NEW 2016 Adult
Reconstructive Surgery
of the Hip and Knee
Self-Assessment Examination
‫راجي‬‫بالل‬
AAOS 2016 Adult Reconstructive Surgery of the Hip and Knee
1
Figure 1a Figure 1b
Question 1 of 200
Figures 1a and 1b are the recent radiographs of an 82-year-old man with rheumatoid
arthritis who underwent total knee arthroplasty (TKA) 18 years ago. These radiographs reveal
osteolysis with loosening of the tibial component. Aspiration and laboratory study findings for
infection are negative. During the revision TKA, treatment of tibial bone loss should consist
of
1- filling the tibial defect with methylmethacrylate.
2- revision of the tibial component with porous metal augmentation.
3- reconstruction with iliac crest bone graft.
4- reconstruction with structural allograft.
PREFERRED RESPONSE: 2- revision of the tibial component with porous metal
augmentation.
DISCUSSION
AAOS 2016 Adult Reconstructive Surgery of the Hip and Knee
2
Video 1 for reference
For severe tibial defects (Anderson Orthopaedic Research Institute [AORI] types 2 and 3),
metaphyseal fixation is necessary to achieve construct fixation during revision TKA.
Metaphyseal fixation may be achieved with cement, structural allograft, or conical metallic
implants. The major concerns regarding structural allograft are graft resorption and mechanical
failure and technical issues related to fashioning the graft and obtaining a good host-allograft
interface. In a systematic review, porous metal cones were associated with a decreased
loosening rate in AORI 2 and 3 defects compared to structural allografts. Metallic trabecular
metal cones and metaphyseal porous coated sleeves provide a stable construct with which to
support the tibial component during revision TKA. Clinical results with these devices include
good metaphyseal fixation for severe tibial bone defects.
Question 2 of 200
Patient-specific instrumentation (PSI) reliably demonstrates which benefit over
conventional intramedullary guidance systems?
1- Lower cost
2- Improved functional outcomes
3- Better coronal alignment
4- Fewer trays
PREFERRED RESPONSE: 4- Fewer trays
AAOS 2016 Adult Reconstructive Surgery of the Hip and Knee
3
DISCUSSION
Cost is usually increased with PSI because the theoretical decreased number of surgical
trays and shortened surgical time do not offset cost of presurgical imaging and extra cost
associated with the necessary jigs. Studies do not demonstrate a reliable improvement in
functional outcomes or coronal alignment when PSI is compared to standard instrumentation.
Evidence reveals that PSI necessitates fewer trays than standard instrumentation.
Question 3 of 200
When performing a posterior cruciate-substituting total knee revision, trial components are
inserted. The knee comes to full extension but is tight in flexion. The surgeon should consider
1- flexing the femoral component.
2- downsizing the femoral component.
3- downsizing the tibial component thickness.
4- resecting more distal femur.
PREFERRED RESPONSE: 2- downsizing the femoral component.
DISCUSSION
In this scenario, the extension gap is normal and the flexion gap is tight. Increasing the
flexion gap without changing the extension gap can be performed by downsizing the femoral
component or adding posterior slope to the tibia resection. Flexing the femoral component
tightens the flexion gap. Decreasing the tibial component thickness loosens the flexion and
extension gaps. Resecting more distal femur only loosens the extension gap.
AAOS 2016 Adult Reconstructive Surgery of the Hip and Knee
4
Figure 4
CLINICAL SITUATION FOR QUESTIONS 4 THROUGH 7
Figure 4 is the radiograph of a 73-year-old woman who returns for her annual follow-up
14 years after undergoing total hip arthroplasty. She denies pain and has no discomfort upon
examination.
Question 4 of 200
Which method of terminal polyethylene sterilization would most likely cause these
radiographic findings?
1- Gamma irradiation in nitrogen
2- Gamma irradiation in air
3- Gamma irradiation in argon
4- Gas plasma
PREFERRED RESPONSE: 2- Gamma irradiation in air
Question 5 of 200
AAOS 2016 Adult Reconstructive Surgery of the Hip and Knee
5
The patient is asked to return in 6 months for a repeat radiograph. Six months later she
remains asymptomatic, but a radiograph reveals progressive osteolysis. Treatment should
consist of
1- femoral head/liner exchange with retroacetabular bone grafting.
2- femoral and acetabular revision.
3- acetabular revision.
4- follow-up in 1 year.
PREFERRED RESPONSE: 1- femoral head/liner exchange with retroacetabular bone
grafting.
Question 6 of 200
The patient begins to experience pain, and a decision is made to proceed with surgical
intervention. When performing a posterior approach to the hip, which structure protects the
anterior retractor from causing damage to the femoral neurovascular structures?
1- Obturator externus
2- Piriformis
3- Psoas
4- Rectus femoris
PREFERRED RESPONSE: 3- Psoas
Question 7 of 200
The patient develops an inability to dorsiflex her foot 2 days after surgical intervention
while she is sitting in a chair after physical therapy. Initial treatment should consist of
1- lying completely supine in bed.
2- remaining seated and placing the postsurgical leg on a stool.
3- transferring back to bed with the head of the bed no lower than 60 degrees.
4- transferring back to bed with the head of the bed level and the surgical knee flexed.
AAOS 2016 Adult Reconstructive Surgery of the Hip and Knee
6
PREFERRED RESPONSE: 4- transferring back to bed with the head of the bed level and
the surgical knee flexed.
DISCUSSION
Gamma irradiation produces free radicals. Although these free radicals can form cross-
links with other polyethylene chains, the free radicals can also form a bond with oxygen,
resulting in early oxidation. Gamma irradiation in air produces the highest risk for oxidized
polyethylene, resulting in the highest risk for wear, delamination, and subsequent osteolysis.
This patient demonstrates severe periarticular osteolysis. When she is asymptomatic, this
suggests the acetabular and femoral components remain well fixed to the bone. Consequently,
she can be treated by removing the wear generator (polyethylene exchange), along with bone
grafting of the osteolytic defect. Considering the extensive amount of osteolysis, observation
for 1 year would not be appropriate.
The psoas is the anatomic structure that runs anterior to the acetabulum. The femoral
neurovascular structures are at risk if the retractor is placed anterior and inferior to the psoas
tendon.
The patient develops a foot drop 2 days after surgery. As a result, it can be assumed that
the nerve was not injured directly during the surgical procedure. Although MR imaging or a
CT scan may be indicated to identify an evolving hematoma, the immediate concern is to
minimize pressure on the sciatic nerve. Tension on the nerve can be decreased by flexing the
surgical knee and positioning the bed flat.
Question 8 of 200
An 80-year-old African American woman who lives in a large city is scheduled for total
hip arthroplasty to address primary osteoarthritis. Part of the presurgical protocol includes
nasal swab screening to assess for methicillin-resistant Staphylococcus aureus (MRSA)
colonization. Which demographic factor places this patient at highest risk for a positive result?
1- Gender
2- Age
3- Race
4- Environment
PREFERRED RESPONSE: 3- Race
DISCUSSION
AAOS 2016 Adult Reconstructive Surgery of the Hip and Knee
7
Demographic factors are associated with increased risk for MRSA colonization, so it is
important to identify vulnerable patients. Female gender and advanced age decrease risk for
colonization, while African American race increases this risk. Urban environments do not
influence MRSA colonization.
Figure 9
Question 9 of 200
Figure 9 is the clinical photograph of a 68-year-old woman 10 days after undergoing
primary total knee replacement. She is experiencing hemarthrosis, discoloration, and bruising
of the soft tissue about the knee; her history includes persistent serous drainage. This clinical
appearance likely is associated with
1- failure to use a tourniquet.
2- failure to use a drain.
3- use of low-molecular-weight heparin (LMWH).
4- use of regional anesthesia.
PREFERRED RESPONSE: 3- use of low-molecular-weight heparin (LMWH).
AAOS 2016 Adult Reconstructive Surgery of the Hip and Knee
8
DISCUSSION
Certain anticoagulants are associated with an increased risk for wound complications. Two
studies showed an increase in postsurgical bleeding and wound drainage following use of
LMWH. Other investigators have associated use of anticoagulants such as LMWH with an
increased incidence of persistent wound drainage and subsequent infection. Current evidence
does not support a significant difference in complication rates with and without the use of
wound drains or a tourniquet. Regional anesthesia has been associated with less blood loss
than general anesthesia and is not associated with a difference in wound complication
incidence.
Figure 10
Question 10 of 200
Figure 10 is the radiograph of a 44-year-old man with a long-standing history of severe
hip pain and a limp. Which clinical scenario most likely could occur when performing total
hip arthroplasty on this patient?
1- Placing the hip center too inferior
2- Overmedializing the acetabular component
3- Overlengthening the extremity
4- Intrasurgical acetabular fracture
AAOS 2016 Adult Reconstructive Surgery of the Hip and Knee
9
PREFERRED RESPONSE: 3- Overlengthening the extremity
DISCUSSION
The radiograph reveals hip dysplasia. Patients with hip dysplasia and severe limb
shortening are at high risk for sciatic nerve palsy from overlengthening. Overmedializing the
acetabular component is not the preferred response because overlateralization is more of a
concern if the cup is placed in the pseudoacetabulum instead of in the true acetabulum. Placing
the hip center too inferior is not the preferred response because the concern in this scenario is
placing the hip center too superior if the cup is placed in the pseudoacetabulum or if a large-
diameter cup is used. Acetabular fractures are possible because of osteoporotic bone at the true
hip center, but is less likely than overlengthening of the extremity.
Figure 11a Figure 11b
CLINICAL SITUATION FOR QUESTIONS 11 THROUGH 13
Figures 11a and 11b are the radiographs of a 35-year-old woman with end-stage
debilitating osteoarthritis of the right hip. She is contemplating total hip arthroplasty (THA).
She has a history of right hip dysplasia and underwent hip osteotomy as an adolescent. Over
the years, she has failed nonsurgical treatment including weight loss, activity modifications,
and intra-articular injections. Her infection workup reveals laboratory findings within defined
limits.
Question 11 of 200
Which bearing surface is contraindicated for this patient?
AAOS 2016 Adult Reconstructive Surgery of the Hip and Knee
10
1- Ceramic-on-ceramic
2- Ceramic-on-highly cross-linked polyethylene (HXPE)
3- Metal-on-HXPE
4- Metal-on-metal
PREFERRED RESPONSE: 4- Metal-on-metal
Question 12 of 200
The patient undergoes successful primary THA with a metal-on-metal bearing. At her 1-
year follow-up appointment, she reports no pain and is highly satisfied with the procedure.
However, 3 years after the index procedure, she reports atraumatic right hip pain that worsens
with activities. Radiographs reveal implants in good position with no sign of loosening or lysis.
An initial laboratory evaluation reveals a normal sedimentation rate and C-reactive protein
(CRP) level. The most appropriate next diagnostic step is
1- metal artifact reduction sequence (MARS) MR imaging only.
2- serum cobalt only.
3- serum cobalt and chromium levels.
4- serum cobalt and chromium levels and MARS MR imaging.
PREFERRED RESPONSE: 4- serum cobalt and chromium levels and MARS MR
imaging.
Question 13 of 200
A further workup reveals elevations in serum cobalt and chromium levels and fluid
collections surrounding the hip on MARS MR imaging. Revision THA is recommended. The
most common complication following revision of a failed metal-on-metal hip arthroplasty is
1- infection.
2- instability.
3- loosening.
4- periprosthetic fracture.
AAOS 2016 Adult Reconstructive Surgery of the Hip and Knee
11
PREFERRED RESPONSE: 2- instability.
DISCUSSION
THA has proven durable and reliable for pain relief and improving function for patients
with end-stage arthritis. Appropriate bearing selection is critical to minimize wear and hip
complications. A metal-on-metal articulation is associated with excellent wear rates in vitro.
With its capacity to offer a low wear rate with large femoral heads, it is an attractive bearing
choice for THA. However, local soft-tissue reactions, pseudotumors, and potential systemic
reactions including renal failure, cardiomyopathy, carcinogenesis, and potential teratogenesis
with potential transfer of metal ions across the placental barrier make metal-on-metal bearings
less desirable and relatively contraindicated for younger women of child-bearing age.
The workup of a painful metal-on-metal hip arthroplasty necessitates a systematic
approach. Several algorithms have been proposed. Routine laboratory studies including
sedimentation rate, CRP, and serum cobalt and chromium ion levels should be obtained for all
patients with pain. Advanced imaging including MARS MRI should be performed to evaluate
for the presence of fluid collections, pseudotumors, and abductor mechanism destruction.
Infection can coexist with metal-on-metal reactions, so, when indicated (if the CRP level is
elevated), a hip arthrocentesis should be obtained. However, in this setting, a manual cell count
and differential should be obtained because an automated cell counter may provide falsely
elevated cell counts.
The results of revision surgery for a failed metal-on-metal hip prosthesis can be variable.
The amount of local tissue destruction and the integrity of the hip abductor mechanism can
greatly influence outcomes. Instability is the most common complication following revision
of failed metal-on-metal hip replacements.
Question 14 of 200
A surgeon is preparing a medial gastrocnemius rotational flap to cover a medial proximal
tibia defect at the time of revision knee replacement surgery. To optimize coverage, the
surgeon must optimally mobilize which artery?
1- Profundus femoris
2- Middle genicular
3- Medial sural
4- Inferior medial genicular
PREFERRED RESPONSE: 3- Medial sural
AAOS 2016 Adult Reconstructive Surgery of the Hip and Knee
12
DISCUSSION
The medial sural arteries vascularize the gastrocnemius, plantaris, and soleus muscles
proximally. They arise from the popliteal artery. If not adequately mobilized, a gastroc soleus
flap can be devascularized.
RESPONSES FOR QUESTIONS 15 THROUGH 17
1- Semimembranosis release
2- Medial gastrocnemius release
3- Medial tibial plateau downsizing osteotomy
4- Iliotibial band pie crusting
5- Popliteus tendon release
6- Cruciate release of the capsule posterior lateral corner
Select the most appropriate release listed above to address each scenario described below.
Question 15 of 200
A 57-year-old man is taken to the operating room to address a severe varus right knee
deformity of approximately 17 degrees. After releasing the deep medial collateral ligament
(MCL) as part of the approach, the diseased side of the knee remains tight. Following
osteophyte removal, which soft-tissue release is now most appropriate to obtain a balanced
knee?
1- Semimembranosis release
2- Medial gastrocnemius release
3- Medial tibial plateau downsizing osteotomy
4- Iliotibial band pie crusting
5- Popliteus tendon release
6- Cruciate release of the capsule posterior lateral corner
PREFERRED RESPONSE: 1- Semimembranosis release
Question 16 of 200
Despite that release, the knee remains very tight medially. Cuts are validated for the
patient's axial alignment. For a patient with a large tibia, what is the best release to address a
large residual deformity?
AAOS 2016 Adult Reconstructive Surgery of the Hip and Knee
13
1- Semimembranosis release
2- Medial gastrocnemius release
3- Medial tibial plateau downsizing osteotomy
4- Iliotibial band pie crusting
5- Popliteus tendon release
6- Cruciate release of the capsule posterior lateral corner
PREFERRED RESPONSE: 3- Medial tibial plateau downsizing osteotomy
Question 17 of 200
The patient is planning on having his contralateral knee replaced as well. He has a mild
valgus deformity in his left knee with an overall windswept deformity. Which release is most
appropriate in this case if the knee remains tight in extension?
1- Semimembranosis release
2- Medial gastrocnemius release
3- Medial tibial plateau downsizing osteotomy
4- Iliotibial band pie crusting
5- Popliteus tendon release
6- Cruciate release of the capsule posterior lateral corner
PREFERRED RESPONSE: 4- Iliotibial band pie crusting
DISCUSSION
Balancing a total knee is important for longevity of the device and functional benefit. The
surgeon should be systematic in the release of a varus knee. The deep MCL is typically
released as part of the approach and osteophytes are then removed. The semimembranosus
tendon can then be released from the posterior medial aspect of the tibia. A downsizing
osteotomy can be considered for a large deformity if a patient has adequate tibial sizing. If a
patient has the smallest implant available prior to the osteotomy, an osteotomy will lead to
overhang of the implant and medial impingement on the MCL.
A valgus knee can be treated with pie crusting of the iliotibial band in mild extension
deformity. Surgeons should pause prior to taking down the popliteus and lateral collateral
AAOS 2016 Adult Reconstructive Surgery of the Hip and Knee
14
ligament because this can induce posterior rotatory subluxation of a primary knee, especially
in the case of a posterior collateral ligament-sacrificing total knee arthroplasty design.
Figure 18
Question 18 of 200
Figure 18 is the radiograph of a 52-year-old woman who has leg length inequality and
chronic activity-related buttock discomfort. This has been a life-long problem, but it is getting
worse and increasingly causing back pain. What is the best current technique for total hip
arthroplasty?
1- High hip center
2- Anatomic hip center with trochanteric osteotomy and progressive femoral shortening
3- Anatomic hip center with subtrochanteric shortening osteotomy
4- Iliofemoral lengthening followed by an anatomic hip center
PREFERRED RESPONSE: 3- Anatomic hip center with subtrochanteric shortening
osteotomy
DISCUSSION
AAOS 2016 Adult Reconstructive Surgery of the Hip and Knee
15
A high hip center is not recommended for Crowe IV hips because of the lack of acetabular
bone and altered hip biomechanics. An anatomic center is a better option but necessitates a
technique to address the tight soft-tissue envelope. A trochanteric osteotomy with progressive
femoral shortening has been described but can be prone to trochanter nonunion. Iliofemoral
lengthening prior to surgery has been described but may not be tolerated by all patients. A
shortening subtrochanteric osteotomy avoids trochanter nonunion and allows adjustment of
femoral anteversion. Fixation of the osteotomy can include a stem with distal rotational
control, plate fixation, a step vs. oblique cut, or strut grafts.
Question 19 of 200
The optimal method with which to diagnose component malrotation in total knee
arthroplasty (TKA) is
1- clinical assessment of foot position and patellar tracking.
2- radiographic skyline view of the patella.
3- CT scan with metal artifact suppression.
4- MR imaging with metal artifact reduction sequences.
PREFERRED RESPONSE: 3- CT scan with metal artifact suppression.
DISCUSSION
The epicondylar axis and tibial tubercle can be used as references on CT scans to
quantitatively measure rotational alignment of the femoral and tibial components. This
technique has been used to determine whether rotational malalignment is present and whether
revision of 1 or both components may be indicated. Although clinical assessment is useful,
malrotation can occur as a result of deformities unrelated to the arthroplasty. Similarly, an
isolated radiographic skyline view of the patella may indicate a problem with patellar
maltracking, but cannot quantitatively assess malrotation of the components. MR imaging
proves useful for evaluating painful TKA, but it is dependent on the center’s quality and has
not yet been shown to quantify component malrotation.
AAOS 2016 Adult Reconstructive Surgery of the Hip and Knee
16
Figure 20a Figure 20b
CLINICAL SITUATION FOR QUESTIONS 20 THROUGH 22
Figures 20a and 20b are the radiographs of an elderly woman who underwent total knee
arthroplasty (TKA) several years ago. She now states that something is not right; her knee
frequently swells and is diffusely painful, especially at the end of the day. She does not trust
her knee, especially while going up and down stairs or getting up from a chair.
Question 20 of 200
The most important diagnostic step is to
1- examine flexion and extension gap stability.
2- examine extensor power.
3- perform a neurological examination.
4- feel for the presence of foot pulses.
PREFERRED RESPONSE: 1- examine flexion and extension gap stability.
Question 21 of 200
AAOS 2016 Adult Reconstructive Surgery of the Hip and Knee
17
The initial diagnostic workup should include
1- CT scan of the knee.
2- erythrocyte sedimentation rate and C-reactive protein level.
3- electromyography and nerve conduction studies.
4- a technetium bone scan.
PREFERRED RESPONSE: 2- erythrocyte sedimentation rate and C-reactive protein level.
Question 22 of 200
Surgical treatment for this patient should include
1- excision arthroplasty with placement of an articulating antibiotic cement spacer.
2- excision arthroplasty with placement of a static antibiotic cement spacer.
3- revision to a more constrained prosthesis, with reestablishment of the flexion and
extension gap balance.
4- a thicker polyethylene insert.
PREFERRED RESPONSE: 3- revision to a more constrained prosthesis, with
reestablishment of the flexion and extension gap balance.
DISCUSSION
AAOS 2016 Adult Reconstructive Surgery of the Hip and Knee
18
Video 22 for reference
This patient has an unstable cruciate-retaining TKA. The tibial cut appears to be
substantial, necessitating a very thick polyethylene liner. In addition, the femoral component
may be slightly more proximally located. Tests for flexion-extension gap balancing would
indicate flexion instability. However, the possibility of infection remains, so screening blood
tests are appropriate. The surgical treatment for this unstable knee is revision TKA to a more
constrained implant, ensuring flexion-extension gap balancing. No evidence indicates that the
knee is infected. A thicker polyethylene insert will not adequately balance the knee.
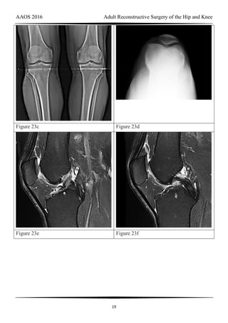
Figure 23a Figure 23b
AAOS 2016 Adult Reconstructive Surgery of the Hip and Knee
19
Figure 23c Figure 23d
Figure 23e Figure 23f
AAOS 2016 Adult Reconstructive Surgery of the Hip and Knee
20
Figure 23g Figure 23h
Question 23 of 200
Figures 23a through 23h are the radiographs and MR images of a 32-year-old man with
worsening left knee pain. A 3-foot hip-to-ankle radiograph shows a 13-degree varus knee
deformity. The patient sustained a major left knee injury 5 years ago and a confirmed complete
anterior cruciate ligament (ACL) tear. He managed this injury nonsurgically with a functional
brace but experienced worsening pain. He was seen by an orthopaedic surgeon 18 months ago
and a medial meniscus tear was diagnosed; the tear was treated with an arthroscopic partial
medial meniscectomy. Since then, his knee has been giving way more often and he no longer
feels safe working on a pitched roof. The patient received 6 months of formal physical therapy
and was fitted for a new functional ACL brace, but he still has pain and instability symptoms.
He believes he has exhausted his nonsurgical options and would like to undergo surgery. What
is the most appropriate treatment at this time?
1- ACL reconstruction and subsequent proximal tibial osteotomy
2- ACL reconstruction alone
3- Distal femoral osteotomy with simultaneous ACL reconstruction
4- Proximal tibial osteotomy with subsequent ACL reconstruction
PREFERRED RESPONSE: 4- Proximal tibial osteotomy with subsequent ACL
reconstruction
AAOS 2016 Adult Reconstructive Surgery of the Hip and Knee
21
DISCUSSION
Proximal tibial osteotomy is the most appropriate intervention to correct varus
malalignment and to decrease stress on the ACL. In some cases, proximal tibial osteotomy
alone may address both pain and instability, but, if instability persists, particularly in the setting
in which instability can be dangerous, subsequent ACL reconstruction can further stabilize the
knee with less stress on the graft after correction of malalignment. Varus alignment places
increased stress on the native or reconstructed ACL. ACL reconstruction should only be
performed at the same time as or following proximal tibial osteotomy to correct alignment in
the setting of varus malalignment. It is not appropriate to perform ACL reconstruction prior to
proximal tibial osteotomy in this setting. Distal femoral osteotomy is not indicated to correct
varus malalignment. Varus alignment places increased stress on the native or reconstructed
ACL, and ACL reconstruction alone is not indicated for this patient.
Question 24 of 200
A surgeon performs a minimally invasive total knee arthroplasty through a quadriceps-
sparing approach using medial-to-lateral cutting jigs. When beginning therapy that afternoon,
the patient can passively but not actively extend her knee, although she has minimal knee pain.
All regional blocks have been discontinued. What is the most likely reason for this finding?
1- Quadriceps inhibition
2- Avulsion of the quadriceps tendon
3- Laceration of the patella tendon
4- Femoral nerve palsy
PREFERRED RESPONSE: 3- Laceration of the patella tendon
DISCUSSION
This patient lacks active knee extension. It is not attributable to the regional block because
that block is no longer acting. The most likely cause is laceration of the patella tendon, which
has been described during both large-incision surgery and minimally invasive surgery.
However, this is reported with increased frequency during minimally invasive surgery.
Quadriceps inhibition, avulsion of the quadriceps tendon, and femoral nerve palsy can cause
lack of active extension, but these problems are less likely because the patient has minimal
pain.
AAOS 2016 Adult Reconstructive Surgery of the Hip and Knee
22
Figure 25a Figure 25b
Question 25 of 200
Figures 25a and 25b are the radiographs of a 63-year-old man who had right total hip
arthroplasty (THA) 4 months ago. Progressive stiffness began 2 months after surgery, and he
now reports pain only after prolonged physical activity. His examination reveals normal gait
and painless range of motion with flexion of 70 degrees, extension of 0 degrees, internal
rotation of 20 degrees, external rotation of 20 degrees, abduction of 10 degrees, and adduction
of 10 degrees. His erythrocyte sedimentation rate (ESR) and C-reactive protein (CRP) levels
are within defined limits. Physical therapy has produced no benefit. What is the most
appropriate next step?
1- 25 mg of indomethacin 3 times daily for 6 weeks
2- 1 dose of irradiation at 800 Gy
3- Surgical excision of heterotypic ossification (HO)
4- Reevaluation in 6 months
PREFERRED RESPONSE: 4- Reevaluation in 6 months
AAOS 2016 Adult Reconstructive Surgery of the Hip and Knee
23
DISCUSSION
This patient presents with HO 4 months after undergoing THA. Symptomatic HO may
complicate nearly 7% of primary THA cases. Improvement in pain is expected within 6
months, and most patients will not need surgical treatment. Surgical excision may be warranted
for symptomatic patients after full maturation of the HO, usually 6 to 18 months after the
surgery. Patients can be followed with repeated serum alkaline phosphatase levels, which are
elevated initially and should return to normal upon maturation of HO. Alternatively, a bone
scan can show decreased activity once the HO has matured. Twenty-five milligrams of
indomethacin 3 times daily for 6 weeks or 1 dose of irradiation at 700 to 800 Gy is effective
in the prevention of HO, not for the treatment of established HO.
RESPONSES FOR QUESTIONS 26 THROUGH 29
1- Minimum inhibitory concentration (MIC)
2- Minimum bactericidal concentration (MBC)
3- Antiobiotic susceptibility
4- Antibiograms
5- Antimicrobial resistance
6- Spectrum of coverage
Match the description below with the appropriate response above.
Question 26 of 200
The minimum concentration of an antimicrobial agent to prevent growth of a
microorganism.
1- Minimum inhibitory concentration (MIC)
2- Minimum bactericidal concentration (MBC)
3- Antiobiotic susceptibility
4- Antibiograms
5- Antimicrobial resistance
6- Spectrum of coverage
PREFERRED RESPONSE: 1- Minimum inhibitory concentration (MIC)
AAOS 2016 Adult Reconstructive Surgery of the Hip and Knee
24
Question 27 of 200
Refers to the prevalence of microorganisms at a particular hospital or institution.
1- Minimum inhibitory concentration (MIC)
2- Minimum bactericidal concentration (MBC)
3- Antiobiotic susceptibility
4- Antibiograms
5- Antimicrobial resistance
6- Spectrum of coverage
PREFERRED RESPONSE: 4- Antibiograms
Question 28 of 200
Refers to the effectiveness of an antibiotic against various classes of microorganisms.
1- Minimum inhibitory concentration (MIC)
2- Minimum bactericidal concentration (MBC)
3- Antiobiotic susceptibility
4- Antibiograms
5- Antimicrobial resistance
6- Spectrum of coverage
PREFERRED RESPONSE: 6- Spectrum of coverage
Question 29 of 200
Refers to the effectiveness of various antibiotics against a particular microorganism.
1- Minimum inhibitory concentration (MIC)
2- Minimum bactericidal concentration (MBC)
3- Antiobiotic susceptibility
4- Antibiograms
5- Antimicrobial resistance
6- Spectrum of coverage
AAOS 2016 Adult Reconstructive Surgery of the Hip and Knee
25
PREFERRED RESPONSE: 3- Antiobiotic susceptibility
DISCUSSION
Knowledge of the basic nomenclature of antibiotic use is important to effectively treat
patients and communicate with colleagues. The effectiveness of an antimicrobial against an
infecting organism is measured by the MIC, which refers to the concentration needed to
prevent growth of a microorganism on culture medium, and MBC, which is the smallest
concentration of the antibiotic necessary to kill the microorganism in culture. Typically, an
antibiotic is considered bactericidal if the MBC is no more than 4 times the MIC. The spectrum
of antimicrobial coverage refers to an agent’s effectiveness against a range of bacteria. An
antibiogram refers to the tabulation of prevalence of different bacteria in a specific setting or
specific patient population. Antibiotic susceptibility and resistance refers to the bacteria’s
ability to be affected or unaffected by a given antibiotic.
Figure 30a
Question 30 of 200
Figure 30a is the anteroposterior radiograph of a 20-year-old woman with mild right groin
pain and intermittent “catching” in the hip region. What is the most appropriate next step?
AAOS 2016 Adult Reconstructive Surgery of the Hip and Knee
26
1- Arthroscopic evaluation and treatment of the hypertrophic labrum and a possible labral
tear
2- A hip injection to confirm an intra-articular source of the pain
3- Nonsurgical treatment and subsequent total hip arthroplasty (THA) when the patient is
sufficiently symptomatic
4- Periacetabular osteotomy
PREFERRED RESPONSE: 4- Periacetabular osteotomy
DISCUSSION
Because this patient is young, substantial bilateral acetabular dysplasia is present, and the
joint space is well preserved, periacetabular osteotomy is the treatment of choice (Figure 30b).
Arthroscopic evaluation and treatment is insufficient to address the mechanical deformity.
Although a hip injection can be diagnostically helpful, it would not alter the treatment plan in
this scenario. The patient’s young age would make observation and subsequent THA less
desirable. Femoral osteotomies also were performed to address rotational deformity.
Figure 31
AAOS 2016 Adult Reconstructive Surgery of the Hip and Knee
27
Question 31 of 200
Figure 31 is the abdominal radiograph of a 70-year-old woman who experiences nausea
and abdominal tightness 48 hours following left total knee arthroplasty performed under
general anesthesia. She received 24 hours of cefazolin antibiotic prophylaxis and a patient-
controlled analgesia narcotic pump for pain management. She has been receiving warfarin for
thromboembolic prophylaxis. Her severe abdominal distension and markedly decreased bowel
sounds are most likely secondary to
1- general anesthesia.
2- administration of antibiotics.
3- administration of warfarin.
4- administration of narcotics.
PREFERRED RESPONSE: 4- administration of narcotics.
DISCUSSION
The radiograph reveals severe intestinal dilatation, which has occurred as the result of
acute colonic pseudo-obstruction and is associated with excessive narcotic administration
following total joint arthroplasty. Anesthetic type, antibiotic administration, and warfarin have
not been associated with this obstruction. Electrolyte imbalances such as hypokalemia have
been associated with postsurgical acute colonic pseudo-obstruction.
Figure 32a Figure 32b Figure 32c
CLINICAL SITUATION FOR QUESTIONS 32 THROUGH 35
Figures 32a through 32c are the radiographs of a 30-year old man who is experiencing
right hip pain. He has no current medical problems, but, with a body mass index of 41, he is
morbidly obese. He was previously treated for leukemia with chemotherapy that included
AAOS 2016 Adult Reconstructive Surgery of the Hip and Knee
28
high-dose steroids. He undergoes total hip arthroplasty (THA) with a ceramic-on-ceramic
bearing.
Question 32 of 200
When counseling this patient regarding the long-term outcomes of surgery using a
ceramic-on-ceramic bearing, he should be informed that
1- there will be more overall bearing wear than metal on polyethylene.
2- there will be less long-term revision risk.
3- complication rates will be the same.
4- pain and function scores will be better.
PREFERRED RESPONSE: 2- there will be less long-term revision risk.
Question 33 of 200
Three years after undergoing THA with a ceramic-on-ceramic bearing, this patient returns
because of right hip pain and a grinding sensation. At revision, it is discovered that the ceramic
liner has fractured. The most likely cause for this complication is
1- horizontal cup position.
2- morbid obesity.
3- trunnion damage.
4- activity level.
PREFERRED RESPONSE: 2- morbid obesity.
Question 34 of 200
At revision, the ceramic femoral head is removed. Upon visual inspection, the most likely
finding on the head is
1- stripe wear.
2- no gross damage.
3- metal transfer.
4- fracture.
AAOS 2016 Adult Reconstructive Surgery of the Hip and Knee
29
PREFERRED RESPONSE: 1- stripe wear.
Question 35 of 200
At revision, the stem is retained and a new head with a polyethylene bearing is selected.
The best option for the head is
1- ceramic with a metal sleeve.
2- ceramic alone.
3- metal with a metal sleeve.
4- metal alone.
PREFERRED RESPONSE: 1- ceramic with a metal sleeve.
DISCUSSION
Ceramic-on-ceramic is a controversial bearing surface typically reserved for younger
patients such as this one. Some studies have suggested that the bearing is more expensive and
does not really prolong the service life of the implant, although a recent meta-analysis of high-
quality trials showed that there is a decreased revision rate with ceramic-on-ceramic, so its use
may be justified. Complications of intraoperative bearing fracture and squeaking are more
common than with conventional bearings, but pain and function scores are equivalent. Stripe
wear associated with a vertical cup and morbid obesity are related to an increased risk for liner
fracture. Concerns about head fractures with a new ceramic head and a damaged trunnion have
led investigators to conclude that using a harder bearing than the initial bearing surface with a
built-in titanium sleeve is probably the best solution when a stem is retained during revision
surgery.
AAOS 2016 Adult Reconstructive Surgery of the Hip and Knee
30
Figure 36a Figure 36b
Question 36 of 200
Figures 36a and 36b are the radiographs of a 79-year-old woman who has been
experiencing increasing tibial pain 10 years after undergoing revision total knee arthroplasty.
There is no evidence of infection. What is the most appropriate treatment?
1- Retain the components and implant a tibial strut allograft
2- Revise the tibial component with a metaphyseal cone and metaphyseal uncemented stem
3- Revise the tibial component with a metaphyseal cone and a press-fit diaphyseal-
engaging stem
4- Revise the tibial component with a long cemented diaphyseal-engaging stem
PREFERRED RESPONSE: 3- Revise the tibial component with a metaphyseal cone and
a press-fit diaphyseal-engaging stem
DISCUSSION
Stems are available for cemented and press-fit implantation. To be effective, press-fit
stems should engage the diaphysis (Figures 36c and 36d). They also assist in obtaining correct
limb alignment. Short metaphyseal-engaging stems are associated with failure rates between
AAOS 2016 Adult Reconstructive Surgery of the Hip and Knee
31
16% and 29%. Cemented stems may be shorter than press-fit stems because they do not have
to engage the diaphysis. Short, fully cemented stems offer the advantage of metaphyseal
fixation. Hybrid stem fixation makes use of the metaphysis for cement fixation with
metaphyseal cones or sleeves and diaphyseal-engaging press-fit stems.
RESPONSES FOR QUESTIONS 37 THROUGH 40
1- Lateral femoral cutaneous nerve
2- Lateral femoral circumflex artery
3- Superior gluteal nerve
4- Superior gluteal artery
5- Sciatic nerve
6- Femoral artery
7- Femoral vein
8- Femoral nerve
9- Saphenous branch of the femoral nerve
10- Profunda femoris artery
11- Inferior gluteal nerve
Match each description below with the anatomic structure listed above.
Question 37 of 200
When performing a modified direct lateral approach (modified Hardinge) to the hip, this
is the neurovascular structure at higher risk during anterior retraction of the gluteus
medius/vastus lateralis sleeve.
1- Lateral femoral cutaneous nerve
2- Lateral femoral circumflex artery
3- Superior gluteal nerve
4- Superior gluteal artery
5- Sciatic nerve
6- Femoral artery
7- Femoral vein
8- Femoral nerve
9- Saphenous branch of the femoral nerve
10- Profunda femoris artery
AAOS 2016 Adult Reconstructive Surgery of the Hip and Knee
32
11- Inferior gluteal nerve
PREFERRED RESPONSE: 3- Superior gluteal nerve
Question 38 of 200
The direct anterior approach to the hip places this neurovascular structure at highest risk
for injury in its superficial extent.
1- Lateral femoral cutaneous nerve
2- Lateral femoral circumflex artery
3- Superior gluteal nerve
4- Superior gluteal artery
5- Sciatic nerve
6- Femoral artery
7- Femoral vein
8- Femoral nerve
9- Saphenous branch of the femoral nerve
10- Profunda femoris artery
11- Inferior gluteal nerve
PREFERRED RESPONSE: 1- Lateral femoral cutaneous nerve
Question 39 of 200
This neurovascular structure limits distal extension of the direct anterior approach.
1- Lateral femoral cutaneous nerve
2- Lateral femoral circumflex artery
3- Superior gluteal nerve
4- Superior gluteal artery
5- Sciatic nerve
6- Femoral artery
7- Femoral vein
AAOS 2016 Adult Reconstructive Surgery of the Hip and Knee
33
8- Femoral nerve
9- Saphenous branch of the femoral nerve
10- Profunda femoris artery
11- Inferior gluteal nerve
PREFERRED RESPONSE: 8- Femoral nerve
Question 40 of 200
CT and cadaveric studies have shown that anteroinferior placement of the anterior
acetabular retractor results in less than 1 cm of distance between the retractor and which
structure?
1- Lateral femoral cutaneous nerve
2- Lateral femoral circumflex artery
3- Superior gluteal nerve
4- Superior gluteal artery
5- Sciatic nerve
6- Femoral artery
7- Femoral vein
8- Femoral nerve
9- Saphenous branch of the femoral nerve
10- Profunda femoris artery
11- Inferior gluteal nerve
PREFERRED RESPONSE: 8- Femoral nerve
DISCUSSION
Proximal dissection through the gluteus medius places the superior gluteal nerve at risk.
The main branch of the superior gluteal nerve has been measured within the muscle to a
distance of between 4.5 and 4.9 cm above the level of the superior acetabular rim, and safe
dissection is assured if the surgeon does not exceed 4 cm above the acetabulum or 5 cm above
the tip of the greater trochanter.
AAOS 2016 Adult Reconstructive Surgery of the Hip and Knee
34
The lateral femoral cutaneous nerve courses medial to the anterior superior iliac spine and
near the interval between the sartorious and tensor fascia muscle. Risk for injury can be
decreased by remaining in the fascial sheath of the tensor and minimizing excessive retraction
medially. The lateral femoral circumflex artery is ligated during this approach and is not at
risk.
Distal extension of the direct anterior approach beyond the intertrochanteric line poses risk
for injury to the lateral and medial division of the femoral nerve, which innervates the
anterolateral parts of the quadriceps muscle group. In addition, branches of the lateral
circumflex artery are routinely ligated in a standard approach.
A recent CT scan and cadaveric evaluation of acetabular retractor placement and its
proximity to adjacent neurovascular structures demonstrates that the anterior retractor is
furthest from the adjacent neurovascular bundle if placed more superiorly near the anterior
superior iliac spine. The more inferiorly it is placed, the higher the risk to the adjacent
structures, the most lateral of which is the femoral nerve.
Question 41 of 200
A 58-year-old man has a painful right hip 3 years after undergoing a large head metal-on-
metal total hip arthroplasty (THA) in which the components are well positioned. MR imaging
confirms a cystic mass around the hip and metal ion levels show a marked increase in cobalt
compared to chromium levels. The erythrocyte sedimentation rate (ESR) and C-reactive
protein (CRP) level are within defined limits. What is the most likely cause for his discomfort?
1- Chronic periprosthetic infection
2- Trochanteric bursitis
3- Pseudotumor related to corrosion at the head/neck taper junction
4- Tendonitis from iliopsoas tendon impingement
PREFERRED RESPONSE: 3- Pseudotumor related to corrosion at the head/neck taper
junction
DISCUSSION
This patient presents with a pseudotumor likely attributable to local tissue reaction
resulting from either articular metal wear debris and/or corrosion and fretting of the trunnion.
The trunnion is a more likely source of the problem for a number of reasons: good position of
metal articulation, increased trunnion corrosion and fretting associated with large-head THA,
and markedly increased cobalt levels compared to chromium levels. Infection is very unlikely
AAOS 2016 Adult Reconstructive Surgery of the Hip and Knee
35
in the setting of normal ESR and CRP findings. MR imaging findings are consistent with
pseudotumor and not iliopsoas tendonitis or trochanteric bursitis.
Figure 42a Figure 42b Figure 42c
Figure 42d Figure 42e
CLINICAL SITUATION FOR QUESTIONS 42 THROUGH 45
Figures 42a through 42e are the radiographs, MR image, and MR arthrogram of a 25-year-
old collegiate soccer player who has new-onset left groin pain. He played competitive soccer
from a young age and has either competed or practiced 5 to 6 times per week since the age of
10. He denies any specific hip injury that necessitated treatment, but his trainer contends that
he had a groin pull. He has groin pain with passive flexion and internal rotation of his left hip,
and his hip has less internal rotation than his asymptomatic right hip. He is otherwise healthy.
AAOS 2016 Adult Reconstructive Surgery of the Hip and Knee
36
Question 42 of 200
Approximately which percentage of asymptomatic athletes have CAM deformities of the
hip?
1- 5%
2- 10%
3- 25%
4- At least 50%
PREFERRED RESPONSE: 4- At least 50%
Question 43 of 200
What is the primary cause of a CAM deformity?
1- A genetic problem
2- Repetitive activities involving an open proximal femoral physis
3- Early closure of the proximal femoral physis
4- Hip dysplasia
PREFERRED RESPONSE: 2- Repetitive activities involving an open proximal femoral
physis
Question 44 of 200
When counseling patients who have a CAM deformity, the orthopaedic surgeon should
note that
1- osteoarthritis of the hip is likely to occur later in life.
2- correction prevents later development of osteoarthritis.
3- most acetabular tears are symptomatic, and surgical treatment will be necessary.
4- this is an inherited deformity.
AAOS 2016 Adult Reconstructive Surgery of the Hip and Knee
37
PREFERRED RESPONSE: 1- osteoarthritis of the hip is likely to occur later in life.
Question 45 of 200
Which factor is a contraindication to surgical treatment of a symptomatic CAM deformity?
1- Degenerative tear of the anterosuperior acetabular labrum
2- Superior hip joint space of 2 mm or less on radiographs
3- Ipsilateral knee instability
4- Lumbar spondylolisthesis
PREFERRED RESPONSE: 2- Superior hip joint space of 2 mm or less on radiographs
DISCUSSION
Multiple studies have confirmed that CAM or pincer anatomy is commonly present in
asymptomatic hips. According to a large systematic review, CAM deformities are present in
approximately one-third of asymptomatic hips in young adults, and the proportion was higher
than 50% in the subgroup of athletes.
Ganz and associates proposed that femoral acetabular impingement is the root cause of
osteoarthritis in the majority of nontraumatic, nondysplastic hips, and functional improvement
with surgical correction of the deformity has been demonstrated. Despite the link between
CAM deformity and hip osteoarthritis, a corresponding link between correction of the
deformity and prevention of osteoarthritis has never been proven.
Results of CAM deformity correction, typically including repair of the degenerative labral
tear, are much poorer when there is significant joint space loss. A typical joint space cutoff of
2 mm or less is used to recommend against hip preservation surgery.
Question 46 of 200
Patellofemoral arthroplasty is contraindicated in the presence of
1- moderate patellar tilt.
2- trochlear dysplasia.
3- inflammatory arthritis.
4- severe crepitus.
AAOS 2016 Adult Reconstructive Surgery of the Hip and Knee
38
PREFERRED RESPONSE: 3- inflammatory arthritis.
DISCUSSION
Any inflammatory disease, including crystalline arthropathy, is a contraindication for
patellofemoral arthroplasty. Patellar tilt and dysplasia frequently occur in the setting of
patellofemoral arthritis and do not constitute a contraindication to this procedure. Severe
crepitus is common and frequently addressed with patellofemoral arthroplasty.
Figure 47
CLINICAL SITUATION FOR QUESTIONS 47 THROUGH 50
A 70-year-old woman has a 3-year history of gradually increasing diffuse and global right
knee pain. Her main issues are difficulty with stairs, stiffness with prolonged sitting, and
swelling. She has taken nonsteroidal anti-inflammatory medications and has received intra-
articular steroid injections, all with decreasing efficacy. Her right knee examination reveals
range of motion of 15 to 80 degrees with a fixed deformity to varus and valgus stress. Her
symptoms are no longer manageable nonsurgically. Radiographs reveal a 30-degree
mechanical axis deformity.
Question 47 of 200
The deformity shown in Figure 47 is predominantly associated with
AAOS 2016 Adult Reconstructive Surgery of the Hip and Knee
39
1- a hypoplastic lateral femoral condyle.
2- a contracted medial collateral ligament.
3- an excessive proximal tibial slope.
4- trochlear dysplasia.
PREFERRED RESPONSE: 1- a hypoplastic lateral femoral condyle.
Question 48 of 200
When using the measured resection technique during total knee arthroplasty (TKA), the
best way to avoid femoral malrotation is to reference the
1- anteroposterior axis.
2- tibial intramedullary axis.
3- posterior condylar axis.
4- femoral intramedullary axis.
PREFERRED RESPONSE: 1- anteroposterior axis.
Question 49 of 200
When balancing gaps in the coronal plane, which structure preferentially impacts the
flexion space more than the extension space?
1- Iliotibial band
2- Popliteus tendon
3- Lateral collateral ligament
4- Lateral head of the gastrocnemius
PREFERRED RESPONSE: 2- Popliteus tendon
Question 50 of 200
For this patient, which TKA design is most appropriate?
AAOS 2016 Adult Reconstructive Surgery of the Hip and Knee
40
1- Bicruciate-retaining TKA
2- Unicompartmental arthroplasty
3- Hinged TKA
4- Posterior substitution TKA
PREFERRED RESPONSE: 4- Posterior substitution TKA
DISCUSSION
TKA in the setting of valgus deformities poses different challenges than those encountered
when varus deformities are present. Most valgus alignment is attributable to a deformity of the
distal femur rather than the proximal tibia, as seen in varus knees. One of the major anatomical
differences is a hypoplastic lateral femoral condyle which, when used as a rotational reference
point, can lead to internal rotation of the femoral component if not recognized. This
malrotation will in turn lead to patellofemoral maltracking or instability, which is a common
complication associated with primary TKA. The deformity is too severe to consider a
bicruciate-retaining TKA or unicompartmental arthroplasty and does not necessitate a hinged
TKA.
Question 51 of 200
When performing a cruciate-retaining total knee arthroplasty, trial components are
inserted. The knee comes to full extension but is tight in flexion. The surgeon should consider
1- flexing the femoral component.
2- releasing the posterior cruciate ligament.
3- downsizing the tibial insert thickness.
4- resecting more distal femur.
PREFERRED RESPONSE: 2- releasing the posterior cruciate ligament.
DISCUSSION
In this scenario, the flexion gap needs to be increased. Increase in flexion gap can be
accomplished by downsizing the femoral component and increasing posterior tibial slope. In
posterior cruciate-retaining TKA procedures, recession or release of the posterior cruciate
ligament can loosen the flexion gap, allowing for an increase in flexion. Flexing the femoral
AAOS 2016 Adult Reconstructive Surgery of the Hip and Knee
41
component tightens the flexion gap, and downsizing the tibial insert thickness decreases
flexion and extension gaps, while resection of the distal femur only increases the extension
gap.
Figure 52
CLINICAL SITUATION FOR QUESTIONS 52 THROUGH 55
Figure 52 is the standing anteroposterior radiograph of a 55-year-old man who has a 5-
year history of daily left knee pain with weight-bearing activities. He denies night pain or
symptoms of instability. Upon examination his range of motion is 0 to 140 degrees. He has a
mild, fully correctable varus deformity and a negative Lachman test result. He has failed
nonsurgical treatment.
Question 52 of 200
Based on a knee examination and radiographic findings, what is the most likely finding at
the time of surgery?
1- Anteromedial osteoarthritis
2- An intact posterior cruciate ligament (PCL) and incompetent anterior cruciate ligament
(ACL)
3- Incompetence of both the ACL and PCL
4- Posteromedial osteoarthritis
AAOS 2016 Adult Reconstructive Surgery of the Hip and Knee
42
PREFERRED RESPONSE: 1- Anteromedial osteoarthritis
Question 53 of 200
Unicompartmental knee arthroplasty (UKA) is discussed with the patient. The most
appropriate next radiographic examination should be
1- MR imaging of the left knee to evaluate the lateral compartment.
2- a CT arthrogram to evaluate the status of the medial and lateral meniscus.
3- a stress radiograph to evaluate correction of the varus deformity.
4- a sunrise view to determine the status of the patellofemoral joint.
PREFERRED RESPONSE: 3- a stress radiograph to evaluate correction of the varus
deformity.
Question 54 of 200
What is the UKA survivorship for a 55-year-old patient compared to survivorship for total
knee arthroplasty?
1- Equal at 10 years
2- Lower at 10 years
3- Higher at 10 years
4- Not known when using a mobile-bearing UKA
PREFERRED RESPONSE: 2- Lower at 10 years
Question 55 of 200
The patient undergoes a mobile-bearing UKA. When compared to a fixed-bearing metal-
backed unicompartmental arthroplasty, this procedure is associated with a
1- higher risk for failure attributable to wear.
2- higher risk for failure attributable to bearing spinout.
3- lower risk for loosening.
AAOS 2016 Adult Reconstructive Surgery of the Hip and Knee
43
4- lower risk for arthritic progression of the lateral compartment.
PREFERRED RESPONSE: 2- higher risk for failure attributable to bearing spinout.
DISCUSSION
A patient with medial compartment arthritis and a correctable varus deformity with no
clinical or examination findings of knee instability most likely has an intact ACL. The pattern
of medial compartment osteoarthritis most commonly associated with an intact ACL is that of
anteromedial osteoarthritis. An incompetent ACL is commonly associated with a fixed varus
deformity and radiographic signs of posteromedial wear. An incompetent ACL is a relative
contraindication to a mobile-bearing UKA. When evaluating patients for a mobile-bearing
UKA, a stress radiograph will allow the orthopaedic surgeon to determine the correction of
the varus deformity and assess the lateral compartment. Inability to fully correct the deformity
or narrowing of the lateral compartment with valgus stress should influence the surgeon
against UKA. Joint registries across the world have shown decreased survivorship associated
with TKA and UKA in men compared to other age groups, but survivorship is lower for UKA
than TKA. No studies to date have shown differences in survivorship between fixed- or
mobile-bearing UKAs. The complication that is unique to mobile-bearing UKA is bearing
spinout, and this occurs in fewer than 1% of mobile-bearing UKA procedures. In vivo and in
vitro polyethylene wear in mobile-bearing UKA is low. Arthritis progression may be faster for
mobile-bearing UKAs than fixed-bearing UKAs.
AAOS 2016 Adult Reconstructive Surgery of the Hip and Knee
44
Figure 56a Figure 56b Figure 56c
Question 56 of 200
Figures 56a through 56c are the radiographs of a 65-year-old man with a 6-week history
of severe left hip pain. He had a left total hip arthroplasty 19 years ago and a femoral revision
10 years ago. His erythrocyte sedimentation rate (ESR) and C-reactive protein (CRP) level are
within defined limits. What is the most appropriate next step?
1- A trial of limited weight-bearing activity and physical therapy
2- A triple-phase bone scan to evaluate for loosening
3- Acetabular component revision
4- Femoral component revision
PREFERRED RESPONSE: 4- Femoral component revision
DISCUSSION
AAOS 2016 Adult Reconstructive Surgery of the Hip and Knee
45
The radiographs reveal a fracture of the extensively porous coated stem. This entity,
although rare, is associated with higher risk for occurrence when thin stems are implanted in
patients with thick cortices and there is a lack of proximal stable support for the prosthesis.
Nonsurgical care likely would not help this patient. A triple-phase bone scan would not add
any information that would change the treatment plan.
Question 57 of 200
At the time of revision knee arthroplasty, a surgeon performs a rectus snip to gain exposure
to the knee. When compared to a standard parapatellar approach, what is the expected
outcome?
1- Improvement in range of motion
2- Reduction in range of motion
3- Increase in extensor mechanism lag
4- No differences in motion and strength
PREFERRED RESPONSE: 4- No differences in motion and strength
DISCUSSION
Rectus snip during total knee arthroplasty has no effect on motion or strength at long-term
follow-up. It has not been associated with extensor mechanism lag.
AAOS 2016 Adult Reconstructive Surgery of the Hip and Knee
46
Figure 58 Figure 59a Figure 59b
AAOS 2016 Adult Reconstructive Surgery of the Hip and Knee
47
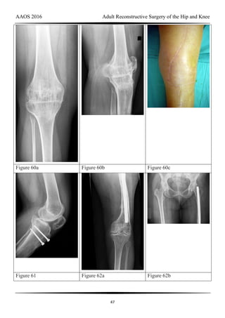
Figure 60a Figure 60b Figure 60c
Figure 61 Figure 62a Figure 62b
AAOS 2016 Adult Reconstructive Surgery of the Hip and Knee
48
RESPONSES FOR QUESTIONS 58 THROUGH 62
1- Nerve palsy
2- Skin necrosis
3- Flexion instability
4- Patellar instability
5- Anterior knee pain
6- Malalignment
Total knee arthroplasty (TKA) is performed to address each condition shown in Figures
58 through 62b. Which complication is most commonly associated with each image?
Question 58 of 200
Figure 58
1- Nerve palsy
2- Skin necrosis
3- Flexion instability
4- Patellar instability
5- Anterior knee pain
6- Malalignment
PREFERRED RESPONSE: 1- Nerve palsy
Question 59 of 200
Figure 59a and Figure 59b
1- Nerve palsy
2- Skin necrosis
3- Flexion instability
4- Patellar instability
5- Anterior knee pain
6- Malalignment
AAOS 2016 Adult Reconstructive Surgery of the Hip and Knee
49
PREFERRED RESPONSE: 4- Patellar instability
Question 60 of 200
Figure 60a through Figure 60c
1- Nerve palsy
2- Skin necrosis
3- Flexion instability
4- Patellar instability
5- Anterior knee pain
6- Malalignment
PREFERRED RESPONSE: 2- Skin necrosis
Question 61 of 200
Figure 61
1- Nerve palsy
2- Skin necrosis
3- Flexion instability
4- Patellar instability
5- Anterior knee pain
6- Malalignment
PREFERRED RESPONSE: 5- Anterior knee pain
Question 62 of 200
Figure 62a and Figure 62b
1- Nerve palsy
2- Skin necrosis
3- Flexion instability
4- Patellar instability
AAOS 2016 Adult Reconstructive Surgery of the Hip and Knee
50
5- Anterior knee pain
6- Malalignment
PREFERRED RESPONSE: 6- Malalignment
DISCUSSION
Figure 58 reveals a posttraumatic valgus deformity. Correction of valgus with lateral soft-
tissue release places tension on the peroneal nerve, resulting in an increased risk for nerve
palsy. Figures 59a (lateral view) and 59b (Merchant view) illustrate juvenile rheumatoid
arthritis with tibiofibular fusion and lateral patellar dislocation. Chronic patellar dislocation is
associated with contracture of the lateral retinacular soft tissues and increased risk for patellar
subluxation or dislocation after TKA. Extensor mechanism realignment, possibly including
tibial tubercle osteotomy and/or proximal soft-tissue realignment, may be required during
TKA to centralize the extensor mechanism. Figures 60a (anteroposterior [AP] view) and 60b
(lateral view) reveal a fused knee in full extension.
TKA after fusion is associated with multiple complications including skin necrosis,
infection, and instability. The skin is contracted because of limited knee motion and has
multiple scars (Figure 60c). Mobilization of the skin during and after knee arthroplasty can
place excess tension on the soft tissues, resulting in skin necrosis and infection. Treatment
consisting of prompt debridement and soft-tissue coverage, usually with medial gastrocnemius
muscle transposition, is required. Figure 61 shows a knee with prior tibial tubercle fixation
and marked patella infera. Shortening of the patellar ligament is associated with restricted knee
motion. This may necessitate more extensile exposure using tibial tubercle osteotomy or rectus
snip during TKA to obtain adequate surgical exposure. The inferior position of the patella can
cause impingement between the patellar component and tibial insert, resulting in anterior knee
pain. Restoring a more normal position of the patella may necessitate distal positioning of the
femoral component as well as tibial tubercle osteotomy with proximal recession of the
osteotomized tibial tubercle. Figures 62a (AP view of the distal femur) and 62b (AP view of
the proximal femur) show a posttraumatic deformity with a large retained intramedullary rod.
There is a varus distal femoral deformity that is not severe enough to necessitate extra-articular
corrective osteotomy. However, intramedullary hardware precludes use of conventional
intramedullary instrumentation, so computer navigation or patient-specific cutting guides will
be necessary to orient the bone cuts and avoid implant malalignment.
Question 63 of 200
Injury to the popliteal artery during total knee arthroplasty (TKA) is most likely when
placing a sharp retractor
1- directly posterior to the posterior cruciate ligament (PCL).
AAOS 2016 Adult Reconstructive Surgery of the Hip and Knee
51
2- posteromedial to the PCL.
3- posterolateral to the PCL.
4- in the posteromedial corner of the knee.
PREFERRED RESPONSE: 3- posterolateral to the PCL.
DISCUSSION
Vascular complications during TKA are rare but do occur. Traditionally, it was taught that
the popliteal artery was situated posterior to the PCL; however, more recent anatomic
dissections have demonstrated that this artery is usually posterolateral to the PCL.
Question 64 of 200
A 30-year-old patient is indicated for distal femoral osteotomy. This procedure results in
survivorship with
1- a functional result for at least 20 years.
2- a functional result that deteriorates within the first 10 years.
3- an eventual conversion to a constrained knee arthroplasty.
4- an eventual need for arthrodesis.
PREFERRED RESPONSE: 2- a functional result that deteriorates within the first 10 years.
DISCUSSION
Distal femoral varus osteotomy (DFVO) is intended for patients younger than age 50, more
active patients with isolated lateral compartment arthritis and valgus malalignment. Although
the knee functional score improves at 1-year follow-up, the function scores significantly
deteriorate at 10-year follow-up. At 15-year follow-up, the knee function further declines,
resulting in an overall failure rate of 48.5%. DFVO provides longer lasting benefit in patients
with better presurgical knee function.
Total knee arthroplasty following DFVO provides improved function and successful
outcomes. Standard posterior stabilized components provide satisfactory stability after
appropriate ligament balancing without the need for stemmed or highly constrained implants
for most patients.
AAOS 2016 Adult Reconstructive Surgery of the Hip and Knee
52
Figure 65a Figure 65b
CLINICAL SITUATION FOR QUESTIONS 65 THROUGH 67
Figures 65a and 65b are the radiographs of an 80-year-old woman with long-standing knee
pain who has failed nonsurgical treatment that includes a structured physical therapy program,
nonsteroidal anti-inflammatory medications, and intra-articular steroid injections. Her
radiographs reveal significant degenerative changes. She has experienced some cognitive
decline during the last several years and poorly tolerates pain medications, but she remains
very active.
Question 65 of 200
Cognitive function following total knee arthroplasty (TKA) among elderly patients who
receive either neuraxial or general anesthesia is
1- less affected with neuraxial anesthesia.
2- less affected with general anesthesia.
3- unchanged with either anesthesia type.
4- generally worsened with both neuraxial and general anesthesia.
AAOS 2016 Adult Reconstructive Surgery of the Hip and Knee
53
PREFERRED RESPONSE: 1- less affected with neuraxial anesthesia.
Question 66 of 200
To reduce the patient’s use of narcotics after surgery, which anesthetic regimen would be
most appropriate?
1- Spinal anesthesia with a peripheral nerve block
2- Spinal anesthesia without a peripheral nerve block
3- General anesthesia without a peripheral nerve block
4- General anesthesia with a long-acting mu opioid agonist
PREFERRED RESPONSE: 1- Spinal anesthesia with a peripheral nerve block
Question 67 of 200
Which treatment is associated with decreased complications related to femoral nerve
blocks for TKA?
1- Knee immobilizer
2- Compression stockings
3- Tranexamic acid
4- Celecoxib
PREFERRED RESPONSE: 1- Knee immobilizer
DISCUSSION
TKA among elderly patients can be problematic, considering their potential for complex
comorbidities including diminished cognitive function. As patients age, their tolerance for
certain medications diminishes. Regional anesthesia is an important adjunct to a multimodal
pain program, which can reduce narcotic pain medication use and improve cognitive function
through less reliance on systemic medications. With regional pain management such as
femoral nerve blocks comes potential for an increase in complications such as falls. Femoral
nerve blocks improve pain but also have a large impact on quadriceps and motor function,
which places patients at higher risk for falls.
AAOS 2016 Adult Reconstructive Surgery of the Hip and Knee
54
Question 68 of 200
A 47-year-old obese man with a body mass index of 42 comes in with left knee pain 1 year
after undergoing an uncomplicated left medial unicompartmental knee arthroplasty (UKA).
Radiographs show a loose tibial component in varus. What is the most appropriate next step
to treat this failed construct?
1- Aspiration of joint fluid to obtain a cell count
2- Revision of the UKA using primary total knee arthroplasty (TKA) components
3- Revision of the UKA using a revision TKA with augments
4- Obtain erythrocyte sedimentation rate (ESR) and C-reactive protein (CRP) levels
PREFERRED RESPONSE: 4- Obtain erythrocyte sedimentation rate (ESR) and C-
reactive protein (CRP) levels
DISCUSSION
This patient likely is experiencing failure of his UKA secondary to poor patient selection.
This young, heavy man likely loosened his component secondary to the ongoing varus
alignment of the knee and his elevated weight. Despite this likely scenario, the next step is to
determine if an infection is the cause of his pain. Prior to obtaining an aspiration, the surgeon
can order an ESR and CRP to determine if aspiration is warranted. If laboratory studies are
unremarkable, the surgeon likely can forgo the aspiration and proceed to a revision TKA with
possible augments on standby.
AAOS 2016 Adult Reconstructive Surgery of the Hip and Knee
55
Figure 69a Figure 69b
Figure 69c Figure 70a
AAOS 2016 Adult Reconstructive Surgery of the Hip and Knee
56
Figure 70b Figure 70c
Figure 70d
CLINICAL SITUATION FOR QUESTIONS 69 THROUGH 72
Figures 69a through 69c are the radiograph and MR images of a 37-year-old woman who
has had a 2-month history of left hip pain.
Question 69 of 200
Which single symptom and examination finding combination is most likely in this
scenario?
1- Sitting pain with flexion abduction and external rotation of the hip
AAOS 2016 Adult Reconstructive Surgery of the Hip and Knee
57
2- Groin pain and pain with internal rotation and adduction while supine with the hip and
knee flexed 90 degrees
3- Clicking and abductor lurch
4- Buttock pain and pain with hip extension, adduction, and external rotation while prone
PREFERRED RESPONSE: 2- Groin pain and pain with internal rotation and adduction
while supine with the hip and knee flexed 90 degrees
Question 70 of 200
Measurements have been taken on the radiographs shown in Figures 70a through 70d.
Which measurement is abnormal?
1- Head center position
2- Tonnis angle
3- Lateral center edge angle
4- Acetabular inclination
PREFERRED RESPONSE: 3- Lateral center edge angle
Question 71 of 200
Based on the patient’s continued pain, her imitations, the previously noted radiographic
findings, and failure of physical therapy and nonsteroidal anti-inflammatory treatment, what
is the best surgical option?
1- Arthroscopic labral repair
2- Arthroscopy with pincer resection
3- Periacetabular osteotomy (PAO)
4- Hip arthroscopy and PAO
PREFERRED RESPONSE: 1- Arthroscopic labral repair
Question 72 of 200
AAOS 2016 Adult Reconstructive Surgery of the Hip and Knee
58
Which presurgical condition is most commonly associated with a poor outcome after a hip
joint salvage procedure?
1- Age older than 40
2- Body mass index higher than 30
3- Tonnis grade of 2 or higher
4- Outerbridge grade of III or IV
PREFERRED RESPONSE: 3- Tonnis grade of 2 or higher
DISCUSSION
MR imaging reveals an anterior labral tear, and the radiograph shows minimal arthritis
with possible dysplasia. The most common pain location among patients with a labral tear is
the groin, and the most common physical finding is a positive impingement test result. Pain
with sitting, clicking, and buttock pain are frequently described by patients with a labral tear,
but these symptoms are less common than groin pain. A positive posterior impingement test
finding is more common in patients with a posterior labral tear.
The lateral center edge angle is pictured in Figure 70a. This angle is considered abnormal
when it is less than 25 degrees, which may indicate inadequate head coverage. The Tonnis
angle and acetabular inclination are different terms for the same angle as seen in Figure 70b.
The normal value is between 0 and 10 degrees. The head center position is the distance from
the medial aspect of the femoral head to the ilioischial line, as measured in Figure 70c. The
head is considered lateralized if the measurement exceeds 10 mm. Figure 70d marks the outline
of the anterior and posterior wall, confirming the absence of a cross-over sign. A cross-over
sign is present when the 2 lines cross below the lateral aspect of the acetabulum, and it indicates
acetabular retroversion.
An arthroscopy to treat the labral tear is probably the best option for this patient. A PAO
with prior hip arthroscopy might be considered based on the mildly increased anterior center
edge angle; the Tonnis angle finding is normal, the femoral head is not lateralized, and the
patient is approaching age 40. A PAO without addressing the anterior labral tear could lead to
failure and is not the best choice. The patient does not have an acetabular pincer lesion and
would not benefit from an acetabular edge resection.
Although age beyond 40 years and body mass index higher than 30 can adversely affect
clinical outcomes after joint preservation procedures (PAO, hip arthroscopy, and femoral
acetabular impingement surgery), the presence of hip arthritis on presurgical radiographs is
the most commonly mentioned cause of failed hip joint preservation surgery. Tonnis grade is
a radiographic measure of hip arthritis. A higher Outerbridge score is associated with more
frequent poor outcomes after hip arthroscopy; however, the Outerbridge cartilage score is
AAOS 2016 Adult Reconstructive Surgery of the Hip and Knee
59
determined by direct visualization at the time of surgery. An Outerbridge score cannot be
determined presurgically.
Question 73 of 200
Clinical studies on the use of topical and intravenous (IV) forms of tranexamic acid (TXA)
administration demonstrate which results?
1- IV administration of TXA is substantially more efficacious in minimizing blood loss
than topical administration.
2- IV administration of TXA places high-risk patients such as those with coronary stents
at an unacceptable risk for a cardiac event during the perioperative period.
3- IV administration of TXA decreases intrasurgical blood loss but has not been shown to
decrease postsurgical transfusion rates.
4- Both IV and topical administration of TXA decrease intrasurgical blood loss and
postsurgical transfusion rates.
PREFERRED RESPONSE: 4- Both IV and topical administration of TXA decrease
intrasurgical blood loss and postsurgical transfusion rates.
DISCUSSION
Numerous studies have demonstrated efficacy of both IV and topical administration of
TXA for decreasing blood loss and transfusion rates. Several studies have shown no significant
difference between TXA IV and topical administration in decreasing blood loss or lowering
transfusion rates. Inconclusive evidence shows that IV administration of TXA places
individuals at higher risk for a thromboembolic event. Both IV and topical TXA are equally
effective in decreasing blood loss and minimizing transfusion rates.
AAOS 2016 Adult Reconstructive Surgery of the Hip and Knee
60
Figure 74a Figure 74b Figure 74c
Question 74 of 200
Figures 74a through 74c are the postsurgical radiographs of a 74-year-old man who has
stiffness in his right knee 8 weeks after undergoing elective right total knee arthroplasty
(TKA). The surgery was performed for primary varus osteoarthritis and was uncomplicated.
His range of motion is 5 to 80 degrees. What is the most appropriate next treatment step?
1- Manipulation under anesthesia (MUA)
2- Arthroscopic lysis of adhesions
3- Open arthrolysis of adhesions
4- Revision TKA
PREFERRED RESPONSE: 1- Manipulation under anesthesia (MUA)
DISCUSSION
Stiffness following TKA is a disabling complication. One option involves MUA, a
valuable technique with which to increase range of motion after TKA for patients with stiff
knees. A systematic review of the literature was performed to identify studies that reported the
clinical outcomes and measured range of motion for patients undergoing MUA. Fourteen
studies (913 patients) reported range of motion results following MUA at up to 10-year follow-
up. The review demonstrated that MUA for a stiff primary TKA is an efficacious procedure to
restore range of motion, and it carries a low complication rate. Early gains in motion were
AAOS 2016 Adult Reconstructive Surgery of the Hip and Knee
61
reported to be maintained in the long term. A second review systematically evaluated the
outcomes of 4 treatments for arthrofibrosis that develops subsequent to TKA (MUA,
arthroscopic debridement, open surgical release, and revision TKA). This study showed that
there were no significant differences in the Knee Society Score of the 4 treatment modalities.
Although open surgical release resulted in the greatest increase in range of motion, there were
methodological study limitations because the majority of the papers were case series, which
decreased the quality of the evidence. Response 1 is correct because the TKA appears
appropriately sized and is well aligned. Responses 2 and 3 are incorrect, considering the early
time frame (8 weeks) from initial surgery. Although the patella is unresurfaced in the
radiographs, there is no indication for revision TKA (even secondary patellar resurfacing) at
this early juncture.
Question 75 of 200
During total hip arthroplasty, which characteristic of irradiated (10 Mrad) and
subsequently melted highly cross-linked polyethylene should provide a more wear-resistant
construct than traditional gamma-irradiated (2.5-4 Mrad)-in-air polyethylene mated with the
same head?
1- Resistance to adhesive wear
2- Resistance to abrasive wear
3- Resistance to fatigue wear
4- Resistance to creep
PREFERRED RESPONSE: 1- Resistance to adhesive wear
DISCUSSION
Highly cross-linked polyethylene makes material resistant to adhesive wear. Abrasive
wear from third bodies does not decrease wear. The fatigue strength of this material is inferior
to traditional polyethylene, and its resistance to creep is the same, if not lower, than that of
traditional polyethylene.
AAOS 2016 Adult Reconstructive Surgery of the Hip and Knee
62
Figure 76a Figure 76b
Figure 77a Figure 77b
AAOS 2016 Adult Reconstructive Surgery of the Hip and Knee
63
Figure 78a Figure 78b
Figure 79a Figure 79b
AAOS 2016 Adult Reconstructive Surgery of the Hip and Knee
64
Figure 80a Figure 80b
RESPONSES FOR QUESTIONS 76 THROUGH 80
1- Cemented full revision
2- Cemented femoral revision
3- Cemented acetabular revision
4- Cementless full revision
5- Cementless femoral revision without an extended trochanteric osteotomy
6- Cementless femoral revision with an extended trochanteric osteotomy
7- Cementless acetabular revision
8- Isolated liner/head exchange
9- Isolated liner/head exchange with cementing of the liner
Select the most appropriate treatment for each clinical scenario.
Question 76 of 200
A 72-year-old man with a history of prior revision for a loose femoral component (Figures
76a and 76b)
1- Cemented full revision
2- Cemented femoral revision
AAOS 2016 Adult Reconstructive Surgery of the Hip and Knee
65
3- Cemented acetabular revision
4- Cementless full revision
5- Cementless femoral revision without an extended trochanteric osteotomy
6- Cementless femoral revision with an extended trochanteric osteotomy
7- Cementless acetabular revision
8- Isolated liner/head exchange
9- Isolated liner/head exchange with cementing of the liner
PREFERRED RESPONSE: 6- Cementless femoral revision with an extended trochanteric
osteotomy
Question 77 of 200
A 65-year-old woman with intraoperative findings of well-fixed components and a
deficient liner locking mechanism (Figures 77a and 77b)
1- Cemented full revision
2- Cemented femoral revision
3- Cemented acetabular revision
4- Cementless full revision
5- Cementless femoral revision without an extended trochanteric osteotomy
6- Cementless femoral revision with an extended trochanteric osteotomy
7- Cementless acetabular revision
8- Isolated liner/head exchange
9- Isolated liner/head exchange with cementing of the liner
PREFERRED RESPONSE: 7- Cementless acetabular revision
Question 78 of 200
A 68-year-old woman with a history of thigh pain on startup since her primary total hip
arthroplasty (THA) 1 year ago (Figures 78a and 78b)
1- Cemented full revision
AAOS 2016 Adult Reconstructive Surgery of the Hip and Knee
66
2- Cemented femoral revision
3- Cemented acetabular revision
4- Cementless full revision
5- Cementless femoral revision without an extended trochanteric osteotomy
6- Cementless femoral revision with an extended trochanteric osteotomy
7- Cementless acetabular revision
8- Isolated liner/head exchange
9- Isolated liner/head exchange with cementing of the liner
PREFERRED RESPONSE: 5- Cementless femoral revision without an extended
trochanteric osteotomy
Question 79 of 200
A 54-year-old woman who had a THA 18 years ago and has mild pain with activities
(Figures 79a and 79b)
1- Cemented full revision
2- Cemented femoral revision
3- Cemented acetabular revision
4- Cementless full revision
5- Cementless femoral revision without an extended trochanteric osteotomy
6- Cementless femoral revision with an extended trochanteric osteotomy
7- Cementless acetabular revision
8- Isolated liner/head exchange
9- Isolated liner/head exchange with cementing of the liner
PREFERRED RESPONSE: 8- Isolated liner/head exchange
Question 80 of 200
An 82-year-old woman who had a THA 14 years ago and has difficulty bearing weight
(Figures 80a and 80b)
AAOS 2016 Adult Reconstructive Surgery of the Hip and Knee
67
1- Cemented full revision
2- Cemented femoral revision
3- Cemented acetabular revision
4- Cementless full revision
5- Cementless femoral revision without an extended trochanteric osteotomy
6- Cementless femoral revision with an extended trochanteric osteotomy
7- Cementless acetabular revision
8- Isolated liner/head exchange
9- Isolated liner/head exchange with cementing of the liner
PREFERRED RESPONSE: 6- Cementless femoral revision with an extended trochanteric
osteotomy
DISCUSSION
Figures 76a and 76b show likely undersizing of the stem with subsidence. Revision, with
possibly a modular fluted stem, is indicated. Extended trochanteric osteotomy is indicated to
avoid trochanteric fracture and to facilitate fully coated stem removal, especially if trephines
are needed. It is unlikely cemented fixation after multiple revisions would provide reliable
long-term survivorship.
Figures 77a and 77b show an older-style cementless acetabular component with severe
liner wear and extensive osteolysis. The well-fixed acetabular component with poor
component position and a poor locking mechanism is a good indication for cementless
acetabular revision.
Figures 78a and 78b reveal likely subsidence and lack of ongrowth of the femoral
component. Cementless femoral revision offers the best chance for long-term survivorship.
An osteotomy likely is not necessary for removal or implantation.
Figures 79a and 79b reveal severe polyethylene wear with well-fixed acetabular and
femoral components. This is a good indication for a head and liner exchange.
Figures 80a and 80b show a loose cemented stem. Cementless fixation offers good long-
term outcomes in this case. An osteotomy is likely necessary in this case because of the varus
remodeling of the proximal femur, which would increase the chance of a greater trochanteric
fracture with extraction of the existing stem and implantation of the revision stem.
Question 81 of 200
AAOS 2016 Adult Reconstructive Surgery of the Hip and Knee
68
Which modality has the broadest application for reduction of postsurgical transfusion?
1- Regional anesthesia
2- Tranexamic (TXA) acid administration
3- Reduced transfusion trigger
4- Hypotensive anesthesia
PREFERRED RESPONSE: 2- Tranexamic (TXA) acid administration
DISCUSSION
TXA is easy to administer, inexpensive, and safe for virtually all patients. Multiple studies
have demonstrated transfusion rates lower than 3% for total knee arthroplasty and lower than
10% for total hip arthroplasty. Regional and hypotensive anesthesia effectively reduce
transfusion; however, they cannot be used in as wide a range of patients as TXA. A reduced
transfusion trigger must be considered along with patient symptoms when determining the
need for transfusion.
Figure 82
Question 82 of 200
AAOS 2016 Adult Reconstructive Surgery of the Hip and Knee
69
Which wear mechanism is most likely responsible for the wear damage on the modular
tibial insert retrieval shown in Figure 82?
1- Adhesive
2- Abrasive
3- Fatigue
4- Creep
PREFERRED RESPONSE: 3- Fatigue
DISCUSSION
The figure shows the top side of a retrieved tibial liner. Pitting and delamination, which
are associated with fatigue wear, are noted. Creep is deformation without wear. Adhesive and
abrasive wear is associated with removal of material on the back side of modular tibial
components.
CLINICAL SITUATION FOR QUESTIONS 83 THROUGH 87
A bilateral cemented total knee arthroplasty (TKA) was performed on an otherwise healthy
63-year-old woman. The surgery and immediate postsurgical course were uneventful. Two
days after surgery, while in physical therapy at the hospital, the patient’s oxygen saturation is
noted at 92%.
Question 83 of 200
What is the most reasonable next step?
1- Multidetector CT scan
2- Ventilation-perfusion scan
3- Reassess on supplemental oxygen
4- Anteroposterior and lateral chest radiographs
PREFERRED RESPONSE: 3- Reassess on supplemental oxygen
AAOS 2016 Adult Reconstructive Surgery of the Hip and Knee
70
Question 84 of 200
What is the incidence of pulmonary embolism after bilateral TKA under a single
anesthetic?
1- Lower than 0.5%
2- Between 0.5% and 1.5%
3- Between 5% and 10%
4- Higher than 10%
PREFERRED RESPONSE: 2- Between 0.5% and 1.5%
Question 85 of 200
The use of pharmacologic agents and/or mechanical compressive devices for the
prevention of venous thromboembolism in patients undergoing elective hip or knee
arthroplasty who are not at elevated risk beyond risk associated with the surgery for venous
thromboembolism or bleeding was assigned which grade of recommendation by the 2011
AAOS Clinical Practice Guideline, Preventing Venous Thromboembolic Disease in Patients
Undergoing Elective Hip and Knee Arthroplasty?
1-- Strong
2- Moderate
3- Limited
4- Inconclusive
PREFERRED RESPONSE: 2- Moderate
Question 86 of 200
The patient knows that TXA was used as part of the blood conservation strategy for her
surgery. She asks you if TXA increases risk for pulmonary embolism. What is the most
appropriate response?
1- TXA increases risk for deep venous thrombosis but not pulmonary embolism after TKA.
2- TXA does not increase risk for pulmonary embolism after TKA.
3- TXA increases risk for pulmonary embolism, but the advantages outweigh the risks.
4- The risk for pulmonary embolism after TKA involving TXA has never been studied.
AAOS 2016 Adult Reconstructive Surgery of the Hip and Knee
71
PREFERRED RESPONSE: 2- TXA does not increase risk for pulmonary embolism after
TKA.
Question 87 of 200
Which gene mutation or polymorphism has been shown to most increase the risk for
venous thromboembolic disease after elective total joint arthroplasty?
1- Factor V Leiden
2- Prothrombin G20210A
3- MTHFR/C677T/TT
4- Lupus anticoagulant
PREFERRED RESPONSE: 3- MTHFR/C677T/TT
DISCUSSION
Simultaneous bilateral TKA accounts for approximately 6% of the TKAs performed in the
United States and is more frequently performed for women. The incidence of pulmonary
embolism in this group was between 0.57 and 1.14, according to a 1999 to 2008 registry-based
study in the United States. There was not a significant change in incidence during that period.
Hypoxemia alone is not an indication for advanced testing for pulmonary embolism. Winters
and associates demonstrated that to avoid unnecessary testing, the use of a hypoxia algorithm
is a reasonable first step. The use of pharmacologic agents and/or mechanical compressive
devices for the prevention of venous thromboembolism in patients undergoing elective hip or
knee arthroplasty and who are not at elevated risk beyond that of the surgery itself for venous
thromboembolism or bleeding was given a Moderate grade of recommendation in the 2011
AAOS Clinical Practice Guideline, Preventing Venous Thromboembolic Disease in Patients
Undergoing Elective Hip and Knee Arthroplasty. Various genetic factors are associated with
increased risk for venous thromboembolic disease after TKA. A recent meta-analysis
evaluated the genetic and polymorphism profiles associated with venous thromboembolism
after arthroplasty. The mutation MTHFR/C677T/TT carried the highest risk (OR 2.36; 95%
CI, 1.03-5.42, P = 0.04) for the gene mutations and polymorphisms studied. With the increased
use of TXA as a blood-conservation strategy for total joint arthroplasty, there is a theoretical
concern about an increased risk for venous thromboembolic disease. A recent study by Duncan
and associates included 13,262 elective total joint arthroplasty procedures and demonstrated
that TXA does not increase the risk of venous thromboembolism.
AAOS 2016 Adult Reconstructive Surgery of the Hip and Knee
72
Figure 88
Question 88 of 200
Figure 88 is the radiograph of a 68-year-old man who fell 3 weeks after undergoing a
successful left primary total hip arthroplasty. He is experiencing a substantial increase in pain
and an inability to bear weight. What is an appropriate treatment plan?
1- Open reduction and internal fixation (ORIF) of the fracture
2- Remove the current stem, femur ORIF, and insertion of a longer revision stem
3- Femur ORIF with cables and strut graft, leaving the current stem in situ
4- Femur ORIF combined reimplantation of the primary component
AAOS 2016 Adult Reconstructive Surgery of the Hip and Knee
73
PREFERRED RESPONSE: 2- Remove the current stem, femur ORIF, and insertion of a
longer revision stem
DISCUSSION
Based on the fact that the fracture is occurring around the stem (type B) and the stem is
clearly loose (type B2), the appropriate treatment is removal of the in situ stem (which is
loose), ORIF of the femur (cerclage wires, cables, or a plate would be acceptable), and
insertion of a longer revision stem (a tapered fluted modular titanium or fully porous coated
cylindrical stem) to bypass the fracture. All other responses are incorrect because they provide
inappropriate treatment options for a Vancouver B2 fracture.
Question 89 of 200
A patient has a painful metal-on-metal (MOM) left total hip arthroplasty (THA). Which
test(s) best correlate with prognosis if this patient is having a reaction to metal debris?
1- Erythrocyte sedimentation rate, C-reactive protein, and white blood cell count
2- Serum cobalt and chromium ion levels
3- Metal artifact reduction sequence (MARS) MRI
4- CT scan of pelvis
PREFERRED RESPONSE: 3- Metal artifact reduction sequence (MARS) MRI
DISCUSSION
Painful MOM THA and taper corrosion can cause substantial damage to a patient's hip if
left untreated. In this case, the workup for a painful MOM THA starts the same as a workup
for a painful metal-on-polyethylene bearing couple. Infection must be ruled out in every case
with a set of inflammatory markers. If these markers are remotely elevated, this is an indication
for joint aspiration. In patients with metal debris, the pathology report often indicates too many
cells to count or cellular debris. Metal ion levels do not seem to correlate with prognosis. There
are well-functioning patients with high ion levels and poor-functioning patients with low ion
levels. Advanced imaging with MARS MRI to evaluate for peritrochanteric fluid collection, a
soft-tissue mass, or synovial/capsular hypertrophy will reveal signs of a metal reaction that
indicate the need for a revision discussion. A CT scan can show more advanced bony
destruction as an indicator of poor prognosis. These films can be used to determine the need
for a structural graft or augments for reconstruction of bone loss attributable to metal debris.
AAOS 2016 Adult Reconstructive Surgery of the Hip and Knee
74
Question 90 of 200
A 58-year-old man with insulin-dependent diabetes mellitus underwent primary total knee
arthroplasty (TKA) and developed a full-thickness skin slough 3 cm x 4 cm with postsurgical
exposure of the patella tendon. There is no change in the appearance of the wound after 2
weeks of wet-to-dry dressing changes. What is the best next treatment step for the soft-tissue
defect?
1- Continue dressing changes
2- Split-thickness skin graft
3- Full-thickness skin graft
4- Local rotational flap
PREFERRED RESPONSE: 4- Local rotational flap
DISCUSSION
Following TKA, if wound healing does not occur and deep soft tissues such as the patella
tendon are exposed, local rotational flaps are the procedure of choice and should be performed
relatively early following the recognition of a soft-tissue wound-healing problem. Fortunately,
in the setting of TKA, gastrocnemius flaps are an excellent source for wound coverage of the
proximal tibia.
RESPONSES FOR QUESTIONS 91 THROUGH 94
1- Isolated head and liner revision
2- 2-stage exchange
3- Acute hemodialysis
4- Femoral component revision
5- Acetabular component revision
6- Revision total hip (all components)
Match the most appropriate treatment listed above with each clinical scenario described
below.
Question 91 of 200
A 48-year-old has had 6 weeks of groin pain and squeaking with motion of the hip joint 2
years after undergoing total hip arthroplasty (THA) with a ceramic-on-ceramic bearing surface
AAOS 2016 Adult Reconstructive Surgery of the Hip and Knee
75
using a modular acetabular component. Imaging of the hip shows an asymmetric position of
the femoral head within the acetabular component. Erythrocyte sedimentation rate (ESR) and
C-reactive protein (CRP) levels are within normal limits. Implants are in appropriate position
and not substantially damaged.
1- Isolated head and liner revision
2- 2-stage exchange
3- Acute hemodialysis
4- Femoral component revision
5- Acetabular component revision
6- Revision total hip (all components)
PREFERRED RESPONSE: 1- Isolated head and liner revision
Question 92 of 200
A 55-year-old man has groin pain and a limp with Trendelenburg gait 5 years after
undergoing THA with a metal-on-metal bearing surface and a modular acetabular component.
Serum cobalt and chromium ion levels are 55 ppb and 42 ppb, respectively. Acetabular
inclination measures 60 degrees. MR images reveal fluid collection and soft-tissue changes.
1- Isolated head and liner revision
2- 2-stage exchange
3- Acute hemodialysis
4- Femoral component revision
5- Acetabular component revision
6- Revision total hip (all components)
PREFERRED RESPONSE: 5- Acetabular component revision
Question 93 of 200
A 60-year-old has had 6 months of groin pain and a limp with Trendelenburg gait 5 years
after undergoing THA with a metal-on-polyethylene bearing surface. Serum cobalt and
chromium ion levels are 7.8 ppb and 1.1 ppb, respectively. Cross-sectional imaging shows a
3-cm pseudotumor.
AAOS 2016 Adult Reconstructive Surgery of the Hip and Knee
76
1- Isolated head and liner revision
2- 2-stage exchange
3- Acute hemodialysis
4- Femoral component revision
5- Acetabular component revision
6- Revision total hip (all components)
PREFERRED RESPONSE: 1- Isolated head and liner revision
Question 94 of 200
A 70-year-old man has a posterior dislocation 20 years after undergoing cementless THA
with a metal-on-polyethylene bearing. Acetabular inclination is 55 degrees with neutral
version. This is his third dislocation, and he has been treated with closed reduction 3 times
during the past month. His ESR is 42 mm/h (reference range [rr], 0-20 mm/h) and CRP level
is 16.2 mg/L (rr, 0.08-3.1 mg/L). Joint aspiration reveals a cell count of 865 cells (55%
neutrophils).
1- Isolated head and liner revision
2- 2-stage exchange
3- Acute hemodialysis
4- Femoral component revision
5- Acetabular component revision
6- Revision total hip (all components)
PREFERRED RESPONSE: 5- Acetabular component revision
DISCUSSION
Treatment options for various pathologic conditions after THA can be challenging, and
there are often multiple potential options. Question 91 involves a patient who has fractured a
modular ceramic acetabular liner, and an isolated head and liner exchange should be sufficient.
Question 92 involves a patient with markedly elevated serum metal ions and abductor
dysfunction, suggesting poor bearing function and a probable adverse local tissue reaction
(ALTR). Additionally, the acetabular component position is suboptimal, and complete
AAOS 2016 Adult Reconstructive Surgery of the Hip and Knee
77
acetabular revision would be appropriate. Question 93 involves a patient with elevated serum
metal ions, with cobalt disproportionately higher than chromium in a roughly 7:1 ratio,
suggesting corrosive changes at the prosthetic femoral neck (trunnionosis). Cross-sectional
imaging continues to be a key part of the evaluation and treatment of patients with metal
reactions. This patient’s pain and Trendelenburg gait are suggestive of ALTR. An isolated
head and liner exchange should be performed, typically using a ceramic head and titanium
sleeve adapter. Question 94 involves late, recurrent instability, probably related to bearing
surface wear and acetabular component position. Continued nonsurgical management is
unlikely to succeed at this point, so it would be appropriate to proceed with acetabular
component revision.
Question 95 of 200
When compared to patients with a body mass index (BMI) lower than 35, patients with a
BMI above 40 who undergo primary total hip arthroplasty (THA) and total knee arthroplasty
(TKA) are likely to have
1- smaller incisions.
2- increased wound complications.
3- fewer 30- and 90-day readmissions.
4- lower rates of patient satisfaction.
PREFERRED RESPONSE: 2- increased wound complications.
DISCUSSION
The obesity epidemic is increasing, and the number of patients with a BMI higher than 35
undergoing THA and TKA is increasing. Controversy exists regarding the optimal BMI cutoff
and the ability to perform joint replacements safely in patients who are morbidly obese. Several
clinical series as well as national database analyses have shown that morbidly obese patients
undergoing THA/TKA are at increased risk for wound complications and 30- and 90-day
readmissions. These patients’ incisions are typically larger because of the size of the soft-tissue
envelope; although their clinical scores following successful THA/TKA often are lower than
scores for controls, the overall change in clinical function and satisfaction is equivalent among
nonobese and obese patients.
AAOS 2016 Adult Reconstructive Surgery of the Hip and Knee
78
Figure 96a Figure 96b Figure 96c
CLINICAL SITUATION FOR QUESTIONS 96 THROUGH 99
Figures 96a through 96c are the anteroposterior and lateral radiographs of a 64-year-old
man with long-standing right knee osteoarthritis and pain unresponsive to nonsurgical
treatment. This patient is scheduled for navigated cruciate-retaining right total knee
arthroplasty. His range of motion is 20 to 120 degrees before surgery. Following bone
resections and release of the posterolateral capsule and iliotibial band the knee is stable and
extends fully, but during knee flexion there is lift-off of the anterior portion of the trial insert.
Alignment is neutral to the mechanical axis. A distal femoral medial resection involved 9 mm
of bone with a 9-mm-thick implant. An appropriate tibial resection was perpendicular to the
long axis, and the posterior tibial slope was 7 degrees.
Question 96 of 200
What is the best next step?
1- Increased distal femoral resection
2- Recession of the posterior cruciate ligament (PCL)
3- Use of a polyethylene insert with better sagittal conformity
4- Use of a thinner polyethylene insert
AAOS 2016 Adult Reconstructive Surgery of the Hip and Knee
79
PREFERRED RESPONSE: 2- Recession of the posterior cruciate ligament (PCL)
Question 97 of 200
Following treatment, the knee extends fully with good stability in extension, but there is
increased anterior translation in flexion. The most appropriate next step is to
1- increase polyethylene thickness.
2- increase distal femur resection and joint line elevation.
3- exchange to a polyethylene insert with more sagittal conformity.
4- perform posterior femoral resection and downsize the femoral implant.
PREFERRED RESPONSE: 3- exchange to a polyethylene insert with more sagittal
conformity.
Question 98 of 200
What is the most likely early postsurgical complication for this patient?
1- Knee dislocation
2- Peroneal nerve palsy
3- Patella fracture
4- Supracondylar fracture
PREFERRED RESPONSE: 2- Peroneal nerve palsy
Question 99 of 200
After surgery, this patient continues to experience pain and swelling of the knee with
recurrent effusions. He returns to the office with continued pain 2 years after surgery. He
describes instability, particularly when descending stairs. Upon examination, there is range of
motion from 0 to 120 degrees with no extensor lag. The knee is stable to varus and valgus
stress in extension, but there is flexion instability in both the anterior-posterior direction and
in the varus-valgus direction. Bracing leads to a slight decrease in symptoms but is not well
tolerated. Isokinetic testing demonstrates decreased knee extension velocity at mid push.
AAOS 2016 Adult Reconstructive Surgery of the Hip and Knee
80
Radiographs demonstrate well-aligned and fixed knee implants. An infection workup is
negative. What is the most appropriate surgical intervention at this time?
1- Tibial polyethylene exchange
2- Revision of the femoral and tibial components and conversion to a posterior stabilized
insert
3- Revision of femoral and tibial components to a constrained rotating hinge prosthesis
4- Isolated femoral component revision and upsizing the femoral implant with a new PCL-
retaining polyethylene insert
PREFERRED RESPONSE: 2- Revision of the femoral and tibial components and
conversion to a posterior stabilized insert
DISCUSSION
Video 99 for reference
This patient has valgus knee alignment, and, after undergoing appropriate bone resections
and soft-tissue balancing, has demonstrated a tight PCL on trial reduction as evidenced by lift-
off of the trial insert as described by Scott and Chmell. The appropriate maneuver is PCL
recession with partial release of tight (usually anterolateral) PCL fibers. However, for this
patient, instability resulted in increased anterior translation. At this stage, the options are to
convert to either a deeper-dish insert with increased sagittal conformity or a posterior stabilized
insert. The only appropriate choice among the responses is use of an insert with increased
sagittal conformity to prevent excessive anterior translation. Increasing the polyethylene could
improve stability in flexion, but, considering there is good stability in extension, this likely
would lead to an inability to achieve full extension. The patient’s valgus deformity, flexion
contracture, correction with release of the iliotibial band, and posterolateral capsule predispose
him to increased risk for peroneal nerve palsy. His symptoms at follow-up suggest knee flexion
AAOS 2016 Adult Reconstructive Surgery of the Hip and Knee
81
instability with pain, swelling, and difficulty descending stairs. Considering his history, an
incompetent PCL must be considered. Revision of the knee to a posterior stabilized or
nonlinked constrained condylar implant depending on the condition of the ligaments likely is
needed to address his symptoms. The difference in extension vs flexion stability makes
polyethylene exchange a poor option. There is no reason to believe a constrained rotating hinge
design is necessary. Repeat use of a PCL-retaining insert is not recommended.
Figure 100a Figure 100b
Question 100 of 200
Figures 100a and 100b are the radiographs of a 90-year-old woman who is seen in the
emergency department after a fall from a height. She has right hip and thigh pain and is unable
to bear weight. Based on this patient’s history and imaging, what is the best next step?
1- Hip revision and implantation of a proximal femoral replacement
2- Hip revision and implantation of a tapered fluted stem
3- Open reduction and internal fixation with a locked plate and allograft struts
4- Erythrocyte sedimentation rate and C-reactive protein laboratory studies
AAOS 2016 Adult Reconstructive Surgery of the Hip and Knee
82
PREFERRED RESPONSE: 4- Erythrocyte sedimentation rate and C-reactive protein
laboratory studies
DISCUSSION
Periprosthetic fractures are the third-most-common (behind loosening and infection)
reason for revision surgery after total hip arthroplasty (THA). Late periprosthetic fracture risk
is 0.4% to 1.1% after primary THA and 2.1% to 4% after revision THA. Risk factors for
periprosthetic fracture include patient age older than 70 years, decreasing bone mass, and
loosening of implants and osteolysis. Risk for concomitant infection in the presence of a
periprosthetic fracture is 11%, according to Chevillotte and associates. Obtaining presurgical
aspiration or tissue for culture intrasurgically is recommended if concomitant infection is
suspected.
Figure 101a Figure 101b Figure 103a
AAOS 2016 Adult Reconstructive Surgery of the Hip and Knee
83
Figure 103b Figure 103c Figure 103d
CLINICAL SITUATION FOR QUESTIONS 101 THROUGH 104
Figures 101a and 101b are the right hip radiographs of a 26-year-old active man who has
had pain in his right hip for 4 months. His pain is worse with prolonged periods in a seated
position. He has no pain at rest and denies pain in other joints or systemic illness. Examination
reveals passive range of motion of full extension, 80 degrees of flexion, internal rotation in
flexion of 0 degrees, and external rotation in flexion of 30 degrees. Forced flexion, internal
rotation, and adduction are very painful. A flexion, abduction, and external rotation test result
is negative.
Question 101 of 200
What is the most common morphologic abnormality among patients with this condition?
1- Pathologic femoral morphology
2- Pathologic acetabular morphology
3- Femoral neck retroversion
4- Combined pathologic femoral and acetabular morphology
PREFERRED RESPONSE: 4- Combined pathologic femoral and acetabular morphology
Question 102 of 200
Among patients with this condition and isolated CAM-type lesions, gross examination of
the acetabular cartilage/labrum junction would most likely show
1- a separation of acetabular labrum from the acetabular rim.
2- a separation of acetabular cartilage from the acetabular labrum.
3- ossification of the acetabular labrum.
4- avascular changes.
PREFERRED RESPONSE: 2- a separation of acetabular cartilage from the acetabular
labrum.
AAOS 2016 Adult Reconstructive Surgery of the Hip and Knee
84
Question 103 of 200
Radiographs of the right hip are shown in Figures 103a through 103d. Which figure
accurately depicts this patient’s radiographic “alpha angle”?
1- Figure 103a
2- Figure 103b
3- Figure 103c
4- Figure 103d
PREFERRED RESPONSE: 3- Figure 103c
Question 104 of 200
The patient undergoes right hip arthroscopy. During placement of a standard anterior
portal, the 2 structures most at risk for iatrogenic injury are the
1- femoral neurovascular bundle and superior gluteal neurovascular bundle.
2- pudendal nerve lateral femoral cutaneous nerve (LFCN).
3- LFCN and femoral neurovascular bundle.
4- LFCN and obturator nerve.
PREFERRED RESPONSE: 3- LFCN and femoral neurovascular bundle.
DISCUSSION
The clinical scenario describes a young man with a painful hip joint related to
femoroacetabular impingement (FAI) based on his history of pain with prolonged sitting and
the examination findings of pain and limited internal rotation, flexion, and adduction. Plain
radiographs confirm the diagnosis and show decreased head-neck offset or a CAM deformity.
Epidemiologic studies have shown that the most common abnormal morphology is a combined
CAM/pincer deformity. In isolated CAM deformities, the most consistent finding is separation
between the acetabular cartilage and labrum. The “alpha angle” is the angle between the
midline of the femoral neck and a line from the center of the femoral head to the point at which
the femoral head becomes aspherical. It can be measured on either a lateral radiograph of the
femoral neck or on an axial cut of cross-sectional imaging (a CT scan or MR image). It is used
to quantify the degree of asphericity at the anterior head-neck junction. Cadaveric studies have
AAOS 2016 Adult Reconstructive Surgery of the Hip and Knee
85
shown that placement of a standard anterior portal during hip arthroscopy is closest to the
LFCN and femoral neurovascular bundle.
Question 105 of 200
Which component position is associated with poor patellar tracking during total knee
arthroplasty (TKA)?
1- Lateral placement of the femoral component
2- Medial placement of the patellar component
3- Internal rotation of the tibial component
4- Varus alignment of the proximal tibia
PREFERRED RESPONSE: 3- Internal rotation of the tibial component
DISCUSSION
Internal malrotation of the femoral or tibial component is associated with lateral tracking
of the patella in TKA. Lateral placement of the femoral component and medial placement of
the patella component can aid in preventing lateral tracking of the patella. Varus alignment of
the proximal tibia has not been associated with patella maltracking.
AAOS 2016 Adult Reconstructive Surgery of the Hip and Knee
86
AAOS 2016 Adult Reconstructive Surgery of the Hip and Knee
87
AAOS 2016 Adult Reconstructive Surgery of the Hip and Knee
88
AAOS 2016 Adult Reconstructive Surgery of the Hip and Knee
89
RESPONSES FOR QUESTIONS 106 THROUGH 109
1- Immobilization/nonsurgical management
2- Irrigation and debridement
3- 2-stage reimplantation total knee arthroplasty (TKA)
4- Increased constraint/polyethylene exchange
5- Revision of the femoral component only
6- Revision of the tibial component only
7- Revision of both components
8- Revision of the patellar component
Select the treatment listed above that most appropriately addresses each scenario described
below.
Question 106 of 200
After sustaining a fall onto her left TKA, a 72-year-old woman does not have an extensor lag.
She has anterior knee pain and ecchymosis (Figures 106a through 106c).
1- Immobilization/nonsurgical management
2- Irrigation and debridement
3- 2-stage reimplantation total knee arthroplasty (TKA)
4- Increased constraint/polyethylene exchange
5- Revision of the femoral component only
6- Revision of the tibial component only
7- Revision of both components
8- Revision of the patellar component
PREFERRED RESPONSE: 1- Immobilization/nonsurgical management
Question 107 of 200
One year after undergoing primary TKA, a 55-year-old man has limited range of motion (20
to 80 degrees) and a negative infection workup (Figures 107a and 107b). The tibial component
rotation is 20 degrees internal with relation to the tubercle.
1- Immobilization/nonsurgical management
2- Irrigation and debridement
AAOS 2016 Adult Reconstructive Surgery of the Hip and Knee
90
3- 2-stage reimplantation total knee arthroplasty (TKA)
4- Increased constraint/polyethylene exchange
5- Revision of the femoral component only
6- Revision of the tibial component only
7- Revision of both components
8- Revision of the patellar component
PREFERRED RESPONSE: 7- Revision of both components
Question 108 of 200
Eighteen months after undergoing primary TKA, a 60-year-old man experiences increasing
pain and a draining sinus for 1 week.
1- Immobilization/nonsurgical management
2- Irrigation and debridement
3- 2-stage reimplantation total knee arthroplasty (TKA)
4- Increased constraint/polyethylene exchange
5- Revision of the femoral component only
6- Revision of the tibial component only
7- Revision of both components
8- Revision of the patellar component
PREFERRED RESPONSE: 3- 2-stage reimplantation total knee arthroplasty (TKA)
Question 109 of 200
Ten years after undergoing TKA, a 77-year-old woman experiences 2 weeks of pain, swelling,
and erythema following a routine dental cleaning procedure (Figures 109a and 109b). Her
erythrocyte sedimentation rate is 25 mm/h (reference range 0-20 mm/h), her C-reactive protein
level is 1.7 mg/L (reference range, 0.08-3.1 mg/L), and alpha-defensin findings are negative.
1- Immobilization/nonsurgical management
2- Irrigation and debridement
3- 2-stage reimplantation total knee arthroplasty (TKA)
AAOS 2016 Adult Reconstructive Surgery of the Hip and Knee
91
4- Increased constraint/polyethylene exchange
5- Revision of the femoral component only
6- Revision of the tibial component only
7- Revision of both components
8- Revision of the patellar component
PREFERRED RESPONSE: 6- Revision of the tibial component only
DISCUSSION
Managing complications following a failed TKA requires an understanding of the mode of
failure and treatment principles. Generally, TKA can fail for the following reasons: infection,
instability, aseptic loosening, stiffness, and extensor mechanism dysfunction.
Managing an infected TKA requires knowledge of the timing and circumstances surrounding
the infected implant. Patients with acute infections (symptom duration of fewer than 3 weeks)
are candidates for debridement and prosthesis retention. Chronic infections (symptoms lasting
longer than 3 weeks and for more than 3 months from the time of index arthroplasty) should
be treated with resection arthroplasty, parenteral antibiotics, and reimplantation surgery at a
later date. Evaluation of possible acute infections should include aspiration, serology, and
alpha-defensin.
Instability following TKA is a common cause of early failure and revision surgery. The
etiology of instability can include overresection of the posterior condyles, collateral ligament
insufficiency, and late rupture of the posterior cruciate ligament. Recognizing the cause of
instability is critical to eventual successful revision. Typically, isolated polyethylene exchange
is not effective or reliable to address instability. In many cases, component malrotation and
ligament imbalance contribute to instability. Revision surgery focuses on restoration of the
joint line, proper femoral and tibial component rotation, and restoration of the femur posterior
condylar.
Component loosening and osteolysis are the common mechanisms of TKA failure. Prior to
revision, concurrent infection must be ruled out as a source of failure. At the time of revision,
proper fixation and rotation of the femoral and tibial components must be ensured. If the
components are well fixed and rotated, successful isolated bearing exchange and bone grafting
in the setting of osteolysis is possible. Isolated component exchanges also can be successfully
performed, provided the remaining components are in an acceptable position. However, when
in doubt, revision of both components generally yields more consistent results.
Stiffness following TKA can affect as many as 10% of patients following surgery. Depending
on the timing and extent of arthrofibrosis, treatment options include manipulation under
anesthesia or revision TKA. Manipulation typically is effective early during the postsurgical
AAOS 2016 Adult Reconstructive Surgery of the Hip and Knee
92
course (for up to 4 months) and is most effective for loss of flexion. To address chronic
stiffness and arthrofibrosis, revision TKA offers modest improvements in range of motion.
Isolated polyethylene exchange has proven inconsistent in this setting, so revision of both
components to ensure proper component rotation and joint line restoration offers the best
chance to improve range of motion.
Extensor mechanism complications also can occur following TKA. Although the frequency is
decreasing with improved component design and surgical techniques, periprosthetic patella
fractures can occur. Treatment centers on the integrity of the extensor mechanism and fixation
of the patellar component (if resurfaced). In general, if the extensor mechanism is intact,
nonsurgical treatment is favored. Surgical treatment of periprosthetic patellar fractures
following TKA has been associated with high complication rates and low healing rates.
Question 110 of 200
A complication unique to computer navigation of total knee arthroplasty (TKA) is
1- femoral shaft fracture.
2- intercondylar femur fracture.
3- ligament disruption.
4- nerve palsy.
PREFERRED RESPONSE: 1- femoral shaft fracture.
DISCUSSION
Threaded pins are frequently inserted into the femoral shaft and tibial shafts or proximal tibia
to attach arrays for tracking devices. There have been case reports of fractures propagating
through the pin tracks, which is a complication unique to computer navigation. Intercondylar
fractures can occur following posterior stabilized TKA. Vascular injury, ligament disruption,
and nerve palsy are rare complications following TKA performed with or without computer
navigation.
AAOS 2016 Adult Reconstructive Surgery of the Hip and Knee
93
Figure 111
CLINICAL SITUATION FOR QUESTIONS 111 THROUGH 113
Figure 111 is the anteroposterior radiograph of a 79-year-old woman with a presurgical
diagnosis of osteonecrosis who sustained a periprosthetic tibia fracture following her total knee
arthroplasty (TKA).
Question 111 of 200
This is classified as which type of fracture
1- Type IIA
2- Type IIB
3- Type IIIA
4- Type IIIB
PREFERRED RESPONSE: 3- Type IIIA
Question 112 of 200
Which factor most likely contributed to this patient’s periprosthetic tibia fracture?
AAOS 2016 Adult Reconstructive Surgery of the Hip and Knee
94
1- Age/gender
2- Implant choice
3- Implant position
4- Cement fixation
PREFERRED RESPONSE: 1- Age/gender
Question 113 of 200
The most appropriate treatment for this fracture is
1- revision TKA.
2- revision of the tibial component with a stem extension.
3- cast immobilization.
4- open reduction and internal fixation of the fracture.
PREFERRED RESPONSE: 4- open reduction and internal fixation of the fracture.
DISCUSSION
Tibial fractures are classified on the basis of their anatomical location and the status of the
prosthesis fixation. Type I fractures involve the tibial plateau, type II fractures occur adjacent
to the stem of the tibial component, type III fractures are distal to the tibial stem, and type IV
fractures involve the tibial tubercle. Subclassifications include A with a well-fixed implant; B
with a loose implant; and C, which occur intraoperatively.
Treatment of periprosthetic tibial fractures is based on the location of the fracture and the
status of the component fixation. Types II or III fractures associated with prosthetic loosening
or instability are best managed with revision arthroplasty, usually with a diaphyseal-engaging
intramedullary tibial stem. Supplemental internal fixation may be necessary. Type III fractures
with well-fixed and stable implants are treated using the standard principles of tibial fracture
management.
Question 114 of 200
In either a ceramic-on-highly-cross-linked polyethylene (HXPE) or metal-on-HXPE
component, increasing the ball head size leads to
AAOS 2016 Adult Reconstructive Surgery of the Hip and Knee
95
1- decreased polyethylene wear.
2- decreased risk for corrosion.
3- increased primary arc of motion.
4- increased offset.
PREFERRED RESPONSE: 3- increased primary arc of motion.
DISCUSSION
Increasing the size of the ball head increases the primary arc of motion prior to
impingement and the jump distance prior to dislocation, assuming an acetabular component
abduction of less than 90 degrees. Although HXPE has demonstrated decreases in linear wear
rates even with ball head sizes larger than 28 mm, volumetric wear remains a concern. A larger
ball head size does not significantly change offset, and larger metal ball heads are not
associated with decreased risk for corrosion.
AAOS 2016 Adult Reconstructive Surgery of the Hip and Knee
96
Figure 115a Figure 115b
Question 115 of 200
Figures 115a and 115b are the radiograph and intraoperative view of the femoral taper
junction of a 68-year-old man who has left groin pain 8 years after undergoing total hip
arthroplasty (THA). He has a mild limp and mild pain with active and passive range of motion.
His erythrocyte sedimentation rate and C-reactive protein level are within defined limits. His
serum cobalt level is 5.3 ppb and serum chromium level is 3.4 ppb. In addition to exchanging
the acetabular insert, what is the best surgical procedure for this patient?
1- Revise the femoral component to obtain a new taper
2- Place a new metal ball on the existing taper
3- Place a new ceramic ball with a titanium sleeve on the existing taper
4- Place a new ceramic ball on the existing taper
AAOS 2016 Adult Reconstructive Surgery of the Hip and Knee
97
PREFERRED RESPONSE: 3- Place a new ceramic ball with a titanium sleeve on the
existing taper
DISCUSSION
This patient has symptomatic severe pelvic and femoral osteolysis occurring after a metal-
on-metal bearing THA. Bearing surface wear and taper wear (corrosion) are debris sources
contributing to osteolysis, and both sources should be addressed at surgery. Current
recommendations are to not remove a stable cementless femoral component unless the taper
is damaged so badly that a new ball will not lock on the taper. There have been reports of
repeat local tissue reactions when a new cobalt chromium ball is placed on a taper with
corrosion damage. The current recommendation is to minimize the amount of cobalt at the
taper junction, and this can be done by avoiding a cobalt chromium ball in favor of a titanium
taper sleeve on the damaged taper with a ceramic ball on the new sleeve. Use of a ceramic
head on a previously used trunnion poses risk for fracture of the ceramic head.
Question 116 of 200
Biofilm is believed to play a major role in the pathogenesis of periprosthetic joint infection.
Biofilm allows for the bacterial population to evade the effects of antimicrobial therapy
primarily through
1- adherence and colonization.
2- formation of a protective scaffold.
3- coating with host proteins.
4- direct inhibition of antibiotics.
PREFERRED RESPONSE: 2- formation of a protective scaffold.
DISCUSSION
The intrinsic risk for colonization and subsequent infection associated with implants is
exacerbated by implants’ tendency to become coated in host proteins such as fibrinogen and
fibronectin shortly after implantation. Following initial adherence and colonization, bacteria
are thought to form a complex matrix of an extracellular polymetric substance, serving as a
protective scaffold in which they can survive despite the competence of the host’s immune
system or the presence of antimicrobial agents. There is no evidence that biofilm directly
inhibits antibiotics.
AAOS 2016 Adult Reconstructive Surgery of the Hip and Knee
98
CLINICAL SITUATION FOR QUESTIONS 117 THROUGH 119
A 79-year-old woman is experiencing chronic right hip pain. All of her pain is in her right
groin, and it worsens with activity. She has failed nonsurgical treatment with nonsteroidal anti-
inflammatory drugs, activity modification, and occasional corticosteroid injections. She would
like to proceed with surgical treatment.
Question 117 of 200
A high risk for failure of a proximally porous coated femoral component is associated with
1- young age.
2- osteoporosis.
3- Dorr type B bone.
4- vitamin D deficiency.
PREFERRED RESPONSE: 2- osteoporosis.
Question 118 of 200
The ideal cemented femoral stem design has
1- cylindrical stems.
2- a polished finish.
3- a collared implant.
4- flat, sharp edges.
PREFERRED RESPONSE: 2- a polished finish.
Question 119 of 200
An operating room intervention that should be undertaken by anesthesia staff during the
cementing of a femoral stem is to
1- decrease the fraction of inspired oxygen (FiO2).
2- decrease the intravenous (IV) fluid rate.
3- have phenylephrine on standby.
AAOS 2016 Adult Reconstructive Surgery of the Hip and Knee
99
4- redose epidural anesthesia.
PREFERRED RESPONSE: 3- have phenylephrine on standby.
DISCUSSION
Young age is a risk factor for early failure of cementless femoral components. Surgeons
could consider cementing for patients older than 80 years of age. The Dorr classification has
been shown to favor a cemented femoral stem in Dorr type C bone. Dorr type B bone can
potentially sustain a proximally porous ingrowth stem. Osteoporosis is a risk factor for early
failure of cementless femoral components.
Earlier designs for cemented femoral stems used microtexture to interlock the stem into
the cement mantle. If these stems became loose, they would abrade the cement and loosen the
stem further. Successful cemented femoral components are polished and have smooth edges
with tapered bodies. Collars do not add to the design of femoral stems.
Patients are at risk for hypotension during the femoral pressurization process. With that in
mind, the surgeon should make sure the anesthesiologist is ready to respond to hypotension.
The FiO2 should be increased. The IV fluid rate also should be increased, and the
anesthesiologist should be prepared with phenylephrine to support the patient’s blood pressure
if he or she becomes hypotensive.
AAOS 2016 Adult Reconstructive Surgery of the Hip and Knee
100
Figure 120
Question 120 of 200
A 65-year-old woman with rheumatoid arthritis is undergoing revision total knee
arthroplasty (TKA) during which the medial collateral ligament (MCL) is damaged. Suture
anchors are used to attempt primary repair, and a varus-valgus constrained insert also is used.
Postsurgically she experiences instability that does not respond to bracing with a 3+ opening
to valgus stress (Figure 120). What is the most appropriate surgical option?
1- Femoral revision with distal augment
2- MCL allograft reconstruction
3- Ultracongruent insert
4- Rotating-hinge TKA
PREFERRED RESPONSE: 4- Rotating-hinge TKA
DISCUSSION
MCL repair or reconstruction may be considered in younger, more active patients, but this
intervention is technically demanding and produces variable results. Rotating-hinge TKA is
associated with good results in a number of small series that include cases performed with
MCL insufficiency or absence. A rotating hinge is preferable over a fixed hinge because of
decreased stresses on implants imposed by fixed-hinge devices.
Question 121 of 200
One year after undergoing a primary total knee arthroplasty, a 65-year-old man has a 1-
week history of new onset anterior knee pain. He can perform a straight-leg raise with no
extension lag. Radiographs reveal a transverse patella fracture with 8 mm of displacement and
an intact patellar component. The best course of treatment is
1- patellectomy with retinacular repair.
2- immobilization in extension for 6 weeks.
3- open reduction and cerclage wiring.
4- internal fixation and patellar component revision.
AAOS 2016 Adult Reconstructive Surgery of the Hip and Knee
101
PREFERRED RESPONSE: 2- immobilization in extension for 6 weeks.
DISCUSSION
This patient has a displaced periprosthetic patella fracture with an intact extensor
mechanism. Surgical treatment for this condition has been associated with relatively poor
clinical results because the fracture occurs late (attributable to patella osteonecrosis). The
optimal initial treatment is to treat the fracture nonsurgically with immobilization of the knee
in extension either with a long-leg cast or knee immobilizer.
Figure 122a Figure 122b
Question 122 of 200
Figures 122a and 122b are the radiographs of a 79-year-old woman with a 2-year history
of progressively worsening right hip pain. She had a right total hip arthroplasty 7 years prior.
An infection workup is negative. She opts for revision surgery; the most appropriate surgical
plan to address her femoral component is
1- extended trochanteric osteotomy and revision to a cementless long-stem prosthesis.
2- extended trochanteric osteotomy and revision to a cemented long-stem prosthesis.
3- revision to a cementless long-stem prosthesis without use of an extended trochanteric
osteotomy.
AAOS 2016 Adult Reconstructive Surgery of the Hip and Knee
102
4- revision to a cemented long-stem prosthesis without use of an extended trochanteric
osteotomy.
PREFERRED RESPONSE: 1- extended trochanteric osteotomy and revision to a
cementless long-stem prosthesis.
DISCUSSION
The patient’s radiographs show loosening of the cemented femoral stem and varus
remodeling of the femur. An extended trochanteric osteotomy is necessary because attempting
to extract the existing prosthesis and implant another prosthesis without an osteotomy is likely
to cause a proximal femoral fracture. Also, an osteotomy would facilitate atraumatic removal
of the stem and cement. Cementless fixation is likely to produce a more predictable long-term
outcome than cemented fixation for the revision implant.
Question 123 of 200
Two weeks after undergoing total knee arthroplasty, a 68-year-old woman experiences
moderate, yet worsening, knee pain. Upon examination, she can walk with a cane but she has
swelling with mild reactive erythema. She has a well-healed incision with no drainage. A
review of her medications reveals the she has been taking warfarin and has an international
normalized ratio (INR) of 4.0. Her erythrocyte sedimentation rate (ESR) and C-reactive
protein (CRP) level are slightly elevated, and radiographs are unremarkable other than for
effusion. What is the most likely diagnosis?
1- Deep periprosthetic joint infection
2- Deep vein thrombosis
3- Hemarthrosis
4- Extensor mechanism disruption
PREFERRED RESPONSE: 3- Hemarthrosis
DISCUSSION
This patient likely has a hemarthrosis related to INR elevation. The slight elevations in
ESR and CRP are likely attributable to the nature of the surgery itself rather than an infection,
and the mild reactive erythema is likely attributable to the hemarthrosis.
AAOS 2016 Adult Reconstructive Surgery of the Hip and Knee
103
Question 124 of 200
A 56-year-old woman underwent a total knee arthroplasty 2 years ago and now has pain
and swelling. Radiographs of her knee are unremarkable. Her C-reactive protein (CRP) level
is 3.0 (reference range [rr], 0.08–3.1 mg/L), and her erythrocyte sedimentation rate (ESR) is
18 mm/h (rr, 0-20 mm/h). Aspiration of the knee reveals a white blood cell (WBC) count of
1200/mm3 with a differential of 30% neutrophils and 70% monocytes. Cultures will not be
available for several days, and the patient has not been taking antibiotics. Based on these
findings, the most appropriate next step is
1- arthrotomy, irrigation, and tibial polyethylene exchange.
2- parenteral antibiotics.
3- nonsurgical treatment without antibiotics.
4- removal of the implant and a 2-stage procedure.
PREFERRED RESPONSE: 3- nonsurgical treatment without antibiotics.
DISCUSSION
ESR and CRP level are recommended as starting points in the workup for the diagnosis or
exclusion of periprosthetic joint infection (PJI). When both the ESR and CRP findings are
within defined limits, PJI is unlikely. When both test findings are positive, PJI must be
considered and further investigation is warranted. Clinicians need to be aware of other
inflammatory conditions such as rheumatoid arthritis that can lead to elevation of
inflammatory markers.
A high likelihood of infection is noted when the knee aspirate contains more than 2500
WBCs per high-powered field (HPF) with a differential count exceeding 60% neutrophils.
Using these criteria, Mason demonstrated a sensitivity of 98% and a specificity of 95% for
infection diagnosis.
For this patient, the inflammatory markers are within normal limits. The aspiration result
is below 2500 WBC/HPF with a low percentage of neutrophils. The likelihood of infection is
remote, and further nonsurgical treatment should not include antibiotics. There is no indication
for surgery based upon the information presented.
AAOS 2016 Adult Reconstructive Surgery of the Hip and Knee
104
Figure 125
Question 125 of 200
Figure 125 is the anteroposterior knee radiograph of a 65-year-old man who has been
treated for knee pain for 6 years. His pain is constant and is worse when walking up and down
stairs and when sitting for a prolonged period. He has medial joint line tenderness and a
positive patellofemoral grind test finding. His knee is stable to varus and valgus stress. A
Lachman test result is 2+. He had a trial of nonsteroidal anti-inflammatory medications with
good relief until 4 months ago. Physical therapy has provided minimal relief, and he has
undergone a series of intra-articular injections with corticosteroids. The last 2 injections each
provided 1 week of pain relief. What is the most appropriate next treatment option?
1- Repeat intra-articular injection
2- High tibial osteotomy
3- Total knee arthroplasty (TKA)
4- Unicompartmental knee arthroplasty
PREFERRED RESPONSE: 3- Total knee arthroplasty (TKA)
AAOS 2016 Adult Reconstructive Surgery of the Hip and Knee
105
DISCUSSION
Osteoarthritis is a complex disease. Multiple studies have demonstrated a genetic
predisposition and critical role of proinflammatory cytokines in the disease process.
Osteoarthritis of the knee has a multifactorial pathogenesis. It is age related and affects women
more commonly than men. It is also influenced by such factors as obesity, trauma, repetitive
use, muscle weakness, and joint laxity. The treatment of osteoarthritis is multimodal.
Nonsurgical treatments include nonsteroidal anti-inflammatory medications, intra-
articular injections, weight loss, and physical therapy. Surgical treatments include osteotomy
and unicompartmental and TKA.
Question 126 of 200
A concern when choosing irradiated (10 Mrad) and subsequently melted highly cross-
linked polyethylene rather than lower dose–irradiated (4 Mrad) polyethylene is related to its
inferior resistance to
1- adhesive wear.
2- abrasive wear.
3- fatigue wear.
4- creep.
PREFERRED RESPONSE: 3- fatigue wear.
DISCUSSION
The higher the dose of radiation to the polyethylene, the higher the amount of cross-
linking. Adhesive and abrasive wear resistance increases with an increase in cross-linking.
However, fatigue properties of the material are decreased when polyethylene is melted (to
remove free radicals) during the cross-linking process. Creep (deformation without wear) is
also slightly increased with cross-linking of polyethylene.
Question 127 of 200
A 64-year-old woman sustains a fracture to her distal femur 5 years after undergoing total
knee arthroplasty. When choosing between locked femoral plating and retrograde femoral
nailing, which factor is important to consider based on this patient’s surgical record?
1- Previous surgical approach
2- Previous tourniquet time
AAOS 2016 Adult Reconstructive Surgery of the Hip and Knee
106
3- Implant model
4- Presence of an anterior femoral notch
PREFERRED RESPONSE: 3- Implant model
DISCUSSION
Treatment of periprosthetic supracondylar femoral fractures is complex and may involve
the use of a retrograde intramedullary femoral nail or locked or unlocked femoral plate.
Knowledge of certain measurements specific to the model of the implant, specifically to the
minimal intercondylar distance and the position of the notch on the femoral component in
relation to the intramedullary canal, is crucial when choosing a retrograde nail over a locked
femoral plate. Although the surgical approach, presence of an anterior femoral notch, and
previous tourniquet time are interesting to consider, none of these factors would preclude the
ability to proceed with femoral intramedullary nailing.
Figure 128 Figure 129 Figure 130
CLINICAL SITUATION FOR QUESTIONS 128 THROUGH 130
AAOS 2016 Adult Reconstructive Surgery of the Hip and Knee
107
Figure 128 is the radiograph of a 78-year-old nursing home resident who has hypertension
and peripheral vascular disease. He has developed acute severe hip pain 20 years after
undergoing a cementless total hip arthroplasty (THA) and subsequent revision for instability.
He was previously ambulatory with a walker and now can no longer ambulate. His erythrocyte
sedimentation rate is 8 mm/h (reference range [rr], 0-20 mm/h) and C-reactive protein level is
0.6 mg/L (rr, 0.08-3.1 mg/L).
Question 128 of 200
When preparing for surgery, which protocol is most appropriate?
1- Intravenous (IV) prophylaxis with a cephalosporin for 24 hours
2- IV prophylaxis with a cephalosporin for 72 hours
3- IV prophylaxis with a cephalosporin and clindamycin
4- IV prophylaxis with a cephalosporin and gentamicin
PREFERRED RESPONSE: 1- Intravenous (IV) prophylaxis with a cephalosporin for 24
hours
Question 129 of 200
The patient is treated with proximal femoral replacement and acetabular reconstruction
that includes superior augmentation and a dual-mobility revision component (Figure 129).
During surgery, a large pseudotumor that has eroded the entire abductor mechanism and
extended over the anterior acetabulum and pelvis is found. Intrasurgical blood loss is 800 cc.
Low-molecular-weight heparin is used for postsurgical deep venous thrombosis (DVT)
prophylaxis. Eight units of packed red blood cells (PRBCs) are transfused over 5 days
following surgery. Twelve days after surgery, bloody drainage is expressed from the mid
portion of the wound, and the thigh is swollen. The man is afebrile; the wound is otherwise
clean without surrounding erythema. Treatment at this point should consist of
1- irrigation and debridement with liner and head exchange.
2- negative-pressure wound therapy (wound vac).
3- antibiotic therapy with vancomycin.
4- vastus lateralis muscle transposition.
PREFERRED RESPONSE: 1- irrigation and debridement with liner and head exchange.
AAOS 2016 Adult Reconstructive Surgery of the Hip and Knee
108
Question 130 of 200
One week later, the patient develops recurrent hematoma with wound dehiscence (Figure
130). Treatment at this point should consist of
1- debridement and wound closure.
2- single-stage revision and muscle flap transposition.
3- excision (Girdlestone) arthroplasty.
4- removal of components, insertion of an antibiotic cement spacer, and wound closure.
PREFERRED RESPONSE: 4- removal of components, insertion of an antibiotic cement
spacer, and wound closure.
DISCUSSION
Thigh swelling, bloody drainage, and the persistent need for postsurgical transfusion of
PRBCs to maintain adequate hemoglobin and hematocrit levels indicates the presence of a
substantial hematoma. Factors contributing to hematoma formation include the large dead
space associated with a large soft-tissue pseudotumor, use of postsurgical pharmacologic DVT
prophylaxis, higher American Society of Anesthesiologists (ASA) index, and substantial
intrasurgical blood loss. Urgent surgical treatment of a postsurgical hematoma with persistent
wound drainage is indicated to minimize risk for infection of the prosthetic components.
Postsurgical hematoma may also be culture positive or represent early postsurgical infection.
Irrigation and debridement should include exchange of the head and liner to provide access for
debridement of the modular implant interfaces.
This patient has an infected revision THA with an open wound nearly 3 weeks after
surgery. Irrigation and debridement with wound closure is appropriate for treatment of acute
postsurgical infections. However, a high failure rate has been associated with this procedure
and retention of the components, particularly in the setting of Staphylococcus aureus infection.
A large, relatively poorly vascularized wound also increases risk for recurrent infection with
retention of components. Treatment at this point to control infection necessitates removal of
the prosthetic components. Because of the massive segmental proximal femoral bone loss,
excision arthroplasty would result in a markedly shortened flail limb and considerable
functional impairment. Removal of the components and insertion of an antibiotic cement
spacer would allow wound closure and control of infection with the option of later second-
stage reconstruction.
AAOS 2016 Adult Reconstructive Surgery of the Hip and Knee
109
Figure 131
Question 131 of 200
Figure 131 is the abdominal radiograph of a 70-year-old man who experiences nausea and
abdominal tightness 48 hours after undergoing left total knee arthroplasty. An examination
reveals severe abdominal distension and markedly decreased bowel sounds. Insertion of a
nasogastric tube does not relieve abdominal tightness. What is the best next step?
1- Endoscopy
2- Gastrostomy
3- Colonoscopy
4- Laparotomy
PREFERRED RESPONSE: 3- Colonoscopy
AAOS 2016 Adult Reconstructive Surgery of the Hip and Knee
110
DISCUSSION
The abdominal radiograph reveals an acute colonic pseudo-obstruction. It is associated
with parenteral narcotic use and hypokalemia. Initial treatment is insertion of a nasograstric
tube, discontinuation of parenteral narcotics, and correction of electrolyte imbalances. If a
pseudo-obstruction is not relieved, colonoscopy should be performed.
Question 132 of 200
A lower chance of failure when using an extensor mechanism allograft to address a chronic
disruption of an extensor tendon is associated with
1- retention of the patient's patellar remnant.
2- tensioning the allograft in full extension.
3- use of a freeze-dried allograft.
4- resurfacing the patellar surface of the allograft.
PREFERRED RESPONSE: 2- tensioning the allograft in full extension.
DISCUSSION
Disruption of the extensor mechanism is a rare but devastating complication of knee
arthroplasty. Primary repair is associated with a high rate of failure. The results associated
with using an extensor mechanism allograft are still variable overall, but the literature on the
subject supports tensioning of the allograft in full extension. In studies conducted by Burnett
and associates and Nazarian and Booth, the patellar remnant is excised. The use of a fresh-
frozen nonirradiated allograft is recommended, and patellar resurfacing of the insensate patella
is unnecessary and potentially weakens the allograft.
CLINICAL SITUATION FOR QUESTIONS 133 THROUGH 135
A middle-age man who had an anterior cruciate ligament (ACL) reconstruction with a
carbon fiber ligament as a teenager also had a debridement, synovectomy, and a medial
unicompartmental arthroplasty. Fourteen years later, he has a painful knee (mainly laterally
and anteriorly) that swells with activity. His range of motion is 0 to 120 degrees.
Question 133 of 200
The most useful diagnostic finding is
1- location of pain.
AAOS 2016 Adult Reconstructive Surgery of the Hip and Knee
111
2- amount of swelling.
3- numbness.
4- stiffness.
PREFERRED RESPONSE: 1- location of pain.
Question 134 of 200
What is the most likely reason for these symptoms?
1- Acute infection
2- Progression of arthritis
3- Polyethylene wear
4- Instability
PREFERRED RESPONSE: 2- Progression of arthritis
Question 135 of 200
The most appropriate next surgical procedure is
1- synovectomy.
2- debridement, synovectomy, and placement of a thicker polyethylene liner.
3- resection arthroplasty and placement of a cement antibiotic spacer.
4- conversion to total knee arthroplasty (TKA).
PREFERRED RESPONSE: 4- conversion to total knee arthroplasty (TKA).
DISCUSSION
This patient’s arthritis likely has progressed to the lateral compartment. The location and
degree of local pain and tenderness are the most important physical findings. History and
physical findings indicate arthritis progression to the lateral and anterior compartments. This
scenario suggests the need for conversion of the unicompartmental arthroplasty to TKA.
AAOS 2016 Adult Reconstructive Surgery of the Hip and Knee
112
Figure 136a Figure 136b Figure 136c
Question 136 of 200
Figures 136a through 136c are the weight-bearing anteroposterior and lateral radiographs
of a 28-year-old construction worker who has had 6 months of progressive knee pain isolated
to the medial aspect of his right knee. The pain has not responded to nonsurgical treatment.
His body mass index is 26. He has knee range of motion from 0 to 125 degrees, and his knee
is stable to ligament examination. What is the most appropriate surgical treatment?
1- Distal femoral osteotomy
2- Proximal tibial osteotomy
3- Medial unicompartmental knee arthroplasty
4- Total knee arthroplasty (TKA)
PREFERRED RESPONSE: 2- Proximal tibial osteotomy
DISCUSSION
Proximal tibial osteotomy is the best option for this young patient who has good range of
motion and arthritis isolated to the medial compartment. Distal femoral osteotomy is more
appropriate for correction of valgus deformity. In the setting of most varus deformities as
shown in this patient’s radiographs, there is varus angulation of the proximal tibial. Correction
of alignment at the femur results in obliquity of the joint line and abnormal loading. Medial
AAOS 2016 Adult Reconstructive Surgery of the Hip and Knee
113
unicompartmental knee arthroplasty and TKA are less optimal in this setting because of this
patient’s young age and high demands as a laborer. Unicompartmental knee arthroplasty and
TKA are not preferred options for this patient because risk for premature failure is high.
Question 137 of 200
A 35-year-old construction worker has developed isolated lateral compartment arthritis.
He has lost 50 pounds, now has a body mass index of 30, and still has pain that limits his
activities of daily living and work despite receiving a 4-month course of nonsteroidal anti-
inflammatory medications and 2 intra-articular cortisone injections. His range of motion is 5
to 110 degrees, and his mechanical axis is 18 degrees of valgus. What is the most appropriate
surgical treatment for this patient?
1- Proximal tibial varus osteotomy
2- Lateral unicompartmental arthroplasty
3- Distal femoral varus osteotomy
4- Total knee arthroplasty
PREFERRED RESPONSE: 3- Distal femoral varus osteotomy
DISCUSSION
Knee arthritis in a young laborer is challenging to address. A surgeon could perform an
arthroplasty, but there is concern for early failure and the subsequent need for multiple
revisions during this patient’s lifespan. Indications for distal femoral varus osteotomy include
at least a 12- to 15-degree valgus mechanical axis and range of motion of at least 15 to 90
degrees. Contraindications for this procedure include inflammatory arthritis and restricted
knee motion.
RESPONSES FOR QUESTIONS 138 THROUGH 141
1- Acute periprosthetic infection
2- Chronic periprosthetic infection
3- Joint dislocation
4- Periprosthetic fracture
5- Pseudotumor
6- Femoral nerve palsy
7- Sciatic nerve palsy
AAOS 2016 Adult Reconstructive Surgery of the Hip and Knee
114
8- Aseptic prosthetic loosening
Select the total hip arthroplasty (THA) complication listed above that most commonly is
associated with the clinical scenario described below.
Question 138 of 200
A 50-year-old man has pain and notable swelling around his hip 3 years after undergoing
a metal-on-metal large-head THA.
1- Acute periprosthetic infection
2- Chronic periprosthetic infection
3- Joint dislocation
4- Periprosthetic fracture
5- Pseudotumor
6- Femoral nerve palsy
7- Sciatic nerve palsy
8- Aseptic prosthetic loosening
PREFERRED RESPONSE: 5- Pseudotumor
Question 139 of 200
A 68-year-old man has ongoing pain in his left hip area following elective THA performed
24 months ago. He had an episode of wound redness and drainage during the early postsurgical
period, which resolved with a course of oral antibiotics.
1- Acute periprosthetic infection
2- Chronic periprosthetic infection
3- Joint dislocation
4- Periprosthetic fracture
5- Pseudotumor
6- Femoral nerve palsy
7- Sciatic nerve palsy
8- Aseptic prosthetic loosening
AAOS 2016 Adult Reconstructive Surgery of the Hip and Knee
115
PREFERRED RESPONSE: 2- Chronic periprosthetic infection
Question 140 of 200
A 68-year-old woman experiences leg weakness and giving way of her knee immediately
following a complex revision of her right THA.
1- Acute periprosthetic infection
2- Chronic periprosthetic infection
3- Joint dislocation
4- Periprosthetic fracture
5- Pseudotumor
6- Femoral nerve palsy
7- Sciatic nerve palsy
8- Aseptic prosthetic loosening
PREFERRED RESPONSE: 6- Femoral nerve palsy
Question 141 of 200
Four weeks after undergoing elective THA, an 80-year-old man is in the emergency
department with sudden-onset right hip pain and an inability to bear weight after bending over
in his garden.
1- Acute periprosthetic infection
2- Chronic periprosthetic infection
3- Joint dislocation
4- Periprosthetic fracture
5- Pseudotumor
6- Femoral nerve palsy
7- Sciatic nerve palsy
8- Aseptic prosthetic loosening
PREFERRED RESPONSE: 3- Joint dislocation
AAOS 2016 Adult Reconstructive Surgery of the Hip and Knee
116
DISCUSSION
In Question 138, pain and swelling following a metal-on-metal large-head THA represent
a classic presentation for a pseudotumor from metallosis secondary to either articular metal
wear or trunnionosis. For this patient, infection should be ruled out with laboratory studies
(erythrocyte sedimentation rate and C-reactive protein) and joint aspiration. Metal ion levels
and metal artifact reduction sequence MR imaging or ultrasound would be helpful to confirm
the diagnosis of pseudotumor. In Question 139, chronic hip pain following elective THA with
an antecedent postsurgical wound constitutes a typical presentation for chronic periprosthetic
infection. Aseptic loosening could be considered although the timeline is short; bloodwork and
joint aspiration would be appropriate investigations. In Question 140, giving way of the knee
suggests quadriceps muscle dysfunction likely related to prolonged pressure on the femoral
nerve from retractors during a long revision case. The pattern of weakness does not fit a sciatic
nerve palsy. In Question 141, the presentation is typical of a prosthetic dislocation, most of
which occur during the early postsurgical period following THA.
Figure 142a Figure 142b
Question 142 of 200
Figures 142a and 142b are the current radiographs of an 89-year-old woman who had open
reduction and internal fixation (ORIF) of a distal periprosthetic femur fracture 4 months ago.
An examination reveals well-healed incisions, a painful range of motion from 15 to 85 degrees,
and normal neurovascular function. An infection workup, including an erythrocyte
AAOS 2016 Adult Reconstructive Surgery of the Hip and Knee
117
sedimentation rate and C-reactive protein level, is negative. The most appropriate treatment
option is
1- hinge knee bracing with restricted weight bearing.
2- revision ORIF.
3- revision total knee arthroplasty (TKA).
4- above-knee amputation.
PREFERRED RESPONSE: 3- revision total knee arthroplasty (TKA).
DISCUSSION
Current periprosthetic fracture treatments after TKA include ORIF via plating, retrograde
nailing, or revision using standard revision TKA components or a distal femoral arthroplasty.
Locked plating has demonstrated a trend toward increased nonunion rates when compared to
retrograde nailing, as evidenced in this patient. The advanced age of the patient, the presence
of failed fixation, and the significant amount of bone loss preclude a trial of further nonsurgical
treatment or revision ORIF. A review of 3 methods for treatment of comminuted distal
periprosthetic femur fractures in patients older than age 70 demonstrated that distal femur
arthroplasty should be considered in patients with advanced age and poor bone quality who
require early mobilization. As a result, treatment of this patient with a revision TKA using a
distal femoral arthroplasty would be the preferred response because of the bone quality and
fracture pattern. Above-knee amputation is a salvage procedure and is not indicated at this
time.
Question 143 of 200
A 70-year-old man with primary osteoarthritis undergoes a primary cementless total hip
arthroplasty (THA). His history includes pelvis irradiation for prostate carcinoma (6000 rads).
He is at increased risk for which complication?
1- Arterial injury
2- Sciatic nerve palsy
3- Infection
4- Acetabular component loosening
PREFERRED RESPONSE: 4- Acetabular component loosening
AAOS 2016 Adult Reconstructive Surgery of the Hip and Knee
118
DISCUSSION
The complication associated with pelvic radiation prior to cementless THA is loosening of
the acetabular component or postsurgical noningrowth of the component. Although scarring
from radiation may put the hip at increased risk for arterial or nerve damage or infection, this
risk has not been associated with pelvic radiation. Cementless acetabular components with
porous metal surfaces such as trabecular metal should be considered.
Question 144 of 200
A 24-year-old man has bilateral hip pain. An examination and imaging studies (plain
radiographs and MR imaging) confirm evidence of femoroacetabular impingement (FAI) with
a CAM deformity in both hips. The patient mentions that he has a 19-year-old brother who has
occasional hip pain. With respect to his brother’s pain, how should you counsel the patient?
1- His younger brother’s hip pain is almost certainly attributable to some other cause
2- His younger brother’s hip pain likely represents established osteoarthritis of the hip
3- His younger brother’s hip pain may be related to FAI
4- There is no known genetic influence in the etiology of FAI
PREFERRED RESPONSE: 3- His younger brother’s hip pain may be related to FAI
DISCUSSION
Evidence suggests that FAI is more common in siblings of patients with FAI, particularly
those with a CAM deformity. It is unlikely this patient has well-established osteoarthritis, even
in the presence of FAI.
AAOS 2016 Adult Reconstructive Surgery of the Hip and Knee
119
Figure 145a Figure 145b Figure 146
CLINICAL SITUATION FOR QUESTIONS 145 THROUGH 147
Figures 145a and 145b are the radiographs of a 56-year-old man who has had persistent
pain in his right groin since undergoing primary total hip surgery 11 months ago. His
erythrocyte sedimentation rate (ESR) is 38 mm/h (reference range [rr], 0-20 mm/h) and C-
reactive protein (CRP) level is 28 mg/L (rr, 0.08-3.1 mg/L). A hip aspiration performed while
the patient was taking antibiotics demonstrated 3200 white blood cells/µL with no growth.
Treatment should consist of
Question 145 of 200
Treatment should consist of
1- repeat hip aspiration while the patient is not taking antibiotics.
2- iliopsoas injection under fluoroscopy.
3- acetabular revision.
4- irrigation and debridement with a polyethylene liner exchange.
PREFERRED RESPONSE: 1- repeat hip aspiration while the patient is not taking
antibiotics.
AAOS 2016 Adult Reconstructive Surgery of the Hip and Knee
120
Question 146 of 200
Figure 146 is the patient’s clinical photograph 2 months after his the initial evaluation. He
has arrived at the emergency department after experiencing 24 hours of fevers, chills, and
redness surrounding his right hip. His ESR is 67 mm/h and CRP level is 102 mg/L. Which
treatment is most appropriate?
1- Irrigation and debridement with a polyethylene liner exchange
2- Single-stage revision with cementless components
3- Acetabular and femoral component removal with insertion of a temporary antibiotic
spacer
4- Acetabular and femoral component removal without insertion of a temporary antibiotic
spacer (Girdlestone procedure)
PREFERRED RESPONSE: 3- Acetabular and femoral component removal with insertion
of a temporary antibiotic spacer
Question 147 of 200
Five weeks after the patient completes a 6-week course of antibiotics, his ESR is 24 mm/h
and CRP level is 10 mg/L, which is similar to the levels at 6 weeks. What is the most
appropriate treatment at this time?
1- Delay further surgical intervention until his ESR and CRP level normalize
2- Delay further surgical intervention until his ESR normalizes
3- Delay further surgical intervention until his CRP level normalizes
4- Proceed with surgical intervention if the patient’s condition is medically optimized
PREFERRED RESPONSE: 4- Proceed with surgical intervention if the patient’s condition
is medically optimized
DISCUSSION
This patient has both serologic and synovial fluid findings that are concerning for indolent
infection. He was taking antibiotics at the time of aspiration. The AAOS clinical practice
guideline, The Diagnosis of Periprosthetic Joint Infections of the Hip and Knee, suggests that
patients discontinue antibiotics for a minimum of 2 weeks and that a repeat aspiration should
be performed in cases of contradictory findings. In this situation, the cell count is elevated
AAOS 2016 Adult Reconstructive Surgery of the Hip and Knee
121
along with an elevated ESR and CRP level. As a result, the appropriate treatment at this time
is to reaspirate his hip.
This patient has a periprosthetic joint infection with a draining sinus tract. He has had
symptoms for several months and, as a result, irrigation and debridement are not indicated. A
single-stage surgery may be performed in some centers for healthy patients with susceptible
organisms. However, single-stage reconstructions are generally performed with cemented
implants in patients without a draining sinus tract. A 2-stage procedure with an antibiotic
spacer is the surgical treatment modality most likely to eradicate this infection.
Serologic findings have significantly improved since the time of the prior surgical
procedure. Surgical intervention does not need to be delayed until these values have
completely normalized.
Question 148 of 200
During a revision total knee arthroplasty (TKA), there is difficulty gaining exposure and a
tibial tubercle osteotomy (TTO) is performed. The final components are stable and include a
stemmed tibial component that bypasses the osteotomy site. The tibial tubercle is reattached
to the osteotomy site with multiple cerclage wires. Following closure of the arthrotomy, the
knee is flexed to 90 degrees, and there is no observed displacement of the TTO. What is the
best next step in postsurgical rehabilitation?
1- Limit flexion to 90 degrees with nonweight-bearing activity with crutches for the first
6 weeks
2- Limit flexion to 30 degrees for the first week, progress 10 degrees per week, and allow
partial weight-bearing activity with crutches
3- The knee should be immobilized in extension; partial weight-bearing activity with
crutches may be allowed for the first 6 weeks
4- An initial range-of-motion restriction to 90 degrees or weight-bearing restriction is not
needed
PREFERRED RESPONSE: 4- An initial range-of-motion restriction to 90 degrees or
weight-bearing restriction is not needed
DISCUSSION
TTO is a recognized technique for improving exposure when performing TKA in a stiff
knee. TTO has been reported to enhance surgical exposure and not adversely affect outcomes
after TKA, but there is a 5% complication rate. The postsurgical routine following TTO
AAOS 2016 Adult Reconstructive Surgery of the Hip and Knee
122
includes full weight-bearing activity and range of motion as tolerated. Caution should be
exercised when manipulation is performed to improve knee flexion following a TTO.
Question 149 of 200
A patient who underwent a total knee arthroplasty (TKA) 4 years ago reports acute knee
pain 2 days following dental surgery. Knee joint aspiration demonstrates 40000 white blood
cells/µL with 90% neutrophils. An aspirate culture grows peptostreptococcus. Treatment
should consist of
1- intravenous (IV) antibiotics only.
2- arthroscopic debridement and IV antibiotics.
3- irrigation, debridement, polyethylene liner exchange, and IV antibiotics.
4- 2-stage exchange and IV antibiotics.
PREFERRED RESPONSE: 3- irrigation, debridement, polyethylene liner exchange, and
IV antibiotics.
DISCUSSION
This patient has an acute hematogenous infection of a TKA. Irrigation, debridement,
polyethylene liner exchange, and IV antibiotics remain the treatments of choice. However,
failure of this approach has been reported in 20% to 60% of cases in various series, particularly
when methicillin-resistant streptococcus aureus or methicillin-resistant streptococcus
epidermis is isolated.
AAOS 2016 Adult Reconstructive Surgery of the Hip and Knee
123
Figure 150a Figure 150b
Figure 150c Figure 150d
Question 150 of 200
Figures 150a through 150d are the radiographs and MR images of a 37-year-old woman
who has a 3-month history of severe right hip pain. She does not recall any trauma prior to the
AAOS 2016 Adult Reconstructive Surgery of the Hip and Knee
124
pain onset and denies any past steroid exposure. She has 3 children and is not currently
pregnant. The pain is located in her groin and the onset was sudden. The pain is refractory to
anti-inflammatory medications. What is the most appropriate treatment?
1- Toe-touch weight-bearing activity and supportive care
2- Core decompression and femoral head grafting
3- Periacetabular osteotomy
4- Hemiarthroplasty
PREFERRED RESPONSE: 1- Toe-touch weight-bearing activity and supportive care
DISCUSSION
The patient’s MR images are consistent with transient hip osteoporosis. No signs suggest
avascular necrosis. She has no joint narrowing. Transient osteoporosis of the hip is
characterized by bone marrow edema in the femoral head and neck. This condition affects
more men than women and is sometimes seen in the third trimester of pregnancy but can be
seen in women who are not pregnant as well. This is a self-limiting condition, and the treatment
is limited weight-bearing activity until the symptoms resolve. Core decompression is rarely
used in these cases. There is no indication for arthroplasty or osteotomy in this scenario.
Question 151 of 200
A 41-year-old woman has medial-sided knee pain and varus deformity. Her radiographic
findings are consistent with isolated medial compartment osteoarthritis. Her pain persists
despite nonsurgical therapy. A medial-sided, opening-wedge osteotomy with locking plate
fixation is performed. What factor is most associated with delayed union or nonunion of the
osteotomy?
1- Obesity
2- Lateral hinge fracture
3- Smoking
4- An accelerated weight-bearing protocol
PREFERRED RESPONSE: 3- Smoking
AAOS 2016 Adult Reconstructive Surgery of the Hip and Knee
125
DISCUSSION
Many factors can lead to delayed union or nonunion after medial opening-wedge high
tibial osteotomy; the factor most associated with delayed union or nonunion is smoking. Other
factors include obesity and unstable lateral hinge fractures, but to a lesser extent. An
accelerated weight-bearing protocol has no effect on union. The use of locking screws should
increase construct stability and is not associated with osteotomy delayed union or nonunion.
Figure 152a Figure 152b
Question 152 of 200
Figures 152a and 152b are the current radiographs of a 72-year-old man who underwent
insertion of an antibiotic-impregnated articulating spacer for treatment of an infected total knee
arthroplasty (TKA) 12 weeks ago. An examination reveals a well-healed incision, an extensor
lag of 20 degrees, and flexion to 100 degrees. He has 4+/5 quadriceps strength and a normal
AAOS 2016 Adult Reconstructive Surgery of the Hip and Knee
126
neurovascular examination. Erythrocyte sedimentation rate, C-reactive protein level, and knee
joint aspirate findings are normal. The most appropriate treatment option is
1- resection arthroplasty.
2- revision TKA.
3- knee arthrodesis.
4- above-knee amputation.
PREFERRED RESPONSE: 2- revision TKA.
DISCUSSION
Current methods of treating periprosthetic infection after TKA include antibiotic
suppression, resection arthroplasty, revision TKA, knee arthrodesis, or above-knee
amputation. In this case, the patient has undergone successful first-stage revision arthroplasty
with an articulating spacer. A resection arthroplasty is not indicated. Although the patient
continues to have an extensor lag, a number of surgical techniques have been described to
reconstruct the extensor mechanism in the setting of revision TKA. Therefore, the absence of
his patella and his extensor lag do not preclude revision TKA. The indication for knee
arthrodesis or amputation in this case would be a deficient and nonreconstructable extensor
mechanism, which is not present in this scenario.
Figure 153
AAOS 2016 Adult Reconstructive Surgery of the Hip and Knee
127
Question 153 of 200
A 50-year-old man undergoes revision total knee arthroplasty (TKA). The tibial
component shown in Figure 153 was retrieved at the time of revision. The wear damage
demonstrated on the backside of the tibial component is most likely related to which wear
mechanism(s)?
1- Abrasive wear
2- Fatigue wear
3- Adhesive wear
4- Adhesive and abrasive wear
PREFERRED RESPONSE: 4- Adhesive and abrasive wear
DISCUSSION
Pitting and delamination seen in tibial component retrievals on the bearing surface of a
TKA is related to fatigue wear. Backside wear is shown in the photograph; this is where the
lot numbers usually are present, but now they are not distinguishable because of backside wear.
This wear mechanism is attributable to adhesive and abrasive wear. The nanometer-size
particles created by this wear mechanism account for the higher prevalence of osteolysis
associated with modular tibial components.
CLINICAL SITUATION FOR QUESTIONS 154 AND 155
Five weeks ago, an 82-year-old man underwent revision total knee arthroplasty (TKA).
Three weeks after surgery he had a dental cleaning. The patient now reports 2 days of
worsening pain following a long physical therapy session. His C-reactive protein (CRP) level
is 15.0 mg/L (reference range, 0.08-3.1 mg/L). Upon examination, there is no drainage and
slight effusion, and he has a passive range of motion to 110 degrees. Radiographs are
unremarkable.
Question 154 of 200
What is the most likely diagnosis?
1- Periprosthetic fracture
2- Delayed wound healing
3- Deep periprosthetic joint infection
AAOS 2016 Adult Reconstructive Surgery of the Hip and Knee
128
4- Overly aggressive physical therapy
PREFERRED RESPONSE: 4- Overly aggressive physical therapy
Question 155 of 200
What is the most appropriate treatment?
1- Arthroscopic washout
2- CT scan
3- Observation
4- Aspiration
PREFERRED RESPONSE: 3- Observation
DISCUSSION
A common postsurgical problem after TKA is a sudden increase of pain that typically
occurs about 2 to 3 weeks after surgery. ESR findings are not reliable during the acute
postsurgical period. A CRP level exceeding 100 mg/L during the acute postsurgical period is
a joint aspiration indication. If the patient does not have sepsis, there is no emergency. This
pain is likely attributable to too much activity during physical therapy. Observation is
recommended for this patient.
Question 156 of 200
Which laboratory findings would most support a diagnosis of prosthetic joint infection
(PJI) in a hip or knee arthroplasty performed 3 weeks ago?
1- Erythrocyte sedimentation rate (ESR) higher than 30 mm/h
2- C-reactive protein (CRP) level higher than 10 mg/L
3- Synovial white blood cell count higher than 10000 cells/µL
4- Synovial percentage of polymorphonuclear (PMN) leukocytes higher than 60%
PREFERRED RESPONSE: 3- Synovial white blood cell count higher than 10000 cells/µL
AAOS 2016 Adult Reconstructive Surgery of the Hip and Knee
129
DISCUSSION
The diagnosis of acute PJI is associated with different criteria than the diagnosis of a
chronic PJI. There is no agreed-upon threshold for ESR during the acute period (6 weeks)
following total joint arthroplasty. The CRP threshold is higher during the acute period (100
mg/L vs 10 mg/L for a chronic infection). The threshold for synovial fluid analysis for an acute
PJI is 10000 cells/µL and more than 90% PMN neutrophils vs 3000 cells/µL and more than
80% PMN neutrophils for a chronic infection.
Figure 157a Figure 157b
Question 157 of 200
Figures 157a and 157b are the radiographs of a 22-year-old laborer who has progressively
increasing lateral knee pain that is unresponsive to nonsurgical treatment. What is the most
appropriate treatment at this time?
1- Distal femoral osteotomy
2- Proximal tibial osteotomy
3- Lateral unicompartmental knee arthroplasty
4- Total knee arthroplasty (TKA)
AAOS 2016 Adult Reconstructive Surgery of the Hip and Knee
130
PREFERRED RESPONSE: 1- Distal femoral osteotomy
DISCUSSION
Distal femoral osteotomy is the preferred surgical treatment for this young patient. A
varus-producing proximal tibial osteotomy is not indicated with valgus deformity and lateral
femoral hypoplasia. Osteotomy on the tibial side would result in obliquity of the joint line and
improper loading. Lateral unicompartmental arthroplasty or TKA are both less appropriate for
this patient, who will be placing high demands on his knee; these demands will pose high risk
for premature failure of an artificial knee implant and could necessitate revision surgery.
Question 158 of 200
Pharmacoprophylaxis should be avoided in favor of a pneumatic compression device for a
patient with
1- protein C deficiency.
2- protein S deficiency.
3- factor V Leiden mutation.
4- factor VIII deficiency.
PREFERRED RESPONSE: 4- factor VIII deficiency.
DISCUSSION
For patients with known bleeding disorders, a pneumatic compression device alone is
recommended over pharmacoprophylaxis to minimize risk for excessive bleeding and wound
complications. Factor VIII deficiency (hemophilia) and active liver disease are the 2 conditions
for which support is strongest to withhold anticoagulation. Protein C deficiency and protein S
deficiency are associated with increased risk for thrombosis, as is the factor V Leiden
mutation.
RESPONSES FOR QUESTIONS 159 THROUGH 162
1- Lateral femoral cutaneous
2- Superior gluteal
3- Inferior gluteal
AAOS 2016 Adult Reconstructive Surgery of the Hip and Knee
131
4- Obturator
5- Sciatic
Which nerve listed above is at increased risk for injury when performing hip surgery
through the following approaches?
Question 159 of 200
Anterolateral approach (Watson-Jones)
1- Lateral femoral cutaneous
2- Superior gluteal
3- Inferior gluteal
4- Obturator
5- Sciatic
PREFERRED RESPONSE: 2- Superior gluteal
Question 160 of 200
Posterolateral approach
1- Lateral femoral cutaneous
2- Superior gluteal
3- Inferior gluteal
4- Obturator
5- Sciatic
PREFERRED RESPONSE: 5- Sciatic
Question 161 of 200
Direct anterior approach (Smith-Petersen)
1- Lateral femoral cutaneous
2- Superior gluteal
3- Inferior gluteal
AAOS 2016 Adult Reconstructive Surgery of the Hip and Knee
132
4- Obturator
5- Sciatic
PREFERRED RESPONSE: 1- Lateral femoral cutaneous
Question 162 of 200
Anteromedial approach (Ludloff)
1- Lateral femoral cutaneous
2- Superior gluteal
3- Inferior gluteal
4- Obturator
5- Sciatic
PREFERRED RESPONSE: 4- Obturator
DISCUSSION
The lateral femoral cutaneous nerve can be injured during a direct anterior approach to the
hip. The superior gluteal nerve enters the gluteus medius from posterior to anterior
approximately 5 cm above the greater trochanter. This nerve can be injured during the direct
lateral and anterolateral approaches to the hip. Branches of the inferior gluteal nerve as well
as the sciatic nerve can be injured during the posterior approach, and the obturator nerve can
be damaged when performing a medial approach to the hip.
AAOS 2016 Adult Reconstructive Surgery of the Hip and Knee
133
Figure 163
Question 163 of 200
Figure 163 is the radiograph of an 81-year-old man who had primary total hip arthroplasty
12 years ago and now has a 3-month history of left hip weight-bearing thigh pain. The
appropriate treatment at this time is
1- acetabular revision and femoral revision without an extended trochanteric osteotomy.
2- acetabular revision and femoral revision with an extended trochanteric osteotomy.
3- femoral revision without an extended trochanteric osteotomy.
4- femoral revision with an extended trochanteric osteotomy.
PREFERRED RESPONSE: 4- femoral revision with an extended trochanteric osteotomy.
DISCUSSION
This patient has a loose cemented femoral component. The implant has subsided and the
femur has remodeled into a varus position. Although the component may be removable
without an extended trochanteric osteotomy, the varus bow of the femur will not allow distal
fixation without use of an extended trochanteric osteotomy. The acetabular component appears
AAOS 2016 Adult Reconstructive Surgery of the Hip and Knee
134
to be well fixed, and, as a result, should be retained in this older patient. An evaluation of
stability could lead to possible revision of the acetabulum, and implants should be available.
Question 164 of 200
A 75-year-old woman has a 1-year history of right hip pain and a right total hip arthroplasty
(THA) performed in 1999. Her left THA, performed in 2002, is asymptomatic. Plain
radiographs show that all of the components appear well fixed and in good position. There is
evidence of eccentric polyethylene wear of the right hip with focal osteolysis of the calcar and
great trochanter (with none of these findings on the left hip). What is the most likely
explanation for her right hip pain?
1- Acute periprosthetic infection
2- Aseptic loosening of her right acetabular component
3- Wear debris of a polyethylene liner in the right hip
4- Pseudotumor in the right hip attributable to trunnionosis
PREFERRED RESPONSE: 3- Wear debris of a polyethylene liner in the right hip
DISCUSSION
This patient likely has 1 conventional polyethylene hip (1999) and 1 hip with highly cross-
linked polyethylene (HXLPE) (2002); most centers transitioned to HXLPE around 2001 to
2002. This explains the clear difference in the clinical and radiographic performance of the 2
hips during the second decade. There is clear evidence of decreased wear and osteolysis and
clinical benefits (ie, decreased revision rate) during the second decade following the
introduction of HXLPE for THA. Acute infection is unlikely considering the chronicity of
symptoms. The radiographs show no obvious evidence of cup loosening. A pseudotumor
attributable to trunnionosis, while reported, remains an infrequent clinical issue.
Question 165 of 200
In long-term follow-up studies of cemented total knee arthroplasty (TKA), the lowest rates
of osteolysis have been associated with which design feature?
1- Metal-backed patellar components
2- Modular cruciate-retaining tibial inserts
3- Modular cruciate-substituting tibial inserts
4- Monolithic tibial trays
AAOS 2016 Adult Reconstructive Surgery of the Hip and Knee
135
PREFERRED RESPONSE: 4- Monolithic tibial trays
DISCUSSION
The lowest reported rates of osteolysis involving cemented TKAs are associated with
monolithic tibial components. Modular components and cemented metal-backed patella
components are associated with a high prevalence of backside tibial insert wear and osteolysis.
Question 166 of 200
The knee arthroplasty type associated with the highest 5-year revision rate is
1- medial unicondylar arthroplasty.
2- mobile-bearing total knee arthroplasty (TKA).
3- patellofemoral arthroplasty.
4- lateral unicondylar knee arthroplasty (UKA).
PREFERRED RESPONSE: 3- patellofemoral arthroplasty.
DISCUSSION
Revision rates for UKA at 10 years are lower than 5% at specialty centers. However, the
10-year revision rate associated with UKA in registries such as the National Joint Registry for
England and Wales is 2 to 3 times that of TKA. Among partial knee replacements,
patellofemoral arthroplasty is associated with the highest revision rate at every time interval.
AAOS 2016 Adult Reconstructive Surgery of the Hip and Knee
136
Figure 167a Figure 167b
CLINICAL SITUATION QUESTIONS 167 THROUGH 169
Figures 167a and 167b are the radiographs of a middle-age man. He is a noncompliant
patient who has severe insulin-dependent diabetes and a below-knee amputation on the right
side. He is usually in a wheelchair, does not use a prosthesis, transfers using a walker, and
resides in an institution. He had an infection in the left leg years ago, which was treated
successfully with intravenous antibiotics (the details are unknown). His left knee is mildly
painful, swollen but not warm, has limited range of motion (40-140 degrees), and is grossly
unstable.
Question 167 of 200
What is the best next diagnostic step?
1- CT scan of the knee
2- Electromyography and nerve conduction studies
3- Erythrocyte sedimentation rate and C-reactive protein levels
4- Blood glucose test
AAOS 2016 Adult Reconstructive Surgery of the Hip and Knee
137
PREFERRED RESPONSE: 3- Erythrocyte sedimentation rate and C-reactive protein
levels
Question 168 of 200
What is the most likely diagnosis?
1- Acute infection
2- Chronic infection
3- Gouty arthropathy
4- Charcot arthropathy
PREFERRED RESPONSE: 4- Charcot arthropathy
Question 169 of 200
The best definitive treatment for this patient’s left knee is
1- total knee replacement.
2- knee arthrodesis using an anterior plate and screws.
3- knee arthrodesis using an external fixator.
4- observation.
PREFERRED RESPONSE: 4- observation.
DISCUSSION
This patient now has a major fixed flexion contracture and severe varus alignment and
instability. Infection of the knee joint has to be ruled out. The radiograph shows all the
hallmarks of Charcot arthropathy, including disintegration and fragmentation of the joint with
major deformity. Infection of the knee joint and contiguous osteomyelitis still have to be ruled
out. The clinical and radiographic findings are highly suggestive of a Charcot neurogenic
arthropathy associated with uncontrolled diabetes. This patient is an unsuitable candidate for
total knee arthroplasty (TKA) because he is noncompliant regarding his diabetes and has had
a previously infected native joint that now is associated with Charcot arthropathy. He is
nonambulatory. The failure rate of TKA or knee arthrodesis is extremely high in this setting.
He will best be served with observation or amputation depending upon his symptom severity.
AAOS 2016 Adult Reconstructive Surgery of the Hip and Knee
138
Question 170 of 200
When performing a revision total knee arthroplasty, trial components are inserted and the
knee is stable in extension and loose in flexion. Which step should be taken to create a stable
construct?
1- Insert a constrained tibial insert
2- Insert a thicker tibial component
3- Insert a larger femoral component
4- Augment the distal portion of the femoral component
PREFERRED RESPONSE: 3- Insert a larger femoral component
DISCUSSION
The surgeon is facing a common scenario that occurs in revision knee surgery: a loose
flexion gap with an appropriate extension gap. A flexion gap can be tightened by translating
the femoral component more posteriorly and using an oversized femoral component. Insertion
of a thicker tibial component changes both the flexion and extension gap. Augmentation of the
distal femur tightens only the extension gap. A constrained insert would only be indicated if
oversizing of the femoral component did not adequately tension the flexion gap.
Question 171 of 200
The Musculoskeletal Infection Society (MSIS) has adopted a definition of periprosthetic
joint infection (PJI). This definition includes 2 major criteria and 5 minor criteria. Infection is
present if 1 of 2 major criterions or 3 of 5 minor criterions are met. These criterions are
1- major: 3 positive cultures, gross purulence. Minor: elevated C-reactive protein (CRP)
level and erythrocyte sedimentation rate (ESR), elevated synovial white blood cell (WBC)
count, elevated synovial neutrophil count, elevated systemic WBC count, dr
2- major: draining sinus and elevated synovial WBC count. Minor: elevated CRP and ESR,
positive frozen section, purulence at surgery, elevated systemic WBC count, febrile episodes,
and a single positive culture from periprosthetic tissue.
3- major: gross purulence at surgery and a draining sinus. Minor: 2 positive cultures from
periprosthetic tissues, an elevated synovial WBC count, elevated synovial neutrophil
percentage, elevated CRP and ESR, febrile episodes, and an elevated systemic
AAOS 2016 Adult Reconstructive Surgery of the Hip and Knee
139
4- major: a draining sinus communicating with the joint and 2 positive cultures with the
same organism. Minor: elevated synovial WBC count, elevated synovial neutrophil
percentage, elevated CRP and ESR, increased WBCs per high-power field on frozen sec
PREFERRED RESPONSE: 4- major: a draining sinus communicating with the joint and
2 positive cultures with the same organism. Minor: elevated synovial WBC count, elevated
synovial neutrophil percentage, elevated CRP and ESR, increased WBCs per high-power field
on frozen sec
DISCUSSION
In 2014, the MSIS published its revised PJI definition for clinical and research use. If 1 of
2 major criterions is met (phenotypically identical organisms obtained from 2 separate cultures
or a draining sinus tract), then PJI is diagnosed. Alternatively, if 3 of 5 minor criterions are
met, PJI is diagnosed.
Figure 172
Question 172 of 200
In performing a posterior stabilized total knee arthroplasty (TKA), which component
malpositioning is associated with the wear damage shown in this tibial component retrieval
(Figure 172)?
AAOS 2016 Adult Reconstructive Surgery of the Hip and Knee
140
1- Excessive femoral component flexion
2- Excessive anterior slope of the proximal tibia
3- Excessive tibial component varus
4- Excessive valgus resection of the distal femur
PREFERRED RESPONSE: 1- Excessive femoral component flexion
DISCUSSION
The tibial polyethylene insert shows anterior post wear damage from anterior CAM-post
impingement in a posterior stabilized knee. It is associated with excessive femoral component
flexion and excessive posterior tibial slope in a TKA construct. It is not associated with coronal
plane alignment.
Question 173 of 200
Following insertion of a cementless femoral component into the total hip arthroplasty
construct, the amount of femoral stress shielding is most associated with
1- presurgical bone mineral density.
2- material modulus.
3- characteristics of the ingrowth/ongrowth surface.
4- extent of the ingrowth/ongrowth surface.
PREFERRED RESPONSE: 1- presurgical bone mineral density.
DISCUSSION
Although material modulus, characteristics of surface, and extent of coating all contribute
to stress shielding, poor bone quality is the most important factor associated with stress
shielding.
AAOS 2016 Adult Reconstructive Surgery of the Hip and Knee
141
Figure 174a Figure 174b
Question 174 of 200
Figures 174a and 174b are the radiograph and clinical photograph of a 64-year-old obese
woman (body mass index [BMI] of 48) who has controlled diabetes and hypertension. She has
failed nonsurgical treatment and a weight loss program. She is considering total knee
arthroplasty (TKA). What is the most significant postsurgical risk for this patient?
1- Dissatisfaction after TKA
2- Periprosthetic infection and wound complications
3- Implant loosening
4- Thromboembolic disease
PREFERRED RESPONSE: 2- Periprosthetic infection and wound complications
DISCUSSION
The literature has demonstrated increased risk for complications among obese patients
undergoing TKA (10%-30%). An evaluation of TKA among obese patients revealed 3- to 9-
fold higher incidence of wound complications and deep-seated infection. Belmont and
associates demonstrated that patients with a BMI higher than 40 are at higher risk for overall
complications than patients with a BMI lower than 25, with a particularly high risk for
developing local wound complications and infection. An increased risk for thromboembolic
complications was not shown among obese patients undergoing TKA. Patient-reported
outcome scores among obese patients undergoing TKA are equivalent to those of nonobese
AAOS 2016 Adult Reconstructive Surgery of the Hip and Knee
142
patients. There are conflicting data regarding the outcome and survivorship following TKA
for obese patients. Although some studies show a difference in patient-reported outcomes at
differing postsurgical intervals, most obese patients undergoing TKA are satisfied with the
procedure.
Question 175 of 200
Studies have shown that the parents and grandparents of people with developmental
dysplasia of the hip (DDH)
1- were more likely to receive a hip arthritis diagnosis and undergo total hip arthroplasty
(THA) than the general population.
2- were less likely to receive a hip arthritis diagnosis and undergo THA than the general
population.
3- had a higher incidence of hip and knee arthritis than the general population.
4- had a DDH relative risk (RR) of 1.4.
PREFERRED RESPONSE: 1- were more likely to receive a hip arthritis diagnosis and
undergo total hip arthroplasty (THA) than the general population.
DISCUSSION
The hip arthritis RR is significantly increased in patients with DDH (RR = 82.4; P < 2e-
16), their parents (RR = 2.22; P = 0.0003), and their grandparents (RR = 1.33; P = 0.011). The
THA RR also is significantly increased for patients with DDH (RR = 1168; P < 3e-08) and
their grandparents (RR = 2.06; P = 0.01). First-degree and second-degree relatives were not at
higher risk for knee arthritis or knee arthroplasty. The RR for DDH was significantly increased
for first-degree relatives (RR = 12.1; P < 0.000001) and siblings (RR = 11.9; P < 0.000001).
Question 176 of 200
A 54-year-old man undergoes revision surgery for loosening and osteolysis of a cementless
acetabular component. The membrane obtained from behind the component at the time of
surgery is analyzed for particulate debris particle size. Which particle size is most likely
responsible for the membrane formation?
1- 0.1 to 1 micron
2- 1 to 10 microns
3- 10 to 100 microns
4- 100 to 1000 microns
AAOS 2016 Adult Reconstructive Surgery of the Hip and Knee
143
PREFERRED RESPONSE: 1- 0.1 to 1 micron
DISCUSSION
For many years, it was believed that large particles incited the histiocytic response. It is
now well established that submicron-size particles stimulate this response.
Question 177 of 200
What is the most well-documented advantage of computer-assisted navigation for total
knee arthroplasty (TKA)?
1- Lowers risk for symptomatic fat embolization
2- Improves range of motion
3- Decreases radiographic outliers
4- Decreases blood loss
PREFERRED RESPONSE: 3- Decreases radiographic outliers
DISCUSSION
Studies of patients following TKA utilizing navigation have failed to show a significant
difference in the degree of fat embolization or changes in cognition compared to standard
instrumentation. Clinical results also have not changed following TKA with and without
navigation in terms of range of motion or blood loss. Most studies do show a decreased
incidence of radiographic outliers, however, at least in the coronal plane.
AAOS 2016 Adult Reconstructive Surgery of the Hip and Knee
144
Figure 178a Figure 178b
CLINICAL SITUATION FOR QUESTIONS 178 THROUGH 180
Figures 178a and 178b are the current radiographs of a 45-year-old man who underwent
hip resurfacing for osteonecrosis of the femoral head 1 year ago. The patient reported doing
well for 3 months following the procedure, but he then developed acute-onset pain without
trauma. He denies postsurgical wound healing problems and reports pain in his groin and with
weight-bearing activity.
Question 178 of 200
Hip resurfacing to address osteonecrosis of the femoral head is contraindicated in the
presence of
1- proximal femoral deformity.
2- acetabular subchondral cysts.
AAOS 2016 Adult Reconstructive Surgery of the Hip and Knee
145
3- extensive femoral aseptic necrosis.
4- coexisting lumbar spine pathology.
PREFERRED RESPONSE: 3- extensive femoral aseptic necrosis.
Question 179 of 200
Prior to revision arthroplasty, the patient undergoes right hip aspiration to address mild
elevations in his erythrocyte sedimentation rate (ESR) and C-reactive protein (CRP) level. The
aspiration fluid reveals a synovial white blood cell count of 150000 cells/µL (reference range,
4500-11000 CELLS/µL) with a neutrophil differential of less than 50%. A culture of the
aspiration reveals no growth. Based on these findings, the most appropriate next step is a
1- single-stage revision.
2- 2-stage revision.
3- manual cell count and differential.
4- a Girdlestone procedure.
PREFERRED RESPONSE: 3- manual cell count and differential.
Question 180 of 200
Revision of failed hip resurfacing arthroplasty should involve
1- the acetabular component only.
2- the femoral component only.
3- both femoral and acetabular components.
4- only components that are loose or malpositioned.
PREFERRED RESPONSE: 3- both femoral and acetabular components.
DISCUSSION
Hip resurfacing offers several potential advantages over conventional total hip
arthroplasty, particularly for patients younger than 75 years of age. This intervention can be
AAOS 2016 Adult Reconstructive Surgery of the Hip and Knee
146
relatively bone conserving and is appropriate in settings involving proximal femoral
deformity, precluding the use of a traditional femoral component. The use of hip resurfacing
in osteonecrosis has been controversial, however. Although there are several reports of
successful use of these implants to address osteonecrosis, concerns remain about extensive
femoral head involvement (exceeding 40%) and ability to support the femoral head cap.
Consequently, hip resurfacing is not recommended for patients with large femoral head
lesions.
Evaluation of painful hip resurfacings requires a systematic approach. Radiographs can
help surgeons assess implant position, loosening, or fractures. Serological studies including
ESR, CRP, and serum cobalt and chromium levels can give clues as to whether infection,
metallosis, or both are the underlying cause(s) of failure. Hip aspiration in the setting of metal-
on-metal bearings necessitates a manual cell count and differential to avoid falsely elevated
automated cell counts.
Revision of failed hip resurfacings should involve revisions of both the femoral and
acetabular components. Although successful retention of the acetabular shell has been
described, concerns remain regarding cup circumference mismatch, which can lead to
suboptimal clearance between the new bearing surfaces.
Figure 181
Question 181 of 200
Two years ago, a 63-year-old man underwent right total hip arthroplasty (THA) with a
modular femoral head-neck and neck-stem prosthesis (a photograph of the removed implant
AAOS 2016 Adult Reconstructive Surgery of the Hip and Knee
147
is shown in Figure 181). He now has increasing hip pain. Radiographs reveal a stable hip
arthroplasty and elevated serum cobalt and chromium levels. MR imaging is obtained, and,
based on these findings, the patient’s hip is revised. Which corrosion type likely is responsible
for this THA failure?
1- Galvanic
2- Pitting
3- Fretting
4- Crevice
PREFERRED RESPONSE: 3- Fretting
DISCUSSION
Micromotion at the femoral head-neck or stem-neck junction can lead to fretting corrosion.
Fretting corrosion is among the most common causes of failure in modular components.
Modularity gives surgeons additional intraoperative flexibility but has resulted in corrosion-
related failure and an implant recall. Although titanium and cobalt-chrome contain a protective
surface oxide layer, continued micromotion at the modular junction may disrupt the protective
layer, resulting in fretting corrosion. This may eventually lead to excessive metal ion formation
and painful synovitis that necessitates a revision procedure. Galvanic corrosion is attributable
to a mismatch in electrochemical gradients between dissimilar metals. Crevice or pitting
corrosion occurs in fatigue cracks because of differences in oxygen tension.
Question 182 of 200
A 52-year-old man with a BMI of 40 and primary osteoarthritis undergoes total hip
arthroplasty through a posterolateral approach. To retract the femur anteriorly when exposing
the acetabulum, the surgeon places a sharp curved retractor over (anterior to) the anterior
inferior iliac spine. Pulsatile bleeding is encountered. A branch of which artery has been
injured?
1- Medial femoral circumflex
2- Obturator
3- Iliac circumflex
4- Femoral
PREFERRED RESPONSE: 4- Femoral
AAOS 2016 Adult Reconstructive Surgery of the Hip and Knee
148
DISCUSSION
Video 182 for reference
The femoral artery crosses the hip joint anterior to the anterior hip capsule. The medial
femoral circumflex artery enters the joint along the route of the obturator externus. The
obturator artery enters the hip joint beneath the transverse acetabular ligament. The iliac
circumflex vessel arises superior to the hip joint.
Figure 183a Figure 183b Figure 183c
Figure 183d Figure 183e Figure 183f
AAOS 2016 Adult Reconstructive Surgery of the Hip and Knee
149
RESPONSES FOR QUESTIONS 183 THROUGH 188
1- Figure 183a
2- Figure 183b
3- Figure 183c
4- Figure 183d
5- Figure 183e
6- Figure 183f
For each clinical scenario described below, identify the corresponding anteroposterior
pelvic radiographic image shown above.
Question 183 of 200
A 22-year-old woman who is a ballet dancer; she has hip pain and catching
1- Figure 183a
2- Figure 183b
3- Figure 183c
4- Figure 183d
5- Figure 183e
6- Figure 183f
PREFERRED RESPONSE: 3- Figure 183c
Question 184 of 200
A 20-year-old tall, slender woman with bilateral hip pain and a heart murmur
1- Figure 183a
2- Figure 183b
3- Figure 183c
4- Figure 183d
5- Figure 183e
6- Figure 183f
AAOS 2016 Adult Reconstructive Surgery of the Hip and Knee
150
PREFERRED RESPONSE: 6- Figure 183f
Question 185 of 200
A 45-year-old woman with groin and trochanteric pain and a 3-cm leg-length discrepancy
1- Figure 183a
2- Figure 183b
3- Figure 183c
4- Figure 183d
5- Figure 183e
6- Figure 183f
PREFERRED RESPONSE: 2- Figure 183b
Question 186 of 200
A 37-year-old man with inflammatory bowel disease who is taking steroids and has had
bilateral hip pain for 5 months
1- Figure 183a
2- Figure 183b
3- Figure 183c
4- Figure 183d
5- Figure 183e
6- Figure 183f
PREFERRED RESPONSE: 5- Figure 183e
Question 187 of 200
A 16-year-old obese boy with hypothyroidism and restricted range of motion at the hip
1- Figure 183a
2- Figure 183b
AAOS 2016 Adult Reconstructive Surgery of the Hip and Knee
151
3- Figure 183c
4- Figure 183d
5- Figure 183e
6- Figure 183f
PREFERRED RESPONSE: 1- Figure 183a
Question 188 of 200
A 20-year-old hockey goalie; he has hip pain and limited range of motion
1- Figure 183a
2- Figure 183b
3- Figure 183c
4- Figure 183d
5- Figure 183e
6- Figure 183f
PREFERRED RESPONSE: 4- Figure 183d
DISCUSSION
A clinical history, radiographs, and a hip examination are mandatory when evaluating
young patients with hip disease. Typical clinical scenarios are associated with hip pathology
and should cue the clinician and surgeon regarding the underlying cause of the hip problem
and help to design treatment strategies. Hip dysplasia is more common in women, is associated
with increased range of motion, and is commonly seen in sporting activities that require
increased range of motion such as ballet and gymnastics. Figure 183c shows a left hip with
moderate hip dysplasia and anterior and lateral uncovering of the femoral head. Pincer
femoroacetabular impingement is secondary to acetabular overcoverage. Figure 183f shows
acetabular protrusio defined as the medial aspect of the femoral head lying more medial to the
medial acetabular wall. This radiographic finding is sometimes seen in patients with Marfan
syndrome and should be followed with appropriate genetic testing if the patient fits the clinical
diagnosis. The radiographic findings of a post-Perthes hip are shown in Figure 183b. The
patient has developed a coxa magna, with flattening of the femoral head. Other radiographic
findings include acetabular retroversion in 50% of hips and a short neck with a high-riding
AAOS 2016 Adult Reconstructive Surgery of the Hip and Knee
152
trochanter. A high-riding trochanter may impinge in abduction and can be a cause of lateral
hip pain. Osteonecrosis of the femoral head is commonly seen in patients who have had
treatment with high-dose oral steroids. In Figure 183e, osteonecrosis is seen bilaterally as large
lesions involving more than 50% of the femoral head. On the right side, femoral head collapse
has occurred, indicating a later stage of disease. A slipped capital femoral epiphysis can lead
to acute or subacute pain in young hips. Bilateral involvement can be seen in patients with
endocrinopathies. An accepted form of treatment is in situ pinning, but, unfortunately, this
may lead to post slipped capital femoral epiphysis deformity, leading to limitations in range
of motion and impingement and could be a cause of hip pain in adolescents (Figure 183a).
CAM femoroacetabular impingement is commonly seen in high-level male athletes. Hockey
is particularly associated with development of this hip condition. Figure 183d shows the
typical pistol-grip deformity associated with CAM femoroacetabular impingement on the right
side with prominence of the lateral femoral head and neck junction. A Dunn or frog leg view
would help to determine the extent of anterior and anterolateral involvement.
Figure 189a Figure 189b
AAOS 2016 Adult Reconstructive Surgery of the Hip and Knee
153
Figure 189c Figure 189d
Question 189 of 200
Figures 189a through 189d are the radiograph and MR images of the right hip of a 28-
year-old woman who has had right hip pain for 3 years. The pain is felt in the groin area, is
exacerbated by weight-bearing activities, and interferes with her activities of daily living. She
has been seen several times and has attempted anti-inflammatory medications, physical
therapy, and an intra-articular steroid injection with minimal relief. What is the most
appropriate next step?
1- Hip arthroscopy and debridement
2- Periacetabular osteotomy
3- Femoral varus-producing osteotomy
4- Total hip arthroplasty (THA)
PREFERRED RESPONSE: 2- Periacetabular osteotomy
DISCUSSION
AAOS 2016 Adult Reconstructive Surgery of the Hip and Knee
154
Video 189 for reference
This patient has dysplasia with a lack of lateral femoral head coverage. The MR images
do not demonstrate a labral tear. There is still preserved joint space and she is young, so it
would be preferable to delay THA in her case. A Ganz periacetabular osteotomy can provide
more adequate coverage of the femoral head and is a multiplanar correction of the dysplastic
acetabulum. This osteotomy is an effective treatment for symptomatic dysplasia in prearthritic
young adult hips. A femoral osteotomy is not likely to be effective in this scenario.
CLINICAL SITUATION FOR QUESTIONS 190 THROUGH 192
Eighteen years after undergoing right total hip arthroplasty (THA), a 79-year-old woman
experiences several weeks of right groin pain. A hip examination reveals that she is walking
with a mild limp with a walker. Hip radiographs reveal moderate polyethylene wear with well-
fixed components and mild osteolysis in the greater trochanter. Analysis of a CT scan reveals
that the acetabular component is osteointegrated in 49 degrees of abduction and 25 degrees of
anteversion. Erythrocyte sedimentation rate and C-reactive protein findings are within defined
limits.
Question 190 of 200
What is the most likely diagnosis?
1- Wear-induced osteolysis
2- Referred pain from the spine
3- Inguinal hernia
4- Periprosthetic infection
AAOS 2016 Adult Reconstructive Surgery of the Hip and Knee
155
PREFERRED RESPONSE: 1- Wear-induced osteolysis
Question 191 of 200
What is the most appropriate treatment for this patient?
1- Revision of the acetabular liner and femoral head with a retro acetabular bone graft
2 Revision of the entire acetabular component
3- Revision of the femoral component to increase offset
4- Revision of both femoral and acetabular components
PREFERRED RESPONSE: 1- Revision of the acetabular liner and femoral head with a
retro acetabular bone graft
Question 192 of 200
The CT scan reveals a nondisplaced greater trochanteric fracture. The patient is now
experiencing severe pain. What is the most appropriate treatment at this time?
1- Liner exchange
2- Revision of the entire acetabular component
3- Revision of both the femoral and acetabular components
4- Partial weight-bearing activity for 4 to 6 weeks
PREFERRED RESPONSE: 4- Partial weight-bearing activity for 4 to 6 weeks
DISCUSSION
This patient presents with significant polyethylene wear, which can lead to both osteolysis
and synovitis. However, synovitis usually manifests as a mild to moderate chronic ache, which
should explain the discomfort. Although infection should always be ruled out with new-onset
pain, no clinical parameters suggest acute hematogenous infection. Similarly, without any
mention of back pain or neuropathy, radicular pain from the spine is unlikely. If this patient
has a nondisplaced greater trochanteric fracture noted on MR imaging, the optimal immediate
mode of treatment is to not rush into surgery despite the mild osteolysis. The patient’s severe
pain is likely attributable to the nondisplaced greater trochanteric fracture rather than wear-
induced synovitis, which typically presents as a mild to moderate ache. It is recommended to
AAOS 2016 Adult Reconstructive Surgery of the Hip and Knee
156
allow the fracture to heal to avoid fracture displacement. Once the fracture is healed, a revision
surgery with liner exchange can be recommended. Based on this clinical scenario, the
acetabular component is within what is largely considered the “safe-zone” in THA. Despite
this patient’s dislocations, the preferred treatment modality is to revise to a constrained liner.
This patient had a well-functioning hip for longer than 15 years. Therefore, conversion to a
constrained liner is the best treatment.
Question 193 of 200
After performing a total hip arthroplasty through a posterolateral approach, an orthopaedic
surgeon is unable to adequately externally rotate the leg and subsequently exposes the anterior
capsule. When releasing the inferior aspect of the anterior capsule, pulsatile bleeding is
encountered. A branch of which artery is most likely lacerated?
1- Inferior gluteal
2- Medial femoral circumflex
3- Lateral femoral circumflex
4- Femoral
PREFERRED RESPONSE: 3- Lateral femoral circumflex
DISCUSSION
Branches of the lateral femoral circumflex artery arise from the inferior aspect of the
anterior hip capsule. They can be injured when removing the anterior capsule from any
approach. The inferior gluteal artery supplies the gluteus maximus. The medial femoral
circumflex artery enters the hip joint along the path of the obturator externus tendon. The
femoral artery crosses the anterior hip joint in the superior-to-inferior direction and is located
just medial to the hip joint.
AAOS 2016 Adult Reconstructive Surgery of the Hip and Knee
157
Figure 194
Question 194 of 200
Figure 194 is the radiograph of a 71-year-old woman who had a right total hip arthroplasty
4 months ago; now she has tripped and fallen. She is unable to continue weight-bearing activity
on her right leg, but denies pain or ambulation issues prior to her fall. She is seen in the
emergency department. What is best treatment for this patient?
1- Open reduction and internal fixation (ORIF) of the femur with cerclage cables
2- Removal of the femoral stem, fracture repair, and stage reimplantation after the fracture
has healed
3- Revise the femoral stem bypassing the fracture by 2 cortical widths and ORIF the
fracture
4- Fix the fracture with allograft strut and cables, but leave the stem alone
PREFERRED RESPONSE: 3- Revise the femoral stem bypassing the fracture by 2 cortical
widths and ORIF the fracture
AAOS 2016 Adult Reconstructive Surgery of the Hip and Knee
158
DISCUSSION
This patient has sustained a periprosthetic hip fracture consistent with a Vancouver B2
pattern. The femoral stem must be revised by bypassing the fracture and simultaneously
providing stability through fixation. Method of fixation is dependent upon fracture pattern,
and, in this case, the medial fracture fragment is better suited for cerclage fixation. Loosening
of the stem precludes simply fixing the fracture with cables, plates, or allograft struts, and there
is no need to allow the fracture to heal prior to placing a new stem if the fracture is adequately
stabilized with fixation.
CLINICAL SITUATION FOR QUESTIONS 195 THROUGH 197
A 67-year-old woman with osteoarthritis is scheduled for total hip arthroplasty (THA). She
has a history of hypertension and stenting for coronary artery disease. She has no surgical
history. Her presurgical hemoglobin level is 11.5 g/dL (reference range, 14.0-17.5 g/dL).
Question 195 of 200
Tranexamic acid (TXA) is used during surgery to reduce the need for transfusion. TXA
inhibits thrombolysis by acting on
1- antithrombin III.
2- factor Xa.
3- plasminogen.
4- platelet aggregation.
PREFERRED RESPONSE: 3- plasminogen.
Question 196 of 200
Aspirin is given for venous thromboembolism prophylaxis. The postsurgical course is
uneventful until day 3, at which time it is noted that her hemoglobin has dropped from 10.0
g/dL to 7.2 g/dL since day 2. The patient has nausea, dizziness, and loose stools. The most
appropriate next step is
1- CT scan of the surgical hip.
2- cessation of aspirin and a gastrointestinal (GI) consult.
3- cessation of aspirin and a return to the operating room.
4- compressive wrapping of the surgical hip and observation.
AAOS 2016 Adult Reconstructive Surgery of the Hip and Knee
159
PREFERRED RESPONSE: 2- cessation of aspirin and a gastrointestinal (GI) consult.
Question 197 of 200
The patient is given a blood transfusion. After starting the transfusion, nurses note that her
temperature is 38.8°C and she has shaking and chills. What is the most likely cause of this
problem?
1- Bacterial contamination of intravenous tubing
2- Transmission of the hepatitis virus
3- Reaction to Kidd antigen in transfused blood
4- Blood transfusion incompatibility
PREFERRED RESPONSE: 4- Blood transfusion incompatibility
DISCUSSION
Blood management and venous thromboembolism prevention are important considerations
in the perioperative management of THA. Recommendations now focus on presurgical
optimization of hemoglobin, use of antifibrinolytics intrasurgically, and minimized use of
transfusions. Current recommendations do not favor autologous blood donation for patients
with hemoglobin levels higher than 13 g/dL. There is a move toward increased use of aspirin
for venous thromboembolism prophylaxis, but this modality can cause GI bleeding that may
necessitate blood transfusion. Transfusion reactions are rare, and the most common cause is
administration of an incompatible unit because of clerical error.
Question 198 of 200
A 52-year-old woman has right hip pain and obvious swelling 3 years after undergoing a
resurfacing arthroplasty. Her implant consists of a 42-mm femoral component and 48-mm
socket. Her components are well positioned, and her metal ion levels are slightly elevated (less
than 4 ppm) with a normal erythrocyte sedimentation rate (ESR) and C-reactive protein (CRP)
level. What is the most likely cause of her discomfort?
1- Pseudotumor from a local reaction to metal debris from the bearing surface
2- Chronic periprosthetic infection
3- Impingement of the femoral neck on the edge of the cup
4- Referred pain from lumbar disk disease
AAOS 2016 Adult Reconstructive Surgery of the Hip and Knee
160
PREFERRED RESPONSE: 1- Pseudotumor from a local reaction to metal debris from the
bearing surface
DISCUSSION
This patient likely has a soft-tissue reaction (pseudotumor) related to metal-on-metal
articulation. Although the components are well positioned, patient gender and small head size
are both known risk factors for failure of hip resurfacing arthroplasties. Metal ion levels are
elevated but are not always markedly increased in the setting of a problematic metal-on-metal
articulation. The patient should have a metal artifact reduction sequence MR imaging study to
confirm the presence of a pseudotumor. Chronic infection is very unlikely in the setting of
normal ESR and CRP findings. Impingement and lumbar disk disease would not explain the
swelling around the hip.
45
Figure 199
Question 199 of 200
Figure 199 is the clinical photograph of a 68-year-old man with a history of atrial
fibrillation who was treated with warfarin. Nine days after undergoing elective total hip
arthroplasty, he has a swollen left thigh. His wound remains dry and he is afebrile. His
erythrocyte sedimentation rate (ESR) is 25 mm/h (reference range [rr], 0-20 mm/h) and C-
reactive protein (CRP) level is 6.1 mg/L (rr, 0.08-3.1 mg/L). Aspiration reveals 3246 white
AAOS 2016 Adult Reconstructive Surgery of the Hip and Knee
161
blood cells (WBCs)/µL with 47% polymorphonucleocytes. Treatment at this time should
consist of
1- irrigation and debridement.
2- single-stage exchange.
3- 2-stage exchange.
4- observation.
PREFERRED RESPONSE: 4- observation.
DISCUSSION
This patient has a large postsurgical hematoma. Although his ESR and CRP level are
elevated, they are not considered elevated given his recent surgery. Additionally, the hip
aspiration reveals a synovial cell count lower than 10000 WBC/µL along with a low
percentage of polymorphonucleocytes. Treatment at this time should consist of observation.
The hematoma is likely attributable to postsurgical anticoagulation, considering his history of
atrial fibrillation.
Question 200 of 200
After completion of bone cuts and ligament balancing of a severe valgus knee during
primary total knee arthroplasty, there is a 5-mm increased medial gap that cannot be corrected.
In this scenario, what is the most appropriate level of constraint?
1- Cruciate-retaining
2- Posterior stabilized
3- Varus-valgus constrained
4- Rotating hinge
PREFERRED RESPONSE: 3- Varus-valgus constrained
DISCUSSION
Cruciate-retaining implants are typically used in the presence of a functioning posterior
cruciate ligament (PCL). A posterior stabilized insert improves anteroposterior stability in the
absence of a PCL but does not account for imbalance of the collateral ligaments. An
AAOS 2016 Adult Reconstructive Surgery of the Hip and Knee
162
uncorrectable laxity medially indicates insufficiency of the medial collateral ligament (MCL),
which is best treated with a varus-valgus constrained component. A rotating hinge is generally
reserved for complete absence of the MCL or both collateral ligaments.

Aao2016 recon

  • 1.
    NEW 2016 Adult ReconstructiveSurgery of the Hip and Knee Self-Assessment Examination ‫راجي‬‫بالل‬
  • 2.
    AAOS 2016 AdultReconstructive Surgery of the Hip and Knee 1 Figure 1a Figure 1b Question 1 of 200 Figures 1a and 1b are the recent radiographs of an 82-year-old man with rheumatoid arthritis who underwent total knee arthroplasty (TKA) 18 years ago. These radiographs reveal osteolysis with loosening of the tibial component. Aspiration and laboratory study findings for infection are negative. During the revision TKA, treatment of tibial bone loss should consist of 1- filling the tibial defect with methylmethacrylate. 2- revision of the tibial component with porous metal augmentation. 3- reconstruction with iliac crest bone graft. 4- reconstruction with structural allograft. PREFERRED RESPONSE: 2- revision of the tibial component with porous metal augmentation. DISCUSSION
  • 3.
    AAOS 2016 AdultReconstructive Surgery of the Hip and Knee 2 Video 1 for reference For severe tibial defects (Anderson Orthopaedic Research Institute [AORI] types 2 and 3), metaphyseal fixation is necessary to achieve construct fixation during revision TKA. Metaphyseal fixation may be achieved with cement, structural allograft, or conical metallic implants. The major concerns regarding structural allograft are graft resorption and mechanical failure and technical issues related to fashioning the graft and obtaining a good host-allograft interface. In a systematic review, porous metal cones were associated with a decreased loosening rate in AORI 2 and 3 defects compared to structural allografts. Metallic trabecular metal cones and metaphyseal porous coated sleeves provide a stable construct with which to support the tibial component during revision TKA. Clinical results with these devices include good metaphyseal fixation for severe tibial bone defects. Question 2 of 200 Patient-specific instrumentation (PSI) reliably demonstrates which benefit over conventional intramedullary guidance systems? 1- Lower cost 2- Improved functional outcomes 3- Better coronal alignment 4- Fewer trays PREFERRED RESPONSE: 4- Fewer trays
  • 4.
    AAOS 2016 AdultReconstructive Surgery of the Hip and Knee 3 DISCUSSION Cost is usually increased with PSI because the theoretical decreased number of surgical trays and shortened surgical time do not offset cost of presurgical imaging and extra cost associated with the necessary jigs. Studies do not demonstrate a reliable improvement in functional outcomes or coronal alignment when PSI is compared to standard instrumentation. Evidence reveals that PSI necessitates fewer trays than standard instrumentation. Question 3 of 200 When performing a posterior cruciate-substituting total knee revision, trial components are inserted. The knee comes to full extension but is tight in flexion. The surgeon should consider 1- flexing the femoral component. 2- downsizing the femoral component. 3- downsizing the tibial component thickness. 4- resecting more distal femur. PREFERRED RESPONSE: 2- downsizing the femoral component. DISCUSSION In this scenario, the extension gap is normal and the flexion gap is tight. Increasing the flexion gap without changing the extension gap can be performed by downsizing the femoral component or adding posterior slope to the tibia resection. Flexing the femoral component tightens the flexion gap. Decreasing the tibial component thickness loosens the flexion and extension gaps. Resecting more distal femur only loosens the extension gap.
  • 5.
    AAOS 2016 AdultReconstructive Surgery of the Hip and Knee 4 Figure 4 CLINICAL SITUATION FOR QUESTIONS 4 THROUGH 7 Figure 4 is the radiograph of a 73-year-old woman who returns for her annual follow-up 14 years after undergoing total hip arthroplasty. She denies pain and has no discomfort upon examination. Question 4 of 200 Which method of terminal polyethylene sterilization would most likely cause these radiographic findings? 1- Gamma irradiation in nitrogen 2- Gamma irradiation in air 3- Gamma irradiation in argon 4- Gas plasma PREFERRED RESPONSE: 2- Gamma irradiation in air Question 5 of 200
  • 6.
    AAOS 2016 AdultReconstructive Surgery of the Hip and Knee 5 The patient is asked to return in 6 months for a repeat radiograph. Six months later she remains asymptomatic, but a radiograph reveals progressive osteolysis. Treatment should consist of 1- femoral head/liner exchange with retroacetabular bone grafting. 2- femoral and acetabular revision. 3- acetabular revision. 4- follow-up in 1 year. PREFERRED RESPONSE: 1- femoral head/liner exchange with retroacetabular bone grafting. Question 6 of 200 The patient begins to experience pain, and a decision is made to proceed with surgical intervention. When performing a posterior approach to the hip, which structure protects the anterior retractor from causing damage to the femoral neurovascular structures? 1- Obturator externus 2- Piriformis 3- Psoas 4- Rectus femoris PREFERRED RESPONSE: 3- Psoas Question 7 of 200 The patient develops an inability to dorsiflex her foot 2 days after surgical intervention while she is sitting in a chair after physical therapy. Initial treatment should consist of 1- lying completely supine in bed. 2- remaining seated and placing the postsurgical leg on a stool. 3- transferring back to bed with the head of the bed no lower than 60 degrees. 4- transferring back to bed with the head of the bed level and the surgical knee flexed.
  • 7.
    AAOS 2016 AdultReconstructive Surgery of the Hip and Knee 6 PREFERRED RESPONSE: 4- transferring back to bed with the head of the bed level and the surgical knee flexed. DISCUSSION Gamma irradiation produces free radicals. Although these free radicals can form cross- links with other polyethylene chains, the free radicals can also form a bond with oxygen, resulting in early oxidation. Gamma irradiation in air produces the highest risk for oxidized polyethylene, resulting in the highest risk for wear, delamination, and subsequent osteolysis. This patient demonstrates severe periarticular osteolysis. When she is asymptomatic, this suggests the acetabular and femoral components remain well fixed to the bone. Consequently, she can be treated by removing the wear generator (polyethylene exchange), along with bone grafting of the osteolytic defect. Considering the extensive amount of osteolysis, observation for 1 year would not be appropriate. The psoas is the anatomic structure that runs anterior to the acetabulum. The femoral neurovascular structures are at risk if the retractor is placed anterior and inferior to the psoas tendon. The patient develops a foot drop 2 days after surgery. As a result, it can be assumed that the nerve was not injured directly during the surgical procedure. Although MR imaging or a CT scan may be indicated to identify an evolving hematoma, the immediate concern is to minimize pressure on the sciatic nerve. Tension on the nerve can be decreased by flexing the surgical knee and positioning the bed flat. Question 8 of 200 An 80-year-old African American woman who lives in a large city is scheduled for total hip arthroplasty to address primary osteoarthritis. Part of the presurgical protocol includes nasal swab screening to assess for methicillin-resistant Staphylococcus aureus (MRSA) colonization. Which demographic factor places this patient at highest risk for a positive result? 1- Gender 2- Age 3- Race 4- Environment PREFERRED RESPONSE: 3- Race DISCUSSION
  • 8.
    AAOS 2016 AdultReconstructive Surgery of the Hip and Knee 7 Demographic factors are associated with increased risk for MRSA colonization, so it is important to identify vulnerable patients. Female gender and advanced age decrease risk for colonization, while African American race increases this risk. Urban environments do not influence MRSA colonization. Figure 9 Question 9 of 200 Figure 9 is the clinical photograph of a 68-year-old woman 10 days after undergoing primary total knee replacement. She is experiencing hemarthrosis, discoloration, and bruising of the soft tissue about the knee; her history includes persistent serous drainage. This clinical appearance likely is associated with 1- failure to use a tourniquet. 2- failure to use a drain. 3- use of low-molecular-weight heparin (LMWH). 4- use of regional anesthesia. PREFERRED RESPONSE: 3- use of low-molecular-weight heparin (LMWH).
  • 9.
    AAOS 2016 AdultReconstructive Surgery of the Hip and Knee 8 DISCUSSION Certain anticoagulants are associated with an increased risk for wound complications. Two studies showed an increase in postsurgical bleeding and wound drainage following use of LMWH. Other investigators have associated use of anticoagulants such as LMWH with an increased incidence of persistent wound drainage and subsequent infection. Current evidence does not support a significant difference in complication rates with and without the use of wound drains or a tourniquet. Regional anesthesia has been associated with less blood loss than general anesthesia and is not associated with a difference in wound complication incidence. Figure 10 Question 10 of 200 Figure 10 is the radiograph of a 44-year-old man with a long-standing history of severe hip pain and a limp. Which clinical scenario most likely could occur when performing total hip arthroplasty on this patient? 1- Placing the hip center too inferior 2- Overmedializing the acetabular component 3- Overlengthening the extremity 4- Intrasurgical acetabular fracture
  • 10.
    AAOS 2016 AdultReconstructive Surgery of the Hip and Knee 9 PREFERRED RESPONSE: 3- Overlengthening the extremity DISCUSSION The radiograph reveals hip dysplasia. Patients with hip dysplasia and severe limb shortening are at high risk for sciatic nerve palsy from overlengthening. Overmedializing the acetabular component is not the preferred response because overlateralization is more of a concern if the cup is placed in the pseudoacetabulum instead of in the true acetabulum. Placing the hip center too inferior is not the preferred response because the concern in this scenario is placing the hip center too superior if the cup is placed in the pseudoacetabulum or if a large- diameter cup is used. Acetabular fractures are possible because of osteoporotic bone at the true hip center, but is less likely than overlengthening of the extremity. Figure 11a Figure 11b CLINICAL SITUATION FOR QUESTIONS 11 THROUGH 13 Figures 11a and 11b are the radiographs of a 35-year-old woman with end-stage debilitating osteoarthritis of the right hip. She is contemplating total hip arthroplasty (THA). She has a history of right hip dysplasia and underwent hip osteotomy as an adolescent. Over the years, she has failed nonsurgical treatment including weight loss, activity modifications, and intra-articular injections. Her infection workup reveals laboratory findings within defined limits. Question 11 of 200 Which bearing surface is contraindicated for this patient?
  • 11.
    AAOS 2016 AdultReconstructive Surgery of the Hip and Knee 10 1- Ceramic-on-ceramic 2- Ceramic-on-highly cross-linked polyethylene (HXPE) 3- Metal-on-HXPE 4- Metal-on-metal PREFERRED RESPONSE: 4- Metal-on-metal Question 12 of 200 The patient undergoes successful primary THA with a metal-on-metal bearing. At her 1- year follow-up appointment, she reports no pain and is highly satisfied with the procedure. However, 3 years after the index procedure, she reports atraumatic right hip pain that worsens with activities. Radiographs reveal implants in good position with no sign of loosening or lysis. An initial laboratory evaluation reveals a normal sedimentation rate and C-reactive protein (CRP) level. The most appropriate next diagnostic step is 1- metal artifact reduction sequence (MARS) MR imaging only. 2- serum cobalt only. 3- serum cobalt and chromium levels. 4- serum cobalt and chromium levels and MARS MR imaging. PREFERRED RESPONSE: 4- serum cobalt and chromium levels and MARS MR imaging. Question 13 of 200 A further workup reveals elevations in serum cobalt and chromium levels and fluid collections surrounding the hip on MARS MR imaging. Revision THA is recommended. The most common complication following revision of a failed metal-on-metal hip arthroplasty is 1- infection. 2- instability. 3- loosening. 4- periprosthetic fracture.
  • 12.
    AAOS 2016 AdultReconstructive Surgery of the Hip and Knee 11 PREFERRED RESPONSE: 2- instability. DISCUSSION THA has proven durable and reliable for pain relief and improving function for patients with end-stage arthritis. Appropriate bearing selection is critical to minimize wear and hip complications. A metal-on-metal articulation is associated with excellent wear rates in vitro. With its capacity to offer a low wear rate with large femoral heads, it is an attractive bearing choice for THA. However, local soft-tissue reactions, pseudotumors, and potential systemic reactions including renal failure, cardiomyopathy, carcinogenesis, and potential teratogenesis with potential transfer of metal ions across the placental barrier make metal-on-metal bearings less desirable and relatively contraindicated for younger women of child-bearing age. The workup of a painful metal-on-metal hip arthroplasty necessitates a systematic approach. Several algorithms have been proposed. Routine laboratory studies including sedimentation rate, CRP, and serum cobalt and chromium ion levels should be obtained for all patients with pain. Advanced imaging including MARS MRI should be performed to evaluate for the presence of fluid collections, pseudotumors, and abductor mechanism destruction. Infection can coexist with metal-on-metal reactions, so, when indicated (if the CRP level is elevated), a hip arthrocentesis should be obtained. However, in this setting, a manual cell count and differential should be obtained because an automated cell counter may provide falsely elevated cell counts. The results of revision surgery for a failed metal-on-metal hip prosthesis can be variable. The amount of local tissue destruction and the integrity of the hip abductor mechanism can greatly influence outcomes. Instability is the most common complication following revision of failed metal-on-metal hip replacements. Question 14 of 200 A surgeon is preparing a medial gastrocnemius rotational flap to cover a medial proximal tibia defect at the time of revision knee replacement surgery. To optimize coverage, the surgeon must optimally mobilize which artery? 1- Profundus femoris 2- Middle genicular 3- Medial sural 4- Inferior medial genicular PREFERRED RESPONSE: 3- Medial sural
  • 13.
    AAOS 2016 AdultReconstructive Surgery of the Hip and Knee 12 DISCUSSION The medial sural arteries vascularize the gastrocnemius, plantaris, and soleus muscles proximally. They arise from the popliteal artery. If not adequately mobilized, a gastroc soleus flap can be devascularized. RESPONSES FOR QUESTIONS 15 THROUGH 17 1- Semimembranosis release 2- Medial gastrocnemius release 3- Medial tibial plateau downsizing osteotomy 4- Iliotibial band pie crusting 5- Popliteus tendon release 6- Cruciate release of the capsule posterior lateral corner Select the most appropriate release listed above to address each scenario described below. Question 15 of 200 A 57-year-old man is taken to the operating room to address a severe varus right knee deformity of approximately 17 degrees. After releasing the deep medial collateral ligament (MCL) as part of the approach, the diseased side of the knee remains tight. Following osteophyte removal, which soft-tissue release is now most appropriate to obtain a balanced knee? 1- Semimembranosis release 2- Medial gastrocnemius release 3- Medial tibial plateau downsizing osteotomy 4- Iliotibial band pie crusting 5- Popliteus tendon release 6- Cruciate release of the capsule posterior lateral corner PREFERRED RESPONSE: 1- Semimembranosis release Question 16 of 200 Despite that release, the knee remains very tight medially. Cuts are validated for the patient's axial alignment. For a patient with a large tibia, what is the best release to address a large residual deformity?
  • 14.
    AAOS 2016 AdultReconstructive Surgery of the Hip and Knee 13 1- Semimembranosis release 2- Medial gastrocnemius release 3- Medial tibial plateau downsizing osteotomy 4- Iliotibial band pie crusting 5- Popliteus tendon release 6- Cruciate release of the capsule posterior lateral corner PREFERRED RESPONSE: 3- Medial tibial plateau downsizing osteotomy Question 17 of 200 The patient is planning on having his contralateral knee replaced as well. He has a mild valgus deformity in his left knee with an overall windswept deformity. Which release is most appropriate in this case if the knee remains tight in extension? 1- Semimembranosis release 2- Medial gastrocnemius release 3- Medial tibial plateau downsizing osteotomy 4- Iliotibial band pie crusting 5- Popliteus tendon release 6- Cruciate release of the capsule posterior lateral corner PREFERRED RESPONSE: 4- Iliotibial band pie crusting DISCUSSION Balancing a total knee is important for longevity of the device and functional benefit. The surgeon should be systematic in the release of a varus knee. The deep MCL is typically released as part of the approach and osteophytes are then removed. The semimembranosus tendon can then be released from the posterior medial aspect of the tibia. A downsizing osteotomy can be considered for a large deformity if a patient has adequate tibial sizing. If a patient has the smallest implant available prior to the osteotomy, an osteotomy will lead to overhang of the implant and medial impingement on the MCL. A valgus knee can be treated with pie crusting of the iliotibial band in mild extension deformity. Surgeons should pause prior to taking down the popliteus and lateral collateral
  • 15.
    AAOS 2016 AdultReconstructive Surgery of the Hip and Knee 14 ligament because this can induce posterior rotatory subluxation of a primary knee, especially in the case of a posterior collateral ligament-sacrificing total knee arthroplasty design. Figure 18 Question 18 of 200 Figure 18 is the radiograph of a 52-year-old woman who has leg length inequality and chronic activity-related buttock discomfort. This has been a life-long problem, but it is getting worse and increasingly causing back pain. What is the best current technique for total hip arthroplasty? 1- High hip center 2- Anatomic hip center with trochanteric osteotomy and progressive femoral shortening 3- Anatomic hip center with subtrochanteric shortening osteotomy 4- Iliofemoral lengthening followed by an anatomic hip center PREFERRED RESPONSE: 3- Anatomic hip center with subtrochanteric shortening osteotomy DISCUSSION
  • 16.
    AAOS 2016 AdultReconstructive Surgery of the Hip and Knee 15 A high hip center is not recommended for Crowe IV hips because of the lack of acetabular bone and altered hip biomechanics. An anatomic center is a better option but necessitates a technique to address the tight soft-tissue envelope. A trochanteric osteotomy with progressive femoral shortening has been described but can be prone to trochanter nonunion. Iliofemoral lengthening prior to surgery has been described but may not be tolerated by all patients. A shortening subtrochanteric osteotomy avoids trochanter nonunion and allows adjustment of femoral anteversion. Fixation of the osteotomy can include a stem with distal rotational control, plate fixation, a step vs. oblique cut, or strut grafts. Question 19 of 200 The optimal method with which to diagnose component malrotation in total knee arthroplasty (TKA) is 1- clinical assessment of foot position and patellar tracking. 2- radiographic skyline view of the patella. 3- CT scan with metal artifact suppression. 4- MR imaging with metal artifact reduction sequences. PREFERRED RESPONSE: 3- CT scan with metal artifact suppression. DISCUSSION The epicondylar axis and tibial tubercle can be used as references on CT scans to quantitatively measure rotational alignment of the femoral and tibial components. This technique has been used to determine whether rotational malalignment is present and whether revision of 1 or both components may be indicated. Although clinical assessment is useful, malrotation can occur as a result of deformities unrelated to the arthroplasty. Similarly, an isolated radiographic skyline view of the patella may indicate a problem with patellar maltracking, but cannot quantitatively assess malrotation of the components. MR imaging proves useful for evaluating painful TKA, but it is dependent on the center’s quality and has not yet been shown to quantify component malrotation.
  • 17.
    AAOS 2016 AdultReconstructive Surgery of the Hip and Knee 16 Figure 20a Figure 20b CLINICAL SITUATION FOR QUESTIONS 20 THROUGH 22 Figures 20a and 20b are the radiographs of an elderly woman who underwent total knee arthroplasty (TKA) several years ago. She now states that something is not right; her knee frequently swells and is diffusely painful, especially at the end of the day. She does not trust her knee, especially while going up and down stairs or getting up from a chair. Question 20 of 200 The most important diagnostic step is to 1- examine flexion and extension gap stability. 2- examine extensor power. 3- perform a neurological examination. 4- feel for the presence of foot pulses. PREFERRED RESPONSE: 1- examine flexion and extension gap stability. Question 21 of 200
  • 18.
    AAOS 2016 AdultReconstructive Surgery of the Hip and Knee 17 The initial diagnostic workup should include 1- CT scan of the knee. 2- erythrocyte sedimentation rate and C-reactive protein level. 3- electromyography and nerve conduction studies. 4- a technetium bone scan. PREFERRED RESPONSE: 2- erythrocyte sedimentation rate and C-reactive protein level. Question 22 of 200 Surgical treatment for this patient should include 1- excision arthroplasty with placement of an articulating antibiotic cement spacer. 2- excision arthroplasty with placement of a static antibiotic cement spacer. 3- revision to a more constrained prosthesis, with reestablishment of the flexion and extension gap balance. 4- a thicker polyethylene insert. PREFERRED RESPONSE: 3- revision to a more constrained prosthesis, with reestablishment of the flexion and extension gap balance. DISCUSSION
  • 19.
    AAOS 2016 AdultReconstructive Surgery of the Hip and Knee 18 Video 22 for reference This patient has an unstable cruciate-retaining TKA. The tibial cut appears to be substantial, necessitating a very thick polyethylene liner. In addition, the femoral component may be slightly more proximally located. Tests for flexion-extension gap balancing would indicate flexion instability. However, the possibility of infection remains, so screening blood tests are appropriate. The surgical treatment for this unstable knee is revision TKA to a more constrained implant, ensuring flexion-extension gap balancing. No evidence indicates that the knee is infected. A thicker polyethylene insert will not adequately balance the knee. Figure 23a Figure 23b
  • 20.
    AAOS 2016 AdultReconstructive Surgery of the Hip and Knee 19 Figure 23c Figure 23d Figure 23e Figure 23f
  • 21.
    AAOS 2016 AdultReconstructive Surgery of the Hip and Knee 20 Figure 23g Figure 23h Question 23 of 200 Figures 23a through 23h are the radiographs and MR images of a 32-year-old man with worsening left knee pain. A 3-foot hip-to-ankle radiograph shows a 13-degree varus knee deformity. The patient sustained a major left knee injury 5 years ago and a confirmed complete anterior cruciate ligament (ACL) tear. He managed this injury nonsurgically with a functional brace but experienced worsening pain. He was seen by an orthopaedic surgeon 18 months ago and a medial meniscus tear was diagnosed; the tear was treated with an arthroscopic partial medial meniscectomy. Since then, his knee has been giving way more often and he no longer feels safe working on a pitched roof. The patient received 6 months of formal physical therapy and was fitted for a new functional ACL brace, but he still has pain and instability symptoms. He believes he has exhausted his nonsurgical options and would like to undergo surgery. What is the most appropriate treatment at this time? 1- ACL reconstruction and subsequent proximal tibial osteotomy 2- ACL reconstruction alone 3- Distal femoral osteotomy with simultaneous ACL reconstruction 4- Proximal tibial osteotomy with subsequent ACL reconstruction PREFERRED RESPONSE: 4- Proximal tibial osteotomy with subsequent ACL reconstruction
  • 22.
    AAOS 2016 AdultReconstructive Surgery of the Hip and Knee 21 DISCUSSION Proximal tibial osteotomy is the most appropriate intervention to correct varus malalignment and to decrease stress on the ACL. In some cases, proximal tibial osteotomy alone may address both pain and instability, but, if instability persists, particularly in the setting in which instability can be dangerous, subsequent ACL reconstruction can further stabilize the knee with less stress on the graft after correction of malalignment. Varus alignment places increased stress on the native or reconstructed ACL. ACL reconstruction should only be performed at the same time as or following proximal tibial osteotomy to correct alignment in the setting of varus malalignment. It is not appropriate to perform ACL reconstruction prior to proximal tibial osteotomy in this setting. Distal femoral osteotomy is not indicated to correct varus malalignment. Varus alignment places increased stress on the native or reconstructed ACL, and ACL reconstruction alone is not indicated for this patient. Question 24 of 200 A surgeon performs a minimally invasive total knee arthroplasty through a quadriceps- sparing approach using medial-to-lateral cutting jigs. When beginning therapy that afternoon, the patient can passively but not actively extend her knee, although she has minimal knee pain. All regional blocks have been discontinued. What is the most likely reason for this finding? 1- Quadriceps inhibition 2- Avulsion of the quadriceps tendon 3- Laceration of the patella tendon 4- Femoral nerve palsy PREFERRED RESPONSE: 3- Laceration of the patella tendon DISCUSSION This patient lacks active knee extension. It is not attributable to the regional block because that block is no longer acting. The most likely cause is laceration of the patella tendon, which has been described during both large-incision surgery and minimally invasive surgery. However, this is reported with increased frequency during minimally invasive surgery. Quadriceps inhibition, avulsion of the quadriceps tendon, and femoral nerve palsy can cause lack of active extension, but these problems are less likely because the patient has minimal pain.
  • 23.
    AAOS 2016 AdultReconstructive Surgery of the Hip and Knee 22 Figure 25a Figure 25b Question 25 of 200 Figures 25a and 25b are the radiographs of a 63-year-old man who had right total hip arthroplasty (THA) 4 months ago. Progressive stiffness began 2 months after surgery, and he now reports pain only after prolonged physical activity. His examination reveals normal gait and painless range of motion with flexion of 70 degrees, extension of 0 degrees, internal rotation of 20 degrees, external rotation of 20 degrees, abduction of 10 degrees, and adduction of 10 degrees. His erythrocyte sedimentation rate (ESR) and C-reactive protein (CRP) levels are within defined limits. Physical therapy has produced no benefit. What is the most appropriate next step? 1- 25 mg of indomethacin 3 times daily for 6 weeks 2- 1 dose of irradiation at 800 Gy 3- Surgical excision of heterotypic ossification (HO) 4- Reevaluation in 6 months PREFERRED RESPONSE: 4- Reevaluation in 6 months
  • 24.
    AAOS 2016 AdultReconstructive Surgery of the Hip and Knee 23 DISCUSSION This patient presents with HO 4 months after undergoing THA. Symptomatic HO may complicate nearly 7% of primary THA cases. Improvement in pain is expected within 6 months, and most patients will not need surgical treatment. Surgical excision may be warranted for symptomatic patients after full maturation of the HO, usually 6 to 18 months after the surgery. Patients can be followed with repeated serum alkaline phosphatase levels, which are elevated initially and should return to normal upon maturation of HO. Alternatively, a bone scan can show decreased activity once the HO has matured. Twenty-five milligrams of indomethacin 3 times daily for 6 weeks or 1 dose of irradiation at 700 to 800 Gy is effective in the prevention of HO, not for the treatment of established HO. RESPONSES FOR QUESTIONS 26 THROUGH 29 1- Minimum inhibitory concentration (MIC) 2- Minimum bactericidal concentration (MBC) 3- Antiobiotic susceptibility 4- Antibiograms 5- Antimicrobial resistance 6- Spectrum of coverage Match the description below with the appropriate response above. Question 26 of 200 The minimum concentration of an antimicrobial agent to prevent growth of a microorganism. 1- Minimum inhibitory concentration (MIC) 2- Minimum bactericidal concentration (MBC) 3- Antiobiotic susceptibility 4- Antibiograms 5- Antimicrobial resistance 6- Spectrum of coverage PREFERRED RESPONSE: 1- Minimum inhibitory concentration (MIC)
  • 25.
    AAOS 2016 AdultReconstructive Surgery of the Hip and Knee 24 Question 27 of 200 Refers to the prevalence of microorganisms at a particular hospital or institution. 1- Minimum inhibitory concentration (MIC) 2- Minimum bactericidal concentration (MBC) 3- Antiobiotic susceptibility 4- Antibiograms 5- Antimicrobial resistance 6- Spectrum of coverage PREFERRED RESPONSE: 4- Antibiograms Question 28 of 200 Refers to the effectiveness of an antibiotic against various classes of microorganisms. 1- Minimum inhibitory concentration (MIC) 2- Minimum bactericidal concentration (MBC) 3- Antiobiotic susceptibility 4- Antibiograms 5- Antimicrobial resistance 6- Spectrum of coverage PREFERRED RESPONSE: 6- Spectrum of coverage Question 29 of 200 Refers to the effectiveness of various antibiotics against a particular microorganism. 1- Minimum inhibitory concentration (MIC) 2- Minimum bactericidal concentration (MBC) 3- Antiobiotic susceptibility 4- Antibiograms 5- Antimicrobial resistance 6- Spectrum of coverage
  • 26.
    AAOS 2016 AdultReconstructive Surgery of the Hip and Knee 25 PREFERRED RESPONSE: 3- Antiobiotic susceptibility DISCUSSION Knowledge of the basic nomenclature of antibiotic use is important to effectively treat patients and communicate with colleagues. The effectiveness of an antimicrobial against an infecting organism is measured by the MIC, which refers to the concentration needed to prevent growth of a microorganism on culture medium, and MBC, which is the smallest concentration of the antibiotic necessary to kill the microorganism in culture. Typically, an antibiotic is considered bactericidal if the MBC is no more than 4 times the MIC. The spectrum of antimicrobial coverage refers to an agent’s effectiveness against a range of bacteria. An antibiogram refers to the tabulation of prevalence of different bacteria in a specific setting or specific patient population. Antibiotic susceptibility and resistance refers to the bacteria’s ability to be affected or unaffected by a given antibiotic. Figure 30a Question 30 of 200 Figure 30a is the anteroposterior radiograph of a 20-year-old woman with mild right groin pain and intermittent “catching” in the hip region. What is the most appropriate next step?
  • 27.
    AAOS 2016 AdultReconstructive Surgery of the Hip and Knee 26 1- Arthroscopic evaluation and treatment of the hypertrophic labrum and a possible labral tear 2- A hip injection to confirm an intra-articular source of the pain 3- Nonsurgical treatment and subsequent total hip arthroplasty (THA) when the patient is sufficiently symptomatic 4- Periacetabular osteotomy PREFERRED RESPONSE: 4- Periacetabular osteotomy DISCUSSION Because this patient is young, substantial bilateral acetabular dysplasia is present, and the joint space is well preserved, periacetabular osteotomy is the treatment of choice (Figure 30b). Arthroscopic evaluation and treatment is insufficient to address the mechanical deformity. Although a hip injection can be diagnostically helpful, it would not alter the treatment plan in this scenario. The patient’s young age would make observation and subsequent THA less desirable. Femoral osteotomies also were performed to address rotational deformity. Figure 31
  • 28.
    AAOS 2016 AdultReconstructive Surgery of the Hip and Knee 27 Question 31 of 200 Figure 31 is the abdominal radiograph of a 70-year-old woman who experiences nausea and abdominal tightness 48 hours following left total knee arthroplasty performed under general anesthesia. She received 24 hours of cefazolin antibiotic prophylaxis and a patient- controlled analgesia narcotic pump for pain management. She has been receiving warfarin for thromboembolic prophylaxis. Her severe abdominal distension and markedly decreased bowel sounds are most likely secondary to 1- general anesthesia. 2- administration of antibiotics. 3- administration of warfarin. 4- administration of narcotics. PREFERRED RESPONSE: 4- administration of narcotics. DISCUSSION The radiograph reveals severe intestinal dilatation, which has occurred as the result of acute colonic pseudo-obstruction and is associated with excessive narcotic administration following total joint arthroplasty. Anesthetic type, antibiotic administration, and warfarin have not been associated with this obstruction. Electrolyte imbalances such as hypokalemia have been associated with postsurgical acute colonic pseudo-obstruction. Figure 32a Figure 32b Figure 32c CLINICAL SITUATION FOR QUESTIONS 32 THROUGH 35 Figures 32a through 32c are the radiographs of a 30-year old man who is experiencing right hip pain. He has no current medical problems, but, with a body mass index of 41, he is morbidly obese. He was previously treated for leukemia with chemotherapy that included
  • 29.
    AAOS 2016 AdultReconstructive Surgery of the Hip and Knee 28 high-dose steroids. He undergoes total hip arthroplasty (THA) with a ceramic-on-ceramic bearing. Question 32 of 200 When counseling this patient regarding the long-term outcomes of surgery using a ceramic-on-ceramic bearing, he should be informed that 1- there will be more overall bearing wear than metal on polyethylene. 2- there will be less long-term revision risk. 3- complication rates will be the same. 4- pain and function scores will be better. PREFERRED RESPONSE: 2- there will be less long-term revision risk. Question 33 of 200 Three years after undergoing THA with a ceramic-on-ceramic bearing, this patient returns because of right hip pain and a grinding sensation. At revision, it is discovered that the ceramic liner has fractured. The most likely cause for this complication is 1- horizontal cup position. 2- morbid obesity. 3- trunnion damage. 4- activity level. PREFERRED RESPONSE: 2- morbid obesity. Question 34 of 200 At revision, the ceramic femoral head is removed. Upon visual inspection, the most likely finding on the head is 1- stripe wear. 2- no gross damage. 3- metal transfer. 4- fracture.
  • 30.
    AAOS 2016 AdultReconstructive Surgery of the Hip and Knee 29 PREFERRED RESPONSE: 1- stripe wear. Question 35 of 200 At revision, the stem is retained and a new head with a polyethylene bearing is selected. The best option for the head is 1- ceramic with a metal sleeve. 2- ceramic alone. 3- metal with a metal sleeve. 4- metal alone. PREFERRED RESPONSE: 1- ceramic with a metal sleeve. DISCUSSION Ceramic-on-ceramic is a controversial bearing surface typically reserved for younger patients such as this one. Some studies have suggested that the bearing is more expensive and does not really prolong the service life of the implant, although a recent meta-analysis of high- quality trials showed that there is a decreased revision rate with ceramic-on-ceramic, so its use may be justified. Complications of intraoperative bearing fracture and squeaking are more common than with conventional bearings, but pain and function scores are equivalent. Stripe wear associated with a vertical cup and morbid obesity are related to an increased risk for liner fracture. Concerns about head fractures with a new ceramic head and a damaged trunnion have led investigators to conclude that using a harder bearing than the initial bearing surface with a built-in titanium sleeve is probably the best solution when a stem is retained during revision surgery.
  • 31.
    AAOS 2016 AdultReconstructive Surgery of the Hip and Knee 30 Figure 36a Figure 36b Question 36 of 200 Figures 36a and 36b are the radiographs of a 79-year-old woman who has been experiencing increasing tibial pain 10 years after undergoing revision total knee arthroplasty. There is no evidence of infection. What is the most appropriate treatment? 1- Retain the components and implant a tibial strut allograft 2- Revise the tibial component with a metaphyseal cone and metaphyseal uncemented stem 3- Revise the tibial component with a metaphyseal cone and a press-fit diaphyseal- engaging stem 4- Revise the tibial component with a long cemented diaphyseal-engaging stem PREFERRED RESPONSE: 3- Revise the tibial component with a metaphyseal cone and a press-fit diaphyseal-engaging stem DISCUSSION Stems are available for cemented and press-fit implantation. To be effective, press-fit stems should engage the diaphysis (Figures 36c and 36d). They also assist in obtaining correct limb alignment. Short metaphyseal-engaging stems are associated with failure rates between
  • 32.
    AAOS 2016 AdultReconstructive Surgery of the Hip and Knee 31 16% and 29%. Cemented stems may be shorter than press-fit stems because they do not have to engage the diaphysis. Short, fully cemented stems offer the advantage of metaphyseal fixation. Hybrid stem fixation makes use of the metaphysis for cement fixation with metaphyseal cones or sleeves and diaphyseal-engaging press-fit stems. RESPONSES FOR QUESTIONS 37 THROUGH 40 1- Lateral femoral cutaneous nerve 2- Lateral femoral circumflex artery 3- Superior gluteal nerve 4- Superior gluteal artery 5- Sciatic nerve 6- Femoral artery 7- Femoral vein 8- Femoral nerve 9- Saphenous branch of the femoral nerve 10- Profunda femoris artery 11- Inferior gluteal nerve Match each description below with the anatomic structure listed above. Question 37 of 200 When performing a modified direct lateral approach (modified Hardinge) to the hip, this is the neurovascular structure at higher risk during anterior retraction of the gluteus medius/vastus lateralis sleeve. 1- Lateral femoral cutaneous nerve 2- Lateral femoral circumflex artery 3- Superior gluteal nerve 4- Superior gluteal artery 5- Sciatic nerve 6- Femoral artery 7- Femoral vein 8- Femoral nerve 9- Saphenous branch of the femoral nerve 10- Profunda femoris artery
  • 33.
    AAOS 2016 AdultReconstructive Surgery of the Hip and Knee 32 11- Inferior gluteal nerve PREFERRED RESPONSE: 3- Superior gluteal nerve Question 38 of 200 The direct anterior approach to the hip places this neurovascular structure at highest risk for injury in its superficial extent. 1- Lateral femoral cutaneous nerve 2- Lateral femoral circumflex artery 3- Superior gluteal nerve 4- Superior gluteal artery 5- Sciatic nerve 6- Femoral artery 7- Femoral vein 8- Femoral nerve 9- Saphenous branch of the femoral nerve 10- Profunda femoris artery 11- Inferior gluteal nerve PREFERRED RESPONSE: 1- Lateral femoral cutaneous nerve Question 39 of 200 This neurovascular structure limits distal extension of the direct anterior approach. 1- Lateral femoral cutaneous nerve 2- Lateral femoral circumflex artery 3- Superior gluteal nerve 4- Superior gluteal artery 5- Sciatic nerve 6- Femoral artery 7- Femoral vein
  • 34.
    AAOS 2016 AdultReconstructive Surgery of the Hip and Knee 33 8- Femoral nerve 9- Saphenous branch of the femoral nerve 10- Profunda femoris artery 11- Inferior gluteal nerve PREFERRED RESPONSE: 8- Femoral nerve Question 40 of 200 CT and cadaveric studies have shown that anteroinferior placement of the anterior acetabular retractor results in less than 1 cm of distance between the retractor and which structure? 1- Lateral femoral cutaneous nerve 2- Lateral femoral circumflex artery 3- Superior gluteal nerve 4- Superior gluteal artery 5- Sciatic nerve 6- Femoral artery 7- Femoral vein 8- Femoral nerve 9- Saphenous branch of the femoral nerve 10- Profunda femoris artery 11- Inferior gluteal nerve PREFERRED RESPONSE: 8- Femoral nerve DISCUSSION Proximal dissection through the gluteus medius places the superior gluteal nerve at risk. The main branch of the superior gluteal nerve has been measured within the muscle to a distance of between 4.5 and 4.9 cm above the level of the superior acetabular rim, and safe dissection is assured if the surgeon does not exceed 4 cm above the acetabulum or 5 cm above the tip of the greater trochanter.
  • 35.
    AAOS 2016 AdultReconstructive Surgery of the Hip and Knee 34 The lateral femoral cutaneous nerve courses medial to the anterior superior iliac spine and near the interval between the sartorious and tensor fascia muscle. Risk for injury can be decreased by remaining in the fascial sheath of the tensor and minimizing excessive retraction medially. The lateral femoral circumflex artery is ligated during this approach and is not at risk. Distal extension of the direct anterior approach beyond the intertrochanteric line poses risk for injury to the lateral and medial division of the femoral nerve, which innervates the anterolateral parts of the quadriceps muscle group. In addition, branches of the lateral circumflex artery are routinely ligated in a standard approach. A recent CT scan and cadaveric evaluation of acetabular retractor placement and its proximity to adjacent neurovascular structures demonstrates that the anterior retractor is furthest from the adjacent neurovascular bundle if placed more superiorly near the anterior superior iliac spine. The more inferiorly it is placed, the higher the risk to the adjacent structures, the most lateral of which is the femoral nerve. Question 41 of 200 A 58-year-old man has a painful right hip 3 years after undergoing a large head metal-on- metal total hip arthroplasty (THA) in which the components are well positioned. MR imaging confirms a cystic mass around the hip and metal ion levels show a marked increase in cobalt compared to chromium levels. The erythrocyte sedimentation rate (ESR) and C-reactive protein (CRP) level are within defined limits. What is the most likely cause for his discomfort? 1- Chronic periprosthetic infection 2- Trochanteric bursitis 3- Pseudotumor related to corrosion at the head/neck taper junction 4- Tendonitis from iliopsoas tendon impingement PREFERRED RESPONSE: 3- Pseudotumor related to corrosion at the head/neck taper junction DISCUSSION This patient presents with a pseudotumor likely attributable to local tissue reaction resulting from either articular metal wear debris and/or corrosion and fretting of the trunnion. The trunnion is a more likely source of the problem for a number of reasons: good position of metal articulation, increased trunnion corrosion and fretting associated with large-head THA, and markedly increased cobalt levels compared to chromium levels. Infection is very unlikely
  • 36.
    AAOS 2016 AdultReconstructive Surgery of the Hip and Knee 35 in the setting of normal ESR and CRP findings. MR imaging findings are consistent with pseudotumor and not iliopsoas tendonitis or trochanteric bursitis. Figure 42a Figure 42b Figure 42c Figure 42d Figure 42e CLINICAL SITUATION FOR QUESTIONS 42 THROUGH 45 Figures 42a through 42e are the radiographs, MR image, and MR arthrogram of a 25-year- old collegiate soccer player who has new-onset left groin pain. He played competitive soccer from a young age and has either competed or practiced 5 to 6 times per week since the age of 10. He denies any specific hip injury that necessitated treatment, but his trainer contends that he had a groin pull. He has groin pain with passive flexion and internal rotation of his left hip, and his hip has less internal rotation than his asymptomatic right hip. He is otherwise healthy.
  • 37.
    AAOS 2016 AdultReconstructive Surgery of the Hip and Knee 36 Question 42 of 200 Approximately which percentage of asymptomatic athletes have CAM deformities of the hip? 1- 5% 2- 10% 3- 25% 4- At least 50% PREFERRED RESPONSE: 4- At least 50% Question 43 of 200 What is the primary cause of a CAM deformity? 1- A genetic problem 2- Repetitive activities involving an open proximal femoral physis 3- Early closure of the proximal femoral physis 4- Hip dysplasia PREFERRED RESPONSE: 2- Repetitive activities involving an open proximal femoral physis Question 44 of 200 When counseling patients who have a CAM deformity, the orthopaedic surgeon should note that 1- osteoarthritis of the hip is likely to occur later in life. 2- correction prevents later development of osteoarthritis. 3- most acetabular tears are symptomatic, and surgical treatment will be necessary. 4- this is an inherited deformity.
  • 38.
    AAOS 2016 AdultReconstructive Surgery of the Hip and Knee 37 PREFERRED RESPONSE: 1- osteoarthritis of the hip is likely to occur later in life. Question 45 of 200 Which factor is a contraindication to surgical treatment of a symptomatic CAM deformity? 1- Degenerative tear of the anterosuperior acetabular labrum 2- Superior hip joint space of 2 mm or less on radiographs 3- Ipsilateral knee instability 4- Lumbar spondylolisthesis PREFERRED RESPONSE: 2- Superior hip joint space of 2 mm or less on radiographs DISCUSSION Multiple studies have confirmed that CAM or pincer anatomy is commonly present in asymptomatic hips. According to a large systematic review, CAM deformities are present in approximately one-third of asymptomatic hips in young adults, and the proportion was higher than 50% in the subgroup of athletes. Ganz and associates proposed that femoral acetabular impingement is the root cause of osteoarthritis in the majority of nontraumatic, nondysplastic hips, and functional improvement with surgical correction of the deformity has been demonstrated. Despite the link between CAM deformity and hip osteoarthritis, a corresponding link between correction of the deformity and prevention of osteoarthritis has never been proven. Results of CAM deformity correction, typically including repair of the degenerative labral tear, are much poorer when there is significant joint space loss. A typical joint space cutoff of 2 mm or less is used to recommend against hip preservation surgery. Question 46 of 200 Patellofemoral arthroplasty is contraindicated in the presence of 1- moderate patellar tilt. 2- trochlear dysplasia. 3- inflammatory arthritis. 4- severe crepitus.
  • 39.
    AAOS 2016 AdultReconstructive Surgery of the Hip and Knee 38 PREFERRED RESPONSE: 3- inflammatory arthritis. DISCUSSION Any inflammatory disease, including crystalline arthropathy, is a contraindication for patellofemoral arthroplasty. Patellar tilt and dysplasia frequently occur in the setting of patellofemoral arthritis and do not constitute a contraindication to this procedure. Severe crepitus is common and frequently addressed with patellofemoral arthroplasty. Figure 47 CLINICAL SITUATION FOR QUESTIONS 47 THROUGH 50 A 70-year-old woman has a 3-year history of gradually increasing diffuse and global right knee pain. Her main issues are difficulty with stairs, stiffness with prolonged sitting, and swelling. She has taken nonsteroidal anti-inflammatory medications and has received intra- articular steroid injections, all with decreasing efficacy. Her right knee examination reveals range of motion of 15 to 80 degrees with a fixed deformity to varus and valgus stress. Her symptoms are no longer manageable nonsurgically. Radiographs reveal a 30-degree mechanical axis deformity. Question 47 of 200 The deformity shown in Figure 47 is predominantly associated with
  • 40.
    AAOS 2016 AdultReconstructive Surgery of the Hip and Knee 39 1- a hypoplastic lateral femoral condyle. 2- a contracted medial collateral ligament. 3- an excessive proximal tibial slope. 4- trochlear dysplasia. PREFERRED RESPONSE: 1- a hypoplastic lateral femoral condyle. Question 48 of 200 When using the measured resection technique during total knee arthroplasty (TKA), the best way to avoid femoral malrotation is to reference the 1- anteroposterior axis. 2- tibial intramedullary axis. 3- posterior condylar axis. 4- femoral intramedullary axis. PREFERRED RESPONSE: 1- anteroposterior axis. Question 49 of 200 When balancing gaps in the coronal plane, which structure preferentially impacts the flexion space more than the extension space? 1- Iliotibial band 2- Popliteus tendon 3- Lateral collateral ligament 4- Lateral head of the gastrocnemius PREFERRED RESPONSE: 2- Popliteus tendon Question 50 of 200 For this patient, which TKA design is most appropriate?
  • 41.
    AAOS 2016 AdultReconstructive Surgery of the Hip and Knee 40 1- Bicruciate-retaining TKA 2- Unicompartmental arthroplasty 3- Hinged TKA 4- Posterior substitution TKA PREFERRED RESPONSE: 4- Posterior substitution TKA DISCUSSION TKA in the setting of valgus deformities poses different challenges than those encountered when varus deformities are present. Most valgus alignment is attributable to a deformity of the distal femur rather than the proximal tibia, as seen in varus knees. One of the major anatomical differences is a hypoplastic lateral femoral condyle which, when used as a rotational reference point, can lead to internal rotation of the femoral component if not recognized. This malrotation will in turn lead to patellofemoral maltracking or instability, which is a common complication associated with primary TKA. The deformity is too severe to consider a bicruciate-retaining TKA or unicompartmental arthroplasty and does not necessitate a hinged TKA. Question 51 of 200 When performing a cruciate-retaining total knee arthroplasty, trial components are inserted. The knee comes to full extension but is tight in flexion. The surgeon should consider 1- flexing the femoral component. 2- releasing the posterior cruciate ligament. 3- downsizing the tibial insert thickness. 4- resecting more distal femur. PREFERRED RESPONSE: 2- releasing the posterior cruciate ligament. DISCUSSION In this scenario, the flexion gap needs to be increased. Increase in flexion gap can be accomplished by downsizing the femoral component and increasing posterior tibial slope. In posterior cruciate-retaining TKA procedures, recession or release of the posterior cruciate ligament can loosen the flexion gap, allowing for an increase in flexion. Flexing the femoral
  • 42.
    AAOS 2016 AdultReconstructive Surgery of the Hip and Knee 41 component tightens the flexion gap, and downsizing the tibial insert thickness decreases flexion and extension gaps, while resection of the distal femur only increases the extension gap. Figure 52 CLINICAL SITUATION FOR QUESTIONS 52 THROUGH 55 Figure 52 is the standing anteroposterior radiograph of a 55-year-old man who has a 5- year history of daily left knee pain with weight-bearing activities. He denies night pain or symptoms of instability. Upon examination his range of motion is 0 to 140 degrees. He has a mild, fully correctable varus deformity and a negative Lachman test result. He has failed nonsurgical treatment. Question 52 of 200 Based on a knee examination and radiographic findings, what is the most likely finding at the time of surgery? 1- Anteromedial osteoarthritis 2- An intact posterior cruciate ligament (PCL) and incompetent anterior cruciate ligament (ACL) 3- Incompetence of both the ACL and PCL 4- Posteromedial osteoarthritis
  • 43.
    AAOS 2016 AdultReconstructive Surgery of the Hip and Knee 42 PREFERRED RESPONSE: 1- Anteromedial osteoarthritis Question 53 of 200 Unicompartmental knee arthroplasty (UKA) is discussed with the patient. The most appropriate next radiographic examination should be 1- MR imaging of the left knee to evaluate the lateral compartment. 2- a CT arthrogram to evaluate the status of the medial and lateral meniscus. 3- a stress radiograph to evaluate correction of the varus deformity. 4- a sunrise view to determine the status of the patellofemoral joint. PREFERRED RESPONSE: 3- a stress radiograph to evaluate correction of the varus deformity. Question 54 of 200 What is the UKA survivorship for a 55-year-old patient compared to survivorship for total knee arthroplasty? 1- Equal at 10 years 2- Lower at 10 years 3- Higher at 10 years 4- Not known when using a mobile-bearing UKA PREFERRED RESPONSE: 2- Lower at 10 years Question 55 of 200 The patient undergoes a mobile-bearing UKA. When compared to a fixed-bearing metal- backed unicompartmental arthroplasty, this procedure is associated with a 1- higher risk for failure attributable to wear. 2- higher risk for failure attributable to bearing spinout. 3- lower risk for loosening.
  • 44.
    AAOS 2016 AdultReconstructive Surgery of the Hip and Knee 43 4- lower risk for arthritic progression of the lateral compartment. PREFERRED RESPONSE: 2- higher risk for failure attributable to bearing spinout. DISCUSSION A patient with medial compartment arthritis and a correctable varus deformity with no clinical or examination findings of knee instability most likely has an intact ACL. The pattern of medial compartment osteoarthritis most commonly associated with an intact ACL is that of anteromedial osteoarthritis. An incompetent ACL is commonly associated with a fixed varus deformity and radiographic signs of posteromedial wear. An incompetent ACL is a relative contraindication to a mobile-bearing UKA. When evaluating patients for a mobile-bearing UKA, a stress radiograph will allow the orthopaedic surgeon to determine the correction of the varus deformity and assess the lateral compartment. Inability to fully correct the deformity or narrowing of the lateral compartment with valgus stress should influence the surgeon against UKA. Joint registries across the world have shown decreased survivorship associated with TKA and UKA in men compared to other age groups, but survivorship is lower for UKA than TKA. No studies to date have shown differences in survivorship between fixed- or mobile-bearing UKAs. The complication that is unique to mobile-bearing UKA is bearing spinout, and this occurs in fewer than 1% of mobile-bearing UKA procedures. In vivo and in vitro polyethylene wear in mobile-bearing UKA is low. Arthritis progression may be faster for mobile-bearing UKAs than fixed-bearing UKAs.
  • 45.
    AAOS 2016 AdultReconstructive Surgery of the Hip and Knee 44 Figure 56a Figure 56b Figure 56c Question 56 of 200 Figures 56a through 56c are the radiographs of a 65-year-old man with a 6-week history of severe left hip pain. He had a left total hip arthroplasty 19 years ago and a femoral revision 10 years ago. His erythrocyte sedimentation rate (ESR) and C-reactive protein (CRP) level are within defined limits. What is the most appropriate next step? 1- A trial of limited weight-bearing activity and physical therapy 2- A triple-phase bone scan to evaluate for loosening 3- Acetabular component revision 4- Femoral component revision PREFERRED RESPONSE: 4- Femoral component revision DISCUSSION
  • 46.
    AAOS 2016 AdultReconstructive Surgery of the Hip and Knee 45 The radiographs reveal a fracture of the extensively porous coated stem. This entity, although rare, is associated with higher risk for occurrence when thin stems are implanted in patients with thick cortices and there is a lack of proximal stable support for the prosthesis. Nonsurgical care likely would not help this patient. A triple-phase bone scan would not add any information that would change the treatment plan. Question 57 of 200 At the time of revision knee arthroplasty, a surgeon performs a rectus snip to gain exposure to the knee. When compared to a standard parapatellar approach, what is the expected outcome? 1- Improvement in range of motion 2- Reduction in range of motion 3- Increase in extensor mechanism lag 4- No differences in motion and strength PREFERRED RESPONSE: 4- No differences in motion and strength DISCUSSION Rectus snip during total knee arthroplasty has no effect on motion or strength at long-term follow-up. It has not been associated with extensor mechanism lag.
  • 47.
    AAOS 2016 AdultReconstructive Surgery of the Hip and Knee 46 Figure 58 Figure 59a Figure 59b
  • 48.
    AAOS 2016 AdultReconstructive Surgery of the Hip and Knee 47 Figure 60a Figure 60b Figure 60c Figure 61 Figure 62a Figure 62b
  • 49.
    AAOS 2016 AdultReconstructive Surgery of the Hip and Knee 48 RESPONSES FOR QUESTIONS 58 THROUGH 62 1- Nerve palsy 2- Skin necrosis 3- Flexion instability 4- Patellar instability 5- Anterior knee pain 6- Malalignment Total knee arthroplasty (TKA) is performed to address each condition shown in Figures 58 through 62b. Which complication is most commonly associated with each image? Question 58 of 200 Figure 58 1- Nerve palsy 2- Skin necrosis 3- Flexion instability 4- Patellar instability 5- Anterior knee pain 6- Malalignment PREFERRED RESPONSE: 1- Nerve palsy Question 59 of 200 Figure 59a and Figure 59b 1- Nerve palsy 2- Skin necrosis 3- Flexion instability 4- Patellar instability 5- Anterior knee pain 6- Malalignment
  • 50.
    AAOS 2016 AdultReconstructive Surgery of the Hip and Knee 49 PREFERRED RESPONSE: 4- Patellar instability Question 60 of 200 Figure 60a through Figure 60c 1- Nerve palsy 2- Skin necrosis 3- Flexion instability 4- Patellar instability 5- Anterior knee pain 6- Malalignment PREFERRED RESPONSE: 2- Skin necrosis Question 61 of 200 Figure 61 1- Nerve palsy 2- Skin necrosis 3- Flexion instability 4- Patellar instability 5- Anterior knee pain 6- Malalignment PREFERRED RESPONSE: 5- Anterior knee pain Question 62 of 200 Figure 62a and Figure 62b 1- Nerve palsy 2- Skin necrosis 3- Flexion instability 4- Patellar instability
  • 51.
    AAOS 2016 AdultReconstructive Surgery of the Hip and Knee 50 5- Anterior knee pain 6- Malalignment PREFERRED RESPONSE: 6- Malalignment DISCUSSION Figure 58 reveals a posttraumatic valgus deformity. Correction of valgus with lateral soft- tissue release places tension on the peroneal nerve, resulting in an increased risk for nerve palsy. Figures 59a (lateral view) and 59b (Merchant view) illustrate juvenile rheumatoid arthritis with tibiofibular fusion and lateral patellar dislocation. Chronic patellar dislocation is associated with contracture of the lateral retinacular soft tissues and increased risk for patellar subluxation or dislocation after TKA. Extensor mechanism realignment, possibly including tibial tubercle osteotomy and/or proximal soft-tissue realignment, may be required during TKA to centralize the extensor mechanism. Figures 60a (anteroposterior [AP] view) and 60b (lateral view) reveal a fused knee in full extension. TKA after fusion is associated with multiple complications including skin necrosis, infection, and instability. The skin is contracted because of limited knee motion and has multiple scars (Figure 60c). Mobilization of the skin during and after knee arthroplasty can place excess tension on the soft tissues, resulting in skin necrosis and infection. Treatment consisting of prompt debridement and soft-tissue coverage, usually with medial gastrocnemius muscle transposition, is required. Figure 61 shows a knee with prior tibial tubercle fixation and marked patella infera. Shortening of the patellar ligament is associated with restricted knee motion. This may necessitate more extensile exposure using tibial tubercle osteotomy or rectus snip during TKA to obtain adequate surgical exposure. The inferior position of the patella can cause impingement between the patellar component and tibial insert, resulting in anterior knee pain. Restoring a more normal position of the patella may necessitate distal positioning of the femoral component as well as tibial tubercle osteotomy with proximal recession of the osteotomized tibial tubercle. Figures 62a (AP view of the distal femur) and 62b (AP view of the proximal femur) show a posttraumatic deformity with a large retained intramedullary rod. There is a varus distal femoral deformity that is not severe enough to necessitate extra-articular corrective osteotomy. However, intramedullary hardware precludes use of conventional intramedullary instrumentation, so computer navigation or patient-specific cutting guides will be necessary to orient the bone cuts and avoid implant malalignment. Question 63 of 200 Injury to the popliteal artery during total knee arthroplasty (TKA) is most likely when placing a sharp retractor 1- directly posterior to the posterior cruciate ligament (PCL).
  • 52.
    AAOS 2016 AdultReconstructive Surgery of the Hip and Knee 51 2- posteromedial to the PCL. 3- posterolateral to the PCL. 4- in the posteromedial corner of the knee. PREFERRED RESPONSE: 3- posterolateral to the PCL. DISCUSSION Vascular complications during TKA are rare but do occur. Traditionally, it was taught that the popliteal artery was situated posterior to the PCL; however, more recent anatomic dissections have demonstrated that this artery is usually posterolateral to the PCL. Question 64 of 200 A 30-year-old patient is indicated for distal femoral osteotomy. This procedure results in survivorship with 1- a functional result for at least 20 years. 2- a functional result that deteriorates within the first 10 years. 3- an eventual conversion to a constrained knee arthroplasty. 4- an eventual need for arthrodesis. PREFERRED RESPONSE: 2- a functional result that deteriorates within the first 10 years. DISCUSSION Distal femoral varus osteotomy (DFVO) is intended for patients younger than age 50, more active patients with isolated lateral compartment arthritis and valgus malalignment. Although the knee functional score improves at 1-year follow-up, the function scores significantly deteriorate at 10-year follow-up. At 15-year follow-up, the knee function further declines, resulting in an overall failure rate of 48.5%. DFVO provides longer lasting benefit in patients with better presurgical knee function. Total knee arthroplasty following DFVO provides improved function and successful outcomes. Standard posterior stabilized components provide satisfactory stability after appropriate ligament balancing without the need for stemmed or highly constrained implants for most patients.
  • 53.
    AAOS 2016 AdultReconstructive Surgery of the Hip and Knee 52 Figure 65a Figure 65b CLINICAL SITUATION FOR QUESTIONS 65 THROUGH 67 Figures 65a and 65b are the radiographs of an 80-year-old woman with long-standing knee pain who has failed nonsurgical treatment that includes a structured physical therapy program, nonsteroidal anti-inflammatory medications, and intra-articular steroid injections. Her radiographs reveal significant degenerative changes. She has experienced some cognitive decline during the last several years and poorly tolerates pain medications, but she remains very active. Question 65 of 200 Cognitive function following total knee arthroplasty (TKA) among elderly patients who receive either neuraxial or general anesthesia is 1- less affected with neuraxial anesthesia. 2- less affected with general anesthesia. 3- unchanged with either anesthesia type. 4- generally worsened with both neuraxial and general anesthesia.
  • 54.
    AAOS 2016 AdultReconstructive Surgery of the Hip and Knee 53 PREFERRED RESPONSE: 1- less affected with neuraxial anesthesia. Question 66 of 200 To reduce the patient’s use of narcotics after surgery, which anesthetic regimen would be most appropriate? 1- Spinal anesthesia with a peripheral nerve block 2- Spinal anesthesia without a peripheral nerve block 3- General anesthesia without a peripheral nerve block 4- General anesthesia with a long-acting mu opioid agonist PREFERRED RESPONSE: 1- Spinal anesthesia with a peripheral nerve block Question 67 of 200 Which treatment is associated with decreased complications related to femoral nerve blocks for TKA? 1- Knee immobilizer 2- Compression stockings 3- Tranexamic acid 4- Celecoxib PREFERRED RESPONSE: 1- Knee immobilizer DISCUSSION TKA among elderly patients can be problematic, considering their potential for complex comorbidities including diminished cognitive function. As patients age, their tolerance for certain medications diminishes. Regional anesthesia is an important adjunct to a multimodal pain program, which can reduce narcotic pain medication use and improve cognitive function through less reliance on systemic medications. With regional pain management such as femoral nerve blocks comes potential for an increase in complications such as falls. Femoral nerve blocks improve pain but also have a large impact on quadriceps and motor function, which places patients at higher risk for falls.
  • 55.
    AAOS 2016 AdultReconstructive Surgery of the Hip and Knee 54 Question 68 of 200 A 47-year-old obese man with a body mass index of 42 comes in with left knee pain 1 year after undergoing an uncomplicated left medial unicompartmental knee arthroplasty (UKA). Radiographs show a loose tibial component in varus. What is the most appropriate next step to treat this failed construct? 1- Aspiration of joint fluid to obtain a cell count 2- Revision of the UKA using primary total knee arthroplasty (TKA) components 3- Revision of the UKA using a revision TKA with augments 4- Obtain erythrocyte sedimentation rate (ESR) and C-reactive protein (CRP) levels PREFERRED RESPONSE: 4- Obtain erythrocyte sedimentation rate (ESR) and C- reactive protein (CRP) levels DISCUSSION This patient likely is experiencing failure of his UKA secondary to poor patient selection. This young, heavy man likely loosened his component secondary to the ongoing varus alignment of the knee and his elevated weight. Despite this likely scenario, the next step is to determine if an infection is the cause of his pain. Prior to obtaining an aspiration, the surgeon can order an ESR and CRP to determine if aspiration is warranted. If laboratory studies are unremarkable, the surgeon likely can forgo the aspiration and proceed to a revision TKA with possible augments on standby.
  • 56.
    AAOS 2016 AdultReconstructive Surgery of the Hip and Knee 55 Figure 69a Figure 69b Figure 69c Figure 70a
  • 57.
    AAOS 2016 AdultReconstructive Surgery of the Hip and Knee 56 Figure 70b Figure 70c Figure 70d CLINICAL SITUATION FOR QUESTIONS 69 THROUGH 72 Figures 69a through 69c are the radiograph and MR images of a 37-year-old woman who has had a 2-month history of left hip pain. Question 69 of 200 Which single symptom and examination finding combination is most likely in this scenario? 1- Sitting pain with flexion abduction and external rotation of the hip
  • 58.
    AAOS 2016 AdultReconstructive Surgery of the Hip and Knee 57 2- Groin pain and pain with internal rotation and adduction while supine with the hip and knee flexed 90 degrees 3- Clicking and abductor lurch 4- Buttock pain and pain with hip extension, adduction, and external rotation while prone PREFERRED RESPONSE: 2- Groin pain and pain with internal rotation and adduction while supine with the hip and knee flexed 90 degrees Question 70 of 200 Measurements have been taken on the radiographs shown in Figures 70a through 70d. Which measurement is abnormal? 1- Head center position 2- Tonnis angle 3- Lateral center edge angle 4- Acetabular inclination PREFERRED RESPONSE: 3- Lateral center edge angle Question 71 of 200 Based on the patient’s continued pain, her imitations, the previously noted radiographic findings, and failure of physical therapy and nonsteroidal anti-inflammatory treatment, what is the best surgical option? 1- Arthroscopic labral repair 2- Arthroscopy with pincer resection 3- Periacetabular osteotomy (PAO) 4- Hip arthroscopy and PAO PREFERRED RESPONSE: 1- Arthroscopic labral repair Question 72 of 200
  • 59.
    AAOS 2016 AdultReconstructive Surgery of the Hip and Knee 58 Which presurgical condition is most commonly associated with a poor outcome after a hip joint salvage procedure? 1- Age older than 40 2- Body mass index higher than 30 3- Tonnis grade of 2 or higher 4- Outerbridge grade of III or IV PREFERRED RESPONSE: 3- Tonnis grade of 2 or higher DISCUSSION MR imaging reveals an anterior labral tear, and the radiograph shows minimal arthritis with possible dysplasia. The most common pain location among patients with a labral tear is the groin, and the most common physical finding is a positive impingement test result. Pain with sitting, clicking, and buttock pain are frequently described by patients with a labral tear, but these symptoms are less common than groin pain. A positive posterior impingement test finding is more common in patients with a posterior labral tear. The lateral center edge angle is pictured in Figure 70a. This angle is considered abnormal when it is less than 25 degrees, which may indicate inadequate head coverage. The Tonnis angle and acetabular inclination are different terms for the same angle as seen in Figure 70b. The normal value is between 0 and 10 degrees. The head center position is the distance from the medial aspect of the femoral head to the ilioischial line, as measured in Figure 70c. The head is considered lateralized if the measurement exceeds 10 mm. Figure 70d marks the outline of the anterior and posterior wall, confirming the absence of a cross-over sign. A cross-over sign is present when the 2 lines cross below the lateral aspect of the acetabulum, and it indicates acetabular retroversion. An arthroscopy to treat the labral tear is probably the best option for this patient. A PAO with prior hip arthroscopy might be considered based on the mildly increased anterior center edge angle; the Tonnis angle finding is normal, the femoral head is not lateralized, and the patient is approaching age 40. A PAO without addressing the anterior labral tear could lead to failure and is not the best choice. The patient does not have an acetabular pincer lesion and would not benefit from an acetabular edge resection. Although age beyond 40 years and body mass index higher than 30 can adversely affect clinical outcomes after joint preservation procedures (PAO, hip arthroscopy, and femoral acetabular impingement surgery), the presence of hip arthritis on presurgical radiographs is the most commonly mentioned cause of failed hip joint preservation surgery. Tonnis grade is a radiographic measure of hip arthritis. A higher Outerbridge score is associated with more frequent poor outcomes after hip arthroscopy; however, the Outerbridge cartilage score is
  • 60.
    AAOS 2016 AdultReconstructive Surgery of the Hip and Knee 59 determined by direct visualization at the time of surgery. An Outerbridge score cannot be determined presurgically. Question 73 of 200 Clinical studies on the use of topical and intravenous (IV) forms of tranexamic acid (TXA) administration demonstrate which results? 1- IV administration of TXA is substantially more efficacious in minimizing blood loss than topical administration. 2- IV administration of TXA places high-risk patients such as those with coronary stents at an unacceptable risk for a cardiac event during the perioperative period. 3- IV administration of TXA decreases intrasurgical blood loss but has not been shown to decrease postsurgical transfusion rates. 4- Both IV and topical administration of TXA decrease intrasurgical blood loss and postsurgical transfusion rates. PREFERRED RESPONSE: 4- Both IV and topical administration of TXA decrease intrasurgical blood loss and postsurgical transfusion rates. DISCUSSION Numerous studies have demonstrated efficacy of both IV and topical administration of TXA for decreasing blood loss and transfusion rates. Several studies have shown no significant difference between TXA IV and topical administration in decreasing blood loss or lowering transfusion rates. Inconclusive evidence shows that IV administration of TXA places individuals at higher risk for a thromboembolic event. Both IV and topical TXA are equally effective in decreasing blood loss and minimizing transfusion rates.
  • 61.
    AAOS 2016 AdultReconstructive Surgery of the Hip and Knee 60 Figure 74a Figure 74b Figure 74c Question 74 of 200 Figures 74a through 74c are the postsurgical radiographs of a 74-year-old man who has stiffness in his right knee 8 weeks after undergoing elective right total knee arthroplasty (TKA). The surgery was performed for primary varus osteoarthritis and was uncomplicated. His range of motion is 5 to 80 degrees. What is the most appropriate next treatment step? 1- Manipulation under anesthesia (MUA) 2- Arthroscopic lysis of adhesions 3- Open arthrolysis of adhesions 4- Revision TKA PREFERRED RESPONSE: 1- Manipulation under anesthesia (MUA) DISCUSSION Stiffness following TKA is a disabling complication. One option involves MUA, a valuable technique with which to increase range of motion after TKA for patients with stiff knees. A systematic review of the literature was performed to identify studies that reported the clinical outcomes and measured range of motion for patients undergoing MUA. Fourteen studies (913 patients) reported range of motion results following MUA at up to 10-year follow- up. The review demonstrated that MUA for a stiff primary TKA is an efficacious procedure to restore range of motion, and it carries a low complication rate. Early gains in motion were
  • 62.
    AAOS 2016 AdultReconstructive Surgery of the Hip and Knee 61 reported to be maintained in the long term. A second review systematically evaluated the outcomes of 4 treatments for arthrofibrosis that develops subsequent to TKA (MUA, arthroscopic debridement, open surgical release, and revision TKA). This study showed that there were no significant differences in the Knee Society Score of the 4 treatment modalities. Although open surgical release resulted in the greatest increase in range of motion, there were methodological study limitations because the majority of the papers were case series, which decreased the quality of the evidence. Response 1 is correct because the TKA appears appropriately sized and is well aligned. Responses 2 and 3 are incorrect, considering the early time frame (8 weeks) from initial surgery. Although the patella is unresurfaced in the radiographs, there is no indication for revision TKA (even secondary patellar resurfacing) at this early juncture. Question 75 of 200 During total hip arthroplasty, which characteristic of irradiated (10 Mrad) and subsequently melted highly cross-linked polyethylene should provide a more wear-resistant construct than traditional gamma-irradiated (2.5-4 Mrad)-in-air polyethylene mated with the same head? 1- Resistance to adhesive wear 2- Resistance to abrasive wear 3- Resistance to fatigue wear 4- Resistance to creep PREFERRED RESPONSE: 1- Resistance to adhesive wear DISCUSSION Highly cross-linked polyethylene makes material resistant to adhesive wear. Abrasive wear from third bodies does not decrease wear. The fatigue strength of this material is inferior to traditional polyethylene, and its resistance to creep is the same, if not lower, than that of traditional polyethylene.
  • 63.
    AAOS 2016 AdultReconstructive Surgery of the Hip and Knee 62 Figure 76a Figure 76b Figure 77a Figure 77b
  • 64.
    AAOS 2016 AdultReconstructive Surgery of the Hip and Knee 63 Figure 78a Figure 78b Figure 79a Figure 79b
  • 65.
    AAOS 2016 AdultReconstructive Surgery of the Hip and Knee 64 Figure 80a Figure 80b RESPONSES FOR QUESTIONS 76 THROUGH 80 1- Cemented full revision 2- Cemented femoral revision 3- Cemented acetabular revision 4- Cementless full revision 5- Cementless femoral revision without an extended trochanteric osteotomy 6- Cementless femoral revision with an extended trochanteric osteotomy 7- Cementless acetabular revision 8- Isolated liner/head exchange 9- Isolated liner/head exchange with cementing of the liner Select the most appropriate treatment for each clinical scenario. Question 76 of 200 A 72-year-old man with a history of prior revision for a loose femoral component (Figures 76a and 76b) 1- Cemented full revision 2- Cemented femoral revision
  • 66.
    AAOS 2016 AdultReconstructive Surgery of the Hip and Knee 65 3- Cemented acetabular revision 4- Cementless full revision 5- Cementless femoral revision without an extended trochanteric osteotomy 6- Cementless femoral revision with an extended trochanteric osteotomy 7- Cementless acetabular revision 8- Isolated liner/head exchange 9- Isolated liner/head exchange with cementing of the liner PREFERRED RESPONSE: 6- Cementless femoral revision with an extended trochanteric osteotomy Question 77 of 200 A 65-year-old woman with intraoperative findings of well-fixed components and a deficient liner locking mechanism (Figures 77a and 77b) 1- Cemented full revision 2- Cemented femoral revision 3- Cemented acetabular revision 4- Cementless full revision 5- Cementless femoral revision without an extended trochanteric osteotomy 6- Cementless femoral revision with an extended trochanteric osteotomy 7- Cementless acetabular revision 8- Isolated liner/head exchange 9- Isolated liner/head exchange with cementing of the liner PREFERRED RESPONSE: 7- Cementless acetabular revision Question 78 of 200 A 68-year-old woman with a history of thigh pain on startup since her primary total hip arthroplasty (THA) 1 year ago (Figures 78a and 78b) 1- Cemented full revision
  • 67.
    AAOS 2016 AdultReconstructive Surgery of the Hip and Knee 66 2- Cemented femoral revision 3- Cemented acetabular revision 4- Cementless full revision 5- Cementless femoral revision without an extended trochanteric osteotomy 6- Cementless femoral revision with an extended trochanteric osteotomy 7- Cementless acetabular revision 8- Isolated liner/head exchange 9- Isolated liner/head exchange with cementing of the liner PREFERRED RESPONSE: 5- Cementless femoral revision without an extended trochanteric osteotomy Question 79 of 200 A 54-year-old woman who had a THA 18 years ago and has mild pain with activities (Figures 79a and 79b) 1- Cemented full revision 2- Cemented femoral revision 3- Cemented acetabular revision 4- Cementless full revision 5- Cementless femoral revision without an extended trochanteric osteotomy 6- Cementless femoral revision with an extended trochanteric osteotomy 7- Cementless acetabular revision 8- Isolated liner/head exchange 9- Isolated liner/head exchange with cementing of the liner PREFERRED RESPONSE: 8- Isolated liner/head exchange Question 80 of 200 An 82-year-old woman who had a THA 14 years ago and has difficulty bearing weight (Figures 80a and 80b)
  • 68.
    AAOS 2016 AdultReconstructive Surgery of the Hip and Knee 67 1- Cemented full revision 2- Cemented femoral revision 3- Cemented acetabular revision 4- Cementless full revision 5- Cementless femoral revision without an extended trochanteric osteotomy 6- Cementless femoral revision with an extended trochanteric osteotomy 7- Cementless acetabular revision 8- Isolated liner/head exchange 9- Isolated liner/head exchange with cementing of the liner PREFERRED RESPONSE: 6- Cementless femoral revision with an extended trochanteric osteotomy DISCUSSION Figures 76a and 76b show likely undersizing of the stem with subsidence. Revision, with possibly a modular fluted stem, is indicated. Extended trochanteric osteotomy is indicated to avoid trochanteric fracture and to facilitate fully coated stem removal, especially if trephines are needed. It is unlikely cemented fixation after multiple revisions would provide reliable long-term survivorship. Figures 77a and 77b show an older-style cementless acetabular component with severe liner wear and extensive osteolysis. The well-fixed acetabular component with poor component position and a poor locking mechanism is a good indication for cementless acetabular revision. Figures 78a and 78b reveal likely subsidence and lack of ongrowth of the femoral component. Cementless femoral revision offers the best chance for long-term survivorship. An osteotomy likely is not necessary for removal or implantation. Figures 79a and 79b reveal severe polyethylene wear with well-fixed acetabular and femoral components. This is a good indication for a head and liner exchange. Figures 80a and 80b show a loose cemented stem. Cementless fixation offers good long- term outcomes in this case. An osteotomy is likely necessary in this case because of the varus remodeling of the proximal femur, which would increase the chance of a greater trochanteric fracture with extraction of the existing stem and implantation of the revision stem. Question 81 of 200
  • 69.
    AAOS 2016 AdultReconstructive Surgery of the Hip and Knee 68 Which modality has the broadest application for reduction of postsurgical transfusion? 1- Regional anesthesia 2- Tranexamic (TXA) acid administration 3- Reduced transfusion trigger 4- Hypotensive anesthesia PREFERRED RESPONSE: 2- Tranexamic (TXA) acid administration DISCUSSION TXA is easy to administer, inexpensive, and safe for virtually all patients. Multiple studies have demonstrated transfusion rates lower than 3% for total knee arthroplasty and lower than 10% for total hip arthroplasty. Regional and hypotensive anesthesia effectively reduce transfusion; however, they cannot be used in as wide a range of patients as TXA. A reduced transfusion trigger must be considered along with patient symptoms when determining the need for transfusion. Figure 82 Question 82 of 200
  • 70.
    AAOS 2016 AdultReconstructive Surgery of the Hip and Knee 69 Which wear mechanism is most likely responsible for the wear damage on the modular tibial insert retrieval shown in Figure 82? 1- Adhesive 2- Abrasive 3- Fatigue 4- Creep PREFERRED RESPONSE: 3- Fatigue DISCUSSION The figure shows the top side of a retrieved tibial liner. Pitting and delamination, which are associated with fatigue wear, are noted. Creep is deformation without wear. Adhesive and abrasive wear is associated with removal of material on the back side of modular tibial components. CLINICAL SITUATION FOR QUESTIONS 83 THROUGH 87 A bilateral cemented total knee arthroplasty (TKA) was performed on an otherwise healthy 63-year-old woman. The surgery and immediate postsurgical course were uneventful. Two days after surgery, while in physical therapy at the hospital, the patient’s oxygen saturation is noted at 92%. Question 83 of 200 What is the most reasonable next step? 1- Multidetector CT scan 2- Ventilation-perfusion scan 3- Reassess on supplemental oxygen 4- Anteroposterior and lateral chest radiographs PREFERRED RESPONSE: 3- Reassess on supplemental oxygen
  • 71.
    AAOS 2016 AdultReconstructive Surgery of the Hip and Knee 70 Question 84 of 200 What is the incidence of pulmonary embolism after bilateral TKA under a single anesthetic? 1- Lower than 0.5% 2- Between 0.5% and 1.5% 3- Between 5% and 10% 4- Higher than 10% PREFERRED RESPONSE: 2- Between 0.5% and 1.5% Question 85 of 200 The use of pharmacologic agents and/or mechanical compressive devices for the prevention of venous thromboembolism in patients undergoing elective hip or knee arthroplasty who are not at elevated risk beyond risk associated with the surgery for venous thromboembolism or bleeding was assigned which grade of recommendation by the 2011 AAOS Clinical Practice Guideline, Preventing Venous Thromboembolic Disease in Patients Undergoing Elective Hip and Knee Arthroplasty? 1-- Strong 2- Moderate 3- Limited 4- Inconclusive PREFERRED RESPONSE: 2- Moderate Question 86 of 200 The patient knows that TXA was used as part of the blood conservation strategy for her surgery. She asks you if TXA increases risk for pulmonary embolism. What is the most appropriate response? 1- TXA increases risk for deep venous thrombosis but not pulmonary embolism after TKA. 2- TXA does not increase risk for pulmonary embolism after TKA. 3- TXA increases risk for pulmonary embolism, but the advantages outweigh the risks. 4- The risk for pulmonary embolism after TKA involving TXA has never been studied.
  • 72.
    AAOS 2016 AdultReconstructive Surgery of the Hip and Knee 71 PREFERRED RESPONSE: 2- TXA does not increase risk for pulmonary embolism after TKA. Question 87 of 200 Which gene mutation or polymorphism has been shown to most increase the risk for venous thromboembolic disease after elective total joint arthroplasty? 1- Factor V Leiden 2- Prothrombin G20210A 3- MTHFR/C677T/TT 4- Lupus anticoagulant PREFERRED RESPONSE: 3- MTHFR/C677T/TT DISCUSSION Simultaneous bilateral TKA accounts for approximately 6% of the TKAs performed in the United States and is more frequently performed for women. The incidence of pulmonary embolism in this group was between 0.57 and 1.14, according to a 1999 to 2008 registry-based study in the United States. There was not a significant change in incidence during that period. Hypoxemia alone is not an indication for advanced testing for pulmonary embolism. Winters and associates demonstrated that to avoid unnecessary testing, the use of a hypoxia algorithm is a reasonable first step. The use of pharmacologic agents and/or mechanical compressive devices for the prevention of venous thromboembolism in patients undergoing elective hip or knee arthroplasty and who are not at elevated risk beyond that of the surgery itself for venous thromboembolism or bleeding was given a Moderate grade of recommendation in the 2011 AAOS Clinical Practice Guideline, Preventing Venous Thromboembolic Disease in Patients Undergoing Elective Hip and Knee Arthroplasty. Various genetic factors are associated with increased risk for venous thromboembolic disease after TKA. A recent meta-analysis evaluated the genetic and polymorphism profiles associated with venous thromboembolism after arthroplasty. The mutation MTHFR/C677T/TT carried the highest risk (OR 2.36; 95% CI, 1.03-5.42, P = 0.04) for the gene mutations and polymorphisms studied. With the increased use of TXA as a blood-conservation strategy for total joint arthroplasty, there is a theoretical concern about an increased risk for venous thromboembolic disease. A recent study by Duncan and associates included 13,262 elective total joint arthroplasty procedures and demonstrated that TXA does not increase the risk of venous thromboembolism.
  • 73.
    AAOS 2016 AdultReconstructive Surgery of the Hip and Knee 72 Figure 88 Question 88 of 200 Figure 88 is the radiograph of a 68-year-old man who fell 3 weeks after undergoing a successful left primary total hip arthroplasty. He is experiencing a substantial increase in pain and an inability to bear weight. What is an appropriate treatment plan? 1- Open reduction and internal fixation (ORIF) of the fracture 2- Remove the current stem, femur ORIF, and insertion of a longer revision stem 3- Femur ORIF with cables and strut graft, leaving the current stem in situ 4- Femur ORIF combined reimplantation of the primary component
  • 74.
    AAOS 2016 AdultReconstructive Surgery of the Hip and Knee 73 PREFERRED RESPONSE: 2- Remove the current stem, femur ORIF, and insertion of a longer revision stem DISCUSSION Based on the fact that the fracture is occurring around the stem (type B) and the stem is clearly loose (type B2), the appropriate treatment is removal of the in situ stem (which is loose), ORIF of the femur (cerclage wires, cables, or a plate would be acceptable), and insertion of a longer revision stem (a tapered fluted modular titanium or fully porous coated cylindrical stem) to bypass the fracture. All other responses are incorrect because they provide inappropriate treatment options for a Vancouver B2 fracture. Question 89 of 200 A patient has a painful metal-on-metal (MOM) left total hip arthroplasty (THA). Which test(s) best correlate with prognosis if this patient is having a reaction to metal debris? 1- Erythrocyte sedimentation rate, C-reactive protein, and white blood cell count 2- Serum cobalt and chromium ion levels 3- Metal artifact reduction sequence (MARS) MRI 4- CT scan of pelvis PREFERRED RESPONSE: 3- Metal artifact reduction sequence (MARS) MRI DISCUSSION Painful MOM THA and taper corrosion can cause substantial damage to a patient's hip if left untreated. In this case, the workup for a painful MOM THA starts the same as a workup for a painful metal-on-polyethylene bearing couple. Infection must be ruled out in every case with a set of inflammatory markers. If these markers are remotely elevated, this is an indication for joint aspiration. In patients with metal debris, the pathology report often indicates too many cells to count or cellular debris. Metal ion levels do not seem to correlate with prognosis. There are well-functioning patients with high ion levels and poor-functioning patients with low ion levels. Advanced imaging with MARS MRI to evaluate for peritrochanteric fluid collection, a soft-tissue mass, or synovial/capsular hypertrophy will reveal signs of a metal reaction that indicate the need for a revision discussion. A CT scan can show more advanced bony destruction as an indicator of poor prognosis. These films can be used to determine the need for a structural graft or augments for reconstruction of bone loss attributable to metal debris.
  • 75.
    AAOS 2016 AdultReconstructive Surgery of the Hip and Knee 74 Question 90 of 200 A 58-year-old man with insulin-dependent diabetes mellitus underwent primary total knee arthroplasty (TKA) and developed a full-thickness skin slough 3 cm x 4 cm with postsurgical exposure of the patella tendon. There is no change in the appearance of the wound after 2 weeks of wet-to-dry dressing changes. What is the best next treatment step for the soft-tissue defect? 1- Continue dressing changes 2- Split-thickness skin graft 3- Full-thickness skin graft 4- Local rotational flap PREFERRED RESPONSE: 4- Local rotational flap DISCUSSION Following TKA, if wound healing does not occur and deep soft tissues such as the patella tendon are exposed, local rotational flaps are the procedure of choice and should be performed relatively early following the recognition of a soft-tissue wound-healing problem. Fortunately, in the setting of TKA, gastrocnemius flaps are an excellent source for wound coverage of the proximal tibia. RESPONSES FOR QUESTIONS 91 THROUGH 94 1- Isolated head and liner revision 2- 2-stage exchange 3- Acute hemodialysis 4- Femoral component revision 5- Acetabular component revision 6- Revision total hip (all components) Match the most appropriate treatment listed above with each clinical scenario described below. Question 91 of 200 A 48-year-old has had 6 weeks of groin pain and squeaking with motion of the hip joint 2 years after undergoing total hip arthroplasty (THA) with a ceramic-on-ceramic bearing surface
  • 76.
    AAOS 2016 AdultReconstructive Surgery of the Hip and Knee 75 using a modular acetabular component. Imaging of the hip shows an asymmetric position of the femoral head within the acetabular component. Erythrocyte sedimentation rate (ESR) and C-reactive protein (CRP) levels are within normal limits. Implants are in appropriate position and not substantially damaged. 1- Isolated head and liner revision 2- 2-stage exchange 3- Acute hemodialysis 4- Femoral component revision 5- Acetabular component revision 6- Revision total hip (all components) PREFERRED RESPONSE: 1- Isolated head and liner revision Question 92 of 200 A 55-year-old man has groin pain and a limp with Trendelenburg gait 5 years after undergoing THA with a metal-on-metal bearing surface and a modular acetabular component. Serum cobalt and chromium ion levels are 55 ppb and 42 ppb, respectively. Acetabular inclination measures 60 degrees. MR images reveal fluid collection and soft-tissue changes. 1- Isolated head and liner revision 2- 2-stage exchange 3- Acute hemodialysis 4- Femoral component revision 5- Acetabular component revision 6- Revision total hip (all components) PREFERRED RESPONSE: 5- Acetabular component revision Question 93 of 200 A 60-year-old has had 6 months of groin pain and a limp with Trendelenburg gait 5 years after undergoing THA with a metal-on-polyethylene bearing surface. Serum cobalt and chromium ion levels are 7.8 ppb and 1.1 ppb, respectively. Cross-sectional imaging shows a 3-cm pseudotumor.
  • 77.
    AAOS 2016 AdultReconstructive Surgery of the Hip and Knee 76 1- Isolated head and liner revision 2- 2-stage exchange 3- Acute hemodialysis 4- Femoral component revision 5- Acetabular component revision 6- Revision total hip (all components) PREFERRED RESPONSE: 1- Isolated head and liner revision Question 94 of 200 A 70-year-old man has a posterior dislocation 20 years after undergoing cementless THA with a metal-on-polyethylene bearing. Acetabular inclination is 55 degrees with neutral version. This is his third dislocation, and he has been treated with closed reduction 3 times during the past month. His ESR is 42 mm/h (reference range [rr], 0-20 mm/h) and CRP level is 16.2 mg/L (rr, 0.08-3.1 mg/L). Joint aspiration reveals a cell count of 865 cells (55% neutrophils). 1- Isolated head and liner revision 2- 2-stage exchange 3- Acute hemodialysis 4- Femoral component revision 5- Acetabular component revision 6- Revision total hip (all components) PREFERRED RESPONSE: 5- Acetabular component revision DISCUSSION Treatment options for various pathologic conditions after THA can be challenging, and there are often multiple potential options. Question 91 involves a patient who has fractured a modular ceramic acetabular liner, and an isolated head and liner exchange should be sufficient. Question 92 involves a patient with markedly elevated serum metal ions and abductor dysfunction, suggesting poor bearing function and a probable adverse local tissue reaction (ALTR). Additionally, the acetabular component position is suboptimal, and complete
  • 78.
    AAOS 2016 AdultReconstructive Surgery of the Hip and Knee 77 acetabular revision would be appropriate. Question 93 involves a patient with elevated serum metal ions, with cobalt disproportionately higher than chromium in a roughly 7:1 ratio, suggesting corrosive changes at the prosthetic femoral neck (trunnionosis). Cross-sectional imaging continues to be a key part of the evaluation and treatment of patients with metal reactions. This patient’s pain and Trendelenburg gait are suggestive of ALTR. An isolated head and liner exchange should be performed, typically using a ceramic head and titanium sleeve adapter. Question 94 involves late, recurrent instability, probably related to bearing surface wear and acetabular component position. Continued nonsurgical management is unlikely to succeed at this point, so it would be appropriate to proceed with acetabular component revision. Question 95 of 200 When compared to patients with a body mass index (BMI) lower than 35, patients with a BMI above 40 who undergo primary total hip arthroplasty (THA) and total knee arthroplasty (TKA) are likely to have 1- smaller incisions. 2- increased wound complications. 3- fewer 30- and 90-day readmissions. 4- lower rates of patient satisfaction. PREFERRED RESPONSE: 2- increased wound complications. DISCUSSION The obesity epidemic is increasing, and the number of patients with a BMI higher than 35 undergoing THA and TKA is increasing. Controversy exists regarding the optimal BMI cutoff and the ability to perform joint replacements safely in patients who are morbidly obese. Several clinical series as well as national database analyses have shown that morbidly obese patients undergoing THA/TKA are at increased risk for wound complications and 30- and 90-day readmissions. These patients’ incisions are typically larger because of the size of the soft-tissue envelope; although their clinical scores following successful THA/TKA often are lower than scores for controls, the overall change in clinical function and satisfaction is equivalent among nonobese and obese patients.
  • 79.
    AAOS 2016 AdultReconstructive Surgery of the Hip and Knee 78 Figure 96a Figure 96b Figure 96c CLINICAL SITUATION FOR QUESTIONS 96 THROUGH 99 Figures 96a through 96c are the anteroposterior and lateral radiographs of a 64-year-old man with long-standing right knee osteoarthritis and pain unresponsive to nonsurgical treatment. This patient is scheduled for navigated cruciate-retaining right total knee arthroplasty. His range of motion is 20 to 120 degrees before surgery. Following bone resections and release of the posterolateral capsule and iliotibial band the knee is stable and extends fully, but during knee flexion there is lift-off of the anterior portion of the trial insert. Alignment is neutral to the mechanical axis. A distal femoral medial resection involved 9 mm of bone with a 9-mm-thick implant. An appropriate tibial resection was perpendicular to the long axis, and the posterior tibial slope was 7 degrees. Question 96 of 200 What is the best next step? 1- Increased distal femoral resection 2- Recession of the posterior cruciate ligament (PCL) 3- Use of a polyethylene insert with better sagittal conformity 4- Use of a thinner polyethylene insert
  • 80.
    AAOS 2016 AdultReconstructive Surgery of the Hip and Knee 79 PREFERRED RESPONSE: 2- Recession of the posterior cruciate ligament (PCL) Question 97 of 200 Following treatment, the knee extends fully with good stability in extension, but there is increased anterior translation in flexion. The most appropriate next step is to 1- increase polyethylene thickness. 2- increase distal femur resection and joint line elevation. 3- exchange to a polyethylene insert with more sagittal conformity. 4- perform posterior femoral resection and downsize the femoral implant. PREFERRED RESPONSE: 3- exchange to a polyethylene insert with more sagittal conformity. Question 98 of 200 What is the most likely early postsurgical complication for this patient? 1- Knee dislocation 2- Peroneal nerve palsy 3- Patella fracture 4- Supracondylar fracture PREFERRED RESPONSE: 2- Peroneal nerve palsy Question 99 of 200 After surgery, this patient continues to experience pain and swelling of the knee with recurrent effusions. He returns to the office with continued pain 2 years after surgery. He describes instability, particularly when descending stairs. Upon examination, there is range of motion from 0 to 120 degrees with no extensor lag. The knee is stable to varus and valgus stress in extension, but there is flexion instability in both the anterior-posterior direction and in the varus-valgus direction. Bracing leads to a slight decrease in symptoms but is not well tolerated. Isokinetic testing demonstrates decreased knee extension velocity at mid push.
  • 81.
    AAOS 2016 AdultReconstructive Surgery of the Hip and Knee 80 Radiographs demonstrate well-aligned and fixed knee implants. An infection workup is negative. What is the most appropriate surgical intervention at this time? 1- Tibial polyethylene exchange 2- Revision of the femoral and tibial components and conversion to a posterior stabilized insert 3- Revision of femoral and tibial components to a constrained rotating hinge prosthesis 4- Isolated femoral component revision and upsizing the femoral implant with a new PCL- retaining polyethylene insert PREFERRED RESPONSE: 2- Revision of the femoral and tibial components and conversion to a posterior stabilized insert DISCUSSION Video 99 for reference This patient has valgus knee alignment, and, after undergoing appropriate bone resections and soft-tissue balancing, has demonstrated a tight PCL on trial reduction as evidenced by lift- off of the trial insert as described by Scott and Chmell. The appropriate maneuver is PCL recession with partial release of tight (usually anterolateral) PCL fibers. However, for this patient, instability resulted in increased anterior translation. At this stage, the options are to convert to either a deeper-dish insert with increased sagittal conformity or a posterior stabilized insert. The only appropriate choice among the responses is use of an insert with increased sagittal conformity to prevent excessive anterior translation. Increasing the polyethylene could improve stability in flexion, but, considering there is good stability in extension, this likely would lead to an inability to achieve full extension. The patient’s valgus deformity, flexion contracture, correction with release of the iliotibial band, and posterolateral capsule predispose him to increased risk for peroneal nerve palsy. His symptoms at follow-up suggest knee flexion
  • 82.
    AAOS 2016 AdultReconstructive Surgery of the Hip and Knee 81 instability with pain, swelling, and difficulty descending stairs. Considering his history, an incompetent PCL must be considered. Revision of the knee to a posterior stabilized or nonlinked constrained condylar implant depending on the condition of the ligaments likely is needed to address his symptoms. The difference in extension vs flexion stability makes polyethylene exchange a poor option. There is no reason to believe a constrained rotating hinge design is necessary. Repeat use of a PCL-retaining insert is not recommended. Figure 100a Figure 100b Question 100 of 200 Figures 100a and 100b are the radiographs of a 90-year-old woman who is seen in the emergency department after a fall from a height. She has right hip and thigh pain and is unable to bear weight. Based on this patient’s history and imaging, what is the best next step? 1- Hip revision and implantation of a proximal femoral replacement 2- Hip revision and implantation of a tapered fluted stem 3- Open reduction and internal fixation with a locked plate and allograft struts 4- Erythrocyte sedimentation rate and C-reactive protein laboratory studies
  • 83.
    AAOS 2016 AdultReconstructive Surgery of the Hip and Knee 82 PREFERRED RESPONSE: 4- Erythrocyte sedimentation rate and C-reactive protein laboratory studies DISCUSSION Periprosthetic fractures are the third-most-common (behind loosening and infection) reason for revision surgery after total hip arthroplasty (THA). Late periprosthetic fracture risk is 0.4% to 1.1% after primary THA and 2.1% to 4% after revision THA. Risk factors for periprosthetic fracture include patient age older than 70 years, decreasing bone mass, and loosening of implants and osteolysis. Risk for concomitant infection in the presence of a periprosthetic fracture is 11%, according to Chevillotte and associates. Obtaining presurgical aspiration or tissue for culture intrasurgically is recommended if concomitant infection is suspected. Figure 101a Figure 101b Figure 103a
  • 84.
    AAOS 2016 AdultReconstructive Surgery of the Hip and Knee 83 Figure 103b Figure 103c Figure 103d CLINICAL SITUATION FOR QUESTIONS 101 THROUGH 104 Figures 101a and 101b are the right hip radiographs of a 26-year-old active man who has had pain in his right hip for 4 months. His pain is worse with prolonged periods in a seated position. He has no pain at rest and denies pain in other joints or systemic illness. Examination reveals passive range of motion of full extension, 80 degrees of flexion, internal rotation in flexion of 0 degrees, and external rotation in flexion of 30 degrees. Forced flexion, internal rotation, and adduction are very painful. A flexion, abduction, and external rotation test result is negative. Question 101 of 200 What is the most common morphologic abnormality among patients with this condition? 1- Pathologic femoral morphology 2- Pathologic acetabular morphology 3- Femoral neck retroversion 4- Combined pathologic femoral and acetabular morphology PREFERRED RESPONSE: 4- Combined pathologic femoral and acetabular morphology Question 102 of 200 Among patients with this condition and isolated CAM-type lesions, gross examination of the acetabular cartilage/labrum junction would most likely show 1- a separation of acetabular labrum from the acetabular rim. 2- a separation of acetabular cartilage from the acetabular labrum. 3- ossification of the acetabular labrum. 4- avascular changes. PREFERRED RESPONSE: 2- a separation of acetabular cartilage from the acetabular labrum.
  • 85.
    AAOS 2016 AdultReconstructive Surgery of the Hip and Knee 84 Question 103 of 200 Radiographs of the right hip are shown in Figures 103a through 103d. Which figure accurately depicts this patient’s radiographic “alpha angle”? 1- Figure 103a 2- Figure 103b 3- Figure 103c 4- Figure 103d PREFERRED RESPONSE: 3- Figure 103c Question 104 of 200 The patient undergoes right hip arthroscopy. During placement of a standard anterior portal, the 2 structures most at risk for iatrogenic injury are the 1- femoral neurovascular bundle and superior gluteal neurovascular bundle. 2- pudendal nerve lateral femoral cutaneous nerve (LFCN). 3- LFCN and femoral neurovascular bundle. 4- LFCN and obturator nerve. PREFERRED RESPONSE: 3- LFCN and femoral neurovascular bundle. DISCUSSION The clinical scenario describes a young man with a painful hip joint related to femoroacetabular impingement (FAI) based on his history of pain with prolonged sitting and the examination findings of pain and limited internal rotation, flexion, and adduction. Plain radiographs confirm the diagnosis and show decreased head-neck offset or a CAM deformity. Epidemiologic studies have shown that the most common abnormal morphology is a combined CAM/pincer deformity. In isolated CAM deformities, the most consistent finding is separation between the acetabular cartilage and labrum. The “alpha angle” is the angle between the midline of the femoral neck and a line from the center of the femoral head to the point at which the femoral head becomes aspherical. It can be measured on either a lateral radiograph of the femoral neck or on an axial cut of cross-sectional imaging (a CT scan or MR image). It is used to quantify the degree of asphericity at the anterior head-neck junction. Cadaveric studies have
  • 86.
    AAOS 2016 AdultReconstructive Surgery of the Hip and Knee 85 shown that placement of a standard anterior portal during hip arthroscopy is closest to the LFCN and femoral neurovascular bundle. Question 105 of 200 Which component position is associated with poor patellar tracking during total knee arthroplasty (TKA)? 1- Lateral placement of the femoral component 2- Medial placement of the patellar component 3- Internal rotation of the tibial component 4- Varus alignment of the proximal tibia PREFERRED RESPONSE: 3- Internal rotation of the tibial component DISCUSSION Internal malrotation of the femoral or tibial component is associated with lateral tracking of the patella in TKA. Lateral placement of the femoral component and medial placement of the patella component can aid in preventing lateral tracking of the patella. Varus alignment of the proximal tibia has not been associated with patella maltracking.
  • 87.
    AAOS 2016 AdultReconstructive Surgery of the Hip and Knee 86
  • 88.
    AAOS 2016 AdultReconstructive Surgery of the Hip and Knee 87
  • 89.
    AAOS 2016 AdultReconstructive Surgery of the Hip and Knee 88
  • 90.
    AAOS 2016 AdultReconstructive Surgery of the Hip and Knee 89 RESPONSES FOR QUESTIONS 106 THROUGH 109 1- Immobilization/nonsurgical management 2- Irrigation and debridement 3- 2-stage reimplantation total knee arthroplasty (TKA) 4- Increased constraint/polyethylene exchange 5- Revision of the femoral component only 6- Revision of the tibial component only 7- Revision of both components 8- Revision of the patellar component Select the treatment listed above that most appropriately addresses each scenario described below. Question 106 of 200 After sustaining a fall onto her left TKA, a 72-year-old woman does not have an extensor lag. She has anterior knee pain and ecchymosis (Figures 106a through 106c). 1- Immobilization/nonsurgical management 2- Irrigation and debridement 3- 2-stage reimplantation total knee arthroplasty (TKA) 4- Increased constraint/polyethylene exchange 5- Revision of the femoral component only 6- Revision of the tibial component only 7- Revision of both components 8- Revision of the patellar component PREFERRED RESPONSE: 1- Immobilization/nonsurgical management Question 107 of 200 One year after undergoing primary TKA, a 55-year-old man has limited range of motion (20 to 80 degrees) and a negative infection workup (Figures 107a and 107b). The tibial component rotation is 20 degrees internal with relation to the tubercle. 1- Immobilization/nonsurgical management 2- Irrigation and debridement
  • 91.
    AAOS 2016 AdultReconstructive Surgery of the Hip and Knee 90 3- 2-stage reimplantation total knee arthroplasty (TKA) 4- Increased constraint/polyethylene exchange 5- Revision of the femoral component only 6- Revision of the tibial component only 7- Revision of both components 8- Revision of the patellar component PREFERRED RESPONSE: 7- Revision of both components Question 108 of 200 Eighteen months after undergoing primary TKA, a 60-year-old man experiences increasing pain and a draining sinus for 1 week. 1- Immobilization/nonsurgical management 2- Irrigation and debridement 3- 2-stage reimplantation total knee arthroplasty (TKA) 4- Increased constraint/polyethylene exchange 5- Revision of the femoral component only 6- Revision of the tibial component only 7- Revision of both components 8- Revision of the patellar component PREFERRED RESPONSE: 3- 2-stage reimplantation total knee arthroplasty (TKA) Question 109 of 200 Ten years after undergoing TKA, a 77-year-old woman experiences 2 weeks of pain, swelling, and erythema following a routine dental cleaning procedure (Figures 109a and 109b). Her erythrocyte sedimentation rate is 25 mm/h (reference range 0-20 mm/h), her C-reactive protein level is 1.7 mg/L (reference range, 0.08-3.1 mg/L), and alpha-defensin findings are negative. 1- Immobilization/nonsurgical management 2- Irrigation and debridement 3- 2-stage reimplantation total knee arthroplasty (TKA)
  • 92.
    AAOS 2016 AdultReconstructive Surgery of the Hip and Knee 91 4- Increased constraint/polyethylene exchange 5- Revision of the femoral component only 6- Revision of the tibial component only 7- Revision of both components 8- Revision of the patellar component PREFERRED RESPONSE: 6- Revision of the tibial component only DISCUSSION Managing complications following a failed TKA requires an understanding of the mode of failure and treatment principles. Generally, TKA can fail for the following reasons: infection, instability, aseptic loosening, stiffness, and extensor mechanism dysfunction. Managing an infected TKA requires knowledge of the timing and circumstances surrounding the infected implant. Patients with acute infections (symptom duration of fewer than 3 weeks) are candidates for debridement and prosthesis retention. Chronic infections (symptoms lasting longer than 3 weeks and for more than 3 months from the time of index arthroplasty) should be treated with resection arthroplasty, parenteral antibiotics, and reimplantation surgery at a later date. Evaluation of possible acute infections should include aspiration, serology, and alpha-defensin. Instability following TKA is a common cause of early failure and revision surgery. The etiology of instability can include overresection of the posterior condyles, collateral ligament insufficiency, and late rupture of the posterior cruciate ligament. Recognizing the cause of instability is critical to eventual successful revision. Typically, isolated polyethylene exchange is not effective or reliable to address instability. In many cases, component malrotation and ligament imbalance contribute to instability. Revision surgery focuses on restoration of the joint line, proper femoral and tibial component rotation, and restoration of the femur posterior condylar. Component loosening and osteolysis are the common mechanisms of TKA failure. Prior to revision, concurrent infection must be ruled out as a source of failure. At the time of revision, proper fixation and rotation of the femoral and tibial components must be ensured. If the components are well fixed and rotated, successful isolated bearing exchange and bone grafting in the setting of osteolysis is possible. Isolated component exchanges also can be successfully performed, provided the remaining components are in an acceptable position. However, when in doubt, revision of both components generally yields more consistent results. Stiffness following TKA can affect as many as 10% of patients following surgery. Depending on the timing and extent of arthrofibrosis, treatment options include manipulation under anesthesia or revision TKA. Manipulation typically is effective early during the postsurgical
  • 93.
    AAOS 2016 AdultReconstructive Surgery of the Hip and Knee 92 course (for up to 4 months) and is most effective for loss of flexion. To address chronic stiffness and arthrofibrosis, revision TKA offers modest improvements in range of motion. Isolated polyethylene exchange has proven inconsistent in this setting, so revision of both components to ensure proper component rotation and joint line restoration offers the best chance to improve range of motion. Extensor mechanism complications also can occur following TKA. Although the frequency is decreasing with improved component design and surgical techniques, periprosthetic patella fractures can occur. Treatment centers on the integrity of the extensor mechanism and fixation of the patellar component (if resurfaced). In general, if the extensor mechanism is intact, nonsurgical treatment is favored. Surgical treatment of periprosthetic patellar fractures following TKA has been associated with high complication rates and low healing rates. Question 110 of 200 A complication unique to computer navigation of total knee arthroplasty (TKA) is 1- femoral shaft fracture. 2- intercondylar femur fracture. 3- ligament disruption. 4- nerve palsy. PREFERRED RESPONSE: 1- femoral shaft fracture. DISCUSSION Threaded pins are frequently inserted into the femoral shaft and tibial shafts or proximal tibia to attach arrays for tracking devices. There have been case reports of fractures propagating through the pin tracks, which is a complication unique to computer navigation. Intercondylar fractures can occur following posterior stabilized TKA. Vascular injury, ligament disruption, and nerve palsy are rare complications following TKA performed with or without computer navigation.
  • 94.
    AAOS 2016 AdultReconstructive Surgery of the Hip and Knee 93 Figure 111 CLINICAL SITUATION FOR QUESTIONS 111 THROUGH 113 Figure 111 is the anteroposterior radiograph of a 79-year-old woman with a presurgical diagnosis of osteonecrosis who sustained a periprosthetic tibia fracture following her total knee arthroplasty (TKA). Question 111 of 200 This is classified as which type of fracture 1- Type IIA 2- Type IIB 3- Type IIIA 4- Type IIIB PREFERRED RESPONSE: 3- Type IIIA Question 112 of 200 Which factor most likely contributed to this patient’s periprosthetic tibia fracture?
  • 95.
    AAOS 2016 AdultReconstructive Surgery of the Hip and Knee 94 1- Age/gender 2- Implant choice 3- Implant position 4- Cement fixation PREFERRED RESPONSE: 1- Age/gender Question 113 of 200 The most appropriate treatment for this fracture is 1- revision TKA. 2- revision of the tibial component with a stem extension. 3- cast immobilization. 4- open reduction and internal fixation of the fracture. PREFERRED RESPONSE: 4- open reduction and internal fixation of the fracture. DISCUSSION Tibial fractures are classified on the basis of their anatomical location and the status of the prosthesis fixation. Type I fractures involve the tibial plateau, type II fractures occur adjacent to the stem of the tibial component, type III fractures are distal to the tibial stem, and type IV fractures involve the tibial tubercle. Subclassifications include A with a well-fixed implant; B with a loose implant; and C, which occur intraoperatively. Treatment of periprosthetic tibial fractures is based on the location of the fracture and the status of the component fixation. Types II or III fractures associated with prosthetic loosening or instability are best managed with revision arthroplasty, usually with a diaphyseal-engaging intramedullary tibial stem. Supplemental internal fixation may be necessary. Type III fractures with well-fixed and stable implants are treated using the standard principles of tibial fracture management. Question 114 of 200 In either a ceramic-on-highly-cross-linked polyethylene (HXPE) or metal-on-HXPE component, increasing the ball head size leads to
  • 96.
    AAOS 2016 AdultReconstructive Surgery of the Hip and Knee 95 1- decreased polyethylene wear. 2- decreased risk for corrosion. 3- increased primary arc of motion. 4- increased offset. PREFERRED RESPONSE: 3- increased primary arc of motion. DISCUSSION Increasing the size of the ball head increases the primary arc of motion prior to impingement and the jump distance prior to dislocation, assuming an acetabular component abduction of less than 90 degrees. Although HXPE has demonstrated decreases in linear wear rates even with ball head sizes larger than 28 mm, volumetric wear remains a concern. A larger ball head size does not significantly change offset, and larger metal ball heads are not associated with decreased risk for corrosion.
  • 97.
    AAOS 2016 AdultReconstructive Surgery of the Hip and Knee 96 Figure 115a Figure 115b Question 115 of 200 Figures 115a and 115b are the radiograph and intraoperative view of the femoral taper junction of a 68-year-old man who has left groin pain 8 years after undergoing total hip arthroplasty (THA). He has a mild limp and mild pain with active and passive range of motion. His erythrocyte sedimentation rate and C-reactive protein level are within defined limits. His serum cobalt level is 5.3 ppb and serum chromium level is 3.4 ppb. In addition to exchanging the acetabular insert, what is the best surgical procedure for this patient? 1- Revise the femoral component to obtain a new taper 2- Place a new metal ball on the existing taper 3- Place a new ceramic ball with a titanium sleeve on the existing taper 4- Place a new ceramic ball on the existing taper
  • 98.
    AAOS 2016 AdultReconstructive Surgery of the Hip and Knee 97 PREFERRED RESPONSE: 3- Place a new ceramic ball with a titanium sleeve on the existing taper DISCUSSION This patient has symptomatic severe pelvic and femoral osteolysis occurring after a metal- on-metal bearing THA. Bearing surface wear and taper wear (corrosion) are debris sources contributing to osteolysis, and both sources should be addressed at surgery. Current recommendations are to not remove a stable cementless femoral component unless the taper is damaged so badly that a new ball will not lock on the taper. There have been reports of repeat local tissue reactions when a new cobalt chromium ball is placed on a taper with corrosion damage. The current recommendation is to minimize the amount of cobalt at the taper junction, and this can be done by avoiding a cobalt chromium ball in favor of a titanium taper sleeve on the damaged taper with a ceramic ball on the new sleeve. Use of a ceramic head on a previously used trunnion poses risk for fracture of the ceramic head. Question 116 of 200 Biofilm is believed to play a major role in the pathogenesis of periprosthetic joint infection. Biofilm allows for the bacterial population to evade the effects of antimicrobial therapy primarily through 1- adherence and colonization. 2- formation of a protective scaffold. 3- coating with host proteins. 4- direct inhibition of antibiotics. PREFERRED RESPONSE: 2- formation of a protective scaffold. DISCUSSION The intrinsic risk for colonization and subsequent infection associated with implants is exacerbated by implants’ tendency to become coated in host proteins such as fibrinogen and fibronectin shortly after implantation. Following initial adherence and colonization, bacteria are thought to form a complex matrix of an extracellular polymetric substance, serving as a protective scaffold in which they can survive despite the competence of the host’s immune system or the presence of antimicrobial agents. There is no evidence that biofilm directly inhibits antibiotics.
  • 99.
    AAOS 2016 AdultReconstructive Surgery of the Hip and Knee 98 CLINICAL SITUATION FOR QUESTIONS 117 THROUGH 119 A 79-year-old woman is experiencing chronic right hip pain. All of her pain is in her right groin, and it worsens with activity. She has failed nonsurgical treatment with nonsteroidal anti- inflammatory drugs, activity modification, and occasional corticosteroid injections. She would like to proceed with surgical treatment. Question 117 of 200 A high risk for failure of a proximally porous coated femoral component is associated with 1- young age. 2- osteoporosis. 3- Dorr type B bone. 4- vitamin D deficiency. PREFERRED RESPONSE: 2- osteoporosis. Question 118 of 200 The ideal cemented femoral stem design has 1- cylindrical stems. 2- a polished finish. 3- a collared implant. 4- flat, sharp edges. PREFERRED RESPONSE: 2- a polished finish. Question 119 of 200 An operating room intervention that should be undertaken by anesthesia staff during the cementing of a femoral stem is to 1- decrease the fraction of inspired oxygen (FiO2). 2- decrease the intravenous (IV) fluid rate. 3- have phenylephrine on standby.
  • 100.
    AAOS 2016 AdultReconstructive Surgery of the Hip and Knee 99 4- redose epidural anesthesia. PREFERRED RESPONSE: 3- have phenylephrine on standby. DISCUSSION Young age is a risk factor for early failure of cementless femoral components. Surgeons could consider cementing for patients older than 80 years of age. The Dorr classification has been shown to favor a cemented femoral stem in Dorr type C bone. Dorr type B bone can potentially sustain a proximally porous ingrowth stem. Osteoporosis is a risk factor for early failure of cementless femoral components. Earlier designs for cemented femoral stems used microtexture to interlock the stem into the cement mantle. If these stems became loose, they would abrade the cement and loosen the stem further. Successful cemented femoral components are polished and have smooth edges with tapered bodies. Collars do not add to the design of femoral stems. Patients are at risk for hypotension during the femoral pressurization process. With that in mind, the surgeon should make sure the anesthesiologist is ready to respond to hypotension. The FiO2 should be increased. The IV fluid rate also should be increased, and the anesthesiologist should be prepared with phenylephrine to support the patient’s blood pressure if he or she becomes hypotensive.
  • 101.
    AAOS 2016 AdultReconstructive Surgery of the Hip and Knee 100 Figure 120 Question 120 of 200 A 65-year-old woman with rheumatoid arthritis is undergoing revision total knee arthroplasty (TKA) during which the medial collateral ligament (MCL) is damaged. Suture anchors are used to attempt primary repair, and a varus-valgus constrained insert also is used. Postsurgically she experiences instability that does not respond to bracing with a 3+ opening to valgus stress (Figure 120). What is the most appropriate surgical option? 1- Femoral revision with distal augment 2- MCL allograft reconstruction 3- Ultracongruent insert 4- Rotating-hinge TKA PREFERRED RESPONSE: 4- Rotating-hinge TKA DISCUSSION MCL repair or reconstruction may be considered in younger, more active patients, but this intervention is technically demanding and produces variable results. Rotating-hinge TKA is associated with good results in a number of small series that include cases performed with MCL insufficiency or absence. A rotating hinge is preferable over a fixed hinge because of decreased stresses on implants imposed by fixed-hinge devices. Question 121 of 200 One year after undergoing a primary total knee arthroplasty, a 65-year-old man has a 1- week history of new onset anterior knee pain. He can perform a straight-leg raise with no extension lag. Radiographs reveal a transverse patella fracture with 8 mm of displacement and an intact patellar component. The best course of treatment is 1- patellectomy with retinacular repair. 2- immobilization in extension for 6 weeks. 3- open reduction and cerclage wiring. 4- internal fixation and patellar component revision.
  • 102.
    AAOS 2016 AdultReconstructive Surgery of the Hip and Knee 101 PREFERRED RESPONSE: 2- immobilization in extension for 6 weeks. DISCUSSION This patient has a displaced periprosthetic patella fracture with an intact extensor mechanism. Surgical treatment for this condition has been associated with relatively poor clinical results because the fracture occurs late (attributable to patella osteonecrosis). The optimal initial treatment is to treat the fracture nonsurgically with immobilization of the knee in extension either with a long-leg cast or knee immobilizer. Figure 122a Figure 122b Question 122 of 200 Figures 122a and 122b are the radiographs of a 79-year-old woman with a 2-year history of progressively worsening right hip pain. She had a right total hip arthroplasty 7 years prior. An infection workup is negative. She opts for revision surgery; the most appropriate surgical plan to address her femoral component is 1- extended trochanteric osteotomy and revision to a cementless long-stem prosthesis. 2- extended trochanteric osteotomy and revision to a cemented long-stem prosthesis. 3- revision to a cementless long-stem prosthesis without use of an extended trochanteric osteotomy.
  • 103.
    AAOS 2016 AdultReconstructive Surgery of the Hip and Knee 102 4- revision to a cemented long-stem prosthesis without use of an extended trochanteric osteotomy. PREFERRED RESPONSE: 1- extended trochanteric osteotomy and revision to a cementless long-stem prosthesis. DISCUSSION The patient’s radiographs show loosening of the cemented femoral stem and varus remodeling of the femur. An extended trochanteric osteotomy is necessary because attempting to extract the existing prosthesis and implant another prosthesis without an osteotomy is likely to cause a proximal femoral fracture. Also, an osteotomy would facilitate atraumatic removal of the stem and cement. Cementless fixation is likely to produce a more predictable long-term outcome than cemented fixation for the revision implant. Question 123 of 200 Two weeks after undergoing total knee arthroplasty, a 68-year-old woman experiences moderate, yet worsening, knee pain. Upon examination, she can walk with a cane but she has swelling with mild reactive erythema. She has a well-healed incision with no drainage. A review of her medications reveals the she has been taking warfarin and has an international normalized ratio (INR) of 4.0. Her erythrocyte sedimentation rate (ESR) and C-reactive protein (CRP) level are slightly elevated, and radiographs are unremarkable other than for effusion. What is the most likely diagnosis? 1- Deep periprosthetic joint infection 2- Deep vein thrombosis 3- Hemarthrosis 4- Extensor mechanism disruption PREFERRED RESPONSE: 3- Hemarthrosis DISCUSSION This patient likely has a hemarthrosis related to INR elevation. The slight elevations in ESR and CRP are likely attributable to the nature of the surgery itself rather than an infection, and the mild reactive erythema is likely attributable to the hemarthrosis.
  • 104.
    AAOS 2016 AdultReconstructive Surgery of the Hip and Knee 103 Question 124 of 200 A 56-year-old woman underwent a total knee arthroplasty 2 years ago and now has pain and swelling. Radiographs of her knee are unremarkable. Her C-reactive protein (CRP) level is 3.0 (reference range [rr], 0.08–3.1 mg/L), and her erythrocyte sedimentation rate (ESR) is 18 mm/h (rr, 0-20 mm/h). Aspiration of the knee reveals a white blood cell (WBC) count of 1200/mm3 with a differential of 30% neutrophils and 70% monocytes. Cultures will not be available for several days, and the patient has not been taking antibiotics. Based on these findings, the most appropriate next step is 1- arthrotomy, irrigation, and tibial polyethylene exchange. 2- parenteral antibiotics. 3- nonsurgical treatment without antibiotics. 4- removal of the implant and a 2-stage procedure. PREFERRED RESPONSE: 3- nonsurgical treatment without antibiotics. DISCUSSION ESR and CRP level are recommended as starting points in the workup for the diagnosis or exclusion of periprosthetic joint infection (PJI). When both the ESR and CRP findings are within defined limits, PJI is unlikely. When both test findings are positive, PJI must be considered and further investigation is warranted. Clinicians need to be aware of other inflammatory conditions such as rheumatoid arthritis that can lead to elevation of inflammatory markers. A high likelihood of infection is noted when the knee aspirate contains more than 2500 WBCs per high-powered field (HPF) with a differential count exceeding 60% neutrophils. Using these criteria, Mason demonstrated a sensitivity of 98% and a specificity of 95% for infection diagnosis. For this patient, the inflammatory markers are within normal limits. The aspiration result is below 2500 WBC/HPF with a low percentage of neutrophils. The likelihood of infection is remote, and further nonsurgical treatment should not include antibiotics. There is no indication for surgery based upon the information presented.
  • 105.
    AAOS 2016 AdultReconstructive Surgery of the Hip and Knee 104 Figure 125 Question 125 of 200 Figure 125 is the anteroposterior knee radiograph of a 65-year-old man who has been treated for knee pain for 6 years. His pain is constant and is worse when walking up and down stairs and when sitting for a prolonged period. He has medial joint line tenderness and a positive patellofemoral grind test finding. His knee is stable to varus and valgus stress. A Lachman test result is 2+. He had a trial of nonsteroidal anti-inflammatory medications with good relief until 4 months ago. Physical therapy has provided minimal relief, and he has undergone a series of intra-articular injections with corticosteroids. The last 2 injections each provided 1 week of pain relief. What is the most appropriate next treatment option? 1- Repeat intra-articular injection 2- High tibial osteotomy 3- Total knee arthroplasty (TKA) 4- Unicompartmental knee arthroplasty PREFERRED RESPONSE: 3- Total knee arthroplasty (TKA)
  • 106.
    AAOS 2016 AdultReconstructive Surgery of the Hip and Knee 105 DISCUSSION Osteoarthritis is a complex disease. Multiple studies have demonstrated a genetic predisposition and critical role of proinflammatory cytokines in the disease process. Osteoarthritis of the knee has a multifactorial pathogenesis. It is age related and affects women more commonly than men. It is also influenced by such factors as obesity, trauma, repetitive use, muscle weakness, and joint laxity. The treatment of osteoarthritis is multimodal. Nonsurgical treatments include nonsteroidal anti-inflammatory medications, intra- articular injections, weight loss, and physical therapy. Surgical treatments include osteotomy and unicompartmental and TKA. Question 126 of 200 A concern when choosing irradiated (10 Mrad) and subsequently melted highly cross- linked polyethylene rather than lower dose–irradiated (4 Mrad) polyethylene is related to its inferior resistance to 1- adhesive wear. 2- abrasive wear. 3- fatigue wear. 4- creep. PREFERRED RESPONSE: 3- fatigue wear. DISCUSSION The higher the dose of radiation to the polyethylene, the higher the amount of cross- linking. Adhesive and abrasive wear resistance increases with an increase in cross-linking. However, fatigue properties of the material are decreased when polyethylene is melted (to remove free radicals) during the cross-linking process. Creep (deformation without wear) is also slightly increased with cross-linking of polyethylene. Question 127 of 200 A 64-year-old woman sustains a fracture to her distal femur 5 years after undergoing total knee arthroplasty. When choosing between locked femoral plating and retrograde femoral nailing, which factor is important to consider based on this patient’s surgical record? 1- Previous surgical approach 2- Previous tourniquet time
  • 107.
    AAOS 2016 AdultReconstructive Surgery of the Hip and Knee 106 3- Implant model 4- Presence of an anterior femoral notch PREFERRED RESPONSE: 3- Implant model DISCUSSION Treatment of periprosthetic supracondylar femoral fractures is complex and may involve the use of a retrograde intramedullary femoral nail or locked or unlocked femoral plate. Knowledge of certain measurements specific to the model of the implant, specifically to the minimal intercondylar distance and the position of the notch on the femoral component in relation to the intramedullary canal, is crucial when choosing a retrograde nail over a locked femoral plate. Although the surgical approach, presence of an anterior femoral notch, and previous tourniquet time are interesting to consider, none of these factors would preclude the ability to proceed with femoral intramedullary nailing. Figure 128 Figure 129 Figure 130 CLINICAL SITUATION FOR QUESTIONS 128 THROUGH 130
  • 108.
    AAOS 2016 AdultReconstructive Surgery of the Hip and Knee 107 Figure 128 is the radiograph of a 78-year-old nursing home resident who has hypertension and peripheral vascular disease. He has developed acute severe hip pain 20 years after undergoing a cementless total hip arthroplasty (THA) and subsequent revision for instability. He was previously ambulatory with a walker and now can no longer ambulate. His erythrocyte sedimentation rate is 8 mm/h (reference range [rr], 0-20 mm/h) and C-reactive protein level is 0.6 mg/L (rr, 0.08-3.1 mg/L). Question 128 of 200 When preparing for surgery, which protocol is most appropriate? 1- Intravenous (IV) prophylaxis with a cephalosporin for 24 hours 2- IV prophylaxis with a cephalosporin for 72 hours 3- IV prophylaxis with a cephalosporin and clindamycin 4- IV prophylaxis with a cephalosporin and gentamicin PREFERRED RESPONSE: 1- Intravenous (IV) prophylaxis with a cephalosporin for 24 hours Question 129 of 200 The patient is treated with proximal femoral replacement and acetabular reconstruction that includes superior augmentation and a dual-mobility revision component (Figure 129). During surgery, a large pseudotumor that has eroded the entire abductor mechanism and extended over the anterior acetabulum and pelvis is found. Intrasurgical blood loss is 800 cc. Low-molecular-weight heparin is used for postsurgical deep venous thrombosis (DVT) prophylaxis. Eight units of packed red blood cells (PRBCs) are transfused over 5 days following surgery. Twelve days after surgery, bloody drainage is expressed from the mid portion of the wound, and the thigh is swollen. The man is afebrile; the wound is otherwise clean without surrounding erythema. Treatment at this point should consist of 1- irrigation and debridement with liner and head exchange. 2- negative-pressure wound therapy (wound vac). 3- antibiotic therapy with vancomycin. 4- vastus lateralis muscle transposition. PREFERRED RESPONSE: 1- irrigation and debridement with liner and head exchange.
  • 109.
    AAOS 2016 AdultReconstructive Surgery of the Hip and Knee 108 Question 130 of 200 One week later, the patient develops recurrent hematoma with wound dehiscence (Figure 130). Treatment at this point should consist of 1- debridement and wound closure. 2- single-stage revision and muscle flap transposition. 3- excision (Girdlestone) arthroplasty. 4- removal of components, insertion of an antibiotic cement spacer, and wound closure. PREFERRED RESPONSE: 4- removal of components, insertion of an antibiotic cement spacer, and wound closure. DISCUSSION Thigh swelling, bloody drainage, and the persistent need for postsurgical transfusion of PRBCs to maintain adequate hemoglobin and hematocrit levels indicates the presence of a substantial hematoma. Factors contributing to hematoma formation include the large dead space associated with a large soft-tissue pseudotumor, use of postsurgical pharmacologic DVT prophylaxis, higher American Society of Anesthesiologists (ASA) index, and substantial intrasurgical blood loss. Urgent surgical treatment of a postsurgical hematoma with persistent wound drainage is indicated to minimize risk for infection of the prosthetic components. Postsurgical hematoma may also be culture positive or represent early postsurgical infection. Irrigation and debridement should include exchange of the head and liner to provide access for debridement of the modular implant interfaces. This patient has an infected revision THA with an open wound nearly 3 weeks after surgery. Irrigation and debridement with wound closure is appropriate for treatment of acute postsurgical infections. However, a high failure rate has been associated with this procedure and retention of the components, particularly in the setting of Staphylococcus aureus infection. A large, relatively poorly vascularized wound also increases risk for recurrent infection with retention of components. Treatment at this point to control infection necessitates removal of the prosthetic components. Because of the massive segmental proximal femoral bone loss, excision arthroplasty would result in a markedly shortened flail limb and considerable functional impairment. Removal of the components and insertion of an antibiotic cement spacer would allow wound closure and control of infection with the option of later second- stage reconstruction.
  • 110.
    AAOS 2016 AdultReconstructive Surgery of the Hip and Knee 109 Figure 131 Question 131 of 200 Figure 131 is the abdominal radiograph of a 70-year-old man who experiences nausea and abdominal tightness 48 hours after undergoing left total knee arthroplasty. An examination reveals severe abdominal distension and markedly decreased bowel sounds. Insertion of a nasogastric tube does not relieve abdominal tightness. What is the best next step? 1- Endoscopy 2- Gastrostomy 3- Colonoscopy 4- Laparotomy PREFERRED RESPONSE: 3- Colonoscopy
  • 111.
    AAOS 2016 AdultReconstructive Surgery of the Hip and Knee 110 DISCUSSION The abdominal radiograph reveals an acute colonic pseudo-obstruction. It is associated with parenteral narcotic use and hypokalemia. Initial treatment is insertion of a nasograstric tube, discontinuation of parenteral narcotics, and correction of electrolyte imbalances. If a pseudo-obstruction is not relieved, colonoscopy should be performed. Question 132 of 200 A lower chance of failure when using an extensor mechanism allograft to address a chronic disruption of an extensor tendon is associated with 1- retention of the patient's patellar remnant. 2- tensioning the allograft in full extension. 3- use of a freeze-dried allograft. 4- resurfacing the patellar surface of the allograft. PREFERRED RESPONSE: 2- tensioning the allograft in full extension. DISCUSSION Disruption of the extensor mechanism is a rare but devastating complication of knee arthroplasty. Primary repair is associated with a high rate of failure. The results associated with using an extensor mechanism allograft are still variable overall, but the literature on the subject supports tensioning of the allograft in full extension. In studies conducted by Burnett and associates and Nazarian and Booth, the patellar remnant is excised. The use of a fresh- frozen nonirradiated allograft is recommended, and patellar resurfacing of the insensate patella is unnecessary and potentially weakens the allograft. CLINICAL SITUATION FOR QUESTIONS 133 THROUGH 135 A middle-age man who had an anterior cruciate ligament (ACL) reconstruction with a carbon fiber ligament as a teenager also had a debridement, synovectomy, and a medial unicompartmental arthroplasty. Fourteen years later, he has a painful knee (mainly laterally and anteriorly) that swells with activity. His range of motion is 0 to 120 degrees. Question 133 of 200 The most useful diagnostic finding is 1- location of pain.
  • 112.
    AAOS 2016 AdultReconstructive Surgery of the Hip and Knee 111 2- amount of swelling. 3- numbness. 4- stiffness. PREFERRED RESPONSE: 1- location of pain. Question 134 of 200 What is the most likely reason for these symptoms? 1- Acute infection 2- Progression of arthritis 3- Polyethylene wear 4- Instability PREFERRED RESPONSE: 2- Progression of arthritis Question 135 of 200 The most appropriate next surgical procedure is 1- synovectomy. 2- debridement, synovectomy, and placement of a thicker polyethylene liner. 3- resection arthroplasty and placement of a cement antibiotic spacer. 4- conversion to total knee arthroplasty (TKA). PREFERRED RESPONSE: 4- conversion to total knee arthroplasty (TKA). DISCUSSION This patient’s arthritis likely has progressed to the lateral compartment. The location and degree of local pain and tenderness are the most important physical findings. History and physical findings indicate arthritis progression to the lateral and anterior compartments. This scenario suggests the need for conversion of the unicompartmental arthroplasty to TKA.
  • 113.
    AAOS 2016 AdultReconstructive Surgery of the Hip and Knee 112 Figure 136a Figure 136b Figure 136c Question 136 of 200 Figures 136a through 136c are the weight-bearing anteroposterior and lateral radiographs of a 28-year-old construction worker who has had 6 months of progressive knee pain isolated to the medial aspect of his right knee. The pain has not responded to nonsurgical treatment. His body mass index is 26. He has knee range of motion from 0 to 125 degrees, and his knee is stable to ligament examination. What is the most appropriate surgical treatment? 1- Distal femoral osteotomy 2- Proximal tibial osteotomy 3- Medial unicompartmental knee arthroplasty 4- Total knee arthroplasty (TKA) PREFERRED RESPONSE: 2- Proximal tibial osteotomy DISCUSSION Proximal tibial osteotomy is the best option for this young patient who has good range of motion and arthritis isolated to the medial compartment. Distal femoral osteotomy is more appropriate for correction of valgus deformity. In the setting of most varus deformities as shown in this patient’s radiographs, there is varus angulation of the proximal tibial. Correction of alignment at the femur results in obliquity of the joint line and abnormal loading. Medial
  • 114.
    AAOS 2016 AdultReconstructive Surgery of the Hip and Knee 113 unicompartmental knee arthroplasty and TKA are less optimal in this setting because of this patient’s young age and high demands as a laborer. Unicompartmental knee arthroplasty and TKA are not preferred options for this patient because risk for premature failure is high. Question 137 of 200 A 35-year-old construction worker has developed isolated lateral compartment arthritis. He has lost 50 pounds, now has a body mass index of 30, and still has pain that limits his activities of daily living and work despite receiving a 4-month course of nonsteroidal anti- inflammatory medications and 2 intra-articular cortisone injections. His range of motion is 5 to 110 degrees, and his mechanical axis is 18 degrees of valgus. What is the most appropriate surgical treatment for this patient? 1- Proximal tibial varus osteotomy 2- Lateral unicompartmental arthroplasty 3- Distal femoral varus osteotomy 4- Total knee arthroplasty PREFERRED RESPONSE: 3- Distal femoral varus osteotomy DISCUSSION Knee arthritis in a young laborer is challenging to address. A surgeon could perform an arthroplasty, but there is concern for early failure and the subsequent need for multiple revisions during this patient’s lifespan. Indications for distal femoral varus osteotomy include at least a 12- to 15-degree valgus mechanical axis and range of motion of at least 15 to 90 degrees. Contraindications for this procedure include inflammatory arthritis and restricted knee motion. RESPONSES FOR QUESTIONS 138 THROUGH 141 1- Acute periprosthetic infection 2- Chronic periprosthetic infection 3- Joint dislocation 4- Periprosthetic fracture 5- Pseudotumor 6- Femoral nerve palsy 7- Sciatic nerve palsy
  • 115.
    AAOS 2016 AdultReconstructive Surgery of the Hip and Knee 114 8- Aseptic prosthetic loosening Select the total hip arthroplasty (THA) complication listed above that most commonly is associated with the clinical scenario described below. Question 138 of 200 A 50-year-old man has pain and notable swelling around his hip 3 years after undergoing a metal-on-metal large-head THA. 1- Acute periprosthetic infection 2- Chronic periprosthetic infection 3- Joint dislocation 4- Periprosthetic fracture 5- Pseudotumor 6- Femoral nerve palsy 7- Sciatic nerve palsy 8- Aseptic prosthetic loosening PREFERRED RESPONSE: 5- Pseudotumor Question 139 of 200 A 68-year-old man has ongoing pain in his left hip area following elective THA performed 24 months ago. He had an episode of wound redness and drainage during the early postsurgical period, which resolved with a course of oral antibiotics. 1- Acute periprosthetic infection 2- Chronic periprosthetic infection 3- Joint dislocation 4- Periprosthetic fracture 5- Pseudotumor 6- Femoral nerve palsy 7- Sciatic nerve palsy 8- Aseptic prosthetic loosening
  • 116.
    AAOS 2016 AdultReconstructive Surgery of the Hip and Knee 115 PREFERRED RESPONSE: 2- Chronic periprosthetic infection Question 140 of 200 A 68-year-old woman experiences leg weakness and giving way of her knee immediately following a complex revision of her right THA. 1- Acute periprosthetic infection 2- Chronic periprosthetic infection 3- Joint dislocation 4- Periprosthetic fracture 5- Pseudotumor 6- Femoral nerve palsy 7- Sciatic nerve palsy 8- Aseptic prosthetic loosening PREFERRED RESPONSE: 6- Femoral nerve palsy Question 141 of 200 Four weeks after undergoing elective THA, an 80-year-old man is in the emergency department with sudden-onset right hip pain and an inability to bear weight after bending over in his garden. 1- Acute periprosthetic infection 2- Chronic periprosthetic infection 3- Joint dislocation 4- Periprosthetic fracture 5- Pseudotumor 6- Femoral nerve palsy 7- Sciatic nerve palsy 8- Aseptic prosthetic loosening PREFERRED RESPONSE: 3- Joint dislocation
  • 117.
    AAOS 2016 AdultReconstructive Surgery of the Hip and Knee 116 DISCUSSION In Question 138, pain and swelling following a metal-on-metal large-head THA represent a classic presentation for a pseudotumor from metallosis secondary to either articular metal wear or trunnionosis. For this patient, infection should be ruled out with laboratory studies (erythrocyte sedimentation rate and C-reactive protein) and joint aspiration. Metal ion levels and metal artifact reduction sequence MR imaging or ultrasound would be helpful to confirm the diagnosis of pseudotumor. In Question 139, chronic hip pain following elective THA with an antecedent postsurgical wound constitutes a typical presentation for chronic periprosthetic infection. Aseptic loosening could be considered although the timeline is short; bloodwork and joint aspiration would be appropriate investigations. In Question 140, giving way of the knee suggests quadriceps muscle dysfunction likely related to prolonged pressure on the femoral nerve from retractors during a long revision case. The pattern of weakness does not fit a sciatic nerve palsy. In Question 141, the presentation is typical of a prosthetic dislocation, most of which occur during the early postsurgical period following THA. Figure 142a Figure 142b Question 142 of 200 Figures 142a and 142b are the current radiographs of an 89-year-old woman who had open reduction and internal fixation (ORIF) of a distal periprosthetic femur fracture 4 months ago. An examination reveals well-healed incisions, a painful range of motion from 15 to 85 degrees, and normal neurovascular function. An infection workup, including an erythrocyte
  • 118.
    AAOS 2016 AdultReconstructive Surgery of the Hip and Knee 117 sedimentation rate and C-reactive protein level, is negative. The most appropriate treatment option is 1- hinge knee bracing with restricted weight bearing. 2- revision ORIF. 3- revision total knee arthroplasty (TKA). 4- above-knee amputation. PREFERRED RESPONSE: 3- revision total knee arthroplasty (TKA). DISCUSSION Current periprosthetic fracture treatments after TKA include ORIF via plating, retrograde nailing, or revision using standard revision TKA components or a distal femoral arthroplasty. Locked plating has demonstrated a trend toward increased nonunion rates when compared to retrograde nailing, as evidenced in this patient. The advanced age of the patient, the presence of failed fixation, and the significant amount of bone loss preclude a trial of further nonsurgical treatment or revision ORIF. A review of 3 methods for treatment of comminuted distal periprosthetic femur fractures in patients older than age 70 demonstrated that distal femur arthroplasty should be considered in patients with advanced age and poor bone quality who require early mobilization. As a result, treatment of this patient with a revision TKA using a distal femoral arthroplasty would be the preferred response because of the bone quality and fracture pattern. Above-knee amputation is a salvage procedure and is not indicated at this time. Question 143 of 200 A 70-year-old man with primary osteoarthritis undergoes a primary cementless total hip arthroplasty (THA). His history includes pelvis irradiation for prostate carcinoma (6000 rads). He is at increased risk for which complication? 1- Arterial injury 2- Sciatic nerve palsy 3- Infection 4- Acetabular component loosening PREFERRED RESPONSE: 4- Acetabular component loosening
  • 119.
    AAOS 2016 AdultReconstructive Surgery of the Hip and Knee 118 DISCUSSION The complication associated with pelvic radiation prior to cementless THA is loosening of the acetabular component or postsurgical noningrowth of the component. Although scarring from radiation may put the hip at increased risk for arterial or nerve damage or infection, this risk has not been associated with pelvic radiation. Cementless acetabular components with porous metal surfaces such as trabecular metal should be considered. Question 144 of 200 A 24-year-old man has bilateral hip pain. An examination and imaging studies (plain radiographs and MR imaging) confirm evidence of femoroacetabular impingement (FAI) with a CAM deformity in both hips. The patient mentions that he has a 19-year-old brother who has occasional hip pain. With respect to his brother’s pain, how should you counsel the patient? 1- His younger brother’s hip pain is almost certainly attributable to some other cause 2- His younger brother’s hip pain likely represents established osteoarthritis of the hip 3- His younger brother’s hip pain may be related to FAI 4- There is no known genetic influence in the etiology of FAI PREFERRED RESPONSE: 3- His younger brother’s hip pain may be related to FAI DISCUSSION Evidence suggests that FAI is more common in siblings of patients with FAI, particularly those with a CAM deformity. It is unlikely this patient has well-established osteoarthritis, even in the presence of FAI.
  • 120.
    AAOS 2016 AdultReconstructive Surgery of the Hip and Knee 119 Figure 145a Figure 145b Figure 146 CLINICAL SITUATION FOR QUESTIONS 145 THROUGH 147 Figures 145a and 145b are the radiographs of a 56-year-old man who has had persistent pain in his right groin since undergoing primary total hip surgery 11 months ago. His erythrocyte sedimentation rate (ESR) is 38 mm/h (reference range [rr], 0-20 mm/h) and C- reactive protein (CRP) level is 28 mg/L (rr, 0.08-3.1 mg/L). A hip aspiration performed while the patient was taking antibiotics demonstrated 3200 white blood cells/µL with no growth. Treatment should consist of Question 145 of 200 Treatment should consist of 1- repeat hip aspiration while the patient is not taking antibiotics. 2- iliopsoas injection under fluoroscopy. 3- acetabular revision. 4- irrigation and debridement with a polyethylene liner exchange. PREFERRED RESPONSE: 1- repeat hip aspiration while the patient is not taking antibiotics.
  • 121.
    AAOS 2016 AdultReconstructive Surgery of the Hip and Knee 120 Question 146 of 200 Figure 146 is the patient’s clinical photograph 2 months after his the initial evaluation. He has arrived at the emergency department after experiencing 24 hours of fevers, chills, and redness surrounding his right hip. His ESR is 67 mm/h and CRP level is 102 mg/L. Which treatment is most appropriate? 1- Irrigation and debridement with a polyethylene liner exchange 2- Single-stage revision with cementless components 3- Acetabular and femoral component removal with insertion of a temporary antibiotic spacer 4- Acetabular and femoral component removal without insertion of a temporary antibiotic spacer (Girdlestone procedure) PREFERRED RESPONSE: 3- Acetabular and femoral component removal with insertion of a temporary antibiotic spacer Question 147 of 200 Five weeks after the patient completes a 6-week course of antibiotics, his ESR is 24 mm/h and CRP level is 10 mg/L, which is similar to the levels at 6 weeks. What is the most appropriate treatment at this time? 1- Delay further surgical intervention until his ESR and CRP level normalize 2- Delay further surgical intervention until his ESR normalizes 3- Delay further surgical intervention until his CRP level normalizes 4- Proceed with surgical intervention if the patient’s condition is medically optimized PREFERRED RESPONSE: 4- Proceed with surgical intervention if the patient’s condition is medically optimized DISCUSSION This patient has both serologic and synovial fluid findings that are concerning for indolent infection. He was taking antibiotics at the time of aspiration. The AAOS clinical practice guideline, The Diagnosis of Periprosthetic Joint Infections of the Hip and Knee, suggests that patients discontinue antibiotics for a minimum of 2 weeks and that a repeat aspiration should be performed in cases of contradictory findings. In this situation, the cell count is elevated
  • 122.
    AAOS 2016 AdultReconstructive Surgery of the Hip and Knee 121 along with an elevated ESR and CRP level. As a result, the appropriate treatment at this time is to reaspirate his hip. This patient has a periprosthetic joint infection with a draining sinus tract. He has had symptoms for several months and, as a result, irrigation and debridement are not indicated. A single-stage surgery may be performed in some centers for healthy patients with susceptible organisms. However, single-stage reconstructions are generally performed with cemented implants in patients without a draining sinus tract. A 2-stage procedure with an antibiotic spacer is the surgical treatment modality most likely to eradicate this infection. Serologic findings have significantly improved since the time of the prior surgical procedure. Surgical intervention does not need to be delayed until these values have completely normalized. Question 148 of 200 During a revision total knee arthroplasty (TKA), there is difficulty gaining exposure and a tibial tubercle osteotomy (TTO) is performed. The final components are stable and include a stemmed tibial component that bypasses the osteotomy site. The tibial tubercle is reattached to the osteotomy site with multiple cerclage wires. Following closure of the arthrotomy, the knee is flexed to 90 degrees, and there is no observed displacement of the TTO. What is the best next step in postsurgical rehabilitation? 1- Limit flexion to 90 degrees with nonweight-bearing activity with crutches for the first 6 weeks 2- Limit flexion to 30 degrees for the first week, progress 10 degrees per week, and allow partial weight-bearing activity with crutches 3- The knee should be immobilized in extension; partial weight-bearing activity with crutches may be allowed for the first 6 weeks 4- An initial range-of-motion restriction to 90 degrees or weight-bearing restriction is not needed PREFERRED RESPONSE: 4- An initial range-of-motion restriction to 90 degrees or weight-bearing restriction is not needed DISCUSSION TTO is a recognized technique for improving exposure when performing TKA in a stiff knee. TTO has been reported to enhance surgical exposure and not adversely affect outcomes after TKA, but there is a 5% complication rate. The postsurgical routine following TTO
  • 123.
    AAOS 2016 AdultReconstructive Surgery of the Hip and Knee 122 includes full weight-bearing activity and range of motion as tolerated. Caution should be exercised when manipulation is performed to improve knee flexion following a TTO. Question 149 of 200 A patient who underwent a total knee arthroplasty (TKA) 4 years ago reports acute knee pain 2 days following dental surgery. Knee joint aspiration demonstrates 40000 white blood cells/µL with 90% neutrophils. An aspirate culture grows peptostreptococcus. Treatment should consist of 1- intravenous (IV) antibiotics only. 2- arthroscopic debridement and IV antibiotics. 3- irrigation, debridement, polyethylene liner exchange, and IV antibiotics. 4- 2-stage exchange and IV antibiotics. PREFERRED RESPONSE: 3- irrigation, debridement, polyethylene liner exchange, and IV antibiotics. DISCUSSION This patient has an acute hematogenous infection of a TKA. Irrigation, debridement, polyethylene liner exchange, and IV antibiotics remain the treatments of choice. However, failure of this approach has been reported in 20% to 60% of cases in various series, particularly when methicillin-resistant streptococcus aureus or methicillin-resistant streptococcus epidermis is isolated.
  • 124.
    AAOS 2016 AdultReconstructive Surgery of the Hip and Knee 123 Figure 150a Figure 150b Figure 150c Figure 150d Question 150 of 200 Figures 150a through 150d are the radiographs and MR images of a 37-year-old woman who has a 3-month history of severe right hip pain. She does not recall any trauma prior to the
  • 125.
    AAOS 2016 AdultReconstructive Surgery of the Hip and Knee 124 pain onset and denies any past steroid exposure. She has 3 children and is not currently pregnant. The pain is located in her groin and the onset was sudden. The pain is refractory to anti-inflammatory medications. What is the most appropriate treatment? 1- Toe-touch weight-bearing activity and supportive care 2- Core decompression and femoral head grafting 3- Periacetabular osteotomy 4- Hemiarthroplasty PREFERRED RESPONSE: 1- Toe-touch weight-bearing activity and supportive care DISCUSSION The patient’s MR images are consistent with transient hip osteoporosis. No signs suggest avascular necrosis. She has no joint narrowing. Transient osteoporosis of the hip is characterized by bone marrow edema in the femoral head and neck. This condition affects more men than women and is sometimes seen in the third trimester of pregnancy but can be seen in women who are not pregnant as well. This is a self-limiting condition, and the treatment is limited weight-bearing activity until the symptoms resolve. Core decompression is rarely used in these cases. There is no indication for arthroplasty or osteotomy in this scenario. Question 151 of 200 A 41-year-old woman has medial-sided knee pain and varus deformity. Her radiographic findings are consistent with isolated medial compartment osteoarthritis. Her pain persists despite nonsurgical therapy. A medial-sided, opening-wedge osteotomy with locking plate fixation is performed. What factor is most associated with delayed union or nonunion of the osteotomy? 1- Obesity 2- Lateral hinge fracture 3- Smoking 4- An accelerated weight-bearing protocol PREFERRED RESPONSE: 3- Smoking
  • 126.
    AAOS 2016 AdultReconstructive Surgery of the Hip and Knee 125 DISCUSSION Many factors can lead to delayed union or nonunion after medial opening-wedge high tibial osteotomy; the factor most associated with delayed union or nonunion is smoking. Other factors include obesity and unstable lateral hinge fractures, but to a lesser extent. An accelerated weight-bearing protocol has no effect on union. The use of locking screws should increase construct stability and is not associated with osteotomy delayed union or nonunion. Figure 152a Figure 152b Question 152 of 200 Figures 152a and 152b are the current radiographs of a 72-year-old man who underwent insertion of an antibiotic-impregnated articulating spacer for treatment of an infected total knee arthroplasty (TKA) 12 weeks ago. An examination reveals a well-healed incision, an extensor lag of 20 degrees, and flexion to 100 degrees. He has 4+/5 quadriceps strength and a normal
  • 127.
    AAOS 2016 AdultReconstructive Surgery of the Hip and Knee 126 neurovascular examination. Erythrocyte sedimentation rate, C-reactive protein level, and knee joint aspirate findings are normal. The most appropriate treatment option is 1- resection arthroplasty. 2- revision TKA. 3- knee arthrodesis. 4- above-knee amputation. PREFERRED RESPONSE: 2- revision TKA. DISCUSSION Current methods of treating periprosthetic infection after TKA include antibiotic suppression, resection arthroplasty, revision TKA, knee arthrodesis, or above-knee amputation. In this case, the patient has undergone successful first-stage revision arthroplasty with an articulating spacer. A resection arthroplasty is not indicated. Although the patient continues to have an extensor lag, a number of surgical techniques have been described to reconstruct the extensor mechanism in the setting of revision TKA. Therefore, the absence of his patella and his extensor lag do not preclude revision TKA. The indication for knee arthrodesis or amputation in this case would be a deficient and nonreconstructable extensor mechanism, which is not present in this scenario. Figure 153
  • 128.
    AAOS 2016 AdultReconstructive Surgery of the Hip and Knee 127 Question 153 of 200 A 50-year-old man undergoes revision total knee arthroplasty (TKA). The tibial component shown in Figure 153 was retrieved at the time of revision. The wear damage demonstrated on the backside of the tibial component is most likely related to which wear mechanism(s)? 1- Abrasive wear 2- Fatigue wear 3- Adhesive wear 4- Adhesive and abrasive wear PREFERRED RESPONSE: 4- Adhesive and abrasive wear DISCUSSION Pitting and delamination seen in tibial component retrievals on the bearing surface of a TKA is related to fatigue wear. Backside wear is shown in the photograph; this is where the lot numbers usually are present, but now they are not distinguishable because of backside wear. This wear mechanism is attributable to adhesive and abrasive wear. The nanometer-size particles created by this wear mechanism account for the higher prevalence of osteolysis associated with modular tibial components. CLINICAL SITUATION FOR QUESTIONS 154 AND 155 Five weeks ago, an 82-year-old man underwent revision total knee arthroplasty (TKA). Three weeks after surgery he had a dental cleaning. The patient now reports 2 days of worsening pain following a long physical therapy session. His C-reactive protein (CRP) level is 15.0 mg/L (reference range, 0.08-3.1 mg/L). Upon examination, there is no drainage and slight effusion, and he has a passive range of motion to 110 degrees. Radiographs are unremarkable. Question 154 of 200 What is the most likely diagnosis? 1- Periprosthetic fracture 2- Delayed wound healing 3- Deep periprosthetic joint infection
  • 129.
    AAOS 2016 AdultReconstructive Surgery of the Hip and Knee 128 4- Overly aggressive physical therapy PREFERRED RESPONSE: 4- Overly aggressive physical therapy Question 155 of 200 What is the most appropriate treatment? 1- Arthroscopic washout 2- CT scan 3- Observation 4- Aspiration PREFERRED RESPONSE: 3- Observation DISCUSSION A common postsurgical problem after TKA is a sudden increase of pain that typically occurs about 2 to 3 weeks after surgery. ESR findings are not reliable during the acute postsurgical period. A CRP level exceeding 100 mg/L during the acute postsurgical period is a joint aspiration indication. If the patient does not have sepsis, there is no emergency. This pain is likely attributable to too much activity during physical therapy. Observation is recommended for this patient. Question 156 of 200 Which laboratory findings would most support a diagnosis of prosthetic joint infection (PJI) in a hip or knee arthroplasty performed 3 weeks ago? 1- Erythrocyte sedimentation rate (ESR) higher than 30 mm/h 2- C-reactive protein (CRP) level higher than 10 mg/L 3- Synovial white blood cell count higher than 10000 cells/µL 4- Synovial percentage of polymorphonuclear (PMN) leukocytes higher than 60% PREFERRED RESPONSE: 3- Synovial white blood cell count higher than 10000 cells/µL
  • 130.
    AAOS 2016 AdultReconstructive Surgery of the Hip and Knee 129 DISCUSSION The diagnosis of acute PJI is associated with different criteria than the diagnosis of a chronic PJI. There is no agreed-upon threshold for ESR during the acute period (6 weeks) following total joint arthroplasty. The CRP threshold is higher during the acute period (100 mg/L vs 10 mg/L for a chronic infection). The threshold for synovial fluid analysis for an acute PJI is 10000 cells/µL and more than 90% PMN neutrophils vs 3000 cells/µL and more than 80% PMN neutrophils for a chronic infection. Figure 157a Figure 157b Question 157 of 200 Figures 157a and 157b are the radiographs of a 22-year-old laborer who has progressively increasing lateral knee pain that is unresponsive to nonsurgical treatment. What is the most appropriate treatment at this time? 1- Distal femoral osteotomy 2- Proximal tibial osteotomy 3- Lateral unicompartmental knee arthroplasty 4- Total knee arthroplasty (TKA)
  • 131.
    AAOS 2016 AdultReconstructive Surgery of the Hip and Knee 130 PREFERRED RESPONSE: 1- Distal femoral osteotomy DISCUSSION Distal femoral osteotomy is the preferred surgical treatment for this young patient. A varus-producing proximal tibial osteotomy is not indicated with valgus deformity and lateral femoral hypoplasia. Osteotomy on the tibial side would result in obliquity of the joint line and improper loading. Lateral unicompartmental arthroplasty or TKA are both less appropriate for this patient, who will be placing high demands on his knee; these demands will pose high risk for premature failure of an artificial knee implant and could necessitate revision surgery. Question 158 of 200 Pharmacoprophylaxis should be avoided in favor of a pneumatic compression device for a patient with 1- protein C deficiency. 2- protein S deficiency. 3- factor V Leiden mutation. 4- factor VIII deficiency. PREFERRED RESPONSE: 4- factor VIII deficiency. DISCUSSION For patients with known bleeding disorders, a pneumatic compression device alone is recommended over pharmacoprophylaxis to minimize risk for excessive bleeding and wound complications. Factor VIII deficiency (hemophilia) and active liver disease are the 2 conditions for which support is strongest to withhold anticoagulation. Protein C deficiency and protein S deficiency are associated with increased risk for thrombosis, as is the factor V Leiden mutation. RESPONSES FOR QUESTIONS 159 THROUGH 162 1- Lateral femoral cutaneous 2- Superior gluteal 3- Inferior gluteal
  • 132.
    AAOS 2016 AdultReconstructive Surgery of the Hip and Knee 131 4- Obturator 5- Sciatic Which nerve listed above is at increased risk for injury when performing hip surgery through the following approaches? Question 159 of 200 Anterolateral approach (Watson-Jones) 1- Lateral femoral cutaneous 2- Superior gluteal 3- Inferior gluteal 4- Obturator 5- Sciatic PREFERRED RESPONSE: 2- Superior gluteal Question 160 of 200 Posterolateral approach 1- Lateral femoral cutaneous 2- Superior gluteal 3- Inferior gluteal 4- Obturator 5- Sciatic PREFERRED RESPONSE: 5- Sciatic Question 161 of 200 Direct anterior approach (Smith-Petersen) 1- Lateral femoral cutaneous 2- Superior gluteal 3- Inferior gluteal
  • 133.
    AAOS 2016 AdultReconstructive Surgery of the Hip and Knee 132 4- Obturator 5- Sciatic PREFERRED RESPONSE: 1- Lateral femoral cutaneous Question 162 of 200 Anteromedial approach (Ludloff) 1- Lateral femoral cutaneous 2- Superior gluteal 3- Inferior gluteal 4- Obturator 5- Sciatic PREFERRED RESPONSE: 4- Obturator DISCUSSION The lateral femoral cutaneous nerve can be injured during a direct anterior approach to the hip. The superior gluteal nerve enters the gluteus medius from posterior to anterior approximately 5 cm above the greater trochanter. This nerve can be injured during the direct lateral and anterolateral approaches to the hip. Branches of the inferior gluteal nerve as well as the sciatic nerve can be injured during the posterior approach, and the obturator nerve can be damaged when performing a medial approach to the hip.
  • 134.
    AAOS 2016 AdultReconstructive Surgery of the Hip and Knee 133 Figure 163 Question 163 of 200 Figure 163 is the radiograph of an 81-year-old man who had primary total hip arthroplasty 12 years ago and now has a 3-month history of left hip weight-bearing thigh pain. The appropriate treatment at this time is 1- acetabular revision and femoral revision without an extended trochanteric osteotomy. 2- acetabular revision and femoral revision with an extended trochanteric osteotomy. 3- femoral revision without an extended trochanteric osteotomy. 4- femoral revision with an extended trochanteric osteotomy. PREFERRED RESPONSE: 4- femoral revision with an extended trochanteric osteotomy. DISCUSSION This patient has a loose cemented femoral component. The implant has subsided and the femur has remodeled into a varus position. Although the component may be removable without an extended trochanteric osteotomy, the varus bow of the femur will not allow distal fixation without use of an extended trochanteric osteotomy. The acetabular component appears
  • 135.
    AAOS 2016 AdultReconstructive Surgery of the Hip and Knee 134 to be well fixed, and, as a result, should be retained in this older patient. An evaluation of stability could lead to possible revision of the acetabulum, and implants should be available. Question 164 of 200 A 75-year-old woman has a 1-year history of right hip pain and a right total hip arthroplasty (THA) performed in 1999. Her left THA, performed in 2002, is asymptomatic. Plain radiographs show that all of the components appear well fixed and in good position. There is evidence of eccentric polyethylene wear of the right hip with focal osteolysis of the calcar and great trochanter (with none of these findings on the left hip). What is the most likely explanation for her right hip pain? 1- Acute periprosthetic infection 2- Aseptic loosening of her right acetabular component 3- Wear debris of a polyethylene liner in the right hip 4- Pseudotumor in the right hip attributable to trunnionosis PREFERRED RESPONSE: 3- Wear debris of a polyethylene liner in the right hip DISCUSSION This patient likely has 1 conventional polyethylene hip (1999) and 1 hip with highly cross- linked polyethylene (HXLPE) (2002); most centers transitioned to HXLPE around 2001 to 2002. This explains the clear difference in the clinical and radiographic performance of the 2 hips during the second decade. There is clear evidence of decreased wear and osteolysis and clinical benefits (ie, decreased revision rate) during the second decade following the introduction of HXLPE for THA. Acute infection is unlikely considering the chronicity of symptoms. The radiographs show no obvious evidence of cup loosening. A pseudotumor attributable to trunnionosis, while reported, remains an infrequent clinical issue. Question 165 of 200 In long-term follow-up studies of cemented total knee arthroplasty (TKA), the lowest rates of osteolysis have been associated with which design feature? 1- Metal-backed patellar components 2- Modular cruciate-retaining tibial inserts 3- Modular cruciate-substituting tibial inserts 4- Monolithic tibial trays
  • 136.
    AAOS 2016 AdultReconstructive Surgery of the Hip and Knee 135 PREFERRED RESPONSE: 4- Monolithic tibial trays DISCUSSION The lowest reported rates of osteolysis involving cemented TKAs are associated with monolithic tibial components. Modular components and cemented metal-backed patella components are associated with a high prevalence of backside tibial insert wear and osteolysis. Question 166 of 200 The knee arthroplasty type associated with the highest 5-year revision rate is 1- medial unicondylar arthroplasty. 2- mobile-bearing total knee arthroplasty (TKA). 3- patellofemoral arthroplasty. 4- lateral unicondylar knee arthroplasty (UKA). PREFERRED RESPONSE: 3- patellofemoral arthroplasty. DISCUSSION Revision rates for UKA at 10 years are lower than 5% at specialty centers. However, the 10-year revision rate associated with UKA in registries such as the National Joint Registry for England and Wales is 2 to 3 times that of TKA. Among partial knee replacements, patellofemoral arthroplasty is associated with the highest revision rate at every time interval.
  • 137.
    AAOS 2016 AdultReconstructive Surgery of the Hip and Knee 136 Figure 167a Figure 167b CLINICAL SITUATION QUESTIONS 167 THROUGH 169 Figures 167a and 167b are the radiographs of a middle-age man. He is a noncompliant patient who has severe insulin-dependent diabetes and a below-knee amputation on the right side. He is usually in a wheelchair, does not use a prosthesis, transfers using a walker, and resides in an institution. He had an infection in the left leg years ago, which was treated successfully with intravenous antibiotics (the details are unknown). His left knee is mildly painful, swollen but not warm, has limited range of motion (40-140 degrees), and is grossly unstable. Question 167 of 200 What is the best next diagnostic step? 1- CT scan of the knee 2- Electromyography and nerve conduction studies 3- Erythrocyte sedimentation rate and C-reactive protein levels 4- Blood glucose test
  • 138.
    AAOS 2016 AdultReconstructive Surgery of the Hip and Knee 137 PREFERRED RESPONSE: 3- Erythrocyte sedimentation rate and C-reactive protein levels Question 168 of 200 What is the most likely diagnosis? 1- Acute infection 2- Chronic infection 3- Gouty arthropathy 4- Charcot arthropathy PREFERRED RESPONSE: 4- Charcot arthropathy Question 169 of 200 The best definitive treatment for this patient’s left knee is 1- total knee replacement. 2- knee arthrodesis using an anterior plate and screws. 3- knee arthrodesis using an external fixator. 4- observation. PREFERRED RESPONSE: 4- observation. DISCUSSION This patient now has a major fixed flexion contracture and severe varus alignment and instability. Infection of the knee joint has to be ruled out. The radiograph shows all the hallmarks of Charcot arthropathy, including disintegration and fragmentation of the joint with major deformity. Infection of the knee joint and contiguous osteomyelitis still have to be ruled out. The clinical and radiographic findings are highly suggestive of a Charcot neurogenic arthropathy associated with uncontrolled diabetes. This patient is an unsuitable candidate for total knee arthroplasty (TKA) because he is noncompliant regarding his diabetes and has had a previously infected native joint that now is associated with Charcot arthropathy. He is nonambulatory. The failure rate of TKA or knee arthrodesis is extremely high in this setting. He will best be served with observation or amputation depending upon his symptom severity.
  • 139.
    AAOS 2016 AdultReconstructive Surgery of the Hip and Knee 138 Question 170 of 200 When performing a revision total knee arthroplasty, trial components are inserted and the knee is stable in extension and loose in flexion. Which step should be taken to create a stable construct? 1- Insert a constrained tibial insert 2- Insert a thicker tibial component 3- Insert a larger femoral component 4- Augment the distal portion of the femoral component PREFERRED RESPONSE: 3- Insert a larger femoral component DISCUSSION The surgeon is facing a common scenario that occurs in revision knee surgery: a loose flexion gap with an appropriate extension gap. A flexion gap can be tightened by translating the femoral component more posteriorly and using an oversized femoral component. Insertion of a thicker tibial component changes both the flexion and extension gap. Augmentation of the distal femur tightens only the extension gap. A constrained insert would only be indicated if oversizing of the femoral component did not adequately tension the flexion gap. Question 171 of 200 The Musculoskeletal Infection Society (MSIS) has adopted a definition of periprosthetic joint infection (PJI). This definition includes 2 major criteria and 5 minor criteria. Infection is present if 1 of 2 major criterions or 3 of 5 minor criterions are met. These criterions are 1- major: 3 positive cultures, gross purulence. Minor: elevated C-reactive protein (CRP) level and erythrocyte sedimentation rate (ESR), elevated synovial white blood cell (WBC) count, elevated synovial neutrophil count, elevated systemic WBC count, dr 2- major: draining sinus and elevated synovial WBC count. Minor: elevated CRP and ESR, positive frozen section, purulence at surgery, elevated systemic WBC count, febrile episodes, and a single positive culture from periprosthetic tissue. 3- major: gross purulence at surgery and a draining sinus. Minor: 2 positive cultures from periprosthetic tissues, an elevated synovial WBC count, elevated synovial neutrophil percentage, elevated CRP and ESR, febrile episodes, and an elevated systemic
  • 140.
    AAOS 2016 AdultReconstructive Surgery of the Hip and Knee 139 4- major: a draining sinus communicating with the joint and 2 positive cultures with the same organism. Minor: elevated synovial WBC count, elevated synovial neutrophil percentage, elevated CRP and ESR, increased WBCs per high-power field on frozen sec PREFERRED RESPONSE: 4- major: a draining sinus communicating with the joint and 2 positive cultures with the same organism. Minor: elevated synovial WBC count, elevated synovial neutrophil percentage, elevated CRP and ESR, increased WBCs per high-power field on frozen sec DISCUSSION In 2014, the MSIS published its revised PJI definition for clinical and research use. If 1 of 2 major criterions is met (phenotypically identical organisms obtained from 2 separate cultures or a draining sinus tract), then PJI is diagnosed. Alternatively, if 3 of 5 minor criterions are met, PJI is diagnosed. Figure 172 Question 172 of 200 In performing a posterior stabilized total knee arthroplasty (TKA), which component malpositioning is associated with the wear damage shown in this tibial component retrieval (Figure 172)?
  • 141.
    AAOS 2016 AdultReconstructive Surgery of the Hip and Knee 140 1- Excessive femoral component flexion 2- Excessive anterior slope of the proximal tibia 3- Excessive tibial component varus 4- Excessive valgus resection of the distal femur PREFERRED RESPONSE: 1- Excessive femoral component flexion DISCUSSION The tibial polyethylene insert shows anterior post wear damage from anterior CAM-post impingement in a posterior stabilized knee. It is associated with excessive femoral component flexion and excessive posterior tibial slope in a TKA construct. It is not associated with coronal plane alignment. Question 173 of 200 Following insertion of a cementless femoral component into the total hip arthroplasty construct, the amount of femoral stress shielding is most associated with 1- presurgical bone mineral density. 2- material modulus. 3- characteristics of the ingrowth/ongrowth surface. 4- extent of the ingrowth/ongrowth surface. PREFERRED RESPONSE: 1- presurgical bone mineral density. DISCUSSION Although material modulus, characteristics of surface, and extent of coating all contribute to stress shielding, poor bone quality is the most important factor associated with stress shielding.
  • 142.
    AAOS 2016 AdultReconstructive Surgery of the Hip and Knee 141 Figure 174a Figure 174b Question 174 of 200 Figures 174a and 174b are the radiograph and clinical photograph of a 64-year-old obese woman (body mass index [BMI] of 48) who has controlled diabetes and hypertension. She has failed nonsurgical treatment and a weight loss program. She is considering total knee arthroplasty (TKA). What is the most significant postsurgical risk for this patient? 1- Dissatisfaction after TKA 2- Periprosthetic infection and wound complications 3- Implant loosening 4- Thromboembolic disease PREFERRED RESPONSE: 2- Periprosthetic infection and wound complications DISCUSSION The literature has demonstrated increased risk for complications among obese patients undergoing TKA (10%-30%). An evaluation of TKA among obese patients revealed 3- to 9- fold higher incidence of wound complications and deep-seated infection. Belmont and associates demonstrated that patients with a BMI higher than 40 are at higher risk for overall complications than patients with a BMI lower than 25, with a particularly high risk for developing local wound complications and infection. An increased risk for thromboembolic complications was not shown among obese patients undergoing TKA. Patient-reported outcome scores among obese patients undergoing TKA are equivalent to those of nonobese
  • 143.
    AAOS 2016 AdultReconstructive Surgery of the Hip and Knee 142 patients. There are conflicting data regarding the outcome and survivorship following TKA for obese patients. Although some studies show a difference in patient-reported outcomes at differing postsurgical intervals, most obese patients undergoing TKA are satisfied with the procedure. Question 175 of 200 Studies have shown that the parents and grandparents of people with developmental dysplasia of the hip (DDH) 1- were more likely to receive a hip arthritis diagnosis and undergo total hip arthroplasty (THA) than the general population. 2- were less likely to receive a hip arthritis diagnosis and undergo THA than the general population. 3- had a higher incidence of hip and knee arthritis than the general population. 4- had a DDH relative risk (RR) of 1.4. PREFERRED RESPONSE: 1- were more likely to receive a hip arthritis diagnosis and undergo total hip arthroplasty (THA) than the general population. DISCUSSION The hip arthritis RR is significantly increased in patients with DDH (RR = 82.4; P < 2e- 16), their parents (RR = 2.22; P = 0.0003), and their grandparents (RR = 1.33; P = 0.011). The THA RR also is significantly increased for patients with DDH (RR = 1168; P < 3e-08) and their grandparents (RR = 2.06; P = 0.01). First-degree and second-degree relatives were not at higher risk for knee arthritis or knee arthroplasty. The RR for DDH was significantly increased for first-degree relatives (RR = 12.1; P < 0.000001) and siblings (RR = 11.9; P < 0.000001). Question 176 of 200 A 54-year-old man undergoes revision surgery for loosening and osteolysis of a cementless acetabular component. The membrane obtained from behind the component at the time of surgery is analyzed for particulate debris particle size. Which particle size is most likely responsible for the membrane formation? 1- 0.1 to 1 micron 2- 1 to 10 microns 3- 10 to 100 microns 4- 100 to 1000 microns
  • 144.
    AAOS 2016 AdultReconstructive Surgery of the Hip and Knee 143 PREFERRED RESPONSE: 1- 0.1 to 1 micron DISCUSSION For many years, it was believed that large particles incited the histiocytic response. It is now well established that submicron-size particles stimulate this response. Question 177 of 200 What is the most well-documented advantage of computer-assisted navigation for total knee arthroplasty (TKA)? 1- Lowers risk for symptomatic fat embolization 2- Improves range of motion 3- Decreases radiographic outliers 4- Decreases blood loss PREFERRED RESPONSE: 3- Decreases radiographic outliers DISCUSSION Studies of patients following TKA utilizing navigation have failed to show a significant difference in the degree of fat embolization or changes in cognition compared to standard instrumentation. Clinical results also have not changed following TKA with and without navigation in terms of range of motion or blood loss. Most studies do show a decreased incidence of radiographic outliers, however, at least in the coronal plane.
  • 145.
    AAOS 2016 AdultReconstructive Surgery of the Hip and Knee 144 Figure 178a Figure 178b CLINICAL SITUATION FOR QUESTIONS 178 THROUGH 180 Figures 178a and 178b are the current radiographs of a 45-year-old man who underwent hip resurfacing for osteonecrosis of the femoral head 1 year ago. The patient reported doing well for 3 months following the procedure, but he then developed acute-onset pain without trauma. He denies postsurgical wound healing problems and reports pain in his groin and with weight-bearing activity. Question 178 of 200 Hip resurfacing to address osteonecrosis of the femoral head is contraindicated in the presence of 1- proximal femoral deformity. 2- acetabular subchondral cysts.
  • 146.
    AAOS 2016 AdultReconstructive Surgery of the Hip and Knee 145 3- extensive femoral aseptic necrosis. 4- coexisting lumbar spine pathology. PREFERRED RESPONSE: 3- extensive femoral aseptic necrosis. Question 179 of 200 Prior to revision arthroplasty, the patient undergoes right hip aspiration to address mild elevations in his erythrocyte sedimentation rate (ESR) and C-reactive protein (CRP) level. The aspiration fluid reveals a synovial white blood cell count of 150000 cells/µL (reference range, 4500-11000 CELLS/µL) with a neutrophil differential of less than 50%. A culture of the aspiration reveals no growth. Based on these findings, the most appropriate next step is a 1- single-stage revision. 2- 2-stage revision. 3- manual cell count and differential. 4- a Girdlestone procedure. PREFERRED RESPONSE: 3- manual cell count and differential. Question 180 of 200 Revision of failed hip resurfacing arthroplasty should involve 1- the acetabular component only. 2- the femoral component only. 3- both femoral and acetabular components. 4- only components that are loose or malpositioned. PREFERRED RESPONSE: 3- both femoral and acetabular components. DISCUSSION Hip resurfacing offers several potential advantages over conventional total hip arthroplasty, particularly for patients younger than 75 years of age. This intervention can be
  • 147.
    AAOS 2016 AdultReconstructive Surgery of the Hip and Knee 146 relatively bone conserving and is appropriate in settings involving proximal femoral deformity, precluding the use of a traditional femoral component. The use of hip resurfacing in osteonecrosis has been controversial, however. Although there are several reports of successful use of these implants to address osteonecrosis, concerns remain about extensive femoral head involvement (exceeding 40%) and ability to support the femoral head cap. Consequently, hip resurfacing is not recommended for patients with large femoral head lesions. Evaluation of painful hip resurfacings requires a systematic approach. Radiographs can help surgeons assess implant position, loosening, or fractures. Serological studies including ESR, CRP, and serum cobalt and chromium levels can give clues as to whether infection, metallosis, or both are the underlying cause(s) of failure. Hip aspiration in the setting of metal- on-metal bearings necessitates a manual cell count and differential to avoid falsely elevated automated cell counts. Revision of failed hip resurfacings should involve revisions of both the femoral and acetabular components. Although successful retention of the acetabular shell has been described, concerns remain regarding cup circumference mismatch, which can lead to suboptimal clearance between the new bearing surfaces. Figure 181 Question 181 of 200 Two years ago, a 63-year-old man underwent right total hip arthroplasty (THA) with a modular femoral head-neck and neck-stem prosthesis (a photograph of the removed implant
  • 148.
    AAOS 2016 AdultReconstructive Surgery of the Hip and Knee 147 is shown in Figure 181). He now has increasing hip pain. Radiographs reveal a stable hip arthroplasty and elevated serum cobalt and chromium levels. MR imaging is obtained, and, based on these findings, the patient’s hip is revised. Which corrosion type likely is responsible for this THA failure? 1- Galvanic 2- Pitting 3- Fretting 4- Crevice PREFERRED RESPONSE: 3- Fretting DISCUSSION Micromotion at the femoral head-neck or stem-neck junction can lead to fretting corrosion. Fretting corrosion is among the most common causes of failure in modular components. Modularity gives surgeons additional intraoperative flexibility but has resulted in corrosion- related failure and an implant recall. Although titanium and cobalt-chrome contain a protective surface oxide layer, continued micromotion at the modular junction may disrupt the protective layer, resulting in fretting corrosion. This may eventually lead to excessive metal ion formation and painful synovitis that necessitates a revision procedure. Galvanic corrosion is attributable to a mismatch in electrochemical gradients between dissimilar metals. Crevice or pitting corrosion occurs in fatigue cracks because of differences in oxygen tension. Question 182 of 200 A 52-year-old man with a BMI of 40 and primary osteoarthritis undergoes total hip arthroplasty through a posterolateral approach. To retract the femur anteriorly when exposing the acetabulum, the surgeon places a sharp curved retractor over (anterior to) the anterior inferior iliac spine. Pulsatile bleeding is encountered. A branch of which artery has been injured? 1- Medial femoral circumflex 2- Obturator 3- Iliac circumflex 4- Femoral PREFERRED RESPONSE: 4- Femoral
  • 149.
    AAOS 2016 AdultReconstructive Surgery of the Hip and Knee 148 DISCUSSION Video 182 for reference The femoral artery crosses the hip joint anterior to the anterior hip capsule. The medial femoral circumflex artery enters the joint along the route of the obturator externus. The obturator artery enters the hip joint beneath the transverse acetabular ligament. The iliac circumflex vessel arises superior to the hip joint. Figure 183a Figure 183b Figure 183c Figure 183d Figure 183e Figure 183f
  • 150.
    AAOS 2016 AdultReconstructive Surgery of the Hip and Knee 149 RESPONSES FOR QUESTIONS 183 THROUGH 188 1- Figure 183a 2- Figure 183b 3- Figure 183c 4- Figure 183d 5- Figure 183e 6- Figure 183f For each clinical scenario described below, identify the corresponding anteroposterior pelvic radiographic image shown above. Question 183 of 200 A 22-year-old woman who is a ballet dancer; she has hip pain and catching 1- Figure 183a 2- Figure 183b 3- Figure 183c 4- Figure 183d 5- Figure 183e 6- Figure 183f PREFERRED RESPONSE: 3- Figure 183c Question 184 of 200 A 20-year-old tall, slender woman with bilateral hip pain and a heart murmur 1- Figure 183a 2- Figure 183b 3- Figure 183c 4- Figure 183d 5- Figure 183e 6- Figure 183f
  • 151.
    AAOS 2016 AdultReconstructive Surgery of the Hip and Knee 150 PREFERRED RESPONSE: 6- Figure 183f Question 185 of 200 A 45-year-old woman with groin and trochanteric pain and a 3-cm leg-length discrepancy 1- Figure 183a 2- Figure 183b 3- Figure 183c 4- Figure 183d 5- Figure 183e 6- Figure 183f PREFERRED RESPONSE: 2- Figure 183b Question 186 of 200 A 37-year-old man with inflammatory bowel disease who is taking steroids and has had bilateral hip pain for 5 months 1- Figure 183a 2- Figure 183b 3- Figure 183c 4- Figure 183d 5- Figure 183e 6- Figure 183f PREFERRED RESPONSE: 5- Figure 183e Question 187 of 200 A 16-year-old obese boy with hypothyroidism and restricted range of motion at the hip 1- Figure 183a 2- Figure 183b
  • 152.
    AAOS 2016 AdultReconstructive Surgery of the Hip and Knee 151 3- Figure 183c 4- Figure 183d 5- Figure 183e 6- Figure 183f PREFERRED RESPONSE: 1- Figure 183a Question 188 of 200 A 20-year-old hockey goalie; he has hip pain and limited range of motion 1- Figure 183a 2- Figure 183b 3- Figure 183c 4- Figure 183d 5- Figure 183e 6- Figure 183f PREFERRED RESPONSE: 4- Figure 183d DISCUSSION A clinical history, radiographs, and a hip examination are mandatory when evaluating young patients with hip disease. Typical clinical scenarios are associated with hip pathology and should cue the clinician and surgeon regarding the underlying cause of the hip problem and help to design treatment strategies. Hip dysplasia is more common in women, is associated with increased range of motion, and is commonly seen in sporting activities that require increased range of motion such as ballet and gymnastics. Figure 183c shows a left hip with moderate hip dysplasia and anterior and lateral uncovering of the femoral head. Pincer femoroacetabular impingement is secondary to acetabular overcoverage. Figure 183f shows acetabular protrusio defined as the medial aspect of the femoral head lying more medial to the medial acetabular wall. This radiographic finding is sometimes seen in patients with Marfan syndrome and should be followed with appropriate genetic testing if the patient fits the clinical diagnosis. The radiographic findings of a post-Perthes hip are shown in Figure 183b. The patient has developed a coxa magna, with flattening of the femoral head. Other radiographic findings include acetabular retroversion in 50% of hips and a short neck with a high-riding
  • 153.
    AAOS 2016 AdultReconstructive Surgery of the Hip and Knee 152 trochanter. A high-riding trochanter may impinge in abduction and can be a cause of lateral hip pain. Osteonecrosis of the femoral head is commonly seen in patients who have had treatment with high-dose oral steroids. In Figure 183e, osteonecrosis is seen bilaterally as large lesions involving more than 50% of the femoral head. On the right side, femoral head collapse has occurred, indicating a later stage of disease. A slipped capital femoral epiphysis can lead to acute or subacute pain in young hips. Bilateral involvement can be seen in patients with endocrinopathies. An accepted form of treatment is in situ pinning, but, unfortunately, this may lead to post slipped capital femoral epiphysis deformity, leading to limitations in range of motion and impingement and could be a cause of hip pain in adolescents (Figure 183a). CAM femoroacetabular impingement is commonly seen in high-level male athletes. Hockey is particularly associated with development of this hip condition. Figure 183d shows the typical pistol-grip deformity associated with CAM femoroacetabular impingement on the right side with prominence of the lateral femoral head and neck junction. A Dunn or frog leg view would help to determine the extent of anterior and anterolateral involvement. Figure 189a Figure 189b
  • 154.
    AAOS 2016 AdultReconstructive Surgery of the Hip and Knee 153 Figure 189c Figure 189d Question 189 of 200 Figures 189a through 189d are the radiograph and MR images of the right hip of a 28- year-old woman who has had right hip pain for 3 years. The pain is felt in the groin area, is exacerbated by weight-bearing activities, and interferes with her activities of daily living. She has been seen several times and has attempted anti-inflammatory medications, physical therapy, and an intra-articular steroid injection with minimal relief. What is the most appropriate next step? 1- Hip arthroscopy and debridement 2- Periacetabular osteotomy 3- Femoral varus-producing osteotomy 4- Total hip arthroplasty (THA) PREFERRED RESPONSE: 2- Periacetabular osteotomy DISCUSSION
  • 155.
    AAOS 2016 AdultReconstructive Surgery of the Hip and Knee 154 Video 189 for reference This patient has dysplasia with a lack of lateral femoral head coverage. The MR images do not demonstrate a labral tear. There is still preserved joint space and she is young, so it would be preferable to delay THA in her case. A Ganz periacetabular osteotomy can provide more adequate coverage of the femoral head and is a multiplanar correction of the dysplastic acetabulum. This osteotomy is an effective treatment for symptomatic dysplasia in prearthritic young adult hips. A femoral osteotomy is not likely to be effective in this scenario. CLINICAL SITUATION FOR QUESTIONS 190 THROUGH 192 Eighteen years after undergoing right total hip arthroplasty (THA), a 79-year-old woman experiences several weeks of right groin pain. A hip examination reveals that she is walking with a mild limp with a walker. Hip radiographs reveal moderate polyethylene wear with well- fixed components and mild osteolysis in the greater trochanter. Analysis of a CT scan reveals that the acetabular component is osteointegrated in 49 degrees of abduction and 25 degrees of anteversion. Erythrocyte sedimentation rate and C-reactive protein findings are within defined limits. Question 190 of 200 What is the most likely diagnosis? 1- Wear-induced osteolysis 2- Referred pain from the spine 3- Inguinal hernia 4- Periprosthetic infection
  • 156.
    AAOS 2016 AdultReconstructive Surgery of the Hip and Knee 155 PREFERRED RESPONSE: 1- Wear-induced osteolysis Question 191 of 200 What is the most appropriate treatment for this patient? 1- Revision of the acetabular liner and femoral head with a retro acetabular bone graft 2 Revision of the entire acetabular component 3- Revision of the femoral component to increase offset 4- Revision of both femoral and acetabular components PREFERRED RESPONSE: 1- Revision of the acetabular liner and femoral head with a retro acetabular bone graft Question 192 of 200 The CT scan reveals a nondisplaced greater trochanteric fracture. The patient is now experiencing severe pain. What is the most appropriate treatment at this time? 1- Liner exchange 2- Revision of the entire acetabular component 3- Revision of both the femoral and acetabular components 4- Partial weight-bearing activity for 4 to 6 weeks PREFERRED RESPONSE: 4- Partial weight-bearing activity for 4 to 6 weeks DISCUSSION This patient presents with significant polyethylene wear, which can lead to both osteolysis and synovitis. However, synovitis usually manifests as a mild to moderate chronic ache, which should explain the discomfort. Although infection should always be ruled out with new-onset pain, no clinical parameters suggest acute hematogenous infection. Similarly, without any mention of back pain or neuropathy, radicular pain from the spine is unlikely. If this patient has a nondisplaced greater trochanteric fracture noted on MR imaging, the optimal immediate mode of treatment is to not rush into surgery despite the mild osteolysis. The patient’s severe pain is likely attributable to the nondisplaced greater trochanteric fracture rather than wear- induced synovitis, which typically presents as a mild to moderate ache. It is recommended to
  • 157.
    AAOS 2016 AdultReconstructive Surgery of the Hip and Knee 156 allow the fracture to heal to avoid fracture displacement. Once the fracture is healed, a revision surgery with liner exchange can be recommended. Based on this clinical scenario, the acetabular component is within what is largely considered the “safe-zone” in THA. Despite this patient’s dislocations, the preferred treatment modality is to revise to a constrained liner. This patient had a well-functioning hip for longer than 15 years. Therefore, conversion to a constrained liner is the best treatment. Question 193 of 200 After performing a total hip arthroplasty through a posterolateral approach, an orthopaedic surgeon is unable to adequately externally rotate the leg and subsequently exposes the anterior capsule. When releasing the inferior aspect of the anterior capsule, pulsatile bleeding is encountered. A branch of which artery is most likely lacerated? 1- Inferior gluteal 2- Medial femoral circumflex 3- Lateral femoral circumflex 4- Femoral PREFERRED RESPONSE: 3- Lateral femoral circumflex DISCUSSION Branches of the lateral femoral circumflex artery arise from the inferior aspect of the anterior hip capsule. They can be injured when removing the anterior capsule from any approach. The inferior gluteal artery supplies the gluteus maximus. The medial femoral circumflex artery enters the hip joint along the path of the obturator externus tendon. The femoral artery crosses the anterior hip joint in the superior-to-inferior direction and is located just medial to the hip joint.
  • 158.
    AAOS 2016 AdultReconstructive Surgery of the Hip and Knee 157 Figure 194 Question 194 of 200 Figure 194 is the radiograph of a 71-year-old woman who had a right total hip arthroplasty 4 months ago; now she has tripped and fallen. She is unable to continue weight-bearing activity on her right leg, but denies pain or ambulation issues prior to her fall. She is seen in the emergency department. What is best treatment for this patient? 1- Open reduction and internal fixation (ORIF) of the femur with cerclage cables 2- Removal of the femoral stem, fracture repair, and stage reimplantation after the fracture has healed 3- Revise the femoral stem bypassing the fracture by 2 cortical widths and ORIF the fracture 4- Fix the fracture with allograft strut and cables, but leave the stem alone PREFERRED RESPONSE: 3- Revise the femoral stem bypassing the fracture by 2 cortical widths and ORIF the fracture
  • 159.
    AAOS 2016 AdultReconstructive Surgery of the Hip and Knee 158 DISCUSSION This patient has sustained a periprosthetic hip fracture consistent with a Vancouver B2 pattern. The femoral stem must be revised by bypassing the fracture and simultaneously providing stability through fixation. Method of fixation is dependent upon fracture pattern, and, in this case, the medial fracture fragment is better suited for cerclage fixation. Loosening of the stem precludes simply fixing the fracture with cables, plates, or allograft struts, and there is no need to allow the fracture to heal prior to placing a new stem if the fracture is adequately stabilized with fixation. CLINICAL SITUATION FOR QUESTIONS 195 THROUGH 197 A 67-year-old woman with osteoarthritis is scheduled for total hip arthroplasty (THA). She has a history of hypertension and stenting for coronary artery disease. She has no surgical history. Her presurgical hemoglobin level is 11.5 g/dL (reference range, 14.0-17.5 g/dL). Question 195 of 200 Tranexamic acid (TXA) is used during surgery to reduce the need for transfusion. TXA inhibits thrombolysis by acting on 1- antithrombin III. 2- factor Xa. 3- plasminogen. 4- platelet aggregation. PREFERRED RESPONSE: 3- plasminogen. Question 196 of 200 Aspirin is given for venous thromboembolism prophylaxis. The postsurgical course is uneventful until day 3, at which time it is noted that her hemoglobin has dropped from 10.0 g/dL to 7.2 g/dL since day 2. The patient has nausea, dizziness, and loose stools. The most appropriate next step is 1- CT scan of the surgical hip. 2- cessation of aspirin and a gastrointestinal (GI) consult. 3- cessation of aspirin and a return to the operating room. 4- compressive wrapping of the surgical hip and observation.
  • 160.
    AAOS 2016 AdultReconstructive Surgery of the Hip and Knee 159 PREFERRED RESPONSE: 2- cessation of aspirin and a gastrointestinal (GI) consult. Question 197 of 200 The patient is given a blood transfusion. After starting the transfusion, nurses note that her temperature is 38.8°C and she has shaking and chills. What is the most likely cause of this problem? 1- Bacterial contamination of intravenous tubing 2- Transmission of the hepatitis virus 3- Reaction to Kidd antigen in transfused blood 4- Blood transfusion incompatibility PREFERRED RESPONSE: 4- Blood transfusion incompatibility DISCUSSION Blood management and venous thromboembolism prevention are important considerations in the perioperative management of THA. Recommendations now focus on presurgical optimization of hemoglobin, use of antifibrinolytics intrasurgically, and minimized use of transfusions. Current recommendations do not favor autologous blood donation for patients with hemoglobin levels higher than 13 g/dL. There is a move toward increased use of aspirin for venous thromboembolism prophylaxis, but this modality can cause GI bleeding that may necessitate blood transfusion. Transfusion reactions are rare, and the most common cause is administration of an incompatible unit because of clerical error. Question 198 of 200 A 52-year-old woman has right hip pain and obvious swelling 3 years after undergoing a resurfacing arthroplasty. Her implant consists of a 42-mm femoral component and 48-mm socket. Her components are well positioned, and her metal ion levels are slightly elevated (less than 4 ppm) with a normal erythrocyte sedimentation rate (ESR) and C-reactive protein (CRP) level. What is the most likely cause of her discomfort? 1- Pseudotumor from a local reaction to metal debris from the bearing surface 2- Chronic periprosthetic infection 3- Impingement of the femoral neck on the edge of the cup 4- Referred pain from lumbar disk disease
  • 161.
    AAOS 2016 AdultReconstructive Surgery of the Hip and Knee 160 PREFERRED RESPONSE: 1- Pseudotumor from a local reaction to metal debris from the bearing surface DISCUSSION This patient likely has a soft-tissue reaction (pseudotumor) related to metal-on-metal articulation. Although the components are well positioned, patient gender and small head size are both known risk factors for failure of hip resurfacing arthroplasties. Metal ion levels are elevated but are not always markedly increased in the setting of a problematic metal-on-metal articulation. The patient should have a metal artifact reduction sequence MR imaging study to confirm the presence of a pseudotumor. Chronic infection is very unlikely in the setting of normal ESR and CRP findings. Impingement and lumbar disk disease would not explain the swelling around the hip. 45 Figure 199 Question 199 of 200 Figure 199 is the clinical photograph of a 68-year-old man with a history of atrial fibrillation who was treated with warfarin. Nine days after undergoing elective total hip arthroplasty, he has a swollen left thigh. His wound remains dry and he is afebrile. His erythrocyte sedimentation rate (ESR) is 25 mm/h (reference range [rr], 0-20 mm/h) and C- reactive protein (CRP) level is 6.1 mg/L (rr, 0.08-3.1 mg/L). Aspiration reveals 3246 white
  • 162.
    AAOS 2016 AdultReconstructive Surgery of the Hip and Knee 161 blood cells (WBCs)/µL with 47% polymorphonucleocytes. Treatment at this time should consist of 1- irrigation and debridement. 2- single-stage exchange. 3- 2-stage exchange. 4- observation. PREFERRED RESPONSE: 4- observation. DISCUSSION This patient has a large postsurgical hematoma. Although his ESR and CRP level are elevated, they are not considered elevated given his recent surgery. Additionally, the hip aspiration reveals a synovial cell count lower than 10000 WBC/µL along with a low percentage of polymorphonucleocytes. Treatment at this time should consist of observation. The hematoma is likely attributable to postsurgical anticoagulation, considering his history of atrial fibrillation. Question 200 of 200 After completion of bone cuts and ligament balancing of a severe valgus knee during primary total knee arthroplasty, there is a 5-mm increased medial gap that cannot be corrected. In this scenario, what is the most appropriate level of constraint? 1- Cruciate-retaining 2- Posterior stabilized 3- Varus-valgus constrained 4- Rotating hinge PREFERRED RESPONSE: 3- Varus-valgus constrained DISCUSSION Cruciate-retaining implants are typically used in the presence of a functioning posterior cruciate ligament (PCL). A posterior stabilized insert improves anteroposterior stability in the absence of a PCL but does not account for imbalance of the collateral ligaments. An
  • 163.
    AAOS 2016 AdultReconstructive Surgery of the Hip and Knee 162 uncorrectable laxity medially indicates insufficiency of the medial collateral ligament (MCL), which is best treated with a varus-valgus constrained component. A rotating hinge is generally reserved for complete absence of the MCL or both collateral ligaments.