BASIC MRI SEQUENCES
IMAGE WEIGHTING
IN ANY IMAGE, CONTRAST DUE TO INHERENT PROTON
DENSITY TOGETHER WITH T1 AND T2 MECHANISMS OCCURS
SIMULTANEOUSLY AND CONTRIBUTES TO IMAGE CONTRAST .
TO WEIGHT AN IMAGE SO THAT ONE PROCESS IS DOMINANT
, THE INFLUENCE OF OTHER PROCESSES IS MINIMIZED
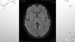
HASTE
HALF FOURIER ACQUISITION SINGLE SHOT TURBO SPIN ECHO
• HASTE IS ECHOPLANAR FAST SPIN ECHO SEQUENCE TRADEMARKED BY SIEMENS.
• IT IS SINGLE SHOT TECHNIQUE. ; THAT MEANS THE DATA FROM ALL K SPACES IS OBTAINED AFTER A
SINGLE 90 DEGREE EXCITATION PULSE.THIS REQUIRES VERY LONG ECHO TRAINS 128, 256 OR HIGHER.
• APPLICATIONS: 1. ROUTINE SCOUT IMAGES 2. MRCP 3. MR MYELOGRAPHY
CHILDREN OR UNCOOPERATIVE PATIENTS
.DISADVANTAGE: SAR IS INCREASED
GRADIENT ECHO SEQUENCE
• GRADIENT ECHO SEQUENCES USE GRADIENTS TO REPHASE THE MAGNETIC MOMENT OF HYDROGEN
NUCLEI AND USUALLY FLIP ANGLES LESS THAN 90degree.BOTH THESE STRATIGIES PERMIT A SHORTER TE
AND TR THAN IN SPIN ECHO PULSE SEQUENCES.
• LOW FLIP ANGLE MEAN THAT, AS LESS LONGITUDINAL MAGNETISATION IS CONVERTED TO TRANVERSE
MAGNETISATION DURING THE EXCITATION PHASE OF THE SEQUENCE, LESS TIME IS REQUIRED FOR
RELAXATION.THAT IS WHY SHORT TR CAN BE USED.
• THE SPEED OF REPHASING IS INCREASED USING A GRADIENT . A BIPOLAR APPLICATION OF FREQUENCY
ENCODING GRADIENT ENABLES MAGNETIC MOMENTS TO REPHASE FASTER THAN WHEN USING AN RF
PULSE .THIS PERMITS A SHORT TE , WHICH MEANS THAT A SHORTER TR CAN BE USED FOR A GIVEN
NUMBER OF SLICES THAN IN SPIN ECHO.
• ALTHOUGH FASTER THAN RF REPHASING , INHOMOGENETIES ARE NOT COMPENSATED FOR IN THIS TYPE
OF SEQUENCE , MAGNETIC SUSCEPTIBILITY ARTIFACTS THEREFORE INCREASE.
STEADY STATE
• WHEN A PHASE COHERENT RF PULSES OF THE SAME FLIP ANGLE ARE APPLIED AT THE
CONSTANT TR THAT IS SHORTER THAN T2 (LESS THAN 50 MILLISECOND) OF THE
TISSUE , THERE IS NOT ENOUGH TIME FOR TM TO DECAY COMPLETELY BEFORE THE
NEXT RF EXCITATION SO THAT THERE WILL BE SOME RESIDUAL TM MAGNETIZATION LEFT
OVER. THIS RESIDUAL MAGNETISATION IS FED BACK INTO LM WITH THE NEXT RF
EXCITATION. AT THE SAME TIME A PORTION OF LM IS FLIPPED INTO TRANSVERSE PLANE .
IF THIS SEQUENCE IS CONTINUED , AFTER SEVERAL TR PERIODS A STEADY STATE OF
MAGNETISATION IS ESTABILISHED WITH CONSTANT MAGNITUDE OF LM AND TM.
• IN THE STEADY STATE , THERE IS COEXISTENCE OF BOTH LONGITUDINAL AND
TRANVERSE MAGNETISATION, THE TRANVERSE COMPONENT OF
MAGNETISATION DOESN’T HAVE TIME TO DECAY AND BUILDS UP OVER
SUCCESSIVE TRS. THIS TRANSVERSE MAGNETIZATION IS PRODUCED BECAUSE
OF PREVIOUS RF EXCITATION PULSES BUT REMAINS OVER SEVERAL TR PERIODS
IN THE TRANSVERSE PLANE CALLED RESIDUAL TRANSVERSE MAGNETIZATION
AND IT AFFECTS IMAGE CONTRAST AS IT INDUCES VOLTAGE IN THE COIL
• ONCE THIS EQULIBRIUM IS ACHIEVED, TWO TYPES OF SIGNALS ARE
PRODUCED. THE FIRST TYPE IS POSTEXCITATION SIGNAL THAT CONSISTS OF
FREE INDUCTION DECAY ARISING FROM THE MOST RECENT RF PULSE . THE
SECOND SIGNAL IS ECHO REFORMATION THAT OCCURS PRIOR TO EXCITATION
AND RESULTS WHEN RESIDUAL TRANSVERSE MAGNETIZATION IS REFOCUSED
AT THE TIME OF SUBSEQUENT RF PULSE. FID HAS MIXED T1 AND T2 *
WEIGHTING . THE SPIN (STIMULATED ) ECHO IS STRONGLY T2 WEIGHTED AND
HAS T2* WEIGHTING
• THE STEADY STATE IS CREATED WHEN THE TR IS SHORTER THAN T1 AND
T2 RELAXATION TIMES OF TISSUES. RESIDUAL TRANSVERSE
MAGNETIZATION THEREFORE BUILDS UP OVER TIME.
• THE RESIDUAL TRANSVERSE MAGNETIZATION IS REPHASED BY
SUBSEQUENT RF PULSES TO FORM STIMULATED ECHO
• THE RESULTANT IMAGE CONTRAST IS THEREFORE DETERMINED BY THE
RATIO OF T1AND T2 IN A TISSUE AND WHETHER THE FID OR THE
STIMULATED ECHO IS SAMPLED.
CLASSIFICATION OF GRADIENT ECHO
• THE WEIGHTING OF VARIOIUS STEADY STATE GRADIENT ECHO SEQUENCES DEPENDS ON
WHETHER THE STIMULATED ECHO OR THE FID OR BOTH ARE USED TO GENERATE THE GRADIENT
ECHO. THEIR CONTRAST IS DETERMINED BY WHICH OF THESE ARE USED TO CREATE THE
GRADIENT ECHO.
• THREE MAIN TYPES OF GRADIENT ECHO THAT ARE CURRENTLY USED :
1. SPOILED OR INCOHERENT GRE
2. COHERENT OR REWOUD OR PARTLIALLY REFOCUSSED GRE
3. BALANCED STEADY STATE FREE PROCESSION OR FULLY REFOCUSSED GRE
SPOILED OR INCOHERENT GRADIENT ECHO
• THESE PULSE SEQUENCES BEGIN WITH VARIABLE FLIP ANGLE RF EXCIATAION PULSE AND USE
GRADIENT REPHASING TO PRODUCE A GRADIENT ECHO. THE STEADY STATE IS MAINTINED SO
THAT RESIDUAL TRANSVERSE MAGNETISATION IS LEFT OVER FROM PREVIOUS TR
PERIODS.THESE SEQUENCES DEPHASE OR SPOIL THIS RESIDUAL MAGNETISATION SO THAT ITS
EFFECT ON IMAGE CONTRAST IS MINIMAL AND ONLY FID IS USED FOR SIGNAL FORMATION
ENABLING T1 CONTRAST TO DOMINATE.
• THERE ARE TWO SPOILING METHODS :
1.RF SPOILING: BY CHANGING PHASE OF SUCCESSIVE RF PULSES.
2. GRADIENT SPOILING: BY USING CRUSHING GRADIENTS.
• AS STIMULATED ECHO CONTAINS MAINLY T2 AND T2* INFORMATION AND THIS IS SPOILED ,
THESE SEQUENCES PRODUCE T1 IMAGES. THIS IS BECAUSE IMAGE CONTRAST IS MAINLY
INFLUNCED BY FID THAT CONTRIBUTES T1 CONTRAST.
• THESE SEQUENCES ARE USED FOR 2D AND VOLUME ACQUISTIONS TO OBTAIN T1 WEIGHTED
BREATH HOLD IMAGES AS TR IS SHORT. THESE ALSO DEMONSTRATE GOOD T1 ANATOMY AND
PATHOLOGY AFTER GADOLINIUM CONTRAST.
SIEMENS SEQUENCES
FLASH MODIFICATION MEDIC
MP RAGE
IN PHASE OUT OF PHASE IMAGING
COHERENT GRADIENT ECHO SEQUENCES
• COHERENT PULSE SEQUENCES USE A VARIABLE FLIP ANGLE RF EXCITATION PULSE FOLLOWED BY
GRADIENT REPHASING TO PRODUCE A GRADIENT ECHO. THE STEADY STATE IS MAINTINED BY
SELECTING A TR SHORTER THAN T1 AND T2 RELAXATION TIMES OF TISSUES. THERE IS THEREFORE
RESIDUAL TRANSVERSE MAGNETISATION LEFT OVER WHEN THE NEXT RF EXCITATION PULSE IS APPLIED.
THESE SEQUENCES MAINTAIN A COHERENCY OF THIS RESIDUAL MAGNETISATION BY REWINDING. THIS
IS ACHIEVED BY REVERSING THE SLOPE OF THE PHASE ENCODING GRADIENT BY READOUT. REWINDING
REPHASES ALL TRANSVERSE MAGNETISATION REGARDLESS OF WHEN IT IS CREATED SO THAT IT IS IN
PHASE OR COHERENT AT THE BEGINNING OF NEXT TR PERIOD. THEREFORE, THE RESULTANT GRADIENT
ECHO CONTAINS INFORMATION FROM THE FID AND STIMULATED ECHO. WITH MODERATE FLIP ANGLES
OF 30 T0 60 DEGREE, THE DIFFRENCES IN TISSUE CONTRAST ARE PRIMARILY BASED ON T2/T1 RATIOS.
THEY ARE USED IN CONJUNCTION WITH LONG TE TO ORODUCE T2* WEIGHTING.
• THEY ARE GENERALLY USED TO CREATE T2* WEIGHTING IMAGES IN VERY SHORT SCAN TIME
THEY ARE USED IN
• MR ANGIOGRAPHY
• MR MYELOGRAPHY
• SWI
• MENISCAL AND CARTILAGE MAPPING
DISADAVANATGE : SENSITIVE TO FLOW AND MOTION
SIEMENS SEQUENCE: FISP
BALANCED STEADY STATE FREE PROCESSION/
FULLY REFOCUSED GRE
• IT IS A MODIFICATION OF COHERENT GRADIENT ECHO SEQUENCE
• IT USES BALANCED GRADIENT IN ALL THE THREE AXES SUCH THAT GRADIENT INDUCED
DEPHASING WITHIN TR IS EXACTLY ZERO . THIS MAKES BALANCED SSFP RELATIVLEY
INSENSITIVE TO MOTION.
• IN ADDITION , THE PHASE OF RF PULSE IS ALTERNATED BETWEEN 0 DEGREE AND 180 DEGREE
WITH EACH SUCCESSIVE PULSE AND THIS ALTERATION RESULTS IN SIGNAL IMPROVEMENT.
• THE TISSUE CONTRAST DEPENDS ON THE T2/T1 RATIO. THUS THERE IS VERY HIGH SIGNAL
INTENSITY FOR FAT AND WATER BECAUSE OF THEIR HIGH T2/T1 RATIO.
AS AREA OF GRADIENT UNDER THE LINE EQUALS THAT ABOVE THE LINE , MOVING SPINS
ACCUMULATE ZERO PHASE CHANGE AS THEY PASS ALONG THE GRADIENTS.
• BALANCED SSFP IS USED IN
CARDIAC IMAGING
FETAL IMAGING
ABDOMINAL IMAGING
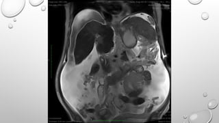
SIEMENS : TRUE FISP
MODIFICATIONS : CISS
DESS
DIFFUSION WEIGHTED IMAGING
• FREE WATER MOLECULES ARE IN THE CONSTANT RANDOM MOTION KNOWN AS BROWNIAN
MOTION WHICH IS RELATED TO THERMAL KINETIC ENERGY. IN CONTRAST THERMALLY
INDUCED WATER MOVEMENT IN TISSUES IS NEITHER ENTIRELY FREE NOR RANDOM , IT IS
MODIFIED BY INTERACTIONS WITH CELL MEMBRANES, INTRACELLULAR ORGANELLES ,
MACROMOLECULES AND FLOWS WITHIN THE TUBULAR CHANNELS SUCH AS BLOOD VESSELS
AND DUCTS. THIS WATER DIFFISIUITY CAN BE MEASURED USING FAT SUPPRESSED T2
WEIGHTED SPIN ECHO SEQUENCE USING SINGLE SHOT ECHOPLANAR IMAGING.
• TWO SYMMETRICAL MOTION PROBING GRADIENT PULSES ARE APPLIED ON EITHER SIDE OF
180 DEGREE REFOCUSING PULSE (STEJSKAL – TANNER SEQUENCE). THE FIRST GRADIENT
DEPHASES THE SPINS AND THE SECOND ONE REPHASES THEM.
• STATIC SPINS ACQUIRE NO NET PHASE CHANGE AFTER THE GRADIENTS ARE APPLIED . THIS IS
BECAUSE THEY DON’T MOVE IN BETWEEN THE TWO GRADIENTS . AS A RESULT HIGH SIGNAL
INTENSITY IS OBTAINED FROM THE TISSUES WITH RESTRICTED DIFFUSION. HOWEVER, MOVING
SPINS ACQUIRE A PHASE CHANGE ; THAT MEANS THEY MOVE BETWEEN THE APPLICATION OF
EACH GRADIENT .THE FIRST GRADIENT DEPHASES THE SPINS BUT THE SECOND GRADIENT CANT
REPHASE THEM BECAUSE THEY MOVE IN THE MEAN TIME.
• ADC = -b ln (DWI/b0)
DWI= DIFFUSION WEIGHTED IMAGE INTENSITY FOR A SPECIFIC b VALUE AND DIFFUSION
GRADIENT DIRECTION.
b0
= REFERENCE IMAGE WITHOUT DIFFUSION WEIGHTING
b = STRENGTH AND DURATION OF APPLICATION OF DIFFUSION SENSITIZING GRADIENT
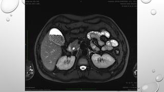
IN PHASE OUT OF PHASE IMAGING
• BESIDES THE DIFFRENCE IN T1 RECOVERY AND T2 DECAY TIMES OF FAT AND WATER PROTONS,
ANOTHER IMPORTANT DIFFRENCE BETWEE THE TWO IS DIFFRENCE IN RESONANCE FREQUENCY
WHICH IS RELATED TO DIFFERENT ELECTRONIC ENVIRONMENTS – WATER AND FAT PROCESS AT
DIFFERENT FREQUENCIES WHICH CAUSES THE PHASE SHIFT BETWEEN THE TWO. THIS PHASE
SHIFT OSSCILATES WITH PERIODICITY SUCH THAT AT 1.5 T, WATER AND FAT PROTONS WILL BE
IN PHASE AT AN ECHO TIME OF 4.4 msec AND WILL BE OUT OF PHASE AT 2.2 msec BEFORE
AND AFTER THE FIRST PHASE TE. THUS VOXELS THAT CONTAIN BOTH FAT AND WATER WILL
HAVE ADDITIVE SIGNAL AT THE IN PHASE TE AND WILL HAVE CANCELLATION OF SIGNAL AT
THE OUT OF PHASE TE.
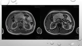
TECHNIQUE
1. THE TYPICAL CHEMICAL SHIFT MRI SEQUENCE IS T1 WEIGHTED SPOILED DUASL GRADIENT
ECHO SEQUENCE
2. IT IS USED WITHOUT FAT SUPRESSION TO AVOID MASKING INDIAN INK ARTEFACT AND
BEFORE THE ADMINISTRATION OF IV CONTRAST TO AVOID ALTERATIONS IN T1 SIGNAL
INTENSITY THAT MAY OBSCURE CHEMICAL SHIFT SIGNAL INTENSITY LOSS.
3. THE IN PHASE AND OUT OF PHASE IMAGES SHOULD BE VIEWED SIMULTANEOUSLY ON A
SINGLE MONITOR TO AVOID ARTIFACTUAL DIFFERENCE IN SIGNAL INTENSITY.
MRI ACRONYMS
CROSS VENDOR COMPARISONS
Balanced SSFP
BASIC MRI SEQUENCES SPIN ECHO AND GRADIENT .pptx
BASIC MRI SEQUENCES SPIN ECHO AND GRADIENT .pptx

BASIC MRI SEQUENCES SPIN ECHO AND GRADIENT .pptx

  • 1.
  • 2.
    IMAGE WEIGHTING IN ANYIMAGE, CONTRAST DUE TO INHERENT PROTON DENSITY TOGETHER WITH T1 AND T2 MECHANISMS OCCURS SIMULTANEOUSLY AND CONTRIBUTES TO IMAGE CONTRAST . TO WEIGHT AN IMAGE SO THAT ONE PROCESS IS DOMINANT , THE INFLUENCE OF OTHER PROCESSES IS MINIMIZED
  • 12.
    HASTE HALF FOURIER ACQUISITIONSINGLE SHOT TURBO SPIN ECHO • HASTE IS ECHOPLANAR FAST SPIN ECHO SEQUENCE TRADEMARKED BY SIEMENS. • IT IS SINGLE SHOT TECHNIQUE. ; THAT MEANS THE DATA FROM ALL K SPACES IS OBTAINED AFTER A SINGLE 90 DEGREE EXCITATION PULSE.THIS REQUIRES VERY LONG ECHO TRAINS 128, 256 OR HIGHER. • APPLICATIONS: 1. ROUTINE SCOUT IMAGES 2. MRCP 3. MR MYELOGRAPHY CHILDREN OR UNCOOPERATIVE PATIENTS .DISADVANTAGE: SAR IS INCREASED
  • 17.
    GRADIENT ECHO SEQUENCE •GRADIENT ECHO SEQUENCES USE GRADIENTS TO REPHASE THE MAGNETIC MOMENT OF HYDROGEN NUCLEI AND USUALLY FLIP ANGLES LESS THAN 90degree.BOTH THESE STRATIGIES PERMIT A SHORTER TE AND TR THAN IN SPIN ECHO PULSE SEQUENCES. • LOW FLIP ANGLE MEAN THAT, AS LESS LONGITUDINAL MAGNETISATION IS CONVERTED TO TRANVERSE MAGNETISATION DURING THE EXCITATION PHASE OF THE SEQUENCE, LESS TIME IS REQUIRED FOR RELAXATION.THAT IS WHY SHORT TR CAN BE USED. • THE SPEED OF REPHASING IS INCREASED USING A GRADIENT . A BIPOLAR APPLICATION OF FREQUENCY ENCODING GRADIENT ENABLES MAGNETIC MOMENTS TO REPHASE FASTER THAN WHEN USING AN RF PULSE .THIS PERMITS A SHORT TE , WHICH MEANS THAT A SHORTER TR CAN BE USED FOR A GIVEN NUMBER OF SLICES THAN IN SPIN ECHO. • ALTHOUGH FASTER THAN RF REPHASING , INHOMOGENETIES ARE NOT COMPENSATED FOR IN THIS TYPE OF SEQUENCE , MAGNETIC SUSCEPTIBILITY ARTIFACTS THEREFORE INCREASE.
  • 18.
    STEADY STATE • WHENA PHASE COHERENT RF PULSES OF THE SAME FLIP ANGLE ARE APPLIED AT THE CONSTANT TR THAT IS SHORTER THAN T2 (LESS THAN 50 MILLISECOND) OF THE TISSUE , THERE IS NOT ENOUGH TIME FOR TM TO DECAY COMPLETELY BEFORE THE NEXT RF EXCITATION SO THAT THERE WILL BE SOME RESIDUAL TM MAGNETIZATION LEFT OVER. THIS RESIDUAL MAGNETISATION IS FED BACK INTO LM WITH THE NEXT RF EXCITATION. AT THE SAME TIME A PORTION OF LM IS FLIPPED INTO TRANSVERSE PLANE . IF THIS SEQUENCE IS CONTINUED , AFTER SEVERAL TR PERIODS A STEADY STATE OF MAGNETISATION IS ESTABILISHED WITH CONSTANT MAGNITUDE OF LM AND TM.
  • 19.
    • IN THESTEADY STATE , THERE IS COEXISTENCE OF BOTH LONGITUDINAL AND TRANVERSE MAGNETISATION, THE TRANVERSE COMPONENT OF MAGNETISATION DOESN’T HAVE TIME TO DECAY AND BUILDS UP OVER SUCCESSIVE TRS. THIS TRANSVERSE MAGNETIZATION IS PRODUCED BECAUSE OF PREVIOUS RF EXCITATION PULSES BUT REMAINS OVER SEVERAL TR PERIODS IN THE TRANSVERSE PLANE CALLED RESIDUAL TRANSVERSE MAGNETIZATION AND IT AFFECTS IMAGE CONTRAST AS IT INDUCES VOLTAGE IN THE COIL
  • 20.
    • ONCE THISEQULIBRIUM IS ACHIEVED, TWO TYPES OF SIGNALS ARE PRODUCED. THE FIRST TYPE IS POSTEXCITATION SIGNAL THAT CONSISTS OF FREE INDUCTION DECAY ARISING FROM THE MOST RECENT RF PULSE . THE SECOND SIGNAL IS ECHO REFORMATION THAT OCCURS PRIOR TO EXCITATION AND RESULTS WHEN RESIDUAL TRANSVERSE MAGNETIZATION IS REFOCUSED AT THE TIME OF SUBSEQUENT RF PULSE. FID HAS MIXED T1 AND T2 * WEIGHTING . THE SPIN (STIMULATED ) ECHO IS STRONGLY T2 WEIGHTED AND HAS T2* WEIGHTING
  • 22.
    • THE STEADYSTATE IS CREATED WHEN THE TR IS SHORTER THAN T1 AND T2 RELAXATION TIMES OF TISSUES. RESIDUAL TRANSVERSE MAGNETIZATION THEREFORE BUILDS UP OVER TIME. • THE RESIDUAL TRANSVERSE MAGNETIZATION IS REPHASED BY SUBSEQUENT RF PULSES TO FORM STIMULATED ECHO • THE RESULTANT IMAGE CONTRAST IS THEREFORE DETERMINED BY THE RATIO OF T1AND T2 IN A TISSUE AND WHETHER THE FID OR THE STIMULATED ECHO IS SAMPLED.
  • 23.
    CLASSIFICATION OF GRADIENTECHO • THE WEIGHTING OF VARIOIUS STEADY STATE GRADIENT ECHO SEQUENCES DEPENDS ON WHETHER THE STIMULATED ECHO OR THE FID OR BOTH ARE USED TO GENERATE THE GRADIENT ECHO. THEIR CONTRAST IS DETERMINED BY WHICH OF THESE ARE USED TO CREATE THE GRADIENT ECHO. • THREE MAIN TYPES OF GRADIENT ECHO THAT ARE CURRENTLY USED : 1. SPOILED OR INCOHERENT GRE 2. COHERENT OR REWOUD OR PARTLIALLY REFOCUSSED GRE 3. BALANCED STEADY STATE FREE PROCESSION OR FULLY REFOCUSSED GRE
  • 24.
    SPOILED OR INCOHERENTGRADIENT ECHO • THESE PULSE SEQUENCES BEGIN WITH VARIABLE FLIP ANGLE RF EXCIATAION PULSE AND USE GRADIENT REPHASING TO PRODUCE A GRADIENT ECHO. THE STEADY STATE IS MAINTINED SO THAT RESIDUAL TRANSVERSE MAGNETISATION IS LEFT OVER FROM PREVIOUS TR PERIODS.THESE SEQUENCES DEPHASE OR SPOIL THIS RESIDUAL MAGNETISATION SO THAT ITS EFFECT ON IMAGE CONTRAST IS MINIMAL AND ONLY FID IS USED FOR SIGNAL FORMATION ENABLING T1 CONTRAST TO DOMINATE. • THERE ARE TWO SPOILING METHODS : 1.RF SPOILING: BY CHANGING PHASE OF SUCCESSIVE RF PULSES. 2. GRADIENT SPOILING: BY USING CRUSHING GRADIENTS.
  • 25.
    • AS STIMULATEDECHO CONTAINS MAINLY T2 AND T2* INFORMATION AND THIS IS SPOILED , THESE SEQUENCES PRODUCE T1 IMAGES. THIS IS BECAUSE IMAGE CONTRAST IS MAINLY INFLUNCED BY FID THAT CONTRIBUTES T1 CONTRAST. • THESE SEQUENCES ARE USED FOR 2D AND VOLUME ACQUISTIONS TO OBTAIN T1 WEIGHTED BREATH HOLD IMAGES AS TR IS SHORT. THESE ALSO DEMONSTRATE GOOD T1 ANATOMY AND PATHOLOGY AFTER GADOLINIUM CONTRAST. SIEMENS SEQUENCES FLASH MODIFICATION MEDIC MP RAGE IN PHASE OUT OF PHASE IMAGING
  • 26.
    COHERENT GRADIENT ECHOSEQUENCES • COHERENT PULSE SEQUENCES USE A VARIABLE FLIP ANGLE RF EXCITATION PULSE FOLLOWED BY GRADIENT REPHASING TO PRODUCE A GRADIENT ECHO. THE STEADY STATE IS MAINTINED BY SELECTING A TR SHORTER THAN T1 AND T2 RELAXATION TIMES OF TISSUES. THERE IS THEREFORE RESIDUAL TRANSVERSE MAGNETISATION LEFT OVER WHEN THE NEXT RF EXCITATION PULSE IS APPLIED. THESE SEQUENCES MAINTAIN A COHERENCY OF THIS RESIDUAL MAGNETISATION BY REWINDING. THIS IS ACHIEVED BY REVERSING THE SLOPE OF THE PHASE ENCODING GRADIENT BY READOUT. REWINDING REPHASES ALL TRANSVERSE MAGNETISATION REGARDLESS OF WHEN IT IS CREATED SO THAT IT IS IN PHASE OR COHERENT AT THE BEGINNING OF NEXT TR PERIOD. THEREFORE, THE RESULTANT GRADIENT ECHO CONTAINS INFORMATION FROM THE FID AND STIMULATED ECHO. WITH MODERATE FLIP ANGLES OF 30 T0 60 DEGREE, THE DIFFRENCES IN TISSUE CONTRAST ARE PRIMARILY BASED ON T2/T1 RATIOS. THEY ARE USED IN CONJUNCTION WITH LONG TE TO ORODUCE T2* WEIGHTING.
  • 28.
    • THEY AREGENERALLY USED TO CREATE T2* WEIGHTING IMAGES IN VERY SHORT SCAN TIME THEY ARE USED IN • MR ANGIOGRAPHY • MR MYELOGRAPHY • SWI • MENISCAL AND CARTILAGE MAPPING DISADAVANATGE : SENSITIVE TO FLOW AND MOTION SIEMENS SEQUENCE: FISP
  • 30.
    BALANCED STEADY STATEFREE PROCESSION/ FULLY REFOCUSED GRE • IT IS A MODIFICATION OF COHERENT GRADIENT ECHO SEQUENCE • IT USES BALANCED GRADIENT IN ALL THE THREE AXES SUCH THAT GRADIENT INDUCED DEPHASING WITHIN TR IS EXACTLY ZERO . THIS MAKES BALANCED SSFP RELATIVLEY INSENSITIVE TO MOTION. • IN ADDITION , THE PHASE OF RF PULSE IS ALTERNATED BETWEEN 0 DEGREE AND 180 DEGREE WITH EACH SUCCESSIVE PULSE AND THIS ALTERATION RESULTS IN SIGNAL IMPROVEMENT. • THE TISSUE CONTRAST DEPENDS ON THE T2/T1 RATIO. THUS THERE IS VERY HIGH SIGNAL INTENSITY FOR FAT AND WATER BECAUSE OF THEIR HIGH T2/T1 RATIO.
  • 31.
    AS AREA OFGRADIENT UNDER THE LINE EQUALS THAT ABOVE THE LINE , MOVING SPINS ACCUMULATE ZERO PHASE CHANGE AS THEY PASS ALONG THE GRADIENTS.
  • 32.
    • BALANCED SSFPIS USED IN CARDIAC IMAGING FETAL IMAGING ABDOMINAL IMAGING SIEMENS : TRUE FISP MODIFICATIONS : CISS DESS
  • 35.
    DIFFUSION WEIGHTED IMAGING •FREE WATER MOLECULES ARE IN THE CONSTANT RANDOM MOTION KNOWN AS BROWNIAN MOTION WHICH IS RELATED TO THERMAL KINETIC ENERGY. IN CONTRAST THERMALLY INDUCED WATER MOVEMENT IN TISSUES IS NEITHER ENTIRELY FREE NOR RANDOM , IT IS MODIFIED BY INTERACTIONS WITH CELL MEMBRANES, INTRACELLULAR ORGANELLES , MACROMOLECULES AND FLOWS WITHIN THE TUBULAR CHANNELS SUCH AS BLOOD VESSELS AND DUCTS. THIS WATER DIFFISIUITY CAN BE MEASURED USING FAT SUPPRESSED T2 WEIGHTED SPIN ECHO SEQUENCE USING SINGLE SHOT ECHOPLANAR IMAGING.
  • 36.
    • TWO SYMMETRICALMOTION PROBING GRADIENT PULSES ARE APPLIED ON EITHER SIDE OF 180 DEGREE REFOCUSING PULSE (STEJSKAL – TANNER SEQUENCE). THE FIRST GRADIENT DEPHASES THE SPINS AND THE SECOND ONE REPHASES THEM. • STATIC SPINS ACQUIRE NO NET PHASE CHANGE AFTER THE GRADIENTS ARE APPLIED . THIS IS BECAUSE THEY DON’T MOVE IN BETWEEN THE TWO GRADIENTS . AS A RESULT HIGH SIGNAL INTENSITY IS OBTAINED FROM THE TISSUES WITH RESTRICTED DIFFUSION. HOWEVER, MOVING SPINS ACQUIRE A PHASE CHANGE ; THAT MEANS THEY MOVE BETWEEN THE APPLICATION OF EACH GRADIENT .THE FIRST GRADIENT DEPHASES THE SPINS BUT THE SECOND GRADIENT CANT REPHASE THEM BECAUSE THEY MOVE IN THE MEAN TIME.
  • 39.
    • ADC =-b ln (DWI/b0) DWI= DIFFUSION WEIGHTED IMAGE INTENSITY FOR A SPECIFIC b VALUE AND DIFFUSION GRADIENT DIRECTION. b0 = REFERENCE IMAGE WITHOUT DIFFUSION WEIGHTING b = STRENGTH AND DURATION OF APPLICATION OF DIFFUSION SENSITIZING GRADIENT
  • 40.
    IN PHASE OUTOF PHASE IMAGING • BESIDES THE DIFFRENCE IN T1 RECOVERY AND T2 DECAY TIMES OF FAT AND WATER PROTONS, ANOTHER IMPORTANT DIFFRENCE BETWEE THE TWO IS DIFFRENCE IN RESONANCE FREQUENCY WHICH IS RELATED TO DIFFERENT ELECTRONIC ENVIRONMENTS – WATER AND FAT PROCESS AT DIFFERENT FREQUENCIES WHICH CAUSES THE PHASE SHIFT BETWEEN THE TWO. THIS PHASE SHIFT OSSCILATES WITH PERIODICITY SUCH THAT AT 1.5 T, WATER AND FAT PROTONS WILL BE IN PHASE AT AN ECHO TIME OF 4.4 msec AND WILL BE OUT OF PHASE AT 2.2 msec BEFORE AND AFTER THE FIRST PHASE TE. THUS VOXELS THAT CONTAIN BOTH FAT AND WATER WILL HAVE ADDITIVE SIGNAL AT THE IN PHASE TE AND WILL HAVE CANCELLATION OF SIGNAL AT THE OUT OF PHASE TE.
  • 44.
    TECHNIQUE 1. THE TYPICALCHEMICAL SHIFT MRI SEQUENCE IS T1 WEIGHTED SPOILED DUASL GRADIENT ECHO SEQUENCE 2. IT IS USED WITHOUT FAT SUPRESSION TO AVOID MASKING INDIAN INK ARTEFACT AND BEFORE THE ADMINISTRATION OF IV CONTRAST TO AVOID ALTERATIONS IN T1 SIGNAL INTENSITY THAT MAY OBSCURE CHEMICAL SHIFT SIGNAL INTENSITY LOSS. 3. THE IN PHASE AND OUT OF PHASE IMAGES SHOULD BE VIEWED SIMULTANEOUSLY ON A SINGLE MONITOR TO AVOID ARTIFACTUAL DIFFERENCE IN SIGNAL INTENSITY.
  • 48.
  • 49.