Bio-Adaptive Therapy
   A Breakthrough in
 Orthodontic Treatment
The Damon System is more than
a new product โ€“ itโ€™s an entirely
new orthodontic concept.
The Damon System delivers ideal
tooth position and improved
  facial symmetry, usually
      without the need for rapid
         palatal expansion,
         extraction, or surgery.
Three Pillars of Damon System
                Bio-Adaptive Therapy
โ€ข Passive Self-Ligating Brackets โ€“
  Low friction, improved comfort, better
  hygiene

โ€ข New Wire Technology โ€“
  Lighter forces, fewer adjustments

โ€ข Minimally Invasive Mechanics โ€“
  Far fewer extractions and the near-
  elimination of headgear or rapid palatal
  expansion
Q: Why are we talking
  about a new system?
โ€ข Twin sisters
โ€ข Similar malocclusions
โ€ข Comparison of extraction vs. nonextraction
Traditional ceph and model analysis suggests extractions
to achieve โ€œcorrectโ€ tooth positioning and jaw relationships.
The nonextraction case was the experimental case.
One was treated with extractions.
              Which is which?
Extracted   Not Extracted
Q: Is conventional
 orthodontics serving the
needs of todayโ€™s patient?
โ€œI wish I
looked like
my sister.โ€
Dr. Dwight Damon โ€“ the Pioneer
              in the Development of this
                     Treatment Approach

 โ€œMost extractions are done to make
space to eliminate crowding. But what
 about the face, the roots of the teeth,
 and the soft tissue? With the Damon
System, we use light forces to convert
  crowding into posterior arch width,
   yielding ideal tooth position AND
better facial aesthetics. There is also a
  growing body of evidence that this
 approach yields less root resorption
and a far better soft-tissue response.โ€
Force Management
                    Why light forces?



          The following photos
        should challenge every
clinician to lower their clinical
               force mechanics.
Force Management
                      Why light forces?


Q: What happens
when roots are
driven against the
cortical plate with
high forces?
Force Management
                                   Why light forces?




Capillaries entering the foraminae of the cortical bone
Treatment goal:
      To achieve ideal tooth
position and facial harmony
          while keeping the
   vascular integrity of the
     alveolar cortical plate.
Thought leaders have talked for
decades about how light forces would
stimulate rapid tooth movement. However,
conventional appliances forced clinicians
to use far higher forces due to wire alloys
and friction.
โ€œOptimum force levels for orthodontic tooth movement
should be just high enough to stimulate cellular activity
without completely occluding blood vessels in the periodontal
ligamentโ€                            โ€“ Dr. William Proffit

The new technology used in the
Damon System now allows us to
realize these goals.
Force Management
                  Why light forces?

    Orthodontic
Tooth Movement
Force Management
                                Why light forces?




Note the amount of blood flow in the PDL, and
concentrated in the area of new bone
deposition
Force Management
                      Why light forces?

Two Distinct Types of
Pressure Side Dynamics
โ€ข Undermining Resorption โ€“
            Response to Heavier
  Forces

โ€ข Frontal Resorption โ€“
        Response to Light Forces
Force Management
                      Why light forces?

Tooth Movement And Oxygen
๏‚ง Oxygen is the trigger mechanism for
  remodeling of the periodontium.
๏‚ง If vascularity is interrupted in the
  periodontal space, oxygen is no longer
  available and cellular activity is slowed
  or stopped.
โ€œIf the applied force is great enough to
totally occlude blood vessels and cut
off the blood supply, a hyalinized
avascular necrotic area is formed. This
area must revascularize before teeth
start to move.โ€

โ€“ Dr. William Proffit
Force Management
                                  Why light forces?
Pressure Side

Traditional Heavy Forces




Note how blood vessels are crushed in the necrotic PDL
and how much bone must be eroded to cause movement
      with undermining resorption.
Force Management
                              Why light forces?
Pressure Side
    Characteristics of Light Forces




                capillaries
Force Management
                                           Why light forces?
                                         โ€œLight continuous forces
                                            ensure more-effective
                                        tooth movement in areas
                                             with cortical bone or
Conventional forces with necrotic PDL
                                           bone with few marrow
                                          spaces. Use forces that
                                              do not interrupt the
                                                vascular supply.โ€

                                                         โ€“ Rygh

Low forces with vascular PDL
Force Management
                  Why light forces?
  Time Course of Tooth Movement:
Frontal vs. Undermining Resorption

     Light
     (Damon)

                Heavy
                (conventional)
Friction Must Be Virtually Eliminated
     In Order To Achieve Lower,
    Biologically Optimal Forces

     The Significance of Self-
        Ligating Bracket
           Technology
New Low-Force, Low-Friction
   Orthodontic Therapy



 Passive Self-Ligation vs.
    Traditional Active
  Elastomeric Ligation
Older style braces require elastics     Damon System braces use a slide
      to hold archwires in place.           mechanism that eliminates the
                                                friction and binding.




Elastics are                      like   With the Damon
bungee cords โ€“                           System, teeth
they cause friction
                                         move more freely
and pressure ,
                                         and comfortably.
   making treatment
   slower and less comfortable.
Passive Self-Ligation
Damon Difference
                              Passive self-ligation

    Friction Comparison
Conventional brackets
with elastomerics
produced 500 to 600
times more friction than
Damon brackets.
Damon Difference
                          Passive self-ligation



Q: Why is low friction so important?
A: By significantly
reducing friction,
now we can use
โ€œbiologically sensibleโ€
forces with superior
results
Damon Difference
    Passive self-ligation
Damon Difference
                                                                            Passive self-ligation
 Elastomerics and Hygiene
โ€ข O-rings are extremely plaque retentive
โ€ข Greatly increase the number of micro-organisms
  attached to appliances during treatment
Forsberg, et al, Ligature Wires and Elastomeric Rings: Two Methods of Ligation and Their Association with Microbial Colonization, Eur J
     of Orth, pp416-20, Oct. 1991
What about
   other self-
       ligating
    brackets?
Arenโ€™t they all
   the same?
Self-Ligation
Self-ligation is not a new concept

                 โ€ข Dr. Jacob Stolzberg
                   developed the โ€œRussellโ€
                   attachment in the 1930s




                 โ€ข Dr. Jim Wildman
                   developed the Edgelok
                   bracket in 1971 โ€“ with
                   limited commercial
                   success
Self-Ligation

                  SPEED *                       ยฎ                            Time *           ยฎ




* Speed is a trademark of Speed Orthodontics. Time is a trademark of American Orthodontics.
Damon Difference
                         Passive Self-Ligation

Most Self-Ligating Brackets Feature
ACTIVE Clip Mechanisms
  โ€ข Wires are engaged
    or pressed into the             In-Ovationยฎ โ€œRโ€
    bracket slot,
    producing greater
    FRICTION
  โ€ข Larger wires are
    needed to overcome
    the friction = heavier
    forces
Damon Brackets

โ€ข Damon SL, 1996-1999




โ€ข Damon 2, 2001
Damon Difference
         Passive Self-Ligation




2005              2004
Damon Difference
                      Passive Self-Ligation




 Damon brackets have a slot with four solid
walls to allow the wire to slide freely in
            ALL PHASES OF TREATMENT
Frictional Resistance
          Comparison
   Even other self-
   ligating brackets
  have significantly
      more friction
because they use an
  active clip to keep
the wire pressed into
        the slot.
New Wire Technology

  Enhancing the Clinical
 Benefits of Passive Self-
         Ligation
Damon Difference
                         High-Tech Archwires

Mechanical Principles in Orthodontic Force Control
Damon Difference
                         High-Tech Archwires

โ€ข Very light forces
โ€ข Faster tooth
       movement
โ€ข Far greater spring-
  back properties
โ€ข True heat activation
Treatment Time
         Comparison




Compared with conventional treatment, the Damon
System is proven to treat over 6 months faster on
          averageโ€ฆwith lighter forces!
Patient Comfort Comparison

  Due to the lighter
  forces used in the
   Damon System,
 patients experience
far less discomfort.
Damon braces are
                 More
Smaller      Comfortable         Faster




    Traditional Braces
Clinical Cases
Harnessing the Power of Low
   Force and Low Friction
M.J.
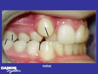
14 yrs 6 mos   Class I severe crowding, deep bite, all
    Initial    cuspids blocked out.
Initial
Initial
Initial
Initial
Initial
Initial
Initial
Q: Why is this
patient so crowded?

       Small jaws?
Q: What is your treatment
       plan for this case?

              Extraction?
Initial

What would extractions do to the profile of this patient?
What is your treatment
   plan for this case?

       RPE? Surgery?
2.5 Months             5 Months
    Initial                  1 appointment
                              st                    2 appointment
                                                     nd




   7.5 Months                   12 Months                 Final
3rd appointment              5th appointment           14.5 Months
                                                     7th appointment

                  No extractions, RPE, headgear or surgery!
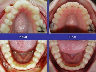
M.J.
       Final
14 months โ€“ 2 weeks
   7 appts upper
   5 appts lower
Initial
 16 years โ€“ 5 months
 Class II, severe
crowding, bilateral
posterior crossbite
Treatment Planning
โ€ข   Ceph numbers
โ€ข   Model analysis
โ€ข   Pano X-rays
โ€ข   Facial analysis
โ€ข   Impact of growth/aging
โ€ข   Vestibular bone density
โ€ข   Tongue position/airway
โ€ข   How light a wire do I need to stimulate
    blood flow?
Initial
Initial
Initial
Initial
Initial
Initial
Initial
Why is the upper so crowded?




   Initial โ€“ Tongue position?
Initial โ€“ Tongue position?
What is your treatment plan?




   What is this patient going to
   look like at 50 years of age?
Damon Mechanics
Dramatically simplified approach


โ€ข No palatal expanders
โ€ข No distalizers or headgear
โ€ข No anchorage preparation
  (TPAs, Nance buttons, etc.)
A.H.
    13 months
Light forces โ€“
  no extractions, RPE
       or surgery
13 months
Initial   13 months
A.H.
    13 months
Light forces โ€“
  no extractions, RPE
       or surgery
Initial




Final
Final
22 months
         3 weeks
Initial


Final โ€“ 22 months 3 weeks
Initial           Final


            Final
22 months
         3 weeks
Note health of bone and tissue
with tremendous alveolar change
Initial   Final
Initial   Final
Initial   Final
Initial   1yr 3mo posttreatment
Final
โ€œโ€ฆway more
 than straight
  teeth! I can
breathe through
  my nose and
  speak more
    clearly.โ€
Retention 1
year 3 months
Power of the Transverse

     Face-driven treatment
     by converting anterior
    crowding into posterior
adaptation of bone, muscle,
            and soft tissues
Power of the
                            Transverse
โ€ข Low orthodontic forces
  do not โ€œoverpowerโ€ the
  lip musculature.
โ€ข Incisors are prevented
  from โ€œdumpingโ€
  forward.
โ€ข Teeth move laterally
  and distally.
Archwire adapted to initial and final arch form
Initial and final arch forms
Initial to final arch length increased 13 mm

Arch width accounts for space gained
Skepticism of Bio-Adaptive
      Therapy Treatment Results

โ€ข Buccal tipping of posterior teeth?
โ€ข Compromising anterior labial bone
  support? Molar distalization?
โ€ข Pushing roots through buccal plate?
Q: Were anteriors flared
   to resolve crowding?
Note final position of
incisors in spite of extensive
anterior crowding




        Composite
Q: Was the arch
   lengthened by molar
   distalization?
Distal of first molars to labial of incisors 37
Distal of first molars to labial of incisors 38 mm
Q: Was transverse
   development
   achieved by tipping?
Width          Initial   Final     Change
Cuspid         32 mm     34 mm     2 mm
1st bicuspid   32.5 mm   40.5 mm   8 mm
2nd bicuspid   37 mm     48 mm     11 mm
1st Molar      44 mm     53 mm     9 mm
Initial                     Final
(Note tremendous palatal change with minimal tipping)
           First bicuspids changed 12 mm
          Second bicuspids changed 11 mm
             First molars changed 9 mm
Q: Have we blown teeth
   out of cortical bone?
The following CT scans have been
  provided courtesy of Dr. Damon
Maxillary Transpalatal   Mandibular Transpalatal




    Maxillary Sagittal       Mandibular Sagittal




                                            Transpalatal
            horizontal




Reading CT Scans
Upper CT scans 7 mos in retention




Note
presence of
bone on
buccal and
lingual sides
of roots


                Upper first molars width change 9 mm
Upper CT scans 7 mos posttreatment




Upper 2nd bicuspids width change 11 mm
Upper CT scans 7 mos posttreatment




 Upper 1st bicuspids width change 12 mm
Change: Cuspids 2 mm, 1st Bicuspids 12 mm,
        2nd Bicuspids 11 mm, Molars 9 mm
Mid-Face Development




Change: Cuspids 2 mm, 1st Bicuspids 12 mm,
        2nd Bicuspids 11 mm, Molars 9 mm
Change: Cuspids 2 mm, 1st Bicuspids 12 mm,
        2nd Bicuspids 11 mm, Molars 9 mm
Width          Initial    Final    Change
Cuspid         27 mm     27 mm           0
mm
1st bicuspid   34 mm     36.5 mm   2.5 mm
2nd bicuspid   40 mm     42 mm     2 mm
1st Molar      46.5 mm   47 mm     .5 mm
Change: Cuspids 0 mm, 1st Bicuspids 2.5 mm,
              2nd Bicuspids 2 mm, Molars .5 mm


Lower CT scans
7 months post-
treatment
Q: Can we achieve the same
   results with adults
   without surgery?
T.B.
       Initial
32 years โ€“ 9 months
Initial
Initial

What is your treatment plan?
Initial
Initial
Initial (Note depth of palate)

Q: Where does this patientโ€™s tongue
lay in the mouth?
Initial

Q: In the palate, orโ€ฆ.?
Initial

A: In the lower arch.
Initial
Initial
Initial
Initial
Initial
Initial                10 weeks            7 months
                          1st Appt            3rd Appt




12 mos 2 wks           16 mos 2 wks
                                              Final
   6th Appt               8th Appt


               How can teeth move this rapidly?
               With such light forces?
Initial               10 weeks            7 months
                         1st Appt            3rd Appt




12 mos 2 wks           16 mos 2 wks
                                              Final
   6th Appt               8th Appt


               How can teeth move this rapidly?
               With such light forces?
Initial
32 years โ€“ 9 months
Final
18 Months โ€“ 2 weeks
  10 appointments
Final
18 Months 2 weeks
  10 Appointments
Final
18 Months 2 weeks
  10 Appointments
Final
18 Months 2 weeks
  10 Appointments
Initial   Final
Initial   Final
Composite
Width          Initial   Final     Change
Cuspid         32 mm     34.5 mm   2.5 mm
1st bicuspid   35 mm     43.5 mm   8.5 mm
2nd bicuspid   41 mm     48 mm     7 mm
1st Molar      48 mm     52 mm     4 mm
Initial                   Final



    Note change in shape of the palate โ€“
    tongue can now move into balance
Q: Are we moving teeth
through bone, or is the bone
adapting and moving with the
teeth with these light forces?
Change: Cuspids 2.5 mm, 1st Biโ€™s 8 mm,
               2nd Biโ€™s 7 mm, Molars 4 mm



16 months
post-
treatment




             1st Molars โ€“ 4 mm Transverse
Change: Cuspids 2.5 mm, 1st Biโ€™s 8 mm,
                2nd Biโ€™s 7 mm, Molars 4 mm



16 months
post-
                                                  Roots are upright
treatment                                         in bone on both
                                                  buccal and lingual
                                                  side after
                                                  significant
                                                  transverse
                                                  movement




             2nd Bicuspids โ€“ 7 mm transverse

  Q: Does this image change your thinking on what is possible?
Change: Cuspids 2.5 mm, 1st Biโ€™s 8 mm,
                2nd Biโ€™s 7 mm, Molars 4 mm



16 months
post-
treatment




            1st Bicuspids โ€“ 8 mm transverse
  Q: Does this image change your thinking on what is possible?
Change: Cuspids 2.5 mm, 1st Biโ€™s 8 mm,
                 2nd Biโ€™s 7 mm, Molars 4 mm



16 months
post-
treatment




            Observe the presence of bone on
       the labial, buccal, and lingual of this adult
Evaluate bone and tissue contours
     6 months posttreatment
Change: Cuspids 2.5 mm, 1st Biโ€™s 8 mm,
               2nd Biโ€™s 7 mm, Molars 4 mm



16 months
post-
treatment

                                    Remember that the cuspids
                                       were out of the arch!



              Note the presence of bone on
        the labial, buccal, and lingual of this adult
Remember that the cuspids
                       were out of the arch!




Evaluate tissue 6 months retention
2 years 1 month
 posttreatment
How Can Light Forces
Cause Such a Dramatic
  Adaptation of the
   Alveolar Bone?
    Insights Gained By
    Observing Naturally
     Occurring Bodily
        Processes
Orthodontic Forces:
How Low Can You Go?
4-2-03




 Q: Can a 3rd Molar move distal
   2/3 width of 2nd Molar in 2-3 months?
06-23-04          Cyst growth exerts a fraction of
                    the forces used in traditional
                    orthodontics, yet it can move
                        teeth much more rapidly.




A: It can when there is a growing cyst.
Note how cortical
bone compensates
for cyst growth
Should this be a wakeup call
           to our concepts of force?




   Once the cyst is removed, the
   alveolar bone moved back
Q: If the muscles of the face and
tongue are helping to determine
arch form, will the arch forms of
   all patients be different?
Standard Arch Form
   One Size Fits All?
Customizing Arch Form For
              Each Patient
K.M. Final                  C.B. Final
              UPPERS

    Two people, two very different arch forms.
Q: Is there ever a time
when you need to extract?
Face-Driven Treatment Planning
There is a time to extract
         โ€ข Patient has very little
           crowding
         โ€ข Bi-max protrusion
         โ€ข Patientโ€™s chief complaint is
           the protrusive nature of her
           profile.
         โ€ข This is a case where
           extraction will help to
           establish an improved facial
           profile.
With the Damon System we
    โ€œExtract for the face, not for the space.โ€
Light elastics and/or springs are used
    to close space
Low-friction Damon
brackets allow
spaces to be closed
far more quickly and
easily.
Treatment time:
   21 months
Treatment time: 21 months
Selective Application
              vs.
                          All or None
โ€ข This technology must
be used in all cases to
see the true efficiency
gains
โ€ข You never know who
your best advocates
will be
โ€ข If you know it is better
for patients, how do
you choose?
Mom only sees diastema




                     Note posterior teeth tipped
                     lingual โ€“ dark triangles


We could use brackets or aligners to make minor
anterior corrections, but what about the facial impact?
A.M.
Final
Final
Note change in
arch form
Initial                              Final


          Note change in mid-face support and smile
                 vs. simple diastema closure
K.W.
Initial
Initial
Initial
Initial
Initial
K.W. at 53 years 3 months
4 yrs 1 mo
       post-
 treatment
   No night
  retention
   for 2 yrs
53 years 3 months   59 years 1 month
K.W.
59 years of age
โ€œThe interesting thing
 about the Damon System
isnโ€™t just the quality of the
  cases, itโ€™s the consistent
    quality of the cases.โ€
             โ€“ Damon user
Before




After
Itโ€™s More Than Just
   Straight Teeth.
Itโ€™s all about the face.
โ€œAs orthodontists we
can do more for our
patients, more
quickly, and more
comfortably than ever
before.โ€
     โ€“ Dwight Damon
โ€ข   Extraordinary Results
โ€ข   Shorter Treatment Time
โ€ข   Fewer Appointments
โ€ข   Greater Comfort
โ€ข   Most Cases Treated
    Without Extractions

For more
information, visit
www.damonbraces.com

Bio Adaptive Therapy Presentation

  • 1.
    Bio-Adaptive Therapy A Breakthrough in Orthodontic Treatment
  • 2.
    The Damon Systemis more than a new product โ€“ itโ€™s an entirely new orthodontic concept. The Damon System delivers ideal tooth position and improved facial symmetry, usually without the need for rapid palatal expansion, extraction, or surgery.
  • 3.
    Three Pillars ofDamon System Bio-Adaptive Therapy โ€ข Passive Self-Ligating Brackets โ€“ Low friction, improved comfort, better hygiene โ€ข New Wire Technology โ€“ Lighter forces, fewer adjustments โ€ข Minimally Invasive Mechanics โ€“ Far fewer extractions and the near- elimination of headgear or rapid palatal expansion
  • 4.
    Q: Why arewe talking about a new system?
  • 5.
    โ€ข Twin sisters โ€ขSimilar malocclusions โ€ข Comparison of extraction vs. nonextraction
  • 6.
    Traditional ceph andmodel analysis suggests extractions to achieve โ€œcorrectโ€ tooth positioning and jaw relationships. The nonextraction case was the experimental case.
  • 7.
    One was treatedwith extractions. Which is which?
  • 8.
    Extracted Not Extracted
  • 9.
    Q: Is conventional orthodontics serving the needs of todayโ€™s patient?
  • 10.
    โ€œI wish I lookedlike my sister.โ€
  • 11.
    Dr. Dwight Damonโ€“ the Pioneer in the Development of this Treatment Approach โ€œMost extractions are done to make space to eliminate crowding. But what about the face, the roots of the teeth, and the soft tissue? With the Damon System, we use light forces to convert crowding into posterior arch width, yielding ideal tooth position AND better facial aesthetics. There is also a growing body of evidence that this approach yields less root resorption and a far better soft-tissue response.โ€
  • 12.
    Force Management Why light forces? The following photos should challenge every clinician to lower their clinical force mechanics.
  • 13.
    Force Management Why light forces? Q: What happens when roots are driven against the cortical plate with high forces?
  • 14.
    Force Management Why light forces? Capillaries entering the foraminae of the cortical bone
  • 15.
    Treatment goal: To achieve ideal tooth position and facial harmony while keeping the vascular integrity of the alveolar cortical plate.
  • 16.
    Thought leaders havetalked for decades about how light forces would stimulate rapid tooth movement. However, conventional appliances forced clinicians to use far higher forces due to wire alloys and friction. โ€œOptimum force levels for orthodontic tooth movement should be just high enough to stimulate cellular activity without completely occluding blood vessels in the periodontal ligamentโ€ โ€“ Dr. William Proffit The new technology used in the Damon System now allows us to realize these goals.
  • 17.
    Force Management Why light forces? Orthodontic Tooth Movement
  • 18.
    Force Management Why light forces? Note the amount of blood flow in the PDL, and concentrated in the area of new bone deposition
  • 19.
    Force Management Why light forces? Two Distinct Types of Pressure Side Dynamics โ€ข Undermining Resorption โ€“ Response to Heavier Forces โ€ข Frontal Resorption โ€“ Response to Light Forces
  • 20.
    Force Management Why light forces? Tooth Movement And Oxygen ๏‚ง Oxygen is the trigger mechanism for remodeling of the periodontium. ๏‚ง If vascularity is interrupted in the periodontal space, oxygen is no longer available and cellular activity is slowed or stopped.
  • 21.
    โ€œIf the appliedforce is great enough to totally occlude blood vessels and cut off the blood supply, a hyalinized avascular necrotic area is formed. This area must revascularize before teeth start to move.โ€ โ€“ Dr. William Proffit
  • 22.
    Force Management Why light forces? Pressure Side Traditional Heavy Forces Note how blood vessels are crushed in the necrotic PDL and how much bone must be eroded to cause movement with undermining resorption.
  • 23.
    Force Management Why light forces? Pressure Side Characteristics of Light Forces capillaries
  • 24.
    Force Management Why light forces? โ€œLight continuous forces ensure more-effective tooth movement in areas with cortical bone or Conventional forces with necrotic PDL bone with few marrow spaces. Use forces that do not interrupt the vascular supply.โ€ โ€“ Rygh Low forces with vascular PDL
  • 25.
    Force Management Why light forces? Time Course of Tooth Movement: Frontal vs. Undermining Resorption Light (Damon) Heavy (conventional)
  • 26.
    Friction Must BeVirtually Eliminated In Order To Achieve Lower, Biologically Optimal Forces The Significance of Self- Ligating Bracket Technology
  • 27.
    New Low-Force, Low-Friction Orthodontic Therapy Passive Self-Ligation vs. Traditional Active Elastomeric Ligation
  • 28.
    Older style bracesrequire elastics Damon System braces use a slide to hold archwires in place. mechanism that eliminates the friction and binding. Elastics are like With the Damon bungee cords โ€“ System, teeth they cause friction move more freely and pressure , and comfortably. making treatment slower and less comfortable.
  • 29.
  • 30.
    Damon Difference Passive self-ligation Friction Comparison Conventional brackets with elastomerics produced 500 to 600 times more friction than Damon brackets.
  • 31.
    Damon Difference Passive self-ligation Q: Why is low friction so important? A: By significantly reducing friction, now we can use โ€œbiologically sensibleโ€ forces with superior results
  • 32.
    Damon Difference Passive self-ligation
  • 33.
    Damon Difference Passive self-ligation Elastomerics and Hygiene โ€ข O-rings are extremely plaque retentive โ€ข Greatly increase the number of micro-organisms attached to appliances during treatment Forsberg, et al, Ligature Wires and Elastomeric Rings: Two Methods of Ligation and Their Association with Microbial Colonization, Eur J of Orth, pp416-20, Oct. 1991
  • 34.
    What about other self- ligating brackets? Arenโ€™t they all the same?
  • 35.
    Self-Ligation Self-ligation is nota new concept โ€ข Dr. Jacob Stolzberg developed the โ€œRussellโ€ attachment in the 1930s โ€ข Dr. Jim Wildman developed the Edgelok bracket in 1971 โ€“ with limited commercial success
  • 36.
    Self-Ligation SPEED * ยฎ Time * ยฎ * Speed is a trademark of Speed Orthodontics. Time is a trademark of American Orthodontics.
  • 37.
    Damon Difference Passive Self-Ligation Most Self-Ligating Brackets Feature ACTIVE Clip Mechanisms โ€ข Wires are engaged or pressed into the In-Ovationยฎ โ€œRโ€ bracket slot, producing greater FRICTION โ€ข Larger wires are needed to overcome the friction = heavier forces
  • 38.
    Damon Brackets โ€ข DamonSL, 1996-1999 โ€ข Damon 2, 2001
  • 39.
    Damon Difference Passive Self-Ligation 2005 2004
  • 40.
    Damon Difference Passive Self-Ligation Damon brackets have a slot with four solid walls to allow the wire to slide freely in ALL PHASES OF TREATMENT
  • 41.
    Frictional Resistance Comparison Even other self- ligating brackets have significantly more friction because they use an active clip to keep the wire pressed into the slot.
  • 42.
    New Wire Technology Enhancing the Clinical Benefits of Passive Self- Ligation
  • 43.
    Damon Difference High-Tech Archwires Mechanical Principles in Orthodontic Force Control
  • 44.
    Damon Difference High-Tech Archwires โ€ข Very light forces โ€ข Faster tooth movement โ€ข Far greater spring- back properties โ€ข True heat activation
  • 45.
    Treatment Time Comparison Compared with conventional treatment, the Damon System is proven to treat over 6 months faster on averageโ€ฆwith lighter forces!
  • 46.
    Patient Comfort Comparison Due to the lighter forces used in the Damon System, patients experience far less discomfort.
  • 48.
    Damon braces are More Smaller Comfortable Faster Traditional Braces
  • 49.
    Clinical Cases Harnessing thePower of Low Force and Low Friction
  • 50.
    M.J. 14 yrs 6mos Class I severe crowding, deep bite, all Initial cuspids blocked out.
  • 51.
  • 52.
  • 53.
  • 54.
  • 55.
  • 56.
  • 57.
  • 58.
    Q: Why isthis patient so crowded? Small jaws?
  • 59.
    Q: What isyour treatment plan for this case? Extraction?
  • 60.
    Initial What would extractionsdo to the profile of this patient?
  • 61.
    What is yourtreatment plan for this case? RPE? Surgery?
  • 62.
    2.5 Months 5 Months Initial 1 appointment st 2 appointment nd 7.5 Months 12 Months Final 3rd appointment 5th appointment 14.5 Months 7th appointment No extractions, RPE, headgear or surgery!
  • 63.
    M.J. Final 14 months โ€“ 2 weeks 7 appts upper 5 appts lower
  • 65.
    Initial 16 yearsโ€“ 5 months Class II, severe crowding, bilateral posterior crossbite
  • 66.
    Treatment Planning โ€ข Ceph numbers โ€ข Model analysis โ€ข Pano X-rays โ€ข Facial analysis โ€ข Impact of growth/aging โ€ข Vestibular bone density โ€ข Tongue position/airway โ€ข How light a wire do I need to stimulate blood flow?
  • 67.
  • 68.
  • 69.
  • 70.
  • 71.
  • 72.
  • 73.
  • 74.
    Why is theupper so crowded? Initial โ€“ Tongue position?
  • 75.
  • 76.
    What is yourtreatment plan? What is this patient going to look like at 50 years of age?
  • 77.
    Damon Mechanics Dramatically simplifiedapproach โ€ข No palatal expanders โ€ข No distalizers or headgear โ€ข No anchorage preparation (TPAs, Nance buttons, etc.)
  • 78.
    A.H. 13 months Light forces โ€“ no extractions, RPE or surgery
  • 79.
  • 80.
    Initial 13 months
  • 81.
    A.H. 13 months Light forces โ€“ no extractions, RPE or surgery
  • 82.
  • 83.
  • 84.
  • 85.
    Initial Final Final 22 months 3 weeks
  • 86.
    Note health ofbone and tissue with tremendous alveolar change
  • 87.
    Initial Final
  • 88.
    Initial Final
  • 89.
    Initial Final
  • 90.
    Initial 1yr 3mo posttreatment
  • 91.
  • 92.
    โ€œโ€ฆway more thanstraight teeth! I can breathe through my nose and speak more clearly.โ€
  • 93.
  • 94.
    Power of theTransverse Face-driven treatment by converting anterior crowding into posterior adaptation of bone, muscle, and soft tissues
  • 95.
    Power of the Transverse โ€ข Low orthodontic forces do not โ€œoverpowerโ€ the lip musculature. โ€ข Incisors are prevented from โ€œdumpingโ€ forward. โ€ข Teeth move laterally and distally.
  • 96.
    Archwire adapted toinitial and final arch form
  • 97.
  • 98.
    Initial to finalarch length increased 13 mm Arch width accounts for space gained
  • 99.
    Skepticism of Bio-Adaptive Therapy Treatment Results โ€ข Buccal tipping of posterior teeth? โ€ข Compromising anterior labial bone support? Molar distalization? โ€ข Pushing roots through buccal plate?
  • 100.
    Q: Were anteriorsflared to resolve crowding?
  • 101.
    Note final positionof incisors in spite of extensive anterior crowding Composite
  • 102.
    Q: Was thearch lengthened by molar distalization?
  • 103.
    Distal of firstmolars to labial of incisors 37
  • 104.
    Distal of firstmolars to labial of incisors 38 mm
  • 105.
    Q: Was transverse development achieved by tipping?
  • 106.
    Width Initial Final Change Cuspid 32 mm 34 mm 2 mm 1st bicuspid 32.5 mm 40.5 mm 8 mm 2nd bicuspid 37 mm 48 mm 11 mm 1st Molar 44 mm 53 mm 9 mm
  • 107.
    Initial Final (Note tremendous palatal change with minimal tipping) First bicuspids changed 12 mm Second bicuspids changed 11 mm First molars changed 9 mm
  • 108.
    Q: Have weblown teeth out of cortical bone?
  • 109.
    The following CTscans have been provided courtesy of Dr. Damon
  • 110.
    Maxillary Transpalatal Mandibular Transpalatal Maxillary Sagittal Mandibular Sagittal Transpalatal horizontal Reading CT Scans
  • 111.
    Upper CT scans7 mos in retention Note presence of bone on buccal and lingual sides of roots Upper first molars width change 9 mm
  • 112.
    Upper CT scans7 mos posttreatment Upper 2nd bicuspids width change 11 mm
  • 113.
    Upper CT scans7 mos posttreatment Upper 1st bicuspids width change 12 mm
  • 114.
    Change: Cuspids 2mm, 1st Bicuspids 12 mm, 2nd Bicuspids 11 mm, Molars 9 mm
  • 115.
    Mid-Face Development Change: Cuspids2 mm, 1st Bicuspids 12 mm, 2nd Bicuspids 11 mm, Molars 9 mm
  • 116.
    Change: Cuspids 2mm, 1st Bicuspids 12 mm, 2nd Bicuspids 11 mm, Molars 9 mm
  • 117.
    Width Initial Final Change Cuspid 27 mm 27 mm 0 mm 1st bicuspid 34 mm 36.5 mm 2.5 mm 2nd bicuspid 40 mm 42 mm 2 mm 1st Molar 46.5 mm 47 mm .5 mm
  • 118.
    Change: Cuspids 0mm, 1st Bicuspids 2.5 mm, 2nd Bicuspids 2 mm, Molars .5 mm Lower CT scans 7 months post- treatment
  • 119.
    Q: Can weachieve the same results with adults without surgery?
  • 120.
    T.B. Initial 32 years โ€“ 9 months
  • 121.
  • 122.
    Initial What is yourtreatment plan?
  • 123.
  • 124.
  • 125.
    Initial (Note depthof palate) Q: Where does this patientโ€™s tongue lay in the mouth?
  • 126.
    Initial Q: In thepalate, orโ€ฆ.?
  • 127.
    Initial A: In thelower arch.
  • 128.
  • 129.
  • 130.
  • 131.
  • 132.
  • 133.
    Initial 10 weeks 7 months 1st Appt 3rd Appt 12 mos 2 wks 16 mos 2 wks Final 6th Appt 8th Appt How can teeth move this rapidly? With such light forces?
  • 134.
    Initial 10 weeks 7 months 1st Appt 3rd Appt 12 mos 2 wks 16 mos 2 wks Final 6th Appt 8th Appt How can teeth move this rapidly? With such light forces?
  • 135.
  • 136.
    Final 18 Months โ€“2 weeks 10 appointments
  • 137.
    Final 18 Months 2weeks 10 Appointments
  • 138.
    Final 18 Months 2weeks 10 Appointments
  • 139.
    Final 18 Months 2weeks 10 Appointments
  • 140.
    Initial Final
  • 141.
    Initial Final
  • 142.
  • 143.
    Width Initial Final Change Cuspid 32 mm 34.5 mm 2.5 mm 1st bicuspid 35 mm 43.5 mm 8.5 mm 2nd bicuspid 41 mm 48 mm 7 mm 1st Molar 48 mm 52 mm 4 mm
  • 144.
    Initial Final Note change in shape of the palate โ€“ tongue can now move into balance
  • 145.
    Q: Are wemoving teeth through bone, or is the bone adapting and moving with the teeth with these light forces?
  • 146.
    Change: Cuspids 2.5mm, 1st Biโ€™s 8 mm, 2nd Biโ€™s 7 mm, Molars 4 mm 16 months post- treatment 1st Molars โ€“ 4 mm Transverse
  • 147.
    Change: Cuspids 2.5mm, 1st Biโ€™s 8 mm, 2nd Biโ€™s 7 mm, Molars 4 mm 16 months post- Roots are upright treatment in bone on both buccal and lingual side after significant transverse movement 2nd Bicuspids โ€“ 7 mm transverse Q: Does this image change your thinking on what is possible?
  • 148.
    Change: Cuspids 2.5mm, 1st Biโ€™s 8 mm, 2nd Biโ€™s 7 mm, Molars 4 mm 16 months post- treatment 1st Bicuspids โ€“ 8 mm transverse Q: Does this image change your thinking on what is possible?
  • 149.
    Change: Cuspids 2.5mm, 1st Biโ€™s 8 mm, 2nd Biโ€™s 7 mm, Molars 4 mm 16 months post- treatment Observe the presence of bone on the labial, buccal, and lingual of this adult
  • 150.
    Evaluate bone andtissue contours 6 months posttreatment
  • 151.
    Change: Cuspids 2.5mm, 1st Biโ€™s 8 mm, 2nd Biโ€™s 7 mm, Molars 4 mm 16 months post- treatment Remember that the cuspids were out of the arch! Note the presence of bone on the labial, buccal, and lingual of this adult
  • 152.
    Remember that thecuspids were out of the arch! Evaluate tissue 6 months retention
  • 153.
    2 years 1month posttreatment
  • 154.
    How Can LightForces Cause Such a Dramatic Adaptation of the Alveolar Bone? Insights Gained By Observing Naturally Occurring Bodily Processes
  • 155.
  • 156.
    4-2-03 Q: Cana 3rd Molar move distal 2/3 width of 2nd Molar in 2-3 months?
  • 157.
    06-23-04 Cyst growth exerts a fraction of the forces used in traditional orthodontics, yet it can move teeth much more rapidly. A: It can when there is a growing cyst.
  • 158.
    Note how cortical bonecompensates for cyst growth
  • 159.
    Should this bea wakeup call to our concepts of force? Once the cyst is removed, the alveolar bone moved back
  • 160.
    Q: If themuscles of the face and tongue are helping to determine arch form, will the arch forms of all patients be different?
  • 161.
    Standard Arch Form One Size Fits All?
  • 162.
    Customizing Arch FormFor Each Patient
  • 163.
    K.M. Final C.B. Final UPPERS Two people, two very different arch forms.
  • 164.
    Q: Is thereever a time when you need to extract?
  • 165.
  • 166.
    There is atime to extract โ€ข Patient has very little crowding โ€ข Bi-max protrusion โ€ข Patientโ€™s chief complaint is the protrusive nature of her profile. โ€ข This is a case where extraction will help to establish an improved facial profile.
  • 167.
    With the DamonSystem we โ€œExtract for the face, not for the space.โ€
  • 168.
    Light elastics and/orsprings are used to close space
  • 169.
    Low-friction Damon brackets allow spacesto be closed far more quickly and easily.
  • 170.
  • 171.
  • 173.
    Selective Application vs. All or None โ€ข This technology must be used in all cases to see the true efficiency gains โ€ข You never know who your best advocates will be โ€ข If you know it is better for patients, how do you choose?
  • 174.
    Mom only seesdiastema Note posterior teeth tipped lingual โ€“ dark triangles We could use brackets or aligners to make minor anterior corrections, but what about the facial impact?
  • 175.
  • 176.
  • 177.
    Initial Final Note change in mid-face support and smile vs. simple diastema closure
  • 178.
  • 179.
  • 180.
  • 181.
  • 182.
    Initial K.W. at 53years 3 months
  • 184.
    4 yrs 1mo post- treatment No night retention for 2 yrs
  • 185.
    53 years 3months 59 years 1 month
  • 186.
  • 187.
    โ€œThe interesting thing about the Damon System isnโ€™t just the quality of the cases, itโ€™s the consistent quality of the cases.โ€ โ€“ Damon user
  • 188.
  • 189.
    Itโ€™s More ThanJust Straight Teeth.
  • 190.
  • 191.
    โ€œAs orthodontists we cando more for our patients, more quickly, and more comfortably than ever before.โ€ โ€“ Dwight Damon
  • 192.
    โ€ข Extraordinary Results โ€ข Shorter Treatment Time โ€ข Fewer Appointments โ€ข Greater Comfort โ€ข Most Cases Treated Without Extractions For more information, visit www.damonbraces.com