APPENDISITIS
DEFINISI
suatu inflamasi apendiks yang terjadi
secara tiba- tiba. Apendiks merupakan
suatu tabung kecil berbentuk jari yang
bercabang dari usus besar.
ETIOLOGI
• Apendisitis diakibatkan oleh
obstruksi pada lumen apendiks.
• Obstruksi dapat berupan fekalit,
cacing, striktur, tumor dan benda
asing.
KOMPLIKASI
• Perforasi
• Peritonitis
• Abses apendiks
• Pleflebitis (tromboflebitis
septik vena portal)
GEJALA
• Nyeri pada perut kanan bawah
• Mual
• Muntah
• Demam
• Nyeri batuk
• Nyeri ketok
• Defans local
• Lekositosis
Pada foto polos biasanya sulit untuk mendiagnosis penyakit ini, biasanya kita
hanya melihat gambaran ileus, appendikolith, abses dengan efek massa dan
atau kadang disertai air collection
Foto polos abdomen dengan apendiksnormal Apendikolith pada foto AP abdomen quadran kanan
bawah pada anak perempuan 10 tahun
Gambaran apendisitis dengan permukaan mukosa lumen
apendiks yang irreguler
USG
Apendisitis pada USG akan ditemukan bayangan apendiks
yang dilatasi , diameter lebih dan 7cm, noncompressable,
dengan tebal dinding lebih dari 2 mm, kanadang lumen
terisi cairan (fluid-filled), dan bisa ditemukan apendikolith
apendicitis. Dengan compressi (a) hanya tampak sedikit
perubahan kaliberdibandingkan dengan tanpa kompressi
USG apendiks. (a) potongan longitudinal; Tampak dinding apendiks
yang tebal (b) potongan transversa di kuadran kanan bawah, tampak
struktur tubular dengan dinding laminated
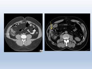
CT-Scan
(a) apendikogram tampak apendiks tidak terisi penuh oleh barium;
(b) CT-Scan (pada pasien yang sama) tampak apendiks dilatasi pada
daerah retrocecal.
MRI
(Kanan) Tampak apendikolith pada CT-Scan, (Kiri) MRI pada T1WI tampak
abses, tetapi apendikolith tidak tampak

APPENDISITIS[1].pptx

  • 1.
    APPENDISITIS DEFINISI suatu inflamasi apendiksyang terjadi secara tiba- tiba. Apendiks merupakan suatu tabung kecil berbentuk jari yang bercabang dari usus besar. ETIOLOGI • Apendisitis diakibatkan oleh obstruksi pada lumen apendiks. • Obstruksi dapat berupan fekalit, cacing, striktur, tumor dan benda asing. KOMPLIKASI • Perforasi • Peritonitis • Abses apendiks • Pleflebitis (tromboflebitis septik vena portal) GEJALA • Nyeri pada perut kanan bawah • Mual • Muntah • Demam • Nyeri batuk • Nyeri ketok • Defans local • Lekositosis
  • 2.
    Pada foto polosbiasanya sulit untuk mendiagnosis penyakit ini, biasanya kita hanya melihat gambaran ileus, appendikolith, abses dengan efek massa dan atau kadang disertai air collection Foto polos abdomen dengan apendiksnormal Apendikolith pada foto AP abdomen quadran kanan bawah pada anak perempuan 10 tahun
  • 4.
    Gambaran apendisitis denganpermukaan mukosa lumen apendiks yang irreguler
  • 5.
    USG Apendisitis pada USGakan ditemukan bayangan apendiks yang dilatasi , diameter lebih dan 7cm, noncompressable, dengan tebal dinding lebih dari 2 mm, kanadang lumen terisi cairan (fluid-filled), dan bisa ditemukan apendikolith apendicitis. Dengan compressi (a) hanya tampak sedikit perubahan kaliberdibandingkan dengan tanpa kompressi
  • 6.
    USG apendiks. (a)potongan longitudinal; Tampak dinding apendiks yang tebal (b) potongan transversa di kuadran kanan bawah, tampak struktur tubular dengan dinding laminated
  • 7.
    CT-Scan (a) apendikogram tampakapendiks tidak terisi penuh oleh barium; (b) CT-Scan (pada pasien yang sama) tampak apendiks dilatasi pada daerah retrocecal.
  • 9.
    MRI (Kanan) Tampak apendikolithpada CT-Scan, (Kiri) MRI pada T1WI tampak abses, tetapi apendikolith tidak tampak