NON - EPITHELIAL tumours of the oral cavity/ connective
tissue tumours/soft tissue tumours
Definition
According to Robert Willis (1952) : “ A neoplasm is an
abnormal mass of tissue, the growth of which exceeds
and is uncoordinated with that of the normal tissues
and persists in the same excessive manner after
cessation of the stimuli which evoked the change”.
Differences between Benign and Malignant Tumors
Feature Benign Malignant
Growth Rate Slow Relatively rapid
Mitotic Activity Low High
Histological resemblance to
normal tissue
Good Variable, often poor
Nuclear morphology Often normal Usually active
,hyperchromatic, irregular
outline, multiple nucleoli and
pleomorphic
Invasion/Infiltration No Yes
Differences between Benign and Malignant Tumors
Feature Benign Malignant
Metastases Never Frequent
Border Often Circumscribed or
encapsulated
Often poorly defined or
irregular
Necrosis/Hemorrhage Rare Common
Ulceration Rare Common on skin and
mucosal surfaces
Direction of growth on skin
or mucosal surfaces
Often exophytic Often endophytic
ORAL FIBROMA
• Irritation fibroma , Traumatic fibroma, Fibrous nodule, focal
fibrous hyperplasia.
- Most common soft tissue “ tumor” of the oral cavity.
- True neoplasm / reactive hyperplasia of fibrous connective
tissue in response to local irritation or trauma.
- Fibrous maturation of
pre - existing pyogenic
granuloma.
• Reactive focal fibrous
hyperplasia
Clinical features :-
 Any site in the mouth, but the most common location is
the buccal mucosa along the bite line(plane of occlusion).
 LESS COMMON SITES : Tongue , gingiva, lips and palate.
 Lesion appears as an elevated smooth surfaced nodule of
normal color of oral mucosa.
 Most fibromas are sessile or occasionally pedunculated.
 Small , 1.5 cm or less in diameter.
Slow- growing well defined lesions
 Usually asymptomatic.
 As it is elevated - can get irritated and inflamed and show
superficial ulceration or HYPERKERATOSIS.
Occur at any age
 Common age : 3rd to 5th decades of life.
 M : F ratio is 1:2
Histopathological features:
• Unencapsulated
 Nodular mass of fibrous connective tissue covered by a stratified
squamous epithelium (stretched).
 Connective tissue : dense and collagenized.
Epithelium shows atrophy of the rete ridges.
Hyperkeratosis from secondary trauma.
The lesion is not encapsulated, the fibrous tissue instead
blends into the surrounding connective tissue.
Coarse bundles of interlacing collagen fibres arranged in an
irregular, circular or radiating fashion interspersed with
fibroblasts and fibrocytes and small blood vessels.
Acellularity of the connective tissue.
If inflamed or traumatized: Chronic inflammatory cell infiltration
, chiefly lymphocytes and plasma cells, vasodilatation, edema.
Treatment:
Conservative surgical excision, recurrence is rare.
PERIPHERAL OSSIFYING FIBROMA / CALCIFYING or
OSSIFYING FIBROID EPULIS / PERIPHERAL ODONTOGENIC
FIBROMA / PERIPHERAL CEMENTIFYING FIBROMA.
(Peripheral odontogenic fibroma-WHO as odontogenic tumor-
different entity)
• Common gingival growth.
• Reactive rather than neoplastic.
• Mineralized product has its origin from cells of periosteum or
periodontal ligament.
•May contain oxytalan fibres.
• Composed of a high degree of cellularity , bone like formation,
cementum like spherules, rarely dystrophic calcification.
• Same progenitor cell produces different materials.
•Develop initially as pyogenic granuloma that undergo fibrous
maturation and subsequent calcification.
Clinical features:
• Any age, common in teenagers and young adults(10 and 19).
• Female predilection.
• Well-demarcated focal nodular mass exclusively on gingiva
(originate from interdental papilla).
•Maxillary arch : incisor-cuspid region.
•Teeth are unaffected, rarely migration and loosening of teeth.
•Sessile or pedunculated base.
•Begin as red ulcerated lesion
•Older ones - Pink non ulcerated
•Color ranges from red to pink , surface is frequently but not
always ulcerated.
• The growth begins as an ulcerated lesion, older ones
are more likely to demonstrate healing of the ulcer
and an intact surface.
• Red ulcerated ones are mistaken for pyogenic
granulomas
• Pink nonulcerated ones are similar to irritation
fibromas.
• Less than 2cm.
• Lesion may be present for many weeks or months
before diagnosis.
Histology
• Surface : An intact epithelium or ulcerated layer of
stratified squamous epithelium.
• A Fibrous proliferation with formation of a
mineralized product.
• Exceedingly cellular mass of connective tissue.
• Large numbers of plump proliferating fibroblasts.
• Deeper fibroblastic component is cellular, especially
in areas of mineralization.
• Delicate fibrillar stroma.
• Less vascularity.
• Type of mineralized component is variable and may
consist of bone like , cementum-like material or
dystrophic calcification.
• Bone is woven and trabecular type.
• Older lesions have mature lamellar bone.
• Unmineralized osteoid.
• Lesional tissue does not merge with normal bone.
• Osteoblastic rimming
• Less frequently - Ovoid droplets of basophilic
acellular cementum like material( amorphous with
smooth border).
• Multiple granules, tiny globules or large irregular
masses of basophilic mineralized material -
dystrophic calcification(common in early ulcerated
lesions).
• Older lesions show bone and cementum like material.
• Cellularity is greatest at areas of bone and cementum
or calcification.
• Occasionally : multinucleated giant cells in
association with the mineralized product.
Mixture of woven bone &
cementum like material.
Trabeculae
of bone & droplets of
cementum like material
within a background of
fibrous CT.
Treatment
• Surgically excised
• Recurrence rate of 8% to 16% .
• Scaling
Central ossifying fibroma
Central fibro-osteoma
• Replacement of normal bone by fibrous tissue.
• True neoplasm with significant growth potential.
• Centrifugal growth pattern : maintains round/oval
shape with enlargement.
• Radiograph (well defined unilocular) depending on
stage of lesion.
• Cementifying fibroma/Cemento-ossifying fibroma
• Mandible : premolar - molar area.
• Females : third and fourth decades.
• Well demarcated from surrounding bone,
hypovascular , encapsulated
• Shelled out in one piece
• Round
• Spherules of cementum exhibit peripheral brush
borders.
• Background of cellular fibrous CT.
Clinical and radiographic features
• Third and fourth decades common
• Females
• Mandibular premolar and molar area.
• Smaller lesions are asymptomatic
• Large lesions – painless swellings of involved bone.
• Very rare – pain and paresthesia.
• Radiographically : well- defined radiolucent and
unilocular
• Sclerotic border
• Varying degrees of radiopacity
• Root divergence or resorption of roots of teeth.
• Large lesions : downward bowing of inferior cortex
of the mandible.
Histology
• Well demarcated from the surrounding bone
• Easy separation of tumor from its bony bed.
• Few are encapsulated.
• Varying degrees of cellularity
• Spherules of cementum – like material often show
peripheral brush borders that blend into adj CT.
Juvenile ossifying fibroma
• A controversial lesion , DIFFERENTIATED ON
BASIS OF AGE.
• Two different patterns of histology and clinical
features
• TRABECULAR
• PSAMMOMATOID - MORE
• CHROMOSOMAL TRANSLOCATIONS FOR
PSAMMOMATOID
CLINICAL AND RADIOGRAPHIC
FEATURES
• Rapid growth
• Well-circumscribed
• Lack continuity with adj normal bone
• 6mnths to 60 yrs
• Mean age 11-22 yrs, psammomatoid 22 yrs.
• Male predilection
• Maxilla
• Psammomatoid – outside the jaw - orbital, frontal,
paranasal sinuses.
• Complications- impingement on neighbouring
structures
• Dev of ABC in psammomatoid variant
• Circumscribed radiolucencies with central
radiopacities
• Cortical expansion -psammomatoid
• Large lesions and aggressive -psammomatoid
HISTOLOGY
• Non-encapsulated
• Well demarcated from surrounding bone
• Cellular fibrous connective tissue
• Loose areas and highly cellular areas
• Myxomatous foci with pseudocystic degeneration.
• Areas of hemorrhage
• Small clusters of MNGC
• Mineralized component- two patterns
• Trabecular variant – irregular strands of highly
cellular osteoid encasing plump and irregular
osteocytes.
• Strands are lined by plump osteoblasts and in other
areas by multinucleated osteoclasts.
• Psammomatoid pattern forms concentric lamellated
and spherical ossicles that vary in shape and typically
have basophilic centres with peripheral eosinophilic
osteoid rims. Acellular
• A peripheral brush border blending into surrounding
stroma is seen in many ossicles.
• Individual ossicles undergo remodeling and form
crescentic shapes.
• Psammoma bodies : cementum like particles
Treatment and prognosis
• Excision
• Recurrence rate of 30% to 58% have been reported.
• No malignant transformation
PERIPHERAL GIANT CELL GRANULOMA
Peripheral Giant Cell Epulis
 A relatively common tumor – like growth of the oral cavity.
 Does not represent a true neoplasm but rather is a
reactive lesion caused by local irritation or trauma.
 Older term : peripheral giant cell reparative granuloma.
 Giant cells : osteoclasts / mononuclear phagocyte system.
Clinical features :
 Any age(first to sixth decades).
 Females.
 Most common in fourth to sixth decades of life.
 SITE : always on gingiva or edentulous alveolar ridge,
: anterior or posterior regions, mandible.
: anterior to molars
 COLOR – Dark Red, vascular or haemorrhagic
 Smaller than 2cm
 Asymptomatic, Rapid growth (1cm size within few mnths)
 Most lesions are smaller than 2 cm in diameter, although larger
ones are seen occasionally.
 Sessile or pedunculated, and may or may not be ulcerated.
Seems to arise from deeper in the tissue - PDL or
mucoperiosteum.
 Peripheral giant cell granuloma : more blue – purple.
 Pyogenic granuloma – Bright red.
 Cupping resorption of underlying alveolar bone.
Histopathological features:
 Nonencapsulated mass of tissue
 Proliferation of multinucleated giant cells within a rich
background of plump ovoid and spindle shaped connective tissue
cells and delicate reticular and fibrillar stroma.
GIANT CELLS :
 Patchy distribution.
 Contains only a few nuclei or up to several dozens.
 Some of these cells may have large, vesicular nuclei
(more euchromatin), others demonstrate small, pyknotic
nuclei.
 Origin : mostly osteoclasts, endothelial cells.
 Mitotic figures are seen in the background mesenchymal cells.
 Abundant hemorrhage seen throughout, which results in
liberation of hemosiderin(insoluble form of storage iron)
pigment and subsequent ingestion by mononuclear
Phagocytes , especially at the periphery of the lesion.
 Capillaries are numerous at the periphery of the lesion.
Covering epithelium is mostly hyperplastic with occasional ulceration
A zone of dense fibrous CT seperates the
giant cell proliferation from the mucosal surface.
VASCULAR AND CELLULAR FIBROUS LESION.
 Areas of reactive bone OR OSTEOID formation
or dystrophic calcifications.
 Acute and chronic inflammatory cell infiltration.
• Serum calcium level or parathyroid hormone assay
may be indicated to rule out brown tumor of
hyperparathyroidism.
Treatment
• Local surgical excision down to the underlying bone.
• Recurrence rate of 10-15%.
Central giant cell granuloma
• Uncommon benign and proliferative lesion.
• Aetiology not defined
• Jaffe, introduced the term
• Destructive than reparative.
• C/F : any age, common in the young below 30 yrs of
age.
• Females.
• Mandible : anterior segment, does not cross the
midline.
• Asymptomatic.
• Unilocular or multilocular radiolucency
• Depending on clinical and R/G features –
nonaggressive and aggressive.
• Nonaggressive: slow growing, doesnot show root
resorption or cortical perforation, often shows new
bone formation.
• Expansion of the cortex and perforation, mobility,
displacement and root resorption of associated
tooth- aggressive(tendency to recur)
• Borders may be diffuse or regular.
Giant cell tumor of
bone(Osteoclastoma)
• Distinctive neoplasm of undifferentiated cells.
• Benign but locally aggressive and destructive lesions.
• Giant cells are of histiocytic origin.
• Giant cell transformation in this tumor may be as a
result of exposure to certain infectious agents or
exogenous foreign bodies or endogenous substances
like RBC, plasma, cholesterol.
C/F
• 4 % -5% of all bone tumors
• 18% of all benign tumors of bone.
• 20% in Chinese
• 2% in Head and neck region.
• Females
• Above 19yrs of age but before 40 yrs of age.
• Pain and swelling over the affected region.
• Otalgia, headache, hearing loss and dysfunction of
cranial nerves.
• May arise from Paget’s disease
Histology
• Basic proliferating cell has round to oval or even
spindle-shaped nucleus.
• Nucleus is surrounded by an ill-defined cytoplasmic
zone and discernible intercellular substance is absent.
• Mitotic figures can be found, sometimes numerous
• Giant cells are scattered uniformly, usually contain
40-60 nuclei.
• Areas of Necrosis are common.
Treatment
• Curettage
• Recurrence may be seen after 7 yrs
• Secondary malignant change is to fibrosarcoma or
osteosarcoma.
• Benign tumor of fat.
• Relatively rare intraoral tumor.
• Most commonly occurs on the trunk and proximal
portions of extremities , Subcutaneous tissues of the
neck.
• Yellow epulis – older term
• Benign slow growing neoplasm of mature fat cells.
• Tumor fat : Fatty acid precursors are incorporated at
a more rapid rate into lipoma fat , lipoprotein lipase
activity is reduced.
• Rearrangement of chromosomes/trauma.
LIPOMA
Clinical features
• Adults.
• Males
• Less than 3cm.
• Variety of locations - tongue, floor of the mouth,
palate, gingiva, buccal mucosa, buccal vestibule.
• Soft , smooth-surfaced nodular masses
• Intra- oral lipomas : diffuse(deeper tissues) ,
superficial, encapsulated form.
• Superficial form : Single or lobulated painless mass -
sessile or pedunculated.
• Yellow surface discoloration , soft to palpation.
• Deeper lesions appear pink and produce slight
surface elevation.
• Freely movable beneath the mucosa.
• Thin epithelium - the superficial blood vessels are
visible over the surface.
• Diffuse form occurs in areas where normal fat is
present.
• When palpated the diffuse form feels like fluid.
• Herniation of buccal fat pad through the buccinator
muscle.
• Multiple head and neck lipomas : Neurofibromatosis,
Gardner’s syndrome , Proteus syndrome.
• Generalized lipomatosis contributes to unilateral
facial enlargement in hemifacial hypertrophy.
Histology
• Mature adipocytes or fat cells admixed with collagen
streaks.
• Well circumscribed with a distinct thin capsule
• Distinct lobular arrangement of cells.
• Quite often, lesional fat cells are seen to infiltrate into
surrounding tissues producing long thin extensions
of fatty tissue radiating from the central tumor mass :
infiltrating lipoma.
• When infiltrating lipoma is located within striated
muscle - intramuscular lipoma.
• Lipomatosis
• Fibrolipoma
• Angiolipoma-small vascular channels
• Myxolipoma
• Spindle – cell lipoma - uniform spindle cells
• Pleomorphic lipoma-spindle cells appear somewhat
dysplastic or mixed with pleomorphic giant cells with or
without hyperchromatic enlarged nuclei.
• Myolipoma – spindle cells are of smooth muscle cells.
• Angiomyolipoma - smooth muscle appears to be derived
from walls of arterioles.
• Osteolipoma - osseous metaplasia
• Chondrolipoma
• Myelolipoma – bone marrow is present
• Adenolipoma – isolated ductal or tubular adnexal
structures are scattered throughout fat lobules
• Perineural lipoma
• Benign neoplasm of brown fat - Hibernoma
Treatment
• Conservative local excision
• Rare recurrence.
• Intramuscular lipomas have a higher recurrence rate
because of infiltrative growth pattern but this pattern
is rare in oral region.
Pyogenic granuloma(granuloma
pyogenicum)
• Distinctive clinical entity as a response of the tissues
to a nonspecific infection (bartonella species).
• Common tumorlike growth of oral cavity.
• Non neoplastic in nature.
• Lobular capillary hemangioma/ eruptive
hemangioma.
• Exuberant tissue response to local irritation or
trauma.
• Not a true granuloma.
Clinical features
• Elevated mass, Smooth or lobulated or warty(rough)
surface , usually pedunculated.
• Some lesions are sessile.
• The surface is characteristically ulcerated(abounds
with typical colonies of microorganisms), and ranges
from pink to red to purple, depending on the age of
the lesion.
• Young pyogenic granulomas are highly vascular in
appearance and red , older lesions tend to become
more collagenized and pink.
• Few mm to larger lesions
• The mass is painless, it bleeds easily because of its
extreme vascularity.
• May exhibit rapid growth.
• Striking predilection for the gingiva – 75%
• Precipitating factor – gingival irritation and
inflammation that result from poor oral hygiene.
• In that type of inflammation which results in the
formation of PG , the destruction is slight but the
stimulus to proliferation of vascular endothelium
persists and lasts for a longer time.
• Next common sites are lips, tongue and buccal
mucosa.
• History of trauma for lesions on other sites.
• Maxillary gingiva
• Anterior areas.
• Facial aspect of gingiva.
• Children and young adults.
• Female predilection.
• Pregnancy tumor or granuloma gravidarum.
• The tissue response : any irritant applied to living
tissue may act as a stimulus or as a destructive agent
or as both.
• Tissues of embryos and young animals(tissue culture)
contain stimuli for proliferation of cells.
Histology
• Highly vascular proliferation that resembles
granulation tissue.
• Numerous small and larger endothelium-lined blood
vessels engorged with RBC.
• These vessels are organized in lobular aggregates –
lobular capillary hemangioma.
• Surface is ulcerated, thick fibrinopurulent membrane.
• Mixed inflammatory cell infiltrate.
• Neutrophils are more at the ulcerated surface.
• Chronic inflammatory cells are found deeper.
• Older lesions more fibrous.
Treatment
• Conservative surgical excision.
• Gingival lesions, the excision should extend down to
periosteum and adj teeth scaled.
• Curettage.
Oral Haemangiomas and Vascular
Malformations(Oral Vasoformative Tumor)
• Haemangiomas form due to an abnormal
collection of blood vessels.
• A benign tumour of blood vessels, often forming a
red birthmark. True neoplasms of endothelial
cells(flat squamous cells)
• Hamartomas , tumors of neonates, childhood
tumors, congenital vascular lesions.
• Hemangiomas (vascular nevus) : Not present at birth,
manifest within the first 8 weeks of life, rapid
proliferative phase and slowly involute to
nonexistent.
• Hemangiomas are rare in oral cavity - common in the
head and neck area.
• A-V malformations are present at birth.
• Localized defects of vascular morphogenesis.
• Vascular malformations : anamolous dev of vascular
plexus – abnormal connection between arteries and
veins bypassing the capillary system (structural
anamolies of blood vessels).
• Based on hemodynamic flow - low flow or high flow.
• Normal endothelial cell growth cycle.
• Affects arteries,veins, capillaries or lymphatics.
• More stable and fail to regress.
• Persistent throughout life.
Syndromes associated with hemangiomas:
• Rendu-osler-weber syndrome
• Sturge-weber syndrome
• Kasabach-Merritt syndrome
• Beckwith-Weidmann syndrome
• Proteus syndrome
• Maffucci syndrome
• Von-Recklinghausens disease
• Epidermal nevus syndrome.
Older terminology
• Strawberry hemangioma
• Juvenile hemangioma
• Parotid hemangioma
CLASSIFICATION:
• In 1982, vasoformative tumors were grouped into
two broad groups: hemangiomas and A-V
malformations.
• Vascular malformations: arteriovenous, intramuscular
venous, venous, capillary and lymphatic.
• Simple Classification of hemangiomas : capillary,
cavernous, mixed, hypertrophic or
angioblastic(embryonic blood vessels), racemose,
diffuse systemic, metastasizing, port-wine stain,
hereditary hemorrhagic telangiectasia.
Etiology
• Trophoblast.
• Undifferentiated capillary network stage.
• Retiform dev stage.
• Final dev stage.
• Estradiol -17 beta receptors in cytoplasm in
proliferating hemangiomas. Corticosteroids are given
to block the receptors.
• Cellular markers that distinguishes phases of
hemangiomas: TIMP-1, VEGF, type IV collagenase,
bFGF, urokinase.
• In the undifferentiated capillary network stage, the
primitive mesenchyme (first embryonic) is nourished
by an interlacing system of blood spaces without
distinguishable arterial and venous channels. Separate
venous and arterial stems appear on either side of
the capillary network in the retiform dev stage.
• The retiform dev stage begins at about 48 days of
embryonic dev. The final dev stage begins at 2 mnths
of dev and involves the gradual replacement of the
immature plexiform network by mature vascular
channels.
• The more common capillary hemangioma represents
an arrest in the development of the mesenchyme
primordial in the undifferentiated capillary network
stage.
• As differentiation progresses, primitive vessels
penetrate deeper into the subcutaneous layer, the
muscle or bone tissue and give rise to capillary
hemangiomas.
• Termination of dev in the retiform dev stage may
produce venous, arterial and capillary malformation.
• In the final dev stage the maturation of the venous
and lymphatic systems predominate. Aberrations in
this stage result in venous malformations and
lymphangiomas.
Clinical features:
 Primary tumors of infancy and childhood,
although some cases develop in adults.
 5% - 10% - 1 yr old children.
 23% in premature infants.
 80% occur as single lesions.
 Most common location is the head and neck : 60% of all cases.
 Central hemangiomas : second decade.
 Females.
Whites.
Facial bones affected are mandible, maxilla and nasal bones.
Intramuscular : skeletal muscle/ masseter muscle.
Vascular malformations are present at birth and continue
to grow with the child. The growth may become accelerated
when the pt undergoes puberty or pregnancy.
Hemangiomas of infancy:
 Begins on the skin as a pale macule with thread like telangiectasis
-flat area of red pigmentation that is noted at birth
Rapidly proliferates over the next 6 to 12 months
Produces bright red elevated mass(strawberry hemangiomas)
Shows regression over the next several years(dull-purple hue)
Less firm to palpate
By the age 5-9yrs , most lesions have involuted.
• Superficial tumors of skin appear raised and
bosselated with a bright red color-strawberry
hemangiomas
• Firm and rubbery to palpation.
• Blood cannot be evacuated on applying pressure.
• After tumor regression normal skin will be restored
in 50% of cases
• In 40% of cases, permanent changes as atrophy,
scarring,wrinkling occurs.
• Complications occur in 20% of cases- ulceration,
secondary infection.
Oral manifestations
• Hemangiomas of oral soft tissue is similar to
hemangioma of skin and appears as flat or raised
lesion of the mucosa.
• Deep red or bluish red.
• Seldom well-circumscribed
• Readily compressible and fill slowly when released.
• Most common sites are the lips,tongue,buccal
mucosa and palate.
• Most often traumatized and undergoes ulceration
and secondary infection.
• Intramuscular is one special form which is rare in
head and neck region and occurs within normal
skeletal muscle.
• Difficult to diagnose.
• Intrabony or Central hemangiomas – jaw bones –
destructive lesions of varying size, root resorption.
• Honey – comb appearance / sunburst appearance.
• Radical excision is contraindicated- severe loss of
blood.
• Aspirate fluid contents
Vascular malformations:
Tiny Vascular formations of lip vessels –
microcherry, venous lake, glomerulus –
elderly with gastric and duodenal ulcers.
Low-flow venous malformations – blue color, easily
Compressible, grow proportionately with pt or may swell
because of increased venous pressure.
-Small isolated dilatations to complex growths.
A-V malformations are high flow lesions,
Result from persistent direct arterial and venous communic
A palpable thrill or bruit over the mass may be detected.
Overlying skin often feels significantly warmer.
Presenting symptoms are pain, bleeding and skin ulceration
Radiology
• Mostly multilocular radiolucency.
• Honey – comb pattern or soap – bubble.
• Rarely unilocular.
• Sun-burst appearance in larger lesions - radiating
spicules at the expanded periphery due to cortical
expansion.
• Angiography in demonstrating the lesion.
Histologic features
• Many small dilated capillaries lined by a single layer
of plump endothelial cells supported by a connective
tissue stroma of varying density.
• Indistinct vascular lumina.
• Bears considerable resemblance to young granulation
tissue and is identical to some cases of pyogenic
granuloma.
• Remarkable endothelial cell proliferation, may be
arranged in lobules.
Juvenile or cellular hemangioma or hemangioendothelioma : very early in
Highly cellular pattern,
- immature stage of capillary hemangioma
Develop into simple hemangioma or regress.
Capillary hemangioma : Many capillary sized vessels lined by
a single layer of endothelial cells.
 Resembles young granulation tissue.
Cavernous hemangioma : Multiple large dilated blood vessels
with thin walls, endothelial lining. Sinusoidal spaces are filled
with blood.
Arteriovenous malformation : Demonstrates a mixture of thick
walled arteries and veins, along
with capillary vessels.no
endothelial cell proliferation.
• As the lesion matures- flattened endothelial cells and
capillary sized vascular spaces become more evident.
• As hemangiomas involute – vascular spaces become
less prominent and replaced by fibrous CT.
• Proliferative phase – endothelial cell hyperplasia,
Thickened or multilaminated endothelial basement
membrane, mitotic activity, more mast cells, large
number of mast cells(cells filled with basophilic
granules), uptake of thymidine by endothelial cells.
• Involuting phase – less mitotic activity, normal mast
cell count.
• Vascular malformation- normal mast cell , no
endothelial proliferation, large vascular channels lined
by endothelium(mostly venous)
Treatment :-
 Most lesions undergo involution – “ Watchful neglect”
 Systemic corticosteroids
Intravenous vincristine
 Laser therapy
 Injection of sclerosing agents such as Na morrhuate.
Cryotherapy
Excellent prognosis with no recurrence.
Hereditary Hemorrhagic Telangiectasia
( Rendu – Osler – Weber syndrome)
(Familial hemorrhagic angiomatosis)
• Inherited as an autosomal dominant trait.
• Triad : Telangiectasia, Recurrent epistaxis, positive family
history.
•Multiorgan AV malformations and associated hemorrhage
associated with them.
•Angioma: An abnormal growth produced by the dilatation or new
formation of small blood vessels.
•Condition characterized by dilatation of the capillaries
causing them to appear as small red or purple clusters,
often spidery in appearance, on the skin or surface of an
organ.
Etiology
• Inherited defect.
• 2 loci have been identified-one on chromosome arm
9q33-q34 and a second on chromosome arm 12q.
• Chromosome 9q34 harbors the endoglin gene and
several mutations of the gene have been reported in
family members affected by this syndrome.
• Chromosome arm 12q harbors the activin receptor
like kinase 1(ALK1).
• TGF beta
CLINICAL FEATURES
• Common in whites.
• Spider like telangiectasias at birth or shortly after birth.
• Increase in number & prominence as the patient ages.
• Skin lesions - face, neck & chest or any area.
• Oral lesions – lips (vermilion zone), gingiva, buccal mucosa,
palate, floor of the mouth, tongue.
• Earliest sign preceeding the appearence of telangiectasia –
epistaxis and bleeding from the oral cavity.
• Seen on nasal and oropharyngeal mucosa, hands, feet, GI
mucosa, GU mucosa, Conjunctival mucosa, brain.
• Similar telangiectases of skin and mucous
membranes may occur in other conditions as
progressive systemic sclerosis or scleroderma and the
CREST syndrome, LE.
• subject
HISTOLOGICAL FEATURES
• Basic defect in the small blood vessels of skin and
mucosa.
• Superficial collection of thin walled blood vascular
spaces.
• EM - defect of the endothelial cell attachment,
defect in perivascular supportive tissue bed which
weakens the vessels, a lack of elastic fibres(old
concept).
• Bleeding and clotting times are normal.
• Anaemia and thrombocytopenia may result with
severe bleeding.
Treatment
• Spontaneous hemorrhages may be controlled by
pressure packs particularly nasal bleeding.
• The angiomatous or telangiectatic areas are
cauterized, treated with x-ray radiation or surgically
incised.
STURGE-WEBER SYNDROME
Encephalotrigeminal hemangiomatosis
•Uncommon congenital condition.
•Congenital Hamartomatous malformations that
may affect the eye, skin, CNS at different times.
• Venous angioma of the leptomeninges(INNERMOST LAYER OF
MENINGES WHERE CSF CIRCULATES) over the cerebral
cortex with ipsilateral angiomatous lesions of the face,
and sometimes skull, jaws, oral soft tissues.
 Belong to a group of disorders –
phakomatoses (mother-spot diseases)
Etiology
• Primary defect is a developmental insult affecting
precursors or tissues that originate in the
promesencephalic and mesencephalic neural crest.
• Then these affected precursors give rise to vascular
and other tissue malformations in the meninges, the
eye and dermis.
• Somatic mutation in the precursors – overproduction
of angiogenic factor.
• No gene defect-not heredity
• Sporadic, non familial.
• Facial cutaneous capillary venous angiomas at
birth : port-wine nevi present at birth.
• Unilateral distribution – over the skin - trigeminal
nerve.
•Intracranial calcifications.
• Ocular involvement – Glaucoma, exophthalmos,
angioma of choroid.
• Neurologic manifestations : convulsive disorders
& hemiplegia with or without mental retardation
due to leptomeningeal angiomas and calcifications.
• Oral manifestations – Gingiva & buccal mucosa-
angiomatous lesions.
CLINICAL FEATURES
Treatment
Neurosurgical treatment.
Unilateral haemangioma of
palate
Tramline calcifications on involved side
LYMPHANGIOMA
 Benign, hamartomatous hyperplasia of lymphatic vessels.
 Doubtful that they are true neoplasms.
Marked predilection for head and neck region.
 A dev malformation of vessels that do not communicate
normally with rest of the lymphatic system.
Typically superficial
 LYMPHANGIOMATOSIS, seen in infancy and childhood.
Classification suggested by Watson and Mc Carthy
1. Lymphangioma simplex ( capillary lymphangioma ), which
consists of small thin walled lymphatics(capillary sized)
2. Cavernous lymphangioma, which is composed of larger,
dilated lymphatic vessels.
3. Cellular or hypertrophic
4. Diffuse systemic
5. Cystic lymphangioma or hygroma which exhibits
large, macroscopic cystic spaces.
6. Benign lymphangioendothelioma(acquired progressive lymphangio
Lymphatic channels appear dissecting through dense collagen bundle
Clinical features :-
 Marked predilection for head and neck ( 75 % of cases )
 50 % of the lesions are noticed at birth, and
around 90 % develop by 2 years at age.
 Common head and neck region- lateral neck – large cystic spaces
– cystic hygroma.
• Cervical lymphangiomas are common in posterior
triangle of the neck and are soft, fluctuant masses.
• Very rarely central lymphangiomas of tibia.
Oral lymphangioma:
 Most commonly on the anterior dorsal 2/3rd of the tongue.
 Macroglossia.
 Less common on Palate, buccal mucosa , gingiva and lips.
 Lesion is superficial and demonstrates a “ pebbly” surface –
cluster of translucent vesicles. Slightly red color.
Papillary surface
 Surface gives the appearance of “ frog eggs”or tapioca
pudding.
Secondary hemorrhage into lymphatic spaces may give some
vesicles a purple color.
Deep lesions – diffuse nodules or ill-defined masses without
change in surface texture or color.
 Male : female
- 2:1
• Irregular nodularity of surface of tongue with
gray and pink projections.
• Unusual form – lymphangioma of the alveolar
ridge in neonates – 1cm - small blue-domed
fluid-filled lesions- bilaterally on the mandibular
ridge.
Histological features:
 Composed of multiple intertwining lymph vessels showing
marked dilatation in a loose fibrovascular stroma.
 Cavernous most common-Lined by Single thin layer of endothelial cel
with flattened or plump nuclei , contain lymph/proteinaceous fluid
and occasional lymphocytes.
 Lymphatic vessels may show macroscopic
cyst like structures ( cystic hygroma )
 In intraoral tumors, these lymphatic vessels are present just
beneath the epithelium and tend to fill or replace the connective
tissue papillae – papillary surface change.
Hemangiolymphangioma-channels filled with blood.
Lymphangiomyoma-proliferation of smooth muscle cells.
 Lymphangioma simplex or Capillary lymphangioma
or lymphangioma circumscriptum : small thin-walled
lymphatics.
 Cavernous lymphangioma: dilated vessels with
surrounding adventitia.
• Cystic lymphangioma or Cystic hygroma – huge
macroscopic lymphatic spaces with surrounding
vascular tissues and smooth muscle.
• Benign lymphangioendothelioma (acquired
progressive) - lymphatic channels appear to be
dissecting through dense collagen bundles.
Treatment – Surgical
excision – radioresistant
and insensitive to
sclerosing agents.
Recurrence is common for
cavernous type.
Myxoma
• Heterogenous group of soft tissue tumors containing
abundant myxoid ground substance predominantly,
hyaluronic acid, a mucopolysaccharide.
Chondroma
• Benign central tumor composed of mature cartilage.
• Uncommon in bones of maxilla and mandible.
Benign bone tumors
• Benign Chondroblastoma( Codman Tumor)
• Osteoma
• Osteoid osteoma
• Benign Osteoblastoma
Codman Tumor
• Benign chondroblastoma/Epiphyseal
Chondromatous giant cell tumor
• Benign primary central bone tumor
• Involves long bones of upper and lower limbs.
• Rarely involve cranial bones
• Occurs in young persons between 5 and 25yrs of age
• Males
• RARELY Involves mandibular condyle and ant
maxilla
Histology
• Composed of uniform, closely packed, polyhedral
cells with occasional foci of chondroid matrix.
• Scattering of multinucleated giant cells
• Areas of haemorrhage, necrosis, calcification of
chondroid material
• Formation of bone and osteoid
Xanthoma cells
• Seen in Verruciform xanthoma which is an
uncommon lesion that occurs on oral mucosa.
• Reactive lesion rather than true neoplasm.
• Damage to squamous cells with increased epithelial
cell turnover - deposition of epithelial cell debris
• Lesion has a verruciform appearance, but it may be
polypoid, papillomatous or sessile.
• Xanthoma cells- (LDL)lipid-laden foamy histiocytes
present in connective tissue papillae in the lesion.
• They are PAS-positive and diastase resistant.
Torus palatinus
• Slow growing, flat-based bony protuberence or
excrescences or outgrowths in the midline of hard pala
• Hereditary condition- mendelian dominant.
C/F:
• Women > Men
• Peak incidence < 30 yrs
• < 2 cm, increase in size
• No symptoms, overlying mucosa ulcerated due to traum
• Racial Asian and Eskimos
• Prevalence during early adult life tapering off in later ye
• Classified clinically as (variety of shapes)
• Flat torus – Broad base & slightly convex, smooth surface.
• Spindle shaped- midline ridge along palatal raphae.
• Nodular torus – arises as multiple protuberences each with
individual base, coalesce to form grooves between them.
• Lobular torus – lobulated mass that arises from single base.
•Torus composed of either dense compact bone or shell of
compact bone with a centre of cancellous bone.
 Visible on intraoral palatal radiograph.
 Benign – never becomes malignant.
Torus mandibularis
• Common exostosis(new bone)
on the lingual surface of the mandible.
 Bony protuberence along the lingual aspect of the mandible
above the mylohyoid line in the region of premolars.
• Single lobe or multiple lobules paralleling the teeth.
• Unilateral or bilateral (90%)
• Early adult life.
• Visible on periapical radiographs.
•Asians and eskimos,mongoloid groups.
•Male predilection.
Multiple Exostoses
Less common outgrowth of bone or cartilage.
Buccal surface of maxilla above the teeth and below the
mucobuccal fold.
TUMORSOF muscle TISSUEorigin
BENIGN MALIGNANT
-Leiomyoma(smooth
muscle)
Leiomyosarcoma
-Rhabdomyoma(skeletal
muscle)
Rhabdomyosarcoma
-Granular cell
myoblastoma
Granular cell tumor
-Congenital epulis of
the newborn
Malignant granular cell
myoblastoma
Alveolar soft-part
sarcoma
Rhabdomyoma
• Introduced by Zenker in 1864.
• Hamartoma – granular cells.
• PEDIATRIC TUMOR.
• Def - Benign neoplasm of striated muscle tissue,
consisting of polygonal, usually vacuolated glycogen-
containing neoplastic cells with a fine granular deeply
acidophilic or eosinophilic cytoplasm resembling
myofibril in cut section.
• Cardiac rhabdomyoma , associated with hamartoma
complex- sebaceous adenomas,tuberculous sclerosis,
hamartomas of kidney.
• Extracardiac – head and neck region
• Rare in maxillofacial region.
• Adult , fetal, and genital histological subtypes.
• Etiology – chromosomal translocations.
Clinical features
• Adult form : 16 to 82 yrs - male
• Head and neck sites : pharynx , larynx.
• Oral cavity - floor of the mouth, soft palate, base of
tongue.
• Fetal form - newborns and young children - male.
• Most common site in children is post or pre-auricular
region, face, nasopharynx, rarely in mouth.
• Nodule or submucosal nodule – multinodular(two or
more discrete nodules close together)tumors – rarely
multicentric(separate tumors at different anatomic
sites).
Histology
• Composed of well – circumscribed lobules of tumor
cells.
• Tumor cells - Large round cells – abundant granular
eosinophilic vacuolated cytoplasm – irregular cross-
striations.
• Cells exhibit peripheral vacuolization that results in a
spider web appearance of cytoplasm.
• Cytoplasm rich in glycoprotein and glycogen- PAS
stain
• Fibrous stroma is present.
• Low mitotic activity.
• Degeneration vacuoles or clear spaces between the
tumor cells.
• Fetal rhabdomyoma- less mature, somewhat
pleomorphic, polygonal muscle cells admixed with
spindle-shaped cells within myxoid stroma.
• More cellularity than adult type
• Mitotic activity is minimal
• Cross-striations and crystalline structures – PTAH
stain, oil red O staining reveals intracellular lipid.
• Lesional cells immunoreactive for desmin, vimentin,
myoglobin.
Adult rhabdomyoma - Uniform
tumor composed of rounded and
polygonal cells with focal
vacuolization.
Transverse section of skeletal
muscle
Longitudinal section of
skeletal muscle
Granular cell myoblastoma
Granular cell tumor, Abrikossoff
Tumour
• DISPUTED ORIGIN - true neoplasm, dev anamoly,
trauma-induced proliferation.
• Striated Muscle origin- abandoned, so the name
myoblastoma.
• Histiocytes, fibroblasts or pericytes.
• Basic cell of origin - Neural (granular cell
schwannoma).
• Widely distributed throughout the body.
• Common in the oral cavity.
• Head and neck site is Larynx
Clinical features
• Any age, rare in children.
• 30 -60 yrs.
• Common in women
• Oral cavity and skin.
• Oral cavity – more than 50%,no gender predilection
• Common on Lingual dorsum – solitary, sessile,
painless, firm, immovable nodule - smooth surface
• Lesions often demonstrate pallor or yellowish
discoloration.
• Minimal effect on swallowing, speech and
breathing.
• Soft palate , uvula, labial mucosa, floor, gingiva,
Histology
• Granular cells : Large polygonal , oval or bipolar cell (two
extensions) of about 20-40μ in diameter with abundant fine or
coarsely granular eosinophilic cytoplasm, small pale staining or
vesicular nuclei eccentrically located in the cell.
• Cell membrane or border is moderately distinct.
• Cells are arranged in sheets, cords and nests.
• Granular cells often occur in ribbons separated by fibrous septa
giving the appearance of invading into underlying tissues,
especially muscle.
• Older lesions – dense fibrotic background.
• Ultrastructural studies - cytoplasmic granules-autophagic
vacuoles with cellular debris, mitochondria, ER and myelin.
• Acanthosis or Pseudoepitheliomatous or
pseudocarcinomatous hyperplasia of surface
epithelium - 50% of cases, a benign marked increase
and downgrowth of epidermal cells, observed in
chronic inflammatory dermatoses and over some
dermal neoplasms and nevi; microscopically, it
resembles well-differentiated squamous cell
carcinoma
• Reactive lesion.
• Surface of the lesion – covered by a layer of
pseudoepitheliomatous hyperplasia.
• Granular cells are positive for S100
• Granules are PAS positive, diastase resistant
• Recurrences are rare
Congenital epulis of new born
• Congenital granular cell lesion.
• Hamartoma
• Rare lesion
• Neuman’s tumor.
• At birth, common in females
• Occurs as a single tumor.
• Alveolar ridges of new born.
• Protuberant mass on the maxilla.
• Malformations of dental blastema(undifferentiated
embryonic tissue) - type of embryonal hamartoma.
• Presence of numerous epithelial rests.
Clinical features
• At birth.
• Maxillary(common) or mandibular gingiva.
• Pedunculated lesion found in the lateral incisor
canine region-crest of the alveolar ridge.
• Pink to red smooth surfaced polypoid mass.
• 2cm or less in size.
• Rarely on tongue
Histology
• Similar to granular cell tumor
• Pseudoepitheliomatous hyperplasia doesnot occur.
• Sheets of large closely packed large round cells
showing fine granular eosinophilic cytoplasm.
• Lightly basophilic nucleus.
• No mitosis or cross-striations.
• Numerous capillaries.
• Atrophy of the epithelium.
BENIGN TUMORS OF NERVE TISSUE
ORIGIN
• TRAUMATIC NEUROMA
• NEUROFIBROMA
• NEUROFIBROMATOSIS
• SCHWANNOMA
TRAUMATIC NEUROMA
or
AMPUTATION NEUROMA
• Not a true neoplasm.
• Reactive proliferation of neural tissue after
transection or damage of a nerve bundle.
• Exuberant attempt at repair of a damaged nerve
trunk.
• Hyperplasia of nerve fibres and their supporting
tissues.
• Follows accidental or purposeful sectioning of a
nerve, incidental to difficult extraction.
• Laceration of lip or tongue deeply.
Pathogenesis
• Degeneration of distal portion of the nerve after
severance of nerve fibres : swelling, fragmentation,
disintegration of axons and myelin sheaths.
Macrophages remove the tissue debris. Shrinkage of
neurilemmal sheaths until distal fibres consist of
strands of connective tissue and neurilemma.
• Repair of a damaged nerve – proliferation of axons,
cells of neurilemmal sheaths and endoneurium.
Regeneration is facilitated by persistence of the
neurolemmal tubes by multiplication of Schwann
cells.
• Reinnervation (restoration) usually occurs, unless the
proliferating proximal end meets some obstruction
such as scar, malaligned bone in which case the nerve
continues to proliferate into bulbous mass of nerve
fibres and Schwann cells – TRAUMATIC
Clinical features
• Oral traumatic neuroma : Small smooth surfaced
nodule or swelling of the mucosa, near the mental
foramen, on the alveolar ridge in edentulous areas or
on the lower lip or tongue.
• Central within the bone also occurs.
• Common in young and middle aged women
• Slow growing lesion.
• Digital pressure causes pain, along the course of
nerve.
• Traumatic neuromas of greater auricular nerve in 5%
to 10% of pts – pleomorphic adenoma
• Altered nerve sensations
• Reflex neuralgia with distant pain
• Palisaded, encapsulated neuroma - A benign solitary
neoplasm (primary hyperplasia of nerve fibres, axons
and sheath cells).
• Cutaneous tumor
• Fifth to seventh decades of life
• Facial region - upper eyelid, nose, cheeks, lips, chin.
Histology
• An irregular and interlacing proliferation of
neurofibrils and Schwann cells within a fibrous
connective tissue stroma.
• Densely collagenous stroma or myxomatous.
• Much of the CT, derived from perineurium.
• Proliferating nerve fibres : small discrete bundles or
spread diffusely throughout the tissue.
• Hyperplasia of nerve fibres in a dense fibrous
stroma.
• Mild chronic inflammatory infiltrate.
NEUROFIBROMA
• Most common benign tumor of peripheral nerve
tissue origin, derived from cells of nerve sheath.
• Superficial Solitary lesion.
• Fibroma molluscum
• Spindle – cell lesion.
• Origin : Mixture of cell types - Schwann cells and
perineural fibroblasts.
• Based on the growth pattern : localized, diffuse,
plexiform.
Clinical and radiographic features
• Young adults. No gender predilection.
• Slow-growing, soft,painless lesions.
• Tan(pale brown)-white colored, fusiform in shape
when arising from a nerve.
• Small nodules or large masses.
• Occur anywhere in the body
• Superficially in the dermis and subcutis.
• Frequently occur on the skin.
• Oral cavity : common on tongue, buccal mucosa, gingiva
, hardpalate.
• Fibroma molluscum: large pendulous tumors
occurring on the skin. Malignant transformations are
encountered in deep seated lesions.
• Rarely Centrally within the bone : a well-demarcated
or poorly defined unilocular or multilocular
radiolucency.
Intraosseous tumor filling the right mandibular ramus
Histology
• Well-circumscribed : proliferation occurs within the
perineurium of the involved area.
• Non- encapsulated
• Proliferate outside the perineurium-not well-
demarcated and tend to blend with the adjacent
connective tissue.
• Composed of interlacing bundles or fascicles or
whorls of wavy elongated cells(THIN SPINDLE
CELLS) with dark staining nuclei in a collagenous
stroma intermingled with neurites.
• Wire-like strands or shredded carrot like appearance
that are separated from the cells by mucoid material.
• These cells are associated with delicate collagen
bundles and variable amounts of myxoid matrix.
• Cellular pattern and myxoid pattern.
• Mostly less cellular.
• Mast cells are numerous- a diagnostic feature.
• Sparsely distributed small axons – using silver stains.
• S-100
• Rare recurrence, rare malignant transformation.
Diffuse neurofibroma
• Uncommon
• Mostly associated with neurofibromatosis.
• Children and young adults
• Head and neck region
• Skin lesions- elevated plaque-like lesions.
Histologic features
• Tendency to spread through the connective tissue
septa and between fat cells enveloping the normal
structures
• Uniform matrix made up of fibrillary collagen.
• The Schwann cells are fusiform or round shaped,
elongated.
Plexiform neurofibroma
• Early childhood
• Extremities : lesions are enlarged - elephantiasis
neurofibromatosis.
• Skin : loose, redundant and hyperpigmented.
• The underlying bone is hypertrophied with increased
vascular supply.
• Bag of worms
• Highly cellular and reveal nuclear atypia.
Pigmented neurofibroma
• Pigmented cells containing melanin are present in 1%
of neurofibromas.
• Mostly associated with NF1 and diffuse form.
• Occasionally with plexiform.
• Dendritic or epithelioid shaped pigmented cells
throughout , cluster formation in superficial portion
of lesion.
• Positive for S100.
NEUROFIBROMATOSIS TYPE 1(NF1)
or
VON RECKLINGHAUSEN’S DISEASE OF THE SKIN
• Multiple neurofibromas
• Disseminated form
• Eight forms have been recognized, type 1 is most
common.
• NF1 is peripheral form of the disease.
• Relatively common hereditary condition.
• 1 in every 3000 births.
• Autosomal dominant trait
• Variety of mutations of the NF1 gene located on
17q-tumor suppressor protein product -
• NF2 are deep seated lesions, referred to as central
form
• Bilateral vestibular Schwannoma
• Schwannomin
Clinical and radiographic features
 Multiple neurofibromas can occur anywhere in the body but
are most common on the skin.
 Wide variability in the expression of the disease
 Some pts have few neurofibromas, others have hundreds or thous
 Two-thirds of patients have relatively mild disease.
 Clinical presentation : It can vary from small papules(solid raised
lesion) to larger
soft nodules to massive baggy, pendulous masses ( elephantiasis
neuromatosa) on the skin.
 The plexiform variant feels like a “ bag of worms”.
 The tumors may be present at birth, but they often begin to appear
during puberty and may continue to develop slowly throughout
adulthood. Accelerated growth in pregnancy.
 “ Café au lait” [ coffee with milk ] pigmentation on the skin.
SPOTS ARE Smooth-edged, yellow-tan to dark-brown macules
(1to2mm or several cm).
Mostly present at birth or dev in first year of life.
Café au lait pigmentation on the arm
 “ Axillary freckling” [ Crowe’s Sign ] is also seen.
Freckle: flat , small , light brown spots.
 “ Lisch nodules” translucent, brown pigmented spots on the
iris are found in nearly all affected individuals.
- HYPERTENSION IS A COMMON PROBLEM.
- Pheochromocytomas(tumor of adrenal glands)
 Other possible abnormalities are C. N. S. tumors, macrocephaly
mental deficiency, seizures, short stature and scoliosis.
 Oral lesions – Seen nearly in 72 to 92% of the cases.
Macroglossia
- Enlargement of the fungiform papillae.
R/G : Enlargement of the mandibular foramen, MANDIBULAR
CANAL, increased bone density, concavity of medial surface of
ramus, increase in dimension of coronoid notch.
Unilateral enlargement of tongue
• Several pts with NF1 have been associated with
Noonan syndrome or central giant cell granuloma of
jaw.
Diagnostic criteria
• Six or more café-au-lait macules more than 5mm in
diameter in prepubertal persons and more than
15mm in post pubertal persons.
• Two or more neurofibromas of any type or one
plexiform neurofibroma.
• Freckling in the axillary(armpit) or inguinal region
• Optic glioma.
• Two or more Lisch nodules(iris hamartoma)
• Osseus lesion – sphenoid dysplasia or thinning of
long bone cortex with or without
pseudoarthrosis(FIBROUS UNION)
• A first degree relative(parent,sibling) with NF1.
Treatment :
 No specific therapy,
 Dev of neurofibrosarcoma
 Lifespan is 15yrs less than
normal population.
Dev of Malignant peripheral nerve sheath
tumor(neurofibrosarcoma, malignant schwannoma) in pt with
NF1:
Cellular spindle cell proliferation with numerous mitotic figures
NEURILEMMOMA
(SCHWANNOMA,NEURINOMA,LEMMOMA)
• Benign neural neoplasm derived from Schwann cells.
• Uncommon
• Neurites are not a component of this tumor, may be
found on the surface.
• 25% to 48% occur in head and neck region.
• Bilateral neurilemomas occur in NF2
Clinical features :
 The solitary neurilemoma is a slow growing , encapsulated
tumor that typically arises in association with a nerve trunk.
 As it grows, it pushes the nerve aside
 Painless unless pressure on nerves.
 Any age, slightly more in females
 Single circumscribed nodule.
 Few mm to several cm in size.
Oral lesions
• 1%
• Tongue
• Anywhere in the mouth
• Single circumscribed nodule
• Centrally within the bone-post mandible
• Pain and paresthesia
• Unilocular or multilocular radiolucencies
Histology
• CAPSULE composed of epineurium and residual
nerve fibres.
• Spindle or elongated cells
• Two microscopic patterns in varying amounts.
• COMPOSED OF TWO TYPES OF TISSUE
• Antoni type A and Antoni type B.
ANTONI A – Cellular pattern, WELL ORGANIZED
 Characterized by streaming fascicles of spindle shaped
Schwann cells, with elongated or spindle-shaped nuclei.
 These cells often form a palisaded arrangement around
central acellular, eosinophilic areas or zones known as “ verocay
bodies”.
 CONSIST OF REDUPLICATED BASEMENT MEMBRANE AND
CYTOPLASMIC PROCESS(hyaline structures).
• Intercellular fibres are arranged in parallel fashion
between rows of nuclei.
Antoni B:
 Antoni B tissue is less cellular and less organized
 The spindle cells are randomly arranged within a
loose myxomatous stroma.
 Areas of edema fluid and microcyst formation.
 Neurites cannot be demonstrated within the tumor
mass.
 Tumor cells positive for S-100
 Degenerative changes can be seen in some older tumors
( ancient neurilemomas )
 These changes consist of hemorrhage, hemosiderin deposits,
inflammation , fibrosis and nuclear atypia.
However these tumors are still benign.
Treatment
 Surgical excision
RARE MALIGNANT TRANSFORMATION.
Recurrence is rare

Connective tissue tumors-Benign for 3rd bds.ppt

  • 1.
    NON - EPITHELIALtumours of the oral cavity/ connective tissue tumours/soft tissue tumours
  • 2.
    Definition According to RobertWillis (1952) : “ A neoplasm is an abnormal mass of tissue, the growth of which exceeds and is uncoordinated with that of the normal tissues and persists in the same excessive manner after cessation of the stimuli which evoked the change”.
  • 3.
    Differences between Benignand Malignant Tumors Feature Benign Malignant Growth Rate Slow Relatively rapid Mitotic Activity Low High Histological resemblance to normal tissue Good Variable, often poor Nuclear morphology Often normal Usually active ,hyperchromatic, irregular outline, multiple nucleoli and pleomorphic Invasion/Infiltration No Yes
  • 4.
    Differences between Benignand Malignant Tumors Feature Benign Malignant Metastases Never Frequent Border Often Circumscribed or encapsulated Often poorly defined or irregular Necrosis/Hemorrhage Rare Common Ulceration Rare Common on skin and mucosal surfaces Direction of growth on skin or mucosal surfaces Often exophytic Often endophytic
  • 5.
    ORAL FIBROMA • Irritationfibroma , Traumatic fibroma, Fibrous nodule, focal fibrous hyperplasia. - Most common soft tissue “ tumor” of the oral cavity. - True neoplasm / reactive hyperplasia of fibrous connective tissue in response to local irritation or trauma. - Fibrous maturation of pre - existing pyogenic granuloma. • Reactive focal fibrous hyperplasia
  • 6.
    Clinical features :- Any site in the mouth, but the most common location is the buccal mucosa along the bite line(plane of occlusion).  LESS COMMON SITES : Tongue , gingiva, lips and palate.
  • 7.
     Lesion appearsas an elevated smooth surfaced nodule of normal color of oral mucosa.  Most fibromas are sessile or occasionally pedunculated.
  • 8.
     Small ,1.5 cm or less in diameter. Slow- growing well defined lesions  Usually asymptomatic.  As it is elevated - can get irritated and inflamed and show superficial ulceration or HYPERKERATOSIS. Occur at any age  Common age : 3rd to 5th decades of life.  M : F ratio is 1:2
  • 9.
    Histopathological features: • Unencapsulated Nodular mass of fibrous connective tissue covered by a stratified squamous epithelium (stretched).  Connective tissue : dense and collagenized.
  • 10.
    Epithelium shows atrophyof the rete ridges. Hyperkeratosis from secondary trauma. The lesion is not encapsulated, the fibrous tissue instead blends into the surrounding connective tissue. Coarse bundles of interlacing collagen fibres arranged in an irregular, circular or radiating fashion interspersed with fibroblasts and fibrocytes and small blood vessels. Acellularity of the connective tissue. If inflamed or traumatized: Chronic inflammatory cell infiltration , chiefly lymphocytes and plasma cells, vasodilatation, edema. Treatment: Conservative surgical excision, recurrence is rare.
  • 13.
    PERIPHERAL OSSIFYING FIBROMA/ CALCIFYING or OSSIFYING FIBROID EPULIS / PERIPHERAL ODONTOGENIC FIBROMA / PERIPHERAL CEMENTIFYING FIBROMA. (Peripheral odontogenic fibroma-WHO as odontogenic tumor- different entity) • Common gingival growth. • Reactive rather than neoplastic. • Mineralized product has its origin from cells of periosteum or periodontal ligament. •May contain oxytalan fibres. • Composed of a high degree of cellularity , bone like formation, cementum like spherules, rarely dystrophic calcification. • Same progenitor cell produces different materials. •Develop initially as pyogenic granuloma that undergo fibrous maturation and subsequent calcification.
  • 14.
    Clinical features: • Anyage, common in teenagers and young adults(10 and 19). • Female predilection. • Well-demarcated focal nodular mass exclusively on gingiva (originate from interdental papilla). •Maxillary arch : incisor-cuspid region. •Teeth are unaffected, rarely migration and loosening of teeth. •Sessile or pedunculated base. •Begin as red ulcerated lesion •Older ones - Pink non ulcerated •Color ranges from red to pink , surface is frequently but not always ulcerated.
  • 16.
    • The growthbegins as an ulcerated lesion, older ones are more likely to demonstrate healing of the ulcer and an intact surface. • Red ulcerated ones are mistaken for pyogenic granulomas • Pink nonulcerated ones are similar to irritation fibromas. • Less than 2cm. • Lesion may be present for many weeks or months before diagnosis.
  • 17.
    Histology • Surface :An intact epithelium or ulcerated layer of stratified squamous epithelium. • A Fibrous proliferation with formation of a mineralized product. • Exceedingly cellular mass of connective tissue. • Large numbers of plump proliferating fibroblasts. • Deeper fibroblastic component is cellular, especially in areas of mineralization. • Delicate fibrillar stroma. • Less vascularity.
  • 18.
    • Type ofmineralized component is variable and may consist of bone like , cementum-like material or dystrophic calcification. • Bone is woven and trabecular type. • Older lesions have mature lamellar bone. • Unmineralized osteoid. • Lesional tissue does not merge with normal bone. • Osteoblastic rimming
  • 19.
    • Less frequently- Ovoid droplets of basophilic acellular cementum like material( amorphous with smooth border). • Multiple granules, tiny globules or large irregular masses of basophilic mineralized material - dystrophic calcification(common in early ulcerated lesions). • Older lesions show bone and cementum like material. • Cellularity is greatest at areas of bone and cementum or calcification. • Occasionally : multinucleated giant cells in association with the mineralized product.
  • 20.
    Mixture of wovenbone & cementum like material. Trabeculae of bone & droplets of cementum like material within a background of fibrous CT.
  • 24.
    Treatment • Surgically excised •Recurrence rate of 8% to 16% . • Scaling
  • 25.
    Central ossifying fibroma Centralfibro-osteoma • Replacement of normal bone by fibrous tissue. • True neoplasm with significant growth potential. • Centrifugal growth pattern : maintains round/oval shape with enlargement. • Radiograph (well defined unilocular) depending on stage of lesion. • Cementifying fibroma/Cemento-ossifying fibroma • Mandible : premolar - molar area. • Females : third and fourth decades.
  • 26.
    • Well demarcatedfrom surrounding bone, hypovascular , encapsulated • Shelled out in one piece • Round • Spherules of cementum exhibit peripheral brush borders. • Background of cellular fibrous CT.
  • 27.
    Clinical and radiographicfeatures • Third and fourth decades common • Females • Mandibular premolar and molar area. • Smaller lesions are asymptomatic • Large lesions – painless swellings of involved bone. • Very rare – pain and paresthesia.
  • 28.
    • Radiographically :well- defined radiolucent and unilocular • Sclerotic border • Varying degrees of radiopacity • Root divergence or resorption of roots of teeth. • Large lesions : downward bowing of inferior cortex of the mandible.
  • 29.
    Histology • Well demarcatedfrom the surrounding bone • Easy separation of tumor from its bony bed. • Few are encapsulated. • Varying degrees of cellularity • Spherules of cementum – like material often show peripheral brush borders that blend into adj CT.
  • 30.
    Juvenile ossifying fibroma •A controversial lesion , DIFFERENTIATED ON BASIS OF AGE. • Two different patterns of histology and clinical features • TRABECULAR • PSAMMOMATOID - MORE • CHROMOSOMAL TRANSLOCATIONS FOR PSAMMOMATOID
  • 31.
    CLINICAL AND RADIOGRAPHIC FEATURES •Rapid growth • Well-circumscribed • Lack continuity with adj normal bone • 6mnths to 60 yrs • Mean age 11-22 yrs, psammomatoid 22 yrs. • Male predilection • Maxilla • Psammomatoid – outside the jaw - orbital, frontal, paranasal sinuses.
  • 32.
    • Complications- impingementon neighbouring structures • Dev of ABC in psammomatoid variant • Circumscribed radiolucencies with central radiopacities • Cortical expansion -psammomatoid • Large lesions and aggressive -psammomatoid
  • 33.
    HISTOLOGY • Non-encapsulated • Welldemarcated from surrounding bone • Cellular fibrous connective tissue • Loose areas and highly cellular areas • Myxomatous foci with pseudocystic degeneration. • Areas of hemorrhage • Small clusters of MNGC
  • 34.
    • Mineralized component-two patterns • Trabecular variant – irregular strands of highly cellular osteoid encasing plump and irregular osteocytes. • Strands are lined by plump osteoblasts and in other areas by multinucleated osteoclasts. • Psammomatoid pattern forms concentric lamellated and spherical ossicles that vary in shape and typically have basophilic centres with peripheral eosinophilic osteoid rims. Acellular • A peripheral brush border blending into surrounding stroma is seen in many ossicles.
  • 35.
    • Individual ossiclesundergo remodeling and form crescentic shapes. • Psammoma bodies : cementum like particles
  • 36.
    Treatment and prognosis •Excision • Recurrence rate of 30% to 58% have been reported. • No malignant transformation
  • 37.
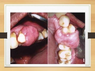
    PERIPHERAL GIANT CELLGRANULOMA Peripheral Giant Cell Epulis  A relatively common tumor – like growth of the oral cavity.  Does not represent a true neoplasm but rather is a reactive lesion caused by local irritation or trauma.  Older term : peripheral giant cell reparative granuloma.  Giant cells : osteoclasts / mononuclear phagocyte system.
  • 38.
    Clinical features : Any age(first to sixth decades).  Females.  Most common in fourth to sixth decades of life.  SITE : always on gingiva or edentulous alveolar ridge, : anterior or posterior regions, mandible. : anterior to molars  COLOR – Dark Red, vascular or haemorrhagic  Smaller than 2cm
  • 39.
     Asymptomatic, Rapidgrowth (1cm size within few mnths)  Most lesions are smaller than 2 cm in diameter, although larger ones are seen occasionally.  Sessile or pedunculated, and may or may not be ulcerated. Seems to arise from deeper in the tissue - PDL or mucoperiosteum.  Peripheral giant cell granuloma : more blue – purple.  Pyogenic granuloma – Bright red.  Cupping resorption of underlying alveolar bone.
  • 40.
    Histopathological features:  Nonencapsulatedmass of tissue  Proliferation of multinucleated giant cells within a rich background of plump ovoid and spindle shaped connective tissue cells and delicate reticular and fibrillar stroma.
  • 41.
    GIANT CELLS : Patchy distribution.  Contains only a few nuclei or up to several dozens.  Some of these cells may have large, vesicular nuclei (more euchromatin), others demonstrate small, pyknotic nuclei.  Origin : mostly osteoclasts, endothelial cells.
  • 43.
     Mitotic figuresare seen in the background mesenchymal cells.  Abundant hemorrhage seen throughout, which results in liberation of hemosiderin(insoluble form of storage iron) pigment and subsequent ingestion by mononuclear Phagocytes , especially at the periphery of the lesion.  Capillaries are numerous at the periphery of the lesion. Covering epithelium is mostly hyperplastic with occasional ulceration A zone of dense fibrous CT seperates the giant cell proliferation from the mucosal surface. VASCULAR AND CELLULAR FIBROUS LESION.  Areas of reactive bone OR OSTEOID formation or dystrophic calcifications.  Acute and chronic inflammatory cell infiltration.
  • 44.
    • Serum calciumlevel or parathyroid hormone assay may be indicated to rule out brown tumor of hyperparathyroidism.
  • 47.
    Treatment • Local surgicalexcision down to the underlying bone. • Recurrence rate of 10-15%.
  • 48.
    Central giant cellgranuloma • Uncommon benign and proliferative lesion. • Aetiology not defined • Jaffe, introduced the term • Destructive than reparative. • C/F : any age, common in the young below 30 yrs of age. • Females. • Mandible : anterior segment, does not cross the midline. • Asymptomatic.
  • 49.
    • Unilocular ormultilocular radiolucency • Depending on clinical and R/G features – nonaggressive and aggressive. • Nonaggressive: slow growing, doesnot show root resorption or cortical perforation, often shows new bone formation. • Expansion of the cortex and perforation, mobility, displacement and root resorption of associated tooth- aggressive(tendency to recur) • Borders may be diffuse or regular.
  • 52.
    Giant cell tumorof bone(Osteoclastoma) • Distinctive neoplasm of undifferentiated cells. • Benign but locally aggressive and destructive lesions. • Giant cells are of histiocytic origin. • Giant cell transformation in this tumor may be as a result of exposure to certain infectious agents or exogenous foreign bodies or endogenous substances like RBC, plasma, cholesterol.
  • 53.
    C/F • 4 %-5% of all bone tumors • 18% of all benign tumors of bone. • 20% in Chinese • 2% in Head and neck region. • Females • Above 19yrs of age but before 40 yrs of age. • Pain and swelling over the affected region. • Otalgia, headache, hearing loss and dysfunction of cranial nerves. • May arise from Paget’s disease
  • 54.
    Histology • Basic proliferatingcell has round to oval or even spindle-shaped nucleus. • Nucleus is surrounded by an ill-defined cytoplasmic zone and discernible intercellular substance is absent. • Mitotic figures can be found, sometimes numerous • Giant cells are scattered uniformly, usually contain 40-60 nuclei. • Areas of Necrosis are common.
  • 55.
    Treatment • Curettage • Recurrencemay be seen after 7 yrs • Secondary malignant change is to fibrosarcoma or osteosarcoma.
  • 56.
    • Benign tumorof fat. • Relatively rare intraoral tumor. • Most commonly occurs on the trunk and proximal portions of extremities , Subcutaneous tissues of the neck. • Yellow epulis – older term • Benign slow growing neoplasm of mature fat cells. • Tumor fat : Fatty acid precursors are incorporated at a more rapid rate into lipoma fat , lipoprotein lipase activity is reduced. • Rearrangement of chromosomes/trauma. LIPOMA
  • 57.
    Clinical features • Adults. •Males • Less than 3cm. • Variety of locations - tongue, floor of the mouth, palate, gingiva, buccal mucosa, buccal vestibule. • Soft , smooth-surfaced nodular masses • Intra- oral lipomas : diffuse(deeper tissues) , superficial, encapsulated form. • Superficial form : Single or lobulated painless mass - sessile or pedunculated.
  • 58.
    • Yellow surfacediscoloration , soft to palpation. • Deeper lesions appear pink and produce slight surface elevation. • Freely movable beneath the mucosa. • Thin epithelium - the superficial blood vessels are visible over the surface. • Diffuse form occurs in areas where normal fat is present. • When palpated the diffuse form feels like fluid. • Herniation of buccal fat pad through the buccinator muscle.
  • 59.
    • Multiple headand neck lipomas : Neurofibromatosis, Gardner’s syndrome , Proteus syndrome. • Generalized lipomatosis contributes to unilateral facial enlargement in hemifacial hypertrophy.
  • 60.
    Histology • Mature adipocytesor fat cells admixed with collagen streaks. • Well circumscribed with a distinct thin capsule • Distinct lobular arrangement of cells. • Quite often, lesional fat cells are seen to infiltrate into surrounding tissues producing long thin extensions of fatty tissue radiating from the central tumor mass : infiltrating lipoma. • When infiltrating lipoma is located within striated muscle - intramuscular lipoma.
  • 61.
    • Lipomatosis • Fibrolipoma •Angiolipoma-small vascular channels • Myxolipoma • Spindle – cell lipoma - uniform spindle cells • Pleomorphic lipoma-spindle cells appear somewhat dysplastic or mixed with pleomorphic giant cells with or without hyperchromatic enlarged nuclei. • Myolipoma – spindle cells are of smooth muscle cells. • Angiomyolipoma - smooth muscle appears to be derived from walls of arterioles. • Osteolipoma - osseous metaplasia • Chondrolipoma
  • 62.
    • Myelolipoma –bone marrow is present • Adenolipoma – isolated ductal or tubular adnexal structures are scattered throughout fat lobules • Perineural lipoma • Benign neoplasm of brown fat - Hibernoma
  • 65.
    Treatment • Conservative localexcision • Rare recurrence. • Intramuscular lipomas have a higher recurrence rate because of infiltrative growth pattern but this pattern is rare in oral region.
  • 66.
    Pyogenic granuloma(granuloma pyogenicum) • Distinctiveclinical entity as a response of the tissues to a nonspecific infection (bartonella species). • Common tumorlike growth of oral cavity. • Non neoplastic in nature. • Lobular capillary hemangioma/ eruptive hemangioma. • Exuberant tissue response to local irritation or trauma. • Not a true granuloma.
  • 67.
    Clinical features • Elevatedmass, Smooth or lobulated or warty(rough) surface , usually pedunculated. • Some lesions are sessile. • The surface is characteristically ulcerated(abounds with typical colonies of microorganisms), and ranges from pink to red to purple, depending on the age of the lesion. • Young pyogenic granulomas are highly vascular in appearance and red , older lesions tend to become more collagenized and pink.
  • 68.
    • Few mmto larger lesions • The mass is painless, it bleeds easily because of its extreme vascularity. • May exhibit rapid growth. • Striking predilection for the gingiva – 75% • Precipitating factor – gingival irritation and inflammation that result from poor oral hygiene. • In that type of inflammation which results in the formation of PG , the destruction is slight but the stimulus to proliferation of vascular endothelium persists and lasts for a longer time.
  • 69.
    • Next commonsites are lips, tongue and buccal mucosa. • History of trauma for lesions on other sites. • Maxillary gingiva • Anterior areas. • Facial aspect of gingiva. • Children and young adults. • Female predilection. • Pregnancy tumor or granuloma gravidarum.
  • 70.
    • The tissueresponse : any irritant applied to living tissue may act as a stimulus or as a destructive agent or as both. • Tissues of embryos and young animals(tissue culture) contain stimuli for proliferation of cells.
  • 71.
    Histology • Highly vascularproliferation that resembles granulation tissue. • Numerous small and larger endothelium-lined blood vessels engorged with RBC. • These vessels are organized in lobular aggregates – lobular capillary hemangioma. • Surface is ulcerated, thick fibrinopurulent membrane. • Mixed inflammatory cell infiltrate. • Neutrophils are more at the ulcerated surface. • Chronic inflammatory cells are found deeper.
  • 72.
    • Older lesionsmore fibrous.
  • 73.
    Treatment • Conservative surgicalexcision. • Gingival lesions, the excision should extend down to periosteum and adj teeth scaled. • Curettage.
  • 74.
    Oral Haemangiomas andVascular Malformations(Oral Vasoformative Tumor) • Haemangiomas form due to an abnormal collection of blood vessels. • A benign tumour of blood vessels, often forming a red birthmark. True neoplasms of endothelial cells(flat squamous cells) • Hamartomas , tumors of neonates, childhood tumors, congenital vascular lesions. • Hemangiomas (vascular nevus) : Not present at birth, manifest within the first 8 weeks of life, rapid proliferative phase and slowly involute to nonexistent. • Hemangiomas are rare in oral cavity - common in the head and neck area.
  • 75.
    • A-V malformationsare present at birth. • Localized defects of vascular morphogenesis. • Vascular malformations : anamolous dev of vascular plexus – abnormal connection between arteries and veins bypassing the capillary system (structural anamolies of blood vessels). • Based on hemodynamic flow - low flow or high flow. • Normal endothelial cell growth cycle. • Affects arteries,veins, capillaries or lymphatics. • More stable and fail to regress. • Persistent throughout life.
  • 76.
    Syndromes associated withhemangiomas: • Rendu-osler-weber syndrome • Sturge-weber syndrome • Kasabach-Merritt syndrome • Beckwith-Weidmann syndrome • Proteus syndrome • Maffucci syndrome • Von-Recklinghausens disease • Epidermal nevus syndrome.
  • 77.
    Older terminology • Strawberryhemangioma • Juvenile hemangioma • Parotid hemangioma
  • 78.
    CLASSIFICATION: • In 1982,vasoformative tumors were grouped into two broad groups: hemangiomas and A-V malformations. • Vascular malformations: arteriovenous, intramuscular venous, venous, capillary and lymphatic. • Simple Classification of hemangiomas : capillary, cavernous, mixed, hypertrophic or angioblastic(embryonic blood vessels), racemose, diffuse systemic, metastasizing, port-wine stain, hereditary hemorrhagic telangiectasia.
  • 79.
    Etiology • Trophoblast. • Undifferentiatedcapillary network stage. • Retiform dev stage. • Final dev stage. • Estradiol -17 beta receptors in cytoplasm in proliferating hemangiomas. Corticosteroids are given to block the receptors. • Cellular markers that distinguishes phases of hemangiomas: TIMP-1, VEGF, type IV collagenase, bFGF, urokinase.
  • 80.
    • In theundifferentiated capillary network stage, the primitive mesenchyme (first embryonic) is nourished by an interlacing system of blood spaces without distinguishable arterial and venous channels. Separate venous and arterial stems appear on either side of the capillary network in the retiform dev stage. • The retiform dev stage begins at about 48 days of embryonic dev. The final dev stage begins at 2 mnths of dev and involves the gradual replacement of the immature plexiform network by mature vascular channels.
  • 81.
    • The morecommon capillary hemangioma represents an arrest in the development of the mesenchyme primordial in the undifferentiated capillary network stage. • As differentiation progresses, primitive vessels penetrate deeper into the subcutaneous layer, the muscle or bone tissue and give rise to capillary hemangiomas. • Termination of dev in the retiform dev stage may produce venous, arterial and capillary malformation. • In the final dev stage the maturation of the venous and lymphatic systems predominate. Aberrations in this stage result in venous malformations and lymphangiomas.
  • 82.
    Clinical features:  Primarytumors of infancy and childhood, although some cases develop in adults.  5% - 10% - 1 yr old children.  23% in premature infants.  80% occur as single lesions.  Most common location is the head and neck : 60% of all cases.  Central hemangiomas : second decade.  Females. Whites. Facial bones affected are mandible, maxilla and nasal bones. Intramuscular : skeletal muscle/ masseter muscle. Vascular malformations are present at birth and continue to grow with the child. The growth may become accelerated when the pt undergoes puberty or pregnancy.
  • 83.
    Hemangiomas of infancy: Begins on the skin as a pale macule with thread like telangiectasis -flat area of red pigmentation that is noted at birth Rapidly proliferates over the next 6 to 12 months Produces bright red elevated mass(strawberry hemangiomas) Shows regression over the next several years(dull-purple hue) Less firm to palpate By the age 5-9yrs , most lesions have involuted.
  • 84.
    • Superficial tumorsof skin appear raised and bosselated with a bright red color-strawberry hemangiomas • Firm and rubbery to palpation. • Blood cannot be evacuated on applying pressure. • After tumor regression normal skin will be restored in 50% of cases • In 40% of cases, permanent changes as atrophy, scarring,wrinkling occurs. • Complications occur in 20% of cases- ulceration, secondary infection.
  • 86.
    Oral manifestations • Hemangiomasof oral soft tissue is similar to hemangioma of skin and appears as flat or raised lesion of the mucosa. • Deep red or bluish red. • Seldom well-circumscribed • Readily compressible and fill slowly when released. • Most common sites are the lips,tongue,buccal mucosa and palate. • Most often traumatized and undergoes ulceration and secondary infection.
  • 87.
    • Intramuscular isone special form which is rare in head and neck region and occurs within normal skeletal muscle. • Difficult to diagnose. • Intrabony or Central hemangiomas – jaw bones – destructive lesions of varying size, root resorption. • Honey – comb appearance / sunburst appearance. • Radical excision is contraindicated- severe loss of blood. • Aspirate fluid contents
  • 88.
    Vascular malformations: Tiny Vascularformations of lip vessels – microcherry, venous lake, glomerulus – elderly with gastric and duodenal ulcers. Low-flow venous malformations – blue color, easily Compressible, grow proportionately with pt or may swell because of increased venous pressure. -Small isolated dilatations to complex growths. A-V malformations are high flow lesions, Result from persistent direct arterial and venous communic A palpable thrill or bruit over the mass may be detected. Overlying skin often feels significantly warmer. Presenting symptoms are pain, bleeding and skin ulceration
  • 89.
    Radiology • Mostly multilocularradiolucency. • Honey – comb pattern or soap – bubble. • Rarely unilocular. • Sun-burst appearance in larger lesions - radiating spicules at the expanded periphery due to cortical expansion. • Angiography in demonstrating the lesion.
  • 90.
    Histologic features • Manysmall dilated capillaries lined by a single layer of plump endothelial cells supported by a connective tissue stroma of varying density. • Indistinct vascular lumina. • Bears considerable resemblance to young granulation tissue and is identical to some cases of pyogenic granuloma. • Remarkable endothelial cell proliferation, may be arranged in lobules.
  • 91.
    Juvenile or cellularhemangioma or hemangioendothelioma : very early in Highly cellular pattern, - immature stage of capillary hemangioma Develop into simple hemangioma or regress.
  • 92.
    Capillary hemangioma :Many capillary sized vessels lined by a single layer of endothelial cells.  Resembles young granulation tissue.
  • 93.
    Cavernous hemangioma :Multiple large dilated blood vessels with thin walls, endothelial lining. Sinusoidal spaces are filled with blood. Arteriovenous malformation : Demonstrates a mixture of thick walled arteries and veins, along with capillary vessels.no endothelial cell proliferation.
  • 94.
    • As thelesion matures- flattened endothelial cells and capillary sized vascular spaces become more evident. • As hemangiomas involute – vascular spaces become less prominent and replaced by fibrous CT.
  • 95.
    • Proliferative phase– endothelial cell hyperplasia, Thickened or multilaminated endothelial basement membrane, mitotic activity, more mast cells, large number of mast cells(cells filled with basophilic granules), uptake of thymidine by endothelial cells. • Involuting phase – less mitotic activity, normal mast cell count. • Vascular malformation- normal mast cell , no endothelial proliferation, large vascular channels lined by endothelium(mostly venous)
  • 99.
    Treatment :-  Mostlesions undergo involution – “ Watchful neglect”  Systemic corticosteroids Intravenous vincristine  Laser therapy  Injection of sclerosing agents such as Na morrhuate. Cryotherapy Excellent prognosis with no recurrence.
  • 100.
    Hereditary Hemorrhagic Telangiectasia (Rendu – Osler – Weber syndrome) (Familial hemorrhagic angiomatosis) • Inherited as an autosomal dominant trait. • Triad : Telangiectasia, Recurrent epistaxis, positive family history. •Multiorgan AV malformations and associated hemorrhage associated with them. •Angioma: An abnormal growth produced by the dilatation or new formation of small blood vessels. •Condition characterized by dilatation of the capillaries causing them to appear as small red or purple clusters, often spidery in appearance, on the skin or surface of an organ.
  • 101.
    Etiology • Inherited defect. •2 loci have been identified-one on chromosome arm 9q33-q34 and a second on chromosome arm 12q. • Chromosome 9q34 harbors the endoglin gene and several mutations of the gene have been reported in family members affected by this syndrome. • Chromosome arm 12q harbors the activin receptor like kinase 1(ALK1). • TGF beta
  • 102.
    CLINICAL FEATURES • Commonin whites. • Spider like telangiectasias at birth or shortly after birth. • Increase in number & prominence as the patient ages. • Skin lesions - face, neck & chest or any area. • Oral lesions – lips (vermilion zone), gingiva, buccal mucosa, palate, floor of the mouth, tongue. • Earliest sign preceeding the appearence of telangiectasia – epistaxis and bleeding from the oral cavity. • Seen on nasal and oropharyngeal mucosa, hands, feet, GI mucosa, GU mucosa, Conjunctival mucosa, brain.
  • 103.
    • Similar telangiectasesof skin and mucous membranes may occur in other conditions as progressive systemic sclerosis or scleroderma and the CREST syndrome, LE.
  • 104.
  • 106.
    HISTOLOGICAL FEATURES • Basicdefect in the small blood vessels of skin and mucosa. • Superficial collection of thin walled blood vascular spaces. • EM - defect of the endothelial cell attachment, defect in perivascular supportive tissue bed which weakens the vessels, a lack of elastic fibres(old concept). • Bleeding and clotting times are normal. • Anaemia and thrombocytopenia may result with severe bleeding.
  • 107.
    Treatment • Spontaneous hemorrhagesmay be controlled by pressure packs particularly nasal bleeding. • The angiomatous or telangiectatic areas are cauterized, treated with x-ray radiation or surgically incised.
  • 108.
    STURGE-WEBER SYNDROME Encephalotrigeminal hemangiomatosis •Uncommoncongenital condition. •Congenital Hamartomatous malformations that may affect the eye, skin, CNS at different times. • Venous angioma of the leptomeninges(INNERMOST LAYER OF MENINGES WHERE CSF CIRCULATES) over the cerebral cortex with ipsilateral angiomatous lesions of the face, and sometimes skull, jaws, oral soft tissues.  Belong to a group of disorders – phakomatoses (mother-spot diseases)
  • 109.
    Etiology • Primary defectis a developmental insult affecting precursors or tissues that originate in the promesencephalic and mesencephalic neural crest. • Then these affected precursors give rise to vascular and other tissue malformations in the meninges, the eye and dermis. • Somatic mutation in the precursors – overproduction of angiogenic factor. • No gene defect-not heredity • Sporadic, non familial.
  • 110.
    • Facial cutaneouscapillary venous angiomas at birth : port-wine nevi present at birth. • Unilateral distribution – over the skin - trigeminal nerve. •Intracranial calcifications. • Ocular involvement – Glaucoma, exophthalmos, angioma of choroid. • Neurologic manifestations : convulsive disorders & hemiplegia with or without mental retardation due to leptomeningeal angiomas and calcifications. • Oral manifestations – Gingiva & buccal mucosa- angiomatous lesions. CLINICAL FEATURES
  • 111.
  • 113.
  • 114.
  • 115.
    LYMPHANGIOMA  Benign, hamartomatoushyperplasia of lymphatic vessels.  Doubtful that they are true neoplasms. Marked predilection for head and neck region.  A dev malformation of vessels that do not communicate normally with rest of the lymphatic system. Typically superficial  LYMPHANGIOMATOSIS, seen in infancy and childhood.
  • 116.
    Classification suggested byWatson and Mc Carthy 1. Lymphangioma simplex ( capillary lymphangioma ), which consists of small thin walled lymphatics(capillary sized) 2. Cavernous lymphangioma, which is composed of larger, dilated lymphatic vessels. 3. Cellular or hypertrophic 4. Diffuse systemic 5. Cystic lymphangioma or hygroma which exhibits large, macroscopic cystic spaces. 6. Benign lymphangioendothelioma(acquired progressive lymphangio Lymphatic channels appear dissecting through dense collagen bundle
  • 117.
    Clinical features :- Marked predilection for head and neck ( 75 % of cases )  50 % of the lesions are noticed at birth, and around 90 % develop by 2 years at age.  Common head and neck region- lateral neck – large cystic spaces – cystic hygroma.
  • 118.
    • Cervical lymphangiomasare common in posterior triangle of the neck and are soft, fluctuant masses. • Very rarely central lymphangiomas of tibia.
  • 119.
    Oral lymphangioma:  Mostcommonly on the anterior dorsal 2/3rd of the tongue.  Macroglossia.  Less common on Palate, buccal mucosa , gingiva and lips.
  • 120.
     Lesion issuperficial and demonstrates a “ pebbly” surface – cluster of translucent vesicles. Slightly red color. Papillary surface  Surface gives the appearance of “ frog eggs”or tapioca pudding. Secondary hemorrhage into lymphatic spaces may give some vesicles a purple color. Deep lesions – diffuse nodules or ill-defined masses without change in surface texture or color.  Male : female - 2:1
  • 121.
    • Irregular nodularityof surface of tongue with gray and pink projections. • Unusual form – lymphangioma of the alveolar ridge in neonates – 1cm - small blue-domed fluid-filled lesions- bilaterally on the mandibular ridge.
  • 122.
    Histological features:  Composedof multiple intertwining lymph vessels showing marked dilatation in a loose fibrovascular stroma.  Cavernous most common-Lined by Single thin layer of endothelial cel with flattened or plump nuclei , contain lymph/proteinaceous fluid and occasional lymphocytes.  Lymphatic vessels may show macroscopic cyst like structures ( cystic hygroma )
  • 123.
     In intraoraltumors, these lymphatic vessels are present just beneath the epithelium and tend to fill or replace the connective tissue papillae – papillary surface change. Hemangiolymphangioma-channels filled with blood. Lymphangiomyoma-proliferation of smooth muscle cells.
  • 124.
     Lymphangioma simplexor Capillary lymphangioma or lymphangioma circumscriptum : small thin-walled lymphatics.  Cavernous lymphangioma: dilated vessels with surrounding adventitia. • Cystic lymphangioma or Cystic hygroma – huge macroscopic lymphatic spaces with surrounding vascular tissues and smooth muscle. • Benign lymphangioendothelioma (acquired progressive) - lymphatic channels appear to be dissecting through dense collagen bundles.
  • 125.
    Treatment – Surgical excision– radioresistant and insensitive to sclerosing agents. Recurrence is common for cavernous type.
  • 128.
    Myxoma • Heterogenous groupof soft tissue tumors containing abundant myxoid ground substance predominantly, hyaluronic acid, a mucopolysaccharide.
  • 129.
    Chondroma • Benign centraltumor composed of mature cartilage. • Uncommon in bones of maxilla and mandible.
  • 130.
    Benign bone tumors •Benign Chondroblastoma( Codman Tumor) • Osteoma • Osteoid osteoma • Benign Osteoblastoma
  • 131.
    Codman Tumor • Benignchondroblastoma/Epiphyseal Chondromatous giant cell tumor • Benign primary central bone tumor • Involves long bones of upper and lower limbs. • Rarely involve cranial bones • Occurs in young persons between 5 and 25yrs of age • Males • RARELY Involves mandibular condyle and ant maxilla
  • 132.
    Histology • Composed ofuniform, closely packed, polyhedral cells with occasional foci of chondroid matrix. • Scattering of multinucleated giant cells • Areas of haemorrhage, necrosis, calcification of chondroid material • Formation of bone and osteoid
  • 133.
    Xanthoma cells • Seenin Verruciform xanthoma which is an uncommon lesion that occurs on oral mucosa. • Reactive lesion rather than true neoplasm. • Damage to squamous cells with increased epithelial cell turnover - deposition of epithelial cell debris • Lesion has a verruciform appearance, but it may be polypoid, papillomatous or sessile. • Xanthoma cells- (LDL)lipid-laden foamy histiocytes present in connective tissue papillae in the lesion. • They are PAS-positive and diastase resistant.
  • 134.
    Torus palatinus • Slowgrowing, flat-based bony protuberence or excrescences or outgrowths in the midline of hard pala • Hereditary condition- mendelian dominant. C/F: • Women > Men • Peak incidence < 30 yrs • < 2 cm, increase in size • No symptoms, overlying mucosa ulcerated due to traum • Racial Asian and Eskimos • Prevalence during early adult life tapering off in later ye
  • 135.
    • Classified clinicallyas (variety of shapes) • Flat torus – Broad base & slightly convex, smooth surface. • Spindle shaped- midline ridge along palatal raphae. • Nodular torus – arises as multiple protuberences each with individual base, coalesce to form grooves between them. • Lobular torus – lobulated mass that arises from single base.
  • 137.
    •Torus composed ofeither dense compact bone or shell of compact bone with a centre of cancellous bone.  Visible on intraoral palatal radiograph.  Benign – never becomes malignant.
  • 138.
    Torus mandibularis • Commonexostosis(new bone) on the lingual surface of the mandible.  Bony protuberence along the lingual aspect of the mandible above the mylohyoid line in the region of premolars. • Single lobe or multiple lobules paralleling the teeth. • Unilateral or bilateral (90%) • Early adult life. • Visible on periapical radiographs. •Asians and eskimos,mongoloid groups. •Male predilection.
  • 140.
    Multiple Exostoses Less commonoutgrowth of bone or cartilage. Buccal surface of maxilla above the teeth and below the mucobuccal fold.
  • 141.
  • 142.
    BENIGN MALIGNANT -Leiomyoma(smooth muscle) Leiomyosarcoma -Rhabdomyoma(skeletal muscle) Rhabdomyosarcoma -Granular cell myoblastoma Granularcell tumor -Congenital epulis of the newborn Malignant granular cell myoblastoma Alveolar soft-part sarcoma
  • 143.
    Rhabdomyoma • Introduced byZenker in 1864. • Hamartoma – granular cells. • PEDIATRIC TUMOR. • Def - Benign neoplasm of striated muscle tissue, consisting of polygonal, usually vacuolated glycogen- containing neoplastic cells with a fine granular deeply acidophilic or eosinophilic cytoplasm resembling myofibril in cut section.
  • 144.
    • Cardiac rhabdomyoma, associated with hamartoma complex- sebaceous adenomas,tuberculous sclerosis, hamartomas of kidney. • Extracardiac – head and neck region • Rare in maxillofacial region. • Adult , fetal, and genital histological subtypes. • Etiology – chromosomal translocations.
  • 145.
    Clinical features • Adultform : 16 to 82 yrs - male • Head and neck sites : pharynx , larynx. • Oral cavity - floor of the mouth, soft palate, base of tongue. • Fetal form - newborns and young children - male. • Most common site in children is post or pre-auricular region, face, nasopharynx, rarely in mouth. • Nodule or submucosal nodule – multinodular(two or more discrete nodules close together)tumors – rarely multicentric(separate tumors at different anatomic sites).
  • 146.
    Histology • Composed ofwell – circumscribed lobules of tumor cells. • Tumor cells - Large round cells – abundant granular eosinophilic vacuolated cytoplasm – irregular cross- striations. • Cells exhibit peripheral vacuolization that results in a spider web appearance of cytoplasm. • Cytoplasm rich in glycoprotein and glycogen- PAS stain • Fibrous stroma is present. • Low mitotic activity. • Degeneration vacuoles or clear spaces between the tumor cells.
  • 147.
    • Fetal rhabdomyoma-less mature, somewhat pleomorphic, polygonal muscle cells admixed with spindle-shaped cells within myxoid stroma. • More cellularity than adult type • Mitotic activity is minimal • Cross-striations and crystalline structures – PTAH stain, oil red O staining reveals intracellular lipid. • Lesional cells immunoreactive for desmin, vimentin, myoglobin.
  • 148.
    Adult rhabdomyoma -Uniform tumor composed of rounded and polygonal cells with focal vacuolization. Transverse section of skeletal muscle Longitudinal section of skeletal muscle
  • 149.
    Granular cell myoblastoma Granularcell tumor, Abrikossoff Tumour • DISPUTED ORIGIN - true neoplasm, dev anamoly, trauma-induced proliferation. • Striated Muscle origin- abandoned, so the name myoblastoma. • Histiocytes, fibroblasts or pericytes. • Basic cell of origin - Neural (granular cell schwannoma). • Widely distributed throughout the body. • Common in the oral cavity. • Head and neck site is Larynx
  • 150.
    Clinical features • Anyage, rare in children. • 30 -60 yrs. • Common in women • Oral cavity and skin. • Oral cavity – more than 50%,no gender predilection • Common on Lingual dorsum – solitary, sessile, painless, firm, immovable nodule - smooth surface • Lesions often demonstrate pallor or yellowish discoloration. • Minimal effect on swallowing, speech and breathing. • Soft palate , uvula, labial mucosa, floor, gingiva,
  • 151.
    Histology • Granular cells: Large polygonal , oval or bipolar cell (two extensions) of about 20-40μ in diameter with abundant fine or coarsely granular eosinophilic cytoplasm, small pale staining or vesicular nuclei eccentrically located in the cell. • Cell membrane or border is moderately distinct. • Cells are arranged in sheets, cords and nests. • Granular cells often occur in ribbons separated by fibrous septa giving the appearance of invading into underlying tissues, especially muscle. • Older lesions – dense fibrotic background. • Ultrastructural studies - cytoplasmic granules-autophagic vacuoles with cellular debris, mitochondria, ER and myelin.
  • 152.
    • Acanthosis orPseudoepitheliomatous or pseudocarcinomatous hyperplasia of surface epithelium - 50% of cases, a benign marked increase and downgrowth of epidermal cells, observed in chronic inflammatory dermatoses and over some dermal neoplasms and nevi; microscopically, it resembles well-differentiated squamous cell carcinoma • Reactive lesion.
  • 153.
    • Surface ofthe lesion – covered by a layer of pseudoepitheliomatous hyperplasia. • Granular cells are positive for S100 • Granules are PAS positive, diastase resistant • Recurrences are rare
  • 155.
    Congenital epulis ofnew born • Congenital granular cell lesion. • Hamartoma • Rare lesion • Neuman’s tumor. • At birth, common in females • Occurs as a single tumor. • Alveolar ridges of new born. • Protuberant mass on the maxilla.
  • 156.
    • Malformations ofdental blastema(undifferentiated embryonic tissue) - type of embryonal hamartoma. • Presence of numerous epithelial rests.
  • 157.
    Clinical features • Atbirth. • Maxillary(common) or mandibular gingiva. • Pedunculated lesion found in the lateral incisor canine region-crest of the alveolar ridge. • Pink to red smooth surfaced polypoid mass. • 2cm or less in size. • Rarely on tongue
  • 159.
    Histology • Similar togranular cell tumor • Pseudoepitheliomatous hyperplasia doesnot occur. • Sheets of large closely packed large round cells showing fine granular eosinophilic cytoplasm. • Lightly basophilic nucleus. • No mitosis or cross-striations. • Numerous capillaries. • Atrophy of the epithelium.
  • 161.
    BENIGN TUMORS OFNERVE TISSUE ORIGIN
  • 162.
    • TRAUMATIC NEUROMA •NEUROFIBROMA • NEUROFIBROMATOSIS • SCHWANNOMA
  • 163.
    TRAUMATIC NEUROMA or AMPUTATION NEUROMA •Not a true neoplasm. • Reactive proliferation of neural tissue after transection or damage of a nerve bundle. • Exuberant attempt at repair of a damaged nerve trunk. • Hyperplasia of nerve fibres and their supporting tissues. • Follows accidental or purposeful sectioning of a nerve, incidental to difficult extraction. • Laceration of lip or tongue deeply.
  • 164.
    Pathogenesis • Degeneration ofdistal portion of the nerve after severance of nerve fibres : swelling, fragmentation, disintegration of axons and myelin sheaths. Macrophages remove the tissue debris. Shrinkage of neurilemmal sheaths until distal fibres consist of strands of connective tissue and neurilemma. • Repair of a damaged nerve – proliferation of axons, cells of neurilemmal sheaths and endoneurium. Regeneration is facilitated by persistence of the neurolemmal tubes by multiplication of Schwann cells. • Reinnervation (restoration) usually occurs, unless the proliferating proximal end meets some obstruction such as scar, malaligned bone in which case the nerve continues to proliferate into bulbous mass of nerve fibres and Schwann cells – TRAUMATIC
  • 165.
    Clinical features • Oraltraumatic neuroma : Small smooth surfaced nodule or swelling of the mucosa, near the mental foramen, on the alveolar ridge in edentulous areas or on the lower lip or tongue. • Central within the bone also occurs. • Common in young and middle aged women • Slow growing lesion. • Digital pressure causes pain, along the course of nerve. • Traumatic neuromas of greater auricular nerve in 5% to 10% of pts – pleomorphic adenoma
  • 166.
    • Altered nervesensations • Reflex neuralgia with distant pain • Palisaded, encapsulated neuroma - A benign solitary neoplasm (primary hyperplasia of nerve fibres, axons and sheath cells). • Cutaneous tumor • Fifth to seventh decades of life • Facial region - upper eyelid, nose, cheeks, lips, chin.
  • 167.
    Histology • An irregularand interlacing proliferation of neurofibrils and Schwann cells within a fibrous connective tissue stroma. • Densely collagenous stroma or myxomatous. • Much of the CT, derived from perineurium. • Proliferating nerve fibres : small discrete bundles or spread diffusely throughout the tissue. • Hyperplasia of nerve fibres in a dense fibrous stroma. • Mild chronic inflammatory infiltrate.
  • 169.
    NEUROFIBROMA • Most commonbenign tumor of peripheral nerve tissue origin, derived from cells of nerve sheath. • Superficial Solitary lesion. • Fibroma molluscum • Spindle – cell lesion. • Origin : Mixture of cell types - Schwann cells and perineural fibroblasts. • Based on the growth pattern : localized, diffuse, plexiform.
  • 170.
    Clinical and radiographicfeatures • Young adults. No gender predilection. • Slow-growing, soft,painless lesions. • Tan(pale brown)-white colored, fusiform in shape when arising from a nerve. • Small nodules or large masses. • Occur anywhere in the body • Superficially in the dermis and subcutis. • Frequently occur on the skin. • Oral cavity : common on tongue, buccal mucosa, gingiva , hardpalate.
  • 171.
    • Fibroma molluscum:large pendulous tumors occurring on the skin. Malignant transformations are encountered in deep seated lesions. • Rarely Centrally within the bone : a well-demarcated or poorly defined unilocular or multilocular radiolucency.
  • 172.
    Intraosseous tumor fillingthe right mandibular ramus
  • 173.
    Histology • Well-circumscribed :proliferation occurs within the perineurium of the involved area. • Non- encapsulated • Proliferate outside the perineurium-not well- demarcated and tend to blend with the adjacent connective tissue. • Composed of interlacing bundles or fascicles or whorls of wavy elongated cells(THIN SPINDLE CELLS) with dark staining nuclei in a collagenous stroma intermingled with neurites. • Wire-like strands or shredded carrot like appearance that are separated from the cells by mucoid material.
  • 175.
    • These cellsare associated with delicate collagen bundles and variable amounts of myxoid matrix. • Cellular pattern and myxoid pattern. • Mostly less cellular. • Mast cells are numerous- a diagnostic feature. • Sparsely distributed small axons – using silver stains. • S-100 • Rare recurrence, rare malignant transformation.
  • 176.
    Diffuse neurofibroma • Uncommon •Mostly associated with neurofibromatosis. • Children and young adults • Head and neck region • Skin lesions- elevated plaque-like lesions.
  • 177.
    Histologic features • Tendencyto spread through the connective tissue septa and between fat cells enveloping the normal structures • Uniform matrix made up of fibrillary collagen. • The Schwann cells are fusiform or round shaped, elongated.
  • 178.
    Plexiform neurofibroma • Earlychildhood • Extremities : lesions are enlarged - elephantiasis neurofibromatosis. • Skin : loose, redundant and hyperpigmented. • The underlying bone is hypertrophied with increased vascular supply. • Bag of worms • Highly cellular and reveal nuclear atypia.
  • 179.
    Pigmented neurofibroma • Pigmentedcells containing melanin are present in 1% of neurofibromas. • Mostly associated with NF1 and diffuse form. • Occasionally with plexiform. • Dendritic or epithelioid shaped pigmented cells throughout , cluster formation in superficial portion of lesion. • Positive for S100.
  • 180.
    NEUROFIBROMATOSIS TYPE 1(NF1) or VONRECKLINGHAUSEN’S DISEASE OF THE SKIN • Multiple neurofibromas • Disseminated form • Eight forms have been recognized, type 1 is most common. • NF1 is peripheral form of the disease. • Relatively common hereditary condition. • 1 in every 3000 births. • Autosomal dominant trait • Variety of mutations of the NF1 gene located on 17q-tumor suppressor protein product -
  • 181.
    • NF2 aredeep seated lesions, referred to as central form • Bilateral vestibular Schwannoma • Schwannomin
  • 182.
    Clinical and radiographicfeatures  Multiple neurofibromas can occur anywhere in the body but are most common on the skin.  Wide variability in the expression of the disease  Some pts have few neurofibromas, others have hundreds or thous  Two-thirds of patients have relatively mild disease.
  • 183.
     Clinical presentation: It can vary from small papules(solid raised lesion) to larger soft nodules to massive baggy, pendulous masses ( elephantiasis neuromatosa) on the skin.  The plexiform variant feels like a “ bag of worms”.
  • 184.
     The tumorsmay be present at birth, but they often begin to appear during puberty and may continue to develop slowly throughout adulthood. Accelerated growth in pregnancy.  “ Café au lait” [ coffee with milk ] pigmentation on the skin. SPOTS ARE Smooth-edged, yellow-tan to dark-brown macules (1to2mm or several cm). Mostly present at birth or dev in first year of life. Café au lait pigmentation on the arm
  • 185.
     “ Axillaryfreckling” [ Crowe’s Sign ] is also seen. Freckle: flat , small , light brown spots.  “ Lisch nodules” translucent, brown pigmented spots on the iris are found in nearly all affected individuals. - HYPERTENSION IS A COMMON PROBLEM. - Pheochromocytomas(tumor of adrenal glands)  Other possible abnormalities are C. N. S. tumors, macrocephaly mental deficiency, seizures, short stature and scoliosis.
  • 186.
     Oral lesions– Seen nearly in 72 to 92% of the cases. Macroglossia - Enlargement of the fungiform papillae. R/G : Enlargement of the mandibular foramen, MANDIBULAR CANAL, increased bone density, concavity of medial surface of ramus, increase in dimension of coronoid notch. Unilateral enlargement of tongue
  • 187.
    • Several ptswith NF1 have been associated with Noonan syndrome or central giant cell granuloma of jaw.
  • 188.
    Diagnostic criteria • Sixor more café-au-lait macules more than 5mm in diameter in prepubertal persons and more than 15mm in post pubertal persons. • Two or more neurofibromas of any type or one plexiform neurofibroma. • Freckling in the axillary(armpit) or inguinal region • Optic glioma. • Two or more Lisch nodules(iris hamartoma) • Osseus lesion – sphenoid dysplasia or thinning of long bone cortex with or without pseudoarthrosis(FIBROUS UNION) • A first degree relative(parent,sibling) with NF1.
  • 189.
    Treatment :  Nospecific therapy,  Dev of neurofibrosarcoma  Lifespan is 15yrs less than normal population. Dev of Malignant peripheral nerve sheath tumor(neurofibrosarcoma, malignant schwannoma) in pt with NF1: Cellular spindle cell proliferation with numerous mitotic figures
  • 190.
    NEURILEMMOMA (SCHWANNOMA,NEURINOMA,LEMMOMA) • Benign neuralneoplasm derived from Schwann cells. • Uncommon • Neurites are not a component of this tumor, may be found on the surface. • 25% to 48% occur in head and neck region. • Bilateral neurilemomas occur in NF2
  • 191.
    Clinical features : The solitary neurilemoma is a slow growing , encapsulated tumor that typically arises in association with a nerve trunk.  As it grows, it pushes the nerve aside  Painless unless pressure on nerves.  Any age, slightly more in females  Single circumscribed nodule.  Few mm to several cm in size.
  • 192.
    Oral lesions • 1% •Tongue • Anywhere in the mouth • Single circumscribed nodule • Centrally within the bone-post mandible • Pain and paresthesia • Unilocular or multilocular radiolucencies
  • 193.
    Histology • CAPSULE composedof epineurium and residual nerve fibres. • Spindle or elongated cells • Two microscopic patterns in varying amounts. • COMPOSED OF TWO TYPES OF TISSUE • Antoni type A and Antoni type B.
  • 194.
    ANTONI A –Cellular pattern, WELL ORGANIZED  Characterized by streaming fascicles of spindle shaped Schwann cells, with elongated or spindle-shaped nuclei.  These cells often form a palisaded arrangement around central acellular, eosinophilic areas or zones known as “ verocay bodies”.  CONSIST OF REDUPLICATED BASEMENT MEMBRANE AND CYTOPLASMIC PROCESS(hyaline structures).
  • 195.
    • Intercellular fibresare arranged in parallel fashion between rows of nuclei.
  • 197.
    Antoni B:  AntoniB tissue is less cellular and less organized  The spindle cells are randomly arranged within a loose myxomatous stroma.  Areas of edema fluid and microcyst formation.  Neurites cannot be demonstrated within the tumor mass.  Tumor cells positive for S-100
  • 198.
     Degenerative changescan be seen in some older tumors ( ancient neurilemomas )  These changes consist of hemorrhage, hemosiderin deposits, inflammation , fibrosis and nuclear atypia. However these tumors are still benign. Treatment  Surgical excision RARE MALIGNANT TRANSFORMATION. Recurrence is rare