Constipation
• The term constipation refers to a symptom or complex
of symptoms and not a specific diagnosis
• Defined constipation as fewer than three bowel
movements per week
• Constipation may be acute (new for the patient) or
chronic.
• Chronic constipation is defined as the presence of
symptoms for at least 3 months.
• Constipation may result from structural, metabolic,
mechanical, neurologic, or behavioral disorders that
affect the colon or anorectum either directly or
indirectly.
• The Rome criteria for the definition of
constipation
1)Straining at defecation at least 25% of the time
2)Hard stools at least 25% of the time
3)Incomplete evacuation at least 25% of the time
4)Fewer than three bowel movements per week
5)Rarely having loose stools without the use of laxatives
and having symptoms for at least 3 months in the
preceding 6 months for chronic constipation.
PATHOPHYSIOLOGY
• Constipation is either primary or secondary
• Primary constipation, or functional
constipation, can be separated into three subtypes—
normal transit constipation, slow transit
constipation, and disorders of defecation
• Secondary constipation is due to diet,
medications, and certain medical or psychiatric
conditions.
PHYSICAL EXAMINATION
• Examine the patient for the presence of hernias
and abdominal or pelvic masses.
• Bowel sounds will be decreased in cases of slow
gut transit and increased in cases of obstruction.
• Ascites in the presence of constipation can be a
sign of ovarian or uterine neoplasm in women
• External rectal examination may demonstrate anal
fissures, hemorrhoids, abscesses, or protruding
masses
• The finding of grossly bloody or guaiac-positive stool
in the setting of constipation raises concern for
cancer, bowel ischemia, stercoral ulcer, or
inflammatory bowel disease
LABORATORY EVALUATION AND
IMAGING
• If the patient has a history concerning for intestinal
obstruction
• Abdominal flat and erect films (or left lateral
decubitus films if pt cannot stand)
• In cases of complete or partial intestinal
obstruction, these films may demonstrate air-fluid
levels or dilated bowel
• Clinical suspicion for intestinal obstruction despite a
normal chest and abdominal series of radiographs, then
abdominal CT with PO and IV contrast may be
necessary
In all patients in whom an organic cause of constipation
is suspected, laboratory evaluation should include
CBC to screen for anemia
Electrolytes to evaluate for hypomagnesemia,
hypercalcemia, and hypokalemia
Obtain thyroid function tests for suspected
hypothyroidism.
Obtain serum lead and iron levels for suspected heavy
metal toxicity.
SPECIAL CONSIDERATIO
• FUNCTIONAL CONSTIPATION
• Chronic (functional) constipation is best managed
using a multidisciplinary approach.
• Strict dietary and exercise regimen is important,
because without adequate fluid (1.5 L per day), fiber
(10 grams per day),
• The bulking agent psyllium can improve bowel
movement frequency in adults with chronic
constipation
• Osmotic laxatives such as polyethylene glycol and
lactulose
• Newer prescription drugs that stimulate GO
motility via the serotonin 4 receptor
(prokinetics), as well as agents that directly
stimulate intestinal secretion to increase stool
water content (colonic secretagogues),
OPIOID-INDUCED BOWEL
DYSFUNCTION
• Opioid-induced bowel dysfunction is a common
complication of longterm opioid therapy, which
affects 40% to 80% of patients
• Treatments for opioid-induced constipation, such as
purely peripherally acting mu-opioid receptor
antagonists, work to decrease the constipating
effects of opioids without reversing their central
analgesic effects.
INTESTINAL PSEUDO-OBSTRUCTION
(OGILVIE’S SYNDROME)
• Ogilvie’s syndrome, or acute colonic pseudo-
obstruction, is a clinical disorder with the signs,
symptoms, and radiographic appearance of an
acute large bowel obstruction with no evidence of
distal colonic obstruction.
• The colon may become massively dilated (>10 cm).
If the bowel is not decompressed the patient risks
perforation, peritonitis, and death.
• The exact mechanism is not known, but is thought to
be secondary to a dysregulation of colonic motor
activity by the autonomic nervous system
• Treatment is varied and determined with surgical
consultation.
ORGANIC CONSTIPATION
• Symptoms suggestive of organic constipation are
acute onset, weight loss, rectal bleeding/melena,
nausea/vomiting, fever, rectal pain, and change in
stool caliber
• Intestinal obstruction or carcinoma is the primary
consideration.
• If fecal impaction is the cause, manual disimpaction
is the treatment.
DISPOSITION AND FOLLOW-UP
• Many constipated patients can be safely discharged
from the ED with the caveat that certain key
aspects have been adequately addressed
Constipation emergency medicine department

Constipation emergency medicine department

  • 1.
  • 2.
    • The termconstipation refers to a symptom or complex of symptoms and not a specific diagnosis • Defined constipation as fewer than three bowel movements per week • Constipation may be acute (new for the patient) or chronic. • Chronic constipation is defined as the presence of symptoms for at least 3 months. • Constipation may result from structural, metabolic, mechanical, neurologic, or behavioral disorders that affect the colon or anorectum either directly or indirectly.
  • 3.
    • The Romecriteria for the definition of constipation 1)Straining at defecation at least 25% of the time 2)Hard stools at least 25% of the time 3)Incomplete evacuation at least 25% of the time 4)Fewer than three bowel movements per week 5)Rarely having loose stools without the use of laxatives and having symptoms for at least 3 months in the preceding 6 months for chronic constipation.
  • 4.
  • 5.
    • Constipation iseither primary or secondary • Primary constipation, or functional constipation, can be separated into three subtypes— normal transit constipation, slow transit constipation, and disorders of defecation • Secondary constipation is due to diet, medications, and certain medical or psychiatric conditions.
  • 6.
    PHYSICAL EXAMINATION • Examinethe patient for the presence of hernias and abdominal or pelvic masses. • Bowel sounds will be decreased in cases of slow gut transit and increased in cases of obstruction. • Ascites in the presence of constipation can be a sign of ovarian or uterine neoplasm in women • External rectal examination may demonstrate anal fissures, hemorrhoids, abscesses, or protruding masses
  • 7.
    • The findingof grossly bloody or guaiac-positive stool in the setting of constipation raises concern for cancer, bowel ischemia, stercoral ulcer, or inflammatory bowel disease
  • 8.
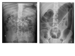
    LABORATORY EVALUATION AND IMAGING •If the patient has a history concerning for intestinal obstruction • Abdominal flat and erect films (or left lateral decubitus films if pt cannot stand) • In cases of complete or partial intestinal obstruction, these films may demonstrate air-fluid levels or dilated bowel
  • 10.
    • Clinical suspicionfor intestinal obstruction despite a normal chest and abdominal series of radiographs, then abdominal CT with PO and IV contrast may be necessary
  • 12.
    In all patientsin whom an organic cause of constipation is suspected, laboratory evaluation should include CBC to screen for anemia Electrolytes to evaluate for hypomagnesemia, hypercalcemia, and hypokalemia Obtain thyroid function tests for suspected hypothyroidism. Obtain serum lead and iron levels for suspected heavy metal toxicity.
  • 15.
    SPECIAL CONSIDERATIO • FUNCTIONALCONSTIPATION • Chronic (functional) constipation is best managed using a multidisciplinary approach. • Strict dietary and exercise regimen is important, because without adequate fluid (1.5 L per day), fiber (10 grams per day), • The bulking agent psyllium can improve bowel movement frequency in adults with chronic constipation
  • 16.
    • Osmotic laxativessuch as polyethylene glycol and lactulose • Newer prescription drugs that stimulate GO motility via the serotonin 4 receptor (prokinetics), as well as agents that directly stimulate intestinal secretion to increase stool water content (colonic secretagogues),
  • 17.
    OPIOID-INDUCED BOWEL DYSFUNCTION • Opioid-inducedbowel dysfunction is a common complication of longterm opioid therapy, which affects 40% to 80% of patients • Treatments for opioid-induced constipation, such as purely peripherally acting mu-opioid receptor antagonists, work to decrease the constipating effects of opioids without reversing their central analgesic effects.
  • 19.
    INTESTINAL PSEUDO-OBSTRUCTION (OGILVIE’S SYNDROME) •Ogilvie’s syndrome, or acute colonic pseudo- obstruction, is a clinical disorder with the signs, symptoms, and radiographic appearance of an acute large bowel obstruction with no evidence of distal colonic obstruction. • The colon may become massively dilated (>10 cm). If the bowel is not decompressed the patient risks perforation, peritonitis, and death.
  • 20.
    • The exactmechanism is not known, but is thought to be secondary to a dysregulation of colonic motor activity by the autonomic nervous system • Treatment is varied and determined with surgical consultation.
  • 22.
    ORGANIC CONSTIPATION • Symptomssuggestive of organic constipation are acute onset, weight loss, rectal bleeding/melena, nausea/vomiting, fever, rectal pain, and change in stool caliber • Intestinal obstruction or carcinoma is the primary consideration. • If fecal impaction is the cause, manual disimpaction is the treatment.
  • 23.
    DISPOSITION AND FOLLOW-UP •Many constipated patients can be safely discharged from the ED with the caveat that certain key aspects have been adequately addressed