Approach To A Patient With
STROKE
Dr. Siadul Islam Soikot
Blood Supply of Brain
STROKE
Acute onset of neurological deficit due to non-traumatic
vascular cause, lasting more than 24 hours
According to WHO, 1970
TYPES OF STROKE
Due to occlusion of
cerebral artety
Due to rupture of
vessels of brain
Risk Factors :
Clinical Features
FAST Symptoms
Nervous System
Examination
Level of consciousness: GCS
Scoring
Jerks : Exaggerated in
contralateral side
Planter : Extensor in
contralateral side
Extensor Planter Reflex
Behind sign
● 1. Dorsiflexion of
great toe
● 2. Fanning out of
other toes
INVESTIGATIONS
● Routine :
01.CT Scan of brain
02.CBC with ESR
03.RBS
04.S. Electrolytes
05.CXR P/A View
06.ECG
INVESTIGATIONS FOR UNDERLYING CAUSES :
01.Echocardiograph (any embolism from heart)
02.LP ( whether SAH)
03.Digital Subtraction Angiography (To find out AVM)
04. For Hypercoagulable state :
a.Protien-c
b.protien-s
c.AT-lll
05.For collagen Vascular Disease - Anticardiolipin Antibody
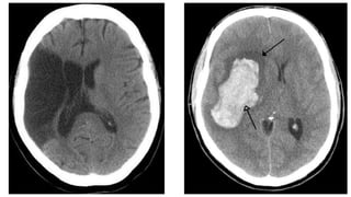
Keep In Mind
In patients with a clinical diagnosis of an acute
stroke, a CT scan that shows no intracerebral
haemorrhage makes an ischaemic stroke the
likelier diagnosis.
TREATMENT
1. General Treatment
2. Specific Treatment
General Treatment
Specific Treatment For Ischemic Stroke
TPA
Specific Treatment For Hemorrhagic stroke
● CCB : If Ventricular Extension or Midline shifting
MANAGEMENT HYPERTENSION in ICH
Current guidelines for managing elevated blood pressure in aecute spontancous ICH are asfollows:
a. For patients with SBP >200 mmHg or MAP >150 mmHg, consider aggressive reduction of blood pressure with
continuous intravenous infusion of medication accompanied by frequient (every five minules) blood pressure
monitoring
b. For patients with SBP >180 mmHg or MAP >130 mmHg and evidence or suspicion of elevated ICP,consider
monitoring ICP' and reducing blood pressure using intermittent or continuous intravenous medication to keep
cerebral perfusion pressure in the rangeof 6l to 80 mmHg
c. For patients with SBP >180 mmHg or MAP >130 mmHg and no evidence or suspicion of elevated ICP, consider
a modest reduction of blood pressure (eg,target MAP of 110 mmHg or target blood pressure of 160/90
mmHg)using intermittent or continuous intravenous medication, and clinically reexamine the patient every 15
minutes
● Labetalol,nicardipine, esmolol,enalapril,hydralazine, nitroprusside,and nitroglycerin are useful
intravenous agents for controlling blood,pressure.
Management of hypertension in subarachnoid
Hemorrhage
● 1. Patients with SAH often develop increased intracranial pressure (ICP). With increased
ICP,cerebral perfusion may be impaired. Cerebral perfusion pressure (CPP) equals the
mean arterial pressure (MAP) minus the ICP.
● 2.Thus,increases in MAP may be the only means to maintain CPP at a level necessary
tomaintain perfusion. Target cerebral perfusion pressure is 60-70 mmHg.
● 3. On the other hand, elevated blood pressure can worsen a SAH.
● 4. While lowering blood pressure may decrease the risk of rebleeding, this benefit may
be offset by an increased risk of infarction.
● 5.Ventriculostomy is placed in appropriate patients; this allows direct measurement of
intracranial pressure and often drops systemic blood pressure into the normal range.
● 6. In the absence of ICP measurement, antihypertensive therapy is often withheld unless
there is a severe elevation in blood pressure because of concern about cerebral
ischemia and the frequent compensatory nature of acute hypertension.
● 7. The patient's cognitive status may be a useful guide
● a. If the patient is alert, then CPP is adequate, and lowering the blood pressure may
decrease the risk of rerupture. It is reasonable to lower the SBP to below 160 mmHg.
● b. In contrast, antihypertensive therapyis generally withheld in those with a severely
impaired level of consciousness since the impairment may be due to a reduced CPP.
● 8. When blood pressure controI is necessary, the use of vasodilators such as
nitroprusside or nitroglycerin should be avoided because of their propensity to increase
cerebral blood volume and therefore intracranial pressure.
● 9. Preferred antihypertensive drug are labetalol, esmolol or nicardipine.
Complications :
Approach A Patient With STROKE for beginnerspptx
Approach A Patient With STROKE for beginnerspptx

Approach A Patient With STROKE for beginnerspptx

  • 1.
    Approach To APatient With STROKE Dr. Siadul Islam Soikot
  • 2.
  • 4.
    STROKE Acute onset ofneurological deficit due to non-traumatic vascular cause, lasting more than 24 hours According to WHO, 1970
  • 5.
    TYPES OF STROKE Dueto occlusion of cerebral artety Due to rupture of vessels of brain
  • 6.
  • 7.
  • 8.
  • 10.
    Nervous System Examination Level ofconsciousness: GCS Scoring Jerks : Exaggerated in contralateral side Planter : Extensor in contralateral side
  • 11.
    Extensor Planter Reflex Behindsign ● 1. Dorsiflexion of great toe ● 2. Fanning out of other toes
  • 12.
    INVESTIGATIONS ● Routine : 01.CTScan of brain 02.CBC with ESR 03.RBS 04.S. Electrolytes 05.CXR P/A View 06.ECG
  • 13.
    INVESTIGATIONS FOR UNDERLYINGCAUSES : 01.Echocardiograph (any embolism from heart) 02.LP ( whether SAH) 03.Digital Subtraction Angiography (To find out AVM) 04. For Hypercoagulable state : a.Protien-c b.protien-s c.AT-lll 05.For collagen Vascular Disease - Anticardiolipin Antibody
  • 15.
    Keep In Mind Inpatients with a clinical diagnosis of an acute stroke, a CT scan that shows no intracerebral haemorrhage makes an ischaemic stroke the likelier diagnosis.
  • 16.
  • 17.
  • 19.
    Specific Treatment ForIschemic Stroke
  • 20.
  • 21.
    Specific Treatment ForHemorrhagic stroke ● CCB : If Ventricular Extension or Midline shifting
  • 22.
    MANAGEMENT HYPERTENSION inICH Current guidelines for managing elevated blood pressure in aecute spontancous ICH are asfollows: a. For patients with SBP >200 mmHg or MAP >150 mmHg, consider aggressive reduction of blood pressure with continuous intravenous infusion of medication accompanied by frequient (every five minules) blood pressure monitoring b. For patients with SBP >180 mmHg or MAP >130 mmHg and evidence or suspicion of elevated ICP,consider monitoring ICP' and reducing blood pressure using intermittent or continuous intravenous medication to keep cerebral perfusion pressure in the rangeof 6l to 80 mmHg c. For patients with SBP >180 mmHg or MAP >130 mmHg and no evidence or suspicion of elevated ICP, consider a modest reduction of blood pressure (eg,target MAP of 110 mmHg or target blood pressure of 160/90 mmHg)using intermittent or continuous intravenous medication, and clinically reexamine the patient every 15 minutes ● Labetalol,nicardipine, esmolol,enalapril,hydralazine, nitroprusside,and nitroglycerin are useful intravenous agents for controlling blood,pressure.
  • 23.
    Management of hypertensionin subarachnoid Hemorrhage ● 1. Patients with SAH often develop increased intracranial pressure (ICP). With increased ICP,cerebral perfusion may be impaired. Cerebral perfusion pressure (CPP) equals the mean arterial pressure (MAP) minus the ICP. ● 2.Thus,increases in MAP may be the only means to maintain CPP at a level necessary tomaintain perfusion. Target cerebral perfusion pressure is 60-70 mmHg. ● 3. On the other hand, elevated blood pressure can worsen a SAH. ● 4. While lowering blood pressure may decrease the risk of rebleeding, this benefit may be offset by an increased risk of infarction. ● 5.Ventriculostomy is placed in appropriate patients; this allows direct measurement of intracranial pressure and often drops systemic blood pressure into the normal range. ● 6. In the absence of ICP measurement, antihypertensive therapy is often withheld unless there is a severe elevation in blood pressure because of concern about cerebral ischemia and the frequent compensatory nature of acute hypertension.
  • 24.
    ● 7. Thepatient's cognitive status may be a useful guide ● a. If the patient is alert, then CPP is adequate, and lowering the blood pressure may decrease the risk of rerupture. It is reasonable to lower the SBP to below 160 mmHg. ● b. In contrast, antihypertensive therapyis generally withheld in those with a severely impaired level of consciousness since the impairment may be due to a reduced CPP. ● 8. When blood pressure controI is necessary, the use of vasodilators such as nitroprusside or nitroglycerin should be avoided because of their propensity to increase cerebral blood volume and therefore intracranial pressure. ● 9. Preferred antihypertensive drug are labetalol, esmolol or nicardipine.
  • 25.