Aortic Aneurysm
outline
Introduction
Definition
Epidemiology
Etiology
Risk Factor
Pathophysiology
Diagnose
Differential Diagnose
Management
Prevention
Sign & Symptom
Prevention
Complication
Case
Prognosis
INTRODUCTION
 Aneurysm is an abnormal bulge in the wall of an artery
 Aneurysm 15.000 deaths yearly, 10th
leading causes
 Atherosclerosis plaque formation and rupture can increase the risk of
aneurysm
 Aortic aneurysms are balloon-like bulges that occur in the aorta, the
main artery carrying oxygen-rich blood to your body.
 The aorta has thick walls that stand up to normal blood pressure.
However, certain medical problems, genetic conditions, and trauma
can damage or weaken these walls. The force of blood pushing against
the weakened or injured walls can cause an aneurysm.
Definition
Pre-aneurysm dilatation -->
aortic diameter 25 mm - 29
mm
Aneurysms : permanent focal dilatation
of artery to 1.5 times from its normal
diameter
Normal infrarenal aortic diameter in 50
year old: men 1.7 cm and women 1.5
cm
≥3.0 cm in diameter and can be a significant cause of morbidity and
mortality. Symptomatic aneurysms and those ≥5.0 cm in diameter
frequently require prompt operative repair.
AAA
 A maximum dilatation or widening of the abdominal (infrarenal)
aortic diameter of 3.0 cm or more or 1.5 times from expected
normal diameter to compensate for individual variation of the
adjacent aorta
 AAA: abdominal and thoracoabdominal
In the abdomen --> association with renal arteries
- infrarenal (85%)
- pararenal with involvement of 1 or both
renal arteries
- suprarenal
 Common iliac arteries are often involved
TAA
Epidemiology
AAA
But AAA is
decreased
Older patients (65-80 years) --> 2.2%
Prevalence : men 4-8% and women 1-2%
Prevalence Aortic aneurysm is increased,
From 15,000 to 13,000 deaths yearly
In 2000 --> 10th leading cause of death in USA
TAA - 6 cases per 100,000 person-years
Etiology
• Ascending thoracic aortic aneurysm
• Histologically appear as smooth muscle dropout and
elastic fiber degeneration
• Leads to weakening of aortic wall, causing aortic
dilatation and aneurysm formation
Cystic medial degeneration
• In young patients
• Heritable disorder
• Mutation in one of the genes for fibrilin-1
Marfan Syndrome
• Heritable
• Ascending thoracic aortic aneurysm
• Aortic regurgitation  aortic valve become
stiff and not opening well heart pumping
harder  aorta dilatation
Bicuspid Aortic valve
• Aneurysm of descending thoracic aorta
• Aneurysm of abdominal aorta
Atherosclerosis
• In second phase of disease, spirochetes infect the aortic
media
• Destruction of collagen and elastic tissue  aorta dilatation
Syphilis
• Takayasu’s arteritis
• In young women
Aortic Arteritis
Aortic Dissection
• distinct  saccular
Trauma
SYMPTOMS
 Sudden severe back or abdominal pain, hypotension, and a pulsa_x0002_tile
abdominal mass. Patients may also present with syncope or pain that localizes
to the flank, groin, hip, or abdomen.
 Half of patients with a rupturing aneurysm describe a ripping or tearing pain
that is severe and abrupt in onset.
 Difficult or painful swallowing if the aneurysm pushes on your esophagus, the
tube that connects your mouth and your stomach
 Difficulty breathing if it pushes on your trachea, or windpipe
 Feeling full after not eating very much
 Hoarseness
 Pain in the neck, jaw, back, chest, stomach area or shoulder, depending on
where the aneurysm is located
 A pulsating or throbbing feeling in your stomach area
 Shortness of breath if the aneurysm presses on your lung
 Swelling of the face, neck, or arms if the aneurysm pushes on the superior vena
cava, the main vein returning blood from your upper body to your heart
 Light-headedness,Rapid heart rate,Sudden, severe pain
RISK FACTORS
• Abdominal aortic aneurysm
Smoking
• Old age
• Men tend to get abdominal aortic aneurysm at younger age
compared to women
Age
Hypertension
Hyperlipidemia
• Men > women
• Women with abdominal aortic aneurysm are likely to have family history
of the disorder
Gender
PATOPHYSIOLOGY
Abdominal AorticAneurysm
 Elastin
 Proteolysis, metalloproteinases, and inlammation
DECREASE OF ELASTIN
MEDIALTHINNINGAND
INTIMALTHICKENING
INCREASE OF
CONCENTRATION OF
PROTEOLYTIC ENZYMES
INCREASE OF
CONCENTRATION OFTHE
INHIBITOR
PATOPHYSIOLOGY
INCREASED
METALLOPROTEINASES
DEGRADATION OF
ELASTINAND COLLAGEN
IMMUNOREACTIVE
PROTEIN MORE IN
ABDOMINAL AORTA
INCREASE OF FREQUENCY
OFANEURYSM
DECREASED INHIBITIOR
ACTIVITY
PATOPHYSIOLOGY
Molecular Genetics
Atherosclerosis
• Atherosclerosis causing
mechanical weakening of the
aortic wall with loss of elastic
recoil.
PATOPHYSIOLOGY
 ThoracicAortic Aneurysm
INCREASE OF SPECIFIC
ENZYMES
DEGRADATION OF
STRUCTURAL PROTEIN
WEAKENING OFTHE
AORTICWALL, LOSS OF
ELASTICITY,AND
CONSEQUENT
DILATATION
• ELASTIC FIBER
FRAGMENTATION
• DEGENERATION OF
MEDIA
PATOPHYSIOLOGY
TENSION
INCREASED
PRESSURE
INCREASE
INCREASING
RADIUS
INCREASETHE RISK OF RUPTURE
Sign and Symptom
Abdominal AorticAneurysm
• Pain in the abdomen
• Pain radiating to lower
back
• Nausea and vomiting
• Constipation
• Light-headedness
ThoracicAortic Aneurysms
• Asymptomatic
• Pain in jaw, neck and chest
• Pressure on trachea:
dyspnea and cough
• Pain while swelling
Thoracic Aortic Aneurysm
How to diagnose ?
Chest X-Ray
• Abnormal aortic sillhouette
• Mediastinal mass  diffuse
widening mediastinum
• Enlargement aortic knob
• Tracheal deviation
• Change in aortic contour
Aortography
 Preoperative evaluation 
define location an extent of
aneurysm
 Replaced by CT and MRI
CT Scan
 Contrast-enhanced
 observe the morphology, pattern,
distribution of thrombus and
calcification, and visualization of
dissection and intimal flap.
Descending thoracic
aortic aneurysm
CT Scan
Ascending thoracic
aortic aneurysm
MRI
 Best assessment of true
size, lumen and vessel
well, observing
excellent vessel anatomy
and surrounding
structure.
 Least renal toxicity, but
time consuming and not
for unstable patient.
CTAngiography
 Good for imaging tortuous thoracic aorta
 Reconstruct axial images to 3D
 Accurate diameter
MRAngiography
 Multiple planes 3D with
Gadollinium Contrast
 Accurate diameter, shows blood
flow, not visualize adventitia
well
Transthoracic Echocardiogram
 Demonstration of aortic
enlargement
 May find severe
atherosclerosis, mildly
enlarged aorta, eccentric
thickening of one wall, and
echogenicity consistent with
thrombus
 Good for unstable px,
operator-dependent
Abdominal AorticAneurysm
How to diagnose ?
Abdominal Aortic Aneurysm
 Abdominal Examination
 USG (most common used)
 Contrast enhanced CT or MRI
 CT Angiography
 MR Angiography
Differential Diagnose
Abdominal Aortic Aneurysm
Renal Colic Appendicitis
Diverticulitis
Inflammatory
Bowel Disease
Differential diagnose
Thoracic Aortic Aneurysm
Abdominal
Aneurysm
Pulmonary
Embolism
Aortic
Regurgitation
Congestive Heart
Failure
Aortic Dissection
Myocardial
Infarction
management
Abdominal Aortic Aneurysm
Rupture ?
Non-rupture ?
Rupture Emergency
Unruptured Risk check
age
Physical
activity
CVD
diameter gender
The risk :
management
Abdominal Aortic Aneurysm
Open
Surgery
Endovascular
Surgery
management
Ascending aortic aneurysm
Aortic arch aneurysm
Descending aortic aneurysm
Thoracic Aortic Aneurysm
Figure 13. Valve-sparing procedure to
repair an aneurysm involving the aortic
root and ascending thoracic aorta. The
aortic sinuses are excised, but the valve
leaflets are not. The leaflets are then placed
within the lumen of a Dacron graft that is
then sewn directly to the aortic annulus.
The valve leaflets are then reimplanted
within the base of the graftto restore
competency.
Figure 12. Composite aortic graft repair of
aneurysm involving the aortic root and
ascending thoracic aorta. The coronary arteries
are excised as buttons, and the aneurysm is
resected to the level of the aortic annulus, with
sacrifice of the native aortic valve. A prosthetic
valve is attached directly to a Dacron graft and
this composite graft is sewn directly to the
annulus. The native coronary buttons are then
reimplanted into the graft.
Ascending Aortic
Aneurysms
Surgery is indicated in patients who have aortic root
aneurysm, with maximal aortic diameter ≥50 mm for
patients with Marfan syndrome.
Surgery should be considered in patients who have aortic root
aneurysm, with maximal ascending aortic diameters:
≥45 mm for patients with Marfan syndrome with risk
factors.
≥50 mm for patients with bicuspid valve with risk factors
≥55 mm for other patients with no elastopathy
Recommendations
Aortic Arch
Aneurysm
Surgery should be considered in patients who
have isolated aortic arch aneurysm with
maximal diameter ≥55 mm
Aortic arch repair may be considered in
patients with aortic arch aneurysm who already
have an indication for surgery of an adjacent
aneurysm located in the ascending or
descending aorta.
Figure: Repair of an aneurysm involving ascending
thoracic aorta and arch by using a multilimbed prosthetic
graft.
Recommendations
Descending
aortic
aneurysm
TEVAR should be considered, rather than surgery, when
anatomy is suitable.
TEVAR should be considered in patients who have
descending aortic aneurysm with maximal diameter ≥55
mm
WhenTEVAR is not technically possible, surgery should be
considered in patients who have descending aortic
aneurysm with maximal diameter ≥60 mm
When intervention is indicated, in cases of Marfan
syndrome or other elastopathies, surgery should be
indicated rather thanTEVAR
Prevention of Aortic Aneurysm
• Preventive ofAortic Aneurysm is to modified its risk factors.
If your parents and close - related family are considered had Aortic
Aneurysm before, it wise to avoid:1,2
Smoking
Hyperlipidemia
Hypertension control
Sedentary lifestyle
References
1. Sakalihasan N, Limet R, Dewafe OD.Abdominal AorticAneurysm. Journal of Lancet.Vol 365; 2005.Accessed from www.thelancet.com (17 April 2015)
2. Fauci AS, et al. Harrison’s Principles of Internal Medicine. 17th
ed. McGraw-Hills Companies; United States ofAmerica, 2008.
PROGNOSIS
For patients who suffer rupture of an AAA before hospital arrival, the
prognosis is guarded. The survival rate for patients who can reach the
emergency department at the time is about 1% per minute, but it will
higher (about more than 50%) for those who don’t
In patients undergoing surgery for descending thoracic aortic aneurysms,
the operative mortality rate for all cases (emergency or elective) averaged
11%. Elective surgical repair of descending thoracic aortic aneurysms is
also associated with a mortality rate ranging from 5% to 14%. Risk factors
for early mortality and morbidity included emergency operation,
congestive heart failure, advanced age, and atherosclerotic etiology.
Complication
Complication of
Untreated Aortic
Aneurism
• blood clot
• aorta dissection
• circulatory shock
Complication After
Abdominal Aortic
Aneurysm Repair
Complication After Abdominal
Aortic Aneurysm Repair
After Open Repair
(Graft Related
Complications)
• Anastomotic
aneurysms
• graft infection
• Secondary
aortoenteric fistulae
After Open Repair
(Non-graft Related
Complications)
• Sexual dysfuction
Complication After
Endovascular Aortic
Repair
• Endovascular leak
• aortic stent-graft
infection
• kinking, migration and
occlusion
CONCLUSION
 Aneurysms are permanent focal dilatation of artery to 1.5 times from
its normal diameter
 AAA will be showed as pain in the abdomen, radiating to back, nausea
and vomiting. TAA are mostly asymptomatic
 Abdominal USG is primary method for screening AAA
 The treatment will be based on the part of aortic that affected with
aneurysm
 It wise to avoid: smoking, hyperlipidemia, hypertention, and sedentary
life
Case 1: Thoracic Aortic Aneurysm
Reference: Duru S, Erdem M, Agca E, Kaplan T, Ardic S.Thoracic Aortic Aneurysm: A Rare Case
Report.TurkishThoracic Society. 2013; 14: 78-80
CASE DESCRIPTION
Male, 72 years old admitted to Dept. of Chest Disease with:
ANAMNESIS
1.Chief complaint: back pain for the past two years which is intermittent interscapular
pain independent of position, breathing and exercise.The last pain had been present for
2 months
2.Past history: hypertension for 20 years with an irregular antihypertensive treatment,
he did not have any known genetic disease, no systemic connective tissue disease,
infection, genetic defects, inflammation, or history of trauma
3.Family history: his parents had suffered from hypertension and diabetes
4.Social history: no history of smoking, coughing, weight loss, dyspnoea, dysphagia and
haemoptysis.
PHYSICAL EXAMINATION
1. Vital Sign : BP: 140/80 mm Hg, PR: 90 beats/minute, RR: 16 breaths/minute,
T.ax : 36°C
2. Cardiac and other system examinations were normal, but there was a decrease of
breathe sounds in the left infrascapular area in the auscultation
SUPPORTING EXAMINATION
3. CBC, biochemical and serological analyses were normal
4. Normal erythrocyte sedimentation rate of 10 mm/h and a white blood cell count
of 9×109/L
5. High sensitivity C-reactive protein and serum D-dimer levels were found to be
normal
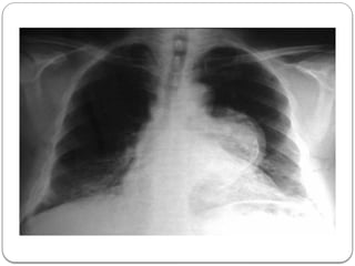
6. Posteroanterior chest X- ray (Figure 1) examination revealed a large left hilar
mass. In addition to a lack of aeration of the lower lobe of the left lung, there was
minimal costophrenic sinus bluntness
SUPPORTING EXAMINATION:
1. In echocardiographic examination, systolic function was normal (fractional
shortening: 30%, ejection fraction: 65%), there was grade I diastolic dysfunction,
mitral lid E-A velocity: 0.7 m/s, no mitral failure, no valvular regurgitation and
hypertrophy (interventricular septum diastolic diameter: 10 mm).
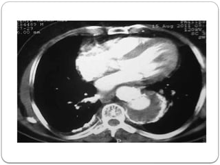
2. Thorax CT scan showed that the mass was located in the proximal part of the
descending aorta, with a diameter of 8 cm, suggesting a saccular aortic aneurysm
3. Defined thrombus material was pressurising the posterior of the oesophagus and the
left atrium. Also, due to compression, atelectasis was seen on the posterobasal
segment of the left lung
4. Thoracic aortography examination showed an aneurysm located in the proximal part
of the descending aorta with a diameter of 8 cm
5. A large thrombus (6 cm) and atherosclerotic atheroma plaques were shown within
theTAA
TREATMENT FORTHIS PATIENT
In surgical treatment, under general anaesthesia penetrating to the
femoral artery and using arcus aortagraphy and toracal aortagraphy, an
aneurysm with a diameter of approximately 8 cm was discovered.The
30x120 mm aortic stent graft was applied to the aneurysm. In the
postoperative phase, the patient had no back pain. No complication
was seen; after follow-up and improvement of their general condition,
the patient was discharged from the hospital on postoperative day 15.
CASE DISCUSSION
1. Rupture ofTAA and dissections are very rare, despite the very high morbidity and
mortality rates
2. Thoracic aortic aneurysms are usually asymptomatic (about 75%), but pain is
known as the predominant referable symptom in about 17% of patients.
3. Chest pain, back pain, hoarseness due to recurrent laryngeal nerve compression,
difficulty in swallowing due to compression of the oesophagus and shortness of
breath due to the bronchial compression may be seen
4. In aneurysms, smoking history, chronic obstructive pulmonary disease, advanced
age, pain, hypertension, and a diameter of more than 5 cm of the aorta increases
the risk of aortic rupture
5. Nowadays, because of low morbidity, mortality and hospital stay, thoracic
endovascular stent graft surgery, generally under epidural anaesthesia, is the
preferred surgical method in especially oldTAA patients
6. Thoracic endovascular stent graft surgery was applied to this patient
7. The lack of postoperative complications suggests that endovascular stent graft
surgery inTAA without rupture or dissection will diminish mortality rates
8. Despite it’s rare incidence, TAA should not be forgotten in the differential
diagnosis of chronic back pain because early diagnosis diminishes mortality rates
and increases the quality of life for patients.

AORTIC ANEURYSM everything needed to know

  • 1.
  • 2.
  • 3.
    INTRODUCTION  Aneurysm isan abnormal bulge in the wall of an artery  Aneurysm 15.000 deaths yearly, 10th leading causes  Atherosclerosis plaque formation and rupture can increase the risk of aneurysm  Aortic aneurysms are balloon-like bulges that occur in the aorta, the main artery carrying oxygen-rich blood to your body.  The aorta has thick walls that stand up to normal blood pressure. However, certain medical problems, genetic conditions, and trauma can damage or weaken these walls. The force of blood pushing against the weakened or injured walls can cause an aneurysm.
  • 4.
    Definition Pre-aneurysm dilatation --> aorticdiameter 25 mm - 29 mm Aneurysms : permanent focal dilatation of artery to 1.5 times from its normal diameter Normal infrarenal aortic diameter in 50 year old: men 1.7 cm and women 1.5 cm ≥3.0 cm in diameter and can be a significant cause of morbidity and mortality. Symptomatic aneurysms and those ≥5.0 cm in diameter frequently require prompt operative repair.
  • 5.
    AAA  A maximumdilatation or widening of the abdominal (infrarenal) aortic diameter of 3.0 cm or more or 1.5 times from expected normal diameter to compensate for individual variation of the adjacent aorta  AAA: abdominal and thoracoabdominal In the abdomen --> association with renal arteries - infrarenal (85%) - pararenal with involvement of 1 or both renal arteries - suprarenal  Common iliac arteries are often involved
  • 6.
  • 7.
    Epidemiology AAA But AAA is decreased Olderpatients (65-80 years) --> 2.2% Prevalence : men 4-8% and women 1-2% Prevalence Aortic aneurysm is increased, From 15,000 to 13,000 deaths yearly In 2000 --> 10th leading cause of death in USA TAA - 6 cases per 100,000 person-years
  • 8.
    Etiology • Ascending thoracicaortic aneurysm • Histologically appear as smooth muscle dropout and elastic fiber degeneration • Leads to weakening of aortic wall, causing aortic dilatation and aneurysm formation Cystic medial degeneration • In young patients • Heritable disorder • Mutation in one of the genes for fibrilin-1 Marfan Syndrome
  • 9.
    • Heritable • Ascendingthoracic aortic aneurysm • Aortic regurgitation  aortic valve become stiff and not opening well heart pumping harder  aorta dilatation Bicuspid Aortic valve • Aneurysm of descending thoracic aorta • Aneurysm of abdominal aorta Atherosclerosis
  • 10.
    • In secondphase of disease, spirochetes infect the aortic media • Destruction of collagen and elastic tissue  aorta dilatation Syphilis • Takayasu’s arteritis • In young women Aortic Arteritis Aortic Dissection • distinct  saccular Trauma
  • 11.
    SYMPTOMS  Sudden severeback or abdominal pain, hypotension, and a pulsa_x0002_tile abdominal mass. Patients may also present with syncope or pain that localizes to the flank, groin, hip, or abdomen.  Half of patients with a rupturing aneurysm describe a ripping or tearing pain that is severe and abrupt in onset.  Difficult or painful swallowing if the aneurysm pushes on your esophagus, the tube that connects your mouth and your stomach  Difficulty breathing if it pushes on your trachea, or windpipe  Feeling full after not eating very much  Hoarseness  Pain in the neck, jaw, back, chest, stomach area or shoulder, depending on where the aneurysm is located  A pulsating or throbbing feeling in your stomach area  Shortness of breath if the aneurysm presses on your lung  Swelling of the face, neck, or arms if the aneurysm pushes on the superior vena cava, the main vein returning blood from your upper body to your heart  Light-headedness,Rapid heart rate,Sudden, severe pain
  • 12.
    RISK FACTORS • Abdominalaortic aneurysm Smoking • Old age • Men tend to get abdominal aortic aneurysm at younger age compared to women Age Hypertension Hyperlipidemia • Men > women • Women with abdominal aortic aneurysm are likely to have family history of the disorder Gender
  • 13.
    PATOPHYSIOLOGY Abdominal AorticAneurysm  Elastin Proteolysis, metalloproteinases, and inlammation DECREASE OF ELASTIN MEDIALTHINNINGAND INTIMALTHICKENING INCREASE OF CONCENTRATION OF PROTEOLYTIC ENZYMES INCREASE OF CONCENTRATION OFTHE INHIBITOR
  • 14.
    PATOPHYSIOLOGY INCREASED METALLOPROTEINASES DEGRADATION OF ELASTINAND COLLAGEN IMMUNOREACTIVE PROTEINMORE IN ABDOMINAL AORTA INCREASE OF FREQUENCY OFANEURYSM DECREASED INHIBITIOR ACTIVITY
  • 15.
    PATOPHYSIOLOGY Molecular Genetics Atherosclerosis • Atherosclerosiscausing mechanical weakening of the aortic wall with loss of elastic recoil.
  • 16.
    PATOPHYSIOLOGY  ThoracicAortic Aneurysm INCREASEOF SPECIFIC ENZYMES DEGRADATION OF STRUCTURAL PROTEIN WEAKENING OFTHE AORTICWALL, LOSS OF ELASTICITY,AND CONSEQUENT DILATATION • ELASTIC FIBER FRAGMENTATION • DEGENERATION OF MEDIA
  • 17.
  • 18.
    Sign and Symptom AbdominalAorticAneurysm • Pain in the abdomen • Pain radiating to lower back • Nausea and vomiting • Constipation • Light-headedness ThoracicAortic Aneurysms • Asymptomatic • Pain in jaw, neck and chest • Pressure on trachea: dyspnea and cough • Pain while swelling
  • 19.
  • 20.
    Chest X-Ray • Abnormalaortic sillhouette • Mediastinal mass  diffuse widening mediastinum • Enlargement aortic knob • Tracheal deviation • Change in aortic contour
  • 21.
    Aortography  Preoperative evaluation define location an extent of aneurysm  Replaced by CT and MRI
  • 22.
    CT Scan  Contrast-enhanced observe the morphology, pattern, distribution of thrombus and calcification, and visualization of dissection and intimal flap.
  • 23.
    Descending thoracic aortic aneurysm CTScan Ascending thoracic aortic aneurysm
  • 24.
    MRI  Best assessmentof true size, lumen and vessel well, observing excellent vessel anatomy and surrounding structure.  Least renal toxicity, but time consuming and not for unstable patient.
  • 25.
    CTAngiography  Good forimaging tortuous thoracic aorta  Reconstruct axial images to 3D  Accurate diameter
  • 26.
    MRAngiography  Multiple planes3D with Gadollinium Contrast  Accurate diameter, shows blood flow, not visualize adventitia well
  • 27.
    Transthoracic Echocardiogram  Demonstrationof aortic enlargement  May find severe atherosclerosis, mildly enlarged aorta, eccentric thickening of one wall, and echogenicity consistent with thrombus  Good for unstable px, operator-dependent
  • 28.
  • 29.
    Abdominal Aortic Aneurysm Abdominal Examination  USG (most common used)  Contrast enhanced CT or MRI  CT Angiography  MR Angiography
  • 30.
    Differential Diagnose Abdominal AorticAneurysm Renal Colic Appendicitis Diverticulitis Inflammatory Bowel Disease
  • 31.
    Differential diagnose Thoracic AorticAneurysm Abdominal Aneurysm Pulmonary Embolism Aortic Regurgitation Congestive Heart Failure Aortic Dissection Myocardial Infarction
  • 32.
    management Abdominal Aortic Aneurysm Rupture? Non-rupture ? Rupture Emergency Unruptured Risk check age Physical activity CVD diameter gender The risk :
  • 33.
  • 34.
    management Ascending aortic aneurysm Aorticarch aneurysm Descending aortic aneurysm Thoracic Aortic Aneurysm
  • 35.
    Figure 13. Valve-sparingprocedure to repair an aneurysm involving the aortic root and ascending thoracic aorta. The aortic sinuses are excised, but the valve leaflets are not. The leaflets are then placed within the lumen of a Dacron graft that is then sewn directly to the aortic annulus. The valve leaflets are then reimplanted within the base of the graftto restore competency. Figure 12. Composite aortic graft repair of aneurysm involving the aortic root and ascending thoracic aorta. The coronary arteries are excised as buttons, and the aneurysm is resected to the level of the aortic annulus, with sacrifice of the native aortic valve. A prosthetic valve is attached directly to a Dacron graft and this composite graft is sewn directly to the annulus. The native coronary buttons are then reimplanted into the graft.
  • 36.
    Ascending Aortic Aneurysms Surgery isindicated in patients who have aortic root aneurysm, with maximal aortic diameter ≥50 mm for patients with Marfan syndrome. Surgery should be considered in patients who have aortic root aneurysm, with maximal ascending aortic diameters: ≥45 mm for patients with Marfan syndrome with risk factors. ≥50 mm for patients with bicuspid valve with risk factors ≥55 mm for other patients with no elastopathy
  • 37.
    Recommendations Aortic Arch Aneurysm Surgery shouldbe considered in patients who have isolated aortic arch aneurysm with maximal diameter ≥55 mm Aortic arch repair may be considered in patients with aortic arch aneurysm who already have an indication for surgery of an adjacent aneurysm located in the ascending or descending aorta. Figure: Repair of an aneurysm involving ascending thoracic aorta and arch by using a multilimbed prosthetic graft.
  • 38.
    Recommendations Descending aortic aneurysm TEVAR should beconsidered, rather than surgery, when anatomy is suitable. TEVAR should be considered in patients who have descending aortic aneurysm with maximal diameter ≥55 mm WhenTEVAR is not technically possible, surgery should be considered in patients who have descending aortic aneurysm with maximal diameter ≥60 mm When intervention is indicated, in cases of Marfan syndrome or other elastopathies, surgery should be indicated rather thanTEVAR
  • 39.
    Prevention of AorticAneurysm • Preventive ofAortic Aneurysm is to modified its risk factors. If your parents and close - related family are considered had Aortic Aneurysm before, it wise to avoid:1,2 Smoking Hyperlipidemia Hypertension control Sedentary lifestyle References 1. Sakalihasan N, Limet R, Dewafe OD.Abdominal AorticAneurysm. Journal of Lancet.Vol 365; 2005.Accessed from www.thelancet.com (17 April 2015) 2. Fauci AS, et al. Harrison’s Principles of Internal Medicine. 17th ed. McGraw-Hills Companies; United States ofAmerica, 2008.
  • 40.
    PROGNOSIS For patients whosuffer rupture of an AAA before hospital arrival, the prognosis is guarded. The survival rate for patients who can reach the emergency department at the time is about 1% per minute, but it will higher (about more than 50%) for those who don’t In patients undergoing surgery for descending thoracic aortic aneurysms, the operative mortality rate for all cases (emergency or elective) averaged 11%. Elective surgical repair of descending thoracic aortic aneurysms is also associated with a mortality rate ranging from 5% to 14%. Risk factors for early mortality and morbidity included emergency operation, congestive heart failure, advanced age, and atherosclerotic etiology.
  • 41.
    Complication Complication of Untreated Aortic Aneurism •blood clot • aorta dissection • circulatory shock Complication After Abdominal Aortic Aneurysm Repair
  • 42.
    Complication After Abdominal AorticAneurysm Repair After Open Repair (Graft Related Complications) • Anastomotic aneurysms • graft infection • Secondary aortoenteric fistulae After Open Repair (Non-graft Related Complications) • Sexual dysfuction Complication After Endovascular Aortic Repair • Endovascular leak • aortic stent-graft infection • kinking, migration and occlusion
  • 43.
    CONCLUSION  Aneurysms arepermanent focal dilatation of artery to 1.5 times from its normal diameter  AAA will be showed as pain in the abdomen, radiating to back, nausea and vomiting. TAA are mostly asymptomatic  Abdominal USG is primary method for screening AAA  The treatment will be based on the part of aortic that affected with aneurysm  It wise to avoid: smoking, hyperlipidemia, hypertention, and sedentary life
  • 44.
    Case 1: ThoracicAortic Aneurysm Reference: Duru S, Erdem M, Agca E, Kaplan T, Ardic S.Thoracic Aortic Aneurysm: A Rare Case Report.TurkishThoracic Society. 2013; 14: 78-80 CASE DESCRIPTION Male, 72 years old admitted to Dept. of Chest Disease with: ANAMNESIS 1.Chief complaint: back pain for the past two years which is intermittent interscapular pain independent of position, breathing and exercise.The last pain had been present for 2 months 2.Past history: hypertension for 20 years with an irregular antihypertensive treatment, he did not have any known genetic disease, no systemic connective tissue disease, infection, genetic defects, inflammation, or history of trauma 3.Family history: his parents had suffered from hypertension and diabetes 4.Social history: no history of smoking, coughing, weight loss, dyspnoea, dysphagia and haemoptysis.
  • 45.
    PHYSICAL EXAMINATION 1. VitalSign : BP: 140/80 mm Hg, PR: 90 beats/minute, RR: 16 breaths/minute, T.ax : 36°C 2. Cardiac and other system examinations were normal, but there was a decrease of breathe sounds in the left infrascapular area in the auscultation SUPPORTING EXAMINATION 3. CBC, biochemical and serological analyses were normal 4. Normal erythrocyte sedimentation rate of 10 mm/h and a white blood cell count of 9×109/L 5. High sensitivity C-reactive protein and serum D-dimer levels were found to be normal 6. Posteroanterior chest X- ray (Figure 1) examination revealed a large left hilar mass. In addition to a lack of aeration of the lower lobe of the left lung, there was minimal costophrenic sinus bluntness
  • 48.
    SUPPORTING EXAMINATION: 1. Inechocardiographic examination, systolic function was normal (fractional shortening: 30%, ejection fraction: 65%), there was grade I diastolic dysfunction, mitral lid E-A velocity: 0.7 m/s, no mitral failure, no valvular regurgitation and hypertrophy (interventricular septum diastolic diameter: 10 mm). 2. Thorax CT scan showed that the mass was located in the proximal part of the descending aorta, with a diameter of 8 cm, suggesting a saccular aortic aneurysm 3. Defined thrombus material was pressurising the posterior of the oesophagus and the left atrium. Also, due to compression, atelectasis was seen on the posterobasal segment of the left lung 4. Thoracic aortography examination showed an aneurysm located in the proximal part of the descending aorta with a diameter of 8 cm 5. A large thrombus (6 cm) and atherosclerotic atheroma plaques were shown within theTAA
  • 50.
    TREATMENT FORTHIS PATIENT Insurgical treatment, under general anaesthesia penetrating to the femoral artery and using arcus aortagraphy and toracal aortagraphy, an aneurysm with a diameter of approximately 8 cm was discovered.The 30x120 mm aortic stent graft was applied to the aneurysm. In the postoperative phase, the patient had no back pain. No complication was seen; after follow-up and improvement of their general condition, the patient was discharged from the hospital on postoperative day 15.
  • 51.
    CASE DISCUSSION 1. RuptureofTAA and dissections are very rare, despite the very high morbidity and mortality rates 2. Thoracic aortic aneurysms are usually asymptomatic (about 75%), but pain is known as the predominant referable symptom in about 17% of patients. 3. Chest pain, back pain, hoarseness due to recurrent laryngeal nerve compression, difficulty in swallowing due to compression of the oesophagus and shortness of breath due to the bronchial compression may be seen 4. In aneurysms, smoking history, chronic obstructive pulmonary disease, advanced age, pain, hypertension, and a diameter of more than 5 cm of the aorta increases the risk of aortic rupture 5. Nowadays, because of low morbidity, mortality and hospital stay, thoracic endovascular stent graft surgery, generally under epidural anaesthesia, is the preferred surgical method in especially oldTAA patients
  • 52.
    6. Thoracic endovascularstent graft surgery was applied to this patient 7. The lack of postoperative complications suggests that endovascular stent graft surgery inTAA without rupture or dissection will diminish mortality rates 8. Despite it’s rare incidence, TAA should not be forgotten in the differential diagnosis of chronic back pain because early diagnosis diminishes mortality rates and increases the quality of life for patients.