Embed presentation
Download as PDF, PPTX



























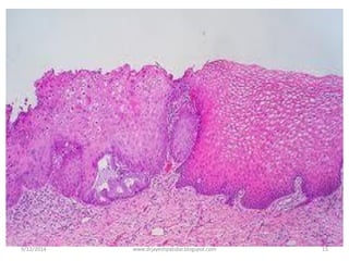
This document discusses colposcopy, which is a medical examination of the cervix and vagina. It describes the colposcopy procedure, which uses a colposcope to magnify and illuminate the vaginal walls and cervix. The colposcope allows the doctor to closely examine the cervix for any abnormalities. The document also mentions that colposcopy is usually performed after an abnormal Pap smear to further evaluate any suspicious lesions found on the cervix.

























