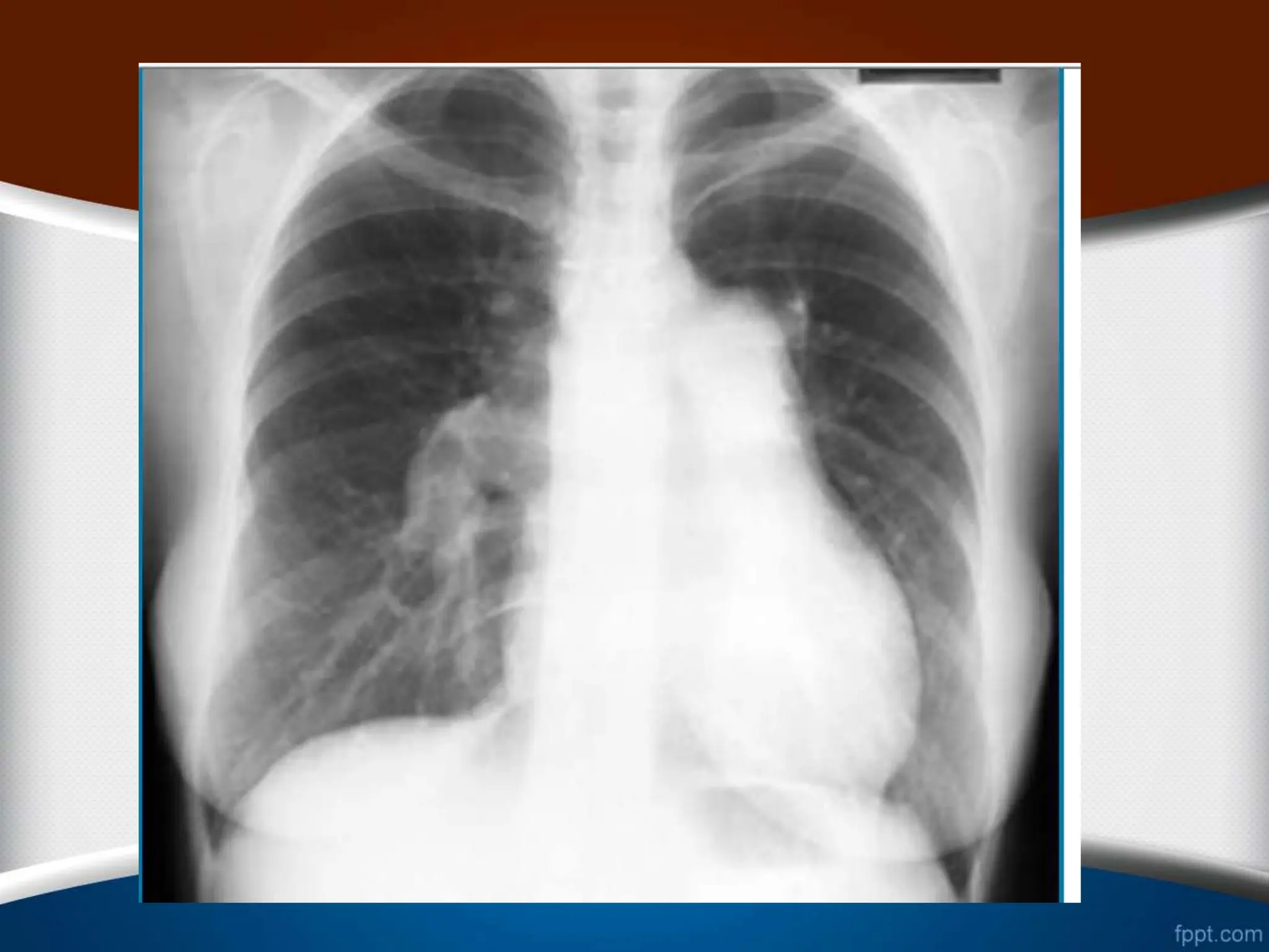
  • 26.
  • 29.
    ‫ترمینولوژی‬ ‫چند‬ .1 ‫راست‬ ‫کاردیوفرنیک‬‫زاویه‬ .2 ‫دیافراگم‬ ‫به‬ ‫نسبت‬ ‫قلب‬ ‫نوک‬ ‫موقعیت‬
  • 30.
    ‫راست‬ ‫کاردیوفرنیک‬ ‫زاویه‬ • ‫از‬‫کمتر‬ ‫و‬ ‫حاده‬ ‫زاویه‬ ‫این‬ ‫نرمال‬ ‫حالت‬ ‫در‬ 45 ‫است‬ ‫درجه‬ ‫تأث‬ ‫تحت‬ ‫زاویه‬ ‫این‬ ‫مختلف‬ ‫های‬ ‫پاتولوژی‬ ‫بنابر‬ ‫ولی‬ ‫قرار‬ ‫یر‬ ‫گیرد‬ ‫می‬ . • a . ‫راست‬ ‫دهلیز‬ ‫بزرگی‬ • b ‫ها‬ ‫پریکاردوکیست‬ ‫و‬ ‫ریه‬ ‫های‬ ‫پاتولوژی‬
  • 31.
    ‫دیافراگم‬ ‫به‬ ‫نسبت‬‫قلب‬ ‫نوک‬ ‫موقعیت‬ • ‫حدود‬ ‫قلب‬ ‫آپکس‬ ‫یا‬ ‫قلب‬ ‫نوک‬ ،‫نرمال‬ ‫حالت‬ ‫در‬ 1.5 ‫تا‬ 2 ‫است‬ ‫گرفته‬ ‫قرار‬ ‫دیافراگم‬ ‫زیر‬ ‫متر‬ ‫سانتی‬ . • ‫بزرگی‬ ‫نفع‬ ‫به‬ ‫پایین‬ ‫سمت‬ ‫به‬ ‫قلب‬ ‫آپکس‬ ‫جایجایی‬ ‫چپ‬ ‫بطن‬ ‫باشد‬ ‫می‬ . • ‫هیپرتروف‬ ‫ی‬ ‫نشانه‬ ‫باال‬ ‫سمت‬ ‫به‬ ‫قلب‬ ‫آپکس‬ ‫جابجایی‬ ‫ی‬ ‫باشد‬ ‫می‬ ‫راست‬ ‫بطن‬ ‫اتساع‬ ‫یا‬ ‫چپ‬ ‫بطن‬ ‫کانستریک‬
  • 34.
    ‫قلب‬ ‫ی‬ ‫اندازه‬ • ‫کاردیوتوراسیک‬‫نسبت‬ ‫نرمال‬ ‫حالت‬ ‫در‬ ( CTR ) ‫افراد‬ ‫در‬ ‫از‬ ‫کمتر‬ ‫بالغ‬ 50 % ‫است‬ . ‫این‬ ‫مسن‬ ‫افراد‬ ‫و‬ ‫کودکان‬ ‫در‬ ‫نسبت‬ ‫تا‬ 55 % ‫باشد‬ ‫می‬ ‫قبول‬ ‫قابل‬ ‫هم‬ . •
  • 35.
    • ) ‫قلبی‬ ‫خارجی‬ ‫علل‬ A : CXR ‫یا‬‫پرتابل‬ ‫حالت‬ ‫در‬ AP ‫از‬ ‫فیلم‬ ‫حالت‬ ‫این‬ ‫در‬ ‫که‬ ‫شود‬ ‫گرفته‬ ‫باعث‬ ‫و‬ ‫شود‬ ‫می‬ ‫نزدیک‬ ‫اشعه‬ ‫تیوب‬ ‫به‬ ‫بیمار‬ ‫و‬ ‫شده‬ ‫دور‬ ‫قلب‬ ‫شود‬ ‫دیده‬ ‫تر‬ ‫بزرگ‬ ‫کاذب‬ ‫طور‬ ‫به‬ ‫قلب‬ ‫شود‬ ‫می‬ . B . ‫ب‬ ‫شود‬ ‫دیافراگم‬ ‫رفتن‬ ‫باال‬ ‫سبب‬ ‫که‬ ‫عاملی‬ ‫هر‬ ‫و‬ ‫آسیت‬ ،‫چاقی‬ ‫اعث‬ ‫شود‬ ‫می‬ ‫قلب‬ ‫کاذب‬ ‫بزرگی‬ . C . ‫سینه‬ ‫قفسه‬ ‫بودن‬ ‫غیرطبیعی‬ . ‫خلفی‬ ‫قدامی‬ ‫قطر‬ ‫که‬ ‫عاملی‬ ‫هر‬ ‫قفسه‬ ‫شود‬ ‫می‬ ‫باعث‬ ‫دهد‬ ‫کاهش‬ ‫را‬ ‫سینه‬ CTR ‫افزایش‬ ‫کاذب‬ ‫طور‬ ‫به‬ ‫یابد‬
  • 36.
    • ‫قلبی‬ ‫داخل‬ ‫علل‬ a . ‫پریکارد‬‫افیوژن‬ b . ‫ابشتین‬ ‫آنومالی‬ c . ‫دیال‬ ‫کاردیومیوپاتی‬ ‫زمینه‬ ‫در‬ ‫قلب‬ ‫حفرات‬ ‫تمام‬ ‫همزمان‬ ‫بزرگی‬ ‫ته‬ ( DCM ) Dilated Cardiomyopathy
  • 40.
    ‫چپ‬ ‫بطن‬ ‫بزرگی‬ • ‫اکسنتریک‬‫هیپرتروفی‬ • ‫کانسنتریک‬ ‫هیپرتروفی‬ • - ‫شکل‬ ‫کروی‬ ‫بزرگی‬
  • 43.
    ‫راست‬ ‫بطن‬ ‫بزرگی‬ • ‫گرافی‬‫در‬ ‫هم‬ ‫مورد‬ ‫این‬ ‫در‬ PA ‫نوک‬ ‫شدن‬ ‫گرد‬ ‫سینه‬ ‫قفسه‬ ‫دی‬ ‫دیافراگم‬ ‫باالی‬ ‫طرف‬ ‫به‬ ‫آن‬ ‫جایی‬ ‫جابه‬ ‫با‬ ‫همراه‬ ‫قلب‬ ‫ده‬ ‫شود‬ ‫می‬ . • ً‫ال‬‫معمو‬ ‫راست‬ ‫بطن‬ ‫شدید‬ ‫بزرگی‬ ‫در‬ CTR ‫یافته‬ ‫افزایش‬ ‫است‬ .
  • 44.
    ‫بطن‬ ‫یا‬ ‫و‬‫چپ‬ ‫بطن‬ ‫بزرگی‬ ‫از‬ ‫ناشی‬ ‫کاردیومگالی‬ ‫علت‬ ‫افتراق‬ ‫راست‬ • ‫کننده‬ ‫کمک‬ ‫قلبی‬ ‫بیماری‬ ‫سابقه‬ ‫و‬ ‫حال‬ ‫شرح‬ ‫به‬ ‫توجه‬ ‫است‬ . ‫پولمونر‬ ‫تنه‬ ‫اتساع‬ ‫و‬ ‫ریوی‬ ‫قلبی‬ ‫بیماری‬ ‫مثال‬ ‫برای‬ ‫به‬ ‫شک‬ ‫آئو‬ ‫اتساع‬ ‫طرفی‬ ‫از‬ ‫و‬ ‫افزاید‬ ‫می‬ ‫را‬ ‫راست‬ ‫بطن‬ ‫بزرگی‬ ‫رت‬ ‫م‬ ‫افزایش‬ ‫را‬ ‫چپ‬ ‫بطن‬ ‫بزرگی‬ ‫وجود‬ ‫احتمال‬ ‫نیز‬ ‫صعودی‬ ‫ی‬ ‫دهد‬ • ‫است‬ ‫کننده‬ ‫کمک‬ ‫نیز‬ ‫لترال‬ ‫رادیوگرافی‬ ‫از‬ ‫استفاده‬ . ‫در‬ ‫بزرگی‬ ‫موارد‬ LV ‫در‬ ‫و‬ ‫رتروکاردیاک‬ ‫فضای‬ ‫شدن‬ ‫پر‬ ، ‫بزرگی‬ ‫موارد‬ RV ‫بی‬ ‫به‬ ‫رترواسترنال‬ ‫فضای‬ ‫شدن‬ ‫پر‬ ، ‫ش‬ ‫از‬ 30 % ‫تا‬ 50 % ‫شود‬ ‫می‬ ‫دیده‬ .
  • 48.
  • 49.
  • 50.
  • 51.
  • 52.
    ‫راست‬ ‫دهلیز‬ ‫بزرگی‬ .1 ‫از‬‫بیشتر‬ ‫قلب‬ ‫راست‬ ‫ی‬ ‫کناره‬ ‫افزایش‬ 25 % ‫قلب‬ ‫عرضی‬ ‫دیامتر‬ .2 ‫راست‬ ‫کاردیوفرنیک‬ ‫ی‬ ‫زاویه‬ ‫شدن‬ ‫باز‬ ( ‫منفرجه‬ ‫یا‬ ‫قائمه‬ ) .3 ‫از‬ ‫بیشتر‬ ‫وسط‬ ‫خط‬ ‫از‬ ‫راست‬ ‫دهلیز‬ ‫ی‬ ‫حاشیه‬ ‫بین‬ ‫ی‬ ‫فاصله‬ 5.5 ‫از‬ ‫بیشتر‬ ‫ها‬ ‫مهره‬ ‫ستون‬ ‫راست‬ ‫حاشیه‬ ‫از‬ ‫و‬ ‫متر‬ ‫سانتی‬ 2.5 ‫متر‬ ‫سانتی‬ . .4 ‫می‬ ‫تشکیل‬ ‫را‬ ‫توراکس‬ ‫همی‬ ‫سوم‬ ‫یک‬ ‫از‬ ‫بیشتر‬ ‫راست‬ ‫دهلیز‬ ‫دهد‬ . .5 ‫راست‬ ‫دهلیز‬ ‫و‬ ‫صعودی‬ ‫آئورت‬ ‫و‬ ‫راست‬ ‫دهلیز‬ ‫بین‬ ‫ی‬ ‫زاویه‬ ‫شود‬ ‫می‬ ‫واضح‬ .
  • 53.
  • 54.
  • 55.
  • 56.
  • 57.
  • 58.
    ‫صعودی‬ ‫آئورت‬ ‫دیالتاسیون‬ • ‫قرار‬‫قلب‬ ‫حاشیه‬ ‫راست‬ ‫سمت‬ ‫در‬ ‫آئورت‬ ‫صعودی‬ ‫قسمت‬ ‫به‬ ‫باید‬ ‫باشد‬ ‫برجسته‬ ‫حاشیه‬ ‫این‬ ‫که‬ ‫صورتی‬ ‫در‬ ‫دارد‬ ‫فکر‬ ‫باشیم‬ ‫دیالته‬ ‫صعودی‬ ‫آئورت‬ .
  • 59.
    • ‫ه‬ ‫بیماری‬ ‫نفع‬‫به‬ ‫قلب‬ ‫راست‬ ‫حاشیه‬ ‫در‬ ‫صعودی‬ ‫آئورت‬ ‫ای‬ ‫است‬ ‫زیر‬ : • Congenitally corrected transposition of great arteries • Double outlet right ventricle • Double outlet left ventricle • Aortic stenosis • Hypertension • Aging
  • 60.
    ‫پولمونری‬ ‫شریان‬ ‫اصلی‬ ‫پولمونر‬‫شریان‬ ( MPA ) ‫زیر‬ ‫در‬ Aortic Knob ‫و‬ ‫دارد‬ ‫قرار‬ ‫شود‬ ‫می‬ ‫تقسیم‬ ‫چپ‬ ‫و‬ ‫راست‬ ‫شاخه‬ ‫دو‬ ‫به‬ . ‫چپ‬ ‫پولمونر‬ ‫شریان‬ ( LPA ) ‫خلف‬ ‫قسمت‬ ‫در‬ MPA ‫در‬ ‫و‬ ‫دارد‬ ‫قرار‬ CXR ‫پولمونر‬ ‫راست‬ ‫شاخه‬ ‫ولی‬ ‫باشد‬ ‫نمی‬ ‫رویت‬ ‫قابل‬ ‫نرمال‬ ( RPA ) ‫نی‬ ‫موارد‬ ‫در‬ ‫و‬ ‫باشد‬ ‫می‬ ‫رویت‬ ‫قابل‬ ‫قلب‬ ‫راست‬ ‫کناره‬ ‫در‬ ‫از‬ ‫بررس‬ ‫پولمونر‬ ‫راست‬ ‫شاخه‬ ‫پولمونر‬ ‫هاي‬ ‫شاخه‬ ‫گیري‬ ‫اندازه‬ ‫به‬ ‫ي‬ ‫شود‬ ‫مي‬ .
  • 61.
  • 62.
  • 63.
    ‫پولمونری‬ ‫شریان‬ ‫اصلی‬ ‫پولمونر‬‫شریان‬ ( MPA ) ‫زیر‬ ‫در‬ Aortic Knob ‫و‬ ‫دارد‬ ‫قرار‬ ‫شود‬ ‫می‬ ‫تقسیم‬ ‫چپ‬ ‫و‬ ‫راست‬ ‫شاخه‬ ‫دو‬ ‫به‬ . ‫چپ‬ ‫پولمونر‬ ‫شریان‬ ( LPA ) ‫خلف‬ ‫قسمت‬ ‫در‬ MPA ‫در‬ ‫و‬ ‫دارد‬ ‫قرار‬ CXR ‫پولمونر‬ ‫راست‬ ‫شاخه‬ ‫ولی‬ ‫باشد‬ ‫نمی‬ ‫رویت‬ ‫قابل‬ ‫نرمال‬ ( RPA ) ‫نی‬ ‫موارد‬ ‫در‬ ‫و‬ ‫باشد‬ ‫می‬ ‫رویت‬ ‫قابل‬ ‫قلب‬ ‫راست‬ ‫کناره‬ ‫در‬ ‫از‬ ‫بررس‬ ‫پولمونر‬ ‫راست‬ ‫شاخه‬ ‫پولمونر‬ ‫هاي‬ ‫شاخه‬ ‫گیري‬ ‫اندازه‬ ‫به‬ ‫ي‬ ‫شود‬ ‫مي‬ .
  • 67.
    ‫بررسی‬ ‫قابل‬ ‫کلی‬‫دسته‬ ‫دو‬ ‫در‬ ‫پولمونر‬ ‫اصلی‬ ‫تنه‬ ‫اختالالت‬ ‫هستند‬ . ‫عبارتنداز‬ ‫دسته‬ ‫دو‬ ‫این‬ : .1 ‫برجسته‬ ‫پولمونر‬ ‫اصلي‬ ‫تنه‬ .2 ‫نرمال‬ ‫از‬ ‫تر‬ ‫کوچک‬ ‫پولمونر‬ ‫اصلي‬ ‫تنه‬
  • 68.
    ‫برجسته‬ ‫پولمونر‬ ‫اصلي‬‫تنه‬ • ‫از‬ ‫بیشتر‬ ‫مماس‬ ‫خارجي‬ ‫خط‬ ‫از‬ ‫پولمونر‬ ‫اصلي‬ ‫تنه‬ ‫فاصله‬ ‫كه‬ ‫است‬ ‫زماني‬ 15 ‫باشد‬ ‫متر‬ ‫میلي‬ . ‫علل‬ : .1 ‫ریوي‬ ‫شریان‬ ‫فشار‬ ‫افزایش‬ .2 ‫ریوي‬ ‫خون‬ ‫جریان‬ ‫افزایش‬ .3 ‫پولمونر‬ ‫شریان‬ ‫آنوریسم‬ ( ‫پو‬ ‫شریان‬ ‫ایدیوپاتیك‬ ‫اتساع‬،‫مارفان‬ ‫سندروم‬ ‫لمونر‬ ( .4 ‫پولمونر‬ ‫دریچه‬ ‫تنگي‬ ‫از‬ ‫بعد‬ ‫اتساع‬ .5 ‫شوند‬ ‫مي‬ ‫قلب‬ ‫چرخش‬ ‫باعث‬ ‫كه‬ ‫تكنیكي‬ ‫اشكاالت‬ . .6 ‫ق‬ ‫چرخش‬ ‫به‬ ‫منجر‬ ‫كه‬ ‫چپ‬ ‫ریه‬ ‫تحتاني‬ ‫لوب‬ ‫وكالپس‬ ‫توراكس‬ ‫ابنورمالیتي‬ ‫لب‬ ‫میشوند‬ . .7 ‫شود‬ ‫دیده‬ ‫خانمها‬ ‫در‬ ‫خصوص‬ ‫به‬ ‫جوان‬ ‫افراد‬ ‫در‬ ‫است‬ ‫ممكن‬ ‫مواردي‬ ‫در‬ .
  • 71.
    ‫ریوی‬ ‫عروق‬ ‫طرح‬ 1 . ‫نرمال‬ 2 . PulmonaryVenous Hypertension (Post Capillary Pulmonary Hypertension) 3 . Pulmonary Atrial Hypertension (Pre capillary Pulmonary Hypertension) 4 . Increased Flow 5 . Decreased Flow
  • 72.
    ‫ریوی‬ ‫عروق‬ ‫بررسی‬‫پارامترهای‬ .1 ‫پولمونر‬ ‫راست‬ ‫نزولی‬ ‫شریان‬ ‫گیری‬ ‫اندازه‬ .2 ‫محیط‬ ‫به‬ ‫مرکز‬ ‫از‬ ‫ریه‬ ‫عروق‬ ‫طرح‬ ‫انتشار‬ .3 ‫قاعده‬ ‫طرف‬ ‫به‬ ‫قله‬ ‫از‬ ‫آن‬ ‫انتشار‬
  • 73.
    ‫ریوی‬ ‫عروق‬ ‫نرمال‬‫طرح‬ .1 RDPA ‫از‬ ‫کمتر‬ ‫نرمال‬ ‫خانم‬ ‫فرد‬ ‫در‬ 16 ‫آقای‬ ‫در‬ ‫و‬ ‫متر‬ ‫میلی‬ ‫از‬ ‫کمتر‬ ‫نرمال‬ 18 ‫متر‬ ‫میلی‬ .2 ‫در‬ 1/3 ‫رادیوگرافی‬ ‫در‬ ‫نرمال‬ ‫فرد‬ ‫یک‬ ‫در‬ ‫ریه‬ ‫محیط‬ PA ‫طرح‬ ‫شود‬ ‫نمی‬ ‫دیده‬ ‫عروقی‬ . .3 ‫شریان‬ ‫سایز‬ ‫نسبت‬ ( A ) ‫برونش‬ ‫به‬ ( B ) ‫یعنی‬ A/B ‫ریه‬ ‫قله‬ ‫در‬ ‫های‬ 85 % ‫نسبت‬ ‫این‬ ‫ریه‬ ‫ی‬ ‫قاعده‬ ‫در‬ ‫و‬ ‫یک‬ ‫ریه‬ ‫ناف‬ ‫در‬ ‫و‬ 35/1 ‫است‬
  • 76.
    ‫یا‬ ‫ریوی‬ ‫وریدی‬‫هیپرتانسیون‬ Post Capillary Pulmonary Hypertension - Pulmonary venous hyper tension 1 . ‫خون‬ ‫جریان‬ ‫مجدد‬ ‫توزیع‬ ‫اول‬ ‫مرحله‬ • ‫که‬ ‫حالتی‬ ‫در‬ Redistribution ‫نسبت‬ ‫دهد‬ ‫می‬ ‫رخ‬ A/B ‫ج‬ ‫بهترین‬ ‫و‬ ‫یابد‬ ‫می‬ ‫افزایش‬ ‫میانی‬ ‫و‬ ‫فوقانی‬ ‫لوب‬ ‫در‬ ‫برای‬ ‫ا‬ ‫است‬ ‫ریه‬ ‫ناف‬ ‫اطراف‬ ‫ی‬ ‫ناحیه‬ ‫آن‬ ‫ی‬ ‫مشاهده‬ . • ‫سفالیزاسیون‬
  • 80.
    • 2 . ‫اینترستیسیل‬ ‫ادم‬ • ‫م‬ ‫برونکیال‬‫پری‬ ‫اینترلوبوالر‬ ‫فضای‬ ‫به‬ ‫مایع‬ ‫نشت‬ ‫شخص‬ ‫شود‬ ‫می‬ . ‫اینترلوبوالر‬ ‫فضاهای‬ ‫به‬ ‫مایع‬ ‫این‬ ‫که‬ ‫وقتی‬ ‫عنوان‬ ‫تحت‬ ‫کند‬ ‫می‬ ‫نشت‬ ‫محیطی‬ ‫کرلی‬ ‫خطوط‬ B ‫مشخص‬ ‫شود‬ ‫می‬ . • Kerley B : ‫کرلی‬ ‫خطوط‬ ‫واقع‬ ‫در‬ B ‫تا‬ ‫یک‬ ‫افقی‬ ‫خطوط‬ 2 ‫ی‬ ‫زاویه‬ ‫نزدیک‬ ‫و‬ ‫ریه‬ ‫محیط‬ ‫در‬ ‫متر‬ ‫سانتی‬ ‫هستند‬ ‫عمود‬ ‫پلور‬ ‫به‬ ‫که‬ ‫باشند‬ ‫می‬ ‫کوستوفرنیک‬ -
  • 82.
    • ‫پر‬ ‫ی‬ ‫ناحیه‬‫در‬ ‫بافتی‬ ‫بین‬ ‫فضای‬ ‫به‬ ‫مایع‬ ‫که‬ ‫وقتی‬ ‫ی‬ ‫افزایش‬ ‫صورت‬ ‫به‬ ،‫کند‬ ‫می‬ ‫نشت‬ ‫برونکووسکوالر‬ ً‫ا‬‫اصطالح‬ ‫که‬ ‫شود‬ ‫می‬ ‫دیده‬ ‫برونکیال‬ ‫ی‬ ‫دیواره‬ ‫ضخامت‬ Peri bronchial ‫گویند‬ ‫می‬ . • ‫از‬ ‫عروق‬ ‫تمایز‬ ‫رفتن‬ ‫بین‬ ‫از‬ ‫باعث‬ ‫نشت‬ ‫این‬ ‫طور‬ ‫همین‬ ‫که‬ ‫شود‬ ‫می‬ ‫آن‬ ‫اطراف‬ Peri hilar haze ‫گویند‬ ‫می‬
  • 85.
    • 3 . ‫آلوئوالر‬ ‫ادم‬ • ‫بی‬ ‫مایع‬‫نشت‬ ،‫گویند‬ ‫می‬ ‫آلوئوالر‬ ‫ادم‬ ‫که‬ ‫سوم‬ ‫مرحله‬ ‫در‬ ‫ن‬ ‫ش‬ ‫تخلیه‬ ‫لنفاوی‬ ‫درناژ‬ ‫افزایش‬ ‫با‬ ‫تواند‬ ‫نمی‬ ‫بافتی‬ ‫ود‬ . ‫مایع‬ ‫لذا‬ ‫و‬ ‫کند‬ ‫می‬ ‫ایجاد‬ ‫آلوئوالر‬ ‫ادم‬ ‫و‬ ‫کند‬ ‫می‬ ‫نشت‬ ‫ها‬ ‫آلوئول‬ ‫در‬ ‫آمدن‬ ‫وجود‬ ‫به‬ ‫باعث‬ ‫پلور‬ ‫فضای‬ ‫به‬ ‫آن‬ ‫نشت‬ ‫طرفی‬ ‫از‬ ‫شود‬ ‫می‬ ‫پلور‬ ‫افیوژن‬
  • 87.
    ‫ریوی‬ ‫خون‬ ‫جریان‬‫افزایش‬ • ‫از‬ ‫بیشتر‬ ‫راست‬ ‫پولمونر‬ ‫شریان‬ ‫دیامتر‬ 17 ‫متراست‬ ‫میلي‬ . • ‫است‬ ‫ریه‬ ‫قله‬ ‫از‬ ‫بیشتر‬ ‫ریه‬ ‫قاعده‬ ‫در‬ ‫عروق‬ ‫دیامتر‬ . • ‫محی‬ ‫به‬ ‫مرکز‬ ‫قسمت‬ ‫از‬ ‫را‬ ‫ریه‬ ‫عروقي‬ ‫دیامتر‬ ‫تدریجي‬ ‫افزایش‬ ‫ط‬ ‫شود‬ ‫می‬ ‫مشاهده‬ . • ‫قسمت‬ ‫در‬ ‫چه‬ ،‫فوقاني‬ ‫قسمت‬ ‫در‬ ‫چه‬ ‫ریه‬ ‫تمام‬ ‫در‬ ‫عروقي‬ ‫دیامتر‬ ‫بیشتر‬ ‫طبیعي‬ ‫حالت‬ ‫به‬ ‫نسبت‬ ‫محیط‬ ‫و‬ ‫مرکزي‬ ‫یا‬ ‫و‬ ‫تحتاني‬ ‫است‬ . ‫با‬ ‫افزایش‬ ‫پولمونر‬ ‫عروقي‬ ‫بستر‬ ‫در‬ ‫ریه‬ ‫فلوي‬ ‫اینکه‬ ‫به‬ ‫توجه‬ ‫است‬ ‫یافته‬ ‫نر‬ ‫افراد‬ ‫به‬ ‫نسبت‬ ‫بیشتر‬ ‫را‬ ‫عروقي‬ ‫طرح‬ ‫افزایش‬ ‫نتیجه‬ ‫در‬ ‫مي‬ ‫مال‬ ‫بینیم‬ .
  • 88.
    ‫ریه‬ ‫فلوي‬ ‫افزایش‬ • ‫دارد‬‫زیادي‬ ‫اي‬ ‫ذخیره‬ ‫ظرفیت‬ ‫ریه‬ ‫عروقي‬ ‫بستر‬ . ‫ضرور‬ ‫درموارد‬ ‫ي‬ ‫خوني‬ ‫جریان‬ ‫طبیعي‬ ‫حالت‬ ‫در‬ ‫كه‬ ‫عروقي‬ ‫ریه‬ ‫فلوي‬ ‫وافزایش‬ ‫شوند‬ ‫مي‬ ‫ودیده‬ ‫كرده‬ ‫پیدا‬ ‫دیامتر‬ ‫افزایش‬ ‫اند‬ ‫نداشته‬ . ‫ات‬ ‫وضمنآ‬ ‫ساع‬ ‫داریم‬ ‫را‬ ‫ریه‬ ‫عروق‬ ‫تمام‬ ( redistribution .) • ‫در‬ ‫اولیه‬ ‫مراحل‬ ‫در‬ redistribution ‫قله‬ ‫در‬ ‫را‬ ‫ریه‬ ‫فلوي‬ ‫افزایش‬ ‫ح‬ ‫این‬ ‫به‬ ‫شود‬ ‫مي‬ ‫ریه‬ ‫قله‬ ‫و‬ ‫قاعده‬ ‫فلوي‬ ‫برابري‬ ‫باعث‬ ‫كه‬ ‫داریم‬ ‫الت‬ equalization ‫شود‬ ‫مي‬ ‫كفته‬ .
  • 89.
    • ) ‫داریم‬ ‫نرمال‬ ‫از‬‫بیشتر‬ ‫را‬ ‫ریه‬ ‫عروق‬ ‫دیامتر‬ ‫افزایش‬ (. ‫ا‬ ‫ندازه‬ ‫از‬ ‫بیشتر‬ ‫راست‬ ‫پولمونر‬ ‫شریان‬ 17 ‫متر‬ ‫میلي‬ ) • 2 ) ‫نرمال‬ ‫از‬ ‫زیادتر‬ ‫تحتاني‬ ‫قسمت‬ ‫در‬ ‫ریه‬ ‫عروق‬ ‫دیامتر‬ ‫و‬ ‫داریم‬ ‫ریه‬ ‫قله‬ ‫در‬ ‫را‬ ‫عروق‬ ‫طرح‬ ‫افزایش‬ ‫همزمان‬ ‫طرفي‬ ‫از‬ ‫را‬ ‫ریه‬ ‫وقاعده‬ ‫قله‬ ‫خون‬ ‫فلوي‬ ‫برابري‬ ‫حالت‬ ‫این‬ ‫در‬ ‫كه‬ ‫داریم‬ ( equalization .) • 3 ) ‫ریه‬ ‫محیط‬ ‫تا‬ ‫گاهي‬ ‫ریه‬ ‫عروقي‬ ‫طرح‬ ‫موارد‬ ‫این‬ ‫در‬ ( ‫در‬ ‫حتي‬ 3/1 ‫محیطي‬ ) ‫باشد‬ ‫مي‬ ‫مشاهده‬ ‫قابل‬
  • 92.
    ‫ریوی‬ ‫شریان‬ ‫فشار‬‫افزایش‬ • ‫است‬ ‫طوري‬ ‫محیط‬ ‫به‬ ‫مرکز‬ ‫قسمت‬ ‫از‬ ‫را‬ ‫ریه‬ ‫عروقي‬ ‫طرح‬ ‫تغییر‬ ‫خ‬ ‫بر‬ ‫و‬ ‫شده‬ ‫باریک‬ ‫کامال‬ ‫پریفر‬ ‫قسمت‬ ‫در‬ ‫عروقي‬ ‫دیامتر‬ ‫که‬ ‫آن‬ ‫الف‬ ‫باشد‬ ‫مي‬ ‫معمول‬ ‫از‬ ‫بیشتر‬ ‫مرکز‬ ‫قسمت‬ ‫در‬ ‫عروق‬ ‫دیامتر‬ . ‫این‬ ‫طور‬ ‫به‬ ‫مرکزي‬ ‫بزرگ‬ ‫عروق‬ ‫دیامتر‬ ‫از‬ ‫که‬ ‫را‬ ‫عروقي‬ ‫انتشار‬ ‫بینیم‬ ‫مي‬ ‫مالحظه‬ ‫قابل‬ ‫طور‬ ‫به‬ ‫را‬ ‫عروقي‬ ‫دیامتر‬ ‫کاهش‬ ‫ناگهان‬ Pruning ‫گوئیم‬ ‫مي‬ . • ‫از‬ ‫بیشتر‬ ‫راست‬ ‫پولمونر‬ ‫شریان‬ ‫دیامتر‬ 17 ‫است‬ ‫متر‬ ‫میلي‬ . • ‫است‬ ‫ریه‬ ‫قله‬ ‫از‬ ‫بیشتر‬ ‫ریه‬ ‫قاعده‬ ‫در‬ ‫عروق‬ ‫دیامتر‬
  • 96.
    ‫ریه‬ ‫فلوي‬ ‫كاهش‬ 1 ) ‫یابد‬‫مي‬ ‫كاهش‬ ‫ریه‬ ‫عروق‬ ‫دیامتر‬ ‫موارد‬ ‫این‬ ‫در‬ ( ‫شریان‬ ‫اندازه‬ ‫است‬ ‫طبیعي‬ ‫از‬ ‫كمتر‬ ‫پولمونر‬ ) ‫قسمت‬ ‫در‬ ‫را‬ ‫عروقي‬ ‫طرح‬ ‫گاهي‬ ‫و‬ ‫بینیم‬ ‫نمي‬ ‫نیز‬ ‫ریه‬ ‫تحتاني‬ . 2 ) ‫از‬ ‫بیشتر‬ ‫در‬ ‫ریه‬ ‫عروقي‬ ‫طرح‬ 1/3 ‫شود‬ ‫نمي‬ ‫دیده‬ ‫محیط‬ . 3 ) tapering ‫افتد‬ ‫مي‬ ‫اتفاق‬ ‫سریعتر‬ ‫خیلي‬ ‫مركزي‬ ‫قسمت‬ ‫از‬ ‫عروقي‬ . 4 ) ‫پولمونر‬ ‫اصلي‬ ‫تنه‬ ‫شدن‬ ‫كوچك‬ ( ‫خارجي‬ ‫خط‬ ‫از‬ ‫پولمونر‬ ‫تنه‬ ‫فاصله‬ ‫از‬ ‫بیشتر‬ 15 ‫متر‬ ‫میلي‬ )

Editor's Notes

  • #38 pe
  • #39 Eb anomaly
  • #40 hf
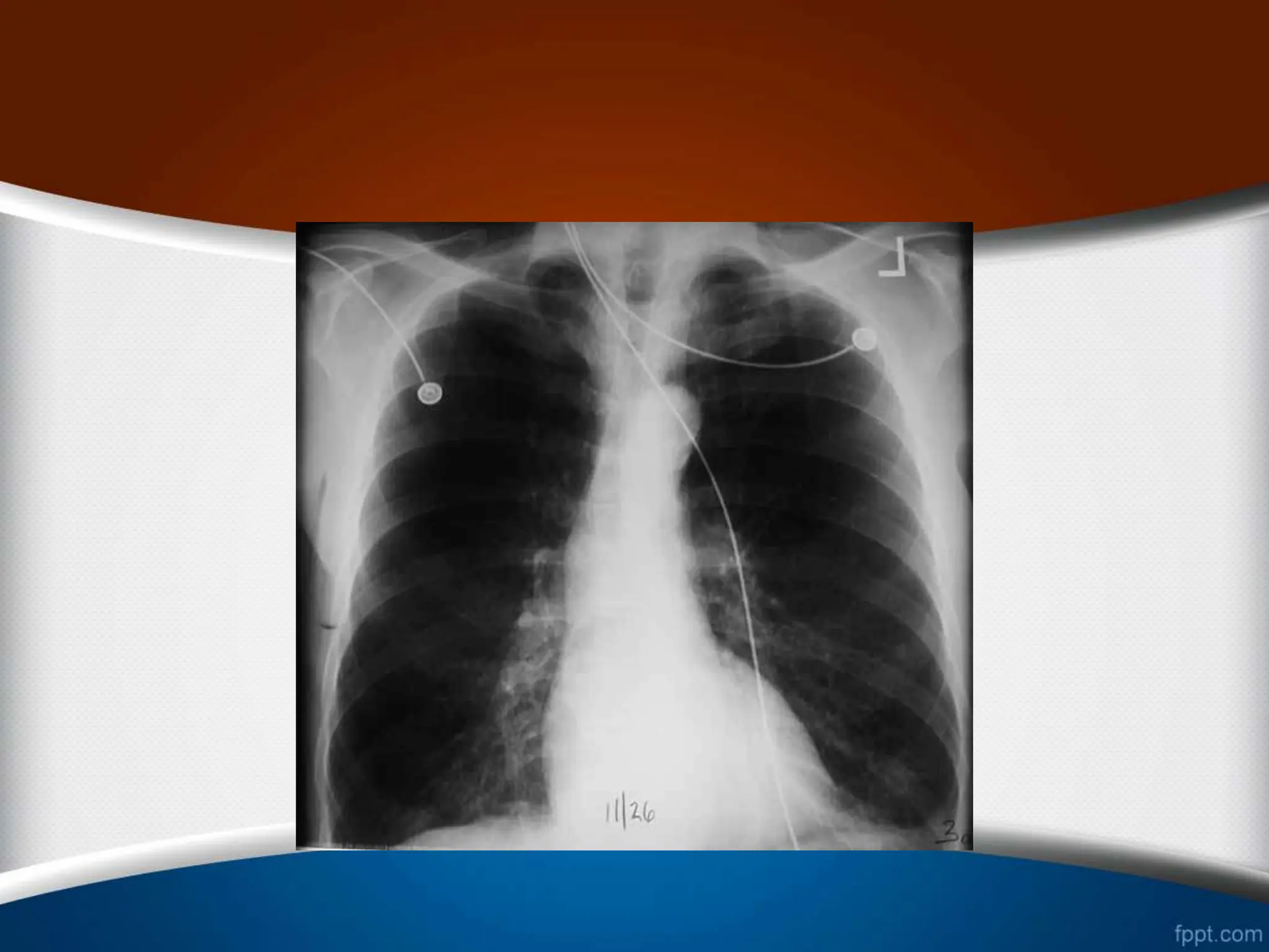
  • #65 شریان پولمونر اصلی در یک CXR نشان می دهد. در مواری که فشار شریان پولمونر بالاست و یا افزایش حجم خون وارد شده به شریان پولمونر داشته باشیم، اندازه ی شریان پولمونر افزایش می یابد
  • #66 براي اندازه گيري( MPA) خطي مماس از لبه خارجي قوس آئورت تا نوك بطن چپ(apex) رسم مي كنيم و خط ديگري نيز در موازات حاشيه قلب در محل تنه شریان پولمونرمي كشيم.خط دیگری در همین محل عمود بر خط مماس رسم می کنیم(خط زرد).فاصله ی بین خط مماس و شریان پولمونر اصلی یعنی بین دو فلش سبز در محدوده ی 0 تا 15 میلی متر است. زمانيكهMPA كاملاً چسبيده به خط خارجي با شد 0 ميلي متر وزمانيكه چسبيده به خط داخلي باشد در فاصله 15 ميلي متر قراردارد شكل(3-10).بر اساس اين اندازه گيري، اختلالات MPA را بررسي مي كنيم.
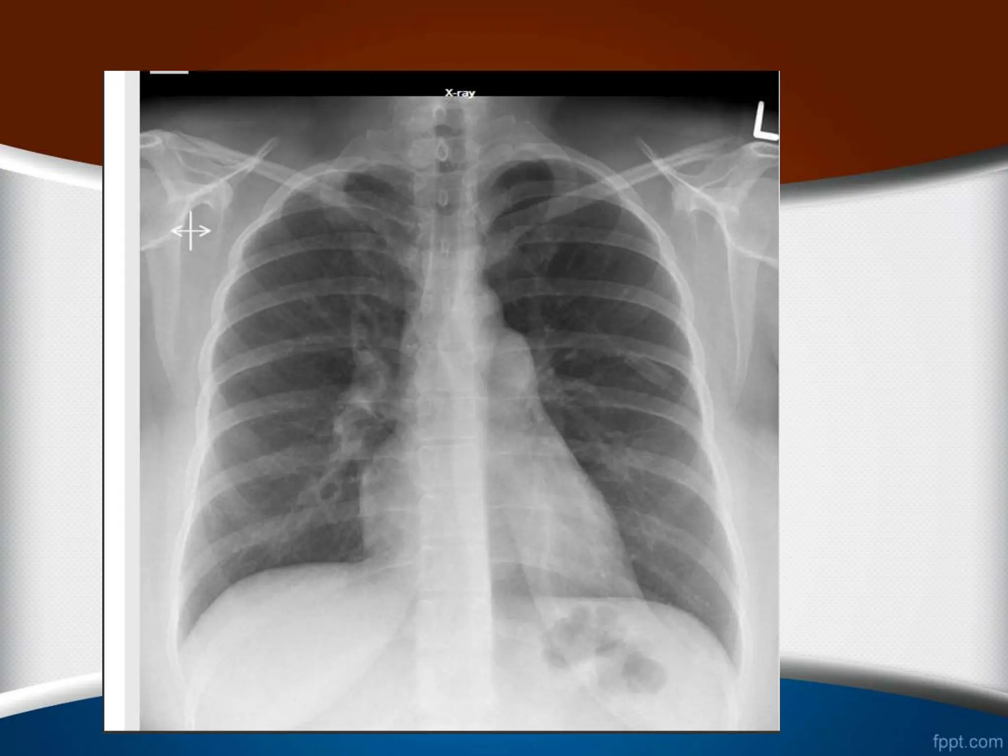
  • #67 محل اندازه گیری دیامتر شاخه نزولی شریان پولمونری راست برای ارزیابی پرفیوژن نشان داده شده است. اندازه بالای 16 میلی متر در خانم ها و بالای 18 میلی متر در آقایان غیرطبیعی تلقی شده و می تواند نشانه هیپرتانسیون شریان ریوی باشد
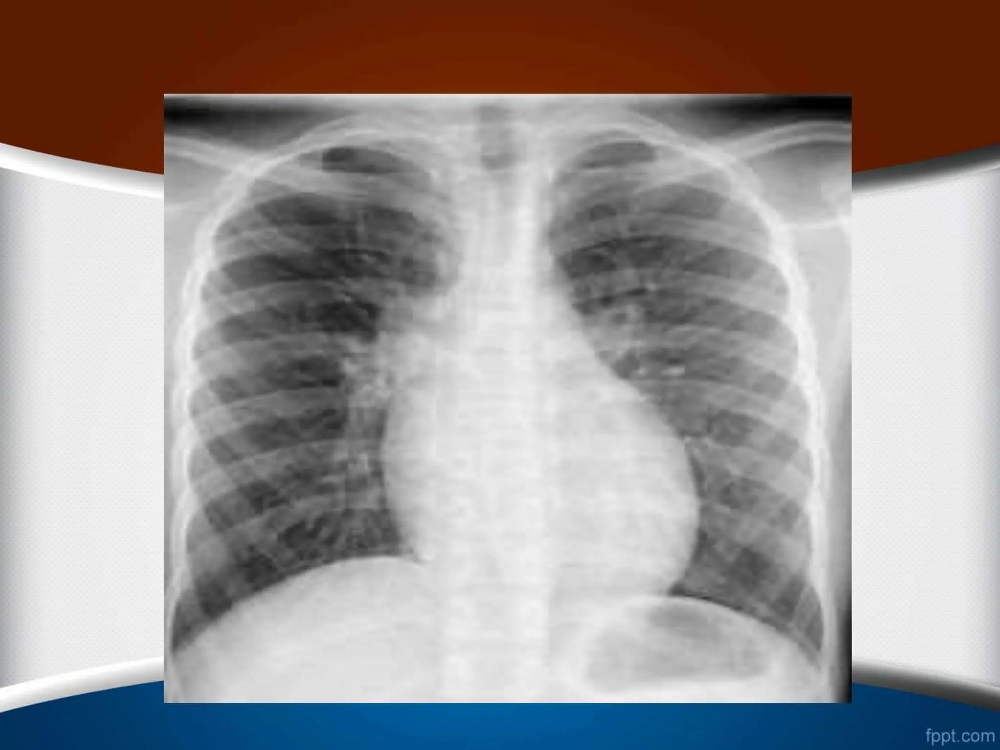
  • #79 در گرافی سمت چپ، نسبت کاردیوتوراسیک افزایش یافته است. توزیع مجدد عروق ریوی دیده می شود ودر اطراف ناف ریه مقطع شریان (فلش قرمز) از مقطع برونش (فلش آبی) بیشتر است.
  • #85 در ناحیه ی ناف ریه تمایز عروق کاهش یافته است که اصطلاحاً Peri hilar haze می گویند
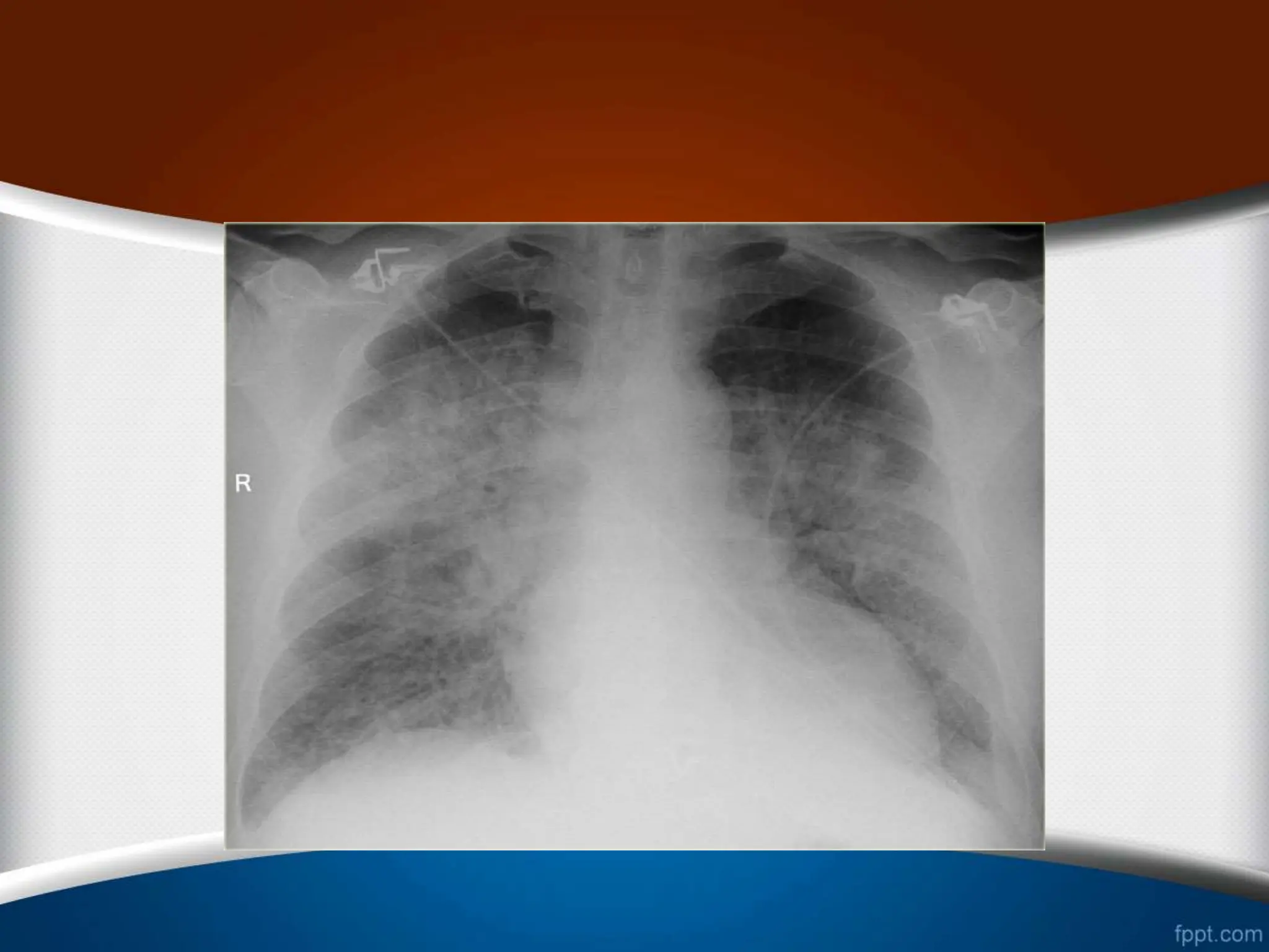
  • #95 Pulmonary hypertension. Chest radiograph in a patient with secondary pulmonary hypertension reveals enlarged pulmonary arteries. This patient was found to have an atrial septal defect
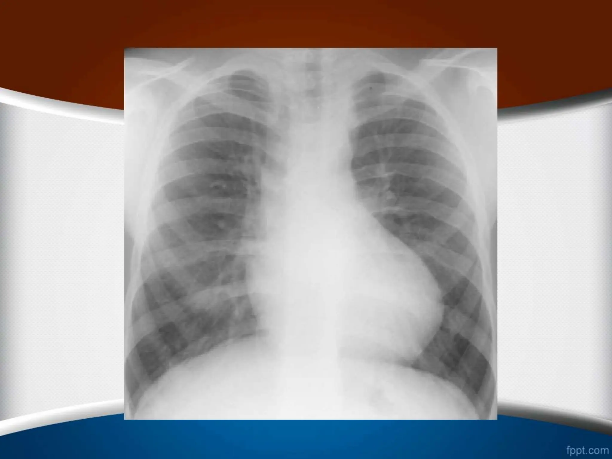
  • #96 Pulmonary Arterial Hypertension. Frontal radiograph of the chest shows an enlarged main pulmonary artery and a markedly enlarged right and left pulmonary arteries. The peripheral vasculature is normal.