Most common non-cutaneous
malignancy in men in North America
2nd most common cause of cancer-
related deaths in men
1 in 7 men will be diagnosed WITH PR_ CA
Lifetime risk of being diagnosed with
prostate cancer is 18/100 but risk of
dying of prostate cancer is only 3/100
Risk factors
Established
Advancing age
Presence of androgens
Family history 1st d.relative
African ancestry
RISK FACTORS
Potential
High dietary fat
Obesity
Inherited mutations (BRCA1 or
BRCA2 genes)
Vitamin D or E deficiency
Selenium deficiency?
Early stages usually asymptomatic
Most cases detected by serum PSA
screening
Palpable nodule or firmness on DRE
Advanced stages
Urinary retention/renal failure
Bone pain
Anemia
Weight loss, fatigue
Spinal cord compression
Screening for Prostate Cancer
US Preventive Services Task Force
Recommendation Statement
JAMA. 2018;319(18):1901-1913.
doi:10.1001/jama.2018.3710
Screening for prostate cancer
– USPSTF
• Adequate evidence from randomized clinical trials shows
that PSA-based screening programs in men aged 55 to 69
years may prevent approximately 1.3 deaths from prostate
cancer over approximately 13 years per 1000 men
screened.
• Screening programs may also prevent approximately 3
cases of metastatic prostate cancer per 1000 men
screened.
JAMA. 2018;319(18):1901-1913.
doi:10.1001/jama.2018.3710
Screening for prostate cancer
– USPSTF
• Potential harms of screening include frequent
false-positive results and psychological harms.
• Harms of prostate cancer treatment include
erectile dysfunction, urinary incontinence, and
bowel symptoms.
• About 1 in 5 men who undergo radical
prostatectomy develop long-term urinary
incontinence, and 2 in 3 men will experience
long-term erectile dysfunction.
JAMA. 2018;319(18):1901-1913.
doi:10.1001/jama.2018.3710
Screening for prostate cancer
– USPSTF
• Adequate evidence shows that the harms of
screening in men older than 70 years are at least
moderate and greater than in younger men
because of increased risk of false-positive results,
diagnostic harms from biopsies, and harms from
treatment.
JAMA. 2018;319(18):1901-1913.
doi:10.1001/jama.2018.3710
Screening for prostate cancer
– USPSTF
• The USPSTF concludes with moderate certainty that the
net benefit of PSA-based screening for prostate cancer in
men aged 55 to 69 years is small for some men.
• How each man weighs specific benefits and harms will
determine whether the overall net benefit is small.
• The USPSTF concludes with moderate certainty that the
potential benefits of PSA-based screening for prostate
cancer in men 70 years and older do not outweigh the
expected harms.
JAMA. 2018;319(18):1901-1913.
doi:10.1001/jama.2018.3710
Cribado: cáncer de próstata
Ministerio de Salud de Colombia
Si se realiza tamización de oportunidad debe hacerse con
antígeno específico de próstata y tacto rectal en una frecuencia
no inferior a 5 años y previa explicación de los potenciales
riesgos y beneficios para el paciente, promoviendo una toma de
decisiones concertada.
En los pacientes en quienes se registre un primer nivel de
antígeno prostático alterado acorde con la edad, en presencia de
tacto rectal normal, se recomienda la repetición de la prueba en
el curso de los siguientes seis meses.”
Fusión TMPRSS2-ERG
• En hasta 80% de los cánceres de próstata
• ERG es un factor de transcripción
– Proliferación
– Fenotipo resistente a la castración
• TMPRSS2 es un gen que responde al AR
– Es una serina proteasa
• Es una diana molecular potencial
– El silenciamiento ERG con RNAi disminuye
proliferación
Prostate cáncer diagnosis
Indications for transrectal ultrasound (TRUS)
guided biopsy
Palpable nodule on DRE
Elevated serum PSA
Biopsy involves 10-18 needle cores taken mostly
from the peripheral zone of the prostate
Transrectal ultrasound alone/CT scan/MRI not
sensitive enough to make the Diagnosis
Enfoque diagnóstico – Cáncer de Próstata
Enfoque
diagnóstico –
cáncer de
próstata
Síntomas
urinarios o
PSA anormal
Evaluación
rectal digital
(DRE) / PSA
(si falta)
DRE: Normal
PSA: Normal
PSA de 2, o
menos
PSA de 2+
Velocidad PSA
0.75+/año
TRUB
Repetir 1-3
años
DRE: Anormal
o
PSA: Anormal
TRUB
PSA 10, o menos
+ PSA libre 15%
o menos
Repetir en 6
meses
TRUB: Biopsia transrectal eco-dirigida
PSA: Antígeno específico de próstata
No
Si
No
PSA 10+
- histology:
- Gleason scores
Prostate cáncer pathology
Adenocarcinoma
Gleason “grade” is from 1-5
based on glandular
architecture
Gleason score is the total
primary grade (1-5) +
secondary grade (1-5) = 2-10
 4-6/10=well-differentiated
 7/10=moderately differentiated
 >8/10=poorly differentiated
Gleason 6
www.cancernetwork.com - Cesar A Moran, 07.02.2014
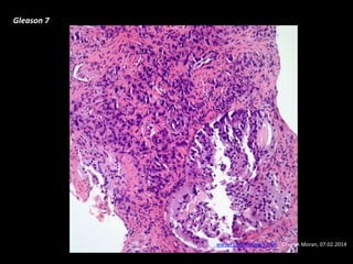
Gleason 7
www.cancernetwork.com - Cesar A Moran, 07.02.2014
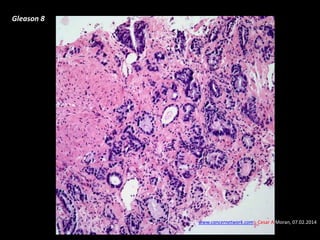
Gleason 8
www.cancernetwork.com - Cesar A Moran, 07.02.2014
Gleason 9
www.cancernetwork.com - Cesar A Moran, 07.02.2014
PATHOLOGY GROUPINGS IN PROSTATE
CANCER
• GROUP 1
– Gleason score 3+3, or less.
• GROUP 2
– Gleason score 3+4
• GROUP 3
– Gleason score 4+3
• GROUP 4
– Gleason total score 8
• GROUP 5
– Gleason total score 9 or 10
Prostate cáncer staging
Can spread to adjacent organs (seminal
vesicles, bladder), lymph nodes, bone
Most bone mets are osteoblastic
Prior to initiating treatment consider
Bone scan (PSA>10, Gleason Score >7)
CT scan pelvis/abdomen (PSA >10, Gleason
Score >7))
These tests are typically not required in
asymptomatic men with low risk prostate
cancer
Maniobras de estadificación
• Consideraciones
– Tumores MUY tempranos pueden no necesitar estudios
adicionales para metástasis a distancia
• T1c/T2a; PSA de 10, o menos; Gleason 6, o menos.
• RM de próstata con antena rectal – para planeación terapia
– Tumores MUY avanzados pueden ser investigados con:
• Gammagrafía ósea / TAC de tórax, abdomen y pelvis
– Tumores POTENCIALMENTE avanzados pueden beneficiarse de:
• RM corporal total
• El PET-CT es ineficaz en cáncer de próstata
– Tumores candidatos a terapia local (Prostatectomía /
Braquiterapia) o candidatos a Radioterapia
• RM Multiparamétrica de próstata con antena rectal
Práctica usual
• Gammagrafía ósea
• TAC de tórax contrastado
• RM de pelvis / Próstata con antena rectal
• PSA
Carcinoma de Próstata
TNM
• T1 - Tumor primario no aparente clínicamente ni visible por imágenes.
T1a - Hallazgo incidental que compromete <= 5% del tejido resecado.
T1b - Hallazgo incidental que compromete > 5% del tejido resecado.
T1c - Diagnóstico obtenido por biopsia ciega inducida por un PSA
elevado.
• T2 - Tumor confinado a la próstata.
T2a - Compromete la mitad o menos de un lóbulo.
T2b - Compremete más de la mitad de un lóbulo.
T2c – Compromiso de ambos lóbulos prostáticos
• T3 - Tumor que se extiende más allá de la cápsula prostática.
T3a - Extensión extracapsular.
T3b - Invade la vesícula seminal.
• T4 - Fijado a otras estructuras distinto a las vesículas seminales.
• N1 - Ganglios linfáticos comprometidos.
• M1 - Metástasis a distancia.
M1a - Ganglios linfáticos no regionales.
M1b – Huesos.
M1c - Otros sitios.
Grado T1a T1b T1c T2a T2b T2c T3a T3b T4 N1 M1 PSA
1 I I I I IIa IIa IIIb IIIb IIIb IVa IVb <10
1 IIa IIa IIa IIa IIa IIa IIIb IIIb IIIb IVa IVb 10-20
2 IIb IIb IIb IIb IIb IIb IIIb IIIb IIIb IVa IVb <20
3 IIc IIc IIc IIc IIc IIc IIIb IIIb IIIb IVa IVb <20
4 IIc IIc IIc IIc IIc IIc IIIb IIIb IIIb IVa IVb <20
1-4 IIIa IIIa IIIa IIIa IIIa IIIa IIIb IIIb IIIb IVa IVb ≥20
1-4 IIIb IIIb IIIb IVa IVb Any
5 IIIc IIIc IIIc IIIc IIIc IIIc IIIc IIIc IIIc IVa IVb Any
Any Any Any Any Any Any Any Any Any Any IVa IVb Any
Prostate cancer staging system
Very low risk (must fulfill all)
T1c
Grade Group 1
PSA less than 10
Less than 4 core+, with less
than 50 per-cent cancer in
each
Psa density less than 0.15
low risk (must fulfill all)
T1-T2a
Grade Group 1
PSA less than 10
Favorable intermediate
T2b-T2c or
Grade Group 2 or
PSA 10-20 and
positive biopsy cores less 50
per-cent
unfavorable intermediate
T2b-T2c or
Grade Group 2 or group 3 or
PSA 10-20
high
T3a or
Grade Group 4 or group 5 or
PSA greater than 20
VERY high
T3b-t4 or
Grade group 5 or
More than 4 cores with grade
group 4 or 5
Prostate cáncer treatment
Considerations
Patient’s age
Co-morbid health conditions
Tumor stage
Tumor grade (Gleason score)
Often a patient choice
Surgery and
Early stage Prostate cáncer
treatment
Early stage Cancer
1. Radical Prostatectomy
2. External Beam Radiotherapy
3. Radioactive Seeds (Brachytherapy)
4. Active Surveillance
5. Observation – Watchful Waiting
Early stage Prostate cáncer
treatment: radical prostatectomy
Radical Prostatectomy
Complete surgical removal of entire prostate,
seminal vesicles
Considered a good treatment for men <70
years of age with clinically organ confined
cancer who are healthy
Open or laparoscopic/robotic approaches
Early stage Prostate cáncer
treatment: radical prostatectomy
radical prostatectomy:
complications
<10% risk of blood transfusion
Wound infection
Rectal injury (<1%)
Urinary incontinence (~10%)
Erectile dysfunction (variable but common)
Anesthetic related
Prosate cancer treatment:
radiotherapy
Radiotherapy Options
External Beam
Brachytherapy (seed implant)
Concept of maximizing dose to the tumor and
minimizing collateral damage
Curative options for patients at high risk for
morbidity from radical prostatectomy
Age, medical co-morbidities
Patient preference
Prosate cancer treatment:
radiotherapy
Radiotherapy: complications
External Beam Radiation Therapy
Hematuria
Radiation proctitis
Loose, bloody stools
Urinary retention
Strictures (urethra and ureter)
Erectile dysfunction
Secondary malignancies
Bladder, rectal, hematological
Proctitis Actínica
Prostate cancer therapy:
brachytherapy
Brachytherapy: complications
Urethral strictures
Seed migration
Urinary retention
Erectile dysfunction
Irritative voiding symptoms
Active surveillance
Observing low grade tumors in men <70 yrs and >10 yr
life expectancy
Delay definitive treatment until it is necessary and
cancer is still curable
Goal is to delay potential treatment-related morbidity
Monitor DRE, PSA, and periodic repeat biopsy
Ideal candidate:
 PSA < 10
 Normal DRE
 Gleason <7 (low grade)
 Only 1-3 / 12 biopsy cores positive
Watchful waiting
Observing low grade tumors in men
>70 yrs or <10 yrs life expectancy
Institute hormonal therapy when
patient becomes symptomatic
No curative intent
Todos:
T1c (detectado por PSA)
Grupo 1 (Gleason 3 + 3)
PSA<10
<3 cores positivos
≤50% de tumor por core
Densidad de PSA <0.15
Vigilancia activa
Todos:
T1-T2a (Compromiso <50% de un lóbulo)
Grupo 1 (Gleason 3 + 3)
PSA<10
Vigilancia activa
Cualquiera:
T2b-T2c (>50% de un lado o bilateral)
Grupo 2 (Gleason 3 + 4), 3 (Glason 4 + 3)
PSA 10-20
Tratamiento
Ultrabajo
Bajo
Intermedio
CaPróstata
Cualquiera
T2b-T2c (>50% de un lado o bilateral)
Grupo 2 (Gleason 3 + 4), 3 (Glason 4 + 3)
PSA 10-20
Favorable
Intermedio
CaPróstata
1 solo core afectado
y grupo 1 o 2, y <50%
de tejido afectado
Desfavorable
>1 core afectado, o
grupo 3, o >50% de
tejido afectado
Radioterapia Radioterapia + bloqueo
androgénico corto
Alguno
T3a
Grupo 4 o 5 (Gleason 8-10)
PSA>20
RT + ADT
Alguno:
T3b-T4
Gleason primario 5
>4 cores con Grupo 4 o 5
RT + ADT
Alto
Ultra-alto
CaPróstata
Alguno:
T3b-T4
Gleason primario 5
>4 cores con Grupo 4 o 5
Ultra-alto
CaPróstata
Radioterapia +
bloqueo androgénico
largo (1.5-3 años)
Treatment options by risk
1/2
Risk Group
Very-low risk
Active surveillance
External-Beam Radiotherapy
Radical prostatectomy +/- RPLND
Observation
Low risk
Active surveillance
External-Beam Radiotherapy
Radical prostatectomy +/- RPLND
Observation
Favorable intermediate
Active surveillance
External-Beam Radiotherapy
Radical prostatectomy +/- RPLND
Observation
RPLND: Retroperitoneal Lymph-Node Dissection
Treatment options by risk
2/2
Risk Group
Unfavorable intermediate risk
External-Beam Radiotherapy + ADT (4 mo)
Radical prostatectomy +/- RPLND
Observation
High risk
External-Beam Radiotherapy + ADT (18 mo)
Radical prostatectomy + RPLND
Very High risk
External-Beam Radiotherapy + ADT (18 mo)
Radical prostatectomy +/- RPLND
RPLND: Retroperitoneal Lymph-Node Dissection
Position statement: Non metastastic prostate cancer
Mauricio Lema - 2014
Watchful waiting and Active
Surveillance are NOT without
side-effects. Recommendations
need to be INDIVIDUALIZED
RP or RT or Active Surveillance (AS) or Watchful Waiting
(WW), or Brachytherapy (BT)*
Localized Low-Risk
T1c-T2a
PSA 10, or less
Gleason 6, o less
AS: Prostate US/PSA q3 Mo; Biopsy if
indicated. Treatment if progression.
WW: PSA q6 Mo, treatment if indicated
65 yo, or less: RT, RP or AS
Adverse features
PSA velocity 2+/year
50%+ positive findings in biopsy
Perineural invasion
Adverse features: active
treatment (RT, RP or BT)
*BT if feasible
Low risk
Small tumors
Adequate anatomy
Position statement: Non metastastic prostate cancer
Mauricio Lema - 2014
Radiation (RT) + LH-RH/Antiandrogen x6-24 Mo+ Mo
Locally-Advanced
(T3/T4)
Localized High-
Risk
T2c
PSA 20+
Gleason 8+
RT + LH-RH/Antiandrogen x4 Mo or RP
Localized
Intermediate-Risk
T2b
PSA 10-20
Gleason 7
Antiandrogen for at least 1 Mo
Antiandrogen for at least 1 Mo
“Would NOT use hormonal therapy in patients with known
coronary artery disease, unless benefit clearly outweigh risk”
RT + LH-RH/Antiandrogen x6-24 Mo or Radical
prostatectomy (RP)
Antiandrogen for at least 1 Mo
RP or RT or Active Surveillance (AS) or
Watchful Waiting (WW), or Brachytherapy
Localized Low-Risk
T1c-T2a
PSA 10, or less
Gleason 6, o less
AS: Prostate US/PSA q3 Mo; Biopsy if
indicated. Treatment if progression.
WW: PSA q6 Mo, treatment if indicated
Advanced or metastatic prostate
cancer
Not curable disease
Goals shift to disease control
Development of cancer cells unresponsive
to androgen deprivation
Typically occurs slowly over time, although
it can occur rapidly
Treatment strategies for
metastatic prostate cancer
Androgen Deprivation (Hormonal Rx)
Orchidectomy
LHRH analogues
Antiandrogens
Supportive therapies
Analgesics
Steroids
Bisphosphonates/Vitamin
D/Calcium for bone health
Chemotherapy
 Taxotere, Docetaxel
Last line of treatment
CES202001_CaProstata

CES202001_CaProstata

  • 2.
    Most common non-cutaneous malignancyin men in North America 2nd most common cause of cancer- related deaths in men 1 in 7 men will be diagnosed WITH PR_ CA Lifetime risk of being diagnosed with prostate cancer is 18/100 but risk of dying of prostate cancer is only 3/100
  • 3.
    Risk factors Established Advancing age Presenceof androgens Family history 1st d.relative African ancestry
  • 4.
    RISK FACTORS Potential High dietaryfat Obesity Inherited mutations (BRCA1 or BRCA2 genes) Vitamin D or E deficiency Selenium deficiency?
  • 5.
    Early stages usuallyasymptomatic Most cases detected by serum PSA screening Palpable nodule or firmness on DRE Advanced stages Urinary retention/renal failure Bone pain Anemia Weight loss, fatigue Spinal cord compression
  • 6.
    Screening for ProstateCancer US Preventive Services Task Force Recommendation Statement JAMA. 2018;319(18):1901-1913. doi:10.1001/jama.2018.3710
  • 7.
    Screening for prostatecancer – USPSTF • Adequate evidence from randomized clinical trials shows that PSA-based screening programs in men aged 55 to 69 years may prevent approximately 1.3 deaths from prostate cancer over approximately 13 years per 1000 men screened. • Screening programs may also prevent approximately 3 cases of metastatic prostate cancer per 1000 men screened. JAMA. 2018;319(18):1901-1913. doi:10.1001/jama.2018.3710
  • 8.
    Screening for prostatecancer – USPSTF • Potential harms of screening include frequent false-positive results and psychological harms. • Harms of prostate cancer treatment include erectile dysfunction, urinary incontinence, and bowel symptoms. • About 1 in 5 men who undergo radical prostatectomy develop long-term urinary incontinence, and 2 in 3 men will experience long-term erectile dysfunction. JAMA. 2018;319(18):1901-1913. doi:10.1001/jama.2018.3710
  • 9.
    Screening for prostatecancer – USPSTF • Adequate evidence shows that the harms of screening in men older than 70 years are at least moderate and greater than in younger men because of increased risk of false-positive results, diagnostic harms from biopsies, and harms from treatment. JAMA. 2018;319(18):1901-1913. doi:10.1001/jama.2018.3710
  • 10.
    Screening for prostatecancer – USPSTF • The USPSTF concludes with moderate certainty that the net benefit of PSA-based screening for prostate cancer in men aged 55 to 69 years is small for some men. • How each man weighs specific benefits and harms will determine whether the overall net benefit is small. • The USPSTF concludes with moderate certainty that the potential benefits of PSA-based screening for prostate cancer in men 70 years and older do not outweigh the expected harms. JAMA. 2018;319(18):1901-1913. doi:10.1001/jama.2018.3710
  • 11.
    Cribado: cáncer depróstata Ministerio de Salud de Colombia Si se realiza tamización de oportunidad debe hacerse con antígeno específico de próstata y tacto rectal en una frecuencia no inferior a 5 años y previa explicación de los potenciales riesgos y beneficios para el paciente, promoviendo una toma de decisiones concertada. En los pacientes en quienes se registre un primer nivel de antígeno prostático alterado acorde con la edad, en presencia de tacto rectal normal, se recomienda la repetición de la prueba en el curso de los siguientes seis meses.”
  • 13.
    Fusión TMPRSS2-ERG • Enhasta 80% de los cánceres de próstata • ERG es un factor de transcripción – Proliferación – Fenotipo resistente a la castración • TMPRSS2 es un gen que responde al AR – Es una serina proteasa • Es una diana molecular potencial – El silenciamiento ERG con RNAi disminuye proliferación
  • 14.
    Prostate cáncer diagnosis Indicationsfor transrectal ultrasound (TRUS) guided biopsy Palpable nodule on DRE Elevated serum PSA Biopsy involves 10-18 needle cores taken mostly from the peripheral zone of the prostate Transrectal ultrasound alone/CT scan/MRI not sensitive enough to make the Diagnosis
  • 15.
    Enfoque diagnóstico –Cáncer de Próstata Enfoque diagnóstico – cáncer de próstata Síntomas urinarios o PSA anormal Evaluación rectal digital (DRE) / PSA (si falta) DRE: Normal PSA: Normal PSA de 2, o menos PSA de 2+ Velocidad PSA 0.75+/año TRUB Repetir 1-3 años DRE: Anormal o PSA: Anormal TRUB PSA 10, o menos + PSA libre 15% o menos Repetir en 6 meses TRUB: Biopsia transrectal eco-dirigida PSA: Antígeno específico de próstata No Si No PSA 10+
  • 16.
  • 17.
    Prostate cáncer pathology Adenocarcinoma Gleason“grade” is from 1-5 based on glandular architecture Gleason score is the total primary grade (1-5) + secondary grade (1-5) = 2-10  4-6/10=well-differentiated  7/10=moderately differentiated  >8/10=poorly differentiated
  • 18.
    Gleason 6 www.cancernetwork.com -Cesar A Moran, 07.02.2014
  • 19.
    Gleason 7 www.cancernetwork.com -Cesar A Moran, 07.02.2014
  • 20.
    Gleason 8 www.cancernetwork.com -Cesar A Moran, 07.02.2014
  • 21.
    Gleason 9 www.cancernetwork.com -Cesar A Moran, 07.02.2014
  • 22.
    PATHOLOGY GROUPINGS INPROSTATE CANCER • GROUP 1 – Gleason score 3+3, or less. • GROUP 2 – Gleason score 3+4 • GROUP 3 – Gleason score 4+3 • GROUP 4 – Gleason total score 8 • GROUP 5 – Gleason total score 9 or 10
  • 23.
    Prostate cáncer staging Canspread to adjacent organs (seminal vesicles, bladder), lymph nodes, bone Most bone mets are osteoblastic Prior to initiating treatment consider Bone scan (PSA>10, Gleason Score >7) CT scan pelvis/abdomen (PSA >10, Gleason Score >7)) These tests are typically not required in asymptomatic men with low risk prostate cancer
  • 24.
    Maniobras de estadificación •Consideraciones – Tumores MUY tempranos pueden no necesitar estudios adicionales para metástasis a distancia • T1c/T2a; PSA de 10, o menos; Gleason 6, o menos. • RM de próstata con antena rectal – para planeación terapia – Tumores MUY avanzados pueden ser investigados con: • Gammagrafía ósea / TAC de tórax, abdomen y pelvis – Tumores POTENCIALMENTE avanzados pueden beneficiarse de: • RM corporal total • El PET-CT es ineficaz en cáncer de próstata – Tumores candidatos a terapia local (Prostatectomía / Braquiterapia) o candidatos a Radioterapia • RM Multiparamétrica de próstata con antena rectal
  • 25.
    Práctica usual • Gammagrafíaósea • TAC de tórax contrastado • RM de pelvis / Próstata con antena rectal • PSA
  • 26.
    Carcinoma de Próstata TNM •T1 - Tumor primario no aparente clínicamente ni visible por imágenes. T1a - Hallazgo incidental que compromete <= 5% del tejido resecado. T1b - Hallazgo incidental que compromete > 5% del tejido resecado. T1c - Diagnóstico obtenido por biopsia ciega inducida por un PSA elevado. • T2 - Tumor confinado a la próstata. T2a - Compromete la mitad o menos de un lóbulo. T2b - Compremete más de la mitad de un lóbulo. T2c – Compromiso de ambos lóbulos prostáticos • T3 - Tumor que se extiende más allá de la cápsula prostática. T3a - Extensión extracapsular. T3b - Invade la vesícula seminal. • T4 - Fijado a otras estructuras distinto a las vesículas seminales. • N1 - Ganglios linfáticos comprometidos. • M1 - Metástasis a distancia. M1a - Ganglios linfáticos no regionales. M1b – Huesos. M1c - Otros sitios.
  • 27.
    Grado T1a T1bT1c T2a T2b T2c T3a T3b T4 N1 M1 PSA 1 I I I I IIa IIa IIIb IIIb IIIb IVa IVb <10 1 IIa IIa IIa IIa IIa IIa IIIb IIIb IIIb IVa IVb 10-20 2 IIb IIb IIb IIb IIb IIb IIIb IIIb IIIb IVa IVb <20 3 IIc IIc IIc IIc IIc IIc IIIb IIIb IIIb IVa IVb <20 4 IIc IIc IIc IIc IIc IIc IIIb IIIb IIIb IVa IVb <20 1-4 IIIa IIIa IIIa IIIa IIIa IIIa IIIb IIIb IIIb IVa IVb ≥20 1-4 IIIb IIIb IIIb IVa IVb Any 5 IIIc IIIc IIIc IIIc IIIc IIIc IIIc IIIc IIIc IVa IVb Any Any Any Any Any Any Any Any Any Any Any IVa IVb Any Prostate cancer staging system
  • 28.
    Very low risk(must fulfill all) T1c Grade Group 1 PSA less than 10 Less than 4 core+, with less than 50 per-cent cancer in each Psa density less than 0.15
  • 29.
    low risk (mustfulfill all) T1-T2a Grade Group 1 PSA less than 10
  • 30.
    Favorable intermediate T2b-T2c or GradeGroup 2 or PSA 10-20 and positive biopsy cores less 50 per-cent
  • 31.
    unfavorable intermediate T2b-T2c or GradeGroup 2 or group 3 or PSA 10-20
  • 32.
    high T3a or Grade Group4 or group 5 or PSA greater than 20
  • 33.
    VERY high T3b-t4 or Gradegroup 5 or More than 4 cores with grade group 4 or 5
  • 35.
    Prostate cáncer treatment Considerations Patient’sage Co-morbid health conditions Tumor stage Tumor grade (Gleason score) Often a patient choice Surgery and
  • 36.
    Early stage Prostatecáncer treatment Early stage Cancer 1. Radical Prostatectomy 2. External Beam Radiotherapy 3. Radioactive Seeds (Brachytherapy) 4. Active Surveillance 5. Observation – Watchful Waiting
  • 37.
    Early stage Prostatecáncer treatment: radical prostatectomy Radical Prostatectomy Complete surgical removal of entire prostate, seminal vesicles Considered a good treatment for men <70 years of age with clinically organ confined cancer who are healthy Open or laparoscopic/robotic approaches
  • 38.
    Early stage Prostatecáncer treatment: radical prostatectomy
  • 39.
    radical prostatectomy: complications <10% riskof blood transfusion Wound infection Rectal injury (<1%) Urinary incontinence (~10%) Erectile dysfunction (variable but common) Anesthetic related
  • 40.
    Prosate cancer treatment: radiotherapy RadiotherapyOptions External Beam Brachytherapy (seed implant) Concept of maximizing dose to the tumor and minimizing collateral damage Curative options for patients at high risk for morbidity from radical prostatectomy Age, medical co-morbidities Patient preference
  • 41.
  • 42.
    Radiotherapy: complications External BeamRadiation Therapy Hematuria Radiation proctitis Loose, bloody stools Urinary retention Strictures (urethra and ureter) Erectile dysfunction Secondary malignancies Bladder, rectal, hematological
  • 43.
  • 44.
  • 45.
    Brachytherapy: complications Urethral strictures Seedmigration Urinary retention Erectile dysfunction Irritative voiding symptoms
  • 46.
    Active surveillance Observing lowgrade tumors in men <70 yrs and >10 yr life expectancy Delay definitive treatment until it is necessary and cancer is still curable Goal is to delay potential treatment-related morbidity Monitor DRE, PSA, and periodic repeat biopsy Ideal candidate:  PSA < 10  Normal DRE  Gleason <7 (low grade)  Only 1-3 / 12 biopsy cores positive
  • 47.
    Watchful waiting Observing lowgrade tumors in men >70 yrs or <10 yrs life expectancy Institute hormonal therapy when patient becomes symptomatic No curative intent
  • 48.
    Todos: T1c (detectado porPSA) Grupo 1 (Gleason 3 + 3) PSA<10 <3 cores positivos ≤50% de tumor por core Densidad de PSA <0.15 Vigilancia activa Todos: T1-T2a (Compromiso <50% de un lóbulo) Grupo 1 (Gleason 3 + 3) PSA<10 Vigilancia activa Cualquiera: T2b-T2c (>50% de un lado o bilateral) Grupo 2 (Gleason 3 + 4), 3 (Glason 4 + 3) PSA 10-20 Tratamiento Ultrabajo Bajo Intermedio CaPróstata
  • 49.
    Cualquiera T2b-T2c (>50% deun lado o bilateral) Grupo 2 (Gleason 3 + 4), 3 (Glason 4 + 3) PSA 10-20 Favorable Intermedio CaPróstata 1 solo core afectado y grupo 1 o 2, y <50% de tejido afectado Desfavorable >1 core afectado, o grupo 3, o >50% de tejido afectado Radioterapia Radioterapia + bloqueo androgénico corto
  • 50.
    Alguno T3a Grupo 4 o5 (Gleason 8-10) PSA>20 RT + ADT Alguno: T3b-T4 Gleason primario 5 >4 cores con Grupo 4 o 5 RT + ADT Alto Ultra-alto CaPróstata
  • 51.
    Alguno: T3b-T4 Gleason primario 5 >4cores con Grupo 4 o 5 Ultra-alto CaPróstata Radioterapia + bloqueo androgénico largo (1.5-3 años)
  • 52.
    Treatment options byrisk 1/2 Risk Group Very-low risk Active surveillance External-Beam Radiotherapy Radical prostatectomy +/- RPLND Observation Low risk Active surveillance External-Beam Radiotherapy Radical prostatectomy +/- RPLND Observation Favorable intermediate Active surveillance External-Beam Radiotherapy Radical prostatectomy +/- RPLND Observation RPLND: Retroperitoneal Lymph-Node Dissection
  • 53.
    Treatment options byrisk 2/2 Risk Group Unfavorable intermediate risk External-Beam Radiotherapy + ADT (4 mo) Radical prostatectomy +/- RPLND Observation High risk External-Beam Radiotherapy + ADT (18 mo) Radical prostatectomy + RPLND Very High risk External-Beam Radiotherapy + ADT (18 mo) Radical prostatectomy +/- RPLND RPLND: Retroperitoneal Lymph-Node Dissection
  • 54.
    Position statement: Nonmetastastic prostate cancer Mauricio Lema - 2014 Watchful waiting and Active Surveillance are NOT without side-effects. Recommendations need to be INDIVIDUALIZED RP or RT or Active Surveillance (AS) or Watchful Waiting (WW), or Brachytherapy (BT)* Localized Low-Risk T1c-T2a PSA 10, or less Gleason 6, o less AS: Prostate US/PSA q3 Mo; Biopsy if indicated. Treatment if progression. WW: PSA q6 Mo, treatment if indicated 65 yo, or less: RT, RP or AS Adverse features PSA velocity 2+/year 50%+ positive findings in biopsy Perineural invasion Adverse features: active treatment (RT, RP or BT) *BT if feasible Low risk Small tumors Adequate anatomy
  • 55.
    Position statement: Nonmetastastic prostate cancer Mauricio Lema - 2014 Radiation (RT) + LH-RH/Antiandrogen x6-24 Mo+ Mo Locally-Advanced (T3/T4) Localized High- Risk T2c PSA 20+ Gleason 8+ RT + LH-RH/Antiandrogen x4 Mo or RP Localized Intermediate-Risk T2b PSA 10-20 Gleason 7 Antiandrogen for at least 1 Mo Antiandrogen for at least 1 Mo “Would NOT use hormonal therapy in patients with known coronary artery disease, unless benefit clearly outweigh risk” RT + LH-RH/Antiandrogen x6-24 Mo or Radical prostatectomy (RP) Antiandrogen for at least 1 Mo RP or RT or Active Surveillance (AS) or Watchful Waiting (WW), or Brachytherapy Localized Low-Risk T1c-T2a PSA 10, or less Gleason 6, o less AS: Prostate US/PSA q3 Mo; Biopsy if indicated. Treatment if progression. WW: PSA q6 Mo, treatment if indicated
  • 56.
    Advanced or metastaticprostate cancer Not curable disease Goals shift to disease control Development of cancer cells unresponsive to androgen deprivation Typically occurs slowly over time, although it can occur rapidly
  • 57.
    Treatment strategies for metastaticprostate cancer Androgen Deprivation (Hormonal Rx) Orchidectomy LHRH analogues Antiandrogens Supportive therapies Analgesics Steroids Bisphosphonates/Vitamin D/Calcium for bone health Chemotherapy  Taxotere, Docetaxel Last line of treatment